Полип в гайморовой пазухе возникает в результате хронического воспалительного процесса, который появляется при снижении защитных функций организма. Патология развивается постепенно, приводя к нарушению носового дыхания и снижению обоняния. В большинстве случаев требуется хирургическое вмешательство.
Полипы в гайморовых пазухах возникают на фоне аллергических или инфекционных, воспалительных болезней носа. Особенность патологии кроется в разрастании соединительной ткани верхнечелюстных пазух. В результате этих изменений и появляются аномальные наросты.
Полипы относятся к доброкачественным образованиям, которые формируются в верхней части органа. В этой части носа опасность такого разрастания заключается в развитии возможных осложнений.
Разросшиеся полипы в гайморовых пазухах препятствуют естественному процессу очищения, человек вынужден дышать через рот. В результате в легкие попадает холодный воздух, который способен спровоцировать такие заболевания верхних дыхательных путей:
- фарингит;
- трахеит;
- ларингит;
- бронхит;
- ларинготрахеит;
- пневмонию.
Чем больше наросты, тем сильнее давление на кровеносные сосуды носоглотки. Такое состояние может стать причиной хронического синусита и тонзиллита, формирования аденоидов, увеличения миндалин.
Механизм возникновения патологии заключается в увеличении количества секреторных желез. Спровоцировать образование полипа в гайморовой могут следующие негативные факторы:
- попадание микробов на слизистые оболочки носа;
- частые простудные заболевания, сопровождающиеся насморком;
- аллергический ринит;
- травмы и ушибы носа;
- бронхиальная астма;
- искривление носовой перегородки;
- воспаление околоносовых пазух (синусит);
- воспаление миндалин, аденоидов;
- гайморит;
- наследственная предрасположенность.
Под воздействием негативных факторов носовая оболочка начинает усиленно работать, постепенно увеличивая свою слизистую площадь.Такой интенсивный рост ведет к формированию наростов. Но также слизь может спровоцировать рост полипов.
Первые признаки полипозного гайморита наблюдаются, только когда полипы имеют большие размеры. Человек жалуется на следующие симптомы:
- затруднение или отсутствие дыхания через рот;
- нарушение обоняния;
- отсутствие положительной реакции после закапывания сосудосуживающих средств;
- приступы чихания (особенно при нахождении в пыльном помещении);
- выделение гнойных и слизистых скоплений из носа;
- головные боли разной интенсивности;
- ощущение инородного тела в носу;
- слабость, нарушение сна и памяти;
- ночной кашель.
Хроническая форма патологии нередко вызывает конъюнктивит, кератит.
При небольших размерах образования в носу применяют медикаментозную терапию. Удалению полипов в носу, лечение которых сложное, подвергаются обширные разрастания.
Для удаления полипов из носа чаще используют эндоскопический вид операции. Процедуру проводят под местной анестезией. С помощью эндоскопического оборудования из носовой полости удаляют все измененные ткани.
Все действия хирурга выводятся на монитор компьютера, что позволяет точно определить размер наростов и не задеть важные структуры носа.
Лазерное удаление осуществляют только при незначительных размерах. С помощью лазера хирург нагревает клетки образований, и они испаряются. Такую щадящую процедуру часто назначают детям или пациентам с хроническими заболеваниями.
Прижигание жидким азотом — еще один метод удаления полипов. Под воздействием низких температур происходит разрушение наростов. Однако не всегда удается до конца выморозить полип. Поэтому, чтобы устранить дыхание через рот, полипы снова удаляют.
цель народной медицины — укрепление иммунитета, устранение причин патологии. Народные способы лечения будут эффективны при следующих состояниях:
- единичный полип;
- ранняя стадия патологии;
- незначительное нарушение носового дыхания.
Для замедления разрастания полипов и снятия симптомов патологии рекомендуется воспользоваться такими рецептами:
- Сок чистотела и чистую воду берут в равных пропорциях. Полученный состав закапывают в нос 1 раз в день по 3 капли в течение 2 недель.
- 1 ст.л. цветков ромашки заливают стаканом кипятка, настаивают 1-2 часа. Используют для промывания носа.
- В стакан воды добавляют ½ ч.л. морской соли, размешивают. Составом промывают нос 1 раз в день в течение недели.
- 1 ст.л. мяты заливают 300 мл кипятка. После остывания добавляют 3 капли масла розмарина. Полученным раствором 3 раза в день промывают нос.
Избавиться от полипов в пазухах сложно. Ни один из методов терапии не дает гарантию того, что наросты вновь не вырастут. Если полипы не появляются в течение 5-7 лет после операции, то такой результат считают хорошим. При интенсивном разрастании или игнорировании лечения человек может полностью лишиться обоняния, которое иногда не восстанавливается после оперативного вмешательства.
Профилактические мероприятия заключаются в своевременном диагностировании и лечении аллергических болезней, инфекционных патологий носоглотки. Но также по возможности необходимо укреплять иммунную систему.
Людям, предрасположенным к аллергическим реакциям, следует сбалансировано питаться, избегать контактов с аллергенами и отказаться от вредных привычек.
Источник: https://ProPolip.info/otolaringologiya/polip-v-gaymorovoy-pazuhe.html
Образование кисты возникает вследствие нарушения вентиляции околоносовых пазух, и оттока слизи, т.е. не происходит физиологического газообмена и удаления секрета слизистой оболочки из пазухи.
Это приводит к нарушению функции секреторных клеток слизистой оболочки, которая начинает разрастаться, проток железы блокируется и образуется киста в виде тонкостенного пузыря с жидкостью внутри.
Причинами появления кисты являются хронические воспаления полости носа, полипозный процесс, а также воспалительные процессы в корнях зубов, расположенных в непосредственно близости к пазухам носа.
Полипы верхнечелюстной пазухи – это разрастание слизистой оболочки носа, которое появляется из-за наличия хронического воспаления при недостаточном лечении простудных или аллергических заболеваний, а также при наличии иммунологических изменений.
Одонтогенный гайморит развивается вследствие проникновения инфекции в гайморову пазуху из воспалительного очага в корнях зубов, расположенных в непосредственной близости к гайморовой пазухе.
Как показывает медицинская практика, пациенты очень часто обращаются к врачу-оториноларингологу с симптомами одонтогенного гайморита после стоматологического вмешательства.
У одних пациентов воспаление гайморовой пазухи было вызвано оставшейся в лунке зуба инфекцией, у других – инфекция проникала в пазуху после хирургического удаления зуба, а третьи жаловались на гайморит из-за попадания в придатки носа пломбировочного вещества.
Симптоматика при одонтогенном гайморите, кистах и полипах носа очень схожа с симптомами многих заболеваний в оториноларингологии :
— частые простудные заболевания
— головная боль, напоминающая мигрень
— временная или постоянная заложенность носа и затруднение дыхания
— неприятный запах из носа и рта
— скопление слизи и мокроты в горле
— слизистые светлые или мутные гнойные выделения из носа
— нарушение функции обоняния
В научно-клиническом отделе заболеваний носа и глотки применяют различные современные виды диагностики:
— рентгенография
— ортопантограмма ( панорамная рентгенограмма челюсти)
— КТ околоносовых пазух
— Дентальная КТ
— эндоскопия носовых пазух
— МР-томография околоносовых пазух
В распоряжении специалистов Центра имеются различные методики, разработанные не только лучшими отечественными и зарубежными клиниками, но свои собственные.
Эндоскопическая операция на верхнечелюстной пазухе, которую выполняют как под местной анастезией, так под наркозом, является одной из самых современных методик, используемой в Центре. Данная операция требует высокого мастерства и большого опыта хирурга.
Через естественное соустье гайморовой пазухи хирург аккуратно производит эндоскопическое удаление кисты. Инструмент вводится через нос пациента без разрезов и проколов.
Хирурги отдела считают, что данная методика не имеет противопоказаний к применению, не приводит к осложнениям, не требует длительного нахождения в стационаре. Однако, если во время не удалось полностью удалить кисту упомянутым способом, хирург с помощью троакара производит 4мм отверстие под верхней губой в преддверии полости рта.
При расположении инородного тела, кисты в области дна пазухи применяется наиболее современная хирургическая методика — малоинвазивное удаление патологических образований инфратурбинальным доступом (через нижний носовой ход), без формирования постоянного сообщения пазухи с полостью носа и сохранением слизистой оболочки. Выбор наиболее эффективного хирургического вмешательства, методики его выполнения – зависят от характера, локализации патологического процесса и опыта хирурга.
Для каждого пациента Центра специалисты разрабатывают индивидуальную программу лечения, а внимание и бережное отношение сотрудников гарантировано всем!
Источник: http://otolar-centre.ru/tematicheskie-stati/556-kisty-polipy-okolonosovykh-pazukh-odontogennyj-gajmorit-simptomy-prichiny-lechenie.html
Полипы в гайморовой пазухе развиваются в результате нарушения структуры слизистых оболочек и регенерации эпителиальных клеток. Полипозные очаги важно дифференцировать от крупных кистозных компонентов.
Учитывая обилие нервных окончаний и сосудистого компонента, полипы достаточно чувствительны. Оттенок новообразований сливается со слизистыми оболочками или имеет более насыщенный цвет. Обычная локализация — верхняя часть носа.
При распространении полипов по гайморовой пазухе говорят о полипозном гайморите.
Классификация полипозных структур в гайморовых пазухах позволяет оценить характер новообразований, степень потенциальных рисков. Классификация помогает составить лечебную тактику.
Существует три основных критерия:
- Локализация;
- Распространённость;
- Типы по морфологии.
По местоположению полипы могут быть:
- Этмоидальные. Строма образуется из решетчатого эпителия слизистых. Полипозный очаг поражает перегородки решетчатой ткани, образуя двусторонний патологический процесс. Этмоидальные полипы возникают только у взрослых.
- Антрохоанальные. Основание наростов состоит из слизистых оболочек гайморовых пазух. Новообразования появляются, преимущественно, с одной стороны. Антрохоанальный полип в носу чаще встречаются в детском возрасте. Как узнать есть ли полипы в носу у ребёнка подробнее здесь.
- Хоанальные. Стромальная ткань образуется из ретенционной кисты, находящейся в гайморовых пазухах. Достаточно объёмное новообразование, требующее хирургического удаления.
Полипозные очаги на стадии своего формирования напоминают кисты с серозным экссудатом.
При развитии полипозного гайморита учитывается объём и распространённость новообразований:
- новообразования касаются решетчатого лабиринта;
- наросты полностью заполняют просвет носоглотки и придаточных пазух;
- полипы имеют масштабное разрастание, их видно невооруженным глазом.
Заполнение сегментов носовых ходов и полостей приводит к застою слизи, её инфицированию, нарушению носового дыхания.
https://youtube.com/watch?v=lVzRMPiKzi0
Симптомы при разрастающихся полипов всегда ощутимы.
Классификация по морфологии позволяет оценить степень потенциальных онкологических рисков.
Выделяют следующие типы:
- Гиперпластические — типичное разрастание слизистых при нарушении клеточного деления;
- Воспалительные, когда в основе разрастания слизистых воспаление и отёчность;
- Неопластические, которые появились из изначально атипичных тканей с высокими онкологическими рисками.
Полипы в гайморовых пазухах на фоне хронического воспаления способствуют продолжительности активной фазы болезни. Обычно для восстановления нормального дыхания требуется хирургическая операция.
Опасность болезни в меньшей степени обусловлена онкологическим преобразованием тканей.
На фоне активного роста полипозной единицы:
- происходит нарушение носового дыхания;
- усиливается риск развития острого гайморита, этмоидита, фронтита, сфеноидита.
Полипы могут формироваться в любой полости лицевой кости. У детей раннего возраста нарастают признаки хронической гипоксии из-за нехватки поступления кислорода в головной мозг. Если вы хотите узнать о причинах возникновения полипов в носу пройдите сюда.
Длительное воспаление способствует развитию головных болей. При травматизации полипов возникают кровотечения, вторичные инфекционные процессы. Пациенты начинают компенсаторно дышать через рот, повышаются риски поражения бронхолегочных путей.
Симптоматический комплекс полностью определяется наличием гайморита или синуситов в анамнезе пациента, размером и локализацией новообразования.
Типичными симптомами полипозного гайморита являются:
- затруднение носового дыхания, закладывание носа;
- гнойно-слизистый насморк с чиханием;
- нарушение обонятельной функции;
- слабый ответ организма на сосудосуживающие препараты;
- головные боли;
- чувство распирания в переносице;
- ночной кашель.
Обострение возникает в осенний или весенний период, на фоне смены климата.
При активном воспалении часто возникает вторичный конъюнктивит с воспалением конъюнктивы глаз, слезотечением, нагноением. Сочетанные заболевания приводят к разрушению костной ткани, истончению носовой перегородки.
Риноскопия представляет собой инструментального исследования при помощи расширителя и зеркала. Риноскопия простой и доступный метод, который можно сделать в любом специализированном ЛОР-кабинете.
Существует 3 типа исследования:
- Для диагностики полипов требуется проведение передней риноскопии с применением только носорасширителя и лобного рефлектора.
- Часто требуется средняя риноскопия, которая предполагает более глубокое погружение инструментария. Средняя риноскопия помогает осмотреть все средние отделы носа, лобные пазухи, верхнечелюстные полости, состояние решетчатой кости.
- Задняя риноскопия предполагает изучение нижних дыхательных путей и не применяется для диагностики полипозного гайморита.
Риноскопия — эффективный и информативный метод диагностики. При сомнительности диагноза проводится рентгенологическое исследование или компьютерная томография
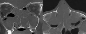
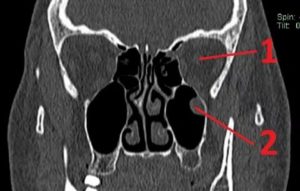
КТ пазух носа или компьютерная томография — неинвазивное информативное исследование, которое позволяет определить состояние тканей послойно.
КТ помогает врачу оценить:
- контуры,
- структуру,
- объём,
- минерализацию и плотность новообразований.
Исследование неоценимо при определении эффективности медикаментозной терапии на фоне хронических заболеваний носа.
Единственный недостаток метода — дороговизна. Альтернативной компьютерной томографии является процедура МРТ.
При подозрении на гайморит любой природы обязательно проводится рентгенологическое исследование. Процедура отличается неинвазивностью и доступностью. Практически в каждом медицинском учреждении можно сделать снимок носовых пазух.
Съёмку выполняют в заднебоковой, аксиальной, боковой, подбородочной и носоподбородочной проекциях. При отсутствии воспаления и новообразований полости на снимке представлены тёмными кругами неправильной формы. Если имеет место воспаление, то в полости заметны тени. Полипозный очаг выглядит как небольшое белесое пятно.
Консервативная терапия может быть перспективна при незначительном размере полипа, а также при отсутствии активного воспалительного процесса, вызванного новообразованиями.
Закрытая пазуха с нарушением циркуляции воздуха и выведением слизи — идеальная среда для развития патогенной микрофлоры.
Консервативное лечение больше носит симптоматический характер, направлено на предупреждение осложненных воспалений.
Схема терапии выглядит так:
- Антибиотики для подавления патогенной микрофлоры (Цефтриаксон, Аугментин, Азитромицин);
- Антигистаминные средства для снижения отёка и воспаления (Тавегил, Эриус, Дезлоратадин);
- Кортикостероидные препараты назальные для купирования воспаления, отёчности и снижения интенсивности роста полипа (Фликсоназе, Авамис, Назонекс);
- Сосудосуживающие препараты для облегчения дыхания, отёчности (Назол, Нафтизин, Санорин).
Обязательно назначают иммуномодуляторы, витаминные комплексы для повышения местного и системного иммунитета.
Важным аспектом терапии являются промывания носа антисептическими растворами:
- Хлоргексидин,
- Мирамистин,
- натрия хлорид,
- Риванол,
- физрастворы на основе морской соли.
В медицинских кабинетах проводят санацию полости антибактериальными растворами при помощи зонда — известная процедура «Кукушка». Промывания помогают очистить пазухи от слизи, восстановить нормальный воздухообмен.
Против полипов в гайморовых пазухах не так много рецептов ввиду особенностей анатомии.
Народные рецепты и фитотерапия помогают:
- улучшить носовое дыхание,
- восстановить повреждённые слизистые,
- предупредить инфицирование.
Лечение народными рецептами должно быть обосновано здравым смыслом. Крупные полипы, перекрывшие гайморовы пазухи и мешающие носовому дыханию никакими травками не вылечить.
Основными компонентами для лечения новообразования являются:
- мази и линименты на основе масла облепихи, прополиса, меда;
- капли на основе чистотела, ромашки, прополиса;
- ингаляции на основе минеральной воды.
Широко применяется прополис от полипов в носу.
В домашнем лечении недопустимо применение горячих ингаляций. Пар может усугубить отёчность, усилить воспалительный процесс, запустить процесс роста новообразования
Тяжёлые стадии полипозных гайморитов требуют хирургического лечения. Только удаление помогает полностью решить проблему воспаления и затрудненного носового дыхания.
Самый простой и доступный способ промывания носа:
Прогноз при полипах гайморовых пазух, преимущественно, благоприятный. После выбора тактики эффективной терапии дыхание восстанавливается, улучшается нормальное отделение слизи. Несмотря на редкость злокачественного перерождения, полипы нарушают естественный воздухообмен, способствуют развитию воспалений с серьезными осложнениями.
О лечении и симптомах полипа в горле читайте в этой нашей статье.
Записаться на приём к врачу вы можете непосредственно на нашем ресурсе.
Будьте здоровы и счастливы!
Источник: https://polipunet.ru/lokalizacija/nos/polipy-v-gajmorovoj-pazuhe
Полип верхнечелюстной пазухи – это доброкачественное гиперпластическое образование, которое растет из полости гайморового синуса носа.
Именно он бывает как следствием, так и причиной гайморита – воспаления этой области с нагноением. Патология имеет сложный механизм возникновения и также непросто поддается лечению.
Код МКБ-10 для острого гайморита – J01.0, для хронического – J32.0, для назальных полипов – J33.
Пазухи или синусы расположены в околоносовой области черепной коробки. Это парные полости, которые покрыты слизистой оболочкой и сообщаются с носом через устья:
- Лобные располагаются во фронтальной части черепа над внутренней областью надбровных дуг.
- Решетчатый лабиринт находится позади на уровне уголков глаз.
- Клиновидные в глубине носа.
- Гайморовы синусы или верхнечелюстные в районе щек в околоносовой части с передней стороны.
Они выполняют несколько функций:
- Согревают поступающий воздух;
- Очищают его, тем самым защищая внутреннюю часть организма;
- Участвуют в формировании звуков.
При инфекции или воздействии аллергена включаются защитные реакции. Внутренняя оболочка носа вырабатывает большое количество слизи, чтобы избавиться от патогенного фактора. У человека появляется насморк аллергический, вирусный, инфекционный.
Когда процесс локализуется в пазухах и доходит до гнойной патологии, то это явление называют синуситом, в случае с гайморовой пазухой – гайморитом. В такой ситуации отек слизистой сужает выход из синуса, инфицированная жидкость остается запертой и при этом постоянно продуцируется новая.
Внимание! Причиной гайморита могут стать кариозные зубы, инфекция способна проходить через лунку в полость челюстной пазухи.
https://youtube.com/watch?v=Gh7LviPImNs
Полип вырастает в носу на фоне долгосрочного воздействия патологии на слизистую, как защитная реакция. Организм пытается увеличить оболочку, чтобы обезопасить себя.
В итоге появляется образование, которое состоит из тех же клеток, но имеет другую форму. Со временем, достигая больших размеров, полип вываливается в полость носа.
Обычно его рост расположен в сторону хоан и носоглотки, поэтому такое образование называют хоанальным, а принадлежность именно к гайморовой пазухе делает его антрохоанальным.
Нельзя сказать точно, что стало причиной патологии в индивидуальном случае. Чаще всего это комплекс факторов, которые наложились друг на друга и заставили слизистую защищаться таким образом. Предположительно, к формированию образований в гайморовом синусе приводят следующие обстоятельства:
- Генетическая предрасположенность к гиперплазии – росту опухолевых образований. Насторожить должно наличие у родственников полипов, онкологических патологий;
- Проблемы с иммунитетом. Когда постоянно мучают простуды с насморком;
- Аллергия. Многие ученые медицины считают полипы в полости носа и пазухах заболеванием аллергической природы, так как, по сути, это ответ защитных сил организма на воздействие;
- Врожденные аномалии костных и хрящевых структур носа либо последствие травмы. Искривленная перегородка может способствовать застою слизи в пазухе с одной или обеих сторон.
Образования находят у всех слоев населения, в том числе и среди разных возрастных групп. У детей до 10 лет обнаруживают именно патологию верхнечелюстного синуса.
Интересный факт! Чаще всего любыми видами полипов страдают мужчины старше 40 лет.
Симптоматика полипов схожа с признаками запущенного синусита:
- Забитый нос;
- Пропадает обоняние;
- Выделения иногда гнойные в большом количестве;
- Храп, а также кратковременные остановки дыхания во сне (апноэ);
- Распирание и пульсация в области пазухи с правой стороны или слева, реже с обеих;
- Простудный гнусавый голос;
- Преследует чувство инородного предмета;
- Антрохоанальный полип способен привести к тугоухости;
- Постоянно открытый рот;
- Пациент бледный, апатичный, страдает слабостью;
- Отмечаются признаки общей интоксикации – тошнота, головокружение, тремор конечностей;
- При нагноении и закупорке пазухи возникает лихорадочное состояние. Поднимается температура. Существует угроза сепсиса;
- У детей отмечается отставание в росте и развитии, гипотрофия;
- Из-за дополнительной нагрузки страдает горло,отмечаются частые фарингиты, ларингиты и даже бронхиты.
Факт! Описанные симптомы появляются, когда полип имеет уже довольно крупные размеры. До этого, на начальной стадии они никак себя не проявляют.
Крупные образования отоларинголог видит с помощью специального зеркала. Но он не может “на глазок” определить, откуда растет полип. Поэтому проводится инструментальная диагностика пациента:
- Магнитно-резонансная или компьютерная томография дает полную картину патологии. Врач может увидеть, где расположено основание образования, а также оценить состояние пазух. Отличить полип от кисты. Отметить присутствие гайморита и прочих синуситов, а также закупорку соустьев.
- Рентгенография более доступная аппаратная диагностика. С использованием контраста можно оценить состояние слизистой гайморовой полости, наличие полипа.
Кроме того, проводиться комплекс лабораторных анализов. Здесь и общие пробы мочи и крови, биохимия, биомикроскопия мазка из носа.
Дополнительно потребуется консультация аллерголога, иммунолога, а иногда и эндокринолога.
Чтобы вылечить полипы в гайморовой пазухе, недостаточно выпить пару таблеток. Предполагается длительная и всесторонняя терапия. Необходимо устранить причину, сопутствующие патологии, избавиться от воспаления слизистой и, возможно, пройти через процедуру удаления образования. Но обо всем по порядку.
Лечение включает в себя несколько составляющих:
- Антибиотики, если есть гайморит бактериальной природы. Например, Альбуцид, Амоксиклав, Биопарокс.
- Противогрибковые препараты, когда воспаление пазухи вызвано грибком – Нистатин, Клотримазол.
- Противовирусные и иммуномодулирующие средства при вирусной природе заболевания — Имунорикс, Полиоксидоний.
- Антигистаминные от аллергической патологии – Эриус, Зодак, Дезлоратадин и прочие.
После того как устранена причина полипов, приступают к непосредственному лечению. Для этого назначают гормональные препараты – кортикостероиды. Чаще это аэрозольные спреи с Мометазоном, Флутиказоном или Будесонидом.
Торговые названия самых известных средств Назонекс, Авамис, Тафен назаль. Их преимущество в том, что активное вещество практически не попадает в кровоток, тем самым уменьшается побочное воздействие на организм.
Первые 2 препарата допустимы для лечения детей младшего возраста с 2 лет. Дозировка регулируется количеством впрыскиваний в нос.
Однако не всегда такого лечения от полипов оказывается достаточно. Тогда, если нет существенных противопоказаний, назначают Преднизолон в таблетках. Это тоже гормональное средство. Его принимают осторожно, так как существуют серьезные побочные эффекты.
Действие кортикостероидов направлено на снятие воспаления и купирование аллергической реакции, за счет чего полипы уменьшаются, и могут пропасть совсем.
Существует также методика инъекционного введения гормонального препарата Дексаметазон в область образования. Он способствует разрушению полипа изнутри. Техника требует профессионализма, иначе можно получить обратный эффект.
При гайморите проводят санацию носовой полости специальным прибором с использованием антисептических растворов Мирамистина или Риванола.
Удаляют полип, если медикаментозная терапия не принесла результатов, а состояние пациента оставляет желать лучшего. Во время процедуры не только избавляются от образования, но и прочищают синусы носа. Методов удаления назальных полипов несколько. Однако для манипуляций в гайморовой пазухе не подойдет лазер или криодеструкция.
Полипотомия с помощью хирургических приспособлений не эффективна при такой локализации полипа. Лучшим вариантом станет эндоскопическая операция, которая осуществляется с использованием миксбордера или шейвера. Этот прибор измельчает образование и затягивает внутрь.
С помощью камеры хирург видит все свои действия на экране монитора. Процедура быстрая, эффективная, точная и с минимальными повреждениями, проводиться в условиях амбулатории под местными анестетиками. После операции пациенту на сутки устанавливают тампоны.
Удаление совмещают с восстановлением нормального положения перегородки носа, если это нужно, и прочищением пазух.
Важная информация! Операция доступна не для всех пациентов. Существует ряд противопоказаний, например, при беременности или серьезных патологиях сердца.
Восстановление занимает всего несколько дней максимум до 2 недель. Пациенту не требуется быть все это время в больнице, но он должен приходить для осмотров и обработок носа.
Первые дни промывают полость антисептиками, далее пациент самостоятельно делает санацию препаратами с морской водой, физраствором или приготовленным собственноручно солевым раствором.
Внимание! В период реабилитации запрещено употреблять алкоголь и сильно напрягаться, может открыться кровотечение.
После удаления полипов шейверным способом последствия возникают крайне редко. Из возможных это кровотечение или инфицирование. Если процедура проведена правильно, то такого случиться не должно. Все зависит от профессионализма врачей.
Основной проблемой остается повторное появление образований, при шейверной операции рецидивировать могут около половины случаев. Снизить этот риск в силах пациента, который должен вовремя лечить насморк любой природы и проводить регулярную диагностику носа.
Спрос на натуральные средства можно удовлетворить и в аптеке, сегодня существуют препараты от образований на основе трав. Например, капли Лоромакс, они предназначены для лечения насморков, гайморитов, синуситов и, как следствие, полипов.
Можно увидеть сенсационные отзывы о действии настойки белой лилии. Некоторые пациенты утверждают, что полностью избавились от образований в пазухах и полости носа после месячного курса, который заключался в трехкратном ежедневном закладывании пропитанных настойкой тампонов в ноздри.
(нажмите, чтобы увеличить)
Прекрасно зарекомендовал себя чистотел, причем не только в лечении образований носа, но и полипов горла, желудка, кишечника. Можно пить месячными курсами до полного излечения отвар сухого экстракта: столовая ложка на 2 стакана воды, готовить на паровой бане около получаса, принимать по 1/3 стакана трижды за день перед едой. Необходимо делать перерывы равные самому курсу.
При лечении патологии народными средствами следует быть крайне осторожными.
Нельзя изменять дозировку и длительность приема при полипах носа, так как ядовитые вещества из растений имеют свойство накапливаться в организме, что может привести к отравлению.
А также внимательно следить за реакцией, чтобы не пропустить возможную аллергию. Чтобы избежать проблем, лучше посоветоваться с доктором заранее.
Полипозный гайморит – опасное и сложное состояние пазух носа, поэтому без помощи врачей здесь не обойтись. Важна тщательная диагностика, грамотное лечение и профессиональная операция. В этом случае пациент сможет избавиться от патологии. В дальнейшем требуется внимательное отношение к своему организму, чтобы избежать рецидива образований.
Источник: https://polips.ru/otolaringologiya/verhnechelyustnoj-pazuhi.html

Полипозный гайморит представляет собой патологический процесс в околоносовых полостях. Для него характерно аномальное разрастание эпителиальной ткани гайморовой пазухи, с последующим развитием и ростом на слизистой оболочке болезненного нароста (полип).
Если своевременно не диагностировать новообразование и не провести соответствующее лечение, то слизистая истощается, а полип перекрывает собой выводящее отверстие.
Единственной причины появления полипозных новообразований в гайморовых пазухах не выявлено.
К основным факторам, провоцирующим патологическое разрастание ткани, относятся:
- генетическая предрасположенность;
- аллергические реакции;
- хронические инфекционные и воспалительные процессы в верхнечелюстных пазухах;
- нарушения в анатомическом строении носа (искривления перегородки, узость носовых проходов);
- травмы носовой области;
- работа в запыленных помещениях, проживания в промышленных городах
- плохие экологические условия;
- работа с сыпучими материалами (бетон, мука, соль, известь);
- длительное присутствие инородного тела в носовой области;
- психосоматические расстройства.
Именно совокупность нескольких факторов и их длительное воздействие может спровоцировать полипозный гайморит. Обычно заболевание требует не только симптоматического лечения, а комплексного подхода направленного на устранение причин.
В случае расположения полипа не в области выхода, перекрытия выводящего отверстия не происходит, и симптомы могут отсутствовать. Кроме этого, полипы могут длительное время не расти или временно приостановить свой рост, что также откладывает проявление симптомов.
На первых стадиях появления полипа в гайморовой пазухе пациент может не ощущать никакого дискомфорта, а само новообразование обнаруживается случайно при исследовании соседних отделов (КТ или рентгенография).
Только после того, как полипы в гайморовой пазухе разрастаются и выходят в носовую полость, могут проявляться следующие симптомы:
- затруднение носового дыхания вплоть до полной заложенности носовых ходов;
- отсутствие реакции организма на местные сосудосуживающие средства;
- снижение или полная утрата обоняния;
- обильные гнойные выделения из носа при присоединении инфекции;
- ощущение инородного тела в носовых проходах;
- общая слабость, головные боли, эмоциональные расстройства (нервозность, раздражительность).
На данном фото разросшийся полип визуализируется при риноскопии.
Данные симптомы не дают основания однозначно поставить диагноз полипа в гайморовой пазухе.
Для того, чтобы назначить необходимое лечение необходима консультация отоларинголога и соответствующая диагностика, которая включает:
- сбор анамнеза, визуальный осмотр;
- эндоскопический осмотр;
- рентгенография гайморовых пазух с применением контраста в разных проекциях;
- компьютерная или магниторезонансная томография.
К дополнительным методам обследования относятся консультации аллерголога и иммунолога, исследование функций дыхательной системы и аллергопробы. Только после получения всех диагностических данных, их сопоставления с общим состоянием пациента, врач подбирает индивидуальную терапевтическую схему.
Если обнаружен полип верхнечелюстной пазухи, то лечение назначается врачом в индивидуальном порядке в зависимости от причины возникновения, наличия сопутствующих заболеваний, оценки предполагаемого результата и рисков выбранного метода терапии.
При диагностировании полипа на начальной стадии возможна успешная медикаментозная терапия, позволяющая избежать оперативного вмешательства, если же полипозные наросты перекрывают носовой просвет, то показано исключительно хирургическое лечение.
Медикаментозная терапия направлена на устранение воспалительного процесса и проведение ряда мероприятий, замедляющих рост полипа.
| Антигистаминные средства | Снимают воспаление и отек слизистой. | · Эриус; · Тавегил;
· Дезлоратадин. |
| Назальные кортикостероиды | Снимают воспаление и отечность, замедлятся рост новообразований. | · Назонекс; · Фликсоназе;
· Авамис. |
| Местные сосудосуживающие | Снимают отечность, облегчают дыхание. | · Назол; · Санорин;
· Нафтизин. |
Процедуры, способствующие выздоровлению, включают промывания носовых пазух. Промывка носа специальными растворами позволяет очистить гайморовы пазухи от слизи и патогенной флоры, снять воспаление.
Применяются промывания:
- В домашних условиях с использованием Аквалора, Долфина, Физиомера, Мореназала, солевых растворов и травяных отваров.
- Аппаратные промывания в условиях медицинского учреждения («кукушка»), где применяются антисептические препараты (Фурацилин, Мирамистин, Риванол).
Подробнее об особенностях и методах очищения гайморовых пазух можно ознакомиться в статье «Промывания носа при гайморите: виды и рецепты»
Запрещается использовать горячие паровые ингаляции, поскольку это приводит к активному росту полипов и усилению гнойного процесса.
При сильном разрастании ткани врачом назначается оперативное удаление полипов в гайморовых пазухах.
Насадки микродерибера и шейвера имеют несколько миллиметров в диаметре, что позволяет осуществлять комфортное для пациента введение прибора в полость носа.
Медикаментозная терапия и народные способы лечения не показывают эффективности, поскольку не могут уменьшить разросшуюся ткань.
Для удаления новообразования могут быть использованы:
- Эндоскопическое удаление микродерибером или шейвером. Данные инструменты предназначены специально для операций в полости носа и носоглотки, имеют сменные режущие насадки, которыми убирают новообразования.
Через режущую насадку также можно осуществдлять непрерывный отсос содержимого из пазухи. Это наиболее безопасный и надежный метод удаления, позволяющий осуществлять точный контроль над всеми действиями хирурга.
Захват и удаление полипа эндоскопической петлей (оптимальный способ удаления полипа).
- Лазерное удаление полипов оптимально при наростах небольшого размера. Под действием лазера содержимое образования исчезает, оставляя лишь пустую оболочку.
- Удаление полипов специальной петлей. Является самой травматичной и малоэффективной процедурой, сопровождается сильными болевыми ощущениями у пациента и кровоточивостью.
На фото видны полипы, находящие в носу и после извлечения.
У половины пациентов при своевременной и качественной терапии (медикаментозной и хирургической) возникают повторные новообразования.
Поэтому крайне важны профилактические мероприятия по повышению общего иммунитета и использование эндоназальных (капель и спреев для носа) препаратов местного действия в течение длительного времени (обычно 2-3 месяца).
При частых рецидивах и сильном разрастании полипов, могут развиться офтальмологические заболевания (конъюнктивит, кератит и др.).
Также возможно возникновение кистозного гайморита, который развивается при отсутствии лечения полипов. Кистозные новообразования возникают вследствие нарушения оттока слизи из гайморовых пазух (чему способствуют хронический полипозный процесс).
Ножка полипа или полип может перекрывать выводное отверстие железы, вследствие чего формируется киста. Следует понимать, что это заболевание устраняется исключительно хирургическим путем, при помощи операции Денкера или эндоскопии.
Образование кист можно диагностировать с помощью рентгенографии, КТ или МРТ.
Разрастание полипов приводит к тому, что развивается полиповидное утолщение слизистой верхнечелюстной пазухи. Если не проводить своевременную терапию по удалению полипов и замедлению их роста, то слизистая стенка становится все толще, объем пазухи уменьшается.
В ситуации, когда полипы не беспокоят, и не разрастаются их можно не удалять.
Кистозный гайморит, как и утолщение слизистой оболочки носа, имеют схожее лечение с полипозным гайморитом.
Оптимально проводить профилактические мероприятия по предотвращению развития полипозно-кистозного гайморита, периодически проходить соответствующие обследования.
Медикаментозная терапия актуальна на начальных стадиях и при правильно подобранной схеме лечения поможет избежать операции и остановить рост новообразования.
Хирургическое вмешательство является единственным радикальным методом полного устранения полипов из гайморовой пазухи, однако потребность в нем не всегда оправдана другими медицинскими показателями.
Заболевание является системным, с частыми рецидивами, поэтому диагностика и удаление полипов правой верхнечелюстной пазухи не гарантирует того, что полипы не появятся там вновь или, что этот процесс не возникнет с левой стороны.
Источник: https://larinot.ru/zabolevaniya-nosa-i-okolonosovyh-pazuh/gajmorit/polipy-v-gajmorovoj-pazuhe-73.html
Поделиться:










