Плевродиафрагмальная спайка – это разрастание соединительной ткани (образование рубца) в той области грудной клетки, где нижняя поверхность легкого прилегает к диафрагме (плевродиафрагмальный угол).
Причиной образования такой спайки может служить практически любое перенесенное заболевание бронхолегочного аппарата.
- острого или хронического бронхита
- воспаления легких
- абсцесса легочной ткани
- паразитарных поражений легких
- туберкулеза
- плевритов
- рака легких
- инфаркта легкого
- саркоидоза
- врожденных пороков развития органов дыхания
Первое место среди причин спаечного процесса в легких занимают плевриты различной этиологии и пневмонии.
Также людям с плевродиафрагмальной спайкой нужно тщательно беречься от заболеваний респираторной системы. В случае инфекции она поселится в самом уязвимом месте легочной ткани – на участке со спайкой, после чего может образоваться еще один рубец и т. д.
Это в конечном итоге может привести к стягиванию и деформации легкого, что грозит развитием хронической легочной недостаточности.
Флюорография – это специальная методика рентгенологического обследования органов грудной клетки в профилактических целях (в основном, для выявления начальной стадии туберкулеза).
Как часто необходимо делать флюорографию? На этот вопрос существует четкий ответ. По законодательным нормам нашей страны данное обследование нужно проходить 1 раз в 2 года.
Существуют категории людей, которым по эпидемиологическим показаниям флюорографию нужно делать 2 раза в год.
- врачи и медперсонал
- лица, которые находятся в тесном контакте с больным туберкулезом
- люди с хроническими заболеваниями внутренних органов
- инфицированные ВИЧ, или больные первичными и вторичными иммунодефицитами
- военнослужащие
Внеочередное обследование показано тем, у кого подозревают туберкулез, при прохождении начальных и периодических медосмотров.
- острый и хронический бронхит
- бронхиальная астма
- пневмония
- хроническая обструктивная болезнь легких
- абсцесс легочной ткани
- плеврит
- туберкулез
- рак
- саркоидоз
- бронхоэктатическая болезнь
- инфаркт легкого
- поражения легочной ткани при системных заболеваниях соединительной ткани
- наследственные заболевания и врожденные аномалии развития легких
Причин патологии легких очень много. Чаще всего в развитии таких заболеваний главную роль играет инфекция (вирусы, бактерии, грибки, паразиты), которые человек вдыхает с воздухом.
Также большую часть причин составляют аллергические реакции. Аллергическая реакция на респираторные аллергены составляет основу развития бронхиальной астмы. Большую роль играет и состояние иммунитета человека, образ его жизни, питание.
- санация очагов хронической инфекции в организме
- предотвращение действия патогенных факторов на организм (физических, токсических, биологических)
- предупреждение влияния неблагоприятных условий внешней среды
- закаливание, здоровый образ жизни, прием витаминов и микроэлементов, иммуномодуляторов
Если придерживаться всех рекомендаций по профилактике заболеваний органов дыхания, проходить регулярное флюорографическое обследование, то ни плевродиафрагмальные спайки, ни какие-либо другие поражения легких вам не будут страшны.
- Блог пользователя – Милица
- Для комментирования войдите или зарегистрируйтесь
Действительно, ничего страшного в этих плевродиафрагмальных спайках нет. На здоровье и качество жизни никак не влияют. Они даже могут со временем пройти. Но это если делать дыхательные упражнения, развивать легкие.
Бланк с результатом флюорографии вызвал у Вас настороженность непонятными терминами и цифрами? Узнайте, что стоит за расшифровкой результата флюорографического обследования и когда следует обратиться к врачу: кардиологу, пульмонологу или фтизиатру.
Понятие плеврального выпота (ПВ) подразумевает скопление жидкости в плевральной полости. Состояние, как правило, имеет вторичный характер и может возникать при множестве различных патологических процессов вследствие тесной анатомо-физиологической.
Несмотря на все достижения современной медицины, диагностика экссудативных плевритов и, в частности, эмпиемы плевры по-прежнему проблематична. Не скроем: эмпиема плевры (гнойный плеврит, пиоторакс) для врачей – один из самых сложных диагнозов. А тем.
инфильтративных теней не определяется. В области правой верхушке плеврально-апикальные уплотнения с единичными фиброзированными (?)очагами.
Корни структурны. Rg-признаков увеличения лимфоузлов средостения не выявлено.
Диафрагма расположена обычно, слева плеврально-диафрагмальная спайка.Синусы свободны. Сердце, сосуды в норме.
Отправили на платную МСКТ
В легких свежих инфильтративных и очаговых изменений не выявлено.
Плевроапикальные наслоения преимущественно справа, с наличием на этом фоне справа единичных плотных(фиброзных) очагов maх размероми до 4 мм
Единичный обызвествленный очаг 2 мм в S3 правого легкого субплеврально.
Легочный рисунок не деформирован.
Корни легких структурны, не расширены.
Лимфоузлы средостения не увеличены. немногочисленные лимфоузлы центрального средостения размерами менее 8 мм
Свободной жидкости в плевральных полостях нет.
Костно-деструктивных изменений в зоне исследования не выявлено.
Свежих очаговых и инфильтративных изменений в легких не выявлено.
Плевропневмофиброз в верхушке правого легкого.
Единичные плотные (фиброзные) очаги в верхушке правого легкого.
Мелкий обызвествленный очаг в S3 справа.
Что это за болезнь?
Кашель остался сильным,приступообразным.Температура бывает иногда небольшая,до 37,5,поднимается к вечеру.Я очень переживаю,что это может быть опухоль или туберкулёз.Пожалуйста,скажите,что это может быть?Доктор назначил КТ после лечения антибиотиками через две-три недели.Не очень ли вредно такое частое обследование КТ и рентгенографией?Заранее спасибо Вам большое.
Описание: левый купол диафрагмы подтянут плевральной спайкой. Легкие и сердце в норме.
Прокомментируйте, пожалуйста описание, что это означает?
Плевральные спайки, образующиеся непосредственно в легких, являются не чем иным, как разросшейся соединительной тканью. Плевроапикальные и все остальные спайки в легких являются типичным последствием перенесенной пневмонии или плеврита любого происхождения.
Для него нужно сшить мешочек, который спокойно разляжется по всей области легких, наполнить его прогретым льняным семенем, и приложить месту, немного выше, чем показана спайка на снимке.
Напоследок стоит заметить, что вопросом, что такое плевральные спайки в легких, задаются все, кроме врачей.
Если побывать на их форумах и сайтах, понимаешь, что подобный диагноз не котируется как серьезный, и с ним можно спокойно жить до самой старости.
Берегите себя! Крепкого вам здоровья и хорошего самочувствия! Спайки в легких – это разросшиеся соединительнотканные тяжи, которые чаще всего располагаются между серозными оболочками плевральной полости.
Спайки оказывают негативное влияние на функционирование органов дыхания, затрудняя его работу, ограничивая естественную подвижность. Она выражается в усилении одышки, в нехватке воздуха и требует экстренной врачебной помощи.
Кроме того, диафрагма может быть ограничена в подвижности. Чаще всего такие спайки располагаются в нижней части легкого. Лечение спаек легкого должно выстраиваться на основе запущенности спаечного процесса и исходя из того, что к привело к его развитию.
Сами тяжи состоят из той же ткани, что и наружная стенка кишечника. Спайки в малом тазу обнаруживаются очень часто, особенно эта проблема актуальна для женщин.
Для них спайки несут серьезную угрозу в виде развития бесплодия, не говоря уже о выраженном дискомфорте и болях, которые они вызывают.
Объяснение того, что спаечная болезнь малого таза является очень распространенной, кроется в нескольких причинах#8230;
Спайки возникают вследствие реакции брюшины на воспалительный процесс, травмы и хирургические вмешательства. Эта гладкая соединительная ткань, выстилающая брюшную полость изнутри, в норме обеспечивает#8230;
Основной признак образования спаек — это появление одышки. Возможно появление болей в области груди. Боль может быть острой или ноющей. Плевропульмональные шварты возникают и в результате хронического инфекционного заболевания.
Радикальный метод лечения — это оперативное вмешательство. Удаление образований хирургическим путем проводится только в случае, если плевра серьезно повреждена спайками и пациенту грозит смерть.
Комментариев пока нет!
Источник:
Спайки в легких – это разросшиеся соединительнотканные тяжи, которые чаще всего располагаются между серозными оболочками плевральной полости. Еще спайки в легких носят название плевродиафрагмальных спаек. Они могут быть как тотальными и занимать все отделы плевры, так и единичными плоскостными, образовавшимися в результате сращения плевральных листков.
Спайки могут формироваться в любом месте, где имеется соединительная ткань, поэтому плевра легких не является исключением для манифестации этого патологического процесса.
Спайки оказывают негативное влияние на функционирование органов дыхания, затрудняя его работу, ограничивая естественную подвижность.
Иногда спайки способны приводить даже к полному зарастанию полостей, провоцируя выраженные болезненные ощущения, дыхательную недостаточность, что требует экстренной врачебной помощи.
Симптомы спаек в легких могут быть следующими:
- Одышка
- Боли с локализацией в районе груди.
- Учащенное сердцебиение.
- При обострении процесса возможно развитие дыхательной недостаточности. Она выражается в усилении одышки, в нехватке воздуха и требует экстренной врачебной помощи.
- Человек в большей степени подвержен дыхательным патологиям, так как естественный процесс вентиляции легких оказывается нарушенным.
- На присоединение инфекции укажет гнойная мокрота, усиление кашля и одышки, повышение температуры тела. Особенно много мокроты будет наблюдаться в утренние часы.
- Хроническая спаечная болезнь легких вызывает нарушения в организме в целом. Он будет страдать от кислородного голодания, от интоксикации. Часто развивается анемия с бледностью кожных покровов.
Причины спаек в легких кроются в следующих патологических процессах:
- На первом месте стоят плевриты различной этиологии, а также перенесенные пневмонии.
- Острый и хронический бронхит .
- Перенесенное воспаление легких .
- Заражение легких паразитами (амебиаз, аскаридоз , парагонизм, эхинококкоз и пр.).
- Поражение легких палочкой Коха.
- Рак легких.
- Инфаркт легкого.
- Врожденные пороки развития легких.
- Саркоидоз .
- Профессиональные вредности, вдыхание промышленной пыли.
- Плохая экологическая обстановка в зоне проживания.
- Травмы легкого.
- Аллергические реакции организма и частые контакт органов дыхания с аллергеном.
- Курение.
- Внутреннее кровотечение.
- Операции на грудной клетке.
Основным методом выявления нарушений в тканях легких является флюорография. Ее необходимо проводить ежегодно, а категориям людей, входящим в группу риска по легочным заболеваниям – два раза в год. Если имеется подозрение на наличие плевральных спаек, то пациента отправляют на рентген легких.
https://youtube.com/watch?v=YDkBAk6ldPI
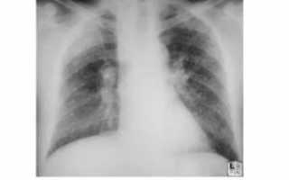
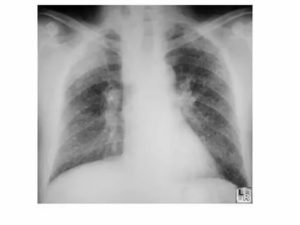
Прямым признаком, указывающим на наличие спайки, являются тени, которые видны на рентгене. При этом она не меняется во время выдоха и вдоха больного. Также будет снижена прозрачность легочного поля. Возможны деформации грудной клетки и диафрагмы. Кроме того, диафрагма может быть ограничена в подвижности. Чаще всего такие спайки располагаются в нижней части легкого.
Лечение спаек легкого должно выстраиваться на основе запущенности спаечного процесса и исходя из того, что к привело к его развитию. Хирургическое вмешательство показано лишь в том случае, если спайки приводят к формированию легочной недостаточности и иных состояний, угрожающих жизни. В остальных случаях ограничиваются консервативной терапией, а также проведением физиопроцедур.
Источник: https://legkieplus.ru/bez-rubriki/lechenie-plevralnyh-spaek-v-legkih.html
Плевральные спайки (шварты, синехии) — соединительнотканные образования, которые формируются между листками плевры как следствие острого или хронического воспаления.
В зависимости от объема поражения, локализации сращений клинические проявления могут носить скрытый характер или существенно влиять на состояние больного.
При массивном спаечном процессе отмечается выраженное нарушение функционирования легких.
Париетальная и висцеральная плевра
Плевра представляет собой тонкие серозные оболочки, выстилающие внутреннюю поверхность грудной клетки (париетальная) и покрывающие легочною ткань (висцеральная).
Между висцеральной и париетальной плеврой образуется узкая полость, в которой циркулирует серозная жидкость, уменьшающая трение листков плевры.
Воспалительные изменения могут протекать как на наружной, так и на внутренней поверхности серозной оболочки.
Спайки
Спайки плевры могут быть локальными, когда они соединяют отдельные участки серозных оболочек или тотальными, которые занимают всю или большую часть плевральной полости. Кроме того, шварты могут быть единичными или множественными, локализоваться с одной или обеих сторон. В зависимости от места образования спайки располагаются между такими анатомическими образованиями, как:
- висцеральным и париетальным листками;
- отдельными участками париетального листка: реберно-диафрагмальные, реберно-апикальные (в области плеврального купола);
- отдельными участками висцеральной плевры (междолевые);
- серозной оболочкой сердца (перикардом) и пристеночной плеврой (плевро-перикардиальные);
- плеврой и серозной оболочкой средостения (плевро-медиастинальные);
- серозной оболочкой и внутригрудной фацией, диафрагмой.
Спайки могут соединять несколько областей и быть реберно-диафрагмо-перикардиальными, плевро-перикардо-медиастинальными и т.д. По внешнему виду и толщине плевральные шварты могут быть круглыми (шнуро-, струновидные), мембранозными (занавесо-, лентовидные), плоскостными (истинные, ложные — соединительная ткань стягивает участок висцерального или париетального листка).
Причина образования плевральных синехий — воспаление инфекционного или неинфекционного происхождения. Чаще всего спайки образуются после перенесенного экссудативного плеврита.
Кроме того, слипчивый процесс как исход повреждения плевры может возникать из-за аутоимунного (ревматизм, коллагенозы), посттравматического (бытовое ранение, лечебно-диагностические медицинские манипуляции), туберкулезного, опухолевого процесса.
Конечная фаза воспалительной реакции — пролиферация, то есть образование новой ткани, которая замещает поврежденный участок. При плеврите любого генеза (происхождения) в результате повышения проницаемости сосудов жидкая часть плазмы с белками, воспалительными клетками выходит в очаг повреждения. Далее выделяют три последовательных фазы образования плевральных спаек:
- Трансформация белка-фибриногена в фибрин, который откладывается в виде нитей на плевре или в полости.
- Образование молодых рыхлых спаек из коллагена, который синтезируется фибробластами (клетками-предшественниками соединительной ткани).
- Формирование плотных фиброзных шварт с сосудами и нервными окончаниями.
С течением времени спайки могут самопроизвольно рассасываться, подвергаться склерозу, кальцификации, гиалинозу (образованию в толще шварты плотных хрящевидных масс). Длительное воспаление совместно со спайками приводит к осумкованному плевриту.
Не у всех пациентов, перенесших плеврит, образуются плевральные синехии. К их формированию предрасполагают следующие факторы:
- хронический плеврит;
- обструктивная болезнь легких;
- частые бронхиты, пневмонии;
- паразитарные инвазии в легких;
- туберкулез;
- рак;
- врожденная патология бронхолегочной системы;
- курение;
- бронхиальная астма тяжелого течения;
- муковисцидоз;
- вдыхание загрязненного воздуха (профессиональные вредности);
- саркоидоз;
- полисерозиты (ревматизм, красная волчанка, синдром Дресслера, уремия);
- оперативное вмешательство на органах грудной клетки;
- инфаркт легкого.
Спаечный процесс может быть приобретенным и врожденным. Внутриутробно синехии могут образовываться из-за аномалий развития, эмбрио- и фетопатий, как следствие перенесенной инфекции, обменных патологий.
Спайки в легких, если они тонкие и единичные, могут никак не проявлять себя и быть случайной находкой при операции или в ходе диагностики по поводу другого заболевания. Если же слипчивый процесс распространенный, нарушает функцию дыхания, поддерживает воспаление, то наблюдается следующая клиническая картина:
- боли разной интенсивности на стороне синехий;
- сухой кашель;
- одышка смешанного типа;
- учащение сердцебиения;
- субфебрилитет при хроническом воспалении.
Длительное существование спаек, мешающих полноценной аэрации легких, приводит к развитию кислородного голодания, хронической интоксикации. Кожа становится бледной с синюшным оттенком губ, кончиков пальцев, больного беспокоят сонливость, усталость, подавленность, головные боли, перебои в работе сердца.
Чаще всего плевральные шварты лечатся консервативными методами, к которым относятся:
- антибиотикотерапия при сохраняющемся гнойном воспалении согласно выявленной флоре;
- обезболивающие и противовоспалительные препараты (Ибупрофен, Кеторол, Баралгин);
- противокашлевые средства при выраженном болевом синдроме, усиливающимся при кашле (Синекод, Тусупрекс, Либексин);
- кислородотерапия по показаниям;
- физиотерапия (СВЧ, УВЧ в импульсном режиме, магнитотерапия, озокеритовые, парафиновые аппликации, гальванизация) при отсутствии противопоказаний;
- массаж, ЛФК с элементами дыхательной гимнастики;
- дренирование плевральной полости.
Показанием к оперативному лечению являются выраженная сердечная и дыхательная недостаточность. Применяют эндоскопическое иссечение спаек, удаление шварты с частью плевры иили легкого в зависимости от глубины склероза.
В основе профилактики спаечного процесса лежит исключение или минимизация воздействия на организм провоцирующих факторов. Питание должно быть рациональным, богатым полноценными белками, витаминами, микроэлементами. Достаточная физическая активность, дыхательная гимнастика улучшают кровоснабжение тканей, функциональное состояние легких.
Отказ от курения, снижение объема вдыханий загрязненного воздуха (использование респираторов, смена рода деятельности) многократно улучшают прогноз заболевания. Закаливание организма повышает иммунитет и профилактирует болезни бронхолегочной системы. Адекватное лечение хронической патологии способствует минимизации осложнений острых инфекционных заболеваний.
Источник: http://ingalin.ru/plevrit/plevralnye-spajki.html
Большое распространение легочных заболеваний объясняется тем, что они, как правило, сопутствуют сезонным вирусным болезням. Редко кому хотя бы раз в год удается не заболеть ОРЗ или гриппом. В результате могут в легких могут образовываться плевральные спайки, которые негативно влияют на работу всего организма.
Чтобы не запустить заболевание, нужно вовремя обратиться к врачу, который поставит диагноз и назначит лечение.
Для обнаружения легочных заболеваний в первую очередь используется флюорография. Эту процедуру необходимо проводить ежегодно, в основном она направлена на выявление ранней стадии туберкулеза. Однако опытный рентгенолог может выявить на снимке образовавшиеся плевральные спайки, которые выглядят тенями. Причем форма их не меняется в зависимости от вдоха и выдоха.
При необходимости дополнительно назначается рентген. Как правило, спайки располагаются в нижней части легкого. При этом будет более темная картинка, а также может быть частичная деформация грудной клетки и диафрагмы.
При диагностировании плевральных спаек дальнейшее лечение зависит от их количества и стадии развития. Как правило, достаточно терапевтического воздействия сопровождающегося физиопроцедурами.
При обострении воспалительных процессов в легких, которые приводят к образованию спаек, нужно, прежде всего, их локализовать. Для этого используются антибиотики, которые вводятся внутривенно или внутримышечно. Как правило, такие процессы сопровождаются кашлем, поэтому необходимы препараты улучшающие отхождение мокроты.
После того, как воспаление будет остановлено, можно начинать ингаляции и электрофорез. Также при образовании плевральных спаек хорошо зарекомендовали себя дыхательная гимнастика и массаж грудной клетки.
Важно отметить, что при легочных заболеваниях большую роль играет правильное питание.
В рацион необходимо включать продукты, содержащие большое количество витаминов и белков. В меню пациента должны быть:
- рыба;
- творог;
- мясо;
- овощи;
- фрукты.
При предрасположенности организма к легочным болезням рекомендуется периодически проходить курортное лечение. Это будет способствовать оздоровлению организма. Также следует не подвергать организм переохлаждению, заниматься спортом и отказаться от вредных привычек.
к оглавлению ↑
Кроме лекарственных препаратов при борьбе со спайками хорошо использовать народные средства. Они недорогие, к тому же не нагружают организм как лекарства, и кроме того весьма эффективны. Вот некоторые рецепты, которые позволят избавиться от спаек:
-
Для приготовления чая используют шиповник, крапиву и бруснику.
Фиброз: причины, диагностика, лечение. Здоровье Перемешав составляющие, их заливают кипятком и настаивают. Также хорошо помогает отвар, в который входят смородина, шиповник и малина.
- Эффективным средством показал себя отвар из зверобоя. Его легко можно собрать самостоятельно, а затем высушить и измельчить.
- Быстро помогает восстановить дыхание и избавиться от кашля применение эфирных масел.
Следует помнить, что нельзя заниматься самолечением, это может привести к необратимым процессам. Прежде всего, необходима консультация специалиста.
Статья помогла вам?
Дайте нам об этом знать — поставьте оценку
Загрузка…
Источник: https://opnevmonii.ru/bolezni/plevrit/chto-takoe-plevralnye-spajki.html
Плевродиафрагмальные спайки – это соединительная ткань, которая находится на границах серозных оболочек плевральной полости. Они бывают тотальными (могут располагаться по всей плевре) или же единично плоскостными, появляющиеся вследствие того, что плевральные листки срослись.
Спайка может возникнуть везде, где есть соединительная ткань, именно поэтому патологическое явление не обходит стороной и легкие человека.
Спайки слева отрицательно сказываются на работе внутренних органов: они затрудняют функциональность дыхательной системы, мешая естественной подвижности органов дыхания.
Происходит и такое, что патология приводит к тому, что полости полностью зарастают, из-за чего появляется боль, дыхательная недостаточность и нужда в экстренной госпитализации.
В период выздоровления человека, воспалительный процесс уходит, а жидкость постепенно рассасывается. Но фибрин и плеврит могут остаться в плевре и стать причинами появления спаек – сращений листков плевры.
О том, что в легких имеются спайки, свидетельствуют следующие факторы:
- появление одышки;
- боль в груди;
- тахикардия;
- неправильное дыхание и нехватка воздуха;
- нарушения в вентиляции легких;
- кашель, мокроты с гноем по утрам;
- повышенная температура;
- интоксикация организма;
- анемия и бледность кожи.
Все эти симптомы не должны оставаться без внимания, ибо они могут говорить и о многих других опасных заболеваниях.
Причины появления спаек могут быть такие:
- ранее излеченная пневмония;
- наличие плевритов;
- бронхит разной этиологии;
- паразиты в легких: амебиазы, аскаридозы, эхинококкозы;
- онкологические процессы;
- инфаркты;
- палочка Коха;
- особенности профессии, например, заводская пыль;
- загрязненность окружающего воздуха;
- пороки в развитии органов дыхания;
- травмы различного происхождения;
- аллергия;
- вредные привычки в виде курения;
- перенесенные операции на грудине;
- кровотечения.
Самым популярным способом выявления плевро спаек считается флюорография органов дыхания. Это исследование планово человек должен проходить каждый год.
А в том случае, если он относится к группе риска по болезням органов дыхания, то проходить следует дважды в год.
Если рентгенолог заметил плевродиафрагмальные спайки, то это значит, что пациенту потребуется дополнительное рентгенологическое обследование.
Основным признаком спаечного процесса на легком является наличие тени, которая появилась на снимке. Стоит учесть тот факт, что она никак не изменяет свою форму при вдохе и выдохе. Наряду с этим легочное поле будет менее прозрачным, а диафрагма и грудная клетка могут быть несколько деформированы. Зачастую спайки наблюдаются внизу легкого.
Вариант терапии должен подбираться с учетом того, насколько запущена патология и что именно стало причиной ее появления. Хирургические операции уместны только тогда, когда спайки грозят легочной недостаточностью и опасны какими-либо смертельными процессами. Если такое состояние не выявлено, то специалисты отдают предпочтение физиопроцедурам и выбирают консервативное лечение.
В том случае, когда у пациента зафиксировано обострение болезни, то медики могут провести санацию бронхов и избавить человека от воспалительного процесса.
Здесь уместно назначение антибактериальных лекарств и бронхоскопического дренажа. Антибиотики вводят в вену или в мышцу. Наряду с этим даже возможно введение медикаментов в период проведения бронхоскопии.
В данной ситуации уместно использовать цефалоспорины и пенициллины.
Для ускорения выхода мокроты при кашле стоит принимать отхаркивающие аптечные средства и питье щелочного типа. После того как воспаление полностью уйдет, рекомендовано проводить массаж груди, выполнять специальную дыхательную гимнастику, ингаляции и посещать сеансы электрофореза.
Очень важно следить за тем, чтобы пациент правильно и полезно питался. Еда должна содержать в своем составе большое количество белка и витаминов. В рацион рекомендовано включать мясные и рыбные продукты, овощи, молочные изделия и фрукты.
Для того чтобы проблема не возникала в дальнейшем, следует выполнять дыхательные упражнения и часто посещать санаторно-курортные пансионаты. Наряду с этим придется полностью отказаться от курения, заниматься спортом, долгое время находиться на воздухе, но не переохлаждаться.
Если дело дошло до операции, то ее смысл заключается в том, что будет удалена часть легкого, которую поразила диафрагмальная спайка. Называется этот процесс лобэктомией и выполняется исключительно по жизненным показаниям.
Данное заболевание на сегодняшний день можно назвать очень распространенным явлением, которое возникает почти у всех людей под влиянием каких-либо болезней. От спаек в легких не застрахован никто. В связи с тем, что они могут появиться как осложнение после пневмонии, часто лечебный курс затягивается на длительное время.
Спайки чаще всего возникают между плеврой и легким. Они представляют собой своеобразные шрамы, которые не всегда нужно лечить. Проблема не всегда угрожает жизни человека и может доставлять только существенный дискомфорт при вдохе. Но, не смотря на это, от нее лучше полностью избавиться.
Помимо стандартной схемы терапии медики могут порекомендовать использовать некоторые рецепты народной медицины. Она часто приводит к невероятным результатам и относительно недорогая, по сравнению с лекарственными препаратами. Да и вреда для организма от нее значительно меньше, чем от таблеток и уколов.
Народными способами избавления от спаек являются следующие:
- Самое эффективное средство из народа – это витаминный чай. Для его приготовления нужно взять крапиву, бруснику и шиповник. Все ингредиенты хорошенько перемешиваются, заливаются кипятком и настаиваются. При регулярном использовании такого чая плевральные спайки быстро пропадут и больше никогда не появятся. Вместе с тем средство отлично повышает иммунитет, защищает организм от простуды и гриппа.
- Можно отдавать предпочтение приему отвара из следующих ягод: малина, черная смородина, шиповник. Готовится смесь так же, как и чай.
- От боли и неприятных ощущений в груди может избавить трава зверобоя. Ее можно приготовить самостоятельно: собрать, высушить и измельчить. Можно приобрести в аптечной сети уже готовое средство. Траву нужно залить кипящей водой и прокипятить некоторое время. Полученный отвар следует остудить, процедить и принимать в качестве лечебного средства.
- В домашних условиях можно делать компрессы на основе корня женьшеня. Перед использованием растение нужно тщательно вымыть, очистить и измельчить. Лучше выбирать самые молодые корни, которым нет 3 лет.
Отдельно стоит рассказать о пользе эфирных масел. По статистике лечение ароматерапией довольно действенно и избавляет от проблемы за довольно короткие сроки. От масел человеку становится легче дышать и пропадает даже самый затянувшийся кашель. Выполнять процедуры лучше перед самым сном, чтобы полностью расслабить внутренние органы и весь организм в целом.
Для профилактики образования спаек стоит периодически выполнять следующие действия: глубоко вдохнуть и так же выдохнуть, во время упражнения разводить руки по бокам. Задержать дыхание на 15 секунд. Эта гимнастика поможет отдалить листки плевры на максимальное расстояние один от другого и не дать им склеиться.
Стоит помнить о том, что любое лечение, даже нетрадиционной медициной, должно происходить только после обследования у специалиста.
Ведь только квалифицированный врач сможет провести все необходимые исследования: осмотреть пациента, изучить его жалобы, направить на нужные анализы и уже на их основе выставить правильный диагноз и назначить адекватное и эффективное лечение.
Источник: https://pneumonija.com/other/chto-takoe-plevrodiafragmalnye-spajki-i-kakuyu-opasnost-oni-predstavlyayut.html
Плевральные спайки (шварты, синехии) — соединительнотканные образования, которые формируются между листками плевры как следствие острого или хронического воспаления.
В зависимости от объема поражения, локализации сращений клинические проявления могут носить скрытый характер или существенно влиять на состояние больного.
При массивном спаечном процессе отмечается выраженное нарушение функционирования легких.
Париетальная и висцеральная плевра
Плевра представляет собой тонкие серозные оболочки, выстилающие внутреннюю поверхность грудной клетки (париетальная) и покрывающие легочною ткань (висцеральная).
Между висцеральной и париетальной плеврой образуется узкая полость, в которой циркулирует серозная жидкость, уменьшающая трение листков плевры.
Воспалительные изменения могут протекать как на наружной, так и на внутренней поверхности серозной оболочки.
Иногда медики озвучивают диагноз, но забывают (или умышленно это делают) объяснить, что он обозначает. И человек начинает собирать информацию по интересующему его вопросу. Так было с моей подругой, которой после флюорографии сказали, что у нее есть плевродиафрагмальные спайки.
Никакого лечения ей по этому поводу не назначили, и она начала заметно волноваться, не оплошали ли врачи по поводу ее здоровья.
Оказалось, что плевродиафрагмальные спайки — это не болезнь, а последствия болезни, которые никакого лечения не требуют и на самочувствие человека никак не влияют.
Поделиться:










