Своевременная диагностика пневмонии (воспаления легких) играет важную роль в проведении комплексного обследования и назначении правильного лечения. Главным диагностическим методом является рентгенологическое исследование легких.
Это обусловлено тем, что при постановке диагноза нельзя руководствоваться только клиническими признаками, поскольку они могут свидетельствовать о целом комплексе патологических процессов.
Поэтому пневмония на рентгене становится решающим фактором при выборе тактики лечения.
Пневмония – это заболевание, характеризующееся поражением нижних дыхательных путей. Рентгенография назначается при выявлении клинической картины воспаления легких. В отличие от других методов рентгеновское обследование считается самым доступным.
Часто пациенты, которых направляют на обследование, задаются вопросом, покажет ли рентген пневмонию. Да. С помощью такой процедуры на снимке можно увидеть воспаленные участки, оценить состояние легочного рисунка и корней легких.
Больной направляется на исследование при наличии таких симптомов:
- кашель с отделением мокроты. Возможна боль в районе грудной клетки;
- высокая температура, озноб;
- хрипы;
- повышенный уровень лейкоцитов при анализе крови.
Рентгенодиагностика вирусной пневмонии играет важную роль, поскольку признаки заболевания не всегда очевидны.
Встречаются атипичные проявления пневмонии, среди которых: нормальная температура тела, пациент поначалу не страдает от удушливых приступов кашля, хрипов, болей в грудной клетке и выглядит вполне здоровым и подвижным.
Противопоказания к проведению рентгенограммы не выделены. Единственным ограничением может быть беременность. Тем не менее, при подозрении у женщины в положении пневмонии, обследование должно проводиться, потому как постановка правильного диагноза важна для выбора хода лечения. При этом проводятся меры по минимизации вредного воздействия лучей – тело пациентки накрывается свинцовым фартуком.
Расшифровка пневмонии на рентгеновских снимках проводится по четырем признакам: изменение рисунка и корней легкого, затемнения и просветления. Признакам, указывающим на пневмонию, которые можно увидеть на снимках, свидетельствуют такие критерии:
- полное затемнение легочной ткани;
- затемнение некоторых участков или долей легкого (правое легкое состоит из трех долей, левое – из двух);
- затемнение определенного сегмента легкого.
По размеру затемнения (овальные, круглые или кольцевидные) могут быть мелкими (до 3 мм), средними (до 7 мм) и большими (тотальными). Участки поражения могут быть единичными или обширными.
Описание рентгенограммы легких при пневмонии осуществляется с учетом картины на снимке. Изменения могут указывать на такие виды и формы заболевания:
- очаговая,
- крупозная,
- абсцедирующая,
- аспирационная,
- бронхопневмония и другие.
Каждая из этих форм имеет свои характерные особенности.
Отличительной особенностью бронхопневмонии является воспалительный процесс не только в легких, но и в бронхах. Чаще всего такая форма заболевания развивается от инфекции верхних дыхательных путей.
В свою очередь, бронхопневмония может быть односторонней и двусторонней и сопровождаться признаками, характерными для всех видов воспаления легких.
Такой симптоматики достаточна, чтобы врач назначил рентген при бронхопневмонии.
При наличии интерстициальной терапии поражается ткань альвеол, вследствие чего развивается отек легкого.
https://youtube.com/watch?v=MCvf-qaVIXc
Интерстициальная пневмония – это воспаление тканей легких неясной этиологии, отличающееся длительным лечением.
Из особенностей, которые фиксируются на снимке, можно выделить: деформацию легочного сосудистого рисунка, полупрозрачные затемнения, расширение корня легкого.
В медицинской практике казеозная пневмония может быть как отдельным заболеванием, так и следствием осложнения туберкулеза. Поэтому рентген при казеозной пневмонии должен назначаться незамедлительно, так как часто тяжелое течение заболевания приводит к летальному исходу. Эта форма заболевания всегда проявляется на фоне пониженного иммунитета.
Признаки казеозной пневмонии:
- высокая температура, которая почти не сбивается;
- мучительный кашель с выделением мокроты, имеющий запах гнили;
- на более поздних стадиях – кровохарканье, кровотечения.
Довольно часто встречается еще один вид – пневмоцистная пневмония. Это бактериальное заболевание провоцирует Pneumocystis jirovecii, простейший микроорганизм.
Рентгенологическая картина при пневмоцистной пневмонии отличается усилением сосудистого рисунка на легких, особенно это заметно в области корней. А также наличием диффузных инфильтратов и участков с повышенной прозрачностью (локализация – нижние отделы органа). Как и любая бактериальная инфекция, пневмоцистная пневмония чаще поражает людей с пониженным иммунитетом, а это:
- пожилые люди;
- пациенты с хроническими заболеваниями, такими как волчанка, ревматоидный артрит, туберкулез, цирроз и так далее);
- ВИЧ-инфицированные и больные СПИДом;
- пациенты, проходящие лечение, подразумевающее угнетение функций иммунной системы;
- недоношенные дети, имеющие патологию развития или недоразвитие органов дыхания.
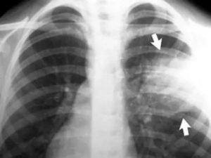
Очаговая пневмония характеризуется тенями неоднородной структуры, которые хорошо видны на снимке. Одинокие или множественные участки обычно размером до 1,5 сантиметра, неоднородные без четких границ.
Рентген-контроль при пневмонии данной формы врачи рекомендуют проходить спустя две недели после полного выздоровления.
Осуществляется такая процедура для просмотра корней легких, которые расширяются при болезни и наполняются жидкостью.
Признаками очаговой пневмонии являются:
- нечеткие контуры тени;
- наличие жидкости в пораженной зоне;
- неоднородность участка инфильтрации.
Очаговая пневмония на рентгене характеризуется наличием жидкости в реберном синусе на стороне поражения. Среди всех форм пневмоний, очаговая является самой распространенной и зачастую она следует как осложнение после перенесенных респираторных заболеваний.
Снимок демонстрирует очаги воспалительного процесса на маленьких участках двух легких.
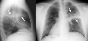
Крупозная пневмония на рентгене характеризуется уплотнением стенки плевры и застоем жидкости в плевральной полости. Для оценки пораженных участков проводится рентгенограмма в прямой и боковой проекциях.
На снимке виден однородно затемненный сегмент, имеющий неровные границы, или доля легкого.
Пневмония переходит в стадию серого опеченения на 4-6-е сутки после начала заболевания. В это время пораженная доля легких плотная с фиброзными налетами на плевре. Признаки пневмонии на рентгеновских снимках: видно изменение легочного контура, отсутствие четкой структуры корня, а также фиброзные тяжки.
Разрешение пневмонии сопровождается характерными признаками. Среди них:
- уменьшение интенсивности и размера затемнения;
- детализация на рентгенограмме легочного рисунка пациента с характерным расширением корня.
Стоит отметить, что расширение корня наблюдается еще до 2 месяцев в стадии разрешения.
Также в этот период характерно наличие спаек или фиброзных наслоений, что затрудняет дыхательный процесс. Характерная картина представлена на рентген-снимке ниже.
Нередко можно наблюдать осложнения пневмонии на снимках в виде абсцесса, плеврита или перисциссурита – воспаление междолевой плевры.
Осложнения возможны при несвоевременном лечении болезни или тяжелом ее течении. Могут сопровождаться поднятием высокой температуры, возможны признаки интоксикации организма. Также могут наблюдаться дыхательная недостаточность, которая проявляется понижением уровня кислорода в крови, одышкой.
Интерстициальный рентген при пневмонии нетипичен и может характеризоваться уменьшением объема легких.
Распознать абсцесс можно по таким признакам:
- наличие некоторой полости с нечетким округлым контуром и перифокальными одним или несколькими очагами воспаления;
- наличие инфильтрата, дающего затемнение в проекции распада с изменением картины после дренирования.
Плеврит зачастую является вторичным процессом, который развивается после пневмонии, туберкулеза, новообразований. Рентген позволяет определить сколько экссудата (жидкости) накопилось в плевральной области, а также степень затемнения легких.
Рентген-картина при перициссурите описывается такими признаками:
- расширенный корень легкого на пораженной стороне легкого;
- нарушение контура щели и изменение просветов сегментарных и субсегментарных бронхов, что свидетельствует об инфильтрате.
Таким образом, характерным является тень с размытыми краями с одной стороны. Данная клиническая картина может быть видна только на рентгенологическом снимке.
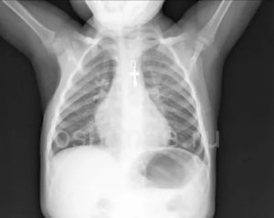
Рентгенодиагностика пневмоний у детей имеет некоторые затруднения в постановке диагноза. Обусловлено это меньшим объемом легочной ткани, большим количеством легочного рисунка, нежели у взрослого и вздутием тканей легкого. Для своевременной диагностики пневмонии важно оценивать клиническую картину заболевания.
Признаками и симптомами пневмонии у детей являются:
- небольшие затемнения нижних отделов легких;
- увеличение лимфатических узлов;
- деформация рисунка до 7 дней после избавления от патологических тканей.
После проведения рентгенографии, обязательно нужно обратиться к лечащему врачу для получения квалифицированной помощи. Некоторые родители, не доверяя прописанному курсу лечения, делают фото рентгена легких при пневмонии у детей и предоставляют его для получения консультации другого врача.
Пневмония – заболевание серьезное и не всегда легко поддается диагностике, так как симптомы на начальной стадии могут быть самыми незначительными.
Она может стать следствием обычной простуды, ОРВИ или же маскироваться под аллергию или кашель курильщика. Только внимательное отношение к пациенту и своевременная диагностика позволит вовремя поставить диагноз и назначить лечение.
Так интерстициальный рентген при пневмонии может показать отек альвеольных стенок и возможное развитие интерстициального фиброза.
Постановка диагноза «пневмония» требует тщательного обследования, причинами для которого, помимо явных признаков, могут служить:
- затяжная «простуда» более 14 дней;
- натужный кашель при попытке сделать глубокий вдох;
- одышка;
- бледность кожи;
- ощущение нехватки воздуха даже при нормальной температуре.
На основании этих жалоб врач обязан назначить первичный и повторный рентген при пневмонии (если диагноз будет подтвержден) для контроля лечения.
Стоит заметить, хоть рентгенография и является самым точным способом выявления пневмонии, но не стопроцентным. Проведение повторной рентгенограммы обычно проводится на четвертый и десятый дни после начала приема курса антибиотиков. После выздоровления пациент должен быть на диспансерном наблюдении в поликлинике в течение шести месяцев после выздоровления.
Может ли рентген не показать пневмонию и в каких случаях это происходит? На сегодняшний день не существует безошибочных методов лечения или диагностики. Рентгенография – не исключение.
Также зачастую осложняет диагностику некачественное самолечение народными методами и неподходящими препаратами, которые не устраняют заболевание, а наоборот, дают ему спокойно развиваться, смазав реальную картину на снимке.
https://youtube.com/watch?v=TaaOdAak7KA
А можно ли без рентгена определить пневмонию? Да, можно. Если нет возможности провести рентген-диагностику, на помощь приходит тщательный осмотр и составление анамнеза пациента, прослушивание и выстукивание.
Но стоит учесть, что лечится пневмония сильнодействующими препаратами, и врач должен быть полностью уверен в диагнозе.
Потому, лучше приложить усилия и провести диагностику должным образом, поскольку ошибочно назначенное лечение может только навредить.
: Загрузка…
Источник: https://prorentgen.ru/dyxanie/pnevmoniya-ne-rentgene.html
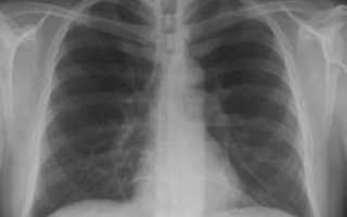
Рентгенограмма – самый распространенный метод исследования при выявлении заболеваний дыхательных путей и органов грудной клетки. Дело в том, что рентгеновский снимок позволяет оперативно выявить изменения в органах грудной полости и своевременно начать лечение. Неудивительно, что при подозрении на пневмонию назначается рентгенограмма.
Пневмония на рентгене обычно видна очень хорошо. Лишь иногда для постановки диагноза приходится прибегать к другим методам исследования, когда нужно отличить бронхит и раннюю стадию пневмонии. Рентген в этом случае не всегда эффективен.
Рентген легких при пневмонии следует назначать сразу же после выявления хрипов у пациента. Но его обязательно нужно дополнить классическими бактериальными исследованиями для дифференциации диагноза.
Рентген при пневмонии очень эффективен, но назначать его все же следует только при появлении выраженных симптомов заболевания, так как лишнее рентгеновское излучение пользы организму не несет.
Рентгенологическое исследование назначается тогда, когда сильный кашель у пациента дополняется значительным отделением мокроты, повышением температуры тела.
Кроме того, анализы крови должны показывать явный лейкоцитоз, указывающий на развитие в организме воспалительного процесса.
При этом пневмония на рентгеновских снимках в зависимости от формы заболевания выглядит по-разному.
Как правило, рентген легких врачи назначают при первых подозрениях на развитие воспаления в органах дыхания. При этом врачи всегда учитывают общее состояние пациента. Они не забывают о том вреде, который может нанести рентгенография. Собственно, общее состояние пациента – это и есть единственное ограничение. Конкретных противопоказаний рентген легких не имеет.
Очаговая форма болезни проявляется легким лейкоцитозом, незначительными хрипами при дыхании и гипертермией. На начальном этапе развития заболевания его следы можно не обнаружить на рентгеновском снимке. Однако, опытный доктор может заподозрить заболевание по следующим косвенным признакам, видимым на снимках:
- Наличие теней.
- Признаки плеврита на рентгене.
- Увеличение размеров корня легкого.
- Нарушение структуры рисунка легочной ткани.
Проще всего пневмония на снимке выявляется в разгар болезни. На снимках становятся отчетливо видны очаги воспаления в виде темных пятен. Воспалительный процесс выгоняет из легочной ткани воздух, что делает ее более плотной. Появляются следующие признаки болезни:
- Отчетливые инфильтраты.
- Тени приобретают нечеткие контуры.
- На стороне пораженной доли легкого в плевре возможно появление жидкости, которая отлично видна на снимках.
На стадии выздоровления признаки заболевания на рентгене постепенно уходят:
- Исчезают инфильтраты.
- Признаки жидкости в плевре исчезают.
Стоит отметить, что даже после выздоровления на рентгене в течение нескольких месяцев все еще будет наблюдаться деформация рисунка легочной ткани.
При слиянии отдельных очагов воспаления легочной ткани возникает крупозная пневмония. Фото рентгеновского снимка, сделанного при этой форме заболевания, наглядно показывает отличия.
Как правило, при крупозной форме воспаления легких поражается одна или несколько долей легких сразу. Это создает серьезную угрозу жизни пациента.
На рентгене крупозная форма болезни проявляется следующими признаками:
- Ярко выраженные крупные тени, затрагивающие доли легкого целиком. Могут быть поражены оба легкого.
- Средостение смещается в сторону наиболее воспаленного легкого.
- На куполах диафрагмы отчетливо видны признаки деформации.
- Рисунок легочной ткани может не просматриваться.
Крупозная пневмония легче всего выявляется при рентгенологическом исследовании. Тем не менее для постановки точного диагноза врачи предпочитают делать рентгеновские снимки в двух проекциях. Это дает им возможность определить число пораженных воспалением сегментов органа и определить состояние средостения.
Атипичная форма болезни характеризуется тем, что ее клиническая картина не соответствует картине на рентгеновском снимке. Это создает некоторые трудности при постановке точного диагноза.
Самый яркий пример атипичной пневмонии – микоплазменная форма болезни. На снимке она проявляется значительным очагом поражения. В патологический процесс вовлекается целая доля. Однако, при этом температура тела у пациента повышается незначительно. Кашель его не душит. Вместо болей в легких он жалуется на боль в горле.
Особняком стоят неинфекционные пневмонии. Например, инфаркт-пневмония. Эта форма болезни развивается из-за проникновения в легкое тромба из легочной артерии. На снимке такое поражение имеет четкие контуры, из-за чего его можно спутать с инородным телом в легких.
Рентгенологическое исследование позволяет отличить воспаление легких от следующих заболеваний:
- Бронхит. При этом заболевании затенения легочной ткани на снимке нет, но в корнях легкого просматриваются тяжи соединительной ткани. Из-за этого его часто путают с прикорневым воспалением легочной ткани, которое на рентгене дает картину тяжелого бронхита.
- Наличие инородного тела. Если оно действительно попало в легкие, то его тень на снимке будет находиться в нижних отделах легкого, в то время как пневмония чаще зарождается в верхних отделах. Тем не менее инородное тело нередко путают с инфаркт-пневмонией.
- Плеврит. Эта патология в большинстве случаев появляется, если человек не лечил пневмонию либо лечил неправильно.
- Гемоторакс и пневмоторакс. У этих патологических состояний на снимках нет сходства с пневмонией, но есть один общий симптом – сильна боль в груди при дыхании.
У детей это заболевание на снимках выглядит немного иначе, чем у взрослых. Это объясняется тем, что организм ребенка реагирует на любое воспаление намного острее. Даже самый маленький инфильтрат может стать причиной крупозной формы болезни.
На рентгеновском снимке воспаление легкого у ребенка выглядит следующим образом:
- Очаги затенения локализуются в нижних отделах легких.
- Размеры инфильтратов очень маленькие. Чем выше их плотность, тем тяжелее болезнь.
- В средостении отмечается увеличение лимфатических узлов. Это отчетливо видно на рентгене.
- Участки поражения могут смазывать структуру корня легкого и полностью скрывать рисунок легочной ткани.
Из-за того, что у детей легочная ткань нередко вздувается без всякого воспаления, диагностировать пневмонию на начальных стадиях развития с помощью рентгеновских снимков бывает достаточно сложно. Кроме того, правильную диагностику при пневмонии у детей мешает поставить малый объем легочной ткани.
Несмотря на популярность рентгенограммы как инструмента исследования при пневмонии, рентген все же не является основным диагностическим средством. Он позволяет выявить некоторые характерные признаки и не упустить из виду особенности течения заболевания. Для постановки точного диагноза требуется изучить клиническую картину болезни и оценить тяжесть симптомов.
Пневмония на рентгеновском снимке
Источник: https://lechim-gorlo.ru/zabolevaniya/pnevmoniya-na-rentgene-priznaki-bolezni-na-rentgenovskih-snimkah
«Китайский» коронавирус, с которым мы столкнулись впервые, оказался намного злее своих собратьев, виновных в части обычных сезонных простуд. Не только потому, что он вызвал неслыханную пандемию, но и по степени гyбитeльного воздействия на организм заразившегося человека.
Это доказывают новости от медиков, которые прямо сейчас спасают людей в больницах, а также результаты свежих исследований.
Врач одного из московских коронавирусных стационаров поделилась тревожными деталями о состоянии тяжелых больных. Большинство из них – люди после 60-ти.
«Больные поступают тяжелые. В разы тяжелее тех, с которыми я работала раньше. Сейчас половина в моем отделении уже на искусственной вентиляции легких (ИВЛ), вторая – потенциальные кандидаты на нее», — рассказала «Правмиру» кардиолог больницы №15 им. Филатова Ирина Ильенко.
Одна из пациенток поступила без тяжелой сопутствующей патологии и без особых жалоб – ей было лишь «тяжеловато дышать». Рентген показал небольшую пневмонию, ничего критичного. Решили, что достаточно кислородной маски.
Но когда ее временно переложили на живот, чтобы «раздышалась спина», то пульсоксиметр – прибор на пальце, который показывает степень насыщения крови кислородом – стал выдавать ухудшение буквально на глазах.
«А пациентка вроде как так же, особо не жалуется. Везем ее на КТ (компьютерную томографию. – Anews). Смотрим результаты томографии – а там легких нет! В труху!» — поразилась доктор.
«Я теперь понимаю, почему COVIDные, у кого пневмония, умирают один за другим. Они с тобой разговаривают, а легких у них уже нет! И они все такие! И это так страшно!» — ужасается Ирина.
Ту пациентку сразу перевели на ИВЛ, и врачи не берутся давать прогнозы.
РИА Новости / Кирилл Шипицын
Еще во время январской вспышки эпидемии в Китае врачи быстро выяснили, что COVID-19 поражает легкие. Это проявилось на рентгенограммах и КТ.
При рентгеновском излучении наиболее плотные ткани, такие как кости, поглощают лучи и поэтому выглядят белыми. Наименее плотные, как легкие, состоящие в основном из воздуха, – черными. Серыми выглядят ткани, которые частично задерживают излучение.
Рентген легких пациента с COVID-19 в Париже, апрель 2020 г. Reuters
- Синдром «матового стекла»
Вот один из вариантов того, как зоны легочной патологии выглядят на КТ коронавирусной пациентки: бледные помутнения, которые в радиологии называют «синдромом матового стекла».
«Матовое стекло» показывает, что легочная ткань, которая должна быть воздушной и не задерживать лучи, в этих зонах незначительно уплотнилась. Значит, альвеолы – воздушные пузырьки, насыщающие кровь кислородом, частично заполнились патологическим жидкостным содержимым: это может быть воспалительная, отечная жидкость, кровь, гной, отмершие клетки и т.д.
Wikimedia
- «Консолидация» легочной ткани
Если легочная ткань полностью потеряла воздушность, то она становится еще более плотной и непроглядной, чем «матовое стекло». Такой рисунок называют «консолидацией».
- Синдром «булыжной мостовой» / «Лоскутное одеяло»
Наконец, когда помутнения по типу «матового стекла» сочетаются с уплотнением перегородок из соединительной ткани вокруг легочных долек, то внешне это напоминает разнообразные куски брусчатки в мостовой или лоскутное одеяло – отсюда и название патологической картины в легких.
Ниже показаны части томограммы у февральских пациентов с коронавирусом:
a – «матовое стекло»
b – «булыжная мостовая»
c – «консолидация»
Обычно, если легкие поражены, это проявляется затрудненным дыханием, поскольку жидкость в альвеолах мешает поступлению кислорода в кровь. Но японские врачи установили в новом исследовании, что даже у бессимптомных пациентов была патология в легких.
Они пересмотрели результаты КТ переболевших коронавирусом пассажиров лайнера Diamond Princess. Оказалось, что 54% бессимптомных пациентов имели помутнения, в основном по типу «матового стекла».
У пассажиров с выраженными симптомами патология была видна на КТ в 79% случаев, в основном в виде «консолидации» (т.е. более серьезных уплотнений легочной ткани).
Получается, что коронавирус может вызывать изменения в легких не только в тяжелых случаях, но даже тогда, когда человек и не подозревает, что болен.
Есть еще пара веских доводов за то, чтобы терпеть самоизоляцию и не заражаться.
Даже после выздоровления у некоторых пациентов функция легких ухудшалась на 20-30%, они начинали «хватать воздух ртом» при быстрой ходьбе, сообщило в марте управление больницами Гонконга. Пересмотр снимков легких 9 пациентов, сделанных во время болезни, показал синдром «матового стекла».
Ученые пока не знают, долго ли могут проявляться эти последствия. Пока не исключено, что может даже развиться легочный фиброз – хроническое заболевание, вызывающее рубцевание легких.
В обычных условиях легочный фиброз – нечастое явление. Как правило, он возникает у людей старше 50-ти, чаще после 60-70 лет. Человек главным образом жалуется на одышку, причем она может быть такой сильной, что мешает произнести фразу целиком.
При тяжелых формах коронавирусной инфекции также снижается функция сердца.
Это может быть из-за системной воспалительной реакции на вирус, высокого легочного давления при патологии в легких, а также, в отдельных случаях, из-за прямого влияния COVID-19 на сердце, объясняет глава кардиологического отделения в клинике Мэйо Лесли Купер.
Снижение сердечной функции при коронавирусе проявляется главным образом сердечной недостаточностью – когда сердечная мышца не качает кровь так, как должна – и аритмией. Клиника Мэйо уже изучает вероятность того, что это даст последствия даже после выздоровления.
Пока же людям с уже имеющимися сердечно-сосудистыми проблемами стоит тщательно заботиться о себе и не игнорировать то, что им назначают врачи, советует кардиолог.
Больше материалов о коронавирусе читайте в нашем специальном разделе.
Источник: https://www.anews.com/p/127488042-legkie-v-truhu-chto-vrachi-rasskazyvayut-o-posledstviyah-koronavirusa/
Несмотря на большой прорыв, медицина до сих пор не может поставить диагноз «пневмония» без подтверждения клинических симптомов рентгеновским снимком. Очень сложно вылечить заболевание у детей, ввиду особенностей их организма. Порой рентгенологические признаки – единственное, что говорит в пользу болезни легких у малышей.
Кроме того, без рентгена сложно говорить о выздоровлении. Только если на снимке признаки пневмонии полностью исчезли врач может отменить прием препаратов.
Нужно знать, что снимок легких покажет не все болезни. Астма, бронхит – все они оказываются за пределами рентгенограммы. Это связано с тем, что инфекционные агенты не поражают легочную ткань в таких масштабах, как пневмония.
Даже если человек сильно кашляет, чувствует недомогание и слабость, но в анализах крови показатели близятся к норме, вероятность того, что есть воспаление легких, минимальна. Все перечисленные симптомы говорят в пользу обычной простуды.
Рентгенограмма проводится только в том случае, когда есть серьезное подозрение на воспаление легких, и особенно это касается детей.
Снимки показывают и другие серьезные заболевания, которые может заподозрить врач.
Абсолютных противопоказаний для снимка пневмонии нет. Есть лишь относительное – для беременных и кормящих грудью женщин.
Но если у врача веское подозрение на болезнь, то лучше проверить, нежели без оснований принимать антибиотики. Медицинский персонал, отвечающий за проведение процедуры, старается максимально оградить женщину от излишнего воздействия.
Для этого кратность снимков сокращается до минимальной, а площадь облучения, по возможности, уменьшается.
Эта разновидность воспаления легких дает задуматься о себе после определенных признаков. Это хрипы, назойливый кашель, повышение температуры тела. Лабораторно будет лишь незначительное увеличение количества лейкоцитов.
Очаговая пневмония на рентгеновских снимках выявляется не всегда. Дебют болезни характеризуется незначительной инфильтрацией легочной ткани, которая четко не вырисовывается на снимке легких. Но по дополнительным симптомам врач все же может заподозрить пневмонию на рентгене:
- Затемнение участка легочной ткани.
- Расширение корней легких из-за пропитывания их инфильтратом.
- Рентгенодиагностика пневмоний может выявить появление уровня плевральной жидкости.
- Видно изменение легочного рисунка со слегка очерченными границами.
Рентген легких при пневмонии очень помогает в постановке диагноза, когда болезнь уже развилась. Появление очагов затемнения указывают на ухудшение воздушности легких.
Первое время инфильтрация малозаметна, только опытный рентгенолог может понять, что небольшие темные островки указывают на болезнь. Через некоторое время пропитывание клеточными элементами и медиаторами воспаления в пораженной зоне формирует обычный очаг воспаления.
Существуют определенные признаки, по которым ставится эта форма болезни:
Когда идет процесс заживления легких, пневмония на рентгене выглядит несколько иначе:
- Участок затемнения полностью исчезает, только опытному клиницисту под силу разглядеть остаточные явления (точки и «прожилки») на снимке.
- Линейные тяжистые линии (пучки узких теней, которые располагаются практически параллельно друг другу или веерообразно расходятся из одной точки).
- Спайки, приводящие к слипанию листков плевры.
После окончательного освобождения легких от патологической флоры перенесенная пневмония на снимке напоминает о себе небольшим изменением рисунка.
Для контроля за ремиссией пациентам через месяц после лечения назначается повторный снимок. Не обходит это правило и детей.
Если рентгенограмма показала крупное затемнение средней интенсивности, есть основания заподозрить крупозную пневмонию. Излюбленное место локализации микроорганизмов – одна или две легочные доли. К сожалению, на данный момент крупозная пневмония является одной из самых опасных болезней.
Рентгенодиагностика пневмоний шагнула далеко вперед. Врач с уверенностью может поставить диагноз крупозной формы воспаления легких, если увидит следующие симптомы:
- Смещение средостения в больную сторону.
- Изменение локализации купола диафрагмы.
- Наличие плевральной жидкости между листками плевры и в ее синусах.
- Разлитое изменение рисунка легких.
- Наличие тяжей на корнях легких.
- Односторонние тени, вызванные снижением пневматизации «главного» органа дыхания.
Крупозная пневмония диагностируется на обзорной рентгенограмме органов грудной клетки. Но для уточнения размеров патологических очагов рекомендуется делать снимок не только в прямой, но и в боковой проекции. Очень важно, особенно у детей, знать размеры инфильтрата, чтобы иметь представление, как изменилось состояние легочной ткани за время лечения.
Если ваш ребенок без причины болеет несколько дней, и у него нет других симптомов, кроме температуры, можно заподозрить у малыша воспаление легких. К клиническим признакам пневмонии у детей относятся:
По окончании болезни сохраняются следы инфильтрации до семи дней.
Чтение снимков осуществляет врач-рентгенолог. Именно он пишет заключение и передает его направившему на снимок терапевту. На рентгенограмме оцениваются количество, форма и размеры тени, а также их расположение.
Рентгеновский снимок – это негатив, поэтому то, что называется затемнением, на самом деле выглядит как белый участок. Инфильтрация ткани является уплотнением, и при прохождении через него рентгеновских лучей образуются затемненные области.
Различают следующие виды затемнения:
- 1–2 мм (мелкоочаговые).
- 3–7 мм (среднеочаговые).
- от 8 до 12 мм (крупные).
- 12 мм и больше (фокусные).
Форма теней может быть различна: веретенообразные, кольцевидные, округлые, правильной и неправильной формы.
https://youtube.com/watch?v=vsjN6EX6XoA
По степени интенсивности различают 3 группы:
- Темные относительно костей – низкая интенсивность.
- Прозрачность, как у костной ткани – средняя.
- Похожа на интенсивность металла – высокая.
Это означает, что высокая интенсивность скрывает за собой очень низкую пневматизацию данного участка легких, тогда как низкая говорит об обычной воздушности ткани.
При воспалении легких страдает не только легочная ткань. Корни легкого, диафрагма и листки плевры – все они могут свидетельствовать в пользу заболевания.
Изменение корней легких на снимке подразумевает увеличение лимфатических узлов и нарушение микроциркуляции этой области. Бронхи не прослеживаются на рентген фото здорового человека, и их обнаружение говорит о воспалительном процессе. Выглядят они, как кольцевидные затемнения.
В некоторых случаях при воспалении легких бывает деформация стенки диафрагмы за счет наличия в синусах плевральной жидкости.
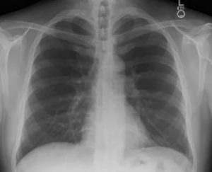
Чтобы понимать, на что делается акцент врачом-рентгенологом, нужно знать описание рентгенограммы здорового человека:
- Отсутствие участков затемнения по всем легочным полям.
- Корни структурны.
- Границы диафрагмы не изменены.
- Средостение обычных размеров.
- Реберно-диафрагмальные синусы без особенностей.
Если рентгеновское фото будет соответствовать снимку здорового человека, курс лечения можно прекращать.
Многие интересуются, можно ли обойтись без «облучения»? Да, при пневмонии рентгенография не обязательна. Но от этого страдает уровень диагностики болезни, а также контроль над освобождением легких пациента от микробных агентов. Поэтому после назначений врача нужно выполнить все его предписания, чтобы вовремя помешать инфекции вредить организму.
Пневмония на рентгене отличается в зависимости от ее вида. Сравнивая снимки, врач не только назначит или скорректирует терапию, но и проконтролирует развитие болезни и сможет убедиться в эффективности лечения.
Эффективность метода диагностики
Показания к назначению рентгена
Расшифровка результатов снимка по видам пневмонии
Признаки в начале заболевания
Рентген на стадии излечения
Особенности рентгенодиагностики атипичных пневмоний
Изменения на рентгене лёгких у детей
Источник: https://bimimi.ru/kashel/pnevmoniya-foto-rentgen-do-i-posle.html
Симптомы при воспалении легких частично похожи на проявления других заболеваний бронхолегочной системы. Поэтому врачи не ограничиваются выявлением жалоб и особенностей развития болезни, непосредственным обследованием пациента. Проводится ряд дополнительных инструментальных и лабораторных исследований.
Важно! Рентген легких при пневмонии с целью подтверждения заболевания является обязательным, без него диагноз нельзя считать достоверным.
Рентгенография при воспалении легких помогает не только установить диагноз и исключить другую патологию со сходными симптомами, но и проконтролировать лечение, своевременно выявить возможные осложнения, установить эффективность терапии. Обязательным является проведение исследования в двух проекциях.
Основные цели проведения исследования:
- для подтверждения диагноза пневмонии, вида заболевания, объема поражения;
- для диагностики затяжного течения, эффективности терапии;
- для контроля выздоровления и полного восстановления структуры легких;
- для исключения развития осложнений.
Рентген рекомендуется проводить детям после 14-16 лет. Противопоказаниями являются:
- беременность;
- крайне тяжелое состояние пациента;
- наличие сопутствующего продолжающегося кровотечения.
Эти противопоказания относительные. Если состояние требует незамедлительной диагностики вследствие прямой угрозы жизни, то исследование все же проводится. При этом максимально уменьшаются негативные последствия. Для беременных женщин используются дополнительные защиты живота и таза экранирующими фартуками.
https://youtube.com/watch?v=uuUMNSa25q8
Заболевание характеризуется пропотеванием жидкости в альвеолы, отечностью тканей, наличием в них большого количества клеток, в первую очередь лейкоцитов и макрофагов. Это проявляется клинически (в виде острого инфекционного воспалительного процесса) и рентгенологически.
Однозначные признаки пневмонии на рентгене – это затемнения какого-то участка легочного поля.
Выявляются очаговые тени либо распространенное, сливное снижение прозрачности. Характерны нечеткие размытые контуры.
Выделяют воспаление легких:
- Очаговое (поражен небольшой участок легочной ткани);
- Сегментарное (вовлечены в процесс один или несколько сегментов);
- Долевое (крупозное, захватывающее долю);
- Тотальное (поражение всего легкого).
Степень вовлечения различных структур легких и распространенность патологического процесса влияют на прогноз заболевания и определяют тактику лечения.
к оглавлению ↑
Принципиально отличаются рентгенограммы при пневмонии разных видов: очаговой бронхопневмонии, крупозной долевой и интерстициальной.
Необходимо помнить, что изменения, выявленные при рентгенографии, отстают по времени от клинических проявлений.
Появляются позднее симптомы и остаются на определенное время после исчезновения проявлений. Описание снимка максимально отображает разгар заболевания с воспалительными изменениями в легочной ткани и заполнением жидкостью альвеол.
При очаговом процессе выявляются:
- тени, нарушение прозрачности на ограниченном участке;
- увеличенный в размерах корень легкого (соответствует стороне поражения);
- деформированный, усиленный бронхиальный и легочный сосудистый рисунок в зоне повреждения.
Крупозное воспаление проходит несколько стадий.
Если сделать рентген-исследование в самом начале (стадия прилива), то при наличии типичных симптомов (высокой температуры тела, озноба, кашля, чувства нехватки воздуха, болей в области грудной клетки при глубоком вдохе) изменения могут быть неспецифическими.
Наблюдается:
- локально усиленный легочный сосудистый рисунок;
- прозрачность полей без изменений или незначительно снижена;
- немного расширен корень с пораженной стороны.
Эти изменения могут быть пропущены или отнесены к явлениям бронхита. После нескольких дней заболевания, при переходе в стадию опеченения уже видны все признаки, указывающие на воспаление легочной ткани и выпот в альвеолы.
Патология в этот период выглядит следующим образом:
- снижение прозрачности легочного поля;
- локальное резкое уменьшение воздушности и интенсивное затемнение;
- расширение корня на стороне воспаления;
- уплотнение плевральных листков.
Крупозная пневмония всегда протекает с реакцией плевры. При образовании выпота наблюдается затемнение в плевральной щели.
При интерстициальной пневмонии поражается соединительная ткань, располагающаяся вокруг альвеолярных структур и кровеносных сосудов легких (интерстиций). Воспалительные изменения, в первую очередь отечность ткани, приводит к нарушению газообмена. Основные особенности:
- периваскулярная и перибронхиальная инфильтрация, приводящие к неравномерному усилению, деформации легочного сосудистого рисунка;
- расширение корня легкого;
- полупрозрачные затемнения по типу «матового стекла»;
- изменения чаще локализуются в нижних отделах легких;
- возможна тяжистость на фоне уплотнения междольковых перегородок по типу «ветки дерева».
При адекватной терапии всех вариантов болезни ослабляются клинические проявления, воспалительный процесс в легких уменьшается.
После наступления стадии разрешения наблюдается динамика изменений пневмонии на снимке при контрольном исследовании. Наиболее характерно:
- уменьшение интенсивности затемнения, размеров теней;
- восстановление прозрачности легочной ткани;
- сохранение расширения корня легкого;
- усиление сосудистого рисунка в зоне очага воспаления;
- утолщение участков плевры при долевых процессах.
Полное восстановление структуры пораженного легкого происходит после клинического выздоровления. Измененной рентгенологическая картина выглядит еще не менее месяца.
к оглавлению ↑
Пневмония у ребенка склонна к распространению и сливному характеру повреждения. Очаговая способна быстро перейти в крупозную.
Наиболее характерные признаки заболевания у ребенка:
- очаговые тени небольших размеров (не более 2 мм в диаметре);
- локализация воспаления преимущественно в нижних отделах;
- высокая плотность затемнения при прогрессировании заболевания;
- возможно уплотнение и увеличение близко расположенных лимфоузлов (средостения);
- усиление легочного сосудистого рисунка, его деформация;
- изменение структуры и размера корня легкого на стороне поражения.
После клинического выздоровления наиболее долго сохраняются изменения сосудистого рисунка и корня легкого.
Необходимо наблюдать за состоянием ребенка, направлять лечебные мероприятия на полное восстановление не только пораженной легочной ткани, а и сопутствующего локального бронхита, признаки которого сохраняются на рентгене длительное время.
к оглавлению ↑
Атипичная пневмония отличается не только наличием атипичных возбудителей (клебсиелла, микоплазма, хламидия), а и особенностями проявлений. В первую очередь, это преобладание признаков дыхательной недостаточности (чувства нехватки воздуха) над симптомами воспаления (невысокая температура, незначительный кашель).
Рентгенологическая картина зависит от возбудителя. Основные признаки:
- слабой или средней интенсивности неоднородное локальное затемнение ткани легкого с наличием «размытых» теней;
- резкая деформация сосудистого и бронхиального рисунка, сетчатая структура изменений;
- возможно двустороннее очаговое поражение;
- вероятны округлые затемнения, занимающие долю легкого, с наличием плеврального выпота.
При своевременной диагностике и адекватном лечении эффективность терапии высокая. Однако на рентгене изменения могут сохраняться и после 4 недель.
В ряде случаев ограниченное уплотнение тканей плевры и легких (исход воспаления) остается необратимым.
Таким образом, использование рентгенографии при пневмонии помогает своевременно установить диагноз, определить форму заболевания. Это позволяет дифференцированно подобрать терапию, избежать развития осложнений и предотвратить угрозу не только здоровью, а и жизни пациента.
Статья помогла вам?
Дайте нам об этом знать — поставьте оценку
Загрузка…
Источник: https://opnevmonii.ru/pnevmoniya/rentgen-legkix-pri-pnevmonii.html
Поделиться:









