Современная медицина располагает множеством методик диагностики. Прохождению некоторых процедур предшествует тщательная подготовка, а часть выполняется в день обращения.
Флюорография – простейшее обследование с минимальным набором правил, которых следует придерживаться.
Многих интересует, можно ли курить перед запланированной флюорографией? Рассмотрим, чем чревато курение в день рентген-сканирования грудной клетки, как это отразится на результатах, и что думают по этому поводу эксперты.
Общеизвестно, что курение пагубно влияет на весь организм, и особенно, на легкие. Никотин и смолы, которые курильщики вдыхают с каждой сигаретой, оседают на слизистой оболочке органов дыхания и выходят потом довольно долго из организма, оставляя после себя тысячи вредных веществ.
Легкие курильщика можно сравнить с оными человека, который живет рядом с промышленной зоной. Зависимость от курения может привести к такому заболеванию, как рак легких.
Кроме того, в каждой сигарете содержатся канцерогенные вещества, которые провоцируют клеточные мутации и стимулируют онкопроцессы в разных системах человеческого тела.
Проверить свои легкие можно при помощи одного из рентгенологических методов: рентгенографии, флюорографии, компьютерной томографии. Флюорография – это наиболее доступная и безопасная методика оценки состояния бронхолегочной системы.
Такая процедура является обязательной для каждого взрослого человека.
Ее проводят для того, чтобы обнаружить серьезные легочные заболевания: туберкулез, рак, бронхит (хронический и обструктивный), кисты, абсцессы, эмфизему, фиброзные образования, а также косвенные признаки проблем в работе сердца (уменьшение просвета между легкими).
Рентген легких умеренного курильщика мало чем отличается от рентгена легких обычного человека, при условии отсутствия каких-либо патологий.
Есть два типа этой процедуры:
- классический (пленочный);
- цифровой.
В цифровом методе вместо пленочного материала используют ПЗС-матрицу и технологию послойного исследования грудной клетки излучением. Он занимает больше времени, но выдает более детализированную информацию и минимизирует вред , причиняемый организму человека.
Изображение при флюорографии бывает:
- мелкокадровым (от 2,4×2,4 см до 3,5×3,5 см);
- крупнокадровым (от 7×7 см до 10×10 см).
Когда требуется детально исследовать конкретную патологию, выполняют крупнокадровый снимок.
Существуют мобильные флюорографы, что делает рассматриваемый метод еще более удобным. Такую процедуру можно провести в любом месте. Специально оборудованная машина с таким аппаратом может передвигаться по городу.
ФЛГ используют и для поиска других серьезных заболеваний.
Флюорограмма представляет собой снимок легких, сердца и окружающих тканей, имеющий неоднородный вид. Это напрямую исходит из принципа проведения любого рентгенологического исследования, заключающегося в неравномерности поглощения органами рентген-излучения.
Если легочная ткань человека находится в нормальном состоянии, то и на пленке (или матрице) она будет выглядеть ровной.
Если в ней происходит воспалительный процесс, картинка будет содержать затемнения разной интенсивности, а участки повышенной воздушности, наоборот, выглядеть высветленными.
Так, усиление легочного рисунка говорит о развитии таких патологий, как бронхит, пневмония, опухоль, сердечно-сосудистая недостаточность.
Наличие фиброзной ткани свидетельствует о перенесенных в недавнем прошлом тяжелом инфекционном заболевании или хирургическом вмешательстве.
А вот тяжистые корни – признак не только острого воспалительного процесса или хронического заболевания, но и свидетельство пристрастия к табакокурению.
Обычно флюорография курильщика выглядит, как обычный снимок без патологий. У заядлых фанатов табакокурения могут быть заметны изменения в легких, что определяется по цвету на фотопленке.
Утверждать с уверенностью, что человек курит, врач по снимку не сможет. У затемнений, которые видны на флюорограмме, есть множество других причин для появления. Поэтому, только взглянув на снимок, однозначно определить наличие пагубной привычки нельзя.
Курение способно усугубить ситуацию. Загрязнение воздуха и многие другие факторы и без того нагружают легкие каждый день. Если к этому прибавить еще и влияние сигарет, может выйти крайне неблагоприятная картина.
Такой вывод сделать можно, но только косвенно. Абсолютной уверенности в этом быть не может. Покажет флюорография курение или нет, во многом зависит от стажа.
Часто при длительном злоупотреблении вред от сигарет достигает пика и приводит к серьезным заболеваниям. Тогда такие изменения точно будут видны на флюорограмме. Но никакой врач не сможет доказать, что прибор показывает негативный результат именно из-за пристрастия к сигаретам.
Существует категория пациентов, для которых животрепещущим является вопрос, разрешено ли курить перед флюорографией. Иногда это подростки, которые боятся, что «родители узнают». Зависимые же курильщики задумываются об этом, чтобы знать, можно ли курить за считанные минуты до скрининга. Итак, на что влияет курение непосредственно накануне процедуры?
На самом деле, результаты снимка не меняются от выкуренной сигареты. Аппарат не фиксирует дым, который остается в легких, он определяет серьезные патологии или изменения в организме.
В случае, если здоровью пациента ничего не грозит, ни одна сигарета не сможет повлиять на качество или достоверность снимка. Поэтому нельзя обозначить время, в течение которого не нужно курить перед ФЛГ.
И, возможно, такой способ – вреднее, чем обычные сигареты. Но в данном случае действует то же правило. Кальянный дым на снимке не визуализируется.
Догадываться о кальянокурении врач сможет, только если найдут конкретные патологии.
Легкие курящего, а именно заядлого курильщика, сложно поддаются восстановлению. В первую очередь, нужно немедленно бросить курить, начать вести здоровый образ жизни и попробовать применить методы очистки легких. На это может уйти много времени. Полностью реабилитироваться обычно удается за 10 месяцев.
Очень полезной для бывших курильщиков будет дыхательная гимнастика. Она способствует вентиляции легких и активизации их работы. Существуют целые системы дыхательных упражнений, которые созданы опытными врачами. Самое простое упражнение – «глубокое дыхание». Оно поможет очиститься от осадков смол, которые остаются в легких после курения.
Отлично помогают в очистке лёгких физические упражнения. Занятия спортом держат в тонусе весь организм, а он, в свою очередь, представляет собой полноценную систему.
Таким образом, работа легких будет восстанавливаться наряду с другими частями тела. Наконец, физические нагрузки провоцируют ускоренный газообмен, что также влияет на улучшение вентиляции органов дыхания.
К примеру, бег на свежем воздухе способен «перезапустить» лёгкие и в комплексе с другими действиями дать хороший результат.
Эксперты рекомендуют людям, которые бросили курить, регулярно посещать бани. Это поможет забыть о вредной привычке и ее последствиях.
Баня, благодаря повышенной температуре, провоцирует усиленное потоотделение и помогает телу избавиться от вредных веществ.
Веники, которые используют при посещении банных комплексов, имеют в своем составе полезные травы. Они способствуют еще более быстрой детоксикации.
Рекомендованные продукты при отказе от курения:
- ананасы. В них присутствует бромелин, который отлично очищает легкие, активно омолаживает организм и заставляет его избавляться от вредных веществ, шлаков. Ананасы позитивно влияют на нервную систему;
- чеснок. Поможет остановить патологические процессы, спровоцированные курением. Активным ингредиентом является аллицин. Он растворяет токсическую слизь в легких и выводит ее из организма;
- яблоки. Они содержат в себе большое количество витаминов. Именно они в комплексе с другими продуктами смогут закрепить результат очищения организма от влияния табачного дыма;
- вода. При любых нестабильных состояниях врачи советуют употреблять больше жидкости. Именно это помогает организму избавиться от токсинов;
- зеленый чай. Он включает в себя антиоксидант катехин, который помогает предотвратить рак, а также хорошо выводит токсины, привнесенные табачным дымом в организм человека.
Существует ряд медикаментов, предназначенных для очищения легких от накопившихся вредных агентов. Обычно это муколитики и отхаркивающие препараты. Среди них: Амброксол (Лазолван), Ацетилцистеин, Геделикс, Мукалтин и подобные. Они выпускаются в разнообразных формах – в таблетках, капсулах, в виде сиропа или ингалятора.
Народная медицина рекомендует делать самостоятельные ингаляции из травяных сборов.
В состав таких сборов входят листья смородины черной, дуба, березы и эвкалипта, ромашковый цвет, шалфей, хвоя сосны, пихты, можжевельника и кедра, мята, полынь. Самый простой вариант – заваривать сбор в любой таре и дышать над ним под полотенцем. Такую процедуру следует выполнять по 10-15 минут ежедневно на протяжении двух недель.
Источник: https://iDiagnost.ru/issledovaniya/fluorografiya/mozhno-li-kurit-pered-flyuorografiej-i-chto-budet-vidno-na-snimke
Флюорография относится к простейшим методам обследования, позволяющая диагностировать патологические отклонения в легких на ранней стадии. Оно не нацелено на выявление пристрастия человека к табаку, но длительная зависимость находит своё отражение на состоянии органов грудной клетки.
Вместо того, чтобы курить перед флюорографией, стоит освоить несколько простых методов для очищения легких. Это позволит улучшить снимки, функционирование дыхательной системы и здоровье.
Доказано, что регулярное употребление обычных или электронных сигарет, а также пассивный контакт с табачным дымом приводит к пагубному воздействию на все органы.
Вопреки распространенному мнению, кальян оказывает не менее опасное влияние. Так как при вдыхании продуктов сгорания табака сначала удар принимают на себя лёгкие, они первые претерпевают патологические изменения вследствие вредной привычки.
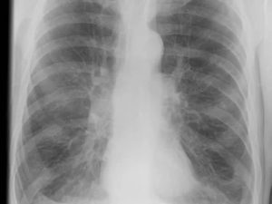
У некурящего человека орган на флюорографическом снимке представлен в светло-серых тонах без затемненных участков. В здоровом состоянии на нем нет ярко выраженных сосудистых линий.
Легочные корни будут прямой формы без признаков воспалительного процесса.
По сравнению с начинающими у курильщиков со стажем структура легких отличается большей плотностью рисунка. На органе врач может увидеть характерную сеточку, при этом зона альвеол будет очернена, а рисунок сосудов проявится четче. Скопления отмерших клеток распознают по характерным темным пятнам на снимке.
Считается, флюорография легких курильщика по виду схожа с показателями людей, проживающих в экологически небезопасных районах.
Данная методика профилактического характера, 1-2 раза в год проводится всем людям старше 15 лет.
Единственным исключением считаются беременные и кормящие женщины. По сравнению с рентгеном этот способ диагностики носит более общий характер, позволяющий оценить здоровье органов только в области грудной клетки.
Но благодаря такому исследованию можно выявить развитие:
- доброкачественных или злокачественных новообразований;
- очагов воспалительного процесса;
- склероза;
- фибриоза;
- кист или полостей с инфильтратом;
- признаков туберкулеза;
- очагов некротических тканей;
- абсцессов;
- патологий профессионального характера;
- кальцинированных участков.
Таким путем обнаруживают инородные тела в легких. При необходимости уточнить диагноз врач отправит пациента на дополнительное обследование.
Мнение, что флюорография показывает курение, не находит подтверждения в фактах. Снимок не фиксирует табачный дым от сигареты или вейпа, оставшийся в легких. Он обнаруживает следы патологических отклонений, возникающие как следствие продолжительной зависимости.
Поэтому курение непосредственно перед прохождением рентгенографии не окажет существенного влияния на результат.
Если на снимке отображаются затемнения, это может свидетельствовать о бронхите (хроническом или пылевом), грыже диафрагмы, астме, туберкулезе или других дыхательных заболеваниях. Данные нарушения могут проявить себя и у независящих от никотина людей, но в большей степени характерны для курящего человека.
Регулярное поступление отравляющих веществ приводят к постепенному развитию дыхательной недостаточности. Организм старается компенсировать данное нарушение за счет расширения области бронхов и бронхиол.
Эти полости становятся местом скопления слизи и смол, что представляет оптимальную среду для размножения патогенных микроорганизмов.
Если на рентгенограмме отображаются округлые светлые пятна, это может быть признаком воспалительного процесса, возникшего на фоне постоянного раздражения слизистой. Данное нарушение нередко осложняется присоединением симптоматики туберкулеза или формированием новообразования.
Чтобы на основе теней на снимке сделать заключение о развитии патологии, требуются профессиональные навыки. Поэтому расшифровкой данных может заниматься только квалифицированный специалист. Для постановки точного диагноза помимо ФЛГ порой требуются дополнительные исследования: рентгеноскопия или сдача анализов.
Несмотря на весь вред, наносимый табачным дымом организму, восстановление лёгких возможно. В первую очередь необходимо полностью отказаться от пагубной привычки. При этом не стоит обманывать себя, что какой-либо вид потребления никотина безопаснее другого.
После остановки повышенного поступления в дыхательную систему отравляющих веществ можно принять меры, направленные на устранение последствий табакокурения. Сюда входят комплекс физических и дыхательных упражнений, изменения в питании, приём лекарств и народные средства.
Восстановление легких может продолжаться 10 месяцев и дольше.
На протяжении этого времени необходимо проверять состояние органов грудной клетки. И будет заметно, что рентгеновские снимки выглядят лучше уже спустя несколько недель после изменений в образе жизни.
Восстановительный процесс можно начать с дыхательных упражнений. Они позволят быстрее очистить легкие от скопления смол и слизи. Такие занятия стоит сочетать пробежками или прогулками на свежем воздухе. Большую пользу в этом плане принесет посещение хвойных посадок или лесов.
Так удается запустить комплексное восстановление организма.
Пользу в очищении дыхательной системы приносят бани. Высокая температура в парилке активизирует потоотделение, что ускоряет вывод токсинов через кожу. Определенные виды веников содержат травы, ускоряющие детоксикацию.
Изменения в питании предполагают увеличение в рационе ананасов, чеснока, яблок. Среди напитков стоит предпочесть чистую воду или зеленый чай. Все это ускоряет обменные процессы, снижая желание покурить.
Определять состав диеты нужно совместно с лечащим врачом.
Народные рецепты сводятся к ингаляциям с применением травяных сборов. В их состав могут входить листва черной смородины, дуба, можжевельника, эвкалипта, цветы ромашки, побеги мяты, полыни. Компоненты допустимо заготавливать самостоятельно или приобретать в аптеке.
Подведем итоги: флюорография или рентген легких у курильщика не проводится с целью выявить пристрастие к никотину. Эти методы исследования не ограничивают человека в возможности выкурить сигарету. Они показывают вред, нанесенный органам грудной клетки этой зависимостью.
Полученные данные позволяют вовремя начать лечение имеющихся заболеваний, а также могут побудить человека избавиться от вредной привычки.
Источник:
Флюорография – метод диагностического исследования, применяемый для выявления заболеваний бронхо-легочной системы. Большинство курильщиков интересует, исказится ли достоверность данных, если перед процедурой выкурить сигарету.
Если человек недавно познакомился с сигаретой, то выраженных изменений не будет. Однако злостного курильщика с большим стажем специалист сразу выявит по снимку.
https://youtube.com/watch?v=HEaj6crgtVw
Изображение здоровых легких выглядит светло-серым, органы имеют четкие границы. Флюорография курящего человека характеризуется появлением “сетки” из альвеол. Чрезмерная выраженность сосудов может свидетельствовать о наличии воспалительного процесса, бронхита, пневмонии. Воспаления в дыхательной системе типичны для людей с никотиновой зависимостью.
Курение оказывает влияние не только на сосуды, но и на ткани органов. Это проявляется в следующем:
- Усиленная работа сердечной мышцы, обусловленная дыхательной недостаточностью, приводит к гипертрофии сердечной мышцы. Поэтому на флюорографии отражается увеличением объема сердца.
- Поврежденные участки легких, которые не могут реализовывать свою основную функцию – газообмена, будут затемнены.
- Нарушается лимфодренаж, поэтому границы корней легких становятся размытыми. Также может меняться форма корней, приводя к появлению теней.
- Потеря четкости изображения свидетельствует о фиброзе – замене легочной ткани соединительной. Такое часто наблюдается после перенесенных легочных инфекций.
Изменения видны даже у начинающих курильщиков, разница только в степени их выраженности.
Ткань легких можно сравнить с губкой. Табачный дым, смолы, частички сгоревшей бумаги и клея – все богатое содержимое сигареты оседает на них, разрушая здоровье. Эти вещества проникают глубоко, и извлечь их невозможно.
В норме за очищение легочной ткани отвечают специальные реснички, которые двигаясь, изгоняют попадающие загрязнения. Однако легкие курильщика, подверженные множественным воспалительным процессам, не в состоянии справиться с этой задачей.
Реснички постепенно становятся тоньше и теряют способность очищать орган от грязи.
Иногда люди интересуются, как обмануть флюорографию. К сожалению или к счастью сделать этого нельзя. Также под сомнением оказывается и то, может ли флюорография показать, что человек курит.
Изменения в бронхо-легочной системе не являются прямым указанием на то, что человек пристрастился к сигарете.
Да, будут наблюдаться характерные изменения, однако флюорограмма только отображает состояние организма пациента, а не указывает на причину их возникновения.
Перечисленные изменения могут наблюдаться и у некурящих людей. Они могут быть связаны с вредными условиями производства или развивающимися патологиями.
На рентгене легких курильщика можно обнаружить следующие изменения:
- уплотнение;
- опухолевидные образования;
- скопления жидкости;
- утолщение стенок.
Обнаружение дополнительных теней может свидетельствовать о развитии:
- бронхита (не только хронической формы, характерной для курильщиков, но и пылевой);
- грыжи диафрагмы;
- бронхиальной астмы;
- туберкулеза;
- бронхоэктатической болезни.
Сигарета, выкуренная непосредственно перед рентгенографией, не даст никаких искажений на снимке – все патологические процессы в организме курильщика стойкие и какого-либо резкого улучшения или ухудшения общей картины добиться не удастся.
На достоверности заключения это не скажется – если очень хочется покурить, то сделать это можно.
Будут изменения и в организме пассивного курильщика. Ведь он вдыхает все те же вредные вещества. При постоянном нахождении в прокуренном помещении и системном проникновении табачного дыма в легкие, они будут реагировать теми же признаками.
Избавиться от загрязнений, попадавших в легкие на протяжении многих лет, не получится. Можно попробовать немного улучшить результаты обследования.
Крайне желательно после использования перечисленных методов отказаться от привычки.
Конечно, сколь либо значимого эффекта получить за несколько дней не удастся, но постепенно состояние органа будет улучшаться при условии отсутствия негативного воздействия.
- Ингаляции с использованием фармакологических препаратов. Прямое воздействие на легочный эпителий средствами, предназначенными для устранения симптоматики одышки и кашля, позволят простимулировать выведение части загрязнений.
- Занятия дайвингом, йогой, аэробикой. Любое из этих направлений будет способствовать увеличению объема легких.
- Кардиостимулирующие тренировки и дыхательные упражнения. Улучшают состояние тканей легких, стимулируют кровоснабжение и выведение из дыхательной системы накопленных смол. Начинать следует с нагрузок невысокой интенсивности, однако постепенно их наращивают.
- Регулярное посещение сауны. Через кожу выводится множество токсинов и шлаков – это самый большой по площади орган. Выведение токсинов через поры и потовые железы будет способствовать скорейшему очищению.
- Прогулки на свежем воздухе. Особенно рекомендовано гулять в парках и лесах с хвойными деревьями. Вдыхание фитонцидов увеличит концентрацию кислорода в крови и улучшит тонус легких. Помимо этого будет постепенно восстанавливаться угнетенный реснитчатый эпителий.
Источник: https://sovr-med.ru/uzi/mozhno-li-kurit-pered-flyuorografiej-ili-net.html
Флюорография – метод диагностического исследования, применяемый для выявления заболеваний бронхо-легочной системы. Большинство курильщиков интересует, исказится ли достоверность данных, если перед процедурой выкурить сигарету.
Курильщикам следует проверять состояние здоровья при помощи флюорограммы каждый год. Она отражает степень имеющихся отклонений от нормы и может сообщить о развивающемся серьезном заболевании.
Лечащий врач обязательно поинтересуется, глядя на снимок, курите ли Вы. В таких случаях нельзя скрывать правду – это поможет в постановке правильного диагноза.
Курение травы, кальяна, сигар – все это приводит к структурным изменениям в легких и их засорению. В любом случае патологические процессы и воспаления будут отражаться на снимке. Причины их возникновения специалист будет определять на основании диалога с пациентом.
Вы облегчите эту задачу, если откажетесь от вредной привычки.
Источник: https://telo.guru/kurenie/vred/izmeneniya/vliyanie-na-flyuorografiyu.html
Современная медицина располагает множеством методик диагностики. Прохождению некоторых процедур предшествует тщательная подготовка, а часть выполняется в день обращения.
Флюорография – простейшее обследование с минимальным набором правил, которых следует придерживаться.
Многих интересует, можно ли курить перед запланированной флюорографией? Рассмотрим, чем чревато курение в день рентген-сканирования грудной клетки, как это отразится на результатах, и что думают по этому поводу эксперты.
Курение отрицательно сказывается на человеческом здоровье. От вредного пристрастия изначально страдают легкие.
Дым, который вдыхают курильщики, оседает на стенках органа токсичной никотиновой пленкой и с трудом выводится из организма.
Каждая сигарета содержит много канцерогенов, которые становятся причиной различных мутаций и рака. Легкие любого человека желательно проверять ежегодно с помощью флюорографии.
Это способ диагностики, который стали использовать в России еще в 30-е гг. Суть методики – получение фотографий участков или органов. В основе метода – способность рентгеновских лучей проходить сквозь ткани и задерживаться в них в зависимости от их плотности.
Проводится процедура за несколько минут. Человек раздевается и встает у аппарата. Врач указывает, какое положение нужно принять. Затем выходит в другое помещение и оттуда руководит процессом. После включения аппарата по сигналу врача человек должен на несколько секунд задержать дыхание. Когда снимки сделаны, результаты готовятся в течение суток.
Флюорография назначается для выявления в легких газа, инфильтрата и многих патологий:
- абсцессов;
- туберкулеза;
- склероза;
- воспалений;
- фиброза;
- пневмонии;
- сердца;
- эмфиземы;
- кистозных образований;
- обструкции легких;
- опухолей.
Снимки получаются в черно-белых тонах разных оттенков. Это получается за счет способностей тканей поглощать излучения в разных количествах.
Равномерность цвета указывает на отсутствие заболеваний. Любые изменения цветов или появление серых оттенков разной интенсивности – о патологиях.
Сигаретный дым на снимках не отображается, если в наличии уже нет заболевания, которое и могло бы диагностироваться на изображении. Длительное увлечение вредной привычкой приводит к легочным и сердечно-сосудистым изменениям, которые происходят постепенно. По снимкам можно определить:
- Увеличение сердца. У курящих людей постепенно теряется тканевая эластичность и формируется дыхательная недостаточность. Это отрицательно отражается на сердечной мышце, в результате увеличивается объем сердца.
- Нечеткие легочные корни. Такое нарушение появляется из-за сбоев в работе лимфодренажа. Деформация отображается на изображении в виде темных участков. Этого не может быть у здоровых людей.
- Излишняя четкость сосудов легких. При курении повреждаются ткани органа, и у некоторых нарушается газообмен. Это видно на изображениях в виде затемненных областей в местах поражения.
- Легочные ткани курильщиков «со стажем» почти черные. Выглядят, как испачканные углем и грязью. Это – следствие оседания на легких вредных микрочастиц, смолистых соединений и т.д.
Однако все перечисленные деформации могут наблюдаться у тех, кто не курит. Это – лишь косвенные доказательства о наличии вредной привычки.
Быстрее курильщиков можно узнать по неприятному табачному «аромату» от одежды, характерному зубному налету, кашлю, желтоватым кончикам пальцев и другим внешним признакам.
Если выкурить даже несколько сигарет перед обследованием, то на снимках флюорографии этого заметно не будет, если патология уже не начала развиваться ранее. В этом случае его очаги отобразятся. При хорошем здоровье выкуренная сигарета не влияет на результаты обследования.
Флюорография необходима для лечения легочных заболеваний или некоторых других патологий. Диагностика проводится и в качестве профилактики. В любом случае курить перед обследованием можно, без наличия патологии это не отображается на снимках.
Последствия, к которым может привести долгое курение, могут обнаружиться на флюорографических снимках. Перед флюорографией курить можно. Сигарета, выкуренная перед началом процедуры не повлияет на состояние легких на снимке. Однако следует помнить, что курильщикам рекомендуется проходить исследование чаще, чем людям без вредной привычки.
https://www.youtube.com/watch?v=xhc-UN2Fbq0
Показывает ли флюорография, что человек курит?
Отличие здоровых легких от курильщика
Можно ли курить перед флюорографией?
Можно ли очистить легкие перед флюорографией?
Источник: https://bureau-m.ru/kurenie/mozhno-li-kurit-pered-flyuorografiej.html
Поделиться:







