Рентген легких при пневмонии является не только методом выявления заболевания, но и способом контроля динамики его течения при терапии. Существует несколько форм воспалительных изменений легких в зависимости от области распространения патологического процесса, рентгеносемиотика которых отличается.
Рентген-снимки при крупозной пневмонии характеризуются следующими синдромами:
- Обширное (тотальное) снижение прозрачности легочной ткани.
- Субтотальное затемнение – при локализации воспаления в пределах одной или двух долей легких.
- Ограниченное затемнение – инфильтративные изменения легочной ткани, не выходящие за пределы сегмента.
Вышеописанные признаки наблюдаются не только при крупозной пневмонии. Они прослеживаются также при: ателектазе, раке легких, плевритах, туберкулезных пневмонитах, инфаркте легкого.
Рентген пневмонии должен базироваться на дополнительных признаках постадийного течения воспалительных изменений в легочной ткани для достоверной установки диагноза.
Стадия прилива – начальный этап формирования крупозного воспаления легких. При ней на снимках наблюдаются следующие рентгенологические синдромы:
- Обогащение и усиление легочного рисунка.
- Сниженная или обычная прозрачность легочных полей.
- Расширение корня легкого на стороне поражения.
Изменение легочного рисунка возникает из-за повышения кровоснабжения на фоне снижения функциональной емкости легочной ткани. Снимок органов грудной клетки в такой ситуации выглядит как решетка. Правда, подобные изменения наблюдаются только в месте локализации воспалительного очага.
При повышении воздушности легочные поля на рентгенограмме становятся прозрачными. Морфологические срезы ткани на стадии прилива свидетельствуют о том, что альвеолы становятся красными из-за кровотечений, но рентгенологически данный признак зафиксировать невозможно.
Корень легкого становится расширенным, а его структурность снижается, что обусловлено сосудистой гипертензией.
Рентгенография органов грудной клетки в стадии серого опеченения способна зафиксировать следующие рентгеновские признаки пневмонии:
- Снижение прозрачности легочных полей в области воспалительного поражения.
- Появление интенсивных теней, соответствующих размерам поврежденной ткани.
- На фоне массивного затемнения полоски просветления – визуализация трахеи и бронхов, которые не поражены воспалением.
- Расширение корня на стороне патологии.
- Уплотнение плевральных листков в области воспаления.
- Выпот в плевральной щели при присоединении плеврита.
Диагностировать плеврит лучше при выполнении латерографии (экспозиция в положении пациента на больной стороне). При этом свободная жидкость будет растекаться вдоль реберной дуги, формируя горизонтальную полосу затемнения. Морфологические фото в стадии серого опеченения показывают скопление фибрина в полости альвеол.
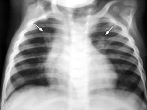
рентгенограмма левосторонней прикорневой пневмонии. Стрелками обозначена деформация легочного рисунка и отсутствие структуры корня (а). Через 2 месяца после пневмонии на фоне воспаления образовались фиброзные тяжи — карнификация (б)
На рентгенограмме при пневмонии в стадии разрешения наблюдаются следующие признаки:
- Снижение интенсивности затемнения.
- Уменьшение размеров тени.
- Расширение корня.
- Обогащение легочного рисунка (множество мелких элементов на единицу площади) в месте существовавшего очага воспаления.
Расширенный корень легкого в стадии разрешения пневмонии может наблюдаться еще несколько месяцев подряд, пока анатомические структуры не восстановятся.
https://youtube.com/watch?v=MCvf-qaVIXc
После излечивания плеврита на месте воспалительных очагов могут оставаться линейные тени фибринозных наслоений или рубцовые спайки, затрудняющие процесс дыхания.
Данные изменения и отражают морфологические фото легких в стадии разрешения пневмонии – в альвеолах нет инфильтрата, но фиброзные наложения могут оставаться.
Осложнения пневмонии – абсцессы, экссудативные и фибринозные плевриты, перисциссурит также имеют свои рентгенологические проявления на снимках легких.
Скиалогическая картина абсцесса на рентгенограмме:
- полость просветления;
- нечеткий округлый контур с перифокальными воспалительными очагами;
- уровень затемнения в проекции распада за счет инфильтрата;
- исчезновение горизонтального уровня при дренировании абсцесса.
При абсцедирующей пневмонии может наблюдаться несколько полостей распада легочной ткани, которые сливаются между собой.
Экссудативный плеврит на снимках проявляется следующими признаками:
- затемнение нижнего легочного поля за счет инфильтративной жидкости;
- верхняя косая граница Соколова-Дамуазо-Эллиса;
- смещение средостения в противоположную сторону.
Воспаление междолевой плевры (перисциссурит) врач-рентгенолог определяет по следующим рентгенологическим синдромам:
- четкость контура междолевой щели;
- выраженность просветов субсегментарных бронхов при инфильтрации легких;
- расширение корня на стороне поражения.
В статье рассмотрен классический пример рентгенодиагностики пневмоний на фоне крупозного воспаления. Существуют другие формы заболевания (очаговая, сегментарная, долевая), при которых приведенные рентгеновские синдромы выражены лишь частично.
Рентген является современным способом диагностики многих заболеваний дыхательной системы. Без него часто не обойтись при постановки диагноза пневмонии у детей.
Современная медицинская клиника использует рентген для уточнения вида и стадии воспаления легких и позволяет назначить более точное и эффективное лечение.
В ряде случаев без рентгена можно и обойтись. Так, при нетяжелой внебольничной пневмонии не всегда целесообразно проводить рентген-подтверждение пневмонии. В таких ситуациях важно сразу назначить антибактериальную терапию.
В современной медицине используют следующие виды рентгена для диагностики не только воспаления легких, но и других заболеваний:
- Томография – это исследование органа с помощью послойной рентгенографии. Для этого используют классический или спиральный компьютерный томограф.
- Рентгеноскопия – осмотр осуществляется при помощи специального рентгеновского экрана. Это позволяет рассмотреть анатомические характеристики органа и дать комплексную оценку функциональному состоянию.
- Флюорография – исследование органов грудной клетки с помощью получения уменьшенных в масштабе снимков. Количество лучей, которые проходят через организм пациента также уменьшено.
Чаще всего в современной клинической медицине назначают рентгенографию как оптимальный вариант для диагностики различных заболеваний.
Принцип работы данного устройства достаточно прост – лучевая трубка аппарата пускает пучок рентгеновских лучей, который проходит через тело пациента и проецирует изображение на специальной пленке.
Процесс напоминает метод получения фотографии, но благодаря тому, что органы человека по-разному пропускают лучи, в результате получаются снимки с различной негативной окраской.
Мягкие ткани отображаются серыми, полости имеют черный окрас, а кости на снимке получаются белыми (из-за поглощения излучения).
Различают 2 типа рентгенографии:
- обзорная (рассматриваются легкие в целом);
- прицельная (исследуют отдельный фрагмент органа).
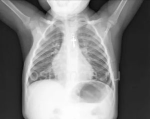
Диагностика пневмонии у детей с помощью рентгена вызывает ряд некоторых трудностей. Связано это с небольшим объемом легочной ткани и большим количеством структурных элементов на маленькую площадь, которая подлежит исследованию. Из-за этого появляется сложность в правильной оценке легочного рисунка, а также диагностирования состояния легочных корней и лимфоузлов.
Самым распространенным признаком пневмонии у детей, которые проявляются на снимках, являются очаговые тени в нижних сегментах легких диаметром 1-2 мм.
Затемнения на снимках могут быть разными и их подразделяют так:
- 3 мм – маленькие;
- 4-7 мм – средние;
- 8-12 мм – крупные;
- 12 и больше мм – фокусные.
Поражения легких бывают таких форм:
При рентгенографическом исследовании каждый вид пневмонии выглядит по разному и таким образом заболевание можно диагностировать. Рассмотрим различные виды пневмоний, их изображения на снимках и пояснения.
Очаговая (или очагово-сливная) форма пневмонии – очаги инфильтрации имеют диаметр 0,5-1 см и локализуются в одном или нескольких сегментах легкого. Иногда поражения могут располагаться билатерально.
Легочная ткань воспаляется катарально, при этом в просвете образуются альвеолы серозного экссудата.
Если очаговая форма переходит в очагово-сливную, отдельные участки инфильтрации объединяются в один большой очаг, который нередко может занимать целую долю.
На снимке видны отдельные небольшие очаги поражения (1-1,5 см), расположенные в одном из легких (при билатеральной форме – в обоих). Заметным в данном случае будет расширение корней легких из-за наполнения жидким экссудатом.
Сегментарная пневмония – воспаляется целый сегмент легкого. Данная форма пневмонии может осложниться ателектазом (спадением части легкого с полной потерей его воздушности.
Сегментарная форма воспаления может быть проявлением длительной затяжной пневмонии, переходящей в легочный фиброз или осложненной локальным хроническим бронхитом.
На рентген-снимках виден целый сегмент, пораженный воспалением.
На снимках видно, что воспалительный процесс локализуется лобарно или сублобарно (то есть поражается доля легкого) с вовлечением плевры. Легочный рисунок при этом изменяется, а легочные корни расширяются. Видны застои жидкости в плевральной полости. С течением болезни тени на снимках становятся темнее.
При абсцедирующей пневмонии на снимке отчетливо видно тотальное затемнение области инфильтрации и уплотнение плевры; наблюдаются полости до 2 см, в которых скапливается гнойная жидкость.
Интерстициальная пневмония – поражения очагового или диффузного характера, протекают с инфильтрацией интерстициальной ткани. У детей данная форма пневмонии вызвана вирусами или пневмоцистами.
На снимке наблюдается увеличение сосудистого пучка и увеличение корней легких. Заметным становится интенсивный силуэт «ветки дерева», что является специфическим признаком болезни.
При аспирационной пневмонии на рентген-снимке видны закупорки бронхов в виде треугольных теней. Диафрагма при этом приподнята.
Обследование с помощью рентгена назначается пациенту, когда появляются подозрения на воспаление легких. Причиной для направления на рентген могут выступать следующие симптомы:
- кашель («мокрый», с обильной влажностью и мокротой);
- хрипы при прослушивании легких;
- повышенный уровень лейкоцитов и лимфоцитов в крови.
Одновременно с рентгеном или перед этой процедурой проводят внешний осмотр больного и берут лабораторные анализы. С помощью рентген-снимков определяют воспалительные участки, локализацию очагов, изменения легочного рисунка и корней, а также патологию расположения диафрагмы.
Абсолютных и кардинальных противопоказаний к диагностике с помощью рентгенографии в современной медицине нет. Тем не менее, есть некоторые рекомендации, когда эта процедура будет нежелательной.
Беременным женщинам и детям до 16 лет рентген делают только в особых случаях, когда диагностика другим способом не дает полную картину и не позволяет с точностью поставить диагноз и в дальнейшем – лечение.
Связано это с тем, что облучение негативно воздействует на геном растущей клетки. Если рентген все же необходим, рекомендуют проводить диагностирование с помощью прицельного снимка – участок облучения будет значительно меньшим.
Противопоказаниями также являются:
- наличие открытых ран;
- кровотечение;
- тяжелое состояние больного.
Помимо рентген-снимков, картину заболевания исследуют и другими клиническими методами. Этиологическая диагностика – это исследование выделений из носа и зева (вирусологическое и бактериологическое). Кроме того проводят бакпосев мокроты. Внутриклеточные возбудители воспаления выявляют с помощью ИФА и ПРЦ.
Источник: https://vdp6.ru/oftalmologiya/pnevmoniya-rentgen-kak-effektivnyj-metod-diagnostiki-zabolevaniya.html
Если врач заподозрил, что у человека развивается пневмония, рентгенологические исследования в этом случае являются обязательным видом диагностики.
От их проведения можно временно отказаться только в том случае, когда нет возможности сделать рентген.
Такое может произойти в связи с отсутствием оборудования, например, это может быть в больнице, расположенной в небольшом селе, которое отдалено от городской или районной поликлиники.
Если пациенту при развитии пневмонии не проведены рентгенологические обследования, то это может привести к неправильному назначению лечения и появлению серьезных осложнений.
Может возникнуть ситуация, когда больного лечат от воспаления при помощи обычных антибиотиков, а у него опухоль или туберкулез.
Только при помощи рентгеновских исследований можно точно поставить диагноз и назначить эффективное лечение болезни.
Рентген легких при пневмонии необходимо проводить в тех случаях, когда у человека есть соответствующие симптомы:
- озноб и сильная лихорадка;
- во время кашля выделяется мокрота;
- есть соответствующие изменения в анализе крови.
В процессе лечения пневмонии необходимо проводить повторное рентгеновское обследование, чтобы можно было контролировать, насколько эффективно проводится терапия.
Повторный рентген легких при пневмонии проводится после выздоровления, а через некоторое время надо сделать его еще раз, чтобы можно было выявить остаточные изменения как в плевре, так и в легких.
Если у беременной женщины развивается пневмония, рентген нельзя делать, особенно это опасно на первом триместре. Если опасность для организма матери намного больше, чем возможные осложнения для плода, то такое обследование может быть проведено, но обеспечивается тщательное экранирование при помощи специальных фартуков области живота и таза.
Современная медицина считает нормальной дозу облучения, если она не превышает 4-5 МэВ в год. Надо учитывать, что часть облучения человек получает от природных источников, поэтому при проведении медицинских обследований на протяжении года не рекомендуется получать больше 1 МэВ.
Современные аппараты, которые используются для рентгена, за один раз проведения обследования, когда у человека воспаление легких, дают дозу, которая равна примерно 0,3 МэВ.
Исходя из этого, становится понятно, что безопасно проводить до 3 рентгенологических обследований при диагностике таких заболеваний, как воспаление легких, или других патологий указанного органа.
Если же такая диагностика проводится на старом пленочном оборудовании, то можно делать только 1 обследование в год.
Если у человека были выявлены признаки пневмонии, то рентген может проводиться и чаще, так как это позволяет своевременно выявлять возможные осложнения и эффективно их лечить. Это намного важнее, чем последствия, которые могут возникнуть у человека при получении слегка завышенной дозы облучения.
Надо учитывать, что когда проводится рентген, признаки пневмонии не будут очень специфичными, такими же они могут быть и при развитии других заболеваний. На то, что у человека воспаление легких, будет указывать наличие на снимке темного пятна с размытыми краями.
Может быть очаговая пневмония, когда поражается небольшой участок. При сегментарном воспалении поражается один или несколько сегментов. Кроме этого, пневмония может быть крупозной или долевой. И самым тяжелым развитием болезни является тотальное воспаление, которое распространяется на все легкое.
Пневмония на рентгенограмме будет выглядеть по-разному, в зависимости от стадии развития заболевания. Когда болезнь в разгаре, то на снимке будет видно затмение в виде дымки. По мере того как действуют бактериальные токсины, участок становится более затемненным и имеет нечеткие края.
После того как человек переболел воспалением легких, могут оставаться спайки и участки склероза, кроме этого, появляются соединительнотканные тяжи, отчего может деформироваться легочный рисунок.
При проведении рентгена легких мы получаем плоскую картинку, и чтобы оценить весь объем легких, делают рентген в двух проекциях.
При диагностировании пневмонии может дополнительно проводиться рентгеноскопия легких и ребер, это дает возможность оценить подвижность первых. Проведение линейной томографии позволяет убрать наложение теней от различных структур грудной клетки.
Проведение компьютерной томографии позволяет оценить, как расположены появившиеся в легких изменения, таким образом, выявляют патологии в лимфоузлах средостения.
Если пациент неправильно будет уложен для проведения этого обследования, то по такому снимку сделать верное заключение будет достаточно сложно.
Основным признаком пневмонии будет наличие на снимке затемненных участков. Врач учитывает не только размеры пятна, но и его форму, очертания, структуру, а также общее количество пятен.
На следующем этапе оценивается состояние корней легких, изменились ли имеющиеся в них лимфатические узлы. Затем оценивают состояние плевральных синусов: у здорового человека они свободные, а при наличии в них жидкости будет видно интенсивное затемнение.
На последнем этапе врач оценивает, в каком состоянии находится диафрагма, есть ли на ней дефекты или нет. Она может быть приподнята или опущена, кроме этого, он смотрит на легочный рисунок и на состояние сердца.
Использованные источники: pneumon.ru
Медицинские показания к проведению рентгенографии легких в двух проекциях (передняя, боковая) включают в себя подозрение на пневмонию при наличии следующих симптомов у пациента:
- Лихорадка выше 38°С с острым началом заболевания.
- Кашель с мокротой любого характера (от слизистой до гнойной с прожилками крови).
- Наличие аускультативных и перкуторных симптомов пневмонии: влажные хрипы, крепитация, укорочение тона.
- Изменения в общем анализе крови по типу лейкоцитоза с цифрами выше 10*10 9 /л либо наличие палочкоядерного сдвига выше 10%.
При выявлении патологических изменений на рентген-снимке, характерных для пневмонии, пациенту назначается соответствующая терапия.
Однако после установления диагноза для заболевшего остается неясным, как часто ему требуется проведение дополнительных рентгенологических исследований.
Неосложненное течение пневмонии, легкая и средняя степени тяжести заболевания, как правило, требуют двукратного повторного рентген-снимка через 3-4 дня и через 6-10 дней от начала антибактериальной терапии. Если при втором контрольном исследовании отмечается положительная динамика в виде разрешения инфильтрации легочной ткани, значительного ее уменьшения, пациент считается выздоравливающим.
Критерии выздоровления при пневмонии перечислены ниже:
- Нормализация состояния больного (субъективная оценка).
- Исчезновение физикальных, рентгенологических и лабораторных симптомов воспаления легкого.
После лечения пациент передается в поликлинику для диспансерного наблюдения, сроки которого обычно составляют 6 месяцев. Осмотры терапевтом, выполнение ОАК, ОАМ, биохимического анализа крови и рентгенографии легких выполняются по графику 1-3-6 месяцев после клинического выздоровления.
Общая радиологическая нагрузка за весь период при неосложненном течении пневмонии составляет от 0,2 до 0,5 мЗв (метод цифровой рентгенографии).
Осложненное течение заболевания либо отсутствие эффекта от антибактериальной терапии имеют другой подход к рентгенодиагностике.
При отсутствии эффекта от антибиотика (АБ) первое рентгенологическое исследование выполняется на 3-4 сутки от начала лечения. По его результатам (и клинике) оценивается потребность в смене этиотропной терапии. Затем проводится повторная рентгенография в двух проекциях на сроке 7-10 дней после замены АБ. Далее возможны варианты ведения пациента:
- При отсутствии инфильтрации легочной ткани на третьем контрольном рентген-снимке (через 14-20 дней после смены антибактериальной терапии) и клиническом выздоровлении пациент передается для диспансерного наблюдения в поликлинику, сроки которого удлиняются до года. В этот период проводятся осмотры, лабораторные и рентген-исследования по графику 1-3-6-12 мес.
- При отсутствии положительной рентген-динамики, как правило, необходимы консультация фтизиатра, проведение бронхоскопии, компьютерной томографии легких. Далее по результатам дополнительного обследования.
При осложненном течении пневмонии не существует никакого графика проведения рентгенологических исследований, так как иногда невозможно предугадать ход последующего развития заболевания.
Осложнения воспаления легкого, требующие частого проведения R-графии:
- Эмпиема плевры, пиоторакс.
- Абсцедирование легкого.
- Формирование осумкованного плеврита.
- Пневмоторакс.
- Отек легкого.
- Гидроторакс, выпотной плеврит.
- Сепсис.
Общая радиологическая нагрузка при пневмонии с осложненным течением может увеличиваться до 2 мЗв при использовании цифрового метода.
В конце следует отметить, что решение о проведении дополнительного R-обследования при данном заболевании принимает лечащий врач на основании клинического осмотра, поэтому приведенные выше сроки никоим образом не могут быть использованы для оценки компетентности медицинского персонала.
Использованные источники: pneumonija.com
Рентген легких при воспалении легких (пневмонии) является способом диагностики, без которого современная медицинская клиника не может обойтись. Нехватка рентгена остро чувствуется деревенскими амбулаториями и фельдшерско-акушерскими пунктами. Медицинским работникам, которые работают в них, приходится лечить пневмонию «в слепую».
Воспаление легких провоцируется не только бактериальными агентами, но также грибами и вирусами. На этом фоне не всегда рационально применять антибиотики при пневмонии. С помощью рентгеновских снимков можно отслеживать состояние пациента динамически при лечении.
Рентген легких при пневмонии эффективен настолько, насколько своевременно назначается рентгенодиагностика. Если рентгеновское обследование применяется при выявлении хрипов у человека, но при нормальных лабораторных анализах, статистическая достоверность метода снижается. В такой ситуации результаты рентгенограммы не выявляют воспаления легких. Хрипы обуславливает бронхит или простуда.
Возможности рентгена при пневмонии обширны, но делают исследованию нужно при выявления клинических симптомов, которые с большой степень достоверности указывают на воспаление легких.
Без рентгенографии органов грудной клетки можно обойтись, но при этом снижается эффективность контроля за своевременным выявлением и лечением заболевания.
Рентгеновский снимок при пневмонии показан тогда, симптомы воспаления лёгких характеризуются кашлем, ознобом, отделением мокроты, а в лабораторных анализах прослеживается увеличение количества лейкоцитов.
https://youtube.com/watch?v=TaaOdAak7KA
Если у человека обнаружена крупозная или очаговая пневмония, повторные рентгенограммы назначаются для отслеживания изменений «плохих» теней при лечении.
Специфическое показание к рентгену легких – серьезное подозрение на воспалительный процесс легочной ткани или другое опасное заболевания. Чтобы сделать снимку человеку, нужно учесть вред и пользую от обследования. Только если польза от рентгеновского облучения превышает вред, можно делать рентгенографию.
Противопоказания к исследованию не выделены. Единственным ограничение является беременность. Тем не менее, если у беременных подозревается пневмония, рентген легких проводится. При этом персонал рентгеновского кабинета делает все возможное, чтобы защитить органы женщины от излучения (свинцовые фартуки, сокращение времени и количества процедур).
Очаговая пневмония лабораторно характеризуется незначительным увеличением лейкоцитов, хрипами и повышением температуры.
На рентгенограмме ее можно не выявить, так как на начальных стадиях болезнь характеризуется появлением небольших инфильтратов.
Тем не менее, квалифицированный рентгенолог может предположить воспалительный процесс легочной ткани даже при отсутствии инфильтратов по косвенным рентгеновским симптомам:
Использованные источники: mrt-uzi.com
Источник: http://tutstellagi.ru/pnevmoniya-u-beremennyh/rentgen-kontrol-pnevmonii-sroki
Рентгенограмма грудной клетки до сих пор остаётся «золотым стандартом» диагностики большинства патологий дыхательной системы.
Пневмония не является исключением, признаки патологии несложно обнаружить на снимке. Рентген важен для постановки точного диагноза, а также играет ключевую роль в дифференциальном исследовании.
Важно иметь общее представление как выглядит пневмония у взрослых и детей.
Атипичная пневмония — собирательный термин, включающий инфекционно-воспалительные поражения тканей лёгких. Причинами являются нехарактерные возбудители — микоплазма, хламидия, легионелла, вирусы. Воспаление лёгких протекает с повышением температуры, одышкой, общим недомоганием.
Диагностировать патологический процесс можно при помощи рентгена. Так, для микоплазменной формы характерна неоднородная инфильтрация лёгочной ткани, она может определяться слабо или быть среднеинтенсивной.
При легионеллезной, на снимке видно уплотнения (инфильтраты) округлой формы, локализующиеся на поверхности одной доли лёгкого. В ряде случаев наблюдается слияние инфильтратов. У 25% пациентов одновременно с пневмонией определяется плеврит, с незначительным скоплением секрета в плевральной полости.
Практически невозможно отличить пневмонию Legionella от других, основываясь на таком методе обследования. Присутствие легионеллы или хламидии подтверждается серологическим анализом крови.
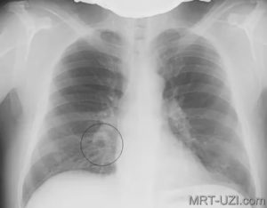
Отдельное внимание стоит уделить воспалению неинфекционной этиологии. Одна из таких форм — инфаркт-пневмония, развивающаяся на фоне тромба, попавшего из лёгочной артерии в лёгкое. На рентгеновском изображении выступает как очаговое поражение с относительно чётким контуром.
Другой тип неинфекционного воспаления лёгочной ткани — аспирационный. Причиной выступает содержимое пищеварительного тракта, попавшее в дыхательные пути.
С целью контроля лечения аспирационной пневмонии рекомендуется проходить повторный рентген.
Признаки воспаления лёгких на снимке называют «затемнениями», отображаются они белым цветом, поскольку само изображение является негативом.
Пятна и рентген-признаки:
- До 3 мм — мелкоочаговые.
- До 7 мм — среднеочаговые.
- До 12 мм — крупноочаговые.
- От 12 мм и более — фокусные.
Пневмония на снимке, в частности затемнения, характеризуются следующим образом:
- Распространённые. Визуализируют в пределах одного сегмента.
- Субтотальные. Затемнение большей части поля органа или нескольких сегментов.
- Тотальные. Патологический процесс охватывает всю область лёгочной ткани.
Важным этапом постановки диагноза остаётся отличие её от других заболеваний лёгких. Так, при бронхите будет отсутствовать затемнение на снимке, вместо этого — усиление лёгочного рисунка.
Усиление лёгочного рисунка
В случае присутствия инородного тела, наблюдается затемнение с чёткими краями, локализующееся в нижней доле лёгкого. Спутать с воспалением типичного характера сложно.
При плеврите, на снимке скопление экссудата в поражённой области. Плеврит выступает в качестве осложнения недолеченной пневмонии.
При пневмотораксе присутствует характерный уровень жидкости. На снимке отображается как просветление, лёгочный рисунок не просматривается.
Рентгеновский снимок является основным обследованием, а в случае необходимости назначается компьютерная томография.
Пневмония на рентгенограмме у пациентов детского возраста не имеет выраженных отличий от взрослых, патология также характеризуется очагами просветления и затемнения. У детей в воспалительный процесс вовлекаются нижние отделы лёгких.
Рентгенография показывает следующее:
- очаговые затемнения диаметром 1-2 мм;
- увеличение внутригрудных лимфоузлов;
- деформация и усиление лёгочно-сосудистого рисунка;
- повышенная плотность затемнения (запущенная патология);
- в области патологического очага изменяется структура и размер лёгочного корня.
Хоть общая картина детского рентгена не различается от взрослого, некоторая разница имеется. Первое — повышенная реактивность функций иммунной системы.
Поэтому даже незначительный инфильтрат способен спровоцировать воспалительную реакцию на обеих долях лёгкого.
При постановке диагноза ребёнку можно ошибиться, что связано с небольшим объёмом лёгочной ткани и повышенным присутствием лёгочного рисунка.
Источник:
Своевременная диагностика пневмонии (воспаления легких) играет важную роль в проведении комплексного обследования и назначении правильного лечения. Главным диагностическим методом является рентгенологическое исследование легких.
Это обусловлено тем, что при постановке диагноза нельзя руководствоваться только клиническими признаками, поскольку они могут свидетельствовать о целом комплексе патологических процессов.
Поэтому пневмония на рентгене становится решающим фактором при выборе тактики лечения.
Пневмония – это заболевание, характеризующееся поражением нижних дыхательных путей. Рентгенография назначается при выявлении клинической картины воспаления легких. В отличие от других методов рентгеновское обследование считается самым доступным.
Часто пациенты, которых направляют на обследование, задаются вопросом, покажет ли рентген пневмонию. Да. С помощью такой процедуры на снимке можно увидеть воспаленные участки, оценить состояние легочного рисунка и корней легких.
Больной направляется на исследование при наличии таких симптомов:
- кашель с отделением мокроты. Возможна боль в районе грудной клетки;
- высокая температура, озноб;
- хрипы;
- повышенный уровень лейкоцитов при анализе крови.
Рентгенодиагностика вирусной пневмонии играет важную роль, поскольку признаки заболевания не всегда очевидны.
Встречаются атипичные проявления пневмонии, среди которых: нормальная температура тела, пациент поначалу не страдает от удушливых приступов кашля, хрипов, болей в грудной клетке и выглядит вполне здоровым и подвижным.
Особенно легко ошибиться, когда речь идет о детях. Поэтому, от того как выглядит рентгенологическая картина при пневмонии, зависит дальнейшее лечение пациента.
Противопоказания к проведению рентгенограммы не выделены. Единственным ограничением может быть беременность. Тем не менее, при подозрении у женщины в положении пневмонии, обследование должно проводиться, потому как постановка правильного диагноза важна для выбора хода лечения. При этом проводятся меры по минимизации вредного воздействия лучей – тело пациентки накрывается свинцовым фартуком.
Расшифровка пневмонии на рентгеновских снимках проводится по четырем признакам: изменение рисунка и корней легкого, затемнения и просветления. Признакам, указывающим на пневмонию, которые можно увидеть на снимках, свидетельствуют такие критерии:
- полное затемнение легочной ткани;
- затемнение некоторых участков или долей легкого (правое легкое состоит из трех долей, левое – из двух);
- затемнение определенного сегмента легкого.
По размеру затемнения (овальные, круглые или кольцевидные) могут быть мелкими (до 3 мм), средними (до 7 мм) и большими (тотальными). Участки поражения могут быть единичными или обширными.
Описание рентгенограммы легких при пневмонии осуществляется с учетом картины на снимке. Изменения могут указывать на такие виды и формы заболевания:
- очаговая,
- крупозная,
- абсцедирующая,
- аспирационная,
- бронхопневмония и другие.
Каждая из этих форм имеет свои характерные особенности.
Отличительной особенностью бронхопневмонии является воспалительный процесс не только в легких, но и в бронхах. Чаще всего такая форма заболевания развивается от инфекции верхних дыхательных путей.
В свою очередь, бронхопневмония может быть односторонней и двусторонней и сопровождаться признаками, характерными для всех видов воспаления легких.
Такой симптоматики достаточна, чтобы врач назначил рентген при бронхопневмонии.
При наличии интерстициальной терапии поражается ткань альвеол, вследствие чего развивается отек легкого.
Из особенностей, которые фиксируются на снимке, можно выделить: деформацию легочного сосудистого рисунка, полупрозрачные затемнения, расширение корня легкого.
В медицинской практике казеозная пневмония может быть как отдельным заболеванием, так и следствием осложнения туберкулеза. Поэтому рентген при казеозной пневмонии должен назначаться незамедлительно, так как часто тяжелое течение заболевания приводит к летальному исходу. Эта форма заболевания всегда проявляется на фоне пониженного иммунитета.
Признаки казеозной пневмонии:
- высокая температура, которая почти не сбивается;
- мучительный кашель с выделением мокроты, имеющий запах гнили;
- на более поздних стадиях – кровохарканье, кровотечения.
Довольно часто встречается еще один вид – пневмоцистная пневмония. Это бактериальное заболевание провоцирует Pneumocystis jirovecii, простейший микроорганизм.
Рентгенологическая картина при пневмоцистной пневмонии отличается усилением сосудистого рисунка на легких, особенно это заметно в области корней. А также наличием диффузных инфильтратов и участков с повышенной прозрачностью (локализация – нижние отделы органа). Как и любая бактериальная инфекция, пневмоцистная пневмония чаще поражает людей с пониженным иммунитетом, а это:
- пожилые люди;
- пациенты с хроническими заболеваниями, такими как волчанка, ревматоидный артрит, туберкулез, цирроз и так далее);
- ВИЧ-инфицированные и больные СПИДом;
- пациенты, проходящие лечение, подразумевающее угнетение функций иммунной системы;
- недоношенные дети, имеющие патологию развития или недоразвитие органов дыхания.
Очаговая пневмония характеризуется тенями неоднородной структуры, которые хорошо видны на снимке. Одинокие или множественные участки обычно размером до 1,5 сантиметра, неоднородные без четких границ.
Рентген-контроль при пневмонии данной формы врачи рекомендуют проходить спустя две недели после полного выздоровления. Осуществляется такая процедура для просмотра корней легких, которые расширяются при болезни и наполняются жидкостью.
Признаками очаговой пневмонии являются:
- нечеткие контуры тени;
- наличие жидкости в пораженной зоне;
- неоднородность участка инфильтрации.
Очаговая пневмония на рентгене характеризуется наличием жидкости в реберном синусе на стороне поражения. Среди всех форм пневмоний, очаговая является самой распространенной и зачастую она следует как осложнение после перенесенных респираторных заболеваний.
Источник: https://cgb-vuf74.ru/narodnye-sredstva/kak-vyglyadit-pnevmoniya-na-rentgene-mozhno-li-opredelit-eyo-po-snimku-2.html
Своевременная диагностика пневмонии (воспаления легких) играет важную роль в проведении комплексного обследования и назначении правильного лечения. Главным диагностическим методом является рентгенологическое исследование легких.
Это обусловлено тем, что при постановке диагноза нельзя руководствоваться только клиническими признаками, поскольку они могут свидетельствовать о целом комплексе патологических процессов.
Поэтому пневмония на рентгене становится решающим фактором при выборе тактики лечения.
Пневмония – это заболевание, характеризующееся поражением нижних дыхательных путей. Рентгенография назначается при выявлении клинической картины воспаления легких. В отличие от других методов рентгеновское обследование считается самым доступным.
Часто пациенты, которых направляют на обследование, задаются вопросом, покажет ли рентген пневмонию. Да. С помощью такой процедуры на снимке можно увидеть воспаленные участки, оценить состояние легочного рисунка и корней легких.
Крупозная пневмония на рентгене характеризуется уплотнением стенки плевры и застоем жидкости в плевральной полости. Для оценки пораженных участков проводится рентгенограмма в прямой и боковой проекциях.
На снимке виден однородно затемненный сегмент, имеющий неровные границы, или доля легкого.
Пневмония переходит в стадию серого опеченения на 4-6-е сутки после начала заболевания. В это время пораженная доля легких плотная с фиброзными налетами на плевре. Признаки пневмонии на рентгеновских снимках: видно изменение легочного контура, отсутствие четкой структуры корня, а также фиброзные тяжки.
Разрешение пневмонии сопровождается характерными признаками. Среди них:
- уменьшение интенсивности и размера затемнения;
- детализация на рентгенограмме легочного рисунка пациента с характерным расширением корня.
Стоит отметить, что расширение корня наблюдается еще до 2 месяцев в стадии разрешения.
Также в этот период характерно наличие спаек или фиброзных наслоений, что затрудняет дыхательный процесс. Характерная картина представлена на рентген-снимке ниже.
Нередко можно наблюдать осложнения пневмонии на снимках в виде абсцесса, плеврита или перисциссурита – воспаление междолевой плевры.
Осложнения возможны при несвоевременном лечении болезни или тяжелом ее течении. Могут сопровождаться поднятием высокой температуры, возможны признаки интоксикации организма. Также могут наблюдаться дыхательная недостаточность, которая проявляется понижением уровня кислорода в крови, одышкой.
Интерстициальный рентген при пневмонии нетипичен и может характеризоваться уменьшением объема легких.
Распознать абсцесс можно по таким признакам:
- наличие некоторой полости с нечетким округлым контуром и перифокальными одним или несколькими очагами воспаления;
- наличие инфильтрата, дающего затемнение в проекции распада с изменением картины после дренирования.
Плеврит зачастую является вторичным процессом, который развивается после пневмонии, туберкулеза, новообразований. Рентген позволяет определить сколько экссудата (жидкости) накопилось в плевральной области, а также степень затемнения легких.
Рентген-картина при перициссурите описывается такими признаками:
- расширенный корень легкого на пораженной стороне легкого;
- нарушение контура щели и изменение просветов сегментарных и субсегментарных бронхов, что свидетельствует об инфильтрате.
Таким образом, характерным является тень с размытыми краями с одной стороны. Данная клиническая картина может быть видна только на рентгенологическом снимке.
Рентгенодиагностика пневмоний у детей имеет некоторые затруднения в постановке диагноза. Обусловлено это меньшим объемом легочной ткани, большим количеством легочного рисунка, нежели у взрослого и вздутием тканей легкого. Для своевременной диагностики пневмонии важно оценивать клиническую картину заболевания.
Признаками и симптомами пневмонии у детей являются:
- небольшие затемнения нижних отделов легких;
- увеличение лимфатических узлов;
- деформация рисунка до 7 дней после избавления от патологических тканей.
После проведения рентгенографии, обязательно нужно обратиться к лечащему врачу для получения квалифицированной помощи. Некоторые родители, не доверяя прописанному курсу лечения, делают фото рентгена легких при пневмонии у детей и предоставляют его для получения консультации другого врача.
Пневмония – заболевание серьезное и не всегда легко поддается диагностике, так как симптомы на начальной стадии могут быть самыми незначительными.
Она может стать следствием обычной простуды, ОРВИ или же маскироваться под аллергию или кашель курильщика. Только внимательное отношение к пациенту и своевременная диагностика позволит вовремя поставить диагноз и назначить лечение.
Так интерстициальный рентген при пневмонии может показать отек альвеольных стенок и возможное развитие интерстициального фиброза.
Постановка диагноза «пневмония» требует тщательного обследования, причинами для которого, помимо явных признаков, могут служить:
- затяжная «простуда» более 14 дней;
- натужный кашель при попытке сделать глубокий вдох;
- одышка;
- бледность кожи;
- ощущение нехватки воздуха даже при нормальной температуре.
На основании этих жалоб врач обязан назначить первичный и повторный рентген при пневмонии (если диагноз будет подтвержден) для контроля лечения.
Стоит заметить, хоть рентгенография и является самым точным способом выявления пневмонии, но не стопроцентным. Проведение повторной рентгенограммы обычно проводится на четвертый и десятый дни после начала приема курса антибиотиков. После выздоровления пациент должен быть на диспансерном наблюдении в поликлинике в течение шести месяцев после выздоровления.
Может ли рентген не показать пневмонию и в каких случаях это происходит? На сегодняшний день не существует безошибочных методов лечения или диагностики. Рентгенография – не исключение.
А можно ли без рентгена определить пневмонию? Да, можно. Если нет возможности провести рентген-диагностику, на помощь приходит тщательный осмотр и составление анамнеза пациента, прослушивание и выстукивание.
Но стоит учесть, что лечится пневмония сильнодействующими препаратами, и врач должен быть полностью уверен в диагнозе.
Потому, лучше приложить усилия и провести диагностику должным образом, поскольку ошибочно назначенное лечение может только навредить.
Источник: https://lichitesdo.ru/kak-vyglyadit-vospalenie-lyogkix-na-rentgene.html
Поделиться:











