Нередко пациенты говорят: «Назначьте самое лучшее, самое дорогостоящее обследование: для здоровья мне ничего не жалко!» И не секрет, что врачи, бывает, назначают «самое лучшее» вместо копеечного анализа в ближайшей поликлинике: сегодня только младенец не знает о комиссионных от диагностических центров.
Поэтому каждому из нас не помешает в общих чертах понимать, какая диагностика нужна при наиболее распространенных или, наоборот, семейных хронических заболеваниях: это позволит не «напрашиваться» на лишние (и не всегда безвредные!) обследования.
Отличаются они, в основном, только способом получения изображения и количеством «просвечиваний» организма за одну процедуру – а значит, и дозой облучения пациента.
Далее мы обсудим, можно ли при подозрении на пневмонию ограничиться низкодозной цифровой флюорографией, и укажем случаи, когда необходимы более точные рентгеновские исследования с большей лучевой нагрузкой.
Рентгеновская технологии визуализации внутренней структуры организма построена на том, что ткани, в зависимости от плотности, с разной интенсивностью поглощают лучи.
Поэтому на «картинке» (негативе) самые плотные области должны быть белыми, пустое пространство – черным, а органы и мягкие ткани – серыми различных оттенков.
Вопрос лишь в том, как эту картинку зафиксировать.
Флюорография (ФЛГ) – это метод диагностики, при котором рентгеновское изображение получают на специальном светящемся экране, а после просто фотографируют на пленку (обычно небольшого размера) или цифровым способом. Чаще всего ФЛГ применяют для выявления патологии лёгких.
Правда, существует и современный, «цифровой» вариант этого исследования – с помощью CR-оцифровщика с настраиваемыми параметрами визуализации.
Отметим, что чувствительность рентгеновской пленки выше, чем флуоресцентного экрана, поэтому пациент на рентгене облучается немного меньше, чем во время флюорографии (см. таблицу).
Табл.1. Примерные дозы облучения при рентгенологических исследованиях лёгких (мЗв = миллизиверт)
| Флюорография пленочная | Флюорография цифровая | Рентгенография пленочная | Рентгенография цифровая | Рентгеноскопия | Компьютерная томография |
| 0,6 мЗв | 0,05-0,06 мЗв | 0,3 мЗв | 0,03 мЗв | зависит от длительности | 11 мЗв |
Рентгеноскопия – это просто «рентгеновское кино», просмотр изображения в реальном времени. Массово это исследование давно не применяют, так как из-за непрерывного облучения пациент получает слишком большую дозу.
Компьютерная томография (КТ) – метод современный, очень информативный, но небезвредный и дорогостоящий. Он заключается в одновременной обработке множества «послойных» рентгеновских изображений: для получения объемной картины они просто «надеваются» на каркас с помощью специального ПО.
Табл.2. Допустимые и естественные средние (за год на 1 человека) дозы облучения
| допустимая за год от мед. обследований | средняя от мед. обследований | от естественных источников (среднемировая) | |
| (по цивилизованным странам) | (среднемировая) | ||
| 1 мЗв | 1,2 мЗв | 0,4 мЗв | 2,4 мЗв |
Теперь поговорим об особенностях двух видов флюорографии.
Пленочная ФЛГ – хоть и дешевый, но, к сожалению, недостаточно надежный метод: около 15% проявленных пленок четкой картинки не показывают.
Принимая во внимание еще и двукратное (по сравнению с рентгеном) облучение, ВОЗ не рекомендует эту технологию к использованию.
https://youtube.com/watch?v=MCvf-qaVIXc
Зато цифровая ФЛГ лишена этих недостатков, имеет большую разрешающую способность и дает возможность изменения настроек уже полученного изображения.
Не секрет, что во многих забытых Богом уголках постсоветского пространства все еще стоят аппараты для пленочной ФЛГ, и быстрой замены им не предвидится… Тем не менее, будем с оптимизмом смотреть в будущее и обсуждать далее возможности цифровой флюорографии.
Так можно ли определить пневмонию по результатам флюорографии грудной клетки? – Да, можно увидеть изменения в лёгких, но главной задачей будет выяснить, чем они вызваны: туберкулезом, онкологией, пневмонией или другими заболеваниями.
Итак, основные рентгенологические симптомы пневмонии:
- очаги воспаления легочных тканей;
- сегментарные (долевые) уплотнения;
- усиление сосудистого рисунка;
- жидкость в плевральной полости;
- расширение и уплотнение «корней» легкого;
- увеличение лимфоузлов;
- фиброз – но это, скорее, показатель ранее перенесенной пневмонии, в результате чего участок легочной ткани замещен тканью соединительной.
В большинстве случаев на ФЛГ наблюдается сразу несколько
симптомов: оценивать их нужно в комплексе, принимая во внимание интенсивность и возможные причинно-следственные связи – тут опыт врача незаменим. Мы лишь вкратце опишем отдельные диагностические нюансы.
Если выявлены очаги воспаления, нужно обратить внимание на их
- размер и количество,
- локализацию,
- контуры (четкие или изрезанные).
При пневмонии видны множественные (не единичные, по крайней мере) инфильтраты в нижних долях легких – чаще всего только с одной стороны, справа.
При туберкулезе же процесс обычно двухсторонний, плотные очаги могут располагаться как в нижней, так и в верхней части лёгких.
Четкость границы очага позволяет исключить онкологию: дело в том, что контур раковой опухоли обычно нечеткий, «лучистый», несимметричный и изменчивый.
Впервые выявленные сегментарные уплотнения в легких чаще всего говорят о т.н. крупозном воспалении – опаснейшей пневмонии, сопровождающейся интоксикацией организма, затруднением дыхания и сердечно-сосудистой недостаточностью.
Изменение лёгочного рисунка – симптом сам по себе не информативный: он свидетельствует об интенсивном кровоснабжении участка и возникает при любых воспалениях тканей.
Жидкость в плевральной полости может скапливаться как при развитии пневмонии (например, застойной), так и при нарушениях водно-электролитного обмена (их может спровоцировать целый ряд болезней и травм). Для постановки диагноза нужны дополнительные обследования организма.
«Корни» легких (иногда их называют «ворота») – это бронхи, вены, артерии и лимфатическая система. Расширенными они могут быть из-за отека бронхов или сосудов, что, наряду с увеличением лимфоузлов, может говорить о пневмонии или об остром бронхите. Дополнительную информацию даст прослушивание легких (аускультация).
ФЛГ нечетко показывает тонкие элементы (например, стенки небольшой полости, уровень жидкости и т.д.), а также инфильтраты малого размера (до 0,5 см в диаметре). Таким образом, можно пропустить любое воспаление, протекающее с небольшими изменениями в тканях:
- Мелкоочаговую пневмонию.
- Плеврит с небольшим кол-вом жидкости в плевральном кармане.
- Группу атипичных пневмоний с запаздывающими рентгенологическими симптомами.
О третьем типе воспалений стоит поговорить отдельно. Наиболее «активные» его представители – пневмоцистная и микоплазменная пневмонии (их возбудители – микроорганизмы микоплазма и пневмоциста). В
озникают такие воспаления легких, в основном, у лиц с ослабленным иммунитетом. Пневмоцистная пневмония может сопутствовать ВИЧ-инфекции; иногда ею болеют дети, родившиеся раньше срока.
Микоплазменная встречается и того чаще: в любых учебных заведениях, от садика до университета.
ФЛГ в этих случаях покажет только усиление легочного рисунка, а другие рентгенологические симптомы проявятся не раньше чем через неделю от начала болезни.
Так что же делать, если клинические симптомы воспаления лёгких налицо, а ФЛГ его не показывает? Расспрашивать, выведывать, узнавать! Важно все: условия жизни, место работы или учебы, наличие вредных привычек, список хронических заболеваний и т.д.
В остальных случаях диагноз может подтвердиться на повторной ФЛГ или рентгенографии (на фоне симптоматической терапии): если болезнь будет развиваться, рентгенологические проявления станут более явными. К примеру, очаги пневмонии начнут сливаться в более крупные образования либо мелких инфильтратов станет больше.
Вывод:
Итак, начальные сведения о рентгенологических обследованиях вы получили. В случае болезни это поможет вам разобраться в назначениях врача и задать ему все необходимые вопросы. Но ни в коем случае не пытайтесь самостоятельно анализировать результаты ФЛГ и принимать решения на этом основании!
Помните, что для постановки диагноза необходимы не только специальные знания, но и опыт работы, чтобы проверить их на практике!
Источник:
Часто пациенты интересуются, покажет ли флюорография пневмонию. Чтобы понимать это, необходимо разобраться в основных принципах и преимуществах этого диагностического метода.
Известно, что рентгеновские лучи, проходя через ткани человеческого организма, поглощаются по-разному в зависимости от типа ткани, поэтому рисунок на флюорографическом снимке будет выглядеть неоднородным.
Сердце и бронхи представляются светлыми пятнами. Легочная ткань равномерна, поэтому в норме должна выглядеть на снимке однородной.
Если на флюорограмме видны участки с затемнением, у врача должны возникнуть подозрения на патологический процесс в легких.
Механизм получения флюорографии заключается в том, что трубка аппарата испускает лучи, которые, проходя сквозь тело человека, проецируются на специальной пленке.
Флюорография относительно безопасный, доступный и дешевый метод обследования, поэтому во многих странах ее используют в качестве скринингового исследования в рамках профилактической диагностики.
Источник: https://mschmvd42.ru/zabolevaniya-legkih/pokazhet-li-flyuorografiya-pnevmoniyu-vse-chto-vy-hoteli-znat.html
Флюорография является методом скрининга. Его предназначение состоит в регулярном профилактическом осмотре пациентов с целью ранней диагностики легочных заболеваний, туберкулеза и сердечных изменений.
В результате получают фото (небольшой снимок или цифровое изображения) на котором видны результаты прохождения рентгеновского излучения через грудную клетку. Патогенез будет визуализироваться как различная степень затемнения.
Этот метод был найден в середине прошлого века, на данный момент в большинстве современных клиник используются крупноформатные методы диагностики, от мелкоформатных отказываются из-за низкой информативности и высокой степени ионизирующей нагрузки. Покажет ли флюорография пневмонию или нет зависит от вида и степени патогенеза, что является индивидуальным параметром.
На флюорографии не видны мелкие очаги воспаления легких
Воспаление легких – это воспалительный инфекционный процесс, происходящий в альвеолярной ткани или прикорневой зоне. Определить его можно по анализам крови вместе с аускультацией, но основными методами выявления являются рентгенологические способы.
Они проводятся при наличии характерной клиники (кашель, температура, лихорадка и прочие) или с целью профилактики для следующих категорий лиц:
- пожилые люди, подверженные гиподинамии;
- алкоголики;
- курильщики с большим стажем, как правило, к этому времени у них развивается устойчивая форма хронического обструктивного бронхита и ХОБЛ разных степеней;
- при сахарном диабете и атеросклерозе поздних стадий;
- состоянии иммунодефицита различной этиологии, в том числе и ВИЧ;
- при раке;
- наличие серьезных сердечных заболеваний.
Обратите внимание. Воспаление легких в запущенной форме может стать причиной летального исхода, поэтому крайне важно как можно раньше диагностировать болезнь, потому что цена в случае усугубления процесса может быть равна потере здоровья, которое не восстановится до конца жизни.
Людям с ХОБЛ показано делать флюорографию ежегодно
Воспаление легких на флюорографии увидеть можно, но только при существенном поражении тканей, а также если патология находится в разгаре своего течения. Неверно думать, что это исследование выявляет болезнь, а полноценный снимок лишь подтверждает его и врач узнает нюансы (таблица). На видео в этой статье наглядно показаны преимущества и недостатки рассматриваемой методики.
Сравнительная характеристика:
| Параметр | ||
| Лучевая нагрузка | Больше | Меньше |
| Выявление патогенеза | Показывает при выраженном течении | Способ более информативен, показывает больше мелких нюансов при воспалении (очаги, локацию, отек корней и др.) |
| Информативность снимка | Низкое на мелком фото, на цифровом — высокое | Высокое |
| Противопоказания | Скрининг не проводят в детском возрасте | Нет (беременным назначают при вынужденной необходимости). |
Важно. Флюорография – это профилактический метод, которой помогает исключить латентные процессы атипичной или других форм воспаления легких.
Многие задаются вопросом насчет того, может ли флюорография не показать пневмонию или лучше сразу делать полноценный снимок. Врачи уверяют, что всегда выбор при подозрении на наличие патологии нужно делать в пользу второго исследования, потому что не во всех случаях скрининговый метод помогает выявить патогенез.
Например, воспаление легких не видно, если:
- есть начальная стадия очаговой патологии;
- хуже определяются тонкие линейные тени;
- наличие небольших количеств выпота;
- не визуализируются тонкие стенки кистозных образований;
- воспаления легких с минимальными изменениями.
В последнем случае это чаще атипичные пневмонии, которые вызываются такими возбудителями как:
- Chlamydophila pneumoniae (хламидии);
- Pneumocystis jirovecii (пневмоцисты);
- Mycoplasma pneumoniae (микоплазмы).
Пневмоцистное воспаление характерно при слабом иммунитете (младенцы, старики, инфицированные ВИЧ). На снимке слабо заметны усиления легочного рисунка и несильная пневматизация альвеолярной ткани, а очаги визуализируются лишь со второй недели патогенеза. При этом характерна нестабильная локация и нечеткие очертания, что затрудняет диагностические процедуры.
Обратите внимание. При воспалении легких, спровоцированного пневмоцистами клиника опережает рентгенологическую картину.
Микоплазменная и хламидийная инфекционные поражения могут вообще не определяться на рентгене. Вместо затемнений на фото будет заметно только лишь усиление легочного рисунка и слабое увеличение его плотности. Примерно у 50% пациентов к этим признакам может добавляться перибронхиальная инфильтрация.
Пневмония на ФЛГ довольно хорошо визуализируется при серьезном патогенезе, когда воспаление явное и занимает значительные области, особенно, если это цифровой способ диагностики.
На фото можно увидеть:
- характерные очаговые затемнения (тотальные или субтотальные), долевые или сегментарные поражения;
- плеврит и значительное наличие выпота;
- петрификаты и кальцинаты;
- деформацию куполов диафрагмы;
- склеротические изменения;
- увеличение лимфатических узлов;
- изменения легочных корней и легочного контура;
- выраженный фиброз.
Таким образом, возможно увидеть пневмонию на флюорографии при достаточном уровне патогенеза, но при небольших очагах ее можно не заметить.
Рентген в боковой проекции нужен для определения прикорневой пневмонии и в других сложных ситуациях
Это самый современный аналог скрининговой диагностики.
В сравнении с обычной (пленочной) он имеет несколько существенных преимуществ:
- меньше брака на фотонегативе (у пленочной от 8 до 15%);
- доза облучение ниже 0,05 мЗв за один раз (0,5 мЗв при стандартной);
- возможность делать много снимков, переносить изображение на съемный носитель и отправлять по электронной почте без потери качества.
Современная цифровая флюорография является довольно информативным методом скрининга и значительно лучше пленочного аналога. Это позволяет выявлять параканкрозную и неосложненную пневмонию и туберкулезные изменения.
Однако важно понимать, что основная цель ФЛГ – это скрининг, поэтому при подозрении на воспаление легких лучше остановить выбор на обширном рентгенологическом снимке грудной клетки.
Источник: https://uPulmanologa.ru/diagnoz/instrumentalnaya/pokazhet-li-flyuorografiya-pnevmoniyu-285
Флюорография (ФЛГ) – рентгенологическая форма диагностики, преимущественно органов грудной клетки. Она является условно безопасной процедурой просвечивания легких, которую ежегодно рекомендовано проходить взрослым и детям с определенного возраста.
От рентгена этот вид исследования отличается меньшей площадью получаемого изображения, сокращенной продолжительностью подачи Ro-лучей и, соответственно, более низкой дозой облучения. Щадящий режим сканирования сказывается на информативности, поэтому ФЛГ считается скорее скрининговой методикой, чем диагностической.
С учетом этого больных с подозрением на пневмонию интересует, покажет ли флюорография (или рентгенография) на снимке воспаление легких в начальной его стадии с учетом ограниченности возможностей ФЛГ и незначительной интенсивности облучения: и рентген, и флюорография способны выявить у больного пневмонию, но с разной степенью точности.
Используя ФЛГ, как профилактическую форму обследований, можно обнаруживать различные заболевания:
- пневмонию;
- острый и хронический бронхит;
- туберкулез;
- онкологию.
Минимальная лучевая нагрузка на организм, которую дает флюорография, позволяет в ряде случаев ставить вполне точный диагноз, не подвергая организм интенсивному облучению, как это происходит, например, при рентгенографии или компьютерной томографии.
Данный метод диагностики, несмотря на появление МРТ и иных новых способов исследования человеческого организма с помощью более современного медицинского оборудования, не утратил своей актуальности и позволяет своевременно выявлять многие патологические процессы в легких.
Показаниями к проведению флюорографических обследований раз в год служат следующие причины:
- необходимость профилактического осмотра на предмет выявления заболеваний легких у всех лиц, начиная с 16-летнего возраста;
- обследование для получения результатов о состоянии легких при устройстве на должность, связанную с работой с детьми или в больших коллективах людей;
- совместное проживание с беременными женщинами или грудными детьми с целью предотвращения их возможного инфицирования туберкулезом или иными заболеваниями легочной системы;
- военный призыв на срочную службу или работу в Вооруженных силах Российской Федерации по контракту;
- плановая проверка пациентов, у которых диагностирован СПИД.
Проведение такой процедуры имеет минимум противопоказаний. Они связаны с возможными последствиями воздействия ионизирующего излучения. Ее не проводят следующим категориям пациентов:
- детям до 16 лет;
- беременным женщинам. Х-лучи способны нанести непоправимый вред плоду, вплоть до прерывания вынашивания;
- кормящим матерям (относительное противопоказание). После прохождения флюорографии рекомендуется приостановить кормление на 1-2 дня;
- пациентам в тяжелом состоянии;
- людям, не способным сохранять состояние покоя или задержать дыхание на несколько секунд (снижается информативность исследования).
Если на снимке врач увидел патологические изменения, то человеку назначают дополнительные обследования, способные предоставить более детальную информацию: рентген или КТ.
ФЛГ используется для выявления патологий легких. Такую диагностику проводят с помощью пленочных и цифровых аппаратов. Сгенерированный рентгеновский луч исходит из специальной трубки, пропускается сквозь человеческое тело и попадает на светочувствительную пленку (в классических флюорографах) или на электронную матрицу (в цифровых приборах).
Пленочный метод имеет свои недостатки из-за нечеткости картинки. Все чаще сегодня применяется цифровая флюорография, на которой даже минимальные затемнения или патологии лучше видны благодаря возможности выставить высокое разрешение.
В большинстве случаев ФЛГ сможет показать первые симптомы воспаления легких.
При постановке диагноза «пневмония» врачи опираются не только на данные флюорограммы, но и на сопутствующие специфические симптомы:
- резкое повышение температуры тела, вплоть до 40°С;
- изнурительный влажный кашель с гнойной мокротой;
- болевые ощущения в области легких, усиливающиеся при попытке глубоко вдохнуть.
При этом помнят, что указанная симптоматика отсутствует у больных атипичной формой пневмонии.
Зафиксированные признаки патологии на флюорограмме выглядят следующим образом:
- очаги воспаления в легочной ткани;
- сегментарные уплотнения;
- усиление рисунка сосудов;
- жидкость в плевральной полости;
- расширение и уплотнение «корней» легкого;
- увеличенные лимфоузлы;
- замена части легочной ткани на соединительную.
Чаще всего на изображении будут видны сразу несколько симптомов воспаления. Врачу необходимо их оценивать в комплексе, чтобы понять, каким конкретно заболеванием вызваны патологические изменения в легких.
В ряде случаев ФЛГ может не показать пневмонию при первичном обследовании, если, например, плотные очаги воспаления будут располагаться за сердцем, находясь в его тени. При наличии подозрения на серьезное заболевание потребуется повторное обследование, как правило, в альтернативной проекции на рентген-аппарате, в ходе которого можно определить характер патологии с большей точностью.
Флюорография на ранних сроках покажет только появляющиеся изменения легочной ткани, которые находятся местах, непосредственно проецирующихся на пленку или экран. ФЛГ все же используется, скорее, как профилактическая методика осмотра здоровых легких. При наличии изменений в них обследование продолжается при помощи диагностического рентгеновского оборудования.
Некоторые виды пневмонии флюорография визуализирует недостаточно четко. Так, например, у детей на первом году жизни с наличествующим иммунодефицитом фиксируется лишь усиленный рисунок легких. Очаги затемнений проявляются спустя 7-9 дней после начала развития воспалительного процесса, но контуры при этом все равно остаются нечеткими.
На цифровых аппаратах врач сможет увидеть пневмонию или иное воспаление в подробностях, так как такой формат изображения позволяет увеличить любой участок снимка, чтобы внимательно рассмотреть даже небольшие изменения в легких. Кроме того, использование этой более современной технологии сокращает время процедуры, дает возможность хранить архивы в электронном виде и считается более безопасным благодаря уменьшению уровня облучения пациента.
Флюорография покажет на пленке пневмонию в виде затемнений. Если снимки больного пневмонией получились нечеткими, то возможно повторное обследование, но уже на рентген-оборудовании или компьютерном томографе.
КТ- или рентгеновский снимок дает более четкую и наглядную картину состояния органов дыхания. На нем сразу видно очаг воспаления, в то время как на флюорограмме можно увидеть только тени или размытый контур легких.
При удовлетворительном качестве снимка рентгенолог сможет рассмотреть количество и размеры очагов воспалений, их локализацию, а также характер контуров (четкие или размытые).
Если при проведении флюорографии не определилась пневмония, а у врача есть подозрения на наличие воспалительного процесса, то он может отправить на вторичное обследование с использованием более совершенных методик.
Нередко на снимках плохо отображаются линейные тени, появляющиеся при воспалении легких.
ФЛГ не позволяет хорошо рассмотреть стенки тонких полостей, поэтому таким способом, например, не всегда можно сразу заметить небольшую кисту.
https://youtube.com/watch?v=Sx3JZD2MDUE
Флюорография также бессильна при:
- мелкоочаговой пневмонии;
- плеврите с ограниченным количеством жидкости;
- атипичных пневмониях с запаздывающими рентгенологическими симптомами.
При подозрении на воспаление легких врач может назначить повторное обследование, это зависит от возраста пациента и его общего состояния. Если очаг удалось увидеть сразу, достаточно одного снимка. В случаях неудовлетворительной визуализации пациента направляют на дополнительное обследование.
Как правило, по окончании курса лечения курирующий врач назначает контрольный снимок. Однако как повторные диагностические, так и итоговые исследования средствами флюорографии делать нецелесообразно из-за ограниченных возможностей метода.
Как правило, с этой задачей лучше справляется рентгеноскопия, позволяющая варьировать угол и направление проекций с получением крупноформатного изображения.
Пневмония на снимке флюорографии отличается характерным четким рисунком аскультативных данных, а при туберкулезе они выражены слабо при наличии обширного поражения легких. Его обычно хорошо видно при проведении рентгеновской диагностики.
При воспалении легких фиксируются множественные инфильтраты в нижних долях органа, как правило, с правой стороны. В отличие от пневмонии, туберкулез характеризуется плотными очагами, расположенными в любой части легкого.
Поражения легочной такни при туберкулезе на снимках видны более отчетливо и имеют визуальные очаги деструкции и диссеминации легочной ткани.
Чтобы вовремя выявить первые очаги инфекционного или иного воспаления в легких, необходимо регулярно проходить флюорографию раз в год. С указанной периодичностью это – безопасная диагностика, позволяющая фиксировать различные видоизменения в легочной ткани.
При наличии подозрения врач может назначить повторное обследование на ФЛГ или другом диагностическом оборудовании для выявления очага воспаления и причин его появления.
Флюорографическое обследование на практике доказало успешность в профилактике воспаления легких, развития начальных форм туберкулеза и раковых опухолей. Различные симптомы у взрослых в виде затемнений на снимках быстро выявляются уже после выполнения первого снимка.
Это помогает врачу своевременно подобрать подходящую терапию и не доводить болезнь до тяжелой формы.
Проводить диагностику рака легких с помощью ФЛГ довольно сложно, так как методика не позволяет выявить начальные этапы болезни.
Обычно флюорография показывает изменения уже на последних стадиях этого заболевания.
Сложность раннего обнаружения онкологических опухолей связана с отсутствием типичной симптоматики, что не позволяет врачам определить их при помощи поверхностной скрининговой диагностики.
Источник: https://iDiagnost.ru/issledovaniya/fluorografiya/mozhet-li-pokazat-flyuorografiya-vospalenie-legkih
Флюорография является одним из вариантов рентгенологического исследования, который позволяет проводить массовые профилактические обследования населения и выявлять:
- воспаление бронхов, сопровождающее пневмонию,
- наличие в легких экссудата, сопровождающее туберкулез,
- разрастание соединительной ткани, характерное для многих легочных заболеваний.
Интерпретировать снимок, установить причину болезни и назначить адекватное лечение может врач. При этом флюорография более распространена, чем рентген, поскольку:
- обеспечивает меньшую дозу облучения.
- требует меньших затрат расходных материалов,
- обходится значительно дешевле.
Не смотря на то, что снимок, получающийся после флюорографии, менее точен и контрастен, чем снимок обычного рентгена, преимущества этого метода перевешивают данный минус.
Для того чтобы диагностировать заболевания легких, применяются два вида флюорографии:
- Классический, который подразумевает перенос снимка на специальный отрезок фотопленки – это дешево, быстро, относительно безопасно и удобно при хранении результатов,
- Цифровой, который подразумевает перенос снимка на экран компьютера в кабинете у врача – это дешево, быстрее по сравнению с флюорографией, безопасно и удобно при работе с результатами (их можно легко распечатать в любом количестве, они не занимают места и детализированность их на порядок выше).
Классический метод в настоящее время применяется только в клиниках с крайне низким финансированием, поскольку обеспечивает более сильное облучение и требует наличия помещения под хранение снимков.
https://youtube.com/watch?v=uuUMNSa25q8
Флюорография является стандартным диагностическим обследованием, которое проводят с периодичностью раз в два года или раз в год, если:
- пациент в текущем году еще не проходил профилактическое обследование,
- пациент является сотрудником образовательного, медицинского, воспитательного или лечебно-профилактического учреждения,
- у пациента есть хронические заболевания легких или мочеполовой системы,
- пациент страдает сахарным диабетом,
- пациент является военнослужащим,
- пациент работает в детском доме или в диспансере, занимающемся больными туберкулезом,
- у пациента был туберкулез в прошлом, а значит, есть возможность рецидива,
- пациент болен ВИЧ или отбывает срок в исправительном учреждении.
Кроме того, врач может назначить обследование, услышав от пациента характерные жалобы на:
- одышку,
- сильные боли в груди,
- мигрени,
- сильный мокрый кашель с гнойными выделениями,
- сухой кашель, который не получается вылечить с помощью антибиотиков или противовирусных средств.
ВАЖНО! Ежегодное прохождение обследования– это не формальность, а крайне необходима процедура, которая может сохранить здоровье. На флюорографии врач может увидеть не только начинающуюся пневмонию, но и бронхит, туберкулез и даже рак.
Объективных и абсолютных противопоказаний к обследованию не существует. Единственный фактор риска – беременность. Если пациентка ждет ребенка, только врач может решить, насколько безопасным, целесообразным и оправданным для нее будет проведение флюорографии.
Флюорография не требует никакой подготовки – пациенту не нужно ни голодать, ни приносить с собой пеленку или салфетки. Достаточно просто прийти к назначенному времени. Проводится процедура последовательно и занимает совсем немного времени:
- Больного просят зайти в комнату для исследований и раздеться до пояса – нужно снять все, включая нательный крестик. Женщину с длинными волосами попросят заколоть их на затылок или убрать любым другим удобным для нее способом.
- Больного просят встать вплотную к специальному экрану аппарата. В классическом варианте именно за ним располагается кассета с фотопленкой. Пациент должен развести локти, расправить грудную клетку и положить подбородок на предназначенное для этого углубление, прижавшись к экрану вплотную.
- По просьбе лаборанта пациенту нужно будет задержать дыхание – ненадолго, всего на несколько секунд, после чего процедура считается оконченной.
Весь процесс занимает не больше пяти минут. После разрешения снова дышать, больной может отойти от аппарата и спокойно одеться. Только если для более точной диагностики нужны также боковые снимки, пациента могут попросить встать к аппарату боком – это немного увеличит время проведения флюорографии.
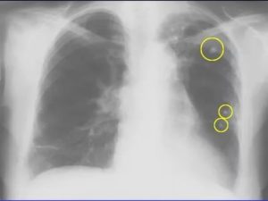
Если у пациента пневмония, на снимке можно будет увидеть один или несколько характерных признаков:
- образовавшийся в легочной ткани очаг воспаления, который на рисунке будет выглядеть, как узнаваемое затемнение – тем более плотное, чем более запущено воспаление,
- изменившийся легочный рисунок – усилившийся или исказившийся,
- паталогические изменения корней легкого,
- появившееся в результате хронического воспаления разрастание соединительной ткани (фиброз),
- появившиеся склеротические изменения в тканях легкого (уплотнения и замещения обычной ткани соединительной),
- увеличенные лимфатические узлы в корнях легких,
- появившиеся в тканях легкого рубцы – пораженные ткани, окруженные капсулой из солей кальция – так называемые кальцинаты.
Даже на флюорографии, точность и контрастность которой уступает точности и контрастности рентгена, признаки пневмонии проявляются достаточно явно.
Однако существуют такие виды воспаления легких, обнаружить которые тяжело – как правило, это атипичные пневмонии:
-
Пневмоцистная пневмония. Поражает людей с синдромом иммунодефицита или ослабленных детей первого года жизни. На снимке проявляется слабо – становится более выраженным легочный рисунок, усиливается пневматизация легочной ткани (то есть, усиливается ее наполненность воздухом).
Очаги воспаления проявляются поздно, когда основные симптомы уже значительно мешают больному жить. В результате получается крайне размытая клиническая картина, которую на начальных этапах можно не заметить, приняв за вариацию нормы.
- Микоплазменная или хламидийная пневмония. Поражают людей, которые контактировали с носителем. На снимке данные разновидности патологии не проявляются вообще – при наличии всей симптоматики, характерной для воспаления легких, рентгенографические показатели отсутствуют. Может, разве что, усилится легочный рисунок, но он останется в рамках нормы.
В случае если рентген не показывает ничего, врачу остается ориентироваться на характерные симптомы воспаления легких.
При атипичной пневмонии классические симптомы практически отсутствуют:
- внезапная лихорадка, вплоть до 40 °С,
- сильный мокрый кашель с отхаркиванием гнойной мокроты,
- боли в области легких, усиливающиеся при попытке вдохнуть,
Однако на передний план выходят вторичные симптомы:
- мигрень,
- сухой, но постоянный кашель, который не уменьшается ни после ингаляций, ни в результате применения антибиотиков или противовирусных препаратов,
- слабость и недомогание, головокружение,
- боли и першение в горле,
- сильные боли в мышцах.
Чтобы удостовериться в том, что у больного именно пневмония, врач может назначить магнитно-резонансную томографию, которая позволит обследовать легкие более обширно, чем при флюорографии, при этом обязательно будут выявлены другие признаки недуга.
ВАЖНО! При первых же подозрениях на пневмонию, маленьким детям и пожилым людям старше 60 следует обратиться к врачу, даже если значительного дискомфорта еще нет.
Ослабленный или еще неокрепший организм может не справиться с болезнью даже на ранних стадиях, а без своевременного лечения пневмония смертельна – раньше от нее умирал каждый третий заболевший.
Загрузка…
Источник: https://prof-medstail.ru/bolezni-legkih/neobhodimost-provedeniya-flyuorografii-pri-pnevmonii
Флюорография — традиционный рентгенографический метод диагностики, который по-прежнему используется в современной медицине, хотя является устаревшим.
Исследование заключается в фотографировании изображения на матрицу, с целью выявления воспалительного процесса. Флюорография помогает увидеть признаки заболевания, его локализацию и характер.
Однако, методика не всегда результативна, необходимо понимать, когда проведение не оправдано и стоит обратиться к другим типам диагностических мероприятий.
Флюорограф цифровой сканирующий (самый безопасный и современный метод диагностики)
Технология рентгеновского сканирования основана на том, что ткани, в зависимости от плотности с различной интенсивностью поглощают излучения. По этой причине, на снимке негатива рентгенофотографии плотные зоны будут белыми, пустые области — чёрными, а органы — серого цвета (от светлого до тёмного).
Что собой представляет флюорография и чем отличается от других методик диагностирования патологий респираторного тракта?
Исследование основывается на прохождении ионизирующих лучей через грудную клетку, и считывается на ПЗС-матрицу или полупроводниковый линейный детектор.
Современные аппараты проводят как рентген, так и флюорографию. Маммография и рентген зубов выполняются на разных установках. Исследование фиксирует полученный результат на информационный носитель DICOM, HL7.
Дозы на цифровых аппаратах составляют 0,02-0,3 мЗВ зависит от:
- вида исследования;
- органа;
- массы тела.
Уделим внимание особенностям двух видов флюорографии: плёночной и цифровой.
Плёночный аппарат
Первый вариант диагностики — плёночный, является бюджетным, применяется в государственных поликлиниках. Однако, такая методика не особо надёжная и информативная, около 20% снимков не дают чёткого результата. К тому же такое исследование не рекомендует ВОЗ, поскольку облучение в несколько раз больше 0,1-0,3 мЗВ.
Вторым вариантом является цифровая флюорография, это наиболее предпочтительная методика диагностики. Она получает чёткую картинку и контролирует настройки уже полученного изображения.
Стоит обратить внимание, что исследование при помощи рентгена обладает большей точностью, нежели флюорография, и является более вредной.
https://youtube.com/watch?v=ulkb-oZk-lU
Современный метод визуализации заболеваний и патологических состояний. Обычно используется, когда ультразвуковое исследование или рентген оказались менее информативными.
Даже учитывая применение современного и дорогостоящего оборудования, доза облучения при КТ существенно выше, чем в ходе стандартного рентгена, что связано с получением послойных изображений.
Покажет ли флюорография пневмонию, насколько эффективна методика в определении заболевания? Действительно, флюорография выявляет патологические изменения в структурах лёгкого. Однако не даёт точного ответа, чем они вызваны — онкология, воспаление, инфекция.
Рентгенологическими признаками пневмонии считаются следующие симптомы:
- очаговые воспаления на поверхности лёгочной ткани;
- уплотнения сегментарного характера;
- увеличение выраженности сосудистого рисунка;
- наличие экссудата в плевральной полости;
- увеличение грудных лимфатических узлов;
- фиброзное поражение как следствие ранее перенесённой пневмонии.
Как правило, при флюорографии видно несколько признаков патологии, которые нужно оценивать в комплексе, учитывая интенсивность и возможные причины развития.
При обнаружении очагов воспалительного типа следует обратить внимание на:
- размеры очагового образования, их количество;
- место локализации;
- чёткость или размытость контуров образования.
При наличии такого заболевания, как пневмония, на снимках видны множественные уплотнения в нижних сегментах лёгкого. Опытный и квалифицированный врач сможет отличить образования от раковых. Атипичные опухоли характеризуются нечётким контуром и несимметричным.
В случае обнаружения уплотнений в лёгких за тенью сердца, врач назначает рентген в двух проекциях.
Если сегментарные инфильтраты выявлены впервые, то зачастую это говорит о воспалении крупозного типа. Кроме этого, наблюдается и другая клиническая картина: признаки интоксикации, одышка, нарушение работы сердечно-сосудистой системы.
Относительно скопления секрета, то признак не всегда является следствием пневмонии. В отдельных случаях симптом развивается на фоне нарушения водно-электролитного обмена. Поэтому понадобится дополнительный ряд диагностических мероприятий.
В ходе флюорографии визуализируется расширение бронхов, что говорит о наличии отёчности. А при одновременном увеличении грудных лимфоузлов можно говорить о пневмонии.
Возможности флюорографии ограничены, диагностика не сможет чётко показать уровень секрета или уплотнения небольшого диаметра. Поэтому зачастую незначительные патологические изменения пропускаются:
- пневмония мелкоочагового типа;
- экссудативный плеврит с небольшим количеством секрета;
- пневмонии атипичного характера с запаздывающей клинической картиной.
Осумкованный экссудативный плеврит
Третий тип воспалений стоит обсудить отдельно. Чаще возбудителем является микоплазма — мельчайшие одноклеточные микроорганизмы и пневмоциста — род грибов класса Pneumocystidomycetes.
Данные патологии не встречаются у здоровых людей, их развитие характерно для пациентов с ослабленным иммунитетом, например, принимающих иммунодепрессанты и больных СПИДом.
Они похожи на вирусные пневмонии — сухой кашель, одышка и боль в груди.
В лечении используются противогрибковые препараты вместе с классической поддерживающей терапией. Было выявлено что Pneumocystidomycetes чувствителен к химическому веществу — «Ко-Тримоксазол». Флюорография при данных патологиях не отличается информативностью, поскольку покажет только усиление лёгочного рисунка.
Дополнительно не обойтись без лабораторных анализов. Анализ крови используется для подтверждения признаков инфекции, сопровождается повышением уровня C-реактивного белка и скоростью седиментации (осаждения эритроцитов). Результаты укажут на необходимость использования в терапии антибиотиков. Назначается микробиологическое исследование крови для определения возбудителя.
Что делать, если пневмония или бронхит налицо, а на снимке флюорографии их признаков нет? В этом случае целесообразно будет проведение информативных методик диагностики.
Выбирать можно между рентгеном и компьютерной томографией, в отдельных случаях назначают МРТ. Другой вариант, провести флюорографию спустя некоторое время при усилении симптоматики патологии.
Тогда снимок покажет явные очаги воспаления и образование небольших уплотнений, сливающихся в крупные.
К сожалению, флюорография не всегда указывает на признаки пневмонии, в частности, на ранних сроках её развития. Качественным методом исследования считается рентген в 2 проекциях или КТ.
Компьютерная томография обладает максимальной информативностью и способна выявить зачатки воспалительного процесса, однако, облучение при КТ больше.
Флюорография при воспаление лёгких остаётся важной методикой выявления заболеваний, на поздних стадиях развития. При назначении исследования врач ориентируется на клинические признаки патологии и понимает, что в отдельных случаях целесообразно прибегнуть к современным диагностическим процедурам.
Источник:
В таком направлении медицины, как пульмонология, к флюорографии прибегают часто. Показаниями для назначения обследования являются такие симптомы, как:
- кашель на протяжении длительного времени;
- кашель, сопровождающийся отхождением обильной мокроты с гнойным содержимым на фоне повышения температуры;
- одышка;
- отек нижних конечностей;
- переломы ребер;
- подозрения на злокачественное новообразование в легких.
С помощью флюорограммы выявляется пневмония, абцесс в легких, бронхит, эмфизема, плеврит, туберкулез, фиброз, рак легких.
Абсолютных противопоказаний диагностический метод не имеет. При назначении врач оценивает вред и пользу в каждом конкретном случае.
В связи с тем, что процедура предполагает лучевую нагрузку, процедуру не рекомендуют проводить беременным женщинам, детям в возрасте до 15 лет, пациентам с открытыми травмами грудной клетки.
При изучении фото флюорографии при пневмонии, врач обращает внимание на наличие уплотненных очагов среди инфильтрации и очагов за тенью сердца. Увидев такие признаки, больному назначают дальнейшее обследование, включающее сдачу лабораторных анализов, прохождение рентгенографии грудной клетки.
Очаговая пневмония относится к числу самых опасных разновидностей воспаления легких.
Заболевание характеризуется прогрессированием воспалительного процесса на ограниченном участке легочной ткани в пределах долек легкого.
Вследствие того, что в начальной стадии заболевания появляются лишь небольшие инфильтраты, диагностика при лучевом методе исследовании может быть затруднительной, поэтому для полноты исследования может быть назначен снимок легких в двух проекциях.
Источник: https://luberptd.ru/kashel/pnevmoniya-i-rentgen-pokazhet-li-flyuorografiya-vospalenie-legkih.html
Поделиться:










