Плевральные спайки (шварты, синехии) — соединительнотканные образования, которые формируются между листками плевры как следствие острого или хронического воспаления.
В зависимости от объема поражения, локализации сращений клинические проявления могут носить скрытый характер или существенно влиять на состояние больного.
При массивном спаечном процессе отмечается выраженное нарушение функционирования легких.
Париетальная и висцеральная плевра
Плевра представляет собой тонкие серозные оболочки, выстилающие внутреннюю поверхность грудной клетки (париетальная) и покрывающие легочною ткань (висцеральная).
Между висцеральной и париетальной плеврой образуется узкая полость, в которой циркулирует серозная жидкость, уменьшающая трение листков плевры.
Воспалительные изменения могут протекать как на наружной, так и на внутренней поверхности серозной оболочки.
Спайки
Спайки плевры могут быть локальными, когда они соединяют отдельные участки серозных оболочек или тотальными, которые занимают всю или большую часть плевральной полости. Кроме того, шварты могут быть единичными или множественными, локализоваться с одной или обеих сторон. В зависимости от места образования спайки располагаются между такими анатомическими образованиями, как:
- висцеральным и париетальным листками;
- отдельными участками париетального листка: реберно-диафрагмальные, реберно-апикальные (в области плеврального купола);
- отдельными участками висцеральной плевры (междолевые);
- серозной оболочкой сердца (перикардом) и пристеночной плеврой (плевро-перикардиальные);
- плеврой и серозной оболочкой средостения (плевро-медиастинальные);
- серозной оболочкой и внутригрудной фацией, диафрагмой.
Спайки могут соединять несколько областей и быть реберно-диафрагмо-перикардиальными, плевро-перикардо-медиастинальными и т.д. По внешнему виду и толщине плевральные шварты могут быть круглыми (шнуро-, струновидные), мембранозными (занавесо-, лентовидные), плоскостными (истинные, ложные — соединительная ткань стягивает участок висцерального или париетального листка).
Причина образования плевральных синехий — воспаление инфекционного или неинфекционного происхождения. Чаще всего спайки образуются после перенесенного экссудативного плеврита.
Кроме того, слипчивый процесс как исход повреждения плевры может возникать из-за аутоимунного (ревматизм, коллагенозы), посттравматического (бытовое ранение, лечебно-диагностические медицинские манипуляции), туберкулезного, опухолевого процесса.
Конечная фаза воспалительной реакции — пролиферация, то есть образование новой ткани, которая замещает поврежденный участок. При плеврите любого генеза (происхождения) в результате повышения проницаемости сосудов жидкая часть плазмы с белками, воспалительными клетками выходит в очаг повреждения. Далее выделяют три последовательных фазы образования плевральных спаек:
- Трансформация белка-фибриногена в фибрин, который откладывается в виде нитей на плевре или в полости.
- Образование молодых рыхлых спаек из коллагена, который синтезируется фибробластами (клетками-предшественниками соединительной ткани).
- Формирование плотных фиброзных шварт с сосудами и нервными окончаниями.
С течением времени спайки могут самопроизвольно рассасываться, подвергаться склерозу, кальцификации, гиалинозу (образованию в толще шварты плотных хрящевидных масс). Длительное воспаление совместно со спайками приводит к осумкованному плевриту.
Не у всех пациентов, перенесших плеврит, образуются плевральные синехии. К их формированию предрасполагают следующие факторы:
- хронический плеврит;
- обструктивная болезнь легких;
- частые бронхиты, пневмонии;
- паразитарные инвазии в легких;
- туберкулез;
- рак;
- врожденная патология бронхолегочной системы;
- курение;
- бронхиальная астма тяжелого течения;
- муковисцидоз;
- вдыхание загрязненного воздуха (профессиональные вредности);
- саркоидоз;
- полисерозиты (ревматизм, красная волчанка, синдром Дресслера, уремия);
- оперативное вмешательство на органах грудной клетки;
- инфаркт легкого.
Спаечный процесс может быть приобретенным и врожденным. Внутриутробно синехии могут образовываться из-за аномалий развития, эмбрио- и фетопатий, как следствие перенесенной инфекции, обменных патологий.
Спайки в легких, если они тонкие и единичные, могут никак не проявлять себя и быть случайной находкой при операции или в ходе диагностики по поводу другого заболевания. Если же слипчивый процесс распространенный, нарушает функцию дыхания, поддерживает воспаление, то наблюдается следующая клиническая картина:
- боли разной интенсивности на стороне синехий;
- сухой кашель;
- одышка смешанного типа;
- учащение сердцебиения;
- субфебрилитет при хроническом воспалении.
Длительное существование спаек, мешающих полноценной аэрации легких, приводит к развитию кислородного голодания, хронической интоксикации. Кожа становится бледной с синюшным оттенком губ, кончиков пальцев, больного беспокоят сонливость, усталость, подавленность, головные боли, перебои в работе сердца.
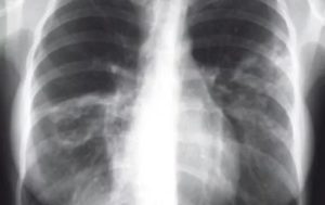
Достоверная визуальная диагностика плевральных шварт возможна только если соединительно-тканные образования больше 1 см в толщину. В противном случае тень от спаек накладывается на ткань легкого и не видна на рентгенограмме. При указании на характерные жалобы, которые возникли и сохраняются после перенесенного плеврита, требуется проведение дополнительных исследований таких, как:
- флюорография;
- рентгенография динамическая (на вдохе и выдохе), в двух проекциях (прямой, боковой);
- УЗИ;
- компьютерная томография;
- лечебно-диагностическая пункция при наличии выпота;
- ЭКГ для исключения сердечной патологии.
При тотальных швартах наблюдается деформация грудной клетки, сужение межреберных промежутков, смещение средостения в больную сторону, искривление позвоночника в здоровую сторону.
Чаще всего плевральные шварты лечатся консервативными методами, к которым относятся:
- антибиотикотерапия при сохраняющемся гнойном воспалении согласно выявленной флоре;
- обезболивающие и противовоспалительные препараты (Ибупрофен, Кеторол, Баралгин);
- противокашлевые средства при выраженном болевом синдроме, усиливающимся при кашле (Синекод, Тусупрекс, Либексин);
- кислородотерапия по показаниям;
- физиотерапия (СВЧ, УВЧ в импульсном режиме, магнитотерапия, озокеритовые, парафиновые аппликации, гальванизация) при отсутствии противопоказаний;
- массаж, ЛФК с элементами дыхательной гимнастики;
- дренирование плевральной полости.
Показанием к оперативному лечению являются выраженная сердечная и дыхательная недостаточность. Применяют эндоскопическое иссечение спаек, удаление шварты с частью плевры иили легкого в зависимости от глубины склероза.
В основе профилактики спаечного процесса лежит исключение или минимизация воздействия на организм провоцирующих факторов. Питание должно быть рациональным, богатым полноценными белками, витаминами, микроэлементами. Достаточная физическая активность, дыхательная гимнастика улучшают кровоснабжение тканей, функциональное состояние легких.
Отказ от курения, снижение объема вдыханий загрязненного воздуха (использование респираторов, смена рода деятельности) многократно улучшают прогноз заболевания. Закаливание организма повышает иммунитет и профилактирует болезни бронхолегочной системы. Адекватное лечение хронической патологии способствует минимизации осложнений острых инфекционных заболеваний.
Источник: http://ingalin.ru/plevrit/plevralnye-spajki.html
Большое распространение легочных заболеваний объясняется тем, что они, как правило, сопутствуют сезонным вирусным болезням. Редко кому хотя бы раз в год удается не заболеть ОРЗ или гриппом. В результате могут в легких могут образовываться плевральные спайки, которые негативно влияют на работу всего организма.
Чтобы не запустить заболевание, нужно вовремя обратиться к врачу, который поставит диагноз и назначит лечение.
Они образуются в любом месте благодаря наличию соединительной ткани. Образованию спаек подвержены многие органы человеческого организма.
В плевре спайки представляют собой соединительную ткань, растущую между оболочками легкого и грудной клетки.
Они могут иметь единичную структуру, а могут так разрастаться, что в конечном итоге занимают всю плевральную полость. В этом случае нужна экстренная медицинская помощь.
Симптомы, которые возникают при наличии в плевральной полости спаек:
- повышенное сердцебиение,
- отдышка,
- боли в грудном отделе,
- нарушение вентиляции легких,
- усиленный кашель,
- бледная кожа,
- повышенная температура.
Как правило, образованию спаек предшествуют перенесенные легочные заболевания, которые служат толчком к их развитию. Выделяют основные болезни, которые являются первопричиной образования спаек:
- воспаление легких,
- бронхит,
- туберкулез,
- рак легких,
- плеврит,
- пневмония,
- инфицирование легких,
Среди плевральных спаек можно выделить плевродиафрагмальные спайки, которые располагаются в нижней части грудной клетки. В основном толчком для их развития служат заболевания бронх. Рубцы образовываются в местах прилегания легкого к диафрагме.
В небольшом количестве спайки не представляют опасности, однако нужно избегать вирусных заболеваний, которые провоцируют их развитие и увеличение количества. Что в конечном итоге может привести к легочной недостаточности.
Разрастаясь, спайки способны снизить кровообращение в легких, перекрывая сосуды, а также бронхи. Перекрытие бронхов, приводит к снижению уровня кислорода в крови. В спайках при длительном развитии возможно образование собственных сосудов и нервов.
Плеврокостальные спайки в основном образовываются после фибринозных или гнойных плевритов, причем они развиваются очень быстро. Образующиеся утолщения плевры в основном происходят в боковых отделах, на стенках, по направлению к поверхности ребер легкого.
Для обнаружения легочных заболеваний в первую очередь используется флюорография. Эту процедуру необходимо проводить ежегодно, в основном она направлена на выявление ранней стадии туберкулеза. Однако опытный рентгенолог может выявить на снимке образовавшиеся плевральные спайки, которые выглядят тенями. Причем форма их не меняется в зависимости от вдоха и выдоха.
При необходимости дополнительно назначается рентген. Как правило, спайки располагаются в нижней части легкого. При этом будет более темная картинка, а также может быть частичная деформация грудной клетки и диафрагмы.
При диагностировании плевральных спаек дальнейшее лечение зависит от их количества и стадии развития. Как правило, достаточно терапевтического воздействия сопровождающегося физиопроцедурами.
Однако в случае запущенности болезни, когда развивается легочная недостаточность, и возникает угроза жизни пациента, применяется хирургическое вмешательство. При этом удаляется часть легкого, которую заполняют спайки. Такая операция получила название лобэктомия.
При обострении воспалительных процессов в легких, которые приводят к образованию спаек, нужно, прежде всего, их локализовать. Для этого используются антибиотики, которые вводятся внутривенно или внутримышечно. Как правило, такие процессы сопровождаются кашлем, поэтому необходимы препараты улучшающие отхождение мокроты.
После того, как воспаление будет остановлено, можно начинать ингаляции и электрофорез. Также при образовании плевральных спаек хорошо зарекомендовали себя дыхательная гимнастика и массаж грудной клетки.
Важно отметить, что при легочных заболеваниях большую роль играет правильное питание.
В рацион необходимо включать продукты, содержащие большое количество витаминов и белков. В меню пациента должны быть:
- рыба,
- творог,
- мясо,
- овощи,
- фрукты.
При предрасположенности организма к легочным болезням рекомендуется периодически проходить курортное лечение. Это будет способствовать оздоровлению организма. Также следует не подвергать организм переохлаждению, заниматься спортом и отказаться от вредных привычек.
Кроме лекарственных препаратов при борьбе со спайками хорошо использовать народные средства. Они недорогие, к тому же не нагружают организм как лекарства, и кроме того весьма эффективны. Вот некоторые рецепты, которые позволят избавиться от спаек:
-
Для приготовления чая используют шиповник, крапиву и бруснику.
Перемешав составляющие, их заливают кипятком и настаивают. Также хорошо помогает отвар, в который входят смородина, шиповник и малина.
- Эффективным средством показал себя отвар из зверобоя. Его легко можно собрать самостоятельно, а затем высушить и измельчить.
- Быстро помогает восстановить дыхание и избавиться от кашля применение эфирных масел.
Следует помнить, что нельзя заниматься самолечением, это может привести к необратимым процессам. Прежде всего, необходима консультация специалиста.
Загрузка…
Источник: https://prof-medstail.ru/bolezni-legkih/lechenie-plevralnyh-spaek-v-legkih
Плевродиафрагмальная спайка – это разрастание соединительной ткани (образование рубца) в той области грудной клетки, где нижняя поверхность легкого прилегает к диафрагме (плевродиафрагмальный угол).
Причиной образования такой спайки может служить практически любое перенесенное заболевание бронхолегочного аппарата.
- острого или хронического бронхита
- воспаления легких
- абсцесса легочной ткани
- паразитарных поражений легких
- туберкулеза
- плевритов
- рака легких
- инфаркта легкого
- саркоидоза
- врожденных пороков развития органов дыхания
Первое место среди причин спаечного процесса в легких занимают плевриты различной этиологии и пневмонии.
Также людям с плевродиафрагмальной спайкой нужно тщательно беречься от заболеваний респираторной системы. В случае инфекции она поселится в самом уязвимом месте легочной ткани – на участке со спайкой, после чего может образоваться еще один рубец и т. д.
Это в конечном итоге может привести к стягиванию и деформации легкого, что грозит развитием хронической легочной недостаточности.
Флюорография – это специальная методика рентгенологического обследования органов грудной клетки в профилактических целях (в основном, для выявления начальной стадии туберкулеза).
Как часто необходимо делать флюорографию? На этот вопрос существует четкий ответ. По законодательным нормам нашей страны данное обследование нужно проходить 1 раз в 2 года.
Существуют категории людей, которым по эпидемиологическим показаниям флюорографию нужно делать 2 раза в год.
- врачи и медперсонал
- лица, которые находятся в тесном контакте с больным туберкулезом
- люди с хроническими заболеваниями внутренних органов
- инфицированные ВИЧ, или больные первичными и вторичными иммунодефицитами
- военнослужащие
Внеочередное обследование показано тем, у кого подозревают туберкулез, при прохождении начальных и периодических медосмотров.
- острый и хронический бронхит
- бронхиальная астма
- пневмония
- хроническая обструктивная болезнь легких
- абсцесс легочной ткани
- плеврит
- туберкулез
- рак
- саркоидоз
- бронхоэктатическая болезнь
- инфаркт легкого
- поражения легочной ткани при системных заболеваниях соединительной ткани
- наследственные заболевания и врожденные аномалии развития легких
Причин патологии легких очень много. Чаще всего в развитии таких заболеваний главную роль играет инфекция (вирусы, бактерии, грибки, паразиты), которые человек вдыхает с воздухом.
Также большую часть причин составляют аллергические реакции. Аллергическая реакция на респираторные аллергены составляет основу развития бронхиальной астмы. Большую роль играет и состояние иммунитета человека, образ его жизни, питание.
- санация очагов хронической инфекции в организме
- предотвращение действия патогенных факторов на организм (физических, токсических, биологических)
- предупреждение влияния неблагоприятных условий внешней среды
- закаливание, здоровый образ жизни, прием витаминов и микроэлементов, иммуномодуляторов
Если придерживаться всех рекомендаций по профилактике заболеваний органов дыхания, проходить регулярное флюорографическое обследование, то ни плевродиафрагмальные спайки, ни какие-либо другие поражения легких вам не будут страшны.
- Блог пользователя – Милица
- Для комментирования войдите или зарегистрируйтесь
Действительно, ничего страшного в этих плевродиафрагмальных спайках нет. На здоровье и качество жизни никак не влияют. Они даже могут со временем пройти. Но это если делать дыхательные упражнения, развивать легкие.
Бланк с результатом флюорографии вызвал у Вас настороженность непонятными терминами и цифрами? Узнайте, что стоит за расшифровкой результата флюорографического обследования и когда следует обратиться к врачу: кардиологу, пульмонологу или фтизиатру.
Понятие плеврального выпота (ПВ) подразумевает скопление жидкости в плевральной полости. Состояние, как правило, имеет вторичный характер и может возникать при множестве различных патологических процессов вследствие тесной анатомо-физиологической.
Несмотря на все достижения современной медицины, диагностика экссудативных плевритов и, в частности, эмпиемы плевры по-прежнему проблематична. Не скроем: эмпиема плевры (гнойный плеврит, пиоторакс) для врачей – один из самых сложных диагнозов. А тем.
инфильтративных теней не определяется. В области правой верхушке плеврально-апикальные уплотнения с единичными фиброзированными (?)очагами.
Корни структурны. Rg-признаков увеличения лимфоузлов средостения не выявлено.
Диафрагма расположена обычно, слева плеврально-диафрагмальная спайка.Синусы свободны. Сердце, сосуды в норме.
Отправили на платную МСКТ
В легких свежих инфильтративных и очаговых изменений не выявлено.
Плевроапикальные наслоения преимущественно справа, с наличием на этом фоне справа единичных плотных(фиброзных) очагов maх размероми до 4 мм
Единичный обызвествленный очаг 2 мм в S3 правого легкого субплеврально.
Легочный рисунок не деформирован.
Просвет трахеи,главных,долевых и сегментарных бронхов с двух сторон не сужен, ход их не изменен.
Корни легких структурны, не расширены.
Свободной жидкости в плевральных полостях нет.
Костно-деструктивных изменений в зоне исследования не выявлено.
Свежих очаговых и инфильтративных изменений в легких не выявлено.
Плевропневмофиброз в верхушке правого легкого.
Единичные плотные (фиброзные) очаги в верхушке правого легкого.
Мелкий обызвествленный очаг в S3 справа.
Что это за болезнь?
Кашель остался сильным,приступообразным.Температура бывает иногда небольшая,до 37,5,поднимается к вечеру.Я очень переживаю,что это может быть опухоль или туберкулёз.Пожалуйста,скажите,что это может быть?Доктор назначил КТ после лечения антибиотиками через две-три недели.Не очень ли вредно такое частое обследование КТ и рентгенографией?Заранее спасибо Вам большое.
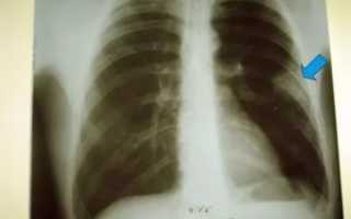
Описание: левый купол диафрагмы подтянут плевральной спайкой. Легкие и сердце в норме.
Прокомментируйте, пожалуйста описание, что это означает?
Плевральные спайки, образующиеся непосредственно в легких, являются не чем иным, как разросшейся соединительной тканью. Плевроапикальные и все остальные спайки в легких являются типичным последствием перенесенной пневмонии или плеврита любого происхождения.
Для него нужно сшить мешочек, который спокойно разляжется по всей области легких, наполнить его прогретым льняным семенем, и приложить месту, немного выше, чем показана спайка на снимке.
Напоследок стоит заметить, что вопросом, что такое плевральные спайки в легких, задаются все, кроме врачей.
Если побывать на их форумах и сайтах, понимаешь, что подобный диагноз не котируется как серьезный, и с ним можно спокойно жить до самой старости.
Берегите себя! Крепкого вам здоровья и хорошего самочувствия! Спайки в легких – это разросшиеся соединительнотканные тяжи, которые чаще всего располагаются между серозными оболочками плевральной полости.
Спайки оказывают негативное влияние на функционирование органов дыхания, затрудняя его работу, ограничивая естественную подвижность. Она выражается в усилении одышки, в нехватке воздуха и требует экстренной врачебной помощи.
Кроме того, диафрагма может быть ограничена в подвижности. Чаще всего такие спайки располагаются в нижней части легкого. Лечение спаек легкого должно выстраиваться на основе запущенности спаечного процесса и исходя из того, что к привело к его развитию.
Сами тяжи состоят из той же ткани, что и наружная стенка кишечника. Спайки в малом тазу обнаруживаются очень часто, особенно эта проблема актуальна для женщин.
Для них спайки несут серьезную угрозу в виде развития бесплодия, не говоря уже о выраженном дискомфорте и болях, которые они вызывают.
Спайки возникают вследствие реакции брюшины на воспалительный процесс, травмы и хирургические вмешательства. Эта гладкая соединительная ткань, выстилающая брюшную полость изнутри, в норме обеспечивает#8230;
Основной признак образования спаек — это появление одышки. Возможно появление болей в области груди. Боль может быть острой или ноющей. Плевропульмональные шварты возникают и в результате хронического инфекционного заболевания.
Радикальный метод лечения — это оперативное вмешательство. Удаление образований хирургическим путем проводится только в случае, если плевра серьезно повреждена спайками и пациенту грозит смерть.
Комментариев пока нет!
Источник:
Симптомы спаек в легких могут быть следующими:
- Одышка
- Боли с локализацией в районе груди.
- Учащенное сердцебиение.
- При обострении процесса возможно развитие дыхательной недостаточности. Она выражается в усилении одышки, в нехватке воздуха и требует экстренной врачебной помощи.
- Человек в большей степени подвержен дыхательным патологиям, так как естественный процесс вентиляции легких оказывается нарушенным.
- На присоединение инфекции укажет гнойная мокрота, усиление кашля и одышки, повышение температуры тела. Особенно много мокроты будет наблюдаться в утренние часы.
- Хроническая спаечная болезнь легких вызывает нарушения в организме в целом. Он будет страдать от кислородного голодания, от интоксикации. Часто развивается анемия с бледностью кожных покровов.
Причины спаек в легких кроются в следующих патологических процессах:
- На первом месте стоят плевриты различной этиологии, а также перенесенные пневмонии.
- Острый и хронический бронхит .
- Перенесенное воспаление легких .
- Заражение легких паразитами (амебиаз, аскаридоз , парагонизм, эхинококкоз и пр.).
- Поражение легких палочкой Коха.
- Рак легких.
- Инфаркт легкого.
- Врожденные пороки развития легких.
- Саркоидоз .
- Профессиональные вредности, вдыхание промышленной пыли.
- Плохая экологическая обстановка в зоне проживания.
- Травмы легкого.
- Аллергические реакции организма и частые контакт органов дыхания с аллергеном.
- Курение.
- Внутреннее кровотечение.
- Операции на грудной клетке.
Лечение спаек легкого должно выстраиваться на основе запущенности спаечного процесса и исходя из того, что к привело к его развитию. Хирургическое вмешательство показано лишь в том случае, если спайки приводят к формированию легочной недостаточности и иных состояний, угрожающих жизни. В остальных случаях ограничиваются консервативной терапией, а также проведением физиопроцедур.
Источник: https://legkieplus.ru/bez-rubriki/lechenie-plevralnyh-spaek-v-legkih.html
В зависимости от локализации и степени распространенности, выделяют несколько типов соединительнотканных сращений в легких:
- Плевроапикальные.
- Певропульмональные.
- Плевродиафрагмальные.
Виды спаек классифицируют и по этиологии их происхождения:
- Инфекционные/неинфекционные.
- Травматические.
- Послеоперационные.
- Экссудативные.
- Фиброзные.
- Врожденные.
Шварты бывают локальными, очаговыми и множественными. Локальные представляют собой ограниченный измененный участок легочной ткани. Они не вызывают болезненной симптоматики. Очаговые локализуются на нескольких участках плевры, а множественные хаотично покрывают большую часть легкого.
Вид спаечной болезни устанавливается в процессе диагностики. От тяжести поражения и выраженности патологической симптоматики зависит форма лечения.
Уплотнение плевры легочных верхушек – это плевроапикальные спайки. Подобного рода наслоения могут указывать на недавние воспалительные процессы. Но чаще всего шварты возникают из-за туберкулезной инфекции, то есть выступают ее осложнением. Соединительные структуры изолируют пораженный участок от здоровых тканей.
Как правило, разрастание тканей выявляют во время флюорографии. Сами по себе тяжи не являются болезнью, поэтому не требуют терапевтического воздействия. Если же они стали причиной болей в груди, затрудненного дыхания и других неприятных симптомов, то необходима медицинская помощь.
Появление плевропульмональных тяжей в легких, указывает на ранее перенесенные воспалительные процессы с поражением плевральных тканей. Соединительнотканные сращения обусловлены нарушением функций дыхания и кровообращения. Шварты локализуют пораженные ткани от здоровых, тем самым восстанавливая нормальную работу органа.
Легкие окружены плевральной полостью. В норме в этой области содержится около 5 мл синовиальной жидкости, которая выступает амортизатором для нормального процесса дыхания.
Если орган болен, то появляется воспалительный экссудат, который провоцирует развитие плеврита. В процессе болезни на стенках органа откладывает фибрин. Во время выздоровления воспаление уходит, и скопившаяся жидкость рассасывается.
Но фибрин может остаться в плевре и стать причиной спаек. В особо тяжелых случаях это приводит к сращению листков плевры.
Как правило, плевропульмональные образования выявляются во время флюорографии. В большинстве случаев данный рентгенологический признак не требует специального лечения. Необходимость проведения терапии возникает при развитии дыхательной недостаточности и других болезненных симптомов.
Соединительная ткань на границах серозных оболочек плевральной полости – это плевродиафрагмальные шварты. В легких они образуются из-за воспалительных и инфекционных процессов, а также при травматических повреждениях и врожденных аномалиях. Спайки могут быть тотальными, разрастаясь по всему объему плевры и единичными.
Если спаечные процессы вызывают боли при дыхании, одышку и другие неприятные симптомы, то следует обратиться к пульмонологу. Врач назначит комплексную диагностику.
- Если разрастания связаны с воспалительными процессами, то наблюдается повышенное содержание лейкоцитов в мокроте, изменение С-реактивного белка в крови.
- При исследовании мокроты определяют уровень альвеолярных макрофагов, эпителия бронхов, наличие эритроцитов и другие показатели. Если в анализе выявлен эпителий, то в зависимости от того какой тип клеток преобладает, врач делает выводы о степени поражения дыхательных путей.
- Также проводится спирография с бронхорасширяющим препаратом для определения функций внешнего дыхания.
Лечение зависит от тяжести спаечной болезни и причины ее появления. Если есть высокий риск легочной недостаточности и других опасных для жизни патологий, то проводится хирургическое вмешательство. В остальных случаях пациентам назначают медикаментозную терапию и курс физиопроцедур.
Диафрагма представляет плоскую мышцу, которая состоит из нескольких мышечных пучков. Она расположена между грудиной и брюшной полостью, то есть прямо под легкими, соприкасаясь с плеврой. Появление диафрагмальных спаек чаще всего связано с вовлечением плевры в воспалительный процесс. Таким образом плевральные наслоения изолируют пораженные участки.
Как правило, шварты в легких не вызывают болезненных ощущений. Но в некоторых случаях появляется такие симптомы:
- Непродуктивный кашель.
- Признаки дыхательной недостаточности.
- Дискомфорт во время дыхания и другие болезненные ощущения.
Подобная симптоматика является поводом для обращения за медицинской помощью и прохождения диагностики. Разрастание тканей выявляют с помощью флюорографии и рентгенологического изучения. Если диафрагмальные спайки кальцинируются, то это облегчает их выявление.
На снимках тяжи выглядят затемненными участками легочного поля с усиленным сосудисто-соединительнотканным рисунком. При множественных поражениях определяются диффузные затемнения. Также возможно снижение высоты стояния ребер, уменьшение межреберного пространства и смещение органов.
Лечение зависит от результатов проведенной диагностики. Если рубцовые изменения быстро уплотняются и нарушают нормальную работу легкого, то проводится хирургическое вмешательство с курсом медикаментозной терапии.
Они заключаются в своевременном лечении любых заболеваний и повышении защитных свойств иммунной системы.
Разросшиеся соединительнотканные тяжи в основании легких, то есть в прикорневой зоне – это базальные спайки. Образование сращений в данной области встречается крайне редко. Основными причинами появления шварт выступают:
- Хронические воспалительные процессы.
- Обструкция бронхов.
- Механическая травматизация дыхательной системы.
- Генетические и врожденные заболевания.
- Длительное вдыхание пыли и газов.
- Аллергические альвеолиты.
- Бактериальные и вирусные заболевания.
Формирование базальных спаек в легких возможно при тромбозе легочных артерий, недостаточности левого желудочка сердца, нарушении тока крови в легочном круге кровообращения. То есть рубцевание плевры выступает результатом дистрофических изменений. Соединительные ткани разрастаются, деформируя структуру органа.
https://youtube.com/watch?v=6cX_AnqWItY
Опасность болезненного состояния в том, что спайки заполняют межклеточное пространство. Из-за этого легочная ткань уплотняется и уменьшается объем вентилируемого воздуха, сужаются альвеолярные просветы. На этом фоне может развиваться пневмосклероз.
Основным признаком патологического состояния выступает дыхательная недостаточность. Без медицинской помощи болезненная симптоматика может прогрессировать, усугубляя дискомфорт. Нехватка кислорода негативно отражается на функционировании всего организма.
Фиброзная ткань – это разновидность соединительной ткани, которая замещает свободное пространство в организме. Фиброзные шварты на плевре легких чаще всего появляются в таких случаях:
- После операционных вмешательств.
- При проникающих травматических повреждениях.
- После острых инфекционных и воспалительных процессов (пневмония, туберкулез).
Как при одиночных, так и при множественных фиброзных спайках возникают симптомы, которые схожи с кардиологическими проблемами:
- Боли в груди.
- Затрудненное дыхание.
- Повышенная слабость и одышка.
- Тахикардия.
Постепенно в фиброзно-волокнистых тканях появляются нервные и кровеносные сосуды. Спайки могут пропитываться солями кальция, то есть окостеневать. Это приводит к ограничению движений легких, что нарушает их функционирование.
Чрезмерное разрастание синехий опасно склеиванием легочных полостей и их зарастанием. Патология сопровождается тяжелой симптоматикой: выраженные боли при дыхании и острая дыхательная недостаточность.
Данное состояние требует срочного оперативного лечения.
На ранних стадиях фиброзные спайки в легких не вызывают болезненных ощущений. Но при появлении первых признаков болезненного состояния и подозрении на спаечную болезнь, необходимо обратиться к специалисту.
Источник: ilive.com.ua
Плевроапикальные и все остальные спайки в легких являются типичным последствием перенесенной пневмонии или плеврита любого происхождения. Точечное и единичное разрастание соединительной ткани не должно вгонять вас в панику, и вынуждать искать действенную методику избавления своей грудной клетки от подобного образования.
Совсем иначе обстоят дела, когда флюорография показывает наличие многочисленных спаек.
Вот они-то уже способны исключить часть легкого из общего процесса газообмена, в результате чего человек начинает испытывать кислородное голодание, дыхательную недостаточность, слабость и ухудшение общего самочувствия. Как правило, множественные очаги разрастания устраняются операционным путем, поскольку медикаменты и народные средства дают маловыраженный эффект, или и вовсе не содействуют полноценному выздоровлению.
Причины, по которым в легких могут образоваться такие тончайшие пленочки, существует довольно много, но самые распространенные выглядят следующим образом:
- бронхиты, протекающие в острой или затяжной форме;
- воспалительные процессы в главном органе дыхания;
- абсцесс тканей легких;
- спайки могут быть результатом деятельности паразитов;
- туберкулез и плеврит, не говоря уже о пневмонии или раке легких, также провоцируют разрастание соединительной ткани в неположенном месте;
- саркоидоз;
- врожденные аномалии органов, входящих в дыхательную систему;
- инфаркт легкого и т.д.
Чем еще опасны спайки в легких, так это способностью подвергаться инфицированию в результате не долеченного респираторного заболевания. В таких ситуациях на месте дефекта начинают образовываться все новые и новые рубцы, что в свою очередь, заканчивается стягиванием, деформацией и недостаточной работой легкого.
К сожалению, ни один врач не сможет вам гарантировать, что плевропульмональные спайки не образуются в легких после излечивания заболеваний, перечисленных выше.
С целью предупреждения разрастания соединительной ткани проводятся такие мероприятия:
- санация очагов хронических инфекций, засевших в организме;
- предупреждение негативного влияния биологических, физических и токсических факторов на тело человека;
- плевральные спаечные образования реже диагностируются у людей, ведущих здоровый образ жизни, придерживающихся правильного питания, употребляющих витамины и отказавшихся от вредных пристрастий.
Поскольку спайки в легких после перенесенной пневмонии или инфаркта легкого обнаруживаются исключительно путем флюорографического исследования, пренебрегать им не следует. Если следовать закону, то просвечивать главный орган дыхания нужно всего раз в пару лет, тогда как каждый человек имеет полное право сам устанавливать график посещения флюорографического кабинета.
Заметим только, что плевроапикальные спаечные процессы чаще всего диагностируются у сотрудников тубдиспансеров, военнослужащих, врачей и медицинского персонала, пациентов с хроническими патологиями внутренних органов, не говоря уже о больных СПИДом или ВИЧ.
https://www.youtube.com/watch?v=7pvP_zW0feU
Самостоятельное лечение многочисленных спаек часто приводит только к ухудшению общего состояния и их дальнейшему разрастанию.
Опять же, каждый организм по-своему реагирует на домашние снадобья и, вполне вероятно, что среди предложенных нами рецептов отыщется тот, который навсегда избавит от последствий пневмонии:
- В термос нужно засыпать пару ст.л. сухих крапивных листьев, такого ж количества брусники и 4 ст.л. плодов шиповника. Все заливается 0,5 л кипящей воды, и на 3 ч. плотно завинчивается крышкой. Пьется чай по половине стакана, и три раза в сутки;
- Плевропульмональные образования устраняет напиток, подготовленный на основе шиповника, малиновых и черносмородиновых ягод, взятых в равных пропорциях. Все точно так же загружается в термос, заливается полулитром только что закипевшей воды, и настаивается пару часов подряд. Такое снадобье нужно принимать пару раз за сутки, и по половинке стакана;
- Самый интересный вариант – это прогревание. Для него нужно сшить мешочек, который спокойно разляжется по всей области легких, наполнить его прогретым льняным семенем, и приложить месту, немного выше, чем показана спайка на снимке. Также семена льна можно просто замотать в марлю, потом вымочить в кипятке и точно так же применить дальше.
Учитывая тот факт, что причины появления разросшейся соединительной ткани скрываются в серьезных патологиях дыхательного органа, диагностика и лечение спаек в легких должны проводиться еще на стадии полного излечения от основного заболевания. К сожалению, редкие медикаменты способствуют искоренению образования, и тогда речь заходит об операции.
Лапароскопия – это тот вариант хирургического вмешательства, после которого следует минимальный реабилитационный период и не наблюдается осложнений (если их не было изначально). Методика применяется только в самых запущенных случаях, когда проблемы с дыханием становятся очевидными, а физиотерапевтические процедуры не дали должного эффекта.
Напоследок стоит заметить, что вопросом, что такое плевральные спайки в легких, задаются все, кроме врачей.
Источник: https://delhimodi.com/other/plevropulmonalnye-spajki-v-lyogkih.html
Поделиться:









