Полисинусит – патологический процесс, протекающий в придаточных околоносовых пазухах человека. Заболевание распространено в области отоларингологии, и свидетельствует об одновременном синусите двух и более полостей. Полисинусит различается по характеру течения и причинам возникновения недуга.
Перед лечением и постановкой диагноза стоит разобраться, что такое полисинусит у взрослых. Сочетанное воспаление двух придаточных пазух именуется полисинуситом.
Заболевание представляет одну из форм синуситов, но отличается воспалительным процессом в нескольких полостях. Различают 7 придаточных пазух:
- две верхнечелюстных или гайморовых;
- пара лобных полостей;
- решетчатые пазухи с обеих сторон;
- непарная клиновидная полость.
Синусы соединены между собой, что позволяет воздуху беспрепятственно проникать во все придатки. Полость выстлана железистым многослойным эпителием, и при возникновении внешнего или внутреннего провоцирующего фактора усиливается процесс образования слизи. В итоге развивается синусит, а при вовлечении в процесс нескольких пазух – полисинусит.
Важно! В большинстве случаев источником полисинусита является воспаление гайморовых пазух, откуда инфекция распространяется в другие синусные полости. Усугубляется течение заболевание слабой иммунной защитой.
Код МКБ 10 заболевания зависит от места локализации воспалительного процесса, но при установлении диагноза врачи отмечают характер патологии (острый или хронический) и пораженные придатки. Например, J01. 0 и 3 – что означает «острый полисинусит гайморовых и сфеноидальных пазух». Также врач указывает сторону воспаления: правая или левая.
Заболеванию характерна стадийность. В начале патологические изменения возникают в одной из придаточных пазух носа, а затем распространяются в полости близ расположенные.
На второй и третьей стадии развивается характерная клиническая картина и возникает угрожающее для здоровья пациента состояние.
Патология протекает в двух формах: острая и хроническая. В свою очередь формам присущи определенные причины недуга, с помощью которых определяется тип синусита двух (и более) пазух.
Острый процесс возникает в большинстве случаев по причине бактериального инфицирования. Патогенные агенты вызывают отечность полостей, затрудняя или перекрывая поступление кислорода. Источником инфекции может выступать вирулентный микроорганизм.
Клиническая картина заболевания в острой форме отличаются интенсивностью клинических проявлений и тяжестью воспалительного процесса. В нескольких полостях (чаще в двух) отекает слизистая оболочка, увеличивается количество слизи, пациент перестает дышать.
Симптомы схожи с проявлением синуситов, но возникают не в одной пазухе. Не исключается развитие двустороннего полисинусита.
Заболевание переходит в стадию хронизации по двум причинам:
- Затяжной не леченный ринит.
- Отсутствие терапии при остром гайморите, фронтите или сфеноидите.
Симптоматика имеет невыраженный характер, а при снижении иммунитета появляются признаки острого синусита. При хронической форме слизистая оболочка испытывает острый дефицит кислорода, при этом слизистое выделение износа может отсутствовать.
Постоянное присутствие патогенного микроорганизма или иной причины недуга негативно сказывается на глубоких слоях мерцательного эпителия.
Наступившие изменения ведут к дистрофическим и гиперпластическим изменениям, устранить которые возможно оперативным путем.
Относится к острой форме недуга. Гнойный острый полисинусит свидетельствует о присоединении бактериальной инфекции. Условно-патогенные микробы присутствуют в носовых полостях, не принося вред пациенту. Однако при снижении иммунитета и возникновение застойных явлений повышается температура в придатках, и микроорганизмы оказываются в благоприятных для размножения условиях.
Читать еще Ринофарингит у детей – симптомы и лечение
Гнойная форма недуга характеризуется стойкой гипертермией и выделением носовой слизи с прожилками зеленого или желтого цвета. Клинические признаки развиваются стремительно, причиняя больший дискомфорт. Из всех синуситов гнойная форма считается наиболее опасной:
- повышен риск проникновения микробов в системное кровяное русло;
- бактериальная обсемененность придаточных полостей может стать причиной менингококковой инфекции и абсцесса головного мозга;
- инфекция бактериального генеза приводит к тромбозу;
- сепсис и увеличенный риск фатального исхода.
Гнойный острый синусит у детей и взрослых протекает в осложненной форме и при отсутствии лечения приводит к серьезным осложнениям, вплоть до летального исхода. Ухудшается ситуация наличием нескольких очагов инфицирования.
Принадлежит к острой форме недуга, возникает на фоне ринита. В отличие от гнойного типа болезни, свидетельствует о начале инфекционно-воспалительного процесса.
Для данного типа заболевания характерны симптомы различной интенсивности. В большинстве случаев катаральный острый синусит возникает на фоне перенесенного гриппа, и является одним из видов осложнений ОРЗ.
Такие состояния как аллергия и вдыхание ядовитых паров сопровождаются катаральным видом болезни.
Образование полипов или кист в носовых ходах приводит к хроническому синуситу и полисинуситу. Полипы представляют собой доброкачественные образования из соединительной ткани. Зачастую кисты вырастают на эпителии, подверженном дистрофическим изменениям.
Новообразования перекрывают просвет околоносовых придаточных пазух, затрудняется приток кислорода и воздухообменного процесса. Заболевание имеет хроническую форму потому как развивается небыстро и постепенно.
Лечение консервативным путем носовых кист и полипов не приносит нужного эффекта.
Уплотнение слизистого слоя околоносовых полостей приводит к дистрофическим и гиперпластическим изменениям. Полисинусит гиперпластического типа – распространенная патология стадии хронизации.
Измененные участки эпителия теряют свою функциональность, разрастаются и выступают препятствием для поступления воздуха. Гипертрофия железистого эпителия сопровождается специфической клинической картиной.
Пациентов одолевает хроническая гипоксия, и чем дольше недуг остается нелеченым, тем выше риск к дистрофическим изменениям в коре головного мозга по причине стойкого дефицита кислорода.
Возникновение отоларингологического заболевания напрямую связано со снижением защитных сил организма. Инфекционный процесс распространяется по околоносовым синусам по нескольким причинам:
- грипп;
- острая респираторная вирусная инфекция;
- заболевания верхних дыхательных путей;
- иммунодефицит;
- механические травмы или хирургические вмешательства;
- бактериальная инфекция;
- грибковое поражение (например, при длительной антибиотикотерапии);
- врожденные аномалии строения носовых путей;
- аллергия;
- гормональный дисбаланс.
К факторам риска относятся вредные привычки (в особенности курение) и экологическая обстановка.
Механизм развития и причины полисинусита не отличаются от синусоидальных изменений носовых придатков. В основе недугов лежит иммунная лабильность, вызванная внешними и внутренними факторами.
Переохлаждение, не долеченный насморк или гиперчувствительность к лекарственным препаратам – факторы усугубляющие течение болезни.
Клинические проявления болезни зависят от формы и видовой принадлежности недуга. Однако выделяют общие симптомы, присущие каждому виду патологического процесса.
- Головная боль ввиду отсутствия носового дыхания и недостатка кислорода.
- Болевой синдром.
- Припухлость и одутловатость лица.
- Болезненность при пальпации пораженной области.
- Заложенность носа, отсюда и гнусавость голоса.
Характерными признаками острого полисинусита являются гипертермия, слизистое отделяемое из носа имеет зловонный запах и желтоватый оттенок. Отсутствие слизистых выделений свойственно катаральному виду болезни. В хронической стадии клиническая картина стертая, но сопровождается всегда нарушенным носовым дыханием. Температура и припухлость возникает реже.
https://youtube.com/watch?v=_ZVrWHuK37E
Читать еще Храп у мужчин – причины и лечение
Не исключается возникновение дополнительных или второстепенных признаков болезни:
- заложенность ушей;
- бессонница;
- нервозность;
- храп;
- сухой ночной кашель, переходящий в «собачий лай»;
- хрипота голоса;
- «блуждающая» головная боль;
- отсутствие аппетита;
- апатичность и раздражительность.
Неврологические симптомы обусловлены хроническим дефицитом кислорода и питательных веществ.
Диагностикой и лечением заболевания занимаются отоларингологи. Обратиться к врачу с соответственными жалобами следует на 6 день после возникновения первичных симптомов. 4-5 дней организм борется с инфекцией, но при недостатке сил заболевание повторяется с новой силой.
К диагностическим манипуляциям относятся:
- внешний осмотр больного;
- осмотр в зеркала слизистой носа;
- сбор анамнеза и жалоб;
- рентгенография;
- сбор слизистого отделяемого, для бактериологического исследования;
- лабораторные тесты крови на установление возможного воспаления.
Для полноты клинической картины проводится томография с применением высокотехнологичных методов, но метод исследования не является обязательным. Врачи прибегают к КТ в запущенных случаях.
Перед началом лечения важно установить форму и вид заболевания. От этих двух фактов зависит тактика и схема лечения. Комплексная терапия включает в себя лекарственные препараты различных фармацевтических групп:
- При гнойном виде лечение проводится антибиотиками широко спектра действия, как для местного применения, так и для общего. Терапия дополняется сосудосуживающими каплями и антисептическими раствора ми для промывания носовых путей.
- Острый катаральный синусит лечится противовоспалительными средствами, антигистаминами и иммуномодуляторами. Проводится также симптоматическое лечение: жаропонижающее и обезболивающее ГКС.
- Хроническая форма болезни полностью не излечивается, но постоянный прием витаминных комплексов, иммуностимулирующих препаратов и соблюдение здорового образа жизни продляет ремиссию.
Вне зависимости от вида полисинусита используются антисептические растворы на основе Фурацилина, Мирамистина или соленой воды. Промывание пазух улучшает состояние слизистой, вымывает патогенные агенты и ускоряет процесс регенерации эпителия.
Кроме консервативного способа применяется хирургия, например для удаления кист, полипозных образований и гиперпластических изменений. Показанием к проведению пункции является невозможность опорожнения скопившегося гноя в полости. Операция выполняется под местным наркозом.
Лечение полисинусита в домашних условиях должно быть обговорено с врачом, так как воспаление нескольких носовых придатков опасное состояние, требующее тщательного медицинского контроля. Домашняя терапия включает в себя использование растворов для промывания на основе лечебных отваров и соленой воды.
Часто используются капли из свежевыжатого сока каланхоэ или алоэ. Допускаются ингаляции с добавлением эвкалипта, прогревание пазух раскаленной солью и паровые ванночки для вдыхания паров с лечебным эффектом.
К опасным осложнениям на фоне полисинусита относятся менингит и абсцесс головного мозга. Не исключены флегмона глазниц, воспаление легочной ткани, разрыв костной ткани. Заболевание является причиной возникновения патологий сердца, печени и почечной системы. Хроническая форма болезни приводит к стойким нарушениям неврологического характера.
Профилактические мероприятия заключаются в приеме витаминных комплексов и в соблюдении простых правил:
- носить головной убор в непогоду;
- лечить насморк или заложенность носа;
- держать ноги в тепле;
- закаливать организм;
- минимизировать контакт с заболевшими людьми.
Не следует затягивать с визитом к врачу при возникновении неприятных и болезненных симптомах. Своевременное лечение синусита предупреждает осложнения в виде полисинусита.
Инфекционно-воспалительный процесс околоносовых придаточных пазух – заболевание непростое, но поддающееся лечению. Комплексная терапия и правильная защита позволяют избавиться от недуга в короткие сроки и предупредить развитие серьезных осложнений.
Источник: https://LechiNos.ru/zabolevaniya/polisinusit/
Полисинусит – это воспалительный процесс носовых пазух. Он может протекать остро или быть хроническим. Чаще всего развивается у людей после перелома перегородки носа, при анатомической особенности – узких носовых проходах, при увеличении носовых раковин, при аденоидах, полипах. Основной предрасполагающий фактор заражения – переохлаждение.
- 3 – парные: лобные, гайморовы, основные;
- 1 – непарная: клиновидная.
Каждая пазуха покрыта эпителиальной тканью, обладает соустьями, благодаря которым сообщается с носовой полостью, с другими пазухами. Пока человек здоров, циркуляция выделений слизистой проходит правильно, свободно.
Если в одну пазуху проникают патогенные бактерии, вирусы, то слизистая оболочка воспаляется, возникает синусит. Из-за воздействия провоцирующих факторов патология влияет сразу на несколько пазух – так развивается полисинусит.
При воспалении всех пазух с одной стороны – диагноз звучит, как гемисинусит, а сразу всех 7 пазух – пансинусит.
Когда процесс воспаления затрагивает носовую полость и сразу несколько пазух, то патология носит название ринополисинусита.
Пазухи занимают довольно большую площадь, соединяясь с носовой полостью через соустья. Получается, что внутренние пространства носа и синусов тесно связаны друг с другом.
Такая анатомия создает условия, чтобы в патологический процесс вовлекались последовательно все пазухи.
К физиологическим предпосылкам, которые вызывают воспаление в пазухах, относится ухудшение иммунитета по разным причинам:
- вирусные инфекции – вирусы гриппа, кори, ОРВИ, попадание патогенных бактерий;
- запущенный ринит;
- заболевания ЛОР-органов, верхнего отдела дыхательной системы;
В большинстве случаев болезнь является последствием неправильного лечения или его отсутствия при рините. Важно внимательно относиться к своему здоровью, чтобы не произошло распространения воспалительного процесса из носа в синусы. Насморк, который затянулся больше 7 дней – показание неотложной медицинской помощи.
Сочетанное поражение сразу нескольких околоносовых полостей часто возникает у людей с некоторыми анатомическими особенностями строения черепа лица:
- узкие носовые проходы;
- кривизна носовой перегородки после травмы или операции.
Эти отклонения от нормы мешают правильному воздухообмену между полостями, становятся препятствием для нормального оттока слизи, провоцируя полисинусит..
- Катаральный полисинусит – острое воспаление слизистой носа при отсутствии поражения бактериями. Для него характерен отек слизистых поверхностей, покраснение, перекрытие соустья, нарушение отхождения производимой слизи. Неотложные меры по лечению на данной стадии позволяют быстро выздороветь.
- Острый гнойный полисинусит с присоединением бактериальной инфекции – развивается, если терапия катарального не проводится. У него выраженная тяжелая симптоматика. Осложняется лечение полисинусита.
Острый полисинусит сопровождается такими признаками:
- Головные боли.
- Вязкие слизистые выделения при катаральной разновидности без нагноений и при гнойной – с нагноениями. Больше всего отделяемого накапливается во время ночного сна, так как гной стекает по задней стенке носоглотки вниз. Из-за этого по утрам появляется характерное рефлекторное покашливание.
- Сильная заложенность – бывает односторонней при процессе воспаления с одной стороны, или двусторонней – если патологический процесс затрагивает пазухи с двух сторон.
- Ухудшение обоняния.
- Гнусавость.
- Признаки интоксикации – подъем температуры, утомляемость, плохое самочувствие, потеря работоспособности.
Головная боль локализуется в затылочной зоне. Когда воспаление распространяется на основную и клиновидную пазухи – то темя и височную часть. При поражении лобной пазухи болевые ощущения локализуются в переносице. Гнойная форма сопровождается густыми отделениями с гноем из полости носа. Пациенты жалуются на неприятный привкус после ночного сна, при высмаркивании. При гнойном полисинусите сильнее выражено сдавливание в воспаленных пазухах, головная боль.
Хронический полисинусит сопровождается такими проявлениями:
- головные боли, но не такие интенсивные, как при острой форме;
- несильное повышение температуры тела или же показатели сохраняются в норме;
- скудное отделение гноя;
- боль, ощущение сдавливания в пораженных пазухах.
Зачастую человек игнорирует симптомы простуды, не идет к врачу. На самом деле уже при первой симптоматике поражения требуется медицинская помощь, чтобы предотвратить осложнения впоследствии. Полисинусит в основном осложняется вовлечением в процесс воспаления нижних дыхательных путей. Это провоцирует трахеит, бронхит и пневмонию.
При прорывах гноя увеличивается риск менингита, энцефалита, образуются гнойники глазниц или головного мозга. Изредка вовлекаются внутренние органы – бактериальное поражение почек, сосудов и сердца. Локальные прорывы могут потребовать неотложной операции.
Не нужно забывать, что полисинусит опасная болезнь, провоцирующая угрозу жизни.
- Острая форма полисинусита.
Распространение инфекции в носоглотке вызывает острый полисинусит. Он характеризуется ярко выраженной симптоматикой. Пациент жалуется на ощущение сильного дискомфорта, утрачивается работоспособность, становится невозможно вести привычный образ жизни.
Часто острая форма предполагает проведение терапии в стационаре. При бактериальном поражении назначается лечение антибиотиками – как правило, ставятся уколы Цефтриаксона. Для быстрого купирования воспаления нужен дополнительный прием антигистаминных (Тавегил, Цетрин) и глюкокортикостероидных (спрей Беконазе, Авамиз, Насобек), медикаментов.
Местно показаны сосудосуживающие капли, процедуры промываний полости носа физиологическим раствором или другими специальными препаратами. Целесообразно при остром полисинусите применять комбинированные средства – Афлубин или Эуфорбиум.
При сильном нагноении слизь практически перестает выделяться, поэтому требуется хирургическое вмешательство для удаления гноя, промывания носовых пазух. После этого лечение организуется по стандартной описанной схеме.
- Хроническая форма – полисинусопатия.
Нарушение указаний врача при лечении острой формы или самолечение провоцирует преобразование его в хронический. Он опасен по причине высокого риска развития осложнений разной тяжести – от отита до менингита.
https://youtube.com/watch?v=cyyiCsqL_fE
В процессе лечения обязательно проводится антибактериальная терапия с дополнительной организацией физиотерапевтических процедур и регулярным промыванием пазух носа.
Полипозная разновидность полисинусита возникает вследствие разрастания слизистой поверхности, закупорки соустий. Основной этап лечения при данной патологии – это хирургическое вмешательство для удаления полипов. Далее терапия проводится по стандартной схеме.
Операция также требуется, когда консервативное лечение не принесло результатов, а мучительные симптомы сохраняются.
Предотвратить поражение полисинуситом можно благодаря проведению общеукрепляющих мероприятий, а именно – физические нагрузки и ведение здорового образа жизни.
При этом важно избегать переохлаждения, сильного утомления, постоянно следить за иммунитетом, при необходимости поддерживать его правильную работу. Если поражение все-таки произошло, нужно срочно обратиться к специалисту для назначения лечения насморка.
Не нужно забывать о препаратах для устранения отеков слизистой носа.
Чтобы не допустить возникновения поражения, важно не запускать обычные простудные заболевания, проводить их правильную своевременную терапию. Симптомы и лечение полисинусита должен контролировать врач.
Обязательно требуется заниматься устранением проявлений ринита. Даже при легком подозрении на полисинусит, при болевых ощущениях в лицевой части нужно срочно посетить доктора.
Еще больше полезных статей о ЛОР заболеваниях можете найти на сайтеhttps://lor-uhogorlonos.ru/
Источник: https://zen.yandex.ru/media/id/59f9a0235a104fe1e0d6eaf6/5aefd7f1fd96b16361b94685
Полисинусит – воспаление слизистой оболочки двух и более околоносовых пазух. Может быть острым и хроническим.
Как и при других заболеваниях околоносовых пазух, предрасполагающими факторами развития полисинусита являются изменения анатомии полости носа – искривления, шипы и/или гребни перегородки носа, узость носовых ходов, гипертрофия носовых раковин, a так же хронические заболевания полости носа. Пусковым фактором для развития полисинусита могут стать простудные заболевания, ОРВИ, грипп.
При появлении вышеперечисленной симптоматики необходимо сразу обратиться к ЛОР-врачу. Для постановки диагноза специалист беседует с больным, выясняя все подробности развития и течения заболевании.
Проводится оториноларингологический осмотр, эндоскопическое исследование полости носа и носоглотки, которое в настоящее время является обязательным (однако имеется в оснащении далеко не всех ЛОР – кабинетов). Подтверждают диагноз данные рентгенологического исследования.
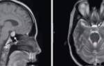
На сегодняшний день предпочтение отдается компьютерной томографии околоносовых пазух, что объясняется более высокой точностью и детальностью информации на снимке по сравнению с таковой на обычной рентгенограмме.
Точность данных исследования необходима при патологии околоносовых пазух ввиду анатомической близости к ним глазниц и структур головного мозга.
После получения результатов обследования ЛОР-врач назначает лечение которое заключается в улучшении оттока патологического отделяемого из пазух, для этого применяются сосудосуживающие капли в нос (3-5 дней); врач проводит анемизацию полости носа ( в носовые ходы вводятся турунды, пропитанные лекарственным препаратом, обладающим сосудосуживающим и противоотечным действием); назначаются препараты, направленные на разжижение гнойного отделяемого ( так называемые муколитики или секретолитики). Так же необходима системная антибактериальная терапия (прием антибиотиков). Как правило, данных мероприятий оказывается достаточно для купирования процесса.
Лечение должно проводиться строго под контролем врача! После купирования острого процесса необходимо устранение предрасполагающего фактора или факторов (хирургическое лечение хронической патологии полости носа и околоносовых пазух, устранение вышеперечисленных анатомических изменений полости носа). Обострению хронического полисинусита часто предшествуют переохлаждение, грипп, ОРВИ. Необходимо помнить, что формирование хронического процесса происходит при неправильном лечении острого воспаления одной или нескольких пазух.
Полипозный гайморит (синусит) – это заболевание воспалительной природы в гайморовых пазухах, на фоне которого в полости носа развиваются полипы. При обнаружении признаков подобной патологии нужно немедленно обратиться за медицинской помощью, чтобы избежать развития негативных последствий.
Полипозный гайморит представляет собой патологию, локализующуюся в придаточных пазухах носа, его причисляют к синуситам полипозной формы. Чтобы диагностировать заболевание, используют инструментальные методики: КТ, эндоскопическое и рентгенографическое исследование гайморовых пазух.
Самый действенный способ обнаружить полипозный гайморит – проведение осмотра полости носа посредством эндоскопа. Благодаря данной манипуляции можно по максимуму точно обследовать все области гайморовых пазух, и выяснить в каком состоянии они находятся.
Медицинский носовой эндоскоп представляет собой тоненькую трубочку с оптоволоконным кабелем внутри. Прежде чем приступить к эндоскопическому осмотру, к аппарату подсоединяют видеокамеру и источник света, которые позволяют рассмотреть синусы на мониторе.
Перед тем как приступить к проведению эндоскопического осмотра придаточных пазух носа, больному прописывают прием анестезирующих и противоотёчных медикаментов для снижения чувствительности носовых слизистых оболочек, уменьшению отёчности в них. Это способствует корректному проведению диагностики без дискомфорта для пациента.
На фоне полипозного гайморита существует возможность развития некоторых тяжёлых осложнений, способных замедлить процесс терапии:
- Увеличивается слизистая оболочка и разрастаются полипы.
- Обе ноздри становятся непроходимыми.
- Из носовых полостей выделяется обильное гнойное содержимое.
- Ухудшается обонятельная функция.
- Развивается воспаление в близлежащих органах.
Данное заболевание способно существенно навредить организму. Поэтому во избежание возможных проблем нужно своевременно обратиться за помощью к специалисту.
Цель терапии при полипозном гайморите заключается в восстановлении аэрации и полноценного функционирования носовой слизистой, устранении воспалительных процессов в синусах. Чтобы достигнуть желаемого результата, консервативное лечение может быть недостаточным. Чаще всего при такой форме заболевания приходится прибегнуть к помощи хирургического вмешательства.
При полипозном гайморите почти всегда требуется оперативное вмешательство. Зачастую прибегают к помощи малоинвазивной операции. В особенности это относится к лечению пациентов детского возраста. В процессе проведения манипуляции удаляют полипозную ткань, исправляют деформированную перегородку носа и увеличенные носовые пазухи.
Операция при полипозном синусите – это достаточно точная и безболезненная процедура. Опасность занесения инфекции и возможность затронуть здоровые ткани минимальные.
Продолжительность хирургического вмешательства в пределах часа, а длительность реабилитационного периода – максимум 3 недели.
Хотя у данной методики имеется недостаток – существует вероятность формирования онкологической патологии в тканях, подвергавшихся оперативному вмешательству.
Диагностика и лечение при полипозном гайморите должна проводиться специалистом-отоларингологом. Однако в виде вспомогательных способов терапии можно прибегнуть к помощи народных средств, но лишь с разрешения доктора. Самые эффективные методы лечения:
- Промывание чистотелом. Чтобы восстановить воспалительный процесс и ускорить заживление раневой поверхности, можно воспользоваться раствором с чистотелом. Это народное средство нередко применяют в терапевтических целях после оперативного лечения, чтобы предупредить занесение инфекции. Чтобы приготовить целебный раствор, нужно взять 1 ст. ложку сушеной измельченной травы и залить горячей водой в объёме 250 мл. Состав нужно настоять в течение 1 часа. Для промывания нужно пользоваться чуть тёплым раствором во избежание травмирования слизистой. Оптимальное время проведения процедуры – на ночь. Перед этим нужно очистить носовые пазухи с помощью кипяченой воды. Продолжительность курсовой терапии – максимум 3 недели.
- Применение мумиё. Прежде чем приступить к использованию в терапевтических целях этого средства, нужно проверить, как реагирует на него организм. Если применение порошка приводит к усугублению состояния, от него придется отказаться. Для приготовления средства нужно взять 2 грамма мумие, добавить в него кипяченую воду в количестве пол чайной ложки и глицерин – 1-2 капли. Прежде чем наносить смесь, надо очистить носовые проходы от слизистого и гнойного содержимого. Составом следует обработать полипозные формирования и оставить на полчаса, а потом смыть. Длительность курсовой терапии 10 суток с двукратным проведением манипуляции ежедневно.
- Сок облепихи и зверобоя. Под действием облепихи и зверобоя происходит уменьшение отёчности в тканях, также эти травы способствуют дезинфекции, улучшению оттока гнойного и слизистого секрета, нормализации дыхательной функции. Для выполнения манипуляции нужен свежевыжатый сок растений. Этим средством нужно проводить обработку полипов, но предварительно надо очистить носовые проходы. Если средство не вызывает побочной реакции, манипуляция может проводиться до нескольких раз в сутки. Причем каждый раз перед обработкой необходимо проводить чистку носовых полостей. Продолжительность терапии – примерно 20-30 суток.
- Промывание ромашкой. Ромашковый цвет в количестве 1 ст. ложки надо заварить стаканом горячей воды и оставить настаиваться в течение часа. По истечении времени раствор процедить и использовать для промывания носовых проходов до нескольких раз в сутки. Продолжительность лечения минимум 1 месяц.
- Промывание с английской солью. Английскую соль в количестве 1 ч. ложки разбавить в стакане кипяченой остывшей воды. Полученный раствор использовать для промывания носовых ходов минимум 1 раз в сутки на протяжении 7 дней.
- Применение сока алоэ. Если свежесрезанное растение не доступно, можно купить готовый сок алоэ в аптеке. Из этого комнатного растения можно приготовить много целебных средств. Один из рецептов, используемых при гайморите – сок алоэ с добавлением мёда. Нужно взять листок цветка, промыть его в проточной воде и измельчить с помощью блендера. Полученную массы процедить, а образовавшуюся жидкость прокипятить на водяной бане в течение 5 минут. Перед применением раствор следует остудить, перемешать в одинаковых объёмах с мёдом и использовать для закапывания носа по 2-3 капельки трижды в сутки. Это средство обладает антибактериальным, ранозаживляющим, противовоспалительным и болеутоляющим свойством.
Если использовать народные средства на фоне основного лечения полипозного синусита, стоит учесть, что получить желаемый результат мгновенно нельзя. По этой причине многие врачи советуют использовать средства нетрадиционной медицины только в качестве вспомогательных способов.
Антигистаминные препараты при подобной форме гайморита помогают устранить отёчность, нормализовать выработку слизистого секрета, предупредить рост полипозных образований. Чаще всего при полипозном синусите врач может назначить прием Зиртека, Ходака, Кларитина, Фенистила.
Для замедления роста полипозных формирований и устранения воспалительного процесса отоларинголог может прописать лечение гормональными средствами.
https://www.youtube.com/watch?v=4_IFj9dcyw8
В некоторых случаях при полипозном синусите может потребоваться антибиотикотерапия. С этой целью используют таблетки, суспензии, капли и спреи с антибактериальным действием. Для перорального применения чаще всего назначают Амоксиклав, Супракс, Сумамед, Амоксициллин.
Чтобы уничтожить патогенную микрофлору на носовых слизистых, рекомендован прием Полидексы, Изофры и прочих препаратов.
Чтобы ускорить процесс выздоровления при полипозном гайморите, спровоцированном грибками, назначается прием антимикотическими лекарствами. Обычно в этом случае показан прием Флуконазола и Амфотерицина В.
К несчастью, когда на фоне полипозного гайморита проведено хирургическое вмешательство, существует вероятность повторного возникновения полипов. По этой причине требуется строгое соблюдение следующих профилактических мер во избежание рецидива:
- Запрещено пользоваться в терапевтических целях ингаляциями с горячим паром. Это способно привести к активному разрастанию полипозных формирований и обильному выделению гнойного секрета.
- При аллергической форме патологии необходимо полностью отказаться от контакта с раздражителем. Кроме того, не следует забывать принимать антигистаминные лекарственные средства.
- Если человек, которому диагностирован полипозный синусит, курит, придется отказаться от такой пагубной привычки. Это объясняется тем, что под влиянием никотинового дыма начинается развитие воспалительного процесса на слизистой.
- Когда причина развития патологии связана с искривлением носовой перегородки, требуется исправление дефекта.
- Требуется регулярное укрепление иммунной систему, соблюдение здорового образа жизни, а также правильного питания.
- Периодически посещать отоларинголога.
Если придерживаться данных профилактических мер, можно свести к минимуму вероятность повторного развития полипозных формирований в придаточных пазухах носа.
Полипозный гайморит является хроническим заболеванием. Данная форма патологии протекает в стадии обострения и ремиссии. По этой причине нужно после проведения операции все время контролировать состояние пациента и соблюдать профилактические меры. Это поможет укрепить состояние здоровья человека и предупредить повторное развитие заболевания.
Источник: https://1doctorlor.ru/gajmorit/polipoznyj-sinusit.html
Полипозным риносинуситом называется хроническое ЛОР-заболевание, характеризующееся воспалением слизистой носовой полости и синусов (придаточных пазух) с образованием наростов в виде полипов.
Последние представляют собой доброкачественные новообразования, возникающие на фоне аномального разрастания слизистой. Они имеют узкое основание (ножку) и округлой формы верхушку. Распространенность заболевания среди населения составляет 0,05%.
Мужчины болеют чаще женщин. В группу риска входят молодые люди 40-45 лет.
Полипы являются доброкачественными опухолями. Их возникновение объясняется появлением воспалительных очагов, которые поражают мягкие ткани пазух носа.
Такое патологическое состояние препятствует проникновению питательных веществ, в результате чего происходит истончение и потеря пластичности слизистой. Организм пытается вернуть ее в первоначальное состояние.
Такие опухоли всегда зарождаются целой россыпью. Они обустраиваются на стенках пазух, создавая группы. В итоге полноценное проникновение воздуха и жидкостей там нарушается. А полная блокировка носовой полости заставляет человека вдыхать и выдыхать воздух через рот.
Следует сказать, что хронический полипозный риносинусит (по МКБ-10 код J01), несмотря на похожую клиническую картину и причины развития, — это отдельное заболевание. В отличие от названной патологии, при синусите аномальные опухоли появляются в области околоносовых пазух.
В медикаментозную терапию входят:
- Стероидные противовоспалительные препараты. Их назначают в виде препаратов местного действия, как правило, это спреи.
- Антигистаминные препараты. Они помогают снять отек и снизить воздействие аллергена.
- Антибактериальные препараты назначают в случае если риносинусит имеет бактериальную природу и пазухи гноят.
- Стабилизаторы мембран тучных клеток обладают также противоаллергенным действием.
- Иммуностимуляторы. Эти препарат часто назначают при полипозном риносинусите, так как полипы образовываются при сниженном иммунитете. Наряду с этими препаратами назначаются антиоксиданты и препараты для очистки организма от токсинов.
Целью медикаментозного лечения полипозного риносинусита является остановка распространения гиперплазии слизистой оболочки и появления новых полипов. Для этого врач рассчитывает нужные дозировки гормональных препаратов.
Если медикаментозная терапия будет некорректной, то после удаления полипов хирургическим путем они опять появятся.
Глюкокортикоиды назначаются перед проведением операции для того, чтобы максимально уменьшить отечность в придаточных пазухах и носовых ходах, также они предупреждают образование обструкции бронхов. Очень важно, что эти препараты уменьшают приток крови к этим областям слизистой оболочки, при этом травматизация слизистой оболочки будет намного меньше.
Хирургическое лечение необходимо при полипозном риносинусите. Только таким способом их можно удалить полностью. Этот этап важен, так как только после этого можно восстановить нормальный процесс носового дыхания. Удаление полипов происходит несколькими способами:
- лазером;
- электрическим током;
- шейверным методом (с помощью эндоскопа);
- специальной петлей.
Эндоскопическая операция или шейверный метод – это современный метод, который применяют сегодня наиболее часто. При этом врач использует специальный набор инструментов и шейверов. Это позволяет провести одновременное удаление полипов и коррекцию разного характера, так как при этом врач может наблюдать весь процесс на мониторе.
Хирургическое лечение может применяться с несколькими основными целями.
Среди них удаление образований, при потребности проводится коррекция деформаций носовых ходов, коррекция соустий (проводится изменение их размеров, вскрытие пазух решетчатого типа).
Среди аномалий при хирургической операции могут устранять деформацию носовой перегородки, гипертрофические участки слизистой оболочки носовых раковин и т. д.
Хирургическое лечение при полипозном риносинусите – это полиативное вмешательство, которое помогает восстановить носовое дыхание, но окончательно вылечить его можно только при помощи консервативного лечения. После операции также улучшается доступ к придаточным пазухам для кортикостероидов.
Удаление полипов лазером – это малоинвазивная процедура, при которой хирургическое вмешательство минимальное, также и травматизация слизистой оболочки минимальная.
Медицинские инструменты при этом не используются, а значит, вероятность инфицирования сводится к нулю.
При удалении полипов с помощью лазера не повреждается здоровая ткань. Так как лазерный луч точно направляется на полипозную ткань и делается бескровный шов.
Точные предпосылки к развитию хронического полипозного риносинусита пока не известны. Среди благоприятных условий специалисты выделяют следующие:
Источник: https://gb4miass74.ru/bolezni/hronicheskij-polipoznyj-rinosinusit.html
Поделиться:







