Сколько живет туберкулезная палочка в окружающей среде и организме человека? Что такое микобактерии, в частности туберкулезная палочка, знают немногие. А вот о заболевании туберкулез легких известно практически всем.
Какая же связь данной бактерии с патологией органов дыхания? Самая прямая – туберкулезная палочка является возбудителем этого заболевания, которое в короткий срок поражает полость легких.
Такая палочка считается одной из самых опасных разновидностей современных микобактерий, которые привыкли к окружающей среде и внешним факторам.
В наши дни туберкулезная палочка ежегодно уносит жизни многих людей, поэтому избавиться от нее нужно в короткий срок. При этом больной должен знать некоторую информацию о данной микобактерии, к примеру, сколько живет и как размножается палочка Коха, чего боится и при какой температуре умирает.
Туберкулезная палочка – это чуть изогнутая бактерия, если посмотреть на нее при помощи микроскопа.
Длина данного возбудителя инфекций измеряется в микрометрах, так как бактерии этого рода очень маленькие.
Проникать в человеческий организм туберкулезная палочка может:
- с едой;
- воздушно-капельным путем;
- при прикосновении, чихании или разговоре с зараженным;
- долго находясь в одном помещении или живя с инфицированным;
- при использовании одних бытовых предметов.
Также бактерия нередко живет в помещении на мебели и тканях. Наиболее распространенный случай заражения этим возбудителем – воздушно-капельный, при котором туберкулезная палочка живет в окружающей среде довольно долгое время. Также очень быстро «подхватить» туберкулез можно в закрытом помещении, где жил или живет инфицированный человек.
Палочка Коха – сложный объект, который трудно изучать даже в условиях лаборатории. Из-за чего это происходит?
Дело в том, что этот вид микобактерий с недавнего времени начал сильно мутировать, что делает палочку Коха более живучей и сильной – в результате не многие современные препараты и процедуры могут полностью побороть возбудителя инфекции, так как он умеет приспосабливаться к любым внешним и внутренним факторам.
При попадании в человеческий организм микобактерия данного вида не способна выделять никакие токсичные вещества, по которым можно определить начало инфицирования.
Кроме того, из-за этого иммунной системе трудно распознать поражение легких, чтобы начать свою работу по уничтожению микроорганизмов.
А значит, туберкулезная палочка имеет массу свободного времени, чтобы обжиться в организме и начать свое активное размножение в органах дыхания.
Иммунитету лишь удастся через определенный срок начать свою работу по уничтожению возбудителя туберкулеза и нейтрализовать микобактерии, однако не все из них смогут погибнуть и перестать поражать полость легких.
Некоторые особи способны жить и находиться в человеческом организме десятки лет, правда, в неактивном состоянии.
Важно: заразится человек туберкулезом или нет, напрямую зависит от «здоровья» и состояния иммунитета, поэтому его нужно всегда держать «в форме», чтобы исключить эту опасную патологию, которую не так-то просто вылечить.
В наши дни туберкулезная палочка поражает многие системы и органы человека.
К ним относится:
- легкие;
- мягкие ткани;
- почки;
- кости;
- печень.
Однако чаще всего встречается именно туберкулез легких, так как попавшая в организм микобактерия переносится с потоком крови и легко проникает в полость легких и бронхов. А если больной заразится патологией воздушно-капельным путем, туберкулезная палочка еще быстрее проникнет в организм, после чего начнется инкубационный период, где она будет «обживаться» и активно размножаться.
Микобактерии – это «бронированные» микроорганизмы, которые наделены прочной и сильной оболочкой. Именно она защищает их от негативного воздействия внешней, внутренней и окружающей среды.
https://youtube.com/watch?v=aZzlB-WJRBI
В каждом конкретном случае туберкулезная палочка живет разное количество времени:
- Сколько живет бактерия в полости легких? В организме человека палочка способна существовать десятки лет. При этом, не считая, что инкубационный период возбудителя длится около 30 дней. Если палочка Коха в полости легких будет в неактивном состоянии, она способна существовать всю жизнь больного, однако при легком понижении иммунитета бактерия сразу начинает «действовать», поэтому при своевременном лечении от нее можно быстро избавиться. Но если человек в короткий срок снова заразится туберкулезом, возбудитель уже будет готов к негативному воздействию препаратов, поэтому врачу нужно будет назначать лечение иными лекарствами, которые позволят уничтожить палочку.
- В окружающей среде, а именно в воздухе, возбудитель способен существовать на протяжении 30 суток. А если бактерии постоянно выбрасываются в воздух при чихании, кашле или разговоре больного, палочка туберкулеза живет еще дольше.
- На одежде и бытовых предметах бактерия жизнеспособна несколько недель (2-6).
- В воде возбудитель живет не менее 5 месяцев.
- В кипящей воде палочка Коха погибает лишь спустя полчаса.
- В помещении, где жил больной человек, возбудитель остается активным на протяжении нескольких месяцев, живя на одежде, мебели, тканях и личных предметах.
- В организме животных возбудитель гибнет только после 1-2 лет, что обуславливается отсутствием лечения.
Важно: у данного представителя микобактерий есть существенный минус – из-за своей прочной оболочки она не способна быстро размножаться и передвигаться в организме. Это значит, что если лечение будет назначено вовремя, избежать заражения полости легких удастся.
Чего боится бактерия и чем ее можно уничтожить? На сегодняшний день известно немного методов, которые позволят быстро и эффективно уничтожить возбудителя туберкулеза.
К ним относится:
- Некоторые группы лекарственных препаратов, которые негативно влияют на клеточный слой бактерии. Назначать их вправе только врач, так как многие лекарства могут также не лучшим образом сказаться на организме человека при неправильном приеме.
- Находясь под прямыми солнечными лучами, туберкулезная палочка гибнет уже через 1,5-2 часа.
Чтобы быстро избавиться от туберкулеза легких, важно знать все о его возбудителе – тогда удастся быстро побороть заболевание, и вернуть организму здоровье.
Источник: https://tuberkulez03.ru/info/skolko-zhivet-tuberkuleznaya-palochka.html
Сегодня каждый знает, что такое туберкулезная палочка, или палочка Коха (по имени ученого, который ее обнаружил). Туберкулез до начала XX в. был практически неизлечимым. Сейчас инфекцию стараются выявить на ранних стадиях, когда она легче поддается лечению. Для этой цели разработан комплекс мер по ранней диагностике и профилактике.
Туберкулез – это инфекционное заболевание. Кроме палочки Коха (бактерии M. tuberculosis), существуют и группа близкородственных микобактерий, вызывающих туберкулез. Обнаружена типовая микобактерия и доказана инфекционная природа заболевания Робертом Кохом в 1882 г. Микобактерии имеют такое название, потому что совмещают в себе свойства бактерий и грибов.
Разные формы туберкулеза широко распространены в мире, им болеют как люди, так и животные. Инфицирование наступает после попадания туберкулезной палочки в организм. Начнет ли развиваться болезнь, зависит от иммунного статуса человека, поэтому надо помнить о том, что к снижению иммунитета приводят не только хронические болезни, но и такие причины, как стресс или вредные привычки.
Наиболее частый способ заражения – воздушно-капельный.
В таком случае патогенные микробы распространяются по воздуху, когда больной человек чихает, кашляет или разговаривает. Гораздо реже (примерно 5% случаев заражения) болезнь может передаваться алиментарным путем. Бактерии попадают в организм человека через продукты, особенно животного происхождения. Например, можно заразиться, употребив в пищу мясо больного животного.
Еще один вид заражения – внутриутробный, когда болезнь передается от матери к ребенку. Инфекция также может передаваться контактно (через кожные покровы) или опосредованно (через общие бытовые предметы).
Палочка Коха является возбудителем заболевания, которое и в XXI в. остается смертельно опасным. Сейчас смертность от туберкулеза ниже, чем была в прошлых столетиях, но болезнь еще остается непобежденной. Причина этого – наличие лекарственно-устойчивых форм микобактерии.
Такие формы инфекции не поддаются лечению наиболее распространенными противотуберкулезными препаратами. В такой ситуации прибегают к антибиотикам второго ряда. Лечение устойчивых форм туберкулеза занимает не менее 2 лет. Если микобактерии не реагируют и на препараты второго ряда, то заболевание такой формой туберкулеза является смертельным приговором.
Появление лекарственно-устойчивых штаммов – результат того, что у микобактерий есть способность к мутации. Они могут приспосабливаться под действие антибиотиков, и препараты перестают быть губительными для бактерий.
Появление лекарственной устойчивости может произойти у тех пациентов, которые не придерживаются правил приема антибиотиков. Прерывание курса является смертельно опасным.
Ученые постоянно работают над созданием лекарств, которые смогут уничтожить лекарственно устойчивые штаммы туберкулезной инфекции.
Высокий уровень заболеваемости сохраняется в местах лишения свободы.
Среди заключенных высокий уровень смертности от туберкулеза. Еще один фактор, способствующий распространению туберкулеза, – ВИЧ-инфекция. Из-за сниженного иммунитета люди с ВИЧ-инфекцией чаще других заболевают туберкулезом. Туберкулез – самая частая причина смерти больных СПИДом.
Высокозаразную болезнь не удается полностью победить еще и потому, что многие пациенты годами болеют открытой формой заболевания, но не знают о диагнозе и, соответственно, заражают других людей. Ученые разрабатывают механизмы ранней диагностики заболевания и считают, что снизить уровень заболеваемости поможет высокая осведомленность населения об инфекции.
В начале развития заболевания проявляются неспецифические признаки интоксикации организма. Это слабость, быстрая утомляемость, повышенная потливость, особенно в ночное время. Часто наблюдается снижение веса из-за пониженного аппетита. Кожа больного выглядит бледной. Отмечается длительная субфебрильная температура (в пределах +37,1…+38 °C). Могут увеличиваться лимфоузлы.
По мере прогрессирования заболевания присоединяются симптомы со стороны пораженного органа. У туберкулеза существует несколько форм, которые отличаются симптомами и лечением.
Наиболее часто встречающаяся форма инфекции – легочная. О ней может свидетельствовать длительный кашель с мокротой, в запущенных случаях – кровохаркание. При осмотре врач слышит хрипы в легких. Больной отмечает появление одышки и затруднение дыхания. При присоединении плеврита (скопление жидкости в легких) появляются сильные боли в грудной клетке.
Если туберкулезная палочка поразила почки, на начальной стадии заболевание трудно дифференцировать от других патологий. У больных присутствуют общие признаки интоксикации – слабость, лихорадка, потливость. К ним могут добавиться боли в пояснице и нарушение мочеиспускания. В запущенных стадиях может наблюдаться повышение артериального давления.
Важная информация: Виды и клинические формы туберкулеза легких
Для этой формы заболевания характерны различные внешние изменения кожных покровов, появление уплотненных узелков, папул красно-коричневого цвета, мелких высыпаний, язв. Туберкулез кожи имеет много клинических форм, что затрудняет постановку диагноза.
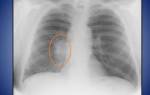
К традиционным методам диагностики туберкулеза легких относится проведение флюорографии, рентгена грудной клетки, туберкулинодиагностики (проба Манту). Рентгеновские снимки показывают структурные изменения в легких, проба Манту дает возможность оценить иммунную реакцию на микобактерии. Для получения более подробной картины состояния легких используют компьютерную томограмму.
Одним из основных диагностических методов является посев мокроты больного. Это исследование позволяет обнаружить наличие бактерий в мокроте, но отрицательный результат не всегда говорит об отсутствии инфекции у человека.
Бактерии в мокроте обнаруживаются только у больных открытой формой туберкулеза, которые могут заражать других. У пациентов с закрытой формой и у детей на ранней стадии заболевания посев часто дает отрицательный результат.
Еще одним методом диагностики является ПЦР (полимеразная цепная реакция).
Это исследование нацелено на обнаружение микобактерии в биологическом материале пациента.
При подозрении на почечный туберкулез проводят УЗИ или компьютерную томографию почек.
Диагноз туберкулез кожи ставится на основе осмотра дерматологом, обнаружения антител к инфекции в биологических жидкостях, проведения пункции для подтверждения нахождения микобактерий в очаге поражения кожи.
К новым методам диагностики относится экспресс-тест. Он позволяет определить не только наличие микобактерий, но и устойчивость к самому распространенному препарату против туберкулеза – Рифампицину. Результаты доступны через 2 часа после проведения анализа. ВОЗ рекомендует этот метод диагностики как приоритетный у людей с подозрением на инфекцию.
Сколько живет туберкулезная палочка, зависит от условий, в которых она находится. Наиболее благоприятная среда – высокая влажность и умеренная температура.
Продолжительность жизни микобактерии – 18 часов. Опасность в том, что за это время палочка размножается, и количество паразитических микроорганизмов увеличивается в сотни раз.
Человеческий организм – не самая благоприятная среда для микобактерий, но они могут длительное время находиться в неактивной форме.
В таком случае иммунитет не реагирует на наличие паразитических бактерий, а защитная оболочка туберкулезной палочки уберегает ее от внешних воздействий.
В таком виде микобактерии могут прожить в организме человека десятки лет до того, как начнет развиваться заболевание.
В окружающей среде палочка туберкулеза может прожить от нескольких недель до нескольких лет.
Если в доме или квартире жил больной человек, у которого была открытая форма туберкулеза, то в воздухе, пыли и на предметах быта палочка сохраняет жизнеспособность около месяца. В книгах она может сохраняться до 3 месяцев.
Длительную жизнеспособность микобактерии могут сохранять в продуктах питания. Если в молоке палочка погибает через 18 дней, то в сыре, масле и замороженном мясе может существовать в течении 10 месяцев.
Боится палочка Коха ультрафиолетового излучения и повышенной кислотности. Под прямыми солнечными лучами микобактерии погибают за несколько часов, чистый ультрафиолет убивает паразитов за несколько минут. Поэтому палаты в больницах оборудованы ультрафиолетовыми лампами большого размера. Важно регулярно обеззараживать помещения.
Больного туберкулезом для уничтожения вредоносных бактерий лечат комплексом антибиотиков. Чтобы вылечить туберкулезную инфекцию, необходима длительная терапия. В среднем она занимает от полугода до года, при устойчивой к лекарствам форме – несколько лет.
Палочка Коха погибает при обработке антисептическими средствами, которые содержат хлор, в течение 4-5 часов. Микобактерии разрушаются при кипячении. В горячей воде, но не кипятке, бактерии гибнут, но для этого необходимо длительное воздействие температур.
Микобактерии сохраняют жизнеспособность в условиях влажности и невысокой температуры. Низкой температуры возбудитель инфекции не боится, палочку Коха не убивает температура -20°C, в таких условиях она может прожить 7 лет.
Губительным для патогенного микроорганизма становится воздействие температуры +85°C и выше. При такой температуре погибает палочка Коха за 30 минут.
Источник: https://ProTuberkulez.info/vidy/palochka-koha.html
Туберкулезная палочка — основная причина развития туберкулеза у человека.
В зависимости от того, где развивается микобактерия, различают разные формы и виды заболевания.
В основном, ему подвержены люди с ослабленной иммунной системой и жители неблагоприятных районов.
Врач-терапевт: Азалия Солнцева ✓ Статья проверена доктором
Туберкулез является одним из старейших из известных человеку заболеваний. До сих пор по его вине в мире ежегодно умирают около 2 миллионов человек. Туберкулез может проявляться по-разному, поражая кости, центральную нервную систему и другие органы, но в первую очередь это именно заболевание легких.
Туберкулезная палочка (Mycobacterium Tuberculosis), также известная как палочка Коха или бацилла Коха, передается воздушно-капельным путем и оседает в альвеолах легочной ткани. С этого момента течение болезни во многом зависит от иммунного ответа организма носителя.
На эффективность этого ответа влияют как внутренние факторы, такие как генетическая предрасположенность, так и внешние – факторы, повреждающие иммунную систему и общее состояние организма.
Несмотря на повсеместное использование живых (аттенуированных) вакцин и ряда антибиотиков, туберкулезная палочка сейчас значительно распространена. А значит необходимо искать новые вакцины, лекарства и чувствительные методы диагностики.
www.ncbi.nlm.nih.gov
Бацилла Коха (аэробный микроскопический возбудитель) не образует спор, однако это не мешает ей сохранять неделями жизнеспособность в пыли на коврах, одежде и останках животных и месяцами в мокроте.
Сколько живет туберкулезная палочка? Выживаемость, то есть сколько живет палочка M. tuberculosis вне организма хозяина составляет: мокрота — 6-8 месяцев, одежда — 45 дней, книжная бумага — 105 дней.
Недавние исследования показали, что многие бактерии в дыхательных путях переходят в неактивное состояние, благоприятное для их выживаемости. Важно знать, что на концентрацию жизнеспособных палочек в воздухе влияет проветривание помещения.
www.ehs.research.uiowa.edu
www.ghdonline.org
Пациенты со скрытой (латентной) формой инфекции хорошо себя чувствуют и не проявляют каких-либо симптомов. Они заражены, но не больны. Единственным признаком носительства туберкулеза является положительная реакция на кожную пробу с туберкулином (проба Манту). Люди со скрытой формой туберкулеза не заразны и не могут передать туберкулез другим.
В целом, от 5 до 10% носителей, в течение жизни способны развить полноценную болезнь. Примерно у половины это происходит во время первых 2 лет после инфицирования. Риск развития инфекции значительно выше у лиц с ослабленной иммунной системой, как например при ВИЧ, нежели у людей с хорошим иммунитетом.
Особую тревогу вызывают пациенты, больные лекарственно-устойчивой формой, у которых позже развивается заболевание, которое почти не реагирует на лечение.
Характеристики носителя:
- кожная проба и анализы крови показывают наличие инфекции;
- нет изменений на рентгене или в мокроте;
- является носителем живой, но неактивной палочки;
- хорошо себя чувствует;
- не может передавать болезнь другим;
- нуждается в лечении, чтобы в последствии не развилось заболевание (исключение: если является носителем лекарственно-устойчивой палочки).
www.cdc.gov
Согласно Всемирной Организации Здравоохранения (ВОЗ) – посев на туберкулезную палочку является золотым стандартом в диагностике туберкулеза. Культивирование в бактериологической лаборатории важно не только для постановки диагноза, но и для определения устойчивости микроорганизма к антибиотикам.
Посев проводят на нескольких питательных средах. Для определения лекарственной чувствительности используют среду Левенштейна-Йенсена или среду Финна II. На плотных питательных средах вырастают колонии R-формы: разной величины и вида, морщинистые, сухие, цвета слоновой кости
Положительный результат означает, что в образце была обнаружена бацилла Коха. Положительный ответ дают после окраски колоний по Циль-Нильсену. Это подтверждает диагноз туберкулеза.
Негативный результат означает, что палочки обнаружено не было. Однако, это не исключает диагноза. Некоторым пациентам окончательный диагноз ставится на основании признаков и симптомов, а также реакции на лечение.
www.jcm.asm.org
www.cdc.gov
Туберкулезная палочка является облигатным аэробом, это означает, что для ее функционирования необходим кислород. Растет при температурах в пределах 30-41oС, оптимально при 35-37 oC.
При какой температуре погибает туберкулезная палочка? Погибают бациллы от тепла 60oC через 15-20 минут. Могут долгое время сохраняться во влажных темных условиях окружающей среды. Относительно устойчивы к действию химических средств для дезинфекции. Быстро погибают под прямыми солнечными лучами.
virology-online.com
У детей скрытая инфекция обычно не проявляется какими-либо признаками или симптомами. На рентгенограмме также не обнаруживаются изменения, характерные для туберкулеза.
В большинстве случаев только лишь при помощи положительной пробы Манту можно определить, что ребенок заражен.
Если после проведения пробы результат оказался положительным, ребенку необходимо обследование у фтизиатра, который уточнит, есть ли заболевание, назначит дополнительные анализы, а при подтверждении пропишет лечение специальными препаратами, даже если у него нет признаков заболевания.
Обычно первичная инфекция проходит через 6-10 недель, по мере того как у ребенка вырабатывается иммунитет. Однако в некоторых случаях она может распространяться по всей поверхности легких (прогрессирующий туберкулез) и в другие органы.
Это ведет к появлению лихорадки, потере веса, усталости, уменьшению аппетита и кашлю.
Другой вид туберкулеза называется реактивационный, или вторичный. Он проявляется после перенесенной первичной инфекции, которая находится в спящем состоянии.
При благоприятных условиях, таких как ослабление иммунитета, бактерии вновь активируются.
Этот вид более характерен для взрослых и детей старшего возраста. Основным симптомом является постоянная лихорадка с обильным потоотделением в ночное время. Далее может проявляться усталость и потеря веса.
www.kidshealth.org
Туберкулез, в прошлом известный как «чахотка» или «белая чума» — это древнейшее заболевание, которое вероятнее всего всегда витало возле нас. Туберкулезные поражения, обнаруженные у египетских мумий, являются доказательством того, что этим недугом болели еще как минимум 4000 лет назад.
Роберт Кох, немецкий ученый и физик, презентовал свое открытие — туберкулезную палочку M. tuberculosis, возбудитель одноименного заболевания. Кох открыл бактерию еще в 1882 году.
Свое выступление он начал, напомнив собравшимся ужасающую статистику: «Если важность заболевания для человеческого рода исчисляется количеством жертв, которое оно вызывает, то туберкулез по праву можно считать наиболее важным, нежели самые страшные инфекционные болезни, такие как чума, холера и прочие. Каждый седьмой человек в мире погибает от туберкулеза. Заболевание убивает как минимум треть трудоспособного населения, а иногда и более».
Лекция Коха, считаемая многими наиболее важной в истории развития медицины, была настолько вдохновляющей, инновационной и подробной, что во многом определила развитие науки в двадцатом веке. Он рассказал, как изобрел новый метод окрашивания и продемонстрировал его собравшимся.
https://youtube.com/watch?v=OaQi8NmZhvU
Кох взял с собой в лекционную всю свою лабораторию: микроскопы, пробирки с образцами, предметные стекла с окрашенными бактериями, краски, реагенты, стеклянные банки с фрагментами тканей и много другое.
Когда Кох завершил свою лекцию в зале воцарилась абсолютная тишина. Ни вопросов, ни аплодисментов, ни поздравлений. Публика была шокирована. Медленно люди стали подходить, чтобы воочию убедиться в его словах и взглянуть на загадочную палочку.
Новости об открытии Коха быстро разлетелись по миру. Роберт Кох стал знаменитым ученым и даже получил звание «Отец Бактериологии». В 1905 году он получил нобелевскую премию по физиологии и медицине «За открытия и исследования, в области лечения туберкулеза»
www.nobelprize.org
Убить бациллу Коха нелегко и для этого требуется множество противотуберкулезных средств. Носитель инфекции должен пройти полный медикаментозный курс.
Считается, что микобактерии существуют в трех различных популяциях, характеризующихся их средой обитания и способности к росту. Первый и самый большой вид состоит из быстрорастущих внеклеточных палочек.
Именно здесь чаще всего встречаются бактерии, устойчивые к лечению. Антибиотики, такие как изониазид убивают быстро размножающиеся палочки на ранних стадиях лечения и обладают бактерицидным действием, способным предотвращать возникновение у них устойчивости.
Лучшими стерилизующими свойствами обладают рифампицин и пиразинамид. Эффект пиразинамида заметен уже через первые несколько месяцев лечения, в то время как рифампицин действует на протяжении всего курса. В отсутствии рифампицина, стерилизующая активность пиразинамида может длиться все лечение. Врач должен выбрать то лекарство, что убивает возбудитель.
Химические дезинфектанты могут быть разделены на 3 группы, в зависимости от их механизма действия — денатуранты, реагенты и окислители. Денатуранты, такие как соединения четвертичного аммония, фенолы и спирты действуют, разрывая белковые и липидные структуры. Эти препараты широко распространены, недорогие и обладают туберкулоцидным действием
При помощи 20-минутного воздействия диоксида хлора, перекиси водорода 0,80%, надуксусной кислоты 0,06% и йодофора можно достичь полной инактивации туберкулезной палочки.
Раствор 6% уксусной кислоты эффективно убивает M. tuberculosis после 30-минутного воздействия. Также высокую эффективность показали крезоловое мыло и оксидол против всех возможных штаммов.
К другим препаратам, обладающим туберкулоцидным действием, относятся: Лизол, бактерицидное моющее средство Beaucoup, Vani-sol для унитазов, спрей Clippercide, Spacide, Vesta-syde для обработки медицинских инструментов, SPOR-KLENZ для твердых поверхностей, бактерицидный раствор Weiman, дезинфицирующий отбеливатель Austin A-1, Tek-Trol, Tek-Phene, Opti-Phene, OcidePlus, Clidox-SBase, Креоцид 20 и др.
www.antimicrobe.org
www.amjmed.com
www.ncbi.nlm.nih.gov
www.aricjournal.biomedcentral.com
www.epa.gov
www.aricjournal.biomedcentral.com
Туберкулезная палочка распространяется через воздух от одного человека к другому. Попадает он в воздух, когда больной кашляет, говорит или поет. Люди поблизости вдыхают бактерии и тоже заражаются.
Заболевание не передается через:
- пожатие рук;
- продукты питания и напитки;
- прикосновения к постельному белью или туалетному сиденью;
- пользование общей зубной щеткой;
- поцелуи.
Когда человек вдыхает бактерии они оседают в легких и могут начать размножаться. Оттуда они могут мигрировать дальше по току крови в другие части тела, такие как почки, позвоночник и мозг.
Инфекция в легких и горле может быть заразной и передаваться другим людям. При поражении других органов, как например почек или костей, человек обычно не может инфицировать других.
Так как распространяется палочка очень быстро, при первой симптоматике необходимо обратиться в лечебное заведение.
www.cdc.gov
Семейство Mycobacteriaceae содержит в единственном роде микобактерии, в число которых входит более 150 видов. Они широко распространены в окружающей среде и, за исключением некоторых отдельных видов, не способны вызывать инфекционные заболевания.
Остальные виды в роду mycobacterium, способные вызывать болезни, обычно называют нетуберкулезными палочками и как правило они проявляют себя в качестве оппортунистических инфекций у людей с ослабленным иммунитетом, либо у животных.
Также туберкулез могут вызывать — M. africanum, M. canettii, M. bovis, M. microti, M. orygis, M. caprae, M. pinnipedii, M. suricattae:
- M. africanum характерен для регионов западной Африки, передается воздушно-капельным путем.
- bovis наиболее подвержены дикие копытные животные. У людей M. bovis обнаруживается крайне редко, однако может наносить огромный экономический ущерб по всему миру, поражая домашних и диких животных. Необходимо уделять пристальное внимание данной инфекции в странах с высоким уровнем заболеваемостью ВИЧ, так как именно эти больные чаще заражаются микобактериями.
Другим патогенным возбудителем является бацилла Хансена (M. leprae), ответственная за возникновение Лепры (проказы, крымской болезни и др.).
Остальные виды в роду mycobacterium, способные вызывать болезни, обычно называют нетуберкулезными палочками и как правило они проявляют себя в качестве оппортунистических инфекций у людей с ослабленным иммунитетом, либо у животных. К ним относятся: M. avium, M. intracellulare, M. kansasii, M. fortuitum, M. chelonae, M. szulgai, M. paratuberculosis, M. scrofulaceum
В частности, M. avium и M. intracellulareсвязаны с развитием у свиней и птиц таких заболеваний как паратуберкулез и хронический гастроэентерит.
www.researchgate.net
www.ncbi.nlm.nih.gov
Источник: https://zemed.ru/tuberkulez/palochka-skolko-zhivet.html
Существует миф, что главной причиной распространения туберкулеза является социальная незащищенность: плохое питание, нездоровый образ жизни, длительное пребывание в экстремальных условиях. Это верно лишь отчасти: все перечисленное является фактором риска. Однако, главную опасность представляет жизнестойкость микобактерии.
Ведь чем дольше патогенный микроорганизм может прожить, тем больше вреда нанесет. Особенно важно, сколько живет туберкулезная палочка в помещении или во внешней среде — ведь путь передачи туберкулеза от больного человека к здоровому не единственный.
Не менее часто заражение происходит при бытовом контакте или употреблении зараженных продуктов.
Если говорить о продолжительности жизни одной микобактерии, то она равняется всего лишь 18 часам, иногда меньше: именно столько времени проходит с момента образования молодой бактерии до ее деления. И чем благоприятнее внешние условия, тем активнее делится возбудитель.
Когда эпидемиологи говорят о продолжительности жизни микроорганизма, они подразумевают иное — срок сохранения активной жизнедеятельности и способности к размножению.
Сколько во внешней среде живет палочка Коха, зависит от качества этой среды. Наиболее оптимальные условия для нормальной жизнедеятельности этой микобактерии:
- темнота;
- повышенная влажность воздуха;
- комнатная температура (около 23 градусов).
При таких условиях палочка Коха может нормально существовать до 7 лет. Изменение перечисленных условий позволяет уменьшить срок жизни бактерии. Достаточно несколько снизить влажность воздуха — и проживет палочка Коха в помещении не более года. При увеличении инсоляции срок жизни бактерии снижается до двух месяцев.
В естественных водных источниках этот микроорганизм может прожить до пяти месяцев, в зависимости от освещенности и температуры воды.
Хорошо себя чувствуют микобактерии и в питательных средах: в молочных продуктах длительного хранения (масла и сыры) палочка Коха сохраняет свои болезнетворные свойства около года, в сыром молоке и кисло-молочных продуктах — примерно полмесяца.
Организм человека — не самая оптимальная среда жизнедеятельности из-за более высокой температуры. Но этот недостаток с лихвой компенсируется питательной окружающей средой — поэтому в организме человека микобактерия может существовать очень долго.
Более того, иммунная система человека не всегда создает для микобактерии неблагоприятные условия. Палочка Коха может существовать в виде фильтрующихся или L-форм.
Первые образуются в организме человека на фоне длительного лечения противотуберкулезными препаратами, вторые формируют противотуберкулезный иммунитет.
Кроме этого, часто палочка Коха может вполне нормально развиваться даже после поглощения макрофагами — в этом случае инфицирование протекает бессимптомно и может неожиданно перейти в острую форму. Сколько живет туберкулезная палочка в таких атипичных формах, зависит в первую очередь от состояния организма.
Пониженная влажность не столь губительна для палочки Коха — в сухой среде она может вполне сносно существовать какое-то время. А вот ультрафиолет достаточно быстро разрушает клеточную структуру микобактерии — прямая инсоляция убивает палочку Коха в течение 5-6 часов, направленное ультрафиолетовое облучение — за пару часов.
Не менее опасно для бактерии повышение температуры. Хотя гипертермическая реакция организма человека способна лишь затормозить размножение патогенной флоры: при температуре ниже 50 градусов бактерия может сохранять свою жизнеспособность еще долгое время или переходить в атипичные формы.
Но во внешней среде высокие температуры разрушительны для этого микроорганизма, что позволило ученым разработать принципы противотуберкулезной дезинфекции. Чтобы эффективно бороться с распространением туберкулеза, надо знать, при какой температуре погибает палочка Коха.
Чувствительна палочка Коха и к активным химическим средам, особенно к хлору и перекиси водорода. При обработке хлорсодержащими средствами микобактерии гибнут практически сразу.
Изучение чувствительности микобактерий позволило разработать некоторые принципы профилактики туберкулеза:
- Инсоляция и использование ультрафиолета для обеззараживания помещений, прогулки на в солнечную погоду, УФ-физиотерапия для профилактики позволяют снизить риск инфицирования.
- Термическая обработка продуктов дает стопроцентную гарантию безопасности. Особенно это важно в отношении мясных и молочных продуктов.
- Применение в быту дезинфицирующих хлорсодержащих средств тоже существенно снижает риск заражения.
- Однако, в первую очередь важна вакцинация — без формирования искусственного иммунитета от заражения не застрахован никто.
- Источник: vlegkih.ru
К сожалению, не сразу можно распознать заболевание, ведь оно сначала не дает явных симптомов и потихоньку размножается в легких, пока человек ни о чем не подозревает.
Основные симптомы:
- Общее недомогание, плохое самочувствие.
- Подавленность, нехватка энергии, сил, резкие перемены настроения, вспыльчивость.
- Потеря веса.
- Сильная потливость.
Далее появляются следующие симптомы:
- Кашель.
- Высокая температура.
- Выделение крови при кашле.
- Ухудшение аппетита, подавленность, нехватка сил.
Заболевание прогрессирует и появляются новые симптомы:
- Болевые ощущения в области груди.
- Боль во время кашля.
- Частый сухой кашель.
При первых же симптомах необходимо срочно обратиться к врачу. Не нужно пытаться самостоятельно лечиться или равнодушно относиться к симптомам. Ведь чем раньше обнаружить болезнь, тем быстрее можно улучшить состояние и не допустить дальнейшее ее развитие.
Как уже было сказано ранее, палочка Коха является очень устойчивой бактерией, которая может развиваться и при высоких и при низких температурах. Поэтому с ней так тяжело бороться.
Именно из – за нее и происходит заражение таким заболеванием как туберкулез. Многие люди действительно «страдают» из – за этого недуга.
Они мучаются не только из – за ужасного непрерывного кашля, но и потому, что порой люди не столь добры и терпимы.
Чаще всего туберкулез одолевает людей с низким иммунитетом, а также тех, которые плохо следили за своим здоровьем. К примеру. люди, которые имеют такую пагубную привычку как курение, или те, кто вел неправильный образ жизни, плохо питался, не соблюдал правила гигиены.
Также в так называемую «зону риска» попадают и алкоголики, наркоманы. Зачастую как еще одну причину выделяют и стрессы. А они в современное время встречаются просто у каждого и сильно влияют на общее самочувствие, здоровье и иммунитет.
На самом деле, заболеть туберкулезом может каждый. Даже несмотря на некоторые вышеперечисленные факторы.
Как уже говорилось ранее, палочка Коха – крайне устойчивая бактерия к различным внешним воздействиям. Даже если ее заморозить. Она будет сохранять свои «способности» на протяжении 30 лет.
Высохшая мокрота больного человека в помещении может спокойно существовать и служить пристанищем для новых бактерий около 12 месяцев. Убить палочку Коха может 100 градусный жар и то только через час.
Также ее можно обезвредить растворами кислот.
К сожалению, данное заболевание достаточно трудно поддается лечению. И зачастую оно очень длительное и совсем не легкое. Поэтому больному необходимо запастись терпением и ни в коем случае не терять надежду на выздоровление. Также стоит упомянуть, что лечение должно быть комплексным и включать в себя следующие составляющие:
- Химиотерапия.
- Лекарственные препараты.
- Дополнительное оздоровление в санаториях.
- Хирургические меры (могут быть в некоторых случаях).
Все действия должны быть направлены на то, чтобы «убить» воспаление, а также повысить иммунитет пациента различными лекарственными средствами.
Для того, чтобы хоть немного обезопасить себя можно предпринимать определенные профилактические меры и придерживаться некоторых правил. Наиболее важный момент – здоровый образ жизни, правильное полноценное питание со всеми витаминами и микроэлементами.
Также соблюдение правил личной гигиены, лучше не пользоваться чужими вещами. Не стоит забывать и про регулярные обследования у врача.
Такие меры помогут выявить заболевание на ранней стадии и быстрее вылечить его. Необходимо часто проветривать помещение, проводит тщательную уборку.
Источник: parazits.ru
Поделиться:










