
Что такое кальцинаты в легких? Кальцинатами медицинские специалисты именуют скопление нетипичных для определенного органа, тканей, которые заполнены отложения кальциевых солей.
Кальцинаты в легких, непосредственно в легких, способны образовываться под влиянием разнообразных патогенных факторов. Указанные измененные зоны альвеол ухудшают процесс газообмена, затрудняя его и снижая показатели жизненной емкости органов.
Они также способны выступать очагами для размножения вредоносных микроорганизмов, так как кальций не характеризуется иммунной активностью и не предоставляет возможности организму эффективно и быстро подавлять распространение патогенов.
Процесс возникновения областей с отложениями кальциевых солей стартует с травмирования физиологически нормальных тканей. Этот процесс выражается поражением здоровой клеточной структуры и ее замещение рубцами из соединительной ткани.
Указанный тип клеток не имеет собственную систему сосудов, не обогащается кислородом и питательными веществами. Для того, чтобы стабилизироваться, соединительные ткани способны притягивать к себе ионы разнообразных солей.
Что провоцирует проявление поражения.
В зависимости от привычного для человека образа жизни и его профессиональной занятости, причинные факторы, которые увеличивают риски возникновения легочных поражений, могут заметно различаться.
Но наиболее часто, причины классические – они рассмотрены в таблице:
Кальцинированные очаги в легких — причиныПровокаторОписаниеОбраз жизни человекаНездоровый образ жизни, при котором человек имеет табачную зависимость, принимает спиртосодержащие напитки в значительных объемах и проживает в регионе, где неблагоприятная экологическая обстановка.
Воспалительный процессПроцессы воспалительного характера, протекающие в бронхолегочной системе, такие как бронхиолиты, асбестоз, пневмонии, бронхиты, туберкулез.
Отрицательные воздействияТермические и химические воздействия, которые заключаются в неблагоприятных условиях работы, посещениях парилок и саун, вдыхание токсических веществ, а также ряд иных факторов, приводящих к поступлению в дыхательные пути загрязненных либо излишне горячих/холодных воздушных масс.
По этой причине, на флюорографическом снимке кальцинаты правого дыхательного органа способны проявляться спустя 2-3 года с факта перенесенной без соблюдения постельного режима, то есть на ногах, воспаления легких. Невзирая на данное обстоятельство, состояние человека требует круглосуточного мониторинга и выполнения диагностики дифференциального характера.
Опасны ли небольшие кальцинаты.Важно! Даже кальцинаты малого размера (на фото) в правом легком, также, как и в левом, способны становится первичным фактором, который повышает риски возникновения онкологических заболеваний и туберкулеза.
По этой причине важным является исключить более серьезные патологические процессы у на стартовом этапе.
Для подобного требуется выполнить ряд диагностических мероприятий, таких как:
- Бронхоскопию, в ходе которой будут взяты биологические материалы для следующей гистероскопии.
- Посев выводимой мокроты, исходя из которого, можно будет сделать выводы касательно заражения туберкулезом.
- Обзорная рентгенография, со снимками в нескольких проекций.
- В тяжелых случаях может быть необходимой компьютерная томография, которая на данный момент признана наиболее информативной методикой диагностирования.
Кальцинат в левом легком требует внимания, не меньшего, чем кальцинат правового легкого, так как его присутствие свидетельствует о том, что в легочных тканях протекает какой-то патологический процесс воспалительного характера.
Достаточно часто, при более детальном рассмотрении и расширенном прохождении пациентом обследовании, диагностируются следующие патологические состояния:
- эндокардит серозный;
- миокардит инфекционного характера;
- хронические патологические процессы.
ЭКГ.
Для того чтобы исключить прочие нарушения здоровья, пациенту рекомендуется выполнить ЭКГ и УЗИ сердечной мышцы. Также, в качестве обязательной диагностической меры, вступают общие анализы урины и крови.
Только врач после получения результатов обследования сможет определить точный диагноз для пациента и подобрать методику воздействия.
Возможно ли восстановить здоровье легких.
На данный момент времени, достаточно часто медицинские специалисты пропускают образование единичного кальцината малых размеров. Тем не менее, даже подобное явление обязано становиться поводом для беспокойства и более детального обследования человека – для выяснения основной причины, по которой кальцинат возник.
Также, образование из солей кальция требует адекватной терапии. Восстановить легочные ткани, которые подверглись кальцинированию, по большей части – затруднительно, в ряде случаев может потребоваться несколько лет для того, чтобы пациент полностью восстановился.
Тем не менее, такая терапия и следование врачебным рекомендациям в период восстановления – жизненная необходимость, так как это позволяет понизить риски возникновения и стремительного прогрессирования онкологических процессов и туберкулеза.
Терапия кальцинатов в дыхательных органах начинается с розыска причинного фактора, поспособствовавшего возникновению отложения и удаления его из жизни пациента. По большей части, это является признаком контактирования пациента с человеком, который инфицирован туберкулезом на протяжении длительного временного промежутка.
Какие методы позволяют определить причину заболевания.Внимание! Также, в очаге, который окружен кальцинированными тканями, может находиться инкапсулированная микобактерия туберкулеза.
По этой причине необходима консультация с фтизиатром, а также прохождение лабораторных анализов. В тех случаях, когда обнаруживается положительная реакция, то пациенту выполняется лечение туберкулезной инфекции превентивного характера. Также, требуется исключить вероятность глистной инвазии, так как кальцинаты могут являться следствием миграции аскариды и личинок прочих червей.
Вторым согласно степени распространенности, выступают паразиты – пневмоцисты, которые имеют способности к созданию вокруг себя плотной оболочки из извести для того, чтобы защититься от иммунных механизмов организма. Для того, чтобы определить наличие глистной инвазии, требуется пройти ряд лабораторных анализов.
Тем не менее, требуется не только анализ кала, но также и определенное исследование отделяемой мокроты. В том случае, когда диагноз подтверждается, то лечение отложений кальциевых солей в легочных структурах начинается с применения антигельминтных фармакологических средств.
Важно выявить фактор-провокатор.Важно! После того, как причина возникновения кальцинатов была устранена, восстановительный процесс жизненного объема легких начинается. Специалисты рекомендуют полноценное питание, в котором будет присутствовать значительное содержание белков животного и растительного происхождения. Также, могут применяться фармакологические средства, характеризующиеся способностями усиливать интенсивность регенеративных процессов организма. Актовегин.
К таким препаратам относятся Солкосерил и Актовегин.
Также, может применяться электрофорез с такими препаратами:
- алоэ;
- стекловидным телом;
- фибсом.
В качестве дополнения требуется применять травы с лекарственными свойствами, направленными на отхождение и выведение мокроты из альвеол. Для того, чтобы полностью восстановились легочные ткани, пациенту требуется следовать врачебным рекомендациям.
Инструкция требует:
- посещать рефлексотерапию;
- выполнять вибрационный массаж;
- делать комплексы дыхательной гимнастики.
Также рекомендуется ежегодно в процессе восстановления посещать морское побережье в теплый сезон – для полноценного восстановления легких требуется не менее 40 дней. Что такое кальцинаты и в чем их опасность для человека, расскажет читателям видео в этой статье.
Чем опасны кальцинаты у ребенка.
В последние годы, случаи врожденных патологических изменений легочных тканей участились. Кальцинат в легких у ребенка может проявиться, если он в первые годы собственной жизни имел контакт с агрессией туберкулезной палочки.
https://youtube.com/watch?v=3WIGWb-PPE8
Скорее всего, организм, поместив возбудителя в капсулу из солей кальция, обезопасил организм от дальнейшего инфицирования. Тем не менее, требуется консультация и последующее лечение фтизиатра, особенно при условии гипертрофической реакции на Манту.
Инфекция на этапе внутриутробного развития плода также может становиться причиной отложения кальциевых солей в легочных структурах. Наиболее часто, подобный объект исчезаем сам собой на протяжении дальнейшего роста.
Тем не менее, рекомендуется наблюдать за самочувствием ребенка, а также регулярно выполнять его профилактические осмотры для того, чтобы следить за динамикой исчезновения отложений кальция.
Какие признаки могут указывать на развитие заболевания.
Наличие в организме кальцинатов может также сопровождаться и поражением прочих органов. Основываясь на данном факте, имеется возможность выделить симптоматические проявления, которые свойственны при поражении легочных структур, а также при поражении иных структур организма пациента.
Общими симптоматическими проявлениями наличия кальцинатов в организме, выступают следующие нарушения здоровья:
- общее ощущение слабости;
- повышение показателей общей температуры тела;
- отсутствие аппетита;
- снижение возможностей мускулатуры;
- сбои режима сна/бодрствования;
- боли головы, головокружения;
- повышенная степень раздражительности;
- образование одышки;
- затрудненность дыхательной функции;
- смена цвета покровов кожи – в особенности, если кальцинаты в корнях в легких.
Когда легочные кальцинаты дополняются образованиями в прочих органах, к примеру – печени, возникают такие симптоматические проявления:
- болезненность правого подреберья;
- рвота с кровяными включениями;
- варикоз передней стенки брюшины.
Когда кальцинаты возникли в почечных структурах, симптоматические проявления имеют следующий характер:
- отечность нижних конечностей;
- отечность лица;
- недомогание общего характера;
- желтоватый оттенок покровов кожи;
- снижение количества выводимой урины;
- отсутствие аппетита;
- сбой режима сна/бодрствования.
Кальцинаты могут присутствовать не только в легких.
Когда кальцинаты возникают в щитовидной железе, симптоматика проявляется такая:
- отсутствие аппетита;
- недомогание общего характера;
- ощущение холода на постоянной основе;
- увеличение железистого органа в размерах.
Кроме указанного, пациент может также ощущать, что его умственные способности понизились, что также указывает на отложение солей кальция в железистом органе.
Обнаружить кальцинаты в определенном органе возможно при использовании рентгенографии.
Снимок предоставляет возможность обнаружить не только отложения кальциевых солей, но также и прочие нарушения здоровья легких:
- новообразования;
- фиброзы;
- абсцессы;
- кисты;
- инородные тела;
- скопления воздушных масс и жидкости.
Терапия кальцинатов должна начинаться даже при обнаружении единственного кальциевого образования, не говоря уж об множественном их скоплении. Для полноценного восстановления кальцинированной ткани потребуется значительное количество сил и времени.
Чем опасны кальцинаты.
Первоочередным этапом терапии является профилактика возникновения онкологических патологий и туберкулеза. Вместе с этим обнаруживается причина, которая спровоцировала нарушение, и ликвидируется.
В период восстановления, после ликвидации провоцирующего кальцинирование легочных тканей фактора, выполняются меры, направленные на восстановление жизненных объемов легких и регенерацию их тканей.
Читать далее…
Источник: https://zen.yandex.ru/media/id/59bf9ecc9d5cb3ee0df4e084/5a1bf802dcaf8e9047f09e05
Орган, который чаще всего поражается вторичной онкологией – это легкие. Метастазы в легких занимают второе место среди вторичных онкологических заболеваний после печени. В 35% случаев первичный рак дает метастазы именно в легочные структуры.
Есть два пути распространения метастазов в легкие от первичного очага – гематогенный (через кровь) и лимфогенный (через лимфу). Такое местонахождение метастазов носит опасный для жизни характер, так как выявляются они в большинстве случаев на последних стадиях онкологии.
Очаги раковой опухоли содержат большое количество аномальных клеток. Соединяясь с кровью и лимфой, раковые клетки распространяются в соседние органы. Там они начинают активно делиться, образуя вторичный очаг онкологического заболевания – метастаз.
Метастазы в легкие могут распространяться практически от любого ракового заболевания.
Наиболее часто встречаются при таких первичных онкозаболеваниях, как:
- Меланома кожи;
- Опухоль молочной железы;
- Рак кишечника;
- Рак желудка;
- Рак печени;
- Рак почки;
- Опухоль мочевого пузыря.
Сокращенное название метастазов – MTC (MTS – от лат. «metastasis»).
Вторичные очаги могут встречаться как в левом, так и в правом легком. Легочные метастазы подразделяют по признакам на такие группы, как:
- Односторонние и двухсторонние;
- Крупные и мелкие;
- Солитарный (единичный) и множественные;
- Очаговые и инфильтративные;
- Узловые метастазы;
- В виде тканевых тяжей.
При появлении SUSP-подозрения на вторичную онкологию следует пройти обследование.
Метастазы в легкие(Динамика) рентген
На ранних стадиях метастазы в легких никак себя не проявляют, болезнь протекает бессимптомно. Распадаясь, клетки раковой опухоли выделяют токсичные вещества, отравляющие организм. Больной обращается за медицинской помощью чаще на последней, терминальной стадии рака.
Наличие вторичных очагов онкологии в легких сопровождается следующими симптомами:
- Частая одышка, появляющаяся не только во время физической нагрузки, но и в состоянии покоя;
- Регулярный сухой кашель, переходящий во влажный, который можно спутать с другим заболеванием;
- Мокрота с примесью крови;
- Боль в грудной клетке, которая не проходит даже с приемом обезболивающих средств. Уменьшить болевой синдром способны лишь наркотические препараты;
- Отек лица и верхних конечностей при локализации вторичного очага в правом легком, головные боли.
Метастазы в легком можно определить при помощи рентгенографии. Вторичные очаги онкологии на рентгеновских снимках представляются в узловой, смешанной и диффузной форме.
Узловые метастазы проявляются в единичной или множественной форме. Единичные, или солитарные образования, выглядят как округлые узелки, напоминающие первичный очаг онкологии. Чаще всего формируются они в базальной ткани.
Если вторичный генез носит псевдопневманическую форму, то на рентгене он отображается в виде тонких линейных образований.
При метастазировании в плевру на рентгеновских снимках видны крупные бугристые образования, в результате прогрессирования которых ухудшается состояние онкобольного и развивается легочная недостаточность.
Продолжительность жизни при метастазировании легких зависит от того, как быстро выявлен вторичный рак.
При выявлении у себя хотя бы одного из вышеперечисленных симптомов следует незамедлительно обратиться к врачу и пройти обследование. В медицинской практике бывали случаи обнаружения легочных метастазов задолго до момента выявления первичного очага опухоли.
Прогрессирование вторичной опухоли вызывает интоксикацию организма в целом. Чтобы выявить у себя наличие метастазов, следует знать, как проявляются симптомы заболевания. Первыми признаками прогрессирования вторичного рака в легких являются:
- Снижение аппетита и как следствие массы тела;
- Общее недомогание, быстрая утомляемость и снижение работоспособности;
- Повышение температуры тела, приобретающее хронический характер;
- Сухой кашель при метастазах становится постоянным.
Вышеперечисленные признаки могут указывать и на первичный рак легкого. Это довольно опасное заболевание чаще наблюдается у курильщиков. Метастазы при мелкоклеточном раке легкого распространяются стремительно, быстро растут и при несвоевременном их выявлении прогнозы для пациента будут печальными.
Первичный рак легкого лечат при помощи химиотерапии. Если провести процедуру своевременно, появляется шанс вылечить онкологию полностью. Но такая форма заболевания обычно выявляется на последних стадиях, когда вылечить ее уже невозможно.
Принимая сильные анальгетики, можно прожить от четырех месяцев до года.
Получите смету на лечение
* Только при условии получения данных о заболевании пациента, представитель клиники сможет рассчитать точную смету на лечение.
Встречаются такие формы первичного рака легкого, которые прогрессируют не так стремительно, как мелкоклеточный рак. Это плоскоклеточный, крупноклеточный рак и аденокарцинома. Эти формы рака лечатся оперативным путем. При своевременном проведении операции, прогноз на выздоровление будет хороший. Если пошли метастазы в другие органы, то пациента ожидает смертельный исход.
Для выявления наличия вторичного генеза в легком применяются следующие методы диагностирования:
- Рентгенография – исследует структуру тканей легких, выявляет затемнения, месторасположение метастаза и его размеры. Для этого делается два снимка – спереди и сбоку. На снимках множественные метастазы представляются в виде округлых узелков;
- Компьютерная томография – служит дополнением рентгенографии. На КТ видны области, где локализуются метастатические опухоли, каковы их размеры и форма. С помощью КТ выявляют секундарные изменения в легких;
- Магнитно-резонансная томография – назначается людям, ранее подвергавшимся облучению, а также детям. Такое исследование позволяет выявить вторичные новообразования, размеры которых едва достигают 0,3 мм.
Методы лечения вторичных очагов онкологии в легких
Чем лечить вторичный рак легкого?
В современной медицине для лечения метастазов в легких применяются следующие методы:
- Хирургическое вмешательство – производится удаление пораженного участка. Такой метод лечения эффективен лишь в случае, если имеется одиночное очаговое поражение, поэтому его применяют достаточно редко;
- Химиотерапия – служит дополнением к другим методам лечения. Продолжительность курса химиотерапии зависит от основного метода лечения и самочувствия больного. В медицинской практике химиотерапию применяют совместно с лучевой терапией. Для поднятия уровня лейкоцитов в крови после процедуры назначается дексаметазон;
- Лучевая терапия – позволяет замедлить активный рост раковых клеток и уменьшает боли. Облучение производится в стационарных условиях дистанционным способом;
- Гормональная терапия – применяется при наличии гормоночувствительного первичного очага в предстательной или молочной железах. Служит дополнением к основной терапии;
- Радиохирургия – процедура позволяет посредством кибер-ножа (пучка лучей) удалять труднодоступные опухоли.
Инвалидность при раке легкого оформляется в случае удаления одной доли.
Лечение вторичной онкологии в легком можно производить и народными методами. Самым распространенным народным средством является чистотел. Необходимо столовую ложку высушенной травы залить кипятком и настаивать в термосе около полутора часа. Затем настой процедить и принимать его дважды в день по две столовые ложки до еды.
В заключение можно сказать, что встречаются различные формы поражения легких онкологией. Это и первичный рак, и метастазы, перешедшие из других очагов. Болезнь может протекать бессимптомно, а это означает, что больной может обратиться за помощью тогда, когда лечение уже не даст нужного результата.
Прогноз на выживаемость зависит от стадии заболевания, вида, формы и местоположения опухолей.
Источник: pro-rak.com
Источник: https://naturalpeople.ru/obyzvestvlennyj-ochag-v-legkih-chto-jeto/
Очаговые образования в легких представляют собой уплотнения тканей, причиной которого могут выступать различные недуги. Причем для установки точного диагноза осмотра врача и рентгенографии оказывается недостаточно. Окончательный вывод можно сделать только на основе специфических методов обследования, подразумевающих сдачу анализа крови, мокроты, пункцию тканей.
Важно: мнение о том, что причиной множественного очагового поражения легких может выступать только туберкулез – является ошибочным.
Речь может идти о:
- злокачественных новообразованиях;
- пневмонии;
- нарушениях обмена жидкости в дыхательной системе.
Поэтому постановке диагноза должно предшествовать тщательное обследование пациента. Даже если врач уверен, что у человека очаговая пневмония, произвести анализ мокроты необходимо. Это позволит выявить патоген, что стал причиной развития недуга.
Сейчас некоторые пациенты отказываются от сдачи некоторых специфических анализов. Причиной этого может быть нежелание или отсутствие возможности посетить клинику из-за ее удаленности от места проживания, отсутствие средств. Если этого не сделать, то присутствует большая вероятность, что очаговая пневмония перейдет в хроническую форму.
Сейчас очаговые образования в легких делят на несколько категорий исходя из их количества:
- Одиночные.
- Единичные – до 6 штук.
- Множественные – синдром диссеминации.
Присутствует разница между международно принятым определением того, что такое очаги в легких, и тем, что принято в нашей стране. За рубежом под данным термином понимают наличие участков уплотнения в легких округлой формы и диаметром не более 3 см. Отечественная практика ограничивает размер 1 см, а остальные образования относит к инфильтратам, туберкуломам.
Важно: компьютерный осмотр, в частности томография, позволят с высокой точностью определить размер и форму поражения легочной ткани. Однако необходимо понимать, что и у этого метода обследования есть свой порог погрешности.
Фактически, очаговое образование в легком представляет собой дегенеративное изменение легочной ткани или скапливание в ней жидкости (мокроты, крови). Правильная характеристика одиночных очагов легких (ООЛ) – это одна из важнейших проблем современной медицины.
Важную роль здесь играет то, как характеризуются очаги в легких на КТ. С помощью этого вида обследования, основываясь на характерных симптомах, врач может выдвигать предположения о наличии таких серьезных заболеваний, как туберкулез или злокачественные новообразования.
Однако для уточнения диагноза необходимо сдать дополнительные анализы. Аппаратного обследования для выдачи медицинского заключения недостаточно. До сих пор повседневная клиническая практика не имеет единого алгоритма проведения дифференциальной диагностики для всех возможных ситуаций. Поэтому врач каждый случай рассматривает в отдельности.
Туберкулез или воспаление легких? Что может помешать, при современном уровне медицины, произвести точную диагностику аппаратным методом? Ответ прост – несовершенство оборудования.
На самом деле, при прохождении флюорографии или рентгенографии сложно выявить ООЛ, размер которого меньше 1 см. Интерпозиция анатомических структур может сделать практически невидимыми и более крупные очаги.
Поэтому большинство врачей советует пациентам отдать предпочтение компьютерной томографии, которая дает возможность рассмотреть ткани в разрезе и под любым углом.
Это полностью устраняет вероятность того, что поражение будет закрыто сердечной тенью, ребрами или корнями легких.
То есть рассмотреть всю картину в целом и без вероятности фатальной ошибки рентгенография и флюорография попросту не может.
Следует учитывать, что компьютерная томография позволяет выявить не только ООЛ, но и другие виды патологий, такие как эмфиземы, пневмонии. Однако и у этого метода обследования есть свои слабые места. Даже при прохождении компьютерной томографии могут быть пропущены очаговые образования.
Это имеет следующие объяснения низкой чувствительности аппарата:
- Патология находится в центральной зоне – 61%.
- Размер до 0,5 см – 72%.
- Маленькая плотность тканей – 65%.
Установлено, что при первичном скрининговом КТ вероятность пропустить патологическое изменение тканей, размер которого не превышает 5 мм, составляет около 50%.
Если же диаметр очага более 1 см, то чувствительность аппарата составляет более 95%. Для увеличения точности получаемых данных используют дополнительное программное обеспечение для получения 3D-изображения, объемного рендеринга и проекций максимальных интенсивностей.
В современной отечественной медицине присутствует градация очагов, исходя из их формы, размера, плотности, структуры и состояния окружающих тканей.
Точная постановка диагноза на основании КТ, МРТ, флюорографии или рентгенографии является возможной лишь в исключительных случаях.
Обычно в заключении дается лишь вероятность наличия того или иного недуга. При этом непосредственно самому местонахождению патологии не придается решающего значения.
Однако это является типичным и для туберкулезных инфильтратов. С нижней долей легкого присутствует примерно такая же картина.
Здесь выявляют рак, развившейся на фоне идиопатического фиброза и патологические изменения, причиной которых стал туберкулез.
Большое значение уделяется тому, какими являются контуры очагов.
В частности, нечеткий и неровный абрис, при диаметре поражения более 1 см, сигнализируют о высокой вероятности злокачественного процесса.
Однако если присутствуют четкие края, это еще не является достаточным основанием для прекращения диагностирования пациента. Такая картина часто присутствует при доброкачественных новообразованиях.
Особое внимание обращают на плотность тканей: исходя из этого параметра, врач имеет возможность отличить пневмонию от рубцевания легочной ткани, например, вызванной посттуберкулезными изменениями.
Следующий нюанс – КТ позволяет определить типы включений, то есть определить структуру ООЛ. Фактически после обследования специалист с высокой точностью может сказать, какое именно вещество скапливается в легких. Однако лишь жировые включения дают возможность определить происходящий патологический процесс, так как все остальные не относятся к категории специфических симптомов.
Очаговые изменения в легочной ткани могут быть спровоцированы как достаточно легко поддающимся лечению заболеванием – пневмонией, так и более серьезными недугами – злокачественными и доброкачественными новообразованиями, туберкулезом. Поэтому важно своевременно их выявить, в чем поможет аппаратный метод обследования – компьютерная томография.
Статья помогла вам?
Дайте нам об этом знать — поставьте оценку
Загрузка…
Источник: https://opnevmonii.ru/terapiya/ochagovye-obrazovaniya-v-legkix.html
КТ – один из современных и эффективных методов диагностики. Суть процедуры состоит в том, что с помощью рентгеновского излучения и компьютерной программы выполняется послойный снимок нужного органа. Внутри томографа зафиксирована рентгеновская трубка.
Во время сеанса часть аппарата вращается вокруг пациента и может сделать тысячу снимков в секунду. Компьютерная программа сводит их в одну картинку и создает объемное изображение. Полный цикл обследования органов грудной клетки производится за 5-10 минут.
Компьютерную томографию назначают для исследования любых органов и систем организма. Томограмма ОГК (органов грудной клетки) — наиболее информативна, ведь по ее результатам пульмонолог видит бронхи, сосуды в легких, форму альвеол, трахею и размер лимфоузлов. Рассмотрим, как расшифровывается снимок, что означают очаги на легких, разберемся в их разновидностях.
Если врач по результатам осмотра, жалобам пациента или иным признакам заподозрит какое-либо легочное заболевание, есть вероятность, что будет назначена КТ органов грудной клетки. Рассмотрим основные показания к этому исследованию:
- врач подозревает наличие образования в легких либо в области средостения, плевры;
- если рентген показал затемнение неясного характера в отдельных участках легких;
- при пневмонии, туберкулезе легких;
- выявление опухоли в легких на начальной стадии, если у пациента обнаружены злокачественные клетки в мокроте;
- после операции по удалению раковой опухоли для выявления рецидивирующего процесса.
Есть масса иных показаний к проведению КТ органов грудной клетки. Это весьма эффективное исследование, его часто назначают после рентгенографии, если снимок малоинформативен.
Компьютерная томография ОГК позволяет диагностировать многие заболевания. По ее результатам специалист сможет:
- поставить уточненный диагноз;
- определить локализацию процесса, его стадию;
- назначить эффективное лечение;
- контролировать динамику терапии, назначив повторную томографию;
- оценить состояние легких, плотности тканей, внешний вид альвеол, измерить дыхательный объем;
- рассмотреть большинство легочных сосудов, легочную артерию, верхнюю полую вену, трахею, бронхи, лимфатические узлы.
Характерно, что патологические образования могут никак не проявляться. Многие пациенты не предъявляют жалоб — у них отсутствует кашель, слабость, боль в грудине.
Одиночный очаг определяется как уплотнение легочной ткани, диаметр которого — 1-10 мм. Чаще изменения тканей легких визуализируются при таких состояниях:
- пневмония;
- первичный или хронический очаговый туберкулез;
- эмболия легочных сосудов;
- опухолевые заболевания, их последствия (метастазы, лимфогранулематоз, ретикулез);
- отечные явления как результат аллергии;
- повреждения грудной клетки, кровотечения.
Субплевральные очаги – это ограниченные участки измененных тканей, расположенные под плеврой, которая представляет собой оболочку легкого. Как правило, данный вид образований незаметен на плановой флюорографии или рентгенограмме, зато он обнаруживается на КТ.
Причины появления субплевральных очагов:
- туберкулез;
- злокачественные образования;
- очаговый фиброз.
Очаги, которые обнаруживаются в легких, классифицируют по различным признакам. В первую очередь, по размеру:
- малые – до 2 мм;
- средние – до 0.5 см;
- большие – до 1 см.
Если размер очага превышает 1 см, его относят к другому типу образований – инфильтрату. Также очаги систематизируют по плотности (плотные, неплотные, средней степени плотности). Отметим, что МСКТ поможет обнаружить как мелкие очаги, так и неплотные, что может быть недоступно при рентгенографии.
Структура очага может быть разной – однородной, смешанной с бугорками, с жировыми или воздушными включениями. Перечисленные признаки — неспецифические и не свидетельствуют о каком-либо конкретном заболевании. Исключение составляют скопления жировых клеток в очаге, что говорит о таком явлении, как гамартома. Это врожденное доброкачественное образование, возникающее на легочной ткани.
Следующий тип классификации очагов — их численность:
- Единичные участки уплотнений (визуализируются от 2 до 6) могут быть признаком злокачественной опухоли или представлять собой типичные возрастные изменения в легких (как правило, фиброзного характера).
- Множественные очаги чаще всего оказываются симптомами пневмонии или туберкулеза. Однако в редких случаях очаги в количестве более шести могут означать развитие онкологии.
Чтобы человек несведущий смог разобраться в результатах КТ, следует знать о нюансах чтения снимков. Рассмотрим самые актуальные:
- Очаговые образования представляют собой участки белого цвета на черном фоне (на снимке-негативе). В реальности пораженная область, скорее всего, имеет более темный цвет, чем здоровые ткани легкого.
- Если врач заметит на снимке участки кальцинирования или обызвествления (капсул, пропитанных солями кальция) вокруг очага, это может быть признаком доброкачественности образования. Кальцинаты по цвету похожи на кости скелета, видимые на этом снимке. Такие явления часто обнаруживаются после затяжных простудных заболеваний, бронхитов или уже излечененного туберкулеза и представляют собой некий шрам на легких. Пациента с образованием, на котором заметны признаки кальцината, пульмонологи обычно просят раз в полгода делать контрольные снимки.
- В случае, когда образование представляет собой так называемое «облачко» или очаг по типу «матового стекла», требуется более предметное обследование. Внешне оно выглядит как затуманенная область с размытыми границами. В ряде стран пациентам с такими образованиями сразу рекомендуется операция, даже если оно не растет. Уже доказано, что в 80% случаев такие очаги являются предраковым состоянием легких. Альтернатива немедленной операции — постоянное наблюдение с контрольными снимками раз в полгода-год.
В заключение отметим, что не стоит паниковать, если на снимке обнаружены изменения в легких в виде очагов. Чаще эти явления оказываются фиброзными образованиями, не требующими лечения. Однако стоит непременно пройти полное обследование и проконсультироваться с пульмонологом, чтобы исключить более серьезные болезни.
Источник: https://vedmed-expert.ru/kt/grudnaya-chast/ochagi-v-legkih-na-kt.html
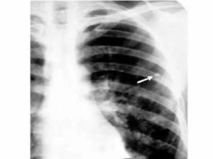
В повседневной жизни человек неоднократно сталкивается с возбудителем туберкулеза легких, даже не замечая этого. Подтверждением этому являются «случайные» находки при прохождении ежегодной плановой флюорографии, которые представляют собой очаги Гона. Как они формируются и несут ли опасность для организма, рассмотрим в этой статье.
Очаг Гона в легких является результатом первичного инфицирования человека микобактерией туберкулеза. Длительность его формирования в среднем составляет до 3 лет. Очаг Гона представляет собой овальное образование, иногда с неровными лучистыми контурами. Структура его представлена соединительной тканью, коллагеновыми волокнами, отложениями кальция. Размеры могут достигать 2 см.
Микобактерия туберкулеза (МБТ), проникая в ткани легкого, вызывает местное воспаление его ткани. Вследствие повреждающего воздействия микроорганизма на эпителий дыхательных путей пораженные участки увеличивается в размерах. Результатом таких процессов является омертвение тканей – казеозный некроз. При присоединении к нему вторичной инфекции развивается пневмония.
Следствием такого агрессивного действия МБТ на ткани легкого является активизация иммунной системы и ответная реакция организма. Она выражается отграничением повреждения от окружающих структур определенными клетками, которые борются с воспалением – лимфоцитами. В дальнейшем из этих участков формируются специфические гранулемы, в центре которых находится участок казеозного некроза.
Если на данном этапе болезнь не выявлена, то туберкулезные бугорки сливаются между собой, поражаются лимфатические узлы корня легкого. Воспаление может переходить на близлежащую плевру.
Так формируется первичный туберкулезный комплекс, который включает в себя:
- участок казеозного некроза,
- зону активного воспаления вокруг него (перифокальное воспаление),
- увеличение внутригрудных лимфатических узлов.
Дальнейшее развитие комплекса может идти по 3 путям:
- переход в активную форму туберкулеза,
- полное рассасывание,
- обызвествление с формированием очага Гона.
Заживление специфических гранулем связано с их рассасыванием и процессами разрастания клеток из различных тканей. Выражается это в нескольких процессах:
- рубцевание,
- уплотнение очага за счет прорастания коллагеновыми волокнами,
- формирование оболочки – инкапсулирование,
- отложение кальция и обызвествление.
Наиболее частый путь формирования очага Гона в легком – фиброзная трансформация. Сущность этого механизма заключается в прорастании гранулемы соединительной тканью и последующее образование рубца. Перифокальное воспаление постепенно проходит.
Трансформация идет от краев капсулы к центру, фрагментируя туберкулезные бугорки. В таких случаях обнаруживаются промежуточные формы МБТ, что играет важную роль при рецидивировании инфекции. После полной кальцинации очагов возбудитель не выделяется.
Процесс заживления первичного туберкулезного комплекса с формированием очага Гона отличается большой продолжительностью. Как правило, на него не влияют своевременная диагностика и адекватная химиотерапия.
Очаг Гона в легких редко проявляет себя клинически. Во время его формирования у человека могут отмечаться:
- небольшая слабость,
- незначительное повышение температуры тела на короткие промежутки времени,
- периодический сухой кашель.
Более выраженные симптомы наблюдаются у детей. Обусловлено это несовершенством иммунного ответа, что проявляется в появлении первичных туберкулезных комплексов и их одновременном переходе в активный процесс и очаг Гона. Поэтому наиболее часто такие образования своевременно диагностируются у маленьких пациентов.
Очаг Гона невозможно выявить при общем осмотре и лабораторных исследованиях. Единственные методы, позволяющие его диагностировать, – это рентгенологические.
К ним относятся:
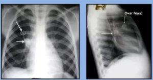
- обзорная рентгенография органов грудной клетки в двух проекциях: прямой и боковой,
- компьютерная томография (КТ),
- магнитно-резонансная томография (МРТ).
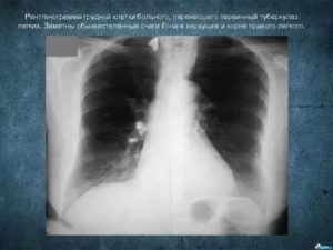
При рентгенологических исследованиях очаг Гона представляет собой затемнение овальной (реже округлой) формы с резкими очертаниями, размерами до 5 мм. Образования могут быть единичными и множественными. Излюбленная их локализация – нижние и средние отделы легких. Иногда контуры очага могут быть неровные. Легочный рисунок неизменен, корень не расширен.
На разных этапах петрификации (обызвествления) очага Гона изменяется, структура его может быть:
- гомогенной (однородной),
- негомогенной: имеет зернистое или дольчатое строение, неровные границы.
Выявление очага Гона на рентгенологических снимках не представляет трудностей. Однако ввиду отсутствия клинических проявлений, часто обнаруживается случайным образом.
При проведении КТ или МРТ можно получить более информативную картину.
В результате таких исследований могут выявляться остаточные явления перифокального воспаления, казеозные массы, изменения в лимфатических узлах. Назначают такие обследования при подозрении на рецидив туберкулеза в случае окончательно не сформированного очага Гона.
Осложнения после выявления данной патологии случаются очень редко. При большом количестве очагов Гона, больших их размерах (например, после диссеминированного туберкулеза) возможно развитие:
- фиброза и цирроза легкого,
- рецидива туберкулезной инфекции,
- смещения органов средостения.
Такие состояния ведут к нарушению нормального функционирования легких, что сопровождается развитием дыхательной недостаточности.
https://youtube.com/watch?v=vVPOU9vcNqY
Никакой специфической терапии выявленная патология не требует. Врач может дать общие рекомендации:
- отказ от курения,
- при вредных производственных факторах, влияющих на состояние легких, , переход на другую работу,
- прогулки на свежем воздухе,
- дыхательная гимнастика,
- плавание в бассейне.
Людям с выявленным в легких очагом Гона показаны ежегодные рентгенологические обследования для оценки динамики процесса. Желательно проходить такие обследования в одном и том же месте у одного врача. Очаг Гона не является приговором и не является признаком развивающегося туберкулеза. Он лишь свидетельствует о побежденной организмом инфекции.
Загрузка…
Источник: https://prof-medstail.ru/bolezni-legkih/simptomy-i-lechenie/chto-znachit-esli-vyyavlen-ochag-gona-v-legkih
Поделиться:









