Ликворея посттравматическая (ЛП) — истечение ЦСЖ из полости черепа вследствие повреждения костей основания или свода и ТМО при нарушении герметичности подпаутинного пространства (субарахноидальная посттравматическая ликворея), а также при ранении стенок желудочков (желудочковая посттравматическая ликворея) или базальных цистерн (цистернальная посттравматическая ликворея). Различают раннюю (первичную) ликворею, возникающую непосредственно после травмы, и позднюю (вторичную), проявляющуюся через несколько дней, недель и даже месяцев.
Наиболее часто наблюдается истечение ЦСЖ из носа (назальная посттравматическая ликворея), гораздо реже — из наружного слухового прохода (ушная посттравматическая ликворея). Назальная ликворея возникает при переломах передней черепной ямки: в области продырявленной пластинки, лобной, сфеноидальной пазухи и ячеек решетчатой кости.
Возможна также назальная ликворея через отверстия решетчатой кости при отсутствии костных повреждений из-за травматического отрыва волокон обонятельного нерва. Назальная ликворея обычно прекращается через несколько дней после ЧМТ, когда ТМО и кость тампонируется свернувшейся кровью, фибрином.
Она может возобновиться при рассасывании кровяного свертка, сморщивании отечной ткани, особенно при повышении внутричерепного давления.
Переломы каменистой части пирамиды височной кости и области ячей сосцевидного отростка могут обусловить ушную ликворею, чаще прекращающуюся спонтанно в первые 2-3 суток после травмы, реже сохраняющуюся более длительное время.
Сравнительно редко отмечается скрытая ликворея, когда ЦСЖ проникает в окружающие мягкие ткани и может быть заподозрена при возникновении или рецидивах менингита без видимых причин. Еще реже встречается окулорея, при которой ликвор скапливается в мягких тканях орбиты.
Клиническая картина складывается из симптомов ликвореи и проявлений ЧМТ, которые могут превалировать сразу и в ближайшем посттравматическом периоде (последние более разнообразны). При локализации повреждений в области передней черепной ямки может наблюдаться гипосмия или аносмия, что говорит о заинтересованности первичных обонятельных образований.
Клинически переломы пирамиды височной кости проявляются кровотечением из уха (продольный характер трещины), снижением или полным выпадением слуха и вестибулярной функции на пораженной стороне, нарушением функции лицевого нерва и вкуса на передних 2/3 языка на стороне поражения промежуточного нерва во внутреннем слуховом проходе (более грубые и необратимые нарушения встречаются при поперечных переломах). При повреждении зрительного нерва больные отмечают снижение остроты зрения вплоть до слепоты, нарушение полей зрения в виде центральных и парацентральных скотом, концентрического сужения, секторообразных выпадений. При переломах в области верхней глазничной щели характерны глазодвигательные нарушения (поражение III, IV, VI нервов).
Для ликвореи типично истечение ЦСЖ из носа или уха (в остром периоде может быть совместно с кровотечением). Истечение значительного количества ЦСЖ в течение суток ведет к снижению ликворного давления, что может сопровождаться головной болью, вестибулярными нарушениями.
Головная боль несильная, но постоянная. В этот период больные адинамичны, ищут вынужденное положение, чаще с опущенным головным концом.
При носоглоточной ликворее, а в горизонтальном положении на спине и при других формах, истекающий ликвор раздражает слизистую, возможно затекание его в дыхательные пути, желудок. Больных в первом случае беспокоит кашель, прекращающийся при перемене положения.
Они стараются найти его, что избавляет их от этого страдания. При объективном осмотре можно отметить гиперемию слизистой, ее набухание. При распространении процесса на бронхо-легочный аппарат развивается картина его воспаления. Затекание ликвора в желудок вызывает картину острого простого гастрита.
Больные отмечают чувство тяжести и полноты в подложечной области, тошноту, слабость, слюнотечение или, наоборот, сухость во рту. Часты нарушения секреторной и кислотообразовательной функций, моторные расстройства. Пальпаторно — болезненность в эпигастральной области.
Выделяют следующие формы течения ЛП:
- быстрое прекращение,
- длительное выделение ЦСЖ,
- рецидивирующее течение ЛП,
- скрытое течение ЛП.
По количеству вытекающей ЦСЖ, что зависит от площади дефекта кости и ТМО, от вида ликвореи (субарахноидальная, желудочковая и цистернальная), можно рассматривать три варианта ликвореи:
- ЛП с незначительным количеством ЦСЖ,
- с умеренным количеством
- обильная ЛП.
В прогностическом плане целесообразно выделить клинические формы:
- благоприятная форма, когда отмечается прекращение ликвореи;
- форма ЛП, требующая нейрохирургического вмешательства на ликворной фистуле;
- ЛП с грубыми черепномозговыми повреждениями, когда требуется специальное хирургическое вмешательство.
Трудности в распознавании ранней ликвореи возникают в случаях сочетания ее с кровотечением. Для дифференциальной диагностики кровотечения и ликвореи с кровотечением предложена проба на выявление светлого ободка вокруг кровянистого пятна на марлевой салфетке (положительная при ликворее).
В поздние сроки необходимо разграничивать истекающую ЦСЖ и серозное отделяемое из носа при катаральных явлениях и вазомоторном рините. Диагностике способствует исследование выделений из носа на содержание сахара (отсутствует в серозном отделяемом).
Уточнению локализации ликвор- ной фистулы помогают оториноларингологическое исследование, рентгенография черепа, особенно рентгенотомография , выявляющая дефект кости в области передней черепной ямки. Место истечения ликвора в носовой полости можно определить при эндоскопическом осмотре.
Одна из них — КТ-цистернография. При люмбальной пункции в подоболочечное пространство спинного мозга вводят низкоосмолярные неионные рентгеноконтрастные вещества (омнипак, ультравист, йопомиро).
После экспозиции больного в течение 40 мин — 1 час с возвышенным положением ножного конца (угол 30 градусов) выполняют КТ головного мозга, которая выявляет и костный дефект и ликворную фистулу, через которую истекает ЦСЖ с диффундированным в ней рентгеноконтрастным веществом (симптом «ликворной дорожки»).
Следующая методика — радионуклидная гамма-цистернография.
Введение 99мТс-ДТПК эндолюмбально и визуализация на гамма-камере его распределения в подоболочечном пространстве спинного и головного мозга с подсчетом активности тампонов, введенных в носовые и слуховые проходы, позволяет сделать вывод о наличии или отсутствии различных видов ликвореи. Визуализация на гамма-камере «ликворной дорожки» в сочетании с повышением (не менее чем пятикратно) активности исследуемых тампонов является достоверным признаком ликвореи.
При скрытой ликворее в условиях ликворной гипотензии может быть применен следующий тест: после введения рентгеноконтрастного вещества или радиофармпрепарата в субарахноидальное пространство вводят изотонический раствор натрия хлорида. При повышении ликворного давления скрытая ликворея приобретает явный характер.
Для определения сопротивления резорбции ликвора используют инфузионный тест, по которому определяют тип кривых изменения давления ЦСЖ и длительность временного промежутка восстановления ликворного давления до исходных цифр при одномоментном быстром введении в субарахноидальное пространство 10 мл изотонического раствора натрия хлорида.
В отдельных случаях при клинических признаках ЛП ликворную фистулу обнаружить не удается.
В раннем периоде ликвореи рекомендуется строгий постельный режим, соблюдение осторожности при чихании, кашле, исключение механической прочистки носа. Необходимы дегидратационная терапия, снижающая давление и продукцию ЦСЖ, антибиотики, повторные разгрузочные люмбальные пункции или длительное дренирование, которое может быть выполнено при условии наличия стерильного приемника ЦСЖ.
При открытых проникающих ранениях должна быть выполнена ранняя хирургическая обработка с тщательным послойным ушиванием раны, что служит профилактикой послеоперационной ликвореи.
При хронически текущей ликворее, не поддающейся консервативному лечению, а особенно при рецидивах менингита показано оперативное вмешательство.
При ликворее в области продырявленной пластинки, средней и задней черепной ямки с идентифицированной локализацией ликворной фистулы предпочтителен транскраниальный доступ с субдуральным подходом к дефекту ТМО и кости.
Малые костные дефекты могут быть закрыты воском, большие — метилметакрилатом или аутокостью. Дефект ТМО стараются герметично ушить, а при невозможности — использовать для ее пластики аутоткани (широкая фасция бедра, височная фасция, подкожно-жировая клетчатка с фасцией, надкостничный лоскут и др.
), что позволяет избежать реакций, связанных с применением небиологических материалов. Трансплантат к ТМО прикрепляют с помощью узловых или непрерывного швов либо тканевого клея. Использование операционного микроскопа обеспечивает оптимальное освещение и способствует лучшей визуализации операционного поля.
При ликворее в области продырявленной пластинки, передних ячей решетчатой кости, а также у больных с отягощенным анамнезом может быть применен менее травматический доступ — назоорбитальный. При расположении ликворной фистулы в области турецкого седла оправдан трансназально-трансэтмоидальный доступ с тампонадой сфеноидальной пазухи биологической тканью (мышца, жировая ткань и др.).
При труднодоступной, при неидентифицированной локализации ликворной фистулы, при ликворее с повышенным давлением ЦСЖ или сочетании ликвореи с гидроцефалией, а также при противопоказаниях к краниотомии, выполняют шунтирующую операцию (люмбоперитонеальное шунтирование, значительно реже — вентрикулоперитонеальное шунтирование). В ряде случаев эти больные впоследствии требуют прямого оперативного вмешательства на дуральной фистуле.
Могут быть инфекционного и неинфекционного характера. Наиболее грозными из гнойно-воспалительных осложнений являются менингит, менингоэнцефалит, вентрикулит (см.
Осложнения гнойно-воспалительные внутричерепные). К этой группе относятся и осложнения со стороны бронхо-легочной системы.
Из неинфекционных можно выделить пневмоцефалию, развивающуюся при клапанном механизме функционирования ликворной фистулы.
Профилактика развития инфекционных осложнений заключается в предупреждении, своевременном и правильном лечении острых респираторных заболеваний и гриппа, а также различных инфекций. Важное значение придается своевременной санации носоглотки, околоносовых пазух.
Применение комплексного лечения, включая своевременное оперативное вмешательство на ликворной фистуле, приводит в подавляющем большинстве случаев к выздоровлению больного и восстановлению трудоспособности. Прогноз неблагоприятен при ЛП с частыми рецидивирующими менингитами, летальность при которых достигает 15-25%.
Источник: https://dreamsmedic.com/spravochniki/nejrotravmatologiya/terminyi-na-l/likvoreya-posttravmaticheskaya.html
Рассказывает Дмитрий Капитанов, оториноларинголог, отоневролог, профессор, доктор медицинских наук
Назальная ликворея (НЛ) – истечение спинномозговой жидкости в полость носа – довольно редкое, но потенциально летальное заболевание, которое далеко не всегда правильно диагностируется врачами и может долгие годы существовать под маской аллергического или вазомоторного ринита. Ликворная фистула (канал, через который стекает жидкость) возникает из-за дефекта костных структур и мозговых оболочек. Если костный дефект большой, через него могут провалиться оболочки и вещество мозга, создавая грыжевой мешок, который называется менинго(энцефало)целе.
Подобная фистула может образоваться как следствие черепно-лицевой травмы, предшествующей операции в полости носа и на основании черепа. Или спонтанно, на фоне повышенного внутричерепного давления. Таким образом, различают травматическую и спонтанную назальную ликворею.
В свою очередь спонтанная назальная ликворея может быть врожденная, как результат внутриутробного нарушения формирования костных структур основания черепа, так и приобретенная. В последнем случае фистула может сформироваться на фоне разнообразных проблем.
Сюда относятся обменные нарушения, повышенный вес, увеличение внутричерепного давления, аномалии развития передних отделов основания черепа и т.д.
Само по себе обильное выделение жидкости из носа достаточно неприятно, поскольку серьезно снижает качество жизни. Но более серьезным осложнением является менингит, т.е.
воспаление оболочек и вещества мозга, поскольку есть условия для проникновения инфекции из полости носа в полость черепа при любом простудном заболевании.
Другим грозным осложнением является пневмоцефалия, когда воздух внедряется в полость черепа через открытую фистулу. Указанные осложнения требуют экстренной госпитализации пациента.
Симптомы профузной назальной ликвореи:
При наклоне головы из одной половины носа выделяется прозрачная, светлая жидкость.
Скрытая, рецидивирующая назальная ликворея диагностируется сложнее и требует применения всего арсенала методик – лабораторных и лучевых.
В положении лежа на спине возникает кашель, поскольку стекающий в ротоглотку ликвор может попадать в нижние отделы дыхательных путей, вызывая реактивный ларингит, трахеит и даже пневмонию.
У пациента с назальной ликвореей, как правило, имеется черепно-мозговая травма в анамнезе, либо операция, затрагивающая нос и околоносовые пазухи, в том числе эндоскопическая. При этом спонтанная назальная ликворея может начаться внезапно без явной видимой причины.
В первую очередь врач определяет характер выделений:
- сторону, с которой идут выделения,
- периодичность,
- специфические положения головы, при которых они появляются,
- зависимость объема выделений от напряжения (проба Вальсальвы).
На рисунке показан визуальный осмотр пациента. При наклоне головы вниз из носа начинает выделяться прозрачная жидкость.
https://youtube.com/watch?v=xGjvao1PyAQ
Назальную ликворею часто принимают за ринит (аллергический или вазомоторный). Так же пациентам она может напомнить состояние, когда нос орошают жидкими лекарственными средствами.
Профузная назальная ликворея может самостоятельно прекращаться на некоторое время при этом пациенты отмечают головную боль из-за колебаний внутричерепного давления.
О повреждении передних отделов основания черепа могут свидетельствовать:
- нарушение обоняния (гипосмия или аносмия),
- проблемы со зрением.
В стандартное обследование должны входить:
- Эндоскопическое исследование носа и околоносовых пазух (на рисунке — эндоскопия полости носа прямым эндоскопом; в проекции задней стенки клиновидной пазухи виден небольшой костный дефект, через который поступает ликвор).
- Риноскопия.
- Обследование слуха на предмет наличия ушной ликвореи,
- Неврологическое обследование,
- Биохимический анализ жидких выделений из носа на уровень глюкозы, определение специфических для ликвора белков (бета-2 фракция трансферина, трейс белок).
Методы лучевой диагностики:
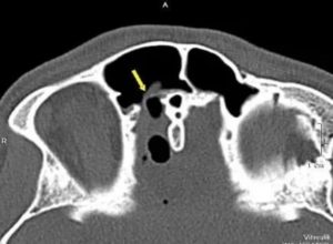
- Компьютерная томография (КТ) основания черепа и околоносовых пазух (на рисунке определяется большой дефект основания черепа в проекции ситовидной пластинки с формированием менингоцеле (показано стрелкой)).
- КТ-цистернография с эндолюмбальным введением контраста для более точного определения расположения дефекта в основании черепа. Это исследование выполняется в условиях стационара.
- КТ черепа и головного мозга для исключения гидроцефалии, новообразований основания черепа, выявления менингоцеле.
- Магнитно-резонансная томография (МРТ) – дополнение к КТ для исключения менингоэнцефалоцеле.
- Ликворо-чувствительная МРТ. Неинвазивный метод, не обладает радиационной нагрузкой и занимает немного больше времени, чем обычная МРТ.
Лечение назальной ликвореи в основном хирургическое. Долгие годы оно требовало тяжелых, подчас инвалидизирующих вмешательств на основании черепа с использованием транскраниальных доступов.
За последние три десятилетия развитие методов эндоназальной эндоскопической хирургии в корне изменило ситуацию, и теперь большинство случаев назальной ликвореи может быть излечено путем щадящих малоинвазивных вмешательств, выполняемых без наружных разрезов через полость носа под эндоскопическим контролем, что позволяет хирургу значительно улучшить обзор операционного поля. Эндоскоп помогает хирургу определить место ликворного свища, аккуратно отделить слизистую оболочку от костного дефекта и точно установить трансплантат на место повреждения.
Способ хирургического вмешательства определяется совместно оториноларингологом-хирургом и нейрохирургом. В ряде случаев требуется именно нейрохирургической вмешательство. Например:
- Крупные или множественные дефекты кости.
- Черепно-мозговая травма со сдавлением мозга.
- При повышенном внутричерепном давлении, когда нельзя проводить пластику свища, прежде чем гипертензия не будет устранена с помощью операции шунтирования.
- При сложном расположении свища.
Лечение назальной ликвореи в первую очередь направлено на восстановление барьера между полостью носа и интракраниальным пространством, чтобы не развилась внутричерепная инфекция.
При этом для пластики небольших дефектов основания черепа можно использовать мягкие ткани, а не костные фрагменты.
Но при крупных дефектах кости они должны быть закрыты плотным хрящевым трансплантатом, чтобы не сформировалось энцефалоцеле (мозговой грыжи).
После операции пациентам обычно рекомендует следовать следующим рекомендациям: избегать повышенных физических нагрузок, длительного натуживания, форсированного кашля. Режим должен быть максимально щадящим.
По возможности стараться больше находиться в лежачем положении, головной конец кровати приподнять.
Если признаки назальной ликвореи полностью пропадут, пациента выписывают с рекомендациями, которые необходимо выполнять в течение как минимум 6 недель.
В течение 3-10 дней после операции часть фрагментов тампонов из полости носа рекомендуется аккуратно удалить. При этом рассасывающиеся материалы, расположенные непосредственно около трансплантата, остаются и удаляются позже. На весь послеоперационный период назначают антибиотики в дозах, предотвращающих развитие синусита.
В позднем послеоперационном периоде при каждом обращении пациента проводится эндоскопическое исследование для исключения рецидива энцефалоцеле, особенно если выполнялась пластика большого дефекта. Важно в последующем проводить дифференциальную диагностику риноликвореи с аллергическими, вазомоторными и вирусными ринитами.
Резюме: таким образом, назальная ликворея — редкое, но достаточно опасное заболевание, которое может привести к серьезным осложнениям, включая менингит и пневмоцефалию.
Дифференциациальная диагностика с ринитом не всегда проста и однозначна, поэтому вовремя установленный правильный диагноз является залогом адекватного лечения. В виду вышесказанного, осмотр профильного специалиста является первым и необходимым звеном диагностики.
В случае подтверждения назальной ликвореи необходима малотравматичная операция по восстановлению целостности основания черепа.
Источник: https://www.emcmos.ru/articles/chto-takoe-nazalnaya-likvoreya
Ликворея — аномальное явление, которое характеризуется истечением ликвора из черепной полости из-за механического повреждения твёрдой мозговой оболочки и костей основания.
Ликвором называют спинномозговую жидкость, постоянно циркулирующую в полостях головного мозга, ликворопроводящих каналах, подпаутинном пространстве спинного и головного мозга.
Она выполняет ряд важных функций, обеспечивая защиту последних и поддерживая обменные процессы между мозгом и кровью.
Пройти диагностику и курс лечения ликвореи в Москве приглашает неврологии ЦЭЛТ. Наша клиника является многопрофильном и работает на столичном рынке платных медицинских услуг уже третье десятилетие.
Обращаясь к нам, Вы можете рассчитывать на постановку точного диагноза и выяснение причины появления проблемы.
Наши неврологи и нейрохирурги используют современные методики лечения и проводят его в соответствии с международными стандартами.
Ликворея развивается вследствие нарушения целостности или дефекта твёрдых мозговых оболочек, которое может быть спровоцировано следующим:
- Врождённые аномалии ЦНС, сопряжённые с разрывом оболочек;
- Травматические повреждения костей основания черепа;
- Нарушения целостности костей решётчатой пазухи после хирургического вмешательства или проведения ЛОР-процедур;
- Нейрохирургические операции на мозге, сопровождающиеся наложением швов, через которые может просачиваться спинномозговая жидкость;
- Разрастающиеся новообразования добро- или злокачественной природы, поразившие область возле черепного основания;
- Патологические состояния соединительной ткани, характеризующиеся сильным истончением твёрдом мозговой оболочки.
Ликворея является опасным для здоровья и жизни пациента состоянием, поскольку провоцирует резкое снижение ВЧД и может стать причиной проникновения инфекции в систему кровообеспечения и ликворопроведения спинного и головного мозга. Её тяжёлыми осложнениями могут стать такие заболевания как энцефалит и менингит.
В зависимости от того, каким именно путём выделяется спинномозговая жидкость, выделяют два вида заболевания:
- Назальная ликворея — спинномозговая жидкость выделяется в область носоглотки, которую раздражает и провоцирует развитие бронхита и кашля. Последний возникает по ночам вследствие попадания ликвора в бронхи и трахею, если больной спит на спине. Другие клинические проявления назальной ликвореи заключаются в ухудшении обонятельной функции, как правило, с одной стороны. Помимо этого, могут наблюдаться и нарушения зрения. Это говорит о том, что имеются повреждения передних отделов черепного основания;
- Ушная ликворея — выделение спинномозговой жидкости происходит через ушные раковины при повреждениях височных костей. Заболевание проявляется снижение слуха и даже полной глухотой. Интенсивность первого зависит от того, насколько интенсивна утрата спинномозговой жидкости.
Что касается общемозговых симптомов ликвореи, то они заключаются в следующем:
- Головные боли сдавливающего характера умеренной интенсивности на фоне заложенности ушей и слабости;
- Состояние апатии, ухудшение памяти касательно текущих событий, пассивное поведение;
- Постоянное ощущение слабости, быстрая утомляемость, неспособность сконцентрировать внимание;
- Постоянное ощущение дискомфорта, подавленность, ощущение страха.
Диагностические исследования ликвореи проводятся комплексно и требуют применения целого ряда методик. Они представлены следующим:
- Проведение физикального обследования для выявления очаговой симптоматики;
- Лабораторные исследования крови;
- Риноскопия для диагностики носовой ликвореи;
- Отоскопия для диагностики ушной ликвореи;
- Эндоскопические исследования решётчатой пластинки;
- Краниография;
- Рентгенография придаточных носовых пазух;
- Компьютерная/магнитно-резонансная томография.
Наши специалисты разрабатывают тактику лечения ликвореи исходя из результатов диагностических исследований и индивидуальных показаний пациента.
Заболевание на начальных стадиях развития при отсутствии показаний к хирургическому вмешательству лечат консервативно, направив усилия на снижение производства ликвора и обеспечения оптимальных условий для заживления повреждённой области мозговой оболочки и восстановления её целостности.
Пациенту назначают специальный режим и рацион питания, исключающий риск запоров. Он должен оставаться в постели в течение десяти-двенадцати дней в положении, при котором потери ликвора снижаются и прекращаются.
Помимо этого, ему важно быть максимально осторожным во время кашля и чихания из-за повышения ВЧД.
Что касается медикаментозного лечения, то его назначают при инфекциях носовых и ушных путей, при болевой симптоматике, отёках мозга, для профилактики осложнений ЖКТ.
В отделении неврологии ЦЭЛТ ведут приём неврологи и нейрохирурги с многолетним опытом научной и практической работы. Вы можете записаться к ним на приём онлайн на нашем сайте или, связавшись с нашими операторами: +7 (495) 788 33 88.
Источник: https://www.celt.ru/napravlenija/nejrohirurgiya/zabolevanija/likvoreya/

Ликворея – истечение цереброспинальной жидкости через мозговые оболочки и дефекты в костях черепа или позвоночника. Может быть скрытая или явная, назальная, травматическая или послеоперационная. Опасна осложнениями: менингитом, энцефалитом, миелитом и пр.
Ликвор (спинномозговая или цереброспинальная жидкость) – вещество, постоянно омывающее головной мозг и циркулирующее по ликворопроводящим путям в субарахноидальном (расположенном под паутинной оболочкой) пространстве спинного и головного мозга. Ликворная жидкость защищает спинной и головной мозг от механических повреждений, поддерживает постоянное внутричерепное давление, метаболические и трофические процессы между кровью и клетками мозга.
Ликворея – истечение (потеря) спинномозговой жидкости вследствие нарушения целостности твердых мозговых оболочек через естественные или образовавшиеся после травмирования отверстия в черепных костях или позвоночнике или после нейрохирургических операций.
В естественном состоянии ликвор представляет собой бесцветную прозрачную маслянистую жидкость. При подключении воспалительных процессов он может приобретать помутнение или становиться кровянистым.
Достаточно часто истечение цереброспинальной жидкости протекает практически незаметно для больного, например, через носовые ходы в носоглотку или через ушные раковины или просачивается в подкожную клетчатку и накапливается там.
Основным условием возникновения ликвореи является разрыв или дефект твердых мозговых оболочек, который может произойти при:
- черепно-мозговых травмах с повреждениями костных структур основания (например, дна переднечерепной ямки, костей височной пирамиды и пр.);
- черепно-мозговых травмах с повреждениями костей свода черепа (пазухи лобной пластины);
- повреждении костей решетчатой пазухи, расположенной в носоглотке после выполнения ЛОР-процедур (промывания, дренирования) или хирургических вмешательств;
- после нейрохирургических операций на позвоночнике, спинном или головном мозге с наложением швов, через которые просачивается ликвор;
- инвазивно разрастающихся опухолях, локализующихся у основания черепа;
- врожденных аномалиях развития центральной нервной системы (например, черепно-мозговые и спинномозговые грыжевые выпячивания с разрывом оболочек) и пр.
Истечение ликвора опасно не только резким снижением внутричерепного давления, но и высокой вероятностью инфицирования ликворопроводящей и кровеносной системы, спинного и головного мозга. Тяжелыми осложнениями заболевания могут быть: менингит, энцефалит, миелит.
В зависимости от места локализации патологических процессов разделяют ликворею:
- Назальную или носовую (наступает при повреждении или переломах пластин решетчатой кости или клиновидных костей носоглотки). Ликвор выходит в полость носоглотки не только в горизонтальном положении, но и в вертикальном, раздражает верхние дыхательные пути, вызывая кашель и хронический бронхит.
- Ушную (наступает при переломах пирамиды височных костей). Цереброспинальная жидкость выходит наружу через слуховой ход, увлажняя подушку.
- Послеоперационную (проявляется при недостаточно туго наложенных послеоперационных швах или при начавшихся воспалительных осложнениях после перенесенного хирургического вмешательства). Жидкость вытекает через швы.
- Травматическую. В месте повреждения травмой (перелом позвоночника или костей черепа) мозговой оболочки.
В зависимости от проявления признаков:
- Скрытую. Истечение ликвора происходит в замкнутую полость тела, накапливается, образуя гематому и очаг воспаления, невидимый невооруженным глазом.
- Явную. Например, при спинномозговой грыже могут образовываться мешочки с накопившейся жидкостью, затем переходить в свищи, через которые и будет выходить ликвор.
Выход спинномозговой жидкости наружу происходит с характерной периодичностью (в зависимости от локализации патологии) от нескольких секунд до1-2 минут. При этом истечение может быть капельным или струйным, прекращаться при изменении положения тела или головы, и усиливаться при резких движениях или напряжении.
Первичная ликворея наступает сразу же после наступления травматического повреждения или после проведения операции. Вторичная – возникает через некоторое время после дефекта мозговых оболочек, жидкость скапливается подкожно, а затем образует свищ.
Ликворея проявляется следующими признаками:
- Истечением цереброспинальной жидкости из носа и ушных раковин преимущественно с одной стороны. Выход жидкости происходит из травматически поврежденных кожных покровов или через послеоперационные швы.
- Истекаемая жидкость прозрачная. Если она имеет мутноватый, бледно-розовый или с кровяными вкраплениями цвет, то в организме уже присутствует воспаление.
- Выход жидкости усиливается при наклонах головы вперед и/или в стороны, напряжении тела, резких движениях, физических нагрузках.
- Возникают нарушения сна, тупая головная боль или тянущее ощущение в затылке, связанное со снижением внутричерепного давления.
- Хронический кашель из-за постоянного раздражения истекаемым ликвором слизистых оболочек носоглотки и верхних дыхательных путей.
Назальные и ушные ликвореи чреваты развитием бронхитов и пневмонии, при попадании в желудочно-кишечный тракт могут вызвать гастрит, дисфункцию или воспаление кишечника. Однако самым опасным осложнением считается воспаление головного или спинного мозга и пневмоцефалия (проникновение воздуха в полость черепа).
Для уточнения диагноза ликвореи и с целью выявления возможных аномалий и повреждения костей черепа проводят серию рентгенографических томограмных снимков. Для исключения серозного ринита проводят забор отделяемой жидкости и исследуют ее на содержание сахара (сахар содержится в спинномозговой жидкости и дает отрицательный результат при рините).
Церебральная фистулоцистернография проводится при помощи введения в подпаутинное пространство оболочек спинного мозга контрастного изотопного вещества. Наблюдение за передвижением контраста к головному мозгу и в нем проводится рентгенографическими аппаратами в прямой и боковой проекции. Направление перетекания раствора регулируется наклонами и поворотами головы пациента.
При травматических повреждениях позвоночного столба или черепа используют обычные рентгеновские снимки, а для уточнения изображения – МРТ или КТ исследования. При подозрении на образование воспалительных процессов проводят люмбальную пункцию (забор ликвора для лабораторного обследования).
Пациенты с ликвореей немедленно госпитализируются в неврологическом или нейрохирургическом отделении.
При назальном истечении голове придают возвышенное положение и начинают дигедратирующую терапию (обезвоживание организма). Постельный режим сохраняется на протяжении двух-трех недель.
Не рекомендуется делать резких движений или напрягать тело, необходимо найти положение, при котором выход ликвора прекращается или становится минимальным.
При необходимости проводят наружное дренирование ликворного скапливания для предотвращения закрытия свища, что может случиться при активизации воспалительных процессов. Обязательно подключают противовоспалительную антибактериальную и сульфаниламидную терапию, а по мере необходимости вводят обезболивающие препараты общего или местного назначения.
Но и классическое лечение и операция требуют полного покоя больного, положительного психологического настроя, ухода медперсонала, ограничения физических нагрузок и длительного времени реабилитации.
К.М.Н., академик РАМТН М.А. Бобырь
Источник: https://www.Spina.ru/inf/states/1898
Ликворея — заболевание, характеризующееся выделением ликворы из организма. Это жидкость, которая обеспечивает питание в области головного мозга, находится между оболочками органа и костной тканью черепа.
Ликвора, или по-другому цереброспинальная жидкость, располагается между спинным мозгом и позвоночником. Ликворея прогрессирует после разрыва оболочки мозга. Заболевание требует консультации у невропатолога.
Заболевание характеризуется следующими признаками:
- ликвора начинает вытекать из носа, ушей. Чаще симптом развивается только на одной стороне. Жидкость вытекает из швов после оперативного вмешательства, ссадин и царапин;
- выделяемая жидкость не имеет цвета, мутный или розовый оттенок жидкости свидетельствует о воспалительном процессе;
- ликвора интенсивнее выделяется при наклонах головой, напряжении мышечных тканей, резких движениях, физическом труде;
- больные жалуются на нарушенный режим сна;
- развиваются болезненные ощущения ноющего характера, прогрессируют в затылочной части, объясняется это внутричерепным давлением;
- появляется постоянный кашель, объясняется хроническим раздражением слизистых носоглотки;
- при истечении ликворы ушного характера повышается риск прогрессирования пневмонии или бронхита;
- длительное развитие заболевание провоцирует обезвоживание, кожный покровы становятся сухими, больной теряет вес.
Болезнь развивается при повреждении мозговой оболочки:
- черепно-мозговые травмы, характеризующиеся повреждением костей лобной пазухи;
- оперативное вмешательство в головной или спинной мозг, а также в позвоночник;
- черепно-мозговые травмы, характеризующиеся повреждением костных тканей основания черепа;
- новообразования злокачественного или доброкачественного характера в районе головного мозга;
- врожденные отклонения в развитии нервной системы, например, грыжа в районе головного мозга;
- неправильная структура черепа;
- повреждения решетчатой костной ткани после удаления полипов;
- болезни соединительной ткани, провоцирующие истончение оболочки головного или спинного мозга, а также высокую подвижность суставных тканей;
- заболевания воспалительного характера головного мозга;
- у детей ликворея ушного типа развивается при отклонениях в формировании ушного лабиринта.
Заболевание классифицируется в зависимости от локализации:
Характеризуется выделением жидкости в область носоглотки, провоцируется раздражением путей дыхания. У больного развивается кашель, бронхит. Прогрессирует при повреждении решетчатой кости.
Развивается при повреждении височных костных тканей. Ликвора выделяется через ушные раковины.
Прогрессирует при некачественно наложенных швах после оперативного лечения или при воспалительном процессе после операции. Цереброспинальная жидкость выделяется через швы.
Прогрессирует после физического повреждения ,например, перелома черепа.
Для составления курса лечения требуется установить причину возникновения заболевания. Врач собирает анамнез. Диагноз ставят после прохождения рентгенографических томограмных снимков. Чтобы исключить возможность развития ринита серозного характера, который имеет схожую симптоматику, назначают анализ выделяемой жидкости на уровень сахара.
При физическом повреждении головы или спины пациента направляют на рентгенографию, при необходимости используют компьютерную томографию или МРТ.
Если врач предполагает развитие воспаления, проводят люмбальную пункцию. Возможно назначение консультации у специалистов другого профиля, например, у травматолога.
Врачи клиники ЦМРТ для диагностики ликвореи рекомендуют прохождение следующих процедур:
Ликворею лечит невролог. Он ставит диагноз, назначает лечение и наблюдает пациента. Если лечение не приносит должных результатов, корректирует его.
Тактика лечения зависит от причины возникновения заболевания. Чтобы избавиться от боли используют противовоспалительные средства. Назначают мочегонные и антибактериальные препараты. Вылечить заболевание помогают люмбальные дренажи.
Врач обеспечивает пациенту приподнятое положение головы. Больному рекомендуют не сморкаться. При низкой эффективности консервативных методик используют оперативное вмешательство.
В сети клиник ЦМРТ для лечения ликвореи применяют:
При отсутствии своевременной помощи больному возможен ряд осложнений:
- увеличивается риск прогрессирования менингита, объясняется проникновением инфекционного возбудителя через носоглотку в мозг;
- усиливаются болезненные ощущения, объясняется снижением внутричерепного давления;
- прогрессирует пневмоцефалия в случае проникновения воздуха в церебральную оболочку;
- при попадании жидкости спинного мозга в пути дыхания развивается пневмония и бронхит;
- цереброспинальная жидкость при попадании в желудочно-кишечный тракт провоцирует гастрит и нарушение функциональности внутренних органов.
Чтобы снизить риск развития осложнений и прогрессирования заболевания рекомендуется соблюдать следующие правила:
- после травмы головы тщательно осмотреть рану, при серьезных повреждениях обратиться к врачу;
- своевременно заниматься лечением врожденных аномалий, которые увеличивают риск возникновения ликвореи;
- проходить профилактический осмотр у врача раз в 12 месяцев;
- для выполнения отоларингических процедур обращаться к опытному доктору;
- ответственно подходить к выбору врача для проведения хирургического лечения;
- принимать лекарства согласно инструкции и рекомендациям врача.
Точность диагностики и качественное обслуживание — главные приоритеты нашей работы. Мы ценим каждый отзыв, который оставляют нам наши пациенты.
Панина Валентина Викторовна
Актриса, заслуженная артистка РСФСР
Узнала о вас в интернете — нужно срочно сделать МРТ.
И вот после спектакля я у вас. Мне очень понравились ваши сотрудники. Спасибо за внимание, доброжелательность и точность.
Пусть у вас всё будет так же хорошо на душе, как у меня сейчас, несмотря на все проблемы…
Будьте!!! Нам на радость! Ваша Панина В.В.
Открыть скан отзыва
Array( [ID] => 107 [~ID] => 107 [CODE] => [~CODE] => [XML_ID] => 107 [~XML_ID] => 107 [NAME] => Панина Валентина Викторовна [~NAME] => Панина Валентина Викторовна [TAGS] => [~TAGS] => [SORT] => 100 [~SORT] => 100 [PREVIEW_TEXT] =>
Узнала о вас в интернете — нужно срочно сделать МРТ.
Пусть у вас всё будет так же хорошо на душе, как у меня сейчас, несмотря на все проблемы…
Будьте!!! Нам на радость! Ваша Панина В.В.
[~PREVIEW_TEXT] =>
Узнала о вас в интернете — нужно срочно сделать МРТ.
Пусть у вас всё будет так же хорошо на душе, как у меня сейчас, несмотря на все проблемы…
Будьте!!! Нам на радость! Ваша Панина В.В.
Источник: https://cmrt.ru/zabolevaniya/nervnoy-sistemy/likvoreya/
Поделиться:









