Пневмофиброз (пневмосклероз) – это заболевание, характеризующееся разрастанием в легких соединительной ткани. Причиной тому являются воспалительные и дистрофические процессы. Нарушается функция газообмена в пораженном легком.
- Народные методы
- Дыхательная гимнастика в борьбе с пневмофиброзом
В медицинской практике встречается пневмофиброз локального и диффузного вида. Заболевание локального типа характеризуется уплотнением отдельного фрагмента легкого. Явных нарушений газообменных процессов не наблюдается. Диффузный пневмофиброз легких приводит к тому, что они утрачивают первоначальную структуру и форму, увеличивается их плотность, нарушается вентиляция.
Согласно медицинским источникам, пневмофиброз подразделяется на прикорневой и линейный. Линейная форма болезни является следствием перенесенного туберкулеза или инфекций.
Откуда возникает прикорневой пневмофиброз науке не известно. Он дает о себе знать после того, как пациент переболел бронхитом или пневмонией. Пневмофиброз редко возникает как самостоятельное заболевание. Его появлению предшествует ряд провоцирующих факторов, к которым относятся:
- инфекции,
- обструктивные болезни,
- систематическое вдыхание паров отравляющих веществ,
- наследственный фактор,
- саркоидоз,
- пристрастие к курению,
- микозы,
- бериллиевая болезнь,
- интерстициальный отек легких,
- желудочно-кишечный рефлюкс,
- прием противоопухолевых препаратов.
В зависимости от того, через какой промежуток времени пациент обращается к врачу, у него диагностируют прогрессирующую или непрогрессирующую стадию пневмофиброза. Непрогрессирующая форма заболевания характеризуется отсутствием выраженных симптомов.
В данном случае допускается лечение пневмофиброза народными средствами. Прогрессирующая форма опасна осложнениями. Рецидивы болезни могут беспокоить человека на протяжении всей жизни. Следует помнить, что такое заболевание, как пневмофиброз, характерно в больше степени для мужчин.
Чем опасен пневмофиброз? Пневмофиброз – коварная болезнь. Разрастание ткани приводит к уменьшению легких и появлению дыхательной недостаточности. Давление в легочной артерии увеличивается. Этот процесс невозможно остановить или скорректировать. Летальный исход наступает в результате появления осложнений.
К остальным симптомам пневмофиброза относятся:
- кашель, сопровождающийся выделениями мокроты и гноем,
- кожа приобретает синюшный оттенок,
- боли в грудной клетке, усиливающиеся при кашле,
- упадок сил,
- температура тела неустойчива,
- резкая потеря веса,
- набухание шейных вен,
- хрипы и писк в легких, особенно на выдохе.
Вместе с тем, в картине заболевания появляются сопутствующие признаки болезни, спровоцировавшей пневмофиброз.
Многие пациенты с диагнозом пневмофиброз легких опасаются, что это рак. При всей схожести клинической картины, пневмофиброз не относится к онкологическим заболеваниям.
Пневмофиброз требует своевременного комплексного лечения. Невозможно избавиться от него полностью, но снизить вероятность возникновения рецидивов можно при адекватном и своевременном лечении.
Специалист способен определить, как лечить пневмофиброз, определив причины его возникновения. Если очаговый пневмофиброз появился вследствие воспаления, пациенту назначаются антибиотики и противовоспалительные препараты. Дополнительным методом являются процедуры, направленные на лучшее отхождение мокроты.
Операция показана в том случае, когда имеют место агрессивные внешние причины пневмофиброза. Дополнительная мера – терапия дыхательной недостаточности.
Профилактически меры направлены на устранение и уменьшение провоцирующих факторов. Если профессия человека связана с токсичными испарениями, необходимо использовать средства защиты дыхательных путей. Кроме того, в рабочем помещении должна быть вентиляция.
В качестве дополнительных методов профилактики врачи рекомендуют заниматься закаливанием, увеличить физическую активность, делать лечебную дыхательную гимнастику, отказаться от курения.
С течением развития пневмофиброза объем легких уменьшается, появляется дыхательная недостаточность. Легкие сморщиваются, вместе с ним нарушается структура бронхов. Прогноз определяется тяжестью протекания болезни. Если пневмофиброз диагностируется на поздней стадии, прогноз неблагоприятный.
Лечение народными средствами предполагает использование отваров из целебных трав, настоев и компрессов.
- Рецепт отвара на основе боярышника и девясила. Для приготовления понадобятся следующие ингредиенты: белая омела (200 г), трава девясила (200 г), боярышник, шиповник, корни голубой синюхи (все по 100 г), эфедра двухколосковая (50 г). Измельченную растительную смесь заливают стаканом воды и оставляют вариться на медленном огне в течение 5 минут. Затем отвар настаивается около часа. Приготовленный настой выпивается по 100 г в течение суток.
- Настой из березовых листьев. Для приготовления настоя необходимо взять измельченные листья березы и тимьян в равных пропорциях (по 50 г). Сухие травы заливаются водой, варятся 7-10 минут, после настаиваются. Пить следует одну четверть в течение суток.
- Эффективность лечения тимьяном доказана многолетними исследованиями. На 500гр крутого кипятка засыпается 1 ст. ложка тимьяна ползучего. Состав должен настояться в теплом месте в течение ночи. Рекомендуется залить смесь в термос. Курс лечения не должен превышать 4 недель.
- Рецепт, помогающий очистить дыхательные пути. Измельченные плоды шиповника и корни девясила по 1 ст.л. каждого помещаются в кастрюлю, заливаются водой в пропорции 1:3. Состав должен вариться в течение 15 минут, затем его необходимо оставить на 3 часа, чтобы тот настоялся. Курс лечения длится 2 месяца. Принимать настой нужно ежедневно. При повышенной кислотности отвар нужно пить спустя полчаса после трапезы. При пониженной – за 10-15 минут до еды.
- Рецепт на основе розмарина. Веточки растения нарезать, добавить немного воды и отправить их в духовку на 2 часа. Затем добавить к растению мед. Когда состав застынет, поставить его в холодильник. Рекомендуется употреблять снадобье дважды в день.
- Рецепт отвара из семени льна. В стакан крутого кипятки добавить 1 ст. л. семени льна, полученный состав оставить на 20-30 минут, чтобы тот настоялся. Пить настой следует один раз в сутки перед сном.
- Компресс из растений. Следует взять кочан свежей капусты, оборвать листья, отбить их так, чтобы проступил сок, и прикладывать к больному месту. На лист кладут целлофан и оставляют на ночь. Таким же способом используются листья лопуха.
Лечить пневмофиброз исключительно народными средствами не рационально. В первую очередь следует использовать методы официальной медицины.
Многие лекарственные растения способны вызвать аллергию. Перед началом терапии нужно ознакомиться с возможными противопоказаниями. Лечение пневмофиброза и курение несовместимы.
Дыхательные упражнения – наиболее доступное средство лечения легких. Лечебная гимнастика способствует улучшению газообмена, облегчая состояние пациента. Динамические упражнения и диафрагмальное дыхание помогают улучшать механические свойства легких.
Классический пример упражнения – выдох с сопротивлением. Для выполнения необходим стакан и трубочка. Набрав полные легкие воздуха нужно медленно выдыхать через соломку воздух. Длительность упражнения составляет 10-15 минут, количество повторов – 4-5. Его можно повторять несколько раз в день.
При адекватном лечении остановить патологический процесс возможно. Со временем дыхание придет в норму, исчезнут характерные признаки, снизится риск возникновения других заболеваний. Человек должен поддерживать здоровый образ жизни, сбалансировано питаться и систематически контролировать процесс разрастания легочной ткани.
Загрузка…
Источник: https://prof-medstail.ru/bolezni-legkih/pnevmofibroz-legkih-simptomatika-prichiny-lechenie
Пневмофиброз легких -это патологическое разрастание соединительной ткани под влиянием воспаления или дистрофического процесса. Подобное состояние ведет к угрозе нарушения дыхательных функций и ухудшению вентиляции органа. Найди ответ Мучает какая-то проблема? Введите в форму «Симптом» или «Название болезни» нажмите Enter и вы узнаете все лечении данной проблемы или болезни.
Сайт предоставляет справочную информацию. Адекватная диагностика и лечение болезни возможны под наблюдением добросовестного врача. У любых препаратов есть противопоказания. Необходима консультация специалиста, а также подробное изучение инструкции! Здесь можно записаться на прием к врачу.
Пневмофиброз легких — что это? Это процесс формирования в легких соединительной ткани, которая замещает нормальную легочную ткань. Формирование избыточного количества соединительной ткани является следствием вяло протекающих, затянувшихся воспалительных процессов в легочной ткани и бронхах.
Можно сказать, что пневмофиброз является вторичным процессом и завершает эти заболевания. Развивается он в участках длительно не разрешавшейся пневмонии, в ткани вокруг бронхов и сосудов, вокруг лимфатических сосудов, стенках альвеол и перегородках. Код по МКБ-10 — J84.
1 (интерстициальные болезни легких с упоминанием о фиброзе). Также пневмофиброз может возникать без видимой причины и быстро прогрессировать — это идиопатический фиброзирующий альвеолит (синоним синдром Хаммена-Рича).
Строму (остов) легких составляет соединительная ткань, которая располагается вокруг артерий, бронхов, в межальвеолярных перегородках. В структуре соединительной ткани имеются коллагеновые и эластиновые волокна.
При пневмофиброзе образуется повышенное количество соединительной ткани за счет коллагена, в связи с чем утрачивается эластичность легочной ткани, значительно снижается функция газообмена, поскольку коллаген откладывается и в стенках альвеол, и прогрессирует дыхательная недостаточность. От распространенности фиброза (локальный или диффузный) зависит степень нарушения дыхания и газообмена, течение болезни и ее прогноз.
Базальный пневмофиброз характеризуется поражением основания легких (базальных отделов). Диагноз ставится после рентгена. Лекарственные препараты назначаются для остановки воспалительного процесса.
Характерна для первичного туберкулеза, ведущего к деформации легкого.
Очаговый пневмофиброз — поражает отдельные участки ткани, приводит к уменьшению ее объема и уплотнению. Дыхательная и вентиляционная функция не нарушается. Под микроскопом это уменьшение участка легкого и уплотнение его паренхимы.
Локальная форма — при этой форме ткань легких теряет свои функции и замещается на соединительную ткань единственный участок органа. Диффузный пневмофиброз — это одна из тяжелых форм болезни, при которой поражается ткань целого органа, а иногда и обоих легких.
Объем пораженной поверхности сильно уменьшается за счет уплотнения и деформации тканей, вентиляция нарушается.
Линейная форма — появляется, как следствие осложнений после перенесенного туберкулеза, пневмонии. Интерстициальный пневмофиброз — при такой форме пациента мучает одышка, заболевание развивается вследствие воспалительных явлений в легочных кровеносных сосудах.
Тяжистая форма — заболевание прогрессирует в результате хронических воспалительных легочных заболеваний. Курение — причина развития болезни в молодом возрасте. Сигаретный дым вызывает застой мокроты в бронхах.
Клетки соединительной ткани легких синтезируют белок эластин и коллаген. Эластин обладает свойством растягиваться и возвращаться в начальное положение.
Коллаген образует прочные фибриллы и придает жесткость каркасу легких.
В соединительной ткани вырабатываются и ферменты (протеиназы), разрушающие эти белки, и ингибиторы протеиназ, сдерживающие процесс разрушения.
Протеиназно-ингибиторная система в норме находится в равновесии, а при воспалительных процессах нарушается оно нарушается. При воспалении снижается продукция фермента a1–АТ, разрушающего эластазу, в результате чего активность ее повышается.
Иммунные реакции, которые запускаются в организме при воспалении, также активируют продукцию эластазы.
С другой стороны при воспалительных процессах повышается активность фибробластов, которые продуцируют коллаген 1-го типа, что сопровождается усиленным фиброзированием и разрастанием соединительной ткани в интерстиции органа. При распространении соединительной ткани внутрь альвеол возникает внутриальвеолярный фиброз, потом соединительная ткань разрастается вокруг артерий и бронхов.
При вовлечении в патологический процесс сосудов, развивается их склероз, запустевает капиллярное русло и развивается гипоксия легочной ткани.
В условиях ее еще больше активируется функция фибробластов в отношении продукции коллагена, что способствует более быстрому развитию пневмофиброза. Поэтому гипоксия является главным условием замещения нормальной легочной ткани соединительной. Вовлечение сосудов затрудняет кровообращение в малом круге.
Возникает нагрузка на правые отделы сердца и гипертрофия правого желудочка (легочное сердце), которая со временем приводит к сердечной декомпенсации.
Патогенез идиопатического фиброзирующего альвеолита не ясен. Предположительно в интерстициальной ткани снижается распад коллагена, но повышается его синтез, в котором участвуют фибробласты и альвеолярные макрофаги. При этом имеет значение снижение продукции ингибиторного фактора, который тормозит в нормальных условиях синтез коллагена.
Под влиянием ЦИК повреждается легочная ткань, происходит ее уплотнение, утолщение межальвеолярных перегородок, заполнение фиброзной тканью альвеол и капилляров.
Перед назначением терапии проводят обследование с целью установить диагноз. Основным методом диагностики является рентгенография. Дополнительно проводят бронхоскопию, оценку дыхательной функции, общие лабораторные анализы. Этот комплекс исследований также выявляет первопричину фиброза легкого.
Пока не существует действенной терапии против пневмофиброза.
Пневмофиброз без симптомов не всегда лечат медикаментами.
Если заболевание не перешло в острую фазу, лечение проводят на дому. задача терапевтических мероприятий – устранить причину, по которой возникла болезнь. Когда причиной является попадание частиц пыли, других вредны веществ, то, прежде всего, прекращают контакт с провокатором заболевания. Больному противопоказано волнение и стресс.
Источник: https://gb4miass74.ru/bolezni/pnevmofibroz-legkih.html
Метатуберкулезные изменения в легких – это очаги разрастания соединительной ткани в месте, где до этого был очаг туберкулеза.
Кроме перенесенного туберкулеза к причинам появления отклонений относят другое тяжелое заболевание, которое повредило целостность ткани легкого, общение с зараженным человеком, сифилис, курение, постоянное вдыхание вредных веществ, травмы легкого, облучение радиацией. Если такую патологию не лечить, могут развиться опасные осложнения.
Проявления патологического состояния зависят от объема поражения ткани легкого. Если имеется одиночный очаг или несколько мелких кальцинатов (скопившаяся в легких соль), симптомы нередко отсутствуют. При обширных изменениях в кровь начинает поступать меньше кислорода, и возникает гипоксия. Это приводит к появлению следующих симптомов:
- утомляемость;
- раздражительность;
- сонливость.
Патология приводит к развитию признаков сердечной и дыхательной недостаточности: одышке, быстрой утомляемости, бледности кожного покрова, сухому кашлю. Болезнь в тяжелых случаях приводит к слипанию легкого. В результате снижается объем газообмена, что провоцирует развитие следующих симптомов:
- асимметрия грудной клетки;
- утолщение дистальных фаланг;
- синюшность носогубного треугольника;
- боль в груди;
- синдром хронической усталости.
При развитии патологического состояния в груди появляется попискивание, как при трении пробки.
Метатуберкулезные изменения в легких могут иметь несколько форм. Это пневмосклероз, кальцинаты, рубцовые стенозы, бронхоэктазы, фиброателектазы, цирроз легких.
Это процесс замещения соединительной тканью участка легкого или всего органа. При прогрессировании патологии состояние больного начинает постепенно ухудшаться: нарастает одышка, возникают признаки дыхательной недостаточности, появляется влажный кашель с трудно отделяемой мокротой, развивается плеврит.
У пациента наблюдается хроническая усталость, боль в области груди, снижается масса тела, бледнеют кожные покровы. Это необратимый процесс, который приводит к резекции органа или летальному исходу.
Если болезнь не прогрессирует, применяют симптоматическую терапию.
По степени выраженности пневмосклероз легкого и его долей бывает следующих видов:
- пневмофиброз – участки соединительной ткани чередуются с легочной;
- непосредственно пневмосклероз – паренхима органа замещается соединительной тканью;
- пневмоцирроз – тяжелая форма пневмосклероза, при которой происходит полное замещение сосудов, альвеол и бронхов соединительной тканью, уплотняется плевра, в пораженную сторону смещаются органы средостения.
Кальцинатами называется скопление кальциевых солей в легочных тканях. Выявляют их только при проведении рентгена. На снимках они обнаруживаются в виде пятен округлой формы. При формировании кальцинатов практически никогда не наблюдается характерной симптоматики, поэтому больной не подозревает о том, что в легких происходят изменения.
https://youtube.com/watch?v=F-fSCTAbQdU
Однако в дальнейшем может появиться небольшое воспаление с незначительными симптомами:
- повышенная утомляемость;
- слабость;
- потливость ночью;
- снижение работоспособности;
- потеря аппетита;
- бессонница;
- головокружение;
- головная боль.
Из-за отложения солей меняется структура альвеол. В результате легкие перестают нормально функционировать. Происходит нарушение процессов газообмена, развивается дыхательная недостаточность. У больного наблюдается одышка даже при незначительных физических нагрузках, появляется тахикардия.
В области груди начинает распирать, кожный покров бледнеет или приобретает синий оттенок.
Появление мелких кальцинатов по всему легкому означает запущенную форму метатуберкулезных изменений. У больных деформируются ногтевые пластины, а пальцы напоминают барабанные палочки.
Метатуберкулезные изменения в легких могут проявляться рубцовыми стенозами. Если появился рубец, значит, человек переболел активной формой туберкулеза.
В этом случае воспалительный процесс затрагивает близлежащие лимфатические узлы: лимфоузлы начинают увеличиваться в размере и сдавливают легочную ткань и бронхи.
При этом у больного появляется сильный кашель и одышка, кожные покровы становятся синюшного цвета.
Важная информация: Симптомы и первые признаки туберкулеза у взрослых
В результате сужения просвета бронхов мокрота перестает нормально выделяться. Она начинает там скапливаться, нагнаиваться, что приводит к развитию бронхоэктазов. Выявляют патологию эндоскопическим способом. Лечение только оперативное.
Это патологическое расширение бронхов. Происходит это в результате поражения ткани их стенок. Бывают мешковидной и цилиндрической формы. Если на фоне бронхоэктазов начинают прогрессировать бронхолегочные инфекции, в процесс могут вовлечься новые лимфоузлы.
Образуются спайки, присоединяется вторичная инфекция, возникает гнойное воспаление. У больного усиливается дыхательная недостаточность, появляются приступы влажного кашля, возникает слабость, потливость, раздражительность. Бронхоэктазы повышают вероятность возникновения легочного кровотечения.
К последствиям рубцового стеноза относят фиброателектазы – участки легких, которые не принимают участие в дыхательном процессе, т. к. нарушена функция бронхов, ведущих к ним.
Из-за не поступления воздуха в такие зоны ткань в этих местах спадает и навсегда перестает функционировать. Такие участки и называются фиброателектазами. Образуются они в основном в нижних долях или затрагивают только средние доли правого легкого.
У больного наблюдаются тупые боли в груди, кашель с мокротой.
Метатуберкулезные изменения могут выражаться циррозом легких. В результате возникновения неоднородной структуры легочной ткани под воздействием различных причин (кальциноз, фиброз, рубцы) уменьшается объем органа.
Это сильно нарушает его функцию и приводит к развитию дыхательной недостаточности.
Нередко возникает сердечно-легочная недостаточность, гипоксия, кашель с кровью. У больного наблюдаются одышка в состоянии покоя, кашель с отделяемой мокротой, перебои в работе сердца, увеличение печени в размере.
Выявляют метатуберкулез в основном с помощью флюорографии. При этом важно исключить наличие активных очагов с инфекцией. Фтизиатр может направить больного на такие диагностические мероприятия, как:
- компьютерная томография;
- цитологическое исследование;
- посев на флору;
- биопсия;
- бронхографическое и бронхоспирометрическое исследование;
- бронхоскопия;
- многоосевое томографическое исследование корня легкого;
- суперэкспонированные снимки.
После этого врач назначает больному соответствующее лечение.
Нельзя вылечить метатуберкулез . Не существует медикаментов, которые смогли бы превратить соли кальция или соединительную ткань в здоровое легкое. Лечение проводят только для облегчения состояния больного и предотвращения прогрессирования патологического процесса.
Терапия остаточных явлений после перенесенного заболевания является симптоматической:
- если у больного одышка, ему назначают бронхолитические препараты: Сальбутамол, Спириву, Беродуал, Эуфиллин;
- при влажном кашле помогают муколитики: АЦЦ, Бронкатар, Бромгексин, Лазолван, Проспан;
- при воспалительных и аллергических проявлениях назначают глюкокортикостероиды: Буденофальк, Преднизолон, Дексаметазон;
- если наблюдается сердечно-легочная недостаточность, применяют сердечные гликозиды: Коргликон, Целанид, Дигоксин, Строфантин.
Показано хирургическое лечение пациентов с метатуберкулезной патологией в следующих случаях:
- сильном нарушении проходимости бронхов, которое спровоцировано рубцовым стенозом, компрессией бронхов, бронхолитом, лимфобронхиальной перфорацией;
- сосудистых нарушениях, возникших в результате рубцового поражения кровеносных сосудов корня средостения и легкого;
- поражении нервных стволов из-за сдавливания ветвей диафрагмального, симпатического или блуждающего нерва;
- фиброателектазе;
- панцирном плеврите.
Эффективность такого способа лечения зависит от того, в каком объеме были удалены измененные лимфоузлы и пораженные места легочной ткани.
Метатуберкулез может привести к развитию осложнений не только со стороны легких, но и со стороны сердца. Это может быть:
- дыхательная или сердечная недостаточность;
- эмфизема;
- ателектаз (спадение легкого);
- приобретенные пороки сердца;
- повышение давления в малом круге кровообращения.
Если у человека диагностирован метатуберкулезный пневмосклероз и другие формы метатуберкулеза, прогноз является сомнительным. Объясняется это необратимыми изменениями в легочной ткани. Нередки случаи, когда человека всю жизнь не беспокоят симптомы патологии. Однако бывает, что изменения в легких приводят к летальному исходу.
Источник: https://ProTuberkulez.info/priznaki/metatuberkuleznye-izmeneniya-v-legkih.html
Пневмофиброз легких – это разрастание соединительной ткани, спровоцированное хроническими или длительными патологиями органа. В этом состоянии легкие перестают в полной мере выполнять свои функции, так как происходят необратимые изменения их тканей.
Пневмофиброз
Пневмофиброз – это заключительная часть большинства заболеваний легких, при котором ткань органа постепенно заменяется соединительной. Одновременно в глубоких тканях легких формируются кисты и полости.
Среди похожих заболеваний (цирроз легких и пневмосклероз) эта патология развивается медленнее всего. Чаще всего этой патологии подвержены мужчины.
Пневмофиброз может формироваться несколько десятков лет, и способствуют этому самые разнообразные причины. К ним относятся:
- васкулиты;
- пневмония;
- силикоз и другие профессиональные заболевания легких;
- сифилис;
- фиброзирующие альвеолиты;
- обструктивные заболевания легких в хронической форме;
- ателектаз;
- наследственная предрасположенность;
- инфекционные заболевания различной природы – грибковые, вирусные и бактериальные;
- регулярное вдыхание отравляющих веществ и пыли;
- прием лекарственных препаратов высокого класса токсичности;
- болезни сердечно-сосудистой системы с явлениями застоя;
- гипоксия;
- травмы грудной клетки;
- ионизирующее излучение.
Если иммунная система человека ослаблена, то даже незначительные инфекционные заболевания могут спровоцировать развитие пневмофиброза.
В зависимости от степени поражения и локализации эта патология классифицируется на разные виды:
- Диффузный пневмофиброз легких. Самый опасный тип заболевания, который отличается полным или множественными поражениями тканей легких. При этом виде пневмофиброз развивается довольно стремительно. Появляется ярко выраженная дыхательная недостаточность.
- Базальный. В этом случае происходит поражение нижних (базальных) отделов органов дыхания.
- Локальный. При данном типе разрастание фиброзной ткани находится только на одном участке легких.
- Прикорневой. Характеризуется появлением уплотнения в тканях органа, спровоцированным перенесенными ранее различными воспалительными процессами. Появляется в области соединения легких с органами средостения.
- Апикальный. При этом виде заболевания поражаются верхние части органа дыхания.
- Линейный. Патологические изменения глубоких тканей легких.
- Ограниченный. Поражение тканей органа, имеющее четкие границы, при этом не происходит изменение дыхания и вентиляции в легких.
- Тяжистый. Этот вид пневмофиброза появляется на фоне хронических легочных заболеваний.
Каждая форма заболевания требует особого подхода при терапии и разный прогноз. Самый неблагоприятный дается при диффузном пневмофиброзе легких.
Одним из самых основных признаков поражения легких пневмофиброзом является отдышка, которая сначала появляется только при физических нагрузках, а по мере развития заболевания присутствует даже в состоянии покоя.
https://youtube.com/watch?v=tCtCcASWyzM
У разных видов патологии симптомы несколько отличаются, но и есть и общие, указывающие именно на эту проблему с легкими. К ним относятся:
- кашель с отделением мокроты вязкой консистенции, часто в ней присутствуют кровяные прожилки и гной;
- боль, которая усиливается при кашле и чихании;
- посинение кожи сначала на пальцах, затем распространяющееся по всему телу;
- усталость и постоянная слабость;
- резкое похудение;
- температура тела постоянно меняется (повышается/понижается).
По мере прогрессирования появляется ряд характерных необратимых изменений:
- развивается кровохаркание;
- изменяется форма пальцев рук и ногтей («пальцы Гиппократа).
Также на поздних стадиях пневмофиброза появляются симптомы тахикардии, сердечной недостаточности и отеки.
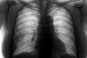
Рентген грудной клетки
При появлении одного или нескольких симптомов следует обязательно обратиться за консультацией к терапевту или пульмонологу. Врач назначит ряд необходимых обследований с целью определения формы заболевания.
К диагностическим методам, помогающим определить пневмофиброз. Относятся:
- рентген грудной клетки;
- оценка функциональной и жизненной емкости легких и внешнего дыхания;
- бронхоскопия;
- МРТ;
- КТ.
Рентгенография является одним из главных методов, помогающим определить наличие различных заболеваний легких. При пневмофиброзе органы дыхания сильно видоизменяются – усиливается и деформируется легочный рисунок, увеличиваются сосудистые тени. Легочные тени со рваными краями, расположенные хаотично, говорят о последних стадиях патологии.
При оценке уровня насыщения крови кислородом используются 2 способа – физическая нагрузка и состояние покоя. При этом выясняется, нет ли у пациента склонности к гипоксии.
При выявлении тяжелых форм заболевания схему терапии будет определять узкий специалист – врач пульмонолог.
Основная задача при лечении пневмофиброза купировать разрастание соединительной ткани и устранить основные его симптомы. Чаще всего используется комплексный подход, так как он дает наиболее эффективный результат.
В терапии используются разные группы лекарственных препаратов, устраняющие все симптомы заболевания. К ним относятся:
- нестероидные противовоспалительные препараты, убирающие болевые ощущения и признаки воспаления (Ибупрофен, Нимесил, Диклофенак);
- стероидные гормоны (глюкокортикостероиды), помогающие устранить обширные воспаления (Гидрокортизон, Преднизолон);
- цитостатические средства, помогающие остановить разрастание соединительной ткани (Циклофосфамид, Азатиоприн);
- антибиотики;
- антифиброзные препараты (Колхицин, Верошпирон);
- отхаркивающие и противокашлевые средства (Сальбутамол, Эуфиллин, Амброксол);
- препараты, останавливающие развитие нарушений в сердечно-сосудистой системе (Стофантин, Метотрексат).
В медикаментозное лечение лечащий врач включает сразу несколько препаратов, для максимального облегчения состояния пациента.
Параллельно с приемом лекарственных средств для терапии пневмофиброза используются разные методы физиотерапии. К ним относятся:
- Диатермия. Глубокое прогревание тканей грудной клетки токами большой силы, выделяемыми специальным аппаратом.
- Индуктотермия. Воздействие на пораженные области магнитным полем высокой частоты. Метод снимает спазмы, устраняет боль и оказывает противовоспалительный эффект.
- Йод-электрофорез по методике Вермеля, щадящая процедура, у которой нет противопоказаний для пациентов любого возраста.
- Общее ультрафиолетовое облучение. Один из видов светолечения, который применяется и в целях профилактики различных заболеваний.
- Облучение лампой соллюкс. Этот метод терапии оказывает на пораженный участок интенсивное и глубокое воздействие.
Чаще всего назначаются несколько видов физиотерапии.
Оксигенотерапия (кислородотерапия) – используется для насыщения организма кислородом. Для процедуры используется ингалятор, через который подается почти чистый (90%) кислород и смеси с ним.
https://youtube.com/watch?v=cUMfJv9LPM8
После курса кислородотерапии появляются следующие положительные изменения в организме:
- улучшается общее состояние пациента;
- восстанавливается газообмен;
- нормализуется кровообращение;
- улучшаются обменные процессы в легких;
- симптомы пневмофиброза становятся менее выраженными.
Эту процедуру назначают как для лечения заболевания, так и для профилактики.
Дыхательная гимнастика является обязательным методом терапии при всех заболеваниях легких, в том числе пневмофиброзе. Она помогает значительно облегчить состояние пациента, нормализует дыхательную функцию и улучшить кровообращение.
Лучше всего физические упражнения помогают при лечении локального пневмофиброза. Устраняются воспалительные процессы, провоцирующие рубцевание тканей легкого, усиливаются защитные функции клеток органа и улучшаются обменные процессы.
Как лечить пневмофиброз при помощи дыхательной гимнастики:
- И.П. рука лежит ладонью на животе, в районе диафрагмы. Вдох с максимальным надуванием живота. Не допускать движение диафрагмы. При выдохе живот максимально втянуть.
- И.П. стоя, ноги вместе, руки вдоль туловища. Медленно выполнить глубокий вдох и выдох. Не допускать движение живота.
- И.П. стоя, ноги вместе, руки вдоль туловища. Сделать глубокий вдох, при этом максимально надуть живот. Выполнить 3 подвздоха, живот держать максимально надутым. Медленный выдох, в котором участвуют только грудная клетка и диафрагма.
Первые несколько дней достаточно будет выполнять дыхательную гимнастику 3 раза в день. Постепенно увеличить до 6 раз.
При отсутствии своевременного лечения пневмофиброз может привести к необратимым последствиям. К ним относятся:
- легочное сердце;
- разрушение тканей легких;
- кровоизлияния;
- вторичная пневмония;
- онкологические заболевания;
- дыхательная недостаточность;
- артериальная гипертензия.
Чтобы не допустить развития заболевания и серьезных осложнений, важно при появлении первых симптомов обратиться за медицинской помощью.
Так как эта патология появляется как осложнение других заболеваний легких, прогноз определяется от первопричины. Если пневмофиброз развился из-за тяжелой легочной недостаточности, то чаще всего терапия не дает положительный результат. И заболевание приводит к летальному исходу.
При других формах патологии прогнозы чаще всего относительно благоприятны. Полное излечение наступает редко. Но при правильно подобранной терапии и соблюдении всех рекомендаций врача, качество и продолжительность жизни пациента значительно увеличиваются.
В целом прогнозы зависят от степени зарастания тканей легких соединительной тканью:
- при начальных стадиях, при незначительном поражении ткани, выздоровление наступает почти в 100% случаях;
- на средних стадиях развития продолжительность жизни пациента уменьшается на 5-7 лет;
- на заключительных этапах развития пациент проживет не более 5 лет.
Профилактика всех легочных заболеваний примерно одинакова и включает в себя:
- обращение к врачу при обнаружении первых же симптомов заболевания;
- отказ от курения;
- выполнение физических упражнений, с включением дыхательной гимнастики;
- ежедневные прогулки на свежем воздухе;
- ежегодное флюорографическое исследование;
- использование средств защиты при работе с химическими веществами и в условиях сильной загазованности;
- укрепление иммунитета.
Следует помнить, что пневмофиброз не является самостоятельным заболеванием поэтому чтобы избежать его развития, нужно внимательно относиться к своему здоровью.
Источник: https://zdorovie-legkie.ru/pnevmofibroz-01/
Пневмофиброз легких – это разрастание соединительной ткани, спровоцированное воспалениями и патологическими процессами. Разрастающаяся фиброзная (соединительная) ткань начинает замещать легочные участки, где формируются полостные образования. В результате, в пораженных участках снижается эластичность, нарушается функционирование и метаболизм.
Пневмофиброз – это рак? Патология не является онкологическим заболеванием, поражение тканей легкого происходит за счет активного роста не раковых клеток, а обычной соединительной ткани.
Патология является следствием воспалительных и дистрофических процессов, развивающихся в органах дыхания. К основным причинам заболевания относятся:
- Поражения инфекционно-воспалительного характера различной природы (бактериальные, грибковые, вирусные);
- Обструкции легких хронического характера;
- Наследственность, врожденный фактор;
- Общие аллергические реакции;
- Бронхиальная астма;
- Профессиональные заболевания. Повреждения и воспалительные процессы возникают в результате воздействия токсичных веществ (амилоз, силикоз, антракоз, асбестоз);
- Прием лекарственных препаратов длительное время;
- Облучение;
- Туберкулез;
- Сифилис;
- Повреждения, травмы грудной клетки;
- Интенсивное курение.
Патология подразделяется на виды, в зависимости от локализации, степени поражения:
- Диффузный пневмофиброз легких – это наиболее опасная форма заболевания, характеризующаяся множественными поражениями или изменениями всей ткани легкого. Для диффузной формы патологии характерно стремительное прогрессирование, развитие выраженной дыхательной недостаточности. В большинстве случаев состоянию сопутствует развитие плеврофиброза. Плевропневмофиброз легких – это поражение плевры, замещение ее на фиброзную ткань;
- Базальный пневмофиброз легких — это поражение нижних (базальных) отделов легкого;
- Локальный пневмофиброз легких – это разрастание фиброзной ткани на определенном участке органа;
- Прикорневой пневмофиброз легких — это поражение области соединения легкого с органами средостения. В большинстве случаев патология является следствием перенесенных заболеваний дыхательной системы (бронхиты, пневмонии), воспалительных и дистрофических процессов. Характеризуется уплотнениями на ткани легкого;
- Апикальный пневмофиброз легких — это разрастание фиброзной ткани, локализованное в верхушке органа;
- Линейный пневмофиброз легких — это фиброзные изменения собственной ткани органа. Патология возникает как результат воспалительных заболеваний дыхательной системы;
- Ограниченный пневмофиброз легких — это тканевые изменения, поражающие определенный участок органа. Очаг поражения имеет четкие границы. Патология не оказывает негативного влияния на газообмен и вентилирующие функции органов;
- Тяжистый пневмофиброз легких — это патологическое состояние, возникающее в результате хронических воспалительных процессов в легких.
Основным клиническим проявлением патологии является одышка, изначально возникающая при физических нагрузках, в дальнейшем присутствует постоянно, независимо от физической активности.
К общим симптомам заболевания относятся:
- Приступы кашля, изначально сухого, с течением времени – с отделяемой мокротой;
- Постоянно присутствующий болевой синдром в грудной клетке;
- Цианоз кожных покровов;
- Снижение весовых показателей;
- Слабость, быстрая утомляемость;
- Хрипы в легких;
- Колебания показателей температуры.
С развитием патологии присоединяются следующие признаки:
- Видоизменяются пальцы на руках. Фаланги становятся толще, ногти — плотными и выпуклыми;
- Кашель с кровью.
Опасность пневмофиброза легких заключается в возможном развитии тяжелых осложнений: сердечная, дыхательная недостаточность, рак легкого, тромбоэмболия.
Научные исследования доказали, что риск развития онкозаболеваний у больных пневмофиброзом в несколько раз выше, чем у здоровых людей.
После диагностирования заболевания, специалист назначает комплексную терапию, задачей которой является снятие симптомов патологии, блокирование разрастания соединительной ткани.
Для лечения пневмофиброза легких используются препараты:
- НПВП (нестероидные противовоспалительные препараты), направленные на снятие воспаления и болевого синдрома в области грудины. Назначаются Диклофенак, Нимесил, Ибупрофен;
- При выраженных воспалительных процессах применяются глюкокортикостероиды (стероидные гормоны). Нередко их используют для лечения линейного пневмофиброза. Основные препараты: Преднизолон, Гидрокортизон;
- Цитостатические средства, не позволяющие соединительной ткани разрастаться дальше. Применяют Азатиоприн, Циклофосфамид;
- Антибиотики;
- Антифиброзные препараты: Верошпирон, Колхицин;
- Противокашлевые и отхаркивающие средства: Амброксол, Эуфиллин, Сальбутамол;
- Препараты, поддерживающие работу сердца и препятствующие развитию сердечной недостаточности: Метотрексат, Стофантин.
В особо тяжелых случаях и малой эффективности медикаментозной терапии назначается хирургическое вмешательство. Операция необходима в следующих случаях:
- Гипоксия;
- Значительное уменьшение жизненного объема легких;
- Снижение механической способности органов дыхания;
- Значительная дыхательная недостаточность.
Обширные поражения требуют замены одного или 2 органов. Операция длится несколько часов. Перед хирургическими процедурами больному назначается специальная терапия. В восстановительный период пациент должен принимать препараты, исключающие отторжение замененного органа.
При хирургическом лечении локального пневмофиброза, когда поражения не обширны, проводится лобэктомия. В ходе процедуры иссекается пораженный участок.
Противопоказаниями к проведению операции являются:
- ВИЧ;
- Гепатит;
- Почечная недостаточность;
- Серьезные заболевания сердечно-сосудистой системы.
Массажные манипуляции позволяют улучшить дыхательную функцию, облегчить общую симптоматику. После проведения процедур снижается интенсивность кашля, укрепляются мышцы, восстанавливается кровоток.
Массажные процедуры проводит специалист путем ручного воздействия или с помощью специальной аппаратуры. Для достижения наибольшего эффекта, перед началом манипуляций, пациенту рекомендуется принять отхаркивающие и противокашлевые препараты.
К основным видам массажа относятся:
- Вакуумный массаж, в ходе которого используются вакуумные банки. После процедуры нормализуется кровообращение в легких;
- Медовые процедуры. Массажные манипуляции проводятся с использованием меда. Это оказывает разогревающее воздействие, активизирует кровообращение;
- Дренажные, вибрационные процедуры, благодаря которым восстанавливается газообмен.
Задача процедуры – насытить организм пациента кислородом. Газ поступает в организм человека посредством ингаляции, через дыхательные пути. Используется чистый кислород и смеси с ним. Ингалирование производится с помощью специальных трубок, носовых катетеров, масок для носа и рта.
https://youtube.com/watch?v=6m1-V4WGwKs
Кислородотерапия позволяет достичь следующих результатов:
- Нормализация кислородного уровня в крови приводит к восстановлению газообмена в организме больного;
- Достаточная концентрация газа приводит к улучшению обменных процессов в легких;
- Значительно облегчается симптоматика;
- Кровообращение нормализуется;
- Общее состояние пациента улучшается.
Лечебная дыхательная гимнастика является одним из самых эффективных способов дополнительной терапии.
Задачей дыхательных упражнений является снижение утомляемости, слабости, снятие напряжения пациента. Особая техника выполнения позволяет ускорить кровообращение, улучшить дыхательную функцию, облегчить состояние больного.
Снимаются застойные явления, лучше отходит мокрота.
Гимнастика является одним из результативных способов лечения очагового пневмофиброза, поскольку помогает снять воспаление, приводящее к разрастанию рубцовой ткани, улучшает обменные процессы и защитные функции здоровых тканей.
Комплекс состоит из 3 этапов:
- Выполняется вдох с максимальным надуванием живота. Диафрагма неподвижна, что контролируется рукой, лежащей на грудной клетке. Выдох производится с втягиванием живота;
- Затем выполняется диафрагменное дыхание. Вдох осуществляется легкими, живот неподвижен. Нужно постараться сделать вдох-выдох как можно глубже и медленнее;
- Завершающий этап объединяет объединенное дыхание. Вдох производится с надуванием живота, затем делается 3 подвздоха с максимальным его выпячиванием. После чего делается выдох грудной клеткой.
Рекомендуется выполнять упражнения до 6 раз в день, начинать с 3 раз. Наиболее положительный результат достигается, если дополнить дыхательный комплекс прогулками, ездой на велосипеде.
Особое внимание при пневмофиброзе уделяется рациону питания. Нужно исключить острые, чрезмерно соленые, жирные блюда. Увеличить количество потребляемых овощей, злаков, фруктов с высоким содержанием витамина С. Необходимо употреблять рыбу, молоко и кисломолочные продукты, мясо, морепродукты.
Лечение пневмофиброза легких народными средствами
Среди эффективных способов народной медицины, применяемых в качестве дополнительного лечения, используют:
- Анисовый отвар, который восстанавливает ткани легких, улучшает общее состояние. 1ст.л.семян заливается стаканом кипятка, жидкость доводится до кипения и сразу снимается с плиты. Отвар нужно остудить и принимать утром и вечером;
- Семена льна, настой которых снижает одышку, облегчает кашель. 1ст.л. семян заливается стаканом кипятка, настаивается в течение 20 минут. Настой принимается трижды в день.
К основным профилактическим мерам относятся:
- Абсолютный отказ от вредных привычек;
- Укрепление иммунитета: посильная физическая активность, полноценный отдых, сбалансированное полезное питание, стабильный психо-эмоциональный фон;
- Регулярное посещение пульмонолога для контроля течения болезни, соблюдение всех рекомендаций врача.
Пневмофиброз легких: причины и симптомы, лечение и профилактика Ссылка на основную публикацию
Источник: https://prorak.info/fibroz/pnevmofibroz-legkih/
Поделиться:









