Некоторых пациентов интересует вопрос: что такое туберкулема легких? Она заразна или нет? Постараемся раскрыть эти вопросы. Но для начала следует дать определение.
Туберкулома – это форма туберкулеза, при котором повреждение легкого (чаще единичное) концентрируется в одном месте. По внешнему виду оно напоминает опухоль. Хотя, на самом деле, это заболевание не является онкологическим. Проявляется как последствие туберкулеза.
Туберкулома часто защищена двойным слоем. Размер ее обычно небольшой, не превышает 8 см в диаметре. Встречается она довольно редко. Лишь у пяти процентов больных туберкулезом можно найти такую форму.
Половина заболевших туберкуломой даже не подозревает о своем заболевании. Они узнают об этом случайно при плановом обследовании – флюорографии. А у другой половины имеются типичные симптомы туберкулеза. Микробы туберкулеза, попав в организм человека, оседают на легких, вызывая воспаление.
Затем образуется инфильтрат, который постепенно увеличивается в объеме. Обычно это случается в следствии снижении иммунитета. Потом колагеновые волокна образуют фиброзную ткань. Иногда инфильтрат возникает и при слиянии нескольких очагов воспаления.
Он стремительно приобретает форму гранул и затем превращается в туберкулому.
Она может возникнуть и при неправильном лечении туберкулеза, а также при полном отсутствии лечения, когда человек еще не подозревает о наличии у него заболевания.
Существует ложная туберкулома.
В этом случае капсула наполнена лимфой. Когда болезнь идет на спад, туберкулома уменьшается в размерах и трансформируется в рубец.
Бывают туберкулемы двух видов: солитарные и конгломератные. Первый вид имеет круглую форму и некротическое содержание. Она заключена в двойную капсулу. Второй вид включает в себя несколько таких образований, которые также заключены в надежную капсулу.
Стадии развития туберкуломы:
- стационарная;
- прогрессирующая;
- регрессирующая.
Симптомы туберкуломы мало чем отличаются от остальных симптомов, которые предъявляют заболевшие туберкулезом. И надо сказать, что проявляются они редко, только в случаях обострения процесса.
Типичные симптомы этого заболевания:
- Слабость, быстрая утомляемость, вялость, потеря жизненного тонуса.
- Субфебрильная температура.
- Отсутствие аппетита.
- Сильное похудание.
- Боли в грудной клетке.
- Сильный легочный кашель.
- Иногда бывает кровохаркание.
- Лихорадочное состояние.
- Ночная потливость.
Как показывает опыт, симптомы могут отсутствовать длительное время при этом заболевании. И только своевременная диагностика может выявить отклонение от нормы. Например, на рентгеновском снимке иногда можно разглядеть тени в области легких. При длительном течении болезни иногда будет наблюдаться содержание включений.
Иногда бывает заметно воспаление плевры. Это начальная стадия заболевания. Если врач сумеет вовремя заметить отклонения на снимке, то вполне возможно будет предупредить образование такого серьезного заболевания, как туберкулема. Лечение, назначенное вовремя, приводит обычно к регрессу опухоли и образованию рубцов на ее месте.
Этот процесс вызывает улучшение самочувствия больного.
При исследовании крови лабораторным путем обычно обнаруживается повышенное количество лейкоцитов, лимфоцитов, повышение скорости оседания эритроцитов.
На снимках обычно видно, что туберкулома имеет довольно четкие очертания. Если контуры размыты, то это значит, что болезнь находится в стадии прогресса. Иногда бывает множественная туберкулома. Размеры ее от 2 см колеблются до 8 см. На фото часто бывают видны вкрапления извести. Если размер опухоли больше 2-х см, то обычно назначается операция.
Туберкулема легких лечение которой достаточно агрессивное, плохо поддается терапии. Перед проведением операции (обычно используется клиновидная резекция) антибактериальная терапия вполне оправдывает себя.
Лечение туберкулемы может иногда продлиться до полугода. Результат – исчезновение интоксикации и уменьшение опухоли. После операции тоже обязательная терапия антибиотиками в течение приблизительно полугода.
Оперативное вмешательство показано также, если присутствует выведение бацилл из организма. Если в одном легком есть несколько туберкулом сразу. В настоящее время оперативное вмешательство – это лучший выход при данном заболевании. Операция и последующая антибактериальная терапия помогают больному этим заболеванием выздороветь полностью.
Если у больного вялотекущий процесс, не реагирующий на химиотерапию, то рекомендуется ввести сухой туберкулин, чтобы активизировать процесс. Иногда используется искусственный пневмоторакс.
Однако противопоказанием к проведению оперативного вмешательства является:
- наличие почечной или печеночной недостаточности;
- серьезные респираторные осложнения;
- слишком большие размеры опухоли.
Обычно применяется резекция части легкого с последующим наложением швов танталовыми скобками. Операция проводится с помощью лазерного луча или электрокоагуляции. Проводится операция только в состоянии полной ремиссии, доказанной обследованием.
Одновременно с туберкуломой человеку удаляют все кисты и другие образования. Летальный исход при данной операции ничтожно мал, составляет примерно один процент. Период восстановления после операции составляет около месяца.
После этого человек обретает полную работоспособность.
При различных противопоказаниях к обычной операции иногда применяется торакопластика.
После перенесенной операции человеку, восстановившемуся от туберкулемы, лечение должно быть назначено в санаторно-курортном заведении.
Меры профилактики этого заболевания обычно такие же, как и при обычной форме туберкулеза.
К ним относятся:
- обязательно полноценное питание каждый день;
- обилие свежего воздуха;
- достаточное количество солнечного света;
- здоровый образ жизни;
- отсутствие вредных привычек;
- водные процедуры;
- закаливание.
Разумеется, очень важно своевременное обследование, туберкулиновая диагностика, прохождение флюорографии каждый год.
Если были случайные контакты с человеком, заболевшим туберкулезом, просто необходимо посетить фтизиатра. Возможно, он назначит вам обследование и профилактический прием некоторых препаратов.
Также надо проходить профилактическое обследование каждый год, если в роду были случаи заболевания туберкулезом.
Эта инфекция может долго жить в организме, не подавая никаких признаков, и только при резком снижении иммунитета может проявить себя в виде туберкулеза или туберкуломы.
Если у вас есть вредные привычки (например, курение) надо обязательно в скором времени избавиться от них. Можно использовать для этого электронные сигареты. Потому что процесс курения разрушает легкие и приближает вероятность заболевания туберкулезом в два раза.
Одновременно с назначенными врачами лекарствами, можно лечиться народными средствами.
Но лекарственные травы не могут полностью заменить обычную терапию. Ни в коем случае нельзя полагаться только на нее.
При этом заболевании помогут народные средства, применяемые при лечении туберкулеза. Хорошо для этой цели подходят мед и коровье молоко, а также кумыс. Сок редьки, смешанный с медом будет полезен при этом заболевании.
Вот некоторые лекарственные рецепты:
- Отруби и овес заварить. Проварить примерно час, затем отжать и пить этот отвар несколько раз в день.
- Сок листьев виноградной лозы полезно пить при кровохаркании.
- Взять стебель алоэ, порезать, добавить в 0,5 л вина. После того, как настоится несколько дней, пить по рюмочке два раза в день.
- Зверобой (примерно горсть травы) залить водой. Прокипятить полчаса, остудить и употреблять внутрь по трети стакана три раза в день.
- Душицы чайную ложку заварить, затем настоять в течение примерно получаса и пить по четверти стакана несколько раз в день.
- Мать-и-мачеха – замечательное средство от туберкулеза, кашля, бронхита, воспалений легких. Одну ложку листьев травы заварить, прокипятить, остудить. Принимать 2 ст. ложки несколько раз в день.
- Клевера красного столовую ложку травы заварить, настоять. Принимать по две ложки три раза в день.
- Сушеница топяная помогает при этой болезни. 10 г травы залить стаканом горячей воды, настоять.
- Свежий сок хвоща полевого оказывает целительное воздействие при туберкуломе. Также подойдет настой этой травы. Для этого столовую ложку заливают горячей водой, нагревают на водяной бане и принимают по полстакана в день.
- Одну ч. ложку почек сосновых заварить, варить 0,5 часа. Отсудить пить по трети стакана 3раза в день.
Таким образом, мы рассмотрели факторы возникновения туберкулемы легких, что это такое и как лечится данное заболевание.
Источник: https://tuberkulez03.ru/info/tuberkuloma.html
Для того чтобы ответить на вопрос, заразна ли туберкулома, необходимо знать общую информацию об этом заболевании.
Клиническая форма туберкулеза, отличающаяся образованием в тканях легких казеозно-некротического фокуса размером до 12 мм в диаметре, называется туберкулома легких.
Образование отслаивается от легочной ткани двойной капсулой и характеризуется стабильностью, а также отсутствием текущей симптоматики. Обострение происходит за счет воздействия определенных факторов, влияющих на прогресс патологии. Заболевание встречается редко, у 2-6% случаев людей с поражениями дыхательной системы туберкулезом.
Чтобы понять, чем вызвано это заболевание, необходимо более подробно разобраться, что такое туберкулома легкого.
Чаще всего, как уже было сказано, патология представляет собой одиночный некротический очаг, но бывают случаи, когда туберкулома легких имеет множественный характер проявления. Заразиться этой болезнью можно аэрогенно, а также не исключена возможность инфицироваться алиментарным и контактным путем передачи инфекции.
При первичном заражении происходят сбои мукоцилиарной системы, а точнее, ее клиренса, который является главным защитником слизистой оболочки дыхательных органов. Слизь, выделяемая клетками дыхательных путей, при поступлении грибковых бактерий (микобактерий) не склеивает их для дальнейшей элиминации из-за воспалительного процесса органов дыхательной системы.
Последствием таких нарушений является возможность для микобактерий проникнуть в конечные ветви бронхов – бронхиолы, что делает организм уязвимым для заболевания туберкулезом.
В этот период бактерии поступают к внутренним лимфоузлам по направлению лимфотока, распространяясь вследствие этого по организму. После этого бактерии остаются в сосудах, которые обеспечивают микроциркуляцию. Результат один: микобактерии размножаются, иммунитет снижается.
Увеличение размеров туберкуломы говорит о процессе прогрессирования заболевания, а появившееся воспаление характеризуется попаданием инфильтрата на ткани легких. В медицинской практике было выявлено несколько видов туберкуломы, которые отличаются друг от друга своей внешней структурой:
- Солитарный вид. Такая туберкулома является стандартной, так как она представляет собой двухслойное образование на тканях легких, которое содержит в себе несколько слоев казеоза (гноя), где между ними появляются соединительные ткани.
- Конгломератный вид. Характеризуется появлением нескольких казеозных фокусов в образованной капсуле. Такая форма туберкуломы находится в 1, 2 и 4 сегментах и способствует разрастанию соединительных тканей с рубцами.
Согласно медицинским статистическим данным, туберкулома легкого чаще всего возникает в результате прогрессии очагового туберкулеза. Но не исключено, что она может возникнуть при легких воспалительных экссудативных изменениях инфильтративно-пневмонического туберкулеза легких. Развитие ее также наблюдается при наполнении кавернозным казеозом.
Туберкулома является инфекционным заболеванием, и заразиться этим недугом можно несколькими способами:
- воздушно-капельным путем,
- через инфицированные продукты питания,
- контактируя с инфицированным (поцелуи, объятия),
- от заболевшей мамы к новорожденному младенцу.
Важно помнить, что туберкулома легких может формироваться в результате неправильного лечения острого инфекционного заболевания, которое может способствовать длительному сохранению микобактерий и появлению высоковирулентного вируса.
Говоря о том, что это такое «туберкулома легких», следует обратить внимание на симптоматику болезни и проявления ее течения. Туберкулома легкого может протекать в нескольких формах, чему будут соответствовать определенные симптомы:
- Прогрессирующее течение характеризуется воспалительным процессом вокруг капсулы, что опасно для окружающих легочных тканей из-за возможности распространения бактерий на них.
- Стабильное протекание заболевания характеризуется появлением симптоматики, схожей с симптомами интоксикации. Из-за изменения размеров патологии возможно появления мокрого кашля с высоким процентным содержанием крови в слизи. Во время спадания воспаления симптомы могут на время исчезать.
- Во время регресса туберкулома легкого уменьшает свои размеры и ее место занимает образованный воспалительный очаг или несколько очагов.
Как описано выше, из всех форм туберкулеза, туберкуломы наименее распространены, что обусловливается естественной сопротивляемостью организма. Отсюда и следует «тихое» протекание заболевания. Но во время обострения все же туберкулома легких обнаруживает симптомы, которые могут проявиться под воздействием различных внутренних и внешних факторов:
- потеря аппетита,
- общая слабость,
- резкое снижение веса,
- периодическое повышение температуры тела,
- боль в груди во время глубокого выдыхания,
- сухой или мокрый кашель,
- хрипы в легких.
Развитие симптоматики напрямую зависит от места локализации туберкуломы, ее формы протекания и размеров.
При обычном осмотре эту патологию обнаружить практически невозможно. Единственный симптом, который может сказать о наличии туберкуломы – хрипы, которые можно услышать только во время массивных вспышек с инфильтративными изменениями в тканях пораженного отела. При стабильном течении заболевания невозможно определить наличие МБТ в мокротах.
Обычно для точного определения этого заболевания используют флюорографическую диагностику.
Главный симптом, обусловливающийся наличием туберкуломы – субплевральное затемнение в некоторых сегментах бронхов (2,4,6) на рентгеновских снимках.
Если затемнение имеет округлую форму, то это говорит о солитарной туберкуломе, а неправильная форма с нечетким внешним контуром – о конгломератном виде.
Что касается полости распада, то для нее характерны различные формы затемнений, которые не могут располагаться в центре.
Зачастую затемнения туберкуломы имеет четкие контуры. Но иногда наблюдается нечеткий очерк, который свидетельствует о прогрессировании патологии. Также рентгеновский снимок с наличием туберкуломы может показывать полиморфные очаги на окружающей ткани легкого.
Теперь зная, как прогрессирует, как проявляется туберкулома легких и что это такое, можно ответить на основной вопрос: болезнь заразна или нет? Ответ очевиден – да, заразна. Но не стоит отчаиваться, так как ее можно предупредить.
Для уменьшения вероятности заболевания необходимо вести здоровый образ жизни, который заключается в:
- правильном питании,
- употреблении фруктов и овощей,
- уменьшении потребления сладкого и жаренного,
- занятиях спортом (бег, посещение спортзала, плавание),
- отказе от алкогольных и табачных изделий,
- здоровом сне, не менее 8 часов,
- поддержании личной гигиены.
Такой образ жизни способствует укреплению иммунной системы человека, что в разы уменьшает риск развития туберкулеза в общем и туберкуломы легких в частности.
В случае если инфицированный человек является членом семьи, для предупреждения заражения туберкуломой других домочадцев следует придерживаться нескольких правил:
- кипячение посуды инфицированного в соде (каждый раз после еды),
- регулярное проветривание помещения,
- запрещено использовать личные вещи больного.
А также следует несколько раз в неделю вывешивать постельные принадлежности больного на солнце, так как его лучи убивают микобактерии. Каждый год следует проходить обязательные предварительные обследования и флюорографию.
При постановке диагноза туберкулома понять сразу, что это такое, нелегко. Часто это воспринимается больными как приговор в связи с заразностью болезни и тяжестью ее осложнений. Однако стоит помнить, что сегодня оно вполне поддается лечению, при условии четких выполнений рекомендаций врача.
Загрузка…
Источник: https://prof-medstail.ru/bolezni-legkih/razvitie-i-opasnost-tuberkulomy-legkogo
Туберкулёза на сегодняшний день является одной из самых опасных болезней, которую хоть и можно залечивать медикаментозно, но избавиться полностью от неё невозможно. Существует большое количество форм туберкулёза и одна из них — это туберкулёма. Фактически это аналогичное заболевание, но оно отличается развитием, симптоматикой и другим уровнем опасности для окружающих.
Это клиническая форма, которая проявляется только в казеозно-некротическом образовании. Если говорить простым языком, то на тканях лёгких появляется образование размерами, не превышающими 2 см.
Внешний вид туберкулёмы напоминает опухоль, но её развитие не сопровождается какими-либо симптомами. В итоге человек получает двухслойную капсулу на тканях лёгких, которую можно обнаружить только во время флюорографии или когда болезнь перейдёт в острую стадию.
Период острого заболевания сопровождается болями, а также нарушается изолированность фокуса в тканях лёгких.
Течение заболевания подразделяют на три формы.
- Прогрессирующая форма туберкулёмы отличается наличием перефокального воспаления за пределами фокуса. Кроме того, при распаде опухоли в лёгочных тканях могут образовываться каверны или диссеминации.
- В стабильном состоянии увидеть изменения туберкулемы нельзя даже с помощью рентгена. В этот период заболевание сопровождается мокрым кашлем с кровопусканием или затуханием симптоматики с полным её исчезновением.
- Регрессирующая форма туберкулёмы отличается уменьшением опухоли на тканях лёгких.
Существуют не только различные формы туберкулёмы, но и её виды.
- Солитарный вид отличается окружной двухслойной гранулой и образованием некротического фокуса.
- Конгломератный вид туберкуломы характеризуется несколькими аналогичными образованиями некротического фокуса.
Один из самых важных вопросов, это заразность заболевания. Туберкулома опасна, только если болезнь протекает совместно с туберкулёзом. Во всех остальных случаях опухоль безопасна для других людей.
Образование опухоли туберкуломы на тканях лёгких может носить разный характер. В основном развитие болезни начинается после возникновения туберкулёза различных форм. Это могут быть формы инфильтративного характера, болезни, связанные с бронхами или кавернозный туберкулёз, который есть только у носителей.
https://youtube.com/watch?v=aZzlB-WJRBI
Начало образования опухоли туберкуломы при этом связано с некачественным лечением вышеописанных заболеваний. В этом случае из-за остаточной популяции возбудителей туберкулёза, образуются некротические процессы на стенках тканей лёгких. Дальнейшая стадия это возобновление процесса воспаления, рассасывания и формирования инфильтрата, которые свойственны туберкулёзу.
Опухоль туберкуломы лёгких может образоваться и при нарушении обмена веществ или во время неправильного лечения сахарного диабета.
Последнее заболевание довольно часто становиться причиной формирования некротических процессов, но в этом случае туберкулому можно побороть пока её размеры не превышают 20 мм.
При своевременном и правильном лечении, можно спровоцировать процесс рассасывания опухоли, перефикального воспаления и образуется своего рода инфильтрат некротических масс. Через некоторое время слой грануляции покрывает казеозный очаг и фиброзируется. Это окончательная стадия борьбы с болезнью.
Как правило, формирование опухоли туберкуломы на тканях лёгких протекает бессимптомно. Это самое тяжёлое в этом заболевании, ведь при своевременном лечении опасной опухоли легко избежать. Иногда помогают определить болезнь, некоторые незначительные признаки, из которых выделяют:
- потливость конечностей;
- сухой кашель;
- утомляемость;
- снижение и полная потеря аппетита;
- субфебрильная температура.
Туберкулома в стадии прогрессии, проявляет симптомы, которые связаны с ноющими или тянущими болями в области лёгких. Появляется кашель с небольшим отделением мокроты или крови. В дальнейшем происходит повышение температуры из-за распада туберкуломы и попадания токсинов в организм человека.
Естественно при туберкуломе рекомендуют медикаментозное лечение, но таблетки и уколы помогут только приглушить симптомы заболевания. Полностью избавиться от сформировавшейся опухоли можно только с помощью хирургического вмешательства.
Вылечить туберкулому с помощью таблеток трудно, ведь антибактериальные компоненты просто не могут в достаточном количестве проникнуть в зону очага.
Именно поэтому хирургическое вмешательство считается не только действенным, но и быстрым способом избавиться от болезни.
В тех случаях, когда антибиотики не дают должного эффекта и болезнь продолжает прогрессировать, требуется срочное хирургическое вмешательство. Существует несколько видов операций, которые помогают раз и навсегда избавиться от образования туберкуломы.
- Сегментарная резекция — это самый частый вид операций, которые проводят только в тех случаях, когда нет точного диагноза, ведь отличить туберкулому от новообразования трудно. То есть удаляется незначительная часть поражённых тканей лёгкого и потом проводятся все необходимые анализы.
- Бесегментарная операция проводится при точном установлении диагноза. В этой ситуации проводиться удаление значительной части повреждённых тканей лёгких. После этой операции, пациент должен пройти несколько курсов санаторного лечения, а при тяжёлой форме туберкуломы ещё и химиотерапию.
- Лобоэктомия применяется только в тех случаях, когда поражена целая часть лёгкого. Грудная клетка вскрывается и врачом проводиться ампутация поражённой части лёгкого. Лобоэктомия проводиться как в закрытой, так и в открытой форме. При закрытой форме операции, удаление поражённых тканей проводиться через специальное отверстие.
Как правило, все операции носят плановый, а не срочный характер. Пациентов помещают в сон при помощи общей анестезии и дальше проводят удаление тканей лёгкого. Для этого делают надрез между рёбрами и раздвигают их. Этого достаточно для того, чтобы хирург смог визуально увидеть поражённые части лёгких и удалить их.
Чаще всего срочное вмешательство требуется, только если образование туберкуломы протекает вместе с туберкулёзом и пациент представляет угрозу для всех окружающих. Кроме того, операция проводится в таких ситуациях, как:
- размер опухоли более 2 см;
- поражение бронхов;
- сформировалось несколько очагов;
- обострение;
- туберкулёзная интоксикация.
Хирургическое вмешательство практически в 95% случаев даёт положительный эффект, вплоть до полного выздоровления больного без видимых последствий. Правда, есть небольшой шанс послеоперационных осложнений. В 5% всех ситуаций могут возникнуть осложнения в виде:
- пневмонии;
- развития сердечной или дыхательной недостаточности;
- ателектаз;
- кровотечение, которое будет требовать повторного хирургического вмешательства.
Существует большое количество народных средств, которые могут помочь в лечении туберкулемы, но пользоваться только этими методами нельзя. Народные средства без хирургического вмешательства или медикаментозного лечения не принесут должного эффекта.
Как правило, травы могут только ослабить боли в лёгких или приглушить некоторые симптомы, но полностью избавить от болезни не могут. Положительного эффекта можно добиться только при совмещении трав и медикаментов.
Это не только уменьшит дискомфорт от некоторых симптомов, но и поможет снизить скорость формирования опухоли, поднимет иммунитет и очистит лёгкие.
Лекарственное растение каланхоэ используется для лечения многих заболеваний. Оно помогает и при туберкулеме в разных стадиях. Существует много рецептов на основе этого растения.
- Один из самых знаменитых рецептов, является смешивание растёртых листьев каланхоэ и мёда. Лечебное средство применяется утром и вечером по одной чайной ложке. Такое народное средство помогает в борьбе со всеми заболеваниями, которые связаны с лёгкими или бронхами.
- Второй рецепт помогает поднять иммунитет и восстановить обмен веществ после принятия большого количества медикаментов во время лечения туберкулемы. Нужно смешать 15 мл сока каланхоэ с простой водой и принимать настой перед едой в течение 4 месяцев.
Чистотел в отличие от каланхоэ, реже употребляется для лечения, так как это ядовитое растение и его неправильное использование может пагубно сказаться на здоровье. Для лечения лёгких из чистотела готовят квас. Вначале измельчают 70 г листьев и всё это смешивают с 1 л воды и 70 г сахара.
Все ингредиенты перемешиваются, и только потом добавляется небольшое количество сметаны. Полученное средство употребляют один раз в день перед обедом. Стоит отметить, что зафиксированы случаи, когда чистотел помогал полностью избавиться от образований туберкулемы и тем самым избежать операции.
Растение медведка является одним из самых эффективных средств для выведения мокроты из бронхов или лёгких.
Кроме того, вместе со слизью она выводит и другие болезнетворные компоненты, что оказывает положительное влияние при туберкулёзе или формировании туберкулемы лёгких. Это народное средство применяется также для лечения почек, желудка или сердца.
Противопоказаний к употреблению медведки нет, кроме тех ситуаций, когда у людей появляется аллергическая реакция.
Как правило, растение употребляется три раза в день в измельчённом виде, но могут использоваться и комбинированные рецепты. Например, медведку часто смешивают с ирландским мхом. Для приготовления смеси понадобится:
- 50 г ячменя;
- 20 г мха;
- 100 г измельчённой медведки;
- 50 г овса.
Все ингредиенты перемешиваются, заливаются водой и настаиваются на бане в течение 20 минут. Полученный отвар процеживают, остужают, и пьют по одной столовой ложке 5 раз в день. При этом нет особых правил к применению этого отвара.
Что такое туберкулёма лёгких? Заразна или нет? Как обезопасить себя от этого заболевания? Эти и многие другие вопросы волнуют многих людей, но беспокоиться не о чём.
Если следовать необходимым правилам, то можно своевременно предупредить болезнь или обезопасить себя от заражения.
Главное это соблюдать нормы гигиены, долечивать болезни, которые связаны с лёгкими или бронхами и тогда не появится даже шанса для развития туберкулёмы в лёгких.
Источник: https://lechim-gorlo.ru/zabolevaniya/zarazna-li-tuberkuloma-lyogkih-i-kakovy-posledstviya

Как себя обезопасить?
Туберкулёз не только одно из самых распространенных заболеваний человечества, но и одно из самых многообразных, так как оно способно не только поражать практически все органы и ткани человека, но и образовывать очаги воспаления разного вида.
Туберкулема лёгких представляет собой один из типов протекания туберкулёза лёгких, схожий с опухолевыми образованиями. Обычно туберкулёз развивается как воспаление холодного типа в особых очагах поражения, которые изолированы от здоровых тканей оболочкой из соединительных клеток.
Такие капсулы называются туберкулемы и образуются из-за гиперрергической реакции организма на возбудителя. Внутри их бациллы постепенно уничтожают клетки лёгких, образуя что-то наподобие кисты.
Размер туберкулемы может быть разным, от микроскопического до просто огромного, а по характеру образования иметь 2 формы:
- Солитарная, именуемая казеозно-некротическим фокусом, представляющая собой единичную слоистую капсулу с казеозными (гнойными) массами внутри. При этом гной может заполнять её целиком либо располагаться между многими слоями, появлявшимися в процессе роста новообразования, состоящего из соединительной ткани.
- Конгломератная — состоит из нескольких очагов воспаления или более мелких близкорасположенных туберкулем, которые организм изолировал в одну общую капсулу.
Чаще всего развитие туберкулемы начинается у больных очаговой формой туберкулеза и происходит практически бессимптомно именно из-за тщательного изолирования очага от остального органа. Первые проявления пациент замечает только после разрыва капсулы и разрушения близлежащих тканей. Чтобы понять, заразна ли туберкулема, необходимо разобраться в причинах её возникновения и процессе развития.
Туберкулема образуется при гиперрергической реакции организма на микобактерии, которые являются возбудителем туберкулёза, а потому её первопричина – инфицирование МБТ и развитие воспалительного процесса в тканях лёгких с последующей эволюцией.
Так как различные разновидности и проявления туберкулёза провоцирует один и тот же вид микроорганизмов, то и пути заражения туберкулемой – те же, что и у других его видов: от больного человека воздушно-капельным или воздушно-пылевым путём, бытовым способом и др.
Вероятность образования именно этого вида недуга объясняется наличием гиперчувствительности больного и склонности к аллергиям.
Стандартное заболевание с образованием туберкулемы проходит по следующим этапам:
- Заражение.
- Развитие воспаления в лёгких.
- Изоляция этого очага оболочкой из соединительной ткани от остального органа.
- Постепенный рост туберкулемы при прогрессировании заболевания и выходе возбудителя к близлежащим тканям или образование конгломерата.
- Расплавление гнойными массами защитной оболочки и распространение инфекции по лёгким.
- Поражение близлежащих тканей с ростом новой капсулы или заражение всего органа.
- Во втором случае происходит образование множественных каверн – пустот в лёгких, образовывающихся из-за разрушения альвеолярных перегородок микобактериями.
- Если начать грамотно лечить туберкулёз, то каверны будут рубцеваться, а в противном случае – полное поражение органа с летальным исходом, что в современной медицине практически не допускается.
Также течение заболевания может развиваться по трём сценариям:
- Прогрессирующему, когда вокруг новообразования развивается воспаление с распадом его оболочки с заражением окружающих тканей или всего органа.
- Стабильному, при котором пациент может болеть много лет, а размер туберкулемы не будет меняться или медленно увеличиваться в периоды обострения, с последующим возвращением в свои границы.
- Регрессирующему, для которого характерно уменьшение туберкулемы с остаточным явлением в виде фиброзного поля – рубцового новообразования из соединительных клеток, которые, в отличие от гнойных масс не рассасываются.
Характерно, что в 80% случаев обычный очаг воспаления перерождается в туберкулему только при вторичном заражении, при неадекватном лечении туберкулёза либо его отсутствии. В двадцати же процентах, на её образование сразу после инфицирования могут повлиять метаболические нарушения, гиперчувствительность и склонность к аллергическим реакциям, а также сахарный диабет.
Туберкулема является не самостоятельным заболеванием, а лишь одной из форм протекания воспаления лёгких при туберкулёзе, а потому ответ на вопрос заразна ли туберкулема лёгких, конечно же — да, так как туберкулёз относится к крайне эпидемиологически опасным недугам.
Однако, заразна туберкулема лёгких только после прорыва защитной оболочки капсулы и распространения инфекции на здоровые ткани органа или во время обострения, при котором возможен выход возбудителя за пределы защиты. В остальных же случаях иммунная система чётко ограничивает очаг поражения и убивает все бациллы, попадающие в кровь.
Также не стоит забывать, что даже при закрытой форме протекания туберкулёза вероятность заражения хоть и в разы меньше, но все-таки не равняется абсолютному нулю.
Можно передать инфекцию через кровь, от матери к ребёнку при грудном вскармливании или во время беременности, а также после бессимптомного перехода заболевания в открытую форму, а потому, туберкулема лёгких заразна для окружающих даже на начальных стадиях, хоть и потенциально.
Методы лечения туберкулемы представлены медикаментозной терапией и хирургическим вмешательством, выбор которых зависит от размера образования. Если диаметр менее 2 см, то можно обойтись и простой противомикотической терапией, проводимой следующим образом:
- Приём пиразинамида, изониазида, энтабутола и рифампицина или других препаратов, подобранных по одному из всех четырёх основных групп противомикотических антибиотиков, в первые 2 месяца.
- Шестимесячное потребление туберкулостатиков двух видов в сочетании с изониазидом.
- Наряду с основным лечением во вторую половину заболевания может быть назначена противовоспалительная и иммуностимулирующая терапия.
Хирургия же показана в следующих случаях:
- Слишком крупный размер более 2–3 см.
- Склонность к росту.
- Устойчивость к химиотерапии.
- Большое количество очагов.
Во время оперативного вмешательства туберкулема удаляется вместе с частью лёгкого, необходимого размера или даже с целой долей, а потом назначается та же самая лекарственная терапия. После удаления или при должном лечении в 95% наступает полное исцеление больного, а при его отсутствии — переход заболевания в активную – открытую форму.
Чтобы обезопасить себя от туберкулемы, необходимо знать и применять основные методы профилактики туберкулёза:
- поддерживать свой иммунитет;
- соблюдать гигиену;
- исключать близкое общение с инфицированными людьми;
- не пользоваться вещами больных;
- не употреблять непроверенных молочных продуктов от заражённого туберкулёзом скота;
- своевременно проходить профилактическое обследование при помощи туберкулиновых проб на предмет проникновения в организм МБТ, дабы вовремя принять меры, чтобы они не успели спровоцировать заболевание.
Подытожим всё вышесказанное: туберкулема легких заразна или нет зависит от стадии туберкулёза, так как на ранних этапах образования она практически не опасна для окружающих (риск есть, но сравнительно небольшой), а с переходом его в открытую форму или при разрастании с последующим прорывом поражает как остальные здоровые органы, так и других людей. При этом передаётся не сама туберкулема, а туберкулёз, конкретная форма развития которого зависит от индивидуальных особенностей организма.
Источник: http://vlegkih.ru/tuberkulez/zarazna-li-tuberkulema-lyogkix.html
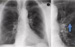
Что такое туберкулома, знают немногие. На снимке она выглядит как единичное новообразование круглой формы. Туберкулома легких представляет собой заболевание органов дыхания. Она возникает как при первичном, так и при вторичном туберкулезе.
Причиной рецидива туберкулеза легких является общение с зараженным человеком. Больной, особенно при открытой форме заболевания, распространяет вокруг себя много активных возбудителей болезни. Эти микроорганизмы вместе с воздухом попадают в легкие здорового человека. В данном случае наблюдается вторичная форма болезни.
Вторая причина заключается в кратковременном ослаблении защитных функций организма. Бывает, что человек инфицируется после перенесенного гриппа. Впоследствии восстановившаяся иммунная система создаст вокруг очага заболевания зону специфического воспаления. При этом отмершие ткани отграничиваются от здоровых. Возникает первичная форма заболевания.
Болезнь легких заразна, т. к. в окружающую среду выделяется палочка Коха. Но этот процесс присущ не всем формам заболевания. Например, в неактивной форме данная болезнь не заразна для окружающих.
Новообразование, появившееся в области бронхиального дерева, всегда приводит к инфицированию других людей. По этой причине во время лечения пациента рекомендуется изолировать от родственников.
https://youtube.com/watch?v=Iq3IEwh1r7s
Врачи знают способы защиты от этого заболевания, поэтому они не подвержены заражению.
Рекомендуется пользоваться только своими столовыми приборами и другими вещами, через которые может произойти инфицирование. Даже после полного выздоровления в течение первых 2 месяцев следует придерживаться такого правила. Соблюдение этих рекомендаций позволит обезопасить близких от заражения.
Морфология вторичных форм туберкулеза позволяет разделить его на несколько видов:
- инфильтративно-пневмонический (характеризуется наличием ограниченной фиброзной капсулы);
- солитарный (единичная опухоль слоистой или гомогенной структуры);
- конгломератный (несколько казеозных очагов в 1 капсуле).
В зависимости от типа клинической картины заболевание подразделяется на следующие виды:
- Прогрессирующий. Характеризуется воспалительным процессом в очаге заражения с образованием кавернозной ткани.
- Стационарный. Не меняет форму, выделяет много токсичных веществ, негативно воздействующих на все системы человека. На поздних стадиях во время кашля выделяется мокрота с частицами крови.
- Регрессирующий. Новообразования уменьшаются в размерах, образуется коллагеновая ткань.
Заболевание, вызванное вторичным туберкулезом, подразделяется на истинные опухоли и очаги, заполненные жидкостью. В зависимости от размеров выделяют следующие виды:
- мелкие (не превышающие 2 мм в диаметре);
- средние (2-4 мм);
- крупные (4-6 мм);
- гигантские (6-10 мм).
Рецидив туберкулеза возникает редко, но при этом существует большая вероятность возникновения осложнений.
Симптомы вторичного туберкулеза мало чем отличаются от признаков основного заболевания. По отзывам заболевших можно понять, что болезнь выдает себя только в случае обострения процесса. Патогенез вторичного туберкулеза проходит медленно, исключая многие этапы:
- контакт с возбудителем;
- появление первичного поражения;
- неактивную стадию;
- повторную активацию возбудителя.
Внешние проявления заболевания:
- потеря жизненных сил, апатия, быстрая утомляемость;
- субфебрильная температура;
- потеря аппетита;
- резкое снижение веса;
- боли в области грудины;
- сильный кашель;
- кровохарканье;
- лихорадочное состояние;
- ночная потливость.
Симптомы могут долго не проявляться. Определить наличие заболевания помогают методы современной медицины.
Методы определения диагноза:
- Анализы мочи и крови. С их помощью устанавливается уровень лимфоцитов и лейкоцитов. Увеличение их числа говорит о наличии воспаленных участков и повышенной скорости оседания эритроцитов.
- Бактериологическое исследование мокроты помогает определить наличие патогенных микроорганизмов в органах дыхательной системы.
- Проба Манту. Подкожно вводятся антигены туберкулеза.
- Проверка состояния легких с помощью фонендоскопа. При этом заболевании отмечается укороченное слабое дыхание и хрипы.
- Рентгенография. На рентгеновском снимке новообразования видны в виде темных пятен. Затемнение в форме правильного круга говорит о наличии 1 опухоли. Если на рентгенограмме просматриваются новообразования неправильной формы, это свидетельствует о нескольких источниках воспаления.
- Компьютерная томография (КТ). Позволяет исключить злокачественную природу новообразований.
- Биопсия легкого. Забор тканей для проведения анализа.
- Торакоскопия. Введение специального инструмента через прокол в области грудной клетки для обследования органов дыхания.
Важная информация: Диссеминированный туберкулез легких
Среди представленных методов чаще всего используется рентгенография.
При постановке такого диагноза, как туберкулома, лечение изначально производится с помощью медикаментозных препаратов. При отсутствии положительной динамики в борьбе с вторичным туберкулезом легких принимается решение о хирургическом удалении образований.
После постановки диагноза больного направляют в диспансер, где будет проводиться лечение туберкулемы. Изначально применяются консервативные методы борьбы с болезнью, т. е. без операции. Лечение проходит в 2 этапа:
- Интенсивный. Длится около 2 месяцев. Пациенту назначаются следующие препараты: Изадрин, Пиразинамид и др. Дозировка в каждом случае производится индивидуально в зависимости от тяжести заболевания и особенностей организма.
- Поддерживающий. Длится от нескольких месяцев до полугода. Вторичный туберкулез на данном этапе лечится с использованием этих же медикаментов.
При медленном прогрессе дополнительно назначаются противовирусные препараты и сеансы физиотерапии.
Операция по удалению туберкуломы осуществляется с применением нескольких методов:
- Таркопластика. Малоинвазивный способ инновационной хирургии.
- Резекция. Производится удаление пораженной ткани с помощью лазерного луча.
- Лобэктомия. Удаление туберкуломы этим методом используется при наличии крупных образований.
- Плеврэктомия. Применяется при деструктивных изменениях, при которых легочная ткань не может заполнить плевру.
- Торакопластика. Назначается при наличии противопоказаний к традиционным методам хирургии. Не проводится лицам пожилого возраста из-за риска спадения легкого.
- Удаление лимфоузлов.
Такая операция по удалению туберкуломы, как резекция, позволяет в короткие сроки остановить развитие болезни и вернуть пациента к привычной жизни. Данный метод хирургии более эффективен, чем химиотерапия.
Лечение туберкуломы народными средствами предполагает использование следующих рецептов:
- Яйца (3 шт., вместе со скорлупой) залить лимонным соком (из 10 фруктов) в темной стеклянной емкости. Сверху банку накрыть марлей. Через неделю добавить мед (300 г) и коньяк (150 мл). Тщательно перемешать, принимать по 1 ч. л. после еды 3 раза в сутки. Средство укрепляет защитные функции организма.
- Изюм (2 ст. л.) соединить с ячменем (2 ст. л.), залить водой (1 л). Поставить на медленный огонь. Варить, пока объем жидкости не уменьшиться наполовину. Добавить мед (1 ст. л.) и принимать по 1 ч. л. 5 раз в сутки.
- Сухие измельченные корни пырея (1 стакан) отварить в течение 5 минут в молоке (350 мл). Принимать в теплом виде 3 раза в сутки, каждый раз готовя новую порцию. Средство обладает отхаркивающим, жаропонижающим и противовоспалительным действием.
Вторичный туберкулез является опасным заболеванием. Перед использованием домашних методов борьбы с болезнью следует проконсультироваться с врачом.
Туберкулома легких – это последствия заболевания органов дыхания. В большинстве случаев болезнь протекает без осложнений, и только у 5% больных отмечены следующие опасные для жизни последствия:
- пневмония;
- сердечная или дыхательная недостаточность;
- ателектаз;
- кровотечение, которое можно остановить только хирургическим методом.
В 95% случаев после операции больной идет на поправку вплоть до полного выздоровления.
Профилактика туберкулеза включает в себя регулярное проведение флюорографии. Большое значение имеет наследственность. В этом случае риск заболеть увеличивается в несколько раз. В целях предупреждения болезни рекомендуется следовать правилам:
- вести здоровый образ жизни;
- отказаться от вредных привычек, особенно от курения;
- проводить много времени на свежем воздухе;
- закаливать организм;
- уделять внимание водным процедурам.
В случае контакта с инфицированным человеком следует сдать анализы. Вторичная профилактика предполагает ежегодные медицинские осмотры лиц, уже перенесших это заболевание.
Источник: https://ProTuberkulez.info/vidy/tuberkuloma-legkih.html
Поделиться:







