Рентген грудной клетки — частая диагностическая процедура, которая позволяет визуализировать патологии органов этого отдела. Проводится рентген ОГК как в обычной поликлинике, так и в диагностическом центре. Исследование является ценным для постановки диагноза и с целью контроля лечения.
Рентгеновское исследование часто путают с флюорографией, тем не менее это два разных вида обследования человека. Они имеют между собой принципиальные различия. Рентгенография считается более информативным исследованием, поэтому её используют чтобы:
- подтвердить предполагаемый диагноз;
- уточнить результаты лечения;
- отследить патологию в динамике.
Пучок рентгеновских лучей проникает сквозь орган, который исследуется, в двух проекциях, а затем переносится на ПЗС-матрицу, или плёнку (старый вариант). Исследование получает картинку с 256 оттенками белого и чёрного цвета. Более плотные структуры обозначены светлым цветом, а полые — тёмным. В результате доктор получает изображение и диагностирует норму или патологию.
Флюорографическое исследование является методикой, при которой фотографируется теневое изображение органов в одной проекции с оптического экрана или экрана рентгена на плёнку 70 или 100 мм. Чтобы получить флюорограмму применяется рентгенофлюорографический аппарат. Он состоит из рентгеновской трубки (РИД), диафрагмы, ПЗС-матрицы.
Эта методика часто применяется для диагностики туберкулёза, онкологических заболеваний и патологии бронхолёгочной системы. Плюс флюорографии в том, что она является менее вредным методом исследования, поэтому её используют при массовом обследовании населения. Рекомендовано проходить флюорографию не чаще одного раза в два года, а для некоторых категорий населения — один раз в год.
Недостатки флюорографии считаются существенными при диагностике многих патологий:
- снимок при флюорографии не отличается такой резкостью и контрастностью, как при проведении рентгена;
- уменьшены размеры грудной клетки на изображении;
- труднее различить патологии лёгких.
Поэтому врачи стараются при необходимости назначать рентген, а с целью профилактики туберкулёза — будет достаточно и флюорографии.
Флюорография и рентген — это различные методики исследования организма человека. Оба эти метода используются для подтверждения того или иного диагноза или выявления конкретной патологии. Чтобы сделать рентген применяется доза в 0,3-0,5 мЗВ, а при флюорографии — 0,03-0,05 мЗВ, что в десять раз меньше, чем при рентгене.
К проведению рентгенографического исследования грудной клетки есть чёткие показания. При подозрении на лёгочную патологию врач назначит рентген, если у больного есть жалобы на:
- кашель, продолжающийся не менее недели;
- повышенную температуру и жар;
- выделения мокроты;
- боль за грудиной;
- хрипы в лёгких;
- одышку;
- харканье кровью.
Эти признаки иллюстрируют в первую очередь лёгочные проблемы. После визуального осмотра врач поставит предварительный диагноз, но подтвердить его сможет только при помощи рентгена.
Рентгеновское исследование помогает не только ставить диагнозы, но и проводить дифференциальную диагностику, отделить одно заболевание от другого. Это чрезвычайно важно, ведь при многих лёгочных патологиях есть сходные симптомы и определиться с конкретным диагнозом бывает трудно.
Кроме заболеваний органов дыхания, рентген грудной клетки визуализирует и патологии сердца.
Рентгенография ОГК показана при появлении одышки, боли за грудиной, быстром утомлении от малейшей физической нагрузки. Эти признаки могут быть симптомами хронической сердечной недостаточности.
При помощи рентгена грудной клетки врачи определяют следующие заболевания:
- инфаркт и постинфарктные изменения в сердце;
- тромбоэмболию лёгочной артерии;
- пороки сердца как врождённые, так и приобретённые;
- хроническую сердечную недостаточность;
- кардиомиопатии;
- аневризма аорты.
Процедура проводится при заболеваниях костной системы и позвоночного столба. В первую очередь делают рентген при подозрении на травмы, а обследованию подлежат 100% пациентов, которые уже получили повреждения грудины. Снимок покажет ушибы, переломы.
Чаще всего это могут быть повреждения в районе рёбер, позвоночника и ключицы. На снимке врач видит не только сами костные отломки, но и наличие инородных тел, смещения костей по отношению друг к другу.
Если у пострадавшего возник пневмоторакс и в грудную полость попал воздух, то это тоже видно при помощи рентгеновского исследования.
Диагностика ОГК назначается часто — каждый человек хотя бы один раз в жизни делал это исследование. Направление на процедуру может выдать терапевт, травматолог, кардиолог, пульмонолог, хирург, онколог и врачи других специальностей, которые считают, что причина заболевания именно в органах грудной клетки.
Проводится процедура в специально отведённом помещении, где расположена установка. Исследование не займёт много времени. Перед проведением рентгена рентгенолаборант проинструктирует пациента, как делается рентген грудной клетки и что ему необходимо сделать. Затем пациента устанавливают в необходимом положении перед проекционным экраном.
Снимок выполняется в разных проекциях. Это делается, чтобы избежать наслоение изображений одно на другое. Иногда патологии могут быть на прямой проекции невидимыми, а на боковой проекции — отлично визуализироваться.
При проведении процедуры пациенту требуется снять одежду до пояса и украшения из металла. Во время снимка в прямой проекции рентгенолог даст команду задержать воздух в лёгких примерно на 10-15 секунд. В боковой проекции происходят те же действия, только руку пациента заводят за голову и разворачивают больного к экрану боком. Особой подготовки перед исследованием грудной клетки не требуется.
Синдром уплотнения. Очаг низкой и средней плотности. Туберкулез.
При проведении рентгенографии лёгких есть возможность делать исследование в двух проекциях. Естественно, что вред от облучения выше, чем при одном снимке. Тем не менее при помощи обзорной рентгенограммы грудной клетки в двух проекциях можно спасти человеку жизнь, ведь не все заболевания видны при прямой проекции.
Рентген ОГК в двух проекциях выполняется для диагностики:
- пневмонии;
- туберкулёза лёгких;
- раковых новообразований;
- плеврита;
- наличия абсцессов, кист;
- воздушности лёгкого;
- пневмоторакса;
- размеров сердца.
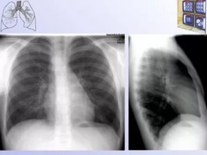
Боковая проекция
Диагностика грудной клетки в двух проекциях проводится в прямом и боковом снимке. Прямую проекцию по-иному называют переднезадней — название основано на том, как проходят рентгеновские лучи через грудную полость пациента. При обследовании бокового положения нет разницы, в правую или в левую сторону к экрану ставят пациента.
Изображение в боковой проекции является второстепенным — помогает лучше рассмотреть те органы, которые были ближе расположены к экрану. Прицельная боковая проекция чрезвычайно важна для определения объёмов пневмонии и локализации очага воспаления, а также для определения расположения новообразований в лёгких.
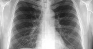
Здоровые лёгкие. Обзорный снимок грудной клетки
Расшифровку снимка проводит врач-рентгенолог. Чаще врачам приходится работать со снимками в двух проекциях.
В норме лёгкие без изменений, корни хорошо визуализируются и не имеют патологических расширений. Диафрагмальный контур и синусы не имеют патологических признаков. Сосуды дают тень привычной конфигурации.
Суставы, кости и мягкие ткани в норме не изменены.
Приведённые выше данные расшифровки характерны для пациентов до пятидесятилетнего возраста. С возрастом происходят изменения, которые по-иному отображаются на рентгеновском снимке.
Для качественной оценки результатов необходимо обращаться к врачам с опытом, поскольку описание результатов часто бывает субъективным.
В ряде случаев рентген лёгких обнаруживает очаги патологии, воспалительные очаги. Они свидетельствуют не столько о воспалении, сколько о наличии патологии. Очаги могут быть признаком:
- онкологии;
- лёгочных кист;
- туберкулёза;
- доброкачественных новообразований;
- грибкового поражения органов;
- артериовенозных мальформаций.
При обнаружении отклонений врачу нужно дифференцировать патологию и определиться, какое заболевание дало такой снимок. Например, небольшое узелковое образование может быть признаком тромбоэмболии, а более крупное — свидетельствовать о кисте или метастазе онкологии. Для подробного проведения исследования и уточнения диагноза врачи рекомендуют провести компьютерную томографию.
На снимке диафрагма отображается снизу лёгочного поля и образует купол. Высоко стоит диафрагма в центральной части, а к периферии опускается, образуя углы — синусы. В норме купол диафрагмы находится на уровне пятого-шестого ребра. При глубоком вдохе она уплощается.
https://youtube.com/watch?v=Sx3JZD2MDUE
Корни лёгких при рентгенодиагностике увидеть проблематично, поскольку перекрываются тенью средостения. На снимке видимую часть делят на верхнюю, среднюю и нижнюю части. Основную тень даёт лёгочная артерия и меньшую — вены, а контрастности изображению придают бронхи. Внешне корень лёгкого является целым сплетением сосудов и бронхов, которые и дают тень на снимке.
МРТ — самый безопасный метод исследования
Детям диагностика рекомендована исключительно по показаниям.
Если у ребёнка есть сомнительная реакция Манту, а также признаки туберкулёза, то врачи направляют пациента на рентген.
Сделать рентген ребёнку требуется и при травме грудной клетки, поскольку кости у детей хрупкие и любой удар может привести к перелому или трещине ребра, ключицы и т. д.
При помощи рентгена видны врождённые патологии органов, поэтому врачи, без сомнения, направят малыша на рентген. Многие мамы переживают о вреде исследования — это напрасно, ведь гораздо важнее диагностировать патологию своевременно и вылечить её.
Рентгенография не наносит вреда детям и беременным. Конечно, его не назначают «просто так», а только при веских причинах для обследования пациента. Детям и беременным при необходимости проведения исследования можно воспользоваться цифровым рентгеном — он позволяет получить изображение при малом облучении. Минимальная доза никоим образом не повредит пациенту.
Самый вредный метод исследования
Рентгеновский снимок — не единственное исследование грудной клетки, которое помогает получить изображение внутренних органов.
Не менее информативным является компьютерная и магнитно-резонансная томография, а иногда врачи могут поставить диагноз и после получения результатов флюорографии. В таком случае пациент даже получит гораздо меньше облучения по сравнению с классическим.
Поэтому при назначении рентгена не стоит отчаиваться — обычное исследование можно заменить цифровым, а иногда и вовсе использовать альтернативный метод диагностики.
Рентгеновский снимок ОГК — информативное исследование органов, которые иным способом увидеть нельзя. Поэтому при назначении рентгена его нужно проходить правильно, следуя рекомендациям доктора. Тогда можно получить достоверный результат и при необходимости начать своевременное лечение.
Источник: https://osnimke.ru/organy-grudnoj-kletki/rentgen-ogk.html
Рентген органов грудной области назначается пациентам чаще других видов рентгенологического исследования.
Неудивительно – ведь именно в грудном отделе расположено больше всего жизненно-важных органов человека.
Ценность этого способа диагностики не подлежит сомнению: благодаря ему врачи могут диагностировать такие заболевания, как пневмония, туберкулез, злокачественные новообразования в легких и многие другие.
Рентгенологическое исследование считается классическим методом диагностики и используется в медицине уже более 100 лет, однако до сих пор остается одним из самых информативных. Во время этой процедуры сквозь тело человека пропускается ионизирующее излучение.
За счет отличающейся плотности структур организма Х-лучи в разной степени отражаются и пропускаются. На выходе из тела пациента измененные характеристики излучения фиксируются фоточувствительным элементом (пластиной или пленкой). Это позволяет получать плоскостное черно-белое изображение анатомических структур пациента.
После врач на основании просветлений и затемнений на снимке делает вывод о состоянии внутренних органов пациента.
https://youtube.com/watch?v=MCvf-qaVIXc
Особое место в диагностике занимает рентген грудного отдела, ведь именно здесь находятся органы дыхания, диафрагма, сердце, нервы и крупные сосуды.
Рентген грудной клетки нередко путают с флюорографией и маммографией. Однако все эти три метода отличаются друг от друга и служат разным целям. Так, флюорография – это способ выявить болезни легких.
Для этого изображение органов пациента фиксируется на пленку малых размеров или, в случае использования цифрового оборудования, переводится на монитор компьютера. Доза лучевого облучения во время флюорографии несколько выше, а разрешение снимков не такое высокое, как на рентгенограмме.
Маммография же назначается врачом при подозрении на новообразования в молочных железах – и это один из самых точных способов выявить рак груди на ранней стадии.
На заметку При аналоговой рентгенографии органов грудной клетки (рентген легких) человек получает дозу облучения порядка 0,15-0,4 мЗв. В случае флюорографии этот показатель колеблется в пределах 0,15-0,25 мЗв – при использовании новых аппаратов – и 0,6–0,8 мЗв – устаревших. Рентгеноскопия области грудной клетки в течение 5 мин характеризуется дозой в 2,5-3,5 мЗв.
Большинство современных клиник уже работают на цифровом рентген-оборудовании – оно дает возможность врачу увеличить изображение органов грудной клетки пациента на мониторе компьютера и, таким образом, более точно поставить диагноз. Кроме того, в отличие от устаревшего аналогового, цифровой метод характеризуется меньшой лучевой нагрузкой на пациента.
Данное исследование может быть проведено в разных проекциях: обзорной и прицельной. Снимок в нескольких проекциях делается для того, чтобы точнее определить локализацию патологии.
Все рентген-исследования назначаются строго по показаниям. Например, в случае, если пациент жалуется на одышку, кровохарканье, боль в спине и груди, а в анамнезе есть упоминание о травме этих отделов, врач направит его на обследование грудного отдела позвоночника. Его результаты могут показать переломы ключиц, ребер, трещины в верхне-грудных позвонках или травму плевры осколками ребер.
Жалобы на тяжесть в груди, кашель, высокую температуру и потерю веса могут указывать на пневмонию и злокачественные новообразования в органах грудной области. Для того чтобы подтвердить или опровергнуть предварительный диагноз, врач, скорее всего, назначит именно рентген.
Направить пациента на данное обследование могут несколько специалистов: терапевт, травматолог или онколог. Абсолютных противопоказаний к рентгенодиагностике в медицине не существует.
Однако любой из этих специалистов знает, что рентген или даже флюорография беременным женщинам и детям до 16 лет может проводиться только в экстренных случаях. Это связано с негативным воздействием облучения на геном растущей клетки.
Однако если подозрения на патологию все-таки есть и избежать обследования нельзя, рекомендуется сделать прицельный снимок – так удастся снизить риск негативного облучения. Противопоказанием к проведению обследования также являются кровотечения, открытые раны и общее тяжелое состояние пациента.
Сосуды человека чувствительны к облучению, из-за этого может быть спровоцировано ухудшение состояния, поэтому в таких случаях рентген заменяют другим, например, ультразвуковым обследованием.
Контрастную рентгенографию не рекомендуется делать кормящим матерям, людям, страдающим сахарным диабетом и заболеваниями щитовидной железы, а также аллергикам.
В России первым человеком, испытавшим на себе воздействие икс-лучей, стала графиня Воронцова-Дашкова. В припадке ревности граф выстрелил в собственную жену из дробовика. Дробь удалось извлечь лишь частично, оставшиеся же ее части вызвали гнойное воспаление. Графиня была в тяжелом состоянии, и отчаявшийся муж, которому, кстати, в случае смерти жены грозила каторга, вспомнил, что в одном немецком журнале прочел о новом изобретении физика Рентгена – о лучах, просвечивающих человека насквозь. Друг графа, инженер Александр Попов, собрал аналогичный аппарат. Графиня была спасена. Это случилось зимой 1896 года. За несколько месяцев до этого, в ноябре 1895 года, Вильгельм Рентген впервые презентовал свое изобретение.
Рентген органов грудной клетки – абсолютно безболезненная процедура. В большинстве случаев она не требует от пациента предварительной подготовки и занимает всего несколько минут.
Исключение составляют случаи, когда пациенту необходимо сделать снимок грудного отдела позвоночника. Для того чтобы результат на таком снимке получился четким, необходимо исключить у пациента метеоризм, поэтому за три дня до процедуры врач порекомендует отказаться от употребления в пищу молока, черного и серого хлеба, свежей капусты, картофеля и фасоли, а также сделать обследование натощак.
Сама процедура проводится так: в рентгенологическом кабинете человека помещают между воспринимающим устройством и лучевой трубкой. В случае если снимок делается ребенку, маму попросят раздеть малыша до пояса.
Взрослых пациентов просят снять металлические украшения и предметы, расположенные в районе грудной клетки. На пациента надевают защитный фартук, который во время исследования закроет репродуктивные органы.
Главное условие для получения четкого изображения – не двигаться во время процедуры. Особенно важно соблюдать это предписание в случае проведения процедуры у детей – если из-за движения пациента результат на снимке получится нечетким, его придется переделать, а значить – подвергнуть ребенка дополнительному облучению, чего всем родителям по понятным причинам хотелось бы избежать.
Рентген грудного отдела помогает врачу диагностировать такие заболевания, как пневмония, туберкулез, эмфизема легких, онкологические заболевания, определить степень тяжести травмы грудной клетки и наличие инородного тела в дыхательных путях.
С помощью исследования диагностируют выпотный перикардит и тампонаду сердца – обычно для постановки таких диагнозов используется ультразвуковое исследование, но в случае, если аппарат УЗИ в больнице недоступен, а у пациента есть признаки сердечной недостаточности, рентген грудного отдела поможет выявить проблему и оказать пациенту экстренную помощь.
Это важно Если в клинике врач-стоматолог, окулист или любой другой специалист потребует у вас талон флюорографии, мотивируя это тем, что исследование в данном случае является частью вашего общего обследования, помните: требование медиков являются противоправными и вы вправе отказаться их выполнять. Внутренние ведомственные приказы больницы не имеют к вам никакого отношения, и если по показаниям делать флюорографию вам не требуется – просто напишите письменный отказ в своей лабораторной карточке.
Как правило, результаты рентгена пациент получает в день проведения исследования. Рентгенолог описывает снимок – составляет протокол – и отдает его врачу, выписавшему направление.
Для оценки результатов врач анализирует тени и затемнения, поскольку все ткани и органы человека, кроме костей, имеют разную степень прозрачности на снимке. Точность результатов исследования зависит от правильности соблюдения инструкций во время процедуры, а также проекции.
Так, например, оценивая результат снимка легких, врач учитывает такие факторы, как размер легких, их форму, структуру тканей и легочных полей, расположение средостенных органов и состояние воздушности.
Затемнения, присутствующие на снимке, укажут на очаги воспалений, а белое пятно с ровными и четкими контурами на снимке легких – на поражение легочной ткани или на изменения паренхимы с образованием абсцессов, туберкулов, каверн.
Деформированный рисунок легких и их корней поможет определить у пациента хронический бронхит, пневмосклероз или туберкулез.
Рентген-снимки области сердца позволят диагностировать перикардит – о нем свидетельствует жидкость в полости сердечной сорочки, выраженные пороки сердца, отложения кальция в стенках аорты, расширение полостей сердца.
Источник: https://www.eg.ru/digest/rentgen-organov-grudnoi-kletki.html
Возможные названия: обзорная рентгенография грудной клетки, R-графия грудной клетки, англ.: chest X-ray (CXR).
Выполняться данное исследование может как в одной проекции – прямой, так и в двух – прямой и боковой. При необходимости может дополняться прицельными рентгеновскими снимками интересующей области. Разновидностью R-OГК является флюорография.
Под рентгенографией органов грудной клетки подразумевается получение статичного снимка всех органов грудной клетки – легких, сердца, средостения, ребер при помощи рентгеновских лучей. Данный метод давно внедрен в клинику и занимает первое место по частоте использования в клинической медицине.
Появились более точные и достоверные методы обследования – компьютерная и магнитно-резонансная томография, но ввиду дешевизны и простоты выполнения рентгенография будет еще долго занимать лидирующую позицию в ряду диагностических методик.
В сложных диагностических случаях рентгенография может дополняться рентгеноскопией – получением динамического изображения органов грудной клетки на мониторе посредством рентгеновских лучей.
В плане диагностической ценности R-скопия более ценна, но широкое ее назначение ограничивается высокой дозой рентгеновского излучения, получаемого в ходе процедуры.
- туберкулезного поражения легких и другой патологии;
- симптомы поражения дыхательных путей – кашель, одышка, гнойная мокрота при отхаркивании;
- подозрение на инфекционные заболевания легких – бронхит, пневмония, туберкулез;
- диагностика переломов ребер и грудного отдела позвоночника;
- первичная диагностика онкологических заболеваний легких и средостения;
- выявление пороков сердца (на текущий момент практически не используется с этой целью, так как существует более достоверный метод – УЗИ сердца).
Относительным противопоказанием является беременность и период лактации, но при явной угрозе жизни матери, возможно проведение R-OГК с использованием средств защиты (просвинцованных фартуков).
Специальной подготовки не требуется. Снимок производится рентген-лаборантом дистанционно – пациент находится перед фиксирующим экраном в отдельной комнате под видеонаблюдением.
Пациент стоит в положении с поднятыми за голову руками, в момент съемки его просят задержать дыхание на вдохе. При необходимости выполняют снимок в боковой проекции, при этом к экрану пациент прижимается тем боком, где подозреваются патологические изменения.
Тяжелобольным пациентам возможно проведение R-OГК в положении сидя или лежа, но это снижает информативность снимков.
Состояние костной системы – в норме позвоночный столб имеет вертикальное расположение, ребра расположены симметрично по обе стороны от позвоночника, контуры их ровные, четкие. Грудина на прямой рентгенограмме практически не видна, так как сливается с позвоночником.
Легкие – в медиальной части снимка (рядом с позвоночником) определяются корни легкого – сосудисто-бронхиальная структура средней плотности, разнородной структуры. Легочные поля – проекция легких на плоскость. В норме имеют хорошую прозрачность, в них отсутствуют посторонние тени. Правое легкое чуть короче и шире, а левое – уже и длиннее.
Средостение. Представлено сердцем и отходящими от него сосудами. На рентгенограмме определяется как тень типичной конфигурации однородной структуры и высокой плотности.
Описанием рентгенограммы занимается врач-рентгенолог, прошедший специализацию по лучевой диагностике и хорошо знающий показатели нормальной рентгенологической картины органов грудной клетки и самые редко встречающиеся варианты патологии.
- Лучевая диагностика: учебное пособие. — Илясова Е. Б. 2009. — 280 с. : ил.
- http://www.medee.ru/post/view/1269 (Органы грудной клетки здорового человека, К.м.н. Р.Ф. Саламов, к.м.н. Н.А. Семенова Кафедра рентгенологии и радиологии РГМУ)
Источник: https://medoblako.ru/uslugi/rentgen-organov-grudnoy-kletki-flyuorografiya-r-ogk/
Рентгеновское исследование часто путают с флюорографией, тем не менее это два разных вида обследования человека. Они имеют между собой принципиальные различия. Рентгенография считается более информативным исследованием, поэтому её используют чтобы
Несмотря на то, что рентгеновские лучи были открыты более ста лет назад, они часто применяются в диагностике различных заболеваний.
Рентген пережил множество модификаций и перевоплощений: простой пленочный аппарат почти везде уступил место более точному цифровому, компьютерные технологии позволяют использовать рентген для виртуальных реконструкций внутренних органов и так далее.
Но суть остается прежней – рентгеновские лучи проходят через разные по плотности объекты, оставляют разные по интенсивности тени, за счет чего и получается рентгенограмма.
Для органов грудной клетки рентген является незаменимым методом исследования и на то есть несколько причин. Во-первых, благодаря простоте использования, низкой стоимости и информативности, рентген доступен в каждом медицинском учреждении.
Во-вторых, рентген – самый популярный из немногих способов получить изображение бронхов, грудного отдела позвоночника, ребер, сердца и магистральных сосудов.
Кроме рентгена существуют еще КТ и МРТ, но они менее доступны, дороже и используются при невозможности постановки диагноза по рентгеновскому снимку. Для визуализации сердца также используется эхокардиография.
У детей, в связи с анатомическими особенностями, часто случаются синуситы, которые хорошо визуализируются при проведении рентгенографии придаточных пазух носа (рентген ППН).
Исследование грудной клетки помогает увидеть инфильтративную тень, воздушные области, посторонние предметы и другие нарушения: кисту, бронхоэктаз, пневмонию, туберкулез, рак, эмфизему и пневмоторакс. Рентген является информативным для исследования увеличений лимфоузлов и изменений в позвоночнике. С его помощью можно выявить порок сердца, заболевание перикарда и сердечных мышц.
Из-за сильного облучения рентген органов грудной клетки необходимо делать только при наличии предпосылок и по назначению специалиста.
Рентген огк, что это теперь известно, а вот когда же его делают? Чаще всего этот способ диагностирования используется для выявления нарушений в мягких тканях и изменениях структуры грудной области.
С его помощью определяется застойная сердечная недостаточность, подтверждается или опровергается пневмония, рак и туберкулез. При необходимости и недостаточной информативности рентгенографии могут назначаться бронхография или один из подвидов томографии.
Все это способствует увеличенному облучению пациента.
Для того, чтобы поставленный диагноз был верным, а лечение эффективным, анализировать полученные снимки легких должен специалист, обладающий достаточным уровнем знаний в этой области.
Человек, у которого нет необходимой для этого квалификации, может запутаться в показателях на изображении и сделать ошибочные выводы.
Однако даже самим пациентам следует знать, как выглядят легкие здорового пациента, чтобы не возникало излишней тревоги.
Нормальный снимок грудной клетки у разных людей выглядит похоже, хотя и допустимы некоторые незначительные отличия.
На любом снимке, сделанном в ходе флюорографии или рентгенограммы, присутствуют такие структуры, как:
- легочные поля (расположены по бокам от позвоночника);
- изображение сердца в виде тени (ближе к центру);
- ключицы (верхний участок изображения);
- диафрагма (выглядит в виде купола, находящегося внизу);
- тени ребер (располагаются над легочными полями).
Эти структуры отражает рентген легких здорового человека и пациента, которому присущи заболевания дыхательной системы.
Чтобы оценить состояние обследуемого, врач должен учесть особенности расположения органов дыхания. Если в них отсутствуют отклонения, это не всегда говорит о том, что у пациента здоровые легкие.
После проведения рентген-диагностики необходимо выполнить полный анализ снимка. Для его проведения существует специальный алгоритм описания, за счет которого есть возможность последовательно рассмотреть все важные показатели, не пропустив патологических преобразований. В их числе следует назвать:
- расположение органов дыхания(по отношению к иным структурам);
- количество легочных долей;
- форму легких;
- размер и объем;
- легочный рисунок (его интенсивность),
- контуры органа;
- расположение тени сердца;
- структуру тканей;
- диафрагмальный купол,
- угол расположения ребер и диафрагмы.
Флюорографический снимок анализируется с учетом не только этих показателей. В первую очередь врач должен учесть возрастные особенности пациента (с возрастом норма разных показателей может отличаться), а также его пол, поскольку физиологические отличия мужчин и женщин могут создавать отличия в их снимках.
Понимая важность рентгена уточним, для чего делают рентген грудной клетки и какие заболевания диагностируют:
Обзорная рентгенография грудной клетки назначается после осмотра лечащего врача. Основные жалобы, при которых пациент направляется на рентген:
Сами по себе эти жалобы не являются прямым показанием для проведения рентгенографии ОГК. Вывод о необходимости рентгена все равно делает доктор.
Как и у многих других медицинских процедур, у рентгена также есть противопоказания и ограничения. Во-первых, с осторожностью относятся к назначению рентгена детям до 15 лет и беременным. Для проведения рентгенографии у этих групп населения должны быть серьезные основания.
Во-вторых, пациентам в тяжелом состоянии, а также при наличии кровотечения или напряженного пневмоторакса также сложно провести рентгенографию. Их состояние должно быть стабилизировано.
Источник: https://uzibook.ru/organy-grudnoj-kletki/rentgenografiya-ogk.html
Рентген грудной клетки – качественный метод диагностики, который помогает вовремя выявить пневмонию, туберкулез, рак, воспалительные изменения легочной паренхимы. Используется рентгенологическая диагностика также для определения изменений органов средостения.
Рентгенограмма получается при пропускании через объект (тело человека) ионизирующего излучения, поэтому имеет побочный эффект (радиация). Плотные ткани отражают рентгеновские лучи, а мягкие пропускают.
За счет этого снимок показывает плоскостное изображение анатомических структур, которое расшифровывается рентгенологом.
Рентгеновские лучи проходят через низкоплотные ткани и не формируют изображение на снимке. Тем не менее воздушные ткани по структуре отличаются от костей. Рентгенологи на практическом опыте научились различать структуру затемнений.
Понимая важность рентгена уточним, для чего делают рентген грудной клетки и какие заболевания диагностируют:
- пневмония (воспаление легких);
- обструктивный бронхит или бронхиальная астма;
- абсцесс легкого;
- пневмоторакс, гидроторакс;
- плевриты;
- эмфизема;
- туберкулез;
- онкологические заболевания ОГК;
- перикардит, пороки сердца, гипертрофия миокарда (рентген ОГК должен дополнять УЗИ сердца и ЭКГ);
- повреждения ребер, ключиц и грудного отдела позвоночника.
Обзорная рентгенография грудной клетки назначается после осмотра лечащего врача. Основные жалобы, при которых пациент направляется на рентген:
- одышка экспираторного (на выдохе) или смешанного характера;
- тахипноэ (учащенное дыхание);
- температура выше 37,5 градусов без выявленной причины;
- появление хрипов в легких при аускультации (выслушивании);
- кашель;
- боль в области грудной клетки;
- нарушение осанки.
Сами по себе эти жалобы не являются прямым показанием для проведения рентгенографии ОГК. Вывод о необходимости рентгена все равно делает доктор.
Как и у многих других медицинских процедур, у рентгена также есть противопоказания и ограничения. Во-первых, с осторожностью относятся к назначению рентгена детям до 15 лет и беременным. Для проведения рентгенографии у этих групп населения должны быть серьезные основания.
Во-вторых, пациентам в тяжелом состоянии, а также при наличии кровотечения или напряженного пневмоторакса также сложно провести рентгенографию. Их состояние должно быть стабилизировано.
Расшифровка полученных результатов рентгенографии выполняется квалифицированным специалистом, которому по окончании исследования доставляют полученную пленку.
Доктор изучает состояние костной и суставной тканей позвонков пояснично-крестцовой зоны, оценивает степень их деформации, определяет наличие остеофитов (патологических наростов) и дополнительных образований.
Пациент получает на руки описание снимка с заключением рентгенолога и предварительным диагнозом. Для его подтверждения и назначения необходимых лечебных мероприятий, он отправляется к лечащему врачу.
На рентгеновском снимке четко визуализированы костные структуры, однако отсутствует изображение мягких тканей и связочного аппарата
https://youtube.com/watch?v=CoiJ3G_iztY
При оценивании снимков можно обнаружить следующие отклонения от нормы:
- изогнутый позвоночный столб;
- перелом;
- смещение позвоночных дисков;
- позвоночный стеноз – сужение пространства меду спинным мозгом и позвоночным каналом;
- разрастание костной ткани;
- грыжу, протрузию или разрыв межпозвоночного диска.
Для получения более точной информации о возможных изменениях в опорно-двигательном аппарате пациенту может быть назначена компьютерная или магнитно-резонансная томография.
Рентгенография органов грудной клетки в прямой проекции – самая распространенная вариация, поскольку она позволяет обнаружить патологию в большинстве случаев. Но для уточнения диагноза используются и другие варианты.
Источник: https://medspina.ru/pozvonochnik/snimok-grudnoj-kletki.html

Рентгенография грудной клетки (цифровая, обзорная) – метод ранней диагностики болезней легких. Рентгеновские методы показали высокие результаты при выявлении туберкулеза и пневмонии на начальных стадиях патологии.
При правильном применении обследования удается не только выявить болезнь, но и динамически отслеживать тактику лечения.
Благодаря изобретению Вильяма Конрада Рентгена человечество получило возможность для скринингового массового обследования населения с помощью флюорографии. Это помогло предотвратить обширное распространение туберкулезной инфекции. Пик туберкулеза приходился на начало 20 века. Открытие рентгеновских лучей (1895 год) пришлось, как нельзя, кстати.
Обзорная рентгенография органов грудной клетки – это рентген обследование, позволяющее получить представление не только о состоянии легких, но и других структурах верхней половины туловища: сердце, костно-суставная системы, средостения, плевральная полость.
Выполняется обзорная рентгенография в прямой проекции. На снимке обязательно должны визуализировать верхушки легочных полей, реберно-диафрагмальные синусы и периферические отделы грудной полости.
Что показывает обзорный снимок легких:
- Инфильтраты на верхушках при туберкулезе;
- Пневмонические очаги;
- Затемнение и просветление при других болезнях;
- Периферический и центральный рак;
- Спадение легкого (ателектаз);
- Кисты и абсцессы;
- Наличие воздуха в плевральной полости (пневмоторакс).
С вышеописанными заболеваниями рентгенолог встречается часто, но существует и редкая патология, о которой не следует забывать. Такое положение дел наблюдается при муковисцидозе – недуге, о котором имеет представление небольшая часть врачей. Из-за редкой частоты встречаемости заболевание пропускается на рентгеновских снимках.
Рентгеновский снимок грудной клетки при бронхите. Линиями выделена деформация сосудистого рисунка
Рентгенография органов грудной клетки не показывает бронхит! Воспаление бронхиального дерева на рентгенограмме легких определяется по косвенным признакам:
- Усиление легочного рисунка;
- Сгущение и деформация корней;
- Повышение прозрачности легочных полей;
- Пневмосклероз в нижних отделах;
- Высокое расположение куполов диафрагмы.
Даже при наличии всех вышеописанных симптомов при бронхите одной только рентгенограммы недостаточно. Рентгеновские лучи легко проходят через бронхи, поэтому на снимках бронхиальное дерево не прослеживается.
Только после контрастирования (бронхография) их можно увидеть. Такое исследование сложно в исполнении и неприятно для пациента. Бронхография применяется при бронхоэктатической болезни с целью выявления поврежденных бронхов.
Выполняет его только опытный рентгенолог, так как для проведения процедуры нужна высокая квалификация.
Цифровая рентгенография органов грудной клетки относится к перспективным направлениям рентгенологии. Ее внедрение позволило снизить лучевую нагрузку на человека и повысить качество рентгеновских изображений.
Цифровая рентгенография помогает качественно анализировать фото с помощью программных приложений. Использование софта позволяет увеличить изображение, повысить резкость или четкость картинки.
Грудная полость человека состоит из множества анатомических структур, которые сложно дифференцировать Цифровая рентгеновская установка позволяет получить графику, которая позволит визуализировать каждую отдельную структуру.
Рентгенография легких при пневмонии требует выполнения исследований в двух проекциях – прямой и боковой. Такой спектр обследований минимален. При необходимости рентгенологи назначаются дополнительные исследования – компьютерная и магнитно-резонансная томография.
Цифровые технологии иногда используются вместо флюорографии, когда других условий для проведения «флюшки» медицинское заведение не имеет.
Рентгеновское обследование легких некоторым пациентам назначается 3-4 раза в месяц. Большая простота процедуры вызывает опасения у пациентов. Они боятся облучения и имеют на это законное право.
Сколько можно делать рентген? Сколько нужно врачу-рентгенологу. Специалисты оценивают вред и пользу облучения и выбирают оптимальный вариант. Рентген легких многократно проводит при лечении пневмонии для оценки динамики лечения.
При туберкулезе рентгеновские снимки выполняются с определенной периодичностью (обычно раз в квартал) на протяжении многих лет.
Пневмонияпневмония, боковая проекция
На представленной рентгенограмме органов грудной полости (прямая и правая боковая проекция) визуализируется округлое интенсивное образование нижней доли правого легкого. На боковом снимке отмечается инфильтрат области S8-9. Корни тяжисты за счет сосудов. Правый реберно-диафрагмальный синус завуалирован. Сердечная тень расширена влево.
При обследовании: выслушиваются хрипы в нижней доле правого легкого. Лицо гиперемировано, дыхание учащено, поверхностное.
Источник: https://mrt-uzi.com/rentgen-grudnoy-kletki/rentgenografiya-grudnoy-kletki.html
Поделиться:









