Заболевания дыхательных путей доставляют дискомфорт не только самому больному, но и окружающим, которые могут слышать хрипы, кашель, храп. Если у вас или у ваших близких наблюдаются подобные симптомы, не следует откладывать решение проблемы «на потом». Стоит определить причину этих явлений, чтобы вовремя начать лечить болезнь и не спровоцировать осложнения.
Заболевания легких и дыхательных путей, увы, встречаются очень часто. По статистике около 45% всех болезней приходится именно на легкие и бронхи.
Среди самых распространенных заболеваний такие как: трахеиты, плевриты, бронхиты, бронхиальные астмы, абсцессы, пневмонии, туберкулез, новообразования в легких – и это далеко не полный список проблем, связанных с дыхательными путями. Как же их вовремя распознать? Поговорим об этом подробно.
Болезни дыхательных путей отличаются длительностью течения. Они часто ведут к общему ослаблению организма и к осложнениям, ухудшая тем самым качество жизни и даже сокращая ее. Вот почему очень важно вовремя поставить диагноз и приступить к лечению. Современные средства диагностики позволяют распознать болезни бронхов и легких на ранних стадиях.
Существует множество методов обследования: функциональные – характеризуют работу органов, аппаратные – «показывают» клиническую картину с помощью медицинской техники, лабораторные – осуществляют исследование биоматериалов пациента.
Лабораторные методы, такие как анализ крови и мочи, показаны всем, а вот тем, кто страдает затяжным кашлем, назначают анализ мокроты.
Данные способы исследования дают общее представление о состоянии пациента, позволяют предположить у него то или иное заболевание.
- Осмотр – первичный этап диагностики. Во время осмотра доктор слушает дыхание пациента, определяет частоту вдохов, глубину, ритм. Принимает во внимание также строение грудной клетки.
- Пальпация – обследование с помощью прикосновений. Доктор, применяя определенную методику, ощупывает грудные мышцы, ребра, межреберные промежутки, подлопаточные области.
- Перкуссия – обследование легких, выполняемое с помощью постукивания по грудной клетке и верхней части спины.
Профилактика заболеваний легких и дыхательных путей Чтобы сохранить здоровыми органы дыхания, запомните несколько простых правил:
- Чаще бывайте на свежем воздухе.
- Помните о необходимости физических нагрузок: во время даже самых простых упражнений происходит активная вентиляция легких.
- Регулярно проветривайте жилое и рабочее помещения.
- Если вы курите, как можно быстрее избавьтесь от этой пагубной привычки.
- Если после простуды долгое время не проходит кашель, обратитесь к врачу.
- Раз в год делайте флюорографию.
Анализ биологического материала, выполненный в лаборатории, позволяет конкретизировать заболевание.
- Исследование мокроты – метод, позволяющий выявить болезнетворные микроорганизмы, клетки злокачественных новообразований, примеси – гной, кровь. Кроме того, данный анализ помогает определить чувствительность к антибиотикам. Мокроту сдают утром натощак, предварительно хорошо почистив зубы. Накануне следует принимать отхаркивающие средства и пить больше теплой воды. Результаты исследования готовятся около трех дней. Анализ назначается при кашле с мокротой, а также при уже выявленных заболеваниях: бронхите, туберкулезе, пневмонии и других.
- Исследование газов крови – анализ, показывающий уровень обеспеченности организма кислородом. При этом забор крови делают из артерии путем пункции. После процедуры на место прокола накладывают на несколько минут тугую повязку, чтобы избежать возможного кровотечения. В лаборатории определяют парциальное давление углекислого газа, кислорода, насыщение кислородом гемоглобина в эритроцитах, pH крови. Процедура обычно проводится в стационаре, специальной подготовки не требует. Информативна при выявлении ацидозов.
- Спирометрия – метод, анализирующий функции внешнего дыхания. Для этого специальный аппарат (спирометр) фиксирует дыхание пациента в спокойном состоянии, на сильном выдохе, в процессе кашля и т.д. Прежде использовались механические спирометры, сейчас им на смену пришли цифровые, позволяющие проанализировать показания и сделать заключение сразу же по окончании процедуры.
- УЗИ легких – исследование, проводимое с помощью ультразвуковых волн. УЗИ позволяет увидеть структуру легких во всех мельчайших подробностях, поэтому патологии органов, воспалительные процессы, новообразования визуализируются уже во время процедуры. УЗИ помогает диагностировать опухоли, воспаление легких, жидкость в плевральной полости и другие отклонения. При проведении обследования врач смазывает гелем кожу пациента и специальным датчиком водит по телу в области грудной клетки, межреберных промежутков, спины. Заключение делается сразу по завершении процедуры. УЗИ является абсолютно безвредным методом диагностики, специальной подготовки не требует.
- Рентгеноскопия – осмотр легких в «режиме реального времени». Зону исследования просвечивают рентгеновским аппаратом, и изображение отражается на экране. Рентгеноскопия показывает структуру органа, его изменения, воспалительные процессы, проходимость контрастного вещества (если оно используется) и т.д. Хрипы, грудной кашель, негативные результаты лабораторных исследований являются показаниями к рентгеноскопии. Достоинством метода является его оперативность. С появлением цифровых аппаратов возникла возможность сохранить изображение и распечатать его на бумаге, а лучевая нагрузка снизилась. При рентгеноскопии, как и при всех иных методах рентгенологической диагностики, организм все же получает незначительное облучение, поэтому процедура противопоказана беременным. Специальная подготовка не требуется.
- Рентгенография – метод, схожий с рентгеноскопией. Отличие состоит в том, что изображение органов дыхания проецируется на пленку. Заключение может быть составлено, как только появятся снимки. В зависимости от клиники на его составление уходит от 30-40 минут до 2 дней.
- Бронхография – исследование трахей и бронхов посредством рентгена с введением контрастных веществ. Показанием обычно служат острые и хронические трахеиты и бронхиты. Перед процедурой пациента проверяют на переносимость йодистых препаратов, выписывают отхаркивающие и бронхорасширяющие средства. За 2 часа до обследования следует воздержаться от приема пищи. Бронхография – процедура достаточно болезненная, поэтому ее проводят под наркозом или местной анестезией. Для применения контрастного вещества, которое окрашивает дыхательные пути, в трахеи вводят катетер. Чтобы жидкость равномерно заполнила бронхиальное дерево, положение пациента несколько раз меняют. После процедуры вещество удаляют с помощью дренажа или отхаркивания. Затем производят рентгеновские снимки. Заключение делают по мере подготовки снимков. Помимо беременности, противопоказанием являются почечная и дыхательная недостаточность, общее тяжелое состояние, сердечно-сосудистая декомпенсация.
- Компьютерная томография легких (КТ) – высокоинформативный метод лучевой диагностики. С помощью компьютерного томографа производится ряд послойных снимков, позволяющих видеть состояние внутригрудных лимфоузлов, изменения в легочной и плевральной полостях, распространение опухолевого процесса, если таковой имеется. КТ назначают при обнаружении туберкулеза, пневмонии, рака. Во время процедуры пациент неподвижно лежит на специальной кушетке, раздевшись до пояса и сняв украшения. Кушетка помещается в томограф, чаще цилиндрический, но существуют и открытые модели данного аппарата. Снимки отображаются и сохраняются в компьютере. Их можно перенести и на цифровые носители. Процедура проведения компьютерной диагностики легких безвредна и безболезненна, специальной подготовки не требует, не показана беременным. Полное описание снимков и заключение обычно бывают готовы через несколько часов.
- Флюорография – рентгенологический метод исследования органов грудной клетки, применяемый для скрининга новообразований легких и туберкулеза. Сейчас пленочная флюорография заменяется цифровой, что позволяет сохранить изображение в электронной форме. В профилактических целях рекомендуется делать флюорографию один раз в год. Абсолютных противопоказаний не существует, специальной подготовки не требуется.
- Рентгеноэлектрокимография – способ оценки вентиляционной функции легких, а также движений диафрагмы. Метод основан на регистрации колебаний оптической плотности изображения дыхательных органов на рентгеновском экране.
- Плеврография – лучевое исследование плевральной полости с введением контрастного вещества. Показаниями являются плевробронхиальные свищи и гнойный плеврит. Контрастное вещество (масляное или водорастворимое) вводят с помощью пункции или через дренажную трубку в область грудной клетки, затем делают снимки в прямой и боковой проекциях. При обострении гнойного процесса данное исследование противопоказано. Кроме того, имеют место те же противопоказания, что и при бронхографии. КТ постепенно вытесняет этот метод.
- Газовая медиастинография – способ обследования грудной клетки с введением в качестве контрастного вещества газа, обычно кислорода. Для этого делают прокол в межреберье или над грудиной. Метод раньше применяли для оценки состояния лимфоузлов средостения и определения метастазов опухоли. Сейчас на смену газовой медиастинографии пришла КТ.
- Ангиография – исследование сосудов легких после введения в них контрастного вещества при помощи катетера. Когда сосуды заполнены контрастным веществом, производят ряд рентгеновских снимков. Данный метод диагностики практикуют для уточнения возможности операции при раке легкого, для диагностики тромбоэмболии легочной артерии и в некоторых других случаях. Наиболее полная «картина» представляется в сочетании ангиографии с КТ.
- Ларингоскопия – метод исследования ых связок и гортани. Осмотр производится либо с помощью зеркала (непрямая ларингоскопия), либо с помощью ларингоскопа (прямая ларингоскопия). Помогает определить причины охриплости голоса, болей в горле, обнаружить повреждения гортани.
- Бронхоскопия – метод осмотра трахей и бронхов, оценки их слизистых оболочек с помощью оптического прибора: бронхоскопа. Изображение сразу же передается на экран. Бронхоскопию назначают при кашле, затруднении дыхания, кровянистых или гнойных выделениях в мокроте. Противопоказания: гипертония, аритмия, ишемическая болезнь сердца. Процедуру рекомендуется проводить утром натощак. Процедура болезненна, поэтому врач может предложить обезболивание.
- Торакоскопия – диагностика плевральной полости с помощью торакоскопа. Метод позволяет осмотреть париетальную и висцеральную плевры, обнаружить новообразования, произвести биопсию. Как правило, торакоскоп вводят в IV-V межреберье.
- Медиастиноскопия – метод исследования переднего средостения и передней поверхности трахеи с помощью медиастиноскопа. Медиастиноскопия применяется для пункции или удаления лимфатических узлов, для гистологического исследования при лимфогранулематозе, метастазах, опухолях переднего средостения.
Как мы убедились, на сегодняшний день существует множество способов диагностики дыхательных путей.
Выбирая подходящий метод, следует учитывать клиническую картину заболевания. Конечно, наилучший вариант – предпочесть современные методы, являющиеся более информативными и безопасными. Это может быть УЗИ, КТ, флюорография. Какой метод подойдет именно вам, может сказать только врач на предварительной консультации.
Вторник, 10.04.2018
Затрудненное дыхание и изнурительный кашель – признаки запущенной болезни.
Испытывая эти симптомы и не борясь с ними, вы подвергаете риску не только себя, но и своих близких, ведь многие заболевания дыхательных путей передаются воздушно-капельным путем.
Поэтому не затягивайте с визитом к врачу – ранняя диагностика сохранит здоровье вам и вашим близким.
Источник: https://www.eg.ru/digest/diagnostika-zabolevanii-dykhatel-nykh-putei.html

В этой статье идет речь о самых частых легочных болезнях. Такие состояния требуют выявления, для чего необходимо знать о существующих методах проверки легких помимо флюорографии и рентгена, и последующего немедленного лечения.
Как проверить легкие кроме флюорографии и рентгена? Эти методы у всех на слуху, но немногие знают, что существует множество других способов, которые также предоставляют немало информации о состоянии поврежденных органов.
К самым частым заболеваниям относятся нижеперечисленные.
Воспаление ткани легкого, которое бывает инфекционного или неинфекционного характера (см. Наиболее распространенные возбудители пневмонии). Поражение происходит в области структур, формирующих пузырьки, – альвеол и в самой ткани легкого – интерстиция.
Чаще всего микроорганизм попадает внутрь через бронхи, чему способствуют: вдыхание последнего либо, если он изначально находился в носоглотке, переселение в нижние отделы дыхательной системы. Далее он размножается в эпителии бронхиол, что вызывает бронхит – воспаление.
Следующее распространение микроба за пределы конечных ветвей бронхиального дерева вызывает пневмонию.
В альвеолах накапливаются гной и мокрота
Каждое легкое окружает оболочка – плевра, состоящая из двух частей, так называемых, листков. Эти части не плотно прилегают друг к другу – между ними имеется пространство, называемое плевральной полостью.
Таким образом, плеврит – воспаление плевральных листков, который бывает сухим и экссудативным. В первом случае поверхность плевры покрывается белком – фибрином, имеющим волокнистую структуру. Во втором случае в плевральной полости накапливается различная жидкость (в зависимости от вида воспаления) из кровеносных сосудов.
Плевральная полость наполняется экссудатом
Воспалительное заболевание, при котором просвет бронхов сужен, что обусловлено повышенной чувствительностью организма к чужеродным веществам. Проявляется в виде приступов одышки, кашля, хрипов и чувства заложенности в груди (пациенту становится трудно дышать).
В данном случае сдавливание дыхательных путей происходит из вне, т.е. просвет закрывается из-за отека, инородных тел, изменения атмосферного давления и т.д. Происходит удушье – состояние, при котором организм испытывает нехватку кислорода, а углекислый газ, наоборот, находится в избытке.
Вызывается определенным инфекционным агентом – микобактерией туберкулеза, или палочкой Коха.
Существуют первичная и вторичная формы:
- При первичной — туберкулез, как правило, развивается после заражения в детстве. Отмечаются чрезмерные реакции, поражения лимфоузлов, плевры, изменения в различных органах. В основном организм справляется самостоятельно, но остаются петрификаты – рубцы в ткани легкого, которые содержат жизнеспособных бактерий.
- Вторичная форма является результатом осложнений первичной либо возникает после ее излечения.
Обычно возникает у людей, работающих в местах, содержащих высокие концентрации диоксида кремния (горнорабочие, обрубщики, пескоструйщики). Разные части легкого покрываются соединительной тканью, образуются узелки и, следовательно, у пневмоцитов снижается способность принимать кислород.
Скорость развития силикоза находится в прямой зависимости от агрессивности пыли
Перестраивается весь респираторный отдел легкого: альвеолярные стенки, альвеолярные ходы и бронхиолы растягиваются,эндотелий сосудов утончается. Соответственно, ослабляется эластика, расширяются воздушные пространства. Расширенные участки сдавливают здоровую ткань.
Воздух входит в одном объеме, а выходит в меньшем: нарушение выхода воздуха превалирует. В дальнейшем подключается и нарушение вдоха. Нарушается вентиляция легких, что ведет к кислородному голоданию и проявляется одышкой.
Альвеолярные стенки растягиваются
Злокачественная опухоль, представляющая собой скопление клеток с определенным внешним видом. Злокачественные клетки не похожи на обычные и характеризуются бесконтрольным делением и способностью к метастазированию – отщеплению от своего места рождения и распространению в другие ткани.
Прогрессирующее ограничение вхождения воздуха в легкие, связанное с болезненной реакцией последних на инородные частицы, газы. Обструкция возникает в результате нарушения проходимости легких, что приводит к затруднению дыхания и отхождения бронхиальной слизи.
Делятся на две главные группы:
- Общие
- Лабораторно-инструментальные
Эти методы требуют непосредственного участия врача с минимальным оснащением, то есть с помощью органов чувств:
- Осмотр грудной клетки. Грудная клетка обладает статическими и динамическими характеристиками. Определяется форма, тип грудной клетки, симметричность ее половин, и дыхательной степени подвижности (качество экскурсий), искривление позвоночника.
- Оцениваются внешние показатели дыхания – ритм и глубина. Дыхание происходит либо через нос, либо через рот при заболеваниях носовой полости.
- Пальпация. Проводится путем прощупывания тела пациента. Определяются свойства тканей и органов: величина, консистенция, форма, положение и т.д.
- Перкуссия. Простукивание в области грудной клетки, при котором анализируются издающиеся звуки. Исследуют силу, высоту, длительность звука и звукоподобность.
- Аускультация. Прослушивание звуков, которые образуются в процессе деятельности органов. Определяются и оцениваются дыхательные шумы и слышимость голоса пациента.
Врач проводит осмотр грудной клетки с помощью своих органов чувств
Эти методы делятся на:
К первой группе относятся: флюорография и рентген. Ко второй группе относятся нижеследующие методики.
Мокрота – слизь, выделяющаяся из легких и дыхательных путей при кашле. У здоровых людей мокрота отсутствует, потому что в норме секрет образуется в количествах, которые успевают проглатываться.
Существуют несколько способов анализа мокроты: микроскопический (бактериоскопический) и бактериологический.
При исследовании используется микроскоп, который позволяет под многократным увеличением рассмотреть патогенные организмы, содержащиеся в секрете. Тем не менее, отсутствие последних не дает основания делать вывод о инфекции. Требуется провести и бактериологический анализ.
При бактериологическом анализе мокрота собирается пациентом в специальный одноразовый стаканчик, а далее врач проводит исследование содержимого путем культивирования микрофлоры в питательных средах.
Микробиологическая диагностика – хорошая альтернатива флюорографии
С помощью рентгеновского излучения и компьютерной обработки послойно анализируется внутреннее строение легких. Рентген легко проходит через ткани с низкой плотностью и задерживает там, где она высокая.
В отличии от рентгенографии, томография показывает орган во множестве сечений, тем самым увеличивается точность диагностики. Выявляются контуры, полости и глубина затемнений.
Чтобы убедиться в наличии опухоли или хронического заболевания, проводится бронхография под наркозом. Внутрь бронхов вводится катетер, поставляющий вещество, содержащее йод.
Инструкция врача – вот, что важно при прохождении томографии!
Явление ядерно-магнитного резонанса – основа этого метода. Используется магнитное поле высокой мощности, под воздействием чего некоторые атомы водорода изменяют свое направление – выделяется энергия, которую томограф и регистрирует.
Внимание! МРТ имеет абсолютные противопоказания: наличие металлических имплантов в теле, металлических конструкций, нейростимулятора, электрокардиостимулятора, имплантированного слухового аппарата.
После обследования металлодетектором, врач-радиолог сам примет решение о возможности проведения исследования
Они представлены в таблице:
| Бронхоскопия | В трахею вводится эластичная трубка, которая оснащена фонариком и видеокамерой. Так можно легко исследовать нижние пути и выявить инородные тела, причины кашля. Также с помощью бронхоскопа вводят различные лекарства, что позволяет не только анализировать, но и лечить. |
| Торакоскопия | В данном случае используется эндоскоп, который вводится непосредственно в плевральную полость через грудную стенку. С помощью этого прибора также можно вводить лекарственные вещества, брать биопсию, удалять лишнюю жидкость. |
| Ларингоскопия | Делится на прямую и непрямую. В первом случае используют гортанное зеркало, для чего требуется анестезия во избежание рвоты. При непрямой ларингоскопии гортань исследуется с помощью директоскопа, представляющего собой трубку с осветителем. |
Люди, задающие вопросы: «как проверить легкие и бронхи?» «как можно проверить легкие кроме флюорографии?» теперь могут быть уверены, что способы действительно есть, следует лишь ознакомиться со статьей, чтобы узнать некоторые из них и перестать думать, что альтернатив не существует.
Фото и видео в этой статье посвящены заболеваниям легких и их методам исследования. Цена на магнитно-резонансную и компьютерную томографию достаточна высока и варьирует в зависимости от места проживания, клиники и стоимости самого аппарата. Остальные методы менее дорогостоящие.
Источник: https://uPulmanologa.ru/diagnoz/instrumentalnaya/sposoby-proverit-legkie-krome-flyuorografii-23
Многие из нас сталкиваются с проверкой органов дыхания только в виде ежегодного снимка для допуска к работе или учёбе. Но если вас беспокоят боли в груди, кашель и затруднённое дыхание, вам необходимо задуматься и о том, как проверить лёгкие и бронхи на наличие заболеваний.
Обычному человеку делать флюорографию и проверять состояние легких необходимо раз в год. Для некоторых категорий граждан, например, работающих в учебных заведениях, с детьми, требуют делать это два раза в год. Это необходимо для раннего выявления больных туберкулёзом — заболеванием, которое быстро распространяется в коллективе.
Помимо профилактики, проверить лёгкие также необходимо при первых признаках заболеваний. К ним относят:
- одышку в состоянии покоя,
- долгие приступы кашля: сухого или с вкраплениями крови и гноя в мокроте,
- хрипы и свисты при дыхании,
- чувство тяжести в грудной клетке,
- повышенная температура, общее ухудшение самочувствия, снижение аппетита.
Обычно проверку лёгких назначает лечащий врач. Только специалист сможет оценить симптомы и определить, какой из видов диагностики подойдёт в вашем случае. Но есть случаи, при которых доктора можно посетить с уже готовыми материалами:
- У вас произошёл рецидив болезни, о которой вы уже знаете.
- Симптомы не выражены ярко, нет острого болевого синдрома.
В любом случае, если вы покажете доктору уже сделанные снимки, это ускорит постановку диагноза.
Проверка лёгких входит в полное обследование организма.
Виды диагностики, доступные без направления, ограничиваются неинвазивными методами. Эндоскопию без заключения со стороны лечащего врача вам не выполнят. Но даже так видов диагностики достаточно много:
- Ультразвуковое исследование не сможет показать вам заболевания лёгких. Обычно его используют для выявления жидкости в плевральной полости, поэтому, если вы не знаете своего диагноза, нет смысла отправляться на УЗИ.
- Флюорография: самый быстрый способ исследования лёгких. Во время процедуры грудную клетку просвечивают низкой дозой рентгеновского излучения. Изображение печатается на плёнке или отображается на мониторе. Её несомненный плюс в безопасности: ФЛГ для профилактики делают детям от 14 лет. Однако на полученном снимке можно обнаружить патологию, но нельзя рассмотреть в деталях. Скорее всего, после флюорографии врач направит вас на более подробное исследование — КТ легких.
- Рентгенография — это уже более высокие дозы облучения. Рентген даст снимок высокого качества, на котором можно будет хорошо рассмотреть все детали. Результат будет напечатан на плёнке. Но врачи не рекомендуют часто проводить такое обследование, так как можно получить большую дозу излучения.
Более точным и безопасным способом как проверить легкие является томография. Она даёт высокоточный результат о состоянии легочной ткани и органов средостения.
Сейчас все больше завоевывает авторитет исследование НДКТ легких — низкодозная компьютерная томография. Это исследование в десятки раз превосходит флюорографию и рентгенографию по информативности, а доза облучения у него ниже.
Мультиспиральная компьютерная томография легких также действует с помощью рентгеновских лучей, поэтому её нельзя проводить беременным и кормящим женщинам. МСКТ назначают, чтобы подготовить пациента к операции или оценить результаты оперативного вмешательства. Может проводиться как без контраста, так и с контрастным усилением.
С помощью этого вида обследования можно отследить отклонения, выявить травмы грудной клетки, новообразования на ранних стадиях и воспалительные заболевания. При помощи данного метода можно увидеть патологические изменения легких, бронхов и трахеи на 3D изображении. Детальная картина помогает врачу поставить безошибочный диагноз.
Компьютерную томографию назначают для выявления:
- туберкулеза,
- саркоидоза,
- абсцесса легких,
- рака легких,
- воспалительных заболеваний легких, бронхов, плевры,
- инородных тел,
- лимфопролиферативных заболеваний,
- патологий органов средостения.
Также КТ отслеживают для наблюдения за послеоперационным и дооперационным состоянием проблемного органа.
Есть ряд исследований, которые даже в платных центрах выполняют только по назначению. Это эндоскопические методы. Благодаря ним можно детально рассмотреть органы и взять образцы тканей на анализ, а в некоторых случаях сразу же провести лечение. К таким обследованиям относятся:
- Бронхоскопия: эндоскоп вводится через носоглотку. Можно осмотреть трахею и бронхи.
- Торакоскопия — это введение датчика прямо в лёгкие через проколы в грудной клетке. Выполняется это исследование только под общим наркозом.
- Торакотомия — разрез грудной клетки, чтобы врач смог самостоятельно осмотреть все органы.
- Пункции плевральной полости и биопсия плевры помогут найти причину воспаления, сделать анализы на антитела к злокачественным опухолям и определить инфекцию.
На эти обследования вас направит ваш доктор, если будет необходимо. Однако на такие обследования направляют только в довольно тяжёлых случаях, поэтому скорее всего при проблемах с легкими вам понадобятся флюорография, снимок или томография.
Источник: https://msk.RamsayDiagnostics.ru/blog/kak-proverit-legkie/
Не все люди имеют возможность проверять здоровье своих легких в установленные и рекомендуемые здравоохранением сроки. В связи с этим возникает необходимость в регулярной безопасной для здоровья и быстрой самодиагностике, которая позволяет вовремя выявить наличие проблем в работе дыхательной системы без обращения к специалистам.
Быстрый способ проверить здоровье легких подойдет тем людям, которые более всего подвержены риску заболевания дыхательной системы. К категории таких людей относятся:
- сотрудники химических предприятий;
- работники цехов;
- подземные рабочие;
- живущие в густонаселенных городах;
- живущие вблизи фабричных и заводских комплексов;
- регулярно употребляющие курительные смеси;
- достигшие возрастного порога 30 лет;
- люди с хроническими заболеваниями и врожденными патологиями органов дыхания.
Людям, которые имеют проблемы с работой и здоровьем легких, следует помнить, что достоверный результат способен дать только осмотр, проводимый в медицинском учреждении, который позволит выявить не только очаг заболевания, но и причину его возникновения, а также стадию развития.
Следует отметить, что самостоятельное диагностирование заболеваний не дает гарантии здоровья дыхательной системы отдельного человека, если не было выявлено ярко выраженных симптомов (например, кашля или одышки). Однако самодиагностика позволяет обнаружить симптомы наличия заболеваний, которые впоследствии могут приобрести хронический или злокачественный характер.
Перед тем как начать проверку наличия симптомов заболеваний органов дыхания, следует установить размер легких. Размер внутренних органов каждого человека соответствует параметрам его тела. Согласно медицинской статистике, объем легких взрослого мужчины составляет около 3-3,5 л, а взрослой женщины – около 2,5-3 л.
https://youtube.com/watch?v=uuUMNSa25q8
Медицинской практикой разработано несколько простых способов установления легочного объема и проверки нарушений работы органов дыхания, которые можно осуществить в любых бытовых условиях:
- Надувание воздушного шара. Для этого понадобится резиновый воздушный шар. Перед экспериментом необходимо несколько раз надуть шар для того, чтобы резина стала более эластичной и не требовала больших усилий при надувании. После этого испытуемый должен набрать полные легкие воздуха и надуть шар одним выдохом. Получившийся объем шара будет показателем объема легочных полостей.
- Эксперимент с пластиковой бутылкой. Для его проведения необходимы: пластиковая бутылка (емкостью желательно от 3 л и более), стакан, вода и гибкая трубка. Бутылка и стакан заливаются водой до края, после чего в бутылку вставляется трубка. Горло бутылки затыкается (трубка остается внутри), емкость переворачивается и вставляется горлышком в стакан. Экспериментатор набирает полную грудь воздуха и выдыхает через трубку в бутылку. После этого измеряется объем воды, вытесненной дыханием. Для этого бутылка переворачивается, и с помощью мерного стаканчика заполняется до краев необходимым количеством воды, которое и будет показателем объема легких.
- Задувание кондитерских свечей. Перед человеком ставят свечи в количестве, равном его возрасту. Экспериментатор должен задуть все свечи с одного раза на расстоянии 70-80 см. Данный способ позволяет определить силу дыхания и вентилируемость дыхательных путей, недостаточность которых может быть симптомом серьезных заболеваний.
- Задерживание дыхания. Проверяющий набирает в легкие предельное количество воздуха, после чего задерживает дыхание, надежно закрывая нос и рот. Следует учесть, что на организм задерживающего не должно оказываться дополнительного давления. Стандартная долгота задержки для взрослого человека соответствует 1-1,5 минуте. Если время задержки не соответствует норме и составляет меньше минуты, то проходимость дыхательных путей затруднена.
- Физические нагрузки. Для проверки работы легких следует нагрузить организм физическими упражнениями. Если в скором времени появляется одышка или кашель, это означает, что работа органов дыхания затруднена.
При наличии частого кашля без видимых причин, простудных и иных заболеваний, одним из главных симптомов которых является кашель, стоит задуматься. Если человек испытывает постоянное желание прочистить горло или «захлебывается» при вдохе, это может являться последствием повреждения легочных тканей или спровоцировать хронический отек.
Некрепкий сон и утренняя мигрень – признаки скопления в организме углекислого газа при слабом дыхании во сне. Люди, страдающие бессонницей и головными болями по утрам, спят полулежа или подкладывая под голову высокие подушки. Однако эти симптомы могут быть последствиями и иных расстройств работы организма.
Бочковидная грудина. Это внешний вид грудной клетки при дыхании воспаленных легких, которые увеличиваются в размере и выталкивают диафрагму вниз. Чтобы облегчить дыхание, больные люди нагибаются вперед, пытаясь уменьшить боль.
Отек лодыжек. Причиной является нарушение работы бронхов, что провоцирует сердечную недостаточность. В организме скапливается жидкость, которую почки и печень не могут вывести, вследствие чего вода под воздействием гравитации оседает в ногах. Чрезмерное скопление лишней влаги в теле ведет к отравлению всего организма.
Все указанные симптомы являются признаками сбоев в работе органов дыхания. При наличии любого из них следует обратиться к специалисту для установления диагноза и назначения курса лечения.
- на сайте
- ВКонтакте
Источник: https://AktSport.ru/novosti/bystryj-sposob-proverit-zdorove-legkix.html
Сегодня мы расскажем, как проверить легкие. Есть несколько способов. Все они будут детально рассмотрены в статье.
Такой орган тела, как легкие, располагается в грудной клетке. Он предназначен для обеспечения процесса дыхания. Во время него в организм поступает воздух, который состоит из многих элементов, одним из них является кислород. Насыщение кислородом организма очень важно для нормальной работоспособности всех систем.
Чтобы оценить здоровье пациента, врачу нужно знать, как регулярно функционируют легкие. Не только очаговые нарушения можно определить с помощью того, как работает вышеназванный орган, но и сделать заключения относительно других нарушений в организме.
Например, многие болезни сердца напрямую относятся к нарушениям функциональности легких. Поэтому, как только возникают первые признаки подобных проблем, это может указывать на сердечное заболевание у человека.
Хронические болезни легких распространяются быстро. По статистике таких заболеваний наблюдается больше половины. Самые частые болезненные отклонения от нормы или патологии дыхательной системы:
- Пневмония – инфекционная болезнь легких. Она поражает в основном органы людей со слабым иммунитетом.
- Рак легких или онкология — поражение клеток органа злокачественной опухолью.
- Хроническая обструктивная болезнь легких. Из-за аномальной воспалительной реакции тканей легких на внешние раздражители ограничивается поток воздуха в дыхательные пути, и человеку трудно дышать.
- Астма. Это хроническое воспалительное заболевание дыхательных путей.
- Бронхиты – болезнь, характеризующая воспаление бронхов.
Появиться может воспаление и новообразование в легких не только у курильщиков или людей, проживающих в районах с плохой экологией. Поэтому органы нужно исследовать регулярно, даже если хорошее самочувствие, дополнительная мера профилактики не навредит.
Особенно опасно, если ребенок болеет. А как проверить легкие ребенка на предмет наличия легочных заболеваний? Начать можно с более распространённой диагностики.
Например, это может быть рентген легких, цена данного исследования не слишком высока, примерно рублей 200.
На сегодняшний день для диагностики легких и определения заболевания и выявления патологий используют различные способы.
Рентгенологическое исследование легких предполагает снимок грудной клетки. Различают несколько видов такой диагностики:
- Самый известный метод, как проверить легкие, с помощью которого можно рассмотреть изменения в строении легочной ткани, найти области уплотнения или пустые пространства, определить, есть ли жидкость или воздух в плевральной полости. Рентгеновским аппаратом можно создать изображение и потом вывести на экран. Такой вид исследования проводят в реальном времени. Называется он рентгеноскопия. Главный минус такой диагностики – нельзя рассмотреть очень маленькие очаги патологии, которая уже начала развиваться.
- Рентгеновский аппарат также используется для такого исследования, как рентгенография. Но этот метод подразумевает фиксацию изображения на пленке без вывода на экран. С его помощью можно увидеть даже самые незначительные изменения. Множество болезней можно выявить, используя рентгенографию: туберкулез, пневмонию, аномалии развития легких. Часто делать процедуру нельзя, так как можно получить большую дозу облучения. Рентген легких ребенку можно делать только в крайнем случае, если нельзя поставить диагноз с помощью других методов исследования.
- По такому же принципу действия, как и рентгенография, различают еще один метод под названием флюорография. Здесь также изображение легких печатается на пленке или выводится на монитор. Минус флюорографии в низком качестве изображений. С его помощью можно увидеть патологию, но более подробно рассмотреть невозможно. Низкое воздействие радиации на человека при этом методе делает его возможным для того, чтобы проводить массовые профилактические исследования.
А как проверить легкие кроме флюорографии? Такой вопрос задают люди, если есть какие-то сомнения в тщательности выявлений заболеваний. Для этого уже подойдет компьютерная томография. Речь о ней пойдет немного дальше.
А где проходить флюорографию с целью профилактики? Обычно ее проводят в поликлинике по месту прописки. Направление на эту процедуру доктор выпишет.
А еще где проходить флюорографию? Если же понадобилось повторное исследование, то можно обратиться в частный медицинский центр, который специализируется на оказании подобных услуг.
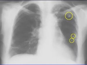
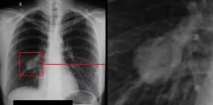
Как проверить легкие на онкологию? Более тщательное исследование легких можно получить, используя компьютерную томографию. Поперечные срезы грудной клетки и других органов на изображении получаются очень четкие.
Этого нельзя увидеть с помощью трех вышеописанных методов. На томографии видно, как изменилась легочная ткань или трахея, бронхи и лимфатические узлы.
Рентгенография, проводящяяся под анестезией, нужна для наблюдения за состоянием бронхов. При бронхографии используется контрастное вещество, которое вводят в просвет бронхов.
Так как вещество не пропускает рентгеновские лучи, то изображение получается контрастным.
Если бронхи расширены или есть абсцессы и каверны легких, а также новообразования, то с помощью бронхографии это можно будет увидеть.
Эндоскопическое исследование предполагает введение эндоскопов (оптических приборов) внутрь для того, чтобы рассмотреть и обследовать внутренние органы на наличие различных патологий. О том, как проверить легкие, не прибегая к помощи рентгена, сможет рассказать врач. Тем более когда проверка нужна маленькому пациенту, ведь рентген легких ребенку делать нельзя.
Осмотреть слизистые оболочки трахеи и бронхов можно с помощью бронхоскопии. Проведение данного исследования делают под местной анестезией, что ограждает пациента от неприятных ощущений.
Выявить эрозию, язву или опухоль, а также лечить бронхоэктатическую болезнь и воспалительные процессы легких может этот метод.
Эндоскопическое исследование оболочек легких проводят с помощью торакоскопа. При торакоскопии его вводят в легкие под наркозом. При этом предварительно делается прокол в грудной клетке. Осмотр легких в режиме реального времени, снимки и пробу тканей можно сделать при торакоскопии.
Для выявления накопления жидкостей в оболочках легких (плевральных выпотов) используется ультразвуковое исследование легких. Через альвеолы невозможно проникновение ультразвуковых волн. Поэтому применение данного метода ограничено. Контроль проведения пункции или введение дренажной трубки для откачки воздуха, жидкости делается с помощью УЗИ легких.
Определить дыхательный объем легких, степень дыхательной недостаточности можно с помощью легочной вентиляции.
Оболочка легких исследуется с помощью плевральной пункции. Через небольшой прокол берется кусочек ткани. Диагностику проводят под местным наркозом. Если есть подозрения на плеврит, опухоль или плевральные выпоты, то назначают данную процедуру.
Слизистые выделения из дыхательных путей тоже исследуют, чтобы понять, насколько правильно функционируют легкие. При этом выделяют два способа: микроскопический и бактериоскопический.
Обнаружение слизи, паразитов и различных образований возможно первым методом. А выявление возбудителей различных легочных инфекций — с помощью второго способа.
Как видите, рентген легких, цена за проведение которого начинается от 200 рублей, не единственная процедура, которая позволяет детально проверить орган. Есть еще много разных методов.
Если появились какие-то тревожные симптомы в области легких, нужно немедленно обратиться к врачу. Если это развитие патологии, то ее нужно лечить на ранних этапах.
Иначе это может затронуть жизнедеятельность других органов в организме человека.
Помимо всего прочего, чем раньше начата терапия, тем меньше может быть стоимость медицинских услуг, так как лечить любую легочную патологию намного проще на раннем этапе.
Источник: https://FB.ru/article/283211/kak-proverit-legkie-metodyi-obsledovaniya-legkih
Поделиться:







