Пневмония, или воспаление легких – вирусное заболевание, которое может привести к серьезным последствиям и летальному исходу.
Чтобы вовремя выявить пневмонию и начать лечение, необходимо своевременно распознать ее симптомы и пройти соответствующую диагностику.
Какие признаки свидетельствуют о развитии воспаления легких, и как отличить его от других болезней респираторных органов?
Пневмония имеет инфекционную природу, и развивается в результате попадания в легкие патогенных микроорганизмов – чаще всего бактерий, иногда вирусов и грибков. Они вызывают воспалительный процесс, который характеризуется скоплением жидкости в просветах альвеол и появлением определенных симптомов.
Наиболее распространенный путь проникновения возбудителей заболевания в организм – воздушно-капельный, когда бактерии и вирусы выделяются при кашле или чихании носителя, и попадают в носоглотку здорового человека. Реже встречается заражение гематогенным путем (при заражении крови и других инфекционных болезнях) и эндогенным – микроорганизмы, живущие в носоглотке, активизируются, и становятся причиной воспалительного процесса.
СПРАВКА! Как правило, возбудителями патологических процессов в легких у взрослых выступают стрептококки и микоплазмы, которые присутствуют на коже и в дыхательных путях, у пожилых людей чаще всего диагностируется стрептококковая форма заболевания, у больных с поражениями почек воспаление легких вызывают энтеробактерии, у курильщиков – гемофильная палочка.
Выраженность симптомов и признаков пневмонии на начальной стадии зависит от возбудителя, состояния здоровья, возраста и особенностей организма человека. Иногда воспаление легких начинается остро, с резкого ухудшения самочувствия, и как в некоторых случаях у взрослых может развиваться на протяжении нескольких дней или недель. Обычно воспаление легких начинается со следующих симптомов:
- кашель любого характера (частый, редкий, сухой, влажный), который не исчезает и усиливается на протяжении нескольких дней;
- повышение температуры до любых цифр – это может быть сильная лихорадка (39-40 градусов) или длительная субфебрильная температура (37-37,5 градусов);
- ощущение нехватки воздуха, одышка;
- снижение работоспособности, чувство усталости и разбитости;
- охриплость голоса;
- насморк и дискомфорт в горле;
- спутанность сознания;
- потеря аппетита, тошнота, диарея.
Инкубационный период пневмонии на ранней стадии составляет 2-4 дня, в течение которых и развиваются первые признаки – сразу же после их появления следует проконсультироваться с врачом, чтобы избежать неприятных последствий.
Воспаление легких у взрослых, как правило, развивается вследствие переохлаждения, снижения иммунитета или на фоне других инфекционных заболеваний (грипп, бронхит и т.д.).
Основной признак заболевания у взрослых в данном случае – интенсивный кашель, иногда сухой, но чаще всего продуктивный, с отделением мокроты. Мокрота густая, похожа на гной или имеет коричневый оттенок, иногда кровавые прожилки или примеси крови.
Остальные симптомы возникают вместе с кашлем или проявляются немного позже – в их число входит лихорадка, болевые ощущения в груди, озноб, поверхностное дыхание, повышенное сердцебиение и т.д.
- Пневмония начинается с проявления обычного ОРЗ или гриппа – высокой температуры, слабости и разбитости, после чего к ним добавляется кашель, вначале сухой, а потом с отделением мокроты. Больной ощущает сильный озноб, боли в области грудины или в правом боку, одышку и нехватку воздуха.
- Начало болезни характеризуется незначительным повышением температуры (до 37-37,5 градусов), кашлем с мокротой, который сопровождается хрипами в груди, слабостью, головной болью.
- При бессимптомном течении пневмонии кашель, температура и другие подобные симптомы отсутствуют – может ощущаться легкое недомогание, которое принимают за признаки переутомления. Заболевание выявляют случайно, при плановом осмотре организма и проведении флюорографии.
- В случае затяжного характера болезни периоды ремиссии перемежаются с рецидивами – во время ремиссий у больных наблюдается только сухой кашель, а при обострении пневмонии появляется лихорадка, кашель с мокротой и боли в грудной клетке.
Отличить воспаление легких от других заболеваний дыхательной системы достаточно сложно, но заподозрить его можно при появлении сильного кашля с мокротой, который постоянно усиливается и сопровождается лихорадкой, ознобом, слабостью и другими симптомами.
Специфический признак начинающейся патологии – невозможность сделать глубокий вдох (при попытках вдохнуть полной грудью человек ощущает боль, или у него начинается приступ кашля).
Ставить диагноз исключительно по внешним признакам нельзя – для выявления воспалительного процесса следует пройти соответствующую диагностику.
ВАЖНО! На проявления пневмонии во многом влияет тип возбудителя: наиболее сложные формы болезни вызывают вирус гриппа H1N1 и легионелла, которые характеризуются тяжелым течением и серьезными осложнениями.
Пневмония у людей зрелого возраста представляет собой распространенное явление, так как с возрастом работа дыхательной и иммунной системы ухудшается, а организм становится уязвимым для инфекционных и вирусных заболеваний.
Болезнь, как правило, начинается с кашля, но в данном случае он не влажный, а сухой, иногда с отделением небольшого количества мокроты.
У больных с сопутствующими патологиями (болезнь Альцгеймера, нарушения после инсульта) или сильно ослабленным организмом кашлевой рефлекс часто угнетен, поэтому данный симптом зачастую отсутствует.
Один из характерных признаков пневмонии у людей пожилого возраста – сильная одышка, которая проявляется после незначительных нагрузок или в состоянии покоя. Лихорадка в данном случае встречается в 75-80%, но иногда пневмония протекает на фоне нормальной или пониженной температуры.
Иногда заболевание начинается с нарушений со стороны нервной системы – апатии, постоянной усталости и сонливости, потери аппетита и интереса к окружающему миру и недержания мочи, что ошибочно принимают за признаки возрастной деменции. Еще одно проявление воспаления легких у стариков – обострение некоторых хронических болезней, включая сахарный диабет, сердечную недостаточность и т.д.
Отсутствие классической картины воспаления легких (продуктивный кашель, высокая температура) у больных пожилого возраста является прогностически неблагоприятным признаком, затрудняет постановку диагноза и часто ведет к серьезным осложнениям.
ВАЖНО! Особую опасность пневмония в зрелом возрасте представляет в тех случаях, когда она развивается у лежачих больных, людей с сердечно-сосудистыми патологиями, эмфиземой легких, признаками ХОБЛ, так как существует высокий риск отека легких.
Причины развития воспаления легких в подростковом возрасте не отличаются от причин, по которым болезнь возникает у взрослых – попадание патогенных микроорганизмов в дыхательные пути, переохлаждение организма, снижение иммунитета и т.д.
В число симптомов, на которые следует обратить внимание, входят: кашель, как правило, сухой, или с отделением небольшого количества ржавой мокроты;
- внезапное ухудшение самочувствия;
- резкое повышение температуры до 38-39 градусов;
- появление затрудненного дыхания, одышки;
- боль в области груди, которая усиливается при кашле и глубоких вдохах;
- чувство апатии, усталость и бессилие;
- сильная потливость, особенно в ночное время.
Симптомы пневмонии у подростков во многом зависят от возбудителя заболевания – стрептококковая и стафилококковая формы вызывают сильный кашель, субфебрильную температуру, слабость и болевые ощущения в области грудной клетки. Воспаление легких вирусной этиологии характеризуется внезапной лихорадкой (повышение температуры до 39 градусов и выше), изнуряющим кашлем с пенистой мокротой и кровавыми прожилками, слабостью.
Атипичные пневмонии (вызываются легионеллами, хламидиями, микоплазмами) сопровождаются небольшой лихорадкой и ознобом, болями в мышцах и суставах, сильным потоотделением, побледнением кожных покровов.
СПРАВКА! Воспаление легких у подростков (13, 14, 15, 16, 17 лет) протекает в менее тяжелой форме с легкими признаками, чем у взрослых и пожилых людей, и в большинстве случаев имеет благоприятный прогноз. Исключение составляют пневмонии у детей с серьезно ослабленным организмом и иммунодефицитными состояниями.
Существует несколько форм воспаления легких, каждая из которых характеризуется специфической клинической картиной и выраженностью симптомов.
- Острая форма. Начинается внезапно (иногда признаки развиваются на протяжении нескольких часов) с высокой температуры, сильного озноба и кашля, слабости, иногда помрачения сознания. При своевременной диагностике она хорошо поддается лечению, но при отсутствии терапии вызывает серьезные осложнения.
- Хроническая пневмония. При данной форме возбудитель болезни и очаг воспаления постоянно присутствуют в организме и проявляются при благоприятных условиях (ослабление иммунитета, переохлаждение и т.д.). В период ремиссии больные чувствуют себя нормально, но при обострениях развиваются симптомы, напоминающие классическое воспаление легких. Чаще всего хроническая форма болезни наблюдается у курильщиков и людей со сниженным иммунитетом.
- Крупозная форма. Поражает большую часть легкого, и, помимо симптомов со стороны дыхательной системы и лихорадки, может вызывать боли в боку, покраснение кожных покровов в области шеи и посинение носогубного треугольника, при сильной интоксикации бывают потери сознания и бред.
- Очаговое воспаление. Очаги поражения локализуются в отдельных сегментах легких и дыхательных путей, симптомы выражены не так сильно, как при крупозной форме – наблюдается субфебрильная температура, кашель (сначала сухой, потом влажный), слабость и апатия.
Воспаление легких и бронхит – заболевания дыхательной системы, которые имеют схожую клиническую картину, и отличить их друг от друга, основываясь исключительно на симптомах, бывает очень сложно. Чем отличается бронхит от пневмонии:
- в 90% случаев бронхит имеет вирусную этиологию, а пневмония – бактериальную;
- при бронхите наблюдается незначительное повышение температуры, а при воспалении легких – сильная лихорадка (до 38-39 градусов);
- мокрота при бронхите обычно имеет светлый оттенок, а при пневмонии – зеленоватый или ржавый, возможно появление прожилок крови;
- при прослушивании грудной клетки у больных бронхитом слышны сухие хрипы, у людей с воспалением легких – влажные.
ВАЖНО! Отличить одну форму заболевания от другой, а также назначить правильную терапию может только врач, поэтому при развитии симптомов следует как можно скорее обратиться в медицинское учреждение.
При атипичном течении первого или второго заболевания отличить их друг от друга можно только с помощью комплексной диагностики.
В число диагностических мероприятий при подозрении на воспаление легких у взрослых входят:
- Внешний осмотр больного, сбор анамнеза и жалоб, выслушивание грудной клетки;
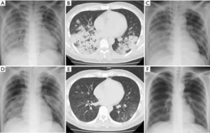
- Рентгенография грудной клетки – наиболее информативный способ выявление воспалительных процессов в легких (на снимках появляются характерные затемнения в местах поражения тканей и другие признаки заболевания);
- Анализы крови, мочи и мокроты проводятся для определения воспалительного процесса в организме (повышение уровня лейкоцитов и СОЭ), а также возбудителя пневмонии и его чувствительности к антибиотикам;
- Фибробронхоскопия, КТ и МРТ грудной клетки необходимы тогда, когда поставить точный диагноз воспаление легких на основе вышеперечисленных методов по признакам невозможно.
ВАЖНО! Поставить диагноз на основе комплексной диагностики может только врач, так как клиническое течение пневмонии может напоминать не только бронхит, но и другие заболевания дыхательной системы (воспаление плевры легких, бронхопневмонию, ХОБЛ и т.д.).
Неосложненную пневмонию у взрослых людей и подростков можно лечить амбулаторно (в домашних условиях), но пожилые больные, а также те, у кого болезнь сопровождается выраженными симптомами и сопутствующими патологиями, подлежат госпитализации.
Чаще всего воспаление легких имеет бактериальное происхождение, поэтому лечится антибиотиками – чаще всего препаратами широкого спектра действия.
Если заболевание было вызвано вирусами или грибками, больному прописывают соответствующую противовирусную и антигрибковую терапию.
Вместе с медикаментозным лечением больным необходим постельный режим, питание с содержанием белка и витаминов, обильное теплое питье, прием витаминов и иммуностимулирующих препаратов.
Для усиления эффекта от терапии рекомендуются терапевтические методы – электрофорез, ингаляции, массаж, магнитотерапия и т.д.
Народные средства можно использовать только в качестве дополнения к основной терапии, прописанной врачом, иначе состояние больного может только ухудшиться.
Ознакомьтесь подробно о симптомах пневмонии на видео ниже:
Пневмония – серьезное заболевание, которое при отсутствии лечения может вызвать серьезные осложнения, а иногда привести к летальному исходу. Чтобы избежать неприятных последствий не стоит заниматься самолечением или игнорировать болезнь – при возникновении первых симптомов следует как можно скорее обратиться к врачу.
Источник: https://med-kurator.com/organy-dyhaniya/pnevmoniya/simptomy/priznaki-pnevmonii.html
Воспаление, поражающее легочные ткани, диагностируется разными методами: клиническими, рентгенологическими, лабораторными. Одним из характерных проявлений патологии является появление дыхательных шумов, отсутствующих, если органы дыхания здоровы. Различного характера хрипы при пневмонии свидетельствуют о протекании патологического процесса.
Воздух всегда проходит по воздухоносным путям с определенным звуком, не беззвучно. Это базовые или основные шумы. Если же слышатся побочные звуки, которых в норме быть не должно, врач понимает, что в дыхательной системе произошли изменения, спровоцированные патологией.
Дыхание
Если человек здоров, выслушивается тип дыхания, называемый везикулярным. Он слышится как звук «фэ», нарастая все время, пока длится вдох, и примерно треть выдоха. Этот тип дыхания можно услышать и при воспалении легких, при выслушивании областей, не затронутых патологией.
https://youtube.com/watch?v=ulkb-oZk-lU
При воспалении легких дыхание, как правило, бывает ослабленным. Это обусловлено тем, что легкие недостаточно вентилируются, пропускают меньшие объемы воздуха.
Когда в легких прогрессирует воспаление, дыхание пациента становится жестким: усиливается шум прохождения воздуха, слышен звук на протяжении всего времени, пока продолжается выдох. Жесткое и неровное дыхание свидетельствует о том, что помимо воспаления легочной ткани, поражено бронхиальное дерево: ветви его патологически сужаются и воспаляются.
Помимо основного дыхания, при аускультации прослушиваются и другие шумы, говорящие о том, что легкие поражены патологическим процессом. При пневмонии они бывают следующих типов:
Аускультация
- хрипы (сухие или влажные);
- крепитация;
- звуки трения плевры.
Хрипами называются звуки, возникающие в воздухоносных путях, когда по ним проводится воздушный поток, из-за неравномерного набухания слизистых оболочек, обструкции, колебания экссудата, слизи и других жидкостей.
Если органы дыхания здоровы, такие шумы отсутствуют, встречаются они только при наличии заболевания. Их классифицируют на сухие и влажные. В зависимости от того, насколько велик бронх, выделяют мелко-, средне- и крупнопузырчатые влажные хрипы. Сухие хрипы различают по тональности на басовые и дискантные.
Пневмония в большинстве случаев сопровождается именно влажными хрипами. Их возникновение обусловлено прохождением воздуха по полостям, заполненным большими объёмами мокроты.
Такие хрипы выражены, напоминают булькающий звук. Они слышны не только над очаговыми поражениями, но и при прослушивании всей полости легких как в фазе вдоха, так и при выдохе.
Наивысшей силы достигают на пике вдоха.
Мокрота в легких
Иногда звуки слышны даже на некотором расстоянии от человека, без стетоскопа. После откашливания мокроты дыхательные пути в течение какого-то периода остаются свободными, влажные хрипы не прослушиваются.
При типичном течении заболевания мокрота начинает образовываться в больших объемах примерно на третий день. В этот период возникают влажные хрипы. В некоторых случаях кашель и хрипы сохраняются около 10-15 дней после купирования острой симптоматики. Это обусловлено тем, что мокрота еще продолжает вырабатываться. Её продукция постепенно сходит на нет, и симптоматика полностью исчезает.
Этот тип патологических шумов наблюдается при воспалении легких реже, обычно в первые сутки или на вторые от начала патологического процесса. Возникновение звука происходит в бронхиальном дереве. Бронхи заполнены густой мокротой, проходя через которую воздух закручивается.
Чем мельче бронх, в котором это происходит, тем выше слышимый звук. Басовые хрипы возникают в крупных бронхах. Такие шумы довольно тихие, чтобы их услышать, необходим стетоскоп. Если бронхи сильно сужены, сухой хрип может быть слышен и без прибора, как тихий писк в окончании выдоха.
Воспаление плевры
Если пневмония осложняется присоединением воспаления плевры (гладкой серозной оболочки легких), вместе с хрипами слышится и шум её трения.
В норме листы плевры гладкие, при развитии воспаления они утрачивают это свойство.
Звук напоминает тихий скрип снега, слышен в обеих фазах дыхания, не меняется после откашливания, имеет тенденцию к усилению при надавливании стетоскопом на выслушиваемую область.
При пневмонии в альвеолах образуется экссудат, а также изменяются параметры сурфактанта. Из-за этого альвеолы схлопываются, а в конечной фазе вдоха резко раскрываются. Этим и обусловлен звук, напоминающий хруст или треск, называющийся крепитацией. Шумы этого типа становятся слышны примерно на вторые сутки развития воспаления и полностью исчезают после выздоровления.

Если врач обнаруживает при аускультации патологические шумы, он может провести дополнительное исследование.
Бронхофонией называется методика, при которой специалист просит пациента шепотом произносить слова, содержащие шипящие звуки, прослушивая в это время грудную клетку стетоскопом.
Если легочные ткани здоровы, звуки слышны, но расслышать сказанную фразу невозможно. Если же воспалительный процесс спровоцировал образование уплотнений, слова слышны отчетливо.
Если пневмония осложняется ателектазом, эмфиземой, пневмотораксом, экссудативным плевритом, бронхофония ослабляется (слова слышны совсем нечетко, звук проводится плохо). Усиленная бронхофония наблюдается при неосложненном течении пневмонии, при прорвавшемся абсцессе легкого, инфаркте легкого.
Остаточный кашель
По окончании лечения, когда температура нормализуется, лихорадка проходит, хрипы после пневмонии могут сохраняться в течение некоторого времени.
Если рентгенологические признаки воспалительного процесса уже исчезли, врач сказал, что пациент здоров, существуют так называемые остаточные явления.
Это связано с тем, что дыхательной системе требуется какое-то время для восстановления нормальной структуры и функциональности.
Патологические звуки, выходящие за рамки нормального шума дыхания, могут быть симптомом различных патологий: спазм бронхов, заболевания гортани, наличие инородного тела в дыхательных путях.
Кроме того, хрипы могут носить компенсаторный характер при заболеваниях сердечно-сосудистой системы. Необходимо точно установить причину патологических шумов и начать лечение.
Источник: https://pulmohealth.com/pnevmoniya/hripy-pri-pnevmonii/
Во Всемирный день борьбы с пневмонией терапевт, кардиолог и диетолог Филипп Кузьменко рассказал «Правмиру», почему мы болеем пневмонией, как ее узнать и что делать, чтобы защитить себя и своих близких от этого заболевания.
Что такое пневмония?
Пневмония — это острое инфекционное воспаление нижних дыхательных путей, которое характеризуется инфильтрацией легких (точнее — нижних дыхательных путей) воспалительной жидкостью и признаками воспаления.
В случае с пневмонией воспаляется именно легочная ткань. Воспаление локализуется в определенных сегментах легких, там формируется воспалительный процесс. И этот участок выключается из газообмена. В кровь поступает меньше кислорода. И человек начинает испытывать симптомы, возникающие при нехватке кислорода — одышка, нехватка воздуха.
Какие возбудители вызывают пневмонию?
Обычно возбудителем болезни являются бактерии (часто пневмококк), но могут быть и вирусы, а в редких случаях — грибок.
По каким симптомам можно узнать болезнь?
Пневмония характеризуется сильнейшей интоксикацией: человеку буквально сложно вставать с кровати, нет сил что-либо делать; температура тела поднимается до 38-39 и выше, возникает ощущение нехватки воздуха, одышка, кашель (но он появляется не сразу, а через несколько дней).
Итак, симптомы пневмонии:
- лихорадка, озноб, повышение температуры тела до 39 градусов,
- чувство нехватки воздуха, одышка,
- болезненность в груди при глубоком дыхании,
- высокий пульс,
- кашель, с отхождением мокроты зеленого цвета.
Важно помнить, что симптомы могут варьироваться.
Кто находится в группе риска?
Пневмония — это заболевание тяжелое, и здоровый организм она поражает редко.
Чтобы ей заболеть, нужны какие-то провоцирующие факторы либо изначально ослабленный организм. Чем именно ослаблен, не важно: это может быть сильный стресс (например, сильное переохлаждение) или другое заболевание.
Факторы риска: младший и пожилой возраст, курение и алкоголизм, обездвиживание и прикованность к постели, нарушение иммунитета, нарушение глотательного или кашлевого рефлексов, наличие хронических заболеваний внутренних органов, в том числе легких, плохие социальные условия жизни, голодание, гиповитаминоз, депрессия.
Что такое больничная пневмония?
Госпитальная пневмония иногда развивается после 48 часов нахождения в стационаре. Она характеризуется наличием так называемой внутрибольничной микрофлоры, которая отличается наличием резистентности к некоторым, а иногда и ко всем антибиотикам. Если сказать проще, такая пневмония будет протекать тяжелее, поскольку антибиотик будет сложнее подобрать.
Как диагностировать пневмонию?
Заподозрить пневмонию может врач. При помощи стетоскопа в легких можно «выслушать» хрипы. Но они не выслушиваются на ранних этапах болезни.
Часто слышу от пациентов такие истории: приходил врач, слушал, сказал, что все нормально, хрипов нет, а потом у меня обнаружили пневмонию.
Но на самом деле врач не виноват, потому что «выслушать» пневмонию стетоскопом или проперкутировать ее пальцами рук на ранних стадиях невозможно.
Это локальное воспаление, поэтому в определенном сегменте на ранних стадиях может наблюдаться более жесткое дыхание, звук во время перкуссии будет притуплен.
Спустя три-четыре дня болезни проявятся так называемые мелкопузырчатые хрипы, которые напоминают лопающиеся пузырьки. Но в первый день этого не будет.
Для постановки диагноза необходимо сделать рентгенограмму легких, а также сдать анализы крови и (при необходимости) мокроты. Кашель на ранних стадиях проявляется не у всех.
Как лечить пневмонию?
Обычно пневмонию лечат антибиотиками. Их назначает врач. Обычно выбирают из пенициллинов, макролидов или цефалоспоринов. Большинство людей могут принимать их дома, но в тяжелых случаях требуется госпитализация.
Если в течение 24–48 часов у пациента не снижается температура, антибиотик нужно менять. Нельзя применять один и тот же больше 48 часов, если человеку не становится лучше.
Кроме того, у пациента дома должна быть своя кровать и посуда. В его комнате нужно ежедневно проводить влажную уборку и проветривать ее не менее одного часа в сутки.
Можно ли перенести эту болезнь «на ногах» и к чему это приведет?
Это небезопасно. Пневмонию нужно лечить антибиотиками. Иначе риск осложнений и даже летального исхода увеличивается. Конечно, возможно скрытое течение заболевания, но в большинстве случаев есть какие-то симптомы, которые должны заставить больного обратиться к врачу за помощью.
Как защититься от пневмонии?
Против пневмококка — одного из самых частых возбудителей пневмонии — есть вакцина. Можно сделать прививку. Как правило, ее рекомендуют людям из группы риска — это люди с ослабленным иммунитетом, маленькие дети, пациенты с хроническими заболеваниями легких.
Также профилактика пневмонии — отказ от курения, физическая активность, полноценный сон, снижение стресса, разнообразное питание.
Пневмония очень опасна. Если ее не лечить, на поздних стадиях даже антибиотики не всегда могут с ней справиться. Если есть подозрения — сделайте рентген.
rawpixel.com
Источник: https://www.pravmir.ru/vrach-menya-poslushal-i-skazal-vse-normalno-mozhno-li-propustit-pnevmoniyu-i-chto-delat-chtoby-ee-vylechit/
Хрипы как дополнительный шум, возникающий при дыхании, у больного являются важным диагностическим симптомом. Особенно пристальное внимание обращают на хрипы при пневмонии. По их характеру можно на ранней стадии распознать болезнь и ее локализацию в легких.
Хрип – это дополнительный, не физиологический шум слышимый при дыхании и свидетельствующий о наличии патологического процесса в органах дыхания. По его характеру определяется возможный диагноз, назначается предварительное лечение или режим, назначаются уточняющие анализы или аппаратная диагностика.
Выслушивание хрипов можно проводить как непосредственно, прикладывая ухо к груди больного, так и посредством стетоскопа или фонендоскопа, если таковые имеются под рукой.
Вот некоторые виды шумов, на которые следует обратить внимание.
Характер хрипов дает информацию о локализации заболевания в легких.
Бронхофонией в медицине называется явление усиления голоса при выслушивании легких. Нормальная ткани легкого подавляет звук, и при выслушивании врач не различает слова, которые говорит пациент, в фонендоскопе они звучат глухо и не разборчиво. При воспалениях же, ткань легкого уплотняется и звуки речи проводятся через нее и слышны в фонендоскопе более четко.
https://youtube.com/watch?v=TaaOdAak7KA
Бронхофония является одним из самых ранних физических признаков воспаления. При диагностировании используют произношение слов с дрожащим согласным «Р», например, «красивая кружка». Если он слышен, то ткань явно уплотнена.
При тяжелых воспалениях отчетливо слышны даже шипящие согласные (ч, ш, щ), например, в словосочетании «чашка чая».
Явление бронхофонии наблюдается также при образовании полости в легком, либо полости заполненной жидкостью.
Тогда звуки становятся резонирующими или с металлическими призвуками.
Да, к сожалению, так называемая бессимптомная пневмония является довольно распространенным заболеванием. При такой скрытой форме протекания болезни могут отсутствовать жар, кашель, хрипы, что значительно затрудняет своевременную диагностику болезни, особенно у детей. Здесь нужно быть очень внимательным и обращать внимание на другие возможные симптомы.
Легкие при пневмонии
Почему же у некоторых людей пневмония протекает в скрытой форме? Причин может быть несколько:
- Ослабленный иммунитет. Он может стать результатом аутоимунного заболевания, или следствием ранее перенесенного заболевания, операции. Организм в таком ослабленном состоянии часто не может дать адекватный отпор инфекции, и температура тела не повышается, или повышается незначительно.
- Прием противокашлевых препаратов без рецепта врача может привести к нарушению кашлевого рефлекса. Или организм может быть ослаблен и не готов к выведению мокроты самостоятельно. Отсутствие кашля, или слабый кашель не говорит об отсутствии заболевания.
- При некоторых формах пневмонии могут и не прослушиваться хрипы. Например, когда не поражены бронхи, или участок воспаления находится в нижних долях легких.
Во всех этих случаях надо ориентироваться на дополнительные симптомы, аппаратные методы обследования, анализ мокроты. Вот некоторые симптомы, которые говорят о возможной скрытой пневмонии:
- Общая слабость и повышенная утомляемость. Возможны головокружения, тяжелое дыхание (отдышка).
- Боль в груди, усиливающаяся с глубиной вдоха.
- Изменение цвета кожных покровов. Необоснованный румянец или синюшность носогубного треугольника.
Пневмония – тяжелое заболевание. Его лечение и восстановление после него занимает длительное время. После подтвержденного излечения пневмонии, нормальным считается сохранение кашля или хрипа до двух недель. С помощью такого продуктивного кашля организм избавляется от остаточных явлений болезни. Остатки мокроты или иной жидкости также являются причиной продолжающихся хрипов.
В период реабилитации после болезни важно особенно пристально следить за своим здоровьем. Если вас беспокоят хрипы и кашель, обратитесь к врачу, возможно имеет смысл прием препаратов для разжижения мокроты, чтобы улучшить ее отхождение.
Хорошо помогает восстановить функции и здоровье органов дыхания специальная дыхательная гимнастика. Ее можно сделать увлекательной даже для детей. Например, прекрасным упражнением является обычное надувание воздушных шаров.
Взрослым же можно заниматься любыми легкими физическими нагрузками, которые обеспечат более интенсивную работу органов дыхания.
При продолжении кашля в период реабилитации следует обратится к врачу
В любом случае не оставляйте свой организм без внимания после получения известия о выздоровлении.
После перенесения таких тяжелых болезней возможно, как повторное перезаражение, так и развитие любых осложнений.
Берегите себя, будьте внимательны к своему здоровью и при любых подозрениях обращайтесь за консультацией к квалифицированному врачу.
Источник: https://zdorovie-legkie.ru/hripy-pri-pnevmonii-01/
Пневмония или воспаление легких – это заболевание легких преимущественно инфекционного происхождения с поражением концевых участков легких – альвеол и нарушением газообмена на их уровне.
Альвеолы заполняются жидкостью или гнойным материалом, вызывая кашель с мокротой, реже кровохарканье, жар, озноб и затрудненное дыхание.
Пневмонию могут вызывать различные микроорганизмы, включая бактерии, вирусы и грибы.
Пневмония может варьировать от легкой до угрожающей жизни, наиболее опасное для младенцев и детей младшего возраста, людей старше 65 лет и людей с ослабленной иммунной системой.
Признаки и симптомы пневмонии варьируются от легких до тяжелых, в зависимости от таких факторов, как тип микроба, вызывающего инфекцию, возраст и общее состояние здоровья. Легкие признаки и симптомы часто похожи на симптомы простуды или гриппа, но они длятся дольше.
Признаки и симптомы пневмонии могут включать в себя:
- Боль в груди, когда вы дышите или кашляете
- Кашель с мокротой
- Сбивчивое дыхание (одышка) при меньшей нагрузке, разговоре, в покое
- Усталость
- Температура тела ниже нормальной (у взрослых старше 65 лет и людей со слабой иммунной системой)
- Изменение настроения, аппетита, физической активности у пожилых (в сочетании с другими факторами)
- Тошнота, рвота или диарея (в редких случаях)
У новорожденных и младенцев может не быть никаких признаков инфекции. Может быть рвота, лихорадка и кашель, беспокойство, усталость и отсутствие энергии, а также проблемы с дыханием и приемом пищи.
Обратитесь к врачу, если у вас проблемы с дыханием, боль в груди, постоянная лихорадка (38.5 C) или выше, кашель, особенно если вы кашляете с мокротой.
Важно, чтобы обращались к врачу люди из групп риска:
- Взрослые старше 65 лет
- Дети младше 2 лет с признаками и симптомами
- Больные с экзогенной интоксикацией (алкоголь, наркотики)
- Люди с плохим и удовлетврительным состоянием здоровья или ослабленной иммунной системой
- Пациенты с хроническими заболеваниями, особенно в стадии декомпенсации (обструктивный бронхит, сердечная недостаточность, сахарный диабет, цирроз печени)
- Люди, получающие химиотерапию или лекарства, которые подавляют иммунную систему
- Длительно лежащие в постели
Для некоторых пожилых людей и людей с сердечной недостаточностью или хроническими заболеваниями легких пневмония может быстро стать опасным для жизни состоянием.
Пневмонию могут вызвать многие микроорганизмы. Наиболее распространенными являются бактерии и вирусы в воздухе, которым мы дышим, особенно в воздухе помещений. иммунитет человека обычно предотвращает заражение этими микроорганизмами легких. Но иногда эти микробы могут подавить иммунную систему, даже если здоровье в целом хорошее.
Пневмония классифицируется в соответствии с типами микроорганизмов, которые ее вызывают и места возникновения инфекции.
Внебольничная пневмония является наиболее распространенным типом пневмонии. Это происходит за пределами больниц или других медицинских учреждений. Это может быть вызвано:
Бактерии: Наиболее распространенной причиной бактериальной пневмонии является пневмококк (лат. Streptococcus pneumoniae). Этот тип пневмонии может возникнуть сам по себе или после того, как вы простудились или заболели гриппом. Может затронуть одну часть (долю) легкого.
Бактериоподобные организмы. Mycoplasma pneumoniae также может вызывать пневмонию. Обычно он вызывает более легкие симптомы, чем другие виды пневмонии. Ходячая пневмония – это неофициальное название для данного типа пневмонии, которая обычно недостаточно серьезна, чтобы требовать постельного режима.
Грибы или плесень: Этот тип пневмонии чаще всего встречается у людей с хроническими проблемами со здоровьем или ослабленной иммунной системой, а также у людей, которые вдыхали большие дозы организмов. Грибки, вызывающие его, могут быть обнаружены в почве или птичьем помете и варьируются в зависимости от географического положения.
Вирусы. Некоторые вирусы, вирус гриппа, герпес-вирусы, аденовирусы вызывающие простуду, могут также вызывать пневмонию. Вирусы являются наиболее распространенной причиной пневмонии у детей младше 5 лет. Вирусная пневмония обычно легкая. Но в некоторых случаях это может стать очень серьезным.
Некоторые люди заболевают воспалением легких во время пребывания в больнице из-за другой болезни.
Больничная пневмония может быть серьезной, потому что бактерии, вызывающие ее, могут быть более устойчивыми к антибиотикам и потому, что люди, которые ее получают, уже больны и ослаблены.
Люди, которые находятся на дыхательных аппаратах (ИВЛ), часто используемых в отделениях интенсивной терапии, подвержены более высокому риску этого типа пневмонии.
Это бактериальная инфекция, которая встречается у людей, которые находятся в учреждениях длительного ухода или получают лечение в амбулаторных условиях, включая центры диализа почек. Как и внутрибольничная пневмония, может быть вызвана бактериями, которые более устойчивы к антибиотикам.
Аспирационная пневмония возникает, когда пациент вдыхает пищу, питье, рвоту или слюну в легкие. Аспирация более вероятна, если что-то нарушает нормальные рвотный или кашлевый рефлексы, например, повреждение мозга, чрезмерное употребление алкоголя или наркотиков.
Пневмония может повлиять на любого. Но в двух возрастных группах риск повышен:
- Дети 2 лет или младше
- Люди в возрасте 65 лет и старше
Другие факторы риска включают в себя:
- Нахождение в стационаре: повышается риск развития пневмонии, особенно в отделениях интенсивной терапии больниц, особенно при искусственной вентиляции лёгких.
- Хроническое заболевание. Риски заболеть пневмонией повышаются при бронхиальной астме, хронической обструктивной болезни легких (ХОБЛ) или хронических заболеваних сердца, сахарном диабете, циррозе печени.
- Курение. Курение нарушает естественную защиту организма от бактерий и вирусов.
- Ослабленная или подавленная иммунная система. Люди с ВИЧ/СПИДом, перенесшие пересадку органов, болеющие туберкулёзом получающие химиотерапию или длительно принимающие стероиды.
Даже при лечении некоторые люди с пневмонией, особенно в группах высокого риска, могут испытывать осложнения, в том числе:
- Бактерии в кровотоке (бактериемия). Бактерии, попадающие в кровь из легких, могут распространить инфекцию на другие органы, что может стать причиной нарушения функции этих органов и дальнейшего прогрессирования заболевания.
- Затрудненное дыхание (одышка). При тяжёлых пневмониях, особенно на фоне хронических заболеваний легких, возникают проблемы с получением достаточного количества кислорода. Может потребоваться госпитализация и использование дыхательного аппарата (ИВЛ) на время лечения.
- Накопление жидкости вокруг легких (плевральный выпот). Пневмония может вызвать накопление жидкости в тонком пространстве между слоями ткани, которые выстилают легкие и грудную полость (плевру).
- Абсцесс легкого. Абсцесс возникает, если в легких образуется гной. Абсцесс обычно лечится антибиотиками. Иногда для удаления гноя требуется операция или дренаж с длинной иглой или трубкой, помещенной в абсцесс.
При подозрение на пневмонию обязательно обращение к врачу!
Не своевременное обращение, самолечение приводят к поздней диагностике, антибиотикорезистентности, различным осложнениям и даже летальному исходу.
Источник: https://gkb81.ru/sovety/ne-propustite-pervye-priznaki-pnevmonii/
Поделиться:









