Инфаркт пневмония – воспаление, возникающее после стойкого локального нарушения кровообращения в легочной ткани.
Основной причиной является тромбоэмболия ветвей легочной артерии. При массивном распространении часто приводит к моментальной смерти, однако поражение мелких ветвей вызывает только локальные инфаркты легочной паренхимы.
Существует целый ряд патологических состояний, которые вызывают развитие тромбов в правых отделах сердца. К основным относят:
- пороки сердца;
- правожелудочковую сердечную недостаточность;
- варикозную болезнь, расширение вен малого таза и нижних конечностей;
- флебиты и тромбофлебит.
Лечение основной патологии не всегда приводит к желаемому результату. При наличии сопутствующих отягощающих факторов, вероятность развития инфаркта легкого и последующей пневмонии увеличивается в несколько раз:
- гипо- и адинамия;
- избыточная масса тела;
- прием гормональных препаратов (эстрогенов);
- хроническая венозная недостаточность;
- гиперкоагуляция;
- системные заболевания.
Однако, отрыв тромбов происходит далеко не у каждого пациента. Выделяют провоцирующие условия, которые вызывают тромбоэмболию:
- полостные операции;
- длительное пребывание в горизонтальном положении — в условиях реанимации, после тяжелых травм, ожогов, в старческом возрасте;
- мерцательная аритмия;
- переломы трубчатых костей;
- недостаточность кровообращения.
В результате, небольшие составляющие тромбов отрываются и оседают в мелких сосудах легочной артерии, вызывая ее полную облитерацию. Нарушение поступления артериальной крови служит причиной инфаркта части легкого.
В отличие от ателектаза, где закрывается проходимость бронха, а легочная паренхима продолжает активно кровоснабжаться, в области инфаркта отмечается полное отсутствие кровотока. Инфицирование данного участка патогенными или условно-патогенными микроорганизмами вызывает инфарктную пневмонию.
Инфаркт легкого проявляется резкой болью в груди. Кашель при этом сухой, сопровождается выраженой одышкаой. Через какое-то время может появиться мокрота с прожилками крови.
Развитие инфекционного процесса, пневмонии, будет сопровождаться лихорадкой, тахикардией, слабостью.
Даже небольшая субфебрильная температура у больного с выраженными проявлениями сердечной недостаточности должна вызывать беспокойство, так как это может быть единственным симптомом поражения легочной ткани.
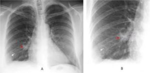
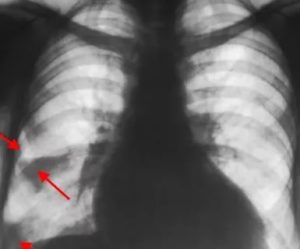
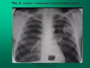
На рентгене прослеживается характерное треугольное затемнение с основанием к периферии легкого в средних и базальных сегментах. Однако, выраженный венозный застой и отек паренхимы могут сглаживать рентгенологические проявления.
При стертой инструментальной и клинической симптоматике бывает трудно дифференцировать тромбоэмболию легочной артерии и инфаркт миокарда. Такое понятие, как постинфарктный синдром также может включать воспалительные изменения легких и плевры. Основным является тщательное наблюдение за динамикой ЭКГ.
Пневмония после инфаркта миокарда характеризуется следующими проявлениями:
- возникает через 2 недели после приступа;
- кашель сухой или с выделением умеренного количества мокроты;
- кровохарканье;
- атипичные возбудители;
- плеврит сухой, серозный или геморрагический.
В общем анализе крови не будет выраженных и каких-либо типичных проявлений, по которым можно отличить пневмонию после инфаркта легкого и инфаркта миокарда.
Если причина пневмонии после инфаркта легкого в тромботических осложнениях, лечение начинают с антикоагулянтов и фибринолитических средств.
Симптоматическое лечение направлено на уменьшение боли. Для этого применяют наркотические и ненаркотические анальгетики.
Этиотропная терапия пневмонии предполагает назначение антибиотиков в зависимости от чувствительности возбудителя.
Принцип лечения состояний после перенесенного инфаркта миокарда состоит в применении стероидных гормонов, что способствует быстрому улучшению общего состояния. Если имеются противопоказания к кортикостероидам, ограничиваются приемом аспирина.
Грозным осложнением, ухудшающим прогноз, является абсцесс легкого. Симптомами развивающегося массивного некроза являются резкое повышение температуры, мокрота гнойного характера большого объема. Лечение в такой ситуации состоит из комбинации антибактериальных препаратов и противовоспалительных средств.
Наиболее эффективным является профилактика тромбоэмболии, включающая в себя:
- контроль за состоянием периферических вен – регулярное проведение УЗДГ вен нижних конечностей, осмотр флебологом, прием антикоагулянтов и антиагрегантов при необходимости;
- исключение заболеваний сердечной системы – ревмокардита, эндокардита, пороков, аритмии, инфаркта миокарда;
- ношение компрессионного трикотажа во время любых оперативных вмешательств и в течение недели в послеоперационном периоде;
- по возможности ранняя активизация лежачих пациентов.
Последствия и исход инфаркта легкого зависит от калибра пораженного сосуда, функциональных сил организма и своевременности оказанного лечения.
Загрузка…
Источник: https://MedBoli.ru/dyhatelnaya-sistema/pnevmoniya/simptomy-lechenie-i-posledstviya-infarktnoj-pnevmonii
Пневмония инфарктная представляет собой процесс воспаления, который развивается после перенесения стойкого нарушения кровотока в ткани легкого.
причина развития состояния – тромбоэмболия артерии легкого и ее ветвей. При активном распространении процесса он может спровоцировать незамедлительную смерть, но поражение мелких ответвлений приводит лишь к локальным инфарктам в паренхиме органа.
Установлен список заболеваний, которые приводят к образованию тромбов ветвей легкого. Основными считаются:
- пороки сердца и проблемы в работе миокарда;
- недостаточность правого желудочка;
- варикоз – расширение вен на ногах, вен малого таза;
- тромбофлебит, флебит.
Лечение указанных заболеваний не всегда помогает добиться положительной динамики. При возникновении дополнительных отягощающих ситуацию факторов риск проявления инфаркта и последующего процесса воспаления в легком увеличивается в несколько раз. К отягощающим факторам относятся:
- гиподинамия;
- лишний вес;
- лечение эстрогенами;
- хроническая венозная недостаточность;
- системные патологии;
- гиперкоагуляция.
Но отрыв тромбов возникает не слишком часто. Есть целый список провоцирующих это нарушение условий, а именно:
- полостные операции;
- мерцательная аритмия;
- долговременное лежачее положение – при реанимации, тяжелых травмах и ожогах, у людей пожилого возраста;
- переломы трубчатых костей;
- недостаточность кровообращения.
Под влиянием одного или нескольких провоцирующих факторов небольшие участки тромбов разрываются, оседают в мелких сосудах легочной артерии, приводя к ее облитерации. Возникают проблемы с поступлением артериальной крови и инфаркт легочной паренхимы.
При этом продолжается активное кровоснабжение паренхимы, но в месте инфаркта кровоток полностью останавливается. Инфицирование данной области патогенными и условно патогенными микробами и приводит к тому, что возникает инфарктная пневмония.
Симптомы инфаркта соотносятся с площадью очага поражения ткани и общего состояния организма в данный момент.
Если очаг некрупный, то клинические проявления могут совсем не развиваться, а нарушение можно диагностировать только с помощью рентгенографии.
При отсутствии симптомов рентгенологические изменения проходят самопроизвольно через 7 – 10 дней. Так, инфаркт пневмония диагностируется случайным образом при лечении ее инфекционных последствий.
К основным симптомам инфарктного воспаления легкого относятся:
- Признаки закупорки сосудов легкого – это основная клиническая симптоматика. Развивается неожиданная острая боль в зоне грудной клетки, инспираторная одышка на фоне нормального самочувствия.
- Кашель у пациентов вначале непродуктивный, потом преобразуется во влажный, может отделяться пенистая мокрота с кровью, за счет чего имеет темно-коричневый оттенок. Причиной кашля становится разрыв сосуда из-за закупорки его тромбом и пропитывание паренхимы кровью.
- Одышка всегда дополняется побледнением кожного покрова и выступанием холодного липкого пота.
- Ишемия миокарда – частый симптом при инфаркте легкого. Так случается в связи с проблемой коронарного кровообращения.
- К другим сопутствующим симптомам относится серый оттенок кожи, озноб и лихорадка, нитевидный пульс, поверхностное дыхание.
Также у пациентов после инфаркта легкого могут развиваться:
- резкое падение артериального давления;
- церебральные нарушения;
- абдоминальный синдром;
- приступ удушья;
- паника;
- мерцательная аритмия;
- лейкоцитоз и повышение СОЭ в анализах крови.
При прослушивании врач устанавливает характерные перкуторные и аускультативные симптомы – жесткое дыхание, мелкопузырчатые хрипы.
Как правило, диагноз инфарктной пневмонии ставится на основании жалоб больного, после его визуального осмотра, потому что клиническая картина болезни выражена сильно.
Важно! При реализации рентгенографии на снимке видны затемненные области на пораженном легком.
В дополнение врач организует ЭКГ для установления степени производимой нагрузки на сердце и нормы его функционирования.
Врач обязательно учитывает наличие у больного сопутствующих патологий, проводит дифференциальную диагностику с инфарктом миокарда, туберкулезом, пневмотораксом, крупозной пневмонией и миокардитом.
Главное осложнение инфаркт пневмонии – это абсцесс легкого. К симптоматике некроза относится резкое увеличение температуры тела, отхождение гнойной мокроты в больших объемах. В сложившейся ситуации реализуется только комбинированная терапия антибиотиков и противовоспалительных медикаментов.
Профилактика тромбоэмболии включает в себя такие методы:
- Контроль состояния периферических вен – регулярная организация УЗДГ вен ног, осмотра у флеболога, лечение антикоагулянтами и антиагрегантами по мере необходимости.
- Исключение патологий сердца – ревмокардита, эндокардита, инфаркта миокарда и аритмии.
- Использование компрессионного трикотажа при проведении любых операций.
- Как можно более ранняя активизация пациентов с постельным режимом.
Инфаркт легкого нельзя отнести к быстро прогрессирующим патологиям. При своевременной терапии прогноз сохранится благоприятным. Последствия можно устранить полностью при условии правильной диагностики этиологии.
При своевременной медицинской помощи и адекватном выборе лечения тромбы растворяются, нормализуется трофика и кровоток пораженного участка, пациент выздоравливает.
Исход и последствия инфарктной пневмонии также зависит от размера травмированного сосуда, общего состояния организма и своевременного начала коррекции.
Источник: https://pnevmonya.ru/vidy/infarkt-pnevmoniya-lyogkogo-simptomy-lechenie-posledstviya
Инфаркт легкого – одна из наиболее опасных форм заболевания. Оно характеризуется быстрой гибелью клеток органа из-за внезапно прекратившегося кровообращения. Болезнь начинается внезапно, стремительно прогрессирует и чревата серьезными осложнениями.
Прекращение кровотока по ветви легочной артерии приводит к развитию легочного инфаркта
Чаще всего кислородное голодание легкого наступает из-за тромбоза (образования кровяного сгустка на внутренней стенке артерии, закупоривающего ее просвет) или эмболии (закупорки инородным телом, принесенным с током крови из любого участка человеческого тела – в данном случае оно называется эмболом). Реже патологический процесс наступает из-за сдавливания кровеносного сосуда извне. Инфаркт легкого также называют легочной эмболией, подразумевая под эмболией закупорку сосуда в общем, независимо от закупоривающего фактора.
В силу анатомических особенностей инфаркт легкого случается на ограниченном сегменте (участке) ткани легкого, так как тромбом или эмболом закупориваются отдельные артерии – долевые, сегментарные или более мелкие. Множественной эмболии могут подвергнуться сосуды мелкого калибра, но они кровоснабжают небольшой участок легкого – благодаря этому кислородное голодание органа не тотальное, а ограниченное.
Согласно статистике:
- инфаркт правого легкого наблюдается в 2 раза чаще, чем левого;
- нижние доли легких поражаются в 4 раза чаще, чем верхние.
Таким образом, наиболее часто подвергающаяся инфаркту локация – нижние доли правого легкого. Любая патология, развивающаяся в них (в частности, с выраженной симптоматикой ишемии тканей), должна каждый раз вызывать настороженность пульмонологов, не развился ли там инфаркт легкого.
Симптоматика инфаркт-пневмонии неоднозначна. Проявления патологии зависят от общего состояния организма и площади поражения легких.
Если очаг совсем мал, клинические признаки отсутствуют, а наличие болезни можно определить, только сделав рентгенографию.
При отсутствии симптомов на рентгене ничего не будет видно уже через неделю после начала болезни, а наличие инфаркта обнаруживается при лечении инфекций, являющихся его осложнением.
Основными признаками инфарктной пневмонии являются симптомы, характерные для острой закупорки сосудов легких. Больной чувствует резкую боль в грудной клетке и инспираторную одышку (т. е.
Другие симптомы могут отсутствовать.
Для подобной болезни характерен сначала непродуктивный кашель, который со временем переходит во влажный. При этом может выделяться темная пенистая мокрота с кровавыми прожилками. Это характерный признак того, что перекрытый тромбом сосуд лопнул, и кровь из него попала в легочную ткань. Начинается воспаление, вызывающее сбои функций дыхательной системы.
Инфаркт легкого часто сопровождается ишемической болезнью сердца, т. е. состоянием, при котором сердцу не хватает кислорода. Эта патология сопровождается повышением давления, тахипноэ и нитевидным пульсом, больной бледен, у него может начаться озноб или лихорадка.
Когда начинает развиваться пневмония, больной чувствует головную боль, лихорадку и слабость, сердцебиение учащено. Если имеются симптомы, характерные для сердечной недостаточности, то единственным симптомом поражения легких может быть повышение температуры.
Одна из главнейших причин заболевания – тромбоэмболия легочной артерии (ТЭЛА): из-за нее наблюдается от 10 до 25% клинических случаев инфаркта легкого.
Выдвигается предположение, что их на самом деле намного больше – но часто патология не выявляется при жизни из-за ошибочной диагностики и не подтверждается после смерти в силу медицинской этики (необходимость реагировать положительно на отказ родственников умершего от его вскрытия).
На данный момент считается, что по причине тромбоэмболии легочной артерии летальный исход от инфаркта легкого наступает у 5-30% больных с этим заболеванием.
ТЭЛА не только сама по себе считается патологией с высокой вероятностью возникновения кислородного голодания легочной ткани – риск фатальных случаев при вызванном ею инфаркте легкого еще больше возрастает из-за таких факторов, как:
- отсутствие лечения;
- неоднократно рецидивирующие тромбозы – повторное образование тромба в одном и том же сосуде, нередко – в одном и том же его месте. Причина рецидивов – физико-химическое компрометирование внутренней оболочки сосуда;
- тромбоэмболии, наблюдающиеся в роду (отягощение наследственности по ТЭЛА);
- возраст старше 60 лет;
- прием гормональных контрацептивов;
- ожирение;
- опухоли поджелудочной железы;
- легочная гипертензия (повышение давления в легочной артерии);
- фоновые (сопутствующие) заболевания, ухудшающие общее состояние пациента;
- неправильное использование внутривенных катетеров, применяемых для капельных вливаний (они могут провоцировать тромбообразование в месте введения).
Одними из самых опасных фоновых болезней в плане возникновения ТЭЛА и последующего инфаркта легких считаются заболевания крови – в частности:
- серповидно-клеточная анемия (эритроциты имеют форму серпа);
- ДВС-синдром (нарушение баланса свертывающей системы крови, которое приводит к образованию множественных тромбов).
Помимо ТЭЛА, большинство клинических случаев инфаркта легкого развивается у пациентов, которые страдают другими сердечно-сосудистыми заболеваниями (в частности, хроническими). В первую очередь это такие патологии сердца, как:
- мерцательная аритмия (хаотическое сокращение отдельных волокон сердечной мышцы);
- митральный стеноз (сужение левого предсердно-желудочкового отверстия сердца);
- ишемическая болезнь сердца (поражение сердечной мышцы из-за нехватки кислорода);
- инфаркт миокарда как осложнение ИБС (омертвение сердечной мышцы);
- кардиомиопатии (поражения различного происхождения, кроме нарушения кровеобеспечения);
- инфекционный эндокардит (инфекционное воспаление внутренней оболочки сердца);
- миксома предсердия (доброкачественная опухоль);
- сердечная недостаточность;
- васкулиты (воспаление сосудов с их последующим разрушением)
и так далее.
При патологии сердца тромбы в большинстве случаев образуются на внутренней поверхности ушка правого предсердия. Некоторое время они могут удерживаться в месте формирования, пока ток крови не оторвет их и не занесет в артерии малого круга кровообращения, благодаря которому легкие обеспечиваются кровью.
Из других причин, не связанных с патологией сердца, чаще всего к легочной эмболии, которая провоцирует инфаркт легкого, могут привести следующие заболевания и состояния:
- тромбозы вен (чаще – глубоких) нижних конечностей;
- тромбофлебиты глубоких тазовых вен;
- постельный режим, назначенный в послеродовом или послеоперационном периоде, по поводу тяжелых заболеваний или требуемый в силу специфики тех или иных состояний (например, пребывание пациента в коме);
- иммобилизация (обездвиживание) верхних и нижних конечностей при переломах.
В послеоперационном периоде риск тромбоза с развитием инфаркта легкого – самый высокий при:
- кесаревом сечении;
- операциях на органах брюшной полости;
- гинекологических вмешательствах;
- операциях на органах грудной полости;
- геморроидэктомии (удалении геморроя);
- операциях по поводу варикозного расширения вен нижних конечностей, осложненного тромбозом или тромбофлебитом (воспалением сосудистой стенки и образованием в этом месте тромба).
Важно
Особенно опасны тромбы, которые к внутренней поверхности сосуда крепятся очень маленькой поверхностью (в сравнении со всей площадью своей поверхности). Такие тромбы называются флотирующими (плавающими). Они практически всегда отрываются и заносятся током крови в долевые и сегментарные сосуды легкого.
Помимо сгустка крови (тромба), в качестве эмбола, закупоривающего сосуд, могут служить:
- жировые частицы;
- скопления опухолевых клеток;
- скопления микроорганизмов или их фрагментов;
- конгломераты яиц паразитов, попавших в ток крови;
- газовые пузырьки.
Жировая эмболия кровеносных сосудов легких может наступить при:
- ошибочном введении в кровеносное русло жировых суспензий (взвесей);
- переломе трубчатых костей – особенно при политравме (множественных травматических повреждениях – например, в тяжелых ДТП), когда ломается несколько костей, и риск эмболизации существенно возрастает.
Опухолевую эмболию теоретически могут вызвать клетки любых опухолей, но в подавляющем количестве случаев ее причиняют скопления клеток, образовавшиеся при распаде злокачественных новообразований на терминальных стадиях.
Если место, откуда прибыл эмбол, неизвестно, такой инфаркт легкого называют первичным, если оно определено – вторичным.
Инфаркт легкого подразделяется на несколько видов по калибру пораженного сосуда и объему омертвевшей ткани, этиологическому фактору, наличию осложнений. По калибру сосуда, в котором произошла обтурация просвета выделяют:
- Массивный инфаркт. Окклюзия происходит на уровне легочной артерии или основных ее ветвей – правой и левой.
- Субмассивное повреждение. Возникает в том случае, если обтурация возникла на уровне долевых и сегментарных артерий.
- Ограниченное повреждение. Окклюзия происходит на уровне мелких ветвей, при этом поражаться может не одна, а несколько артерий.
По этиологическому фактору выделяют две группы инфарктов:
- Первичные – те, которые возникли в здоровом организме или причину которых обнаружить не удалось;
- Вторичные – те, что развились как осложнение другого заболевания, которое было диагностировано до или после наступления инфаркта легкого.
По наличию осложнений также выделяют два возможных варианта инфаркта легкого:
- Осложненный. К числу осложнений относятся кровотечения и кровохарканья, формирование абсцесса, гнойное воспаление плевры и сепсис.
- Неосложненный. В этом случае перечисленные патологические состояния отсутствуют.
Классически инфаркт легкого может развиться от 2-3 часов до суток. После острого периода в пострадавшие ткани откладываются солевые соединения – процесс называется организацией. Длится он не более 7 суток.
Источник: https://alternativa-mc.ru/bolezni/infarkt-legkogo-simptomy.html
При отсутствии должного кровообращения в легких может возникнуть инфаркт. Но при заражении пораженного участка развивается инфаркт пневмония. Что это такое, и как лечить заболевание? [содержание]
Инфаркт пневмония представляет собой воспалительное заболевание, которое возникает при нарушениях работы легких, в частности, кровообращения.
Варикоз на ногах
Есть несколько, провоцирующих возникновение тромбов, состояний. Основными из них являются:
- порок сердца;
- сердечная недостаточность правого желудочка;
- варикоз, расширенные вены;
- воспаление вены или отрыв тромба.
Если лечить только основное заболевание, то не всегда можно получить желаемые результаты. Если имеются сопутствующие факторы, которые отягощают болезнь, то вероятность появления пневмонии инфарктной становится выше. Дополнительными факторами, из-за которых может появиться заболевание, являются:
- ослабление мышц;
- лишний вес;
- прием эстрогенов;
- венозная недостаточность в хронической форме;
- системные заболевания.
В любом случае, при таком состоянии, далеко не у всех возникает тромбофлебит. Есть несколько условий, приводящих к данному состоянию:
- операция в полости;
- долгое нахождение в лежачем положении, к примеру, кома по причине тяжелой травмы или по другим причинам;
- мерцательная аритмия;
- перелом трубчатой кости;
- плохое обращение крови по организму.
В конечном итоге, происходит отрыв небольших частей тромбов и они остаются на сосудах легких, что приводит к закрытию артерии. При нарушении кровообращения в легком путем сужения артерии и происходит инфаркт легкого.
[]E-ArgKbEZr4[/]
В отличие от такого заболевания, как ателектаз, при котором бронхи становятся непроходимыми, а легкие получают полное кровоснабжение, в месте возникновения инфаркта можно отметить полное отсутствие поступления крови. Если участок будет инфицирован микроорганизмами или бактериями, то произойдет инфарктная пневмония.
Кашель с кровью как симптом инфаркт пневмонии
Возникновение инфаркта характеризуется появлением резкой боли в груди. При этом также наблюдается сухой с выраженной одышкой кашель. Через некоторое время можно заметить появление мокроты с кровью.
При развитии инфекции, как пневмонии инфарктной, появится лихорадка, тахикардия и слабость. Даже при невысокой температуре тела у больного с выраженными симптомами сердечной недостаточности нужно обеспокоиться, потому что это является единственным симптомом того, что легкое сильно поражено.
При постукивании в области поражения притупляется звук, а также слышны хрипы при прослушивании. Если возникает сухой плеврит, то появляется такой симптом как «шум трения плевры».
Если симптоматика слабо проявляется или размытая, то тогда бывает очень сложно диагностировать тромбоэмболию или инфаркт миокарда. После инфаркта могут также возникать воспалительные процессы легких и плевры. Особенного контроля в данном случае требует динамика ЭКГ.
Пневмония легкого после инфаркта проявляется:
- Появляется только через пару недель, как произошел приступ.
- Сухой или немного мокрый кашель.
- Кашель с кровью.
- Плеврит в различных формах.
При взятии общего анализа крови врач не сможет определить точно, есть ли какие-то проявления заболевания, так как данных ему будет недостаточно.
Применение стероидных гормонов для лечения пневмонии после инфаркта
В случае, если предвестником появления пневмонии является возникновение тромбов, то в дело пускаются антикоагулянты или фибринолитические средства.
Лечение инфаркт пневмонии направлено на то, чтобы уменьшить боль. В связи с этим применяют наркотические или ненаркотические анельгетики.
В терапию по устранению причин заболевания включен курс антибиотиков. Насколько сильный будет применяться препарат, зависит уже от реакции возбудителя.
Если был перенесен инфаркт миокарда, то тогда лечение заключается в использовании стероидных гормонов, так как они намного быстрее улучшают общее состояние. Если больному запрещены кортикостероиды, то обычно назначается простой аспирин.
Инфарктная пневмония при отсутствии лечения может привести к серьезным осложнениям. Самым страшным из всех является отмирание легкого. Симптомом активного развития абсцесса является повышение температуры тела, гнойная мокрота в больших количествах. В данном случае лечение заключается в приеме антибактериальных препаратов и средств против воспаления.
[]8p1MbcEdUiY[/]
Наибольший эффект достигается при помощи профилактики возникновения тромбов, которая включает в себя:
- наблюдение за общим состоянием узких вен – УЗИ вен, осмотр врача флеболога и прием специальных препаратов;
- исключение возникновения заболеваний сердца;
- ношение специального трикотажа при любых операциях и неделю после них;
- по возможности быстрая реабилитация лежачих больных.
Тяжесть последствий зависит от степени поражения сосуда, какие функциональные силы имеются у организма, и насколько своевременно было оказано лечение.
Вам также может понравиться
Источник: https://medafrodita.ru/pneumonia/vidi/infarktpnevmoniya-simptomy-lechenie-i-posledstviya.html
Инфаркт легкого не часто можно встретить при изучении истории болезни пациента, но если этот диагноз поставлен, то ситуация однозначно серьезная. Это связано с тем, что развивается он от того, что один из просветов на ветви легочной артерии, закрывается тромбом. Тромб образуется в результате сгущения крови при таких заболеваниях как тромбоз или эмболия.
Инфаркт легких отличается тем, что развитие его наступает стремительно, в течение нескольких минут больной испытывает значительное ухудшение состояния. Появляется ничем не обусловленная на первый взгляд одышка, и острая боль в области груди. Это связано с тем, что в этот момент возникает эмболия.
Болевые ощущения распространяются за грудину и, вероятнее всего, обуславливается растяжением легочной артерии. Одновременно может развиться ишемия миокарда, так как сердечный выброс существенно сокращается, как и коронарный кровоток. Наблюдаются следующие изменения в состоянии больного:
- кожные покровы приобретают синюшный, бледный оттенок;
- появляются признаки тахикардии;
- изменение артериального давления в меньшую сторону;
- потеря сознания, вызванная гипоксией головного мозга.
Инфаркт легкого вызывает явно выраженные симптомы, такие как: одышка;
- пульсирующие вены на шее;
- пульсирует область подложечная, при этом, усиливается на вздохе;
- систолический шум;
- увеличение печени, при пальпации возникают болезненные ощущения.
Для установления точного диагноза проводят такие процедуры как:
- расширенный анализ крови;
- рентгенография;
- томография легких;
- магнитно-резонансная томография легких;
- электрокардиограмма;
- эхокардиография.
При наличии определенных заболеваний важно предупредить развитие болезни, поэтому дополнительное обследование обязательно при наличии у пациента следующих диагнозов:
- все виды острой сердечной недостаточности (коронарный синдром);
- астма;
- предынфарктное состояние, инфаркт;
- миокардит невирусного типа;
- вирусный перикардит;
- пневмония, все ее виды;
- плеврит;
- травмы грудной клетки;
- пневмоторакс;
- наличие болезни, связанных с тромбофлебитом;
При проведении обследования на ЭКГ появляются значения, которые свидетельствуют о перегрузках в работе правого предсердия.
При таком не простом заболевании как инфаркт легкого, последствия бывают неприятные, например, кровохарканье. Выделения могут быть полностью кровавыми, а в некоторых случаях имеют небольшие вкрапления.
Болезни легких, такие как инфаркт, пневмония, цианоз, не всегда можно определить при первоначальном осмотре. Клиническая картина в большинстве случаев смазана, даже электрокардиограмма не способна с точностью до 100% определить инфаркт легких, симптомы неопределенные, что затрудняет диагностику.
При аускультации можно обнаружить хрипы и определенные шумы во время трения плевры. Боль в правом, или левом боку усиливается при кашле и даже дыхании, что может сигнализировать о том, что развивается фибринозный плеврит.
Температура у больного в первые дни повышается в пределах 38 градусов. Если это инфаркт легкого, то причины этого процесса кроются в интоксикации организма продуктами распада крови.
Инфаркт легкого диагностируется с помощью рентгена, так как только с его помощью обнаруживается высокое положение купола диафрагмы, то, насколько расширены корни одного из легких, плевральный выпот, и некоторые другие отклонения.
Но эти исследования не гарантируют то, что диагноз будет точно установлен. У большинства обследуемых никаких отклонений не обнаруживается, поэтому так важно верно диагностировать наличие болезни, воспаление это, или уже более тяжелый случай заболевания.
Если пациент знает, что такое инфаркт легкого, то он более осторожен, и при первых подозрениях на наличие данного заболевания обратится к врачу. Именно этот факт позволяет не только быстро принять меры и локализовать симптомы пневмонии, но и не допустить осложнений.
Процент смертности при инфаркте велик, если вовремя не применять для лечения антикоагулянтов. Гепарин хорошо зарекомендовал себя, его вводят внутривенно.
Он не только препятствует нарастанию тромботического процесса, но ослабляет сосудосуживающее действие серотонина и гистамина.
Только в условиях стационара можно проводить полноценное обследование, и поэтому транспортировку больного необходимо проводить в обязательном порядке. Возможно и хирургическое вмешательство, часто назначают антибиотикотерапию, если возникает подозрение на инфарктную пневмонию.
Лечение внутривенными инъекциями более эффективно, чем введение их подкожно. Гепаринотерапия длится в течение недели, в некоторых случаях продлевают курс до 10 дней. Терапия проводится в комплексе с АЧТВ, (контроль активированного частичного тромбопластинового времени). В идеале установить уровень, который бы превышал в два раза первоначальный.
В некоторых случаях назначают разновидность гепарина, который имеет низкомолекулярную структуру. Этот препарат более удобен для введения и комфортен для пациента, так как он не требует постоянного контроля в лабораторных условиях.
Антикоагулянты применяют, но возникает вопрос о целесообразности этой терапии. Их предназначение, снизить свертываемость крови, тем самым устранить возникновение тромбоза. Если есть кровохаркание, то возникает определенный парадокс, но это только кажущаяся проблема. Наоборот, при выделении крови при кашле, ни в коем случае нельзя применять кровоостанавливающие средства.
Так как для инфаркта характерны сильные боли, то избавиться от них и купировать болевой синдром необходимо. Для этого используют препараты содержащие наркотические анальгетики внутривенно.
При развитии признаков пневмонии возникает плевральный характер боли, тогда используют анальгин внутривенно и при одышке, которая мешает полноценно дышать, кислородотерапия.
При осложнениях назначают препараты Допамин и Норадреналин. Для улучшения микроциркуляции используют Реополиглюкин в количестве 400 мл внутривенно с помощью капельницы. Он также должен повысить давление, а также обладает антиагрегационным действием.
Если возник бронхоспазм назначают Эуфаллин, который должен снизить давление в кровеносной системе легких.
Основной причиной считают тромб, который, оторвавшись, препятствует полноценному функционированию легких. Пострадать может как часть легкого, так и большая площадь органа. При наличии следующих заболеваний риск развития инфаркта повышается:
- серповидноклеточная анемия;
- болезни почек, нефрологические проблемы;
- опухоли, в том числе злокачественные;
- снижение иммунитета при проведении химиотерапии;
- васкулит.
По проведенной статистике чаще болеют женщины, в среднем в два раза чаще. Смертность составляет невысокий процент, и связан он с тем, что болезнь несвоевременно диагностируется и лечение не проводится.
Есть ряд обстоятельств, которые могут спровоцировать инфаркт легкого, причины следующие:
- тромбоз;
- различные травмы, касающиеся сосудов;
- наследственность;
- ожирение;
- обезвоживание организма;
- аутоиммунные расстройства;
- беременность;
- повышенная свертываемость крови.
Так как основной причиной, при которой возникает данная ситуация является наличие тромбов в крови, есть ряд заболеваний, они могут спровоцировать усиление тромбоэмболии.
Это такие факторы как:
- проведенные полостные операции;
- лежачие больные, в том числе пожилые люди, пациенты, вынужденные продолжительное время соблюдать постельный режим и не двигаться;
- переломы трубчатых костей;
- плохое кровообращение.
Для того, чтобы не допустить развития болезни, необходимо вовремя обращать внимание на симптомы, и проводить соответствующее лечение.
Даже невысокая температура, если она сопровождается кашлем и общей слабостью, должна насторожить больного. Обязательно обращение к врачу, так как диагностика процесс сложный, и не всегда проходит положительно.
При неверно назначенной терапии болезнь вытекает в хроническую форму и может серьезно повредить здоровью, и даже привести к смерти.
После перенесенного инфаркта миокарда часто возникает пневмония, и наблюдать за такими больными необходимо особенно тщательно.
Серьезным осложнением может стать абсцесс легкого, при котором происходит отмирание легочной ткани, без варианта ее восстановления. Тогда назначают антибактериальные препараты и противовоспалительные средства. Последствия можно минимизировать, если общее состояние организма хорошее, или нормальное. Только от собственных внутренних сил зависит то, как быстро организм справится с болезнью.
https://www..com/watch?v=nv8d8s9RTxU
Источник: https://ProLegkie.com/pnevmoniya/infarkt-legkogo-i-ego-lechenie
Поделиться:











