В повседневной жизни каждый человек многократно сталкивается с возбудителем туберкулеза. Обычно он даже не замечает этого.
Подтверждением данному факту являются «случайные» находки при прохождении ежегодной плановой флюорографии. Речь идет об очагах Гона.
От их появления абсолютно никто не застрахован, но и игнорировать патологию нельзя. Действительно ли они представляют опасность для жизни человека?
Очаг Гона является следствием первичного инфицирования организма человека микробактерией туберкулеза. Внешне он напоминает овальное образование, размер которого едва превышает 2 см. Структура представлена соединительной тканью, множественными отложениями кальция и коллагеновыми волокнами. Продолжительность формирования такой патологии составляет около 3 лет.
Очаг Гона в легких — что это такое? Чтобы понимать суть патологии, необходимо подробно рассмотреть механизм ее зарождения.
Микробактерия туберкулеза, попадая в ткани легкого, вызывает местное воспаление. Достаточно стремительными темпами очаг поражения начинает распространяться на эпителий дыхательных путей. Результатом всех процессов является омертвение тканей. Иначе он называется «казеозный некроз». Если к нему присоединяется вторичная инфекция, возникает пневмония.
Следствием проникновения микробактерии туберкулеза в организм становится активизация иммунной системы. Она начинает активно бороться с воспалением, ограничивая его от здоровых тканей лимфоцитами.
Таким образом образуется первичный туберкулезный комплекс. Он всегда включает в себя участок казеозного некроза и область активного воспаления вокруг.
Дальнейшее его развитие возможно 3 путями:
- переход в активную форму туберкулеза;
- полное рассасывание;
- обызвествление с возникновением очага Гона.
Заживление специфических гранулем может быть обусловлено их рассасыванием, а также процессами разрастания клеток из различных элементов. Перечисленные манипуляции выражаются в нескольких процессах. Это и рубцевание, и инкапсулирование (формирование стойкой оболочки), и обызвествление на фоне активного отложения кальция.
Чаще всего патологический очаг возникает в результате фиброзной трансформации. Гранулема прорастает соединительной тканью, а впоследствии образуется рубец. Одновременно с этим воспаление постепенно исчезает.
Процесс окончательного заживления первичного туберкулезного комплекса характеризуется большой продолжительностью. Это касается и очага Гона. Лечение и своевременная диагностика не оказывают должного воздействия на эту проблему.
Патологический процесс достаточно редко себя проявляет специфическими симптомами. Однако в процессе его зарождения у человека могут возникать следующие расстройства:
- слабость;
- незначительное повышение температуры;
- сухой кашель.
Перечисленные нарушения редко служат поводом для обращения к врачу. Чаще всего их игнорируют.
Очаг Гона может развиваться как в детском организме, так и во взрослом. Однако у маленьких пациентов его клиническая картина характеризуется большей выраженностью. Это обусловлено несовершенством иммунной системы, которая еще плохо развита. Первичные туберкулезные комплексы практически сразу переходят в активный процесс.
Патологический процесс достаточно трудно поддается диагностике. Его невозможно выявить при обычном физикальном осмотре или лабораторными методами. Единственный вариант диагностировать недуг — провести рентгенологическое обследование. Сегодня оно доступно посредством МРТ и КТ.
https://youtube.com/watch?v=3WIGWb-PPE8
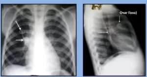
Очаг Гона на рентгенограмме выглядит как затемненное образование с резкими очертаниями. Излюбленным местом локализации признаются нижние и средние зоны органа. Легочный рисунок при этом редко изменен, корень практически не расширен.
На разных этапах обызвествления структура очага может изменяться. Иногда она однородная, но преимущественно негомогенная.
Опасен ли очаг Гона? Осложнения после выявления патологического процесса выявляются в исключительных случаях. Обычно они продиктованы множественными образованиями и увеличенными их размерами. Среди наиболее распространенных осложнений встречаются следующие:
Все перечисленные состояния, при условии отсутствия надлежащего лечения, влекут за собой нарушение полноценного функционирования легких. Следствием происходящих процессов считается возникновение дыхательной недостаточности.
Специфическое лечение очага Гона в легких не требуется. После подтверждения диагноза врач может дать ряд рекомендаций. Чаще всего это:
- полный отказ от курения;
- смена работы, если она связана с взаимодействием с химическими и токсическими веществами;
- дыхательная гимнастика;
- ежедневные прогулки на свежем воздухе;
- плавание в бассейне.
После выявления данного патологического процесса пациентам рекомендуется периодически проходить комплексное обследование, включая рентгенограмму. Такой подход позволяет оценить динамику прогресса, а при необходимости скорректировать действия врача и больного. Рекомендуется обследование проходить у одного специалиста.
Многие пугаются такого заболевания, как туберкулез. Оно имеет инфекционную природу. После заражения всегда следует длительный инкубационный период.
Пациент может даже не предполагать о появившейся проблеме со здоровьем до тех пор, пока не пройдет плановое обследование организма. Речь идет в первую очередь о флюорографии.
Некоторые и вовсе игнорируют данное исследование, ссылаясь на его низкую эффективность. На самом деле это не так.
После проникновения в организм болезнетворная инфекция начинает активно распространяться на легкие и одновременно «убивать» иммунитет. Таким образом возникает первичный очаг патологии, формирование которого сопровождает обширное поражение лимфатической системы.
Однако в скором времени он самостоятельно затягивается и заживает. На этом месте иногда остается рубец, который внешне напоминает самый обыкновенный шрам. Это и есть очаг Гона. Именно так к своему логическому завершению подходит первая стадия туберкулеза легких.
Источник:
Основной причиной развития туберкулеза являются микобактерии, среди которых самая известная – палочка Коха. Действительно микобактерии передаются воздушно-капельным путем при общении с инфицированным человеком. Естественно при этом способе распространения чаще всего поражаются легкие. Однако туберкулезу подвержены и другие органы.
К сожалению, данные ВОЗ говорят о широком распространении туберкулеза легких – практически треть населения Земли инфицированы. Конкретно в РФ умирает около 25 тысяч человек в год. Для Украины вообще наступили трудные времена – ситуацию можно назвать эпидемией.
Туберкулез – это инфекционное заболевание, которое проявляется специфическим воспалением и вызывается микобактерией туберкулеза (палочкой Коха). В медицинской документации часто можно встретить сокращение – «tbc» или «тбц легких» от латинского «tuberculosis».
Таким образом, если в диагнозе стоит ТБЦ болезнь, расшифровка простая – туберкулез легких.
Туберкулез – это преимущественно заболевание легких. Хотя существуют и другие его формы, но они больше характерны для детей и лиц с иммунодефицитом.
Справочно. При первом попадании в организм палочка Коха проникает туда, где для нее наиболее приемлемые условия – в область верхушки легких. Здесь возникает специфическое воспаление.
Дело в том, что фагоциты человека не способны полностью переваривать микобактерии. Клетка заглатывает палочку Коха, но оставляет её живой. Вокруг места, где палочка внедрилась в ткани, возникает воспаление, которое имеет четкую структуру. Это гранулема, каждый слой которой состоит из определенных клеток.
Такой очаг называют первичным или очагом Гона. Они есть более, чем у 90% взрослого населения.
Человек может прожить с этим очагом до старости и умереть совершенно от другой причины. Бактерии при этом находятся в инактивированном состоянии и человек не опасен для окружающих.
Справочно. Очаг Гона в легких – это наша защита от туберкулеза, именно благодаря ему у человека поддерживается стойкий иммунитет к палочке Коха.
Если наш иммунитет защищает нас от развития активного туберкулеза, становится непонятно, почему у некоторых людей всё же возникает эта болезнь. Причин существует несколько:
- Первая встреча с микобактерией. У нас она, как правило, происходит еще в детском возрасте. При этом привитые дети не заболевают, а у не привитых может развиться любая форма туберкулезного процесса.
- Иммунодефицит. Если у человека значительно снижен иммунитет, его организм не защищен от туберкулеза. По этой причине часто встречается ко-инфекция ВИЧ/туберкулез. Кроме того, снижение иммунитета наблюдается в пожилом возрасте, когда риск заболеть также увеличивается.
- Пребывания в сыром темном помещении. В таких местах палочки Коха могут жить годами, если человек длительно там находится (например, тюремная камера или бомбоубежище), у него может возникнуть открытая форма из-за большой микробной нагрузки.
- Плохое питание. Для того, чтобы поддерживать иммунитет, необходимо употреблять белковую пищу. У тех, кто пренебрегает ею, может развиться любое инфекционное заболевание.
- Массивная контаминация. Это одна из самых частых причин. При постоянном нахождении рядом с больным открытой формой туберкулеза, человек получает такую дозу микобактерий, с которой иммунитет справиться просто не в состоянии.
Понятно, что все о туберкулезе легких знать и не нужно, но следует понимать, что, если раньше туберкулез считали болезнью тюремных заключенных, то сейчас им может заболеть каждый. Из-за большого числа болеющих активными формами, шанс заразиться достаточно высок.
Внимание! Старайтесь максимально снизить риски по указанным причинам туберкулеза легких.
Медицинская клиническая классификация основана на локализации очага воспаления. По этому принципу выделяют такие формы:
- Легочная. Туберкулез легких встречается чаще всего. При этом сам очаг может быть в ткани легкого, в бронхах, трахее, плевре;
- Внелегочная. В этом случае микобактерия током крови разносится в различные органы. Может быть туберкулез ЖКТ, почек, печени, оболочек головного мозга, позвоночника, костей и др.
Внелегочная форма встречается исключительно у детей при первой встрече с микобактерией или у лиц с выраженным иммунодефицитом.
Для туберкулеза легких существует классификация по распространенности, где выделяют острые формы:
- Милиарный туберкулез легких – очаг несколько миллиметров (до 3);
- Очаговый – воспаление больше 3мм до меньше 1см;
- Инфильтративный – воспаление более 1см и не имеет линии разграничения;
- Кавернозный – образование полости в легком;
- Диссеминированный – множество милиарных очагов;
- Казеозная пневмония – очаг некроза и распада тканей легкого, может занимать сегмент, долю или всё легкое.
Существуют хронические формы, которые говорят об очень длительном течении воспалительного заболевания. Выделяют следующие хронические легочные формы:
- Фиброзно-кавернозная – полость с соединительной тканью на месте бывшего воспаления;
- Туберкулема – очаг, похожий на опухоль, внутри которого казеозный некроз, а снаружи – отграниченное воспаление;
- Цирротическая форма – развитие множественных соединительнотканных очагов.
Справочно. Стоит обратить внимание на то, что термин «открытая форма» в официальной классификации не встречается. Так говорят о том туберкулезе, который сопровождается выделением бактерий. Врачи обозначают его как: «реакция на КУБ (кислотоустойчивые бактерии) положительна».
Симптомы при туберкулезе легких:
- Повышение температуры. При туберкулезе температура тела повышается незначительно, чаще держится около 37.2°С. Такие цифры могут наблюдаться в течение многих месяцев. Лихорадка и перепады температуры не характерны.
- Кашель. Второй по распространенности симптом. Вначале возникает сухой кашель, затем продуктивный с небольшим количеством вязкой слизистой мокроты. По мере развития заболевания кашель усиливается.
- Снижение аппетита и похудание. Характерны для длительно существующего туберкулеза и достаточно развернутого процесса в легких.
- Боль в груди. Возникает только в том случае, если процесс поражает плевру, легкие болевых рецепторов не имеют.
- Кровохарканье. Этот симптом возникает поздно, когда некроз тканей становится распространенным.
Источник: https://cgb-vuf74.ru/zabolevaniya/chto-takoe-ochag-gona-v-lyogkih-i-kak-ego-lechit.html
18 июня 2017
В повседневной жизни каждый человек многократно сталкивается с возбудителем туберкулеза. Обычно он даже не замечает этого.
Подтверждением данному факту являются «случайные» находки при прохождении ежегодной плановой флюорографии. Речь идет об очагах Гона.
От их появления абсолютно никто не застрахован, но и игнорировать патологию нельзя. Действительно ли они представляют опасность для жизни человека?
Здоровье 27 июня 2015
Туберкулез – это инфекционное заболевание, именуемое также “чахоткой” и известное с глубокой древности. Инфекция туберкулеза передается воздушно-капельным путем и в большом количестве существует и в наше время, однако для ее передачи необходимо долгое и неоднократное нахождение рядом с больным человеком, а также сниженный иммунитет.
На начальном этапе заболевания характерно появление такого комплекса в легких, как очаг Гона.
Как только туберкулезная палочка попадает в организм человека, начинается воспаление.
Происходит это очень медленно. Так как организм еще не успел выработать способов борьбы с бактериями, инфекция распространяется достаточно легко. При этом формируется первичный ограниченный очаг воспаления в легком.
Параллельно может начинаться развитие воспаления в лимфатических сосудах, так называемый лимфангиит. После заживления первичного очага воспаления пораженная зона кальцинируется и затвердевает. Образуется очаг Гона.
Итак, первая стадия туберкулеза заканчивается, когда появляется очаг Гона в легких. Что это такое – рассмотрим подробнее.
Источник: https://legkieplus.ru/lechenie/chto-znachit-esli-vyyavlen-ochag-gona-v-legkih.html
Что такое палочка Коха известно всем, она считается возбудителем туберкулёза – это заболевание способно оставлять очаг Гона в лёгких.
Обнаружить такую отрицательную для здоровья находку удаётся в результате прохождения флюорографии, при которой идёт сканирование органов дыхания на предмет выявления полостных образований.
Что такое очаг Гона в лёгком, несёт ли он опасность здоровью человека, и как формируется новообразование в дыхательных органах? Чтобы точно ответить на вопросы, требуется поближе познакомиться с патологическим состоянием, и понять, что же такое очаги.
Очаг Гона, развивающийся в полости лёгких, считается результатом заражения организма палочкой Коха, которая является возбудителем туберкулёза.
Проявляет себя такой очаг только в том случае, если человек первый раз заразился лёгочным туберкулёзом.
В среднем новообразование формируется в дыхательных органах пациента 3 года, на протяжении которых он может замечать лишь некоторые симптомы болезни, которые не явно характеризуют её течение.
Что же такое очаг Гона? Такое новообразование представляет собой очаг овальной формы, края которого иногда лучистые и неровные. Структура появившейся полости состоит из соединительной ткани, которая заменяется в результате поражения лёгочных тканей. Известно, что соединительная ткань заменяет собой повреждённую, так как большинство тканей организма не имеют способности восстановления.
Помимо соединительной ткани, очаги Гона включают в себя кальциевые отложения и волокна коллагена. В среднем размер полостей составляет 2-3 см.
Особенно хорошо очаги Гона заметны на рентгенограмме, поэтому такая диагностическая процедура обязательно проводится для людей, у которых имеется подозрение на развитие туберкулёза. Возбудитель патологии, а именно палочка Коха, после попадания в лёгочные ткани вызывает их воспаление.
В итоге оно наносит повреждающее действие на состояние важного для здоровья органа. Если очаги вовремя не обнаружить, они со временем станут расти, значительно увеличивая собственный размер.
Если туберкулёз не лечится долгое время, в дыхательных органах развивается омертвение тканей – это ведёт к развитию казеозного некроза, отрицательно действующего на здоровье человека.
Если рентгенограмма покажет большие очаги патологии, в них может быстро развиться инфекция, что вызовет пневмонию.
Поэтому за развитием очагов Гона следует следить внимательно, так как отсутствие своевременного оказания помощи вызовет развитие осложнений, более серьёзных для здоровья человека.
Чем грозит несвоевременное выявление очагов?
Если новообразование в дыхательных органах не было вовремя диагностировано, это грозит неприятными последствиями для здоровья.
К ним относится:
- со временем бугорки туберкулёза сливаются между собственными полостями;
- срастание бугорков вызывает поражение корня лёгкого и лимфатических узлов;
- длительное отсутствие оказания помощи ведёт к переходу воспаления на плевру и плевральные листки.
В итоге происходит развитие первичного туберкулёза, который вызывает следующие нарушения состояния дыхательных органов:
- увеличение размера лимфатических узлов, которые находятся внутри грудной клетки;
- появление участка, поражённого казеозным некрозом;
- развитие перифокального воспаления, которое появляется вокруг очагов Гона.
Очаг Гона в лёгких – что это и как проходит лечение болезни?
Исход лечения может быть одним из следующих:
- полное рассасывание полостей;
- переход патологии в активную туберкулёзную форму, несущую опасность для окружающих, поскольку она считается заразной;
- обызвествление, при котором затрагивается очаг Гона.
Если в полости лёгких происходит заживление гранулём, это связывается с рассасыванием полостей.
В итоге в органах дыхания появляются:
- рубцы;
- отложение кальция в полости лёгких;
- формирование плотной оболочки в полости дыхательных органов;
- очаговое уплотнение.
Можно ли заразиться очагом Гона? Нет – патология появляется только при попадании возбудителя заболевания в полость лёгких. Если палочка Коха проникнет в организм от инфицированного, она начнёт активно развиваться, образуя после себя новообразования.
Мы выяснили, что очаг Гона передаваться воздушно-капельным и иными путями не может. Поэтому прежде чем начинать лечение туберкулёза, следует правильно выявить симптомы заболевания, а также выяснить клиническую картину течения болезни.
При развитии новообразований в полости лёгких, больные могут замечать следующие симптомы патологии:
- слабость, которая в основном наблюдается в вечернее время;
- незначительное увеличение температуры, которое проявляет себя в короткие временные промежутки (обычно такое время составляет 2-3 часа);
- кашель сухого типа, который изредка появляется у больного.
Если хотя бы один симптом будет беспокоить больного, ему понадобится срочно обратиться к врачу. Важно заметить: у детей признаки развития очагов Гона наблюдаются более выраженно.
Это обуславливается слабостью иммунитета в тот момент, когда ребёнок впервые заражается опасной для здоровья бактерией.
Поэтому маленьким детям правильно поставить диагноз зачастую бывает трудно, хотя иногда симптомы болезни явно указывают на течение туберкулёза и развитие очагов Гона.
Очаг Гона в лёгких – заразно ли это? Нет – само новообразование передаётся. Вызвать развитие патологии способна открытая форма туберкулёза, несущая опасность для здоровья окружающих людей.
Для начала стоит отметить, что очаг Гона выявить при помощи лабораторных исследований и общем осмотре организма не получится.
Чтобы поставить верный диагноз, понадобится провести ряд компьютерных обследований дыхательных органов, к которым относится:
- рентген грудного отдела, который проводится при помощи двух способов – боковой и прямой;
- компьютерная томография;
- МРТ;
- флюорография.
При проведении рентгенологического исследования, появившиеся в лёгких очаги, выглядят, как овальные затемнения (или же круглые) с резким и реже размытым основанием. Размеры полостей при проведении рентгена могут варьироваться в пределах 5мм. При этом полости могут быть одиночными и множественными.
Зачастую очаги Гона появляются в нижней части лёгких – в таком случае при проведении компьютерной диагностики выявить их достаточно просто. Однако важно знать, что в нижнем лёгочном отделе полости имеют неровный контур. При этом рисунок лёгких и их корень не изменяется.
https://youtube.com/watch?v=vVPOU9vcNqY
По мере роста очага Гона, меняется не только его форма, но и структура, она может быть:
- однородная;
- неоднородная – в таком случае новообразование наделено неровными гранями, зернистым или же дольчатым строением.
Выявить очаги Гона при помощи рентгена достаточно просто, поскольку такое новообразование различается с остальными видами лёгочных полостей. Однако если у человека отсутствуют симптомы течения болезни, выявить заболевание удаётся только при проведении профилактических мероприятий.
Важно заметить, что при проведении иных компьютерных процедур врачу удаётся получить более правильную картину течения болезни. К таким диагностическим методам относится МРТ и КТ. После проведения таких медицинских исследований доктор может заметить не только очаги Гона, но и иные новообразования полости лёгких.
К ним относится:
- казеозные массы;
- изменения строения и целостности лимфатических узлов;
- перифокальное воспаление.
Какие заболевания может вызвать очаг Гона:
- Рецидив течения туберкулёза. В таком случае в лёгких поражается большое количество тканей, что ведёт к осложнению заболевания.
- Цирроз и фиброз лёгкого. Эти последствия атакуют дыхательные органы больного в том случае, если цирроз или фиброз уже ранее были диагностированы у пациента.
- Смещение в сторону органов средостения. В таком случае, чтобы вылечить болезнь, понадобится сначала провести терапию туберкулёза, а после начать лечение второстепенной патологии.
Эти состояния вызывают нарушение здорового и нормального функционирования полости лёгких, что в итоге ведёт к возникновению дыхательной недостаточности.
Первым делом стоит отметить, что никакой народный метод терапии не сможет излечить заболевание. Однако при возникновении очагов Гона доктор часто даёт общие советы и рекомендации по восстановлению организма.
К ним относится:
- полный отказ от курения и других вредных привычек, к которым относится приём спиртосодержащих напитков и употребление наркотиков;
- работа на вредных для здоровья предприятиях, которые негативно влияют на организм человека, особенно полость лёгких – в таком случае пациенту требуется сменить работу;
- плавание в бассейне или посещение бальнеотерапии в санаториях или иных зонах отдыха;
- ежедневное проведение гимнастических процедур для органов дыхания;
- ежедневные прогулки.
Людям, у которых ранее были выявлены очаги Гона в лёгких, следует каждый год проводить рентген, чтобы выявить положительную или отрицательную динамику. Желательно такое обследование проводить каждый раз у одного врача, чтобы он смог точно установить причину развития болезни и понять, происходит ли рост новообразования в органах дыхания или нет.
По фото рентгена получится правильно установить диагностику, поэтому больным, находящимся в группе риска, больше не понадобится проводить иные диагностические мероприятия.
В случае появления очагов Гона больному назначается макропрепарат, при помощи которого удастся нормализовать состояние лёгких. Пациенту надо запомнить, что развитие новообразований – это не приговор, а значит, болезнь можно диагностировать и излечить.
Источник: https://tuberkulez03.ru/info/ochag-gona-v-lyogkix.html
В повседневной жизни человек неоднократно сталкивается с возбудителем туберкулеза легких, даже не замечая этого. Подтверждением этому являются «случайные» находки при прохождении ежегодной плановой флюорографии, которые представляют собой очаги Гона. Как они формируются и несут ли опасность для организма, рассмотрим в этой статье.
Очаг Гона в легких является результатом первичного инфицирования человека микобактерией туберкулеза. Длительность его формирования в среднем составляет до 3 лет. Очаг Гона представляет собой овальное образование, иногда с неровными лучистыми контурами. Структура его представлена соединительной тканью, коллагеновыми волокнами, отложениями кальция. Размеры могут достигать 2 см.
Микобактерия туберкулеза (МБТ), проникая в ткани легкого, вызывает местное воспаление его ткани. Вследствие повреждающего воздействия микроорганизма на эпителий дыхательных путей пораженные участки увеличивается в размерах. Результатом таких процессов является омертвение тканей – казеозный некроз. При присоединении к нему вторичной инфекции развивается пневмония.
Следствием такого агрессивного действия МБТ на ткани легкого является активизация иммунной системы и ответная реакция организма. Она выражается отграничением повреждения от окружающих структур определенными клетками, которые борются с воспалением – лимфоцитами. В дальнейшем из этих участков формируются специфические гранулемы, в центре которых находится участок казеозного некроза.
Если на данном этапе болезнь не выявлена, то туберкулезные бугорки сливаются между собой, поражаются лимфатические узлы корня легкого. Воспаление может переходить на близлежащую плевру.
Так формируется первичный туберкулезный комплекс, который включает в себя:
- участок казеозного некроза,
- зону активного воспаления вокруг него (перифокальное воспаление),
- увеличение внутригрудных лимфатических узлов.
Дальнейшее развитие комплекса может идти по 3 путям:
- переход в активную форму туберкулеза,
- полное рассасывание,
- обызвествление с формированием очага Гона.
Заживление специфических гранулем связано с их рассасыванием и процессами разрастания клеток из различных тканей. Выражается это в нескольких процессах:
- рубцевание,
- уплотнение очага за счет прорастания коллагеновыми волокнами,
- формирование оболочки – инкапсулирование,
- отложение кальция и обызвествление.
Наиболее частый путь формирования очага Гона в легком – фиброзная трансформация. Сущность этого механизма заключается в прорастании гранулемы соединительной тканью и последующее образование рубца. Перифокальное воспаление постепенно проходит.
Трансформация идет от краев капсулы к центру, фрагментируя туберкулезные бугорки. В таких случаях обнаруживаются промежуточные формы МБТ, что играет важную роль при рецидивировании инфекции. После полной кальцинации очагов возбудитель не выделяется.
Процесс заживления первичного туберкулезного комплекса с формированием очага Гона отличается большой продолжительностью. Как правило, на него не влияют своевременная диагностика и адекватная химиотерапия.
Очаг Гона в легких редко проявляет себя клинически. Во время его формирования у человека могут отмечаться:
- небольшая слабость,
- незначительное повышение температуры тела на короткие промежутки времени,
- периодический сухой кашель.
Более выраженные симптомы наблюдаются у детей. Обусловлено это несовершенством иммунного ответа, что проявляется в появлении первичных туберкулезных комплексов и их одновременном переходе в активный процесс и очаг Гона. Поэтому наиболее часто такие образования своевременно диагностируются у маленьких пациентов.
Очаг Гона невозможно выявить при общем осмотре и лабораторных исследованиях. Единственные методы, позволяющие его диагностировать, – это рентгенологические.
К ним относятся:
- обзорная рентгенография органов грудной клетки в двух проекциях: прямой и боковой,
- компьютерная томография (КТ),
- магнитно-резонансная томография (МРТ).
При рентгенологических исследованиях очаг Гона представляет собой затемнение овальной (реже округлой) формы с резкими очертаниями, размерами до 5 мм. Образования могут быть единичными и множественными. Излюбленная их локализация – нижние и средние отделы легких. Иногда контуры очага могут быть неровные. Легочный рисунок неизменен, корень не расширен.
На разных этапах петрификации (обызвествления) очага Гона изменяется, структура его может быть:
- гомогенной (однородной),
- негомогенной: имеет зернистое или дольчатое строение, неровные границы.
Выявление очага Гона на рентгенологических снимках не представляет трудностей. Однако ввиду отсутствия клинических проявлений, часто обнаруживается случайным образом.
При проведении КТ или МРТ можно получить более информативную картину.
В результате таких исследований могут выявляться остаточные явления перифокального воспаления, казеозные массы, изменения в лимфатических узлах. Назначают такие обследования при подозрении на рецидив туберкулеза в случае окончательно не сформированного очага Гона.
Осложнения после выявления данной патологии случаются очень редко. При большом количестве очагов Гона, больших их размерах (например, после диссеминированного туберкулеза) возможно развитие:
- фиброза и цирроза легкого,
- рецидива туберкулезной инфекции,
- смещения органов средостения.
Такие состояния ведут к нарушению нормального функционирования легких, что сопровождается развитием дыхательной недостаточности.
Никакой специфической терапии выявленная патология не требует. Врач может дать общие рекомендации:
- отказ от курения,
- при вредных производственных факторах, влияющих на состояние легких, , переход на другую работу,
- прогулки на свежем воздухе,
- дыхательная гимнастика,
- плавание в бассейне.
Людям с выявленным в легких очагом Гона показаны ежегодные рентгенологические обследования для оценки динамики процесса. Желательно проходить такие обследования в одном и том же месте у одного врача. Очаг Гона не является приговором и не является признаком развивающегося туберкулеза. Он лишь свидетельствует о побежденной организмом инфекции.
Загрузка…
Источник: https://prof-medstail.ru/bolezni-legkih/simptomy-i-lechenie/chto-znachit-esli-vyyavlen-ochag-gona-v-legkih
Поделиться:








