Большое распространение легочных заболеваний объясняется тем, что они, как правило, сопутствуют сезонным вирусным болезням. Редко кому хотя бы раз в год удается не заболеть ОРЗ или гриппом. В результате могут в легких могут образовываться плевральные спайки, которые негативно влияют на работу всего организма.
Чтобы не запустить заболевание, нужно вовремя обратиться к врачу, который поставит диагноз и назначит лечение.
Спайки образуются в плевральной полости, которая находится между оболочками, покрывающими внутреннюю сторону грудной клетки и внешнюю сторону легких.
Эта оболочка представляет собой гладкую поверхность с большим количеством нервных окончаний.
Она заполнена жидкостью, которая выделяется на поверхности плевры, покрывающей грудную клетку, после чего всасывается через оболочку, прилегающую к легким.
Плеврит
При этом выделяется белок, который оседает на поверхности плевры, делая ее шершавой. При глубоком дыхании поверхности трутся, раздражая нервные окончания, что приводит к возникновению кашля и болей в боках грудной клетки.
Такая симптоматика характерна для такого заболевания как плеврит.
Иногда излишек жидкости в плевральной полости доходит до полутора литра. Такое увеличение происходит при повреждении оболочки легкого, когда жидкость не впитывается.
Это может привести к сжатию легкого, в результате чего у человека появляется отдышка, затрудняющая дыхание и вызывающая тяжесть в боках. Такие симптомы чаще всего сопутствуют болезням почек или сердечной недостаточности, также такая картина возможна при развитии туберкулеза или опухоли.
Однако развитие болезни плевры необязательно связано с образованием избыточной жидкости в ней, хотя такие заболевания наиболее проблематичны. Причиной болезни могут быть плевральные спайки. Даже их незначительное количество может доставлять при дыхании боль. Образуются спайки после воспаления, когда рассасывается образовавшаяся при этом жидкость.
Бывают случаи, когда спайки образовываются в большом количестве, при этом уменьшается свободное пространство. Это также приводит к снижению подвижности оболочек, что способствует сильной отдышке и затруднению дыхания. В таких случаях необходимо срочное лечение.
к оглавлению ↑
Они образуются в любом месте благодаря наличию соединительной ткани. Образованию спаек подвержены многие органы человеческого организма.
В плевре спайки представляют собой соединительную ткань, растущую между оболочками легкого и грудной клетки.
Они могут иметь единичную структуру, а могут так разрастаться, что в конечном итоге занимают всю плевральную полость. В этом случае нужна экстренная медицинская помощь.
Симптомы, которые возникают при наличии в плевральной полости спаек:
- повышенное сердцебиение;
- отдышка;
- боли в грудном отделе;
- нарушение вентиляции легких;
- усиленный кашель;
- бледная кожа;
- повышенная температура.
Как правило, образованию спаек предшествуют перенесенные легочные заболевания, которые служат толчком к их развитию. Выделяют основные болезни, которые являются первопричиной образования спаек:
- воспаление легких;
- бронхит;
- туберкулез;
- рак легких;
- плеврит;
- пневмония;
- инфицирование легких;
Среди плевральных спаек можно выделить плевродиафрагмальные спайки, которые располагаются в нижней части грудной клетки. В основном толчком для их развития служат заболевания бронх. Рубцы образовываются в местах прилегания легкого к диафрагме.
В небольшом количестве спайки не представляют опасности, однако нужно избегать вирусных заболеваний, которые провоцируют их развитие и увеличение количества. Что в конечном итоге может привести к легочной недостаточности.
Разрастаясь, спайки способны снизить кровообращение в легких, перекрывая сосуды, а также бронхи. Перекрытие бронхов, приводит к снижению уровня кислорода в крови. В спайках при длительном развитии возможно образование собственных сосудов и нервов.
Плеврокостальные спайки в основном образовываются после фибринозных или гнойных плевритов, причем они развиваются очень быстро. Образующиеся утолщения плевры в основном происходят в боковых отделах, на стенках, по направлению к поверхности ребер легкого.
к оглавлению ↑
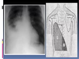
Для обнаружения легочных заболеваний в первую очередь используется флюорография. Эту процедуру необходимо проводить ежегодно, в основном она направлена на выявление ранней стадии туберкулеза. Однако опытный рентгенолог может выявить на снимке образовавшиеся плевральные спайки, которые выглядят тенями. Причем форма их не меняется в зависимости от вдоха и выдоха.
При необходимости дополнительно назначается рентген. Как правило, спайки располагаются в нижней части легкого. При этом будет более темная картинка, а также может быть частичная деформация грудной клетки и диафрагмы.
При диагностировании плевральных спаек дальнейшее лечение зависит от их количества и стадии развития. Как правило, достаточно терапевтического воздействия сопровождающегося физиопроцедурами.
Однако в случае запущенности болезни, когда развивается легочная недостаточность, и возникает угроза жизни пациента, применяется хирургическое вмешательство. При этом удаляется часть легкого, которую заполняют спайки. Такая операция получила название лобэктомия.
При обострении воспалительных процессов в легких, которые приводят к образованию спаек, нужно, прежде всего, их локализовать. Для этого используются антибиотики, которые вводятся внутривенно или внутримышечно. Как правило, такие процессы сопровождаются кашлем, поэтому необходимы препараты улучшающие отхождение мокроты.
После того, как воспаление будет остановлено, можно начинать ингаляции и электрофорез. Также при образовании плевральных спаек хорошо зарекомендовали себя дыхательная гимнастика и массаж грудной клетки.
Важно отметить, что при легочных заболеваниях большую роль играет правильное питание.
В рацион необходимо включать продукты, содержащие большое количество витаминов и белков. В меню пациента должны быть:
- рыба;
- творог;
- мясо;
- овощи;
- фрукты.
При предрасположенности организма к легочным болезням рекомендуется периодически проходить курортное лечение. Это будет способствовать оздоровлению организма. Также следует не подвергать организм переохлаждению, заниматься спортом и отказаться от вредных привычек.
к оглавлению ↑
Кроме лекарственных препаратов при борьбе со спайками хорошо использовать народные средства. Они недорогие, к тому же не нагружают организм как лекарства, и кроме того весьма эффективны. Вот некоторые рецепты, которые позволят избавиться от спаек:
-
Для приготовления чая используют шиповник, крапиву и бруснику.
Перемешав составляющие, их заливают кипятком и настаивают. Также хорошо помогает отвар, в который входят смородина, шиповник и малина.
- Эффективным средством показал себя отвар из зверобоя. Его легко можно собрать самостоятельно, а затем высушить и измельчить.
- Быстро помогает восстановить дыхание и избавиться от кашля применение эфирных масел.
Следует помнить, что нельзя заниматься самолечением, это может привести к необратимым процессам. Прежде всего, необходима консультация специалиста.
https://youtube.com/watch?v=YDkBAk6ldPI
Статья помогла вам?
Дайте нам об этом знать — поставьте оценку
Загрузка…
Источник: https://opnevmonii.ru/bolezni/plevrit/chto-takoe-plevralnye-spajki.html

Статья рассказывает о том, почему может возникнуть плеврит. Описаны симптомы болезни и принципы лечения.
Плеврит легких – довольно частое заболевание дыхательной системы. Встречается инфекционное или неинфекционное происхождение, протекает с многообразной симптоматикой. Лечение проводится с учетом причинного фактора.
Что такое плеврит легких? Это заболевание возникает в результате воспаления листков плевры – соединительной ткани, покрывающей легкие и грудную клетку изнутри.
Пространство между листками (плевральная полость) содержит немного жидкости, необходимой для свободного движения легких при вдохе и выдохе. При осложнении основной болезни объем экссудата увеличивается, легкое сжимается и нарушаются функции дыхания.
При плеврите воспаляется серозная оболочка легких
Заболевание подразделяют на несколько форм в зависимости от характера воспаления:
- сухой – в плевральной полости формируются фибринозные наслоения;
- экссудативный – происходит образование большого количества жидкости;
- гнойный — в плевре скапливается гной;
- осумкованный — сращивание плевральных листков приводит к скоплению выпота.
Симптомы разных форм будут различаться:
- Сухой плеврит характеризуется острыми болями в груди со стороны патологии, усиливающимися при движении, кашле, чихании, глубоком дыхании. Пациент принимает вынужденное положение, чтобы избавиться от резких болезненных ощущений.
- Экссудативная форма проявляется тупой болью в боку, мучительным кашлем одышкой. Воспаленная сторона отстает в дыхании, отчетливо слышен шум трения плевры.
- Характерными признаками гнойного плеврита являются острая боль в груди, сухой кашель, одышка, ощущение распирания в боку. Заболевшие жалуются на высокую температуру, общую слабость, затруднение дыхания.
- Осумкованный плеврит часто проходит бессимптомно. Возможны субфебрильная температура, незначительные боли в груди.
Туберкулезный плеврит выделяют в отдельную категорию, как наиболее часто встречающуюся в врачебной практике. Данный вид отличается медленным, хроническим течением с развитием симптомов общей интоксикации.
Заразен ли плеврит легкого? Это заболевание не передается от человека к человеку какими-либо путями, заболеть плевритом при контакте с пациентом нельзя.
Для облегчения боли человек принимает вынужденное положение
Чем опасен плеврит легкого? При несвоевременном обращении за медицинской помощью или отсутствии лечения развиваются осложнения.
К ранним осложнениям относят:
- эмпиему плевры – образование на плевральных листках гнойников;
- отек легких при плеврите;
- ателектаз легкого – спадение его из-за сжатия большим количеством жидкости;
- острую дыхательную недостаточность.
Отдаленные последствия плеврита легких связаны с неполной эвакуацией жидкости из полости. Наиболее частым поздним осложнением являются спайки в легких при плеврите. Даже небольшое их количество доставляет боль при дыхании, снижает подвижность оболочек, приводит к сильной одышке.
Перед тем, как начать лечение, врач назначит тщательное обследование, чтобы установить причины развития воспаления плевры:
- Осмотр пациента. Клиническими признаками могут быть цианоз кожи, отставание пораженной стороны грудной клетки при дыхании, ее ассиметрия, выбухание межреберных промежутков. Перкуторный звук притуплен, аускультация выявляет ослабленное дыхание, шум трения плевральных листков.
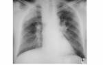
- Рентген. Проводится рентгенография в нескольких проекциях. Метод позволяет определить область поражения и характер процесса. На снимках патология проявляется затемнениями с размытыми контурами (на фото).
- УЗИ. Помогает диагностировать заболевание даже при минимальном количестве жидкости. Также выявляет наличие спаек и вязкость выпота.
- КТ. Компьютерная томография назначается для дифференциации доброкачественного и злокачественного поражения плевры. Определяет выпот любой локализации. Цена процедуры высока, поэтому ее назначают по серьезным показаниям.
- Анализ крови. Биохимическое исследование выявляет изменения соотношения белков в плазме. При общем анализе на наличие воспаления указывает повышение СОЭ, увеличение лейкоцитов при инфекционной природе плеврального поражения.
При подозрении на туберкулезную этиологию плеврита проводят пробу Манту или Диаскинтест. А также исследуют экссудат из плевральной полости на микобактерии.
Плеврит легких на рентгенограмме
Задачи терапии — устранение основной причины болезни, нормализация функций дыхания и ликвидация симптомов. Амбулаторное лечение возможно у взрослых пациентов с сухой формой плеврита. Экссудативные формы подразумевают обязательную госпитализацию. Терапия туберкулезного воспаления плевры проводится в диспансере, гнойного — в хирургическом отделении.
https://youtube.com/watch?v=ztTOVgWGBNQ
Комплексное лечение включает в себя медикаментозную терапию и вспомогательные методы — физиопроцедуры, диету, ЛФК и дыхательную гимнастику.
Во всех случаях экссудативного плеврита назначается такая манипуляция, как пункция. Суть процедуры состоит в том, что пациенту под местной анестезией в плевральную полость вводится толстая игла, с помощью которой эвакуируется излишняя жидкость.
Показаниями для хирургического вмешательства являются неэффективность консервативного лечения. В этом случае проводится торакотомия или полное удаление необратимо пораженной доли легкого.
Целью медикаментозного лечения является устранение причины заболевания и облегчение симптоматики.
Для выполнения этой задачи применяются различные группы лекарственных препаратов:
- Антибиотики. Назначаются при инфекционном происхождении воспаления. С первых дней болезни показано использование средств широкого спектра действия. При установлении конкретного возбудителя болезни врач производит коррекцию лечения.
- Противовоспалительные средства. Используют Диклофенак, Нимесулид. Показаны при легком течении плеврита. Тяжелое течение требует назначения глюкокортикоидов — Преднизолон.
- Средства для поддержания дыхательной функции и кровообращения. Используются в основном при тяжелом течении плеврита.
- Витамины, средства для улучшения микроциркуляции, антиоксиданты. Оказывают вспомогательное действие, ускоряя процесс выздоровления.
Инструкция предполагает не только инъекционное, но и внутриполостное введение лекарственных средств.
Дополнительные методы лечения входят в обязательный комплекс терапии и проводятся при отсутствии острого проявления болезни.
Таблица №3. Вспомогательные методы лечения плеврита:
МетодыОписание
ЛФК и дыхательные упражнения
ЛФК в сочетании с дыхательными упражнениями ускоряют выздоровление
Физические упражнения и дыхательная гимнастика при плеврите легких предотвращают плевральные сращения, деформацию грудной клетки и позвоночника, тренируют дыхательный аппарат, восстанавливают функции аппарата внешнего дыхания, общеукрепляюще воздействуют на организм пациента.
Физиотерапия
Физиопроцедуры увеличивают эффективность медикаментозной терапии
Физиолечение предупреждает развитие спаечного процесса, устраняет боль, улучшает микроциркуляцию, снимает воспаление.
Противопоказания к лечению — онкологические и сердечно-сосудистые заболевания, печеночная и почечная недостаточность, гнойная форма плеврита, бронхиальная астма.
У пациентов с воспалением плевры используют: электрофорез лекарственных препаратов, ультрафиолетовое облучение, магнитотерапию, УВЧ, инфракрасную лазерную терапию.
Диета
Питание при плеврите должно быть полноценным и калорийным
Особая диета направлена на снижение воспалительного процесса и предотвращение скопления жидкости в плевральной полости. Кроме того необходимо чтобы организм получал необходимое количество витаминов и белка, потерянных с выпотом.
Рекомендовано употребление в пищу нежирных мяса и рыбы, кисломолочных продуктов, печени, грецких орехов, яиц, кашиз различных круп, свежих овощей и фруктов. Следует ограничить употребление жидкости, соли, продуктов, вызывающих жажду.
Калорийность питания должна составлять 2700ккал.
Читать далее…
Источник: https://zen.yandex.ru/media/id/59bf9ecc9d5cb3ee0df4e084/5a4e08264826772ec247fdb2
Патологические процессы, такие как спайки, возникают из соединительных волокон. Плевродиафрагмальные спайки располагаются по краю плевральной полости и диафрагмы, образуются из серозной оболочки плевры. Что это такое, какие признаки появляются при спаечном механизме в легких, что нужно для диагностирования и лечения? Обо всём рассказывается в этой статье.
Те места, где находятся соединительно-тканные волокна, подвержены образованию спаек, легочная ткань не стала исключением. Плевра выстилает грудную область изнутри и окружает каждое легкое. Между плевральными оболочками образуется синовиальный экссудат, в норме количество жидкости достигает 5 мл, для выполнения функции амортизации при дыхательных движениях.
При патологиях органов дыхания воспаляется и плевральная полость. При плеврите накапливается излишек воспалённой жидкости, что ведет к образованию фибрина, особого белка, обладающего склеивающими свойствами.
Когда человек выздоравливает, воспаление исчезает, жидкость рассасывается.
https://youtube.com/watch?v=HV_FiByIzZY
Но фибрин иногда остается в плевральной полости, склеивает оболочки и становится причиной образования спаек, плевральные листки сращиваются между собой.
- Пневмонии, бронхиты, плевриты в анамнезе любой этиологии;
- Легочный гельминтоз – аскаридоз, амебиаз, наличие эхинококков;
- Доброкачественные и злокачественные образования;
- Выявленная палочка Коха в легких;
- Загрязненный окружающий воздух;
- Дефекты органов дыхания;
- Травматизация разного происхождения;
- Склонность к аллергиям;
- Курение;
- Перенесенные операции на легких;
- Бронхолегочные кровотечения.
Нередко спаечным процессам подвержены люди, чьи профессии связаны с пылью, например, на заводе или на стройке. Небольшое количество спаек угрозы для жизни не представляют, однако стоит избегать вирусных болезней, чтобы не провоцировать разрастание спаек.
Различают тотальные спайки в легких, располагающиеся по всей поверхности плевры либо единичные, которые появляются как результат срастания плевральных оболочек.
Советуем почитать: Возникновение гидроторакса легких при раке, что делать?
Множественные образования негативно влияют на процесс дыхания, затрудняют его, подвижность легких ограничивается, полость смещается и деформируется. В редких случаях спайки плевры приводят к срастанию полости, вследствие чего возникает дыхательная недостаточность. Это состояние требует экстренной госпитализации.
О том, что у человека имеются спайки в легких, удостоверяют следующие симптомы:
- Затрудненное дыхание, одышка, нехватка О2;
- Боль в загрудинной области;
- Кашель с гнойной мокротой, в основном утром.
Если патология развивается больше слева, учащается сердцебиение, так как изменяется сердечная деятельность.
Естественная вентиляция сбивается, организм испытывает кислородный голод. Когда присоединяется инфекция, повышается общая температура тела, человек мучается от интоксикации. Тогда наблюдается бледность кожной поверхности, анемия.
В остром периоде появляется дыхательная недостаточность: одышка и нехватка О2 усиливаются, человеку требуется экстренная медицинская помощь.
Спайки обеих плевральных оболочек ведут к хронической спаечной болезни. Такой человек больше подвергается заболеваниям органов дыхания, так как нарушается весь процесс вентилирования.
Одиночная плевральная спайка существенно не влияет на вдыхаемый объем воздуха. Многочисленные образования поражают орган с двух сторон, развивается гипоплазия легочной ткани, при этом одышка возникает даже при небольшой физической нагрузке.
Когда человек после воспаления легочной материи или другого заболевания органов дыхания ощущает в груди незначительное покалывание или же острый приступ, сопровождающиеся одышкой, частым сердцебиением, ему следует обратиться к врачу для установления причины. Степень боли будет зависеть от серьезности перенесённого заболевания, скорости и качества лечебных мер.
Спаечную патологию выявляет терапевт, фтизиатр, семейный врач. Основным способом является флюорография. Людям из группы риска по легочным болезням ее следует делать дважды в год.
Также два раза проводят флюорографическое исследование следующие категории:
- Врачи, средний и младший медицинский персонал;
- Военнослужащие;
- Люди, находящиеся в тесном контакте с туберкулезными больными;
- ВИЧ-инфицированные или же лица с первичным и вторичным иммунодефицитом.
Внеочередное ФГ обследование показано при подозрении на туберкулез или же при прохождении первичного начального профилактического медосмотра. Остальным категориям населения рекомендуется проводить флюорографическое обследование ежегодно.
Если подозреваются плевральные спайки, пациента отправляют на рентгенологическое обследование органов грудной клетки.
Иногда делают:
- компьютерную томографию (КТ);
- или же назначают магнитно-резонансную терапию (МРТ) органов грудной полости.
Основной атрибут, указывающий на спайку справа, является тень, видная на Rg-снимке. При этом затемнение не изменяется при вдохе и выдохе пациента. Одновременно снижается прозрачность легочной поверхности.
В тяжелых случаях наблюдается деформирование грудной клетки и диафрагмальной области. При таком состоянии диафрагма ограничивает свою подвижность. Чаще всего такие спайки расположены в нижних отделах легкого.
— пережигание плевральных спаек
Лечение зависит от тяжести спаечного механизма и от причин, вызвавших его образование. Хирургия применяется только в тех ситуациях, когда спайки формируют легочную недостаточность или же другие состояния, развивающие опасность для жизни. В иных случаях назначают консервативную терапию и проводят физиопроцедуры.
https://www.youtube.com/watch?v=GgR44IINHv0
При обострении спаечного процесса проводится санация бронхов для подавления гнойно-воспалительной реакции. Для этого используются противовоспалительные и антибактериальные средства, а также делается дренаж бронхов.
Антибиотические препараты вводятся внутривенно или внутримышечно. Не исключается введение препаратов эндобронхиально во время санобработки бронхоскопом. Чаще для этих целей применяют антибиотики пенициллиновой либо цефалоспориновой группы.
Для лучшего отхождения слизисто-гнойного бронхиального экссудата назначают щелочное питье и отхаркивающие средства.
После снятия обострения назначается:
- Массаж грудной области;
- Ингаляции;
- Электрофорез;
- Дыхательные упражнения.
Дыхательная гимнастика нужна для исключения повторного обострения и увеличения срока ремиссии. Для этих же целей пациентам рекомендуется санаторно-курортное лечение.
Правильное питание играет немаловажную роль. Необходимо чтобы пациент обязательно получал пищу, богатую белками, витаминами, микроэлементами. Из рациона нельзя исключать мясо, рыбу, кисломолочные продукты, фрукты, зеленые листовые овощи.
Советуем почитать: 5 профессий, провоцирующих силикоз легкого
В запущенном спаечном процессе требуется хирургическая операция:
- Лобэктомия – с удалением одной доли легкого;
- Билобэктомия – с удалением двух долей.
Чаще всего такое вмешательство проводится по жизненным показаниям.
В профилактических целях для предупреждения обострения пациенту стоит отказаться от курения, стараться избегать переохлаждения организма. Человек должен вести здоровый уклад жизни, дышать свежим воздухом, делать физические упражнения и дыхательную гимнастику.
Источник:
Это очень коварный недуг, который обычно протекает бессимптомно. Риск появления спаек увеличивается для людей, переболевших воспалением легких или бронхитом.
В основном спайки в легких представляют собой слишком сильно разросшиеся соединительные ткани в плевральной полости легких. Именно поэтому спайки еще иногда называют плевродиафрагмальными.
Также их делят на тотальные – занимающие все отделы плевры, и единичные – появившиеся из-за сращения двух плевральных листков.
Наиболее распространенные причины образования спаек – заболевания верхних дыхательных путей. Обычно это различные виды бронхитов, плевритов, перенесенное воспаление легких. Но существуют и более неожиданные причины – заражение легких паразитами (например, аскаридами, эхинококками и др.
), присутствие в легких палочки Коха, возникновении онкологии, инфаркт легкого, саркоидоз, запущенные формы аллергии.
К наименее распространенным причинам можно отнести: курение, врожденные патологии, работу на вредных производствах, плохую экологию окружающей среды, механические травмы легкого, внутренние кровотечения и проведение операций на области грудной клетки.
В сущности спайки появляются в результате неудачно залеченного или вовсе запущенного воспалительного процесса.
Иногда спайки в легких может образовывать не только слишком разросшаяся соединительная ткань, но также и ткань фиброзная (которая носит характер доброкачественного новообразования).
При наличии в организме хронических инфекций могут образовываться плевропульмональные спайки.
Обычно спайки в легких не имеют четко выраженных симптомов, поэтому их часто путают с другими заболеваниями. Если спаек совсем немного, то они практически незаметны, а вот увеличение их количества способно привести к серьезным последствиям. Стоит насторожиться при появлении следующих признаков, а особенно при сочетании двух и более из них:
- Одышка, в случае, когда она возникает без видимых причин;
- Тахикардия (учащенное сердцебиение), тоже возникающая без влияния каких-либо внешних факторов;
- Боль в грудине, как острая, та и ноющая.
Одышка без видимых причин – один из возможных симптомов спаек в легких
https://youtube.com/watch?v=62GMQ6TP5_g
Указанные состояния очень похожи на простуду, поэтому спайки часто и не обнаруживают, занимаясь симптоматическим лечением простудного заболевания и нередко даже не обращаясь к врачу. Однако, своевременное выявление чрезмерного разрастания соединительной ткани в легких позволит пациенту максимально быстро избавиться от недуга, избежав неприятных последствий.
В запущенных случаях может наблюдаться ощущение нехватки воздуха, сильный кашель, отхождение гнойной мокроты (особенно по утрам). Корме того люди со спайками гораздо чаще заражаются инфекциями верхних дыхательных путей.
Со временем заболевание может перейти в хроническую форму, а это чревато кислородным голоданием организма, частыми интоксикациями и ярко выражено аритмией.
Плевральные спайки (шварты, синехии) — соединительнотканные образования, которые формируются между листками плевры как следствие острого или хронического воспаления.
В зависимости от объема поражения, локализации сращений клинические проявления могут носить скрытый характер или существенно влиять на состояние больного.
При массивном спаечном процессе отмечается выраженное нарушение функционирования легких.
Париетальная и висцеральная плевра
Плевра представляет собой тонкие серозные оболочки, выстилающие внутреннюю поверхность грудной клетки (париетальная) и покрывающие легочною ткань (висцеральная).
Между висцеральной и париетальной плеврой образуется узкая полость, в которой циркулирует серозная жидкость, уменьшающая трение листков плевры.
Воспалительные изменения могут протекать как на наружной, так и на внутренней поверхности серозной оболочки.
Спайки
Спайки плевры могут быть локальными, когда они соединяют отдельные участки серозных оболочек или тотальными, которые занимают всю или большую часть плевральной полости. Кроме того, шварты могут быть единичными или множественными, локализоваться с одной или обеих сторон. В зависимости от места образования спайки располагаются между такими анатомическими образованиями, как:
- висцеральным и париетальным листками;
- отдельными участками париетального листка: реберно-диафрагмальные, реберно-апикальные (в области плеврального купола);
- отдельными участками висцеральной плевры (междолевые);
- серозной оболочкой сердца (перикардом) и пристеночной плеврой (плевро-перикардиальные);
- плеврой и серозной оболочкой средостения (плевро-медиастинальные);
- серозной оболочкой и внутригрудной фацией, диафрагмой.
Спайки могут соединять несколько областей и быть реберно-диафрагмо-перикардиальными, плевро-перикардо-медиастинальными и т.д. По внешнему виду и толщине плевральные шварты могут быть круглыми (шнуро-, струновидные), мембранозными (занавесо-, лентовидные), плоскостными (истинные, ложные — соединительная ткань стягивает участок висцерального или париетального листка).
Конечная фаза воспалительной реакции — пролиферация, то есть образование новой ткани, которая замещает поврежденный участок. При плеврите любого генеза (происхождения) в результате повышения проницаемости сосудов жидкая часть плазмы с белками, воспалительными клетками выходит в очаг повреждения. Далее выделяют три последовательных фазы образования плевральных спаек:
- Трансформация белка-фибриногена в фибрин, который откладывается в виде нитей на плевре или в полости.
- Образование молодых рыхлых спаек из коллагена, который синтезируется фибробластами (клетками-предшественниками соединительной ткани).
- Формирование плотных фиброзных шварт с сосудами и нервными окончаниями.
С течением времени спайки могут самопроизвольно рассасываться, подвергаться склерозу, кальцификации, гиалинозу (образованию в толще шварты плотных хрящевидных масс). Длительное воспаление совместно со спайками приводит к осумкованному плевриту.
Не у всех пациентов, перенесших плеврит, образуются плевральные синехии. К их формированию предрасполагают следующие факторы:
- хронический плеврит;
- обструктивная болезнь легких;
- частые бронхиты, пневмонии;
- паразитарные инвазии в легких;
- туберкулез;
- рак;
- врожденная патология бронхолегочной системы;
- курение;
- бронхиальная астма тяжелого течения;
- муковисцидоз;
- вдыхание загрязненного воздуха (профессиональные вредности);
- саркоидоз;
- полисерозиты (ревматизм, красная волчанка, синдром Дресслера, уремия);
- оперативное вмешательство на органах грудной клетки;
- инфаркт легкого.
Спаечный процесс может быть приобретенным и врожденным. Внутриутробно синехии могут образовываться из-за аномалий развития, эмбрио- и фетопатий, как следствие перенесенной инфекции, обменных патологий.
Спайки в легких, если они тонкие и единичные, могут никак не проявлять себя и быть случайной находкой при операции или в ходе диагностики по поводу другого заболевания. Если же слипчивый процесс распространенный, нарушает функцию дыхания, поддерживает воспаление, то наблюдается следующая клиническая картина:
- боли разной интенсивности на стороне синехий;
- сухой кашель;
- одышка смешанного типа;
- учащение сердцебиения;
- субфебрилитет при хроническом воспалении.
Длительное существование спаек, мешающих полноценной аэрации легких, приводит к развитию кислородного голодания, хронической интоксикации. Кожа становится бледной с синюшным оттенком губ, кончиков пальцев, больного беспокоят сонливость, усталость, подавленность, головные боли, перебои в работе сердца.
Достоверная визуальная диагностика плевральных шварт возможна только если соединительно-тканные образования больше 1 см в толщину. В противном случае тень от спаек накладывается на ткань легкого и не видна на рентгенограмме. При указании на характерные жалобы, которые возникли и сохраняются после перенесенного плеврита, требуется проведение дополнительных исследований таких, как:
- флюорография;
- рентгенография динамическая (на вдохе и выдохе), в двух проекциях (прямой, боковой);
- УЗИ;
- компьютерная томография;
- лечебно-диагностическая пункция при наличии выпота;
- ЭКГ для исключения сердечной патологии.
При тотальных швартах наблюдается деформация грудной клетки, сужение межреберных промежутков, смещение средостения в больную сторону, искривление позвоночника в здоровую сторону.
Чаще всего плевральные шварты лечатся консервативными методами, к которым относятся:
- антибиотикотерапия при сохраняющемся гнойном воспалении согласно выявленной флоре;
- обезболивающие и противовоспалительные препараты (Ибупрофен, Кеторол, Баралгин);
- противокашлевые средства при выраженном болевом синдроме, усиливающимся при кашле (Синекод, Тусупрекс, Либексин);
- кислородотерапия по показаниям;
- физиотерапия (СВЧ, УВЧ в импульсном режиме, магнитотерапия, озокеритовые, парафиновые аппликации, гальванизация) при отсутствии противопоказаний;
- массаж, ЛФК с элементами дыхательной гимнастики;
- дренирование плевральной полости.
Показанием к оперативному лечению являются выраженная сердечная и дыхательная недостаточность. Применяют эндоскопическое иссечение спаек, удаление шварты с частью плевры иили легкого в зависимости от глубины склероза.
В основе профилактики спаечного процесса лежит исключение или минимизация воздействия на организм провоцирующих факторов. Питание должно быть рациональным, богатым полноценными белками, витаминами, микроэлементами. Достаточная физическая активность, дыхательная гимнастика улучшают кровоснабжение тканей, функциональное состояние легких.
Отказ от курения, снижение объема вдыханий загрязненного воздуха (использование респираторов, смена рода деятельности) многократно улучшают прогноз заболевания. Закаливание организма повышает иммунитет и профилактирует болезни бронхолегочной системы. Адекватное лечение хронической патологии способствует минимизации осложнений острых инфекционных заболеваний.
Источник: http://ingalin.ru/plevrit/plevralnye-spajki.html
Плевродиафрагмальная спайка – это разрастание соединительной ткани (образование рубца) в той области грудной клетки, где нижняя поверхность легкого прилегает к диафрагме (плевродиафрагмальный угол).
Причиной образования такой спайки может служить практически любое перенесенное заболевание бронхолегочного аппарата.
- острого или хронического бронхита
- воспаления легких
- абсцесса легочной ткани
- паразитарных поражений легких
- туберкулеза
- плевритов
- рака легких
- инфаркта легкого
- саркоидоза
- врожденных пороков развития органов дыхания
Первое место среди причин спаечного процесса в легких занимают плевриты различной этиологии и пневмонии.
Также людям с плевродиафрагмальной спайкой нужно тщательно беречься от заболеваний респираторной системы. В случае инфекции она поселится в самом уязвимом месте легочной ткани – на участке со спайкой, после чего может образоваться еще один рубец и т. д.
Это в конечном итоге может привести к стягиванию и деформации легкого, что грозит развитием хронической легочной недостаточности.
Флюорография – это специальная методика рентгенологического обследования органов грудной клетки в профилактических целях (в основном, для выявления начальной стадии туберкулеза).
Как часто необходимо делать флюорографию? На этот вопрос существует четкий ответ. По законодательным нормам нашей страны данное обследование нужно проходить 1 раз в 2 года.
Существуют категории людей, которым по эпидемиологическим показаниям флюорографию нужно делать 2 раза в год.
- врачи и медперсонал
- лица, которые находятся в тесном контакте с больным туберкулезом
- люди с хроническими заболеваниями внутренних органов
- инфицированные ВИЧ, или больные первичными и вторичными иммунодефицитами
- военнослужащие
Внеочередное обследование показано тем, у кого подозревают туберкулез, при прохождении начальных и периодических медосмотров.
- острый и хронический бронхит
- бронхиальная астма
- пневмония
- хроническая обструктивная болезнь легких
- абсцесс легочной ткани
- плеврит
- туберкулез
- рак
- саркоидоз
- бронхоэктатическая болезнь
- инфаркт легкого
- поражения легочной ткани при системных заболеваниях соединительной ткани
- наследственные заболевания и врожденные аномалии развития легких
Причин патологии легких очень много. Чаще всего в развитии таких заболеваний главную роль играет инфекция (вирусы, бактерии, грибки, паразиты), которые человек вдыхает с воздухом.
Также большую часть причин составляют аллергические реакции. Аллергическая реакция на респираторные аллергены составляет основу развития бронхиальной астмы. Большую роль играет и состояние иммунитета человека, образ его жизни, питание.
- санация очагов хронической инфекции в организме
- предотвращение действия патогенных факторов на организм (физических, токсических, биологических)
- предупреждение влияния неблагоприятных условий внешней среды
- закаливание, здоровый образ жизни, прием витаминов и микроэлементов, иммуномодуляторов
Если придерживаться всех рекомендаций по профилактике заболеваний органов дыхания, проходить регулярное флюорографическое обследование, то ни плевродиафрагмальные спайки, ни какие-либо другие поражения легких вам не будут страшны.
- Блог пользователя – Милица
- Для комментирования войдите или зарегистрируйтесь
Действительно, ничего страшного в этих плевродиафрагмальных спайках нет. На здоровье и качество жизни никак не влияют. Они даже могут со временем пройти. Но это если делать дыхательные упражнения, развивать легкие.
Бланк с результатом флюорографии вызвал у Вас настороженность непонятными терминами и цифрами? Узнайте, что стоит за расшифровкой результата флюорографического обследования и когда следует обратиться к врачу: кардиологу, пульмонологу или фтизиатру.
https://youtube.com/watch?v=3WIGWb-PPE8
Понятие плеврального выпота (ПВ) подразумевает скопление жидкости в плевральной полости. Состояние, как правило, имеет вторичный характер и может возникать при множестве различных патологических процессов вследствие тесной анатомо-физиологической.
Несмотря на все достижения современной медицины, диагностика экссудативных плевритов и, в частности, эмпиемы плевры по-прежнему проблематична. Не скроем: эмпиема плевры (гнойный плеврит, пиоторакс) для врачей – один из самых сложных диагнозов. А тем.
инфильтративных теней не определяется. В области правой верхушке плеврально-апикальные уплотнения с единичными фиброзированными (?)очагами.
Корни структурны. Rg-признаков увеличения лимфоузлов средостения не выявлено.
Диафрагма расположена обычно, слева плеврально-диафрагмальная спайка.Синусы свободны. Сердце, сосуды в норме.
Отправили на платную МСКТ
В легких свежих инфильтративных и очаговых изменений не выявлено.
Плевроапикальные наслоения преимущественно справа, с наличием на этом фоне справа единичных плотных(фиброзных) очагов maх размероми до 4 мм
Единичный обызвествленный очаг 2 мм в S3 правого легкого субплеврально.
Легочный рисунок не деформирован.
Просвет трахеи,главных,долевых и сегментарных бронхов с двух сторон не сужен, ход их не изменен.
Корни легких структурны, не расширены.
Лимфоузлы средостения не увеличены. немногочисленные лимфоузлы центрального средостения размерами менее 8 мм
Свободной жидкости в плевральных полостях нет.
Костно-деструктивных изменений в зоне исследования не выявлено.
Свежих очаговых и инфильтративных изменений в легких не выявлено.
Плевропневмофиброз в верхушке правого легкого.
Единичные плотные (фиброзные) очаги в верхушке правого легкого.
Мелкий обызвествленный очаг в S3 справа.
Что это за болезнь?
Кашель остался сильным,приступообразным.Температура бывает иногда небольшая,до 37,5,поднимается к вечеру.Я очень переживаю,что это может быть опухоль или туберкулёз.Пожалуйста,скажите,что это может быть?Доктор назначил КТ после лечения антибиотиками через две-три недели.Не очень ли вредно такое частое обследование КТ и рентгенографией?Заранее спасибо Вам большое.
Описание: левый купол диафрагмы подтянут плевральной спайкой. Легкие и сердце в норме.
Прокомментируйте, пожалуйста описание, что это означает?
Плевральные спайки, образующиеся непосредственно в легких, являются не чем иным, как разросшейся соединительной тканью. Плевроапикальные и все остальные спайки в легких являются типичным последствием перенесенной пневмонии или плеврита любого происхождения.
Для него нужно сшить мешочек, который спокойно разляжется по всей области легких, наполнить его прогретым льняным семенем, и приложить месту, немного выше, чем показана спайка на снимке.
Напоследок стоит заметить, что вопросом, что такое плевральные спайки в легких, задаются все, кроме врачей.
Если побывать на их форумах и сайтах, понимаешь, что подобный диагноз не котируется как серьезный, и с ним можно спокойно жить до самой старости.
Спайки оказывают негативное влияние на функционирование органов дыхания, затрудняя его работу, ограничивая естественную подвижность. Она выражается в усилении одышки, в нехватке воздуха и требует экстренной врачебной помощи.
Кроме того, диафрагма может быть ограничена в подвижности. Чаще всего такие спайки располагаются в нижней части легкого. Лечение спаек легкого должно выстраиваться на основе запущенности спаечного процесса и исходя из того, что к привело к его развитию.
Сами тяжи состоят из той же ткани, что и наружная стенка кишечника. Спайки в малом тазу обнаруживаются очень часто, особенно эта проблема актуальна для женщин.
Для них спайки несут серьезную угрозу в виде развития бесплодия, не говоря уже о выраженном дискомфорте и болях, которые они вызывают.
Объяснение того, что спаечная болезнь малого таза является очень распространенной, кроется в нескольких причинах#8230;
Спайки возникают вследствие реакции брюшины на воспалительный процесс, травмы и хирургические вмешательства. Эта гладкая соединительная ткань, выстилающая брюшную полость изнутри, в норме обеспечивает#8230;
Основной признак образования спаек — это появление одышки. Возможно появление болей в области груди. Боль может быть острой или ноющей. Плевропульмональные шварты возникают и в результате хронического инфекционного заболевания.
Радикальный метод лечения — это оперативное вмешательство. Удаление образований хирургическим путем проводится только в случае, если плевра серьезно повреждена спайками и пациенту грозит смерть.
Комментариев пока нет!
Источник:
Симптомы спаек в легких могут быть следующими:
- Одышка
- Боли с локализацией в районе груди.
- Учащенное сердцебиение.
- При обострении процесса возможно развитие дыхательной недостаточности. Она выражается в усилении одышки, в нехватке воздуха и требует экстренной врачебной помощи.
- Человек в большей степени подвержен дыхательным патологиям, так как естественный процесс вентиляции легких оказывается нарушенным.
- На присоединение инфекции укажет гнойная мокрота, усиление кашля и одышки, повышение температуры тела. Особенно много мокроты будет наблюдаться в утренние часы.
- Хроническая спаечная болезнь легких вызывает нарушения в организме в целом. Он будет страдать от кислородного голодания, от интоксикации. Часто развивается анемия с бледностью кожных покровов.
Причины спаек в легких кроются в следующих патологических процессах:
- На первом месте стоят плевриты различной этиологии, а также перенесенные пневмонии.
- Острый и хронический бронхит .
- Перенесенное воспаление легких .
- Заражение легких паразитами (амебиаз, аскаридоз , парагонизм, эхинококкоз и пр.).
- Поражение легких палочкой Коха.
- Рак легких.
- Инфаркт легкого.
- Врожденные пороки развития легких.
- Саркоидоз .
- Профессиональные вредности, вдыхание промышленной пыли.
- Плохая экологическая обстановка в зоне проживания.
- Травмы легкого.
- Аллергические реакции организма и частые контакт органов дыхания с аллергеном.
- Курение.
- Внутреннее кровотечение.
- Операции на грудной клетке.
Лечение спаек легкого должно выстраиваться на основе запущенности спаечного процесса и исходя из того, что к привело к его развитию. Хирургическое вмешательство показано лишь в том случае, если спайки приводят к формированию легочной недостаточности и иных состояний, угрожающих жизни. В остальных случаях ограничиваются консервативной терапией, а также проведением физиопроцедур.
Источник: https://legkieplus.ru/bez-rubriki/lechenie-plevralnyh-spaek-v-legkih.html
Поделиться:






