Компьютерная томография (кт) — это один из методов исследования человеческого тела на предмет выявления различных образований, и изменений во внутренних органах и тканях организма, с целью постановки, в дальнейшем, максимально точного диагноза.
Данный метод диагностики является наиболее современным и одним из самых точных. Его суть заключается в воздействии на тело человека рентгеновских лучей, и последующем, после их прохождения сквозь тело пациента, компьютерном анализе.
Компьютерная томография — по истине является универсальным методом, применение которого уместно при заболеваниях любого органа относящегося к любой системе человеческого организма. Не исключением являются и органы дыхательной системы, в том числе, лёгкие.
При появлении подозрений, связанных с возникновением какого-либо лёгочного заболевания, как правило, врач первым делом, отправляет своего пациента на кт огк (органы грудной клетки) лёгких.
Именно таким способом удаётся:
- За минимальные сроки и с максимальной точностью понять какое заболевание поразило лёгкие больного;
- Определить на какой стадии находится заболевание;
- Дать адекватную оценку общего состояния лёгких (определение их плотности, диагностика состояния альвеол, измерение дыхательного объёма);
- Проанализировать состояние всех, даже самых мелких лёгочных сосудов, сердца, аорты, лёгочной артерии, верхней полой вены, трахеи, бронхов, а так же лимфатических узлов расположенных в грудной полости.
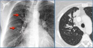
На кт очень хорошо видны все сегменты лёгких, благодаря чему, при подтверждении наличия лёгочной болезни, представляется возможным достаточно точно определить область локации заболевания.
Одним из признаков наличия лёгочного заболевания является образование на лёгких очагов. Стоит понимать, что такая симптоматика присуща в большинстве случаев достаточно серьёзным заболеваниям, которые при отсутствии адекватного лечения могут привести даже к летальному исходу.
Итак, к болезням вызывающим появление очагов в лёгких относят:
- онкологические заболевания, а так же результаты их развития (метастазы, ретикулёз, лимфогранулематоз, непосредственно опухоли и пр.)
- очаговый туберкулёз;
- пневмонию;
- инфаркт;
- эмболию сосудов лёгких;
- отёки в следствии нарушения кровообращения, либо как результат аллергической реакции организма;
- кровотечения;
- сильные ушибы грудной клетки и пр.
В подавляющем большинстве случаев, к появлению очагов на лёгких приводят туберкулёз и пневмония, реже онко- заболевания.
Сразу после получения снимков кт лёгких имеющих очаги, производится их классификация. На данный момент, в современной медицине очаги классифицируют по следующим признакам:
- Размеры: — мелкие (1-2 мм. в диаметре); — средние (3-5 мм. в диаметре);
— крупные (до 1 см.)
- Плотность: — плотные; — средней плотности;
— не плотные.
- В зависимости от численности: — единичные очаги в лёгких могут быть, как свидетельством такого смертельного заболевания, как злокачественная опухоль, так и обычным возрастным изменением, которое является абсолютно безобидным;
— множественные очаги наиболее присущи для пневмоний и туберкулёза, однако некоторые не многочисленные и достаточно редко встречающиеся разновидности онко. заболеваний так же характеризуются развитием множества очагов;
- Месторасположением. Лёгкие человека покрыты тонкой плёнкой, имеющей название плевра. В зависимости от расположения очага по отношению к ней бывают: — субплевральные очаги (под плеврой);
— плевральные очаги.
Источник: gdesdelatmrt.ru
И.Е. Тюрин
Очаговые образования в легких представляют собой самостоятельный рентгенологический и клинический синдром; в большинстве случаев они протекают бессимптомно и выявляются при профилактических рентгенологических исследованиях.
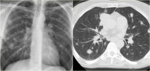
Одиночный очаг в легких (ООЛ) определяют как локальный участок уплотнения легочной ткани округлой или близкой к ней формы диаметром до 3 см.
Это международное определение отличается от традиционного отечественного представления о легочных очагах, источником которого является фтизиатрическая практика (в классификации туберкулеза легких размеры очагов не превышают 1 см, а уплотнения большего размера определяются как инфильтраты, туберкуломы и другие виды изменений).
Максимальный размер одиночного очага, равный 3 см, соответствует принятой в настоящее время схеме стадирования немелкоклеточного рака легкого, в которой очаги такой величины относят к стадии Т1 опухолевого роста.
Очаги в легочной ткани могут быть единичными (в количестве от 2 до 6 включительно) или множественными.
Единичные очаги занимают промежуточное положение, а их оценка в значительной степени определяется конкретной клинической ситуацией (например, скрининг рака легкого, злокачественная опухоль внегрудной локализации в анамнезе и т.д.). Наличие именно одиночного очага является одним из основных критериев синдрома ООЛ.
Правильная характеристика ООЛ остается важной клинической проблемой в торакальной радиологии и в респираторной медицине в целом. Известно, что 60-80% резецированных ООЛ представляют собой злокачественную опухоль.
Среди всех ООЛ, выявляемых при рентгенологическом исследовании, частота опухолей значительно меньше (обычно она не превышает 50%), однако и в этом случае правильная оценка изменений в легких имеет большое значение для пациента.
Основной задачей лучевого исследования при ООЛ является неинвазивная дифференциальная диагностика злокачественного и доброкачественного процесса, а также выявление среди них форм туберкулеза легких. В ряде случаев это возможно на основании характерных признаков, обнаруживаемых при рентгенографии или рутинной компьютерной томографии (КТ).
Тем не менее специфичность большинства из этих симптомов низка, поэтому для правильной оценки ООЛ необходимо привлечение дополнительных методик и альтернативных технологий.
К ним можно отнести оценку скорости роста очага в легком, анализ вероятностных факторов злокачественности, динамику накопления контрастного вещества при КТ и 18-фтордезоксиглюкозы (18-ФДГ) при позитронно-эмиссионной томографии (ПЭТ), а также морфологическое исследование материала, полученного при трансторакальной игловой аспирационной биопсии или видеоторакоскопии.
Очевидно, что в повседневной клинической практике вряд ли может существовать единый алгоритм дифференциальной диагностики ООЛ для всех пациентов и для всех клинических ситуаций, а задачей любых клинических рекомендаций является точная оценка возможностей, предоставляемых отдельными диагностическими методами и их сочетаниями.
Выявление одиночных очагов в легких. До настоящего времени методом первичного выявления очагов в легочной ткани остается обычное рентгенологическое исследование – рентгенография или флюорография. Одиночные очаги обнаруживаются в 0,2-1,0% всех рентгенологических исследований грудной клетки.
На обзорных рентгенограммах или флюорограммах редко можно выявить одиночный очаг размером 1 см такие контуры служат веским аргументом в пользу злокачественного процесса и, следовательно, показанием для морфологической верификации.
В одном из исследований среди очагов, имевших четкие волнистые контуры, частота злокачественных опухолей достигала 40%. Поэтому округлая форма и четкие контуры очага сами по себе не являются признаками доброкачественности процесса и не могут служить причиной для завершения диагностического процесса.
Плотность одиночных очагов в легких, определяемая при КТ, позволяет разделить все очаги на три группы:
- очаги по типу “матового стекла”;
- смешанные или частично солидные очаги;
- очаги солидного типа.
Очаги по типу “матового стекла” отличаются низкой плотностью, на их фоне видны стенки бронхов, контуры сосудов и элементы измененного легочного интерстиция. Они наблюдаются при недеструктивных воспалительных процессах, атипичной аденоматозной гиперплазии и высокодифференцированных аденокарциномах.
Морфологическая основа данного феномена заключается в утолщении межальвеолярных перегородок на ограниченном участке при сохранении воздушности альвеол, что может возникать за счет воспалительной инфильтрации, фиброзных изменений или частичного заполнения альвеол экссудатом.
При развитии аденокарциномы (в том числе и бронхиолоальвеолярной) опухолевые клетки располагаются вдоль стенок альвеол, длительное время не заполняя их просвет.
В результате возникает опухолевый очаг по типу “матового стекла”, который в большинстве случаев не виден на рентгенограммах и линейных томограммах.
Очаги смешанного или частично солидного типа характеризуются наличием более плотного участка в центре и зоны низкой плотности по типу “матового стекла” по периферии. Такие очаги обычно возникают вокруг старых рубцов в легочной ткани, в том числе и посттуберкулезных.
В большинстве случаев они представляют собой разрастание железистой опухоли.
До 34% несолидных очагов представляют собой злокачественную опухоль, а среди очагов частично солидного типа размером 70 лет;
размеры очага 21-30 мм;время удвоения объема очага 10 мм, мягкотканной плотности, с относительно четкими ровными или волнистыми контурами, без каких-либо включений по данным КТ. Уточнение природы ООЛ у таких пациентов может осуществляться с помощью биопсии, динамической КТ, ПЭТ и ПЭТ/КТ Выжидательная тактика и динамическое наблюдение допустимы здесь лишь в исключительных случаях, обоснованных клинической целесообразностью.
Отдельную группу составляют пациенты с выявленными при КТ некальцинированными очагами размером
Источник: https://delhimodi.com/other/mnozhestvennye-ochagi-v-legkih.html
Очаговые образования в легких представляют собой уплотнения тканей, причиной которого могут выступать различные недуги. Причем для установки точного диагноза осмотра врача и рентгенографии оказывается недостаточно. Окончательный вывод можно сделать только на основе специфических методов обследования, подразумевающих сдачу анализа крови, мокроты, пункцию тканей.
Важно: мнение о том, что причиной множественного очагового поражения легких может выступать только туберкулез – является ошибочным.
Речь может идти о:
- злокачественных новообразованиях;
- пневмонии;
- нарушениях обмена жидкости в дыхательной системе.
Поэтому постановке диагноза должно предшествовать тщательное обследование пациента. Даже если врач уверен, что у человека очаговая пневмония, произвести анализ мокроты необходимо. Это позволит выявить патоген, что стал причиной развития недуга.
Сейчас некоторые пациенты отказываются от сдачи некоторых специфических анализов. Причиной этого может быть нежелание или отсутствие возможности посетить клинику из-за ее удаленности от места проживания, отсутствие средств. Если этого не сделать, то присутствует большая вероятность, что очаговая пневмония перейдет в хроническую форму.
Сейчас очаговые образования в легких делят на несколько категорий исходя из их количества:
- Одиночные.
- Единичные – до 6 штук.
- Множественные – синдром диссеминации.
Присутствует разница между международно принятым определением того, что такое очаги в легких, и тем, что принято в нашей стране. За рубежом под данным термином понимают наличие участков уплотнения в легких округлой формы и диаметром не более 3 см. Отечественная практика ограничивает размер 1 см, а остальные образования относит к инфильтратам, туберкуломам.
Важно: компьютерный осмотр, в частности томография, позволят с высокой точностью определить размер и форму поражения легочной ткани. Однако необходимо понимать, что и у этого метода обследования есть свой порог погрешности.
Фактически, очаговое образование в легком представляет собой дегенеративное изменение легочной ткани или скапливание в ней жидкости (мокроты, крови). Правильная характеристика одиночных очагов легких (ООЛ) – это одна из важнейших проблем современной медицины.
Важную роль здесь играет то, как характеризуются очаги в легких на КТ. С помощью этого вида обследования, основываясь на характерных симптомах, врач может выдвигать предположения о наличии таких серьезных заболеваний, как туберкулез или злокачественные новообразования.
Однако для уточнения диагноза необходимо сдать дополнительные анализы. Аппаратного обследования для выдачи медицинского заключения недостаточно. До сих пор повседневная клиническая практика не имеет единого алгоритма проведения дифференциальной диагностики для всех возможных ситуаций. Поэтому врач каждый случай рассматривает в отдельности.
Туберкулез или воспаление легких? Что может помешать, при современном уровне медицины, произвести точную диагностику аппаратным методом? Ответ прост – несовершенство оборудования.
На самом деле, при прохождении флюорографии или рентгенографии сложно выявить ООЛ, размер которого меньше 1 см. Интерпозиция анатомических структур может сделать практически невидимыми и более крупные очаги.
https://youtube.com/watch?v=3WIGWb-PPE8
Поэтому большинство врачей советует пациентам отдать предпочтение компьютерной томографии, которая дает возможность рассмотреть ткани в разрезе и под любым углом.
Это полностью устраняет вероятность того, что поражение будет закрыто сердечной тенью, ребрами или корнями легких.
То есть рассмотреть всю картину в целом и без вероятности фатальной ошибки рентгенография и флюорография попросту не может.
Это имеет следующие объяснения низкой чувствительности аппарата:
- Патология находится в центральной зоне – 61%.
- Размер до 0,5 см – 72%.
- Маленькая плотность тканей – 65%.
Установлено, что при первичном скрининговом КТ вероятность пропустить патологическое изменение тканей, размер которого не превышает 5 мм, составляет около 50%.
Если же диаметр очага более 1 см, то чувствительность аппарата составляет более 95%. Для увеличения точности получаемых данных используют дополнительное программное обеспечение для получения 3D-изображения, объемного рендеринга и проекций максимальных интенсивностей.
В современной отечественной медицине присутствует градация очагов, исходя из их формы, размера, плотности, структуры и состояния окружающих тканей.
Точная постановка диагноза на основании КТ, МРТ, флюорографии или рентгенографии является возможной лишь в исключительных случаях.
Обычно в заключении дается лишь вероятность наличия того или иного недуга. При этом непосредственно самому местонахождению патологии не придается решающего значения.
Яркий пример – нахождение очага в верхних долях легкого. Установлено, что данная локализация присуща 70% случаев выявления первичной злокачественной опухоли данного органа.
Однако это является типичным и для туберкулезных инфильтратов. С нижней долей легкого присутствует примерно такая же картина.
Здесь выявляют рак, развившейся на фоне идиопатического фиброза и патологические изменения, причиной которых стал туберкулез.
Большое значение уделяется тому, какими являются контуры очагов.
В частности, нечеткий и неровный абрис, при диаметре поражения более 1 см, сигнализируют о высокой вероятности злокачественного процесса.
Особое внимание обращают на плотность тканей: исходя из этого параметра, врач имеет возможность отличить пневмонию от рубцевания легочной ткани, например, вызванной посттуберкулезными изменениями.
Следующий нюанс – КТ позволяет определить типы включений, то есть определить структуру ООЛ. Фактически после обследования специалист с высокой точностью может сказать, какое именно вещество скапливается в легких. Однако лишь жировые включения дают возможность определить происходящий патологический процесс, так как все остальные не относятся к категории специфических симптомов.
Очаговые изменения в легочной ткани могут быть спровоцированы как достаточно легко поддающимся лечению заболеванием – пневмонией, так и более серьезными недугами – злокачественными и доброкачественными новообразованиями, туберкулезом. Поэтому важно своевременно их выявить, в чем поможет аппаратный метод обследования – компьютерная томография.
Статья помогла вам?
Дайте нам об этом знать — поставьте оценку
Загрузка…
Источник: https://opnevmonii.ru/terapiya/ochagovye-obrazovaniya-v-legkix.html
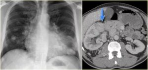
Метастатическим или вторичным раком легких называются опухоли, которым дают начало раковые клетки, попавшие в легочную ткань из других органов.
Статистика говорит о том, что у 30-55% онкологических больных обнаруживаются метастазы в легких. Злокачественные опухоли дают отсевы в лёгочную ткань: рак любого органа, саркомы, меланомы, заболевания кроветворной и лимфатической системы. Через лёгкие проходит вся кровь, и условия благоприятны для выживания бактерий, вирусов, грибов и опухолевых клеток.
Собирающий лимфу общий лимфатический проток несёт её в крупные вены, которые впадают в верхнюю полую вену. При посредстве правых отделов сердца венозная кровь, смешанная с лимфой, тоже проходит через лёгкие.
Площадь структурных единиц, составляющих то, что мы называем лёгкими — лёгочных альвеол — более 150 квадратных метров.
Достаточно места, изумительное полнокровие, прекрасные условия для размножения злокачественных клеток.
Иными словами, присутствуют благоприятные условия для распространения раковых клеток в легкие гематогенным (через кровь) и лимфогенным (через лимфатическую систему) путем.
Метастатические узлы бывают очень разными, считают, что по плотности они полное отражение первичной опухоли. Если определять плотность на ощупь, то все опухоли тяготеют к каменистости или, по крайней мере, к костной плотности.
Но плотность для очагов в лёгких понятие относительное, прощупать их можно только во время операции, которую в метастатической стадии делают чрезвычайно редко.
Плотность определяют при рентгенологическом исследовании преимущественно для дифференциальной диагностики, то есть поиска признаков характерных отличий одного заболевания от другого.
Метастазы в лёгких бывают разными по форме, ее определяют по рентгеновским снимкам:
- Очаговые метастазы, которые на рентгеновском снимке видны образования разного диаметра. Традиционно этот вариант метастазирования считается проявлением менее агрессивной злокачественной опухоли. При небольшом распространении более благоприятно протекают именно очаговые образования. Они как раз считаются преимущественно гематогенными, то есть занесёнными кровью.
- Инфильтративные метастазы, когда опухолевые клетки расползаются по эпителиальной выстилке альвеол, что на рентгенограмме проявляется в виде сетки или разной формы затемнений. Такой вариант традиционно считают вариантом более агрессивной опухоли — агрессивные по течению меланомы и саркомы дают преимущественно очаговые, а не инфильтративные метастазы в лёгких. Эти вторичные проявления относят к лимфогенным.
- Смешанные метастазы — сочетание очаговых и инфильтративных «теней» в лёгких — частое явление в клинической практике.
По числу метастазы могут быть:
- солитарными – один очаг;
- единичными – не более десяти;
- множественными.
Метастатические узлы бывают мелкими и крупными, а ещё сливающимися друг с другом, односторонними, когда поражено одно лёгкое и двухсторонними.
Вокруг метастазов тоже могут жить бактерии, всё-таки по бронхиальному дереву проходит нестерильный воздух, а опухоль меняет местный иммунитет, и возникает воспаление. Когда внутренняя часть опухоли не получает достаточного питания — она отмирает, и в центре образуется полость распада. Если такая полость соединится с бронхом, то в неё могут попасть бактерии, и полость заполнится гноем.
Плевра — пленка из соединительной ткани. Она состоит из двух листков: один покрывает снаружи легкие, а другой выстилает изнутри стенки грудной полости. Плевра интимно спаяна с лёгким. В ней тоже могут возникнуть метастазы, но намного реже. Опухоли из легких могут прорастать в плевру и наоборот. Зачастую в легких обнаруживаются метастазы, а плевра не поражена.
При подозрении на метастазы в легких прибегают к следующим методам диагностики:
- Рентгенография. Простой и быстрый, но не самый информативный метод диагностики. Обычно на снимках можно увидеть только опухоли размером более 1 см;
- Компьютерная томография. Позволяет обнаружить очаги менее 5 мм. Это недоступно для рентгенографии и МРТ;
- Биопсия легкого. Обычно проводится при помощи иглы. Получают небольшой фрагмент ткани опухоли для исследования;
- Бронхоскопия. Эндоскопическое исследование, во время которого специальный инструмент с источником света и видеокамерой — бронхоскоп — вводят в бронхиальное дерево. Во время процедуры можно провести биопсию.
Как правило, динамическое наблюдение за онкологическим пациентом после лечения первичной опухоли предполагает регулярную рентгенографию органов грудной клетки.
При выявлении теней в лёгких, правильно будет сделать компьютерную томографию с введением контрастного вещества. КТ способна выявить очаги меньше 5 мм, что недоступно магнитно-резонансной томографии.
В дальнейшем для контроля динамики процесса после лечения также необходимо будет делать КТ.
Бессмысленно перед лечением делать КТ, а после перейти на обычную рентгенографию лёгких, пытаясь сравнивать снимки, чтобы выявить отличие прошлого состояния лёгких с настоящим.
КТ обнаружит более мелкие образования, рентген способен в лучшем варианте выявить очаги более 1 см, то есть опухоли меньше сантиметра «выпадают» из-под контроля, когда нет возможности сделать контрольное КТ-обследование.
Нельзя оценивать эффект лечения по паре видимых крупных очагов. Некоторые опухоли от химиотерапии уменьшаются, какие-то увеличиваются, а другие месяцами стабильны.
Клинические признаки метастазов в лёгких зависят от обширности поражения и присоединения воспалительных изменений.
Основные симптомы:
- боль в груди;
- упорный кашель;
- примесь крови в мокроте;
- ослабленное дыхание;
- хрипы;
- слабость;
- снижение веса.
При одиночных очагах округлой формы, небольшого размера никаких признаков поражения может и не быть, их часто случайно обнаруживают при контрольном обследовании.
Площадь лёгких огромна, и несколько квадратных сантиметров опухолевого поражения альвеол не отразятся на газообмене и состоянии пациента.
Множество теней, когда их уже не пересчитать, ухудшат самочувствие, провоцируя сухой кашель, плохо откликающийся на средства от кашля.
Инфильтративные метастазы раньше меняют самочувствие, поскольку к ним часто присоединяется воспаление окружающей опухоль ткани – пневмонит. Появляется кашель, может быть температура, слабость, почти как пневмония, но чуть-чуть полегче.
Закупорка бронха опухолью приведёт к ателектазу – полной безвоздушности части лёгкого, присоединение инфекции существенно ухудшит состояние, повысится температура, появится одышка.
Приём антибиотиков помогает снять воспаление и самочувствие улучшается, но ненадолго, потому что опухоль растёт, и безвоздушная часть лёгкого тоже увеличивается. И опять воспаляется, так и идёт по замкнутому кругу.
Получить консультацию врача
Сегодня оперировать метастазы в лёгких стали чаще, чем раньше, но всё-таки операции делают довольно редко. Радикальное лечение метастазов в лёгкие – оперативное в принципе возможно при определённых условиях:
- не должно быть первичной опухоли или рецидива;
- не должно быть метастазов в других органах;
- метастаз в лёгком очаговый и единственный или не более 3 очагов;
- скорость прогрессирования опухолевого процесса должна быть невысокой, как правило, после радикального лечения первичной опухоли до появления метастаза должно пройти более года;
- со времени появления метастаза в лёгком в течение полугода не должно появиться других метастазов;
- состояние пациента должно позволять довольно сложное оперативное вмешательство, потому что во время операции реальная ситуация может оказаться значительно хуже, чем описывалась при компьютерной томографии, и придётся удалять больше запланированного.
Основное лечение метастазов в лёгких – химиотерапия, схема которой определяется первичной опухолью, при раке молочной железы ещё и гормональная терапия, естественно, при наличии чувствительности к ней.
Лучевая терапия множественных метастазов в лёгких проводилась в экспериментальных группах, результаты неудовлетворительные.
При единственном довольно крупном очаге облучение возможно, но эффективность много хуже, чем при раке лёгкого.
Метастазы в любом органе говорят о том, что защитные силы организма исчерпаны, опухолевые клетки успели распространиться по разным органам. Ремиссия в большинстве случаев невозможна. Но это не означает, что врач совсем ничего не может сделать. Паллиативное лечение поможет продлить жизнь, избавит от мучительных симптомов.
Часть легкого, занятая опухолью, выключается из процесса дыхания. Поначалу оставшаяся здоровая ткань успешно справляется и работает за целое легкое. Но постепенно опухоль растет, перестает реагировать на химиотерапию и занимает все больше места.
Наступает момент, когда оставшаяся здоровая ткань перестает справляться. Легкие больше не могут обеспечить организм нужным количеством кислорода, развивается дыхательная недостаточность.
Кислородное голодание затрагивает все органы, в первую очередь — сердечно-сосудистую систему.
Симптомы дыхательной недостаточности нарастают постепенно:
- Поначалу возникает лишь одышка после ходьбы и физических нагрузок;
- Затем одышка начинает беспокоить при минимальных нагрузках, при любой движении;
- В тяжелых случаях человек задыхается постоянно, даже когда лежит в постели. Больного мучит постоянный кашель, слабость, на ногах появляются отеки, сердцебиение учащается. Стоит совершить небольшое движение, и все симптомы усиливаются на порядок.
Страдания больного может облегчить кислородотерапия. Но проводить ее нужно по 15 часов в день. Существуют специальные дыхательные маски, их можно приобрести, и все же проводить такое лечение в домашних условиях очень сложно.
Государственные онкологические клиники не госпитализируют таких пациентов в экстренном порядке. Помощь можно получить в отделении паллиативной медицины, но таких в Росии пока еще очень мало. В обычном стационаре практически ничем не помогут.
Кислородотерапию можно получить в хосписе, но там практически нет симптоматической терапии. При тяжелой дыхательной недостаточности одной кислородотерапии недостаточно. Нужна дыхательная поддержка — искусственная вентиляция легких.
В данном случае ИВЛ проводят через маску, интубацию трахеи не проводят.
Такое лечение не избавит от рака и не уничтожит метастазы, но оно способно сильно облегчить состояние больного:
- уменьшится одышка;
- отдохнуть дыхательные мышцы, которым в последнее время пришлось интенсивно работать;
- нормализуется состав крови, уменьшится кислородное голодание;
- уменьшатся даже воспалительные изменения в легких;
- в конце концов, человек перестанет задыхаться, улучшится качество жизни.
Помочь человеку с тяжелым нарушением дыхания в домашних условиях невозможно. Родные постоянно слышат, как он тяжело дышит, хрипит, кашляет, но помочь ничем не могут. Страдают все.
Врачи онкологи и реаниматологи Европейской онкологической клиники знают, как помочь пациенту с метастатическим раком легких в рамках паллиативной помощи. Грамотное лечение избавит от тяжелых симптомов, подарит драгоценное время.
Выберите врача и запишитесь на приём:
Записьна консультациюкруглосуточно+7 (495) 151-14-538 800 100 14 98
Источник: https://www.euroonco.ru/departments/poliklinika/metastases/metastazy-v-lyogkih
Что такое палочка Коха известно всем, она считается возбудителем туберкулёза – это заболевание способно оставлять очаг Гона в лёгких.
Обнаружить такую отрицательную для здоровья находку удаётся в результате прохождения флюорографии, при которой идёт сканирование органов дыхания на предмет выявления полостных образований.
Что такое очаг Гона в лёгком, несёт ли он опасность здоровью человека, и как формируется новообразование в дыхательных органах? Чтобы точно ответить на вопросы, требуется поближе познакомиться с патологическим состоянием, и понять, что же такое очаги.
Что же такое очаг Гона? Такое новообразование представляет собой очаг овальной формы, края которого иногда лучистые и неровные. Структура появившейся полости состоит из соединительной ткани, которая заменяется в результате поражения лёгочных тканей. Известно, что соединительная ткань заменяет собой повреждённую, так как большинство тканей организма не имеют способности восстановления.
Помимо соединительной ткани, очаги Гона включают в себя кальциевые отложения и волокна коллагена. В среднем размер полостей составляет 2-3 см.
Особенно хорошо очаги Гона заметны на рентгенограмме, поэтому такая диагностическая процедура обязательно проводится для людей, у которых имеется подозрение на развитие туберкулёза. Возбудитель патологии, а именно палочка Коха, после попадания в лёгочные ткани вызывает их воспаление.
В итоге оно наносит повреждающее действие на состояние важного для здоровья органа. Если очаги вовремя не обнаружить, они со временем станут расти, значительно увеличивая собственный размер.
В результате поражение тканей лёгких становится большим, а значит, его проще обнаружить при проведении компьютерной диагностики.
Если рентгенограмма покажет большие очаги патологии, в них может быстро развиться инфекция, что вызовет пневмонию.
Поэтому за развитием очагов Гона следует следить внимательно, так как отсутствие своевременного оказания помощи вызовет развитие осложнений, более серьёзных для здоровья человека.
- Чем грозит несвоевременное выявление очагов?
- Если новообразование в дыхательных органах не было вовремя диагностировано, это грозит неприятными последствиями для здоровья.
- К ним относится:
- со временем бугорки туберкулёза сливаются между собственными полостями;
- срастание бугорков вызывает поражение корня лёгкого и лимфатических узлов;
- длительное отсутствие оказания помощи ведёт к переходу воспаления на плевру и плевральные листки.
В итоге происходит развитие первичного туберкулёза, который вызывает следующие нарушения состояния дыхательных органов:
- увеличение размера лимфатических узлов, которые находятся внутри грудной клетки;
- появление участка, поражённого казеозным некрозом;
- развитие перифокального воспаления, которое появляется вокруг очагов Гона.
Очаг Гона в лёгких – что это и как проходит лечение болезни?
Исход лечения может быть одним из следующих:
- полное рассасывание полостей;
- переход патологии в активную туберкулёзную форму, несущую опасность для окружающих, поскольку она считается заразной;
- обызвествление, при котором затрагивается очаг Гона.
Если в полости лёгких происходит заживление гранулём, это связывается с рассасыванием полостей.
В итоге в органах дыхания появляются:
- рубцы;
- отложение кальция в полости лёгких;
- формирование плотной оболочки в полости дыхательных органов;
- очаговое уплотнение.
Можно ли заразиться очагом Гона? Нет – патология появляется только при попадании возбудителя заболевания в полость лёгких. Если палочка Коха проникнет в организм от инфицированного, она начнёт активно развиваться, образуя после себя новообразования.
При развитии новообразований в полости лёгких, больные могут замечать следующие симптомы патологии:
- слабость, которая в основном наблюдается в вечернее время;
- незначительное увеличение температуры, которое проявляет себя в короткие временные промежутки (обычно такое время составляет 2-3 часа);
- кашель сухого типа, который изредка появляется у больного.
Если хотя бы один симптом будет беспокоить больного, ему понадобится срочно обратиться к врачу. Важно заметить: у детей признаки развития очагов Гона наблюдаются более выраженно.
Это обуславливается слабостью иммунитета в тот момент, когда ребёнок впервые заражается опасной для здоровья бактерией.
Поэтому маленьким детям правильно поставить диагноз зачастую бывает трудно, хотя иногда симптомы болезни явно указывают на течение туберкулёза и развитие очагов Гона.
Хотя симптомов появления очагов Гона мало, заметить течение болезни возможно. Ведь признаки развития туберкулёза, появляющиеся, если лёгкое поражено справа или слева, характерны для течения болезни.
Очаг Гона в лёгких – заразно ли это? Нет – само новообразование передаётся. Вызвать развитие патологии способна открытая форма туберкулёза, несущая опасность для здоровья окружающих людей.
Чтобы поставить верный диагноз, понадобится провести ряд компьютерных обследований дыхательных органов, к которым относится:
- рентген грудного отдела, который проводится при помощи двух способов – боковой и прямой;
- компьютерная томография;
- МРТ;
- флюорография.
При проведении рентгенологического исследования, появившиеся в лёгких очаги, выглядят, как овальные затемнения (или же круглые) с резким и реже размытым основанием. Размеры полостей при проведении рентгена могут варьироваться в пределах 5мм. При этом полости могут быть одиночными и множественными.
Зачастую очаги Гона появляются в нижней части лёгких – в таком случае при проведении компьютерной диагностики выявить их достаточно просто. Однако важно знать, что в нижнем лёгочном отделе полости имеют неровный контур. При этом рисунок лёгких и их корень не изменяется.
По мере роста очага Гона, меняется не только его форма, но и структура, она может быть:
- однородная;
- неоднородная – в таком случае новообразование наделено неровными гранями, зернистым или же дольчатым строением.
Выявить очаги Гона при помощи рентгена достаточно просто, поскольку такое новообразование различается с остальными видами лёгочных полостей. Однако если у человека отсутствуют симптомы течения болезни, выявить заболевание удаётся только при проведении профилактических мероприятий.
К ним относится:
- казеозные массы;
- изменения строения и целостности лимфатических узлов;
- перифокальное воспаление.
Какие заболевания может вызвать очаг Гона:
- Рецидив течения туберкулёза. В таком случае в лёгких поражается большое количество тканей, что ведёт к осложнению заболевания.
- Цирроз и фиброз лёгкого. Эти последствия атакуют дыхательные органы больного в том случае, если цирроз или фиброз уже ранее были диагностированы у пациента.
- Смещение в сторону органов средостения. В таком случае, чтобы вылечить болезнь, понадобится сначала провести терапию туберкулёза, а после начать лечение второстепенной патологии.
Эти состояния вызывают нарушение здорового и нормального функционирования полости лёгких, что в итоге ведёт к возникновению дыхательной недостаточности.
Первым делом стоит отметить, что никакой народный метод терапии не сможет излечить заболевание. Однако при возникновении очагов Гона доктор часто даёт общие советы и рекомендации по восстановлению организма.
К ним относится:
- полный отказ от курения и других вредных привычек, к которым относится приём спиртосодержащих напитков и употребление наркотиков;
- работа на вредных для здоровья предприятиях, которые негативно влияют на организм человека, особенно полость лёгких – в таком случае пациенту требуется сменить работу;
- плавание в бассейне или посещение бальнеотерапии в санаториях или иных зонах отдыха;
- ежедневное проведение гимнастических процедур для органов дыхания;
- ежедневные прогулки.
Людям, у которых ранее были выявлены очаги Гона в лёгких, следует каждый год проводить рентген, чтобы выявить положительную или отрицательную динамику. Желательно такое обследование проводить каждый раз у одного врача, чтобы он смог точно установить причину развития болезни и понять, происходит ли рост новообразования в органах дыхания или нет.
По фото рентгена получится правильно установить диагностику, поэтому больным, находящимся в группе риска, больше не понадобится проводить иные диагностические мероприятия.
В случае появления очагов Гона больному назначается макропрепарат, при помощи которого удастся нормализовать состояние лёгких. Пациенту надо запомнить, что развитие новообразований – это не приговор, а значит, болезнь можно диагностировать и излечить.
Источник:
18 июня 2017
В повседневной жизни каждый человек многократно сталкивается с возбудителем туберкулеза. Обычно он даже не замечает этого.
Подтверждением данному факту являются «случайные» находки при прохождении ежегодной плановой флюорографии. Речь идет об очагах Гона.
От их появления абсолютно никто не застрахован, но и игнорировать патологию нельзя. Действительно ли они представляют опасность для жизни человека?
Очаг Гона является следствием первичного инфицирования организма человека микробактерией туберкулеза. Внешне он напоминает овальное образование, размер которого едва превышает 2 см. Структура представлена соединительной тканью, множественными отложениями кальция и коллагеновыми волокнами. Продолжительность формирования такой патологии составляет около 3 лет.
Очаг Гона в легких — что это такое? Чтобы понимать суть патологии, необходимо подробно рассмотреть механизм ее зарождения.
Микробактерия туберкулеза, попадая в ткани легкого, вызывает местное воспаление. Достаточно стремительными темпами очаг поражения начинает распространяться на эпителий дыхательных путей. Результатом всех процессов является омертвение тканей. Иначе он называется «казеозный некроз». Если к нему присоединяется вторичная инфекция, возникает пневмония.
Следствием проникновения микробактерии туберкулеза в организм становится активизация иммунной системы. Она начинает активно бороться с воспалением, ограничивая его от здоровых тканей лимфоцитами.
Таким образом образуется первичный туберкулезный комплекс. Он всегда включает в себя участок казеозного некроза и область активного воспаления вокруг.
Дальнейшее его развитие возможно 3 путями:
- переход в активную форму туберкулеза;
- полное рассасывание;
- обызвествление с возникновением очага Гона.
Заживление специфических гранулем может быть обусловлено их рассасыванием, а также процессами разрастания клеток из различных элементов. Перечисленные манипуляции выражаются в нескольких процессах. Это и рубцевание, и инкапсулирование (формирование стойкой оболочки), и обызвествление на фоне активного отложения кальция.
Чаще всего патологический очаг возникает в результате фиброзной трансформации. Гранулема прорастает соединительной тканью, а впоследствии образуется рубец. Одновременно с этим воспаление постепенно исчезает.
Процесс окончательного заживления первичного туберкулезного комплекса характеризуется большой продолжительностью. Это касается и очага Гона. Лечение и своевременная диагностика не оказывают должного воздействия на эту проблему.
Патологический процесс достаточно редко себя проявляет специфическими симптомами. Однако в процессе его зарождения у человека могут возникать следующие расстройства:
- слабость;
- незначительное повышение температуры;
- сухой кашель.
Перечисленные нарушения редко служат поводом для обращения к врачу. Чаще всего их игнорируют.
Очаг Гона может развиваться как в детском организме, так и во взрослом. Однако у маленьких пациентов его клиническая картина характеризуется большей выраженностью. Это обусловлено несовершенством иммунной системы, которая еще плохо развита. Первичные туберкулезные комплексы практически сразу переходят в активный процесс.
Патологический процесс достаточно трудно поддается диагностике. Его невозможно выявить при обычном физикальном осмотре или лабораторными методами. Единственный вариант диагностировать недуг — провести рентгенологическое обследование. Сегодня оно доступно посредством МРТ и КТ.
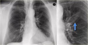
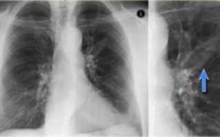
Очаг Гона на рентгенограмме выглядит как затемненное образование с резкими очертаниями. Излюбленным местом локализации признаются нижние и средние зоны органа. Легочный рисунок при этом редко изменен, корень практически не расширен.
На разных этапах обызвествления структура очага может изменяться. Иногда она однородная, но преимущественно негомогенная.
Опасен ли очаг Гона? Осложнения после выявления патологического процесса выявляются в исключительных случаях. Обычно они продиктованы множественными образованиями и увеличенными их размерами. Среди наиболее распространенных осложнений встречаются следующие:
- фиброз/цирроз легкого;
- рецидив туберкулезной инфекции;
- смещение органов средостения.
Источник: https://luberptd.ru/kashel/ochag-gona-v-legkih-chto-eto-harakteristiki-ochagov-zarazno-ili-net.html
Поделиться:












