Ателектаз – патологическое состояние, при котором ткань легкого теряет свою воздушность и спадается, уменьшая (порой значительно) его дыхательную поверхность. Итогом спадания части легкого становится снижение газообмена с нарастанием явлений кислородного голодания тканей и органов в зависимости от объема потерявшего свою воздушность участка.
Выключение правой или левой нижних долей снижает жизненную емкость легких на 20%. Ателектаз средней доли снижает его на 5%, а одного из сегментов любой из верхушечных долей – на 7,5%, заставляя включать в работу компенсаторные механизмы, которые проявляются в виде характерной для ателектаза симптоматики.
При этом, ателектаз нельзя путать с зонами физиологической гиповентиляции легких при нахождении здорового человека в состоянии покоя, не требующего активного потребления кислорода из воздуха.
- В случаях сдавления снаружи опухолью легкого, расположенной рядом с бронхом;
- При локальном увеличении лимфоузлов, которое сопровождает воспалительные и опухолевые процессы;
- При процессах, происходящих в стенке бронха (бронхит с повышенным слизеобразованием или выделением гноя, опухоль бронха с ростом в просвет сосуда);
- Попадание инородных тел (аспирация рвотными массами, при поперхивании).
Как правило, этот механизм реализуется с дополнительно возникающим рефлекторным бронхоспазмом (сокращением гладкой мускулатуры бронхов), что еще больше суживает дыхательные пути.
- При снижении давления воздуха внутри альвеол (нарушение техники ингаляционного наркоза);
- Резкая смена окружающего воздушного давления (ателектаз летчиков-истребителей);
- Снижение выработки или отсутствие сурфактанта, приводящее к повышению поверхностного натяжения внутренней стенки альвеол, заставляя их спадаться (респираторный дистресс-синдром новорожденных) ;
- Механическое давление на легкое патологическим содержимым, находящимся в плевральных полостях (кровь, гидроторакс, воздух), увеличенным в размерах сердцем или крупной аневризмой грудного отдела аорты, крупным очагом туберкулезного поражения ткани легкого;
- При превышении внутритканевого давления над внутриальвеолярным (отек легких).
Возникает при черепно-мозговых травмах, опухолях, при общем (внутривенный, ингаляционный) наркозе, избыточной подаче кислорода при искусственной вентиляции легких, при передозировке седативных препаратов.
Наблюдается во время операции (перевязка бронха как способ оперативного лечения при туберкулезе) или при его травме (разрыв).
Гипоплазия и аплазия бронхов, наличие сухожильных перегородок в виде внутрибронхиальных клапанов, пищеводно-трахеальные свищи, дефекты мягкого и твердого неба.
При всех равных возможностях, повышенным риском возникновения ателектаза легкого обладают следующие люди:
В зависимости от очередности вовлечения легких в патологический процесс:
Возникает у детей, чаще сразу после их рождения, когда не происходит полное расправление легких с первым вдохом.
Кроме описанных уже внутриутробных аномалий развития легких и недостаточной выработки сурфактанта, причиной его возникновения может становиться аспирация околоплодными водами, меконием.
Основным отличием этой формы является изначальное отсутствие попадания воздуха из окружающей среды в спавшийся участок ткани легкого.
Эта форма ателектаза возникает как осложнение воспалительных, опухолевых заболеваний органов как дыхательной так и других систем, а также при травмах грудной клетки.
https://youtube.com/watch?v=ksWZuY3cBaA
По механизму возникновения, среди приобретенных форм ателектаза различают:
Наблюдается при уменьшении площади поперечного сечения бронха по причинам указанным выше. Обтурация просвета может быть полной или частичной.
Внезапное закрытие просвета при попадании инородного тела требует незамедлительных действий по восстановлению проходимости бронхиального дерева по той причине, что с каждым часом промедления снижается вероятность расправления спавшегося участка легких.
Восстановление вентиляции легкого в случаях, когда полная обтурация бронха длилась более трех суток – не наступает.
Возникает при непосредственном воздействии на саму легочную ткань. Более благоприятная форма, при которой полное восстановление вентиляции легких возможно даже после довольно продолжительного периода сжатия.
Возникает в зонах физиологической гиповентиляции (нижние сегменты легких):
- У лежачих больных;
- Перенесших тяжелые и продолжительные операционные вмешательства;
- При передозировке барбитуратов, седативных препаратов;
- При произвольном ограничении объема дыхательных движений, которое обусловлено выраженным болевом синдромом (перелом ребер, плеврит, перитонит);
- При наличии высокого внутрибрюшного давления (асцит различного происхождения, хронический запор, метеоризм);
- При параличе диафрагмы;
- Демиелинизирующие заболевания спинного мозга.
При сочетании различных механизмов происхождения.
В зависимости от уровня обтурации бронхов и площади спадения легкого различают:
- Ателектаз легкого (правого или левого). Пережатие на уровне главного бронха.
- Долевой и сегментарный ателектаз. Поражение на уровне долевого или сегментарного бронхов.
- Субсегментарный ателектаз. Обтурация на уровне бронхов 4-6 порядка.
- Дисковидный ателектаз. Дисковидные ателектазы развиваются в итоге сжатия нескольких долек, находящихся в пределах одной плоскости.
- Дольковые ателектазы. Их причина – сдавление или обтурация концевых (дыхательных) бронхиол.
Яркость симптоматики, благодаря которой можно заподозрить возникновение ателектаза в легких зависит от ряда причин:
- Скорости сжатия легочной ткани (выделяют острый и постепенно нарастающий ателектазы);
- Объема (размера) выключенной из вентиляции дыхательной поверхности легких;
- Локализации;
- Механизма возникновения.
Характеризуется увеличением частоты вдоха и выдоха в минуту, изменением их амплитуды, аритмичностью дыхательных движений. Изначально ощущение нехватки воздуха возникает при физической нагрузке. При нарастании или первично большой площади ателектаза, одышка появляется в покое.
Необязательный признак. Появляется чаще всего при попадании в плевральные полости воздуха.
Обусловлено избытком углекислого газа в тканях. У детей, прежде всего, синеет носогубный треугольник. У взрослых появляется синюшность пальцев конечностей (акроцианоз), кончика носа.
- Пульс учащается (тахикардия);
- После кратковременного повышения артериального давления на начальных этапах, происходит его снижение.
При врачебной диагностике помимо заметных пациенту симптомов могут быть выявлены следующие признаки наличия ателектаза:
- Звук при постукивании грудной клетки (перкуссии) в зоне ателектаза становится более коротким и менее звучным (притупление) в отличие от более «коробочного» в окружающих участках.
- Ослабление или полное отсутствие дыхания при аускультации в проекции ателектаза, асимметрия в движениях больной и здоровой половины грудной клетки.
- При ателектазе, охватывающем всё или почти всё легкое, происходит смещение сердца в сторону спавшегося органа. Это можно выявить при перкуссии границ сердца, по изменению локализации зоны верхушечного толчка, аускультации сердца.
Следует также помнить:
- Признаки ателектаза возникают на фоне уже имеющегося основного заболевания, утяжеляя порой и без того критическое общее состояние больного.
- Спадение сегмента (в некоторых случаях даже доли) легкого для больного может пройти незаметно. Тем не менее, именно эти мелкие спавшиеся участки могут стать первыми очагами пневмоний, тяжело протекающими у таких пациентов.
Уточнить наличие ателектаза, его локализацию и объем для определения тактики лечения помогает рентгенологическое исследование органов грудной клетки. Его проводят минимум в двух проекциях. В более трудных случаях, для диагностики случаях прибегают к помощи томографии.
Рентгенологические признаки, позволяющие заподозрить наличие ателектаза:
- Изменение плотности (затемнение) тени сжатого участка легких в сравнении с окружающими ее тканями, часто повторяющей контуры сегмента, доли;
- Изменение формы купола диафрагмы, смещение органов средостения, а также корней легких в сторону ателектаза;
- Наличие функциональных признаков бронхостеноза (необязателен, если механизм ателектаза не обтурационный);
- Сближение теней ребер на стороне поражения;
- Сколиоз позвоночника с направлением выпуклости в сторону ателектаза;
- Полосовидные тени на фоне неизмененных участков (дисковидный ателектаз) легких.
Внезапный одномоментный тотальный (субтотальный) ателектаз одного или двух легких, развившийся в результате травмы (попадание воздуха в грудную клетку) или во время сложных хирургических вмешательств практически во всех случаях заканчивается смертью сразу или в раннем послеоперационном периоде.
Обтурационные ателектазы, развившиеся при внезапной закупорке инородными телами на уровне главных (правый, левый) бронхов – также имеют серьезный прогноз при отсутствии экстренной помощи.
Компрессионный и дистензионный ателектазы, развившиеся при гидротораксе, с удалением причины вызвавшей их, не оставляют каких-либо остаточных изменений и не изменяют объема жизненной емкости легких в дальнейшем.
Источник: https://kamdib.ru/drugoe/chto-takoe-atelektaz-legkogo.html
Ателектазом врачи называют патологическое явление, когда целое легкое, или его часть, спадается в результате уменьшения поступления воздуха, или вместимости альвеол. Диагностировать данную патологию можно только при лучевой диагностике, поэтому врач должен знать, как выглядит ателектаз на рентгенограмме, и что делать в случае его выявления.
Патология опасна неполным расправлением легких, и, как следствие, уменьшением оксигенации крови, кислородным голоданием тканей. Также происходит некроз и распад поврежденных тканей, что приводит к развитию интоксикации организма.
Ателектаз не является отдельным заболеванием, это лишь патологический синдром, возникающий при других болезнях и нарушениях, и являющийся их осложнением.
Чаще всего он возникает при закупорке одного из бронхов. В случае, если повреждены главные бронхи, то происходит спадение всего легкого.
Долевые и сегментарные ателектазы возникают в случае непроходимости бронхов соответствующего калибра.
Иногда возможны субсегментарные ателектазы, которые имеют вид узких полос, размещенных в разных отделах легочного поля.
В случае поражения бронхиол дольковые очаги выглядят как округлые уплотнения с диаметром до двух сантиметров. Различают также дисковидные или пластинчатые ателектазы, которые возникают зачастую как осложнения после хирургических вмешательств. Они имеют вид узких полосок, которые пересекают легочные поля в наддиафрагмальных зонах.
Поскольку давление в грудной полости при этом падает, происходит подтягивание диафрагмы вверх.
Помогает симптомокомплекс Хольцкнехта-Якобсона – в инспираторную фазу дыхания средостение как будто «присасывается» к легким, что видно при проведении рентгеноскопического обследования или кимографии.
Причины заболевания разнообразны, нарушение наполнения легких воздухом может возникать при:
- Пневмонии.
- Новообразованиях легких и бронхов.
- Инфаркте легкого.
- Эмпиеме плевры.
- Гидротораксе.
- Пневмотораксе.
- Аспирации инородных тел.
- Аспирации пищевых масс.
Отдельно выделяют первичный ателектаз легких – состояние новорожденного, при котором после родов у ребенка легкие не успели полностью или частично расправиться, альвеолы находятся в спавшемся состоянии и не наполнены воздухом. Его причиной является или обтурация бронхов околоплодными водами и слизью, или же нарушение выработки сурфактанта во время внутриутробного развития.
В зависимости от непосредственной причины, которая мешает наполнению альвеол кислородом, ателектаз может быть:
- Обструкционным, связанным со сдавлением бронхов.
- Компрессионным, который возникает как результат внешнего давления на легкое (тяжелым предметом, жидкостью в плевре, опухолями, расположенными вне легких).
- Контракционным – это результат разрастания неэластичной фиброзной ткани, которая не дает возможности альвеолам расширяться.
- Ацинарный, возникающий при недостаточности сурфактанта у недоношенных детей.
На первом этапе принято делать обзорную рентгенограмму органов грудной полости. Она представляет собой суммарное изображение всей толщи тканей, расположенных внутри груди, при этом тени одних деталей в той, или иной мере наслаиваются на тени других.
https://youtube.com/watch?v=MCvf-qaVIXc
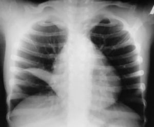
Ателектаз верхней доли справа
С целью уточнения топографии патологического процесса, необходимо делать снимки в дополнительных проекциях, например, боковых. Рентгеновская томография является прекрасным методом послойной визуализации структур грудной клетки, что позволяет точно установить локализацию патологического очага и его характеристики.
Магнитно-резонансная томография применяется в исследованиях легких сравнительно редко. В случаях, когда необходимо разграничить легочную патологию с болезнями сосудов и сердца, например, с тромбоэмболией легочной артерии, сердечной недостаточностью, применяется также ультразвуковое исследование, однако, саму легочную ткань оно визуализирует плохо.
Ателектатическое легкое не наполняется воздухом, и на рентгенограмме выглядит как однородная тень. Существует также ряд дополнительных признаков, позволяющих определить ателектаз:
- Легкое уменьшено.
- Органы средостения смещаются в сторону поражения.
Считается, что данных признаков достаточно, чтобы достоверно поставить диагноз «спавшегося легкого» при проведении рентгенографии, томографии и фибробронхоскопии. Однако, смещение органов в сторону поражения на фоне обширного затемнения легочного поля также может наблюдаться при фибротораксе с циррозом легкого.
Ателектаз верхней доли правого легкого и язычковых сегментов левого легкого
Однако дифференциальную диагностику проводят по самому характеру затемнения – при циррозе оно гетерогенно, неоднородно. На его фоне видно участки целой легочной ткани, вздутые дольки и фиброзные тяжи.
Инфильтративные поражения обычно также вызывают затемнения в легких, однако, несмотря на похожий вид тени, отсутствует характерное смещение средостения. Иногда возможно различить просветы бронхов на фоне тени, что позволяет окончательно дифференцировать эту группу патологий от ателектаза.
Обширное затемнение высокой интенсивности может быть обусловлено не только увеличением плотности легочной ткани, но и скоплением жидкости в полости плевры, так как в случае обильного выпота затемнение приобретает однородный характер и становится довольно обширным, чем может напоминать картину спавшегося легкого.
Ключевой момент в дифференциальной диагностике этих двух состояний – это смещение органов средостения. В случае жидкости в плевральной полости происходит повышение внутригрудного давления, и средостение смещается в противоположную поражению сторону.
Ателектаз верхней доли справа
В тех случаях, когда происходит образование локального ателектаза сегментарного или долевого уровня, сначала нужно дать топографическую характеристику затемнению.
Это позволяет установить уплотнение какой доли, сегмента или субстрата произошло.
Данную задачу проще выполнять, если были сделаны снимки в двух проекциях, так как каждая доля и каждый сегмент занимают определенное положение внутри грудной полости.
Установление субстрата, из-за которого появляется затемнение, это уже более тяжелая задача. Для этого нужно использовать:
- Данные анамнеза болезни.
- Анамнез жизни.
- Данные клинического обследования.
- Результаты лабораторных исследований.
- Результаты инструментальных методов обследования.
Клиническая картина при ателектазах не является специфичной. Сохраняются симптомы заболевания, которое предшествовало этому осложнению.
Однако ряд симптомов должен заставить врача задуматься об ателектазе, и служат показаниями к проведению обязательного рентгенологического обследования больного. В случае острого развития ателектаза большого объема больные жалуются на боли в грудной клетке, резкое увеличение одышки.
При осмотре выявляется цианоз разной степени выраженности, пораженная половина грудной клетки отстает при дыхании, снижается амплитуда дыхания.
При ателектазе пациент может ощущать боль в грудной клетке
Над пораженным участком легкого выслушивается ослабленное дыхание и притупление перкуторного звука. Возможно уменьшение ого дрожания. Может наблюдаться компенсаторная тахикардия, которая первое время обеспечивает нормальный уровень оксигенации тканей, несмотря на сниженную кислородную емкость крови.
Очень часто развивается гипотония, которая может приводить к коллапсу и шоку. В случае если ателектаз развился на фоне инфекционного заболевания, регистрируется скачок температуры. Правда, при постепенном развитии патологии симптомы выражены слабо, и диагностируется данная патология как находка на рентгенограмме. Тень зачастую имеет треугольную форму, ее верхушка обращена к корню легкого.
Источник: https://diagnostinfo.ru/rentgenografiya/vnutrennie-organy/atelektaz-legkogo-na-rentgenogramme.html
Ателектаз – это патология, при которой легкое или его доли утрачивают свой объем и спадаются, уменьшая (порой значительно) его пригодную для дыхания и газообмена поверхность.
Патологическое состояние ателеказа легких прямо противоположно эмфиземе. Если при эмфиземе легкие патологически вздуты, то при ателектазе представляются ненормально спавшимися. При этом легочные пузырьки и мелкие бронхи, а в самых интенсивных случаях даже крупные бронхи, лишены содержавшегося в них воздуха.
Однако, ателектатические части легких в своем более тонком строении не изменены, а превращены в безвоздушную плотную ткань. Это может происходить с левым и правым легким, в верхней, средней и нижних долях.
Рентгеновский снимок ателектаза легких
Фиброателектаз (fibroatelectasis) – это форма заболевания, при котором спавшаяся ткань легкого замещена соединительной тканью.
Это патологическое состояние характерно не только для взрослых (приобретенный или вторичный ателектаз), но и для новорожденных детей (врожденный или первичный ателектаз). Ателектаз новорожденных основан просто на недостаточном дыхании и, вследствие этого, уменьшенном вхождении воздуха в легкие. Такое явление чаще встречается у недоношенных младенцев.
Нередко у новорожденных детей, погибших сразу после родов, нижние доли легких полностью или частично находились в зародышевом, не растянутом, а следовательно в ателектатическом состоянии.
Наиболее частыми причинами ателектаза доли легкого являются:
- Бронхиальная карцинома у курящих;
- «Слизистая пробка» у пациентов на искусственной вентиляции легких и астматиков;
- Неправильное положение эндотрахеальной трубки;
- Инородное тело (чаще у детей).
Приобретенный ателектаз может возникать двояким образом. Первой и основной причиной его служит закупорка мелких бронхов.
Если накопление секрета приведет к полному закрытию бронха, как это иногда случается с узкими бронхами детей, то при вдохе воздух уже не попадет в более глубокую часть легкого.
Тогда воздух, который изначально еще был в этой части легкого, мало-помалу начинает всасываться кровью.
Кроме закупорки бронхов, еще очень большую роль в этом состоянии играет слабость дыхательных и кашлевых движений, зависящая от общего болезненного состояния.
Дисковидный ателектаз (a. discoidea; синоним «пластинчатый») – это уменьшение объема небольшого участка преимущественно базальных отделов легких, имеющий на рентгенограмме вид полосы, расположенной над диафрагмой.
Дисковидный ателектаз имеет вид узкой горизонтальной полоски, чаще расположенной в кортикальных отделах легких.
При острых панкреатитах изменения на рентгенограмме грудной клетки определяются до 49%. Наиболее часты дисковидные ателектазы и плевральный выпот слева.
Другими признаками могут быть инфильтрация диафрагмы, инфаркт легкого, отек легкого, повышение левого купола диафрагмы, дистресс синдром взрослых.
Дисковидный ателектаз имеет полиэтиологическую природу: о том, что и как конкретно там происходит даже врачи могут только предполагать и догадываться. Но явление существует, оно носит вторичный характер и не фатально опасно, так как через некоторое время самопроизвольно исчезает.
Вторую, важную и очень распространенную причину возникновения ателектаза, представляет сдавление легкого. При всех болезненных процессах, ограничивающих в грудной полости свободное место для развертывания легких, последние сдавливаются извне на большем при меньшем пространстве, и, благодаря этому, из них выжимается воздух.
Таким образом, компрессионные ателектазы происходят при плевритном экссудате, грудной водянке, пневмотораксе, значительных гипертрофиях сердца, перикардиальном экссудате и аневризмах аорты. Точно таким же образом при сильном оттеснении диафрагмы вверх возникает ателектаз нижних долей легкого, обусловленный брюшной водянкой, метеоризмом, брюшными опухолями и т. п.
Признаки ателектаза, в основном, совпадают с симптомами заболевания ему сопутствующего. Так при обтурационном ателектазе обычно врач легко может найти признаки обструкции легких, а при компрессионном ателектазе у многих больных имеются симптомы опухоли легких или средостения.
Первые признаки при небольшом участке поражения:
- появление одышки,
- грудные стенки слабо расширяются при вдохе,
- пациент ощущает нехватку воздуха и слабость.
Когда ателектаз случается после бронхита или пневмонии и легкое поражено обширно, все симптомы обостряются резко, дыхание учащается, становится неритмичным, появляются хрипы.
Признаки обширного ателектаза :
- Бледная кожа;
- Посинение ушей, носа, кончиков пальцев (периферический цианоз);
- Иногда колющая боль на пораженной стороне;
- В случае инфекционного заражения —
- повышение температуры;
- повышение частоты сердечных сокращений;
- Неглубокое слабое дыхание,
- Снижение артериального давления,
- Охлаждение рук и ног,
- Сухой кашель,
- Значительное учащение пульса (тахикардия).
При проведении рентгенологического исследования на рентгенограммах определяется тень, имеющая четкие вогнутые границы. При проведении рентгеноскопии у пациентов с ателектазом легкого можно выявить симптом Якобсона-Гельцнехта (толчкообразные смещения тени средостения, направленные в сторону поражения).
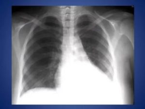
Вот как выглядят рентген-снимки при данной патологии
Рентгенограмма грудной клетки при ателектазе верхней доли правого легкого (прямая проекция): верхняя доля правого легкого уменьшена в объеме, гомогенно затенена.
На фоне правого главного бронха видна тень опухолевого узлаТотальный ателектаз правого легкого при раке главного бронхаКТ картина правого легкого при заболевании
Ателектаз верхней доли справаАтелектаз верхней доли правого легкого и язычковых сегментов левого легкого
Снимок нижней доли справа
Ателектазы нижних долей могут быть очень трудны для распознавания.
Их принимают за парамедиастинальный плеврит, плевральные спайки и т. п.
Тотальный ателектаз слеваАденоматозный полип левого главного бронха осложненный ателектазом
В большинстве случаев проявления ателектаза отступают на задний план перед симптомами, зависящими от течения основной болезни пациента. Это особенно относится к большинству компрессионных ателектазов, хотя сдавление легкого часто бывает источником наибольшей опасности.
Ателектазы легких часто сопутствуют разлитому капиллярному бронхиту, особенно у детей. Так как они развиваются преимущественно в нижних долях, то при более обширных ателектазах характер дыхания сильно отличается от нормального.
Оно учащено, затруднено и производится преимущественно передними верхними частями груди.
В нижних долях замечаются сильные инспираторные втягивания, частично обусловленные давлением внешней атмосферы, частично усиленными сокращениями диафрагмы.
При лечении первичного ателектаза легкого у новорожденных в первые минуты жизни производится отсасывание содержимого дыхательных путей резиновым катетером, при необходимости — интубация трахеи и расправление легкого.
При обтурационном ателектазе, вызванном инородным телом бронха, для его извлечения необходимо проведение лечебно-диагностической бронхоскопии. Эндоскопическая санация бронхиального дерева (бронхоальвеолярный лаваж) необходима в том случае, если спадение легкого вызвано скоплением трудно откашливаемого секрета.
С целью устранения послеоперационных ателектазов легкого показано проведение трахеальной аспирации, перкуторного массажа грудной клетки, дыхательной гимнастики, постурального дренажа, ингаляций с бронхолитическими и ферментными препаратами.
При коллапсе легкого, обусловленном наличием в плевральной полости воздуха, экссудата, крови и другого патологического содержимого, показано срочное проведение торакоцентеза или дренирования плевральной полости.
Код по МКБ 10 ателектаза легких : J98.1 Легочный коллапс
При таком заболевании пациенты обычно выживают, но только в том случае, если им была оказана вовремя квалифицированная медицинская помощь.
В случае длительного существования ателектаза, невозможности расправления легкого консервативными методами, формирования бронхоэктазов ставится вопрос об удалении пораженного участка долей легкого.
Больше медицинской информации о заболевании для специалистов и учащихся по ссылкам:
Источник: https://4heal.ru/atelektaz-legkogo/
сайт поможет советом в трудных ситуациях
Центральный рак легкого ,как правило, сопровождается различной степенью сужения просвета бронха , вследствие чего возникают изменения , зависящие от фазы нарушения бронхиальной проходимости При частичном сужении просвета бронха с нарушением проходимости только на выдохе в результате образования клапанного механизма возникает экспираторная эмфизема Наряду с этим наблюдаются случаи, когда просвет бронха частично сужен, но проходимость его хотя и понижена , все же сохраняется как на вдохе ,так и на выдохе При такой степени сужения бронха появляются изменения , обусловленные гиповентиляцией Полное закрытие просвета бронха сопровождается ателектазом соответствующего отдела легкого
Рентгенологическая симптоматология ателектаза зависит не только от степени и характера сужения ,но и от калибра бронха , подвергнувшегося обтурации
Общеизвестно ,что ателектаз в классических случаях характеризуется гомогенным затемнением , строго ограниченным анатомическими границами и определенными функциональными симптомами Уменьшение спавшегося сегмента или доли ведет к компенсаторному расширению соседних отделов легкого , изменению формы и положения лобарных границ При большей степени спадения легочной паренхимы отмечается смещение тени и органов средостения в сторону поражения , перемещение корня легкого ,подъем купола диафрагмы ,сужение межреберных промежутков и т.д.
https://youtube.com/watch?v=bVdfS950k0w
Рентгенологическая диагностика ателектаза отличается большим многообразием и может представлять значительные трудности для расшифровки ,особенно когда возникает обтурационная пневмония Прежде всего это относится к объему и форме ателектазированного сегмента или доли В некоторых случаях доля или сегмент при ателектазе почти не уменьшены в объеме Такую форму ателектаза В.А. Равич-Щербо (1937)назвал «некомпенсированным ателектазом» в отличие от «компенсированного ателектаза» ,при котором межплевральные и плеврокардиальные сращения не препятствуют перемещению органов средостения в сторону поражения и спадению ателектазированного участка легкого При этом не только сегмент ,но даже доля могут уменьшаться до размеров небольшого клина или полоски Таким образом, спавшийся участок легкого может иметь различную форму, размер и интенсивность тени Это зависит как от степени ателектаза , так и от фазы его, на которой произведено рентгенологическое исследование
Как показали работы ученых при ателектазе расширяются не только крупные артериальные стволы , но и вены, и капиллярная сеть легкого В зоне ателектаза скопляется в альвеолах отечная жидкость Это уже вторая фаза ателектаза При рентгенологическом исследовании наблюдается большая или меньшая интенсивность тени в зоне ателектаза в зависимости от степени спадения легкого , ателектатического отека и увеличенного кровенаполнения сосудов легкого Если же из-за межплевральных сращений уменьшение объема легкого в зоне ателектаза выражено недостаточно ,а ателектатический отек велик ,то при однократном исследовании дифференциальная диагностика между ателектазом и пневмонией обычно бывает затруднительна Еще большие затруднения в диагностике ателектаза возникают в некоторых случаях в третьей фазе , которую можно охарактеризовать как пневмосклеротическую Наряду с развитием соединительной ткани в этой фазе к ателектазу присоединяются воспалительные явления ,а нередко и гнойные процессы При этом гомогенная тень ателектаза сменяется неравномерной интенсивной тенью .
Читать еще: Пена в легких
Такие симптомы ателектаза ,как смещение органов средостения в сторону поражения , перемещение интерлобарных щелей и корней легких ,а также подъем купола диафрагмы , обусловленные увеличением отрицательного давления в плевральной полости вследствие уменьшения объема пораженного легкого , наблюдаются не всегда и выражаются в различной степени
Если ателектаз доли наступает при отсутствии спаек ,то интерлобарная щель перемещается за спавшейся долей , а при дальнейшем спадении доли за ней следует и корень легкого Что же касается стойкого перемещения пищевода ,трахеи и крупных сосудов в сторону поражения , то наши наблюдения показывают, что эти симптомы чаще всего обусловлены не столько степенью легкого , сколько сморщиванием и индурацией легочной паренхимы , развивающейся в результате длительно существующего ателектаза В последующем органы средостения перетягиваются в сторону ателектаза ,как это имеет место и при других цирротических процессах Поэтому перемещение органов средостения при уменьшении пораженной доли не может служить дифференциально-диагностическим признаком рака бронха ,а наблюдается и при индуративных хронических воспалительных процессах
Наряду с перемещением органов средостения в сторону ателектаза верхних долей нередко можно наблюдать у сосудистой тени (на прямой рентгенограмме) участок просветления , ограниченный ровным дугообразным краем Это так называемая медиастинальная грыжа, образующаяся вследствие внедрения компенсаторно расширившейся части здорового легкого через переднее средостение в сторону ателектаза
Естественно ,что в связи с уменьшением того или другого отдела легкого при ателектазе соседние отделы легкого расширяются ,причем вздутие будет наиболее выражено в частях легкого , непосредственно примыкающих к ателектазу Помимо повышенной прозрачности вздутых отделов легкого ,которые особенно хорошо выявляются по сравнению с аналогичными отделами здорового легкого , о расширении доли свидетельствует также перемещение линии интерлобарной щели
При расширении какого-либо отдела ,когда одна часть легкого занимает большую область, чем в норме , легочный рисунок также «перераспределяется « Отмечается его раздвигание , «обеднение» ,то есть более редкое расположение сосудов на единицу площади в расширявшемся отделе легкого по сравнению с соответствующим отделом противоположной стороны Таким образом ,сосуды меняют свое обычное направление
Снижение воздушности всего легкого или его части. Одним из самых распространенных механизмов является исчезновение воздуха дистальнее уровня обструкции дыхательных путей (например, эндобронхиальные новообразования). Синоним коллапс часто используется наравне с ателектазом.
Читать еще: Нужен ли антибиотик при отите
В зависимости от патогенетического механизма выделяют:
- резорбтивный (обструктивный, обтурационный) ателектаз
- развивается в результате полной или частичной обструкции дыхательных путей
- атмосферный воздух не поступает дистальнее места обструкции, а воздух уже содержащийся с просвете дыхательных путей постепенно подвергается резорбции в легочную капиллярную систему, приводя к спадению пораженного участка легкого
- поскольку висцеральная и париетальная плевра не разделяются при резорбтивном ателектазе, возникающая тракция приводит к смещению подвижных структуры грудной клетки в сторону уменьшения объема (“смещение средостения”)
- потенциальные причины резорбтивного ателектаза это опухоли, слизистые пробки (напр при бронхиальной астме), инородные тела
- резорбтивный ателектаз (коллапс) целого легкого происходит при обструкции главного бронха
- пассивный ателектаз
- возникает при нарушение контакта между париетальной и висцеральной плеврой
- наиболее частые причины пассивного ателектаза это плевральный выпот и пневмоторакс
- компрессионный ателектаз
- чаще развивается в следствии сдавления легкого извне, чаще всего жидкостью (например, при экссудативном плеврите, гидротораксе) или воздухом при пневмотораксе
- контракционный ателектаз
- возникает в результате формирования рубцов или фиброза, которые приводят к снижению способности легочной ткани расправлятся, наиболее частые причины включают гранулематозные заболевания,некротизирующую пневмонию и радиационный фиброз
- адгезивный ателектаз
- обусловлен патологическим составом или недостаточностью сурфактанта в альвеолах, что приводит к тому, что альвеолы могут прилипать одна к другой
- дистензионный (функциональный)
- поражаются преимущественно нижние отделы лёгкого, вследствие нарушения механики движения диафрагмы или угнетения дыхательного центра, обычно у лежачих больных
- дисковидный (пластинчатый, субсегментарный) ателектаз
- в основном наблюдается в базальных отделах и представляет собой несколько спавшихся долек легкого
- сегментарный ателектаз
- спадение одного или нескольких отдельных сегментов легких
- долевой (лобарный) ателектаз
- спадение одного или нескольких долей легкого
Больной в реанимации, тоже с инсультом. В нижних отделах терапевт выслушывает хрипы. Думал, что слева инфильтрация, но почему-то больше склоняюсь к дисковидному ателектазу. А какое ваше мнение?
Читать еще: Как избавиться от хрипов в бронхах
Тяжистые тени с 2-х сторон, действительно похоже на дисковидные ателектазы, но что бы это доказать, надо иметь боковую проекцию!
А я таким бабахаю печать с возрастными изменениями (+пишу дисков.ателектазы, вентиляц нарушения в базальн отделах). + ориентируюсь на анализы.
Пневмонии (во всяком случае явной), тут не вижу (не значит что ее нету
Источник: https://idealmed-klinika.ru/stati/atelektaz-legkogo-rentgen-priznaki.html
Поделиться:








