Метастазы в легких можно диагностировать, используя рентген При постановке диагноза метастаза в легких, у пациентов часто не получается сохранить веру на благополучный исход, но ознакомившись более подробно с нюансами данного заболевания, можно убедиться, что выздоровление возможно. У пациента возникает вопросы, почему попала опухоль в легкое, как вылечить данное заболевание? Эти вопросы будут разобраны ниже.
Метастазами называются вторичные очаги онкологического заболевания. Образуются они в результате движения клеток опухоли одних органов в другие. Кровь циркулирует по всему организму, но в легких происходит процесс насыщения кислородом.
Такое активное кровообращение способствует размножению:
У людей, больных онкологическими заболеваниями, до 55% обнаруживается метастаза в легких, что ставит его на второе место по числу поражения после печени. Метастаза, получает начало в результате движения изменившихся клеток опасной опухоли в другие органы, ткани, зачастую обладая при этом такими же характерными чертами.
Существуют 2 способа попадание опухоли в легкие: лимфогенные и гематогенные. Нужно отметить, что месторасположения меланомы не зависит от места первичного очага заболевания.
При секундарных изменениях в легких нельзя заниматься самолечением, используя народные средства
Наиболее частые заболевания, вызывающие меланому в легких:
- Рак органов мочевыделительной системы;
- Заболевание молочной железы;
- Рак органов пищеварительной системы (желудка, кишечника);
- Колоректальный рак;
- Рак кожи;
- Рак репродуктивных органов (матка, яичники)
- Онкология предстательной железы;
- Рак правого и левого легких.
Метастазы можно классифицироватьпо диаметру (маленькие, крупные), месторасположению (на обеих сторонах легких или на одной), количеству (множественные, единичные), типу, особенностями распространения.
Стоит отметить, что любая злокачественная опухоль может дать метастазу.
Также опухоль можно разделить по рентгеновским снимкам – псевдопневматические, имеют размытые контуры. Узловые, выражаются в виде узлов с четкими контурами, сосредоточенны они в основном в нижней части легких, плевральные, на снимке отображаются бугристые наросты и выпоты, смешанные – комбинирование очаговых и инфильтративных новообразований.
Характерные проявления метастазы в легких:
- Сильный кашель;
- Отхаркивание крови;
- Снижение массы тела;
- Повышение температуры;
- Боль в грудной клетке;
- Отсутствие аппетита.
На третьей стадиисимптомы похожи на апатию и потерю жизненного тонуса, снижение работоспособности и сокращение времени активности. Возможно появление респираторных заболеваний, таких как пневмония и бронхит.
Возможно повышение температуры, которое медикаментозным путем можно снизить, что только усугубляет положение, так как пациент откладывает свой прием к врачу.
Практиковались случаи, когда симптомы проявлялись только на 4 стадии, сопровождаясь кашлем с кровяными выделениями, прогноз на жизнь не очень хорош.
Выбирать лечение при метастазах легких должен квалифицированный специалист, основываясь на полученных результатах
Секундарные изменения или метастазирование опухоли по ходу лимфатической системы легких можно лечить с помочью:
- Гормональной терапии;
- Химиотерапии;
- Хирургического вмешательства;
- Радиохирургии;
- Резекцию лазером.
Самым распространённым методом удаления метастаз является химиотерапия. Во время лечения принимаются цитостатические препараты, контролирующие увеличение рака. Данный метод имеет свои минусы, требуется длительная реабилитация.
Какой именно метод будет применяться, зависит от типа и количества метастаз.
Гормональная терапия применяется при лечении метастазирющей в легких первичной опухоли простаты и молочной железы, и проводится параллельно с основным лечением. Хирургическая операция нуждается в подготовке больного, так как перенести ее не просто.
На каждом этапе есть свои рекомендации, которые способствуют наискорейшему выздоровлению. Радиотерапия назначается при остеогенной саркоме, саркомы Юинга и других новообразованиях, чувствительных к лучевому воздействию.
Для удобства химиотерапию разделяют на 3 этапа:
- Предоперационная стадия;
- Операция:
- Реабилитация.
Резекция лазером применяется, если новообразования расположены в области главных бронхов и дыхательного горла. Данная операция применяется меньше, чем предыдущие. С каждым днем медицина развивается, и появляются новые методы борьбы с раком.
Одним из новых методов лечения является кибер-нож, данный способ хорошо зарекомендовал себя так как не вызывает кровотечение и эффективно удаляет метастазы и также не требует длительного восстановления.
Одним из таких методов является эндобронхиальная брахитерапия, которая позволяет с помощью бронхоскопа доставить в зону поражения опухоли микроскопических ампул, состоящих из радиоактивных изотопов, излучение которых убивает раковые клетки.
Питание при метастазах в легких направленно на обогащение ослабленного организма витаминами, микроэлементами, противораковыми каротиноидами, Омега 3 в соотношении с Омега 6. При этом пища должна легко усваиваться.
При метастазе в легких нужно употреблять свежие продукты, купленные у проверенных продавцов или в супермаркете
Диета, которая рекомендована при метастазах легких, включает в себя обильное употребление жидкости, желательно 2-2,5 л чистой воды.
Для начала, следует употреблять свежие фрукты или овощи, они способствуют выработки желудочного сока, далее можно переходить к основному приему еды. Продукты могут быть тушенные, отварные, запеченные, обработанные паром.
Желательные для употребления продукты:
- Свежие фрукты и овощи;
- Квашенная капуста;
- Любые сорта рабы, икра, продукты, содержащие Омега 3;
- Куриная грудка;
- Бобовые;
- Молоко и любые кисломолочные продукты;
- Злаки;
- Орехи;
- Хлеб (желательно грубого помола);
- Яйца (не более 3 штук в неделю).
Также есть продукты, не рекомендованные при метастазе в легких (и левое, и правое) – алкоголь, жаренное, копченое, консервы, маринад, сладкое. Желательно употребления для облегчения состояния отвары из календулы, чистотела и крапивы. Данный настой употребляют 2 раза в сутки перед едой. Также хорошо помогает свежевыжатый свекольный сок, принимая по 10 мл по 6 раз в день.
Конечно, всех больных этим страшным заболеванием интересует вопрос, может ли исчезнуть метастаза в легких? Еще несколько лет назад данный диагноз звучал, как приговор, и прогноз на излечение был очень мал. Но с развитием медицины, если оказать своевременное лечение у квалифицированных специалистов, можно продлить жизнь пациенту, повысить качество этой жизни, а в некоторых случаях, полностью исцелить.
Источник: https://doctor-grebnev.ru/info/sekundarnoe-porazhenie-legkih/
Орган, который чаще всего поражается вторичной онкологией – это легкие. Метастазы в легких занимают второе место среди вторичных онкологических заболеваний после печени. В 35% случаев первичный рак дает метастазы именно в легочные структуры.
Есть два пути распространения метастазов в легкие от первичного очага – гематогенный (через кровь) и лимфогенный (через лимфу). Такое местонахождение метастазов носит опасный для жизни характер, так как выявляются они в большинстве случаев на последних стадиях онкологии.
Причины метастазирования легких
Очаги раковой опухоли содержат большое количество аномальных клеток. Соединяясь с кровью и лимфой, раковые клетки распространяются в соседние органы. Там они начинают активно делиться, образуя вторичный очаг онкологического заболевания – метастаз.
Метастазы в легкие могут распространяться практически от любого ракового заболевания.
Наиболее часто встречаются при таких первичных онкозаболеваниях, как:
- Меланома кожи;
- Опухоль молочной железы;
- Рак кишечника;
- Рак желудка;
- Рак печени;
- Рак почки;
- Опухоль мочевого пузыря.
Сокращенное название метастазов – MTC (MTS – от лат. «metastasis»).
Монастырский сбор отца Георгия. В состав которого входят 16 трав является эффективным средством для лечения и профилактики различных заболеваний. Способствует укреплению и восстановлению иммунитета, выведению токсинов и обладаем множеством других полезных свойств
Какие могут быть метастазы в легких?
Вторичные очаги могут встречаться как в левом, так и в правом легком. Легочные метастазы подразделяют по признакам на такие группы, как:
- Односторонние и двухсторонние;
- Крупные и мелкие;
- Солитарный (единичный) и множественные;
- Очаговые и инфильтративные;
- Узловые метастазы;
- В виде тканевых тяжей.
При появлении SUSP-подозрения на вторичную онкологию следует пройти обследование.
Симптомы и признаки легочных метастазов
На ранних стадиях метастазы в легких никак себя не проявляют, болезнь протекает бессимптомно. Распадаясь, клетки раковой опухоли выделяют токсичные вещества, отравляющие организм. Больной обращается за медицинской помощью чаще на последней, терминальной стадии рака.
Наличие вторичных очагов онкологии в легких сопровождается следующими симптомами:
- Частая одышка, появляющаяся не только во время физической нагрузки, но и в состоянии покоя;
- Регулярный сухой кашель, переходящий во влажный, который можно спутать с другим заболеванием;
- Мокрота с примесью крови;
- Боль в грудной клетке, которая не проходит даже с приемом обезболивающих средств. Уменьшить болевой синдром способны лишь наркотические препараты;
- Отек лица и верхних конечностей при локализации вторичного очага в правом легком, головные боли.
Как выглядят метастазы в легких?
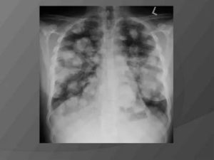
Метастазы в легком можно определить при помощи рентгенографии. Вторичные очаги онкологии на рентгеновских снимках представляются в узловой, смешанной и диффузной форме.
Узловые метастазы проявляются в единичной или множественной форме. Единичные, или солитарные образования, выглядят как округлые узелки, напоминающие первичный очаг онкологии. Чаще всего формируются они в базальной ткани.
Если вторичный генез носит псевдопневманическую форму, то на рентгене он отображается в виде тонких линейных образований.
При метастазировании в плевру на рентгеновских снимках видны крупные бугристые образования, в результате прогрессирования которых ухудшается состояние онкобольного и развивается легочная недостаточность.
Сколько живут с легочными метастазами?
Продолжительность жизни при метастазировании легких зависит от того, как быстро выявлен вторичный рак.
При выявлении у себя хотя бы одного из вышеперечисленных симптомов следует незамедлительно обратиться к врачу и пройти обследование. В медицинской практике бывали случаи обнаружения легочных метастазов задолго до момента выявления первичного очага опухоли.
Прогрессирование вторичной опухоли вызывает интоксикацию организма в целом. Чтобы выявить у себя наличие метастазов, следует знать, как проявляются симптомы заболевания. Первыми признаками прогрессирования вторичного рака в легких являются:
- Снижение аппетита и как следствие массы тела;
- Общее недомогание, быстрая утомляемость и снижение работоспособности;
- Повышение температуры тела, приобретающее хронический характер;
- Сухой кашель при метастазах становится постоянным.
Вышеперечисленные признаки могут указывать и на первичный рак легкого. Это довольно опасное заболевание чаще наблюдается у курильщиков. Метастазы при мелкоклеточном раке легкого распространяются стремительно, быстро растут и при несвоевременном их выявлении прогнозы для пациента будут печальными.
Первичный рак легкого лечат при помощи химиотерапии. Если провести процедуру своевременно, появляется шанс вылечить онкологию полностью. Но такая форма заболевания обычно выявляется на последних стадиях, когда вылечить ее уже невозможно.
Принимая сильные анальгетики, можно прожить от четырех месяцев до года.
Встречаются такие формы первичного рака легкого, которые прогрессируют не так стремительно, как мелкоклеточный рак. Это плоскоклеточный, крупноклеточный рак и аденокарцинома. Эти формы рака лечатся оперативным путем. При своевременном проведении операции, прогноз на выздоровление будет хороший. Если пошли метастазы в другие органы, то пациента ожидает смертельный исход.
Диагностика метастазов в легких
Для выявления наличия вторичного генеза в легком применяются следующие методы диагностирования:
- Рентгенография – исследует структуру тканей легких, выявляет затемнения, месторасположение метастаза и его размеры. Для этого делается два снимка – спереди и сбоку. На снимках множественные метастазы представляются в виде округлых узелков;
- Компьютерная томография – служит дополнением рентгенографии. На КТ видны области, где локализуются метастатические опухоли, каковы их размеры и форма. С помощью КТ выявляют секундарные изменения в легких;
- Магнитно-резонансная томография – назначается людям, ранее подвергавшимся облучению, а также детям. Такое исследование позволяет выявить вторичные новообразования, размеры которых едва достигают 0,3 мм.
Методы лечения вторичных очагов онкологии в легких
Чем лечить вторичный рак легкого?
В современной медицине для лечения метастазов в легких применяются следующие методы:
- Хирургическое вмешательство – производится удаление пораженного участка. Такой метод лечения эффективен лишь в случае, если имеется одиночное очаговое поражение, поэтому его применяют достаточно редко;
- Химиотерапия – служит дополнением к другим методам лечения. Продолжительность курса химиотерапии зависит от основного метода лечения и самочувствия больного. В медицинской практике химиотерапию применяют совместно с лучевой терапией. Для поднятия уровня лейкоцитов в крови после процедуры назначается дексаметазон;
- Лучевая терапия – позволяет замедлить активный рост раковых клеток и уменьшает боли. Облучение производится в стационарных условиях дистанционным способом;
- Гормональная терапия – применяется при наличии гормоночувствительного первичного очага в предстательной или молочной железах. Служит дополнением к основной терапии;
- Радиохирургия – процедура позволяет посредством кибер-ножа (пучка лучей) удалять труднодоступные опухоли.
Инвалидность при раке легкого оформляется в случае удаления одной доли.
Лечатся ли метастазы народными средствами?
Лечение вторичной онкологии в легком можно производить и народными методами. Самым распространенным народным средством является чистотел. Необходимо столовую ложку высушенной травы залить кипятком и настаивать в термосе около полутора часа. Затем настой процедить и принимать его дважды в день по две столовые ложки до еды.
В заключение можно сказать, что встречаются различные формы поражения легких онкологией. Это и первичный рак, и метастазы, перешедшие из других очагов. Болезнь может протекать бессимптомно, а это означает, что больной может обратиться за помощью тогда, когда лечение уже не даст нужного результата.
Прогноз на выживаемость зависит от стадии заболевания, вида, формы и местоположения опухолей.
Толковый словарь Ефремовой . Т. Ф. Ефремова. 2000 .
секундарный — ая, ое, рен, рна ( … Словарь иностранных слов русского языка
секундарный — кр.ф. секунда/рен, секунда/рна, рно, рны … Орфографический словарь русского языка
секундарный — ая, ое; рен, рна, рно. [от лат. secundārius второстепенный] Книжн. Вторичный, неосновной, второстепенный; маргинальный (2.М.; 1 зн.). (ср. примарный). С ые категории … Энциклопедический словарь
секундарный — ая, ое; рен, рна, рно.; (от лат. secundārius второстепенный); книжн. вторичный, неосновной, второстепенный; маргинальный II 1) (ср. прима/рный) С ые категории … Словарь многих выражений
психоз секундарный — (р. secundaria; лат. secundarius вторичный) П., выявленный при генеалогическом исследовании у членов семьи больного … Большой медицинский словарь
МАРГИНАЛЬНЫЙ — (от латин. margo, inis край). Относящийся до краев, краевой. Словарь иностранных слов, вошедших в состав русского языка. Чудинов А.Н., 1910. МАРГИНАЛЬНЫЙ [фр. marginal побочный] второстепенный, периферийный, несущественный, незначительный (напр … Словарь иностранных слов русского языка
примарный — ая, ое, рен, рна (фр. primaire … Словарь иностранных слов русского языка
Психозы — (псих + оз). Выраженные формы психических расстройств, при которых психическая деятельность больного отличается резким несоответствием окружающей действительности, отражение реального мира грубо искажено, что проявляется в нарушениях поведения и… … Толковый словарь психиатрических терминов
примарный — ая, ое. primaire
Источник: https://delhimodi.com/other/sekundarnye-izmeneniya-v-legkih.html
Орган, который чаще всего поражается вторичной онкологией – это легкие. Метастазы в легких занимают второе место среди вторичных онкологических заболеваний после печени. В 35% случаев первичный рак дает метастазы именно в легочные структуры.
Есть два пути распространения метастазов в легкие от первичного очага – гематогенный (через кровь) и лимфогенный (через лимфу). Такое местонахождение метастазов носит опасный для жизни характер, так как выявляются они в большинстве случаев на последних стадиях онкологии.
Метастатическим или вторичным раком легких называются опухоли, которым дают начало раковые клетки, попавшие в легочную ткань из других органов.
Статистика говорит о том, что у 30-55% онкологических больных обнаруживаются метастазы в легких. Злокачественные опухоли дают отсевы в лёгочную ткань: рак любого органа, саркомы, меланомы, заболевания кроветворной и лимфатической системы. Через лёгкие проходит вся кровь, и условия благоприятны для выживания бактерий, вирусов, грибов и опухолевых клеток.
Собирающий лимфу общий лимфатический проток несёт её в крупные вены, которые впадают в верхнюю полую вену. При посредстве правых отделов сердца венозная кровь, смешанная с лимфой, тоже проходит через лёгкие.
Достаточно места, изумительное полнокровие, прекрасные условия для размножения злокачественных клеток.
Иными словами, присутствуют благоприятные условия для распространения раковых клеток в легкие гематогенным (через кровь) и лимфогенным (через лимфатическую систему) путем.
Метастатические узлы бывают очень разными, считают, что по плотности они полное отражение первичной опухоли. Если определять плотность на ощупь, то все опухоли тяготеют к каменистости или, по крайней мере, к костной плотности.
Но плотность для очагов в лёгких понятие относительное, прощупать их можно только во время операции, которую в метастатической стадии делают чрезвычайно редко.
Плотность определяют при рентгенологическом исследовании преимущественно для дифференциальной диагностики, то есть поиска признаков характерных отличий одного заболевания от другого.
Формально метастазы делят на лимфогенные и гематогенные, то есть занесенные в лёгочную ткань с лимфой или кровью, но в каждом конкретном случае разобрать, что принесло раковую клетку в альвеолу вряд ли можно, и практикующему онкологу совсем ненужно, ведь это уже ничего не изменит. Какие бы ни были метастазы по пути распространения, их надо лечить.
Метастазы в лёгких бывают разными по форме, ее определяют по рентгеновским снимкам:
- Очаговые метастазы, которые на рентгеновском снимке видны образования разного диаметра. Традиционно этот вариант метастазирования считается проявлением менее агрессивной злокачественной опухоли. При небольшом распространении более благоприятно протекают именно очаговые образования. Они как раз считаются преимущественно гематогенными, то есть занесёнными кровью.
- Инфильтративные метастазы, когда опухолевые клетки расползаются по эпителиальной выстилке альвеол, что на рентгенограмме проявляется в виде сетки или разной формы затемнений. Такой вариант традиционно считают вариантом более агрессивной опухоли — агрессивные по течению меланомы и саркомы дают преимущественно очаговые, а не инфильтративные метастазы в лёгких. Эти вторичные проявления относят к лимфогенным.
- Смешанные метастазы — сочетание очаговых и инфильтративных «теней» в лёгких — частое явление в клинической практике.
По числу метастазы могут быть:
- солитарными – один очаг;
- единичными – не более десяти;
- множественными.
Метастатические узлы бывают мелкими и крупными, а ещё сливающимися друг с другом, односторонними, когда поражено одно лёгкое и двухсторонними.
Вокруг метастазов тоже могут жить бактерии, всё-таки по бронхиальному дереву проходит нестерильный воздух, а опухоль меняет местный иммунитет, и возникает воспаление. Когда внутренняя часть опухоли не получает достаточного питания — она отмирает, и в центре образуется полость распада. Если такая полость соединится с бронхом, то в неё могут попасть бактерии, и полость заполнится гноем.
Плевра — пленка из соединительной ткани. Она состоит из двух листков: один покрывает снаружи легкие, а другой выстилает изнутри стенки грудной полости. Плевра интимно спаяна с лёгким. В ней тоже могут возникнуть метастазы, но намного реже. Опухоли из легких могут прорастать в плевру и наоборот. Зачастую в легких обнаруживаются метастазы, а плевра не поражена.
При подозрении на метастазы в легких прибегают к следующим методам диагностики:
- Рентгенография. Простой и быстрый, но не самый информативный метод диагностики. Обычно на снимках можно увидеть только опухоли размером более 1 см;
- Компьютерная томография. Позволяет обнаружить очаги менее 5 мм. Это недоступно для рентгенографии и МРТ;
- Биопсия легкого. Обычно проводится при помощи иглы. Получают небольшой фрагмент ткани опухоли для исследования;
- Бронхоскопия. Эндоскопическое исследование, во время которого специальный инструмент с источником света и видеокамерой — бронхоскоп — вводят в бронхиальное дерево. Во время процедуры можно провести биопсию.
Как правило, динамическое наблюдение за онкологическим пациентом после лечения первичной опухоли предполагает регулярную рентгенографию органов грудной клетки.
При выявлении теней в лёгких, правильно будет сделать компьютерную томографию с введением контрастного вещества. КТ способна выявить очаги меньше 5 мм, что недоступно магнитно-резонансной томографии.
В дальнейшем для контроля динамики процесса после лечения также необходимо будет делать КТ.
https://youtube.com/watch?v=nKB4dLo-rE8
Бессмысленно перед лечением делать КТ, а после перейти на обычную рентгенографию лёгких, пытаясь сравнивать снимки, чтобы выявить отличие прошлого состояния лёгких с настоящим.
КТ обнаружит более мелкие образования, рентген способен в лучшем варианте выявить очаги более 1 см, то есть опухоли меньше сантиметра «выпадают» из-под контроля, когда нет возможности сделать контрольное КТ-обследование.
Нельзя оценивать эффект лечения по паре видимых крупных очагов. Некоторые опухоли от химиотерапии уменьшаются, какие-то увеличиваются, а другие месяцами стабильны.
Клинические признаки метастазов в лёгких зависят от обширности поражения и присоединения воспалительных изменений.
Основные симптомы:
- боль в груди;
- упорный кашель;
- примесь крови в мокроте;
- ослабленное дыхание;
- хрипы;
- слабость;
- снижение веса.
При одиночных очагах округлой формы, небольшого размера никаких признаков поражения может и не быть, их часто случайно обнаруживают при контрольном обследовании.
Площадь лёгких огромна, и несколько квадратных сантиметров опухолевого поражения альвеол не отразятся на газообмене и состоянии пациента.
Множество теней, когда их уже не пересчитать, ухудшат самочувствие, провоцируя сухой кашель, плохо откликающийся на средства от кашля.
Закупорка бронха опухолью приведёт к ателектазу – полной безвоздушности части лёгкого, присоединение инфекции существенно ухудшит состояние, повысится температура, появится одышка.
Приём антибиотиков помогает снять воспаление и самочувствие улучшается, но ненадолго, потому что опухоль растёт, и безвоздушная часть лёгкого тоже увеличивается. И опять воспаляется, так и идёт по замкнутому кругу.
Получить консультацию врача
Сегодня оперировать метастазы в лёгких стали чаще, чем раньше, но всё-таки операции делают довольно редко. Радикальное лечение метастазов в лёгкие – оперативное в принципе возможно при определённых условиях:
- не должно быть первичной опухоли или рецидива;
- не должно быть метастазов в других органах;
- метастаз в лёгком очаговый и единственный или не более 3 очагов;
- скорость прогрессирования опухолевого процесса должна быть невысокой, как правило, после радикального лечения первичной опухоли до появления метастаза должно пройти более года;
- со времени появления метастаза в лёгком в течение полугода не должно появиться других метастазов;
- состояние пациента должно позволять довольно сложное оперативное вмешательство, потому что во время операции реальная ситуация может оказаться значительно хуже, чем описывалась при компьютерной томографии, и придётся удалять больше запланированного.
Основное лечение метастазов в лёгких – химиотерапия, схема которой определяется первичной опухолью, при раке молочной железы ещё и гормональная терапия, естественно, при наличии чувствительности к ней.
Лучевая терапия множественных метастазов в лёгких проводилась в экспериментальных группах, результаты неудовлетворительные.
При единственном довольно крупном очаге облучение возможно, но эффективность много хуже, чем при раке лёгкого.
Наличие метастаза, где бы то ни было, показатель диссеминации — разброса злокачественных клеток, что не предполагает хорошего прогноза в отношении возможности полного излечения.
Метастазы в любом органе говорят о том, что защитные силы организма исчерпаны, опухолевые клетки успели распространиться по разным органам. Ремиссия в большинстве случаев невозможна. Но это не означает, что врач совсем ничего не может сделать. Паллиативное лечение поможет продлить жизнь, избавит от мучительных симптомов.
Часть легкого, занятая опухолью, выключается из процесса дыхания. Поначалу оставшаяся здоровая ткань успешно справляется и работает за целое легкое. Но постепенно опухоль растет, перестает реагировать на химиотерапию и занимает все больше места.
Наступает момент, когда оставшаяся здоровая ткань перестает справляться. Легкие больше не могут обеспечить организм нужным количеством кислорода, развивается дыхательная недостаточность.
Кислородное голодание затрагивает все органы, в первую очередь — сердечно-сосудистую систему.
Симптомы дыхательной недостаточности нарастают постепенно:
- Поначалу возникает лишь одышка после ходьбы и физических нагрузок;
- Затем одышка начинает беспокоить при минимальных нагрузках, при любой движении;
- В тяжелых случаях человек задыхается постоянно, даже когда лежит в постели. Больного мучит постоянный кашель, слабость, на ногах появляются отеки, сердцебиение учащается. Стоит совершить небольшое движение, и все симптомы усиливаются на порядок.
Страдания больного может облегчить кислородотерапия. Но проводить ее нужно по 15 часов в день. Существуют специальные дыхательные маски, их можно приобрести, и все же проводить такое лечение в домашних условиях очень сложно.
Государственные онкологические клиники не госпитализируют таких пациентов в экстренном порядке. Помощь можно получить в отделении паллиативной медицины, но таких в Росии пока еще очень мало. В обычном стационаре практически ничем не помогут.
Кислородотерапию можно получить в хосписе, но там практически нет симптоматической терапии. При тяжелой дыхательной недостаточности одной кислородотерапии недостаточно. Нужна дыхательная поддержка — искусственная вентиляция легких.
Такое лечение не избавит от рака и не уничтожит метастазы, но оно способно сильно облегчить состояние больного:
- уменьшится одышка;
- отдохнуть дыхательные мышцы, которым в последнее время пришлось интенсивно работать;
- нормализуется состав крови, уменьшится кислородное голодание;
- уменьшатся даже воспалительные изменения в легких;
- в конце концов, человек перестанет задыхаться, улучшится качество жизни.
Помочь человеку с тяжелым нарушением дыхания в домашних условиях невозможно. Родные постоянно слышат, как он тяжело дышит, хрипит, кашляет, но помочь ничем не могут. Страдают все.
Врачи онкологи и реаниматологи Европейской онкологической клиники знают, как помочь пациенту с метастатическим раком легких в рамках паллиативной помощи. Грамотное лечение избавит от тяжелых симптомов, подарит драгоценное время.
Выберите врача и запишитесь на приём:
Записьна консультациюкруглосуточно+7 (495) 151-14-538 800 100 14 98
Источник: https://www.euroonco.ru/departments/poliklinika/metastases/metastazy-v-lyogkih
Выбирать лечение при метастазах легких должен квалифицированный специалист, основываясь на полученных результатах
Секундарные изменения или метастазирование опухоли по ходу лимфатической системы легких можно лечить с помочью:
- Гормональной терапии;
- Химиотерапии;
- Хирургического вмешательства;
- Радиохирургии;
- Резекцию лазером.
Самым распространённым методом удаления метастаз является химиотерапия. Во время лечения принимаются цитостатические препараты, контролирующие увеличение рака. Данный метод имеет свои минусы, требуется длительная реабилитация.
Какой именно метод будет применяться, зависит от типа и количества метастаз.
Гормональная терапия применяется при лечении метастазирющей в легких первичной опухоли простаты и молочной железы, и проводится параллельно с основным лечением. Хирургическая операция нуждается в подготовке больного, так как перенести ее не просто.
На каждом этапе есть свои рекомендации, которые способствуют наискорейшему выздоровлению. Радиотерапия назначается при остеогенной саркоме, саркомы Юинга и других новообразованиях, чувствительных к лучевому воздействию.
Для удобства химиотерапию разделяют на 3 этапа:
- Предоперационная стадия;
- Операция:
- Реабилитация.
Резекция лазером применяется, если новообразования расположены в области главных бронхов и дыхательного горла. Данная операция применяется меньше, чем предыдущие. С каждым днем медицина развивается, и появляются новые методы борьбы с раком.
Одним из новых методов лечения является кибер-нож, данный способ хорошо зарекомендовал себя так как не вызывает кровотечение и эффективно удаляет метастазы и также не требует длительного восстановления.
Одним из таких методов является эндобронхиальная брахитерапия, которая позволяет с помощью бронхоскопа доставить в зону поражения опухоли микроскопических ампул, состоящих из радиоактивных изотопов, излучение которых убивает раковые клетки.
Питание при метастазах в легких направленно на обогащение ослабленного организма витаминами, микроэлементами, противораковыми каротиноидами, Омега 3 в соотношении с Омега 6. При этом пища должна легко усваиваться.
При метастазе в легких нужно употреблять свежие продукты, купленные у проверенных продавцов или в супермаркете
Диета, которая рекомендована при метастазах легких, включает в себя обильное употребление жидкости, желательно 2-2,5 л чистой воды.
Для начала, следует употреблять свежие фрукты или овощи, они способствуют выработки желудочного сока, далее можно переходить к основному приему еды. Продукты могут быть тушенные, отварные, запеченные, обработанные паром.
Желательные для употребления продукты:
- Свежие фрукты и овощи;
- Квашенная капуста;
- Любые сорта рабы, икра, продукты, содержащие Омега 3;
- Куриная грудка;
- Бобовые;
- Молоко и любые кисломолочные продукты;
- Злаки;
- Орехи;
- Хлеб (желательно грубого помола);
- Яйца (не более 3 штук в неделю).
Также есть продукты, не рекомендованные при метастазе в легких (и левое, и правое) – алкоголь, жаренное, копченое, консервы, маринад, сладкое. Желательно употребления для облегчения состояния отвары из календулы, чистотела и крапивы. Данный настой употребляют 2 раза в сутки перед едой. Также хорошо помогает свежевыжатый свекольный сок, принимая по 10 мл по 6 раз в день.
Конечно, всех больных этим страшным заболеванием интересует вопрос, может ли исчезнуть метастаза в легких? Еще несколько лет назад данный диагноз звучал, как приговор, и прогноз на излечение был очень мал. Но с развитием медицины, если оказать своевременное лечение у квалифицированных специалистов, можно продлить жизнь пациенту, повысить качество этой жизни, а в некоторых случаях, полностью исцелить.
Источник: https://dyhanie-legkih.ru/legkie/sekundarnye-izmeneniya-v-legkih
Поделиться:









