Легочный фиброз предусматривает наличие в легких ткани рубцового типа. Рубцовая ткань образуется каждый раз, когда мы повреждаем нашу кожу. Это могут быть шрамы, порезы, ожоги или слабовыраженные дерматологические заболевания кожи (акне, грибковая инфекция и т.д).
Когда средний слой кожи (дермис) повреждается, наш организм пытается как можно быстрее закрыть рану, для этого образуется сгусток крови на ране, который защищает рану от попадания мелких частиц пыли, грязи или же инфекции. После этого, благодаря фибробластам, наши клетки начинают регенерировать. Фибробласты замещают клетки белками или коллагеном, который формирует рубцовую ткань.
Что такое фиброз легких?
Грубо говоря, фиброзные изменения — это замещение легочных тканей соединительными.
В легких образуется фиброзная ткань, позже из этого следует серьезный сбой дыхательной системы, со временем нарушаются абсолютно все функции дыхательной системы.
Но благодаря своевременному лечению, многих последствий можно избежать.
Легочное рубцевание – рак?
Фиброз является быстропрогрессирующей болезнью, поэтому к лечению этого заболевания нужно подходить с большой серьезностью. В противном случае эта болезнь может привести к смерти. На вопрос, является ли фиброз раком, все врачи отвечают однозначно – нет.
Рубцы, образованные в наших легких, постепенно разрастаются, из-за этого дышать с каждым днем становится все тяжелее. Образование рубцов необратимо, как и их разрастание, поэтому полное излечение в данной ситуации – почти невозможно.
[/attention]
При такой болезни, как фиброз легких, продолжительность жизни зависит от стадии и формы заболевания.
Фиброз различают всего на два вида:
- Идиопатическое легочное рубцевание
- Интерстициальное легочное рубцевания
Идиопатический легочный фиброз (ИЛФ) – разновидность фиброза легких, при которой невозможно определить причину появления заболевания.
Интерстициальный легочный фиброз – разновидность фиброза легких, при которой определение причины, вызвавшей заболевание, возможно практически сразу. А как известно, своевременное определение причины заболевания, является первым шагом к выздоровлению.
Симптомы при ИЛФ:
- Одышка
- Кашель
- Мелкопузырчатые хрипы
- Рвота
- Боль внизу живота
- Потеря веса
- Отсутствие аппетита
- Повышение температуры (до 37 , 5)
- Цианоз
- Отечность рук и ног
- Учащенный пульс
- Присутствие слабости во всем теле
Средняя продолжительность жизни при идиопатическом легочном рубцевании составляет около 3 лет, но благодаря правильному лечению и при своевременной диагностике, срок можно увеличить.
Этиология этого заболевания очень интересна. Изучив причины появления этого заболевания, можно понять, что заболеть легочным рубцеванием может абсолютно каждый.
- В первую очередь заболеванию подвержены люди, постоянно контактирующие с неорганической и органической пылью. То есть, продолжительное вдыхание пыли, может вызвать аллергическую реакцию и запустить процесс фиброза. Эта форма болезни называется силикоз(вдыхание различных силикатов).
- В медицинской практике очень часто встречаются случаи, когда больные пытаясь вылечится от одного заболевания, подхватывают другое. Фиброз как раз тот самый случай. Вторая причина заболевания – аллергическая реакция на препараты (сильные антибиотики и т.д.). Эту форму болезни называют лекарственным фиброзом.
- Наверно, каждый день по телевизору или другим источникам информации, мы видим рекламу сигарет и где-то внизу или после рекламы, мелким шрифтом, мы читаем, что курение вредит нашему здоровью. Но, мало кто действительно обращает на это внимание, а зря, ведь самым главным фактором, влияющим на развитие фиброза легких является курение. Причем курение гораздо быстрее разрушает ткани легких, и тем самым замедляет процесс лечения.
Наверняка существует еще множество причин возникновения фиброза, но болезнь не является до конца изученной. Поэтому все выше перечисленные факторы являются причинами интерстициального рубцевания легочной ткани. Фиброз, возникший без каких-либо на то причин, называют идиопатическим.
Итак, мы перечислили внешние факторы, но существуют еще и внутренние факторы, которые гораздо чаще становятся причинами появления рубцов в легких:
- Это болезни, такие как ревматизм, артрит, склеродермия и т.д. Они влияют на разрушение тканей всех органов человеческого организма, в том числе и легкие. Таким образом , начинает развиваться фиброз.
- Инфекционные или воспалительные процессы. Та же запущенная пневмония или туберкулез, может вызвать фиброз легких.
Как вы заметили, факторов, влияющих на развитие болезни, достаточно. Из чего следует, что заболеванию подвержены все, как дети, так и взрослые.
https://youtube.com/watch?v=3WIGWb-PPE8
Фиброз легких различают на два вида:
- Очаговый – затрагивается только определенный участок легких. Симптомы очагового фиброза легких проявляются не сразу, только через пару месяцев можно заметить первые симптомы.
- Диффузный – моментально поражается почти вся часть легких. При этом виде, фиброз начинает очень быстро развиваться, затрагивая все функции дыхательной системы, постепенно отключая их.
К сожалению, фиброзные деформации в наших легких остановить невозможно, но их можно замедлить.
В основном врачи прописывают:
- Различные цитостатики (для замедления процесса роста соединительных тканей и деления клеток)
- Глюкокортикостероиды (ускоряет обмен веществ и положительно влияет на ткани человеческого организма)
- Иммунодепрессанты (обеспечивает искусственную иммуносупрессию)
- Антибиотики (снимают воспаление)
- Бронхолитики (для облегчения дыхания, прописывают при сильном кашле и одышке)
- Витамины (помогают иммунитету бороться с болезнью и способствуют лечению)
Также при фиброзе любого вида и типа дыхательная гимнастика – обязательный пункт в лечении.
Дыхательная гимнастика при фиброзе легких:
- Глубоко вдохните, так чтобы легкие полностью заполнились воздухом. Задержите дыхание на 10-15 секунд.
- При этом очень важно, чтобы весь воздух был в легких. Не держите воздух во рту и не раздувайте щеки.
- На протяжении этих 15 секунд, держите губы сомкнутыми.
- Затем, через силу, быстрым выдохом, выпустите небольшую часть воздуха.
- Весь оставшиеся воздух, выдыхайте постепенно и равномерно, на протяжении 5-8 секунд.
Повторяйте эти, совсем легкие, пункты каждый день, по 5-6 раз. Это будет занимать минимум времени и сил, но польза будет огромной.
Как уже говорилось выше, продолжительность жизни зависит от вида и стадии заболевания, от прогнозов врачей, от того, как скоро после обнаружения заболевания, было начато лечение. Последний пункт особенно важен, запущенная форма фиброза может привести к серьезным последствиям. Таким как:
- Хроническая дыхательная недостаточность
- Образование легочного сердца
- Развитие вторичной инфекции
- Может дать осложнение на сердце
Итак, как уже говорилось выше, существует два вида легочного фиброза. Один из них (очаговый) является более щадящим, нежели второй (диффузный). Давайте поговорим о диффузном легочном фиброзе, чаще всего, этот тип несет за собой летальный исход.
Поэтому ему следует уделить все ваше внимание, дабы избежать нехороших последствий. Казалось бы, какие лекарства могут остановить этот процесс, когда поражена большая часть легких. И это действительно так, лекарства и дыхательная гимнастика, к сожалению, не помогут.
Но, это еще не конец статьи, а значит решение у этой проблемы есть. Решение – хирургическое лечение.
К этому лечению врачи прибегают редко, так как конечно же, лучше пролечиться, обойдя хирургический стол. Наверно это сложно назвать лечением, скорее быстрое устранение нависшей проблемы.
К сожалению, трансплантация легких возможна не везде. Процесс довольно трудоемкий, поэтому следует найти хорошего хирурга. Итак, давайте же разберемся, что такое трансплантация легких и как это происходит.
Пересадка легких – это полная или частичная замена пораженных легких здоровыми. На данный момент, такая хирургическая операция является самым действенным и проверенным методом лечения идиопатического фиброза, хоть и довольно радикальным методом.
Как происходит пересадка?
Думаю, всем известно, что доноров гораздо меньше, чем нуждающихся в донорском легком. Поэтому на пересадку могут вызвать в любой момент, как только появится донор, пациент всегда должен быть готов к пересадке. Итак, в первую очередь хочется сказать, что пересадка происходит под общим наркозом, и на протяжении всей операции, осуществляется искусственная вентиляция легких.
Первый этап операции, это извлечение пораженных легких. Затем, незамедлительно донорские легкие подключаются к дыхательным путям. В среднем, замена одного больного легкого занимает до 8 часов.
Прочитав эту статью, вы наверняка поняли, что фиброз не является раком, даже с такой болезнью можно справиться, если, действительно, этого захотеть.
Источник: https://lechim-gorlo.ru/zabolevaniya/vse-o-fibroze-legkih-kak-lechit-fibroznye-izmeneniya-v-legkih
Болезни
Заболевание, при котором происходит замещение легочной ткани соединительной, носит название фиброз легких. Этот недуг вызывает серьезные сбои дыхательной функции. При этом у больного происходит растяжение легочных тканей, из-за чего снижается их эластичность.
Заболевание вызывает необратимые патологические изменения, которые сильно влияют на качество жизни человека. Полностью избавиться от проблемы невозможно, так как соединительная фиброзная ткань не регенерируется в обычную.
Однако можно приостановить развитие заболевания, что выполняется с помощью современных методик вполне успешно.
Фиброз делят по степени распространенности патологических изменений на несколько стадий:
- Пневмофиброз. При этой форме заболевания соединительная ткань в умеренной степени чередуется с неизмененной легочной.
- Пневмосклероз. При этой форме патологическим изменениям подвергается большая часть легочной ткани.
- Цирроз легких. Об этой стадии говорят, когда происходит полное замещение тканей. При этом также повреждаются сосуды легкого.
Заболевание может быть как одно-, так и двусторонним. Недуг нельзя оставлять без внимания, ведь в запущенной стадии он может спровоцировать серьезные осложнения.
Заболевание делят на два основных типа: интерстициальный и идиопатический. Вызывают их различные причины. Идиопатический фиброз легких считается самой загадочной формой болезни. Ученые до сих пор не могут выяснить, что его провоцирует. Есть предположение, что он вызывается недостатком полноценного здорового сна. Интерстициальная же форма недуга возникает из-за следующих основных причин:
- хронические воспалительные заболевания;
- аллергии, не подающиеся лечению;
- длительное вдыхание пыли и загрязненного воздуха;
- облучение организма;
- гранулематозные болезни легких;
- туберкулез;
- пневмония.
Чем раньше пациент начнет бороться с болезнью, тем быстрее он сможет ее победить. Однако многие даже не знают, какой врач лечит фиброз легких. Справиться с заболеванием поможет пульмонолог. Этот доктор специализируется на лечении недугов легких. На первом приме доктор проведет осмотр больного, а также уточнит:
Полученные в ходе опроса данные помогут врачу более точно определить причину проблемы. Затем врач может направить человека на дополнительные лабораторные или инструментальные обследования. Результаты также будут использованы им при разработке схемы лечения пациента.
Терапию выбирают в зависимости от стадии развития заболевания и его сложности. Как правило, на первых этапах развития фиброза легких его лечение может быть ограничено немедикаментозными методами. Главным из них считают кислородную терапию. Ингаляции проводятся с помощью специальных аппаратов. Метод помогает:
- улучшить общее состояние;
- справиться с одышкой;
- улучшить работоспособность.
Медикаментозная терапия включает в себя прием глюкокортикостероидов, антифиброзных препаратов и цитостатиков. Лечение лекарственными средствами достаточно длительное. Оно может занимать как 12 недель, так и 6 месяцев.
Однако такой продолжительный прием препаратов способен не лучшим образом сказаться на здоровье человека.
Например, после полного курса глюкокортикостероидов у человека могут возникнуть проблемы с давлением, обменом кальция или обострение язвенной болезни желудка.
В более сложных случаях остановить развитие заболевания можно только хирургическим путем. Оперативное лечение выполняется при тотальном фиброзе, когда изменениям подвергается вся легочная ткань. Удаление пораженного легкого или трансплантация органа назначается при:
- тяжелой дыхательной недостаточности;
- снижения объема легких;
- развитии гипоксии;
- снижении более чем в 2 раза диффузной способности легких.
Каждые 3 месяца должен проходить осмотр у пульмонолога пациент с таким диагнозом. При фиброзе легких лечение сегодня проходит достаточно успешно, однако больному придется строго следовать всем указаниям специалиста.
Заболевание может протекать как в острой, так и в хронической форме. Многие интересуются: что если не лечить фиброз легких? Стоит отметить, что заболевание достаточно серьезное, оно может привести даже к летальному исходу. Поэтому лечить его нужно как можно раньше. Фиброз может стать причиной развития таких серьезных осложнений как:
- экссудативный плеврит;
- гипоксемическая кома;
- пневмоторакс;
- тяжелая дыхательная недостаточность.
Самой опасной считается острая форма фиброза. Заболевание развивается очень стремительно, и уже через 2 месяца человек может умереть. Лечение в домашних условиях неприемлемо.
Согласно статистическим исследованиям, страдают от этого недуга преимущественно мужчины.
Лишь у 2 из 10 больных диагностируют острую форму фиброза легких, при которой продолжительность жизни составляет только 1 год. При этом состояние человека резко ухудшается.
У него появляется сильная одышка, он резко теряет вес (до 15 кг за 5 месяцев), а также испытывает тяжелую дыхательную недостаточность.
Гады на отдыхе: срочная помощь
Прекрасный отдых в любой точке мира, к сожалению, могут омрачить различные… гады. Да-д…
Что скрывают фаст-фуды?
Каждый житель мегаполиса хотя бы раз в день заглядывает в сети быстрого питания. Вкусн…
Лечение кашля
Всемирная организация здравоохранения относит болезни дыхательных органов к приоритетным…
Пост полезен для здоровья
Система постов появилась на Руси много столетий назад, разумеется, не просто так. Все …
Источник:
Фиброз легких – это процесс, характеризующийся замещением легочной ткани фиброзной (рубцовой), что сопровождается нарушением дыхательной функции.
Благодаря работе наших легких происходит насыщение крови кислородом, необходимым для потребления энергии, а также выделение углекислого газа, который образуется как побочный продукт в процессе жизнедеятельности клеток. Развитие фиброза легких приводит к уменьшению объема нормально функционирующей легочной ткани, как следствие, снижается эффективность дыхания.
Замещение легочной ткани соединительной может происходить как в одном легком, так и в обоих одновременно. В зависимости от этого выделяют односторонний и двусторонний фиброз. Помимо этого, фиброз легких разделяют на очаговый, при котором поражается небольшой участок легочной ткани, и тотальный, при котором патологический процесс распространяется практически на все легкое.
Причины развития фиброза легких многообразны:
- заболевания дыхательной системы (хронический бронхит с бронхообструктивным синдромом, пневмония, туберкулез, хроническая обструктивная болезнь легких);
- заболевания соединительной ткани (ревматоидный артрит, системная красная волчанка, системная склеродермия);
- воздействие производственных факторов, негативно влияющих на органы дыхания. Например, при длительном вдыхании на производстве пыли силикатов возникает силикоз. Также к профессиональным заболеваниям относится асбестоз, возникающий вследствие вдыхания пыли асбеста;
- длительный прием некоторых лекарственных средств (антиаритмические препараты, средства, используемые для лечения злокачественных образований);
- наличия васкулита (заболевания, сопровождающегося воспалением стенок кровеносных сосудов);
- идиопатический или первичный фиброз легких, точная причина которого не установлена.
Прогноз заболевания относительно неблагоприятный, прогрессирование патологического процесса приводит к развитию пневмосклероза, а затем цирроза легких, что значительно снижает качество жизни человека и может привести к инвалидности.
Кроме того, данное состояние приводит к появлению таких грозных осложнений, как хроническая дыхательная недостаточность, легочная гипертензия, хроническая сердечная недостаточность.
Поэтому крайне важно, как можно раньше обратиться к специалисту, который, в свою очередь, назначит необходимый спектр диагностических процедур и необходимое лечение.
physiatrics.ru
Изначально фиброз легких проявляется общей слабостью, снижением трудоспособности, повышенной утомляемостью. Кожные покровы становятся бледными, в некоторых случаях можно отметить синюшный оттенок.
В особенности цианоз наблюдается на кончиках пальцев рук и ног, в области носогубного треугольника, на кончике носа. Также отмечается нарушение сна, наблюдается повышенная сонливость в дневное время и бессонница ночью.
Некоторые пациенты предъявляют жалобы на снижение массы тела.
Основным симптомом, который значительно снижает качество жизни человека, является одышка. Одышка характеризуется изменением частоты и глубины дыхания, в большинстве случаев сопровождается ощущением нехватки воздуха.
Характер мокроты — слизистый, реже – слизисто-гнойный, что будет указывать на присоединение вторичной инфекции.
Длительное течение процесса приводит к изменению формы пальцев, которое носит название «симптом барабанных палочек».
Концевые фаланги пальцев кистей утолщаются, приобретают колбовидную форму, ногтевые пластины приобретают вид часовых стрелок.
При надавливании на палец возникает ощущение подвижности ногтевой пластины, что объясняется изменением структуры ткани между ногтем и подлежащей костью.
Большой объем поражения легочной ткани и длительность течения процесса приводят к развитию сердечной недостаточности. Так называемое «легочное сердце» проявляется следующими симптомами:
- отеки, начинающиеся со стоп, затем затрагивающие голени, бедра и т.д.;
- прогрессирующая одышка, возникающая не только при незначительной физической нагрузке, но также и в покое;
- набухание и пульсация шейных вен;
- периодическое ощущение дискомфорта или боли в области сердца;
- ощущение сердцебиения или перебоев в работе сердца.
medserviceisrael.ru
Диагностика начинается со сбора жалоб и анамнеза заболевания. Обращается внимание на прогрессирующую одышку, которая возникает не только во время физической активности, но также и при нахождении в спокойном состоянии.
Во время разговора с пациентом важно тщательно выяснить о наличии заболеваний, которые могут привести к фиброзу легких.
В особенности интересуют заболевания со стороны дыхательной системы: пневмония, туберкулез, хроническая обструктивная болезнь легких, хронический бронхит, осложненный бронхообструктивным синдромом, бронхиальная астма.
После беседы с пациентом врач приступает к осмотру, в ходе которого обращается внимание на бледные кожные покровы, наличие цианоза, изменение формы концевых фаланг пальцев кистей по типу барабанных палочек, если таковы имеются. Затем производится аускультация (выслушивание) и перкуссия (простукивание) легких. При незначительном объеме поражения легочной ткани какие-либо специфические изменения во время аускультации и перкуссии отсутствуют.
Следующий этап диагностики заключается в назначении общих лабораторных анализов (общий анализ крови, общий анализ мочи, биохимический анализ крови), которые позволяют оценить общее состояние организма. Для определения жизненной емкости легких пациент отправляется на спирографию.
https://youtube.com/watch?v=tCtCcASWyzM
Это своеобразный метод оценки состояния легких путем измерения объема и скорости выдыхаемого воздуха. Данная процедура не сложная в исполнении, не требует от пациента предварительной специальной подготовки, абсолютно безболезненная и занимает несколько минут.
Спирография позволяет оценить функциональный резерв легких.
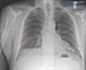
Для визуализации патологического процесса назначается рентгенологическое исследование органов грудной клетки, которое позволяет обнаружить изменения в легких. Обнаруживаются изменения с обеих сторон, преимущественно в нижних отделах легких.
Отмечаются усиление и деформация легочного рисунка, постепенно формируется картина так называемого «сотового легкого», которое характеризуется образованием кольцевых теней диаметром 3 – 7 мм со стенками толщиной до 3 мм, что в некоторой мере напоминает пчелиные соты.
Более детальную оценку структурного состояния легких дают компьютерная томография (КТ) и магнитно-резонансная томография (МРТ). В тяжелых случаях, когда вышеперечисленные методы исследования не позволяют выставить правильный диагноз, прибегают к помощи биопсии легкого, которая позволяет подтвердить наличие рубцовой ткани на микроскопическом уровне.
Материал для исследования, а именно кусочек ткани легкого, извлекается при эндоскопическом исследовании или во время операции. Данная процедура достаточно сложная в исполнении и способна привести к различным осложнениям, поэтому в настоящее время не применяется.
assets.copdnewstoday.com
Очаговый фиброз легких, который никак себя клинически не проявляет и не приносит дискомфорт пациенту, не нуждается в лечении.
Зачастую очаг фиброза выявляется случайно при профилактическом рентгенологическом исследовании легких.
Источник: https://nyaganngp1.ru/diagnostika/fibroz-legkih-prodolzhitelnost-zhizni.html
Легочный фиброз предусматривает наличие в легких ткани рубцового типа. Рубцовая ткань образуется каждый раз, когда мы повреждаем нашу кожу. Это могут быть шрамы, порезы, ожоги или слабовыраженные дерматологические заболевания кожи (акне, грибковая инфекция и т.д).
Когда средний слой кожи (дермис) повреждается, наш организм пытается как можно быстрее закрыть рану, для этого образуется сгусток крови на ране, который защищает рану от попадания мелких частиц пыли, грязи или же инфекции. После этого, благодаря фибробластам, наши клетки начинают регенерировать. Фибробласты замещают клетки белками или коллагеном, который формирует рубцовую ткань.
Что такое фиброз легких?
Грубо говоря, фиброзные изменения — это замещение легочных тканей соединительными.
В легких образуется фиброзная ткань, позже из этого следует серьезный сбой дыхательной системы, со временем нарушаются абсолютно все функции дыхательной системы.
Но благодаря своевременному лечению, многих последствий можно избежать.
Легочное рубцевание – рак?
Фиброз является быстропрогрессирующей болезнью, поэтому к лечению этого заболевания нужно подходить с большой серьезностью. В противном случае эта болезнь может привести к смерти. На вопрос, является ли фиброз раком, все врачи отвечают однозначно – нет.
Рубцы, образованные в наших легких, постепенно разрастаются, из-за этого дышать с каждым днем становится все тяжелее. Образование рубцов необратимо, как и их разрастание, поэтому полное излечение в данной ситуации – почти невозможно.
[/attention]
При такой болезни, как фиброз легких, продолжительность жизни зависит от стадии и формы заболевания.
Что такое фиброз легких? Фиброз – это рубцевание; легочный фиброз – необратимое образование и замещение паренхимы легких фиброзной тканью. Фиброз лёгкого всегда ведет к нарушению функции дыхания, потому как эластичность легочной ткани заметно падает.
Как следствие, это затрудняет обмен кислорода в альвеолах. А именно в альвеолах и происходит газообмен: при контакте с кровью кислород из воздуха переходит в нее, а углекислый выходит. Выздоровление при фиброзе легких не наступает потому, что регенерации фиброза в легочную ткань не бывает.
Рост соединительной ткани в легких могут вызывать разные факторы:
- контактирование с органическими и неорганическими частичками мелкодисперсной структуры (антрацитовая пыль, минеральная вата, плесень, мука, асбест, кремний);
- хронические легочные воспаления (саркоидоз, ТБ, пневмония);
- васкулит;
- циррозы, аллергии;
- лучевая терапия (ионизирующие газы), по завершении которой диагностируется постлучевой фиброз легких;
- иммунодефицитные состояния и аутоиммунные процессы (волчанка, ревматизм);
- муковисцидоз – наследственная патология, при которой развивается кистозный фиброз;
- курение;
- длительный прием некоторых ЛС.
Все вышеперечисленное относится к случаям интерстициального фиброза. Но более, чем в половине случаев фиброза, его этиология оказывается неизвестной, поэтому некоторые вообще считают фиброз идиопатическим заболеванием.
Идиопатические случаи не поддаются лечению вообще. Они возникают больше у мужчин, в возрасте 50-60 лет. Хотя точные причины неизвестны, но доказана роль наследственности и плохой этиологии.
Разные виды фиброза легких в медицинской литературе могут называться иначе: диффузный альвеолит, фиброзный, криптогенный, фиброзирующий идиопатический, хроническая пневмония и др.
Наиболее распространен фиброз при силикозе – вдыхание кварцевой пыли. В ней содержится салициловая кислота, обладающая способностью вызывать рост соединительной ткани в легочной ткани.
Данная профпатология встречается среди рабочих металлургических заводов. Строительные профессии предполагают ингаляции алюминиевой пыли, талька, сварочных газов, цемента.
Последние исследования показывают, что появлению фиброза способствуют: недосып, отчего постоянно накапливается усталость и постоянно недополучается кислород. У больных фиброзом легких практически всегда имеются сердечно-сосудистые патологии.
- Острая форма встречается сравнительно редко, всего у двадцати процентов заболевших. Характеризуется внезапным началом со стремительно нарастающими симптомами. Степени дыхательной недостаточности быстро сменяют друг друга, больной страдает от сильной одышки. Острый прогрессирующий фиброз практически не поддается методам консервативной терапии, пациент погибает по прошествии пары месяцев.
- Хронический фиброз агрессивной формы резко уменьшает продолжительность необходимых движений и приводит больного к гибели в течение года, при консервативном лечении. Одышка и сердечная недостаточность усугубляют состояние пациента, так как симметричное разрастание фиброзной ткани в легких не удается контролировать введением лекарственных препаратов.
Хронический персистирующий фиброз легких позволяет прожить пациенту с подобным диагнозом не более трех-пяти лет.
Хирургическое лечение, пересадка легких при данной патологии в половине случаев дает шанс больному на продолжение жизни. Статистические данные показывают, что своевременная операция помогает продлить продолжительность активности примерно на пять лет.
Снижение массы тела, субфебрильная температура указывают на серьёзные проблемы в лёгких. Для своевременной организации терапевтических мероприятий, узнайте, как проводится ранняя .
Работа на производстве с постоянно загрязнённым воздухом может привести к развитию силикоза. о мерах профилактики этого заболевания.
Благоприятный прогноз врачи могут дать при диагностике у больного очагового фиброза. Если заболевание не прогрессирует, то симптоматики, ухудшающей качество и продолжительность жизни и приводящей к гибели пациента, не наблюдается.
Основной целью медикаментозной терапии является снижение образования разрастаний в легких и увеличение продолжительности жизни. Прекращение патологического процесса дает надежду пациентам, так как сопутствующая терапия нарушений работы сердца и дыхательной системы имеет лишь вспомогательный эффект.
Так как препараты, применяемые для лечения фиброза, негативно воздействуют на организм, снижая иммунитет, то больным назначается ежегодная противогриппозная вакцинация, а также рекомендуется вводить вакцину против пневмококка однократно в пятилетний промежуток. Лечение продолжительное, проводится под обязательным регулярным контролем врача.
Лечение не медикаментозное включает в себя кислородную терапию, которая проводится как в условиях стационара, так и при амбулаторном лечении. Вдыхание кислорода позволяет нормализовать газообмен, уменьшает одышку и позволяет повышать физические нагрузки. По назначению врача проводят плазмофорез и гемосорбцию.
Источник: https://kcdc.ru/bolezni/fibroz-legkih-lechenie.html
Перенесенные ОРВИ, загрязненная экология по месту жительства, вредные условия труда и прочие негативные факторы способны вызвать фиброзные изменения в легких. Что это такое — понятие фиброза легких расшифровывается как необратимое изменение здоровой легочной ткани в рубцовую, что затрудняет дыхательную функцию органа.
Развитие фиброзных изменений характеризуется утратой эластичности стенок альвеол, что нарушает циркуляцию кислорода и прочие обменные процессы в легких. Запускается механизм замещения нормальной ткани соединительной, более грубой по структуре.
Возникшая соединительная (рубцовая) ткань в легких как раз и называется фиброзной.
Наблюдая один либо совокупность данных симптомов в течение длительного временного отрезка, необходимо пройти медицинское обследование, т.к. запущенная форма болезни может привести к инвалидности и, что еще неприятнее, к летальному исходу.
Опасность заболевания заключается в отсутствии симптомов на раннем этапе недуга либо при незначительной площади поражения органов дыхания. Признаки нарушений со стороны дыхательной системы проявляются на стадии прогрессирования фиброза.
Симптомы фиброзного изменения таковы:
- боль в области груди, хрипы;
- не связанный с простудой кашель, сначала сухой, затем с выделением вязкой мокроты;
- одышка при физических нагрузках, а позже — и в спокойном состоянии;
- тахикардия;
- отек конечностей;
- бледность или синюшность кожных покровов;
- снижение тонуса и трудоспособности;
- повышенная потливость.
В зависимости от площади распространения различают такие формы заболевания:
- односторонний фиброз, когда поражено одно легкое;
- двусторонний — задеты обе стороны органа;
- очаговый (локальный) — поврежден участок легочной ткани (очаг);
- диффузный — самый серьезный случай, при котором наблюдается обширное поражение обоих легких.
Локализация фиброза в легких определяет следующую классификацию:
- фиброз корней легких;
- прикорневое поражение органов дыхания;
- апикальный, когда соединительная ткань разрастается в верхней части легких.
В зависимости от степени выраженности, фиброзные изменения подразделяются на:
- пневмофиброз — умеренное наличие соединительной ткани в легких;
- пневмосклероз — наблюдается уплотнение легких вследствие объемного замещения здоровой ткани рубцовой и соединительной;
- цирроз — самый тяжелый вариант, когда здоровая ткань тотально замещена соединительной с сопутствующим поражением сосудов и бронхов.
Также введена классификация по причинам возникновения болезни:
- идиопатический фиброз — сложный в диагностике и лечении, так как невозможно установить источник заболевания;
- интерстициальный — широкая категория болезни, в основе которой лежат конкретные негативные факторы.
Перенесенное заболевание органов дыхания может вызвать линейный легочный фиброз.
Разрастание соединительной ткани могут вызвать следующие причины:
- частый контакт с мелкодисперсными частицами органического и неорганического происхождения (строительная и угольная пыль, мука, плесень и т.д.);
- перенесенная пневмония, инфекционная болезнь, туберкулез;
- васкулит;
- проведение лучевой терапии при онкологии, после которой возникает постлучевой фиброз;
- аутоиммунные заболевания и иммунодефицит;
- муковисцидоз — наследственная патология, вызывающая кистозный фиброз;
- длительный прием лекарственных препаратов;
- злоупотребление никотином.
Согласно статистике, около половины зарегистрированных случаев фиброзных изменений имеет идиопатический характер.
Диагностирование легочного фиброза — трудоемкий процесс, который включает всестороннее обследование больного. Чтобы исключить заболевания со схожими симптомами, применяются следующие методики:
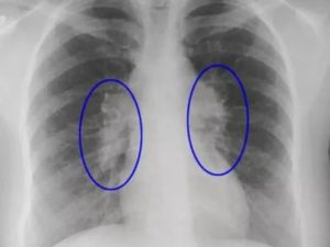
- Прослушивание и простукивание специалистом областей правого и левого легких.
- Рентген. По флюорограмме, где равномерно видно затемненные области верхнего участка или нижней доли легочной ткани, доктор может предположить фиброз. Чтобы убедиться, что это такое заболевание в действительности, необходимо продолжить исследование.
- Для подтверждения наличия фиброзных образований после рентгенографии назначается КТ и МРТ легких.
- Бронхоскопия — исследование дыхательных путей путем введения зонда в бронхи больного.
- Спирография — позволяет измерить полезный объем легких и выявить снижение дыхательной функции.
- Биопсия. Манипуляция подразумевает изъятие образца легочной ткани для дальнейшего микроскопического исследования на предмет обнаружения рубцовой ткани. Материал берется из той области, где рентген выявил патологию, вплоть до верхушек легких.
Диагностика проводится в несколько этапов.
| Диагностическая манипуляция | Результат исследования |
| Первичный осмотр у врача | Изучение жалоб пациента, изучение симптомов, прослушивание и перкуссия грудного отдела |
| Рентгенограмма | Выявление склеротических изменений в органах дыхания |
| КТ, МРТ легких | Более детальное рассмотрение изменений и патологических образований |
| Бронхоскопия, спирография | Определение эффективности дыхательной функции |
| Биопсия | Подтверждение предполагаемого диагноза на основании детального анализа ткани, взятой из легкого пациента. |
Исключительно после тщательного обследования назначается лечение.
Прогрессирование фиброзных изменений влияет на самочувствие, качество и продолжительность жизни.
Да, процесс замещения эластичной ткани легкого грубой рубцовой необратим и вылечить патологию не удастся.
Однако все действия должны быть направлены на приостановление патологического процесса, иначе результатом равнодушного отношения к себе может стать рак либо полный отказ органов дыхания.
Рак легких диагностируется у больных фиброзом в 12 раз чаще, чем у людей со здоровой дыхательной системой.
Прежде всего, необходимо проявить волю, отказавшись от вредных привычек, и отстраниться от внешних негативных воздействий, вызвавших развитие фиброза.
Врачебная практика использует медикаментозное лечение аптечными средствами в совокупности с физиотерапевтическими процедурами, и лишь в тяжелых случаях назначается операция.
Лекарственные препараты включают в себя глюкокортикостероиды (например, Преднизолин), цитостатики (Циклофосфамид или Азатиоприн) и антифиброзное средство (Верошпирон). Лечение данным комплексом дает позитивную динамику, однако в связи с возможными побочными эффектами следует регулярно проходить осмотр у лечащего врача.
Физиотерапия распространяется на такие процедуры как кислородотерапия и дыхательная гимнастика. Данные методы способствуют увеличению объема легких, улучшают циркуляцию воздуха и крови в легочной ткани.
Обширные участки пораженных тканей требуют оперативного вмешательства. Успешно применяется частичное удаление измененного легкого как слева, так и справа. При тотальном фиброзе с утратой дыхательной функции рекомендуется трансплантация легкого, после чего больные живут, согласно данным, не менее 5 лет.
После диагностирования фиброза легких, как его лечить — основной вопрос больного. Скептическое отношение традиционной медицины к лечению народными средствами понятно, но все же существует несколько рецептов для улучшения состояния при столь сложной патологии.
- Очистить дыхательные пути и уменьшить одышку поможет такой настой. Залить 0,25 л кипятка столовую ложку семян льна, процедить и выпить через 20 минут. Процедура проводится вечером. В таких же пропорциях готовится и отвар из аниса, только пить его следует дважды в сутки по полстакана.
- Очищению легких от пыли и вязкой мокроты способствует такой чай. Взять по чайной ложке орегано и фиалки и залить 0,5 л кипящей воды в неметаллической посуде, отставить на час. Пить настой после процеживания, разделив на три приема.
- На ночь полезно класть компресс на область груди, используя листья лопуха или капусты. Перед применением их нужно помять до выделения сока.
Избежать фиброзных изменений легочной ткани не всегда получается, но снизить риск развития этого недуга можно благодаря профилактическим мерам:
- выполняя работу во вредных условиях, помните о мерах предосторожности и средствах защиты от пыли и токсинов;
- не забывайте про пешие прогулки длительностью не менее 30 минут;
- умеренные физические нагрузки увеличивают объем легких и способствуют насыщению тканей кислородом;
- пользоваться некоторыми лекарствами, в том числе противоаритмичными, без ущерба здоровью можно ограниченный временной промежуток, после чего требуется перерыв;
- необходим периодический осмотр после перенесенной пневмонии или туберкулеза;
- в конце концов, бросьте курить.
Фиброз легких не является приговором, чуткое отношение к своему состоянию позволит выявить столь серьезную болезнь. Современная медицина способна снизить нанесенный здоровью ущерб и повысить качество жизни человека, у которого диагностированы фиброзные изменения.
i Пожалуйста оцените статью, мы старались:
Источник: https://netbolezni.net/pulmonologiya/128-fibroz-legkih-kak-lechit.html
Поделиться:









