Плевродиафрагмальные спайки – это соединительная ткань, которая находится на границах серозных оболочек плевральной полости. Они бывают тотальными (могут располагаться по всей плевре) или же единично плоскостными, появляющиеся вследствие того, что плевральные листки срослись.
Спайка может возникнуть везде, где есть соединительная ткань, именно поэтому патологическое явление не обходит стороной и легкие человека.
Спайки слева отрицательно сказываются на работе внутренних органов: они затрудняют функциональность дыхательной системы, мешая естественной подвижности органов дыхания.
Происходит и такое, что патология приводит к тому, что полости полностью зарастают, из-за чего появляется боль, дыхательная недостаточность и нужда в экстренной госпитализации.
В период выздоровления человека, воспалительный процесс уходит, а жидкость постепенно рассасывается. Но фибрин и плеврит могут остаться в плевре и стать причинами появления спаек – сращений листков плевры.
О том, что в легких имеются спайки, свидетельствуют следующие факторы:
- появление одышки;
- боль в груди;
- тахикардия;
- неправильное дыхание и нехватка воздуха;
- нарушения в вентиляции легких;
- кашель, мокроты с гноем по утрам;
- повышенная температура;
- интоксикация организма;
- анемия и бледность кожи.
Все эти симптомы не должны оставаться без внимания, ибо они могут говорить и о многих других опасных заболеваниях.
Причины появления спаек могут быть такие:
- ранее излеченная пневмония;
- наличие плевритов;
- бронхит разной этиологии;
- паразиты в легких: амебиазы, аскаридозы, эхинококкозы;
- онкологические процессы;
- инфаркты;
- палочка Коха;
- особенности профессии, например, заводская пыль;
- загрязненность окружающего воздуха;
- пороки в развитии органов дыхания;
- травмы различного происхождения;
- аллергия;
- вредные привычки в виде курения;
- перенесенные операции на грудине;
- кровотечения.
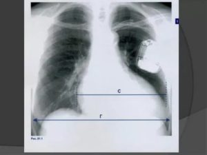
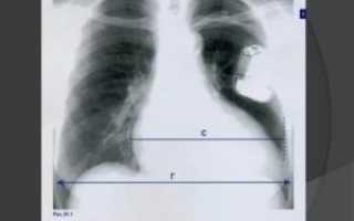
Самым популярным способом выявления плевро спаек считается флюорография органов дыхания. Это исследование планово человек должен проходить каждый год.
А в том случае, если он относится к группе риска по болезням органов дыхания, то проходить следует дважды в год.
Если рентгенолог заметил плевродиафрагмальные спайки, то это значит, что пациенту потребуется дополнительное рентгенологическое обследование.
Основным признаком спаечного процесса на легком является наличие тени, которая появилась на снимке. Стоит учесть тот факт, что она никак не изменяет свою форму при вдохе и выдохе. Наряду с этим легочное поле будет менее прозрачным, а диафрагма и грудная клетка могут быть несколько деформированы. Зачастую спайки наблюдаются внизу легкого.
Вариант терапии должен подбираться с учетом того, насколько запущена патология и что именно стало причиной ее появления. Хирургические операции уместны только тогда, когда спайки грозят легочной недостаточностью и опасны какими-либо смертельными процессами. Если такое состояние не выявлено, то специалисты отдают предпочтение физиопроцедурам и выбирают консервативное лечение.
В том случае, когда у пациента зафиксировано обострение болезни, то медики могут провести санацию бронхов и избавить человека от воспалительного процесса.
Здесь уместно назначение антибактериальных лекарств и бронхоскопического дренажа. Антибиотики вводят в вену или в мышцу. Наряду с этим даже возможно введение медикаментов в период проведения бронхоскопии.
В данной ситуации уместно использовать цефалоспорины и пенициллины.
Для ускорения выхода мокроты при кашле стоит принимать отхаркивающие аптечные средства и питье щелочного типа. После того как воспаление полностью уйдет, рекомендовано проводить массаж груди, выполнять специальную дыхательную гимнастику, ингаляции и посещать сеансы электрофореза.
Для того чтобы проблема не возникала в дальнейшем, следует выполнять дыхательные упражнения и часто посещать санаторно-курортные пансионаты. Наряду с этим придется полностью отказаться от курения, заниматься спортом, долгое время находиться на воздухе, но не переохлаждаться.
Если дело дошло до операции, то ее смысл заключается в том, что будет удалена часть легкого, которую поразила диафрагмальная спайка. Называется этот процесс лобэктомией и выполняется исключительно по жизненным показаниям.
Данное заболевание на сегодняшний день можно назвать очень распространенным явлением, которое возникает почти у всех людей под влиянием каких-либо болезней. От спаек в легких не застрахован никто. В связи с тем, что они могут появиться как осложнение после пневмонии, часто лечебный курс затягивается на длительное время.
Спайки чаще всего возникают между плеврой и легким. Они представляют собой своеобразные шрамы, которые не всегда нужно лечить. Проблема не всегда угрожает жизни человека и может доставлять только существенный дискомфорт при вдохе. Но, не смотря на это, от нее лучше полностью избавиться.
Помимо стандартной схемы терапии медики могут порекомендовать использовать некоторые рецепты народной медицины. Она часто приводит к невероятным результатам и относительно недорогая, по сравнению с лекарственными препаратами. Да и вреда для организма от нее значительно меньше, чем от таблеток и уколов.
Народными способами избавления от спаек являются следующие:
- Самое эффективное средство из народа – это витаминный чай. Для его приготовления нужно взять крапиву, бруснику и шиповник. Все ингредиенты хорошенько перемешиваются, заливаются кипятком и настаиваются. При регулярном использовании такого чая плевральные спайки быстро пропадут и больше никогда не появятся. Вместе с тем средство отлично повышает иммунитет, защищает организм от простуды и гриппа.
- Можно отдавать предпочтение приему отвара из следующих ягод: малина, черная смородина, шиповник. Готовится смесь так же, как и чай.
- От боли и неприятных ощущений в груди может избавить трава зверобоя. Ее можно приготовить самостоятельно: собрать, высушить и измельчить. Можно приобрести в аптечной сети уже готовое средство. Траву нужно залить кипящей водой и прокипятить некоторое время. Полученный отвар следует остудить, процедить и принимать в качестве лечебного средства.
- В домашних условиях можно делать компрессы на основе корня женьшеня. Перед использованием растение нужно тщательно вымыть, очистить и измельчить. Лучше выбирать самые молодые корни, которым нет 3 лет.
Отдельно стоит рассказать о пользе эфирных масел. По статистике лечение ароматерапией довольно действенно и избавляет от проблемы за довольно короткие сроки. От масел человеку становится легче дышать и пропадает даже самый затянувшийся кашель. Выполнять процедуры лучше перед самым сном, чтобы полностью расслабить внутренние органы и весь организм в целом.
Для профилактики образования спаек стоит периодически выполнять следующие действия: глубоко вдохнуть и так же выдохнуть, во время упражнения разводить руки по бокам. Задержать дыхание на 15 секунд. Эта гимнастика поможет отдалить листки плевры на максимальное расстояние один от другого и не дать им склеиться.
Стоит помнить о том, что любое лечение, даже нетрадиционной медициной, должно происходить только после обследования у специалиста.
Ведь только квалифицированный врач сможет провести все необходимые исследования: осмотреть пациента, изучить его жалобы, направить на нужные анализы и уже на их основе выставить правильный диагноз и назначить адекватное и эффективное лечение.
Источник: https://pneumonija.com/other/chto-takoe-plevrodiafragmalnye-spajki-i-kakuyu-opasnost-oni-predstavlyayut.html
Плевральные спайки (шварты, синехии) — соединительнотканные образования, которые формируются между листками плевры как следствие острого или хронического воспаления.
В зависимости от объема поражения, локализации сращений клинические проявления могут носить скрытый характер или существенно влиять на состояние больного.
При массивном спаечном процессе отмечается выраженное нарушение функционирования легких.
Париетальная и висцеральная плевра
Плевра представляет собой тонкие серозные оболочки, выстилающие внутреннюю поверхность грудной клетки (париетальная) и покрывающие легочною ткань (висцеральная).
Между висцеральной и париетальной плеврой образуется узкая полость, в которой циркулирует серозная жидкость, уменьшающая трение листков плевры.
Воспалительные изменения могут протекать как на наружной, так и на внутренней поверхности серозной оболочки.
Спайки
Спайки плевры могут быть локальными, когда они соединяют отдельные участки серозных оболочек или тотальными, которые занимают всю или большую часть плевральной полости. Кроме того, шварты могут быть единичными или множественными, локализоваться с одной или обеих сторон. В зависимости от места образования спайки располагаются между такими анатомическими образованиями, как:
- висцеральным и париетальным листками;
- отдельными участками париетального листка: реберно-диафрагмальные, реберно-апикальные (в области плеврального купола);
- отдельными участками висцеральной плевры (междолевые);
- серозной оболочкой сердца (перикардом) и пристеночной плеврой (плевро-перикардиальные);
- плеврой и серозной оболочкой средостения (плевро-медиастинальные);
- серозной оболочкой и внутригрудной фацией, диафрагмой.
Спайки могут соединять несколько областей и быть реберно-диафрагмо-перикардиальными, плевро-перикардо-медиастинальными и т.д. По внешнему виду и толщине плевральные шварты могут быть круглыми (шнуро-, струновидные), мембранозными (занавесо-, лентовидные), плоскостными (истинные, ложные — соединительная ткань стягивает участок висцерального или париетального листка).
Причина образования плевральных синехий — воспаление инфекционного или неинфекционного происхождения. Чаще всего спайки образуются после перенесенного экссудативного плеврита.
Кроме того, слипчивый процесс как исход повреждения плевры может возникать из-за аутоимунного (ревматизм, коллагенозы), посттравматического (бытовое ранение, лечебно-диагностические медицинские манипуляции), туберкулезного, опухолевого процесса.
Конечная фаза воспалительной реакции — пролиферация, то есть образование новой ткани, которая замещает поврежденный участок. При плеврите любого генеза (происхождения) в результате повышения проницаемости сосудов жидкая часть плазмы с белками, воспалительными клетками выходит в очаг повреждения. Далее выделяют три последовательных фазы образования плевральных спаек:
- Трансформация белка-фибриногена в фибрин, который откладывается в виде нитей на плевре или в полости.
- Образование молодых рыхлых спаек из коллагена, который синтезируется фибробластами (клетками-предшественниками соединительной ткани).
- Формирование плотных фиброзных шварт с сосудами и нервными окончаниями.
С течением времени спайки могут самопроизвольно рассасываться, подвергаться склерозу, кальцификации, гиалинозу (образованию в толще шварты плотных хрящевидных масс). Длительное воспаление совместно со спайками приводит к осумкованному плевриту.
Не у всех пациентов, перенесших плеврит, образуются плевральные синехии. К их формированию предрасполагают следующие факторы:
- хронический плеврит;
- обструктивная болезнь легких;
- частые бронхиты, пневмонии;
- паразитарные инвазии в легких;
- туберкулез;
- рак;
- врожденная патология бронхолегочной системы;
- курение;
- бронхиальная астма тяжелого течения;
- муковисцидоз;
- вдыхание загрязненного воздуха (профессиональные вредности);
- саркоидоз;
- полисерозиты (ревматизм, красная волчанка, синдром Дресслера, уремия);
- оперативное вмешательство на органах грудной клетки;
- инфаркт легкого.
Спаечный процесс может быть приобретенным и врожденным. Внутриутробно синехии могут образовываться из-за аномалий развития, эмбрио- и фетопатий, как следствие перенесенной инфекции, обменных патологий.
Спайки в легких, если они тонкие и единичные, могут никак не проявлять себя и быть случайной находкой при операции или в ходе диагностики по поводу другого заболевания. Если же слипчивый процесс распространенный, нарушает функцию дыхания, поддерживает воспаление, то наблюдается следующая клиническая картина:
- боли разной интенсивности на стороне синехий;
- сухой кашель;
- одышка смешанного типа;
- учащение сердцебиения;
- субфебрилитет при хроническом воспалении.
Длительное существование спаек, мешающих полноценной аэрации легких, приводит к развитию кислородного голодания, хронической интоксикации. Кожа становится бледной с синюшным оттенком губ, кончиков пальцев, больного беспокоят сонливость, усталость, подавленность, головные боли, перебои в работе сердца.
Достоверная визуальная диагностика плевральных шварт возможна только если соединительно-тканные образования больше 1 см в толщину. В противном случае тень от спаек накладывается на ткань легкого и не видна на рентгенограмме. При указании на характерные жалобы, которые возникли и сохраняются после перенесенного плеврита, требуется проведение дополнительных исследований таких, как:
- флюорография;
- рентгенография динамическая (на вдохе и выдохе), в двух проекциях (прямой, боковой);
- УЗИ;
- компьютерная томография;
- лечебно-диагностическая пункция при наличии выпота;
- ЭКГ для исключения сердечной патологии.
При тотальных швартах наблюдается деформация грудной клетки, сужение межреберных промежутков, смещение средостения в больную сторону, искривление позвоночника в здоровую сторону.
Чаще всего плевральные шварты лечатся консервативными методами, к которым относятся:
- антибиотикотерапия при сохраняющемся гнойном воспалении согласно выявленной флоре;
- обезболивающие и противовоспалительные препараты (Ибупрофен, Кеторол, Баралгин);
- противокашлевые средства при выраженном болевом синдроме, усиливающимся при кашле (Синекод, Тусупрекс, Либексин);
- кислородотерапия по показаниям;
- физиотерапия (СВЧ, УВЧ в импульсном режиме, магнитотерапия, озокеритовые, парафиновые аппликации, гальванизация) при отсутствии противопоказаний;
- массаж, ЛФК с элементами дыхательной гимнастики;
- дренирование плевральной полости.
Показанием к оперативному лечению являются выраженная сердечная и дыхательная недостаточность. Применяют эндоскопическое иссечение спаек, удаление шварты с частью плевры иили легкого в зависимости от глубины склероза.
https://youtube.com/watch?v=5OjBAkYfypo
В основе профилактики спаечного процесса лежит исключение или минимизация воздействия на организм провоцирующих факторов. Питание должно быть рациональным, богатым полноценными белками, витаминами, микроэлементами. Достаточная физическая активность, дыхательная гимнастика улучшают кровоснабжение тканей, функциональное состояние легких.
Отказ от курения, снижение объема вдыханий загрязненного воздуха (использование респираторов, смена рода деятельности) многократно улучшают прогноз заболевания. Закаливание организма повышает иммунитет и профилактирует болезни бронхолегочной системы. Адекватное лечение хронической патологии способствует минимизации осложнений острых инфекционных заболеваний.
Источник: http://ingalin.ru/plevrit/plevralnye-spajki.html
Большое распространение легочных заболеваний объясняется тем, что они, как правило, сопутствуют сезонным вирусным болезням. Редко кому хотя бы раз в год удается не заболеть ОРЗ или гриппом. В результате могут в легких могут образовываться плевральные спайки, которые негативно влияют на работу всего организма.
Чтобы не запустить заболевание, нужно вовремя обратиться к врачу, который поставит диагноз и назначит лечение.
Они образуются в любом месте благодаря наличию соединительной ткани. Образованию спаек подвержены многие органы человеческого организма.
В плевре спайки представляют собой соединительную ткань, растущую между оболочками легкого и грудной клетки.
Они могут иметь единичную структуру, а могут так разрастаться, что в конечном итоге занимают всю плевральную полость. В этом случае нужна экстренная медицинская помощь.
Симптомы, которые возникают при наличии в плевральной полости спаек:
- повышенное сердцебиение,
- отдышка,
- боли в грудном отделе,
- нарушение вентиляции легких,
- усиленный кашель,
- бледная кожа,
- повышенная температура.
Как правило, образованию спаек предшествуют перенесенные легочные заболевания, которые служат толчком к их развитию. Выделяют основные болезни, которые являются первопричиной образования спаек:
- воспаление легких,
- бронхит,
- туберкулез,
- рак легких,
- плеврит,
- пневмония,
- инфицирование легких,
Среди плевральных спаек можно выделить плевродиафрагмальные спайки, которые располагаются в нижней части грудной клетки. В основном толчком для их развития служат заболевания бронх. Рубцы образовываются в местах прилегания легкого к диафрагме.
В небольшом количестве спайки не представляют опасности, однако нужно избегать вирусных заболеваний, которые провоцируют их развитие и увеличение количества. Что в конечном итоге может привести к легочной недостаточности.
Разрастаясь, спайки способны снизить кровообращение в легких, перекрывая сосуды, а также бронхи. Перекрытие бронхов, приводит к снижению уровня кислорода в крови. В спайках при длительном развитии возможно образование собственных сосудов и нервов.
Плевропульмональные рубцы, как правило, можно отнести к туберкулезным изменениям. В основном они происходят в верхней части плевры, причем на рентгене имеют прерывистый неровный вид. Такой спаечный процесс может происходить при хронических инфекционных болезнях.
Плеврокостальные спайки в основном образовываются после фибринозных или гнойных плевритов, причем они развиваются очень быстро. Образующиеся утолщения плевры в основном происходят в боковых отделах, на стенках, по направлению к поверхности ребер легкого.
Для обнаружения легочных заболеваний в первую очередь используется флюорография. Эту процедуру необходимо проводить ежегодно, в основном она направлена на выявление ранней стадии туберкулеза. Однако опытный рентгенолог может выявить на снимке образовавшиеся плевральные спайки, которые выглядят тенями. Причем форма их не меняется в зависимости от вдоха и выдоха.
При необходимости дополнительно назначается рентген. Как правило, спайки располагаются в нижней части легкого. При этом будет более темная картинка, а также может быть частичная деформация грудной клетки и диафрагмы.
При диагностировании плевральных спаек дальнейшее лечение зависит от их количества и стадии развития. Как правило, достаточно терапевтического воздействия сопровождающегося физиопроцедурами.
Однако в случае запущенности болезни, когда развивается легочная недостаточность, и возникает угроза жизни пациента, применяется хирургическое вмешательство. При этом удаляется часть легкого, которую заполняют спайки. Такая операция получила название лобэктомия.
После того, как воспаление будет остановлено, можно начинать ингаляции и электрофорез. Также при образовании плевральных спаек хорошо зарекомендовали себя дыхательная гимнастика и массаж грудной клетки.
Важно отметить, что при легочных заболеваниях большую роль играет правильное питание.
В рацион необходимо включать продукты, содержащие большое количество витаминов и белков. В меню пациента должны быть:
- рыба,
- творог,
- мясо,
- овощи,
- фрукты.
При предрасположенности организма к легочным болезням рекомендуется периодически проходить курортное лечение. Это будет способствовать оздоровлению организма. Также следует не подвергать организм переохлаждению, заниматься спортом и отказаться от вредных привычек.
Кроме лекарственных препаратов при борьбе со спайками хорошо использовать народные средства. Они недорогие, к тому же не нагружают организм как лекарства, и кроме того весьма эффективны. Вот некоторые рецепты, которые позволят избавиться от спаек:
-
Для приготовления чая используют шиповник, крапиву и бруснику.
Перемешав составляющие, их заливают кипятком и настаивают. Также хорошо помогает отвар, в который входят смородина, шиповник и малина.
- Эффективным средством показал себя отвар из зверобоя. Его легко можно собрать самостоятельно, а затем высушить и измельчить.
- Быстро помогает восстановить дыхание и избавиться от кашля применение эфирных масел.
Следует помнить, что нельзя заниматься самолечением, это может привести к необратимым процессам. Прежде всего, необходима консультация специалиста.
Загрузка…
Источник: https://prof-medstail.ru/bolezni-legkih/lechenie-plevralnyh-spaek-v-legkih
Иногда медики озвучивают диагноз, но забывают (или умышленно это делают) объяснить, что он обозначает. И человек начинает собирать информацию по интересующему его вопросу. Так было с моей подругой, которой после флюорографии сказали, что у нее есть плевродиафрагмальные спайки.
Никакого лечения ей по этому поводу не назначили, и она начала заметно волноваться, не оплошали ли врачи по поводу ее здоровья.
Оказалось, что плевродиафрагмальные спайки — это не болезнь, а последствия болезни, которые никакого лечения не требуют и на самочувствие человека никак не влияют.
Плевродиафрагмальная спайка – это разрастание соединительной ткани (образование рубца) в той области грудной клетки, где нижняя поверхность легкого прилегает к диафрагме (плевродиафрагмальный угол).
Причиной образования такой спайки может служить практически любое перенесенное заболевание бронхолегочного аппарата.
- острого или хронического бронхита
- воспаления легких
- абсцесса легочной ткани
- паразитарных поражений легких
- туберкулеза
- плевритов
- рака легких
- инфаркта легкого
- саркоидоза
- врожденных пороков развития органов дыхания
Также людям с плевродиафрагмальной спайкой нужно тщательно беречься от заболеваний респираторной системы. В случае инфекции она “поселится” в самом уязвимом месте легочной ткани – на участке со спайкой, после чего может образоваться еще один рубец и т. д.
Это в конечном итоге может привести к стягиванию и деформации легкого, что грозит развитием хронической легочной недостаточности.
Флюорография – это специальная методика рентгенологического обследования органов грудной клетки в профилактических целях (в основном, для выявления начальной стадии туберкулеза).
Практически все тяжелые заболевания развиваются незаметно. На начальных стадиях болезни, когда лечение особо эффективное трудно поставить правильный диагноз. Чтобы избежать такой болезни, как туберкулез нужно периодически проходить флюорографическое обследование.
Как часто необходимо делать флюорографию? На этот вопрос существует четкий ответ. По законодательным нормам нашей страны данное обследование нужно проходить 1 раз в 2 года.
Существуют категории людей, которым по эпидемиологическим показаниям флюорографию нужно делать 2 раза в год.
- врачи и медперсонал
- лица, которые находятся в тесном контакте с больным туберкулезом
- люди с хроническими заболеваниями внутренних органов
- инфицированные ВИЧ, или больные первичными и вторичными иммунодефицитами
- военнослужащие
Внеочередное обследование показано тем, у кого подозревают туберкулез, при прохождении начальных и периодических медосмотров.
Заболевания легких занимают второе место после сердечно-сосудистой патологии в структуре болезней внутренних органов. Болезни бронхолегочного аппарата бывают острыми и хроническими, некоторые из них приводят к развитию острой и хронической дыхательной недостаточности и даже смерти.
- острый и хронический бронхит
- бронхиальная астма
- пневмония
- хроническая обструктивная болезнь легких
- абсцесс легочной ткани
- плеврит
- туберкулез
- рак
- саркоидоз
- бронхоэктатическая болезнь
- инфаркт легкого
- поражения легочной ткани при системных заболеваниях соединительной ткани
- наследственные заболевания и врожденные аномалии развития легких
Причин патологии легких очень много. Чаще всего в развитии таких заболеваний главную роль играет инфекция (вирусы, бактерии, грибки, паразиты), которые человек вдыхает с воздухом.
Также большую часть причин составляют аллергические реакции. Аллергическая реакция на респираторные аллергены составляет основу развития бронхиальной астмы. Большую роль играет и состояние иммунитета человека, образ его жизни, питание.
- санация очагов хронической инфекции в организме
- предотвращение действия патогенных факторов на организм (физических, токсических, биологических)
- предупреждение влияния неблагоприятных условий внешней среды
- закаливание, здоровый образ жизни, прием витаминов и микроэлементов, иммуномодуляторов
Источник: http://PlusHealth.ru/blog/plevrodiafragmalnye-spaiki-ne-trebuyut-lecheniya.html
Патологические процессы, такие как спайки, возникают из соединительных волокон. Плевродиафрагмальные спайки располагаются по краю плевральной полости и диафрагмы, образуются из серозной оболочки плевры. Что это такое, какие признаки появляются при спаечном механизме в легких, что нужно для диагностирования и лечения? Обо всём рассказывается в этой статье.
Те места, где находятся соединительно-тканные волокна, подвержены образованию спаек, легочная ткань не стала исключением. Плевра выстилает грудную область изнутри и окружает каждое легкое. Между плевральными оболочками образуется синовиальный экссудат, в норме количество жидкости достигает 5 мл, для выполнения функции амортизации при дыхательных движениях.
При патологиях органов дыхания воспаляется и плевральная полость. При плеврите накапливается излишек воспалённой жидкости, что ведет к образованию фибрина, особого белка, обладающего склеивающими свойствами.
Когда человек выздоравливает, воспаление исчезает, жидкость рассасывается.
Но фибрин иногда остается в плевральной полости, склеивает оболочки и становится причиной образования спаек, плевральные листки сращиваются между собой.
- Пневмонии, бронхиты, плевриты в анамнезе любой этиологии;
- Легочный гельминтоз – аскаридоз, амебиаз, наличие эхинококков;
- Доброкачественные и злокачественные образования;
- Выявленная палочка Коха в легких;
- Загрязненный окружающий воздух;
- Дефекты органов дыхания;
- Травматизация разного происхождения;
- Склонность к аллергиям;
- Курение;
- Перенесенные операции на легких;
- Бронхолегочные кровотечения.
Нередко спаечным процессам подвержены люди, чьи профессии связаны с пылью, например, на заводе или на стройке. Небольшое количество спаек угрозы для жизни не представляют, однако стоит избегать вирусных болезней, чтобы не провоцировать разрастание спаек.
Различают тотальные спайки в легких, располагающиеся по всей поверхности плевры либо единичные, которые появляются как результат срастания плевральных оболочек.
Советуем почитать: Возникновение гидроторакса легких при раке, что делать?
Множественные образования негативно влияют на процесс дыхания, затрудняют его, подвижность легких ограничивается, полость смещается и деформируется. В редких случаях спайки плевры приводят к срастанию полости, вследствие чего возникает дыхательная недостаточность. Это состояние требует экстренной госпитализации.
О том, что у человека имеются спайки в легких, удостоверяют следующие симптомы:
- Затрудненное дыхание, одышка, нехватка О2;
- Боль в загрудинной области;
- Кашель с гнойной мокротой, в основном утром.
Если патология развивается больше слева, учащается сердцебиение, так как изменяется сердечная деятельность.
Естественная вентиляция сбивается, организм испытывает кислородный голод. Когда присоединяется инфекция, повышается общая температура тела, человек мучается от интоксикации. Тогда наблюдается бледность кожной поверхности, анемия.
В остром периоде появляется дыхательная недостаточность: одышка и нехватка О2 усиливаются, человеку требуется экстренная медицинская помощь.
Спайки обеих плевральных оболочек ведут к хронической спаечной болезни. Такой человек больше подвергается заболеваниям органов дыхания, так как нарушается весь процесс вентилирования.
Одиночная плевральная спайка существенно не влияет на вдыхаемый объем воздуха. Многочисленные образования поражают орган с двух сторон, развивается гипоплазия легочной ткани, при этом одышка возникает даже при небольшой физической нагрузке.
Когда человек после воспаления легочной материи или другого заболевания органов дыхания ощущает в груди незначительное покалывание или же острый приступ, сопровождающиеся одышкой, частым сердцебиением, ему следует обратиться к врачу для установления причины. Степень боли будет зависеть от серьезности перенесённого заболевания, скорости и качества лечебных мер.
Спаечную патологию выявляет терапевт, фтизиатр, семейный врач. Основным способом является флюорография. Людям из группы риска по легочным болезням ее следует делать дважды в год.
Также два раза проводят флюорографическое исследование следующие категории:
- Врачи, средний и младший медицинский персонал;
- Военнослужащие;
- Люди, находящиеся в тесном контакте с туберкулезными больными;
- ВИЧ-инфицированные или же лица с первичным и вторичным иммунодефицитом.
Внеочередное ФГ обследование показано при подозрении на туберкулез или же при прохождении первичного начального профилактического медосмотра. Остальным категориям населения рекомендуется проводить флюорографическое обследование ежегодно.
Если подозреваются плевральные спайки, пациента отправляют на рентгенологическое обследование органов грудной клетки.
Иногда делают:
- компьютерную томографию (КТ);
- или же назначают магнитно-резонансную терапию (МРТ) органов грудной полости.
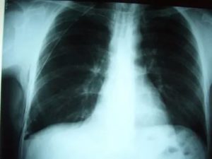
Основной атрибут, указывающий на спайку справа, является тень, видная на Rg-снимке. При этом затемнение не изменяется при вдохе и выдохе пациента. Одновременно снижается прозрачность легочной поверхности.
В тяжелых случаях наблюдается деформирование грудной клетки и диафрагмальной области. При таком состоянии диафрагма ограничивает свою подвижность. Чаще всего такие спайки расположены в нижних отделах легкого.
— пережигание плевральных спаек
Лечение зависит от тяжести спаечного механизма и от причин, вызвавших его образование. Хирургия применяется только в тех ситуациях, когда спайки формируют легочную недостаточность или же другие состояния, развивающие опасность для жизни. В иных случаях назначают консервативную терапию и проводят физиопроцедуры.
При обострении спаечного процесса проводится санация бронхов для подавления гнойно-воспалительной реакции. Для этого используются противовоспалительные и антибактериальные средства, а также делается дренаж бронхов.
Антибиотические препараты вводятся внутривенно или внутримышечно. Не исключается введение препаратов эндобронхиально во время санобработки бронхоскопом. Чаще для этих целей применяют антибиотики пенициллиновой либо цефалоспориновой группы.
Для лучшего отхождения слизисто-гнойного бронхиального экссудата назначают щелочное питье и отхаркивающие средства.
После снятия обострения назначается:
- Массаж грудной области;
- Ингаляции;
- Электрофорез;
- Дыхательные упражнения.
Дыхательная гимнастика нужна для исключения повторного обострения и увеличения срока ремиссии. Для этих же целей пациентам рекомендуется санаторно-курортное лечение.
Правильное питание играет немаловажную роль. Необходимо чтобы пациент обязательно получал пищу, богатую белками, витаминами, микроэлементами. Из рациона нельзя исключать мясо, рыбу, кисломолочные продукты, фрукты, зеленые листовые овощи.
Советуем почитать: 5 профессий, провоцирующих силикоз легкого
В запущенном спаечном процессе требуется хирургическая операция:
- Лобэктомия – с удалением одной доли легкого;
- Билобэктомия – с удалением двух долей.
Чаще всего такое вмешательство проводится по жизненным показаниям.
В профилактических целях для предупреждения обострения пациенту стоит отказаться от курения, стараться избегать переохлаждения организма. Человек должен вести здоровый уклад жизни, дышать свежим воздухом, делать физические упражнения и дыхательную гимнастику.
Источник:
Это очень коварный недуг, который обычно протекает бессимптомно. Риск появления спаек увеличивается для людей, переболевших воспалением легких или бронхитом.
В основном спайки в легких представляют собой слишком сильно разросшиеся соединительные ткани в плевральной полости легких. Именно поэтому спайки еще иногда называют плевродиафрагмальными.
Также их делят на тотальные – занимающие все отделы плевры, и единичные – появившиеся из-за сращения двух плевральных листков.
Наиболее распространенные причины образования спаек – заболевания верхних дыхательных путей. Обычно это различные виды бронхитов, плевритов, перенесенное воспаление легких. Но существуют и более неожиданные причины – заражение легких паразитами (например, аскаридами, эхинококками и др.
), присутствие в легких палочки Коха, возникновении онкологии, инфаркт легкого, саркоидоз, запущенные формы аллергии.
К наименее распространенным причинам можно отнести: курение, врожденные патологии, работу на вредных производствах, плохую экологию окружающей среды, механические травмы легкого, внутренние кровотечения и проведение операций на области грудной клетки.
В сущности спайки появляются в результате неудачно залеченного или вовсе запущенного воспалительного процесса.
При этом волокна соединительной ткани разрастаются достаточно медленно, то есть, если воспаление начали лечить вовремя, и не произошло никаких осложнений, то вероятность появления спаек крайне низкая.
Иногда спайки в легких может образовывать не только слишком разросшаяся соединительная ткань, но также и ткань фиброзная (которая носит характер доброкачественного новообразования).
При наличии в организме хронических инфекций могут образовываться плевропульмональные спайки.
Обычно спайки в легких не имеют четко выраженных симптомов, поэтому их часто путают с другими заболеваниями. Если спаек совсем немного, то они практически незаметны, а вот увеличение их количества способно привести к серьезным последствиям. Стоит насторожиться при появлении следующих признаков, а особенно при сочетании двух и более из них:
- Одышка, в случае, когда она возникает без видимых причин;
- Тахикардия (учащенное сердцебиение), тоже возникающая без влияния каких-либо внешних факторов;
- Боль в грудине, как острая, та и ноющая.
Одышка без видимых причин – один из возможных симптомов спаек в легких
https://www.youtube.com/watch?v=CzAjOvXCwsQ
Указанные состояния очень похожи на простуду, поэтому спайки часто и не обнаруживают, занимаясь симптоматическим лечением простудного заболевания и нередко даже не обращаясь к врачу. Однако, своевременное выявление чрезмерного разрастания соединительной ткани в легких позволит пациенту максимально быстро избавиться от недуга, избежав неприятных последствий.
В запущенных случаях может наблюдаться ощущение нехватки воздуха, сильный кашель, отхождение гнойной мокроты (особенно по утрам). Корме того люди со спайками гораздо чаще заражаются инфекциями верхних дыхательных путей.
Со временем заболевание может перейти в хроническую форму, а это чревато кислородным голоданием организма, частыми интоксикациями и ярко выражено аритмией.
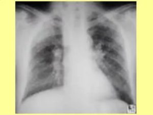
Самым распространенным методом диагностики является флюорография. В профилактических целях ее рекомендуется делать не чаще, чем 1-2 раза в год. Если возникло подозрение на наличие легочных спаек, то пациента отправляют на рентген.
Распознать спайку по снимкам можно, если на нем легкие мутные, а еще при сравнении фотографий на вдохе и на выдохе. Спайка выглядит как тень, положение которой не меняется во время дыхания. Иногда наблюдается изменение формы и ограничение подвижности диафрагмы и грудной клетки.
Чаще всего спайки обнаруживают в нижней части легких.
Флюорография – один из методов диагностики спаек в легких
По месту локализации спаек специалист диагностирует либо плевроапикальные спайки (которые находятся в верхней части легких), либо плевродиафрагмальные (находятся внизу). Независимо от локализации спаек симптомы их проявления одинаковы, а вот методы лечения специалисты подбирают различные.
Источник: https://cgb-vuf74.ru/vrachi/chto-takoe-spajki-v-lyogkih-chem-oni-opasny-i-kak-ih-lechit.html
Поделиться:










