Метатуберкулезные изменения в легких в большинстве случаев возникают после перенесенного заболевания легких. Чаще всего это последствия туберкулеза, хотя есть случаи подобных последствий после других легочных болезней.
Изменения в легких, как правило, обнаруживаются врачом-рентгенологом в ходе плановой диспансеризации. О метатуберкулезных (meta – после перенесенного) изменениях говорят, как о рентгенологическом термине, хотя на самом деле изменения могут быть опасными для жизни.
Отметим, что рассматриваемые изменения не являются онкологическими. Однако при обнаружении сомнительных изменений стоит провериться.
Туберкулез – это инфекционное заболевание, вызванное кислотоустойчивой бактерией, называемой палочкой Коха. Туберкулез может поражать все органы и ткани, но чаще всего он локализуется в легких. Данное заболевание не проходит бесследно. Всегда остаются изменения, которые называют метатуберкулезными очагами.
Метатуберкулезом называют очаги разрастания соединительной ткани или отложения кальция в том месте, где предположительно до этого был туберкулез. Увидеть их можно с помощью обзорной рентгенограммы.
Справочно. Само понятие «метатуберкулез» означает, что увиденная картина является остаточным признаком перенесенного туберкулеза. На самом деле соединительная ткань может появиться вследствие любого воспаления, закончившегося некрозом. Этиологию этого воспаления определить сложно, потому не всякое разрастание соединительной ткани можно назвать метатуберкулезом.
В классическом понимании метатуберкулез – это любое изменение, которое осталось после перенесенного туберкулеза в его активной или латентной форме. Остальные случае разрастания соединительной ткани в легких следует называть пневмосклерозом или пневмофиброзом.
Легкие – “любимый орган” палочек Коха. Микобактерии туберкулеза являются аэробами, потому чаще обнаруживаются в хорошо вентилируемых областях – верхних долях легких. Здесь же чаще всего локализуются меатуберкулезные очаги.
Любое остаточное явление, которое возникает вследствие деятельности палочки Коха, можно назвать метатуберкулезом. Например, очаг Гона – это метатуберкулезное изменение, возникшее после первичного туберкулеза. Локализуется он, чаще всего, в верхних долях легких. Любой очаг, локализующийся в этом месте должен вызвать подозрение на туберкулез или его остаточные явления.
Отличить метатуберкулезные изменения в легких от других видов пневмосклероза можно с помощью нескольких признаков:
- Точно известно, что ранее в этом месте был туберкулез;
- Локализация в верхних долях легких;
- Ретроспективно выявлены симптомы, указывающие на перенесенный в прошлом туберкулез (кашель, повышение температуры, кровохарканье);
- Иные возможные причины возникновения соединительной ткани не выявлены.
Как и любое патологическое изменение легочной ткани, метатуберкулез может быть локальным и диффузным. В первом случае видны один или несколько очагов, небольших по размерам, четко отграниченных от здоровой легочной ткани. Такие изменения возникают вследствие очагового или инфильтративного туберкулеза.
Диффузные изменения характеризуются обширным разрастанием соединительной ткани, из-за которых сложно различить тень здорового легкого. При этом легкое уменьшается в размерах, а дыхание затрудняется.
В зависимости от того, что находится в патологическом очаге, выделяют два его вида:
- цирротический меатуберкулез,
- кальцинаты.
Цирроз – это разрастание соединительной ткани в исходе воспалительного процесса. При таком метатуберкулезе в участках, где раньше был казеозный некроз, возникает соединительная ткань.
Вскоре она заполняет все участки, где было разрушено легкое. Это может быть один или несколько очагов, а также целая доля или даже всё легкое. Чем больше выражен цирроз, тем больше симптомов метатуберкулеза.
Справочно. Как правило, после туберкулеза всегда остаются очаги цирроза различной степени выраженности.
При этом патологическом состоянии в месте, где раньше было воспаление, начинают откладываться соли кальция.
Этот микроэлемент постоянно находится в крови и клетках всех органов, он необходим для нормального их функционирования.
Справочно.
В месте воспаления часто повышается количество кальция, а после стихания воспалительного процесса образуются соли этого элемента. Они откладываются в виде кристаллов.
Часто такие очаги видны на фоне разросшейся соединительной ткани, но иногда обнаруживаются и без неё. На рентгене кальцинаты выглядят как белые участки, похожие по плотности на кости.
Кроме того, любой вид метатуберкулеза может быть стабильным или прогрессирующим. В первом случае образующиеся очаги не склонны к росту, они не увеличиваются в количестве и размерах. Во втором случае патологический процесс склонен прогрессировать, затрагивая всё большие участки здоровой ткани.
Проявления данного патологического состояния зависят от того, какой объем легочной ткани поражен. При существовании одного небольшого очага соединительной ткани или мелких кальцинатов, симптомы могут отсутствовать.
При обширных поражениях у пациента появляется дыхательная недостаточность и другие осложнения, которые проявляется следующим образом:
- Одышка, возникающая на вдохе или выдохе;
- Сухой кашель;
- Бледная кожа, синюшный носогубный треугольник и кончики пальцев;
- Пальцы в виде барабанных палочек (с утолщением ногтевых фаланг);
- Быстрая утомляемость, постоянное чувство усталости;
- Асимметрия грудной клетки, уменьшение одной из её половин.
- Боль в грудной клетке (при поражении плевры).
Справочно. Данные симптомы развиваются постепенно. Кашель и одышка могут появиться сразу, как только соединительная ткань начнет сдавливать бронхиальное дерево.
Асимметрия грудной клетки возникает в случае развития обширного ателектаза (спадения легкого или его части). Изменение окраски кожных покровов возникает в том случае, если значительно уменьшатся поверхность газообмена в легких.
Это же служит причиной деформации пальцев рук, но для развития «барабанных палочек» должно пройти несколько лет. Боль говорит только о том, что патологические изменения затронули плевру, в самих легких болевых рецепторов нет.
В период разгара туберкулеза микобактерии разрушают ткань легкого или другие структуры организма. Такие очаги называют казеозным некрозом. Погибшая легочная ткань не может регенерировать, но место, где она располагалась не остается пустым. Здесь образуется соединительная ткань или кальцинаты, такое изменение называют метатуберкулезом.
Важно. Чем больше был первоначальный очаг, тем больше останется соединительной ткани, но она не будет полностью соответствовать форме и объему туберкулезного очага. Соединительная ткань стягивает легкое, сдавливает бронхи, перекрывает их просвет. Кроме того, она не способна к газообмену и в ней гораздо меньше сосудов.
Всё это приводит к дыхательной недостаточности и повышению нагрузки на сердце. Такие патологические процессы наблюдаются только у пациентов с обширными формами туберкулеза. Если очаги маленькие, они обнаруживаются случайно во время очередного медицинского осмотра.
Между соединительной тканью иногда откладываются соли кальция, что хорошо видно на рентгенографии легких. При диссеминированной и милиарной формах туберкулеза кальцинаты могут находиться в месте мелких очагов и без соединительной ткани. Сами по себе соли кальция не становятся причиной каких-либо осложнений.
Метатуберкулез может развиться только у тех, кто перенес туберкулез, потому группы риска для этих заболеваний одинаковые. Прежде всего, это люди со сниженным иммунитетом и лица, которые часто сталкиваются с агрессивными штаммами палочки Коха.
Данные факторы ослабляют организм, способствуют развитию обширных изменений в легких, которые значительно влияют на состояние здоровья даже после стихания активного процесса.
К группам риска развития метатуберкулезных изменений в легких относятся:
- Пациенты с приобретенным или врожденным иммунодефицитом;
- Заключенные тюрем;
- Врачи-фтизиатры;
- Работники судебно-медицинских лабораторий;
- Часто и длительно болеющие дети и взрослые;
- Пациенты с сахарным диабетом;
- Лица, злоупотребляющие алкоголем;
- Люди с нарушением пищевого поведения (анорексия, булимия).
Внимание. Стоит помнить, что туберкулез, как и его последствия, может развиться у любого человека, независимо от социального статуса и рода деятельности.
Метатуберкулезные изменения в легких, как и любые другие остаточные явления, вылечить невозможно. Не существует препаратов, которые могли бы превратить соединительную ткань или соли кальция в нормальное легкое.
Важно. Лечению подлежат только те очаги, которые содержат не только соединительную ткань, но и активные палочки Коха.
При этом пациент может откашливать микобактерии, заражаясь повторно сам и инфицируя окружающих. В данном случае показано хирургическое иссечение всех метатуберкулезных очагов.
Осложненный метатуберкулез лечат симптоматически. Для этого назначают препараты, способствующие улучшению кровоснабжения легких, облегчающие работу сердца, а также отхаркивающие, противокашлевые и обезболивающие лекарственные средства.
Справочно. Основная же терапия должна быть направлена на предупреждение усугубления возникшего состояния, что возможно только при изменении образа жизни.
Для того, чтобы предупредить развитие этих состояний, необходимо придерживаться рекомендаций по изменению образа жизни. Чаще всего пациенту дают следующие советы:
- Отказ от курения и алкоголя;
- Ежедневные прогулки на свежем воздухе;
- Соблюдение режима труда и отдыха, сна и бодрствования;
- Ежедневное выполнение гимнастических упражнений;
- Освоение специального дыхания йогов;
- Рациональное питание, повышение употребления белков и витаминов;
- Лечение сопутствующей патологии;
- Прохождение курсов санаторно-курортного лечения.
Важно. Прогноз данной патологии можно назвать сомнительным. Метатуберкулезные изменения в легких пациента останутся в любом случае, обратное их развитие невозможно.
Однако можно предупредить возникновение осложнений или остановить процесс их развития. В этом случае метатуберкулез может очень долгое время существовать в легких пациента бессимптомно.
При наиболее благоприятном варианте, небольшие очаги метатуберкулеза никак не повлияют на жизнь пациента. При наиболее неблагоприятном – возможен летальный исход вследствие дыхательной или сердечной недостаточности.
Источник: https://mypulmonolog.ru/metatuberkuleznye-izmeneniya/
Фазы процесса:
I — фаза инфильтрации, распада, обсеменения; характерна для активного, прогрессирующего процесса.
II — фаза рассасывания и уплотнения; свойственна для затихающего туберкулезного процесса.
III — фаза рубцевания и обызвествления — наступившее заживление.
Бацилловыделение обозначается символами БК + , БК-. Для констатации факта бацилловыделения (БК +) необходимо обнаружить микобактерии туберкулеза и источник бацилловыделения.
Осложнения, связанные с туберкулезным процессом либо с метатуберкулезными изменениями, являются обязательной составной частью диагноза.
Остаточные изменения
Заключительный этап формулировки диагноза — характеристика остаточных изменений излеченного туберкулеза, которые могут быть в виде: фиброзных, фиброзно-очаговых, буллезных изменений, кальцинатов в легких и лимфатических узлах, плевропневмосклероза, цирроза, бронхоэктазов, состояние после хирургического вмешательства. В качестве примера можно привести следующий диагноз: инфильтративный туберкулез Си правого легкого в фазе распада, БК+.
«Туберкулёз у детей и подростков», Е.Н. Янченко
Под влиянием курса туберкулостатической терапии, несмотря на длительность течения, удается добиться клинического излечения.
Морфологические и клинические проявления хронически текущего первичного туберкулеза известны и широко освещены в литературе [Рабухин А. Е., 1976].
Хронически текущий первичный туберкулез в своей основе, как правило, имеет специфическое поражение внутригрудных лимфатических узлов, возникающее в детском, чаще в подростковом возрасте. Предпосылкой для…
Осложнения локальных форм первичного туберкулеза (Эндоскопическая картина)
Эндоскопическая картина в таких случаях напоминает эндобронхиальную растущую опухоль бронха. Исходом туберкулеза бронха является развитие рубцовых изменений бронхиальной стенки. Степень рубцовых изменений вариабельна.
Вариантами бронхоскопической картины являются малозаметные белесоватые участки слизистой оболочки линейной или неправильной формы без деформации бронхиальной стенки и стенозирования просвета бронха; белесоватые воронкообразные втянутые участки, нерезко деформирующие стенку бронха без стенозирования просвета;…
Хронический диссеминированный туберкулез (Клинические проявления)
Однако чаще болезнь подкрадывается постепенно, субъективные жалобы не характерны и весьма различны. Обилие жалоб обусловлено различными нарушениями со стороны вегетативно-эндокринной системы.
Дети жалуются на усталость, головные боли, сердцебиение, боли в груди, отсутствие аппетита и сна, кашель, большей частью…
Клиника и симптоматика плеврита в значительной степени определяются его локализацией. Выпот может быть свободным или осумкованным.
Топографически выделяют верхушечный плеврит, костальный, междолевой, медиастинальный, диафрагмальный, панплеврит. В зависимости от вида экссудата различают серозно-фибринозные, геморрагические и гнойные плевриты.
Патологические изменения плевры такие же, как и при сухом плеврите, но выражены в большей степени. При первичных формах туберкулеза…
Туберкулез внутригрудных лимфатических узлов (Дифференциальная диагностика)
Дифференциальная диагностика Туберкулез внутригрудных лимфатических узлов необходимо дифференцировать от патологических изменений в области средостения и корня легких нетуберкулезной этиологии.
Описано более 30 выявляемых при рентгенологическом исследовании заболеваний этой области. При проведении дифференциальной диагностики следует учитывать рентгеноанатомическое строение средостения.
Источник:
Метатуберкулезные изменения в легких формируются после перенесенного туберкулезного процесса. Они не заразны и не опасны для окружающих людей. Но больным с такой патологией следует быть осторожными – в любой момент болезнь может снова дать о себе знать. Поэтому нужно регулярно проходить обследования и соблюдать все рекомендации врача.
По сути, метатуберкулезные изменения не являются болезнью. Это рентгенологический термин, а не терапевтический.
И чаще всего эта проблема никак не проявляет себя клинически, а определяется только при проведении рентгена или флюорографии. Лечения обычно не требует. Но наблюдение врача-фтизиатра – необходимо.
Метатуберкулезные изменения выявляются при обследовании
Этот термин объединяет несколько патологий в бронхолегочной системе, плевре и средостении, обусловленных туберкулезной инфекцией и сопровождающихся избыточным разрастанием соединительной ткани, ее фиброзированием, деструктивными изменениями и т.п..
К ним относятся:
- кальцинаты в легких;
- пневмосклероз;
- рубцовые стенозы бронхов;
- бронхоэктазы в легких;
- цирроз легких;
- фиброателектазы и др.
Чаще всего встречаются первые две патологии, и именно их обычно подразумевают, говоря о метатуберкулезных изменениях в легких.
Метатуберкулезный пневмосклероз характеризуется разрастанием соединительной ткани в легких. Он может носить ограниченный (локальный) или диффузный характер. В первом случае патология выявляется только на ограниченном участке. Во втором – процесс распространяется на все легкое.
Также пневмосклероз может быть прогрессивным или непрогрессивным. Первый тип характеризуется постоянным развитием симптомов и ухудшением клинической ситуации. При втором типе патологический процесс как бы замирает на определенном уровне и не прогрессирует дальше.
Проявляется это заболевание симптомами со стороны органов дыхания, интенсивность которых зависит от вида заболевания и его стадии.
Такие больные жалуются на:
- одышку;
- кашель со скудной мокротой;
- выраженную слабость;
- боли в груди.
Объективно у пациентов отмечается бледность или синюшность кожных покровов и снижение веса.
В случае затормозившегося процесса таким больным требуется только наблюдение. Если же пневмосклероз прогрессирует, прогноз не самый благоприятный.
Со временем появляются и нарастают симптомы дыхательной недостаточности, которые требуют срочных медикаментозных мер. Подобные изменения носят необратимый характер, поэтому нужно тщательно соблюдать рекомендации врача, чтобы максимально замедлить дальнейшее развитие патологии.
Чаще всего кальцинатами называют скопление в легких солей с содержанием кальция. Нередко они формируются еще в детстве, когда в организм попадают микобактерии, но иммунитет с ними благополучно справляется, формируя на месте присутствия инфекции гранулемы.
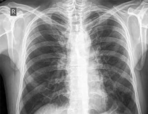
В последствии они трансформируются в отложения солей кальция, которые никак себя не проявляют и диагностируются случайно при прохождении флюорографии или рентгенологического исследования. Как выглядят кальцинаты на рентгеновском снимке показано на фото ниже.
Кальцинаты в легких на рентгене
Сами по себе эти образования не опасны и никак не нарушают функции легких. Однако кальцинаты способствуют снижению местных защитных сил и общей резистентности, поэтому люди с такой патологией более подвержены бронхо-легочным инфекциям. Им рекомендуется регулярно проходить профилактические осмотры и дважды в год делать флюорографию.
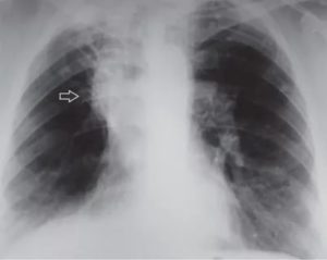
Рубцовые стенозы в бронхах формируются как осложнение активных форм туберкулеза с поражением внутригрудных лимфатических узлов. Эта патология приводит к функциональным и морфологическим нарушениям в легких с образованием бронхоэктазов.
Довольно часто при этом заболевании происходит присоединение вторичной инфекции и развитие гнойного процесса в легких.
Рубцовые стенозы в бронхах при осмотре эндоскопом
В лечении рубцовых бронхиальных стенозов посттуберкулезного характера методом выбора является хирургическое вмешательство.
Метастатические бронхоэктазы в легких представляют собой патологические расширения бронхов (обычно цилиндрической или мешковидной формы), спровоцированные деструктивным поражением бронхиальных стенок и окружающих тканей.
Бронхоэктазы после туберкулеза
Такие изменения обусловлены не только деформацией бронхов, но и повышенным внутрибронхиальным давлением из-за рубцового стеноза или сдавления дыхательных путей увеличенными лимфоузлами.
Бронхоэктазы увеличивают риск развития гнойного процесса и возникновения легочных кровотечений, поэтому требуют наблюдения и лечения, если процесс прогрессирует или приводит к выраженной дыхательной недостаточности.
Формирование бронхоэктаза
Метатуберкулезные фиброателектазы чаще всего появляются в легких как последствие рубцового стеноза бронхов. В результате этой патологии пораженные участки легких начинаются спадаться и слипаться, выключаясь из дыхательного процесса.
У пациентов появляются и нарастрают симптомы дыхательной недостаточности (одышка, боль в груди, снижение артериального давления, бледность и синюшность кожи). Их интенсивность зависит от количества выключенных из дыхания сегментов легких.
В рамках закупорки основного бронха спадается вся легочная область, при менее значительных проблемах с бронхиальной проходимостью формируется ателектаз одной из долей или сегментарной части легкого.
Таблица 1. Виды ателектаза:
| Виды ателектаза в легких | |
| По распространенности | По происхождению |
|
|
Этот процесс обратимый. Но для того, чтобы справиться с ателектазом, необходимо сначала восстановить деятельность легких и бронхов. Для этого обычно требуется операция.
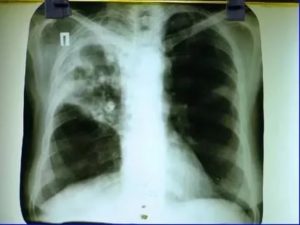
Метатуберкулезный цирроз одного или обоих легких проявляется их уменьшением в размерах, неоднородностью их структуры и расширением бронхов с формированием бронхоэктаз. Также выявляются специфические признаки цирроза в виде кальцинированных очагов в зоне поражения или обызвествления лимфатических узлов.
Чаще всего это заболевание, как и другие метатуберкулезные изменения, выявляется лишь при рентгенологическом исследовании и никак не беспокоит больного.
Метатуберкулезный цирроз легких на рентгене
Большинство метатуберкулезных патологий не требуют лечения. Но инструкция при таких заболеваниях рекомендует всем пациентам проходить регулярное обследование и осуществлять с помощью врача тщательное наблюдение за сформировавшимися нарушениями и их дальнейшим прогрессом.
Также желательно придерживаться правильного образа жизни:
- отказаться от всех вредных привычек, особенно, курения;
- солюдать диету с полноценным рационом, богатым белками, витаминами и микроэлементами;
- закаляться;
- заниматься спортом;
- много гулять на свежем воздухе;
- выделять достаточное количество времени на отдых и сон.
Здоровый образ жизни поможет предотвратить осложнения после туберкулеза
Дополнительно нужно проходить санаторно-курортное лечение и заниматься дыхательной гимнастикой. Наиболее полезные упражнения подскажет лечащий врач. А самые распространенные из них можно увидеть, посмотрев видео в этой статье.
Метатуберкулезные изменения в легочной ткани развиваются в результате перенесенного туберкулезного процесса. В некоторых случаях они носят необратимый характер и требуют экстренного вмешательства врачей, но чаще не представляют особой опасности для человека.
Во избежание повторной активизации туберкулеза таким пациентам рекомендуется регулярное наблюдение и профилактические осмотры врача фтизиатра. Так удастся избежать осложнений и неблагоприятного исхода при этих патологиях.
Источник:
Пневмофиброз чаще возникает у мужчин, медики классифицируют болезнь на 2 группы:
- локальный. Основная характеристика этой формы — поражение конкретного участка легких. Если очаг будет небольшим, фиброз практически не скажется на функционировании дыхательной системы;
- диффузный. Патологический процесс затрагивает практически все легкое, вследствие чего происходит снижение газообмена. В большинстве случаев приводит к тому, что размер самого легкого уменьшается.
Метатуберкулезные изменения в легких могут быть вызваны не только туберкулезом, но и другими заболеваниями: микоз, лучевая болезнь, запущенная форма воспаления легких, сифилис. Патологические изменения в легких нередко происходят и после получения серьезных травм, повлекших за собой механическое повреждение легкого.
Источник: https://legkieplus.ru/zabolevaniya/ponyatie-metatuberkuleznyh-izmenenij.html
Терапия туберкулеза сделала возможным успешное очищение организма от микобактерий. Последствия болезни выходят за рамки бактериологических исследований. Структурные и функциональные посттуберкулезные изменения легких могут создавать существенную угрозу для здоровья пациентов.
Туберкулез ассоциируется с различными долгосрочными легочными осложнениями:
- фиброзные изменения (рубцы);
- бронхоэктатическая болезнь;
- хронический легочный аспергиллез;
- стеноз дыхательных путей;
- хроническая обструктивная болезнь легких (ХОБЛ).
Даже после успешной терапии почти у 80% пациентов сохраняются респираторные симптомы, а в 90% уменьшаются показатели функции легких. Обструкции наблюдаются практически в 10% случаев полного излечения.
Основными причинами развития посттуберкулезных изменений становятся:
- Позднее начало противотуберкулезной терапии провоцирует фиброз, инкапсуляцию, которая не подвергается рассасыванию.
- Длительность и распространенность инфекционного процесса влияет на появление рубцов и множественных очагов.
- Инфильтративно-пневмотическая форма туберкулеза оставляет очаги уплотнения и фиброзные изменения.
- Лекарственная устойчивость предопределяет скорость очищения легких и заживление свежих очагов.
- Туберкуломы легких (очаг казеозы в капсуле диаметром более 1 см) приводят к стабильным изменениям органа. Казеозы – это полости с распадом тканей.
- Кавернозная форма туберкулеза характеризуется слабым рассасыванием, образованием участков склероза.
Интенсивная терапия подавляет размножение инфекции, а противорецидивные курсы помогают уменьшить остаточные изменения.
Гранулематозное воспаление, вызванное активностью макрофагов, провоцирует посттуберкулезные изменения в легких:
- К малым проявлениям относится фиброз, рубцы, отложения солей кальция (петрификаты) до 1 см, четко ограниченные очаги, наслоения плевры.
- К большим — относят пневмосклероз, очаги кальцификации более 1 см, множественные очаги, плотные белковые массы, цирроз и сращения плевры.
Что это такое? Остаточные проявления воспалительных очагов в легких, плевре, средостении.
https://youtube.com/watch?v=P8fwFlgmwOE
Паренхиматозные поражения включают:
- Туберкулемы – это круглые или овальные гранулемы в капсулах соединительной ткани, которые обнаруживаются у 5% пациентов.
- Рубцевание и разрушение легкого – примерно у 40% пациентов со вторичным туберкулезом развивается фиброз и ателектаз (спадание легкого). Средостение на рентгенограмме смещается в сторону рубцов.
К поражению дыхательных путей относится:
- Бронхоэктатическая болезнь у 70-80% пациентов вызвана фиброзированием бронхиальной стенки. Развивается вторично на фоне компенсаторного расширения бронхов.
- Трахеобронхиальный стеноз вызван гранулематозными образованиями и увеличением лимфатических узлов. Чаще всего страдает левый главный бронх.
- Бронхолитиаз – образование известковых камней после перенесенной инфекции, способно привести к закупорке бронха. Проявляется кашлем, кровохарканьем, свистящим дыханием или свидетельствует о рецидивирующей пневмонии.
Сосудистые осложнения проявляются в виде васкулитов (воспаление сосудов) или тромбозов, расширением бронхиальных артерий и развитием псевдоаневризмы.
Поражения средостения включают кальцификацию лимфатических узлов, свищи пищевода, поражения перикарда, которые способствуют сердечной недостаточности. Изменения в плевре обнаруживаются в виде образования выпотов. Опасным осложнением становятся бронхоплевральные свищи и пневмоторакс.
Посттуберкулезные изменения определяются в виде пневмосклероза, фиброза и цирроза. Сморщивание легкого нарушает функции дыхания и смежных органов. Выделяют следующие признаки фиброза:
- тупая и тянущая боль в груди;
- кашель с мокротой;
- повышение температуры;
- хрипы при выслушивании.
При циррозе из-за массивных изменений легкие теряют воздушность. В результате появляются серьезные симптомы:
- одышка;
- кашель с небольшой мокротой;
- посинение подбородка и конечностей;
- повышенное сердцебиение;
- повышение температуры тела.
Реакцией на рубцевание может быть расширение легкого – эмфизема, которая проявляется повышенной прозрачностью рисунка на рентгене.
Посттуберкулезные изменения хорошо видны на рентгенограмме в виде уплотнений, затемнений или уменьшения объема легкого, изменения сосудистого рисунка. Для изучения функции легких проводится спирометрия, во время которой исследуется:
- объем форсированного вдоха (ОФВ1);
- функциональная жизненная емкость легких (ФЖЕЛ);
- соотношение ОФВ1/ФЖЕЛ.
При нормальной функции легких ОФВ1 ≥80%, ФЖЕЛ ≥80% и ОФВ1/ФЖЕЛ ≥70%. Сочетание показателей показывает наличие различных дефектов:
- обструктивное нарушение при ОФВ1/ФЖЕЛ
Источник: https://tuberkulez-info.ru/vidy/tuberkulez-legkih/posttuberkuleznye-izmeneniya-legkih.html
Остаточные изменения в легких после перенесенного туберкулеза могут оставаться на всю жизнь. Часто нарушается функциональное состояние дыхательной системы, что приводит к недостаточному поступлению кислорода во все органы.
Во избежание развития осложнений и снижения качества жизни нужно обращать внимание на клинические проявления, а также периодически проходить обследование у фтизиатра, кратность которого зависит от вида посттуберкулезных явлений.
В зависимости от характера и объема изменений выделяются малые и большие остаточные явления после пролеченного туберкулеза. К малым явлениям относятся:
- Небольшой, ограниченный фиброз, который не распространяется за пределы одного сегмента легкого – участок соединительной ткани после некроза.
- Рубцовые изменения – запаянные синусы легкого, плевромедиастинальные, плевродиафрагмальные сращения.
- Единичные петрификаты (отложения солей кальция), размеры которых не превышают 1 см в диаметре – формируются в области инфекционного очага, а также в прикорневых лимфатических узлах. Они образуются после пролеченного первичного туберкулезного комплекса Гона.
- Единичные очаги перенесенной инфекции, которые имеют четкие края, размеры не больше 1 см в диаметре. Количество не должно превышать 5 штук.
- Плевральные наслоения – характерные образования на поверхности листков плевры формируются в случае распространения инфекционного процесса. Они редко бывают изолированными, а чаще появляются с другими остаточными явлениями.
К большим посттуберкулезным явлениям относятся:
- Остатки первичного очага Гона в виде кальцификатов, количество которых превышает 5 штук.
- Единичные или множественные очаги, размеры которых превышают 1 см в диаметре.
- Фиброз, выходящий за пределы одного сегмента легкого.
- Санированная полость – область деструкции, которая не содержит в себе микобактерий.
- Цирротические изменения легочной ткани независимо от протяженности.
- Фиброторакс – зарастание полости плевры волокнистой соединительной тканью (возникает после перенесенного туберкулеза с распространением инфекционного процесса на плевру).
- Плевропневмосклероз с бронхоэктазами – соединительная ткань замещает часть легкого, плевральной полости; вследствие этого расширяются бронхи, частично компенсируя снизившийся доступ кислорода.
- Рубцовые изменения в сегменте или доле легкого, являющиеся следствием перенесенного хирургического вмешательства, в частности, резекции.
- Массивные наслоения на плевре диаметром более 1 см, которые могут содержать в себе кальцификаты.
Посттуберкулезные изменения легких МКБ 10 (Международная классификация болезней 10 пересмотра) шифрует как отдельное патологическое состояние, которое имеет код В90.9.
В небольшом количестве случаев удается достичь клинико-рентгенологического выздоровления без развития остаточных явлений. Это возможно после своевременного лечения на начальных стадиях патологического процесса, до развития выраженного специфического воспаления с некрозом тканей легкого.
При небольших изменениях в легких человек чувствует себя хорошо.
Если остаточные явления затрагивают большой объем легочной ткани, то не исключается нарушение работы дыхательной системы, что проявляется одышкой, периодическим кашлем.
При этом страдают другие системы органов, так как они не получают кислород в должном объеме. Часто нарушается работа вегетативной нервной системы, что сопровождается слабостью, повышенной потливостью.
При выраженных деструктивных процессах пациент имеет характерный внешний вид. Отмечается тенденция к снижению массы тела, грудная клетка бочкообразная, губы имеют синюшное окрашивание. Вследствие хронической гипоксии кончики пальцев расширены по типу «барабанных палочек», ногтевые пластинки имеют вид «часовых стекол».
Нередко на фоне присоединения неспецифической инфекции беспокоит влажный кашель. Мокрота при посттуберкулезных изменениях в легких имеет слизистый или слизисто-гнойный характер.
Чем больше изменения в легких после пролеченного туберкулеза, тем выше вероятность рецидива заболевания.
Невыраженные посттуберкулезные нарушения не требуют проведения терапевтических мероприятий. Врач дает пациенту рекомендации в отношении укрепления иммунитета. Пациент должен соблюдать рациональный режим труда и отдыха, отказаться от вредных привычек, хорошо и разнообразно питаться.
Полезные продукты при туберкулезе
Непосредственно после проведения химиотерапии может понадобиться выполнение мероприятий, направленных на нормализацию состояния печени, так как большинство противотуберкулезных препаратов обладают гепатотоксическим действием.
При выраженной гипоксии назначаются лекарства для улучшения функционального состояния органов и тканей в условиях гипоксии (нейропротекторы, средства, улучшающие метаболизм сердечной мышцы). В случае необходимости используются иммуностимуляторы. Длительность патогенетической терапии определяется лечащим врачом индивидуально.
Остаточные нарушения, сопровождающиеся фиброзом, кальцификацией, остаются пожизненно. При этом главная задача основного этапа терапии заключается в уничтожении возбудителя с целью предотвращения рецидива в будущем.
Осложнения зависят от степени выраженности и характера явлений. Они включают ухудшение функции внешнего дыхания, приводящее к нарушению метаболизма во всех органах. При небольших остаточных нарушениях прогноз для жизни человека благоприятный. Выраженная деструкция легочной ткани с фиброзом приводит к снижению трудоспособности человека.
Посттуберкулезные нарушения в легких часто остаются на всю жизнь. При выраженных изменениях нарушается функция внешнего дыхания, что требует проведения патогенетической терапии, а также приводит к снижению качества жизни человека.
Источник: https://bronhus.com/zabolevaniya/tuberkulez-legkie/vzroslye-tb/ostatochnye-izmenenija.html
Метатуберкулезными изменениями называют изменения, происшедшие в тканях легких после перенесенных серьезных заболеваний дыхательной системы.
Среди таких заболеваний, в первую очередь, стоит упомянуть туберкулез, но также они могут возникнуть после пневмонии тяжелой формы.
Формируются они в результате воспалительного процесса, возникшего из-за попавших в легкие микобактерий.
При пневмофиброзе в легких под влиянием воспалительного процесса разрастается соединительная ткань. Данное явление изменяет структуру органа и препятствует качественному выполнению им его функций.
Можно выделить две формы пневмофиброза в соответствии с распространением патологических явлений. Это:
- Локальный тип. В этом случае соединительная ткань располагается в одном участке легкого и не приводит к существенным проблемам.
- Диффузный тип. Для него характерно распространение патологического явления по всему объему легкого, из-за чего могут измениться его размеры, а также ухудшается процесс газообмена.
По характеру развития пневмофиброз можно разделить на прогрессивный и непрогрессивный типы.
В случае с непрогрессивным типом недуг останавливается на конкретном этапе развития, и дальнейших ухудшений не происходит. Если ситуация обстоит именно так, то у пациента не возникнет никаких особенных сложностей из-за этого явления. Непрогрессивный пневмофиброз не проявляет себя симптомами, и диагностировать его можно только с помощью рентгена. Лечение ему также не нужно.
При прогрессивном пневмофиброзе соединительная ткань в легких будет постепенно разрастаться все дальше. Данная проблема характеризуется следующими симптомами:
- наличие одышки,
- кашель,
- синюшный цвет кожи,
- общая слабость,
- снижение веса,
- ноющие боли в груди.
Диагностируют эту проблему с помощью рентгена или компьютерной томографии.
Лечение в этом случае сильно зависит от особенностей патологии и индивидуальных характеристик пациента. Однако никакие меры медицинского воздействия не позволяют избавиться от данной проблемы полностью. Разросшаяся соединительная ткань сохраняется в легочной ткани, и всегда есть риск развития осложнений.
Кальцинатами называют скопившуюся в легочных тканях соль. Формируются они не только из-за некогда активного туберкулеза.
Этот вид метатуберкулезных изменений может возникнуть из-за контакта с возбудителем туберкулеза в период раннего детства, при этом организм сумел подавить инфекцию. А оставшийся участок преобразуется в гранулему.
Особенной опасности в наличии кальцинатов в организме нет. Такой отдельный инфекционный участок не может причинить вреда, поэтому не нуждается в специальном лечении.
Тем не менее, в присутствии кальцинатов теряется некоторая часть устойчивости иммунной защиты к другим инфекциям. Это означает, что нужно ежегодно посещать плановые осмотры и делать рентгенографию.
В остальном вместо лечения используются описанные выше профилактические меры. При их соблюдении существенно снижаются риски ухудшений.
Загрузка…
Источник: https://prof-medstail.ru/bolezni-legkih/ponyatie-metatuberkuleznyh-izmenenij
Поделиться:










