Пульмонология9 болезней, приводящих к развитию пневмосклероза, и 3 возможных осложнения патологии
Под пневмосклерозом подразумевают патологический процесс, при котором происходит замещение паренхимы лёгкого бесполезными соединительнотканными волокнами. Таким образом, часть органа перестаёт выполнять надлежащие ей функции, площадь дыхательной поверхности заметно уменьшается. Поражённые лёгочные альвеолы не способны заполняться воздухом и процесс газообмена более в них не происходит.
Является довольно распространённой патологией, чаще диагностируемой у людей пожилого возраста, но может встречаться абсолютно в любой возрастной группе.
Пневмосклероз является необратимым состоянием, которое будет сопровождать человека всю оставшуюся жизнь.
Существует несколько классификаций и по месту расположения пневмосклероз лёгких бывает:
- апикальным — патологический процесс располагается на верхушке органа;
- прикорневым — разрастание соединительнотканных волокон находится у корней, которые представлены главным бронхом, лёгочной артерией и веной;
- базальным — характеризуется наличием нефункционирующей ткани у основания лёгких.
По степени распространённости отдельно различают:
- пневмофиброз, при этом соединительная и лёгочная ткани располагаются одновременно;
- пневмосклероз — пульмональная ткань полностью отсутствует;
- цирроз лёгких — наиболее тяжёлая стадия, требующая хирургического вмешательства и сопровождающаяся помимо всего уплотнением плевральной оболочки, нервов и сосудов.
Также выделяют:
- очаговую форму, при которой склеротический процесс обнаруживаются на небольшом протяжении;
- диффузную, способную затрагивать целую долю или орган целиком.
Отдельно можно выделить такое понятие, как плевропневмофиброз, который возникает в ответ на воспалительный процесс, может иметь одно- или двустороннюю локализацию и характеризуется наличием спаек между плеврой и лёгкими. Зачастую протекает с неприятным болевым синдромом, часто принимаемым за неврологические проблемы, например, остеохондроз грудного отдела позвоночника.
У пожилых людей пневмосклероз зачастую сочетается с аортосклерозом — разрастанием соединительной ткани в главном артериальном сосуде, выходящем из сердца.
Наиболее частой локализацией пневмосклероза являются вентральные (задние) сегменты лёгких.
Пневмосклероз не является самостоятельной нозологической единицей, он лишь является следствием различных заболеваний лёгких.
- Пневмония — острое инфекционное (вирусное, грибковое, бактериальное) воспаление лёгочной ткани.
- Острый и хронический бронхит — воспалительный процесс, локализующийся в слизистой оболочке бронхов.
- Фиброзирующий альвеолит (синдром Хаммена-Рича) — заболевание неизвестной природы, характеризующееся обширным поражением ткани лёгкого и прогрессирующей дыхательной недостаточностью.
- Пневмокониозы — группы профессиональных заболеваний, возникающих при длительном вдыхании производственной пыли.
- Туберкулёз — высоко распространённая болезнь, вызываемая палочкой Коха. Пневмосклероз при нём более чем в 80% случаев располагается в верхних отделах лёгких.
- Саркоидоз (болезнь Бека) — патология с неизученной этиологией, при которой в ткани лёгких образуются специфические гранулёмные образования.
- Идиопатический пневмосклероз — по неизвестной причине лёгочная ткань начинает замещаться на соединительную.
- Абсцесс лёгких — наличие в лёгочной ткани полости, заполненной гноем.
- Эхинококкоз — проявляется формированием в органе округлого образования (кисты), заполненного паразитами.
Наиболее частой причиной развития пневмосклероза являются пневмонии.
Очаговая форма пневмосклероза никаких проявлений не имеет. При диффузной у пациентов отмечается следующая симптоматика:
- выраженная одышка;
- сильная слабость, повышенная утомляемость ввиду наличия кислородной недостаточности;
- синюшность кожного покрова (цианоз), особенно заметная на самых отдалённых участках тела;
- сухой кашель;
- изменение грудной клетки — она становится бочкообразной, межрёберные промежутки втягиваются, подключичные ямки углубляются;
- пальцы приобретают форму барабанных палочек (пальцы Гиппократа), а ногти — часовых стёкол;
- возможна потеря веса;
- учащение сердцебиения из-за того, что сердце пытается компенсировать кислородное голодание;
- набухание шейных вен — при выраженном пневмосклерозе.
Чем больше участков лёгких замещены соединительнотканными волокнами, тем сильнее будут проявления.
Выявлением данного патологического состояния занимаются врачи-терапевты, пульмонологи, фтизиатры. На первом этапе проводится:
- перкуссия или постукивание, при котором выявляется притупление перкуторного звука, но только при значительных размерах пневмосклероза;
- аускультация — с помощью фонендоскопа выслушиваются ужесточения дыхания и в части случаев пневмосклеротические хрипы трескучего характера.
Для точного установления диагноза необходимо проведение следующих инструментальных исследований:
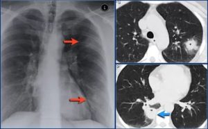
- рентгенографии, на которой можно обнаружить затемнение лёгочных полей различного диаметра, изменение кровеносных сосудов (лёгочного рисунка), уменьшение органа в размерах и смещение тени средостения в сторону поражения;
- спирографии. С её помощью исследуется дыхательная функция. Характерно — снижение жизненной ёмкости лёгких и объёма форсированного выдоха за 1 секунду. Является очень простым и недорогим методом, но причины патологического состояния с её помощью определить нельзя;
- бронхоскопии — одно из современных направлений, осуществляется с помощью специальной медицинской аппаратуры — бронхоскопа, оснащённого камерой и позволяющего в некоторых случаях даже визуализировать очаг разрастания соединительной ткани. Также с его помощью взять фрагмент бронха и изучить под микроскопом, что может позволить установить точную причину данного состояния;
- компьютерной или магнитно-резонансной томографии, позволяющей выявить изменения лёгочной ткани на самых ранних стадиях.
Также в программу обследования могут быть включены:
- общий и биохимический анализ крови;
- электрокардиография;
- ультразвуковое исследование сердца;
- бактериологический и общий анализ мокроты.
Для подтверждения диагноза «пневмосклероз» в большинстве случаев хватает проведения одной лишь рентгенографии лёгких.
Так как пневмосклероз является необратимым состоянием, медикаментозных препаратов для его лечения на сегодняшний день не существует.
Целями терапии являются:
- устранение первопричины данного состояния;
- борьба с дыхательной недостаточностью;
- профилактика осложнений.
Если не устранить причину развития пневмосклероза, то на хороший прогноз для жизни пациента рассчитывать не стоит.
С этой целью могут применяться:
- антибактериальные средства для лечения воспалительных заболеваний лёгких, вызванных бактериями (бронхиты, пневмонии);
- цитостатики и глюкокортикоиды при аутоиммунных поражениях и при саркоидозе;
- противотуберкулёзные препараты;
- хирургическое вмешательство при абсцессе;
- оперативное лечение и противопаразитарные средства при эхинококкозе.
Для борьбы с дыхательной недостаточностью применяются:
- ингаляционные глюкокортикоиды — Флутиказон, Будесонид;
- препараты, расширяющие просвет бронхов (бронхолитики) — Формотерол, Салметерол, Сальбутамол, Ипратропия бромид;
- глюкокортикостероиды — Преднизолон, Метилпреднизолон.
Примерно в 20 — 25% случаев ответа на терапию гормональными средствами не наблюдается.
Для профилактики пневмосклероза и его осложнений необходимо:
- своевременно лечить заболевания верхних дыхательных путей (ОРЗ и др.);
- защищаться от профессиональных вредностей путём ношения специальных масок или респираторов;
- отказаться от курения;
- осуществлять лечебный массаж (способствует очищению бронхиального дерева и улучшению лёгочной вентиляции) и ограничить физическую нагрузку при лечении основного заболевания для минимизации осложнений.
Изменения в работе лёгочной ткани непременно сказываются и на сердце, что значительно ухудшает общее состояние и прогноз для жизни пациента.
Последствиями пневмосклероза являются:
- лёгочное сердце. Характеризуется увеличением его правых отделов, но компенсаторные механизмы носят временный характер, так как со временем увеличенной сердечной мышце перестаёт хватать кислорода, что чревато развитием инфаркта миокарда;
- хроническая дыхательная недостаточность. Она постепенно прогрессирует, практически не поддаётся лечению и сказывается на работе всех органов и систем;
- частые респираторные инфекции. Ввиду плохой вентиляции и кровообращения в лёгких часто присоединяются различные инфекционные агенты с развитием картины бронхита или пневмонии.
На сегодняшний день идёт активная разработка лекарственных препаратов, способных замедлять и обращать вспять процессы разрастания соединительной ткани. Возможно, в недалёком будущем медицина сумеет полностью контролировать и излечивать данное заболевание.
Мы приложили много усилий, чтобы Вы смогли прочитать эту статью, и будем рады Вашему отзыву в виде оценки. Автору будет приятно видеть, что Вам был интересен этот материал. Спасибо!
(9
Источник:
Пневмосклероз легких у пожилых людей: симптомы и лечение заболевания
Пневмосклерозом называется заболевание, которое возникает вследствие замещения легочной ткани соединительной.
Данный недуг может возникнуть у людей разных возрастов, но чаще всего с такой проблемой сталкиваются особы преклонного возраста.
Пневмосклероз у пожилых людей нельзя назвать отдельным заболеванием, так как его появление является следствием осложнения или течения какого-нибудь лёгочного недуга.
- Пневмосклероз у пожилых людей возникает из-за нарушения эластичности легочной ткани.
- Когда ткань замещается, легким намного сложнее сокращаться, нарушается газообмен и как следствие сами легкие постепенно уменьшаются и деформируются из-за дефицита кислорода.
- У людей преклонного возраста данный недуг является следствием заболеваний легких и естественного старения организма.
Развитие пневмосклероза легких
Известно, что по мере взросления организма, иммунитету намного сложнее справляться с различными заболеваниями и недугами, поэтому чаще проявляются различные осложнения.
Легочный пневмосклероз является следствием течения нижеуказанных заболеваний легких.
| Заболевание | Краткое описание |
| Микоз | Это поражение тканей легких патогенными грибками. Основная причина возникновения – ослабленный иммунитет. |
| Саркоидоз | Воспалительное заболевание, характеризующееся поражением лимфатической и мезенхимальной тканей легких. |
| Туберкулез | Инфекционное заболевание, вызываемое палочкой Коха. |
| Бронхит | Воспалительный процесс слизистой оболочки легких и бронхов. |
| Экссудативный плеврит | Поражение плевры (оболочка, которая покрывает легкие) с накоплением выпота (жидкости) в плевральной полости. |
Пневмосклероз легких у пожилых людей также может возникать вследствие:
- Вдыхания промышленных газов.
- Проведения химиотерапии при онкологических заболеваниях.
- Попадания в бронхи инородного предмета.
- Злоупотребления курением.
Чаще всего с данной проблемой сталкиваются люди, которые проживают в районах с неблагоприятной экологической обстановкой, то есть в городах с большим количеством предприятий и заводов, выбрасывающих в атмосферу много промышленных газов и паров.
Источник: https://gorclinbol.ru/kashel/pnevmoskleroz-legkih-priznaki-lechenie-prodolzhitelnost-zhizni.html
Пневмосклероз легких у пожилых людей: симптомы и лечение заболевания
Пневмосклерозом называется заболевание, которое возникает вследствие замещения легочной ткани соединительной.
Данный недуг может возникнуть у людей разных возрастов, но чаще всего с такой проблемой сталкиваются особы преклонного возраста.
Пневмосклероз у пожилых людей нельзя назвать отдельным заболеванием, так как его появление является следствием осложнения или течения какого-нибудь лёгочного недуга.
Медики классифицируют пневмосклероз по таким критериям:
- Структурные изменения в легких.
- Степень распространённости патологического процесса.
- Место поражения.
| Тип | Краткое описание |
| Классификация по структурным изменениям легких | |
| Фиброз | Данный этап развития болезни характеризуется процессом образования в органе рубцовой ткани, которая напрямую приводит к нарушению дыхательной функции у человека. |
| Склероз | На данном этапе развития происходит паренхимы лёгких соединительной ткани, вследствие чего орган начинает постепенно деформироваться. |
| Цирроз | Данная стадия развития пневмосклероза является самой опасной для человека, ведь ее течение подразумевает под собой уплотнение всех сосудов и плевры, то есть автоматически человек утрачивает способность дышать. |
| Классификация по поражению легочных структур | |
| Альвеолярный | Поражения затрагивают стенки альвеол. Чаще всего данная форма пневмосклероза является вследствие тяжелой и затяжной пневмонии. |
| Интерстициальный | При интерстициальном склерозе поражения затрагивают участки лёгочной ткани, которая находится рядом с бронхами. |
| Перибронхиальный | Разрастание соединительной ткани происходит вблизи бронхов и бронхиол. |
| Периваскулярный | Данная форма склероза характеризуется поражением близких к сосудам участков лёгочной ткани. |
| Классификация по степени распространения | |
| Очаговый | Замещение ткани происходит только на небольшом участке органа. |
| Сегментарный | В данном случае поражением охвачен весь сегмент лёгкого. |
| Ограниченный | Замещается только доля дыхательного органа. |
| Диффузный | Данный вид склероза характеризуется уплотнением и замещением крупных очагов. |
| Смешанный | Смешанный склероз характеризуется поражениями двух и больше видов. |
Основной признак пневмосклероза – это боль в грудной клетке. Наряду с болевым синдромом людей сопровождает сильная одышка.
На начальных стадиях развития болезни она не сильно выражена, но через небольшое время становится постоянной спутницей больного пожилого человека.
Люди, отмечают, что одышка присутствует даже во время отдыха в лежачем положении или сна.
Постоянный сильный кашель один из симптомов пневмосклероза легких
У больных данным заболеванием людей часто наблюдается покраснение кожных покровов и слизистых оболочек.
Данная ситуация возникает из-за повышения в крови уровня гемоглобина, который по каким-либо причинам не связывается с кислородом.
Другие симптомы:
- Общая слабость.
- Быстрая утомляемость.
- Частая головная боль.
- Головокружение.
- Незначительная деформация грудной клетки.
- Увеличение вен на шее.
- Тахикардия.
- Боль в мускулатуре.
- Периферические отеки по всему телу.
Люди с подобной проблемой быстро теряют вес. Также одним из признаков болезни является изменение, а точнее утончение фаланг пальцев верхних конечностей.
Диффузный пневмосклероз у пожилых – это острая форма заболевания, при которой поражаются сразу двое лёгких.
Для этой формы характерна такая симптоматика, как:
- Сухой, надрывной кашель.
- Сильная и постоянная одышка.
- Ноющая боль в груди.
- Затрудненность вдыхания воздуха.
- Общая слабость.
Главный спутник пневмосклероза – это затяжной кашель с выделениями гнойной мокроты.
Для диагностики данного заболевания применяются такие методы, как:
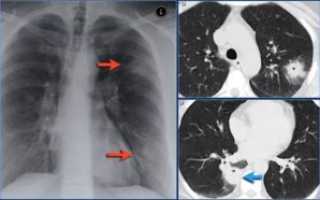
- Рентгенография.
- Бронхоскопия.
- Спирография.
- КТ лёгких.
- МРТ.
- ЭКГ.
- Допплерография.
Диагностика пневмосклероза легких
Также больному потребуется сдать такие анализы, как:
- Общий анализ крови.
- Биохимический анализ крови.
- Общий анализ мочи.
- Иммунологический анализ мочи.
Лечить пневмосклероз легких необходимо сразу же после постановки точного диагноза.
Лечение заболевания осуществляется только в медицинском учреждении в стационаре отделения пульмонологии.
*Еще читайте: Хронические неспецифические заболевания легких у пожилых людей
Для лечения недуга чаще всего применяются медикаменты, таких групп, как:
- Бронхолитики.
- Отхаркивающие препараты.
- Глюкокортикостероиды.
Лечение пневмосклероза невозможно без антибиотиков. Зачастую врачи назначают такие антибактериальные средства, как: «Аугментин» или «Олететрин».
Реже для лечения назначается «Сусамед» или «Цифран».
Препарат Беклазон для ингаляций при пневмосклерозе легких
Если у человека присутствует кашель, то основу схему лечения составляют отхаркивающие препараты, вроде:
- « АЦЦ».
- «Флуимуцил».
- «Лазолван».
- «Амброксол»
Глюкокортикостероиды – это гормональные противовоспалительные средства.
Перечень самых популярных глюкокортикостероидов:
- «Дексаметазон».
- «Кортизон».
- «Берликорт».
- «Целестон».
- «Гидрокортизон».
- «Трикорт».
- «Беклазон».
- «Альвеско».
- «Азмакорт».
Глюкокортикостероиды принимаются на протяжении весьма длительного периода времени (от полугода до года).
Но стоит помнить, что препараты данной группы нельзя принимать в большом количестве, так как они могут спровоцировать старение коллагена, а это в свою очередь повлечет более быстрое развитие болезни. Также больным рекомендовано делать ингаляции с ферментами.
Одним из последствий снижения эластичности легочных тканей является нарушение кровообращения или сердечная недостаточность, поэтому целесообразно принимать сердечные гликозиды или препараты калия:
- «Дигоксин».
- «Целанид».
- «Аспаркам».
- «Панангин».
При пневмосклерозе применяются нижеуказанные физиотерапевтические процедуры.
| Процедура | Краткое описание |
| УВЧ грудной клетки | Воздействие электромагнитных полей на человека. Другими словами. УВЧ – это лечение теплом. |
| Ионофорез | Это воздействие тока малой величины на человека. Ионофорез применяется только с хлористым кальцием. |
| Динамические токи | Воздействие токами низкого напряжения. Применение динамических токов возможно только в случае отсутствия острого воспалительного процесса. |
| Аэроионотерапия | Это лечение при помощи ионизированного воздуха. Аэроионотерапия проводится на протяжении получаса в день. |
Упражнения ЛФК помогают улучшить дыхательную функцию и расширить грудную клетку.
Комплекс упражнений для лечения пневмосклероза легких
Изначально упражнениям стоит уделять по 15 минут в день. Через неделю время можно постепенно увеличивать.
| Упражнения | Описание |
| В положении сидя | Сесть на стул, ноги вытянуть, руки развести. На вдохе тело наклоняется вперед, руки вытягиваются, дотягиваясь до кончиков пальцев ног. |
| Сесть на стул, наклонить голову влево, вправо, назад, вперед. | |
| В положения стоя | Встать ровно, ноги поставить на ширине плеч, а руки развести в стороны. Наклонять тело вперед на выдохе. |
| Поставить рядом стул с высокой спинкой. Вдыхая, нужно браться обеими руками за спинку стула и на выдохе присесть на корточки. | |
| В положении лежа | Лечь на спину, руки развести, глубоко вдохнуть, на выдохе поднять верхнюю часть тела, приподнимая одновременно руки. |
| Лечь на спину, руки развести. Затем вдохнуть, немного приподнять ногу, согнутую в колено к животу. |
Источник: https://noalone.ru/infocentr/zdorove/pnevmoskleroz-legkikh-u-pozhilykh-lyudey/
Флюорографию рекомендуют проходить ежегодно для выявления и профилактики заболеваний органов дыхательных путей.
Нередко врач-рентгенолог находит у пациента определенные изменения, которые описывает в медицинском заключении фразой «усиление легочного рисунка».
Что значит, что легочный рисунок на снимке усилен? Это может свидетельствовать как о легком недомогании, так и о серьезном недуге. Но если врач не назначил никакого лечения, опасаться нечего.
Легочный рисунок – это сеть сосудов, которые проходят в тканях этого органа и создают характерные тени на снимке.
Нормой является состояние, когда изображение – довольно яркое у корней легкого и расходится по мере отдаления от них. Объясняется это сужением толщины сосудистого просвета по направлению от центра. В нижней части исследуемой области располагаются крупнейшие сосуды, и рисунок отчетливо виден.
Лимфоузлы и бронхи на снимке не визуализируются, а вот стенки воспаленных бронхов утолщаются и отбрасывают тень. По краю легочные поля – более прозрачные, так как сосуды здесь тонкие, а общая воздушность органа – выше.
Усиление легочного рисунка – это более интенсивный показатель равномерной четкости сосудов и корней легких на снимке во всех частях и по краю. Такой признак одинаково указывает на наследственные и приобретенные недуги. Для них характерны обильное кровенаполнение органа, воспаление стенок сосудов, лимфоузлов, тканей в бронхах (наряду с их разрастанием).
В таком состоянии бронхи и сосуды сходятся, становятся стянутыми, извивающимися, сосудистые тени то усиливаются, то обрываются. Лимфососуды представляют собой прерывистые прямолинейные тени.
Если усиление рисунка локализуется в определенном участке, это означает, что очаг формирования патологии находится именно там, где это зафиксировано. Могут быть и иные причины: жидкость в нижних отделах, повреждение грудной клетки, злокачественная опухоль.
Ситуации, когда рисунок умеренно усилен, встречаются крайне редко. Обычно, это последствие вредных привычек (курение), либо заключение рентгенолога было сделано ошибочно.
Диффузное усиление – это перемены в рисунке легких, затрагивающее полностью все легочное поле и являющееся патологией дыхательной системы.
Диффузное (диссеминированное) усиление легочного рисунка на снимке имеет три разновидности: очаговую, сетчато-узелковую, сетчатую.
Когда рентгенолог говорит, что рисунок легких деформирован, значит, тени на снимке идут в нехарактерном им направлении, то есть «ломаются».
Деформация легочного рисунка – это нарушение нормальных структуры и формы элементов легких. Изменение изображения в сочетании с его усилением появляется, когда врач ставит такие диагнозы, как хронический бронхит, туберкулез, пневмокониоз, пневмосклероз.
Легочный рисунок считается нормальным, когда отвечает следующим требованиям:
- по форме напоминает бабочку;
- тени падают от центра к краю легких и завершаются на расстоянии на треть от наружной линии грудной клетки. Это значит, что край легочных полей не имеет преобладающего объема над составляющими легочного рисунка;
- тени от сосудов должны быть относительно прямыми на участках до и после их деления на сосуды крупного и мелкого диаметра;
- ширина теней от сосудов должна постепенно уменьшаться от корня к периферии, поэтому интенсивность теней в центре выше, чем по краю;
- четкость по всем полям на рентгене должна быть одинаковой.
Когда рисунок на снимке усилен в прикорневых зонах, это говорит о возрастных изменениях, физиологических особенностях организма и не является отклонением от нормы.
В этой зоне располагаются бронхи и несколько крупных сосудов, переходящих в более мелкие и исчезающих по краю.
Если при этом имеются какие-либо признаки болезней дыхательных путей (кашель, заложенность в груди), то, скорее всего, имеет место воспаление бронхов.
При тяжелых формах патологий дыхательных путей, например, воспалении легких, хроническом бронхите, как правило, рисунок усилен с 2-х сторон.
Одностороннее или двустороннее усиление легочного рисунка указывает на наличие воспаления легких, острого или хронического бронхита, туберкулеза, митрального стеноза, первой стадии рака.
Перед тем как делается вывод о причинах усиления рисунка, всегда учитывается возраст пациента, его образ жизни и сопутствующие болезни.
Усиление легочного рисунка в нижних отделах характерно для сегментарной и нижнедолевой пневмонии.
Локальные изменения отслеживаются на начальной стадии пневмонии, когда сосуды разрастаются вокруг инфильтративного очага. Похожая картина наблюдается по краю туберкулезного конгломерата. Недостаточность нижнего отдела при эндобронхиальном образовании обладает схожими признаками, но анализировать снимок нужно внимательно, поскольку образуется сетчатое повреждение.
Усиление легочного рисунка за счет интерстициального (инфильтративного) компонента может быть нормой для конкретного пациента, и волноваться не имеет смысла. Это бывает признаком осложнения при лечении пневмонии.
Если пациент курит длительное время, у него развивается хроническая обструктивная болезнь легких. У половины бывших курильщиков функция бронхов восстанавливается, а заболевание проходит.
Рекомендуется сделать спирографию и записаться на прием к пульмонологу.
Когда легочный рисунок усилен за счет сосудистого компонента, это также указывает на индивидуальные особенности физиологии человека. Возможно увеличение лимфатических узлов, но это может быть симптомом иных заболеваний.
Структура легочной ткани может быть выражена за счет бронхиального компонента при воспалении внешней оболочки бронхов и возникает на фоне хронического бронхита.
Когда рентгенолог ставит заключение «усиление легочных контуров», не нужно отчаиваться. Флюорография считается необъективным способом диагностики болезней легких, где все зависит от квалификации и опыта специалиста. Поэтому нередки ошибки. Но в случае, если указано конкретное заболевание, например, пневмония, туберкулез, не стоит тянуть с терапией.
Когда на снимке наблюдается усиление рисунка прикорневого отдела легких, это говорит о воспалительном процессе в бронхах при простуде и острых вирусных заболеваниях. При диффузном усилении корни уплотнены, местами – тяжистые.
Флюорография помогает предупредить развитие серьезных легочных заболеваний при выявлении симптомов на ранних стадиях.
Если доктор направил на дополнительное обследование, нельзя отказываться и пренебрегать лечением – это чревато осложнениями.
Нормой для взрослого человека принято считать состояние, когда рисунок легких просматривается во всех долях, сосуды не расширены, нет локальных затемнений.
Опасно ли делать рентген малышам? В отдельных случаях рентгенографию детям младше пятнадцати лет все же проводят, так как другого, настолько же информативного, способа определить состояние дыхательной системы не представляется возможным. Если дитя совсем маленькое, то присутствие взрослого обязательно. Снимок может не получиться, если маленький пациент кричал, плакал или не задерживал дыхание.
Так как в образовании теней участвуют сосуды и бронхи с окружающей их соединительной тканью, изменение контура практически всегда связано с патологиями дыхательной и сердечно-сосудистой систем.
Сюда можно отнести следующие недуги:
- хронический бронхит – легочные контуры на снимке флюорографии по всем полям усилены, иногда тяжистые, в запущенных случаях – деформированные;
- пневмония – в начальной стадии и первое время после выздоровления легочное изображение локально усилено;
- респираторное заболевание с поражением бронхов и острый бронхит – определяется усиленное теневое изображение, особенно в прикорневой зоне;
- заболевания сердца, вызывающие застой крови в малом круге кровообращения, сердечная недостаточность – усиление и обогащение легочного рисунка формируется за счет полнокровия сосудов в нижних отделах;
- бронхиальная астма. Тоже определяются диффузное усиление, тяжистость легочного рисунка. Если развивается эмфизема легких, рисунок обедняется. Это связано с перерастяжением легких и повышением воздушности легких, корни уплотнены.
Изменения на рентгенограмме при саркоидозе легких проявляются в 90% случаев.
Саркаидоз разделяют на пять стадий:
- 0-я – симптомов нет;
- 1-я – торакальная лимфаденопатия, паренхима легких не изменена;
- 2-я – лимфаденопатия корней легких и средостения в сочетании с изменениями паренхимы легких;
- 3-я – изменена легочная паренхима, лимфаденопатия корней легких и средостения отсутствует;
- 4-я – необратимый фиброз легких.
Помимо типичных симптомов саркоидоза существуют и разрушающие формы заболевания, буллезные изменения в легких, внезапный пневмоторакс.
Характерные изменения на рентгенограмме при эмфиземе в виде повышенной воздушности тканей легких происходят по причине длительного курения, последствий бронхиальной астмы или работы во вредных условиях (вдыхание пыли).
Диафрагма опускается, ее правый купол находится на уровне шейки 10-го…11-го ребра. Происходит расширение межребий или выпячивание грудины.
В случае выраженной эмфиземы диафрагма напоминает по форме палатку, вырастают ступеньки из-за сращивания и оголения в месте крепления диафрагмы к ребрам при ее сплющивании.
При туберкулезе на рентгене наблюдается усиленный сгусток в области поражения, а контуры легкого изменяются локально. Нередко туберкулез сочетается с хроническим и обструктивным бронхитом, поэтому местные изменения проявляются наряду с диффузным усилением.
Очаговый вид туберкулеза характеризуется ограниченным распространением в легком, отсутствием осложнений и слабыми симптомами, в то время как инфильтративный туберкулез не ограничивается определенной областью легочной ткани. Это могут быть небольшие или крупные инфильтраты на целую долю, одно или два легких. Инфильтрат – это фокус воспаления, вокруг которого активно собираются лимфоциты и лейкоциты.
Источник: https://iDiagnost.ru/issledovaniya/rentgen/chto-znachit-na-rentgenogramme-legochnyj-risunok-usilen
Органы дыхания в здоровом состоянии позволяют спокойно получать необходимое количество кислорода и выдыхать ненужный углекислый газ. Многие люди сталкиваются с различными респираторными заболеваниями.
Часто они болеют насморком, ОРВИ, ларингитом. Не редкостью становится бронхит, который при затяжном течении переходит в хроническую форму.
Однако если бронхит воспаляет слизистую поверхность бронхов, то перибронхит поражает наружную оболочку.
Что это за болезнь? Все о перибронхите будет идти речь на vospalenia.ru.
Что это такое – перибронхит? Это воспаление наружного слоя клетчатки бронха, который соединяет орган с близлежащими частями. Часто заболевание развивается на фоне хронического бронхита, который характеризуется обильным воспалением слизистой бронхов.
По путям проникновения инфекции разделяют виды:
- Аэрогенный – через просвет бронхов;
- Лимфагенный – через лимфу из лимфатических узлов.
перейти наверх
- Острый перибронхит с ярко выраженной симптоматикой;
- Хронический перибронхит, который развивается в результате недолеченного или нелечимого острого перибронхита. Характеризуется периодическими ремиссиями и обострениями.
перейти наверх
- Компенсаторная – когда внутренние ресурсы организма позволяют компенсировать недостаток дыхательной недостаточности. Проявляется в кашле, одышке.
- Субкомпенсаторная – грудная клетка расширяется, одышка возникает даже в спокойном состоянии. Все больше нарастает дыхательная недостаточность. Утомляемость возникает практически мгновенно.
- Декомпенсаторная – когда дыхательная недостаточность настолько высока, что человек не имеет сил для активного движения.
перейти наверх
Основной причиной перибронхита клетчатки бронхов является проникновение инфекции, которая попадает через воздух из просвета бронхов или от других органов организма, которые воспалены и через лимфу распространяют вредность.
При отсутствии лечения инфекция может распространиться на близлежащие альвеолы и ткани, провоцируя возникновение болезней бронхов (например, бронхит или бронхоэктатическая болезнь) и легких (например, пневмония).
Вредностями, которые поражают клетчатку бронхов, являются:
- Инфекции от других болезней: корь, грипп, коклюш, туберкулез и пр.
- Химические вещества, вдыхаемые через воздух.
- Застойные явления в легких из-за плохой работы сердца.
перейти наверх
Признаки и симптомы воспаления клетчатки бронхов возникают на фоне разрастания соединительной ткани вдоль бронхов и их рубцевания. Какие это симптомы?
- Повышение температуры до 39ºС;
- Ухудшение здоровья, что происходит очень резко;
- Выделяется обильное количество гнойной мокроты;
- Слышны шумы во время дыхания;
- Появляются симптомы бронхоэктатической болезни, которая начинает развиваться на фоне основного заболевания: снижение аппетита, потоотделение, одышка, кашель, кровохарканье, упадок сил;
- Повышенная утомляемость;
- Грудная клетка обретает округлую форму.
При кашле отходит зловонная гнойная мокрота, которая слегка улучшает общее состояние. Больному кажется, что он выздоравливает. На самом деле это не так. Перибронхит сам не излечится. Последующие приступы будут указывать лишь на развитие хронической болезни, которая будет лечиться более долго и серьезно.
перейти наверх
Перибронхит у детей развивается на фоне хронического бронхита, кори, гриппа, коклюша. Таким образом, следует вовремя лечить инфекционные болезни, которые провоцируют воспаление клетчатки бронхов.
перейти наверх
Перибронхит у взрослых проявляется достаточно часто, если больной пренебрегает лечением других респираторных болезней нижних отделов дыхательной системы. Вредность на работе также сказывается на развитии воспаления, соответственно, часто он встречается у мужчин, нежели у женщин.
перейти наверх
Симптоматика перибронхита настолько неуникальна, что ее часто путают с другими респираторными заболеваниями, например, бронхит или альвеолит. Поэтому это значительно ухудшает диагностику.
Больной обращается за помощью, чтобы устранить одну болезнь, на которую падают подозрения, а оказывается, что он страдает от другой болезни.
Инструментальные и лабораторные исследования тоже не дают точной картины, однако все-таки позволяют определить очаг воспаления:
- Делается анализ крови;
- Проводится бактериологический анализ мокроты, которая отходит вместе с кашлем;
- Проводится рентгенография, КТ и МРТ дыхательных путей;
- Проверяется аллергическая реакция на различные вещества.
перейти наверх
Лечение перибронхита начинается с устранения основного заболевания, которое привело к развитию воспаления клетчатки бронхов. Часто данной болезнью является хронический бронхит. Лечение одной и той же области дает качественные результаты. Комплекс процедур практически одинаков.
перейти наверх
Лекарствами:
- Антибиотиками, противовирусными или противогрибковыми препаратами, в зависимости от причины возникновения.
- Противоаллергическими препаратами, если причиной стала аллергия.
- Йодистыми препаратами, фибролизином и рассасывающими средствами.
- Мочегонными препаратами для снятия отека.
- Сульфаниламидами.
В качестве диеты выступает питание, полное углеводов. Дается больше теплой жидкости, чтобы способствовать разжижению мокроты.
В домашних условиях лечение не проводится, поскольку речь часто идет о двух заболеваниях одновременно – то, которое спровоцировало перибронхит, и само воспаление клетчатки бронхов. Здесь проводятся различные прогревающие процедуры (компрессы, аппликации, грелки, ванны), которые способствуют выздоровлению.
перейти наверх
Сколько живут при перибронхите? В совокупности с другими болезнями он дает неутешительный прогноз. При отсутствии должного лечения продолжительность жизни составляет несколько лет, в зависимости от осложнений, которые развиваются, и симптомов, которые они вызывают. Осложнениями являются:
- Гангрена легкого.
- Бронхит в обструктивной форме.
- Пневмония.
- Бронхоэктатическая болезнь.
- Дыхательная недостаточность.
Источник: https://vospalenia.ru/peribronhit.html
Толчком к развитию болезни служат патологии дыхательной системы, при которых вначале воспалительный процесс охватывает слизистую оболочку бронхов, а затем распространяется в более глубокие слои (на перибронхиальные ткани). По мере развития недуга возможно образование некротических очагов поражения, уплотнений и гиперплазий в тканях дыхательного органа.
Разрастающиеся клетки начинают сдавливать кровеносные сосуды и альвеолы, бронхи сужаются и их дыхательная функция нарушается.
Болезнь может появиться при вдыхании воздуха (бытовом контакте) с раздражающими агентами (вирусами, микрочастицами, аллергенами, бактериями) или при распространении их с током крови из других органов и систем в бронхиальное дерево.
К факторам, провоцирующим заболевание, относят:
- острые и хронические болезни органов дыхания (синуситы, риниты, тонзиллиты, фарингиты, ларингиты, трахеиты, бронхиты, пневмонии);
- специфические инфекции (корь, краснуха, туберкулез, микоз);
- аллергические реакции;
- вдыхание вредных паров или воздуха с микрочастицами химических веществ (пылью);
- заболевания сосудов с застойными явлениями в бронхах, легких, сердце, артериях, венах или капиллярах;
- травматические повреждения грудной клетки (ушибы, ранения);
- ослабление общего иммунитета;
- систематические переохлаждения;
- наследственные аутоиммунные заболевания (склеродермия, красная волчанка, васкулиты и др.);
- хронические очаги инфекции в организме (артриты, невриты, миокардиты, нефриты и др.);
- постоянное проживание в неблагоприятных климатических условиях (районах Крайнего Севера, в пустынных, степных или заболоченных зонах);
- перегрузки дыхательных органов при глубоководных погружениях, спортивных тренировках.
Болезнь имеет ряд общих и специфических признаков.
К первым относят:
- повышенную утомляемость и снижение работоспособности;
- чрезмерную потливость и появление познабливания;
- эпизодические подъемы температуры;
- умеренные признаки интоксикации: головокружения, головные боли, тошнота, ломота в костях и мышцах;
- снижение аппетита и нарушения пищеварения.
Характерные признаки заболевания появляются во вторую очередь. Пациентов беспокоят:
- одышка (вначале при нагрузках, а затем и в покое);
- боли в грудине;
- синюшный оттенок кожи на лице и конечностях;
- кашель с мокротой (слизистой, гнойной, с прожилками крови).
При осмотре врач обращает внимание на увеличение объема грудной клетки. При ее выстукивании могут обнаруживаться участки с притуплением звука (это говорит о развитии воспалений в них), при выслушивании — жесткое или ослабленное дыхание, разнокалиберные хрипы, крепитация.
https://youtube.com/watch?v=F-fSCTAbQdU
Со стороны сердечно-сосудистой системы бывает:
- уменьшение пульсации сосудов;
- тахи- или брадикардия;
- повышение АД.
Кроме этого, у больных перибронхитом обнаруживается увеличение печени и селезенки, отечность в области живота, лица и нижней части ног.
- Компенсаторная. В этом случае у организма еще хватает ресурсов для поддержания нормальной работы системы дыхания. Пациенты чувствуют себя в целом удовлетворительно, а одышка появляется только при физической нагрузке. Иногда в ответ на вдыхание холодного или запыленного воздуха возникает кашель. На рентгене заметны места с затемнениями в бронхах.
- Субкомпенсаторная. Здесь организм уже не в силах компенсировать патологию, поэтому заметны изменения в форме грудной клетки (она расширена), увеличение печени, пастозность и отечность подкожной клетчатки. Наблюдаются приступы одышки в покое, учащение сердечных сокращений и снижение пульсации артерий.
Рентгенограмма показывает усиление рисунка бронхиального дерева, сужение просвета бронхов, образование бронхоэктаз.
- Декомпенсированная. На этом этапе все изменения носят выраженный характер. Грудная клетка приобретает округлую (бочкообразную) форму, кожные покровы больных имеют синюшный (цианотичный) оттенок, одышка беспокоит пациентов даже во сне.
Дыхание затруднено, внешне заметны движения брюшной стенки, при прослушивании слышны влажные хрипы различной интенсивности. Отеки на конечностях занимают большую площадь, наблюдаются перебои в работе сердца, артериальная пульсация еле заметна.
На рентгенологических снимках расширения видны даже в мелких бронхах, хорошо просматриваются их патологические сужения, множественные бронхоэктазы.
Болезнь протекает длительно, от 3-х месяцев до года. Прогноз зависит от стадии развития заболевания.
Терапия болезни зависит от ее причины.
- При бактериальной природе воспаления показан курс приема антибиотиков широкого спектра действия (цефалоспоринов, макролидов).
- При вирусной причине болезни принимают противовирусные и иммуномодулирующие препараты.
- Аллергикам нужны антигистаминные средства.
Общую резистентность организма поднимают витаминотерапией, организацией рационального питания и полноценного отдыха, нейтрализацией раздражающих факторов, отказом от вредных привычек.
Симптоматическое лечение предусматривает прием противоотечных, спазмолитических, обезболивающих и бронхолитических средств.
С целью восстановления функций бронхов и рассасывания рубцов и спаек в них в период ремиссии показано применение биостимуляторов (Алое, Фибс) и физиопроцедур (ультразвука, УВЧ, ингаляций, ванн, грязевых обвертываний, купание в горячих источниках). Эффективно в терапии болезни санаторно-курортное лечение в специализированных учреждениях Северного Кавказа или Черноморского побережья.
Романовская Татьяна Владимировна
Источник: http://comp-doctor.ru/dyh/peribronchitis.php
Поделиться:











