Мицетома гайморовой пазухи – хроническое заболевание околоносовых полостей, вызываемое грибком рода Aspergillus. Во время болезни не происходит поражение слизистых оболочек носа, мицелий разрастается, образуя объемный шар.
По официальной статистике, патология занимает первое место среди синуситов, вызванных микозом. По мере развития ухудшается качество жизни, возникает заложенность и боль в области верхней челюсти. Организм постепенно отравляется спорами, есть риск заражения других органов.
Требуется комплексное лечение, важную роль в котором отводят приему противогрибковых препаратов.
Мицетома – множественное скопление рыхлых полипов в гайморовых пазухах. Они собраны из шарообразного мицелия грибов Aspergillus, вязких выделений коричневого оттенка.
Обычно располагается с одной стороны носа, медленно разрастается, не поражает ткани околоносовых полостей. Опасность заболевания в медленном развитии, грибок может несколько месяцев не беспокоить человека.
В западной литературе заболевание называют fungus ball, что переводится как «грибной шар». Это связано с внешним видом новообразования.
Мицетома развивается на фоне сразу нескольких причин. из них – попадание спор грибка в пазухи носа. Заболевание проявляется медленно, с момента заражения может пройти несколько месяцев. Микоз передается воздушно-капельным либо контактным путем, но чаще всего грибок попадает при открытых механических повреждениях.
Возбудитель – Aspergillus, но в справочниках описаны случаи разрастания мицетомы от спор рода Candida. В отоларингологии отдельно рассматривают, как возбудителя одонтогенный гайморит, когда патоген попадает в носовые структуры при стоматологических проблемах с верхними зубами. Рост спор усиливается при использовании цинксодержащих пломбировочных материалов.
Выделяют несколько факторов, способных провоцировать развитие мицетомы. Основные из них:
- частый и бесконтрольный прием антибиотиков;
- снижение иммунитета, частые стрессы;
- злокачественные новообразования в организме;
- аутоиммунные заболевания;
- наличие грибковой инфекции;
- дисбактериоз, изменение бактериальной флоры;
- плохая экологическая обстановка в регионе.
К группе риска по этому заболеванию относят пожилых людей и маленьких детей. Чаще диагностируется у лиц из неблагополучных социальных групп. Опасна болезнь во время беременности, так как есть риск распространения на другие органы.
В последние годы мицетома диагностируется все чаще из-за доступности антибиотиков. Нарушение естественной микрофлоры в организме считается основным провоцирующим фактором.
Что собой представляет гаймороэтмоидит изложено в данном материале.
Мицетома в гайморовой пазухе имеет тенденцию к медленному, но стойкому прогрессированию. Человек может долгое время не подозревать о наличии патологического процесса. Первые симптомы появляются, когда грибковый шар достигает больших размеров, разрастается по всех полости. Признаки:
- появление дискомфорта, болевых ощущений в области верхней челюсти;
- выделения из носа, имеющие творожную консистенцию и зловонный запах;
- кровотечения;
- заложенность;
- потеря обоняния (аносмия);
- повышение температуры тела;
- головные боли.
Может ли болеть глаз при гайморите рассказано в этой статье.
Сложность диагностики – заболевание не всегда отчетливо видно на рентгене гайморовых пазух.
В большинстве случае к специалисту обращаются уже на поздних этапах развития грибка, что облегчает выбор методов исследования. Основной способ определения патологии – изучение выделяемой слизи и КТ.
задача дифференциальной диагностики – исключение полипов, злокачественных новообразований в гайморовой пазухе.
При появлении характерных признаков нужно обратиться к терапевту или отоларингологу. Микоз лучше поддается лечению на ранних этапах развития.
Во время процедуры применяют эндоскоп. Он представляет собой тонкую трубку с камерой и источником света на конце. Ее вводят в пазуху носа, изображение выводится на монитор компьютера.
Эндоскопия позволяет оценить размеры мицетомы, ее локализацию и степень поражения околоносовой полости. Кроме того, во время процедуру можно дополнительно взять образцы тканей для дальнейшего изучения в лаборатории.
Исследование может доставлять дискомфорт пациенту, иногда применяют местную анестезию. Время диагностики – 15-30 минут.
Споры грибка диагностируются с помощью лабораторных методов только при существенном разрастании. На ранних стадиях болезнь крайне сложно обнаружить без проведения биопсии тканей.
Для микробиологического исследования используют носовые выделения, частички мицетомы, полученные при эндоскопии. Анализ позволяет с точностью определить род патогена, что важно для назначения медикаментозного лечения.
При изучении исключают различные микробные заболевания синусов, злокачественную природу новообразования.
Почему возникает киста гайморовой пазухи узнаете тут.
Надежный и информативный диагностический метод. Его эффективность обусловлена внешним видом мицетомы на поздней стадии. В отличие от полипов и раковых клеток, микоз имеет высокую плотность, сравнимую с металлом.
При выведении изображения на томограф, можно заметить объемную шарообразную массу с незначительными структурными изменениями. Плюс метода – полная безопасность для организма, быстрота проведения и возможность использования снимков.
Кроме того, на КТ можно обнаружить поражения тканей на фоне патологии, что актуально в запущенных формах.
Грибковый гайморит поддается лечению практически на любом этапе своего развития. Задача терапии заключается в снятии симптоматики, полном уничтожении микоза и укреплении собственных защитных сил организма. Применяют консервативные методы, при большом размере грибкового шара рекомендуется хирургическое вмешательство.
Лечение грибка носа – долгий процесс. Его результативность зависит от грамотно подобранной стратегии терапии, соблюдения рекомендаций.
Назначается при существенном разрастании мицетомы в гайморовой пазухе, когда шар занимает практически весь объем полости. Разработано несколько вариантов операции, отличающихся способом проведения, особенностью восстановительного периода.
Второе название метода – синусотомия. Традиционная операция, заключающаяся во вскрытии гайморовой пазухи с последующим удалением всего ее патологического содержимого. Разновидности:
- Классическая. В околоносовую полость попадают путем иссечения (разреза) тканей в области верхней челюсти. Грибок удаляют механическим способом либо лазером. Минус – риск осложнений, длительный восстановительный период.
- Эндоскопическая. В пазуху носа через естественные ходы вводят эндоскоп, разреза делать не требуется. Затем ткани мицетомы выжигают лазером. Плюс – быстрая реабилитация, после удаления рецидивы наблюдаются редко.
Выбор способа операции зависит от уровня клиники и врача. Время процедуры варьируется от 30 до 60 минут, в классическом варианте требуется общий наркоз или местная анестезия.
Консервативная терапия полностью совпадает с методами послеоперационного лечения. Восстановительный период занимает до нескольких месяцев, успешность его прохождения зависит от соблюдения рекомендаций и собственных защитных сил организма.
Требуется для усиления иммунитета, что ускоряет выздоровление, помогает избежать развития вторичных инфекций. При лечении микоза гайморовой пазухи применяют:
- Амиксин. Действующее вещество – тилорон. Выпускается в форме таблеток с дозировкой по 125 мг. Начинает работать уже через 4 часа после приема, стимулирует выработку интерферона. Минимизирует риск заражения вирусами.
- Виферон. Содержит человеческий интерферон, форма выпуска – мазь и свечи. Средство безопасно для организма, его назначают детям и во время беременности. Усиливает синтез антител, предотвращая вторичное инфицирование.
- Анаферон. Популярный иммуностимулятор в форме капель, таблеток для взрослых и детей. Усиливает иммунитет, назначается для профилактики респираторных заболеваний. Стимулирует выработку интерферона.
Выбор конкретного препарата и его дозировку должен назначать врач с учетом диагностики, возраста и клинической картины. Курс лечения иммуностимуляторами составляет от 5 до 10 суток.
https://www.youtube.com/watch?v=QR7f45Tfaxk
Длительный прием иммуномодуляторов приводит к снижению выработки собственных антител, что приводит к увеличению риска заражения вирусами.
В чем разница синусита и гайморита читайте по этой ссылке.
Важная часть терапии мицетомы, средства позволяют уничтожить споры грибка и избежать его разрастания в организме. Эффективные препараты:
- Флуконазол. Форма выпуска – таблетки. Средство воздействует на микоз, увеличивает проницаемость клеточных мембран. Назначается курсом до 2 недель, а также для профилактики.
- Амфотерицин. Антибиотик с противогрибковой активностью. Назначается только после операций для профилактики вторичной бактериальной инфекции. Выпускается в форме раствора для инфузий, что удобно для обработки носа.
- Дифлазон. Противогрибковый препарат, эффективен в отношении большинства возбудителей мицетомы. На 90% усваивается организмом, не накапливается в печени. Усиливает выведение токсинов из организма.
Средства от грибка могут вызывать аллергию при повышенной чувствительности. При появлении побочных эффектов от терапии нужно отказаться, проконсультироваться с врачом. Для усиления активности противогрибковых препаратов врачи также назначают препарат Деринат.
Помогает ускорить выздоровление, избежать осложнений на протяжении всего лечения. В качестве местной терапии применяют:
- промывание носа лекарственными растворами, отварами трав;
- использование увлажняющих назальных капель и спреев;
- тампонада для усиления регенерации клеток;
- ингаляции с целью очищения пазух.
Назначают как традиционные препараты, так и народные методы. Процедуры рекомендуется проводить до момента полного устранения всех симптомов, а также для профилактики в течение полугода.
Грибковое поражение пазух проще избежать, чем лечить его длительное время. Профилактические меры:
- укрепление защитных сил организма, сбалансированное питание и прием витаминов;
- контролируемый прием антибиотиков;
- регулярное прохождение диагностики;
- ежегодная санация ротовой полости, своевременное лечение зубов;
- избегание стресса, соблюдение режима дня.
В период обострения респираторных заболеваний рекомендуется дополнительно принимать иммуномодулирующие средства, позволяющие укрепить иммунитет. Следует избежать посещения больницы без необходимости.
Дают ли больничный при гайморите указано здесь.
В данном видео вам подробно расскажут про мицетому верхнечелюстной пазухи.
- Мицетома гайморовой пазухи – грибковое заболевание, вызываемое патогеном рода Aspergillus. Внешне выглядит как шарообразное тело, но не поражает слизистую.
- К провоцирующим факторам относят бесконтрольный прием антибиотиков, ослабленный иммунитет и стоматологические проблемы.
- Информативные методы диагностики – КТ гайморовых пазух, микробиологические и эндоскопическое исследование.
- На поздних этапах развития грибка рекомендуется хирургическое вмешательство путем гайморотомии.
- В рамках консервативного лечения и в период реабилитации назначают иммуномодуляторы, противогрибковые препараты, местные процедуры.
Источник: https://dokLOR.com/nos/oslozhneniya/gajmorit/oslozhneniya-g/micetoma-gajmorovoj-pazuhi.html
Мицетома гайморовой пазухи — название грибкового поражения околоносовых пазух. Данный термин характерен скорее для медицины стран СНГ. Медики западных стран называют его грибковым шаром или грибковым телом.
Как правило, подобное заболевание обычно поражает только одну из пазух. Реже доктора находят грибковую мицетому в околоносовых пазухах с обеих сторон.
Это серьёзный патологический процесс, который нельзя оставлять без надлежащей терапии.
Грибковое тело — ситуация, когда в синусе скапливается мицелий грибков, относящихся к роду Aspergillius. Поэтому в медицинских справочниках и в Интернете встречается ещё один термин — аспергиллома. Это тоже правильное название заболевания.
Современные люди заболевают воспалением синусов грибковой природы чаще, нежели в середине XX века. Частично это можно объяснить появлением новых способов выявления заболевания и повышением качества проводимых диагностических процедур. Но и сама заболеваемость также возросла, потому что:
- многие больные бесконтрольно принимают антибиотики;
- существенно ухудшилась экологическая ситуация, в особенности это касается современных мегаполисов;
- увеличилось количество людей, страдающих аутоиммунными болезнями;
- стало больше диабетиков;
- повысился уровень онкологической заболеваемости.
Обнаружение грибов возможно также у абсолютно здоровых мужчин и женщин, которые не относятся к группам риска. Иногда заражение происходит случайно — это происходит после пломбирования зубов, когда лечат зубы верхнечелюстного ряда.
Причём исследования, проведённые учёными, подтверждают: цинк является катализатором роста грибков. Он усугубляет состояние людей с аспергиллёзом. Поэтому важно обращать внимание, какие материалы использует лечащий стоматолог. Если есть возможность, нужно просить его применять материалы, не содержащие цинковых солей.
Напомним, что возбудителем мицетомы являются грибки, относящиеся к роду Aspergillius. Некоторое время грибок практически никоим образом не беспокоит больного.
Доктора случайно обнаруживают его, назначая рентгенографию костей черепа по другим причинам. Причём давность болезни практически невозможно определить.
Когда мицетома разрастается, начинаются проявления клинической картины, которая часто сходна и с другими заболеваниями. Характерные признаки наличия грибкового шара в носовых пазухах:
- на поражённой стороне закладывает нос;
- человека мучают болевые ощущения в области синусов;
- из носа выделяется дурно пахнущий гной;
- повышение температуры тела больного человека.
Подобные признаки вполне можно перепутать с гнойным верхнечелюстным синуситом бактериальной этиологии. Поэтому доктора только предполагают наличие грибкового шара, выслушав жалобы заболевшего. Осмотр также не позволяет поставить точный диагноз, поскольку сама мицетома находится глубоко внутри синуса.
и наиболее информативная методика обнаружения мицетомы — проведение КТ (компьютерная томография). Дело в том, что плотность мицелия аспергилл совпадает с плотностью металла, на получаемых томограммах хорошо виден очаг инфекции. Легко распознать мицелий, который окружён массами, рентгенологическая плотность которых снижена.
Мицетома состоит из множественных полипов, которые образуются из шарообразных грибниц аспергилл. Хотя иногда возбудителями болезни являются грибки рода Candida. Также доктора могут увидеть «клеточный детрит» — это выделения вязкой консистенции, имеющие различную окраску.
Причём мицетома поражает гайморовы пазухи намного чаще, нежели клиновидные или лобные. Аспергиллёз считают неинвазивной разновидностью поражения синусов грибками. Получается, что мицелий грибка развивается внутри поражённой полости, но не затрагивает слизистую оболочку синуса.
Мицетому околоносовой пазухи лечат практически всегда хирургическим путём. Делают гайморотомию (вскрытие гайморовой пазухи). Операцию делают через передную стенку пахухи или через нос. Чаще всего удаление грибкового тела позволяет полностью избавить пациента от проблем. Дело в том, что для мицелия гриба аспергиллы не характерно прорастание в слизистую оболочку.
Когда доктор вырежет грибковый шар, нужно послеоперационное лечению. Придаточную пазуху промывают — для этого используют растворы антимикотических (противогрибковых) лекарственных средств.
Чтобы у человека накопились большие концентрации препаратов в носовой полости и околоносовых синусах, медики рекомендуют проводить ингаляции.
Их тоже делают растворами противогрибковых лекарств — их просто вдыхают носом.
Если человек является астматиком или диабетиком, а также находится на медикаментозной иммуносупрессии, придётся выполнять системное противогрибковое лечение. Также может понадобиться иммунокоррекция — подобное лечение важно, если у человека снижен иммунитет. Речь идёт как о местных, так и о системных защитных силах человеческого организма.
Однако иногда подобное заболевание протекает неблагоприятно для человека — оно становится инвазивным, поэтому при проведении операции хирург — оториноларинголог обязан выполнить биопсию тканей.
Также очень важно сделать гистологический анализ — с его помощью выясняют, насколько глубоко поражены ткани слизистых оболочек.
Хотя есть положительный момент: рецидивы грибкового шара в околоносовой пазухе происходят редко.
Не допустить возникновения болезни лучше, нежели лечить её. К тому же нелеченый грибок может перейти на другие органы. Снизить риск развития мицетомы возможно, если:
- человек прибегает к услугам одной проверенной стоматологической клиники;
- больной вовремя лечит все простудные заболевания и не доводит дело до необходимости антибиотикотерапии;
- есть возможность снизить стрессы, связанные с работой;
- не отказываться от ежегодного отпуска и проводить его в экологически чистых местах;
- не пользоваться личными вещами больного человека — его косметикой, носовыми каплями или носовыми платками;
- пациент принимает антибиотики исключительно по предписанию врача;
- человек вовремя излечивает грибковые поражения полости рта, органов дыхания и даже глаз;
- после перенесённого удаления мицетомы больной тщательно соблюдает все назначения докторов и не отказывается от проведения промывания околоносовых пазух и полости носа.
Эти советы нельзя назвать панацеей против грибкового инфицирования придаточных пазух носа. Однако вероятность заболеть мицетомой существенно снижается. К тому же мицетома чревата некоторыми осложнениями. Они обычно касаются перехода инфекционного процесса в хроническую форму, а также поражения аспергиллой глаз, горла, ротовой полости и других органов и тканей человеческого тела.
Оценка статьи:
(10 4,80 из 5) Загрузка…
Источник: https://gaimorit.guru/vidy/mitsetoma-gajmorovoj-pazuhi
Мицетома гайморовой пазухи – это поражение пазухи, вызванное патогенной грибковой микрофлорой. Уникальность этого заболевания состоит в том, что оно часто возникает «на ровном месте» у совершенно здоровых людей с нормальным иммунным статусом. Его течение незаметное и обнаруживается мицетома уже в хронической форме.
Второе название заболевания – грибковый шар, что характеризует патологический процесс на слизистой оболочке полости пазухи. Такое образование состоит из нитей одноклеточных грибов рода Аспергиллус, которые переплелись между собою.
Очевидно, что шар не образовывается быстро и речь идёт о хроническом грибковом гайморите. В большинстве случаев поражается только одна пазуха, редко диагностируют двустороннюю мицетому.
проблема этого заболевания состоит в том, выявить его на ранних этапах намеренно практически невозможно. Мицетома растет медленно, несмотря на активный рост грибковой микрофлоры. Признаки грибка в гайморовой пазухе часто смазаны и даже опытный врач затруднится с постановкой диагноза.
Редко на этапе острой фазы врач обнаруживает грибковых паразитов в пазухах носа. Обыкновенно это происходит случайно, когда низкая эффективность классических схем лечения толкает отоларинголога на назначение мазка и микробиологического исследования слизи. Врач назначает носовую операцию и консервативную терапию впоследствие.
Ещё одной опасной особенностью болезни является значительное количество видов и подвидов патогенных грибков, способных спровоцировать мицетому.
Этиологическим фактором развития болезни являются патогенные грибки. Чаще это род Aspergillus, но могут быть и другие представители царства Грибы: Mucoraceae, Candida, Penicillium.
Заражению поддаются по обыкновению молодые люди, личности, часто болеющие простудой, с низким иммунным статусом. Причиной развития мицетомы считают рецидивирующие риниты, фарингиты, гаймориты.
Факторами риска являются:
- Нарушение принципов рациональной антибиотикотерапии (частое применение антибиотиков без назначения врача, неполный курс лечения);
- Употребление иммунодепрессантов, препаратов и веществ, которые снижают иммунную функцию;
- Экологическое загрязнение, плохие рабочие условия;
- Сахарный диабет;
- Травмы;
- Онкология;
- Врождённые или приобретенные заболевания иммунной системы (СПИД, болезнь Ди Джорджи и так далее).
У здоровых людей болезнь также может возникнуть без предшествующей патологии. Нередки случаи одонтогенного грибкового гайморита, когда при пломбировании материалы выходят за верхушку корня зуба, близкого к дну пазухи или находящегося в ней.
Коварство мицетомы состоит в трудности ее диагностирования на ранних стадиях. А в случае хронического недуга выявить грибковый шар может только внимательный врач, обративший внимание на низкую эффективность классических схем консервативного лечения и характер выделений.
Симптомы болезни таковы:
- Частая головная боль, которая локализуется в области проекции пазух, лба, переносицы, висков.
- Ощущение давления в синусе, верхних зубах.
- Утрудненное дыхание, частая заложенность.
- Постоянные выделения из носа с примесью крови, неприятным запахом.
- Отеки.
- Изменение положения глазного яблока в орбите, во становится более выраженным со временем.
Нередко наблюдаются нарушения обоняния, зрения, больные жалуются на диплопию. Первые выраженные симптомы можно обнаружить через 1-2 года после грибковой инвазии, а у некоторых мицетома обнаруживается через 20-30 лет после появления грибка в пазухе.
Наиболее надёжным методом выявления болезни являются КТ, сбор мокроты на посев.
Когда мицетома уже красноречиво заговорила о себе, не составляет труда ее диагностировать. Врач понимает, что болезнь затянулась, обычное лечение не действует. Важным признаком является характер выделений.
При аспергиллезе сопли жёлтые густые без гнойных прожилок. Пенициллы провоцируют возникновение жёлтого полупрозрачного экссудата. Кандидоз имеет наиболее характерные выделения – белые сырнистые.
Эндоскопическое исследование показывает сильный отек слизистой оболочки, цианотичность кожных покровов в полости носа и гайморовой пазухи.
Для подтверждения диагноза и определения штамма гриба назначается мазок со стенки пазухи и его микробиологическое исследование. Также хорошо мицетома различается на компьютерной томографии.
Излечение от мицетомы без применения радикальных методов лечения – оперативного вмешательства, невозможно. Консервативные лечебные мероприятия могут лишь кратковременно снимать симптоматику заболевания.
Удаление мицетомы все реже проводят с помощью радикальной гайморотомии. Доступ к полости пазухи обеспечивается через переднюю или нижнюю стенку (со стороны рта).
В любом случае повреждения минимальны, все вмешательство проводится под местной анестезией в течении 30-60 минут.
В послеоперационный период необходимо обеспечить надлежащий уход за полостью носа или рта, принимать препараты, укрепляющие иммунитет, сделать все для предотвращения рецидива. Лекарства и процедуры назначаются такие:
- Иммуномодуляторы для поддержания иммунного статуса и восстановления сил организма: Иммунал, Анаферон, Эхинацея, Арбидол;
- Промывание полости носа и рта для устранения патогенных микроорганизмов в период заживления раны: антисептические растворы;
- Противогрибковые препараты Нистатин, Кетоконазол, Флуконазол;
- Сосудосуживающие препараты для устранения временных проблем с дыханием после операции.
Антибиотики могут индивидуально назначаться коротким курсом после операции. Самостоятельно же не стоит их применять.
После гайморотомии нельзя подвергать себя риску переохлаждения или перегревания, потому что слизистая оболочка особенно податлива на бактериальные инфекции.
В связи с близостью важных анатомических образований (головной мозг и его оболочки, тройничный нерв, нижние дыхательные пути) необходимо скорее устранять мицетому после ее обнаружения. Грибковая инфекция может медленно распространиться далее по дыхательным путям, на оболочки мозга, послужить причиной поражения нервов.
Профилактикой возникновения грибкового шара являются:
- Внимательное отношение к возникающим инфекциям в области носа и гайморовых пазух;
- Соблюдение принципов рациональной антибиотикотерапии (отказ от самовольного приема антибиотиков, прохождение полного курса, употребление лекарства только по назначению врача);
- Повышение иммунитета и его поддержания в кризисные для организма периоды;
- После операции по устранению грибкового шара соблюдайте правила реабилитации, врачебные рекомендации;
- Закаляйтесь, оздаравливайтесь, сохраняйте здоровье.
Самое ценное, что есть у каждого человека – это здоровье. И важнейшая задача – сохранить его!
(1 5,00 из 5) Загрузка…
Источник: https://nasmork.net/mitsetoma-gajmorovoj-pazuhi/
› Грибок › Заболевания
07.05.2017
Грибковые заболевания самые распространенные из существующих. Можно сказать, что начало любой болезни походит от увеличения роста грибковых колоний.
Такое заболевание, как мицетома, имеет несколько значений. Оно определяет поражение грибками лёгких и гайморовых пазух.
Мицетома имеет так же название – Мадурская стопа или мадуромикоз, который поражает человека через небольшие ранки или порезы.
Заболевание мицетома лёгкого в начальной стадии развития можно спутать с лёгочной пневмонией. Так как:
- особой симптоматики заболевание не проявляет;
- рентгеновские снимки в этот период не показывают изменений в лёгочной ткани;
- при прослушивании шумы в лёгких не наблюдаются.
Все эти анти симптомы без взятого анализа мокроты, приводят к стандартному лечению пневмонии – терапии антибиотическими препаратами.На этом этапе это крайне нежелательно, так как антибиотики провоцируют рост колоний грибка, чем вызывают ухудшение состояния больного.
Симптомы заболевания разделяют на этапы:
- боли в груди;
- повышение температуры тела;
- сухой кашель;
- кашель с мокротой;
- кашель с кровью;
- отёчность лёгких;
- инфильтрация;
- свищи лёгких.
Условно, поражение лёгких грибковым штаммом, разделяют на три этапа:
- Отмечаются характерные боли в груди, повышается температура и появляется сухой кашель. Именно эту симптоматику путают с пневмонией.
- Далее, заболевание переходит на стадию постепенного обострения кашель становится с мокротой, иногда с кровью. Если пренебречь лечением – лёгкие отекают, увеличиваются в объеме от скопления клеток.
- Последняя стадия грибковой болезни – свищевые ходы, образованные в результате скопления экссудата, продукта жизнедеятельности грибка.
Мицетому лёгкого вызывают грибки рода Аспергилла. Невозможно сказать со стопроцентной уверенностью, что именно является причиной поражения лёгких грибком.
Вероятные причины заболевания могут быть следующими:
- снижение иммунной системы;
- дисбактериоз кишечника;
- длительная терапия кортикостероидами, антибиотиками;
- хронические заболевания;
- обостренное заболевание дыхательных путей.
Поражение лёгких может спровоцировать наличие грибковой инфекции в других отделах организма:
В совокупности со снижением иммунитета, болезнь прогрессирует, вызывая хронический ход болезни.
Прогрессирование болезни может вызвать затруднение дыхание, его недостаточность, что приведет к необходимости вентилирования лёгких.
Несвоевременно оказанная медицинская помощь может вызвать попадание инфекционного агента в кровеносное русло и летальный исход.
Поражение гайморовых пазух грибком имеет некоторые симптомы, позволяющие выявить подозрение на грибковое поражение.
Симптомы:
- заложенность носа;
- выделение из ноздри гнойного характера;
- повышение температуры;
- местное болезненное ощущение.
Грибковое поражение пазух редко бывает двусторонним, зачастую воспаление бывает лишь с одной стороны. Поэтому и гнойные выделения выступают из одной ноздри.
Диагностика поражения проходит следующим образом:
- визуальное обследование;
- уточнение жалоб пациента;
- КТ верхнечелюстной пазухи.
Как правило, осмотр не является решающим в диагностике, точное диагностирование проводят лишь при помощи компьютерной томограммы, показывающей грибковое поражение в виде уплотнений.
Мицетома является сравнительно редким заболеванием, особой формой воспалительного процесса. Впервые упоминание о патологии появилось в конце девятнадцатого века — сначала в 1883 году в публикации P. Shubert, а затем в 1889 году — в работе J. Mackenzie и Н. Siebermann. Ученые рассказывали о микотических поражениях верхнечелюстных пазух, спровоцированных грибками рода Aspergillus.
При диагностике нельзя ограничиться только осмотром, определяющими являются результаты инструментальных методик
Мицетома, или иначе — грибковый шар (тело, fungus ball) — является формой воспаления, вызванной грибами рода Aspergillus, Cаndida и Penicillum. Это неинвазивный вид воспалительного процесса грибковой этиологии, то есть мицелий прорастает в полость пазухи, а не в ее слизистую выстилку.
Патология проявляется чаще всего в случае иммунодефицитных состояний, включая СПИД, бесконтрольного приема антибиотических препаратов, а также средств кортикостероидной природы. Из-за того, что ослабляется нормальная микрофлора, появляются грибы в нормоценозе.
Патогены внедряются в стенку пазухи и продуцируют раздражающие вещества, которые способны усиливать воспаление. Из-за этого закрывается соустье между пазухой и носовой полостью, в результате накапливается слизеподобная жидкость, оказывающая давление на слизистую и костные структуры полости. Отсутствие аэрации создает благоприятную среду для роста грибков.
https://youtube.com/watch?v=yE5MoUJgrWw
Мицетома — неинвазивная форма синусита
Когда шар разрастается до таких размеров, что занимает почти всю полость, начинает проявляться характерная клиническая симптоматика. Грибковое тело состоит из мицелия и клеточного детрита. Патология характеризуется медленным развитием: с момента начала воспаления до появления клиники может пройти от 1 года до 20 лет.
Чаще всего мицетома локализуется в верхнечелюстных (гайморовых) пазухах. Гораздо реже заболевание поражает лобные и клиновидные синусы. Патология обычно развивается с одной стороны, но не исключается двустороннее поражение.
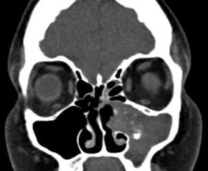
Грибковое тело в гайморовой пазухе
Обратите внимание! В последнее время грибковые болезни околоносовых синусов встречаются гораздо чаще, чем 50 лет назад, что объясняется ростом частоты иммунодефицитных состояний, онкопатологий, аутоиммунных процессов, ухудшением экологических условий, необоснованным применением антибиотических средств.
Мицетома может выявляться и у практически здоровых людей. Основным провокатором заболевания в этом случае является попадание пломбировочного материала в синус при санации зубных каналов верхней челюсти. В состав смеси входят соли цинка, которые в некоторой степени катализируют развитие грибкового тела.
Неприятные, а порой болезненные ощущения — один из признаков патологии
В перечень основных симптомов входят:
- Головные боли, чаще локализованные в затылочной области. Отличаются постоянным ноющим характером и небольшой выраженностью. Не купируются анальгезирующими средствами.
- Выделения гнойного или слизистого характера, стекающие по задней стенке глотки. Сопровождаются чувством дискомфорта в глубине носа и носоглоточной области.
- Нарушение работы зрительного анализатора. Возможно ухудшение зрения, двоение
Помимо этого, не исключается повышение температуры тела, появление болевых ощущений на пораженной стороне.
Предположить мицетому можно на основе предъявляемых жалоб и клинического осмотра. Однако, этот диагноз требует инструментального подтверждения при помощи компьютерной томографии.
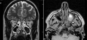
Рентгенологическая плотность мицетомы сравнима с плотностью металла. На снимке грибное тело отмечается как яркое пятно, которое окружают массы, менее плотные рентгенологически. Реже грибковый шар определяют при помощи МРТ.
Особенности МРТ-исследования в диагностике мицетомы
Мицетома гайморовой пазухи – поражение околоносовых полостей грибками рода Aspergillus, когда патогенные агенты свободно разрастаются, не поражая слизистых оболочек органной структуры.
В научной литературе нередко можно встретить другие названия патологии, среди которых грибковый шар, аспергиллез, грибковое тело, одонтогенный гайморит. Патологический процесс в большинстве случаев является односторонним и крайне редко поражает обе гайморовы полости.
Согласно официальной статистике, мицетомы составляют подавляющее большинство от общего количества диагностированных микозов околоносовых пазух.
Развитию патологического процесса, как и других микозных заболеваний, способствует ряд факторов, среди которых:
- бесконтрольный прием антибактериальных препаратов;
- плохая экологическая ситуация в регионе;
- снижение уровня иммунитета, вызванное иммунодефицитными состояниями, хроническими недугами висцеральных органных структур, гипергликемией и тому подобное;
- наличие в организме раковых образований;
- попадание во время стоматологических процедур в полость гайморовой пазухи стоматологического материала для пломб, содержащего цинк, являющийся естественным ускорителем роста грибков рода Aspergillus.
Признаки и симптомы
Мицетома характеризуется медленным развитием клинической симптоматики. Долгое время больные не подозревают о наличии в их организме патологических изменений. Симптомы заболевания появляются уже на стадии обширного разрастания мицелия. Среди основных проявлений патологии выделяют:
- появление болевых ощущений в области пораженной пазухи;
- наличие выделений из носового хода на стороне патологического процесса в виде творожистой консистенции и белого цвета экссудата с ужасным запахом;
- заложенность носа, которая со временем становится постоянной;
- затруднение дыхания через нос;
- частичная или полная потеря обоняния;
- боли в верхней челюсти, а также верхнем зубном ряде;
- цианотический цвет слизистых оболочек носового хода;
- редко наблюдается повышение общих температурных показателей тела;
- головные боли, которые возникают с определенной периодичностью, при обострениях основного патологического процесса.
Если заболевание вовремя не диагностировать или полностью игнорировать его симптомы, оставив без лечения, оно может стать причиной развития более сложных патологий, среди которых астма, склероз слизистых оболочек, кроворизлияния.
Особенности лечения
Лечение мицетомы в современной медицинской практике реализуется исключительно оперативным методом, предполагающим удаление микозного образования под общей или местной анестезией. При выборе такой тактики терапии рецидивы недуга практически не встречаются.
Для хирургического доступа может быть выбрана слизистая оболочка носа или передняя стенка околоносовой полости (под верхней губой).
Решение о методе оперативного разрешения заболевания должен принимать врач с учетом особенностей течения патологического процесса, наличия его осложнений и индивидуальных особенностей организма пациента.
Реабилитация пациента после хирургического лечения длится не более недели.
В это время больному назначают курс ингаляций с противогрибковыми компонентами, витаминотерапия, направленная на быстрое восстановление организма после операции, и местная терапия в виде промывания носовых ходов растворами антимикотических препаратов. Все эти мероприятия позволяют ускорить процессы регенерации поврежденных в ходе операции тканей и устранить инфекционных агентов.
Важно помнить, что при подозрении на микозное поражение околоносовых полостей не стоит заниматься самолечением и пытаться излечить болезнь с помощью согревающих компрессов, антибактериальных средств местного применения (мазь, спрей), а также мощных пероральных антибиотиков. Все эти методы только обострят патологический процесс, приведут к снижению уровня иммунитета и создания максимально благоприятных условий для масштабного разрастания грибков рода Aspergillus.
Профилактика
Грибковое поражение гайморовых пазух всегда легче предупредит, нежели потом его вылечить. Поэтому качественная профилактика – важный шаг на пути к сохранению здоровья околоносовых полостей, позволяющий предотвратить их микозное инфицирование. К основным мерам предупреждения недуга современные специалисты относят:
- закалывание организма, занятие спортом и повышение его защитных механизмов;
- грамотный подход к лечению заболеваний и прием антибактериальных препаратов строго под контролем лечащего врача;
- сбалансированный режим питания;
- своевременная диагностики и терапия хронических заболеваний, дисбактериоза кишечника, иммунодефицита, инфекционных болезней;
- регулярное посещение стоматологического кабинета и устранения дефектов зубного ряда;
- предотвращение стрессовых ситуаций;
- правильный режим дня и обеспечение полноценного ночного отдыха.
Статистика гласит, что каждый десятый пациент, страдающий риносинуситом, является носителем грибковых инфекционных агентов, которые при снижении уровня общего иммунитета начинают активно размножаться в полости гайморовой пазухи. Поэтому следует быть внимательным к состоянию собственного здоровья, чтобы не допустить развитие тяжелых осложнений.
Источник: https://zoj.kz/bolezni/infekcionnyie-i-parazitarniye-zabolevaniya/mitsetoma-gaymorovoy-pazuhi.html
Поделиться:











