С помощью снимка лёгких, полученного в результате флюорографии, врачи могут своевременно выявить опасные заболевания дыхательной системы. Это самый популярный вид скрининга, который требует от обследуемого человека минимум подготовки. Флюорография проводится быстро, она стоит относительно недорого и позволяет обследовать большие группы людей.
Наибольшую популярность у специалистов флюорография получила для мониторинга эффективности лечения больных туберкулёзом и проведения профилактических осмотров населения на предмет своевременного выявления у человека этого опасного заболевания.
Используется такая методика не только в рамках обследования конкретного пациента, жалующегося на недомогание, но также как эффективный способ профилактики в ходе прохождения профосмотров.
Есть большое количество должностей, при устройстве на которые нужно представить медицинскую справку о состоянии здоровья.
Флюорографическое обследование является обязательным для всех профессий, представителям которых приходится массово общаться с людьми в силу своих рабочих обязанностей.
Флюорографию проводят не только в трудовых коллективах с целью профилактики туберкулёза, но и в общеобразовательных учреждениях среди детей, достигших возраста 15 лет и старше.
Если исследование проводится на цифровом оборудовании, картинка тоже проецируется в уменьшенном размере, но уже на монитор рабочей станции.
Изображение отражается от флуоресцирующего экрана после попадания на него пучка рентгеновских лучей, пропущенного через оцениваемые ткани (область грудины).
В контексте распространённости процедуры важно знать, должна ли проводиться предварительная подготовка к флюорографии, что можно делать, а что категорически запрещается.
Существует предубеждение в отношении такой медицинской методики, поскольку на бытовом уровне распространено мнение о том, что часто проходить обследование, в котором используется ионизирующее излучение, вредно. Статья избавит от заблуждений. В ней описано, почему настолько важен регулярный флюорографический скрининг на туберкулез, кому он показано, а кому нет, нужно ли предварительно к нему подготавливаться.
Благодаря максимальной безопасности методики, практически всем взрослым людям и детям с определённого возраста можно проходить флюорографию, а подготовка к процедуре не занимает много времени.
Особая подготовка перед таким скринингом не нужна. Пациент, направленный на обследование в рамках массовой диспансеризации или для прохождения профосмотра при устройстве на работу, должен только знать, если ли у него абсолютные и относительные противопоказания к такой процедуре.
Благодаря простоте проведения и максимальной безопасности этой аппаратной диагностики удаётся получить точное изображение бронхо-лёгочной системы и своевременно выявить начальные очаги туберкулёза – ещё до момента появления характерных симптомов заболевания.
Кроме туберкулёза, рентгеновский скрининг позволяет выявлять и другие заболевания лёгочной системы, сосудов и сердца:
- пневмонию;
- онкологию;
- воспаление бронхов и лёгких;
- патологию сосудов;
- сердечные заболевания.
Пучок рентгеновских лучей, направленный на грудную клетку, за считаные секунды позволяет получить точное изображение органов, располагающихся за грудиной. Врач изучает чёткое изображение, на основе которого ставит точный диагноз.
https://youtube.com/watch?v=b00mkc3BfTQ
Рентгеновский снимок получается чётким, а сам человек не страдает от воздействия рентгеновских лучей, так как просвечивание проводится на специальном оборудовании, которое сокращает время воздействия гамма-излучения на объект исследования, делая процедуру совершенно безопасной для взрослого человека.
На качество и точность снимка не влияют никакие внешние факторы. Не придётся отказываться от пищи, прерывать назначенный врачом курс лечения, а также привычный распорядок жизни. Пульмонологи, кардиологи и онкологи ценят флюорографию за то, что она подходит для всех пациентов и имеет только относительные противопоказания.
Подготовки для этой процедуры не требуется. Врач направляет пациента для прохождения обследования, если есть для этого основания, или наступило время ежегодного осмотра.
Перед тем как зайти в кабинку, потребуется снять с себя металлические украшения, так как они на снимке будут затенять:
- лёгкие;
- сердце;
- сосуды;
- молочную железу.
Принцип получения картинки при исследовании заключается в характере прохождения рентгеновских лучей через ткани с разной плотностью.
В момент включения оборудования излучатель генерирует пучок излучения, он проходит в заданном направлении: беспрепятственно сквозь полости, частично – через мягкие ткани, полностью поглощается костями.
На «выходе» интенсивность излучения фиксируется на плёнке или электронной матрице. Отклонения от нормы выражаются в нетипичных оттенках на флюорограмме.
Тени, обусловленные попаданием постороннего предмета в проекцию лёгких при выполнении флюорографического снимка, исказят анатомическую картину и помешают интерпретации результатов.
Чтобы получить чёткий снимок флюорографии, не нужно выполнять сложных действий и проводить предварительную подготовку. Нужно лишь убрать из поля исследования посторонние предметы. Мужчины и женщины раздеваются до пояса. Перед флюорографией нужно снять:
- верхнюю одежду;
- украшения с шеи, независимо от того, из какого материала они сделаны;
- платки;
- бюстгальтер – даже если он без «косточек» или бесшовный;
- поднять распущенные длинные волосы и закрепить их на макушке.
После этого можно войти в кабину и выполнить все распоряжения врача. Проводят флюорографию только в вертикальном положении. Специалист потребует развернуть грудную клетку и прижать её к экрану, затем попросит глубоко вдохнуть и задержать дыхание.
На вдохе лёгкие максимально раскрываются, и в это время делается рентгеновский снимок. Во время просвечивания дышать нельзя, так как границы лёгких при этом будут смещаться. Снимок получится нечётким, размазанным, и по нему нельзя будет поставить диагноз. Задержка дыхания длится не более нескольких секунд.
Такого времени достаточно для скрининга органов дыхания.
Если контрольный снимок лёгких давно не делался, следует сделать флюорографию в поликлинике по месту жительства. Такое обследование проводится бесплатно для всех россиян. После нужно будет получить флюорограмму, расшифровку и записаться к терапевту или пульмонологу, которые внимательно изучат результаты диагностики.
Хотя для выполнения флюорографического исследования нет строгих противопоказаний, следует помнить о том, что такую диагностику нельзя проводить беременным женщинам. Она особенно нежелательна в первом триместре, так как может навредить развитию плода.
Флюорографию также не проводят детям в возрасте до 15 лет. Делать снимок малышам ещё и не имеет смысла, так как рентгенолог не сможет поставить точный диагноз из-за того, что главный орган дыхания у них не достиг размера взрослых, и на маленьком снимке его сложно будет рассмотреть. Если всё же исследование было проведено, снимки должен расшифровать узкий специалист – рентгенолог-педиатр.
Перечисленные противопоказания относятся к абсолютным. Существуют и относительные запреты на проведение исследования. Это общее недомогание и одышка.
Как только состояние пациента стабилизируется, ограничение для диагностики снимается.
Перед проведением такой диагностики нужно принять ванну или душ. В назначенный день, в указанное время надо прийти в кабинет рентген-диагностики, раздеться до пояса, войти в кабинку и выполнить все распоряжения врача.
Существует ряд диагностических процедур, накануне которых рекомендуется ограничить употребление продуктов, стимулирующих интенсивное газообразование в пищеварительном тракте. Флюорография к их числу не относится.
https://youtube.com/watch?v=uuUMNSa25q8
Питание перед флюорографией не ограничено. Есть накануне можно всё. Система пищеварения не влияет на результат рентгеновского исследования.
Проблемы с пищеварением также не считаются препятствием. Некоторые виды исследований могут быть отменены, если у пациента наблюдается выраженный метеоризм, поскольку присутствие избыточного количества газов в органах желудочно-кишечного тракта может исказить картину.
В таких случаях даже рекомендуют принять сорбенты, промыть желудок, сделать очистительную клизму. В проекции лёгких находится только пищевод, а перечисленные патологические состояния возникают ниже – в желудке, тонкой кишке и далее.
Поэтому, даже если у больного есть жалобы, связанные с пищеварительной системой, на информативности флюорограммы это не скажется.
Питьё перед посещением рентгенолога разрешается в неограниченном объёме. Можно пить любые напитки, в том числе и алкогольные, но в умеренном количестве. Вода и другая жидкость не влияют на результат такой диагностики.
Курение тоже не влияет на результаты рентгеновского обследования. Несмотря на распространённые страшилки в среде курящих тайком подростков, флюорография не способна идентифицировать факт пристрастия к этой вредной привычке.
У любителей затянуться сигареткой со стажем в органах дыхания происходят характерные изменения – уплотняются ткани, трансформируются стенки альвеол, появляются бронхоэктазии. Со временем увеличивается риск развития онкологических заболеваний.
Но всё это долгий процесс, и от одной или нескольких сигарет, выкуренных перед входом в поликлинику, анатомическая картина на рентгенограмме не изменится.
Хотя алкоголь не оказывает влияние на результат флюорографии, перед диагностикой лучше не принимать спиртное, так как врач может на законных основаниях отказать в проведении обследования из-за того, что гражданин появился в нетрезвом виде в общественном месте. Это карается штрафом согласно Административному кодексу.
Перед обследованием можно принимать любые препараты, назначенные врачом. Флюорография не требует отмены текущей медикаментозной терапии, так как лекарственные средства не нарушают общую картину состояния лёгких.
Первичная диагностика туберкулёза с помощью флюорографического обследования может применяться при любых курсах лечения, если пациент не находится в лежачем состоянии.
Занятия спортом накануне флюорографии не противопоказаны. Чем шире будут раскрыты лёгкие, тем более точным получится рентгеновский снимок. На качестве лёгочной ткани физические нагрузки не отражаются.
Профессионалы и любители спорта должны регулярно проходить такое обследование, не беспокоясь о том, что диагностика сломает тренировочный режим и заставит отказаться от спортивных занятий.
Источник: https://iDiagnost.ru/issledovaniya/fluorografiya/kak-podgotovitsya-k-prohozhdeniyu-flyuorografii
Админ · 06/08
Флюорография – метод диагностического исследования, применяемый для выявления заболеваний бронхо-легочной системы. Большинство курильщиков интересует, исказится ли достоверность данных, если перед процедурой выкурить сигарету.
Если человек недавно познакомился с сигаретой, то выраженных изменений не будет. Однако злостного курильщика с большим стажем специалист сразу выявит по снимку.
Изображение здоровых легких выглядит светло-серым, органы имеют четкие границы. Флюорография курящего человека характеризуется появлением “сетки” из альвеол. Чрезмерная выраженность сосудов может свидетельствовать о наличии воспалительного процесса, бронхита, пневмонии. Воспаления в дыхательной системе типичны для людей с никотиновой зависимостью.
Курение оказывает влияние не только на сосуды, но и на ткани органов. Это проявляется в следующем:
- Усиленная работа сердечной мышцы, обусловленная дыхательной недостаточностью, приводит к гипертрофии сердечной мышцы. Поэтому на флюорографии отражается увеличением объема сердца.
- Поврежденные участки легких, которые не могут реализовывать свою основную функцию – газообмена, будут затемнены.
- Нарушается лимфодренаж, поэтому границы корней легких становятся размытыми. Также может меняться форма корней, приводя к появлению теней.
- Потеря четкости изображения свидетельствует о фиброзе – замене легочной ткани соединительной. Такое часто наблюдается после перенесенных легочных инфекций.
Изменения видны даже у начинающих курильщиков, разница только в степени их выраженности.
Ткань легких можно сравнить с губкой. Табачный дым, смолы, частички сгоревшей бумаги и клея – все богатое содержимое сигареты оседает на них, разрушая здоровье. Эти вещества проникают глубоко, и извлечь их невозможно.
В норме за очищение легочной ткани отвечают специальные реснички, которые двигаясь, изгоняют попадающие загрязнения. Однако легкие курильщика, подверженные множественным воспалительным процессам, не в состоянии справиться с этой задачей.
Реснички постепенно становятся тоньше и теряют способность очищать орган от грязи.
Иногда люди интересуются, как обмануть флюорографию. К сожалению или к счастью сделать этого нельзя. Также под сомнением оказывается и то, может ли флюорография показать, что человек курит.
Изменения в бронхо-легочной системе не являются прямым указанием на то, что человек пристрастился к сигарете.
Да, будут наблюдаться характерные изменения, однако флюорограмма только отображает состояние организма пациента, а не указывает на причину их возникновения.
Перечисленные изменения могут наблюдаться и у некурящих людей. Они могут быть связаны с вредными условиями производства или развивающимися патологиями.
На рентгене легких курильщика можно обнаружить следующие изменения:
- уплотнение;
- опухолевидные образования;
- скопления жидкости;
- утолщение стенок.
Обнаружение дополнительных теней может свидетельствовать о развитии:
- бронхита (не только хронической формы, характерной для курильщиков, но и пылевой);
- грыжи диафрагмы;
- бронхиальной астмы;
- туберкулеза;
- бронхоэктатической болезни.
Сигарета, выкуренная непосредственно перед рентгенографией, не даст никаких искажений на снимке – все патологические процессы в организме курильщика стойкие и какого-либо резкого улучшения или ухудшения общей картины добиться не удастся.
На достоверности заключения это не скажется – если очень хочется покурить, то сделать это можно.
Будут изменения и в организме пассивного курильщика. Ведь он вдыхает все те же вредные вещества. При постоянном нахождении в прокуренном помещении и системном проникновении табачного дыма в легкие, они будут реагировать теми же признаками.
Избавиться от загрязнений, попадавших в легкие на протяжении многих лет, не получится. Можно попробовать немного улучшить результаты обследования.
Крайне желательно после использования перечисленных методов отказаться от привычки.
Конечно, сколь либо значимого эффекта получить за несколько дней не удастся, но постепенно состояние органа будет улучшаться при условии отсутствия негативного воздействия.
- Ингаляции с использованием фармакологических препаратов. Прямое воздействие на легочный эпителий средствами, предназначенными для устранения симптоматики одышки и кашля, позволят простимулировать выведение части загрязнений.
- Занятия дайвингом, йогой, аэробикой. Любое из этих направлений будет способствовать увеличению объема легких.
- Кардиостимулирующие тренировки и дыхательные упражнения. Улучшают состояние тканей легких, стимулируют кровоснабжение и выведение из дыхательной системы накопленных смол. Начинать следует с нагрузок невысокой интенсивности, однако постепенно их наращивают.
- Регулярное посещение сауны. Через кожу выводится множество токсинов и шлаков – это самый большой по площади орган. Выведение токсинов через поры и потовые железы будет способствовать скорейшему очищению.
- Прогулки на свежем воздухе. Особенно рекомендовано гулять в парках и лесах с хвойными деревьями. Вдыхание фитонцидов увеличит концентрацию кислорода в крови и улучшит тонус легких. Помимо этого будет постепенно восстанавливаться угнетенный реснитчатый эпителий.
Источник: https://brosaem.online/kak-projti-fljuorografiju-esli-kurish/
Где и как сделать флюру без направления?
Можно ли пройти флюорографию в городской больнице без направления терапевта?
Я сегодня сделала флюорографию в поликлинике к которой прикреплена. Там живая очередь, без предварительной записи. Требуется только иметь при себе паспорт и полис ОМС. Никто вообще не интересуется для чего вам это нужно, направления от терапевта тоже не требуется. На следующий день нужно прийти во второй половине дня за результатом с паспортом. Вот и всё.
Наверное, в каждой поликлинике свои правила. Но для флюорографии вообще направления от терапевта не требуется. Мало того, если не делаешь её больше года, участковый терапевт во время приёмов напоминает, что пора бы уже.
Из документов нужны только паспорт и полис ОМС, причём предоставлять их можно уже в рентген кабинете, а не в регистратуре. За результатом идти не обязательно: они сами отсылают куда нужно.
А если Вам нужен результат на руки (например для медицинской книжки или справки), то получаешь их там же на следующий день.
Если человек делал флюорографию органов грудной клетки больше года назад — направление не потребуется.
По месту регистрации вам, с полисом ОМС и паспортом на руках, предоставят возможность пройти флюорографию без направления и дополнительной платы.
Приходите в поликлинику вашу подходите кабинет где записывают на флюрографию и где ее выдают, говорите что хотите пройти флюрографическое обследование даете им паспорт они ищут вашу картотеку смотрят когда вы проходили если год назад или месяцев 11 назад то можно пройти снова они вас регистрируют и вы идете проходите флюрографию через два-три дня приходите забираете результат вот и все
Флюорография зарекомендовала себя как качественная диагностика туберкулеза легких и пневмонии. Раннее выявление опасных заболеваний позволяет применять современные методики лечения, и вопрос о том, как пройти флюорографию без направления и лишней траты нервов, становится актуальным все больше.
Требование ежегодно проходить флюорографическое исследование обосновано статистикой. Рост случаев онкозаболеваний и туберкулеза побудил практикующих докторов и государственных чиновников обратить внимание на целесообразность прохождения простой процедуры без направления профильного специалиста.
Если человек делал флюорографию органов грудной клетки больше года назад — направление не потребуется.
По месту регистрации вам, с полисом ОМС и паспортом на руках, предоставят возможность пройти флюорографию без направления и дополнительной платы.
Если год еще не прошел, но вас беспокоит состояние ваших легких, то для того, чтобы пройти обследование, потребуется предварительный визит к специалисту. Терапевт, пульмонолог, фтизиатр или врач любого другого специального профиля обследует вас и выдаст направление на флюорографию, если в нем будет необходимость.
По рекомендации Всемирной организации здравоохранения, взрослым следует проходить процедуру флюорографии с периодичностью один раз в два года. Делать исследование чаще (ежегодно) показано, если:
- вы больны хроническими заболеваниями органов дыхания, желудочно-кишечного тракта, мочеполовой системы;
- у вас сахарный диабет или если вы получаете кортикостероидную или лучевую терапию;
- вы — представитель специфических профессий (повара заведений общепита, продавцы продтоваров, сотрудники школ и дошкольных заведений).
Вовремя пройти флюорографию в интересах каждого здорового человека.
Сделать это можно как в районной поликлинике (без направления, либо с предписанием доктора), но при наличии паспорта и страхового полиса, так и в современном медучреждении (без направления и только с документом, удостоверяющим личность). Пройти платное обследование можно с максимальным для себя комфортом, без лишних нервов и долгих очередей к терапевту за направлением.
Современная цифровая флюорография несет меньше опасностей для здоровья человека в сравнении с традиционной пленочной или обычным рентгеном. Тем не менее беременным (или если есть только предположение на беременность) и детям (до 15 лет и с ростом меньше 145 см) следует быть осторожными и обсудить методы диагностики с врачом.
Флюорография выявляет заболевание до момента его внешнего проявления. Незамедлительно пройти процедуру без особого направления доктора необходимо, если есть:
- жалобы на одышку, вялость;
- кашель, который длится более 14 дней.
Не ждите направления специалиста, а ответственно относитесь к собственному здоровью и таким обыденным вопросам, как пройти флюорографию для профилактики.
Флюорография – это способ диагностики, при котором изображение органа получают в отраженном виде при помощи светящегося (флюоресцирующего) экрана.
Этот метод широко применяется для скринингового выявления болезней легких, в частности, туберкулеза.
Несмотря на то, что ФЛГ основана на применении рентгеновских лучей, РГ и ФЛГ-методы принципиально отличаются, в том числе и по конструкции аппарата. Поэтому рентген легких и флюорография — не одно и то же.
Вот так бывает! Елена в 30 лет справилась с недугом. Как она вылечила туберкулез легких после того, как врачи не помогли?
Флюорография — это способ диагностики, при котором изображение органа получают в отраженном виде при помощи светящегося (флюоресцирующего) экрана.
Этот метод широко применяется для скринингового выявления болезней легких, в частности, туберкулеза.
Несмотря на то, что ФЛГ основана на применении рентгеновских лучей, РГ и ФЛГ-методы принципиально отличаются, в том числе и по конструкции аппарата. Поэтому рентген легких и флюорография — не одно и то же.
Такое исследование можно проходить с пятнадцатилетнего возраста. Это обусловлено несколькими причинами:
- лучевая нагрузка (которая равнозначна при рентген-исследовании и флюорографии), во избежание вредного воздействия рентген-излучения детям по возможности вместо этих процедур назначают УЗ-исследование;
- неинформативность флюорографии у детей: детский организм значительно меньше взрослого, а при флюорографическом обследовании изображение получается еще и уменьшенным в 10—15 раз, кроме того, для расшифровки детских снимков потребуется педиатр-рентгенолог.
Фото 1. Флюорографическое обследование не проводится детям без медицинской необходимости.
Флюорографическое исследование легких требуется во многих случаях: при поступлении на работу, при госпитализации. Достаточно проходить ФЛГ раз в год, если нет специальных показаний (например, лица, по работе или по другим причинам, контактирующие с больными туберкулезом, должны обследоваться каждые полгода).
Это то, что поможет! Елена в 30 лет победила болезнь. Перепробовала кучу медикаментов, но их применение прошло для организма бесследно. Так что же ей помогло?
Сдавать флюорографию бывает нужно в самых разных случаях — например, при устройстве на работу, появлении ребенка в семье или прохождении обследования перед медицинским вмешательством. Неудивительно, что часто встает вопрос, где и когда это можно сделать, а также какие документы для этого нужны.
Прохождение флюорографии регламентируется федеральным законодательством о предотвращении распространения туберкулеза в России (№ 77-ФЗ, действует редакция от 23.05.16).
В соответствии с ним каждый человек, зарегистрированный на российской территории и имеющий ОМС-полис, может пройти это исследование бесплатно и без всяких направлений.
В тех случаях, когда гражданин не может или не хочет воспользоваться услугами бесплатной медицины, он имеет право обратиться за услугой в платную клинику. Особенно это удобно тем людям, кто предпочитает обследоваться в выходные дни. Кроме коммерческих больниц оказывать услуги на основе платности могут и государственные организации.
Чтобы заниматься такой деятельностью, медицинская организация, независимо от формы собственности, обязана иметь лицензию на ее проведение. Лицензия выдается на основании санэпидзаключения, получаемого в местном Управлении Роспотребнадзора, так что в процессе обретения необходимых документов организация будет тщательно проверена.
Важно! И госорганизации, и частные заведения занимаются оказанием платных услуг с обязательным соблюдением требований Постановления российского Правительства от 04.10.12. Перечень осуществляемых услуг должен быть отражен в лицензии. Лицензия — обязательный документ, для организации, занимающейся меддеятельностью.
Любой гражданин вправе обратиться в поликлинику, к которой он прикреплен, для осуществления ФЛГ-диагностики раз в год при наличии паспорта.
Внимание! Несмотря на то, что по закону предъявлять полис ОМС не требуется, лучше иметь его при себе (для уточнения данных).
Так происходит в случаях, когда человек отправляется на исследование по собственной инициативе либо для получения необходимой справки, например, для работы.
Скутеры и мопеды до 50 кубиков
Рекомендуем к прочтению: Знак главная дорога и направление главной дороги
Фото 2. Все, что нужно для профилактического обследования — это паспорт и полис ОМС.
Но если пациент направлен на такое обследование врачом для уточнения или постановки диагноза, то документов придется взять больше:
- врачебное направление с указанием предположительного диагноза;
- медкарту с записью лечащего специалиста.
Флюорографический снимок получается путем фиксации на специальную пленку отраженного от светящегося экрана изображения (тени) органа, в частности, легких. Тень эта возникает оттого, что сквозь тело пациента пропускают рентгеновские лучи из трубки флюорографа. С флюоресцирующего экрана изображение на пленку переходит в сильно уменьшенном виде.
В настоящее время пленочная технология все больше замещается цифровой, то есть изображение фиксируется не на пленке, а на экране компьютера, теперь можно передать снимок по электронной почте или, например, хранить его в базе данных медорганизации.
Фото 3. Современная флюорография стала цифровой, ее результаты врач-рентгенолог сразу видит на экране монитора.
Источник: https://vdp6.ru/flyuorografiya/kak-sdelat-flyuorografiyu-v-poliklinike-bez-napravleniya-vracha.html
Флюорография — востребованный и в то же время простой метод диагностики патологии лёгких, являющийся одной из вариаций рентгенологического исследования. Подготовка к флюорографии минимальна, важно не исказить результат соблюдением простейших рекомендаций.
Флюорограф цифровой сканирующий (самый безопасный и современный метод диагностики)
Единственное, что может повлиять на результаты обследования — присутствие в области датчика флюорографа посторонних предметов. Поэтому перед флюорографией уделите внимание следующим нюансам:
- Уберите украшения на шее — неважно из какого материала сделаны, их требуется снять. По этой причине во время проведения исследования могут попросить взять цепочку с крестиком или кулоном в рот.
- Снимите бюстгальтер — даже если в этом предмете нижнего белья отсутствуют косточки или украшения.
- Волосы — чтобы не исказить картину исследования, рекомендуется также заколоть в пучок длинные волосы, если они ниспадают на грудь.
Рентген здоровых легких
Важно! Проходить обследование необходимо на цифровом или цифровом сканирующем рентген аппарате, доза лучевой нагрузки составит — 0,02-0,05 мЗВ. В плёночном варианте аппарата — 0,1-0,3 мЗВ, что крайне вредно. Для сравнения, естественный фон г. Москвы равен — 0,02 мЗВ. Информацию об оборудовании узнавайте у рентгенолаборанта.
Посторонние предметы в области просвечивания лёгких флюорографом, создают посторонние фрагменты или тени на снимке. Это не только приводит к тому, что специалист может пропустить патологию, но также может стать причиной ошибочной постановки диагноза.
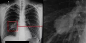
Туберкулёз
Принцип диагностики посредством флюорографии подразумевает прохождение сквозь ткани грудной клетки рентгеновских лучей. Преодолевание последними плотных тканей фиксируется на ПЗС-матрице, затемнение свидетельствует о патологии.
Расшифровкой рентгенофотографии занимается рентгенолог. При этом учитывается характер затемнения в лёгочной ткани, выделить можно следующие показатели:
- Сегментарные пятна — затемнение в форме треугольника, обрамленное светлым контуром. Единичное проявление говорит о травмировании лёгочной ткани, присутствии в области органа инородного предмета или эндобронхиальной опухоли. Если треугольников 2 и более, это может быть пневмония, онкология, жидкость в плевральной области, туберкулёз или распространение метастазов.
- Долевое пятно, очерченное чётким контуром — лёгочное заболевание, например, гнойное воспаление, бронхоэктазия и прочие.
- Очаговое затемнение или пятно размером до 10 миллиметров указывает на патологии сердца и сосудов, онкологическое новообразование. Очаговое пятно характерно для инфаркта миокарда, но для уточнения диагноза требуется проведение МРТ.
- Сфокусированные пятна на поверхности органа свидетельствуют о разных типах воспаления лёгких, развитии бронхиальной астмы, гнойных воспалениях в лёгких, глистных инвазиях или скоплении плеврального выпота.
Трактовка происходит по-разному, поэтому расшифровкой должен заниматься опытный рентгенолог. Важно знать, что здоровые лёгкие на снимки имеют равномерный цвет, а сердце и бронхи выглядят светлыми.
Основным аргументом в пользу нежелательности проведения флюорографии ребёнку, не достигшему 15 лет, являются анатомо-физиологические особенности детского организма. Аппарат для проведения ФЛГ, проецируя изображение лёгких на плёнку, уменьшает его. Поэтому снимок лёгких ребёнка прочитать будет сложнее, чем у взрослого, что снижает информативность и актуальность диагностики.
Если нет серьёзных оснований для проведения флюорографии, врачи не рекомендуют проводить её детям ещё по ряду причин:
- Повышенная восприимчивость к ионизирующему облучению, что грозит соматическими нарушениями.
- Из-за повышенной чувствительности тканей молодого организма к облучению, повышается риск развития онкологических новообразований.
Люди, которые готовятся к рентгену грудной клетки посредством проведения флюорографии, но давно не проходили эту процедуру, часто задаются вопросом о том, что можно и нельзя делать накануне. Многие ошибочно считают, что нельзя:
- есть перед исследованием;
- подвергать себя физическим нагрузкам;
- курить;
- употреблять алкоголь;
- принимать лекарственные препараты.
Рак
Некоторые из этих ограничений касаются забора крови, мочи и другого биоматериала, но не относятся к обследованию лёгких, специальной подготовки к флюорографии не существует.
Отрицательное влияние на лёгочную ткань оказывают только болезни лёгких или воздействие длительных неблагоприятных факторов. Выкуренная сигарета перед диагностикой никак не изменит результатов, если человек курит 10 лет и наоборот.
Флюорографию показано проходить минимум раз в год лицам старше 18 лет. Это требуется для снижения вероятности заболеваемости среди населения и ведения учёта больных. Такой метод обследования подходит практически каждому человеку, исключением являются лишь 2 случая:
- лица, не достигшие 15 лет;
- беременные женщины, особенно на первом триместре.
Упомянутые противопоказания объясняются неблагоприятным воздействием рентгеновского излучения на молодой организм (ребёнка или плода). Однако и тут есть исключения, ведь при подозрении на заболевание лёгких, врач может выписать направление даже женщине в период беременности и грудного вскармливания.
Проведение флюорографии — распространённый, а также безопасный и информативный метод контроля и выявления заболевания лёгких. Проведение исследования не требует серьёзной подготовки. Но несмотря на безопасность, стоит помнить о противопоказаниях и не нарушать их без острой необходимости или рекомендаций врача.
https://youtu.be/3AUznb9wlxc
Источник: https://osnimke.ru/interesnoe-o-rentgene/flyuorografiya-podgotovka.html
Флюорография – метод диагностического исследования, применяемый для выявления заболеваний бронхо-легочной системы. Большинство курильщиков интересует, исказится ли достоверность данных, если перед процедурой выкурить сигарету.
При отказе от табакокурения следует обратить внимание на рацион. Есть продукты, которые позволят вывести токсины быстрее и улучшить состояние дыхательной системы.
Рекомендуется включать в рацион:
- Ананасы. Содержащийся в них бромелин способствует очищению легких, а также благотворно сказывается на состоянии нервной системы.
- Чеснок. Содержит аллицин, растворяющий скопившуюся слизь и выводящий ее наружу.
- Яблоки. Благодаря насыщенности большим количеством витаминов укрепляет иммунную систему и закрепляет эффекты, полученные от других методов очищения.
- Вода. Потребление большого количества жидкости способствует выведению из организма токсинов.
- Зеленый чай. Содержащийся в нем катехин снижает вероятность развития онкологических заболеваний, а также очищает организм от шлаков.
Из медикаментозных препаратов могут использоваться лекарственные средства муколитического и отхаркивающего действия. Это Амброксол, Мукалтин, Геделикс.
Как можно диагностировать курение? Об этом смотрите видео:
Курильщикам следует проверять состояние здоровья при помощи флюорограммы каждый год. Она отражает степень имеющихся отклонений от нормы и может сообщить о развивающемся серьезном заболевании.
Лечащий врач обязательно поинтересуется, глядя на снимок, курите ли Вы. В таких случаях нельзя скрывать правду – это поможет в постановке правильного диагноза.
Курение травы, кальяна, сигар – все это приводит к структурным изменениям в легких и их засорению. В любом случае патологические процессы и воспаления будут отражаться на снимке. Причины их возникновения специалист будет определять на основании диалога с пациентом.
Поэтому что именно вы курили врач при расшифровке флюорографии не узнает, да и задача перед ним стоит другая. Для специалиста важно выяснить, какую опасность представляют имеющиеся нарушения для жизни пациента и в силу возможностей устранить их.
Вы облегчите эту задачу, если откажетесь от вредной привычки.
Источник: https://telo.guru/kurenie/vred/izmeneniya/vliyanie-na-flyuorografiyu.html
Поделиться:










