Период межсезонья сопровождается затяжными дождями и простудными заболеваниями. В это время люди вспоминают о старинных рецептах народной медицины. Травы для легких творят чудеса.
Травы излечивают недуги, вызванные переохлаждением, избавляют от затяжного кашля, болезней горла, суставов, чистят бронхи от пыли и слизи. Век неблагополучной экологии, стрессы, вредные привычки подрывают иммунитет. Сейчас со многими болезнями справиться гораздо сложнее.
То, с чем раньше боролись при помощи простых рецептов, теперь плохо поддается исцелению.
Врачи приветствуют способы лечения и профилактики легочных болезней травами. При этом настоятельно советуют не пренебрегать медикаментозными препаратами.
В комплексе с травами для очищения легких добиться нужного эффекта проще. К тому же растения защитят внутренние органы от побочных эффектов.
Подбирая травяные сборы, нельзя полагаться на собственную интуицию и русское «авось». Надежный способ справиться с болезнью – использовать рецепты, проверенные временем. Многие из них пришли из прошлых столетий. Известны составы и отдельные травы, которые применяли врачеватели древности – Гиппократ, Авиценна.
Как правило, болезни бронхолегочной системы начинаются с простуды или ОРВИ. Первые признаки знакомы: сухой кашель, насморк, боль в горле, суставах, озноб, высокая температура.
Врачи говорят, что повышение температуры – это неплохо: иммунная система вырабатывает антитела. Реакция организма на вирусы дает шансы справиться с болезнью без последствий.
Хуже, если недуг принимает вялую форму. Стоит пустить ситуацию на самотек, не уделить внимания простым, но эффективным мерам борьбы с недомоганием, можно получить серьезные осложнения.
Положительные результаты дают теплые полоскания, в которых используют травы для очищения легких: ромашку, календулу, липу, алтей, мать-и-мачеху. Растения можно использовать отдельно, но в сборах, когда ингредиенты выступают единым фронтом, итоги лечения выглядят убедительнее.
При заболевании нижних дыхательных путей нужно думать о кардинальных методах. Здесь травяными настоями не обойтись. Необходима «тяжелая артиллерия» в виде антибиотиков.
Любая легочная патология может быть смертельно опасной. Приступая к профилактике или лечению болезней травами или сборами, надо знать врага в лицо. В числе наиболее распространенных заболеваний легких врачи называют:
- бронхиальную астму;
- пневмонию
- бронхит;
- туберкулез;
- плеврит.
Ставить себе диагноз нельзя, этим должны заниматься профессионалы. Но знать симптомы, отталкиваясь от которых и посоветовавшись с врачами, можно прибегнуть к лечению травами, необходимо. В числе признаков легочных заболеваний:
- Сильный кашель. Если он вызван простудой, ОРВИ должен прекратиться к концу 2-й недели, при активном лечении можно избавиться раньше. Если симптомы респираторного заболевания продолжаются дольше, надо идти в поликлинику.
- Затрудненное дыхание. Одышка, связанная с избыточным весом или проблемами сердца, неизбежна. Но если вес и сердце в норме, а дыхание сопровождается свистом, нужен врач. Речь идет о наличии воспаления или опухоли, перекрывающей дыхательные пути.
- Боль в суставах, теле и спине, хроническая усталость. Связывать эти симптомы только с патологией бронхолегочной системы было бы не правильно. Но если боль в спине возникает при глубоком вдохе и не проходит в состоянии покоя, есть повод отправиться к доктору.
Помогут ли сборы травы для легких в этих случаях? Помогут, вне всякого сомнения. Но прежде нужно установить диагноз. Лечить наобум – пустая трата времени и здоровья.
Травы не так безопасны, как нам хотелось бы, ведь это тоже лекарства. Из экстрактов растений делают лечебные препараты, в том числе сильнодействующие. Школьных знаний, если речь не идет о специалисте, не хватит. В природе много токсичных и ядовитых трав, применение которых может завершиться печально.
https://youtube.com/watch?v=tCtCcASWyzM
Предупрежден – вооружен. Прежде, чем начать лечение надо проконсультироваться с врачом, лучше с фитотерапевтом. Доктор даст советы, связанные с дозировками, подберет нужный состав или траву.
Многие пожилые люди имеют целый букет хронических заболеваний. Здесь тоже важно не перестараться, кинувшись лечить один орган и причинив вред другому. Необходимо учитывать противопоказания, побочные эффекты.
С особой осторожностью лечить легочные заболевания травами нужно при беременности. Многие растения сокращают матку, возникает опасность выкидыша. Дети тоже требуют особый подход.
Есть еще момент, на котором необходимо зафиксировать внимание. Проверьте, не являются ли травяные сборы или отдельные травы антагонистами, нет ли аллергии на эти растения. Ведь вместо позитива можно получить обратный результат.
Травяные настои готовить легко, с этим справится каждый взрослый. Травы для очистки можно собирать самостоятельно, вдали от автомагистралей. Или купить в аптеке. Здесь в качестве сырья сомнений быть не может.
Практически все бронхолегочные болезни сопровождаются кашлем и мокротой. Поэтому травы для очищения легких должны обладать отхаркивающим свойством.
Приступая к лечению травами, нужно подумать о посуде для настоев. Лучшая емкость – термос. Он герметичен, настои получаются качественные. Купить марлю для процеживания. Для приготовления сборов на огне не годится алюминиевая посуда. Нужны эмалированные или жаропрочные стеклянные изделия.
Взять по 1 ст. ложке тысячелистника, листьев черной смородины, чистотела, зверобоя, добавить 2 ст. ложки фиалки трехцветной, 3 ст. ложки мяты. Хорошо перемешать. Этого состава хватит на 2 раза. Затем 5 ст. ложек сбора заварить 1 л. кипятка. Через 4 часа настой готов. Принимать 3 раза в день по 1/3 стакана.
К подбору состава для лечения туберкулеза нужно подходить с осторожностью. Можно приготовить сбор, взяв по 2 ст. ложки тысячелистника, лапчатки прямостоячей, по 4 ст. ложки корня девясила, сосновых почек, исландского мха, 3 ст. ложки полыни горькой. 2 ст. ложки микса из трав залить 0,5 л. кипятка.
Источник: https://dagorthodoxy.ru/lechenie-uplotnenija-kornej-legkih-narodnymi-sredstvami/
Уплотнение в легких – симптом, сопровождающий течение большого количества патологий дыхательной системы.
Уплотнение легочной ткани, из-за протекающего воспалительного процесса, провоцирует сокращение различных участков дыхательного органа.
Воспаление, как правило, характеризуется выделением экссудата защемлением бронхов различного калибра, образованием полостей, наполняющихся жидкостью.
Легочные уплотнения могут формироваться под действием различных факторов, среди которых наиболее выделяются следующие состояния:
- пневмония бактериальной природы;
- поражение тканей легких туберкулезной палочкой;
- сифилис проявляется в форме образования безболезненных узлов;
- повреждение легких грибком;
- раковое образование в тканях легких;
- проявление метастазирования из пораженных близрасположенных органов;
- заземление различных участков легких;
- инфаркт легких.
В некоторых случаях образование уплотнений в легких является следствием воздействия ионизирующей радиации, системных заболеваний, лейкоза, употребления некоторых групп препаратов, результатом постоянного вдыхания пылевых частиц. Иногда легочный инфильтрат путают с увеличенными лимфоузлами, расположенными в грудной зоне, грыжей диафрагмального расположения, плевральными спайками, патологиями сосудистой системы.
Участок легочной ткани, в котором произошли изменения, разрушившие нормальное строение органа, является уплотнением. Ткань дыхательного органа обладает структурой, способствующей циркуляции воздуха в процессе дыхания. Появление легочного инфильтрата сигнализирует о скоплении жидкости и развитии патологических состояний.
Уплотнения в легких в большинстве случаев сопровождается кашлем и повышенной температурой тела. Если речь идет о заболеваниях онкологического характера, то болезненное состояние сопровождается болезненностью в области груди. В случаях развития туберкулеза у больного, помимо легочного инфильтрата, появляется быстрая утомляемость, одышка, избыточное потоотделение.
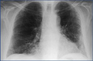
Рентгенографический метод исследования в некоторых случаях может допускать ошибки. В отличие от рентгена, магнитно-резонансная томография обладает точностью результатов 95% и тоже не исключает возможность получения ошибочных результатов. Детальные исследования крови и мокроты помогают наиболее точной постановке диагноза.
МРТ для диагностики уплотнения легкого
Некоторые пациенты ошибочно предполагают, что доктор может установить диагноз на основе прослушивания и результатов МРТ, рентгенографии. Любая патология дыхательных путей требует комплексного подхода к исследованию – включение в диагностику лабораторных анализов и процедур с использованием дополнительного оборудования.
При наличии очагового воспаления в тканях легких, выявленного с помощью рентгенологического исследования и прослушивания, а также наличия инфекции, установленной лабораторными методами, необходимо обследование мокротных частиц больного.
Слизь, вырабатываемая при различных заболеваниях, содержит в составе патогенные микроорганизмы. Если уточнение природы патогенов не производится, то велика вероятность неверной медицинской терапии, что зачастую приводит к развитию осложнений.
Легочный инфильтрат, являясь видимым скоплением жидкости, появляются из-за усиления выделения слизи либо крови, что свойственно некоторым системным заболеваниям. Паразитарное воздействие на человеческий организм в некоторых случаях проявляется уплотнениями в легких.
Таким образом, при формировании уплотнений легочной ткани, для назначения, наиболее подходящего для конкретного пациента лечения, необходимо проведение обследования, включающего следующие процедуры:
- общий анализ крови;
- эндоскопическое исследование бронхов и легких;
- гистологическая проба тканевых образцов легких.
Эндоскопическое исследование для диагностики уплотнения
Для лечения инфильтрата легочной ткани применяются следующие методы лечения:
- консервативные, включающие использование медикаментов и физиотерапевтических процедур;
- хирургические.
Медикаментозное лечение инфильтрата легочной ткани
Ранее развитие болезни, неотягощенное формированием гнойных образований, устраняется медикаментозной коррекцией.
Основываясь на природу происхождения уплотнения в легких, медицинские специалисты применяют следующие препараты:
- антибиотики – «Эритромицин», «Амоксиклав», «Имипенем», «Левофлоксацин»;
- противогрибковые – «Дифлюкан», «Орунгал», «Итракон»;
- антигистаминные – «Тавегил», «Фенистил», «Антазолин», «Перитол»;
- противотуберкулезные – «Пиразинамид», «Этамбутол», «Рифабутин», «Этионамид»;
- цитостатики – «Этопозид», «Паклитаксел», «Гемцитабин»;
- противопаразитарные – «Альбендазол», «Дентал», «Эсказол».
| Эритромицин | от 15 руб. |
| Дифлюкан | от 244 руб. |
| Тавегил | от 159 руб. |
| Пиразинамид | от 161 руб. |
| Этопозид | от 276 руб. |
С целью улучшения отхождения мокротической жидкости применяются муколитические средства «Амброксол», «Бромгексин», «Карбоцистеин» и отхаркивающие медикаменты, используемые при влажных хрипах «Геломиртол», «Терпинкод», «Синупрет». Если воспаление сопровождается лихорадкой, пациент нуждается в приеме жаропонижающих медикаментов:
| Фервекс | от 375 руб. |
| Калпол | уточняйте |
| Колдрекс | от 194 руб. |
| Солпадеин | от 89 руб. |
В период угасания острой фазы воспалительного процесса тканей легких пациенту рекомендуется выполнение специальных дыхательных упражнений. Выраженным терапевтическим эффектом обладают физиотерапевтические методики, включающие электрофорез и облучение лазером либо ультрафиолетом.
При инфильтрате, вызванном опухолевым процессом тканей, производится операция по устранению уплотнения с последующей лучевой терапией.
В случаях формирования абсцессов производится вскрытие и дренирование пораженной зоны. Если уплотнение образовалось из-за попадания инородного тела, хирург проводит оперативное извлечение частицы.
В случаях туберкулезного заболевания осуществляется удаление пораженной части легочной ткани.
Образование уплотнений в легких довольно распространенное явление, сопровождающее различные респираторные заболевания. Чтобы выяснить истинную причину появления инфильтрата необходимо пройти комплексную диагностику, позволяющую медицинскому специалисту назначать правильный курс лечения.
Многие пациенты после консультации врача и диагностики слышат непонятные для них термины. Медицинский специалист сразу поймет в чем дело, а вот для неподготовленного человека это становится сложной задачей.
Нередко приходится сталкиваться с ситуациями, когда образуется некое уплотнение в легких. Что это такое, как объяснить патологическое состояние и чем его устранить – с подобными вопросами следует детально разобраться.
Легочная ткань может уплотниться в различных случаях – при развитии воспалительного процесса, скоплении экссудата или транссудата, отложении соединительной ткани, опухолевых разрастаниях, снижении воздушности альвеол, паразитарных инвазиях, аллергических реакциях. Синдром легочной инфильтрации очень многообразен и обширен, поэтому список состояний, при которых он возникает, довольно обширен. Прежде всего стоит отметить следующие:
- Пневмонии.
- Туберкулез.
- Абсцесс и гангрена.
- Инфаркт легкого.
- Ателектаз.
- Пневмосклероз.
- Фиброзирующий альвеолит.
- Саркоидоз и гемосидероз.
- Опухоли (добро- и злокачественные).
- Грибковые инфекции (актиномикоз, гистоплазмоз).
- Паразитарные болезни (эхинококкоз, аскаридоз).
Легкие могут поражаться при воздействии ионизирующей радиации, при системных заболеваниях (красная волчанка, синдром Гудпасчера, гранулематоз Вегенера), лейкозах, постоянном вдыхании пыли (пневмокониозы), употреблении некоторых медикаментов (салицилаты, нитрофураны, амиодарон). Но следует также помнить, что за инфильтрат могут приниматься увеличенные внутригрудные лимфатические узлы, диафрагмальная грыжа, плевральные спайки, сосудистые патологии. Поэтому каждый случай требует качественной дифференциальной диагностики.
Безусловно, клиническая картина определяется характером патологии.
Крайне важное значение имеют локализация и распространение процесса, активность воспаления, присутствие осложнений, реактивность организма. Но есть и общие признаки, характерные для многих болезней.
При синдроме легочной инфильтрации есть ряд типичных признаков. У пациентов с этой проблемой зачастую будут следующие симптомы:
- Затруднение дыхания (одышка).
- Кашель (сухой или влажный).
- Выделение мокроты (слизистая, гнойная, с кровью).
Если процесс захватывает и плевральные листки, то присоединяются боли в грудной клетке, которые усиливаются на вдохе и во время кашля. При обширных поражениях уменьшается площадь функционирующей ткани легкого, что влечет за собой дыхательную недостаточность.
Помимо одышки, она проявляется бледностью и акроцианозом (посинение кончиков пальцев, губ), головокружением, снижением умственной трудоспособности. Воспалительный процесс, как правило, сопровождается лихорадкой – от субфебрильной до гектической.
Неизменно присутствуют и признаки общей интоксикации: слабость, недомогание, снижение аппетита.
Источник:
Категория: Органы дыхания 196062
Фиброз лёгких – заболевание, предусматривающее наличие в области лёгких рубцового типа ткани, которая нарушает функцию дыхания.
Фиброз понижает эластичность тканей, что делает прохождение кислорода по альвеолам (пузырькам, где воздух контактирует с кровью) более трудным. Такое заболевание предполагает замену обычной ткани лёгких соединительной тканью.
Обратный процесс регенерации соединительной ткани снова в лёгочную не является возможным, поэтому полностью больной выздороветь не сможет, однако повысить качество жизни пациента все же можно.
Фиброзные изменения появляются по таким причинам:
- наличие длительно протекающих инфекционных болезней;
- наличие аллергии;
- последствия лучевого воздействия на органы человека;
- болезней гранулематозного типа;
- продолжительное вдыхание пыли.
Источник: https://legkieplus.ru/lechenie/pochemu-poyavlyayutsya-i-chto-oznachayut-uplotneniya-v-legkih.html
Флюорография лёгких, на данный момент, является основным механизмом массовой проверки населения на наличие туберкулёза.
Это объясняется дешевизной и простотой метода, хотя он и не гарантирует стопроцентных результатов.
За счёт этого исследования можно обнаружить изменения в тканях, например, их плотность и развитие каких-либо опухолей или полостей с жидкостью
ontakte
Odnoklassniki
Важно! Рентгенограмма позволяет определять не только заболевания лёгких, но и костей. В частности, можно обнаружить сколиоз, травмы рёбер, а в некоторых случаях и поражения диафрагмы.
Например, сильно поднятая диафрагма может означать избыток газов в брюшине, что бывает одним из признаков перитонита.
В первую очередь врачи обращают внимание на корни лёгких — структуры, которые являются так называемыми воротами в лёгкие.
В норме на рентгенограмме они не увеличены, на их фоне не видны никакие образования. Само расположение корней также имеет значение.
Корни делят на три сектора — верхний, средний и нижний. Правый корень напоминает искривлённую ленту, которая средне выражена и сужается книзу.
Верхняя часть этого корня расположена на том же уровне, что и передний отрезок второго ребра — второго межрёберья. Верхняя часть левого корня расположена на одно ребро выше правого, а сам он частично скрыт тенью от сердца.
Ширина артериального ствола корней, в большинстве случаев, не превышает 15 миллиметров.
Сами корни подразделяются на магистральные и рассыпчатые. Первый вид предполагает большую верхнюю часть (головку), которая в основном представлена лёгочной артерией. Рассыпчатые же корни обладают большой разветвлённой сетью сосудов, которые переходят в тяжи.
Важно! В некоторых случаях картина может отличаться от нормы, притом что сам пациент чувствует себя хорошо.
Это может происходить из-за особенностей развития организма пациента либо из-за происходивших ранее операций или травм.
В редких случаях это говорит о некачественно сделанном снимке, когда пациент пошевелился или же изначально стоял в неправильной позе.
Имеет значение жёсткость и мягкость снимка — в первом случае глубина изображения будет слишком велика, что не позволяет увидеть мелкие детали, а во втором изображение будет слишком размыто.
Помимо ранее упомянутых новообразований, можно отметить следующие характеристики корней, которые обозначаются в письменных заключениях, являются отклонениями от нормы и могут быть признаками патологий: уплотненные, тяжистые и расширенные корни, также корни могут быть усилены.
Обычно это происходит из-за отёка бронхов или крупных сосудов. А в некоторых случаях и из-за того, что происходит увеличение лимфоузлов.
Уплотнение и расширение ткани корней почти всегда происходит одновременно, если же корни только уплотнены, это говорит о хроническом процессе.
На снимке расширенные корни будут выглядеть менее чёткими, а также крупнее стандартных размеров.
Этот термин означает, что в лёгких может происходить как острый, так и хронический процесс. Чаще всего это связывают с профессиональными заболеваниями (например, асбестоз) или с хроническими (например, бронхит курильщика).
На рентгенограмме тяжистые корни выглядят более плотными и неровными, это объясняется увеличением количества соединительной ткани — тяжей.
Конечно же, это не единственные характеристики, которыми описываются лёгкие и их состояние. Есть большой пласт данных, относящихся к новообразованиям, их форме, а также состоянию остальных частей этого органа, каждая из которых может быть изменена тем или иным способом в результате болезни или же другого патологического воздействия.
Важно! Бронхит курильщика проявляется на второй или третий год курения сигарет. Это хроническое заболевание, вызванное реакцией ткани лёгких на постоянный раздражитель в виде табачных смол.
Одним из возможных последствий бронхита является туберкулёз, так как в лёгких активного курильщика скапливается значительно больше слизи чем нужно, а в последней могут начать развиваться микобактерии этого заболевания.
Вам также будет интересно:
Некоторые виды изменения корней лёгких, например, их уплотнение и увеличение близкорасположенных лимфатических узлов могут говорить о туберкулёзе.
Это связано с реакцией организма на инфекцию, которая выливается в воспалительный процесс в тканях.
Кроме того, при распространении микобактерий туберкулёза начинается обызвестливание лимфоузлов, то есть накопление в них солей кальция, с последующим затвердеванием.
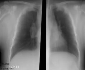
Фото 1. Только врач может определить, что означает изменение корней легких и есть ли риск заболевания туберкулезом.
Однако, стоит помнить, что сами по себе результаты рентгенограммы не могут являться стопроцентными показателями заражения туберкулёзом. Да и расшифровываются снимки профессионалами. Это объясняется тем, что должны учитываться все факторы, присутствующие на изображениях, а многие из них неочевидны для человека, у которого нет соответствующего опыта.
Важно! В заключении об исследовании рентгенограммы лёгких может упоминаться фиброзная ткань. Это разновидность соединительной ткани, которая замещает собой утерянные участки органов.
Обычно это свидетельствует о перенесённой болезни, хирургическом вмешательстве или проникающей ране, которая повредила орган. Эта ткань не функциональна и просто поддерживает целостность органа.
В случае если у врача есть основания для того, чтобы подозревать какую-либо болезнь, будут назначены соответствующие исследования, чтобы подтвердить или опровергнуть диагноз.
При подозрении на туберкулез среди таких исследований точно будут анализы крови, мокроты (если таковая есть) и мочи.
В некоторых случаях могут понадобиться либо компьютерная томограмма (КТ) лёгких, либо бронхоскопия. КТ предполагает создание трёхмерного изображения лёгких, включая все сосуды, а бронхоскопия означает введение жгута с камерой и фонариком, которые помогут изучить состояние корней изнутри.
Вариантов анализов и исследований множество и они зависят от конкретной картины заболевания и решений лечащего врача.
Ознакомьтесь с видео, в котором рассказывается, какие могут происходить изменения с корнями легких и что это означает.
Оцени статью:
Поделись с друзьями!
ontakte
Odnoklassniki
Источник: https://no-tuberculosis.ru/diagnostika/rentgen-legkih/kak-viglyadit/korni-uplotneni/
› Заболевания
08.01.2020
Согласно статистическим данным, каждый час в России от туберкулеза умирает один человек. Плановый осмотр, особенно если человек находится в группе риска, способен вовремя выявить заболевание, а значит, назначенная терапия может предотвратить осложнения.
Сегодня мы рассмотрим наиболее распространенные результаты флюорографии расшифровка которых позволит нам узнать, что они означают, на что следует обращать особенное внимание, получив на руки сведения о рентгене грудной клетки.
Медики пишут очень неразборчиво, некоторые люди считают, что это из-за того, чтобы пациент не понял, что у него за заболевание. Может быть и так, однако удивительно, что при этом они разбирают и понимают то, что написал их коллега.
https://youtube.com/watch?v=MCvf-qaVIXc
Далее я напишу основные диагнозы рентгенологов, что они представляют из себя, насколько серьезно то или иное заключение.
Что такое флюорография
Флюорография — это исследование грудной клетки посредством облучения рентгеновскими лучами, с фиксированием результатов исследования на пленку. Методика уже несколько устаревшая, но все еще являющаяся наиболее дешевым способом проверить свои легкие на предмет наличия каких-либо патологий.
Принцип получения результатов
Врач-рентгенолог визуально отличает на фотопленке изменения в плотности тканей легких. Те места, где плотность выше, чем у здоровых легких, свидетельствуют о каких-то проблемах в тканях. Соединительная ткань, разрастаясь, замещает легочную ткань и на флюорографии выглядит более светлыми участками.
Многое в результатах зависит от квалификации и опыта врача. Был даже такой курьезный случай, когда молодой врач увидел затенение в левой половине легких, стал бить тревогу, а оказалось, что это сердце! Но, это, конечно, из разряда врачебных легенд.
Что можно увидеть на снимках
Различают спайки, фиброзы, наслоения, тени, склерозы, тяжистости, лучистости, рубцовые изменения. Все эти аномалии, если они присутствуют, видны на снимках легких.
Если человек болен астмой, то на снимке будет видно, что стенки бронхов у него утолщены, это связано с тем, что на них приходится более высокая нагрузка. Также на снимках можно идентифицировать кисту, абсцессы и каверны, кальцинаты, эмфиземы, рак.
Самые распространённые заключения после флюорографии
Обратите внимание, что если у вас действительно имеются какие-то серьезные проблемы в легких, то вам об этом сразу же скажут, когда вы придете забирать результаты. Если не направили в туберкулезный диспансер, или на рентгенографию, чтобы уточнить заболевание, то значит все более-менее хорошо. А теперь рассмотрим самые частые проблемы в легких.
Корни расширены, уплотнены
Корни легких — это главный бронх, бронхиальные артерии, легочная артерия и легочная вена. Это один из распространенных диагнозов, свидетельствует о каких-то хронических процессах, происходящих в легких. Хронический бронхит, отеки, пневмонии, воспаления легких.
Если у вас в заключении написано «корни уплотнены, расширены», то это говорит о том, что у вас идет хронический воспалительный процесс в легких. У курильщиков со стажем нередко встречается именно такой результат флюорографии.
Корни тяжисты
Это тоже часто встречающийся результат флюорографии. В его проявлении виноваты все те-же проблемы — хронические или острые процессы в легких.
Наиболее часто тяжистость легочного рисунка либо тяжистость корней легких выявляется у курильщиков, а также при бронхитах.
Если в результатах написано только «тяжистость корней лёгких», не паникуйте, все в пределах допустимого, особенно если вас никуда при этом не направили. Но сигнал важно учесть и следить за состоянием своих легких, не допуская обострения хронических процессов.
Усиление сосудистого или лёгочного рисунка
Лёгочный рисунок это тени на флюорограмме, «отбрасываемые» венами и артериями, пронизывающими легкие. Его еще называют сосудистый рисунок. Если в результатах написан такой пункт, то это значит, что в каком-то отделе легких имеется область, в которую более интенсивно поступает кровь по артериям.
Фиксируется при каких-то острых воспалительных процессах, бронхитах, пневмониях, а также может свидетельствовать о пневмоните, и требует повторного снимка, чтобы убедиться, что нет онкологии.
Фиброзная ткань, фиброз
Это свидетельство какого-то перенесенного легочного заболевания. Это может быть свидетельством проведенной ранее операции, старой травме или перенесенной инфекцией. Фиброзная ткань относится к соединительной ткани и служит для замещения вышедших из строя легочных клеток. Фиброз в легких свидетельствует о том, что все зарубцевалось и угрозы нет.
Кальцинаты
Это изолированные клетки, пораженные туберкулезом или пневмонией. Организм как-бы облепляет проблемное место похожей на костную ткань материей. На снимке видны округлые тени. Если у человека много кальцинатов, то это говорит о том, что организм поборол инфекцию и заболевание не развилось. Поэтому, если у вас обнаружили в легких кальцинаты, то опасений быть не должно.
Другое дело — кальциноз аорты
Кальциноз — это постепенное накопление на стенках аорты — нерастворимых солей кальция.
Как правило, кальцинированные бляшки видны на флюорографии, это, в принципе, не легочная проблема, но она диагностируется по флюшке.
Сами по себе эти бляшки опасны и по причине того, что могут оторваться и закупорить сосуды, и еще по причине того, что сами сосуды становятся ломкими, как бы хрустальными.
Советую очень серьезно отнестись к данному диагнозу. Любое повышение давления может стать критическим. Необходима консультация специалиста и ограничение поступления кальция в организм. Если кальций откладывается на стенках сосудов, значит его поступает избыточное количество. кальций, откладывается в тканях и сосудах. Такое случается при переизбытке кальция в крови.
Очаговая тень — очаги
Очаговые тени, или очаги, это затемнения легочного поля, достаточно распространенный симптом. Размеры теней, как правило, до 1 см.
Если у вас или у вашего ребенка тени обнаруживают в средних, или нижних отделах легких, то это свидетельствует о наличии очаговой пневмонии.
Признаками активного воспаления могут быть неровные края, усиление лёгочного рисунка, слияние теней. Если у очаговых теней ровные и плотные контуры, то значит, что воспаление заканчивается. Но консультация у терапевта необходима. Вероятно, воспаление легких, перешедшее в пневмонию, «засело» в глубине легочной ткани.
Если очаговые тени обнаруживаются в верхних отделах легких, то это говорит о возможном туберкулезе, и требует уточнения.
Плевроапикальные наслоения, спайки
После воспаления могут возникнуть спайки, это тоже соединительные структуры, которые изолируют область воспалений от здоровой ткани. Если на снимке увидели спайки, то повода для беспокойства нет.
Плевроапикальные наслоения — это уплотнения плевры легочных верхушек. Наслоения могут говорить о каком-то воспалительном процессе, произошедшем относительно недавно. Чаще всего о туберкулезной инфекции. Однако, если врач не считает картину серьезной, то повода для волнений быть не должно.
Пневмосклероз
Это увеличение соединительной ткани в легких, может быть результатом заболеваний. Таких как бронхиты, пневмонии, туберкулезы, работа на пыльном производстве, курение.
Ткани теряют упругость, уплотняются. Может измениться структура бронхов, сама легочная ткань становится похожа на сухофрукт — уменьшается в размерах. Также относится к числу требующих наблюдения заболеваний.
Показано пребывание в сухом, разреженном горном воздухе. Курорты Кавказа очень рекомендованы. Например, в Теберде легочникам очень хорошо, я и сам бывал в этих краях.
Если есть возможность, то езжайте поживите там и летом и зимой можно.
Синус запаян или свободен
Синусы плевры — это полости, образованные плевральными складками. У здорового человека синусы свободны. А вот если существуют какие-то проблемы, то там скапливается жидкость. Если у вас «синус запаян», то это означает, что есть присутствие спаек, вероятно после плеврита. Повода для волнений нет.
Изменения со стороны диафрагмы
Аномалия диафрагмы встречается довольно часто. Другие похожие названия — высокое стояние купола, релаксация купола, уплощение купола диафрагмы. Причинами могут быть: нарушения в работе ЖКТ, проблемы с печенью, плевриты, избыточный вес, онкология. Этот признак интерпретируют, основываясь на других имеющихся данных, анализов и исследований.
Примеры результатов и их расшифровка
Мне регулярно присылают на почту [email protected] снимки заключений рентгенологов. Я решил добавлять неразборчивый почерк врачей и давать расшифровку. Может быть, посмотрев примеры, вы сможете идентифицировать свой диагноз. Буду признателен всем, кто пополняет базу.
Заключение специалиста рентгенолога — Пневмосклероз.Кальциноз аорты.
На на этом заключении написано: Легочный рисунок усилен, деформирован — в нижнем отделе с правой стороны. Корни тяжисты.
Выводы
Ежегодное прохождение флюорографии позволит выявить на ранних этапах проблемы с легкими, если они имеются. На многих предприятиях работников планово направляют на обследования, а вот те, кто пренебрегает данной процедурой, рискуют неожиданно для себя узнать, что у них какие-то сложности, не дай Бог, конечно.
Источник: https://artdent22.ru/zabolevaniya/rezultat-flyuorografii-korni-legkih-rasshireny-malostrukturny-uplotneny.html
Уплотнения в легких выявляют при помощи использования современных методов диагностики, таких как рентгенография, магнитно-резонансная томография.
Причиной их появления являются заболевания дыхательных путей, которые могут иметь различную природу появления:
- Бактериальную.
- Вирусную.
- Хламидийную.
- Микозную.
Еще причиной недугов могут являться стафилококки, палочкой Пфейфера (гемофильная) или Коха (туберкулез). В результате их воздействия на определенной стадии развития заболеваний в легких появляются уплотнения.
Также не стоит забывать о таком серьезном биче нашего столетия, как онкологические изменения тканей. Кроме перечисленного, на структурную целостность легких может влиять заражение сифилисом, получение легочного инфаркта или защемление тканей.
https://youtube.com/watch?v=3WIGWb-PPE8
Поэтому важно не только своевременно (раз в год) проходить обследование, но еще и делать это у опытного специалиста, который сможет дифференцировать все эти заболевания на ранней стадии.
Легочный инфаркт, туберкулез, сифилис или пневмония различной этиологии – все эти заболевания выявляются при проведении рентгенографии или МРТ. Однако ни один из этих методов обследования не дает на 100% точного результата.
Они лишь говорят о том, что у человека с определенной вероятностью, может присутствовать недуг. Подтверждение получают при помощи других видов медицинского обследования: сравнения анализа крови с эталоном, выявление определенных маркеров или тел, пункции.
На снимке или другом виде изображения врач видит черно-белую картинку – человеческие легкие. Для неподготовленного человека это ни о чем не скажет, специалист же сможет выявить многие недуги, даже начинающийся бронхит.
Уплотнения выделяются изменением окраса тканей в определенном месте. Исходя из интенсивности цвета, размера, месторасположения и других данных ставят предварительный диагноз.
Именно поэтому обычно рентгенолог не пишет, что присутствует подозрение на воспаление легких, туберкулез. Окончательный диагноз здесь даст исследование мокроты, а не картинка.
Фактически, уплотнение в легких – это определенный участок тканей, в котором произошли деструктивные изменения. Сама ткань этого органа имеет легкую структуру, в которой происходит циркуляция воздуха, когда человек дышит. Появление повышенной плотности говорит о том, что в легких начала скапливаться жидкость или происходит другое их негативное изменение.
Врач, проводя прием пациента, имеющего уплотнения в легких, составляет подробную клиническую картину развития недуга и проводит тщательный осмотр. Последний включает в себя не только визуальное исследование горла и ротовой полости, но и пальпацию тканей, прослушивание фонендоскопом. Чаще всего причиной негативного изменения являются вирусы и бактерии, реже – грибковые поражения.
Сейчас участились случаи выявления туберкулеза и злокачественных новообразований. Причинами такого явления в обществе можно считать как негативное воздействие на окружающую среду, так и частое нежелание людей вовремя посещать врача, проходить ежегодное обследование.
Некоторые люди отказываются от помощи не из-за финансовой несостоятельности, а потому, что у них попросту отсутствует свободное время. Диагноз «туберкулез» не имеет социальных границ.
Обычно при уплотнениях в легких наблюдаются такие дополнительные симптомы, как
- кашель;
- повышение температуры.
Если речь идет о туберкулезе, необходимо добавить:
- повышение потливости;
- одышку;
- быструю утомляемость.
Онкологическая природа недуга может проявляться болевым синдромом. Использование фонендоскопа позволяет определить пневмонию, бронхит, туберкулез.
Важно: рентгенография может быть ошибочна, МРТ имеет до 95% точности. Только более глубокие исследования крови, тканей и мокроты дают 100% верный результат.
Одним из наиболее распространенных заблуждений является то, что врач может поставить диагноз на основе рентгеновского снимка, МРТ, прослушивания легких. Л
юбое заболевание дыхательных путей требует комплексного исследования: сдачи определенных анализов пациентом и применения инструментальных способов.
Даже если на снимке четко выражено наличие очаговой пневмонии, это же подтверждается при прослушивании фонендоскопом, а воспалительный процесс – анализом крови, необходимо еще сдать мокроту.
Наиболее яркий пример касается воспаления легких. Чаще всего данный недуг является осложнением после гриппа, но может иметь самостоятельное развитие. Обычно причиной его появления становятся вирусы и бактерии. К сожалению, выявлением только их нельзя ограничиваться.
https://youtube.com/watch?v=5OjBAkYfypo
У людей со сниженным иммунитетом, имеющих ВИЧ-позитивный статус, причиной пневмонии часто являются грибковые поражения. Прием распространенных и хорошо зарекомендовавших себя антибиотиков не даст результата в этом случае. Вернее, такое лечение может привести к тому, что пневмония перейдет в стадию хронического заболевания.
Так как уплотнения в легких являются видимым проявлением скопления жидкости, можно подумать, что они могут появиться только из-за усиленного выделения слизи. Но это не так. Есть и другая субстанция, дающая такой же эффект – кровь. Вызывать такой негативный эффект могут некоторые системные заболевания. Также причиной может стать получение травм различной этиологии.
Есть и другие причины, почему появляется скопление крови в легочной ткани, одна из наиболее неприятных – паразитарное воздействие.
Науке известно более сотни разновидностей гельминтов, которые могут проживать в человеческом теле и поражать органы дыхания. Даже аскариды, местом размножения которых является просвет кишечника, в определенных ситуациях могут мигрировать через дыхательную систему.
Поэтому при выявлении уплотнений в легких ни в коем случае нельзя заниматься самолечением, а обязательно нужно пройти полное обследование. Это поможет определить точную причину развития недуга и назначить правильное лечение.
Статья помогла вам?
Дайте нам об этом знать — поставьте оценку
Загрузка…
Источник: https://opnevmonii.ru/terapiya/uplotnenie-v-legkom.html
Поделиться:









