Абсцесс легкого – одно из осложнений инфекций дыхательных органов. Такое воспаление ткани легких характеризуется ее расплавлением и формированием гнойной полости некротического типа.
Развитие процесса нагноения в легких влечет смешанная флора, обычно кокковая. Это пневмококки, стафилококки, стрептококки. Иногда недуг обусловлен аутоинфекцией микробов, которые являются сапрофитами верхних дыхательных путей.
Такие микробы, проникая в легкие, становятся патогенными. Они вызывают нагноения всевозможного характера. Проявление нагноений зависит от реагирования организма пациента и реактивности ткани легких.
Микроорганизмы проникают в организм такими путями:
- Гематогенный. Это сепсис, то есть возбудитель распространяется током крови. Когда очаги гноя развиваются в различных органах, то перемещение бактерий по кровеносным сосудам, называется септикопиемией.
- Лимфогенный. Такой путь возможен, если инфекционный очаг в легких и рядом расположенных тканях. В этом случае микробы перемещаются лимфатическим током.
- Бронхогенный. Микроорганизмы проходят через бронхи или находится во рту, откуда и попадают в органы.
Грибы и гноеродные бактерии выступают в качестве этиологических факторов заболевания.
Абсцесс легких начинается из-за:
- туберкулеза;
- бронхоэктатического заболевания;
- пневмонита;
- сепсиса;
- воспаления легких;
- гангрены или инфаркта легкого;
- гнойных болезней зубочелюстного аппарата;
- аспирации желудочной массы при рвоте.
Зачастую воспаление выступает в роли вторичного недуга. Он сигнализирует, что в организме присутствует инфекция эндогенного типа. Первичный абсцесс появляется изредка. В этой ситуации микроорганизмы проникают из окружающей среды.
Существует классификация абсцесса легкого по пути попадания инфекции. Это травматический, гематогенный и бронхогенный вид.
Есть и разделение по форме протекания:
- Острая. Она проявляется ярко. Формирование гнойника происходит после разрастания пораженной ткани. В ней и гное присутствует много микроорганизмов. Болезнь может пройти самостоятельно, но переходит в хроническую форму.
- Хроническая. Она имеет вялое и не выраженное проявление.
Существует определенная группа риска людей, которых может поразить это заболевание. К ним относятся те, кто страдает алкогольной и наркотической зависимостью.
Также болезнь может грозить пациентам, страдающим:
- сахарным диабетом;
- эпилепсией;
- синуситом;
- раком легких;
- иммунодефицитом;
- желудочно-пищеводным рефлюксом.
Есть вероятность заболеть после операций на пищеводе и желудке, при наличии чужеродных предметов в дыхательных путях.
Абсцесс легких – это болезнь, которая сопровождается респираторными и инфекционными проявлениями. Когда недуг только начинает развиваться, можно наблюдать респираторные симптомы. Это слабость, утомление, мышечная ломота, лихорадочное состояние. Дополняет их сильное отравление организма с повышенной температурой.
Респираторные проявления выглядят как кашель с мокротой. На ее количество влияет размер гнойного очага и бронха. Чем они обширнее, тем больше выходит мокроты, иногда за день до литра дурно пахнущей зеленовато-желтой мокроты.
Иногда наблюдается иная симптоматика, хотя и изредка. Например, сильная боль в грудине. Она начинается тогда, когда гнойник находится вблизи плевры. Также до того, как гной прорвется в бронхи, может начаться сухой кашель.
https://youtube.com/watch?v=MCvf-qaVIXc
Общеинфекционный синдром сильно выражен в начале болезни, когда гнойник закрыт. Затем начинается отток гноя, и интоксикация сильно снижается, а температура постепенно приближается к нормальным показателям.
Абсцесс в легком может привести к осложнениям. Они возникают у тех, кто не придерживается режима, лечится в домашних условиях, а также при неграмотно подобранных препаратах. Часто осложнения проявляются в виде перехода болезни в хроническую форму, гнойного процесса на другую сторону, кровохарканьем, скоплением газов и гноя в плевральной полости.
Есть и более редкие осложнения. К ним относится сепсис, тромбозы артерий и вен легких, развитие гнойников в других местах. Любые перечисленные заболевания сильно ухудшают состояние пациента, доставляют большой дискомфорт и мешают процессу лечения.
Если лечение не начато своевременно, то можно наблюдать следующие проявления:
- дефицит кислорода в дыхательной системе;
- кровотечение в легком;
- проникновение гноя в плевральную полость;
- эмфизема;
- новообразования;
- инфицирование других систем и органов;
- деформирование бронхов.
Иногда абсцесс – исход завершения пневмонита или пневмонии. Тогда он является не осложнением, а результатом другой болезни.
Диагностику при подозрении абсцесса выполняется в полном объеме. Пациент сдает мочу и кровь. При наличии заболевания в крови будет много лейкоцитов, СОЭ, токсическая зернистость нейтрофилов. Когда развивается следующий этап недуга, показатели улучшаются.
При хронической форме значительно снижается гемоглобин, меняется биохимия – уменьшается альбумин, а фибрины, гаптоглобины, серомукоиды повышаются. Исследование мочи показывает изменения уровня микрогематурии и альбуминурия. Если диагноз подтвержден, то проводят исследование мокроты.
Обязательно проверяют наличие:
- бактерий туберкулеза;
- атипичных клеток;
- жирных кислот;
- эластичных волокон.
Какой именно возбудитель спровоцировал недуг, определяют бактериоскопией мокроты. Далее выявляют реакцию и восприимчивость на антибиотики. Оперативный и эффективный метод диагностики – это рентгеноскопия. Когда есть затруднения в выполнении процедуры, то делают магнитно-резонансную и компьютерную томографию.
У малышей это заболевание развивается намного реже. Часто оно начинается из-за проникновения грибкового или бактериального возбудителя в организм. Провоцирующие факторы и симптоматика у ребенка почти аналогичны клинической картине взрослых. К признакам добавляется понос и рвота. Гнойные очаги не формируют гнойник. Болезнь проявляется маленькими пятнами.
Лечение начинается с постельного режима в стационарных условиях. Есть несколько базовых принципов терапии, которые помогают форсировать выздоровление и минимизировать риск возникновения осложнений.
Во-первых, обязательно лежать в кровати, особенно при острой фазе. Во-вторых, пациенту нужно выпивать 1.5 литра воды, чай, травяные настои и соки. Такое питье снижает интоксикацию и разжижает мокроту. В-третьих, необходимо улучшить дренажную способность бронхов.
Для этого пациент принимает особое положение. Он приподнимает ноги на 15-20 см. Так делает пару раз в день по полчаса. В-четвертых, показана высококалорийная диета. Продукты должны содержать много витаминов, минералов и белков.
Также проводятся мероприятия, направленные на укрепление организма:
- прием средств, содержащих кальций;
- вливание глюкозы внутривенно;
- переливание крови малыми порциями.
Сразу начинают лечение сульфаниламидами и антибиотиками. Первые средства назначают принимать в течение долгого времени, а вторые показаны внутримышечно, внутритрахеально, перорально и в виде аэрозоля.
Не забывают и о симптоматической терапии. Врач прописывает препараты, которые способствуют отхаркиванию, разжижению мокроты, а также бронхолитики. Важное значение при этом заболевании отводится дренажу.
Он способствует опорожнению полости. Пациент находит положение, когда мокрота хорошо отходит, то врач рекомендует физиотерапию.
Все зависит от особенностей протекания недуга и состояния больного, только врач может заниматься лечением.
Если при консервативной терапии не будет улучшений, то спустя 1-2 месяца рассматривается хирургическое вмешательство. При быстром прогрессе болезни операцию проводят спустя полмесяца.
Есть хирургические методы:
- трансторакальная пункция (удаление гноя через кожный прокол);
- введение антибактериальных препаратов в проблемный участок;
- бронхоальвеолярный лаваж (удаление абсцесса и введение антисептических средств).
Когда перечисленные методы не дают положительного результата или возникла опасная для жизни больного ситуация, хирург удаляет часть легкого или весь орган под наркозом.
Никакой особенной профилактики недуга нет. Врачи настоятельно советуют своевременно лечить заболевания дыхательной системы и пневмонию, фурункулы, гнойные болезни на теле и во рту, санировать хронические инфекционные очаги. Надо предупреждать проникновение чужеродных тел в бронхи и легкие. Важно бороться с такими вредными привычками, как курение и злоупотребление спиртных напитков.
Иногда заболевание полностью излечивается. Изредка острая форма переходит в хроническую. По статистике летальный исход случается в 5-10%. Вероятность осложнений возникает, когда лечение начинается поздно, присутствуют недуги, не соблюдаются рекомендации врачей, не принимаются лекарственные препараты.
Лешенкова Евгения Терапевт, пульмонолог
Источник: https://respimed.ru/palliativnaya_medice/absczess-legkogo-osobennosti.html
Абсцесс легкого это заболевание рентгенологические признаки которого представлены на снимке отдельно локализующимися нагноениями и возникновением полости, отделённой от близлежащих возле неё тканей.
При этом внутри центральной зоны кольцевидной тени содержится гной.
Если подобная картина присутствует, то требуется немедленно начать лечение согласно предписаниям доктора.
Первая стадия формирования абсцесса длится на протяжении 10-12 дней и по своей симптоматике очень сильно напоминает крупозную пневмонию.
Для данной стадии течения недуга характерно наличие следующих симптомов:
- общая слабость организма;
- проявление умеренной лихорадки, на смену которой приходит лихорадка гектического типа;
- человека знобит, и параллельно с этим выделяется обильное количество пота;
- присутствует сухой кашель надсадного типа;
- во время дыхания присутствуют болезненные ощущения в области груди;
- одышка;
- при сдаче общего анализа крови можно обнаружить повышенный уровень лейкоцитов;
- увеличивается СОЭ.
Насколько ярко проявляются симптомы, полностью зависит от размеров и характера абсцесса. Если зона лёгких поражена несильно, то симптомы будут скудными, к примеру, может присутствовать только общая слабость организма.
А вот абсцессы маленьких размеров, размещённые в толще и прикорневой зоне тканей лёгких, могут вообще никак не проявлять своего присутствия, и выявить их вы сможете либо после их разрастания, либо на рентгеновском снимке.
Абсцессы больших размеров выявить гораздо проще, поскольку сразу после их формирования наблюдается наличие следующих проблем:
- трудности с вдыханием воздуха;
- специфический звук в зоне расположения лёгких.
Начальную стадию абсцесса очень легко выявить с помощью рентгеновского снимка.
Для следующего этапа разрастания абсцесса в зоне лёгких характерным является прорыв гнойника в бронхи.
Если подобное произошло, то у человека могут присутствовать следующие симптомы:
- сильный кашель, в процессе которого происходит выделение гнойной мокроты с неприятным запахом (её объемы варьируются от 100 до 500 мл);
- возможно отхаркивание кровью;
- в случае больших размеров абсцесса, который объединён с просветом в области бронха, может присутствовать дыхание амфорического типа или же крупнопузырчатые хрипы;
- при наличии в полости абсцесса большого количества гноя может наблюдаться ослабление дыхания.
В такой ситуации в течение суток может выделяться от 50 до 1500 мл мокроты, в которой содержится огромное количество эритроцитов, лейкоцитов, различного рода бактерий и эластичных волокон.
Как правило, при наличии любого из вышеуказанных симптомов следует обратиться к своему лечащему врачу, который изначально обязан провести визуальный осмотр, а затем выписать направление на сдачу общих анализов (моча, кровь, кал), кардиограмму и, конечно же, на рентгеновский снимок.
Очень важно не тянуть с походом к доктору, поскольку эта стадия развития абсцесса и так опасна для здоровья, а промедление вообще может спровоцировать летальный исход.
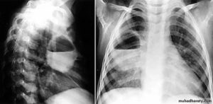
Выполнив рентгеновский снимок в различных проекциях, выявить на нём наличие абсцесса легких можно по присутствию таких факторов:
- выделение признаков, характерных для наличия круглой тени;
- присутствуют нечёткие границы (может свидетельствовать о том, что заболевание сопровождается воспалительным процессом);
- интенсивность средней степени;
- выделяется однородность содержимого (указывает на наличие гнойника);
- рядом с пораженной стороной наблюдается увеличение размеров лимфатических узлов в корне;
- имеется полость распада, которая размещена в средней области просветления;
- утолщенные стенки, при этом внутри они не являются равномерными;
- повышенный или пониженный уровень жидкости во внутренней зоне кольца.
Основанием для выполнения рентгенограммы относительно выявления абсцесса лёгких является наличие следующих симптомов:
- проявление гнойно-резорбтивной лихорадки;
- сильный кашель с выделением мокроты (в большинстве случаев выделяемая мокрота имеет неприятный запах), наблюдается увеличение её количества в процессе смены положения тела;
- общая слабость организма, значительные потери веса.
Выявив у себя хоть один симптом из вышеуказанных, следует немедленно обратиться к доктору, поскольку несвоевременное лечение недуга может вызвать серьёзные осложнения.
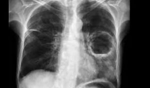
Рентгенограмма абсцесса лёгкого на различных стадиях развития болезни может показать абсолютно разные картины.
На ранних стадиях развития болезни на снимке присутствуют следующие проявления:
- Во время первичных стадий абсцесса пораженная зона небольшая, от 1 до 4 см.
- Вокруг кольцевидной тени размещены очаги воспаления перифокального типа.
- Происходит деформирование легочного рисунка.
- Присутствует тенденция к возрастанию уровня жидкости.
По истечении некоторого времени внутренняя часть стенки кольцевидной тени подвергается уплотнению, и в результате этого исчезают её шероховатости.
Когда абсцесс находится в процессе прорыва гнойника в области бронхов, на снимке с рентгена можно увидеть следующие изменения:
- стенки полости становятся гораздо тоньше;
- в центре пораженной зоны присутствует просветление, где имеется горизонтальный уровень жидкости;
- выше имеющегося уровня жидкости присутствуют области с некрозом тканей;
- по причине воспаления по гнойному типу внешняя сторона капсулы становится не такой четкой.
А вот для определения очистившейся формы легочного абсцесса следует обратить внимание на следующие моменты:
- стенки капсулы становятся намного тоньше;
- отсутствует уровень жидкости;
- происходит зарастание стенок полости с помощью соединительной ткани, это способствует тому, что очистившийся абсцесс ещё какое-то время остаётся в первичном размере, а затем заменяется рубцом.
В результате этого можно отметить, что при отсутствии различного рода осложнений абсцесс легкого и, соответственно, его рентгенограмма проходят три основных стадии:
- Первичная (острая).
- Вторичная (хроническая).
- Ложная (очистившийся абсцесс).
Острая стадия длится приблизительно 3 месяца, а хроническая — до полутора месяцев.
Выявление на снимке кольцевидной тени параллельно с деструктивным разрушением паренхимы легких, бактериями гноеродного типа способствует развитию ряда осложненных состояний, таких как:
- Формирование каверн.
- Возникновение полостей фиброзно-кавернозного типа.
- Распространение гноя по области лёгких.
- Вторичное обострение заболевания.
При этом важно выделить, что в случае наличия такого заболевания, как туберкулёз, выявить с помощью рентгенограммы наличие абсцесса в области лёгких будет довольно сложно.
Именно поэтому в лечении пациентов, которые страдают от туберкулёза, принимает участие и такой доктор, как рентгенолог, он изредка знакомится со сделанными им рентгеновскими снимками. В такой ситуации могут возникнуть затруднения с расшифровкой данных на снимке из-за отсутствия воспаления в зоне кольцевидной тени.
Если рентгенолог не может самостоятельно расшифровать информацию на снимке, то производится лабораторный анализ мокроты, выделяемой у больного туберкулезом.
Также следует отметить тот факт, что при формировании каверны очень важно определить её тип – гнойная или раковая.
Подобные действия можно осуществить, обратив внимание на следующие признаки:
- если в кольцевидной тени отсутствуют завершённые контуры, то это символизирует о наличии периферического рака;
- в случае развития раковой каверны её полость и стенки толстые и бугристые, внешние границы лучистые;
- при развитии гнойной каверны наблюдается чёткое выделение уровня жидкости и наличие перифокальных очагов.
Обратив внимание на эти моменты, не составит никакого труда найти различия между раковой и гнойной каверной на рентгеновском снимке.
Стоит отметить, что диагностировать вышеуказанное заболевание без использования рентгеновского снимка невозможно, поскольку существует огромное количество болезней, которые по своей симптоматике схожи с абсцессом в зоне лёгких. И, конечно же, не может идти и речи о самолечении, абсцесс в зоне лёгких – это не то заболевание, с которым можно шутить.
Если вам дорога ваша жизнь, то без всяких промедлений отправляйтесь к врачу и лечитесь только прописанными доктором средствами и строго по инструкции, даже малейшее отклонение недопустимо.
0 из 17 заданий окончено
Вопросы:
- 1
- 2
- 3
- 4
- 5
- 6
- 7
- 8
- 9
- 10
- 11
- 12
- 13
- 14
- 15
- 16
- 17
Данный тест позволит вам определить, есть ли у вас пневмония?
Вы уже проходили тест ранее. Вы не можете запустить его снова.
Вы должны войти или зарегистрироваться для того, чтобы начать тест.
Вы должны закончить следующие тесты, чтобы начать этот:
Время вышло
- Сейчас с вашим здоровьем все в порядке. Не забывайте так же хорошо следить и заботиться о своем организме, и никакие болезни вам будут не страшны.
- Симптомы которые вас беспокоят достаточно обширны, и наблюдаются при большом количестве болезней, но можно с уверенностью сказать что с вашим здоровьем что то не так. Мы рекомендуем вам обратиться к специалисту и пройти медицинское обследование во избежание возникновения осложнений. Так же рекомендуем ознакомиться со статьей о том как распознать пневмонию в домашних условиях.
- В вашем случае наблюдаются яркие симптомы пневмонии! Однако есть вероятность что это может быть другое заболевание. Вам необходимо срочно обраться к квалифицированному специалисту, только врач сможет поставить точный диагноз и назначить лечение. Так же рекомендуем ознакомиться со статьей о том можно ли вылечить пневмонию без антибиотиков и как это сделать.
Источник: https://pulmonologi.ru/pnevmoniya/abstsess-legkogo.html
- 1 Основные признаки
- 2 Предрасполагающие факторы
- 3 Методы лечения
Абсцесс образуется в легких из-за гнойного расплавления легочной ткани, спровоцированного гнойной или аспирационной пневмонией, инфарктом легкого, распадом раковой опухоли, септикопиемией и рядом других факторов. Абсцесс легкого на рентгенограмме выглядит по-разному в зависимости от стадии и состояния запущенности процесса.
Форма воспаления легочной ткани на рентгеновских снимках зависит от следующих факторов:
Абсцесс легкого на рентгенограмме
- в острой – правильная форма с нечеткими контурами;
- в хронической – неправильная форма с множественными «карманами».
- Размер гнойно-деструктивного процесса:
- небольшой – не меньше 2 см в поперечнике;
- большой – более 10 см в поперечнике.
- однородная – до прорыва в бронх;
- резко неоднородная – после прорыва с визуализацией просветления и горизонтальным уровнем из-за появления газа и жидкости в полости.
На ранних стадиях снимок рентгена не дает четкой картины заболевания и может выглядеть, как очаговая пневмония, например.
Характерной особенностью снимка грудной клетки на этой стадии является наличие затемненности с неровными контурами в легочной области.
Рентген легких
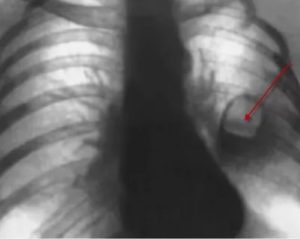
Рентгенологические признаки в стадии распада (прорыва абсцесса в бронхи) отличаются более выраженной картиной, позволяющей определить полость с уровнем жидкости, увидеть газ, расположенный над жидкостью в виде осветленного полукруга.
Для выявления размеров и расположения полостей снимки рекомендуется делать в нескольких стадиях наполнения плевральной полости жидкостью, например, до и после отхаркивания и в нескольких проекциях. Полость абсцесса на рентгенологических снимках чаще всего имеет овальную форму.
Абсцедирование легочной ткани – это острый патологический процесс, представляющий собой неспецифическое воспаление легочной ткани, сопровождающееся образованием ограниченной полости в ткани легких в результате её отмирания и гнойного расплавления. Локализация абсцесса разнообразна, но чаще всего поражение приходится на верхнюю долю правого легкого. По статистике, данное заболевание чаще встречается у мужчин среднего возраста 25-50 лет, по сравнению с женщинами в соотношении 10:1.
Аускультация
Для точности постановки подобного диагноза используют:
- сбор анамнеза больного (жалобы в последнее время);
- аускультацию (прослушивание);
- перкуссию (простукивание);
- пальпацию (прощупывание) верхних и нижних отделов грудной клетки;
- лабораторные исследования биологических материалов;
- инструментальные исследования (рентгенодиагностика, томограмма грудной клетки для более точной картины – на усмотрение врача).
Данное заболевание может носить как острый, так и хронический характер. Вследствие сниженного иммунитета или неквалифицированной и несвоевременно оказанной помощи в лечении острой формы наблюдаются следующие признаки:
Лающий кашель
- сонливость;
- снижение веса (вплоть до истощения);
- гавкающий (лающий) кашель, проявляющийся в виде приступов;
- обильное выделение зловонной мокроты;
- гипергидроз (повышенное потоотделение).
Клиническая симптоматика абсцесса легкого различна на всем протяжении течения болезни, её тяжесть и выраженность напрямую зависят от стадии заболевания, которых выделяют всего две:
- Формирование полости расплавления. Сопровождается такой симптоматикой: длительное устойчивое повышение температуры тела, общее недомогание (головокружение, озноб), нарушения со стороны дыхательной системы (изменения частоты дыхательных сокращений, выраженная одышка), болевой синдром в области грудины, появление непродуктивного сухого кашля, со временем переходящего в продуктивный, отделяющий гнойную мокроту.
- Вскрытие и отхождение экссудата (гнойных масс, содержащихся в полости легкого). Во время второй стадии, собственно самого прорыва абсцесса и дренирования плевральной полости, наблюдается усиление вышеперечисленной симптоматики первой стадии, к которой добавляется выделение большого количества (100-1500 мл в сутки) гнойной мокроты с гнилостным запахом. В то же время после прорыва абсцесса пациент ощущает уменьшение интоксикации, улучшение общего состояния. На рентгеновском снимке в легком видна четко обозначенная полость распада с воздушно-жидкостным уровнем, занимающим 1/3 ее объёма.
Гнойная мокрота в легких
Причин развития легочного абсцесса достаточно много, его относят к неспецифическим полиэтиологическим заболеваниям. В группу риска входят:
- люди, страдающие сахарным диабетом;
- пациенты с бронхоэктатической болезнью или любыми бронхиальными инфекциями, чаще всего, пневмонией;
- люди, страдающие алкоголизмом, часто это чревато попаданием рвоты в легкие, это также один из факторов риска возникновения абсцесса.

К абсцессу могут привести инфаркт легкого, спровоцированный закупоркой любой из ветвей легочного ствола, а также прямые повреждения грудной клетки человека.
Без воды и еды человек может прожить несколько дней, а вот без воздуха лишь несколько минут. Не секрет, что дыхание является основой нашей жизни, поэтому заболевания легких нужно выявлять и лечить своевременно. В нашей статье подробно описывается абсцесс легких, его признаки на снимке, а также даются рекомендации по методам лечения этого заболевания.
Зачастую воспаление легких, которое не долечили до конца или запущенная его форма приводит к тяжелым последствиям. Одним из таких последствий выступает заболевание, именуемое абсцессом легкого. Он представляет собой процесс гниения в капсуле, образовавшейся в легком.
Туберкулезной природы это воспаление не имеет. Полость окружена пиогенной мембраной. Образуется абсцесс в результате того, что ткани лёгкого расплавились и превратились в гной. В дальнейшем при правильном лечении капсула с гноем прорывается и он выходит через бронхи влажным кашлем. Ткани зарубцовываются.
Опасным является самопроизвольное вскрытие капсулы. Ни в коем случае нельзя заниматься самолечением. Заболевший человек нуждается в постоянном наблюдении врача.
Причины возникновения болезни
Вызывают болезнь бактерии, которые различными путями попадают в легкие. К причинам, приводящим к возникновению заболевания, относят следующие:
- закупорка дыхательных путей слизью;
- попадание рвотных масс в легкие;
- попадание чужеродных тел;
- низкий уровень иммунитета;
- заражение через кровь;
- физические повреждения.
Таким образом, причиной возникновения этой болезни может стать запущенная пневмония, а также повреждение легкого при ранении.
Классификация абсцессов
По пути проникновения инфекции в легкие различают следующие абсцессы:
- аспирационный — из-за вдыхания слизи из носа, рта;
- метапневмонический;
- обтурационный – характеризуется закупоркой бронха;
- гематогенный, например, при использовании катетера;
- лимфогенный;
- травматический — при ранениях, травмах, ушибах, при которых бактерии попадают в легкие.
Травматический еще называют первичным абсцессом, а последствия пневмонии, аспирационный — вторичным.
По расположению различают следующие:
- центральные;
- периферические, то есть находящиеся на краю органа.
Состояние больного можно определить, только рассмотрев орган на рентгенограмме. По степени тяжести выделяют 3 стадии:
- легкая, при которой симптомы и последствия болезни выражаются слабо, хотя самочувствие больного плохое;
- средняя характеризуется более острым проявлением симптомов;
- тяжелая, при которой симптомы проявляются критично и возможны осложнения.
По срокам развития заболевания выделяют следующие типы:
- острый, протекающий за полтора месяца от начала до зарубцовки;
- хронический, при котором наблюдаются поочередно обострения и ремиссии в течение нескольких месяцев.
Симптоматика заболевания
Для того чтобы вовремя обратиться к врачу за помощью, необходимо уметь различать симптомы заболевания. Болезнь имеет 2 периода — образование капсулы и ее разрыв.
Следует отметить, что отдельно выделяется еще один не менее важный период — рубцевание, или стадия ложной кисты, при которой происходит заживление и зарастание поврежденных тканей при правильном лечении и благоприятном исходе болезни.
Сильный кашель и одышка, боль в грудой клетке
Рассмотрим симптомы каждого периода болезни.
В течение 1 периода наблюдается образование гноя, поэтому симптомы будут следующими:
- непрекращающийся сухой кашель в течение недели и дольше;
- дышать трудно, а физические нагрузки вызывают одышку;
- колющие боли в грудной клетке, особенно при вдохе, зевке или кашле;
- отмирание легочной ткани провоцирует сильное повышение температуры.
Иногда бывает, что не все симптомы проявляются. Все проявляется индивидуально. Так, температуры или сильной боли может и не наблюдаться. Также температура при лихорадке может то повышаться, то падать в пределах 3-5 градусов.
Чем дольше прогрессирует болезнь, тем больше проявляются у пациентов головная боль, утомляемость, отсутствие аппетита, а также происходить снижение веса.
При абсцессе легкого грудная клетка во время вдоха колеблется неравномерно, так как сторона с поражением вздымается немного позже, чем здоровая.
В течение 2 периода наблюдаются такие симптомы:
- если произошло самопроизвольное вскрытие, то гной выходит по бронхам;
- высокая температура держится, человека лихорадит;
- кашель становится мокрым с тёмной мокротой, которой больной откашливает до 1 литра за 20 часов, причем сначала откашливаются обрывки легочной ткани, а затем гнойный слой и пена;
Насколько долго затянется процесс откашливания гнойной мокроты, зависит от физиологических особенностей пациента. А вот когда уже мокрота отойдет, тогда человека перестает лихорадить, нормализуются температурные показатели и данные анализов.
Источник: https://astmania.ru/zabolevaniya/kakie-rentgenologicheskie-priznaki-u-abstsessa-legkogo.html

Одним из распространенных осложнений инфекционных процессов в органах дыхания является абсцесс легкого. Эта патология представляет собой неспецифическое воспаление легочной ткани, характеризующееся ее расплавлением и образованием отграниченной гнойно-некротической полости.
Легочный абсцесс – неспецифическое полиэтиологическое заболевание.
Его причиной может стать:
- бронхогенная инфекция (чаще пневмония), вызванная золотистым стафилококком, пневмококком, стрептококком, неспорообразующими анаэробами и другими микроорганизмами;
- аспирация рвотными массами, которая может произойти при потере сознания или алкогольном опьянении;
- инфаркт легкого, возникающий вследствие эмболии одной из ветвей легочного ствола;
- прямое повреждение или проникающее ранение грудной клетки.
причина абсцедирования – воспаление легкихОбратите внимание! Риск развития абсцесса легкого возрастает при наличии очагов хронической инфекции – пародонтозе, тонзиллите, отите и др., а также у больных с бронхоэктатической болезнью и сахарным диабетом.
В патогенезе заболевания выделяют ряд последовательных стадий:
- Ограничение участка воспалительной инфильтрации соединительной тканью.
- Гнойное расплавление инфильтрата (в направлении от центра к периферии), формирование полости расплавления;
- При благоприятном исходе – облитерация полости, пневмосклероз.
- При неблагоприятном исходе – хронизация воспалительного процесса.
Образование полости, заполненной гноем, сопровождается расплавлением легочной ткани
Еще больше информации о механизме формирования абсцесса, его симптомах, методах диагностики и лечения вы узнаете из видео в этой статье.
Общепринятая классификация заболевания в настоящее время не разработана. Основные способы его деления по различным признакам представлены в таблице ниже.
https://youtube.com/watch?v=VEcUHX17yXA
Таблица 1: Классификация легочных абсцессов:
КлассификацияОписаниеВозможные видыЭтиологическаяОснована на выделении возбудителя инфекцииПневмококковыйСтафилококковыйСтрептококковый и др.
ПатогенетическаяОснована на том, каким путем произошло инфицирование легочной тканиБронхогенныйГематогенныйПостравматическийТопографическаяОснована на оценке расположения и количества гнойных полостейЦентральныйПериферическийЕдиничныйМножественныеОдностороннийДвусторонние
На фото – макропрепарат со свежей полостью распада
Клиника абсцесса легкого неодинакова на всем протяжении болезни. В ее течении выделяют две стадии: первая характеризуется непосредственным формированием полости, заполненной гнойными массами, а вторая – ее вскрытием и отходом экссудата.
Во время формирования полости расплавления больной может жаловаться на:
- повышение температуры тела, часто – гектическая лихорадка;
- озноб;
- одышку;
- нарушения дыхания;
- боль в грудной клетке;
- кашель: сначала сухой и непродуктивный, а затем сопровождающийся выделением гнойной мокроты.
При вскрытии полости легочного абсцесса наблюдается усиление описанных выше симптомов, а также выделение обильной гнойной мокроты.
Обратите внимание! Отграничение области гнойного воспаления серозной оболочкой говорит об активной работе иммунной системы.
Хроническая форма заболевания развивается у пациентов со сниженным иммунитетом, сопутствующими соматическими патологиями, а также при неправильном лечении острой формы болезни.
Она характеризуется длительным волнообразным течением, при котором выраженные симптомы абсцесса легких сменяются периодами относительного благополучия.
При этом больной может предъявлять жалобы на:
- повышенную утомляемость;
- потерю веса, истощение;
- приступообразный лающий кашель;
- выделение большого количества мокроты с неприятным запахом;
- одышку;
- повышенную потливость.
При хронической интоксикации на первый план выступают признаки астенииОбратите внимание! О хронизации процесса говорят в случае, если он не завершается в течение 2 месяцев и более.
Помимо хронизации легочный абсцесс может осложняться:
- гнойным плевритом;
- пиопневмотораксом;
- легочным кровотечением;
- гематогенным распространением инфекции с формированием множественных гнойников по всему организму;
- сепсисом и бактериемическим шоком.
При бактериемии возникает множество гнойных очагов по всему организму
При несвоевременной диагностике и лечении сохраняется достаточно высокий риск летального исхода. В настоящее время абсцесс и гангрена легкого приводят к гибели 5-10% больных.
Появление жалоб, указанных выше требует обращения за медицинской помощью: больного должен осмотреть врач. При обследовании пациента с подозрением на абсцедирование легочной ткани важен комплексный подход.
Стандартная медицинская инструкция предполагает проведение:
- беседы, сбора жалоб и анамнеза;
- клинического осмотра;
- пальпации и перкуссии грудной клетки;
- аускультации легких;
- лабораторных тестов:
- ОАК;
- ОАМ;
- биохимия крови;
- общее исследование и бактериоскопия мокроты;
- инструментальных тестов:
- R-графия;
- по показаниям – КТ, МРТ;
- спирография;
- пикфлуометрия;
- бронхоскопия.
Обратите внимание! При подозрении на развитие гнойного плеврита может быть назначена диагностическая плевральная пункция.
Цена комплексного обследования в частной клинике может составить 5-6 тысяч рублей.
Диагностика абсцесса легкого начинается с беседы врача и пациента. В ходе нее важно выяснить, что именно беспокоит больного, как долго, получал ли он какое-либо лечение по этому поводу.
Между врачом и пациентом должны быть доверительные отношения
Во время клинического обследования специалист может заметить:
- отставание одной половины грудной клетки во время дыхания;
- приглушение перкуторного звука в зоне воспалительного очага;
- при аускультации – ослабление дыхания, тахипноэ, разнокалиберные влажные хрипы.
Аускультация имеет важное диагностическое значение
Лабораторная диагностика острого абсцесса легкого позволяет выявить признаки активного воспаления. По результатам ОАК наблюдается выраженный лейкоцитоз, сдвиг лейкоцитарной формулы влево, ускорение СОЭ. Изменяются и биохимические показатели – увеличивается количество фибрина, сиаловых кислот, гаптоглобинов и серомукоидов.
В анализах крови выявляются признаки воспаления
При хроническом процессе наблюдается стихание воспаления, однако нарастают признаки астенизации, диспротеинемии и анемии. В ОАМ может определяться цилиндрурия, альбуминурия и микрогематурия.
Общий анализ мокроты проводится с целью выявления в ней:
- волокон эластина;
- атипичных клеток;
- микобактерий туберкулеза;
- жирных кислот;
- гематоидина.
Бактериоскопия выделяемого гноя позволяет выявить возбудителя инфекции и определить его чувствительность к антибиотикам, что значительно облегчит дальнейшее лечение заболевания.
Исследование мокроты позволяет выявить возбудителя инфекции
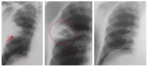
Наиболее достоверным методом исследования при этой патологии считается R-графия. Рентгенограмма легких при абсцессе позволяет оценить количество, размеры и расположение полостных образований.
Таблица 2: Данные рентгенографии при легочном абсцедировании:
Этап заболеванияХарактеристика R-картины
До прорыва в бронх
Гомогенное затемнение размером 10-50 мм и более в полости легкого
В момент прорыва
Просветление в центре полости, определение в нем уровня жидкости с четким горизонтальным уровнем. Также может визуализироваться гнойная капсула.
После прорыва
Просветление, соответствующее размерам полости на фоне четкого отграниченного затемнения.
Обратите внимание! В сложных диагностических случаях проводят более современные исследования – МРТ, КТ и др.
Дифференциальный диагноз абсцесса легкого проводится с заболеваниями, которые могут привести к формированию полостей в тканях дыхательной системы:
- туберкулезом;
- онкопатологией;
- кистозными образованиями;
- бронхоэктазией;
- аспергиллезом;
- острой деструктивной пневмонией;
- инфарктом легкого.
В отличие от абсцесса, туберкулезные инфильтраты сопровождаются менее выраженной клинической картиной, отсутствием гнилостного запаха у мокроты. Важные рентгенологические признаки, указывающие на инфицирование МБТ – отсутствие горизонтального уровня жидкости и свежие очаги отсева неподалеку от инфильтрата.
Кроме того, возможно обнаружение в анализе мокроты палочки Коха – возбудителя специфической инфекции.
Рентгенологически раковая опухоль определяется как бесформенное бугристое затемнение с просветлением в центре. Микроскопия мокроты или бронхиальных смывов позволяет обнаружить в биоматериале атипичные клетки.
Раковая опухоль на рентгене имеет нечеткие края
Тактику терапии заболевания определяют особенности его течения. Она сможет осуществляться как консервативным, так и хирургическим методом. Однако в любом случае лечение абсцесса легкого проводится в стационаре (обычно в пульмонологическом отделении).
Консервативная терапия заключается в:
- соблюдении постельного режима;
- регулярном придании телу одного из дренирующих положений (см. фото);
- приеме противомикробных средств;
- иммунотерапии;
- по показаниям назначают антистафилококковый гамма-глобулин.
Дренирующие положения телаОбратите внимание! Прием антибиотиков при легочном абсцедировании должен быть начат незамедлительно. Как правило, сначала назначают один из препаратов широкого спектра действия. После получения результатов чувствительности возбудителя к АБ план лечения может быть скорректирован.
В случае, если естественное дренирование осуществляется с трудом, больному показано проведение бронхоальвеолярного лаважа – лечебной бронхоскопии с аспирацией полостей распада и промыванием их растворами антисептиков. Также возможно введение непосредственно в гнойную полость противомикробных препаратов.
Методика бронхоальвеолярного лаважа
При неэффективности консервативного лечения, а также при развитии осложнений проводится операция – резекция легкого, то есть иссечение абсцесса вместе с расположенной рядом тканью.
Благоприятное течение заболевания сопровождается полным очищением полости от гнойного экссудата и рассасыванием инфильтрата. Со временем серозная оболочка теряет свои округлые очертания, а затем и вовсе перестает определяться на рентгене. В среднем полное выздоровление наступает через 2,5-3 месяца.
При своевременно начатом лечении прогноз заболевания благоприятный
К сожалению, методов специфической профилактики патологии не существует. Снизить вероятность ее развития можно, если своевременно лечить бронхиты и пневмонии, бороться с очагами хронической инфекции, избегать попадания в дыхательные пути инородных тел и жидкостей. Также важным аспектом в уменьшении уровня заболеваемости можно считать борьбу с алкоголизмом.
3 месяца назад заболел: повысилась температура, начался кашель. Думал, простая простуда, лечился как обычно – Парацетамолом, пил таблетки от кашля. Потом стало хуже, температура держалась на уровне 40-41 градусов, плохо сбивалась, началась одышка.
Это же инфекционное заболевание, так? Значит, я заразился им от кого-то? Могу ли я заболеть им повторно?
Здравствуйте! Острый абсцесс скорее является осложнением инфекционного заболевания – бронхита, бронхиолита или пневмонии.
Действительно, в ваш организм попал какой-то возбудитель (вероятно, воздушно-капельным путем) и вызвал воспаление нижних дыхательных путей, которое вы приняли за простуду. Без должного лечения иммунитет не смог самостоятельно справиться с инфекцией и «отреагировал» на нее подобным образом – формированием полости, заполненной гноем.
Повторное абсцедирование легочной ткани возможно. Чтобы избежать этого, старайтесь следовать принципам ЗОЖ и своевременно лечите инфекции легких.
Мой сынок тяжело заболел, нас положили в больницу. У врача есть подозрение на пневмонию и абсцесс в легком. Настаивает на рентгеновском снимке.
Можно ли делать рентген грудничкам, ведь ему всего 5 месяцев?
Здравствуйте! Рентген нужно сделать обязательно. Так врач сможет поставить точный диагноз и назначить верное лечение.
За сына не переживайте: современные рентген-установки предусматривают минимальную дозу облучения.
Читать далее…
Источник: https://zen.yandex.ru/media/id/59bf9ecc9d5cb3ee0df4e084/5a3a1d58f4a0ddb6fda49b20
Поделиться:









