Анатомическое строение легких, их способность наполняться воздухом, беспрепятственно пропускающим рентгеновское излучение, позволяет получить при проведении рентгеноскопии, снимок, в деталях отражающий все структурные элементы легких.
Однако, затемнение в легких на рентгене, далеко не всегда отображает изменения в тканях самого легкого, поскольку на уровне легких находятся другие органы грудной клетки и, следовательно, пучок излучения, проходя сквозь тело, проецирует на пленке наложенное друг на друга изображение всех органов и тканей, попадающих в его диапазон.
В связи с этим, при обнаружении любого затемненного образования на снимке, перед тем как ответить на вопрос, что это может быть, необходимо провести четкую дифференцировку локализации патологического очага (в тканях грудной клетки, диафрагме, плевральной полости или, непосредственно, в легких).
На рентгенографическом снимке, выполненном в передней проекции, контуры легких образуют легочные поля, по всей площади, пересекаемые симметричными тенями ребер.
Крупная тень, между легочными полями образуется совокупным наложением проекции сердца и магистральных артерий.
Все патологические изменения, отражаемые на рентгене можно разделить на три группы.
Появляются на снимке, в тех случаях, когда здоровая часть легкого замещается патологическим образованием или веществом, вызывая вытеснение воздушной части более плотными массами. Как правило, наблюдается при следующих заболеваниях:
- закупорка бронха (ателектаз);
- накопление воспалительной жидкости (пневмония);
- доброкачественное или злокачественное перерождение тканей (опухолевый процесс).
Эту группу изменений можно считать наиболее распространенной. Несмотря на огромный перечень патологий легких, все возможные изменения рентгенологической картины можно отнести к одному из 5 синдромов:
- тотальное (полное) или субтотальное (практически полное) затемнение;
- ограниченное затемнение;
- круглая (шаровидная) тень;
- кольцевидная тень;
- очаговое затемнение.
Просветления на снимке отражают уменьшение плотности и объема мягких тканей. Как правило, подобное явление имеет место при образовании в легком воздушной полости (пневмоторакс).
В связи со специфическим отражением результатов рентгенографии на фотобумаге, участки, легко пропускающие излучение, отражаются более темным цветом вследствие более интенсивного воздействия рентгена на ионы серебра, содержащиеся в фотобумаге, участки более плотной структуры имеют светлую окраску. Формулировка «затемнение» на снимке фактически отражается в виде светлого участка или очага.
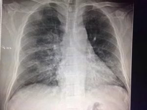
На рентгеновском снимке легочный рисунок здоровых легких
Тотальное затемнение легкого на рентгеновском снимке представляет собой полное или частичное затемнение (не менее 2/3 легочного поля). При этом возможны просветы в верхней или нижней части легкого.
Основными физиологическими причинами проявления такого синдрома являются отсутствие воздуха в полости легкого, увеличение плотности ткани всей поверхности легкого, содержание в плевральной полости жидкости или какого-либо патологического содержимого.
К болезням, способным вызвать подобный синдром можно отнести:
Что такое бронхоскопия?
- ателектаз;
- цирроз;
- экссудативный плеврит;
- пневмония.
Для осуществления дифференциальной диагностики заболеваний, опираться необходимо на два основных признака. Первый признак заключается в оценке расположения органов средостения.
Оно может быть правильным или со смещением, обычно в сторону противоположную очагу затемнения.
Основным ориентиром при выявлении оси смещения является тень сердца, находящаяся большей частью левее средней линии груди, а меньшей правее, и желудок, наиболее информативной частью которого, является воздушный пузырь, всегда четко просматриваемый на снимках.
https://youtube.com/watch?v=MCvf-qaVIXc
Второй признак, позволяющий идентифицировать патологическое состояние – это оценка однородности затемнения. Так, при однородном затемнении, с высокой долей вероятности можно диагностировать ателектаз, а при неоднородном – цирроз.
Расшифровка результатов, полученных при помощи рентгенографического метода, заключается в комплексной оценке всех визуально обнаруженных патологических элементов в сопоставлении с анатомическими особенностями каждого конкретного пациента.
Для выявления причин появления ограниченного затемнения легочного поля, необходимо выполнить снимок в двух направлениях – в прямой проекции и боковой.
По результатам полученных изображений, важно оценить какова локализация очага затемнения.
Если тень на всех снимках находится внутри легочного поля, и сходится размерами с его контурами или имеет меньший объем, логично предположить поражение легкого.
При затемнении, примыкающем широким основанием к диафрагме или органам средостения можно диагностировать внелегочные патологии (жидкостные включения в плевральной полости). Другой критерий оценки ограниченных затемнений – это размер. В этом случае следует рассматривать два возможных варианта:
- Размер затемнения четко повторяет контуры пораженной части легкого, что может свидетельствовать о воспалительном процессе;
- Размер затемнения меньше нормальных размеров, пораженного сегмента легкого, что говорит о циррозе легочной ткани или закупорке бронха.
Особо следует выделить случаи, при которых имеется затемнение нормальных размеров, в структуре которых прослеживаются светлые очаги (полости). В первую очередь, в этом случае, необходимо уточнить, содержится ли в полости жидкость.
Для этого выполняют серию снимков в различных положениях больного (стоя, лежа или при наклоне) и оценивают изменения в уровне, предполагаемой верхней границы жидкостного содержимого.
Если жидкость присутствует, диагностируют абсцесс легкого, а если ее нет, то вероятный диагноз – туберкулез.
На рентгеновском снимке ограниченное затемнение легких в двух проекциях
Синдром круглой тени констатирую тогда, когда пятно на легких имеет круглую или овальную форму на двух выполненных перпендикулярно друг другу снимках, то есть спереди и сбоку. Для расшифровки результатов рентгенографии при обнаружении круглой тени опираются на 4 признака:
- форма затемнения;
- локализация затемнения относительно близлежащих органов;
- четкость и толщина ее контуров;
- структура внутреннего поля тени.
Поскольку тень, отраженная на снимке, в пределах легочного поля, может в действительности находиться за его пределами, оценка формы затемнения может существенно облегчить диагностику.
Так, округлая форма характерна для внутрилегочных образований (опухоль, киста, инфильтрат, наполненный воспалительным содержимым).
Овальная тень в большинстве случаев является результатом сдавливания круглого образования, стенками легкого.
Высокую информативность имеет, и структура внутреннего поля тени.
Если при анализе результатов, очевидна неоднородность тени, например, более светлые очаги, то с высокой степенью вероятности, можно диагностировать распад некрозированной ткани (при распадающемся раке или распаде туберкулезного инфильтрата) или формирование полости. Более темные участки, могут говорить о частичной кальцинации туберкуломы.
Четкий и плотный контур, свидетельствует о наличии фиброзной капсулы, характерной для эхинококковой кисты. К синдрому круглой тени относят только те тени, которые имеют в диаметре более 1 см, тени меньшего диаметра считаются очагами.
Кольцевидное пятно на легком на рентгене, является наиболее простым для выполнения анализа синдромом. Как правило, кольцевидная тень появляется на рентгене в результате формирования полости, наполненной воздухом.
Обязательным условием, при котором обнаруженное затемнение относят к синдрому кольцевидной тени – это сохранение замкнутого кольца при выполнении снимков во всех проекциях и в различных положениях тела пациента.
Если хотя бы на одном из серии снимков кольцо не будет иметь замкнутое строение, тень можно считать оптической иллюзией.
https://youtube.com/watch?v=3WIGWb-PPE8
При обнаружении полости в легком следует оценить равномерность и толщину ее стенок. Так, при большой и равномерной толщине контура, можно предполагать воспалительное происхождение полости, например, туберкулезная каверна.
Аналогичная картина наблюдается при абсцессе, когда происходит гнойное расплавление тканей с удаление содержимого через бронхи.
Однако при абсцессе, остатки гноя, чаще всего, продолжают находиться в полости и их полное удаление довольно редкое явление, поэтому обычно такая полость – это туберкулезная каверна.
Важно! Основной сложностью при оценке кольцевидной тени, является определение локализации образования, так как в большинстве случаев подобный синдром наблюдается при внелегочных процессах (деформация ребер, газы в кишечнике, газы в плевральной полости).
На снимке кольцевидная тень определяется в нижней доле правого легкого
Пятна на легких размером более 1 мм и менее 1 см считаются очагами.
На рентгеновском снимке можно увидеть от 1 до нескольких очагов, расположенных на значительном расстоянии друг от друга или группой.
Если площадь распределения очагов не превышает по площади 2 межреберных пространства, поражение (диссеминация) считается ограниченным, а при распределении очагов на большей площади – диффузным.
Основными критериями оценки очаговых затемнений считаются:
- площадь распространения и расположение очагов;
- контуры затемнений;
- интенсивность затемнений.
При расположении одного или нескольких затемнений в верхних отделах легкого – однозначный признак туберкулеза.
Множество очагов при ограниченном распространении является признаком очаговой пневмонии или результатом распада туберкулезной каверны, расположенной, как правило, несколько выше обнаруженных очагов.
В последнем случае, на снимке может наблюдаться еще и круглая или кольцевидная тень.
В качестве причины появления одиночного затемнения в любой части легкого, в первую очередь, рассматривают вероятность развития рака или метастаза опухоли. Об этом же свидетельствуют четкие контуры тени. Нечеткие контуры свидетельствуют о воспалительном происхождении затемнений.
Для оценки интенсивности затемнений, их сравнивают с изображением сосудов, визуализирующихся на снимке.
Если выраженность очага уступает тени сосуда – это малоинтенсивное затемнение, характерное для очаговой пневмонии или инфильтрированного туберкулеза.
При среднем и сильном затемнении очага, когда выраженность равна или темнее сосудистого рисунка, можно судить о затухании туберкулезного процесса.
На снимке мелкоочаговые затемнения
Важно! Независимо от того, какие изменения наблюдаются на рентгеновском снимке легких, при анализе результатов следует учитывать присутствие нормального легочного рисунка, для которого характерно присутствие теней сосудистой системы.
В подавляющем большинстве случаев на основании рентгенографии легких нельзя поставить окончательный диагноз, так как анализ полученного снимка позволяет выявить лишь синдром, характерный для того или иного заболевания.
Если рентген показал затемнение какого-либо участка, то для уточнения диагноза и оценки динамики развития болезни, необходимо провести комплекс лабораторных исследований и дополнительную диагностику с помощью МСКТ, бронхографии, биопсии и т. д.
Источник: https://apkhleb.ru/rentgen/zatemneniya-legkih-rentgene
Раз в год всем жителям страны предлагается пройти профилактический медицинский осмотр. В него обязательно входит флюорография легких. Это делается для того, чтобы предупредить появление и развитие туберкулеза в самом начале.
Дело в том, что в нашей стране с каждым годом все увеличивается количество людей, заболевших туберкулезом. Хотя и смертность от этой болезни постепенно уменьшается.
Иногда на снимке заметно бывает некоторое затемнение легких. Многие люди, узнав про это, поддаются панике. А зря. Сначала надо выяснить причину. Ведь не всегда пятна на легких при флюорографии могут означать серьезное заболевание. Затемнения в легких бывает по многим причинам.
Для начала надо разобраться, какие бывают виды темных пятен и каково их происхождение.
https://youtube.com/watch?v=TaaOdAak7KA
Выделяют несколько типов потемнений в легких на рентгене:
- очаговые,
- фокусные,
- сегментарные,
- долевые,
- содержащие жидкость,
- неопределенной формы.
Что подразумевается под очаговыми затемнениями? Это маленькие пятнышки в виде узелков. Они могут проявляться при опухолях и воспалениях, сосудистых нарушениях. Но только по одному снимку нельзя сделать вывод о заболевании. Надо пройти дополнительное полное обследование. Сюда входят: рентгеновский снимок, компьютерная томография, анализы крови и мочи, исследование мокроты.
При сочетании очаговых затемнений и кашля с повышенной температурой можно предположить о развитии бронхопневмонии.
Иногда анализы крови бывают в норме, а пациент с подобными затемнениями проявляет жалобы на слабость, отсутствие аппетита, сильный кашель. Это может быть признаком развития очагового туберкулеза. Также очаговые затемнения в легких на флюорографии бывают проявлением инфаркта легкого, онкологических процессов в легком и многих других заболеваний.
Фокусные затемнения – это темные пятна округлой формы, имеющие размер в диаметре больше десяти миллиметров. Их присутствие указывает на многие заболевания, например, на:
- пневмонию,
- бронхиальную астму,
- кисту, наполненную воздухом,
- туберкулому,
- абсцесс.
Также можно предположить наличие опухолей. Иногда такое явление свидетельствует о переломе ребра.
Сегментарные затемнения в легких на флюорографии указывают на то, что это:
- пневмония,
- рак,
- наличие инородного тела в легком,
- туберкулез,
- метастазы в других органах.
Все зависит от того, сколько таких сегментов и какой они формы. Часто сегментарные затемнения в легких на флюорографии бывают в виде треугольника. Иногда дети вдыхают мелкие части игрушек, и это прослеживается на флюорографическом снимке как сегментарное пятно на легких.
При долевых затемнениях хорошо видны очертания. Они встречаются разной формы: выпуклой, вогнутой, прямолинейной и т.д. Такое явление может говорить о:
- возможном хроническом легочном заболевании,
- циррозе,
- бронхоэктазии,
- гнойных воспалениях,
- опухоли.
Если затемнение содержит жидкость, это значит, что развивается отек легких. Он бывает двух видов:
- Гидростатический отек. Он бывает при повышенном давлении в сосудах. Жидкость при этом выходит из сосуда и попадает в альвеолу, затем наполняет легкое. Это бывает при таких заболеваниях, как: стенокардия и другие сердечнососудистые патологии.
- Мембранозный. Бывает, когда токсины вытесняют жидкость из сосудов в легкое.
Темное пятно в легких неопределенной формы указывает на развитие стафилококковой пневмонии. Также это может свидетельствовать об инфаркте легкого, отеке, опухоли, кровоизлиянии, скоплении плевральной жидкости и других заболеваниях, которые надо подтвердить с помощью полного обследования.
Надо сказать, что на снимках бывают не только затемнения, при эмфиземе, например, бывает видно белое пятно в легких на рентгене. Также белые пятна бывают при попадании инородных тел в дыхательные пути.
Часто расположение затемнений может о многом рассказать. Одиночное пятно часто указывает на опухоль. Множественные пятна на легких говорят о наличии туберкулеза, воспалении, скоплении жидкости.
Если затемнение находится в верхней части легкого, это, скорее всего туберкулез. Пятно с нечеткими границами говорит о развитии пневмонии. Определенная форма затемнения указывает на инфаркт легкого или кровоизлияние. Если человек курит в течение долгого времени, на ФЛГ тоже будут изменения. Легкие курильщика обычно покрыты темными пятнами.
Обычно после прохождения флюорографии человек получает на руки снимок с расшифровкой. В ней встречаются фразы, иногда пугающие пациента.
Надо рассмотреть, что они значат.
- Расширение корней на снимке указывает на развитие бронхита или пневмонии.
- Фиброзная ткань говорит о перенесенных ранее воспалительных процессах в легких, а также операциях или травмах.
- Тяжистые корни бывают у курильщиков или больных бронхитом.
- Присутствие кальцинатов говорит о том, что у человека была встреча с больным туберкулезом. Но инфицирования не произошло.
- Диафрагма изменена у больных ожирением, плевритом или заболеваниями органов ЖКТ.
- Фокусными тенями называются различные затемнения.
- Рисунок сосудов усугублен – значит, присутствуют заболевания сердечно-сосудистой системы, а также бронхит или пневмония. Можно предположить даже онкологию.
- Синус – значит, есть воздушные полости. Обычно у здоровых людей они заполняются воздухом, а у больных пневмонией или туберкулезом – жидкостью.
- Средостения смещены (расширены). Значит, есть патология сердечно-сосудистой системы. Это может быть миокардит, сердечная недостаточность, гипертония.
Во-первых, надо отставить панику. Иногда бывает так, что аппаратура ошибается или на пленке есть брак. Вследствие этого легкие на снимке тоже могут затемняться. Поэтому сразу поддаваться отчаянию не следует.
Во-вторых, следует обратиться к специалисту. Хорошо, если в городе есть пульмонолог. Если нет, тогда надо идти к фтизиатру. Они работают в любых населенных пунктах. Лечащий врач направит на полное обследование. Оно может включать и проведение Диаскинтеста.
Диаскинтест , новейший эффективный способ исследования человеческого организма на присутствие туберкулеза. Делается он так же, как проба Манту, но является улучшенной ее версией. При проведении этого теста ошибки минимальны.
Далее врач, скорее всего, назначит:
- общие анализы крови и мочи,
- биохимические анализы,
- рентген,
- посев мокроты на бактерии туберкулеза.
Может быть назначена компьютерная томография легких, а также бронхоскопия легких или трахеобронхоскопия. При этом верхние дыхательные пути и легкие обследуются при помощи зонда, который вводится через нос. Процедура безвредна и безболезненна.
Это очень эффективное обследование и дает полную картину состояния легких и верхних дыхательных путей. Не стоит от нее отказываться, если врач назначил эту процедуру.
После проведенного полного обследования пациента, сразу становится понятен диагноз, и как его лечить. Поэтому чем раньше будет проведено обследование, раньше начнется соответствующее лечение.
Загрузка…
Источник: https://prof-medstail.ru/bolezni-legkih/simptomy-i-lechenie/zatemnenie-v-legkih-na-flyuorograficheskom-snimke

Флюорография легких – это обязательное мероприятие в рамках ежегодного профилактического осмотра. Она необходима для того, чтобы своевременно выявить патологические состояния легких и начать их лечение как можно раньше.
Нередко, на снимках бывают заметными некоторые области затемнения в легких. Большинство пациентов, узнав об этом, начинают паниковать.
Тем не менее, паника – не всегда уместна, ведь требуется определить причину подобного изменения. Не всегда затемненные области органа на флюорографии являются показателями серьезного патологического процесса – они могут возникать исходя из множества причин.
Легочные патологии по большей части сопровождаются возникновением областей с уплотненными легочными тканями – данное явление возникает вследствие понижения либо полного отсутствия воздушной проходимости на определенных зонах органа, что отображается на рентгеновском снимке в качестве затемненного участка. Описанное симптоматическое проявление способно указывать на патологические процессы как непосредственно в тканях, так и за пределами органа.
Всегда ли затемнения на флюорографии являются поводом для беспокойства.
Изменения, которые возникли вследствие патологических процессов легочных тканей, могут иметь отличия по собственной интенсивности, количеству, размерным данным и четкости границ.
Изменения способны указывать на следующие патологии:
- воспалительные процессы и последующее уплотнение тканей;
- опухолевые новообразования;
- спадание, которое образовало непроходимый для воздуха участок;
- прогрессирование туберкулезной инфекции;
- жидкость в плевральной полости;
- воспалительные процессы плевральной области, в том числе и гнойные (абсцессы).
Изменения легких, которые возникают под влиянием нарушений в прочих органах, также могут отображаться на снимках.
К подобным нарушениям относятся такие:
- новообразования ребер и позвоночника;
- нарушения в области пищевода, к примеру – его расширение;
- увеличение размеров лимфатических узлов.
Перечисленные причины затемнения в легких на рентген снимке не говорят о каких-либо патологических процессах непосредственно в дыхательных органах.
Распространенные типы изменений.
В зависимости от типа затемнения на рентгеновском снимке определяется происхождение пятна.
В целом выделяется несколько видов потемнений органа, видимых на флюорографическом снимке:
Основные разновидности признаков, проявляющихся на рентгенограммеТип измененийОписаниеОчаговые
Пятна часто имеют незначительные размеры. Могут свидетельствовать о развитии патологий сосудов.
Подобные изменения могут указывать на развитие таких патологий как:
- туберкулез;
- инфаркт легкого;
- периферический рак.
ДолевыеМожет указывать на развитие гнойного процесса.Фокусные
Единичные пятна характерны для:
- пневмонии;
- туберкулез;
- киста;
- абсцесс.
Неопределенная форма
Изменения неопределенной формы могут проявляться при следующих патологиях:
- пневмония;
- инфаркт легкого;
- плеврит;
- опухоль.
Сегментарные
Могут проявляться в результате:
- раковых образований;
- образований доброкачественного характера;
- распространение метастаз;
- туберкулез.
В зависимости от характера образования и предполагается патология, которая его спровоцировала. На основании данной информации можно сделать вывод о том, что рентгенография является недостаточно информативным методом обследования.
Какие методы позволят определить точный диагноз.
Очаговые изменения представлены небольшими, до 1 сантиметра, пятнами-узелками. Они возникают при течении воспалительных и опухолевых процессов легких, а также по причине нарушений сосудистого характера.
Указанное затемнение в легких может являться намеком на развивающееся заболевание дыхательного органа. Руководствуясь исключительно рентгеновским снимком нельзя точно указать на причину-источник возникновения очага и его характер.
По этой причине назначаются вспомогательные варианты обследований, в том числе компьютерная томография и еще одна рентгенография. Кроме указанного, пациенту требуется сдать анализы мочи, крови и мокроты.
Когда очаговые затемнения на флюорографическом отображении легкого сопровождаются некоторыми симптоматическими проявлениями, то есть:
- слабостью общего характера;
- болезненностью области грудной клетки;
- продуктивным либо непродуктивным кашлем;
- болями головы;
- повышениями показателей общей температуры тела.
Возможно предположить наличие пневмонии – то есть воспалительного процесса легочных тканей, который спровоцирован каким-то инфекционным поражением. Когда после исследования крови не было обнаружено каких-либо отклонений от нормы, возможно предположить наличие очагового туберкулеза.
При этом пациент замечает за собой следующее:
- отсутствие аппетита;
- слабость общего характера;
- повышенная беспричинная раздражительность;
- болезненность области грудной клетки;
- сухой, то есть непродуктивный, кашель.
Важно! При подозрении на туберкулез назначается ряд вспомогательных диагностических мероприятий. Клиническая картина в комплексе с данными рентгенографии позволяет определить диагноз пациента.
Инфаркт легкого достаточно часто выражается тромбофлебитом нижних конечностей, болезненностью сбоку, кровохарканием и сердечными патологиями. Малый периферический рак определяется на снимке флюорографии сразу.
Перечисленные патологические процессы являются наиболее распространенными причинами возникновения на флюорографическом снимке теней очагового характера.
Единичные, то есть – одиночные круглые тени размером большим, чем 1 сантиметр, могут являться признаками разнообразных заболеваний. Они требуют более внимательного и тщательного исследования для установления истинного диагноза.
Подобные фокусные проявления на флюорографическом снимке могут свидетельствовать о таких патологических состояниях, как:
- Воспалительные процессы легочных тканей, то есть – пневмонии;
- Эозинофильный инфильтрат, которым может иметь отношение к паразитарному поражению организма, приему различных медикаментозных лекарственных средств, астмой бронхиальной и прочими причинами.
- Туберкулома.
- Абсцессы.
- Локальный выпот, то есть повышение объемов жидкостей в легочных тканях.
Причинами пятен круглой формы, отображающихся на рентгенограмме, могут выступать кистозные образования врожденного либо приобретенного характера. Они могут быть заполненными воздушными массами либо жидкостью.
Когда проявление изменений не является опасным.Важно! Указанные затемнения могут быть вызваны опухолевыми образованиями, как злокачественного, так и доброкачественного характера.
К доброкачественным новообразованиям относятся такие:
- аденомы;
- фибромы;
- гамартохондромы;
- липомы.
К новообразованиям злокачественного характера относятся саркома.
https://youtube.com/watch?v=VUkHXzjTk2g
Шарообразна костная мозоль, образовавшаяся вследствие перелома ребра либо островных реберных участков, также может становиться причиной фокусной тени на флюорографическом снимке. Указанный фактор должен всегда приниматься в расчет в ходе расшифровки полученного рентгеновского изображения.
Основные причины проявления подобных изменений на снимках подробно рассмотрены в видео в этой статье.
Какие методы обследования органов могут использоваться.
Затемнение может быть локализированным, то есть быть представленным обособленными сегментами разнообразной формы, в основном – сегменты имеют сходные с треугольником, границы.
Подобных участков может быть отображено на флюорографическом снимке несколько и окончательный диагноз ставится исключительно после выполнения комплексного обследования.
Затемнение обособленных сегментов на 1 либо двух легких может повествовать о таких патологических состояниях, как:
- Эндобронхиальные опухолевые образования, которые могут носить как доброкачественный, так и злокачественный характер.
- Инородном теле, которое находится в легочной полости.
- Механическом повреждении легочных тканей.
Присутствие нескольких сегментарных теней на рентгеновском снимке дыхательного органа может говорить о таких патологических изменениях:
- Воспалительные процессы легочных тканей острого характера – пневмония.
- Туберкулез либо прочие негативные процессы воспалительного характера.
- Воспалительные процессы легочных тканей хронического характера, то есть – хроническая пневмония.
- Центральный рак.
- Стеноз, то есть – сужение центрального бронха.
- Метастазы образований злокачественного характера в прочих органах.
- Скопление малых объемов жидкостного содержимого в плевральной полости.
Не всегда несколько сегментарных теней на рентгеновском снимке дыхательных органов говорит о том, что у пациента имеется заболевание, которое несет прямую угрозу жизни.
Затемнения на рентгеновских снимках дыхательных органов, которые не имеют определенной формы и четких границ наиболее часто являются отображением пневмонии, которая была спровоцирована стафилококком.
У указанного патологического процесса имеется две формы – первичная и вторичная:
- Первичная форма возникает по причине наличия воспалительных процессов, которые протекаю в бронхах либо легочных тканях.
- Вторичная форма патологического процесса возникает вследствие гематогенного занесения из любого очага гнойного воспаления, который присутствует в организме пациента.
Какие заболевания могут провоцировать проявление неопределенных затемнений на снимке.Факт! Данный очаг может быть представлен аднекситом, остеомиелитом и прочими заболеваниями. В последние несколько лет, воспаление легких стафилококкового происхождения стало достаточно распространенным явлением.
Подобное затемнение также может свидетельствовать о таких состояниях патологического характера, как:
- кровоизлияния;
- опухолевые процессы легких;
- скопление жидкости;
- инфаркт легкого и прочие.
Определить точную причину возникновения подобных теней на рентгеновском снимке без проведения вспомогательных типов исследования невозможно.
К примеру, такие тени могут свидетельствовать о воспалительных процессах легких либо подтверждать наличие выпота в плевральной полости, особенно при условии наличия таких симптоматических проявлений, как:
- боли головы;
- слабость общего характера;
- интенсивные приступы кашля;
- повышенные показатели общей температуры тела.
Руководствоваться одним лишь рентген-снимком (на фото) в ходе постановки окончательного диагноза врач не имеет права, так как вероятность допущения ошибки крайне велика.
Рентгенография не всегда является информативным методом обследования.
Инструкция всегда требует проведения дополнительных мероприятий, это необходимо, потому что цена ошибки может быть достаточно высокой.
При затемнение долевого характера, контуры тени достаточно четкие и хорошо определяются на рентгеновских снимках.
Они могут иметь различные формы:
- вогнутую;
- выгнутую;
- выпуклую;
- прямолинейную и прочие формы.
Долевое затемнение легких может являться признаком любого патологического процесса с хроническим характером течения. При томографическом исследовании легко определяются такие заболевания, как бронхоэктомия, цирроз, заболевания гнойного характера и прочие.
Долевые затемнения.
Все перечисленные процессы патологического характера на томографических снимках легко отличаются от образований онкологического характера. По этой причине необходимость точного выявления злокачественного новообразования образуется лишь при обнаружении обструктивных процессов бронхиального дерева – воспалительное либо же рубцовое образование.
Важно! Доброкачественные и злокачественные опухолевые процессы зачастую возникают в промежуточном бронхе, и при этом затемняется либо средняя, либо нижняя доля дыхательного органа.
Затемнения на рентгеновском снимке подобного типа могут указывать на развивающийся отек дыхательного органа. Данное явление может происходить по причине высоких показателей кровяного давления в капиллярах легких либо же при заниженном содержании белка в крови.
Жидкость является препятствием для нормального функционирования органа дыхания. Отек может быть двух видов и имеет прямую зависимость от провоцирующих факторов.
После выявления затемнений в легких врач должен определить необходимость проведения других диагностических мероприятий.
Гидростатический отек дыхательного органа может быть спровоцирован завышением показателей внутрисосудистого давления, что становится причиной повышения рисков выхода жидкостной составляющей из сосуда.
При этом жидкость поступает в альвеолу, конечную часть аппарата дыхания, тем самым происходит заполнение.
Мембранозный отек образуется вследствие влияния токсинов, которые способны нарушить стенки альвеол и выйти во внесосудистое пространство дыхательного органа. Следует учитывать, что на рентген-снимках может быть обнаружено не только затемнение, но и белое пятно.
Читать далее…
Источник: https://zen.yandex.ru/media/id/59bf9ecc9d5cb3ee0df4e084/5a13ef743dceb71462f9b4d6
Медицинское обследование с профилактической целью нужно проходить каждый год. Обязательной процедурой при обследовании является флюорография, позволяющая на ранних стадиях выявить патологии легких. Верный признак патологических преобразований в легочной ткани – затемнение на флюорографическом снимке.
Причинами затемнения могут выступать самые разные факторы, поэтому врач отправляет пациента на дополнительные обследования. Посредством флюорограммы не устанавливается достоверный диагноз, а только выявляется наличие заболевания.
Флюорографию необходимо делать каждому человеку ежегодно. Данное профилактическое мероприятие позволяет своевременно обнаружить определенные патологии легочной системы.
Затемнение в легких – что это может быть? Патологическое явление обычно сигнализирует о развитии следующих заболеваний:
- туберкулеза;
- пневмонии;
- бронхита;
- опухолевых образований;
- абсцесса;
- заполнения легких жидкостью;
- повреждения легочных тканей;
- проникновения чужеродного тела в легкое;
- последствий курения.
Вышеперечисленные патологии – самые частые причины потемнения легких на флюорограмме. Некоторые из указанных заболеваний несут опасность для здоровья и жизни человека. Поэтому после обнаружения затемнения на флюорографическом снимке нужно обязательно пройти все назначенные врачом обследования и своевременно начать лечение.
Форма, величина и насыщенность затемнений обуславливаются тяжестью развития и интенсивностью протекания патологического процесса в легких. Выделяются следующие типы затемнений дыхательного органа:
- очаговый;
- сегментарный;
- долевой;
- фокусный;
- неопределенный;
- с присутствием жидкости.
Очаговая тень в легких представляет собой маленькие пятна, не превышающие сантиметра в диаметре. Такие пятнышки появляются при воспалительных реакциях, развитии опухолей, нарушении состояния кровеносных сосудов. Точно поставить диагноз по флюорограмме почти невозможно, поэтому врач отправляет пациента на дополнительные исследования:
- рентгенографию;
- компьютерную томографию;
- лабораторные анализы крови, мочи, мокроты.
Когда очаговое затемнение в легких дополняется головными болями, давлением в груди, слабостью, жаром, интенсивным кашлем, то можно подозревать бронхопневмонию.
Если у пациента болевые ощущения в груди, плохой аппетит, вялость, лающий кашель, но в анализе крови отсутствуют патологические изменения, то можно говорить о развитии туберкулеза.
Если очаговая тень в легких является симптомом легочного инфаркта, то у больного человека отмечаются боли в боковой части туловища, нарушения работы сердца, появление крови в мокроте, тромбофлебит нижних конечностей.
Также очаговое затемнение бывает признаком периферической онкологии легкого, но это заболевание врач без труда выявляет по снимку без дополнительных исследований.
В данном случае затемнение на снимке выглядит как сегмент определенной формы, чаще всего треугольной. Такие сегменты бывают и одиночными, и множественными. Если флюорография показала одиночное сегментарное затемнение, то можно подозревать:
- доброкачественную или онкологическую эндобронхиальную опухоль;
- чужеродное тело в легком;
- механическое повреждение легочной ткани.
Если на снимке несколько сегментарных теней, то можно говорить о следующих патологиях:
- пневмонии;
- туберкулезе;
- стенозе крупного бронха;
- онкологии бронхов;
- плевральном выпоте.
Долевое затемнение отличается насыщенностью, имеет четкий контур, поэтому хорошо заметно на флюорограмме. Такое патологическое образование бывает разной формы, может сигнализировать о любой легочной болезни, перешедшей в хроническую стадию. Чаще всего долевой тенью проявляются гнойные образования в легких, бронхоэктазия, легочный цирроз.
Чтобы поставить точный диагноз, врач отправляет пациента на томографию. Обычно вышеперечисленные заболевания на томографических снимках без труда отличаются от онкологических образований. Рак можно подозревать, если выявляется бронхиальная обструкция.
Данный тип затемнения представляет собой круглые пятна, в диаметре не превышающие сантиметра. Такие тени на флюорограмме бывают признаками самых разных заболеваний, поэтому врач отправляет пациента на множество дополнительных обследований. В большинстве случаев фокусное затемнение сигнализирует о развитии воспалительных болезней:
- пневмонии;
- абсцесса;
- казеомы;
- эозинофильного легочного инфильтрата;
- плеврального выпота.
Также круглые затемнения могут оказаться кистами наследственного или приобретенного характера. В этих доброкачественных наростах находится либо воздух, либо жидкость.
Иногда фокусные пятна оказываются доброкачественными или онкологическими опухолями:
- фибромой;
- липомой;
- гамартомой;
- аденомой;
- саркомой.
Следует учитывать, что при повреждении ребра может сформироваться костная мозоль. Этот нарост на флюорографическом снимке также выглядит как круглое затемнение.
Затемнение неопределенной формы – что это такое? В данном случае на флюорографическом снимке заметно расплывчатое темное пятно, у которого невозможно определить ни форму, ни размер. В легких, имеющих размытое затемнение, чаще всего размножаются стафилококки, провоцируя пневмонию.
Стафилококковая пневмония в настоящее время очень распространена. Она бывает первичной и вторичной. Причиной первичной болезни является воспалительная реакция в бронхиальных или легочных тканях.
Причинами вторичной пневмонии являются сальпингоофорит, остеомиелит и прочие гнойные заболевания, при которых инфекция разносится с кровью по организму.
В редких случаях размытое затемнение является признаком:
- инфаркта легкого;
- опухолевого образования;
- плеврального выпота;
- отека легкого;
- кровоизлияния.
При пневмонии и плевральном выпоте у заболевшего человека отмечаются головные боли, кашель, повышение температуры тела, слабость.
Если на флюорограмме видно, что затемнение представляет собой скопление жидкости, то следует говорить об отеке легкого.
Такое патологическое состояние возникает, когда повышается давление в легочных сосудах или понижается концентрация белковых клеток в крови. Из-за жидкости легкие не могут полноценно функционировать.
Легочный отек бывает двух типов. Разделение обусловлено причинами возникновения патологического состояния.
- Гидростатический отек развивается, когда возрастает давление в кровеносных сосудах, пронизывающих легкие. Выдавливающаяся из сосудов жидкость скапливается в альвеолах, вызывая разбухание тканей. Обычно такое патологическое явление отмечается при ишемии и прочих заболеваниях сердца и кровеносной системы.
- Мембранозный отек развивается из-за поражения токсинами стенок альвеол. Вредные вещества попадают в легкие через кровеносное русло, разрушают альвеолярные оболочки, в результате чего легочные ткани отекают.
Что делать, если на флюорограмме обнаружено затемнение? Метод лечения выбирается, исходя из причины патологического явления.
При механической травме органа, не сопровождающейся разрушением ребер, образовываются гематомы, в редких случаях ателектазы – сдувания легочных долей. Возникают ателектазы, если разрываются бронхи. При гематомах достаточно медикаментозной терапии. Если же разорвался бронх, то требуется хирургическое вмешательство.
При механической травме легкого, сопровождающейся переломом ребер, медикаментозная терапия включает применение обезболивающих препаратов. Если из-за перелома возникло кровотечение, то немедленно требуется хирургическая операция.
При онкологии легких проводится исключительно хирургическое лечение. В данной ситуации к каждому пациенту применяется индивидуальный подход. Лечение дополняется химиотерапией.
Причем химиотерапевтические процедуры могут проводиться как при подготовке к оперативному вмешательству, так и в ходе операции. Все зависит от состояния пациента.
Онкология легких – тяжелая и опасная болезнь, требующая комплексных терапевтических мероприятий.
- Пневмония диагностируется не только на основании флюорографии, но и по результатам клинических анализов.
- Степень поражения легких обуславливается фактором, вызвавшим болезнь, и своевременностью лечебных мероприятий. Выбор медикаментов зависит от возбудителя воспалительной реакции.
- При пневмонии могут назначаться антибиотики группы макролидов и пенициллинов, противовирусные и антимикотические лекарства.
- Пневмония – патология, несущая огромную опасность для человеческой жизни. Но страшнее то, что она часто вызывает тяжелейшие осложнения.
Самое частое осложнение пневмонии – плеврит. В данном случае плевральная полость легкого заполняется жидкостью. Эта жидкость мешает полноценному функционированию органа дыхания, в результате чего физическое состояние больного человека значительно ухудшается.
Крайне опасное осложнение пневмонии – эмпиема плевры. При данном патологическом явлении в плевральной полости скапливается гной.
Токсины всасываются в ткани плевры, в результате у больного человека не только усиливается нарушение дыхательной функции, но и происходит интоксикация организма.
Источник: https://LOR-explorer.com/lungs/zatemnenie-v-legkih
Поделиться:







