При рассмотрении гидроторакса легкого нельзя не уделить внимание изучению самой сущности этого состояния. В грудной клетке человека есть три специальных серозных мешка, которые предназначены для каждого легкого в отдельности и для сердца. Легочная оболочка состоит сразу из двух слоев и называется плеврой.
При определенных факторах количество жидкости в плевральной полости резко возрастает и может достигать 1-2 литров. Именно это состояние и называют гидротораксом легкого. Однако возможно и проникновение других жидкостей, в связи с этим меняются и названия: при скоплении крови — гемоторакс, лимфы — хилоторакс, воздуха — пневмоторакс.
Характерной особенностью этого процесса является отсутствие воспалительной природы.
Метастазы опухолей в плевру имеют вид множественных рассеянных узелков или принимают характер ракового лимфангиита. На этом фоне повышается проницаемость капилляров и усиливается продукция жидкости, а дренирование замедляется.
Кроме самой плевры, опухоли формируют метастазы в лимфоузлах, что затрудняет отток лимфы. При массивных злокачественных эмболах «забивается» (обтурируется) грудной лимфатический проток.
Помимо прямого влияния, ЗНО опосредованно способствуют накоплению жидкости:
- На фоне раковой кахексии снижается количество белка в крови.
- При присоединении бактериальной инфекции развивается паранеопластическая пневмония.
- В случае развития перикардита, усугубляется сердечная недостаточность.
Скопление жидкости (транссудата) в плевральной полости возникает в том случае, если давление внутри плевральных капилляров усиливается до такой степени, что превышает коллоидно-осмотическое плазменное давление. Такие условия вызывают выпотевание большого количества плазмы через стенки капилляров. Накапливается она в полости плевры. Код гидроторакса легкого по МКБ — J94.
Увеличение объема жидкости происходит за счет уменьшения объема легкого, в результате чего объем, участвующий в дыхании, сокращается, развивается смещение внутренних органов.
чаще всего это эритроциты, лейкоциты и мезотелиоциты (клетки, выстилающие плевральную полость). При наличии выпота злокачественного характера в 80% случаев микроскопически определяются опухолевые клетки, что позволяет установить диагноз, оценить распространённость процесса и скорректировать дальнейшее лечение.
Основные причины:
- Обтурация опухолью бронха. За счет этого происходит «спадение» легочной ткани (формирование ателектаза) и давление в плевральной полости повышается.
- Прорастание первичного очага в плевру и диссеминация (обсеменение) по всей поверхности.
- Лимфогенное метастазирование.
- Поражение лимфоузлов средостения.
- Сдавливание образованием грудного протока, с развитием хилоторакса (скоплением лимфатического транссудата в плевральной полости).
- Развитие паранеопластической пневмонии.
- Действие лучевой или химиотерапии.
- Развитие тромбоэмболии легочной артерии (ТЭЛА).
Этот патологический процесс может протекать в нескольких формах, отличительной чертой при этом является его локализация:
- правосторонний;
- левосторонний гидроторакс легкого;
- двухсторонний.
Чаще всего встречается именно двухсторонний гидроторакс. Объяснить такое явление можно следующим фактом. Наличие основного заболевания вызывает накопление плевральной жидкости сначала в одном легком (правом или левом). Отсутствие ярко выраженных симптомов чаще всего означает отсутствие корректного лечения, а значит, со временем аналогичный процесс развивается и во втором легком.
Гидроторакс легкого представляет собой патологию, характеризующуюся скоплением жидкости в плевральной полости. В связи с этой особенностью в народе это состояние называют грудной водянкой.
Самостоятельным заболеванием гидроторакс назвать нельзя, скорее его можно охарактеризовать как сопутствующее состояние, возникающее при других болезнях. В связи с этим существуют определенные правила и принципы лечения.
Заранее спрогнозировать курс терапии и его последствия не удастся, так как лечение назначают индивидуально в каждом конкретном случае.
Глюкозамин сульфат: инструкция по применению, аналоги и отзывы
Рентгенография. Дает возможность определить наличие жидкости, если ее количество составляет от 300 — 400 мл. Также данный метод позволяет обнаружить опухолевые очаги и метастазы, которые распространились в плевральную область и лимфатические узлы. Рентгенографию осуществляют и для контроля состояния пациента после процедуры эвакуации (удаления) жидкости из легких.
Компьютерная томография. Позволяет комплексно оценить состояние органов грудной клетки, наличие пораженных лимфатических узлов, степень распространенности опухоли.
Ультразвуковое исследование. Незаменимый метод для диагностики плеврита, т. к. позволяет выявить даже минимальные объёмы выпота. УЗИ не доставляет какого-либо дискомфорта пациенту и не требует подготовки.
Современная медицина располагает оборудованием для того, чтобы определить скопившуюся жидкость. А для выяснения причины данной патологии проводится пункция. Процедура осуществляется под местной анестезией при помощи тонкой иглы, которая вводится в область грудной клетки. Выполняется забор жидкости, которую отправляют на анализ в лабораторию.
В медицине описано сразу несколько заболеваний, которые могут сопровождаться скоплением плевральной жидкости в легком. При этом основной причиной становится резкое повышение артериального давления.
- Цирроз печени. Согласно медицинской статистике, в 80% таких случаев развивается именно правосторонний гидроторакс легкого.
- Опухоли, расположенные в органах и тканях грудной клетки.
- Хронические заболевания сердечно-сосудистой системы или врожденные пороки сердца. В списке таких патологий хроническая сердечная недостаточность (известна под аббревиатурой ХСН). При таких показателях в различных участках тела возникают застои крови, провоцирующие гидростатическое давление. Результатом подобных изменений в организме часто становится переход жидкости в плевральную область.
- Почечные заболевания хронического характера (особенно высок риск у тех людей, которые страдают задержкой вывода жидкости из организма). Скопление жидкости при этом объясняется сниженным уровнем онкотического давления.
- Различные механические повреждения, травмы грудины.
- Синдром нарушения всасывания.
- Микседема.
- Пневмония.
- Анемия.
- Амилоидоз.
- Фибромы яичников.
Помимо локализации, случаи гидроторакса могут различаться объемом транссудата. Различают несколько вариантов:
- малый — такая патология характеризуется небольшим объемом жидкости (до 150 мл);
- тотальный — отличается большим содержанием скопившейся жидкости;
- осумкованный.
В зависимости от особенностей патологии, будет отличаться и клиническая картина. В целом симптомы для всех видов гидроторакса довольно схожи, однако их интенсивность будет варьироваться.
Все зависит от стадии основной патологии. В основном жидкость в плевральной полости при онкологических заболеваниях начинает образовываться тогда, когда злокачественный процесс находится на позднем этапе, а это значительно осложняет лечение. Если есть уже метастатические поражения, то прогноз неблагоприятен для больного.
В целом грудная водянка хорошо поддается лечению, и врачи дают оптимистичный прогноз. Гидроторакс легких при онкологии — более сложный случай, здесь важно учитывать степень распространения раковой опухоли, наличие или же отсутствие метастаз, возраст пациента и его общее состояние.
Однако такие показатели возможны лишь в том случае, если патология была вовремя выявлена, а врачи назначили корректное лечение.
Доктора предупреждают: чтобы получить стойкий эффект и предотвратить повторное скопление транссудата, нельзя прерывать лечение сразу после устранения симптомов. Курс терапии нужно закончить.
При этом длительность лечения и дозировку всех препаратов контролирует только лечащий врач.
Учитывая все вышесказанное, можно сделать вывод, что эта патология не столь опасна, как может показаться пациентам с подобным диагнозом. Устранить грудную водянку можно довольно быстро и эффективно путем лечения основного заболевания. Единственным исключением выступают те случаи, когда данное состояние вызвано онкологическими процессами. В этом случае предстоит длительное и сложное лечение.
Скопление жидкости в плевральной полости происходит постепенно. Именно этим объясняется нарастающий характер симптоматики. Процесс может длиться как несколько дней, так и 2-3 недели. На начальной стадии человек не ощущает болевых или неприятных ощущений, поэтому обращение в больницу обычно откладывает.
- Одним из первых симптомов становится чувство тяжести в грудной клетке. В положении стоя и сидя неприятное ощущение усиливается. Несколько облегчить состояние пациента может положение лежа и именно на той стороне, где находится гидроторакс легкого.
- Частое поверхностное дыхание. Этот симптом объясняется сокращением рабочего объема легкого.
- Ощущение нехватки воздуха. Пациенту кажется, что ему нечем дышать.
- Синий оттенок кожных покровов. Такой признак является последствием длительного кислородного голодания.
- Температура тела остается на обычном уровне или даже немного снижается. Объяснить это можно невоспалительным характером гидроторакса.
Если на начальном этапе процесса патология не будет выявлена, количество транссудата в плевральной полости увеличится, а это усилит симптомы. Появится:
- Быстрая утомляемость в течение дня даже при полноценном ночном сне.
- Усиливающаяся одышка. Она наблюдается даже в состоянии покоя.
- Чувство распирания и давления в животе и грудине.
- Частые приступы тошноты, они довольно часто заканчиваются рвотой.
Во время осмотра пациента на этой стадии гидроторакса легкого врач может заметить следующие признаки:
- промежутки между ребрами становятся более сглаженными или вовсе выпирают;
- при дыхании одна сторона грудной клетки отстает в движении (это происходит в том случае, если гидроторакс развивается только с одной стороны);
- выпячивание брюшины в области пупка, изменение формы и вздутие брюшной стенки.
Для получения более точной картины болезни врач при осмотре может попросить пациента принять разные положения тела. Так, когда он сидит, брюшина свисает, а если больной лежит на спине, живот растекается и становится плоским. Особенно часто такое состояние вызывает двухсторонний гидроторакс легких.
Наличие таких симптомов значительно осложняет жизнь человеку, поэтому, кроме всего вышеперечисленного, пациенты с подобным диагнозом раздражительны, страдают расстройством сна и аппетита.
Основная задача врачей — не избавиться от транссудата, а устранить причину его появления, ведь гидроторакс является только следствием патологического состояния организма.
Откачивать жидкость из плевральной полости при любом ее появлении — это не только бесполезное, но и опасное решение. Каждая последующая откачка резко сокращает количество белка в организме. Если концентрация не успевает восстанавливаться, то у пациента возникают серьезные осложнения.
Принцип лечения основывается на особенностях основного заболевания. Для откачки транссудата применяют следующие способы:
- торакоцентез (плевроцентез) — операция, в ходе которой производят прокол грудной полости для получения доступа к плевральной полости с целью откачки транссудата;
- пункция с аспирацией;
- дренаж по Бюлау (процедура дренирования плевральной полости).
Лечить гидроторакс легкого народными средствами категорически запрещено. Неправильный выбор лечения может обернуться для больного серьезными осложнениями.
Осложнениями гидроторакса могут быть:
- острая дыхательная недостаточность;
- инфицирование содержимого гидроторакса;
- эмпиема плевры.
Наиболее частым осложнением при водянке легких становится острая дыхательная недостаточность. Развивается она по причине сильного сдавливания легкого и сопровождается ярко выраженной болью в грудине и одышкой даже в состоянии покоя.
https://www.youtube.com/watch?v=Oych9FxErXY
В некоторых случаях к патологическому состоянию присоединяется инфекция, влекущая за собой поражение плевральных листков (оболочек легкого). Такое состояние носит название эмпиема плевры.
Возможно и медикаментозное лечение, однако оно показано лишь в тех случаях, когда водянка имеет небольшие размеры.
Если патология связана с сердечной недостаточностью, то пациентам часто назначают мочегонные препараты для естественного отведения транссудата из организма. Среди наиболее распространенных лекарственных препаратов “Индапамид”, “Диуретин”, “Диакарб”, “Меркузал”, “Верошпирон”.
Для сокращения потерь белка с мочой подключают внутривенное вливание белковых препаратов.
В случае выявления инфекции в курс лечения гидроторакса легких обязательно включают прием антибиотиков широкого спектра действия.
При лечении гидроторакса легких необходимо соблюдать и все предписания врача. Так, на скорость выздоровления влияет сразу несколько аспектов.
Контроль рациона. Питание при такой патологии играет немаловажную роль. Пациент должен отказаться от следующих продуктов:
- соленая пища;
- жареные, жирные и копченые блюда;
- алкогольная продукция;
- кофе;
- большое количество жидкости.
При осложнениях крайне важно соблюдать постельный режим. В этом случае нагрузка на организм значительно сократится, и выздоровление будет идти быстрыми темпами.
По этой же причине нужно добиться стабильного эмоционального фона. Надо избегать стрессовых ситуаций и перенапряжения.
Источник: https://onivnas.ru/gidrotoraks-legkikh-onkologii/
Гидроторакс – скопление жидкости в плевральной полости является частым осложнением пневмонии. Возникает как следствие плеврита – воспаления плевральных листков, окружающих легкие. Наличие реактивных процессов в плевре определяет тяжесть течения пневмонии.
Полость плевры изолирована, поэтому любые процессы в ней вторичны и связаны с патологией легких.
Развитие патологического процесса обусловлено следующими факторами:
- непосредственное инфицирование плевры;
- состояние местных защитных сил организма.
Инфекция распространяется на плевру чаще всего с расположенных рядом воспалительных очагов в легких. Вследствие нарушения проницаемости сосудов в полости начинает скапливаться экссудат – жидкость.
Отмечено, что вирусные пневмонии редко сопровождаются экссудативными плевритами, только когда присоединяется вторичная бактериальная инфекция.
Поэтому наличие выпота свидетельствует об остром воспалительном процессе, вызванном именно бактериальной флорой.
Экссудативные плевриты делят на:
- негнойные (геморрагические, серозно-геморрагические, серозные);
- гнойные;
Гнойные плевриты или эмпиема плевры являются осложнением чаще пневмококковой, стрептококковой, стафилококковой, Фридлендеровской пневмонии. Возникают как на фоне острого процесса, так и после воспаления легких. Клиническая картина отличается тяжелым течением.
Характерными симптомами являются:
- тяжелая интоксикация;
- высокая лихорадка с ознобами;
- быстрая потеря веса и сил.
В анализах наблюдают высокие цифры лейкоцитоза, прогрессирующую гипохромную анемию, высокую СОЭ.
Диагностический алгоритм основывается на оценке анамнеза, жалоб, клинических проявлений, лабораторных данных и результатов инструментальных методов исследования.
Появление интенсивных болей в боку при дыхании на фоне или после острой фазы пневмонии свидетельствует о наличии сухого плеврита. В течение 1-3 дней начинает скапливаться жидкость между листками плевры, после чего боль уходит.
При перкуссии определяется зона притупления, выше которой спавшаяся ткань легкого с ослабленным дыханием.
Анализы крови реагируют повышением лейкоцитов в основном при гнойном плеврите, серозный выпот может не проявлять себя лабораторно. Оценить состав воды в легких можно при помощи микробиологических анализов.
Сначала оценивают макроскопические характеристики:
- цвет;
- запах;
- прозрачность;
- консистенция.
После этого исследуют жидкость на количественное содержание белков, эритроцитов и лейкоцитов, при необходимости выполняют бактериологическое исследование.
Основными методами визуализации, которые применяются для диагностики гидроторакса, являются рентген грудной клетки, ультразвуковые исследования плевральных полостей и мультиспиральная компьютерная томография.
Наиболее достоверным и доступным методом признано УЗИ плевральных полостей, которое позволяет:
- оценить объем выпота;
- выявить характеристики жидкости (однородная, с наличием нитей фибрина, взвесью);
- провести при необходимости лечебно-диагностическую пункцию под ультразвуковым контролем.
Помимо антибактериальных препаратов, которые назначают для лечения пневмонии, при плеврите присоединяют противовоспалительную терапию. Введение лекарственных средств интраплеврально, непосредственно в полость, считается нецелесообразным.
В зависимости от объема выпота и уровня дыхательной недостаточности решают вопрос о проведении пункционного лечения. Прокол производят по верхнему краю ребер, желательно под контролем ультразвука, чтобы избежать травмы легких и других паренхиматозных органов.
Аспирация содержимого проводится полностью только при выявлении гноя. Повторные скопления гнойного содержимого являются показанием уже не просто к повторному проколу, а к установке дренажа и промыванию плевральной полости.
Обязательными являются лечебная физкультура и выполнение физиопроцедур после острого процесса. В период рассасывания у ослабленных и лежачих больных могут формироваться соединительнотканные тяжи.
В последствие фибриновые нити становятся очень плотными, фиксируют листки плевры, что уменьшает экскурсию грудной клетки, снижает жизненный объем легких и может приводить к развитию хронических заболеваний. Во время ЛФК необходимо активно разрабатывать мышцы грудной клетки, чтобы избежать неприятных последствий.
Источник: https://pneumonija.com/inflammation/oslozhnenija/zhidkost-v-legkix-pri-bolezni.html
Гидроторакс легких — это опасное патологическое состояние, при котором в плевральной полости легких накапливается избыточное количество жидкости.
Гидроторакс не является самостоятельным заболеванием, а представляет собой осложнение целого ряда заболеваний дыхательных путей, а также является признаком развития сердечно-сосудистых патологий.
Жидкость в плевральной полости не дает легкому полноценно расправляться при вдохе, она поджимает легкое снизу.
Если в плевральной полости начинает скапливаться патологическая жидкость, развивается гипоксия — кислородное голодание тканей и органов. В тканях сердца возникает дефицит кислорода. Конечные продукты метаболизма, обладающие токсическими свойствами, плохо выводятся из организма.
Симптомы появляются внезапно, проявления патологии быстро нарастают. Пациент становится крайне беспокойным. Поскольку в ночное время больной длительное время находится в положении лежа, при хронических заболеваниях именно в это время суток зачастую внезапно развивается острая легочная недостаточность.
Жидкость в плевральной полости — это всегда признак и осложнение какого-либо заболевания. Сам по себе гидроторакс не возникает.
https://youtube.com/watch?v=ulkb-oZk-lU
Причины развития гидроторакса:
- Сердечно-сосудистая недостаточность. При хронической сердечно-сосудистой недостаточности на фоне перикардита или порока сердца плевральная жидкость заполняет полость легких постепенно. При остром развитии патологии необходима срочная ее откачка из-за риска удушья.
- Тяжелая патология работы почек. Гидроторакс в этом случае появляется при почечной недостаточности на фоне нарушения функционирования почек из-за серьезного заболевания. Чаще всего это гломерулонефрит с нефротическим синдромом. При этом жидкость заполняет оба легких.
- Цирроз печени. При циррозе печени жидкость наполняет легкие не всегда, а только в 1 случае из 10. Гидроторакс при циррозе является правосторонним. Он развивается, когда жидкость из брюшной полости попадает в плевральную через отверстие в диафрагме. Жидкость может попасть в легкие и при проведении диализа.
- Появление опухоли во средостении. Средостением называет место между легкими. Появление злокачественных новообразований в этом месте является редкостью, но одним из их симптомов может служить образование жидкости в легких. Опухоль постепенно приводит к тому, что нарушается нормальный кровоток, и перекрывается отток лимфы, что провоцирует скопление жидкости в легких.
- Воспаление легких. Большинство заболеваний дыхательной системы не провоцирует нарушение баланса давления между плазмой крови и гидростатическим давлением в капиллярах. Жидкость в легких при пневмонии появляется только при осложнении заболевания или в случае долгого отсутствия лечения.
- Анемия и нехватка витаминов группы В и С.
Симптомы гидроторакса напрямую зависят от количества жидкости, которая находится в плевральной полости.
Если объем плевральной жидкости незначительный, ее количество не превышает 150 мл (такой гидроторакс называют малым), то такое состояние практически никак не сказывается на течении основного заболевания. При тотальном гидротораксе, когда жидкость заполняет практически всю полость легких у человека, появляются яркие клинические признаки патологии.
Наиболее часто вода скапливается либо только в правом легком, либо в обоих одновременно. Редкой формой считается левосторонний гидроторакс. Он появляется при сердечно-сосудистой недостаточности, когда жидкость может скапливаться не только в плевральной полости или в легких, но и в брюшной области.
Признаки развития гидроторакса:
- Постепенно нарастающая одышка, которая особенно мучает людей при физической нагрузке.
- В нижних отделах плевральной полости легких, которые в первую очередь заполняются жидкостью, ощущается тяжесть и дискомфорт.
- При гидротораксе боли нет, как и температуры. В белке, который содержится в жидкости, отсутствует воспаление, поэтому человек не ощущает никаких признаков интоксикации.
Можно определить гидроторакс не только с помощью анализа жалоб больного, но и при визуальном осмотре. Из-за постоянной одышки и дискомфорта в груди больной с гидротораксом постоянно стремится занять определенное положение. Одышка немного облегчается, когда больной ложится на сторону пораженного легкого или немного приседает.
При подозрении на развитие гидроторакса необходимо обратить внимание на живот больного. Из-за большого количества жидкости не только в легких, но и в брюшной полости, живот может увеличиваться. При сердечно-сосудистых заболеваниях жидкость попадает в жировую прослойку, что проявляется отеком мягких тканей.
При циррозе печени гидроторакс обладает своими специфичными симптомами. При подобной причине развития патологии у больного начинается сильнейшая одышка даже при маленьком скоплении жидкости в легких. При циррозе печени может возникать инфицирование плевы из-за попадания бактериальной флоры в ее область.
Гидроторакс никогда не является первичным заболеванием, поэтому при скоплении жидкости в плевральной полости легких необходимо срочно выявлять и разрабатывать план лечения основного заболевания. Если этого не происходит, у больного наблюдается прогрессирование основных симптомов гидроторакса легких вплоть до острой сердечной недостаточности и остановки дыхания.
При патологии сердечно-сосудистого характера необходимо в первую очередь скорректировать образ жизни больного.
Лечение в этом случае заключается не в приеме широкого спектра медикаментов, а в рациональном питании и по мере возможности избежание стрессов и нервных потрясений.
Во время лечения необходимо придерживаться строго режима труда и отдыха, ночной сон должен длиться не менее 8 часов. Коррекция питания заключается в том, что рацион должен дробится, а употребление любых напитков и соли строго нормируется.
При образовании жидкости в легких и в плевральной полости из-за нарушения работы сердечно-сосудистой системы больному необходимо принимать препараты, которые снимают лишнюю нагрузку с сердца и выводят излишки жидкости из организма. При этом должен строго контролироваться уровень белка в крови и количество жидкости в организме. Необходимо снижать количество потребляемых напитков, но ни в коем случае не допускать обезвоживания.
Лечение при почечной форме гидроторакса предполагает обязательный постельный режим, особенно при серьезной патологии почечной системы.
Регулярно делаются анализы мочи на белок, а соль полностью исключается из питания.
Мочегонные средства при поражении почек назначаются с очень высокой осторожностью, главная задача медикаментов не только снижать количество жидкости в организме, но и снижать количество белка в крови.
Если есть возможность сохранить орган, больному назначается спектр мочегонных препаратов. При печеночном гидротораксе больному необходимо дополнительная терапия для избегания инфекционного заражения тканей и органов грудной клетки. Для этого прописывается широкий спектр препаратов с антибактериальным и противовирусным эффектом.
При тотальном гидротораксе больному срочно проводится операция по откачке жидкости. Ее методика идентично с методикой проведения пункции плевральной жидкости.
Основой лечения гидроторакса является выведение лишней жидкости из организма с целью предотвращения скапливания ее в легких. Поэтому для лечения этого заболевания может использоваться народная медицина.
Одним из доступных и безопасных мочегонных средств является петрушка.
Ее можно использовать в качестве мочегонного отвара. Для этого петрушку заливают молоком, а затем выпаривают до половины. Полученный отвар необходимо принимать по 1 ст. л. каждый час.
Если причиной скопления жидкости в легких не является заболевание почек, можно использовать ягоды калины. Это может быть отвар, морс, компот или просто ягоды, засыпанные сахаром. Калину необходимо есть натощак. Она не только обладает легким диуретическим эффектом, но и восполняет потребность организма в витаминах и минералах.
Жидкость в плевральной полости — опасная ситуация для пациента. При этой патологии нередко возникает ряд тяжелых осложнений, если отсутствует своевременная медицинская помощь. Для предотвращения летального исхода нужны срочные адекватные меры, поскольку человек может прожить без воздуха лишь несколько минут.
Источник: https://OtekHelp.ru/obshhie/gidrotoraks-legkih.html
Пациентов во время заболеваний связанных с легкими интересует, что такое гидроторакс.
Транссудат это жидкость, которая начинает скапливаться в теле вследствие нарушения работы систем кровообращения или лимфообращения, в процессе ее образования не происходит какого-либо воспаления, накопление же ее в органах дыхания (плевральная область) называется гидроторакс лёгких.
Зачастую это осложнение уже имеющихся заболеваний, а не отдельный недуг (например, при раке, при пневмонии). В случае когда эпизод касается беременной, такая проблема может возникнуть не только у матери, но и у плода.
Стоит начать с того, что такой синдром, как гидроторакс лёгких имеет не только индивидуальные симптомы, но также обладает тремя формами проявления, его классификация следующая:
- Левосторонний гидроторакс,
- Правосторонний гидроторакс,
- Двухсторонний гидроторакс.
История развития данного заболевания редко фиксировала поражение только одного легкого (особенно левого). Чаще всего случается так, что начинает страдать один из органов (слева или справа), а после болезнь перейдет и на орган-партнер, приобретя более привычную форму течения (двустороннего).
Все виды имеют идентичные признаки, методы диагностики и лечения.
Как говорилось ранее, гидроторакс в легких может быть вызван дисфункцией разных систем, в них скапливается как лимфа, так и кровь. Это также принято разделять на несколько групп:
- Гемоторакс скапливание крови,
- Хилоторакс скапливание лимфатической жидкости,
Также, как и с другими заболеваниями, нарушение в работе органов не будет заметно на ранних стадиях.
В этой ситуации все зависит от объема жидкости, которая успела скопиться в легких, до границы в 200 мл человек обычно не догадывается о каком-либо синдроме.
Если не обращать внимания на данную проблема, общий объем жидкости может превысить несколько литров, что уже очень опасно. Если игнорировать лечение гидроторакс способен вызвать множество осложнений, в число которых входят:
- Инфаркт,
- Почечная недостаточность,
- Дисфункция печени,
- Отеки органов дыхания,
- Гипоксия (дыхательная недостаточность),
- Нарушенное кровообращение.
Обычно такой недуг не несет смертельной опасности, если сильно не задерживать поход к врачу, но это является указателем на иную, более серьезную болезнь.
Что же способно вызывать гидроторакс в легких? Медицина до конца не исследовала данное явление и не знает обо всех возможных корнях проблемы. Однако некоторые из них все же обнаружены и доказаны, этот список входят такие заболевания:
- Почечная недостаточность, которую сопровождает нефротический синдром. Гидроторакс легких в этом случае спровоцирован пониженным онкотическим давлением,
- Микседема недостаток гормонов щитовидной железы. Нарушается обмен белков, их всасывание в пищеварительном тракте, а если питаться продуктами, которые его не содержат, то будут осложнения, нередко приводящие и к дистрофии,
- Гидроторакс лёгких при онкологии проявляется не столь по физиологическим причинам, а скорее по механическим. Нарушается циркуляция лимфы и крови, из-за чего повышается давление,
- Цирроз печени,
- Асцит. Патологическое скопление жидкости в брюшной полости, которое создает чрезмерное давление и вследствие этого она может просачиваться сквозь поры в плевральное пространство в итоге образуется гидроторакс в легких,
- По такой же схеме может быть спровоцирован малый гидроторакс во время перитонального диализа. Эта процедура подразумевает ввод в брюшную полость большого объема жидкости, а потом ее удаление.
- При сердечной недостаточности хронической формы (ХСН) врачи нередко обнаруживают синдром гидроторакса легких (гемоторакса) различной тяжести. Застои крови, которые могут образовываться в любых участках тела повышают гидростатическое давление и на фоне этого жидкость переходит в плевральную область, данная ситуация в большинстве случаев, несет двусторонний характер. Синдром имеет следующие симптомы:
- Тахикардия,
- Отдышка,
- Ночной туалет, при меньшем объеме,
- Приступы агрессии,
- Бессонница,
- Депрессия,
- Общая усталость в дневное время суток.
Кроме всего вышеперечисленного, причины гидроторакса могут быть и такими:
- Различные опухоли, отеки во время беременности,
- Пневмония,
- Фиброма яичников,
- Физические травмы в области грудной клетки,
- Анемия,
- Перикардит,
- Амилоидоз.
Стоит сразу выделить две категории данного недуга, которые сильно отличаются друг от друга и имеют различные признаки.
- Малый гидроторакс (до 150 мл скопившейся жидкости). Является неким осложнением основной болезни, а не индивидуальным заболеванием,
- Тотальный гидроторакс. Такая проблема может проявиться и без каких-либо болезней-предвестников,
- Осумкованный,
Если не брать в учет симптомы, которые характерны для того или иного заболевания, то данный недуг обладает такими общими признаками:
- Жалобы на боль в груди,
- Могут опухнуть пальцы,
- Сухой кашель,
- Отечности разных участков тела,
- Тахикардия,
- Наличие расстройств сна,
- Отдышка,
- Увеличенные лимфоузлы,
- Боль в мышцах,
- Вынужденная поза. Она выражает собой наклон тела в сторону, где скопилось больше жидкости,
- Скованные движения,
- В тяжелых случаях деформация грудной клетки (она выпирает вперед),
По большей части, такие признаки развиваются лишь с течением времени, когда проблема начинает обретать более серьезную форму. Обнаружив их, стоит обратиться к врачу, и если он диагностирует у вас гидроторакс лечение должно быть назначено своевременно, дабы избежать неприятных последствий.
При ответе на вопрос: Гидроторакс что это такое? стоит отметить, что в отличие от того же плеврита, во время течения, данное заболевание не сопровождается воспалением.
Обследование, для определения гидроторакс что это такое и какова его этиология, в каждом конкретном случае включает в себя некоторый ряд процедур:
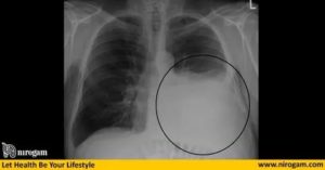
- Рентгеноскопия. Проблемные участки на рентгенограмме выглядят как однородное затемнение,
- Перкуссия легких. В данном случае перкуторный звук будет тупым, а над верхней границей жидкости притуплено тимпанический (похож на звучание барабана),
- Пункция плевральной полости при гидротораксе производится в обязательном порядке. Это делается для того, чтобы определить природу жидкости, которая накопилась в органах дыхания.
Важно! От рентгеновских снимков не будет пользы при слабовыраженном заболевании, поскольку количество крови или лимфы минимально (100-200 мл).
- УЗИ. С помощью него можно определить даже самое мелкое скопление жидкости (от 10 мл), а также увидеть, в какой точке успешней будет проведена плевральная пункция. Часто используется при диагностике во время беременности,
- Компьютерная томография,
Кроме этого, берут ряд лабораторных анализов:
- Проба Ривольта (отличает транссудат от воспалительной жидкости), в случае гидроторакса тест отрицателен,
- Анализ крови,
- Общий сбор мочи,
- Цитология,
- Бактериология,
- Изучение материала, полученного при помощи пункции.
Важно! В гинекологии также встречается данное осложнение гидроторакс плода во время беременности. Сложность заключается в том, что у матери могут отсутствовать какие-либо симптомы и заболевание как таковое.
Синдром может быть вызван схожими причинами, как и во взрослом организме, однако обнаружить их гораздо тяжелее, особенно если оборудование для исследований среднего класса, в этом случае рентгенограмма точно не поможет. Чаще всего корнем недуга является именно сердце.
Также, имеют место ситуации, когда при резус-конфликте нарушается работа системы кровообращения. Если ребенок новорожден, то такой диагноз могут поставить при обвитой пуповине или родовых травмах.
Как лечить это болезненное состояние? Необходимо понять, что лечение народными средствами в этом случае может нести не только нулевой эффект, но и огромную опасность для здоровья человека. Помощь должна быть оказана своевременно лечащим специалистом.
А данный момент существуют различные способы по удалению лишней жидкости из тела человека, однако в случае с легкими, такие операции подразумевает прокол в мягких тканях:
- Плевроцентез,
- Торакоцентез,
- Дренирование плевральной полости (метод дренажа по Бюлау),
- Пункция с аспирацией.
Таким способом можно лишь временно облегчить гидроторакс лечение которого должно в первую очередь подразумевать терапию основного заболевания. Почему врачи не проводят эти процедуры при всяком скоплении транссудата? С каждой следующей откачкой в организме понижается концентрация белка, и если он не успеет восстановиться это чревато осложнениями.
Однако, несмотря на особенности каждого заболевания, есть ряд рекомендаций, которые необходимо соблюдать:
- Нормализовать рацион. Он должен исключить соленую пищу, кофе, алкоголь, чрезмерное количество жидкости. Сбалансировать питание может помочь диетолог,
- Избегать стрессовых ситуаций,
- При недугах с сердцем назначают дробное питание (5-6 раз в сутки). Из медикаментов используют сердечные глюкозиды, ингибиторы фофодиэстеразы (усиление сокращающей функции миокарда). Кроме этого, для выведения излишней жидкости используют диуретики,
- Почечную недостаточность можно вылечить только вместе с основным заболеванием. Также рекомендуется постельный режим и диета,
Для профилактики гидроторакса используют и разные народные рецепты мочегонных средств:
- Залейте 0,5 ч. л. измельченной петрушки 500 мл кипятка на 12 часов и пейте по 1 ст. л. перед едой,
- Березовый сок. Не более 2 раз в день по 100 мл,
- Фреш из ежевики, черной рябины или ирги, принимать 3 раза в сутки по 1 ст. л.,
- Часто применяют такие травы:
- Листья березы,
- Листья брусники,
- Хвощ полевой,
- Толокнянку,
- Ортосифон.
Есть много ситуаций, во время которых может возникнуть гидроторакс легких. Например, при онкологических заболеваниях это встречается довольно часто и приносит дополнительные проблемы и ухудшение общего состояния больного.
Первая помощь должна быть оказана врачом, если вылечить первопричину, то такое осложнение пройдет само по себе и не успеет перерасти во что-то большее.
После терапии назначается рентгенологическое исследование, дабы убедиться, что курс лечения прошел успешно и устранены все возможные проблемы.
Загрузка…
Источник: https://athletic-store.ru/otek/gidrotoraks-legkogo
Поделиться:









