Основная диагностическая методика, позволяющая выявить лёгочную патологию — рентгенография. Правильная расшифровка рентгена лёгких помогает не только выявить патологию, но и предположить основной этиологический фактор, вызвавший развитие патологических изменений. Диагностика контролирует динамику процесса, эффективность проведённых терапевтических мероприятий.
Рентген здоровых легких
Рентгенография лёгких представлена снимками в двух проекциях, на которых хорошо видны: лёгочная ткань, рёбра, ключицы, плечевой пояс, купола диафрагмы, сердечная тень и тени органов средостения, сосудистого пучка, позвоночного столба и грудины, которые накладываются друг на друга.
Для правильной расшифровки рентген-снимка важно знать: как на рентгенограмме выглядит норма. Лёгкие представляют собой воздушный орган. Даже незначительные затемнения, просветления или асимметрия лёгочного рисунка могут свидетельствовать о серьёзной патологии на ранней стадии развития.
В таком случае важно вовремя заметить изменения и своевременно начать необходимое лечение.
В методике выполнения снимка важно избегать ситуаций, когда возможно искажение результата:
- положение тела пациента — неровное расположение лёгочных полей за счёт неправильного расположения экрана, рентгенологической трубки или наклона пациента, нарушение постановки пациента (раскрытие лопаток, момент дыхательного акта);
- дополнительные артефакты — тени различных украшений (подвески и кулоны, пирсинги и так далее), которые могут заслонять патологические очаги или нарушать целостность восприятия снимка;
- полнота снимка — обрезание на рентгенограмме верхушек, полей, диафрагмальных синусов из-за неправильного расположения экрана;
- чёткость и контрастность рентгенограммы — определяется силой рентгеновских лучей, выбор режима «Худой», «Средний»,«Полный» делает врач. Основываясь на индивидуальных особенностях человека (при большей массе тела и выраженных жировых отложениях требуется увеличить дозу рентген-лучей для чёткого снимка), при помощи цифрового анализа возможно усиление или ослабление контрастности. Здоровые лёгкие (снимок позитив) Здоровые лёгкие (снимок негатив)
Расшифровать рентген лёгких и увидеть грубую патологию может любой терапевт, но подробное заключение предоставляет врач-рентгенолог, опираясь на специальный протокол. Для удобства в протоколе выделен специальный алгоритм анализа, включающий следующие пункты:
- точное название исследования (врач указывает анатомическую область снимка, проекции: прямая, боковая);
- оценивается симметричность лёгочных полей;
- выявляется наличие патологических теней (очаговых, инфильтративных, диффузных) или просветлений в области лёгочной ткани;
- описание лёгочного рисунка: нарушение свидетельствует о патологии сосудов лёгких;
- состояние корней лёгких — наблюдается нарушение структурности лимфатических узлов, исследование патологии крупных бронхов, лимфатической системы (лимфатических узлов);
- описание тени органов средостения (важно для диагностики заболеваний сердца): дуги желудочков сердца, аорты, лёгочной артерии;
- состояние диафрагмы и лёгочно-диафрагмальных углов (синусов): оценивается симметричность стояния диафрагмы, угол синуса, его заполненность (наличие выпота при плеврите). Осумкованный экссудативный плеврит
Синдром уплотнения. Инфильтрат. Рак.
Рак при рентгенографии или рентгеноскопии выглядит как «плюс-ткань» — выраженное затемнение участка лёгочного поля. Контуры нечёткие, размытые, так как рак растёт во все стороны и затрагивает здоровые ткани. Наличие округлых теней может свидетельствовать об отсеве метастазов.
При второй стадии поражаются локальные лимфатические узлы, что выглядит как нарушение структурности корня лёгких. Лимфоидная ткань увеличивается в размерах, формируются метастазы.
Тяжёлые стадии онкологической патологии сопровождаются усилением лёгочного рисунка, так как опухоль требует интенсивного кровоснабжения и питания, из-за чего активно растёт, это может привести к формированию признаков гипертензии. Часто наблюдаются признаки плеврита: появление контура плевры (она склерозирована под воздействием длительного воспаления), в синусах определяется уровень жидкости — патологический транссудат.
Онкология подтверждается при наличии симптомов заболевания: быстрая потеря массы тела, признаки кахексии, интоксикационный синдром (повышение температуры тела, вялость, слабость, утомляемость, сонливость, апатия). Часто заболевание встречается у курильщиков.
Для удобства описания локализации патологических теней на полях, их принято делить на сегменты. На описании рентгенограммы врач указывает порядковый номер сегмента и точные размеры образования.
Цифровой код
В правом лёгком принято выделять 10 сегментов, в левом, так как его поле меньше за счёт перекрытия сердечной тенью — 9. Принцип деления на сегменты основан на исследовании разветвления крупных бронхов. Один сегмент образован одним крупным бронхом.
Хроническая обструктивная болезнь лёгких — основная патология, которая встречается у курильщиков. На снимке ХОБЛ выглядит как обструктивный бронхит: лёгочный рисунок усилен, особенно в нижних отделах, компенсаторно встречаются просветления — признаки эмфиземы.
При этом расширяются межрёберные промежутки, диафрагма опускается, купола сглаживаются, рёберно-диафрагмальный угол из острого превращается в прямой. Клинически, при увеличении объёма ткани, наблюдаются признаки гипоксии и недостаточности вентиляции. Ткань лёгкого теряет свою функцию.
Синдром уплотнения. Очаг низкой и средней плотности. Туберкулез.
Воспалительные заболевания часто дифференцируют с туберкулёзом лёгких. Туберкулома чаще локализуется на верхушках лёгочных полей. Тень округлая, часто с просветлением в центре — очаг деструкции. Наблюдается расширение корней лёгких.
Пневмония или воспаление хорошо визуализируется на рентгене и выглядит как инфильтративная тень на фоне усиления лёгочного рисунка, вокруг очага часто бывают просветления — локальная компенсаторная эмфизема.
Рентгенологическая диагностика — «золотой стандарт» в диагностике заболеваний органов дыхания. Благодаря воздушности ткани лёгких рентгенография хорошо визуализирует воспалительные изменения, обструкцию бронхов и разрастание патологического субстрата онкологии или туберкуломы. Простота и дешевизна методики позволяет использовать её для контроля динамики в течение терапии.
Источник: https://osnimke.ru/organy-grudnoj-kletki/rasshifrovka-rentgena-legkih.html
› Исследования › Рентген ›
Рентгенография – информативный метод исследования внутренних органов и тканей, в том числе дыхательной системы. Но для постановки диагноза просто сделать снимок недостаточно, важна правильная расшифровка рентгена легких. Интерпретируя рентгенограмму, можно найти патологию, определить её этиологию, проследить динамику заболевания и оценить эффективность терапевтических мероприятий.
Увидеть на снимке явные патологические образования смогут терапевт, пульмонолог и другие врачи.
Но для того чтобы детально расшифровать рентген легких, выявить малейшие отклонения от нормы, используют регламентированный алгоритм – протокол описания рентгенограммы.
Делает это врач узкой специализации – рентгенолог. Согласно с этим протоколом, анализ рентгенограммы включает следующие пункты.
- Название процедуры – наименование исследуемой области, проекция (прямая, боковая).
- Оценка симметричности лёгочных полей.
- Присутствие теней, свидетельствующих о патологии, их тип – очаговые, инфильтративные, диффузные. Если есть просветления, их тоже нужно указать в описании.
- Анализ лёгочного рисунка. Несоответствие нормальной картине говорит о проблемах с сосудами лёгких.
- Состояние корней лёгких. Фиксируется нарушение структурности лимфоузлов, оценивается состояние крупных бронхов.
- Тени органов средостения. Особое внимание уделяется теневому рисунку частей сердца и крупных сосудов – дуг желудочков, аорты, лёгочной артерии.
- Состояние диафрагмы и лёгочно-диафрагмальных углов – симметричность стояния органа, угол синуса, заполненность (присутствие выпота свидетельствует о плеврите).
На качество снимка рентгенографии могут повлиять различные факторы. Если нарушить технологию его выполнения, то в итоге можно неправильно поставить диагноз. Вот что влияет на качество изображения:
- несимметричное положение тела. Если нарушить требование симметричности, можно ошибочно поставить диагноз «смещение позвонков грудного отдела»;
- жёсткость/мягкость снимка;
- наличие артефактов (дополнительных теневых областей) и заболеваний, которые оказывают влияние на состояние грудной клетки пациента;
- охват. На изображении должны присутствовать рёберно-диафрагмальные синусы снизу и вёрхние лёгочные поля;
- лопатки пациента должны располагаться снаружи от грудной клетки. В противном случае расшифровка усложняется;
- изображения должны быть одноконтурными. Динамическая резкость говорит о том, что пациент дышал во время исследования. Такой снимок нельзя интерпретировать, его требуется переделать;
- уровень контрастности определяется полями, которые дают затемнение и просветление. На основании этого можно понять, является ли тёмный или светлый участок патологией, или это особенность проявителя снимка.
На снимок легких влияет направление рентгеновских лучей.
Порядок исследования при рентгенографии разных органов и систем различается. Рентген лёгких имеет такие особенности.
- Большое значение имеют правильные положение тела пациента и его постановка. При нарушении этого условия могут исказиться расположение лёгочных полей, раскрытие лопаток, в момент дыхательного акта – общая картина.
- Важно исключить попадание артефактов на снимок – украшений, пирсинга и подобных деталей. Они могут заслонить патологические очаги, помешать целостности восприятия изображения.
- Надо проконтролировать полноту захвата – на итоговой картинке должны присутствовать верхушки, поля, диафрагмальные синусы.
- Для получения информативного изображения следует регулировать силу рентгеновских лучей, исходя из телосложения человека, наличия жировых отложений. Для полных пациентов нужно увеличить дозу рентген-лучей.
Лёгкие – это орган, наполненный воздухом. Рентгеновские лучи через него проходят практически беспрепятственно. Поэтому лёгочное поле будет выглядеть, как просветлённый участок, окрашенный на рентгенограмме в чёрный цвет. Твёрдые ткани (кости), наоборот, визуализируются белыми. Корни лёгкого, будучи более плотными, чем лёгочные поля, задерживают часть лучей, поэтому они немного светлее.
Тени на рентгене могут обозначать как нормальные образования, так и патологические. Задача врача – определить, является ли затенение чем-то опасным для пациента. Вот что можно увидеть на здоровых лёгких:
- костный скелет;
- лёгочные поля и лёгочный рисунок;
- корни лёгкого;
- средостение;
- тень сердца;
- купол диафрагмы.
Поля – однородные, рисунок – чёткий. Деление на доли или сегменты будет неразличимым.
Если на рентгенограмме нет тёмных или светлых областей, то это не значит, что заболевания отсутствуют. Врач должен внимательно изучить лёгочные поля. Вот какие особенности требуется учитывать во время расшифровки:
- правое поле должно быть коротким и широким, а левое – узким и длинным;
- из-за сердца срединная тень должна быть слегка расширена влево;
- при описании оценивают три пояса – нижний, верхний и средний;
- уровень прозрачности можно определить по воздухо- и кровенаполнению, объёму паренхиматозной ткани органа;
- у женщин изображение может слегка перекрываться молочными железами;
- лёгочная плевра в нормальном состоянии не прослеживается, но становится заметной во время воспалительных процессов или при опухоли (при наличии патологий требуется выполнить дополнительно боковую рентгенограмму).
Лёгочные доли для удобства разделяют на сегменты: в правом лёгком их 10, в левом – 9. Если при расшифровке рентгенограммы выявлены отклонения, в заключении указывается номер сегмента, где они расположены, и тип патологии в соответствии с кодификатором:
- 01 – полость;
- 02 – затемнение, в проекции лёгких;
- 03 – очаговые тени, там же;
- 04 – увеличение тени средостения;
- 05 – плевральный выпот;
- 06, 07 – фиброз лёгочной ткани;
- 08 – увеличение прозрачности лёгочной ткани;
- 09, 10 – поражение плевры;
- 11-18 – петрификаты;
- 19 – патология диафрагмы;
- 20 – остаточные послеоперационные признаки;
- 21 – патологии скелета;
- 22 – инородное тело;
- 23 – патология сердечно-сосудистой системы;
- 24 – отклонения, не относящиеся к стандартным;
- 25 – пациент здоров;
- 26 – снимок забракован.
На рентгеновском снимке воспалительный и опухолевый процессы выглядят почти одинаково. При интерпретации изображения учитывают такие особенности типичной рентгенограммы опухоли:
- лёгочный рисунок – не меняется;
- в прилежащих отделах тени отсутствуют или являются одиночными;
- поражённые ткани имеют бугристую поверхность, лучистые контуры;
- корни лёгких изменены только на последних стадиях;
- тени имеют однородный оттенок.
Пневмония, или воспаление лёгких, отчётливо просматривается на рентгене. Правда, на начальной стадии могут возникнуть сложности. Вот что можно увидеть на снимке при воспалительном процессе:
- очаги воспаления в виде затенений различного размера;
- уровень поражения органа;
- воспалённую плевру и бронхиальное дерево;
- расширение корня лёгкого, как реакцию лимфатической системы на заболевание;
- усиление лёгочного рисунка.
Очаги воспаления могут иметь размеры до 1,5 см. Форма инфильтрата может быть любой. Размер поражённой области оценивается на фронтальном и боковом снимках.
Не всё можно диагностировать при помощи рентгена. В частности, на снимке не получится увидеть следующее:
- небольшие злокачественные новообразования, размер которых – менее 5 мм (на ранней стадии онкологии нужно применять компьютерную томографию для визуализации поражённых участков);
- тромб, размер которого менее 5 мм;
- стелющиеся опухоли.
Если есть сомнения в квалификации врача, пациент имеет право на обращение к другому специалисту. Для этого надо взять снимок и записаться на приём к врачу этого же или другого медицинского учреждения.
Не исключено, что потребуется пройти повторное обследование, чтобы исключить вероятность ошибки.
Сравнив результаты, можно понять, действительно ли речь идёт, например, о новообразовании, или это был артефакт на снимке.
Подробная расшифровка рентгенографии легких Ссылка на основную публикацию
Источник: https://iDiagnost.ru/issledovaniya/rentgen/podrobnaya-rasshifrovka-rentgenografii-legkih
Рентгенограмма легких – суммационное изображение мягких тканей грудной клетки. На пути прохождения рентгеновских лучей некоторые структуры поглощают, а другие отражают излучение. Такая игра отображается на рентгеновской пленке или цифровом носителе.
Врач-рентгенолог читает рентгеновский снимок, состоящий из комплекса теней белого и серого цветов. Их сочетание между собой формирует изображение, которое специалист расшифровывает и делает описание.
Наши специалисты готовы бесплатно расшифровать рентгенограммы читателей. Предлагаем также внимательно разобраться самостоятельно с комплексом рентгеновских затемнений и просветлений.
Рентгеновские снимки легких (органов грудной клетки) анализируются по схеме «ПоЧиФоРа и ИнРиКоС». Как расшифровать эти термины:
- По – положение;
- Чи – число;
- Фо – форма;
- Ра – размеры;
- Ин – интенсивность;
- Ри – рисунок;
- Ко—контуры;
- С – смещаемость.
Данному алгоритму учат студентов медицинских университетов, готовящихся стать врачами-рентгенологами.
Рассмотрим для примера рентгеновский снимок легких в норме:
На нем визуализируется множество затемнений и просветлений (белого и черного цвета), которые могут запугать читателей. На самом деле эта рентгенограмма расшифровывается просто (см. следующий снимок)
На рентгенограмме подписаны все анатомические структуры, чтобы читателям было легко разобраться. Предлагаем запомнить интенсивность легочных полей. Норма не предполагает наличия патологических затемнений (белого цвета) и просветлений (темного цвета), которых нет на изображении.
https://youtube.com/watch?v=MCvf-qaVIXc
Если «набить глаз», научитесь четко отличать норму от патологии.
Рентген здоровых легких описывать следует по классическому стандарту. Вначале вносятся записи о патологических рентгеновских синдромах, затем легочные поля, корни, купола диафрагмы, реберно-диафрагмальные синусы, сердечная тень и мягкие ткани.
Классический алгоритм описания здоровых легких:
- В легочных полях без видимых очаговых и инфильтративных теней;
- Корни не расширены, структурны;
- Контуры диафрагмы и реберно-диафрагмальные синусы без особенностей;
- Сердечная тень обычной конфигурации;
- Мягкие ткани без особенностей.
Вышеприведенная рентгенограмма подпадает под данное описание.
Надеемся, ответили читателям, как читать рентгеновские снимки легких в норме, поэтому переходим к следующему пункту о рентгеновских синдромах при патологии.
Рентгенограмма легких при пневмонии является классическим проявлением патологии. Приводим пример снимка при воспалительных изменениях легочной ткани (пневмония), чтобы читатели понимали, чем отличается норма от патологии.
Предлагаем ознакомиться с нижеприведенными снимками при пневмонии и в норме. Ответьте на вопрос, где рентгенограмма нормальная, а какая патологическая. Определите, на какой рентгенограмме пневмония.
Цифровой рентген органов грудной клетки №1 Цифровой рентген №2
Подскажем, что затемнение небольшое и локализовано над диафрагмой.
Рентген здоровых легких – классика рентгенологии, так как рентгенология ориентирована на выявление туберкулеза, рака и пневмонии.
На представленной рентгенограмме лёгких визуализируется инфильтративная тень в наддиафрагмальной зоне слева. Корни тяжисты. Реберно-диафрагмальные синусы не завуалированы. Сердечная тень классической конфигурации. Патологии в мягких тканях не прослеживается.
Заключение: Рентген признаки левосторонней сегментарной пневмонии. Рекомендована рентгенография органов грудной клетки в левой боковой проекции для установки локализации затемнения.
Цифровой рентген №4
Цифровая рентгенограмма является продуктом современных разработок в рентгенологии. На эпохе зарождения рентгенодиагностики, чтобы получить изображение после прохождения рентгеновских лучей через анатомические структуры организма, нужно было использовать фиксаторы, проявители для создания фото негатива. Процесс напоминает проявление пленки фотографами.
Современные технологии позволили избавиться от этой трудоемкой процедуры. На замену пленке пришли цифровые исследования.
Они предполагают использование специальных датчиков, которые регистрируют интенсивность лучей на выходе из объекта исследования и передают информацию на программное обеспечение. Оно анализирует сигналы и выдает на экран цифровое изображение. Его анализирует врач-рентгенолог.
При чтении снимка специалист получает возможности для увеличения или уменьшения изображения, преобразования негатива в позитив и множество других функций.
Нормальная рентгенограмма лёгких не отличается на цифровом изображении от пленочного аналога. Тем не менее, начинающему рентгенологу нужно привыкнуть к технологии, так как рентгеновские тени на ней несколько отличаются от тех, которые формируются на пленке.
Несмотря на появление других перспективных методов диагностики (мрт, кт), рентгенография лёгких остается востребованной и перспективной методикой. Она позволяет выявить инфильтрацию легочной ткани и проследить в динамике процесс лечения пациента. Метод доступен для каждого и не является дорогостоящим в отличие от компьютерной и магнитно-резонансной томографии.
По этим причинам рентген нужен медицине, а современные технологии не смогут вытеснить его даже в далеком будущем.
Источник: https://mrt-uzi.com/rentgen-legkih/rentgenogramma-legkih-norma-i-patologiya.html
Флюорография много лет включена в программу обязательной диспансеризации. Процедура отличается технической простой и является низкозатратным профилактическим методом обследования. Однако в последние годы все чаще врачи отказываются от флюорографии в пользу рентгена. Почему? В чем особенность рентгенографического исследования? Рассмотрим вопрос подробно.
Рентгенологическое исследование грудной клетки является информативным и подробным обследованием. Оно позволяет диагностировать:
- туберкулез;
- травмы груди;
- пневмоторакс;
- пневмокониозы;
- патологии сердечной мышцы;
- тромбоэмболию (ТЭЛА);
- наличие инородных предметов;
- заболевания органов кроветворения;
- воспалительные заболевания плевры;
- паразитарные заболевания грудной клетки;
- скопление жидкости в плевральной полости;
- опухолевые и воспалительные процессы в легких, бронхах, трахее.
Принцип получения снимка с помощью рентгеновских лучей основан на разнице поглощения радиоактивных частиц тканями организма. Так, богатые кальцием кости скелета задерживают максимальное количество Х-лучей.
Вследствие этого на полученном изображении костные ткани выглядят самыми яркими. Жир, мышцы, жидкости и соединительная ткань поглощают меньше рентгеновского излучения. Поэтому на снимке они отображаются градациями серого. Воздух пропускает сквозь себя максимум рентгеновских лучей.
Из-за этого заполненные им полости смотрятся наиболее темными.
Но в чем же разница между классической флюорографией и рентгеном ? Казалось бы, принцип диагностики един и отличий быть не должно, но они есть и обусловлены различиями технологий получения изображений. Прежде всего, каждый человек, направляющийся в рентген-кабинет, должен знать, что:
- при флюорографическом обследовании небольшие размеры патологии видны только как малозаметные нити, поэтому при появлении малейших подозрений назначается рентген. Таким образом, сегодня флюорография относится скорее к профилактическим методам исследования;
- рентген позволяет получать изображение с разрешением на порядок выше, благодаря этому их можно увеличивать до огромных размеров;
- доза облучения, полученная при рентгене, меньше в несколько раз.
Традиционная флюорография признана устаревшим методом и во многих странах уже не применяется. Тогда как рентгенография – более точный метод диагностирования, позволяющий не только выявить патологические процессы на ранних стадиях, но и оперативно отслеживать их изменение. Однако цена рентгена в несколько раз выше классического флюорографического анализа.
Поводом для рентгенографии могут послужить разные симптомы. Основные из них – это боль в легких, сухой кашель, кровохарканье, общая слабость и беспричинная потеря веса.
Обратите внимание! Категорических противопоказаний для прохождения рентгена легких нет. Но направляя беременную женщину на обследование, врач должен тщательно взвесить все факторы «за» и «против».
Обязательная флюорография предусмотрена в профилактических целях для пациентов:
- обратившихся в медучреждение впервые;
- проживающих с новорожденными и беременными;
- являющихся призывниками или поступающими на воинскую службу по контракту;
- с выявленой ВИЧ-инфекцией.
Для остальных категорий населения предусмотрена профилактическая флюорография не реже 1 раза в 2 года.
Приумножение знаний о влиянии рентгеновского излучения на человеческий организм запустило процесс разработки государственных и международных стандартов, регламентирующих допустимую величину облучения.
Современные методы рентгенодиагностики подразумевают применение ничтожно малых доз радиации, абсолютно безопасных для организма человека. Однако чтобы не подвергать себя опасности, следует не превышать среднюю годовую величину облучения. Российская официальная медицина считает допустимой дозу в 1,4 мЗв в год на человека.
Для сопоставления: в США и Франции средняя эффективная годовая доза соответствует 0,4 мЗв, в Японии – 0,8 мЗв, Великобритания придерживается стандарта в 0,3 мЗв. Если проходить рентгенографию в лучших клиниках страны на цифровом оборудовании, то за 1 процедуру больше чем 0,03 мЗв вы не получите.
Стоит сказать, что современное цифровое оборудование, применяемое для рентген-диагностики, излучает дозу, сравнимую с приобретаемой в естественной среде за 10 дней. Подобная рентгенографическая система максимально снижает риск возможного неблагоприятного воздействия лучей на организм человека.
Вопрос о том, насколько часто допустимо выполнение рентгена легких, является индивидуальным. Врач решает его, оценивая общее состояние здоровья пациента и уровень достижения средней допустимой дозы облучения.
Если говорить о беременных женщинах и детях, то им гораздо реже назначают рентгенологическое обследование. Однако даже эти пациенты при необходимости его проходят.
Наличие современного, со сниженной лучевой нагрузкой, оборудования, соблюдение правил техники безопасности и грамотное обслуживание рентгенодиагностической системы, являются залогом результативного и безвредного обследования.
В отличие от рентгена, флюорография законодательно запрещена детям младше 15 лет.
Проведение рентгенографического исследования легких не требует никакой подготовки пациента к анализу. Равно как и отхода от привычного образа жизни после его выполнения.
Современный рентген-аппарат представляет собой сложное высокотехнологичное оборудование, которое позволяет заметить изменения размером менее 1 мм. С результатами обследования, предоставляемыми через несколько минут, можно обращаться в любое медицинское учреждение. Формат получаемого изображения отвечает российским и международным стандартам.
Процедура обследования на рентгеновском аппарате занимает всего несколько минут. Благодаря внедрению инновационных технологий процесс стал моментальным, информация сразу же отображается на экране.
Для выполнения рентген-анализа следует раздеться по пояс и снять все металлические украшения. Наличие заколок или пуговиц на одежде способно ухудшить качество снимка.
Если проводится обследование ребенка, специалист сам выбирает оптимальное время процедуры.
Стоит также отметить, что в настоящее время выделяют два подхода выполнения исследования – обзорную и прицельную рентгенографию. Под обзорным рентген-исследованием легких подразумевают выполнение снимков в двух проекциях: прямой и боковой. Прицельная методика состоит в фокусировке аппарата на определенном участке.
Результаты рентгенологического исследования представляются в одном из трех вариантах:
- на бумаге (допускается, если патологии не найдены);
- на специальной пленке (печатается на специальном принтере высокого разрешения);
- непосредственно в цифровом виде (имеет место только в случае проведения рентгенографии), причем не только в стандартном графическом формате, но и в форматах DICOM, или RAW, с размещением на диске специализированной программы-просмотрщика.
Принципиальным является отличие «медицинских» файлов от «классических»: специальные графические форматы позволяют хранить в файле несопоставимо больше информации, которая становится видна человеческому глазу после применения фильтров и ограничителей, предусмотренных программами-просмотрщиками.
Изучая изображение, созданное расходящимися пучками X-лучей, специалисты лучевой диагностики анализируют участки просветлений и затемнений. Начиная протокол описания рентгенограммы легких, врач-рентгенолог, прежде всего, указывает, в какой проекции был выполнен снимок.
Затем упоминается об отсутствии очаговых и инфильтративных теней. Присутствие очаговых затемнений говорит о поражении легких опухолью, туберкулезом или профессиональном заболевании (асбестоз, талькоз, силикоз). Инфильтративные тени в случае наличия сигнализируют о пневмонии, отеке либо о глистной инвазии.
Если отсутствуют нарушения кровоснабжения и циркуляции по малому и большому кругу, нет полостных и кистозных образований, не наблюдаются застойные явления, в протоколе описания содержится фраза о том, что легочный рисунок не деформирован и имеет четкую форму.
Фраза о структурности корней легких, отсутствии их расширения говорит об отсутствии дополнительных теней, способных повлиять на «ход» легочной артерии и увеличение лимфатических узлов средостения. Замеченные здесь изменения могут свидетельствовать о саркоидозе, увеличении лимфатических узлов, застое в малом круге и опухолях средостения.
Наличие тени средостения без особенностей скажет о том, что специалист не обнаружил дополнительных образований, просматривающихся из-за грудины.
Отсутствие упоминания «плюс тени» на снимке, выполненном в прямой проекции, не может служить гарантией отсутствия опухолей.
Заканчивается анализ рентген-снимка легких здорового человека сообщением о неизмененности диаграммы, свободном состоянии реберно-диафрагмальных синусов и отсутствии видимых патологий.
Основной причиной неверной расшифровки снимка легких служит динамическая нерезкость. Другими словами, пульсация крупных сосудов и дыхание влияют на четкость видимых контуров образований.
Правильная выдержка, мощное современное оборудование, верный учет расстояния между объектом и фокусом позволяют предотвратить это искажение. Для получения точной картины проводится рентгенография легких в 2 проекциях.
При наличии у пациента предварительного, требующего уточнения, диагноза выполняется прицельный снимок. Это несколько увеличивает дозу облучения, но безошибочность результата стоит этого.
Врач-рентгенолог также должен помнить, что синтетические волокна, металлические предметы и густой пучок волос (у женщин с длинными волосами) способны исказить или понизить прозрачность верхушек легочных полей.
https://youtube.com/watch?v=uuUMNSa25q8
Основные патологии, обнаруживаемые с помощью рентгенографии легких:
- крупные очаговые затемнения сигнализируют о пневмонии или опухоли бронхов;
- мелкие очаговые затемнения являются признаком очаговых форм пневмонии либо туберкулеза;
- большая круглая тень в легких свидетельствует об опухоли в легком либо о набирающем силу туберкулезном процессе;
- полость в легком – явный признак разложения тканей легкого, свойственного абсцессу, распаду опухоли либо очага туберкулеза;
- жидкость, находящаяся в плевральной полости, является признаком плеврита либо новообразования;
- уплощение диафрагмы говорит о наличии эмфиземы легких;
- частые мелкие очаги свидетельствуют о туберкулезе или саркозиде.
Также возможно нахождение большого количества мелких патологий легких и легочных тканей, способных при всестороннем анализе внести ясность в диагноз пациента.
Картина станет полной после оценки объема легких, расположения их корней, степени воздушности бронхов и прочих физиологических показателей.
Как видим, цифровая рентгенография позволяет быстро и четко провести сложнейшие исследования и поставить точный диагноз через несколько минут.
Источник: https://www.eg.ru/digest/kak-delaetsja-rentgen-legkikh.html
Рентгенография легких – доступный и информативный способ диагностики заболеваний бронхолегочной системы, точность которого достигает 80%.
Рентгеновский снимок легких позволяет выявить различные патологии на ранней стадии развития, что особенно ценно в онкологической практике.
Помимо этого, на рентгенограмме грудной клетки можно увидеть изменения легочной ткани, характерные для туберкулезного процесса. В России практикуется ежегодное профилактическое обследование всех совершеннолетних жителей страны.
Специалист изучает рентгеновский снимок органов грудной клетки
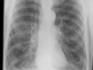
Снимки легких у здоровых и больных пациентов отображают одни и те же структуры: легочные поля с обеих сторон от позвоночного столба, в центре – тень от сердца, в верхней части снимка видны ключицы, а в нижней части – купол диафрагмы. На легочные поля проецируются тени ребер.
При рассмотрении рентгена легких здорового человека врачи оценивают состояние мягких и костных тканей, диафрагмы и реберно-диафрагмальных синусов, средостения.
В том случае, если на рентгене легких не было обнаружено никаких патологий, говорить о полном здоровье пациента нельзя, так как рентгенография способна показать не все патологические изменения:
- Небольшие очаги воспалительного характера размерами менее 2 мм в диаметре (исследование имеет свой предел разрешения).
- Незначительные участки просветления.
- Утолщения стенок бронхиального дерева толщиной менее 1 мм.
- Мелкие затемнения, сопровождающие инфильтративные изменения бронхов.
- Маленькие фокусные утолщения легочной ткани.
- Жидкость в реберно-диафрагмальном синусе в объеме менее 250 мл.
Рентгенограмма ОГК — норма
Описанием рентген-снимков занимаются квалифицированные специалисты, в процессе расшифровки они пользуются определенной схемой, согласно которой анализ изображений основывается на оценке определенных параметров:
- Положение легких в грудной клетке относительно других структур.
- Число легочных долей (в норме 5).
- Форма легких (мешковидная, похожая на конус с опущенным основанием и округлой вершиной).
- Размеры легких.
- Интенсивность легочного рисунка.
- Контуры легких.
Рентген легких здорового человека описывают по классическому стандарту. В первую очередь вносят данные о состоянии легочных полей, затем описывают корни легких, диафрагмальные купола и реберно-диафрагмальные синусы, потом оценивают состояние сердечной тени и мягких тканей.
Единый алгоритм описания рентгена легких создан для снижения вероятности случайного «пропуска» патологических изменений. Перед началом расшифровки снимков врачи обращают внимание на возраст пациента и его пол.
Это связано с тем, что у мужчин грудные мышцы обычно развиты сильнее, а у женщин имеются молочные железы, которые способны накладывать особенности на плоскостные снимки грудной клетки.
Возраст пациента важен потому, что у пожилых людей вероятность развития онкологических заболеваний выше, чем у молодых.
Пример описания нормальной рентгенограммы легких:
- В легочных полях отсутствуют видимые очаговые и инфильтративные тени.
- Корни нормальных размеров, структурны, не расширены.
- Контуры диафрагмально-реберных синусов и диафрагмы без патологий.
- Тень сердца обычной формы.
- Мягкие ткани без особенностей.
В норме на снимках купола диафрагмы расположены на уровне шестых ребер, при этом правый купол немного выше.
В центре снимка нередко можно увидеть два или три грудных позвонка, остистые отростки которых в норме лежат между ключицами на равном расстоянии от них.
Также в центре должна проецироваться тень трахеи, тень сердца в норме должна выступать справа не более чем на 1 см, а с левой стороны она не должна заходить дальше среднеключичной линии.
Рентген-снимки здоровых легких и при патологии могут различаться между собой незначительными проявлениями. Например, смещение трахеи вперед нередко свидетельствует о плеврите или пневмотораксе (попадании воздуха в плевральную полость).
Усиление легочного рисунка говорит о возможном воспалительном процессе, увеличение и смещение тени средостения – о развитии объемного процесса.
Такие и многие другие патологические изменения может заметить только квалифицированный рентгенолог, обычному человеку без специального образования сделать это сложно.
В России ежегодно проводится профилактическая флюорография, цель которой – раннее выявление туберкулеза и других патологических изменений в легких. Различные заболевания могут провоцировать появление затемнений на рентгеновских снимках.
Участки затемнения могут говорить о туберкулезе, пневмонии или злокачественных новообразованиях, но иногда темные участки обусловлены скоплением пыли в легочной ткани.
Для удобства диагностики все пятна специалистами разделяются по определенным критериям:
- Частичные – сегменты затемнения характерны для пневмоний, плевритов, ателектаза, они затрагивают лишь отдельные части легкого.
- Распространенные – на всем легочном поле заметны изменения, которые чаще возникают при полисегментарной пневмонии, отеке легкого, выпотном плеврите, генетическом недоразвитии легких.
- Ограниченные – темные очаги размерами до 1,5 см в диаметре, являются признаками опухоли или туберкулеза.
Фиброзно-кавернозный туберкулез легких
Рентгенография предоставляет возможность получить достоверную информацию о состоянии бронхолегочной системы. Правильный анализ снимков помогает диагностировать множество тяжелых заболеваний на ранней стадии развития, тем самым предотвращая грозные осложнения и нежелательные последствия.
Источник: https://diagnostinfo.ru/rentgenografiya/vnutrennie-organy/rentgen-snomok-zdorovyh-legkih.html
Поделиться:









