Уплотнение корней — один из наиболее часто встречающихся рентгенологических синдромов, который врач-рентгенолог определяет на обзорной рентгенографии грудной полости. Что это означает: «уплотнены корни легких»? Какие заболевания и патологические состояния скрываются под этой фразой?
Корень легкого — это комплекс структур, расположенных в воротах легкого. К ним относятся легочная артерия, вена, главный бронх, а также нервы, лимфатические сосуды, плевра, жировая клетчатка. Все эти структуры расположены в строго определенном порядке, однако часть их с левой стороны не видна на рентгенограмме, скрываясь за тенью сердца.
На обзорной рентгенографии и флюорографии под таким понятием, как корень легкого, подразумевают только крупные сосуды (артерию, вену) и бронх.
Чтобы определить на рентгене такой симптом, как уплотнение корней легких, в первую очередь нужно знать особенности этих образований в норме.
Корень как правого, так и левого легкого состоит из трех частей: головки, тела и хвоста. В состав хвоста входят конечные мелкие разветвления сосудов.
Стоит также отметить, что артерии в корнях легкого расположены более вертикально, а вены — горизонтально. Иногда их структура может быть неоднородной из-за того, что на некоторых участках видны просветления воздуха в бронхах.
Размещение корней правого и левого легких несколько отличается. Так, корень правого легкого соответствует в норме уровню II ребра и межреберья и имеет форму дуги, искривленной книзу. Начинаясь расширением наверху, корень сужается внизу. Левый корень, в свою очередь, соответствует уровню I ребра и межреберья, то есть находится выше правого.
Необходимо понимать, что левый корень плохо виден на рентгенограмме, так как прикрыт сердцем, поэтому иногда тяжело увидеть, когда корень левого легкого уплотнен.
Также следует помнить, что корень левого легкого в норме неоднородной структуры, так как в его состав входят практически только сосуды, разветвляясь на мелкие ветви и переплетаясь с левым бронхом. В то время как правый корень имеет более однородное строение.
Существует множество разнообразных болезней и синдромов, которые приводят к тому, что корни легкого уплотнены. К основным причинам относятся:
- Хронические обструктивные заболевания легких (хронический обструктивный бронхит).
- Увеличение лимфатических узлов средостения (паратрахеальных, парабронхиальных) с развитием в них петрификатов (отложений солей кальция).
- Расширение и выпячивание стенки сосуда или аневризма сосуда.
- Изменение структуры бронха под действием опухолевого процесса.
- Отек легких (проникновение жидкости в паренхиму легкого).
- Нарастание соединительной ткани с развитием фиброза, что имеет место быть после затяжных воспалительных легочных заболеваний, травм легкого, оперативных вмешательств на органах грудной полости.
- Туберкулезное поражение бронхов (туберкулезный бронхоаденит), туберкулез внутригрудных лимфатических узлов, первичный туберкулезный комплекс. Последние две формы относятся к первичному туберкулезу, наиболее распространенному у детей дошкольного возраста.
- Профессиональные заболевания (асбестоз, металлокониоз).
Данная группа заболеваний является одной из наиболее частых причин, по которой корни легких уплотнены и расширены. Как правило, этот процесс двухсторонний, — затрагивает как левый, так и правый корни. Наиболее часто заболевание развивается у курильщиков с большим стажем и характеризуется чередованием периодов обострения с периодами ремиссии.
https://youtube.com/watch?v=tCtCcASWyzM
Основными клиническими проявлениями являются кашель, особенно сильно беспокоящий больного по утрам — с вязкой, иногда гнойной мокротой. При продолжительном течении заболевания развивается одышка, которая сначала отмечается при физических нагрузках, а после и в спокойствии.
Помимо проведения обзорной рентгенографии грудной полости, характеризующейся тем, что в легких корни уплотнены и тяжисты, выполняется также посев мокроты для определения возбудителя заболевания (вирусного или бактериального).
Этиотропная терапия, то есть лечение причины, зависит от возбудителя, вызвавшего обострение. Если причиной является бактерия, то эффективным будет прием антибиотиков, если вирус — прием противовирусных средств.
Симптоматическая терапия включает в себя прием муколитиков, препаратов, разжижающих мокроту, и отхаркивающих средств для более легкого ее отхождения. Также принимают препараты, расширяющие бронхи — агонисты адренергических рецепторов, кортикостероиды.
Опасной, но, к счастью, нечасто встречающейся причиной того, что корни легких уплотнены и расширены, является онкологический процесс в бронхах и органах средостения. Такой процесс, как правило, односторонний, поэтому изменение корня легкого наблюдается только с одной стороны.
Онкология подразумевает под собой продолжительный хронический процесс с постепенным ухудшением состояния больного.
Незначительный кашель, тяжелое дыхание сменяются болью за грудиной в месте проекции опухоли на грудную стенку (при сдавливании нервов), кровохарканьем, сильной одышкой.
После проведения обзорной рентгенографии грудной полости в двух проекциях врач-рентгенолог ставит заключение: «Корни легких уплотнены и малоструктурны».
Далее лечащий врач выдает направление на проведение биопсии подозрительного на рентгене образования, что позволит определить не только вид опухоли (доброкачественная или злокачественная), но и гистологическую ее структуру (из каких тканей она образовалась).
Терапия зависит как от стадии опухолевого процесса, так и от его вида. Основные терапевтические методы: хирургический, лучевой и химиотерапия. Одно лишь хирургическое вмешательство применяют при начальных стадиях развития опухоли, на более поздних стадиях его комбинируют с другими методами терапии.
Люди таких профессий, как шахтеры, сварщики металла, строители, то есть те, кто постоянно взаимодействует с вредными веществами окружающей среды, наиболее подвержены развитию профессиональных заболеваний.
Это приводит к тому, что на рентгенограмме корни в легких фиброзно уплотнены и тяжисты. Такая картина развивается из-за накопления в бронхах и альвеолах вредных частиц, которые оседают на дыхательных путях.
Как правило, поражение корня не изолировано, а сочетается с наличием очаговых теней и неоднородностью паренхимы легкого.
Симптомы данных заболеваний не специфичны; при постановке диагноза в первую очередь обращают внимание на профессиональный анамнез (место работы, стаж). А основным методом лечения является изменение квалификации и перемена места работы.
Ситуация, когда корни легких уплотнены, обычно возникает у детей при первичном туберкулезе легких. Это такие формы, как первичный туберкулезный комплекс и туберкулез внутригрудных лимфатических узлов. Однако данные формы могут возникнуть и у людей преклонного возраста при реинфекции старого очага.
Туберкулез — хроническое заболевание, поэтому симптомы развиваются длительно и постепенно. Характерными являются сухой кашель или с небольшим количеством мокроты, возможно, с примесью крови, боль за грудиной, усталость, вялость, похудение.
После выполнения рентгенографии в двух проекциях проводится посев и микроскопия мокроты на выявление микобактерии туберкулеза, томограмма легких для более точной локализации очага инфекции. После высеивания туберкулезной палочки определяется ее чувствительность к противотуберкулезным препаратам, что необходимо для выбора наиболее эффективного лечения.
Медикаментозная терапия основана на принципах непрерывности и долгосрочности (минимум 6 месяцев). Также необходимым является применение комбинации минимум из 4 противотуберкулезных препаратов. Только при соблюдении этих принципов лечение будет эффективным.
Как было отмечено выше, наиболее часто данный рентгенологический синдром встречается при хроническом бронхите курильщика и профессиональных заболеваниях легкого. Однако данный симптом может определяться и при острых воспалительных заболеваниях дыхательных путей, онкологических заболеваниях.
Данные тяжи представляют собой волокна соединительной ткани, которые тянутся от корня к периферии. Тяжистость обычно совмещается с расширением и уплотнением корня.
Не обладая высокой специфичностью, данный синдром позволяет врачу заподозрить определенную легочную патологию и направить пациента на дальнейшие обследования.
Нарушение структуры корня легкого, то есть невозможность отличить сосуд от бронха, появление затемнения на корне, обычно встречается при первичном туберкулезе, онкологических процессах.
На рентгенограмме при обширном туберкулезе или центральном раке легкого вместо корня может визуализироваться тень различных контуров, представляющая собой очаг (до 10 мм диаметром) или инфильтрат (более 10 мм).
Данный симптом может также сочетаться с уплотнением, что обычно бывает при отложении солей кальция или обызвествлении (петрификации). Обызвествление является признаком хронического, долго протекающего процесса.
Конечно, не стоит забывать, что рентгенография должна дополняться другими методами обследования: компьютерной томограммой, биопсией, посевом мокроты, бронхоскопией и так далее.
Дополнительные методы обследования выполняются по назначению врача в зависимости от пути его диагностического поиска. Необходимо помнить, что только комплексное обследование поможет поставить правильный диагноз.
Источник: https://FB.ru/article/396850/korni-legkih-uplotnenyi-chto-eto-oznachaet
Флюорография легких – это обследование органов грудной клетки при помощи рентгеновских лучей, которые проникают через ткань и переносят на пленку с помощью микроскопических флюоресцирующих частиц изображение легких. Выполняют это обследование лицам, возрастом старше 18 лет. Периодичность флюорографии – не более раза в год. Данное правило относится лишь к выполнению флюорографии здоровых легких, если не требуется дообследование.
Флюорография легких – это недостаточно информативное исследование, однако полученные при помощи нее данные помогают определить патологии в строении тканей легких и являются поводом для последующего более точного обследования.
Изменения на флюорограмме вызваны преимущественно изменениями плотности внутренних органов в грудной клетке.
Но в случае, если есть определенные отличия между плотностью структур, то врач может увидеть данные изменения.
Как правило, рентгенологические изменения вызываются появлением в легких соединительной ткани. С учетом локализации и формы, эти изменения могут описываться как:
- фиброз;
- склероз;
- лучистость;
- тяжистость;
- тени;
- рубцовые изменения;
- плевральные наслоения;
- спайки.
Все это можно заметить за счет повышенного содержания соединительной ткани.
Имея значительную прочность, соединительная ткань помогает защищать при гипертонической болезни сосуды или бронхи при астме от чрезмерных растяжений. В этом случае на снимке можно наблюдать утолщение сосудов или стенок бронхов.
На снимке характерный вид имеют полости в легких, тем более те, которые содержат жидкости. Также на снимке можно наблюдать круглые тени с уровнем жидкости, которая будет зависеть от расположения тела (каверна, киста, абсцесс). Очень часто жидкость определяется в синусах плевры и плевральной полости.
Явно выраженное отличие в плотности во время наличия в легких локальных уплотнений:
- эмфизематозные расширения;
- абсцесс;
- рак;
- киста;
- кальцинаты;
- инфильтраты.
Однако совершенно не все процессы патологии проходят с изменениями плотности органов.
К примеру, не всегда видно даже пневмонию, и лишь достигнув определенного этапа болезни, признаки будут заметны на снимке.
То есть, не всегда рентгенологические данные являются точным основанием для установления диагноза. Традиционно последнее слово остается за врачом, он, объединяя все данные, сможет правильно поставить диагноз.
При помощи флюорографии можно увидеть изменения в таких случаях:
- фиброз и склероз;
- поздние этапы воспаления;
- патологические полости (киста, абсцесс, каверна);
- опухоли;
- наличие в анатомических полостях воздуха или жидкости;
- посторонние предметы.
В первую очередь необходимо отметить, что если, получив печать о выполненной флюорографии, вас отпустили домой, то врач не выявил ничего подозрительного.
Так как, согласно приказу ВОЗ, сотрудник кабинета флюорографии обязан оповестить участкового терапевта или вас о необходимости дообследования.
При каких-то сомнениях, врач для уточнения диагноза направляет в туберкулезный диспансер либо на обзорную рентгенографию.
То, что называют корнями легких, в действительности является совокупностью структур, находящимися в воротах легких. Легочный корень формируют легочная вена и артерия, основной бронх, лимфатические узлы и сосуды, бронхиальные артерии.
Как правило, увеличение и уплотнение корней легких происходят одновременно. Обычно изолированное уплотнение указывает на хронический процесс, когда повышено количество соединительной ткани в корнях легких.
Корни бывают расширены и уплотнены за счет увеличения лимфоузлов, отека бронхов и крупных сосудов. Такие процессы могут проходить как одновременно, так и по отдельности и могут происходить при острых бронхитах и пневмониях.
Этот симптом описывают и при более серьезных заболеваниях, но в этом случае отмечаются другие типичные признаки. В данных ситуациях уплотнение корней легких преимущественно проходит за счет увеличения в размерах локальных групп лимфоузлов.
Причем даже на обзорном снимке (1:1) не все время можно отличить лимфоузлы от иных структур.
То есть, если в вашем заключении указано «корни уплотнены и расширены» и при этом вы почти здоровы, то, скорей всего, это говорит о воспалении легких, бронхите и т.д.
Но данный признак является очень частым у курильщиков, когда отмечается сильное уплотнение лимфоузлов и утолщение стенки бронхов, все время подвергающихся действию частиц дыма.
Причем курильщик не отмечает каких-то болезненных состояний.
Этот рентгенологический симптом может проявляться при хроническом или остром процессе в легких.
Как правило, тяжистость легочного рисунка или корней легких отмечается при хронических бронхитах, тем более во время бронхита у курильщика.
Данный признак также в совокупности с остальными может отмечаться при онкологических заболеваниях, бронхоэктатической болезни, при профессиональных заболеваниях легких.
Потому при наличии жалоб со стороны дыхательных органов нелишним будет обратиться к врачу. Факт того, что некоторые болезни позволяют нормально вести повседневный образ жизни, не обозначает, что это нужно игнорировать. Как правило, именно хронические болезни являются причиной пускай не скоропостижного, но довольно прогнозированного летального исхода.
На снимке признаки фиброзной ткани и фиброза говорят о перенесенной болезни легких. Зачастую это может быть инфекционный острый процесс (туберкулез, пневмония), хирургическое вмешательство, проникающая травма.
Фиброзная ткань – это вид соединительной ткани, который служит в организме замещением свободного пространства. То есть, фиброз в легких больше является положительным моментом, хоть и указывает на утраченный участок ткани легких.
Очаги или очаговые тени – это один из видов затемнений легочного поля. Очаги являются очень частым симптомом. По сочетанию очагов с остальными рентгенологическими признаками, их локализации, свойствам можно с определенной точностью поставить диагноз. В некоторых случаях лишь флюорография сможет дать точный ответ в пользу определенного заболевания.
Очагами называют тени диаметром до одного сантиметра. Как правило, месторасположение этих теней нижнего и среднего отдела легких указывает на наличие очаговой пневмонии.
Если эти тени выявлены и в заключении указано «неровные края», «соединение теней» и «увеличение легочного рисунка» – это явный признак активного процесса воспаления.
Когда же очаги более ровные и плотные – проходит затихание воспаления.
Говоря о спайках, имеется в виду состояние оболочки легких – плевры. Спайки – это соединительнотканные структуры, которые появляются после воспаления. Чаще всего, наличие спаек не нуждается ни в каком лечении или вмешательстве. Болевые ощущения при спаечном процессе наблюдаются только в определенных случаях, в этой ситуации, безусловно, нужно обратиться к врачу.
Плевральные наслоения – это утолщения плевры на верхушках легких, что указывает о перенесенном процессе воспаления в плевре (как правило, туберкулеза). И когда врача ничего не насторожило, то нет причин для беспокойства.
Плевральные синусы – это полости, которые создаются складками плевры. Чаще всего в полном описании флюорографии, указывается и состояние синусов. В нормальном состоянии они свободны.
При определенных состояниях наблюдается выпот (концентрация в синусах жидкости), его наличие требует обязательного внимания. Когда же указано в описании, что синус запаян, то речь идет о плевральном наслоении, про которое мы говорили выше.
Как правило, запаянный синус является следствием травмы, перенесенного плеврита и т.д. При отсутствии иных признаков, это состояние неопасно.
Также часто встречающейся патологией при расшифровке флюорографии является аномалия диафрагмы (уплощение купола диафрагмы, высокое расположение купола, релаксация купола и т.п.).
Причин для появления этого изменения много.
Сюда относятся ожирение, генетическая особенность строения диафрагмы, плеврит, деформация плевро-диафрагмальными спайками диафрагмы, заболевания пищевода и желудка, болезни кишечника, печени и иных органов брюшной полости.
Интерпретация такого признака проводится лишь в совокупности с остальными изменениями на флюорограмме и с данными остальных способов клинического обследования пациента. Невозможно установить диагноз лишь на основании изменений со стороны диафрагмы, определенных при флюорографии.
Средостением называется пространство между легкими. Органами средостения являются аорта, сердце, пищевод, трахея, лимфатические сосуды и узлы, вилочковая железа. Увеличение тени средостения чаще всего происходит из-за расширения сердца. Это увеличение бывает, как правило, односторонним, что определяется расширением правых или левых отделов сердца.
Нужно понимать, что по снимкам флюорографии, никогда не нужно оценивать серьезно состояние сердца. В норме положение сердца может сильно колебаться, с учетом телосложения человека. Потому то, что кажется на флюорографии смещением сердца вправо, может являться нормой для полного и высокого человека.
При наличии гипертонии, в описании флюорограммы чаще всего указывают «смещение сердца влево», «смещение средостения влево» либо просто «смещение».
Очень редко отмечается равномерное увеличение средостения, это говорит о возможной сердечной недостаточности, наличии миокардита, или иных заболеваний.
Но нужно сказать, что для кардиологов не имеют значительного диагностического значения данные заключения.
На флюорограмме смещение средостения отмечается при увеличении давления с одной стороны.
Это состояние нуждается максимально быстрой корректировке, поскольку сердце довольно чувствительно к грубым смещениям, то есть в этой ситуации требуется срочное обращение к врачу.
Невзирая на довольно большую погрешность флюорографии, эффективность данного способа в диагностике рака легких и туберкулеза нельзя не признать.
И как бы многих ни раздражали иногда необъяснимые требования выполнения флюорографии в институте, на работе или где-то еще, отказываться от этого не нужно.
Зачастую лишь благодаря флюорографии, удается определить развитие туберкулеза, тем более что флюорография выполняется бесплатно.
https://youtube.com/watch?v=3WIGWb-PPE8
В таких сегодняшних эпидемиологических неблагоприятных условиях все люди находятся в группе риска, но, в первую очередь, это люди с хроническими болезнями легких, иммунодефицитами, курильщики, а также, к сожалению, дети.
Помимо этого, занимая лидирующие позиции в мире по табакокурению, многие очень редко соотносят данный факт с туберкулезом, и очень зря.
Курение, безусловно, вносит определенный вклад в развитие и поддержку эпидемии туберкулеза, в первую очередь, ослабляя в организме дыхательную систему.
Подводя итоги, нужно еще раз сказать, что ежегодная флюорография сможет защитить вас от смертельно-опасных заболеваний. Поскольку своевременно выявленный рак легких или туберкулез – в некоторых случаях дает единственный шанс выжить при этих заболеваниях.
Источник: lechim-gorlo.ru
Источник: https://naturalpeople.ru/uplotnenie-kornej-legkih-prichiny/
Уплотнения в легких выявляют при помощи использования современных методов диагностики, таких как рентгенография, магнитно-резонансная томография.
Причиной их появления являются заболевания дыхательных путей, которые могут иметь различную природу появления:
- Бактериальную.
- Вирусную.
- Хламидийную.
- Микозную.
Еще причиной недугов могут являться стафилококки, палочкой Пфейфера (гемофильная) или Коха (туберкулез). В результате их воздействия на определенной стадии развития заболеваний в легких появляются уплотнения.
Также не стоит забывать о таком серьезном биче нашего столетия, как онкологические изменения тканей. Кроме перечисленного, на структурную целостность легких может влиять заражение сифилисом, получение легочного инфаркта или защемление тканей.
Поэтому важно не только своевременно (раз в год) проходить обследование, но еще и делать это у опытного специалиста, который сможет дифференцировать все эти заболевания на ранней стадии.
Они лишь говорят о том, что у человека с определенной вероятностью, может присутствовать недуг. Подтверждение получают при помощи других видов медицинского обследования: сравнения анализа крови с эталоном, выявление определенных маркеров или тел, пункции.
На снимке или другом виде изображения врач видит черно-белую картинку – человеческие легкие. Для неподготовленного человека это ни о чем не скажет, специалист же сможет выявить многие недуги, даже начинающийся бронхит.
Уплотнения выделяются изменением окраса тканей в определенном месте. Исходя из интенсивности цвета, размера, месторасположения и других данных ставят предварительный диагноз.
Именно поэтому обычно рентгенолог не пишет, что присутствует подозрение на воспаление легких, туберкулез. Окончательный диагноз здесь даст исследование мокроты, а не картинка.
Фактически, уплотнение в легких – это определенный участок тканей, в котором произошли деструктивные изменения. Сама ткань этого органа имеет легкую структуру, в которой происходит циркуляция воздуха, когда человек дышит. Появление повышенной плотности говорит о том, что в легких начала скапливаться жидкость или происходит другое их негативное изменение.
Врач, проводя прием пациента, имеющего уплотнения в легких, составляет подробную клиническую картину развития недуга и проводит тщательный осмотр. Последний включает в себя не только визуальное исследование горла и ротовой полости, но и пальпацию тканей, прослушивание фонендоскопом. Чаще всего причиной негативного изменения являются вирусы и бактерии, реже – грибковые поражения.
Сейчас участились случаи выявления туберкулеза и злокачественных новообразований. Причинами такого явления в обществе можно считать как негативное воздействие на окружающую среду, так и частое нежелание людей вовремя посещать врача, проходить ежегодное обследование.
Некоторые люди отказываются от помощи не из-за финансовой несостоятельности, а потому, что у них попросту отсутствует свободное время. Диагноз «туберкулез» не имеет социальных границ.
Обычно при уплотнениях в легких наблюдаются такие дополнительные симптомы, как
- кашель,
- повышение температуры.
Если речь идет о туберкулезе, необходимо добавить:
- повышение потливости,
- одышку,
- быструю утомляемость.
Онкологическая природа недуга может проявляться болевым синдромом. Использование фонендоскопа позволяет определить пневмонию, бронхит, туберкулез.
Важно: рентгенография может быть ошибочна, МРТ имеет до 95% точности. Только более глубокие исследования крови, тканей и мокроты дают 100% верный результат.
Одним из наиболее распространенных заблуждений является то, что врач может поставить диагноз на основе рентгеновского снимка, МРТ, прослушивания легких. Л
юбое заболевание дыхательных путей требует комплексного исследования: сдачи определенных анализов пациентом и применения инструментальных способов.
Даже если на снимке четко выражено наличие очаговой пневмонии, это же подтверждается при прослушивании фонендоскопом, а воспалительный процесс – анализом крови, необходимо еще сдать мокроту.
Наиболее яркий пример касается воспаления легких. Чаще всего данный недуг является осложнением после гриппа, но может иметь самостоятельное развитие. Обычно причиной его появления становятся вирусы и бактерии. К сожалению, выявлением только их нельзя ограничиваться.
У людей со сниженным иммунитетом, имеющих ВИЧ-позитивный статус, причиной пневмонии часто являются грибковые поражения. Прием распространенных и хорошо зарекомендовавших себя антибиотиков не даст результата в этом случае. Вернее, такое лечение может привести к тому, что пневмония перейдет в стадию хронического заболевания.
Так как уплотнения в легких являются видимым проявлением скопления жидкости, можно подумать, что они могут появиться только из-за усиленного выделения слизи. Но это не так. Есть и другая субстанция, дающая такой же эффект – кровь. Вызывать такой негативный эффект могут некоторые системные заболевания. Также причиной может стать получение травм различной этиологии.
Есть и другие причины, почему появляется скопление крови в легочной ткани, одна из наиболее неприятных – паразитарное воздействие.
Науке известно более сотни разновидностей гельминтов, которые могут проживать в человеческом теле и поражать органы дыхания. Даже аскариды, местом размножения которых является просвет кишечника, в определенных ситуациях могут мигрировать через дыхательную систему.
Поэтому при выявлении уплотнений в легких ни в коем случае нельзя заниматься самолечением, а обязательно нужно пройти полное обследование. Это поможет определить точную причину развития недуга и назначить правильное лечение.
Загрузка…
Источник: https://prof-medstail.ru/bolezni-legkih/simptomy-i-lechenie/pochemu-poyavlyayutsya-i-chto-oznachayut-uplotneniya-v-legkih
Корни легких расширены – фраза, которую часто можно наблюдать на заключении рентгенолога. Она свидетельствует о ряде патологических заболеваний, которые развиваются не только в легких, но и в сердечно-сосудистой системе, а иногда – и в более отдаленных от бронхолегочной системы органах.
Термином “корни легких” называют область ворот или же входа/выхода легких. Корни – это по аналогии с деревом, которым на рентгенограмме выглядит бронхиальная структура (бронхиальное дерево). Но с анатомической точки зрения к корням легких отнесли главный бронх, а также легочную артерию и легочные вены (верхнюю и нижнюю).
В структуру корней включены также лимфатические сосуды и узлы вместе с нервами легочного сплетения.
Справочно. Следует отметить, что не все элементы корней (внелегочные) видны на рентгенограмме. Отсюда несоответствие понятия анатомического “корня легкого” рентгенологическому.
Легкое – это паренхиматозный орган, который состоит из альвеолярной ткани, воздухоносных путей, а также кровеносных и лимфатических сосудов. Все эти структуры отвечают за адекватное обеспечение функции внешнего дыхания.
Корень легкого – это анатомическое образование, включающее главный бронх, легочную артерию и вену, а также долевые сосуды и бронхи, которые от них отходят. Эти структуры окружены клетчаткой, в которой залегают лимфатические узлы и лимфатические сосуды. Изменение любого из этих анатомических образований следует рассматривать как патологический процесс в корне легкого.
Справочно. Корни легких расширены – это морфологический признак, который обнаруживается чаще всего на рентгенограмме и флюорограмме, реже – на компьютерной или магнитно-резонансной томографии.
Он не является конкретным диагнозом, не имеет определенных симптомов и способов лечения. Корни легких могут быть расширены по многим причинам, которые после установления данного факта следует уточнять.
После проявления пленки врач пишет заключение: корни легких расширены или изменены. Далее пациент идет к терапевту, который проводит дополнительное обследование в поисках причины выявленных изменений.
Справочно. Таким образом, увеличенные корни легких – это симптом, который является проявлением патологии сердечно-сосудистой или бронхолегочной системы.
Рентгенография показывает тени органов грудной клетки и их расположение друг относительно друга. Более плотные органы создают большую тень, воздушные – меньшую.
Поскольку рентгеновская пленка является негативом действительного снимка, затемнением называют светлые структуры, дающие большую тень, просветлением – темные воздушные структуры.
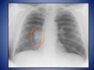
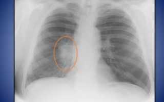
Корень легкого выглядит как затемнение на фоне легочной ткани. Его можно обнаружить на границе легких и средостения на уровне I-IV ребра.
На рентгене большую часть тени корня создают артерии, поскольку они имеют большую плотность по сравнению с другими элементами. Бронхи содержат воздух, потому их различают по полоскам просветления на фоне сосудистого рисунка.
В заключении врачи-рентгенологи обычно пишут: “Корни легких структурны” или “Корни легких не структурны”.
Справочно. Эта фраза имеет важное диагностическое значение, поскольку каждый элемент в структуре корней имеет свою функцию и изменяется под действием определенных причин.
Каждый корень легкого имеет головку, тело и хвост. “Головкой” называют ту его часть, которая идет к верхней доле. В нее входит верхнедолевая легочная артерия, одноименная вена и бронх. “Хвостом” называют соответствующие нижнедолевые образования. “Телом” называется место соединения головки с хвостом и их переход в основание корня.
Все элементы этой структуры должны плавно переходить один в другой. Если они не различимы между собой, можно говорить о патологии корней легких.
Справочно. Бронхи видны как полоски просветления. Они практически не видны на фоне легочной ткани, но главные и долевые бронхи выделяются среди артерий и вен корня. Вены на рентгене отличить от артерий нельзя.
Структурный корень должен иметь головку, тело и хвост, а также четко отличимые главные и долевые бронхи и сосуды. Если эти компоненты не видны или их невозможно различить между собой, говорят о бесструктурном корне.
Корни легких – это система, включающая ряд элементов. По состоянию элементов можно сделать выводы о состоянии всей системы. К значимым характеристикам относятся следующие.
В норме ширина корня легкого соответствует ширине его артериального компонента и в области тела корня равняется 15 мм. Как правило, корни легкого расширяются с обеих сторон, но правый измерить легче, чем левый. Из-за того, что структуры левого легкого на рентгеновском снимке частично прикрыты тенью сердца, левосторонняя патология обнаруживается позднее.
Часто корни легких расширены вследствие увеличения их сосудистого компонента. Это наблюдается при левожелудочковой сердечной недостаточности, когда повышается давление в легочных венах из-за застоя в них крови. В легочной артерии давление может повышаться при заболеваниях легких, например, эмфиземе или ателектазе.
К расширению корня также приводят заболевания бронхиального дерева.
Справочно. Прежде всего, воздухоносный компонент корня расширяется при перибронхитах. При этом инфильтраты вокруг бронхов делают их тень шире, чем она должна быть в норме.
Опасным признаком является полициклически расширенный корень. Как правило, такая патология наблюдается с одной стороны. Полицикличность корню придают лимфатические узлы, которые располагаются по ходу крупных сосудов и бронхов.
Увеличение лимфатических узлов наблюдается чаще всего во время активного туберкулеза, но бывают и более редкие причины: саркоидоз и метастазы злокачественной опухоли.
Внимание. При этом, стоит помнить, что у молодых людей более вероятно наличие туберкулеза, а у пожилых – опухолевого процесса.
Как правило, уплотнение корней легких наблюдается совместно с их расширением и может быть обусловлено теми же причинами.
Справочно. Уплотнением называют более выраженную, чем в норме, интенсивность тени. В редких случаях корни легких уплотнены при нормальном диаметре их тени.
Изолированное уплотнение свидетельствует о хроническом процессе. Чаще всего эта патология встречается при хронических воспалениях бронхиального дерева, когда часть их стенки замещается соединительной тканью. При этом расширения тени не будет, но она станет более интенсивной.
Тяжистость корней легких на рентгенограмме выглядит как усиление одного из компонентов корня, его выделение на фоне других в виде тяжа. Как правило, этот признак говорит о хронической патологии.
Справочно. Встречается при длительно существующих заболеваниях сосудистого русла, когда стенки артерий или вен значительно уплотняются.
Тяжистость бронхиального дерева свидетельствует о хронических заболеваниях легких, чаще всего, обструктивном бронхите и бронхиальной астме.
Как правило, тяжистость корней легких является двусторонним признаком и развивается с обеих сторон одновременно.
Фиброзом называют разрастание соединительной ткани в пределах паренхиматозных или полых органов. Фиброз корня наблюдается в том случае, если волокна соединительной ткани стягивают структуры корня, деформируют их.
Справочно. Как правило, фиброз развивается в легочной паренхиме, а затем распространяется на корни.
Причинами этой патологии могут стать длительно существующие пневмонии, ателектазы, хронические заболевания бронхов, хронические формы туберкулеза.
Усиленный легочный рисунок – это различимость сосудистой сети легких на расстоянии более 15 мм от корня легких. У здорового человека, сосуды легких делятся дихотомически, уменьшаясь в диаметре от корня к периферии.
На расстоянии 10-15 мм они становятся настолько тонкими, что на рентгенограмме уже не видны. Различить их можно в том случае, если возникает артериальный или венозный застой в сосудах малого круга. Например, к такой патологии может привести сердечная недостаточность.
Выраженное воспалительное заболевание бронхиального дерева также приводит к усилению легочного рисунка. Но в этом случае не из-за сосудистого, а из-за бронхиального компонента.
Справочно. Причиной усиления бронхиального компонента легочного рисунка могут стать острые и хронические бронхиты.
Изменения корней легких свидетельствуют о том, что патология дыхательной или сердечно-сосудистой системы достигла стадии декомпенсации. Это касается хронических воспалительных заболеваний легких и хронической сердечной недостаточности.
https://youtube.com/watch?v=MCvf-qaVIXc
Кроме того, изменения корней в сочетании с характерными очагами в легочной паренхиме позволяют диагностировать туберкулез.
Иногда полициклически измененные корни являются первым проявлением метастазов онкологических заболеваний.
Внимание. Опухоли часто очень быстро начинают метастазировать в легкие и лимфатические узлы корня, потому такая находка становится первым этапом диагностики рака.
Обнаружение измененных корней легких должно насторожить лечащего врача и пациента. Важно вовремя найти причину этих изменений.
Кроме того, следствием изменения корней легких может стать дыхательная недостаточность. Дело в том, что корни отображают самые крупные сосуды и бронхи легких. Если патологический процесс затрагивает эти структуры, механизм дыхания значительно изменяется.
Профилактика изменений корней легких заключается в ранней диагностике тех заболеваний, которые могут привести к такому исходу.
Внимание. В этом плане неоценимую помощь врачам оказывает ежегодное флюорографическое обследование населения. На флюорограмме видны все изменения легких, а иногда – и признаки сердечной патологии.
Лечить расширенные корни легких невозможно. Это симптом, который требует лечения той патологии, которая привела к его развитию. При успешной терапии основного заболевания, корни легких приобретают нормальную форму.
Источник: https://mypulmonolog.ru/korni-legkix-rasshireny/
Одна из наиболее часто диагностируемых патологий, связанных с нарушением работы органов дыхания, — уплотненные корни легких.
Как правило, отправляясь на рентген грудной полости, люди даже не подозревают о том, что у них есть данная проблема.
Несмотря на то что серьезной угрозы для здоровья и жизни она не представляет, тем не менее, чтобы избежать различных осложнений, необходимо своевременное лечение.
Если ничего не предпринимать, у больного может развиться бронхит, пневмония и многие другие серьезные заболевания. Никто не застрахован от таких нежелательных недугов. Во время проведения осмотра врач может озвучить неприятную новость, когда корень легкого уплотнен. Что значит это для пациента, поговорим более подробно. Предоставим сведения и о видах заболевания.
Предположим, в своей медицинской карте вы прочитали, что у вас корни легких фиброзно уплотнены. Что это значит и насколько страшен подобный диагноз? Корень легкого — это анатомически сложный комплекс структур, который объединяет органы средостения и отвечает за их синхронную работу.
Они состоят из легочной аорты, кровеносных сосудов, двух трахей, лимфатических сосудов, нервов, гиподермы и серозной оболочки. Все эти структуры имеют строгий порядок, однако во время рентгена он не заметен, поскольку закрыт другими внутренними органами.
В медицинской практике под корнями легких принято подразумевать не всю систему, а только крупные кровеносные сосуды и бронхиальное дерево.
Для того чтобы разглядеть на рентгеновском снимке, что корни легких уплотнены (что это значит было рассмотрено выше), необходимо иметь представление об их особенностях.
В каждом из легких, как в левом, так и в правом, есть свой корень, который состоит из следующих частей:
Последняя часть также включает в себя сеть разветвляющихся капилляров. Во время рентгена медики обращают внимание на ширину корней. Если у пациента нет никаких патологий, то она должна находиться в пределах от полутора до двух сантиметров.
Если будут обнаружены какие-либо отклонения от нормы, то это говорит о том, что у человека уплотненные корни легких.
Как уже упоминалось ранее, у каждого корня есть своя структура, которая локализуется у входа к легким. При этом их расположение немного отличается.
Совокупность структур, находящихся справа (в области второго ребра) по своей форме напоминает искривленную дугу, которая постепенно расширяется по направлению снизу вверх.
У левого легкого данная система находится на уровне первого ребра, т. е. немного выше своего собрата.
Чтобы понять, что корни легких деформированы, уплотнены или что в них происходят какие-либо другие изменения, нужно разобраться в их структурных отличиях. Левосторонний орган частично прикрыт сердцем, из-за чего на рентгеновском снимке видна только небольшая часть его корня.
Поэтому даже профильным специалистам очень сложно выявить отклонения от нормы и поставить точный диагноз. Помимо этого, для левого легкого характерна неоднородность структуры, в противоположность правому.
Корень второго представляет собой мелкую сосудистую сеть, переплетающуюся с бронхом.
Такая патология, как уплотненные корни легких, может развиваться по многим причинам, но наиболее распространенными являются следующие:
- различные обструктивные заболевания органов дыхания, протекающие в хронической форме;
- увеличение паратрахеальных и парабронхиальных лимфоузлов, вызванное отложением солей и кальция;
- аневризма различной этиологии;
- злокачественные опухоли;
- скопление жидкости в легких;
- разрастание соединительной ткани, вызванное пневмонией, полученными травмами, а также перенесенными операциями;
- различные виды туберкулезного поражения корней легкого;
- заболевания, полученные в результате работы на вредном производстве;
- обструктивная болезнь, протекающая в хронической стадии.
Если у человека уплотнены корни дыхательных органов, то выявить патологию можно по целому ряду клинических проявлений. Чаще всего она сопровождается сильным кашлем с гнойной мокротой, обостряющимся по утрам. Помимо этого, больного беспокоит одышка, которая наблюдается не только при физической активности, но и в состоянии покоя. Возникает состояние дефицита воздуха.
Если доктор предполагает уплотнение корней, то у пациента также берется анализ мокроты на наличие в ней различных бактерий и вирусов. Это необходимо для того, чтобы подобрать наиболее эффективную терапию.
Если причина патологии заключается в возбудителях, то больному назначается медикаментозное лечение с приемом антибиотиков или противовирусных препаратов совместно с отхаркивающими средствами, способствующими разжижению и выведению мокроты из бронхов.
В зависимости от клинической картины больного врачи могут назначать и другие медикаменты.
Одной из наиболее опасных для здоровья причин, стоящих за тем, что корни легких фиброзно уплотнены, являются онкологические заболевания. К счастью, подобные варианты встречаются крайне редко. В большинстве случаев с подобными заболеваниями, рак поражает только одно легкое, поэтому даже при полном удалении органа дыхания человек сможет жить.
По мере прогрессирования недуга, состояние больного постепенно ухудшается. Первым симптомом онкологического поражения легкого является затрудненное дыхание и незначительный кашель, который периодически может сопровождаться болью в области грудной клетки.
На более поздних стадиях рака начинает выходить мокрота с примесью крови, а также проявляется сильная одышка. При этом нарушение функционирования органов дыхания оказывает негативное влияние на весь организм в целом.
Больной испытывает постоянное недомогание, начинает быстро терять вес и сильно уставать даже при небольших физических нагрузках.
Если рентген покажет, что у пациента уплотненные корни легких, то для определения точного диагноза у него берут мягкие ткани органов дыхания на более глубокий анализ.
Это позволяет не только подтвердить наличие злокачественной опухоли, но и определить ее вид, что жизненно важно для проведения лечения.
При этом независимо от стадии рака программа терапии всегда включает одни и те же методы: хирургическое вмешательство, а также радио- и химиотерапия.
Чаще всего патологии различной этиологии органов дыхания, вызванные микобактериями, диагностируют у детей, однако заболеванию туберкулезом подвержены представители абсолютно всех возрастных категорий при повторном инфицировании. Состояние больного ухудшается постепенно, поэтому симптомы проявляются очень длительно, что является опасным, поскольку носитель будет заражать окружающих людей.
Среди основных клинических проявлений можно выделить сухой кашель, болевые ощущения в области грудной клетки, чрезмерная потеря массы тела и постоянная усталость. В некоторых случаях выходит небольшое количество мокроты красноватого цвета, из-за примеси в ней крови. По мере протекания заболевания, самочувствие больного постепенно ухудшается.
При туберкулезе обязательной процедурой является бакпосев. Он позволяет не только с высокой точностью поставить диагноз, но и определить тип возбудителя, а также подобрать подходящие лекарственные препараты.
При этом для достижения максимальной эффективности в процессе терапии одновременно используют 4 различных противовирусных препарата.
Подобный синдром является очень распространенным и встречается, как правило, у людей, употребляющих табачные изделия или работающих на вредном производстве.
Однако в некоторых случаях, эта патология вызвана не привычками и условиями труда, а воспалительными процессами, протекающими в дыхательных путях в острой форме, а также злокачественными опухолями. При этом под тяжами подразумеваются уплотненные волокна фиброзной ткани корней легких.
Стоит отметить, что данный синдром сам по себе не представляет никакой угрозы для здоровья, но он может свидетельствовать о наличии каких-либо заболеваний, поэтому врачи, выявив его, отправляют пациентов для прохождения дальнейшего обследования.
Опасно ли это для здоровья? Очень часто от докторов можно услышать, что корни легких малоструктурны, уплотнены, но что это значит? За этим термином скрывается то, что в тканях легочной системы произошли деструктивные нарушения, в результате чего на рентгеновском снимке отличить ее от бронхов становится невозможным. В большинстве случаев подобная патология является следствием туберкулезного поражения или раковой опухоли. При этом малоструктурность нередко сопровождается уплотнением корня, вызванным солевыми отложениями.
Поделиться:











