
Статья рассказывает о том, почему может возникнуть плеврит. Описаны симптомы болезни и принципы лечения.
Плеврит легких – довольно частое заболевание дыхательной системы. Встречается инфекционное или неинфекционное происхождение, протекает с многообразной симптоматикой. Лечение проводится с учетом причинного фактора.
Что такое плеврит легких? Это заболевание возникает в результате воспаления листков плевры – соединительной ткани, покрывающей легкие и грудную клетку изнутри.
Пространство между листками (плевральная полость) содержит немного жидкости, необходимой для свободного движения легких при вдохе и выдохе. При осложнении основной болезни объем экссудата увеличивается, легкое сжимается и нарушаются функции дыхания.
При плеврите воспаляется серозная оболочка легких
Плеврит легкого – что это такое по происхождению? Причины развития болезни разделяют на две группы – вследствие инфицирования плевральной полости и асептические воспаления.
Таблица №1. Причинные факторы развития плеврита:
ИнфекционныеАсептические причины плеврита легких
- Стафилококки
- Стрептококки
- Микобактерии
- Грибы
- Злокачественная опухоль
- Системные заболевания
- Эмболия сосудов легких
- Накопление мочевины при болезни почек
Инфекционный фактор попадает в полость плевры при ранении грудной клетки или из гнойного очага в легочной ткани. Нередко сочетается плеврит легкого и ВИЧ – в этом случае причиной становятся любые оппортунистические инфекции.
Заболевание подразделяют на несколько форм в зависимости от характера воспаления:
- сухой – в плевральной полости формируются фибринозные наслоения;
- экссудативный – происходит образование большого количества жидкости;
- гнойный — в плевре скапливается гной;
- осумкованный — сращивание плевральных листков приводит к скоплению выпота.
Симптомы разных форм будут различаться:
- Сухой плеврит характеризуется острыми болями в груди со стороны патологии, усиливающимися при движении, кашле, чихании, глубоком дыхании. Пациент принимает вынужденное положение, чтобы избавиться от резких болезненных ощущений.
- Экссудативная форма проявляется тупой болью в боку, мучительным кашлем одышкой. Воспаленная сторона отстает в дыхании, отчетливо слышен шум трения плевры.
- Характерными признаками гнойного плеврита являются острая боль в груди, сухой кашель, одышка, ощущение распирания в боку. Заболевшие жалуются на высокую температуру, общую слабость, затруднение дыхания.
- Осумкованный плеврит часто проходит бессимптомно. Возможны субфебрильная температура, незначительные боли в груди.
Туберкулезный плеврит выделяют в отдельную категорию, как наиболее часто встречающуюся в врачебной практике. Данный вид отличается медленным, хроническим течением с развитием симптомов общей интоксикации.
Заразен ли плеврит легкого? Это заболевание не передается от человека к человеку какими-либо путями, заболеть плевритом при контакте с пациентом нельзя.
Для облегчения боли человек принимает вынужденное положение
Чем опасен плеврит легкого? При несвоевременном обращении за медицинской помощью или отсутствии лечения развиваются осложнения.
К ранним осложнениям относят:
- эмпиему плевры – образование на плевральных листках гнойников;
- отек легких при плеврите;
- ателектаз легкого – спадение его из-за сжатия большим количеством жидкости;
- острую дыхательную недостаточность.
Отдаленные последствия плеврита легких связаны с неполной эвакуацией жидкости из полости. Наиболее частым поздним осложнением являются спайки в легких при плеврите. Даже небольшое их количество доставляет боль при дыхании, снижает подвижность оболочек, приводит к сильной одышке.
Перед тем, как начать лечение, врач назначит тщательное обследование, чтобы установить причины развития воспаления плевры:
- Осмотр пациента. Клиническими признаками могут быть цианоз кожи, отставание пораженной стороны грудной клетки при дыхании, ее ассиметрия, выбухание межреберных промежутков. Перкуторный звук притуплен, аускультация выявляет ослабленное дыхание, шум трения плевральных листков.
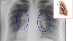
- Рентген. Проводится рентгенография в нескольких проекциях. Метод позволяет определить область поражения и характер процесса. На снимках патология проявляется затемнениями с размытыми контурами (на фото).
- УЗИ. Помогает диагностировать заболевание даже при минимальном количестве жидкости. Также выявляет наличие спаек и вязкость выпота.
- КТ. Компьютерная томография назначается для дифференциации доброкачественного и злокачественного поражения плевры. Определяет выпот любой локализации. Цена процедуры высока, поэтому ее назначают по серьезным показаниям.
- Анализ крови. Биохимическое исследование выявляет изменения соотношения белков в плазме. При общем анализе на наличие воспаления указывает повышение СОЭ, увеличение лейкоцитов при инфекционной природе плеврального поражения.
При подозрении на туберкулезную этиологию плеврита проводят пробу Манту или Диаскинтест. А также исследуют экссудат из плевральной полости на микобактерии.
Плеврит легких на рентгенограмме
Задачи терапии — устранение основной причины болезни, нормализация функций дыхания и ликвидация симптомов. Амбулаторное лечение возможно у взрослых пациентов с сухой формой плеврита. Экссудативные формы подразумевают обязательную госпитализацию. Терапия туберкулезного воспаления плевры проводится в диспансере, гнойного — в хирургическом отделении.
Комплексное лечение включает в себя медикаментозную терапию и вспомогательные методы — физиопроцедуры, диету, ЛФК и дыхательную гимнастику.
Во всех случаях экссудативного плеврита назначается такая манипуляция, как пункция. Суть процедуры состоит в том, что пациенту под местной анестезией в плевральную полость вводится толстая игла, с помощью которой эвакуируется излишняя жидкость.
Показаниями для хирургического вмешательства являются неэффективность консервативного лечения. В этом случае проводится торакотомия или полное удаление необратимо пораженной доли легкого.
Целью медикаментозного лечения является устранение причины заболевания и облегчение симптоматики.
Для выполнения этой задачи применяются различные группы лекарственных препаратов:
- Антибиотики. Назначаются при инфекционном происхождении воспаления. С первых дней болезни показано использование средств широкого спектра действия. При установлении конкретного возбудителя болезни врач производит коррекцию лечения.
- Противовоспалительные средства. Используют Диклофенак, Нимесулид. Показаны при легком течении плеврита. Тяжелое течение требует назначения глюкокортикоидов — Преднизолон.
- Средства для поддержания дыхательной функции и кровообращения. Используются в основном при тяжелом течении плеврита.
- Витамины, средства для улучшения микроциркуляции, антиоксиданты. Оказывают вспомогательное действие, ускоряя процесс выздоровления.
Инструкция предполагает не только инъекционное, но и внутриполостное введение лекарственных средств.
Дополнительные методы лечения входят в обязательный комплекс терапии и проводятся при отсутствии острого проявления болезни.
Таблица №3. Вспомогательные методы лечения плеврита:
МетодыОписание
ЛФК и дыхательные упражнения
ЛФК в сочетании с дыхательными упражнениями ускоряют выздоровление
Физические упражнения и дыхательная гимнастика при плеврите легких предотвращают плевральные сращения, деформацию грудной клетки и позвоночника, тренируют дыхательный аппарат, восстанавливают функции аппарата внешнего дыхания, общеукрепляюще воздействуют на организм пациента.
Физиотерапия
Физиопроцедуры увеличивают эффективность медикаментозной терапии
Физиолечение предупреждает развитие спаечного процесса, устраняет боль, улучшает микроциркуляцию, снимает воспаление.
Противопоказания к лечению — онкологические и сердечно-сосудистые заболевания, печеночная и почечная недостаточность, гнойная форма плеврита, бронхиальная астма.
У пациентов с воспалением плевры используют: электрофорез лекарственных препаратов, ультрафиолетовое облучение, магнитотерапию, УВЧ, инфракрасную лазерную терапию.
Диета
Питание при плеврите должно быть полноценным и калорийным
Особая диета направлена на снижение воспалительного процесса и предотвращение скопления жидкости в плевральной полости. Кроме того необходимо чтобы организм получал необходимое количество витаминов и белка, потерянных с выпотом.
Рекомендовано употребление в пищу нежирных мяса и рыбы, кисломолочных продуктов, печени, грецких орехов, яиц, кашиз различных круп, свежих овощей и фруктов. Следует ограничить употребление жидкости, соли, продуктов, вызывающих жажду.
Калорийность питания должна составлять 2700ккал.
Читать далее…
Источник: https://zen.yandex.ru/media/id/59bf9ecc9d5cb3ee0df4e084/5a4e08264826772ec247fdb2
Большое распространение легочных заболеваний объясняется тем, что они, как правило, сопутствуют сезонным вирусным болезням. Редко кому хотя бы раз в год удается не заболеть ОРЗ или гриппом. В результате могут в легких могут образовываться плевральные спайки, которые негативно влияют на работу всего организма.
Чтобы не запустить заболевание, нужно вовремя обратиться к врачу, который поставит диагноз и назначит лечение.
Они образуются в любом месте благодаря наличию соединительной ткани. Образованию спаек подвержены многие органы человеческого организма.
В плевре спайки представляют собой соединительную ткань, растущую между оболочками легкого и грудной клетки.
Они могут иметь единичную структуру, а могут так разрастаться, что в конечном итоге занимают всю плевральную полость. В этом случае нужна экстренная медицинская помощь.
Симптомы, которые возникают при наличии в плевральной полости спаек:
- повышенное сердцебиение,
- отдышка,
- боли в грудном отделе,
- нарушение вентиляции легких,
- усиленный кашель,
- бледная кожа,
- повышенная температура.
Как правило, образованию спаек предшествуют перенесенные легочные заболевания, которые служат толчком к их развитию. Выделяют основные болезни, которые являются первопричиной образования спаек:
- воспаление легких,
- бронхит,
- туберкулез,
- рак легких,
- плеврит,
- пневмония,
- инфицирование легких,
Среди плевральных спаек можно выделить плевродиафрагмальные спайки, которые располагаются в нижней части грудной клетки. В основном толчком для их развития служат заболевания бронх. Рубцы образовываются в местах прилегания легкого к диафрагме.
В небольшом количестве спайки не представляют опасности, однако нужно избегать вирусных заболеваний, которые провоцируют их развитие и увеличение количества. Что в конечном итоге может привести к легочной недостаточности.
Разрастаясь, спайки способны снизить кровообращение в легких, перекрывая сосуды, а также бронхи. Перекрытие бронхов, приводит к снижению уровня кислорода в крови. В спайках при длительном развитии возможно образование собственных сосудов и нервов.
Плевропульмональные рубцы, как правило, можно отнести к туберкулезным изменениям. В основном они происходят в верхней части плевры, причем на рентгене имеют прерывистый неровный вид. Такой спаечный процесс может происходить при хронических инфекционных болезнях.
Плеврокостальные спайки в основном образовываются после фибринозных или гнойных плевритов, причем они развиваются очень быстро. Образующиеся утолщения плевры в основном происходят в боковых отделах, на стенках, по направлению к поверхности ребер легкого.
Для обнаружения легочных заболеваний в первую очередь используется флюорография. Эту процедуру необходимо проводить ежегодно, в основном она направлена на выявление ранней стадии туберкулеза. Однако опытный рентгенолог может выявить на снимке образовавшиеся плевральные спайки, которые выглядят тенями. Причем форма их не меняется в зависимости от вдоха и выдоха.
При необходимости дополнительно назначается рентген. Как правило, спайки располагаются в нижней части легкого. При этом будет более темная картинка, а также может быть частичная деформация грудной клетки и диафрагмы.
При диагностировании плевральных спаек дальнейшее лечение зависит от их количества и стадии развития. Как правило, достаточно терапевтического воздействия сопровождающегося физиопроцедурами.
При обострении воспалительных процессов в легких, которые приводят к образованию спаек, нужно, прежде всего, их локализовать. Для этого используются антибиотики, которые вводятся внутривенно или внутримышечно. Как правило, такие процессы сопровождаются кашлем, поэтому необходимы препараты улучшающие отхождение мокроты.
После того, как воспаление будет остановлено, можно начинать ингаляции и электрофорез. Также при образовании плевральных спаек хорошо зарекомендовали себя дыхательная гимнастика и массаж грудной клетки.
Важно отметить, что при легочных заболеваниях большую роль играет правильное питание.
В рацион необходимо включать продукты, содержащие большое количество витаминов и белков. В меню пациента должны быть:
- рыба,
- творог,
- мясо,
- овощи,
- фрукты.
При предрасположенности организма к легочным болезням рекомендуется периодически проходить курортное лечение. Это будет способствовать оздоровлению организма. Также следует не подвергать организм переохлаждению, заниматься спортом и отказаться от вредных привычек.
Кроме лекарственных препаратов при борьбе со спайками хорошо использовать народные средства. Они недорогие, к тому же не нагружают организм как лекарства, и кроме того весьма эффективны. Вот некоторые рецепты, которые позволят избавиться от спаек:
-
Для приготовления чая используют шиповник, крапиву и бруснику.
Спаечная болезнь. Как помочь себе? Перемешав составляющие, их заливают кипятком и настаивают. Также хорошо помогает отвар, в который входят смородина, шиповник и малина.
- Эффективным средством показал себя отвар из зверобоя. Его легко можно собрать самостоятельно, а затем высушить и измельчить.
- Быстро помогает восстановить дыхание и избавиться от кашля применение эфирных масел.
Следует помнить, что нельзя заниматься самолечением, это может привести к необратимым процессам. Прежде всего, необходима консультация специалиста.
Загрузка…
Источник: https://prof-medstail.ru/bolezni-legkih/lechenie-plevralnyh-spaek-v-legkih
Спайки в легких представляют собой образования в области легких. Сразу же отметим, что данные образования могут наблюдаться и во многих других органах человеческого организма.
Что касается признаков, указывающих на наличие спаечного процесса в области легких, то к их числу можно отнести как одышку, так и болевые ощущения в области груди, а также учащенное сердцебиение.
К числу причин, которым свойственно провоцировать развитие данного патологического процесса, можно отнести как воспалительные процессы в области легких, так и внутренние кровотечения, а также врожденные пороки данного органа.
Современная медицина выделяет два вида таких спаек, а именно одиночные и многочисленные. В случае многочисленных спаек они поражают практически весь орган.
Первый рецепт таков: необходимо взять две столовых ложки листьев крапивы двудомной, столько же плодов шиповника, одну столовую ложку ягод брусники и все тщательно перемешать.
Одну столовую ложку полученной смеси трав высыпаем в термос и заливаем одним стаканом кипяченой воды. Оставляем настой на сто восемьдесят минут, после чего процеживаем его и принимаем по половине стакана утром и вечером.
Очень важно употреблять данный настой непосредственно после приема пищи.
спайки- не лечатся!
просто не следует курить.
Вы можете добавить свои комментарии и отзывы к данной статье при условии соблюдения Правил обсуждения.
Источник: http://www.tiensmed.ru/news/post_new9647.html
Плевральные спайки, образующиеся непосредственно в легких, являются не чем иным, как разросшейся соединительной тканью. Об их наличии узнают или чисто случайно, или по таким признакам, как: затрудненное дыхание, ощущение дискомфорта в грудной клетке при глубоком вдохе/выдохе, и большая степень болезненности при очередном бронхите, к примеру.
Плевроапикальные и все остальные спайки в легких являются типичным последствием перенесенной пневмонии или плеврита любого происхождения. Точечное и единичное разрастание соединительной ткани не должно вгонять вас в панику, и вынуждать искать действенную методику избавления своей грудной клетки от подобного образования.
Совсем иначе обстоят дела, когда флюорография показывает наличие многочисленных спаек.
Причины, по которым в легких могут образоваться такие тончайшие пленочки, существует довольно много, но самые распространенные выглядят следующим образом:
- бронхиты, протекающие в острой или затяжной форме;
- воспалительные процессы в главном органе дыхания;
- абсцесс тканей легких;
- спайки могут быть результатом деятельности паразитов;
- туберкулез и плеврит, не говоря уже о пневмонии или раке легких, также провоцируют разрастание соединительной ткани в неположенном месте;
- саркоидоз;
- врожденные аномалии органов, входящих в дыхательную систему;
- инфаркт легкого и т.д.
Чем еще опасны спайки в легких, так это способностью подвергаться инфицированию в результате не долеченного респираторного заболевания. В таких ситуациях на месте дефекта начинают образовываться все новые и новые рубцы, что в свою очередь, заканчивается стягиванием, деформацией и недостаточной работой легкого.
К сожалению, ни один врач не сможет вам гарантировать, что плевропульмональные спайки не образуются в легких после излечивания заболеваний, перечисленных выше.
https://youtube.com/watch?v=6cX_AnqWItY
С целью предупреждения разрастания соединительной ткани проводятся такие мероприятия:
- санация очагов хронических инфекций, засевших в организме;
- предупреждение негативного влияния биологических, физических и токсических факторов на тело человека;
- плевральные спаечные образования реже диагностируются у людей, ведущих здоровый образ жизни, придерживающихся правильного питания, употребляющих витамины и отказавшихся от вредных пристрастий.
Поскольку спайки в легких после перенесенной пневмонии или инфаркта легкого обнаруживаются исключительно путем флюорографического исследования, пренебрегать им не следует. Если следовать закону, то просвечивать главный орган дыхания нужно всего раз в пару лет, тогда как каждый человек имеет полное право сам устанавливать график посещения флюорографического кабинета.
Заметим только, что плевроапикальные спаечные процессы чаще всего диагностируются у сотрудников тубдиспансеров, военнослужащих, врачей и медицинского персонала, пациентов с хроническими патологиями внутренних органов, не говоря уже о больных СПИДом или ВИЧ.
Самостоятельное лечение многочисленных спаек часто приводит только к ухудшению общего состояния и их дальнейшему разрастанию.
Опять же, каждый организм по-своему реагирует на домашние снадобья и, вполне вероятно, что среди предложенных нами рецептов отыщется тот, который навсегда избавит от последствий пневмонии:
- В термос нужно засыпать пару ст.л. сухих крапивных листьев, такого ж количества брусники и 4 ст.л. плодов шиповника. Все заливается 0,5 л кипящей воды, и на 3 ч. плотно завинчивается крышкой. Пьется чай по половине стакана, и три раза в сутки;
- Плевропульмональные образования устраняет напиток, подготовленный на основе шиповника, малиновых и черносмородиновых ягод, взятых в равных пропорциях. Все точно так же загружается в термос, заливается полулитром только что закипевшей воды, и настаивается пару часов подряд. Такое снадобье нужно принимать пару раз за сутки, и по половинке стакана;
- Самый интересный вариант – это прогревание. Для него нужно сшить мешочек, который спокойно разляжется по всей области легких, наполнить его прогретым льняным семенем, и приложить месту, немного выше, чем показана спайка на снимке. Также семена льна можно просто замотать в марлю, потом вымочить в кипятке и точно так же применить дальше.
Учитывая тот факт, что причины появления разросшейся соединительной ткани скрываются в серьезных патологиях дыхательного органа, диагностика и лечение спаек в легких должны проводиться еще на стадии полного излечения от основного заболевания. К сожалению, редкие медикаменты способствуют искоренению образования, и тогда речь заходит об операции.
Лапароскопия – это тот вариант хирургического вмешательства, после которого следует минимальный реабилитационный период и не наблюдается осложнений (если их не было изначально). Методика применяется только в самых запущенных случаях, когда проблемы с дыханием становятся очевидными, а физиотерапевтические процедуры не дали должного эффекта.
Напоследок стоит заметить, что вопросом, что такое плевральные спайки в легких, задаются все, кроме врачей.
Если побывать на их форумах и сайтах, понимаешь, что подобный диагноз не котируется как серьезный, и с ним можно спокойно жить до самой старости. Берегите себя! Крепкого вам здоровья и хорошего самочувствия!
Источник: http://mjusli.ru/zhenskoe_zdorove/other/chto-takoe-spajki-v-legkix
Легкие — важный орган, который может быть поражен рядом заболеваний. Если в легких спайки, то орган начнет работать неправильно, что впоследствии приведет к негативным последствиям для самого человека. Это заболевание появляется при определенных условиях и требует незамедлительного медикаментозного лечения.
Спайки в легких (плевродиафрагмальные) — соединительнотканные тяжки, разрастающиеся между серозными оболочками плевральной области. Они делятся на две категории:
- тотальные (охватывают все отделы плевры);
- единичные плоскостные (возникают в результате сращения плевральных листков).
Спайки опасны из-за негативного влияния на органы, выполняющие основную дыхательную функцию. В определенных случаях заболевание способно приводить к полному зарастанию полостей — это такое состояние, при котором человек чувствует нехватку воздуха. В этой ситуации необходимо незамедлительно обратиться за медицинской помощью.
Плевральные (плеврокостальные) спайки определяют следующие симптомы:
- одышка;
- болевые ощущения в области грудной клетки;
- учащенное сердцебиение;
- усиленный кашель с гнойной мокротой;
- повышение температуры тела.
Из-за систематического кислородного голодания у человека может также наблюдаться анемия и бледность кожных покровов. Вышеперечисленные симптомы указывают лишь на необходимость прохождения медицинского осмотра. Окончательно установить диагноз может только врач.
Причины спаек в легких могут быть самыми разнообразными. В большей степени на возникновение недуга влияют патологические процессы, происходящие в человеческом организме. Среди наиболее распространенных причин выделяют:
- пневмонию;
- острый или хронический бронхит;
- заражение легких паразитами;
- инфаркт легкого;
- злокачественные и доброкачественные образования;
- курение;
- оперативное вмешательство в зоне грудной клетки.
После пневмонии спайки в легких образуются достаточно часто. Существенное влияние на патологию также оказывает плохая экологическая обстановка в той местности, где проживает заболевший человек. Недуг часто наблюдается у людей, чья профессиональная деятельность связана с химическим производством.
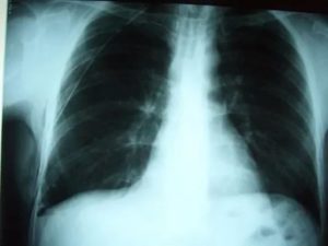
Определить наличие спаек в легких можно при помощи флюорографии. Этот метод исследования является наиболее достоверным. Дополнительно могут назначить рентген легких. Врач определяет наличие спаек по характерным темным пятнам, которые видны при получении рентгеновского снимка. Изменения могут также наблюдаться в диафрагме — она становится менее подвижной.
Как лечить спайки, устанавливает врач. Ход и интенсивность лечения зависят от запущенности процесса и от причин, которые привели к развитию данного заболевания.
Оперативное вмешательство потребуется лишь в случае, когда у человека наблюдается острая легочная недостаточность. В других случаях лечение ограничивается консервативной терапией.
После устранения острой стадии заболевания дополнительно человеку прописывают массаж грудной клетки, электрофорез, дыхательная гимнастика и ингаляции. Закрепить результат поможет санаторно-курортное лечение.
Источник: https://legkieplus.ru/diagnostika/simptomatika-diagnostika-i-terapiya-spaek-v-legkih.html
Плевродиафрагмальные спайки – это разросшиеся соединительные ткани, находящиеся между серозными оболочками полости плевры (ткань, покрывающая стенки грудного отдела и легких).
Уплотнения в легких могут быть как единичными, так и множественными. Нередко остаточные изменения становятся результатом ранее перенесенного воспаления легких.
В медицине они имеют и другие названия – синехия, плевропульмональная шварта или комиссура. Тотальное количество шварт приводит порой даже к полному срастанию соединительных тканей, что вызывает массу негативных последствий, в виде болевых ощущений и острой дыхательной недостаточности.
Оглавление
- Механизм формирования
- Симптомы
- Диагностика
- Лечение
- Заключение
Образоваться спайки могут везде, где есть соединительная ткань. Причиной их возникновения, как правило, становится перенесенный воспалительный процесс, например, пневмония или плеврит. Развитию синехий также способствуют остротекущие бронхиты, поражение легкого паразитами, наличие саркомы, туберкулез, а также курение, травмы и онкология.
Спаечный процесс в легких
Еще одним фактором возникновения разрастаний является вдыхание вредных веществ, например, на химических предприятиях. Появляются спайки в результате слишком большого скопления жидкости в плевральной оболочке, что приводит к откладыванию фибрина (нерастворимый волокнистый белок), который в процессе выздоровления не исчезает и формируется в шварту.
Внимание! Опасность наличия спаек в легких заключается в возможном инфицировании срастаний соединительных тканей, что приводит к новообразованиям.
Диагностировать, и тем более самостоятельно лечить спайки легких нельзя и даже опасно. После перенесенной пневмонии любые симптомы, проявляющиеся даже не слишком отчетливо, являются поводом для похода к врачу. Воспаление легких – заболевание серьезное, и последствия оно несет не менее значительные.
Спаечный процесс после неграмотно пролеченной пневмонии – явление частое и коварное, так как синихеи могут развиваться очень медленно, не вызывая никаких подозрений по поводу их наличия в легких. Постоянный контроль за своим здоровьем гарантирует своевременное избавление от негативных осложнений.
Источник: https://bronhus.com/zabolevaniya/pnevmoniya/vzroslye/posledstviya-oslozhneniya/spajki-i-drugie-izmeneniya.html
Это очень коварный недуг, который обычно протекает бессимптомно. Риск появления спаек увеличивается для людей, переболевших воспалением легких или бронхитом.
В основном спайки в легких представляют собой слишком сильно разросшиеся соединительные ткани в плевральной полости легких. Именно поэтому спайки еще иногда называют плевродиафрагмальными.
Также их делят на тотальные – занимающие все отделы плевры, и единичные – появившиеся из-за сращения двух плевральных листков.
Наиболее распространенные причины образования спаек – заболевания верхних дыхательных путей. Обычно это различные виды бронхитов, плевритов, перенесенное воспаление легких. Но существуют и более неожиданные причины – заражение легких паразитами (например, аскаридами, эхинококками и др.
), присутствие в легких палочки Коха, возникновении онкологии, инфаркт легкого, саркоидоз, запущенные формы аллергии.
К наименее распространенным причинам можно отнести: курение, врожденные патологии, работу на вредных производствах, плохую экологию окружающей среды, механические травмы легкого, внутренние кровотечения и проведение операций на области грудной клетки.
В сущности спайки появляются в результате неудачно залеченного или вовсе запущенного воспалительного процесса.
При этом волокна соединительной ткани разрастаются достаточно медленно, то есть, если воспаление начали лечить вовремя, и не произошло никаких осложнений, то вероятность появления спаек крайне низкая.
Иногда спайки в легких может образовывать не только слишком разросшаяся соединительная ткань, но также и ткань фиброзная (которая носит характер доброкачественного новообразования).
При наличии в организме хронических инфекций могут образовываться плевропульмональные спайки.
Обычно спайки в легких не имеют четко выраженных симптомов, поэтому их часто путают с другими заболеваниями. Если спаек совсем немного, то они практически незаметны, а вот увеличение их количества способно привести к серьезным последствиям. Стоит насторожиться при появлении следующих признаков, а особенно при сочетании двух и более из них:
- Одышка, в случае, когда она возникает без видимых причин;
- Тахикардия (учащенное сердцебиение), тоже возникающая без влияния каких-либо внешних факторов;
- Боль в грудине, как острая, та и ноющая.
Одышка без видимых причин – один из возможных симптомов спаек в легких
Указанные состояния очень похожи на простуду, поэтому спайки часто и не обнаруживают, занимаясь симптоматическим лечением простудного заболевания и нередко даже не обращаясь к врачу. Однако, своевременное выявление чрезмерного разрастания соединительной ткани в легких позволит пациенту максимально быстро избавиться от недуга, избежав неприятных последствий.
В запущенных случаях может наблюдаться ощущение нехватки воздуха, сильный кашель, отхождение гнойной мокроты (особенно по утрам). Корме того люди со спайками гораздо чаще заражаются инфекциями верхних дыхательных путей.
Со временем заболевание может перейти в хроническую форму, а это чревато кислородным голоданием организма, частыми интоксикациями и ярко выражено аритмией.
Наличие спаек всегда свидетельствует о существовании воспаления. Поэтому в данном случае применяются препараты, направленные на уничтожение возбудителя недуга и уменьшение спаечной активности.
Как правило, в схему лечения включают антибиотики, нестероидные противовоспалительные средства, муколитики.
Все эти средства призваны облегчить состояние больного, уменьшить воспаление, снять отек, облегчить дыхание и откашливание мокроты.
Но эффект от лечения можно существенно снизить, а то и вовсе спровоцировать рецидив, если не внимать рекомендациям специалистов по поводу отказа от курения, соблюдения диеты, прогулок на свежем воздухе и т д. Так как в этом случае иммунитет у пациента, и без того ослабленного лекарствами и болезнью, не восстановится полноценно.
А это значит, что организм не сможет сопротивляться ни образованию новых воспалений, ни появлению новых спаек.
Оперативное вмешательство из-за наличия спаек в легких проводится, только если есть риск возникновения угрозы для жизни пациента. Например, когда недуг может привести к появлению легочной недостаточности. Во всех прочих случаях стараются прибегать к консервативному лечению.
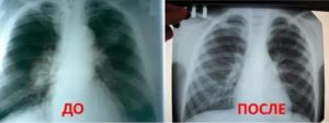
Иногда из-за спаек в плевральной полости легких появляется жидкость, что отрицательно сказывается на общем состоянии больного, а иногда даже может нести угроз жизни. Поэтому скопившуюся жидкость откачивают при помощи специальной полой пластиковой трубки, которая вводится под ребро. Именно через нее вытекает все лишнее и у больного наступает облегчение.
Дренаж легких
Чтобы предупредить образование новых спаек больному потребуется изменить образ жизни.
Специалисты рекомендуют чаще бывать на свежем воздухе, уделять больше внимания пешим прогулкам, заниматься спортом, особенно на свежем воздухе.
В качестве вариантов физической активности также отлично подойдут езда на велосипеде и плавание. Немаловажно отказаться от вредных привычек вроде курения и злоупотребления алкоголя.
Кроме того, стоит начать следить за своим питанием и попытаться исключить или хотя бы ограничить потребление фастфуда, жареного, соленого, еды, содержащей консерванты.
Полезно увеличить количество выпиваемой за день жидкости, а также потребление овощей и фруктов. Еду желательно варить или готовить на пару.
В рационе должен преобладать белок, которого много в молочных продуктах, яйцах и белом мясе.
Комплекс указанных выше мероприятий при регулярном выполнении способствует рассасыванию спаек и улучшению общего самочувствия. Но если процесс перешел в стадию обострения, которая несет потенциальную угрозу для жизни пациента, то требуется оперативное вмешательство.
В качестве профилактических мер стоит своевременно лечить воспалительные процессы, а также различные хронические инфекции.
Кроме того, статистика свидетельствует, что у людей, ведущих здоровый образ жизни, спайки образуются гораздо реже. В здоровый образ жизни входит отказ от вредных привычек, занятия спортом, сбалансированное питание, прием витаминов при необходимости.
Также желательно избегать местностей с плохой экологией, мест, где высок риск подхватить инфекцию и работы на вредных производствах без респиратора.
Для своевременного обнаружения спаек или процессов, предшествующих их возникновению, рекомендуется 1-2 раза в год проходить флюорографическое исследование.
Источник: https://zdorovie-legkie.ru/kak-vylechit-spajki-v-legkih-01/
Поделиться:









