Немелкоклеточный рак лёгких разделяется на плоскоклеточный рак, недифференцированную опухоль и аденокарциному.
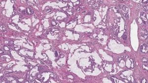
Аденокарцинома лёгкого – это злокачественный вид опухоли, поражающей дыхательную систему человека. Бронхопульмональный рак формирует малигнизированный железистый эпителий. Аденокарцинома – самый распространенный и агрессивный вид новообразования среди лёгочных патологий.
Опухоль поражает железистый слой бронхов и альвеол. Серого или розово-жёлтого цвета. Внутри каждого узла прозрачная жидкость. Новообразование быстро растёт, в течение 6 месяцев объём увеличивается вдвое. Периферический рак встречается чаще центрального. Диагностируется у мужчин пожилого возраста. Реже у женщин и детей.
Онкологический процесс развивается скрыто на первых стадиях.
По МКБ-10 код аденокарциномы как злокачественного новообразования лёгкого и бронхов С34.
Точная причина возникновения опухоли неизвестна. Называют определённые факторы, влияющие на развитие рака лёгких:
- Курение – активное и пассивное. При вдыхании табачного дыма в органы дыхательной системы поступают токсичные вещества, оказывающие разрушительное влияние на клетки лёгких. Однако учёные не выявили точную связь зависимости и новообразования. Курение снижает местный иммунитет лёгких, поэтому позволяет раку распространяться в тканях.
- Облучение радиацией и ультрафиолетом. При этом в клетках тела происходят аномальные процессы, провоцирующие мутации.
- Проживание в неблагоприятной экологической обстановке. В мегаполисах и городах с развитой металлургической и угольной промышленностью лёгочные патологии встречаются гораздо чаще.
- Нездоровое питание. Фабричные полуфабрикаты, искусственно выращенная рыба и птица, жирное мясо, газированные напитки, фаст-фуд и консерванты негативно влияют на все органы и системы. В пище должны преобладать натуральные продукты и растительного происхождения.
- Издержки профессии. Люди, контактирующие с асбестом, страдают аденокарциномой из-за постоянного попадания молекул вещества в ткань лёгких.
- Вирусные и инфекционные заболевания, способные нарушать генетический код человека.
- Хронические процессы органов дыхания.
- Наследственный фактор.
- Некоторые гормональные препараты.
При аденокарциноме выделяют 4 степени развития заболевания:
- 1 стадию может представлять новообразование размером до 30 мм. Располагается в одном сегментарном бронхе. Метастазы отсутствуют. Прогноз на жизнь положительный после удаления опухоли с поражённой частью лёгкого.
- 2 стадия характеризуется злокачественным узлом до 60 мм. Поражён один сегментарный бронх. Раковый процесс не провоцирует возникновение симптомов. В бронхопульмональных лимфоузлах могут встречаться вторичные очаги. При своевременно начатом лечении человек имеет высокий шанс на выздоровление.
- При аденокарциноме 3 стадии опухоль разрастается по всей доле лёгкого и проникает в лимфоузлы. Размер превышает 6 см. Заболевание проявляет первые симптомы. Лечение не приносит желаемых результатов. Пациент проживёт не больше 5 лет. Это связано с метастазами в жизненно необходимых органах и системах.
- Для 4 стадии характерны поражения двух лёгких. Рак стремительно выходит за пределы органа, поражая соседние ткани. Возникает плеврит онкологического типа. Метастазы проникают в головной мозг, в кости и остальные органы тела. Процент выживших сводится к 0. Пациент может умереть в любое время.
Разновидность аденокарциномы по степени злокачественности:
- Высокодифференцированная опухоль проявляется быстрым делением аномальных клеток, вырабатывающих слизь в большом количестве. Форма рака характерна для ацинарного и папиллярного типа новообразований.
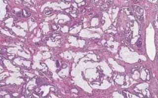
- Умеренно дифференцированная патология представлена нарушением функционирования клеток, продуцирующих слизь. Её создается в 2 раза меньше.
- Низкодифференцированная опухоль прорастает в строму. Половину опухоли представляет солидная клетка, вторую половину – слизеобразующая.
Виды лёгочной опухоли:
- Бронхиолоальвеолярный рак. В патологический процесс вовлечены бронхи и альвеолы. Схож с доброкачественными заболеваниями лёгких, к примеру, склерозирующей гемангиомой. Гистологический анализ определяет точную дифференцировку очага.
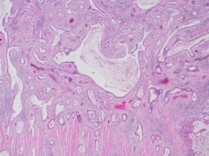
- Муцинозная опухоль. Встречается редко. Отсутствуют контуры новообразования. В его теле содержатся кисты со слизью (муцины). Цвет светло-серый.
- Периферический вид опухоли длительно не провоцирует возникновение симптомов. Обычно новообразование множественного строения. При распространении рака на бронхиальное дерево человек отмечает одышку и повышенную утомляемость. На терминальной стадии возникает мокрый кашель.
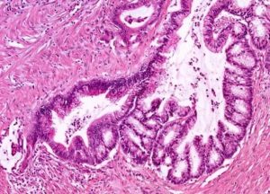
- Папиллярная аденокарцинома формирует сосочки и бугорки в трубчатых и железистых комплексах. Имеет высокую дифференцировку.
- Инвазивная микропапиллярная аденокарцинома отличается агрессивным течением и активным метастазированием в регионарные лимфатические узлы.
При обнаружении метастазов прогноз на жизнь больного снижается. Уже на второй стадии начинается активный рост вторичных очагов в регионарных лимфоузлах. К третьей стадии в злокачественный процесс вовлекается вся лимфатическая система. Для четвёртой стадии характерны очаги в головном мозге, что является главной причиной летального исхода.
Терминальная стадия заболевания и поражение двух лёгких исключают возможность тотальной резекции опухоли. Удалению подлежит одна доля органа, вторую лечат с помощью комплексной терапии.
На начальном этапе симптомы слабовыраженные или отсутствуют, часто принимаются за другие заболевания.
- Необоснованная слабость;
- Утомляемость;
- Отвращение к пище;
- Лёгкая анемия;
- Потеря веса.
Зачастую пациенты не обращаются в больницу с данными симптомами. Аденокарцинома лёгкого развивается и поражает больше клеток тканей органа. Возникают следующие признаки болезни:
- Мокрый кашель с выделением слизи (мокроты);
- Боль в грудной клетке, усиливающаяся при кашле;
- Повышенная температура тела плохо поддаётся лечению нестероидными противовоспалительными средствами;
- Отмечается увеличение подчелюстных и подмышечных лимфатических узлов;
- Одышка в состоянии покоя и при минимальных телодвижениях;
- Воспалительные заболевания органов дыхания, не поддающиеся классическому лечению;
- Больной приобретает все признаки кислородного голодания.
Вторичные очаги вызывают симптомы, характерные для поражённого органа.
Лечением заболевания занимается пульмонолог и онколог. Для определения диагноза назначается ряд лабораторных и инструментальных исследований:
- Общий анализ крови и мочи позволяет отследить наличие воспалительного процесса в организме. Особенно важен показатель СОЭ.
- Микроскопическое исследование мокроты определяет наличие раковых клеток и позволяет отличить их от прочих патологических процессов в тканях лёгких.
- Рентген грудной клетки показывает наличие новообразования в органе.
- С помощью компьютерной томографии (КТ) оценивают локализацию опухоли, её способ кровоснабжения, размер и наличие метастазов в других отделах тела.
- При бронхоскопическом исследовании врач оценивает состояние лёгких, проводит забор биоптата для изучения.
- Сонография определяет область поражения организма злокачественным процессом.
- Гистология опухолевой ткани выясняет природу новообразования. Завершающее исследование для постановки диагноза.
Подход к лечению аденокарциномы лёгкого выбирают после получения всех результатов диагностики. Для достижения ремиссии назначают комплекс лечебных мероприятий:
- На начальных стадиях рака рекомендовано оперативное вмешательство. Удаляется опухоль и прилежащие ткани. Обычно это часть органа или целое лёгкое. Существует ряд противопоказаний, к примеру, заболевания сердца и сосудов, не позволяющие введение наркоза. Проведение операции на терминальной стадии заболевания нецелесообразно ввиду обширного поражения лёгких и распространения метастазов.
- После операции назначают курс лучевой и химиотерапии:
- Лучевая терапия актуальна до и после проведения резекции опухоли. Вначале она способствует уменьшению объёма новообразования. Затем положительно влияет на заживление рубца, снимает болевой синдром и убивает оставшиеся клетки рака.
- Химиотерапия обычно вводится внутривенно. Препарат разносится по кровотоку во все отделы организма, останавливает деление атипичных клеток и прекращает рост метастазов. Лечение циклично, потому что при химиотерапии часто возникают побочные эффекты.
- Брахитерапия позволяет радиации точечно действовать на злокачественный очаг. Элемент помещен в капсулу, не наносит вреда соседним тканям.
- Таргетная терапия направлена на целевое удаление молекул рака, при этом не повреждаются другие клетки. Возможно сочетание с иными методами.
Если оперативное вмешательство невозможно, пациенту назначают паллиативное лечение для устранения симптомов заболевания и продления жизни. Оно включает приём химиотерапевтических препаратов и облучение.
Народных методов лечения для борьбы с онкологией не существует! Пациенты, откладывающие традиционное лечение на длительный срок, подвергаются смертельной опасности.
Послеоперационный период включает наблюдение за состоянием рубца и жизненными показателями пациента: температура тела, давление, анализы крови.
Возможны осложнения, к примеру, нагноение раны, отклонения в работе сердца и органов ЖКТ, заражение крови. Важна психологическая консультация и недопущение депрессивного расстройства больного.
Оптимистически настроенные пациенты имеют больше шансов на выздоровление.
Выберите город, желаемую дату, нажмите кнопку «найти» и запишитесь на приём без очереди:
Источник: https://onko.guru/zlo/adenokartsinoma-lyogkogo.html
Среди разновидностей раковых опухолей легких именно аденокарцинома занимает лидирующие позиции. По статистике данный вид железистого рака чаще всего поражает именно женщин и находится на периферии легких.
Основными причинами, взывающими аденокарциному являются:
- курение;
- алкоголизм;
- неблагоприятная окружающая атмосфера;
- работа на предприятиях с высокой степенью риска вдыхания химических веществ;
- наследственность;
- не долеченные хронические процессы в легких и т.д.
Помимо всего вышеперечисленного стоит отметить и возрастной фактор, так как в подавляющем большинстве случаев больным аденокарциномой более 60-ти лет.
В зависимости от клинических признаков, процента выживаемости и протекания заболевания аденокарциному делят на следующие виды:
- муцинозная аденокарцинома легкого;
- периферическая аденокарцинома легкого;
- рак легких аденокарцинома;
- низкодифференцированная аденокарцинома легкого;
- высокодифференцированная аденокарцинома легкого;
- умеренно дифференцированная аденокарцинома легкого.
Под каждым видом заболевания мы опишем способы лечение аденокарциномы легкого в разных её проявлениях.
Аденокарцинома — это одна из форм рака легких, встречающаяся в большинстве случаев обнаружения онкологических процессов. Независимо от вида, выделяют четыре стадии аденокарциномы:
- 1-я стадия — на этом этапе размер опухоли не превышает 3 сантиметра, метастазы полностью отсутствуют, а человек может испытывать лишь легкую утомляемость. При обнаружении опухоли на данном этапе процент выживаемости составляет 99%;
- 2-я стадия — размер опухоли не превышает 6 сантиметров, могут наблюдаться метастазы, которые распространяются исключительно в близлежащие ткани и лимфоузлы. Процент выживаемости все так же высок и колеблется от 70 до 90%;
- 3-я стадия — на этом этапе состояние больного резко ухудшается, появляется кашель с большим выделением мокроты, что касается опухоли, то она активно увеличивается, а метастазы распространяются на удаленно расположенные органы. При третьей стадии в зависимости от вида аденокарциномы процент выживаемости снижается до 20-35%;
- 4-я стадия — размеры опухоли на данном этапе уже настолько велики, что выходят за пределы одного легкого и распространяются на второе. Метастазы наблюдаются в отдаленных лимфоузлах и током крови могут распространяться вплоть до головного мозга. В зависимости от вида опухоли процент выживаемости колеблется от 1 до 5%.
Это одна из наиболее неблагоприятных форм рака легкого, которая развивается гораздо быстрее других видов и уже на начальных стадиях сопровождается возникновением метастаз. Из-за особенностей строения опухолевых клеток врачам очень сложно определить границы опухоли, что также очень осложняет лечение.
При обнаружении ракового процесса данной формы дается благоприятный исход в том случае, если лечение начато своевременно.
Для избавления от опухоли прибегают к комплексной терапии, иными словами, в первую очередь происходит удаление опухоли хирургическим методом, после чего пациенту назначается курс химиотерапии, который должен обеспечить продолжительную ремиссию. Также перед операцией может проводиться лучевая терапия, которая позволяет уменьшить границы опухоли.
Прогноз выживаемости при данной форме рака легких на ранних стадиях составляет 40-45%, при запущенных процессах исход всегда летальный. Главной причиной данной статистики является бессимптомность данного процесса. Обнаружить низкодифференцированную аденокарциному на ранних стадиях очень сложно.
По своей структуре клетки данного вида рака очень схожи с клетками здорового легкого. Сопровождается высокодифференцированная аденокарцинома высокой выработкой слизи, что и является главным симптомом. особенность этого вида рака — очень медленный рост и позднее образование метастаз, что значительно облегчает процесс лечения.
Наиболее распространенный вид аденокарциномы, встречающийся примерно в 40% случаев. Протекает болезнь практически бессимптомно, а первым признаком заболевания является выделение достаточно обильной мокроты.
Очень редкий вид рака легкий. Представляет из себя опухоль, не имеющую четких границ и включающую в свой состав огромное количество кистозных образований, заполненных тягучей слизью — муцином. Сама опухоль имеет беловато-серый цвет.
Долгое время данный вид аденокарциномы может совершенно никак не проявлять себя. Также важно отметить, что периферическая аденокарцинома очень часто распадается на несколько опухолей.
Первые симптомы проявляются того, когда онкологический процесс уже перешел на бронхи. В первую очередь больного должны насторожить одышка, быстрая утомляемость и слабость.
Кашель и отхождение мокроты — это симптомы последней стадии.
Образование метастазов начинается на второй стадии заболевания и имеет следующие этапы развития:
- вторая стадия — метастазы проникают в лимфатические узлы;
- третья стадия — опухоль занимает всю легочную долю, метастазы уже присутствуют в лимфатических узлах;
- четвертая стадия — опухоль переходит на второе легкое, а метастазы из лимфатических узлов переходят в ближайшие органы, в том числе новые опухоли могут встречаться и в головном мозге.
При образовании метастазов рассчитывать исключительно на операцию не приходится, так как в некоторых случаях метастазы могут слишком близко располагаться к жизненно важным органам, что делает хирургическое вмешательство невозможным. К сожалению, при образовании метастазов прогноз выживаемости значительно снижается и составляет 25-30%.
На 1 и 2 стадиях аденокарциномы достаточно эффективным методом лечения является химиотерапия, давая достаточно высокий процент выживаемости. Кроме того, химиотерапия может быть назначена больному после проведения хирургического вмешательства. Делается это для того, чтобы после удаления опухоли, оставшиеся раковые клетки не начали новый процесс деления.
Химиотерапия проходит в несколько этапов:
- в течение нескольких дней больному через капельницу вводится препарат, который уничтожает раковые клетки. Так как препарат имеет достаточно агрессивное воздействие и уничтожает не только пораженные клетки, но и вполне здоровые, то на данном этапе может начаться выпадение волос, бровей и ресниц;
- реабилитационный период. Данный этап занимает очень длительный промежуток времени. На данном этапе пациент может испытывать сильную слабость, недомогание и тошноту. Больному вводятся витамины, и полностью пересматривается план питания.
Важно!Нужно понимать, что химиотерапия — очень сложный и тяжелый этап в жизни больного, именно поэтому правильная подготовка организма является первым шагом на пути к успеху. Не стоит пренебрегать рекомендациями врача перейти на здоровое питание, отказаться от ряда продуктов и бросить любые вредные привычки.
Главным условием для успешного лечения аденокарциномы является тщательное наблюдение за состоянием своего здоровья и своевременное обследование. Кроме того, крайне важно вести здоровый образ жизни и отказаться от вредных привычек, особенно курения. Не забывайте о том, что обнаруженная на ранних стадиях аденокарцинома успешно лечиться.
Источник: https://vdoh.site/adenokarcinoma-legkogo
Аденокарцинома легкого один из самых распространенных гистологических типов немелкоклеточного рака. Этот вид онкологии органов дыхания по распространённости в количественном выражении уступает, только плоскоклеточному раку.
В основном имеет периферическую локализацию, хотя канцерогенная мутация клеток происходит и в крупных бронхиальных структурах. Практически не имеет особых гендерных отличий, однако у мужчин встречается все же чаще, в особенности это касается лиц старше 60 лет.
Диагностирование опухолевого процесса мало, чем отличается от других форм легочных онкологий и включает в себя на первом этапе рентгенографию, затем назначается КТ, визуализация проводится с помощью бронхоскопии. Окончательный диагноз ставится после обработки биоматериала.
Как развивается опухоль.
В чем опасность онкологического поражения.
Понятие аденокарциномы в онкологической практике означает, что канцерогенный процесс берет свое начало в железистых и эпителиальных клетках. Для органов дыхания местом, где происходит образование злокачественной опухоли, выступает внутренняя сторона бронхиального дерева.
Таким образом, развитие рака легкого из железистых клеток, выстилающих внутренний просвет бронхов и альвеол, подпадает под понятие аденокарциномы легких. Еще этот гистологический тип в медицинской практике имеет название железистый рак.
В большинстве случаев атипичные клетки образуются из слизистой оболочки мелких бронхов, и поэтому аденокарциному диагностируют как периферический рак. Реже местоположение новообразования выявляют в крупных бронхах, то есть фиксируют центральную локализацию.
Опасна ли аденокарцинома.
Железистый РЛ способен очень быстро прогрессировать – опухоль за полгода не контролированного процесса способна увеличиться в размерах в два раза. Совокупность периферического расположения, что ведет к бессимптомному течению болезни на начальной стадии болезни, и достаточно агрессивный рост опухоли приводит к тому, что лечение начинается на третьей стадии.
В чем основная причина развития новообразования.
На данный момент не выведена точная формула, дающая исключительное определение причин, в результате которых происходит возникновение железистого рака легких.
Неизвестно, под влиянием, какого именно фактора, происходит патогенное изменение клеток железистого слоя бронхов. Возможно, решающим является один из негативных факторов или их совокупность.
Если брать во внимание все онкологические заболевания человека, то даже у людей, у которых никогда не было зафиксировано появление злокачественных образований, существует вероятность появления их на каком-либо отрезке времени в прошлом. Однако иммунитет организма сумел побороть опухолевый процесс, и болезнь была подавлена защитной функцией организма еще в своем зачатке.
Курение как фактор, предрасполагающий к развитию заболевания.
В современной медицине, по поводу причин, приводящих к патогенному делению клеток эпителиального слоя бронхиального дерева, существуют только предположения.
Причины, повышающие вероятность возникновения аденокарциномы легких:
- Болезни легких связанные с профессиональной деятельностью: шахтеры, сварщики, работники стекольной промышленности или радоновых рудников.
- Вдыхание различных вредных веществ: сигаретный дым, вредные выбросы промышленных предприятий.
- Заболевания легких хронического или вирусного характера.
- Появление доброкачественных опухолей.
- Наследственная предрасположенность.
Перечень факторов, оказывающих негативное воздействие на органы дыхания можно продолжить еще более объемным списком. Но всех их объединяет одна неотъемлемая особенность: все они еще до возникновения раковой опухоли, так или иначе, оказывают отрицательное воздействие на работу всей системы дыхания человека.
Как выглядит рак легких на снимке рентгенограммы.Важно! Прямая связь между курением и возникновением рака легких давно доказана. Эта аксиома не подлежит сомнению. Однако в случае с аденокарциномой легких, на ее возникновение стаж курения не оказывает такого влияния как с другими формами рака легких.
Какой метод лечения является оптимальным.
Для определения отличительных признаков, показывающих соотношение канцерогенных клеток к здоровым, применяется понятие дифференциации. Этот параметр указывает насколько разнятся патогенные клеточные структуры от нормального клеточного развития.
Существует три вида дифференцировки аденокарцинома:
- высокодифференцированная;
- умеренно дифференцированная;
- низкодифференцированная.
Высокодифференцированный тип не имеет на начальной стадии особых симптоматических проявлений. На клеточном уровне патогенное изменение заключается в трансформации ядра клеток – происходит его удлинение. Поэтому раковые клеточные структуры особо не отличаются от здоровых.
По форме они могут принять вид узелка, или оказаться относительно большими по размеру. Протекать раковая болезнь может в виде ацинарной аденокарциномы – с преимущественным наличием железистых клеточных структур, или как папиллярная форма – с сосочковым строением. Ацинарное и папиллярное строение активно продуцирует слизь.
Компьютерная томография как допустимый метод диагностики.
Отсутствие признаков патологии до момента разрастания опухоли, не говорит о том, что болезнь вначале никак не проявляется. Не исключено появление следующих признаков: слабость, апатия, потеря веса, немотивированный отказ от приема пищи.
Наличие умеренно дифференцированного образования говорит о ярко выраженном видоизменении на уровне клеточных структур. Такой тип по характеру протекания болезни схож с высокодифференцированным, его клетки имеют больше нетипичных изменений, обладая более высоким ядерно-плазматическим соотношением.
Четко очерченных границ в районе очага поражения не возникает. Количество раковых клеток, проходящих быстрое деление, постоянно увеличивается. Их обнаружение и классификация не представляет особой трудности.
Образования, состоящие из клеток с умеренной степенью дифференциации, имеют железисто-солидную структуру. Продуцирование слизи производится не всеми клеточными структурами. Характер течения аденокарциномы такого типа отличается своей тяжестью от остальных.
Рентгенография.
Низкодифференцированная аденокарцинома легкого обладает наиболее агрессивной степенью злокачественности. Злокачественность данной опухоли проявляется в первую очередь в раннем метастазировании, происходит видоизменение ткани на месте очага разрастания.
Механизм канцерогенной модификации клеточных структур достаточно примитивен, и поэтому сделать вывод по поводу начального развития опухоли достаточно сложно. Разрастание опухоли носит относительно быстрый характер.
Микроскопическое обследование позволяет выявить примерно равное количество солидных и продуцирующих слизь структур. Высокая активность раковой опухоли, становится причиной наиболее неблагоприятного прогноза, независимо от стадии раковой болезни.
Таблица дифференцировки аденокарциномы:
Степень дифференцировкиКлеточные структурыФорма протеканияВысокодифференцированнаяУдлинение ядра клеткиПовышенное образование слизи, папиллярная или ационарная формаУмеренно дифференцированнаяЖелезисто-солидноеВыделяет слизь только часть клеток, риск появления осложнений от сопутствующих болезнейНизкодифференцированнаяСолидные и слизеобразующиеВысокая злокачественность, появление метастазов на начальных стадиях
Алгоритм диагностики аденокарциномы легких включает в себя комплекс мероприятий для сбора данных. На первое место выходит рентгенологическое, обследование, позволяющее обнаружить первые диагностические признаки болезни. Насторожить медицинского сотрудника на снимке должна округлая тень, возможно выявление плеврального выпота.
Алгоритм диагностики известен специалистам.
Для дальнейшего уточнения диагноза врач назначает проведение КТ органов дыхания. Компьютерная томография позволяет определить вовлеченность лимфатической системы. Принцип работы компьютерного томографа рассмотрен в видео в этой статье.
Визуализацию опухоли при центральной локализации аденокарциномы производят с помощью бронхоскопии. При мелкобронхиальном росте с помощью бронхофиброскопа можно взять биоматериал для цитологического обследования бронхов.
Дальнейшая инструкция по диагностированию предполагает применение различного рода диагностических процедур. Все зависит от дополнительных клинических исследований, которые потребуются для уточнения диагноза.
Эти процедуры могут быть следующими:
- УЗИ плевральных полостей;
- анализ крови и мокроты;
- биопсия – может проводиться с помощью бронхоскопии или трансторакальной пункции.
На выбор диагностических подходов оказывает влияние оснащенность современных онкологических клиник, а также цена того или иного исследования.
При прогнозировании выживаемости для пациента с аденокарциномой легких необходимо отталкиваться в первую очередь от стадии болезни, на которой началось ее лечение. Также повлиять на прогноз может расположение опухоли, степень ее дифференциации, наличие метастазов в лимфоузлах и других органах организма.
Большое значение имеет возможность проведения операционного удаления опухоли. Без операции пятилетняя выживаемость значительно ухудшается.
Дать точный прогноз при онкологии довольно не просто.
Наиболее высокий процент пятилетней выживаемости пациенты имеют на первой и второй стадиях – 50-70%. Однако рак на первых стадиях диагностируют, только у 25% пациентов.
На третьей стадии пятилетнего рубежа достигнуть удастся только 25% больных. Значительное ухудшение показателей продолжительности жизни на третьей стадии связано в первую очередь с распространением метастазов в регионарные лимфатические узлы.
Аденокарцинома легких 4 стадии имеет самые маленькие показатели продолжительности жизни. Опухоль, увеличиваясь в размере, достигает второго легкого и ткани соседних органов. Метастазирование перекидывается на удаленные органы, возможно развитие ракового плеврита. Прогноз выживаемости при аденокарциноме легкого 4 стадии составляет 10-15%.
Если учитывать дифференциацию аденокарциномы, то самые низкие показатели выживаемости у низкодифференцированной опухоли. Летальный исход в отсутствии лечения может настать через 2-4 месяца. Однако с данной степенью раковые клетки чувствительны к химиотерапии и облучению. Правильное и своевременное лечение сможет значительно повысить продолжительность жизни.
Читать далее…
Источник: https://zen.yandex.ru/media/id/59bf9ecc9d5cb3ee0df4e084/5a82ea4a865165eec24b5dd9
Аденокарцинома легкого является опухолью, формирующейся из железистой ткани легких и бронхов. Как правило, новообразование располагается на поверхности мелких бронхов, но способно локализоваться и на крупных бронхах.
Данная патология проявляется в виде мелких узелков, которые расположены в легких. Данные узелки имеют различные размеры, плотность и цвет. Чаще узелки имеет серый окрас, но встречаются белого или желтовато-бурого оттенка. Также в опухоли могут находиться некоторые клетки, которые не имеют окраса, из-за этого часть новообразования может быть прозрачной.
Аденокарцинома легкого (код по МКБ10 – С34) относится к опухолям, развивающимся из производных эпителиальных клеток, эта патология имеет злокачественное течение, инвазивный тип роста и может давать метастазы. Рак начинает развиваться из желез, выстилающих поверхность бронхиального дерева.
Легкие покрыты серозной оболочкой, носящей название висцеральная плевра, состоящей из однослойного мезотелия. В органах выделяют воздухоносные пути и дыхательный отдел. Левое легкое состоит из 2 частей, правое — из трех.
К причинам и факторам риска возникновения данной онкологии можно отнести:
- генетическую предрасположенность;
- хронические заболевания легких;
- злоупотребление вредной пищей (соленым, острым, жирным);
- курение – активное и пассивное;
- хроническое влияние радиации;
- работу на вредном производстве;
- употребление алкоголя;
- малоподвижный образ жизни;
- проживание в экологически неблагоприятной местности.
Аденокарцинома легких может классифицироваться по степени дифференцировки на следующие виды:
- низкодифференцированная;
- умеренно дифференцированная;
- высокодифференцированная.
Чем выше степень дифференцировки, тем опаснее раковый процесс и хуже прогноз для пациента. Высокодифференцированные опухоли стремительно вырабатывают слизь, умеренная дифференцировка подразумевает железисто-слизистое строение опухоли, в низкодифференцированной опухоли наличествуют слизеобразующие полигональные клетки.
По виду, форме, гистологическому строению выделяют аденокарциномы следующих типов:
- муцинозная аденокарцинома легкого — считается самым редким и самым опасным видом опухоли;
- немуцинозная;
- смешанный тип — муцинозный с немуцинозным;
- солидная с муцином;
- ацинарная;
- бронхиолярно-альвеолярная;
- сосочкообразная;
- со смешанными подтипами;
- светлоклеточная аденокарцинома;
- перстневидно-клеточная;
- высокодифференцированная фетальная.
Разделяют четыре стадии данного заболевания:
1 стадия — величина опухоли меньше 3 см. Новообразование располагается в одном сегменте и не метастазирует.
2 стадия – величина опухоли не более 6 см. Она также располагается в одном сегменте, но может давать метастазы в бронхопульмональные лимфоузлы.
3 стадия — опухоль в диаметре более 6 см, клетки ее находятся в одной доле легкого, присутствует очаг метастазирования в лимфоузлах бифуркационной или паратрахеальной зонах.
Рак последней – 4 степени – поражает и второе легкое, опухолевый процесс распространяется на близлежащие структуры. На 4 стадии метастазы поражают отдаленные органы, появляется раковый плеврит.
На ранних стадиях признаки аденокарциномы легкого не наблюдаются или они незначительны. Первые проявления не выглядят типичными и похожи на симптомы многих других заболеваний:
- сонливость;
- быстрая утомляемость;
- снижение или полное отсутствие аппетита;
- снижение работоспособности;
- истощение организма, резкая потеря веса.
По мере увеличения размера опухоли присоединяются и другие признаки заболевания:
- продолжительный непрекращающийся кашель с выделением обильной мокроты;
- кровохарканье;
- отечность лица и шеи;
- болевые ощущения за грудной клеткой;
- апатия;
- одышка даже при небольших нагрузках;
- воспаление регионарных лимфоузлов;
- развитие анемии;
- рост температуры до 37 градусов;
- появление пневмонии и плеврита, которые тяжело поддаются терапии.
Первоначально врач проводит анализ жалоб пациента и сбор анамнеза. Далее для постановки диагноза проводят следующие исследования:
- анализ мокроты на цитологию;
- анализ крови общий, биохимический, на онкомаркеры;
- биопсия опухоли пункционная для гистологии;
- рентгенологическое исследование грудной клетки;
- МРТ, КТ;
- УЗИ;
- бронхоскопия.
Чаще назначают комплексное лечение, которое состоит из оперативного вмешательства, химиотерапии и лучевой терапии. Комбинированным лечением можно добиться наилучшего результата.
Когда опухоль выявляется на раннем этапе формирования и имеет небольшой размер, хирургическое вмешательство может полностью вылечить пациента и сохранить большую долю органа. Обширность операции зависит от локализации и размеров опухоли. Определяют три типа хирургического вмешательства:
- сегментэктомия — врачом удаляется один или несколько сегментов легкого, которые поражены раком;
- лобэктомия — иссекается одна доля легкого;
- пульмонэктомия — делается абсолютное иссечение легкого.
Одновременно с одним из данных типов оперативного вмешательства делается иссечение регионарных лимфоузлов, то есть относящихся к зоне грудной клетки. Перед выполнением операции врачи проводят оценку второго легкого. Если оно выполняет свои функции недостаточно хорошо, то оперативное вмешательство не проводят, и прибегают тогда к химической или лучевой терапии.
Для облучения используется кибернож, который влияет излучением непосредственно на опухоль.
Эффективным способом лечения считается химиотерапия. Назначаются препараты, убивающие клетки не только основной опухоли, но и образовавшиеся метастазы. Химическая терапия, проведенная до операции, способна уменьшить величину опухоли, а проведенная после — способна предупредить рецидив аденокарциномы.
https://youtube.com/watch?v=CKoPDWYEm2c
Выживаемость при наличии аденокарциномы легких зависит от ее стадии и формы.
Используется много инновационных методов для борьбы с этой патологией. К таким способам относится термотерапия, — процедура, при которой используется объемный сканер, сканирующий пораженную зону и позволяющий с большой точностью определить объемы оперативного вмешательства. Хорошо показала себя таргетная терапия, при которой применяемые препараты направленно влияют на опухолевые клетки.
* Только при условии получения данных о заболевании пациента, представитель клиники сможет рассчитать точную цену на лечение.
Народные методы борьбы с раковыми заболеваниями могут выступать только как дополнительная терапия. Они не способны заменить базовое лечение. Методы народной медицины можно использовать для купирования тошноты и других побочных эффектов от применения химиотерапии.
Эффективным рецептом считается следующий сбор лекарственных трав:
- семена льна;
- листья крапивы;
- ромашка;
- корень женьшеня;
- цветки апельсина;
- яблочный цвет;
- сушеные листья алоэ.
Все ингредиенты измельчают, перемешивают и заваривают. Этот чай пьют с медом ежедневно при отсутствии аллергии.
Использование любого рецепта народной медицины предварительно согласовывается с врачом, так как самолечение способно ухудшить ситуацию и вызвать тяжелые осложнения и последствия.
по теме:
Прогноз выживаемости зависит от того, какую степень злокачественности имеет опухоль, где она расположена, сколько лет пациенту, на какой стадии заболевания было начато лечение, и как организм отреагировал на лечение. При раке легких последней стадии прогноз самый неблагоприятный.
Третья степень рака после проведенного лечения дает шанс на пятилетнюю выживаемость 10% пациентов. При проведенной тотальной резекции легкого с пораженными тканями и лимфатическими узлами процент выживаемости доходит до 30%. Проведенная терапия на первой стадии заболевания дает шанс на пятилетнюю выживаемость у 60-70% пациентов.
Профилактика заболевания состоит в избегании факторов, которые способны быть толчком для начала онкологии в легких:
- отказ от курения;
- своевременное и правильное лечение вирусных заболеваний;
- правильное питание;
- не контактировать с асбестом, мышьяком, никелем и другими химическими веществами, соблюдение правил безопасности.
Источник: https://pro-rak.com/dyhatelnaya-sistema/adenokartsinoma-legkogo/
Поделиться:










