До недавнего времени лучевая диагностика в стоматологии рассматривалась как дополнительный метод обследования, то есть необязательный, без которого в принципе можно провести полноценное лечение.
Однако в XXI веке ситуация кардинально изменилась, появились новые технологии, новые специальности и новые требования к обследованию и лечению пациентов.
В настоящее время ни один цивилизованный стоматологический прием не обходится без детального радиодиагностического обследования пациента, и можно утверждать, что лучевая диагностика в стоматологии сейчас является одним из основных и наиболее востребованных методов исследования.
Главное отличие цифровой радиографии (радиовизиографии) от традиционной заключается в том, что в данном случае вместо пленки приемником изображения является сенсор, воспринимающий излучение и передающий информацию на компьютер.
Оборудование, необходимое для радиовизиографии, последовательно состоит из источника излучения, устройства для считывания информации, устройства для оцифровывания информации и устройства для воспроизведения и обработки изображения.
В качестве источника излучения используются современные малодозовые генераторы с минимальным значением таймера, рассчитанные на работу в составе визиографического комплекса. Собственно визиограф состоит из сенсора, представляющего собой датчик на основе CCD- или CIMOS-матрицы, аналогово-цифрового преобразователя и компьютерной программы, предназначенной для оптимизации и хранения снимков.
Исходные цифровые снимки на первый взгляд могут несколько отличаться от привычных пленочных, поэтому нуждаются в обработке с использованием опций программного обеспечения.
Наиболее качественным является тот снимок, который по визуальному восприятию наиболее близок к аналоговому, поэтому, даже несмотря на самые высокие технические характеристики визиографа, качество конечного изображения во многом зависит от возможностей программы и умения специалиста с ней работать.
Показания к назначению рентгеновского снимка легких:
- Подозрение на пневмонию.
- Контроль лечения при воспалении легких.
- Оценка динамики патологического процесса при туберкулезе.
- Исключение обострения воспалительных болезней легочной ткани.
- Ранняя диагностика раковых опухолей.
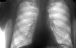
Рентгенография легких пожилому пациенту: выраженное сгущение и деформация легочного рисунка, кольцевидные тени в корнях за счет хронического бронхита, развернута дуга аорты
Рентгенография грудной полости назначается врачами при наличии малейших воспалительных изменений легочной ткани у взрослых. Детям до 16 лет не назначается даже флюорография, создающая малую лучевую нагрузку.
Опасность радиоактивного излучения заключается в том, что оно может спровоцировать повреждение геномного аппарата клетки. Наиболее активно данное действие проявляется при воздействии на быстро делящиеся клетки. Помните, детям рентгенодиагностика грудной клетки проводится только при экстренных показаниях.
Другие противопоказания к рентгену легких:
- профилактическая флюорография – не более 1-2 раз в год;
- высокая лучевая нагрузка на человека в течение года – относительное противопоказание.
Абсолютных противопоказаний к рентгенодиагностике грудной полости не существует. Необходимо понимать, что высокие лучевые нагрузки в течение года негативным образом влияют на здоровье детей и взрослых.
Они регистрируются в листке «индивидуальных дозовых нагрузок», а также рентгенофлюорографическом паспорте пациента.
Как правило, лечащие врачи просто записывают туда индивидуальные дозы, полученные при облучении.
Совет читателям! Самостоятельно считайте дозы, полученные при выполнении рентгенодиагностики за год. К примеру, если вы сделали снимок позвоночника в прямой и боковой проекциях, получили дозу в 2,9 мЗв.
Последующий рентгеновский снимок грудных органов увеличит суммарную лучевую нагрузку до 3,08 мЗв (2,9 +0,18 мЗв).
Если нет острой необходимости, не делайте рентген легких, чтобы не подвергаться избыточной лучевой нагрузке.
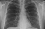
Рентгенограмма ОГК у пациента 55 лет с миопатией (расширение сердечной тени влево)
Большое внимание привлекает тот момент, когда рентген назначают детям, родителей волнует вопрос безопасности ребенка. Так как метод основывается на рентгеновском излучении, т. е. используется радиоактивное вещество, которое, по мнению родителей, может значительно облучить ребенка.
Попробуем развеять это мнение, развитие техники не стоит на месте, аппараты дорабатываются в плане защиты от излучения, также уменьшается время излучения.
Но обратим внимание, что современным оборудованием владеет не каждая муниципальная поликлиника, поэтому нужно уточнить год производства аппарата, и в случае если используется старое оборудование есть смысл обратиться в частную больницу и сделать там рентген шеи. Рентген шейного отдела позвоночника допускается применять с маленького возраста.
Диагностика может выявить родовые и приобретенные отклонения, смещения, подвывихи, нестабильность шейного отдела позвоночника. Исследование проводится в таком же порядке, как и взрослым, главной проблемой с ребенком является необходимость обеспечить неподвижность, поэтому на время проведения процедуры разрешаю остаться родителю.
Детям от 4 лет рентген может быть сделан через рот, чтобы качественней рассмотреть верхний позвонок. Эта процедура немного пугает родителей, не стоит её пугаться, на самом деле, это тот же самый снимок, только проделанный через широко открытый рот.
Рентген шейного отдела позвоночника – оперативное, доступное и довольно информативное средство диагностики, позволяющие вовремя начать правильное и своевременное лечение.
( 1 5,00 из 5)
Подготовиться к рентгену органов груди при подозрении на пневмонию легко. Процедура не требует сложных манипуляций. Достаточно снять все металлические предметы и синтетические ткани.
Затем рентгенолаборант установит человека на специальную подставку. Скажет: «Глубоко вдохните и не дышите». Необходимо задержать дыхание на несколько секунд. При экспозиции болевых ощущений не почувствуете.
После этого пациент одевается и направляется к врачу-рентгенологу для расшифровки снимков. Специалист записывает результат в амбулаторную карту или историю болезни пациента. При необходимости выполнения дополнительного обследования (боковая проекция, томография) рентгенолог делает назначение, а пациент снова отправляется в процедурный кабинет.
Рентген – это аппарат для исследования внутренних структур организма с использованием рентгеновских лучей.
Принцип работы – лучи рентгена проходят через тело человека и попадают на снимок или на экран в результате получается изображение изучаемого отдела.
По степени окрашивания структур определяются участки, с какими-либо изменениями. Чтобы получить более достоверную информацию используются снимки в двух проекциях.
Источник: https://SenoritaMed.ru/rentgen/opisanie-rentgenovskogo-snimka.html
Основная диагностическая методика, позволяющая выявить лёгочную патологию — рентгенография. Правильная расшифровка рентгена лёгких помогает не только выявить патологию, но и предположить основной этиологический фактор, вызвавший развитие патологических изменений. Диагностика контролирует динамику процесса, эффективность проведённых терапевтических мероприятий.
Рентген здоровых легких
Рентгенография лёгких представлена снимками в двух проекциях, на которых хорошо видны: лёгочная ткань, рёбра, ключицы, плечевой пояс, купола диафрагмы, сердечная тень и тени органов средостения, сосудистого пучка, позвоночного столба и грудины, которые накладываются друг на друга.
Для правильной расшифровки рентген-снимка важно знать: как на рентгенограмме выглядит норма. Лёгкие представляют собой воздушный орган. Даже незначительные затемнения, просветления или асимметрия лёгочного рисунка могут свидетельствовать о серьёзной патологии на ранней стадии развития.
В таком случае важно вовремя заметить изменения и своевременно начать необходимое лечение.
Для получения дополнительной информации воспользуйтесь «Бесплатной расшифровкой» снимка.
В методике выполнения снимка важно избегать ситуаций, когда возможно искажение результата:
- положение тела пациента — неровное расположение лёгочных полей за счёт неправильного расположения экрана, рентгенологической трубки или наклона пациента, нарушение постановки пациента (раскрытие лопаток, момент дыхательного акта);
- дополнительные артефакты — тени различных украшений (подвески и кулоны, пирсинги и так далее), которые могут заслонять патологические очаги или нарушать целостность восприятия снимка;
- полнота снимка — обрезание на рентгенограмме верхушек, полей, диафрагмальных синусов из-за неправильного расположения экрана;
- чёткость и контрастность рентгенограммы — определяется силой рентгеновских лучей, выбор режима «Худой», «Средний»,«Полный» делает врач. Основываясь на индивидуальных особенностях человека (при большей массе тела и выраженных жировых отложениях требуется увеличить дозу рентген-лучей для чёткого снимка), при помощи цифрового анализа возможно усиление или ослабление контрастности. Здоровые лёгкие (снимок позитив) Здоровые лёгкие (снимок негатив)
Расшифровать рентген лёгких и увидеть грубую патологию может любой терапевт, но подробное заключение предоставляет врач-рентгенолог, опираясь на специальный протокол. Для удобства в протоколе выделен специальный алгоритм анализа, включающий следующие пункты:
- точное название исследования (врач указывает анатомическую область снимка, проекции: прямая, боковая);
- оценивается симметричность лёгочных полей;
- выявляется наличие патологических теней (очаговых, инфильтративных, диффузных) или просветлений в области лёгочной ткани;
- описание лёгочного рисунка: нарушение свидетельствует о патологии сосудов лёгких;
- состояние корней лёгких — наблюдается нарушение структурности лимфатических узлов, исследование патологии крупных бронхов, лимфатической системы (лимфатических узлов);
- описание тени органов средостения (важно для диагностики заболеваний сердца): дуги желудочков сердца, аорты, лёгочной артерии;
- состояние диафрагмы и лёгочно-диафрагмальных углов (синусов): оценивается симметричность стояния диафрагмы, угол синуса, его заполненность (наличие выпота при плеврите). Осумкованный экссудативный плеврит
Синдром уплотнения. Инфильтрат. Рак.
Рак при рентгенографии или рентгеноскопии выглядит как «плюс-ткань» — выраженное затемнение участка лёгочного поля. Контуры нечёткие, размытые, так как рак растёт во все стороны и затрагивает здоровые ткани. Наличие округлых теней может свидетельствовать об отсеве метастазов.
При второй стадии поражаются локальные лимфатические узлы, что выглядит как нарушение структурности корня лёгких. Лимфоидная ткань увеличивается в размерах, формируются метастазы.
Онкология подтверждается при наличии симптомов заболевания: быстрая потеря массы тела, признаки кахексии, интоксикационный синдром (повышение температуры тела, вялость, слабость, утомляемость, сонливость, апатия). Часто заболевание встречается у курильщиков.
Для удобства описания локализации патологических теней на полях, их принято делить на сегменты. На описании рентгенограммы врач указывает порядковый номер сегмента и точные размеры образования.
Цифровой код
В правом лёгком принято выделять 10 сегментов, в левом, так как его поле меньше за счёт перекрытия сердечной тенью — 9. Принцип деления на сегменты основан на исследовании разветвления крупных бронхов. Один сегмент образован одним крупным бронхом.
Хроническая обструктивная болезнь лёгких — основная патология, которая встречается у курильщиков. На снимке ХОБЛ выглядит как обструктивный бронхит: лёгочный рисунок усилен, особенно в нижних отделах, компенсаторно встречаются просветления — признаки эмфиземы.
https://youtube.com/watch?v=MCvf-qaVIXc
При этом расширяются межрёберные промежутки, диафрагма опускается, купола сглаживаются, рёберно-диафрагмальный угол из острого превращается в прямой. Клинически, при увеличении объёма ткани, наблюдаются признаки гипоксии и недостаточности вентиляции. Ткань лёгкого теряет свою функцию.
Синдром уплотнения. Очаг низкой и средней плотности. Туберкулез.
Воспалительные заболевания часто дифференцируют с туберкулёзом лёгких. Туберкулома чаще локализуется на верхушках лёгочных полей. Тень округлая, часто с просветлением в центре — очаг деструкции. Наблюдается расширение корней лёгких.
Пневмония или воспаление хорошо визуализируется на рентгене и выглядит как инфильтративная тень на фоне усиления лёгочного рисунка, вокруг очага часто бывают просветления — локальная компенсаторная эмфизема.
Рентгенологическая диагностика — «золотой стандарт» в диагностике заболеваний органов дыхания. Благодаря воздушности ткани лёгких рентгенография хорошо визуализирует воспалительные изменения, обструкцию бронхов и разрастание патологического субстрата онкологии или туберкуломы. Простота и дешевизна методики позволяет использовать её для контроля динамики в течение терапии.
Источник: https://osnimke.ru/organy-grudnoj-kletki/rasshifrovka-rentgena-legkih.html
Рентгенография является самым распространенным методом обследования легких. Она назначается гораздо чаще МРТ или КТ из-за своей небольшой стоимости. Суть этого метода заключается в рентгеновском излучении, которое проходит через тело человека и в различной степени отражается на пленке в зависимости от того, через какую ткань проходит.
Многие считают, что флюорография и рентгенография – это одно и то же. Принцип этих диагностических методов действительно один и тот же, но флюорография менее информативна, с ее помощью можно определить только значительные нарушения, при этом доза облучения во время рентгенографии меньше.
Рентгенография – популярный и информативный метод обследования легких
Рентген легких в отличие от флюорографии редко назначается в профилактических целях. Обычно эта процедура рекомендуется при наличии характерных жалоб у пациента. Несмотря на то, что рентгенография более информативная, она и более дорогостоящая, поэтому для профилактической проверки здоровья до сих пор применяется флюорография.
Описание рентгеновских снимков занимает больше времени и включает целый ряд параметров. Расшифровкой снимков должен заниматься врач-рентгенолог. На руки пациенту выдается готовое заключение.
Рентгенография применяется как при постановке диагноза, так и при уже известном диагнозе для проверки эффективности лечение.
Показаниями к проведению процедуры являются:
- Хронический кашель. При длительных и мучительных приступах кашля, которые длятся более месяца, рекомендуется сделать рентген.
- Боль в легких. Любые болезненные ощущения в легких во время кашля или при движении, а также одышка требуют обязательного обследования.
- Кровохарканье. Появление крови в мокроте – это тревожный симптом, который нельзя игнорировать. Кровохарканье может быть симптомом многих серьезных заболеваний, поэтому рекомендуется полное обследование.
- Беспричинная потеря веса. В случае резкой потери веса рекомендуется сделать рентген легких, чтобы исключить онкологию.
- Проверка состояния во время лечения. Рентген делают в обязательном порядке при пневмонии, туберкулезе легких, плеврите, раке легких. Рекомендуется проходить рентгенографию не чаще, чем раз в полгода, но в случае крайней необходимости возможно более частое проведение процедуры.
Доза облучения, которую получает человек во время процедуры, невелика и не наносит вреда здоровому организму. Но рентгеновское излучение негативно сказывается на активно делящихся клетках, поэтому эту процедуру не рекомендуется проводить детям и беременным женщинам.
К рентгеновскому излучению особенно чувствительны половые клетки. Чтобы избежать нарушений половой системы до наступления полового созревания профилактическая рентгенография не проводится. Эта процедура назначается только по жизненным показаниям.
Процедура рентгенографии легких
Процедура рентгенографии проводится очень быстро и безболезненно. Подготовки никакой не требуется. Перед проведением процедуры не нужно придерживаться диеты или менять свой образ жизни.
Современное оборудование позволяет полноценно обследовать легкие при минимальных облучениях. Поэтому рекомендуется выбирать клиники с новым рентген-аппаратом. Формат снимков обычно универсальный, поэтому с полученным результатом потом можно будет обращаться в любую клинику. В указанное время пациент приходит к рентген-кабинету с направлением. Процедура занимает не более нескольких минут.
Пациент раздевается по пояс полностью и снимает все металлические украшения. На шее не должно быть никаких подвесок и цепочек. Длинные волосы необходимо собрать в пучок и поднять над линией шеи. Если оборудование современное, можно проходить процедуру в белье, но если оно не содержит металлических предметов и синтетики.
При необходимости процедуру можно проводить лежа или сидя.
На пациента надевают специальный фартук, если есть необходимость провести процедуру беременной женщине, фартуком закрывают живот и репродуктивные органы.
Если процедура обзорная (обследуются все легкие), то пациент встает прямо между лучевой трубкой и принимающим экраном. Врач просит пациента задержать дыхание на время действия аппарата. Это длится не более нескольких секунд, после чего пациент выдыхает и может одеваться.
Больше информации о рентгенографии можно узнать из видео:
Читайте: Гастроскопия во сне: подготовка, процедура и отзывы
Если процедура прицельная и обследуется определенный участок легкого, то пациент просят встать или сесть определенным образом (чтобы лучи проходили под определенным углом). В остальном прицельная рентгенография ничем не отличается от обзорной.
Результат выдается пациенту в течение часа. Соблюдение правил проведения процедуры важно, поскольку на достоверность результатов влияют многие факторы.
Если пациент вдохнул или пошевелился во время проведения процедуры, результат будет искажен.
Заниматься расшифровкой может только врач-рентгенолог
Чтение рентгеновских снимков – это сложный процесс. Он занимает некоторое время, поскольку описать нужно множество параметров.
При расшифровке обязательно учитывается качество снимка и теневая картина. Если на снимке картина нечеткая, пациента попросят сделать рентген еще раз через некоторое время.
Примерный алгоритм чтения рентгенограммы включает в себя следующие пункты:
- Проекция снимка. Необходимо учитывать, в какой проекции был сделан снимок (боковая, задняя, передняя). Врач обязательно берет в расчет погрешности, которые допускаются в той или иной проекции.
- Форма грудной клетки. Грудная клетка пациента может быть бочкообразной, воронкообразной или цилиндрической.
- Объем легких. Оценивается общий объем легких. Он может быть пониженным, нормальным или повышенным.
- Наличие очаговых или инфильтративных теней. На снимке кости отображаются белым цветом, ткань легких или образования – серым, а пустоты – черным. Если на сером поле есть темные пятна, это может указывать на воспаление или новообразование. При наличии такого пятна врач подробно описывает его размеры и локализацию.
- Деформация легочного рисунка. В норме рисунок не деформирован, он имеет четкие края, что говорит о нормальном кровообращении в тканях легких.
- Структура корней. Под этой фразой понимается описание легочных артерий. У здорового человека они имеют четкую структуру. Если же артерии расширены и на снимке в области корней есть затемнения, врач может заподозрить опухоль.
- Структура костной ткани. Врач оценивает, деформированы ли ребра, есть ли трещины, переломы.
- Диафрагма. Описывается структура диафрагмы, наличие изменений.
Если отклонения отсутствуют, после завершения чтения врач пишет в заключении «легкие без видимой патологии».
Расшифровка снимка – это сложная процедура. Даже опытный врач допускает, что при расшифровке можно допустить ошибку, поэтому при подозрении на серьезное заболевание (туберкулез, онкология) часто рекомендуется провести дополнительное обследование и уточнить диагноз.
Признаки пневмонии на снимке
Любые патологии, обнаруженные на рентгенограмме, врач очень подробно описывает. Если есть подозрения, назначается КТ или МРТ для подтверждения диагноза.
У здорового человека рисунок легких четкий без лишних затемнений. С помощью рентгена можно обнаружить следующие патологии:
- Плеврит. При плеврите воспаляется серозная оболочка, которая окружает легкие. Он сопровождается характерными симптомами: увеличение грудной клетки, боль, повышение температуры тела, кашель. Часто плеврит сопровождается скоплением жидкости, поэтому на рентгеновском снимке он выглядит как оттягивание вперед трахеи.
- Онкология. Злокачественная опухоль выглядит на снимке как затемнение на ткани легких. Обычно это затемнение имеет четкие контуры. В некоторых случаях это могут быть увеличенные лимфоузлы, поэтому рекомендуется дополнительное обследование (УЗИ или МРТ).
- Туберкулез. При туберкулезе наблюдается сильный воспалительный процесс легочной ткани. На рентгенограмме он выглядит как несколько округлых очаговых теней. Как правило это увеличенные лимфоузлы. Также при туберкулезе легочный рисунок в верхней части усилен.
- Пневмония. Воспаление легких на рентгенограмме выявляется как инфильтративные затемнения и уменьшение прозрачности легочных полей. Как правило, врач диагностирует пневмонию безошибочно.
- Застойная недостаточность. При застойных явлениях легочный рисунок будет нечетким, а также на рентгенограмме можно заметить, что размеры сердца увеличены. Это сердечное заболевание, но оно отражается и на работе легких, появляется кашель, одышка, удушье в положение лежа, увеличение массы тела и появление отеков.
- Саркоидоз. Это заболевание, при котором поражаются многие органы. В тканях появляются гранулемы, которые нарушают их функционирование. При саркоидозе наблюдается деформация корней на снимке, а также округлые четкие затемнения.
Стоит помнить, что небольшие кисты или опухоли на рентгене могут не отображаться, закрываться ребрами или сердцем. Если тревожные симптомы продолжают беспокоить, через некоторое время нужно повторить процедуру или пройти МРТ.
Правильный и тщательный анализ легочных полей поможет выявить различные заболевания
Под легочными полями понимаются те участки снимка, на которые проецировалась легочная ткань. Легочные поля располагаются по обе стороны от тени средостения.
Правильный и тщательный анализ легочных полей поможет выявить различные заболевания
Анализ легочных полей имеет несколько особенностей:
- Правое и левое легочное поле имеют разный размер. Правое, как правило, шире, но короче левого, а левое более узкое и вытянутое. Это считается нормой.
- Срединная тень не должна находиться точно в центре полей. Сердце слегка смещает ее, поэтому у здорового человека тень немного расширена с левой стороны. Это также не указывает на патологию.
- Чтобы было проще анализировать картинку легочных полей, ее делят на 3 части: внутреннюю среднюю и наружную. Каждая зона описывается отдельно.
- Оценивается прозрачность полей. Она зависит от того, насколько легкие наполняются воздухом и насколько полноценно легочная ткань напитывается кислородом. При нарушении кровообращения прозрачность полей будет изменена.
- У женщин описание легочных полей может быть изменено из-за мягких тканей молочных желез. Это учитывается при расшифровке снимка.
- При оценке легочного рисунка во внимание принимаются индивидуальные особенности организма. Это длительный и сложный процесс, провести грамотно его может только опытный специалист. Легочная артерия в каждой зоне легочных полей имеет различное направление. Также учитываются венозная и капиллярная сети.
- Плевра на снимке отображаться не должна. Она слишком тонкая. Если же она видна, значит ее стенки утолщены, что говорит о воспалении или опухоли. В некоторых случаях плевра отображается при боковых снимках.
- Артерии ветвятся в каждом легком по-разному. Поэтому оценивается каждый сегмент легочного поля. В правом легком их 10, в левом – 9.
Стоит помнить, что отсутствие пятен и затемнений на снимке не гарантирует отсутствие патологий. Если сохраняются тревожные признаки, нужно обратиться к врачу за дальнейшим обследованием.
Источник: https://DiagnozLab.com/analysis/clinical-tests/opisanie-rentgenovskih-snimkov.html
› Исследования › Рентген ›
Рентгенография – информативный метод исследования внутренних органов и тканей, в том числе дыхательной системы. Но для постановки диагноза просто сделать снимок недостаточно, важна правильная расшифровка рентгена легких. Интерпретируя рентгенограмму, можно найти патологию, определить её этиологию, проследить динамику заболевания и оценить эффективность терапевтических мероприятий.
Увидеть на снимке явные патологические образования смогут терапевт, пульмонолог и другие врачи.
Но для того чтобы детально расшифровать рентген легких, выявить малейшие отклонения от нормы, используют регламентированный алгоритм – протокол описания рентгенограммы.
Делает это врач узкой специализации – рентгенолог. Согласно с этим протоколом, анализ рентгенограммы включает следующие пункты.
- Название процедуры – наименование исследуемой области, проекция (прямая, боковая).
- Оценка симметричности лёгочных полей.
- Присутствие теней, свидетельствующих о патологии, их тип – очаговые, инфильтративные, диффузные. Если есть просветления, их тоже нужно указать в описании.
- Анализ лёгочного рисунка. Несоответствие нормальной картине говорит о проблемах с сосудами лёгких.
- Состояние корней лёгких. Фиксируется нарушение структурности лимфоузлов, оценивается состояние крупных бронхов.
- Тени органов средостения. Особое внимание уделяется теневому рисунку частей сердца и крупных сосудов – дуг желудочков, аорты, лёгочной артерии.
- Состояние диафрагмы и лёгочно-диафрагмальных углов – симметричность стояния органа, угол синуса, заполненность (присутствие выпота свидетельствует о плеврите).
На качество снимка рентгенографии могут повлиять различные факторы. Если нарушить технологию его выполнения, то в итоге можно неправильно поставить диагноз. Вот что влияет на качество изображения:
- несимметричное положение тела. Если нарушить требование симметричности, можно ошибочно поставить диагноз «смещение позвонков грудного отдела»;
- жёсткость/мягкость снимка;
- наличие артефактов (дополнительных теневых областей) и заболеваний, которые оказывают влияние на состояние грудной клетки пациента;
- охват. На изображении должны присутствовать рёберно-диафрагмальные синусы снизу и вёрхние лёгочные поля;
- лопатки пациента должны располагаться снаружи от грудной клетки. В противном случае расшифровка усложняется;
- изображения должны быть одноконтурными. Динамическая резкость говорит о том, что пациент дышал во время исследования. Такой снимок нельзя интерпретировать, его требуется переделать;
- уровень контрастности определяется полями, которые дают затемнение и просветление. На основании этого можно понять, является ли тёмный или светлый участок патологией, или это особенность проявителя снимка.
На снимок легких влияет направление рентгеновских лучей.
Порядок исследования при рентгенографии разных органов и систем различается. Рентген лёгких имеет такие особенности.
- Большое значение имеют правильные положение тела пациента и его постановка. При нарушении этого условия могут исказиться расположение лёгочных полей, раскрытие лопаток, в момент дыхательного акта – общая картина.
- Важно исключить попадание артефактов на снимок – украшений, пирсинга и подобных деталей. Они могут заслонить патологические очаги, помешать целостности восприятия изображения.
- Надо проконтролировать полноту захвата – на итоговой картинке должны присутствовать верхушки, поля, диафрагмальные синусы.
- Для получения информативного изображения следует регулировать силу рентгеновских лучей, исходя из телосложения человека, наличия жировых отложений. Для полных пациентов нужно увеличить дозу рентген-лучей.
Лёгкие – это орган, наполненный воздухом. Рентгеновские лучи через него проходят практически беспрепятственно. Поэтому лёгочное поле будет выглядеть, как просветлённый участок, окрашенный на рентгенограмме в чёрный цвет. Твёрдые ткани (кости), наоборот, визуализируются белыми. Корни лёгкого, будучи более плотными, чем лёгочные поля, задерживают часть лучей, поэтому они немного светлее.
Тени на рентгене могут обозначать как нормальные образования, так и патологические. Задача врача – определить, является ли затенение чем-то опасным для пациента. Вот что можно увидеть на здоровых лёгких:
- костный скелет;
- лёгочные поля и лёгочный рисунок;
- корни лёгкого;
- средостение;
- тень сердца;
- купол диафрагмы.
Поля – однородные, рисунок – чёткий. Деление на доли или сегменты будет неразличимым.
Если на рентгенограмме нет тёмных или светлых областей, то это не значит, что заболевания отсутствуют. Врач должен внимательно изучить лёгочные поля. Вот какие особенности требуется учитывать во время расшифровки:
- правое поле должно быть коротким и широким, а левое – узким и длинным;
- из-за сердца срединная тень должна быть слегка расширена влево;
- при описании оценивают три пояса – нижний, верхний и средний;
- уровень прозрачности можно определить по воздухо- и кровенаполнению, объёму паренхиматозной ткани органа;
- у женщин изображение может слегка перекрываться молочными железами;
- лёгочная плевра в нормальном состоянии не прослеживается, но становится заметной во время воспалительных процессов или при опухоли (при наличии патологий требуется выполнить дополнительно боковую рентгенограмму).
Лёгочные доли для удобства разделяют на сегменты: в правом лёгком их 10, в левом – 9. Если при расшифровке рентгенограммы выявлены отклонения, в заключении указывается номер сегмента, где они расположены, и тип патологии в соответствии с кодификатором:
- 01 – полость;
- 02 – затемнение, в проекции лёгких;
- 03 – очаговые тени, там же;
- 04 – увеличение тени средостения;
- 05 – плевральный выпот;
- 06, 07 – фиброз лёгочной ткани;
- 08 – увеличение прозрачности лёгочной ткани;
- 09, 10 – поражение плевры;
- 11-18 – петрификаты;
- 19 – патология диафрагмы;
- 20 – остаточные послеоперационные признаки;
- 21 – патологии скелета;
- 22 – инородное тело;
- 23 – патология сердечно-сосудистой системы;
- 24 – отклонения, не относящиеся к стандартным;
- 25 – пациент здоров;
- 26 – снимок забракован.
На рентгеновском снимке воспалительный и опухолевый процессы выглядят почти одинаково. При интерпретации изображения учитывают такие особенности типичной рентгенограммы опухоли:
- лёгочный рисунок – не меняется;
- в прилежащих отделах тени отсутствуют или являются одиночными;
- поражённые ткани имеют бугристую поверхность, лучистые контуры;
- корни лёгких изменены только на последних стадиях;
- тени имеют однородный оттенок.
Пневмония, или воспаление лёгких, отчётливо просматривается на рентгене. Правда, на начальной стадии могут возникнуть сложности. Вот что можно увидеть на снимке при воспалительном процессе:
- очаги воспаления в виде затенений различного размера;
- уровень поражения органа;
- воспалённую плевру и бронхиальное дерево;
- расширение корня лёгкого, как реакцию лимфатической системы на заболевание;
- усиление лёгочного рисунка.
Очаги воспаления могут иметь размеры до 1,5 см. Форма инфильтрата может быть любой. Размер поражённой области оценивается на фронтальном и боковом снимках.
Не всё можно диагностировать при помощи рентгена. В частности, на снимке не получится увидеть следующее:
- небольшие злокачественные новообразования, размер которых – менее 5 мм (на ранней стадии онкологии нужно применять компьютерную томографию для визуализации поражённых участков);
- тромб, размер которого менее 5 мм;
- стелющиеся опухоли.
Если есть сомнения в квалификации врача, пациент имеет право на обращение к другому специалисту. Для этого надо взять снимок и записаться на приём к врачу этого же или другого медицинского учреждения.
Не исключено, что потребуется пройти повторное обследование, чтобы исключить вероятность ошибки.
Сравнив результаты, можно понять, действительно ли речь идёт, например, о новообразовании, или это был артефакт на снимке.
Подробная расшифровка рентгенографии легких Ссылка на основную публикацию
Источник: https://iDiagnost.ru/issledovaniya/rentgen/podrobnaya-rasshifrovka-rentgenografii-legkih
Рентгенограмма легких – суммационное изображение мягких тканей грудной клетки. На пути прохождения рентгеновских лучей некоторые структуры поглощают, а другие отражают излучение. Такая игра отображается на рентгеновской пленке или цифровом носителе.
Врач-рентгенолог читает рентгеновский снимок, состоящий из комплекса теней белого и серого цветов. Их сочетание между собой формирует изображение, которое специалист расшифровывает и делает описание.
Наши специалисты готовы бесплатно расшифровать рентгенограммы читателей. Предлагаем также внимательно разобраться самостоятельно с комплексом рентгеновских затемнений и просветлений.
Рентгеновские снимки легких (органов грудной клетки) анализируются по схеме «ПоЧиФоРа и ИнРиКоС». Как расшифровать эти термины:
- По – положение;
- Чи – число;
- Фо – форма;
- Ра – размеры;
- Ин – интенсивность;
- Ри – рисунок;
- Ко—контуры;
- С – смещаемость.
Данному алгоритму учат студентов медицинских университетов, готовящихся стать врачами-рентгенологами.
Рассмотрим для примера рентгеновский снимок легких в норме:
На нем визуализируется множество затемнений и просветлений (белого и черного цвета), которые могут запугать читателей. На самом деле эта рентгенограмма расшифровывается просто (см. следующий снимок)
На рентгенограмме подписаны все анатомические структуры, чтобы читателям было легко разобраться. Предлагаем запомнить интенсивность легочных полей. Норма не предполагает наличия патологических затемнений (белого цвета) и просветлений (темного цвета), которых нет на изображении.
Если «набить глаз», научитесь четко отличать норму от патологии.
Рентген здоровых легких описывать следует по классическому стандарту. Вначале вносятся записи о патологических рентгеновских синдромах, затем легочные поля, корни, купола диафрагмы, реберно-диафрагмальные синусы, сердечная тень и мягкие ткани.
Классический алгоритм описания здоровых легких:
- В легочных полях без видимых очаговых и инфильтративных теней;
- Корни не расширены, структурны;
- Контуры диафрагмы и реберно-диафрагмальные синусы без особенностей;
- Сердечная тень обычной конфигурации;
- Мягкие ткани без особенностей.
Вышеприведенная рентгенограмма подпадает под данное описание.
Надеемся, ответили читателям, как читать рентгеновские снимки легких в норме, поэтому переходим к следующему пункту о рентгеновских синдромах при патологии.
Рентгенограмма легких при пневмонии является классическим проявлением патологии. Приводим пример снимка при воспалительных изменениях легочной ткани (пневмония), чтобы читатели понимали, чем отличается норма от патологии.
Предлагаем ознакомиться с нижеприведенными снимками при пневмонии и в норме. Ответьте на вопрос, где рентгенограмма нормальная, а какая патологическая. Определите, на какой рентгенограмме пневмония.
Цифровой рентген органов грудной клетки №1 Цифровой рентген №2
Подскажем, что затемнение небольшое и локализовано над диафрагмой.
Рентген здоровых легких – классика рентгенологии, так как рентгенология ориентирована на выявление туберкулеза, рака и пневмонии.
На представленной рентгенограмме лёгких визуализируется инфильтративная тень в наддиафрагмальной зоне слева. Корни тяжисты. Реберно-диафрагмальные синусы не завуалированы. Сердечная тень классической конфигурации. Патологии в мягких тканях не прослеживается.
Заключение: Рентген признаки левосторонней сегментарной пневмонии. Рекомендована рентгенография органов грудной клетки в левой боковой проекции для установки локализации затемнения.
Цифровой рентген №4
Цифровая рентгенограмма является продуктом современных разработок в рентгенологии. На эпохе зарождения рентгенодиагностики, чтобы получить изображение после прохождения рентгеновских лучей через анатомические структуры организма, нужно было использовать фиксаторы, проявители для создания фото негатива. Процесс напоминает проявление пленки фотографами.
Современные технологии позволили избавиться от этой трудоемкой процедуры. На замену пленке пришли цифровые исследования.
Они предполагают использование специальных датчиков, которые регистрируют интенсивность лучей на выходе из объекта исследования и передают информацию на программное обеспечение. Оно анализирует сигналы и выдает на экран цифровое изображение. Его анализирует врач-рентгенолог.
При чтении снимка специалист получает возможности для увеличения или уменьшения изображения, преобразования негатива в позитив и множество других функций.
Нормальная рентгенограмма лёгких не отличается на цифровом изображении от пленочного аналога. Тем не менее, начинающему рентгенологу нужно привыкнуть к технологии, так как рентгеновские тени на ней несколько отличаются от тех, которые формируются на пленке.
Несмотря на появление других перспективных методов диагностики (мрт, кт), рентгенография лёгких остается востребованной и перспективной методикой. Она позволяет выявить инфильтрацию легочной ткани и проследить в динамике процесс лечения пациента. Метод доступен для каждого и не является дорогостоящим в отличие от компьютерной и магнитно-резонансной томографии.
По этим причинам рентген нужен медицине, а современные технологии не смогут вытеснить его даже в далеком будущем.
Источник: https://mrt-uzi.com/rentgen-legkih/rentgenogramma-legkih-norma-i-patologiya.html
Поделиться:










