В организме постоянно протекают процессы регенерации, которые в большинстве своем проходят за счет соединительной ткани. Иногда этот процесс может иметь обратное течение.
Одним из примеров такого неблагоприятного поворота является фиброз легких – процесс замещения собственной ткани легкого на соединительную (фиброзную).
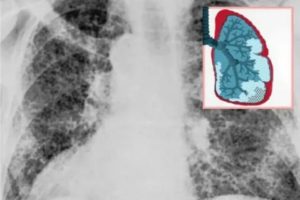
Визуально после пневмонии он определяется на рентгеновских снимках в виде фиброзных тяжей и рубцов – полосы затемнения. Это приводит к уменьшению дыхательной поверхности легких и развитию хронической дыхательной недостаточности.
Оглавление
- Виды
- Симптомы
- Диагностика
- Лечение и прогноз
- Заключение
Существует множество классификаций фиброзных изменений легких, вот некоторые из них:
1) По происхождению:
- идиопатический – причина развития болезни не установлена;
- интерстициальный – известен этиологический фактор.
2) По этиологии:
- следствие профессионального заболевания;
- результат приема лекарственных препаратов;
- системные заболевания соединительной ткани;
- постинфекционный фиброз.
3) По выраженности разрастания соединительной ткани:
- фиброз – участки здорового легкого чередуются с участками замещенными соединительной тканью;
- склероз – более грубое поражение легких чем фиброз, характеризуется уплотнением и снижением эластичности легких;
- цирроз – терминальная стадия, которая проявляется нарушением гистоархитектоники легкого и полным замещением его тканей, альвеол, частично сосудов и бронхов на соединительную.
4) По распространенности процесса:
- апикальный – поражена только верхушка легкого;
- перекорниальный – фиброз развивается вокруг корней легкого;
- корневой – с поражением самого корня;
- очаговый – наличие небольшого участка (или несколько) фиброза в легком;
- генерализованный – поражение всего легкого;
- односторонний – поражено только одно легкое (правое или левое);
- двухсторонний – поражены оба легких.
Выше представлены основные классификации, которыми пользуются в клинической практике, так как с их помощью можно отразить степень и тяжесть заболевания. Это имеет огромное значение в формулировании диагноза.
Фиброзные тяжи на рентгеновском снимке
Фиброз приводит к тяжелому поражению легких, что в свою очередь приводит к развитию хронической гипоксии всех органов и тканей. Симптомы болезни, если фиброз развился в следствии хронического процесса, начинают проявляться не сразу, а постепенно набирая силу. В случае острой и массовой гибели клеток легкого фиброз не заставит себя долго ждать.
Основные симптомы, характерные для фиброза легких:
- Одышка – является ключевым симптомом данного заболевания. На начальных стадиях, когда процесс занимает небольшие объемы, она не ярко выражена, возникает при тяжелой или умеренной физической нагрузке. Но с течением болезни она становиться все сильнее и на стадии цирроза возникает даже в покое.
- Кашель – может наблюдаться не очень интенсивный кашель с отделением скудного количества мокроты.
- Дыхательная недостаточность (ДН) – возникает в связи с уменьшением дыхательной поверхности и растяжимости легких.
- Сердечная недостаточность или “легочное сердце” – на фоне ДН, так как сердце, как никакой другой орган, нуждается в постоянной подаче кислорода. Возникает при значительном объеме поражения и затяжном течении болезни. Проявляется:
- значительной одышкой;
- болевыми ощущениями за грудиной;
- сердцебиением;
- пульсацией;
- набуханием вен шеи;
- отеками на нижних конечностях.
- Изменения психического состояния и сознания – мозг очень чувствителен к гипоксии и очень остро реагирует на отсутствие кислорода. Могут наблюдаться:
- депрессии;
- апатия;
- головные боли;
- головокружения;
- потери сознания.
- Изменение внешнего вида – очень яркими являются симптомы “барабанных палочек” (утолщение дистальных фаланг пальцев кисти) и “часовых стекол” (изменения ногтей, они становятся выпуклыми и напоминают часовые стекла). Кроме того, наблюдается:
- ломкость;
- выпадение волос;
- бледность;
- шелушение кожных покровов.
- Полиорганная недостаточность – на терминальной стадии.
Синдром “барабанных палочек”
Появление прогрессирующей одышки является первым и самым важным симптомом, при котором необходимо срочно обратиться за медицинской помощью.
Так как на поздних стадиях от гипоксии страдают все органы и ткани, симптомы могут быть весьма разнообразными, но всегда присутствуют признаки ярко выраженной дыхательной недостаточности.
Диагностика начинается с выслушивания жалоб пациента, затем тщательный сбор анамнеза и проведение общего осмотра. В результате осмотра могут обнаружиться:
- При перкуссии – притупление перкуторного звука над очагом фиброза;
- При аускультации – ослабление дыхание, появление дыхательных шумов, бронхофония.
На основании полученных данных, врач назначает специальные методы обследования, как правило это инструментальные методики, так как лабораторные тесты малоинформативны. В общем анализе крови могут наблюдаться признаки анемии (полицитемия, ретикулоцитоз). В более поздних стадия могут наблюдаться признаки поражения многих органов и тканей в биохимическом анализе крови.
В диагностике используют:
- рентгенологическое исследование легких (лучше компьютерную томографию, если есть возможность);
- магнитно-резонансную томографию;
- исследование функционального состояния легких (особенно важен показатель объема форсированного выдоха за 1 минуту – ОФВ1);
- прицельную биопсию легкого под контролем КТ.
По результатом обследований наблюдаются фиброзные очаги (тяжи, рубцы) и значительное снижение функции легких.
Вылечить фиброзно-измененное легкое нельзя, можно лишь приостановить процесс разрастания соединительной ткани.
Внимание! Специфического лечения фиброза легких нет, так как данная патология необратима.
Используют следующие группы препаратов:
- глюкокортикостероиды (преднизолон, метилпреднизолон) – являются основой патогенетической терапии и способствуют остановке фиброза;
- цитостатики (азатиоприн, циклофосфомид) – останавливают процессы деления клеток;
- антифибринозные (колхоцин);
- антибиотики;
- бронхолитики;
- муколитики и откашливающие;
- симптоматическая терапия вторичных поражений других органов и систем (чаще всего сердечная – инотропная терапия гликозидами);
- оксигенотерапия;
- дыхательная гимнастика;
- диета.
Цель терапии – не допустить прогрессирования процесса, предотвратить возможность присоединения вторичных инфекций и по максимуму постараться улучшить качество жизни человека, страдающего данным недугом.
При тотальном поражении легкого или его доли, возможно проведение хирургической операции по удалению патологически измененного органа или участка. В случаи двустороннего поражения выполняют трансплантацию легких.
Фиброз легкого – тяжелое заболевание, которое приводит к серьезным нарушением во всем организме. Оно неуклонно прогрессирует и поэтому время в диагностике и лечении данного состояния играет огромную роль. Необходимо сразу же обращаться к врачу, при появлении малейших симптомов, особенно при наличии одышки. При правильном лечении процесс удается приостановить.
Источник: https://bronhus.com/zabolevaniya/pnevmoniya/vzroslye/posledstviya-oslozhneniya/fibroz.html
Фиброз — болезнь, которая проявляется ускоренным синтезом коллагена и появлением соединительной ткани. Чаще фиброз наблюдается в молочной железе, печени, легких, предстательной железе. Причиной фиброза является хронический воспалительный процесс, таким образом, организм пытается изолировать очаг.
Вследствие замещения здоровых клеток соединительной тканью, наблюдается снижение их эластичности. Это препятствует поступлению кислорода в кровеносную систему и затрудняет работу легких и сосудов. Стенки легочных пузырьков на вдохе перестают растягиваться, а при выдохе спадать.
Фиброз легких характеризуется быстрой заменой здоровых клеток на рубцовую ткань. При распространении патология затрагивает бронхи, лимфатические и кровеносные сосуды, иногда прилегающие органы.
По области поражения фиброз делят на следующие виды:
- односторонний , затрагивает одну из сторон органа,
- двусторонний , локально формируется на двух легких,
- очаговый , локализован на отдельном участке,
- тотальный или диффузный , захватывает все легкое.
Локальный фиброз – следствие разрастания рубцовой ткани в результате дистрофии или воспаления. В таком случае поражена небольшая область. Легочная ткань плотнее, а объем легкого меньше. Изменения не отражаются на газообмене. Человек может и не замечать болезнь.
При диффузном фиброзе орган становится плотным и меньше в размерах. Газообменный процесс нарушается. В области поражения много коллагеновых волокон, появляются микроцисты.
В зависимости от того как разрастается соединительная ткань выделяют:
- Пневмофиброз. Тяжистый линейный фиброз характеризуется распространением соединительной ткани рядом со здоровой,
- Пневмосклероз. Ткань замещена на большом участке, происходит уплотнение органа,
- Легочный цирроз. Поражение обширно захватывает бронхи и сосуды.
Патологический процесс необратим, врачи могут только снизить проявление симптомов, улучшив тем самым качество жизни пациента.
Специалисты выделяют следующие причины появления фиброза:
- Длительный контакт с пылью органического и неорганического происхождения. Опасны диоксид кремния, мрамор, известняк, магнезит, асбест, угольная пыль, зерновая пыль, помет. К примеру, вдыхание пыли асбеста на производстве более 10 лет способно спровоцировать необратимые процессы в легочной ткани, которые могут проявиться спустя 20-30 лет.
- Осложнения после туберкулеза, пневмонии, системной красной волчанки, ревматоидного артрита, склеродермии, саркоидоза.
- Медикаментозное лечение. У некоторых пациентов, которые получали лучевую терапию при лечении опухоли, затем диагностировали фиброз. Лекарства, которые влияют на легочную ткань: химиотерапевтические (метотрексат, цеклафосфамид), кардиологические (амиодарон, кордарон, анаприлин), антибиотики (макробид). Болезнь развивается вследствие аллергической реакции на препарат или из-за его продолжительного приема.
Иногда врачи не могут установить точную причину заболевания. Тогда болезнь классифицируют как идиопатический фиброз. Считается, что он возникает после повреждения эпителия альвеол, вследствие курения, вирусных инфекций, хронической аспирации, наследственной предрасположенности.
Диагностировать патологию на начальном этапе довольно сложно, поскольку болезнь в этот период не имеет специфических симптомов или они не вызывают беспокойство у больного.
Яркие проявления болезни наблюдаются только у 20% пациентов. К первым признакам фиброза относят кашель и одышку. Кашель сухой, постепенно переходит на влажный и учащается.
Одышка отмечается сначала только во время физической нагрузки, при прогрессировании болезни наблюдается в состоянии покоя.
Признаками легочного фиброза считаются:
- незначительная гипертермия,
- развитие болезней легких,
- симптомы сердечной недостаточности,
- дыхание учащенное и поверхностное,
- пальцы и слизистая рта приобретают синюшность.
Последний симптом возникает на поздних стадиях болезни. При тяжелом течении болезнь может распространяться и на другие органы, чаще всего сердце. Может происходить утолщение пальцев, становится выпуклой ногтевая пластина. Увеличиваются вены на шее, и наблюдается отечность конечностей.
При отсутствии адекватной терапии патология может способствовать появлению эмфиземы легкого, сердечной недостаточности, легочной гипертонии, рака.
При постановке диагноза врач принимает во внимание клинические, лабораторные, рентгенологические данные. Для того чтоб понять насколько нарушена деятельность легких проводятся тесты, которые замеряют силу выдоха, насыщенность крови кислородом, и деятельность легких во время физической нагрузки.
Для диагностики фиброза также используют рентгенологические методы:
- рентгенограмма необходима для визуализации легочного рисунка,
- компьютерная томография дает возможность увидеть очаговые, периферийные, субплевральные, сетевидные затемнения органа,
- эхокардиограмма нужна для подтверждения легочной гипертензии.
Может потребоваться биопсия органа, затронутого патологией. Бронхоскопия позволяет рассмотреть ткань легких, и определить процент поражения.
Прежде всего, необходимо исключить провоцирующий фактор. Так, если причина заболевания – нахождение на вредном производстве, то необходимо сменить работу. При наличии воспалительных заболеваний дыхательной системы или патологическое разрастание рубцовой ткани во всем организме, проводится устранение первичной патологии.
Задача терапии – уменьшение симптомов болезни. Консервативное лечение дает результат только на первых этапах течения заболевания.
Назначается:
- прием медикаментов,
- кислородная терапия,
- дыхательная гимнастика,
- бессолевая диета.
При лекарственной терапии эффективны стероидные препараты, которые устраняют симптомы заболевания. Необходим курс бронхолитиков, муколитиков, глюкокортикостероидов.
Если к фиброзным тяжам в легких присоединился бронхит или пневмония, то требуется пропить курс антибиотиков. Для профилактики сердечной недостаточности пациент вынужден принимать сердечные гликозиды.
Для поддержания иммунитета назначается витаминотерапия.
Лекарственные препараты имеют побочные эффекты, поэтому должны назначаться врачом и приниматься строго в указанной дозировке.
Избавиться от симптомов кашля поможет массаж. Он укрепляет мышцы, усиливает поступление крови и лимфы, способствует улучшению дренажной функции. При тяжелой стадии массаж противопоказан. Кислородная терапия увеличивает количество кислорода в крови, помогает уменьшить одышку и улучшить состояние в целом. Терапия может проводиться в домашних условиях.
Дыхательная гимнастика улучшает кровообращение, нормализует легочную вентиляцию, предотвращает застой крови. Упражнения делают на брюшное, грудное и полное дыхание. Полезны умеренные физические нагрузки. Врачи рекомендуют анаэробные нагрузки на свежем воздухе, например, бег, велоспорт или спортивную ходьбу.
Профилактика фиброза легких состоит из таких моментов, как:
- отказ от курения,
- применение индивидуальных средств защиты при работе в запыленных помещениях,
- своевременное лечение респираторных заболеваний,
- при приеме медикаментов, которые могут привести к развитию заболевания проводить периодический контроль состояния легких.
Фиброзные тяжи в легких – это рубцовые изменения, которые могут появиться в результате простуды с признаками пневмонии. Если не обнаружено других патологий в легких и нет проблем с дыханием, то лечение не требуется.
Загрузка…
Источник: https://prof-medstail.ru/bolezni-legkih/chto-takoe-fibroznyj-tyazh-v-legkih
Фиброз легких — патология, при которой высок риск тяжелой формы COVID-2019. И она же относится к серьезным последствиям коронавирусной инфекции. Рассказываем о причинах и симптомах этого заболевания.
Фиброзом легких называют патологию, при которой в тканях легкого образуется рубцовая (фиброзная) ткань.
Из-за этого эластичность тканей легких снижается. Кислород и углекислый газ хуже проходят сквозь стенки легочных пузырьков — альвеол.
Все это становится причиной нарушения дыхательной функции, одышки, нехватки кислорода. При отсутствии лечения и прогрессировании болезни срок жизни составляет не более трех лет.
Воспалительные процессы на альвеолах — основная причина формирования соединительной ткани и ее разрастания. Что может спровоцировать воспаление?
Важную роль отводят наследственному фактору. Склонность к фиброзу проявляется в семейном анамнезе у 20% больных.
Спровоцировать процесс фиброза легкого могут и другие факторы. Если есть семейная история болезни — риск значительно повышается.
Но и без наследственной предрасположенности фиброз легких возникает у тех, кто курит, занят на вредном производстве.
Чаще всего болезнь выявляется у людей старше 50 лет. Мужчин с таким диагнозом в 2 раза больше, чем женщин. Основная причина — курение.
Осложненные легочные болезни — альвеолит, асбестоз, туберкулез, саркоидоз, тяжелые пневмонии — тоже могут стать причиной фиброза тканей.
Именно по этой причине фиброз легких относят к осложнениям коронавирусной инфекции. Он может развиваться как следствие тяжелого воспаления легких.
Внелегочные патологии тоже могут провоцировать фиброз легкого. К ним относятся склеродермия, ревматоидный артрит, красная волчанка и т. д.
Среди лекарств, которые могут провоцировать легочный фиброз, метотрексат, антибиотик сульфасалазин, производные антимикробного вещества нитрофурана, средства от аритмии амиодарон, пропранолол.
Идиопатической (первичной) называют форму легочного фиброза с неустановленной этиологией — когда непонятно, почему возникла болезнь.
При интерстициальном легочном фиброзе есть возможность установить причину болезни. В зависимости от причин выделяют несколько видов.
Фиброзы вследствие пылевых заболеваний возникают на фоне силикоза, асбестоза — вдыхания силикатной пыли, мельчайших частиц асбеста.
Лекарственный легочный фиброз может развиваться из-за длительного курса терапии средствами от аритмии, химиотерапии опухолей, некоторых антибиотиков, антимикробных препаратов.
Фиброзы разных органов, в том числе и легких, возникают на фоне болезней соединительных тканей.
Легочный фиброз может поражать только часть одного легкого, целое легкое или весь парный орган.
При последней стадии — циррозе — легочная ткань полностью замещается рубцовой. Повреждаются бронхи и кровеносные сосуды.
Основной и ведущий симптом — это одышка. На начальной стадии фиброза легких она появляется только при физических нагрузках.
С прогрессированием заболевания и разрастанием фиброзной ткани газообмен ухудшается. Ощущение нехватки воздуха нарастает, одышка появляется даже в состоянии покоя.
Кашель — тоже один из ведущих признаков фиброзных изменений в тканях легких. Как правило, он сухой, непродуктивный. Возможно отделение небольшого количества мокроты.
Один из вероятных признаков — гастроэзофагеальный рефлюкс с частой изжогой.
Из-за недостатка кислорода нарушается кровообмен. Первыми страдают кожные покровы. Это заметно по бледности, цианозу (синюшному оттенку кожи).
Слабость, нарастание утомляемости, невозможность к тяжелой, а затем умеренной и легкой физической нагрузке тоже входят в признаки фиброза легких.
Если болезнь длительная, у половины пациентов начинается изменение формы пальцев рук — синдром «барабанных палочек». Они становятся толще, ногтевая пластина выпуклая, похожа на лупу.
При значительном поражении легких симптоматика дополняется картиной «легочного сердца», признаками сердечной недостаточности. В этом списке признаков — выраженная одышка, ускоренное сердцебиение, отечность ног, боли за грудиной, набухание, пульсация вен на шее.
Специальной и эффективной терапии для легочного фиброза нет.
Ведутся разработки и тестирование препаратов, направленных на уменьшение количества рубцовой ткани — для течения всех видов фиброзов.
Некоторые, в частности, иммунодепрессанты, способны уменьшать процесс рубцевания за счет подавления реакции организма на воспаление. Однако список побочных эффектов от такой терапии пока слишком велик.
Помогает поддерживать состояние пациента кислородотерапия, некоторые противовоспалительные препараты.
https://youtube.com/watch?v=5OjBAkYfypo
Если фиброз выражается ограниченными участками пневмосклероза и клинически не проявляется, терапию не проводят.
При наличии тотального фиброза помогает только хирургическое лечение: удаление части легкого или его пересадка.
При фиброзе легкого к опасным осложнениям относят хроническую дыхательную недостаточность и все последствия нехватки кислорода для организма.
Средняя продолжительность жизни при идиопатическом легочном фиброзе — 3 года.
Воспаления легких любой этиологии — бактериальной или вирусной — возникают легче и протекают намного тяжелее, чем у здоровых людей.
Болезнь легче предупредить, чем вылечить. Для профилактики надо отказаться от курения, использовать средства индивидуальной защиты на вредной работе, своевременно лечить воспалительные процессы в легких.
Если требуется прием лекарственных средств, повышающих риск фиброза, нужен регулярный контроль состояния легочных тканей: рентген, КТ, МРТ, дыхательные тесты.
Источник: https://doctor.rambler.ru/pharma/43982490-fibroz-legkih-prichiny-i-lechenie/
Фиброз лёгких — это хроническое заболевание легких, характеризующимся прогрессирующим рубцеванием ткани, которая покрывает орган: паренхиму легкого.
Когда стенка легочных альвеол (мешкообразные структуры, в которых заканчиваются бронхиальные ветви меньшего калибра) утолщается и усиливается этим прогрессирующим рубцеванием, их способность обмениваться газами уменьшается (то есть способность переносить, вдыхаемый кислород легкими в кровь, и выдыхать в воздух большую часть углекислого газа, который выделяется кровью). В результате организм больше не получает достаточно оксигенированной крови (т.е. очищенной от углекислого газа и насыщенной кислородом).
Со временем рубцовая ткань закрывает капилляры легочных альвеол, что еще больше ухудшает газообмен и вызывает последствия для кровообращения и сердца (вызывая заболевание известное как хроническое легочное сердце).
Фиброз лёгких относится к подгруппе так называемых интерстициальных заболеваний легких, в том числе около 200 болезней, характеризующихся воспалением и рубцеванием (фиброзом) легких.
Некоторые интерстициальные патологии легких развиваются в контексте аутоиммунных заболеваний (например, склеродермия, красная волчанка, ревматоидный артрит, полимиозит, дерматомиозит), другие вследствие воздействия на окружающую среду органической или неорганической пыли (например, кремнезема, асбеста, тяжелых металлов, промышленных газов и паров, бактерий, пыли животного происхождения), а некоторые являются следствием токсичности лекарств (амиодарон, химиотерапевтические препараты, радиотерапия) или связаны с инфекциями (бактериальные, вирусные, туберкулезные).
Обычно, признаки фиброза лёгких проявляются во взрослой жизни (40-80 лет), с одышкой (затрудненным дыханием), которая имеет тенденцию ухудшаться со временем, вплоть до полной легочной недостаточности, даже в состоянии покоя. Болезнь больше затрагивает мужчин, чем женщин.
По последним данным, каждый год в Европе диагностируется 30-35 000 новых случаев фиброза лёгких, в то время как в США заболевание поражает около 200 тысяч человек.
Причины фиброза лёгких неизвестны (т.е. легочный фиброз идиопатический).
Предполагается, что фиброз возникает из-за микроскопического повреждения паренхимы легкого, которое вызывает воспалительный ответ и последующее появление патологического рубцевания ткани.
В 10-15% случаев к заболеванию можно иметь генетическую предрасположенность.
Однако существуют другие факторы риска, которые предрасполагают к возникновению фиброза лёгких:
- сигаретный дым;
- отравление угарным газом;
- длительное воздействие пыли на рабочем месте (асбест, кремнезем, тяжелые металлы, древесные опилки);
- птицеводство, сельскохозяйственная деятельность;
- инфекционные агенты (вирус Эпштейна-Барра, гепатит С, вирус герпеса, цитомегаловирусные инфекции);
- гастроэзофагеальная рефлюксная болезнь;
- лекарственные препараты (амиодарон, пропранолол, фенитоин, метотрексат, оксалиплатин);
- радиотерапия (лучевая терапия);
- генетические факторы: случаи семейного легочного фиброза составляют менее 5% от общего числа; но ряд генетических факторов может играть роль даже в «спорадических» случаях фиброза лёгких.
Лёгочный фиброз имеет тенденцию проявляться следующими симптомами:
- одышка, хрипение (одышка возникает в начале из-за физических нагрузок, затем все больше и больше начинает появляться, когда человек одевается, ходит по дому или разговаривает) ;
- хронический “сухой” кашель, не вызывающий мокроту;
- слабость, астения;
- дискомфорт в груди;
- потеря аппетита и веса.
Реже могут также присутствовать следующие признаки:
- лихорадка;
- боли в мышцах и суставах;
- кровохарканье (выделение крови из дыхательных путей, обычно посредством кашля).
В долгосрочной перспективе может возникнуть ряд осложнений, которые негативно повлияют на клиническую картину пациента и качество жизни. Наиболее важными являются:
- гипоксемия и гиперкапния (снижение O2 и увеличение CO2 в крови), которые можно оценить с помощью анализа газов крови;
- пневмоторакс (ненормальное присутствие воздуха в плевральной полости, препятствующее нормальному расширению легких);
- цианоз (синеватое изменение цвета кожи и слизистых оболочек);
- гипертрофия вспомогательных мышц дыхания;
- легочная гипертензия;
- пальцы Гиппократа (колбовидное утолщение концевых фаланг пальцев кистей и стоп).
Эти осложнения, наряду с хронической дыхательной недостаточностью, могут затем привести к смерти пациента после нескольких лет болезни.
Не существует специальных методов лечения этого заболевания, которое обычно имеет прогрессирующее течение. Некоторые экспериментальные методы лечения фиброза лёгких в настоящее время изучаются в рамках некоторых экспериментальных клинических исследований.
У более молодых пациентов наиболее эффективным терапевтическим вариантом является пересадка легких.
Однако существует ряд методов терапии, направленных на замедление прогрессирования заболевания и улучшение качества жизни пациента (кислородная терапия, прием кортизона и иммунодепрессантов, программы легочной реабилитации):
- Кортизон: противовоспалительный препарат, которые подавляет реакцию иммунной системы. При длительном применении кортизон также может вызвать сильные побочные эффекты (данный препарат подвергает больного риску инфекций, может вызывать метастероидный диабет, увеличение веса, остеопороз, язвенную болезнь, психические изменения);
- Циклофосфамид, Азатиоприн: это препараты подавляют реакцию иммунной системы;
- N-ацетилцистеин: это муколитическое, отхаркивающее, и антиоксидантное средство, который также помогает больным пациентам с лёгочным фиброзом;
- Кислородная терапия: служит для восполнения недостатка кислорода, вызванного снижением функции легких. Требование устанавливаются на основе анализа газов крови и оксиметрии. Его можно вводить только ночью, во время физической активности или в течение всего 24-часового периода;
- Программы респираторной реабилитации: его задача научить пациента лучше дышать и переносить стресс;
- Трансплантация лёгких: это окончательная терапия фиброза лёгких. Она предназначается в отдельных случаях, для пациентов без других сопутствующих заболеваний. Трансплантация лёгких очень сложная процедура, проводится только в узкоспециализированных центрах.
Все пациенты с фиброзом лёгких должны сочетать терапию со здоровым образом жизни, которая включает:
- регулярные физические нагрузки (возможно, в рамках программы респираторной реабилитации), без страха одышки. Чем больше вы ведете сидячий образ жизни, тем хуже становится состояние ваших мышц; физическая активность, с другой стороны, позволяет лучше противостоять стрессу и улучшает качество жизни и настроение;
- здоровое питание, основанное на рационе, обогащенном фруктами, овощами и цельными зернами, с содержанием постного мяса, птицы, рыбы, молока и молочных продуктов с низким содержанием жиров. Вместо этого следует ограничить потребление соли, сахара, животных жиров и сладостей. Те, кто страдает от дыхательной недостаточности, должны избегать обильного приёма пищи и делить приём на меньшие порции;
- необходимо бросить курить и избегать воздействия пассивного курения;
- высыпаться и освоить техники релаксации;
- необходимо сделать прививку от пневмококковой инфекции и регулярно делать её от гриппа.
Причины фиброза лёгких неизвестны. Однако существуют факторы риска, способствующие его появлению. Поэтому раннее принятие мер относительно этих факторов риска снижает вероятность развития болезни.
Для предотвращения легочного фиброза необходимо:
- воздерживаться от курения (в том числе и пассивного);
- принять защитные меры, чтобы избежать вдыхания пыли на рабочем месте (асбест, кремнезем, тяжелые металлы, опилки);
- принимать защитные меры, если вы работаете в сфере птицеводства или сельского хозяйства;
- в случае гастроэзофагеальной рефлюксной болезни обратитесь к врачу для определения соответствующей терапии.
Прогноз легочного фиброза, к сожалению, отрицательный. Не существует окончательной терапии, ведущей к полному выздоровлению, а только различные виды лечения, которые помогают устранить симптомы, избежать рецидивов заболеваний и улучшить качество жизни пациентов, повышая их выживание по возможности.
Интересное
Источник: https://tvojajbolit.ru/pulmonologiya/fibroz-lyogkih/

Фиброз легких – это заболевание, при котором происходят аномальные изменения в легочной ткани характеризующиеся замещением нормальных структур соединительной тканью, то есть происходит рубцевание. В результате таких поражений возникают множественные рубцы в легочной системе, избавиться от которых нельзя.
Лечение патологии происходит в стационарных условиях и требует обширного подхода, в том числе и применения упражнений из курса дыхательной гимнастики ЛФК.
Фиброзные изменения в тканях легочной системы относят к тяжелым патологиям, так как зарубцевавшиеся части легких неспособны выполнять собственную функцию по обеспечению организма кислородом.
Общее самочувствие пациента резко ухудшается.
Главной опасностью данного заболевания является длительный период бессимптомного протекания.
В дальнейшем отмечается такой ряд симптоматических показаний:
- Цианозные проявления на коже пациента – кислородная недостаточность выражена бледностью и синюшностью некоторых участков кожи.
- Возникновение отдышки при физической нагрузке, которая при дальнейшем развитии патологических изменений становиться постоянным спутником человека.
- Присутствие сухого кашля, в некоторых случаях возможно отхаркивание небольшого количества легочного экссудата (мокроты).
При длительном развитии и переходе патологии в хронический тип отмечаются такие изменения:
- постоянная тахикардия;
- отечность нижних конечностей;
- выраженная пульсация вен на шее;
- повышенная утомляемость;
- постоянная отдышка;
- непереносимость любых физ. нагрузок;
- боли в грудной клетке.
Для определения необходимого пациенту лечения обязательно выявить причину возникших патологических изменений и разрастания рубцовой ткани.
Среди таковых особенно выделяют следующий ряд:
- хронические дыхательные аллергии;
- длительный период приема антибиотиков и химиотерапевтических медикаментов;
- нарушения в работе печени – гепатит или цирроз;
- гранулематозные поражения легочной системы;
- облучение радиоактивными веществами;
- хронические инфекционные поражения легочных тканей;
- регулярное вдыхание загрязненного воздуха;
- волчанка, васкулит, ревматоидный артрит;
- курение как дополнительный фактор возникновения;
- идиопатическая форма – причины невозможно выявить.
Курильщики сталкиваются с фиброзом чаще, чем лица, не имеющие никотиновой зависимости.Важно! Как результат развития патологии – снижение кислородного обеспечения организма и ослабление иммунной сопротивляемости у пациента, что в свою очередь приводит к возникновению и развитию более тяжелых и опасных заболеваний. Кроме того, снижение обеспечения организма кислородом, вызывает негативную динамику в лечении множества других патологических нарушений, в том числе и сердечно-сосудистой системы.
Медикаментозное лечение фиброза.
После выявления возникшего фиброзного поражения лечащий врач определяет необходимые направления воздействия и назначает лечебную программу. Она может включать как отдельные методики, так и их комплекс.
Среди применяемых методов лечения выделяют:
- хирургическое лечение;
- медикаментозная терапия:
- физиотерапевтические методики;
- дыхательная гимнастика при фиброзе легких;
- средства народной общеукрепляющей медицины.
При этом следует отмечать, что сочетание различных методик дает наилучшие показатели.
Применение хирургических способов лечения такого заболевания как фиброз легкого назначается только тогда, когда все прочие способы не оказали должного воздействия либо на последних стадиях фиброзного поражения (развитие пневмосклероза и тотальное поражение легочных тканей).
Трансплантология.
Непосредственно хирургическое вмешательство подразумевает трансплантацию одного или обоих легких и имеет ряд противопоказаний, которые связанны с присутствием заболеваний:
- сердечнососудистой системы;
- почек;
- печени;
- ВИЧ-инфицирования.
Длительность вмешательства занимает период от 4 до 7 часов. После успешного завершения трансплантационной операции пациенту требуется стационарный уход и применение множества иммуномодулирующих средств, позволяющих избежать отторжения пересаженных органов.
Методика медикаментозного лечения определяется в индивидуальном порядке.
Для лечения фиброза при тяжелых поражениях часто используется медикаментозная терапия, позволяющая замедлить разрастание соединительных тканей в легочной системе, тем самым увеличивая продолжительность жизни пациента. Но следует учитывать, что наиболее эффективной методика является лишь на ранних стадиях развития заболевания.
Основными группами медикаментозных препаратов, используемых для лечения фиброза легких, являются средства, рассмотренные в таблице.
Медикаментозная терапия фиброза легкихЛекарственные средстваДействиеЦиостатические препаратыГлавным воздействием данной группы средств является приостановление разрастания рубцовой ткани, что позволяет замедлить процесс развития фиброза.
Однако отмечаются и негативные воздействия на организм, в особенности на: процессы кроветворения, систему ЖКТ, иммунитет, половые железы, возможна алопеция (выпадение волос). Для нивелирования побочных эффектов могут использоваться иммуномодулирующие препараты.Глюкокортикостероидный ряд медикаментовОсновным эффектом является снижение активности разрастания тканей фиброзного типа.
Как негативные последствия применения этой группы препаратов отмечают: язвенные заболевания органов ЖКТ, возможные нервные и психические нарушения, сбои в работе системы кровообращения, нарушения метаболических процессов в мышечных тканях, остеопороз.
Препараты отхаркивающего и противокашлевого воздействияОни применяются для дополнительного очищения полости легких и снижения нагрузки на ткани, что позволяет сократить скорость возникновения новых повреждений от фиброза. Кроме того, снижаются и симптоматические проявления патологии, что позволяет пациенту дышать более свободно, ускоряя выздоровление.
Антибиотики и противопаразитные препаратыЭта группа является вспомогательным рядом средств, которые используются в случае осложнения фиброзного поражения легких иными заболеваниями, к примеру, бронхита или пневмонии. Однако следует учитывать и тот фактор, что основное лечение фиброза не отменяется.
Отдельно следует отметить, что даже при успешном лечении фиброза необходимо в дальнейшем регулярно проходить вакцинацию от гриппа и пневмококковой инфекции, так как снижение иммунного уровня может привести к быстрому развитию заболеваний.
Процедура массажа.
В процессе лечения фиброза могут использоваться и немедикаментозные методики. Важно! Основной направленностью таковых является общее укрепление организма и дыхательной системы, что позволяет приостановить процесс развития патологии и усилить работу легочной системы.
Обычно назначают такие типы лечения:
- массажные процедуры;
- курс ЛФК направленный на усиление дыхательных мышц;
- кислородотерапия.
Каждая из методик позволяет достичь определенного усиления кровообращения в области легочной системы и дополнительно усилить поступление кислорода в кровь, что в свою очередь позитивно сказывается на состоянии здоровья пациента и устраняет основную симптоматику фиброзного поражения. Лечебная гимнастика при фиброзе легких позволяет улучшить работу органов и в целом положительно влияет на самочувствие пациента.
ЛФК при фиброзе.
в этой статье ознакомит читателей с основными правилами лечения фиброза легких, соблюдение которых обеспечит скорейшее восстановление. Фото охарактеризуют опасность заболевания.
Дыхательные упражнения при фиброзе легких дают положительный эффект, но пациенты должны помнить о том, что инструкция по их выполнению должна соблюдаться беспрекословно.
Ценность дыхательных упражнений.
Эта методика не может откатить изменения, возникшие в легочных тканях, но способна восстановить необходимый уровень газообмена, что позволяет пациенту жить полноценной жизнью.
Упражнения следует выполнять не менее чем по 5 раз на сутки для каждого отдельного типа дыхания:
- Брюшное дыхание подразумевает выполнение дыхательных действий диафрагмой. Фактически пациент должен в процессе выполнения гимнастики дышать животом.
- Грудинное дыхание заключается в выполнении дыхательных действий грудной клеткой. При выполнении данного типа упражнений брюшной пресс остается неподвижным.
- Полное дыхание совмещает оба варианта – вдох следует выполнять за счет мышц живота, а выдох совершается грудной клеткой.
Важно! Для восстановления возможностей газообменного процесса рекомендуют использовать упражнения, расширяющие объем воздуха – надувание шариков при помощи коктейльной трубочки. Также полезно проводить манипуляцию с выдуванием воздуха в стакан с водой через трубочку.
В процессе лечения применяется такой ряд упражнений для облегчения состояния пациента:
- Необходимо выполнить вдох полной грудью и задержать собственное дыхание на период около 5 секунд (щеки раздувать нельзя), после чего выдохнуть часть воздуха с максимально возможным усилием, а оставшийся плавно.
- Свободное дыхание при облегченных физических нагрузках, в зависимости от состояния пациента это могут быть непродолжительные прогулки или бег трусцой.
- Плавное дыхание при совмещении с физиотерапевтическими методиками – кислородотерапией или курсами дыхательных массажей под контролем инструктора.
Все это позволит максимально облегчить дыхание пациента, снизить степень отдышки и сократить срок лечения и период восстановления после заболевания. В период реабилитации после лечения рекомендуется также выполнять дыхательные упражнения.
https://youtube.com/watch?v=3WIGWb-PPE8
Они облегчены и позволят оптимально повысить работоспособность легких:
- Требуется лежа выполнять подтягивание коленей к грудной клетке в процессе вдоха и возвращаться на выдохе в исходную позицию.
- Необходимо дышать диафрагмой – в лежачем положении глубоко вдохнуть, пользуясь брюшным дыханием и выполнить выдох, слегка раздувая живот.
- В стоячем положении требуется выполнять вдохи, при этом разводя руки в разные стороны, а на выдохе складывать на груди и пытаться дотянуться до лопаток.
- Руки следует сложить в замок и выполнить замах за голову при вдохе, а в процессе выдоха опустить руки вниз между ног с наклоном.
- Стоя выполнять вдохи-выдохи, разводя собственные руки в диагональной плоскости (вверх и в стороны) и складывая на груди стараясь прикоснуться к спине.
- Ноги в стоячем положении необходимо поставить на уровне плеч и выполнять вдох, вытягивая руки вперед и приподнимаясь на носок, а в процессе выдоха наклоняться, имитируя движения лыжника.
Дыхательные упражнения следует выполнять под контролем специалиста.Внимание! На начальном этапе проведения упражнений рекомендуется воспользоваться помощью инструктора по физиотерапии. Он подскажет правильное выполнение каждого из упражнений и составит индивидуальную программу восстановления в зависимости от конкретного случая. Следует отметить, что инструктор также может помочь и посредством применения массажных методик.
Методики нетрадиционной медицины можно использовать после консультации с доктором.
Народная медицина при лечении фиброзного поражения легких достаточно ограничена в возможностях, но может позволить снизить симптоматические проявления и укрепить иммунную способность организма в целом. Для лечения фиброза легких может использоваться грудной сбор с разрешения, лечащего врача.
Инструкция регламентирует лишь приблизительные пропорции, рекомендуемые для приготовления, а более точные объемы определяет врач. В некоторых случаях применение смеси трав недопустимо.
Цена нарушения запрета может быть высокой, всегда присутствует риск развития аллергической реакции. Рецептов отваров существует множество, но прежде чем применять их лучше проконсультироваться с лечащим специалистом и уточнить нюансы применения и сочетаемость с медикаментами основного курса.
Диетические нормы здорового питания также полезны, но рекомендованная врачом диета на первом месте. Важно помнить о том, что питание пациента должно быть сбалансированным. Пациент должен получать витамины в достаточных объемах.
Важно! Следует подчеркнуть необходимость исполнения отказа от вредных зависимостей, таких как алкоголь и курение.
Полностью избавится от фиброзного поражения легких невозможно, но своевременно оказанная квалифицированная помощь медицинских работников и использование методов дыхательной гимнастики из курса ЛФК для легких позволяет остановить развитие заболевания.
Пренебрегать рекомендациями врача не следует, отказ от соблюдения рекомендаций может стать причиной ухудшения самочувствия больного.
Читать далее…
Источник: https://zen.yandex.ru/media/id/59bf9ecc9d5cb3ee0df4e084/5a3bcafdfd96b11635250ff8
Поделиться:









