Коварность онкологического заболевания заключается в том, что развитие патологии скрытое и обнаружение опухоли происходит примерно в 30% случаев происходит на поздних сроках развития.
Выявление онкологических патологий легких происходит чаще всего при периодическом медицинском обследовании, так как данная область подвергается флюорографическому исследованию.
Другие локализации заболевания обнаруживаются гораздо реже, так как имеют минимальные специфичные проявления. Зачастую онкология протекает бессимптомно, поэтому это затягивает своевременное выявление.
Новообразования могут формироваться в любых органах и тканях. Чаще всего очаговая локализация онкологии располагается в легких, суставах, костях, головном мозге, органах малого таза и брюшной полости.
Для того, чтобы выявить патологию используется комплекс различных исследований. Наиболее информативным среди них является рентгенография.
Процедура имеет ряд преимуществ, одним из которых является быстрое получение результата.
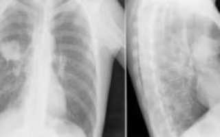
На снимках новообразование отражается как рентгенпозитивное. Но при этом клетки опухоли не всегда отражают рентгеновские лучи, в результате чего образование не определяется даже в случае, когда имеет достаточно крупные размеры.
При рассмотрении рентгеновского снимка с патологией можно заметить затемненное пятно
Определить опухоль можно только в случае, когда она не перекрыта другими тканями и органами и располагается на поверхности пораженного органа.
Методика рентгенологического обследования помогает определить хрящевые, эпителиальные, мышечные и метастатические поражения тканей.
Однако у данного вида исследования есть значительный недостаток – оно не позволяет определить характер течения заболевания. Установить доброкачественность образования по снимкам также не всегда возможно. Поэтому в дополнение к основному обследованию назначается биопсия.
При незначительных изменениях в структуре тканей на рентгенологических снимках врач обращает на это особое внимание. Это может указывать на наличие опухоли.
Таким образом, можно сделать вывод, что рентгенологическое исследование позволяет определить наличие образования, но при соблюдении определенных условий.
Для того, чтобы уточнить диагноз назначаются другие методы обследования: КТ (МРТ), ультразвуковое исследование, анализы крови. При комплексном обследовании можно получить точные данные и выявить онкологию даже на ранних стадиях развития.
Для уточнения диагноза проводят МРТ
При рассмотрении рентгеновского снимка с патологией можно заметить затемненное пятно. Это и есть опухоль. Внешний вид образования может различаться в зависимости от формы заболевания, его течения, стадии развития и многих других факторов. При описании полученного снимка врач уточняет локализацию теней.
В настоящее время при подозрении на онкологические заболевания желудочно-кишечного тракта, опорно-двигательного аппарата, опухолей, локализующихся в области грудной клетки рентгенологические исследования проводятся в обязательном порядке. Чтобы повысить информативность обследования и его результатов исследование назначается с контрастным веществом, которое вводится в контролируемый орган.
В большинстве случаев рентгенологическое обследование с контрастированием требует предварительной подготовки пациента, например при подозрении рака кишечника.
https://youtube.com/watch?v=Sx3JZD2MDUE
Флюорография грудной клетки
В зависимости от локализации новообразования ее подразделяют на центральный, периферический, бронхоальвеолярный, перибронхиальный.
Признаками центральной опухоли легкого на рентгенологическом снимке являются единичные (в редких случаях – множественные) очаговые затемнения. Это зоны пропитанных тканей инфильтратом, которые располагаются рядом с признаками вентиляционной функции компрессорного типа. Такая особенность выражается в более светлом окрасе ореола, который окружает тень.
Локализация периферического новообразования значительно отличается от центрального. Расположение опухоли на наружной части легкого дает более четкую и яркую картину. На рентгенологическом снимке видны темные тени с признаками распада тканей.
Бронхоальвеолярная форма заболевания на снимках выглядит как множественные точечные очаги патологии, которые локализуются в одной доле пораженного органа. Диагностировать данный тип онкологии довольно сложно, так как тело образования малозаметно на снимке.
Рентгенологическая диагностика опухолей головного мозга менее информативна, так как этот метод позволяет оценивать состояние костной структуры черепа, а не тканей органа. Чаще всего рентгенологическое обследование назначается при травмах головы, головокружениях, обмороках, врожденных патологиях костей, заболеваниях эндокринной системы.
Рентген позволяет визуализировать наличие кист, разрушение костей черепа, врожденные деформации черепной коробки, опухоли гипофиза, грыжи мозга, гематомы, внутричерепные гипо- и гипертензии, специфичные доброкачественные опухоли тканей кости, доброкачественные новообразования мягких тканей, окружающих головной мозг, переломы, наличие воспалительных процессов в головном мозге.
Для выявления онкологических заболеваний головного мозга целесообразнее выбирать более современные и точные методы диагностики: МРТ, КТ, ПЭТ и другие.
Метастазы в другие органы определяются на рентгенологических снимках достаточно четко. В отличие от первичных опухолей, эти образования имеют множественный тип. По структуре они негомогенные, форма неправильная и нечеткий край, расположение может быть как на поверхности, так и в толще органа.
При начальной стадии метастазирования образования обнаруживаются как мелкие узелки. Далее пятна могут разрастаться, сливаться, образуя при этом обширные затемнения. На последних этапах развития можно отметить участки с некротическими проявлениями, распадом тканей, полости, заполненные экссудатом.
Рентгенография тазобедренного сустава
Рентгенодиагностика имеет два вида: базовая и рентгеновская КТ.
В базовую рентгенодиагностику входят: флюорография, рентгеноскопия, рентгенография, линейная томография, а также другие специальные приемы и методики.
Рентгенотелевизионное просвечивание применяется в следующих областях: при исследовании пищеварительной системы с использованием контрастного вещества и для уточнения состояния дыхательной системы.
Во время данных видов обследования специалистом, проводящем процедуру, могут выводиться специальные диаграммы, прицельные или обзорные, которые зависят от широты охвата исследуемого объекта.
Каждый вид рентгеноскопии проводится из нескольких ракурсов, то есть с изменением положения пациента, а также наклона стола, на котором лежит больной. Под наблюдением рентгенотелевизионного обследования может браться биопсия, а также проводиться ренгеноэндоскопические процедуры.
Рентгеновская компьютерная томография
Рентгенография часто используется для диагностирования заболеваний органов дыханий, наряду с флюорографией и для костно-суставного скелета.
Эти методы применяются после предварительного установления диагноза. Рентгенография может быть парциальной или обзорной.
Если обзорная рентгенография охватывает весь исследуемый объект, то парциальная только его часть.
https://youtube.com/watch?v=fg6qasx_3Ic
Рентгеновская компьютерная томография – метод, основанный на обработке с помощью компьютера данных о поглощении рентгеновского излучения разными точками изучаемого пространства.
Получаемые изображения на снимках близки к топографическим срезам человеческого тела. Способно визуализировать мягкие ткани, при этом не требуется дополнительное контрастирование.
Однако для обнаружения патологических изменений в тканях и органах требуется дополнительное использование контрастного вещества.
, поэтому требуется использование дополнительных методов обследования. Однако его по прежнему достаточно часто используют как для первичного профилактического диагностирования, так и для подтверждения диагноза.
Источник: https://oonkologii.ru/opuhol-na-rentgene-01/
Рак легких — распространенное онкологическое заболевание. И одно из самых опасных, потому что нередко проходит с серьезными осложнениями, приводит к летальному исходу.
Мы традиционно считаем, что заподозрить признаки этой патологии поможет флюорография, которая проводится в рамках ежегодных медицинских осмотров.
Но вместе с тем в Сети можно встретить и множество тревожных сообщений, что спустя несколько месяцев после флюорографии у человека обнаружили рак легких в запущенной стадии.
Видно ли рак легких на флюорографии? В статье мы представим полный ответ на этот вопрос.
Неспроста так много людей обеспокоены вопросом, видно ли рак легких на флюорографии. Это распространенное онкологическое образование имеет неблагоприятные прогнозы. Велик риск летального исхода.
Поэтому так важно определить эту онкопатологию на начальной стадии. Она опасна тем, что протекает практически бессимптомно.
Признаки болезни зачастую начинают проявлять себя только на стадии метастазирования опухоли.
Заболевание встречается у представителей обоих полов. Однако все же чаще страдают от него мужчины. Существует целый ряд факторов, провоцирующих рак легких:
- Курение.
- Злоупотребление спиртными напитками.
- Наркотическая зависимость.
- Неблагоприятная экологическая обстановка.
- Работа в среде с потенциальными канцерогенами.
- Генетическая предрасположенность.
- Употребление продуктов питания, содержащих канцерогены.
- Радиационное облучение.
По локализации рак легких подразделяется на центральный, периферический и массивный. Последний встречается достаточно редко. А наиболее распространен центральный.
Видно ли рак легких на флюорографии? Это процедура не включена в онкодиагностику. Последнюю составляет следующее:
- Осмотр пациента.
- Сбор анамнеза и его жалоб.
- Лабораторные исследования крови пациента.
- Инструментальная диагностика. В частности, рентген легких.
Покажет ли флюорография рак легких на ранней стадии? Как мы убедимся далее, не всегда. А ведь от малейшего промедления порой зависит жизнь больного.
Коварство онкологических заболеваний легких в том, что даже их первые симптомы не вызывают у человека серьезных опасений. Поэтому так много людей обращаются за помощью к специалистам только при явных признаках онкологии.
Первыми тревожными симптомами в данном случае считаются следующие:
- Хроническая беспричинная слабость, упадок сил.
- Кашель непонятного происхождения.
- Одышка.
Видно ли рак легких на флюорографии? Медики советуют для профилактической диагностики этого заболевания все же обращаться к рентгену легких.
Рак легких на флюорографии выявить возможно. Но, к сожалению, не во всех случаях. И особенно на ранних стадиях. Так почему же эта методика является распространенной, включена в состав стандартного медосмотра?
Флюорография — быстрый и бюджетный способ исследования легких. Буквально через день уже можно получить результаты. С помощью данной методики специалисты могут выявить опухоли и дисфункции не только в легких, но и в других органах и системах: сердце, диафрагме, костных тканях, прилежащих сосудах и проч.
Также метод ценится за то, что является безболезненным и безвредным. Доза облучения, которую получает при процедуре человек, ничтожно мала. Поэтому нет ничего вредного в том, чтобы проходить эту профилактическую диагностику каждый год.
Если флюорограмма снята правильно, то по этому снимку опытный специалист может обнаружить следующее:
- Плевральные воспаления.
- Отложение кальция в сердечной мышце.
- Расширение корней бронхов и легких, а также фиброзных тканей.
- Усиленный сосудистый рисунок.
- Очаговые тени онкологических опухолей.
Флюорография ценится за то, что с ее помощью можно заметить патологические изменения не только в строении легких, но и всех органов, так или иначе задействованных в дыхательном процессе: сердца, вен, артерий и проч.
Флюорография выявляет рак легких? Да, но, к сожалению, не во всех случаях. Это связано с серьезным недостатком методики — процедура проводится только в прямой проекции. Поэтому существует ряд факторов, когда при флюорографии не удается распознать опухоль в легких:
- Новообразование находится в базальных сегментах нижней правой доли органа. Так как их загораживает печень, рассмотреть опухоль специалисту не представляется возможным.
- Слишком мелкие онкологические очаги.
- Опухоль расположена слишком глубоко в тканях органа.
Флюорография показывает рак легких на ранних стадиях? Да, но, как вы убедились, не во всех случаях.
Как выглядит рак легких на флюорографии? Конечно, опухоль на снимке сложно распознать неспециалисту. Квалифицированный доктор может ее заподозрить по следующим признакам:
- Наличие уплотнения. Чаще всего оно одностороннее, отбрасывает тень. К нему могут примыкать тяжи. При этом заметно, что корни легкого будут несколько расширенными.
- Тень, которую отбрасывает уплотнение, разной формы. Но чаще всего именно шаровидной. Как правило, она имеет нечеткие края, вокруг нее может быть некоторая «лучистость».
Не всегда на снимке видно новообразование в то время, как рак уже начинает развиваться. Квалифицированный доктор способен заподозрить это заболевание по ряду косвенных признаков:
- Гиповентиляция (недостаточная вентиляция) легких.
- Ателектаз легочных участков.
- Компенсаторное повышение воздушности примыкающих к нему отделов.
- Дистальное сближение сосудов (оно может происходить за счет сдавливания опухолью).
- Утолщение стенок бронхов.
Как мы убедились, флюорография показывает рак легких, но не во всех случаях. Более точный способ инструментальной диагностики этой патологии — рентген.
Рентгенограмму снимают быстрее, чем делают флюорографию. Более того, если вы проходите диагностику в частной медицинской клинике, стоимость рентгена ниже.
Еще один плюс рентгенографии: лучевая нагрузка на пациента тут может быть ниже, чем при флюорографии. К слову, самая высокая доза облучения — при компьютерной томографии. Но преимущество флюорографии в высокой пропускной способности. Из-за быстроты получения результатов процедуры ее и включают в медицинские ежегодные осмотры.
Еще два альтернативных флюорографии метода — магнитно-резонансная и компьютерная томография. КТ — более точный метод, так как тело пациента просвечивается рентген-лучами с нескольких ракурсов. Но он гораздо дороже флюорографии и рентгенографии. Доза облучения при КТ гораздо значительней.
МРТ безвредна, так как это воздействие магнитных полей. Но процедуру, опять же, отличает высокая стоимость. Кроме того, к МРТ есть большой ряд противопоказаний.
В некоторых медицинских российских клиниках сегодня уже установлены современные агрегаты, позволяющие проводить цифровую флюорографию. С помощью новейшей техники можно получить не только стандартный снимок, но и изучить цифровое изображение легких, которое выводится на монитор.
Достоинство нового метода очевидно. Если при стандартной флюорографии был доступен только фронтальный снимок органов, то при цифровой легкие возможно рассмотреть со всех сторон и ракурсов. Что в разы повышает качество диагностики. Кроме того, отдельные участки изображения, обеспокоившие доктора, можно увеличивать, приближать.
Показывает ли флюорография рак легких при проведении ее на таком оборудовании? Ответ будет, конечно, положительным. Важно отметить, что в цифровой методике задействованы крайне чувствительные сенсоры. Для пациента это хорошо тем, что в десятки раз уменьшается уровень облучения его организма.
Что касается специалистов, они ценят новую методику дополнительно и за то, что можно переместить снимок легких на автономный носитель или же распечатать его бумажные варианты в необходимом количестве.
Помимо флюорографии, существует целый ряд диагностических процедур, при проведении которых возможно обнаружить рак легких на начальных стадиях:
- Цитология мокрот. Исследуются массы, либо выделяемые при кашле, либо изъятые в ходе бронхоскопии. Цитологический анализ позволяет выявить атипичные плоскоклеточные фракции, которые являются характерными для онкологических патологий.
- Плевральная пункция. Позволяет опровергнуть или подтвердить наличие онкоклеток.
- Торакотомия. Хирургическая процедура, целью которой является «отщипывание» частицы опухоли для дальнейшего анализа на ее доброкачественность.
- Медиастиноскопия. Лабораторное исследование образца или опухолевых, или лимфатических тканей.
- Пункционная биопсия. Необходимый для исследования материал собирается при помощи шприца и тончайшей иглы. Последнюю вводят в очаг опухоли. Процедуру проводят под местным наркозом. Она ценится за 100 % точность результатов исследования.
- Позитронно-эмиссионная томография. В ходе процедуры оценивается деятельность тканей, продуктивность метаболизма в подозреваемой области нахождения онкологического новообразования. Однако нужно учитывать, что доза облучения пациента здесь примерно в два раза больше той, что получают при флюорографии.
Подведем итоги. Привычная флюорография — устаревший метод исследования. Но распространенный по причине своей дешевизны. Снимок нечеткий, с одного ракурса. Отчего не всегда на нем можно распознать рак легких на первой стадии. Альтернатива — цифровая флюорография, рентген, КТ, МРТ.
Источник: https://FB.ru/article/475541/vidno-li-rak-legkih-na-flyuorografii-chto-pokazyivaet-snimok
Онкологические заболевания коварны своим скрытым развитием: по статистике более трети раковых опухолей обнаруживаются случайно уже на поздних стадиях.
В органах грудной клетки злокачественные новообразования обнаруживаются случайно чаще всего, так как эта область организма регулярно обследуется с помощью рентгена.
Скрининг позволяет своевременно выявить онкологическое заболевание, даже если оно протекает бессимптомно.
Большинство пациентов, проходящих регулярные профилактические исследования, считает, что рак легких на рентгене виден недостаточно четко.
По словам рентгенологов, использование современной цифровой аппаратуры позволяет увидеть незначительные по размеру опухоли на снимке и дифференцировать их от туберкулеза и других патологий.
О том, как может выглядеть раковая опухоль и метастазы, подробно расскажет эта статья.
Скрининговый рентген при раке легких не является основным инструментом диагностирования заболевания. Этот метод, несмотря на высокую информативность и точность, нельзя назвать 100% достоверным, так как в поле зрения специалиста существует немало помех:
- тени ребер и позвоночника;
- контуры сердца, лимфоузлов, крупных сосудов в средостении;
- тени молочных желез (при обследовании женщин) и т. д.
Нередко небольшие новообразования в легких наслаиваются на такие тени и остаются для специалиста невидимыми, особенно если исследование проводится только в фронтальной проекции.
Более высокая результативность наблюдается при создании снимка в двух проекциях: каждый из них покажет тени легких в разных ракурсах, то есть позволит увидеть патологические очаги, которые не были видны с другой позиции.
Вероятность того, что онкология на ранней стадии будет случайным образом обнаружена, остается крайне низкой. Во-первых, разрешение стандартных рентген установок не позволяет визуализировать затемнения диаметром меньше 5 мм. Во-вторых, только явные или дополнительные признаки рака легких дадут повод к углубленному и более внимательному изучению снимков.
Важно! Если отсутствуют первые симптомы злокачественных опухолей в органах грудной клетки, врач обнаруживает их только когда их диаметр превышает 5 мм.
Опытные рентгенологи способны определить рак органов грудной клетки на снимках по косвенным признакам: гиповентиляции, смещению контуров средостения и увеличению лимфоузлов. Такие отклонения покажет даже простое обзорное исследование.
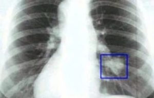
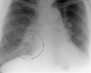
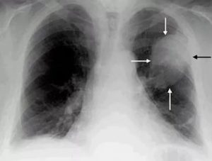
Выглядит рак на рентгеновском снимке как затемненное пятно. Внешний вид злокачественных опухолей может быть различным в зависимости от формы заболевания, стадии ее развития и других факторов. Составляя описание, врач обращает внимание на локализацию теней. По этому признаку заболевание определяется как центральный или периферический, перибронхиальный или бронхоальвеолярный тип.
Полезно знать! Дифференцировать доброкачественные и злокачественные новообразования можно по характеру контура. Независимо от формы опухоль снимке имеет форму пятна с неравномерными, расплывчатыми очертаниями.
Помимо первичных опухолей на снимках могут быть выявлены очаги метастазирования из других органов. По внешним характеристикам они слабо отличаются от рака легких, но имеют некоторые особенности.
Признаками центрального рака легких на рентгене служат очаговые единичные (в редких случаях многочисленные) затемнения — зоны инфильтрации, вблизи которых присутствует ткань с признаками компенсаторной вентиляционной функции. Это проявляется в виде более светлого по окрасу ореола, окружающего тень.
Локализация центрального рака в толще органа, обычно в верхних или средних сегментах. Форма опухоли на снимке определяется как негомогенная лучистая: края новообразования неравномерно «расползаются» в стороны. Также рентген выявляет дополнительную тень в области корней, по форме напоминающую сосудистый рисунок.
По локализации периферический рак легкого значительно отличается от центрального. Очаг поражения тканей располагается на поверхности органа, поэтому проявляется четче. Внешний вид такого типа рака легкого на рентгене стандартный — темная тень с признаками распада тканей.
Локализация периферического типа делится на две группы:
- Верхушечный или рак Панкоста — патологический очаг располагается в верхнем сегменте, и внешне напоминает туберкулому. Новообразование имеет типичный для рака легкого смазанный неровный край и неравномерную структуру.
- Полостной рак — очаг располагается на поверхности органа, и по внешнему виду напоминает кисту, абсцесс или туберкулому.
При постановке диагноза необходимо дифференцировать злокачественные опухоли с туберкулезом, кистой или абсцессом.
При плановом обследовании рентген может показать опухоль непосредственно в стенке бронхов — перибронхиальный рак. От других форм заболевания его отличает ограниченность стенками бронхиального древа: злокачественные клетки практически не выходят за их границы. Так как газообмен в пораженных бронхах ухудшается, такая форма онкологии сопровождается сопутствующими изменениями:
- гипервентиляцией — на рентгене видны чрезмерно «завоздушенные» области;
- стенки бронхов выглядят более толстыми и плотными, но края их нечеткие;
- от корня к краям органа пролегают затемненные тяжи.
Признаки воспаления при этой форме заболевания отсутствуют. Неприятных симптомов может не быть.
Бронхоальвеолярная форма считается наименее распространенной и максимально схожей с диссеминированным туберкулезом.
Как правило, рентген при раке такой разновидности показывает множественные точечные патологические очаги, локализованные в одной доле легкого.
Сложность диагностирования такого типа онкологии легких состоит в том, что тело опухоли остается малозаметным на снимке до момента, когда злокачественные клетки не сформируют однородную опухолевую паренхиму.
https://www.youtube.com/watch?v=HD2itkKHGZ4
Полезно знать! Бронхоальвеолярный рак рано метастазирует, оставаясь незаметным. Иногда врачу удается обнаружить метастазы на рентгене раньше, чем «родительскую» опухоль.
Видимость метастазов в легких на рентгене достаточно хорошая. В отличие от первичных опухолей, такие новообразования всегда множественные. По внешнему виду затемнения характеризуются как негомогенные структуры на поверхности или в толще органов, с нечетким краем и неправильной формой.
На начальной стадии метастазы определяются как множественные узелки.
При прогрессировании метастатического процесса рентгеновский снимок легких при раке обнаруживает распространенное поражение тканей, схожее с диссеминированной формой туберкулеза — пятна могут сливаться, образуя обширные затемнения. На последних стадиях на снимках становятся видны некротические очаги с распадающимися тканями, полости, наполненные экссудатом.
Помимо поврежденных легочных тканей рентген может выявить метастазы в костях грудной клетки. Это могут быть вторичные опухоли ребер или метастазы в позвоночнике. Вторые обнаруживаются реже по причине наслоения изображений передней части грудной клетки, легких и средостения. Метастазы в костной ткани выглядят как точечные затемнения с разреженной структурой кости.
В диагностической практике бывают случаи, когда не видны опухоли на рентгене. Это возможно в случае малого размера новообразования (меньше 5 мм в диаметре) или при наслоении теней ребер и других органов грудной клетки в проекции опухоли.
Чтобы снизить вероятность неправильной диагностики, рекомендуется проходить исследование на современном оборудовании. Цифровой рентген позволяет получать более точные изображения с высокой контрастностью, благодаря чему врач может обнаружить если не сам рак легких, то его косвенные признаки.
Если у врача есть подозрение на скрытую дополнительными тенями опухоль, рекомендовано проведение рентгена в нескольких проекциях. Если на снимках в фронтальной позиции тень ребер и сердца мешает визуализировать рак, в боковой или наклонной врач сможет верно интерпретировать природу тени.
Источник: https://DiagnozPro.ru/rentgen/organy/kak-vyglyadit-rak-legkih-i-metastazy
В конце прошлого года семья Шкред потеряла близкого человека. Родственники до сих пор не могут прийти в себя: настолько молниеносно рак поглотил жизнь 60-летнего борисовчанина.
Еще в июле он успешно прошел флюорографию, в августе — ежегодный профосмотр, а в ноябре ему поставили диагноз — рак легкого 4-й степени с метастазами в позвоночник и печень.
Сын умершего Александр не понимает, как врачи могли пропустить болезнь в настолько запущенной стадии, и выражает сомнения в эффективности наших профосмотров.
Фото с сайта onco.me
О коварности онкологических заболеваний в последнее время говорится немало. Но даже зная об этом, тяжело соотнести два документа с разницей менее чем в полгода: августовская медицинская справка с пометкой «К работе допущен» и свидетельство о смерти, выданное в декабре.
— Я понимаю, что воскресить моего отца уже невозможно, но то, что случилось с ним, может произойти с любым из нас, — говорит Александр Шкред. — Для чего мы тогда проходим ежегодно флюорографию, если она либо ничего не показывает, либо на ней ничего не могут (не хотят) увидеть?
По словам родственников, Сергей Николаевич Шкред последние 9 лет работал на городском молочном заводе Борисова и ежегодно проходил медицинскую комиссию. Последний рентген он сделал в конце июля — тогда, по заключению доктора, все было в порядке.
В октябре мужчина начал жаловаться на боль в боку. Обратился в поликлинику, врач выписала ему обезболивающие лекарства. Первоначально был поставлен диагноз «торакалгия» (межреберная невралгия).
Когда пациента осмотрели более внимательно, послушали легкое и сделали снимок, направили с подозрением на пневмонию в больницу.
И уже через 2 недели медики дали направление в онкологический центр в Боровлянах, где родственники услышали неутешительный диагноз.
— Я задал вопрос онкологу, как можно пройти флюорографию и медкомиссию и не обнаружить онкологию на такой стадии? Мне ответили: на снимке тень сердца, не смогли увидеть.
К тому же, если терапевт проводил общий осмотр пациента, как можно не услышать, что легкое не работает? Почему не брали анализ крови?
Помимо профосмотров на работе, признает Александр, его отец редко бывал у врачей. В 2013 году в последний раз проверялся по поводу перелома ребра, а в остальном — полагался на медкомиссию. Курил. Сигареты в последнее время «шли плохо», часто кашлял, но флюорография успокаивала. На самочувствие особенно не жаловался.
После того как в семье узнали о диагнозе, бывшая супруга пациента сходила в поликлинику и забрала его карточку. Медперсонал неоднократно заходил к ним домой с просьбой вернуть документ, рассказывает Александр.
— Началась фактически охота за медицинской карточкой отца. Я не выдержал, поехал в отделение милиции и написал заявление о случае преступной халатности.
Заявление принимать не хотели, мотивировали тем, что у меня нет медицинского образования и онкология так и должна развиваться.
Примерно через месяц меня вызвал следователь для беседы, а еще через неделю или около того пришел отказ в возбуждении уголовного дела. Сейчас карточка находится у следователя.
Собеседник подчеркивает, что не имеет претензий к большинству медиков. Напротив, врачам скорой, которые приезжали на вызовы к его отцу, он даже писал благодарность — настолько компетентными, порядочными и человечными людьми они оказались. Но случай с диагностикой рака поверг Александра в шок.
— Почему врачи не несут никакой ответственности? Некомпетентный бухгалтер сядет в тюрьму, если он нанес материальный ущерб фирме, почему же некомпетентный врач не несет никакой ответственности? — задается вопросом собеседник.
Как следует из документов, Борисовский районный отдел Следственного комитета Беларуси отказал заявителю в возбуждении уголовного дела, поскольку «в чьем-либо деянии отсутствует состав преступления».
При этом следователями было установлено, что за несколько месяцев до постановки диагноза врач-рентгенолог не обнаружила на снимке легкого и сердца видимой патологии.
В ходе профосмотра пациент сдал общий и биохимический анализ крови, жалоб не высказывал.
TUT.BY удалось выяснить, что служебное расследование на сегодняшний момент благополучно завершено. Но его результаты в управлении здравоохранения журналисту озвучить отказались, сославшись на врачебную тайну.
Сыну умершего Александру Шкреду заключение комиссии без письменного запроса также не предоставили. Устно пояснили, что комиссия врачей на июльском снимке не нашла отклонений.
Лишь специально приглашенный врач-онколог разглядел некую патологию, которая к раку не имеет отношения, передает слова медиков собеседник.
— Комиссия, насколько я понял, в основном акцентировала внимание на снимке, поскольку все анализы для профосмотра регламентируются приказом Минздрава. В итоге все свели к тому, что это очень агрессивная форма рака.
То есть за три месяца заболевание развилось так, что человека убило… Не знаю, если честно, не верится… В октябре отец уже чувствовал боль, то есть метастазы были.
И вот вопрос: могут ли метастазы развиться так быстро, что за пару месяцев начинают причинять боль?
В Беларуси от рака легких в течение первого года после выявления болезни умирают 53% пациентов, рассказал TUT.
BY заведующий торакальным отделением РНПЦ онкологии и медицинской радиологии, доктор медицинских наук, доцент Виктор Малькевич.
По этому показателю мы находимся на одном уровне с США, Великобританией и другими развитыми странами. То есть некоторые формы рака легких действительно очень агрессивны, пояснил специалист.
Источник: https://news.tut.by/society/482153.html
Рентген легких при подозрении на карциному не всегда является достоверным, поскольку он может демонстрировать только затемнение или осветление тканей органа. Рак легких на рентгене возможно обнаружить в форме кругообразного воспаленного участка.
Онкологическая патология органов дыхания на рентгеновском снимке обозначается в виде небольшого затемнения. На острой стадии его выявить крайне трудно, поскольку сама патология имеет небольшой размер. Онкологические признаки можно заметить только если площадь поражения больше 2 мм в диаметре. Снимок рентгена покажет вторичные признаки образования онкологического очага.
На рентгенограмме при первичном обследовании врач может заметить малые области потемнения, не имеющие ровных очертаний.
Рентгенолог может ошибочно идентифицировать их как скопление солей кальция или следствие обызиствления реберных костей.
Для большей уверенности и информативности необходимо назначать динамическое рентгенологическое исследование. Для этого пациент будет подвержен обследованию прямо и сбоку.
Как правило, на снимках сбоку, обозначается точное расположение области заражения. В случае, когда очаг поражения находится на задней стенке легкого, то такое злокачественное образование будет выглядеть как темное пятно со рваными краями.
Рентгенодиагностика хорошо подходит для диагностирования:
- опухолевого скопления;
- метастаз внутри легких;
- ателектазов;
- плевритов;
- пневмосклерозирующих очагов.
В видео от автора «Анатомия Человека» можно узнать о рентгенологии легочной области и определению раковых заболеваний.
Начальная стадия онкологического заболевания проходит без увеличения пораженной площади. Поэтому на рентгенографическом снимке первичная стадия не отображается или видна нечетко.
Рак легких на рентгене на ранних стадиях возможно определить только при специфическом методе использования рентгеноскопии. Успех такого метода исследования достигается точной локализацией очага карцином на основе симптоматических признаков.
Диагностирование карценом в легких на острых стадиях позволяет предотвратить распространение метастаз и вовремя задействовать терапию.
Симптомом, по которому рентгенолог может диагностировать злокачественное новообразование, является гиповентиляция легочного сегмента, в котором воздухоотвод осуществляет бронх с патологией.
При расположении ракового образования и опухолевого участка за сердцем, на снимок в сбоку можно увидеть может показать состоящее из многих частей затемнение. Как правило, оно имеет немного увеличенную интенсивность, которое может сливаться с грудной стенкой. Его часто могут спутать с плеврическим образованием.
Критерии диагностики рентгеном паракостальной формы рака:
- расположение широкой части тени возле грудной стенки;
- острый угол между темным участком и грудной клеткой;
- на боковой проекции новообразование выглядит как шарообразная тень.
При рентгенограмме получают несколько снимков в динамике и делают описание. На основании нескольких снимков врачи могут дать характеристику заболевания и поставить диагноз. Обнаружение центрального или периферического рака возможно только на более поздних стадиях.
На такой стадии размер и форма карциномы составляет от 2 мм и больше. На ранних стадиях такая форма сложно поддается диагностике, так как размер пораженной зоны очень мал. Рентген не может показать такое поражение, так как оно практически неотличимо от теней на фоне легкого.
Снимок рентгенографического исследования с аномальным пятном следует читать так:
- Периферическое затемнение с неоднородным и, нечетким контуром. Зачастую будет показывать на наличии аденокарценомы или плоскоклеточной форме рака.
- Наличие углубления по центру области затемнения. Более темный участок тени может свидетельствовать о дренировании пораженного узла прямо в бронх.
- Борозда к правому корню легкого. Этот признак лимфангита.
- Правый купол пятна приподнят вверх. Показывает на наличие рубцовых спаек на плевре.
- На фоне четкой тени заметны просветления. Свидетельствует о том, что патология находится в состоянии рецессии. Может быть первым признаком распада злокачественного новообразования.
- Контур представлен в форме расходящихся лучей вокруг новообразования. Если он нежный и правильной формы — симптом карциномы. Если контурные лучи рваные и неровные, то это может быть признаком инфекционного поражения тканей. Характерно для туберкулеза.
- Так называемый «Синдром восходящего солнца». Такое состояние новообразования характерно для центрального рака легких. Наблюдается дублирующая, вторичная тень в корневой проекции. По насыщенности и заметности потемнения схож с капиллярами и сосудами лёгких.
Читать результаты и определять рак на рентгеновских снимках может только врач-рентгенолог и онколог.
На первичных стадиях заболевания выявлять онкологическое заболевание проблематично.
https://youtube.com/watch?v=glCaJQ97bfU
Раковые заболевания могут протекать в нескольких формах:
- Биологическая. При такой форме карциномы, изменения происходят в геноме клеток, на клеточном уровне. Рентгеновские лучи не могут диагностировать такую форму. Она поддается диагностированию только при пункциальном анализе органа и дорогостоящем исследовании.
- Доклиническая. Стадия развития карциномы в доклиническом форме происходит в небольших размерах и сразу в нескольких участках. На результатах рентгеноскопии такой вид новообразования будет обнаружен только при точечном исследовании в нескольких проекциях. Размер поражения при такой форме крайне мал и вероятность обнаружения низкая.
- Клиническая. В этой стадии рентгеновские лучи могут обнаружить пораженные участки. Снимки необходимо делать с периодичностью и в динамике нескольких плоскостей. При фронтальном и боковом рентгеновском исследовании можно сопоставить картину и получить представление и форме и расположении.
Для того, чтобы диагностика была правильной и точной, необходимо следовать нескольким правилам:
- Проводить исследования в динамике. Боковое, фронтальное исследование.
- Проводить дополнительные анализы.
- При диагностировании сложной формы центрального рака либо его признаков, необходимо проводить пункцию легочного покрова. Центральный рак имеет свойство произрастать не инвазивно и внутрь бронихального просвета. При снимке рентгена фронтальной направленности такая форма карциномы незаметна.
- Мутация корневой структуры и легочный алтелектаз могут быть идентифицированы только на боковом снимке.
Патологию Панкоста, или рак Панкоста можно диагностировать также только в двух проекциях.
Отсутствие болевых ощущений и каких-либо ограничений в работе легочной системы не позволяют диагностировать эту патологию на ранних стадиях.
На более поздних стадиях, карцинома Панкоста разрастается до 10 см в диаметре и захватывает плечевые нервные узлы. Такую патологию покажет рентгенограмма и флюорография.
Определение заболевания на ранних стадиях может быть осуществлена только при КТ, МРТ, биологическом исследовании легочного материала.
Наличие опухоли на задней стенке легких Периферическая форма рака Полостная форма рака
В видео от автора «Онко Диспансер» можно подробно узнать о формах карцином легких, их диагностике и расшифровке рентгенограмм.
Источник: https://hromosoma.com/rentgen/rak-legkih-na-rentgene-27730/
Поделиться:









