Операция на гайморовой пазухе (гайморотомия) — ринохирургическое вмешательство, проводящееся с целью санации, ликвидации патологического содержимого и инородных тел из гайморовых пазух носа.
Помимо устранения воспалительного процесса, эта операция направлена на восстановление полноценного носового дыхания.
При успешно проведенной гайморотомии происходит полное восстановление дренажной функции соустий гайморовой пазухи.
Существуют различные способы хирургического вмешательства на верхнечелюстной пазухе:
- классическая операция Колдуэлла-Люка (выполняется через разрез под верхней губой);
- эндоскопическая гайморотомия (проводится эндоназальным доступом, без разрезов);
- малые оперативные манипуляции (прокол гайморовой пазухи и его альтернатива — баллонная синусопластика с применением синус-катетера ЯМИК).
Факторы и заболевания, являющиеся прямыми показаниями к оперативному вмешательству:
- отсутствие эффекта от консервативных методов лечения хронического гайморита;
- кисты гайморовой пазухи (образования в виде пузырьков наполненных жидкостью);
- наличие полипов внутри пазухи;
- наличие новообразований (при подозрении на злокачественную опухоль проводится биопсия);
- инородные тела гайморовой пазухи, являющиеся осложнением стоматологических вмешательств (фрагменты корней зуба, частицы зубных имплантов, частицы пломбировочного материала);
- наличие в полости сгустков крови и грануляций;
- повреждение стенок гайморовой пазухи.
Наиболее частой причиной, по которой назначается операция на гайморовых пазухах, является гайморит — воспаление слизистого покрова верхнечелюстной пазухи, вследствие которого происходит скопление гнойного экссудата и формирование гиперпластических изменений слизистой оболочки.
- заложенность носа;
- слизисто-гнойные выделения;
- повышение температуры тела;
- симптомы общей интоксикации организма (слабость, сонливость, недомогание, головная боль);
- боли в проекции гайморовых пазух.
Подготовка к операции на гайморовых пазухах включает в себя ряд инструментальных и лабораторных исследований. Перед хирургическим вмешательством потребуется:
- компьютерная томография или рентгенография придаточных пазух носа;
- риноскопия;
- общий анализ крови (включающий лейкоцитарную формулу и количество тромбоцитов);
- исследование гемостатической функции крови — коагулограмма;
- общий анализ мочи;
- анализ на наличие ВИЧ, сифилиса, маркеров вирусных гепатитов;
- определение группы крови и резус-фактора.
Если планируется проведение операции под общей анестезией, дополнительно необходимо сделать электрокардиограмму и проконсультироваться с анестезиологом. Очень важно строго соблюдать предписания данные этим врачом , так как их нарушение влечет за собой серьезные последствия.
Противопоказания к гайморотомии:
- наличие серьезной соматической патологии;
- нарушения свертываемости крови (геморрагические диатезы, гемобластозы);
- острые инфекционные заболевания;
- обострение хронических заболеваний;
- острый гайморит (относительное противопоказание).
Простейшим хирургическим вмешательством на гайморовой пазухе является пункция (прокол), которая производится через стенку носового хода с диагностической или лечебной целью.
Более прогрессивным методом восстановления дренажа верхнечелюстной пазухи является баллонная синусопластика с использованием катетера ЯМИК. Суть этого метода заключается в атравматичном расширении соустий с помощью введения и надувания гибкого катетера.
Эта манипуляция проводится под видеоконтролем эндоскопического оборудования, но может проводиться и без него, что делает ее доступной для большинства пациентов. Неоспоримыми преимуществами этого метода являются:
- безболезненность;
- отсутствие кровотечения;
- сохранение целостности анатомических структур;
- минимальный риск возникновения осложнений;
- отсутствие необходимости пребывания в стационаре.
Это хирургическое вмешательство проводится эндоназальным доступом, без нарушения целостности стенки гайморовой пазухи.
Современная эндоскопическая техника позволяет высокоэффективное выполнение ринохирургических манипуляций.
Благодаря использованию длиннофокусных микроскопов и высококачественной оптико-волоконной техники достигается качественная визуализация операционного поля, что позволяет минимизировать риск травмирования здоровых тканей.
Процедура очищения синусов производится при помощи современного ринохирургического оборудования: коагулятора (выполняющего функцию прижигания тканей и сосудов), шейвера (измельчителя тканей с функцией одномоментного всасывания), щипцов и других хирургических инструментов. Далее следует промывание антисептическими растворами с добавлением антибактериальных препаратов широкого спектра действия, протеолитических ферментов и кортикостероидных гормонов (в случае сильного отека).
Классическая операция Колдуэлла-Люка выполняется внутриротовым доступом. Чаще всего при этом методе применяется общая анестезия.
Основные этапы:
- Образование доступа к верхнечелюстной придаточной пазухе путем иссечения мягких тканей.
- Санация патологического очага (удаление полипов, грануляций, секвестров, инородных тел).
- Забор материала для гистологического исследования.
- Формирование полноценного сообщения между гайморовой пазухой и нижним носовым ходом.
- Установление дренажного катетера для орошения полости лекарственными растворами.
Осложнения радикальной гайморотомии:
- возможность развития интенсивного кровотечения;
- повреждение тройничного нерва;
- формирование свища;
- выраженный отек слизистой оболочки носовой полости;
- потеря чувствительности зубного ряда и скул со стороны проведения оперативного вмешательства;
- снижение обоняния;
- ощущения тяжести и болезненности в верхнечелюстных пазухах.
При малоинвазивных вмешательствах (эндоскопической гайморотомии, пункции и баллонной синусопластики осложнения возникают достаточно редко.
Существует ряд мер для снижения риска рецидива заболевания и возникновения различных осложнений:
- ирригация(орошение) носовой полости водно-солевыми растворами;
- десенсибилизирующая терапия (прием антигистаминных препаратов);
- местное применение топических кортикостероидов;
- антибактериальная терапия;
- прием препаратов укрепляющих стенки сосудов.
Как правило, период послеоперационной реабилитации длится около одного месяца. В это время нежелательно
- употребление горячих, холодных, острых блюд;
- выполнять тяжелую физическую работу (особенно связанную с подъемом тяжестей);
- посещение бань и саун, плавание в бассейне.
Также следует избегать переохлаждения и контакта с больными ОРВИ. Хорошим завершением реабилитационного периода будет санаторное лечение на морском курорте или посещение солевой пещеры. В течение года после операции следует наблюдаться у врача-отоларинголога.
Источник: https://www.polyclin.ru/operaciya-na-gaymorovoy-pazuhe/
- В гайморовой пазухе инородное тело: симптомы и последствия, методы удаление
- Гайморотомия: когда проводят, виды и ход, последствия, реабилитация
- Пломбировочный материал в гайморовой пазухе
- Последствия попадания пломбировочного материала в гайморовых пазухах
- Причины появления
- Диагностика и ее особенности
- Процедура лечения
- Последствия
- Пломбировочный материал в гайморовой пазухе: удаление, последствия, диагностика
Гайморовы пазухи расположены по обеим сторонам носа над челюстью человека. Выполняют важные функции: прогревают воздух, резонируют звук, создавая тембр.
Самой распространенной болезнью, прогрессирующей в этой области является гайморит. Но иногда в этот орган попадают посторонние предметы и вызывают ряд неприятных последствий.
При этом симптомы могут появиться спустя долгий период после неприятности.
Самую распространенную причину, после которой в гайморовой пазухе можно обнаружить инородное тело, следует искать в кабинете у стоматолога. Речь идет о пломбировании верхней челюсти.
Корни зубов расположены близко к слизистой оболочке пазух. При надавливании стоматолог может не рассчитать силы и продвинуть посторонний предмет в полость.
Это может случиться при установке пломбы и при наращивании стенки верхней челюсти для последующего внедрения имплантата.
Под инородным телом принято понимать и кистозные образования в виде тонкого пузыря. Причина кроется в частных насморках, когда идет раздражение слизистых оболочек.
Менее распространены случаи попадания инородных тел в пазухи при ранении огнестрельным оружием. В медицинской литературе есть примеры, когда части спички или зубочистки попадает в пазуху при ковырянии зубов. У детей в пазухах могут оказаться: детали конструктора, косточки ягод, бусины и прочие мелкие предметы.
При проведении операций в верхней челюсти и носовых проходах недобросовестный медицинский персонал может оставить части трубок, ниток и прочих материалов в гайморовых пазухах.
Через некоторое время инородный предмет покрывается грибком и вызывает характерные симптомы. Происходит воспалительный процесс. До этого человек может и не заметить наличия проблемы.
Симптомы попадания инородного тела в пазухи схожи с проявлениями гайморита, синусита и других простудных болезнях. Человек ощущает следующее:
- головная боль и тяжесть, особенно при наклоне головы вперед;
- насморк;
- показания градусника 38 и выше;
- после сна больной ощущает «тяжелую голову», а многим этот симптом мешает спать;
- выделение гноя; имеет гнилостный запах, и по этой причине наблюдается тошнота;
- иногда зубная боль при движениях челюстью;
- при высмаркивании пациент чувствует облегчение;
- боли в области щек и под глазами;
- снижение аппетита и общая слабость.
При обращении человека в клинику с такими симптомами, специалист торопится поставить ему диагноз, не связанный с попаданием инородного тела.
Только на рентген снимке или на экране компьютера при томографии можно обнаружить проблему.
До этого врачи могут лечить гайморит или иное заболевание достаточно долго и безрезультатно. Антибиотики и другие противовирусные препараты не справятся с грибком, который покрывает инородное тело со всех сторон в гайморовой пазухе.
к оглавлению ↑
Комплексная диагностика включает в себя следующие мероприятия:
- оценка жалоб пациента, анализ таких показателей, как длительность проявления симптомов, наличие обращения к стоматологу и другие манипуляции в носовой и челюстной области;
- осмотр с помощью носового зеркала;
- применение эндоскопа для исследования носовой полости и среднего носового прохода;
- осмотр в кабинете у стоматолога верхнего зубного ряда;
- рентген снимок, который показывает не только наличие тела, но и пневматизацию (наличие воздуха);
- применение компьтерной томографии;
- консультации у врача-хируга.
Считается, что хирургия это единственный способ изъять инородное тело, находящееся в гайморовой пазухе. Желательно не затягивать с операцией и назначить ее сразу после точного диагностирования. Отсутствие своевременного вмешательства может стать причиной развития менингита, ангины, гайморита и остеопериостита (воспаление костей верхней челюсти и глазницы).
Пневматизация пазух – это не заболевание, а термин. С помощью него врачи характеризуют явления на снимке рентгена или на экране при томографии.
Пневматизация – уровень заполнения пазух воздухом, который при нормальном состоянии двигается без препятствий по носовым проходам.
На снимке можно заметить, что пневматизация:
- сохранена;
- снижена;
- повышена.
В первом случае, нет отклонений от нормы и скорее всего, причина болезни не в постороннем предмете.
Если инородное тело присутствует в гайморовой пазухе, то на это укажет пониженный уровень пневматизации. При этом воздух с трудом циркулирует, что приводит к уменьшению поставок кислорода в организм.
к оглавлению ↑
Как уже упоминалось ранее, инородное тело, обнаруженное в гайморовой пазухе, извлекается с помощью вмешательства хирурга. Удаление в современной медицине производят двумя способами:
- Эндоскопическое. Используется эндоскоп, который вводится через носовые проходы; при этом удаление инородного тела происходит вместе с наростом грибка; важно убрать его весь, чтобы не допустить его размножения; пазухи носа также прокалываются для очищения их от гноя.
- Лапароскопическое. Хирург делает надрез верхней челюсти.
Процедуры проходят с использованием местных анестезирующих препаратов, и длятся около 15-25 минут. Пациенты могут нуждаться в стационарных условиях еще 2-4 дня в зависимости от тяжести операции и остроты симптомов.
Считается что первый способ удаления инородного тела из гайморовой пазухи самый удобный и менее травматичный для больного. Но этот метод не всегда можно применять по ряду причин. Одна из которых – неправильное строение перегородки носа (врожденное или приобретенное). В этом случае невозможно попасть с помощью эндоскопа в гайморову пазуху.
После любого вида операции обязательно назначается терапия с применением антибиотиков.
Киста считается также инородным телом, хотя она и не попадает в полость извне, а образуется там. Способ ее удаления – операция: классическая или эндоскопическая.
Под первым способом подразумевается разрез под губой. После делается вскрытие передней стенки пазухи. Завершающий этап – хирург через маленький разрез удаляет образование.
Эта травматичная манипуляция выполняется под местной анестезией. Недостаток – нарушение физиологического состава слизистой оболочки. Что впоследствии может привести к ряду заболеваний.
Эндоскопическое удаление менее опасно. Осложнения после проведения такой манипуляции наблюдается в крайне редких случаях.
к оглавлению ↑
Чтобы не возникали случаи попадания посторонних тел в пазухи после операции, следует выполнять такие меры:
- своевременно лечить кариес и проверять состояние зубов у стоматолога, чтобы снизить вероятность постановки пломб;
- внимательно относится к насморку и гаймориту, своевременно лечить эти болезни, чтобы не допустить появления кист;
- всячески избегать травм головы, особенно в носовой части.
Реабилитация после операции пойдет быстрее, если придерживаться таких назначений врача:
- избегать переохлаждения и перегревания;
- принимать витаминные комплексы, иммуномодуляторы (назначает специалист);
- беречься от инфекционных и вирусных заболеваний;
- избегать контакта с болеющими ОРВИ, гриппом и прочими болезнями.
Если пренебречь этими рекомендациями, то могут развиться такие осложнения:
- гайморит (острый);
- мицетома (грибковый вид гайморита);
- киста верхней челюсти;
- воспалений небных миндалин;
- менингит;
- ангина.
В самых запущенных случаях возможно развитие остеопериостита. Это воспаление костей лица. Может привести к замене части пораженной кости на имплант.
Для многих людей может показаться невероятным факт нахождения в гайморовых пазухах инородного тела. Однако врачебная практика показывает частые случаи этого явления. Особенно стоит насторожиться людям, которые долго лечат гайморит. Следует провести диагностику и проверить наличие постороннего тела в гайморовых пазухах с помощью компьютерной томографии или простого рентгеновского снимка.
https://www.youtube.com/watch?v=0_DDdTBznqc
Статья помогла вам?
Дайте нам об этом знать – поставьте оценку
Источник: https://mediczdorovo.ru/v-gajmorovoj-pazuhe-inorodnoe-telo-simptomy-i-posledstvija-metody-udalenie.html
Заболевания ЛОР-органов считаются одними из самых распространенных, часто они сопровождаются насморком, болью в горле и носят инфекционную природу.
Одним из осложнений ринита считается также гайморит, который может развиваться на фоне проникновения в гайморовы пазухи посторонних предметов, чаще всего это связано со стоматологическими манипуляциями.
При лечении зубов пломбировочный материал может проникать сквозь тонкую костную перегородку в гайморову пазуху, что сопровождается неприятными проявлениями.
Воспалительные процессы приводят к развитию гайморита, который при отсутствии лечения трансформируется в хроническую форму, грозящую развитием серьезных осложнений. При появлении первых признаков следует пройти диагностику, на основании полученных данных врач назначает операцию.
При попадании пломбировочного материала в гайморову пазуху проводится профессиональная диагностика, она играет ведущую роль данном случае.
Порядок проведения диагностики:
- Опрос пациента – опытный врач сможет выявить воспалительный процесс по жалобам на болевой синдром.
- Сбор анамнеза, параллельно фиксируется факт посещения стоматолога.
- Осмотр околоносовых пазух с помощью специальных инструментов, на предмет присутствия посторонних элементов, применяются эндоскопия, риноскопия.
- КТ – обеспечивает самую точную диагностику, позволяет выявить наличие инородного тела и других воспалительных процессов, масштабы поражения слизистой оболочки полости носа и количество гноя.
- Рентгенография верхнечелюстных пазух – на снимках отлично видны все уплотнения, гнойные образования и другие дефекты.В данном случае понадобится также диагностика и консультация врача-хирурга, комплексный осмотр поможет выявить проблему и назначить лечение.
Симптоматика попадания инородного тела в гайморову пазуху может отличаться, многое зависит от размеров, степени загрязненности, особенностей организма. В некоторых случаях предмет окружается слизистой оболочкой и патология никак не проявляется. Но, чаще всего в таких случаях организм отторгает инородное тело, вследствие чего запускается воспалительный процесс слизистой оболочки.
Наличие инородного объекта можно распознать по следующим признакам:
- Тяжесть в носу.
- Болевой синдром при жевании, который может отдавать в верхнюю челюсть.
- Потеря аппетита, боли при глотании.
- Повышенная температура.
- Стойкий насморк, не поддающийся лечению.
- Выделения из носовой полости — часто с неприятным запахом.
- Общая интоксикация организма.
Симптоматика очень напоминает вирусный/бактериальный гайморит, имеет общие признаки с ринитом, фронтитом. Основное отличие заключается в инфекционной природе перечисленных болезней, которые могут быть излечены обычными препаратами, а для устранения инородного тела может потребоваться хирургическое вмешательство.
Каким образом инородный предмет может оказаться в гайморовой пазухе?
В 40 % случаев причиной заболевания является неправильное лечение зубов, чаще всего это происходит из-за близкого расположения верхних зубов и носовой полости.
Верхняя стенка полости рта очень тонкая, пломбировочный материал легко проникает в пазухи носа. При появления отверстия чаще всего проводится хирургическая операция.
В медицинской практике зафиксированы случаи обнаружения в околоносовых пазухах спичек и зубочисток, пациент при этом не всегда знал об этом.
В любом случае требуется хирургическое вмешательство, только таким образом можно предотвратить процесс, который грозит различными осложнениями.
Основном способом лечения считается хирургическое вмешательство, при этом всегда есть часть пациентов, которые годами носят инородное тело в пазухе, избегают операции и требуют терапии препаратами. Несмотря на инертность пломбировочного материала, физиотерапевтические процедуры в данном случае бесполезны, единственный выход – операция.
Последствия от нахождения инородного предмета в пазухе могут быть достаточно лёгкими:
- синусит грибкового или бактериального происхождения;
- инкапсуляция материала, сопровождающаяся формированием кисты, содержимое которой часто обретает гнойный характер;
- формирование гнойной гранулемы.
В медицинской практике было зафиксировано много случаев, когда патология сопровождалась гайморитом, при отсутствии лечения болезнь трансформировалась в хроническую форму.
Осложнения хронической формы гайморита:
- воспалительные заболевания иных ЛОР-органов;
- менингит;
- гипертрофия слизистых оболочек данной области, затруднения при носовом дыхании;
- болезни сердца и лёгкая гипоксия мозга на фоне нарушения нормального дыхания;
- миокардит – возникает в результате поражения сердца вредными микроорганизмами из очага воспаления;
- патологии нижних дыхательных путей с повышенным риском возникновения астматического компонента;
- остеопериостит костей головы;
- сепсис.
Все эти осложнения развиваются далеко не всегда, риск их возникновения повышается на фоне обострений, острых инфекций, при переутомлениях, переохлаждениях, ослабленном иммунитете. При первых признаках поражения стенок гайморовой пазухи следует обращаться к врачу.
Основной способ лечения — удаление пломбировочного материала из гайморовой пазухи, делать это следует сразу после диагностики патологии.
В данном случае отсутствует необходимость в долгих походах по больницам, вмешательство врачей не занимает много времени. Операция проводится в государственных и частных клиниках, стоимость зависит от ценовой политики и региона проживания.
Очень важно соблюдать рекомендации врача, следить за своим здоровьем, избегать инфекционных заболеваний.
Существует два основных способа устранения пломбы:
- Эндоскопической метод – выскабливание слизистой через носовую полость.
- Лапароскория – инородный материал извлекается через разрез в десне.
Перед выпиской назначается консервативная терапия:
- приём антибиотиков, действие которых направлено на уничтожение спровоцировавших гайморит микроорганизмов;
- пломбирование и санация зубных каналов;
- промывание лекарственными препаратами пазух с целью удаления гнойной жидкости;
- введение сосудорасширяющих средств в носовую полость;
- прием обезболивающих препаратов;
- приём иммуномодулирующих препаратов, поливитаминов.
Наиболее эффективным методом лечения считается хирургическое вмешательство, а в целях предотвращения распространения инфекции назначается комплексная терапия, которая включает приём препаратов.
После операции следует внимательно относиться к собственному здоровью, избегать переохлаждений, что позволит не допустить рецидивов гайморита.
Пациент должен придерживаться следующих рекомендаций:
- Наблюдение у стоматолога поможет снизить риск возникновения кариеса и других болезней, которые развиваются на фоне стоматологических заболеваний.
- Обязателен регулярный уход за зубами и ротовой полостью.
- Противопоказаны любые травмирования области головы, горла и носа.
- Приём поливитаминов поможет укрепить иммунный статус организма.
- В целях предотвращения осложнений гайморита рекомендуется избегать переохлаждения, обязательно своевременное лечение насморка и других воспалительных заболеваний ЛОР-органов.
Инородное тело в гайморовой пазухе встречается достаточно редко, многие пациенты даже не могут представить себе такое. Чаще всего в гайморовой пазухе обнаруживается пломбировочный материал, проникающий через тонкую стенку верхней челюсти в гайморовы пазухи после посещения стоматолога.
Симптомы очень напоминают инфекционный гайморит, только обычное лечение в данном случае неэффективно, так как воспалительные процессы не исчезнут, пока в пазухе присутствует инородное тело.
Основным методом лечения является хирургическое вмешательство, после которого пациент в течение определённого времени должен принимать препараты, его отсутствие может привести к серьёзным осложнениям вплоть до менингита.
Оценка статьи:
(12 4,50 из 5) Загрузка…
Источник: https://gaimorit.guru/info/v-gajmorovoj-pazuhe-inorodnoe-telo
В костях лицевого черепа существуют воздухоносные пути, связанные с полостью носа. Анатомически выделяют лобные (фронтальные), гайморовые (верхнечелюстные), клиновидную пазуху и клетки решетчатой кости.
Гайморовые пазухи – парная структура, образованная: костями орбиты – сверху, верхней челюстью – снизу, височной костью – по внешним контурам, полостью носа – по внутреннему контуру.
За счет близкого контакта с полостью носа и корням зубов верхнечелюстные синусы достаточно часто подвержены воспалительным процессам – гайморитам.
На ранних этапах применяют лекарственную терапию. При ее неэффективности, частых рецидивах, присоединении пиогенного компонента с развитием гнойного гайморита решают вопрос об оперативном вмешательстве – вскрытие гайморовой пазухи (гайморотомия).
Назначается оперативное вмешательство оториноларингологом после полного осмотра, опроса, получения результатов инструментальных методов диагностики:
- обнаружение кист, занимающих больше половины объема пазухи;
- переход полипозного гайморита в стадию хронического затяжного течения;
- присоединение бактериального компонента с развитием гнойного гайморита;
- подозрение на менингит, флегмону орбиты, как осложнение пиогенного гайморита;
- развитие гайморита после стоматологических манипуляций (одонтогенный генез);
- неэффективности консервативной терапии;
- наличие инородных тел в пазухе – чаще всего это пломбировочный материал, но могут быть металлические фрагменты после пулевого ранения;
- часто возникающие боли, локализующиеся в подглазничных областях;
- возникновение специфического запаха из носа, определяемого самим пациентом;
- боли ноющего или острого характера в проекции верхнего ряда зубов при отсутствии стоматологической патологии;
- наличие осложнений после синуслифтинга.
Перед проведением гайморотомии врач направит на комплекс дополнительных исследований:
- анализ крови (общий и биохимический);
- анализ мочи;
- САСС-гемостазиограмма;
- рентгенологическое исследование или КТ придаточных пазух;
- для пациентов старшей возрастной группы – ЭКГ;
- при необходимости консультация терапевта, невролога.
На основании полученных лабораторных данных врач решит вопрос о возможности проведения манипуляции, так как существует ряд противопоказаний – выраженные изменения в свертывающей системе крови, тяжелое соматическое состояние пациента.
Если результаты анализов удовлетворяют доктора, то назначается дата манипуляции. Операция проводится утром на голодный желудок, завтракать запрещается, можно только пить.
Выделяют три варианта хирургического доступа:
- через фронтальную (переднюю) стенку;
- сквозь средний носовой ход;
- через ороантральное соустье (свищевое сообщение между верхнечелюстной пазухой и полостью рта).
В зависимости от выбора методики, вида операционного доступа, распространенности и локализации патологических изменений, общего состояния пациента хирург выбирает местную анестезию или наркоз.
Радикальная гайморотомия проводится как под общим наркозом, так и под местной анестезией. Ход операции:
- Обработка области операции антисептическими веществами.
- Под верхней губой делают горизонтальный линейный разрез тканей десны шириной до 6 см.
- Тканевой лоскут отделяют, поднимают вверх, тем самым хирург получает подход к нижним отделам верхнечелюстной пазухи.
- С помощью специальных инструментов создают отверстие в кости.
- Выскабливают патологическое содержимое (гной, инородные тела), дренируют. Осторожно обрабатывают верхние отделы, так как стенка между гайморовой пазухой и орбитой очень тонкая.
- Создают искусственное соустье с носовой полостью, устанавливают тампон для выведения содержимого.
- Накладывают швы на раневую поверхность.
Радикальную гайморотомию выбирают при необходимости получения широкого доступа в полость пазухи при выраженных, распространенных патологических процессах.
Недостатком методики является длительный период восстановления, высокий риск постоперационных осложнений (кровотечение, повреждение тройничного нерва).
Эндоскопическая гайморотомия на сегодняшний день является популярной методикой, за счет менее выраженного травматического воздействия. Доступ осуществляется через физиологическое отверстие – носовой ход. Длительность всей операции не более 30 минут, нахождение в стационаре – до 3 дней, но, возможно, и проведение в амбулаторных условиях. Проводится под местной анестезией.
Последовательность проведения манипуляции:
- Область оперативного вмешательства предварительно обрабатывают анестезирующим гелем.
- Проводят зонд через носовую полость на уровне средней носовой раковины.
- При необходимости расширяют проход путем растягивания или краевого иссечения.
- Помещают в гайморову полость эндоскоп, состоящий из камеры и манипулятора.
- После проведения необходимых манипуляций, выходят из пазухи.
Преимущества эндоскопической методики вскрытия гайморовых пазух (по сравнению с радикальной методикой) заключаются в следующем:
- исключаются рубцовые изменения на поверхности кожи за счет отсутствия разрезов;
- снижается риск постоперационных осложнений;
- сокращается время восстановления, быстрее сходит отек после манипуляции.
Возможное осложнение после операции – повреждение веточки тройничного нерва.
Хирург, который проводит операцию гайморотомию, выбирает методику доступа, основываясь на тяжести заболевания, общем состоянии пациента, физиологических особенностях строения лицевого черепа. На сегодняшний день существуют альтернативы радикальной и эндоскопической операциям:
- Техника по Муру: проникновение в верхнечелюстную пазуху осуществляется через разрез мягких тканей параллельно оси носа.
- Методика по Зимонту: проводят обширную резекцию внутренней и передней стенок пазухи. Возможное последствие – повреждение второй веточки тройничного нерва, сопровождающееся чувством онемения зоны вокруг рта.
- Способ вскрытие пазухи по Заславскому Нейману: хирургический доступ проходит из полости рта через область на уровне удаленного зуба. Осложнение – формирование свищевого хода на месте операции.
После проведения гайморотомии возникают осложнения, которые подразделяются на физиологические и патологические.
В первом случае:
- чувство онемения губ, обусловленное действием анестезирующего вещества, исчезает через несколько часов после манипуляции;
- отечность вокруг носа и рта за счет нарушения целостности мягких тканей и сосудистых структур, которая нивелируется при помощи компрессов со льдом;
- головная боль – распространенное последствие любой инвазивной манипуляции, купируется анальгетиками;
- временное повышение температуры, при отсутствии хирургической патологии, проходит без дополнительных лекарственных мероприятий в течение нескольких дней;
- болезненность в верхней челюсти на уровне зубов сопровождает постоперационный период, если доступ осуществлялся через ороантральное соустье;
- неприятные ощущения на уровне шва в период выхода из наркоза.
Причина второй группы осложнений – присоединение бактериальной инфекции, требует незамедлительного обращения к врачу:
- выраженный односторонний отек щеки на уровне гайморотомии;
- асимметрия контуров лица возникает при повреждении нервных структур во время операции;
- выделение слизистого компонента желтого цвета сигнализирует об инфицировании.
Гайморотомия требует постоперационного контроля у врача отоларинголога в течение месяца. Дальнейшее посещение доктора определяется скоростью заживления и отсутствием рецидивов.
Для исключения присоединения бактериальной инфекции назначают курсовым приемом антибиотики и растворы для промывания полости носа. Дополнительно – антигистаминные препараты, с целью уменьшения выраженности постоперационного отека. При эндоназальном доступе отмечается отечность слизистой оболочки носа, которую купируют сосудосуживающими каплями или спреями.
После оперативного вмешательства рекомендуется покой. В течение 2 месяцев – ограждение от физических нагрузок.
Для предупреждения инфицирования необходимо временно отказаться от посещения бассейна. Баня, сауна, горячий душ, длительное пребывание на солнце противопоказаны в первый месяц после операции.
Важно скорректировать стиль питания – исключить острую, холодную, горячую пищу, так как они могут спровоцировать боль.
Любые вирусные инфекции (грипп, ОРВИ) могут дать выраженные осложнения после операции. Поэтому необходимо избегать переохлаждения. В период массовых заболеваний проводить меры профилактики – прием витаминных комплексов, ношение марлевой повязки, уменьшить контакт с больными людьми.
Посещение санатория, соляных пещер ускоряет процесс восстановления за счет повышения общих защитных функций организма.
Внимательно следить за своим состоянием, при резком повышении температуры, появлении боли, отечности в подглазничной области, нарушении дыхания немедленно обратиться к врачу.
Скачать http://www.lor.ru/download/inorodnoe-telo-gaymorovoy-pazuhi-pazuhi.pdf
Инородное тело (грибковое тело) верхнечелюстной (гайморовой) пазухи В данной статье коснусь более чем распространенного на сегодняшний день заболевания, с которым сталкиваются ЛОР-хирурги – это так называемая неинвазивная форма грибкового синусита.
Существует много названий, которыми часто пользуются доктора – мицетома, грибковый гайморит, грибковое тело, грибковый шар. Иногда используется диагноз – одонтогенный гайморит, что не совсем соответствует реальности. Что же такое грибковый гайморит? Механизм развития заболевания достаточно прост.
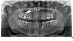
Наверняка каждый человек лечил зубы, и часто лечение сопровождается пломбировкой каналов зуба. Дело в том, что корни верхних зубов особенно 5 и 6-го часто вдаются в верхнечелюстную пазуху и прикрыты со стороны пазухи только слизистой оболочкой.
Таким образом, стоматолог, совершенно без злого умысла, проводя работу над корнем зуба, может проткнуть ее верхушку и протолкнуть пломбировочный материал в пазуху. Более того, иногда в пазуху может попасть даже фрагмент самого корня зуба или корень полностью. Вот тут и начинается самое интересное.
Сам по себе пломбировочный материал – совершенно безвредная субстанция. И он мог бы находится в пазухе годами, но не так все просто. Дело в том, что на поверхности слизистой оболочки пазухи обитают грибки, которые совершенно безвредны для нас.
Но когда появляется субстрат – пломбировочный материал, вокруг него начинает формироваться рост грибковой колонии. Со временем формируется так называемое грибковое тело, которое постепенно может заполнить всю пазуху и даже разрушить ее стенки. Нужно отметить следующие моменты: — Процесс развивается не быстро.
— Часто таких пациентов долгое время лечат антибиотиками, проколами и т.п. совершенно без эффекта. При этом, когда врач при проколе начинает промывать пазуху – из носа пациента вместе с промывной жидкостью выпадают темно-зеленые чешуйки, которые представляют собой фрагменты грибкового тела.
— Для подавляющего числа пациентов, которым ставят такой диагноз – это является совершенной сенсацией, так как жалоб у них нет. Часто подобное заболевание выявляется, например, при обследовании головного мозга или профилактических медосмотрах. Как же подтвердить диагноз и на что обратить внимание.
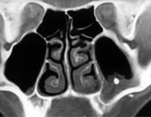
Практически в 100% случаев точно диагноз позволяет установить КОМПЬЮТЕРНАЯ томография пазух носа. Обычный рентген и МРТ дают менее информативную картину. На результатах компьютерной томографии часто можно четко увидеть и пломбу и формирующееся грибковое тело, как показано на рисунке.
Пациенты могут испытывать небольшой дискомфорт в области верхней челюсти, иногда возникает гнойный гайморит на стороне грибкового тела. И, естественно, в прошлом пациенты лечили у стоматолога верхние зубы. К сожалению, других характерных симптомом болезни просто нет.
Как лечить? Данное заболевание является АБСОЛЮТНО ХИРУРГИЧЕСКИМ и точка! Пункции и антибиотики тут бесполезны. Инородное тело нужно удалять!!! Инородное тело в гайморовой пазухе следует удалить из пазухи вместе с грибковыми массами. В настоящее время это делается при помощи эндоскопической техники – через нос.
Редко прибегают к дополнительному – наружному доступу из под губы. После полного удаления – наступает выздоровление, хотя рецидивы роста грибкового тела случаются. Операция проста. Лично у меня она занимает не более 15 минут и выполняется под местной анестезией. Обычно требуется наблюдение в стационаре не более 1-2 суток.
Эндоскопическое удаление может быть невозможным, если у пациента имеется резкое искривление перегородки носа, что просто создает механическое препятствие для операции через нос. В таком случае пациенту предлагается одномоментная коррекция искривленного участка перегородки носа. Часто меня спрашивают о срочности проведения операции.
Если нет осложнений, то операцию проводят исключительно в плановом порядке.
Надеюсь, что данная информация окажется полезной для Вас. На ваши вопросы я готов ответить по электронной почте или по телефону, указанным в разделе КОНТАКТЫ.
С уважением, ЛОР-хирург, кандидат медицинских наук, Заведующий отделением эндоскопической микрохирургии Верхних дыхательных путей ЛОР-клиники Медакадемии им И.М. Сеченова Главный специалист МЦ «ЛОР-врач»
Петр Александрович Кочетков
Источник: http://www.lor.ru/patient/inorodnoe-telo-gaymorovoy-pazuhi-pazuhi.html
Поделиться:











