Ликвор – это спинномозговая жидкость, которая окружает спинной и головной мозг, заполняя пространство между ними.
Она призвана защищать их от травмирующих механических воздействий, поддерживает обменные процессы между центральной нервной системой и кровью, обеспечивает стабильность внутричерепного давления.
Ликвор постоянно циркулирует в желудочках головного мозга. Эта жидкость образуется в мозге, общий объем составляет 150–270 мл.
Часто ликворея из носа остается не замеченной и расценивается как проявление насморка или простуды. Это обусловлено тем, что спинномозговая жидкость по структуре напоминает выделения при рините, она такая же прозрачная, но имеет немного маслянистую структуру. Но особенность в том, что преимущественно она течет только с одной ноздри.
При травмировании черепа или позвоночника может развиться такое осложнение, как ликворея – патология, при которой вытекает спинномозговая жидкость. Она может выходить через ушной или носовой проходы. В большинстве случаев причиной возникновения назальной ликвореи являются травмы, которые сопровождаются нарушением целостности лобной или основной пазухи, а также решетчатого лабиринта.
На их фоне происходит разрыв или повреждение мозговой оболочки, что является определяющим фактором выхода ликвора. Такой же дефект мозговых желудочков становится причиной истечения спинномозговой жидкости. На фоне происходящих патологических процессов между черепными костями и лицевыми пазухами образуется канал, по которому выходит жидкость.
Следующие состояния реже, но все же могут быть причиной истечения спинномозговой жидкости:
- врожденные аномалии строения черепа;
- гидроцефалия;
- внутриутробные патологии развития плода;
- повреждения после операций на голове;
- свищ в черепе.
В практике встречаются случаи и спонтанного истечения ликвореи. Такая форма патологии является результатом врожденного дефекта решетчатой пластинки в черепе и твердой оболочки мозга.
На фоне такой аномалии выход спинномозговой жидкости происходит периодически и останавливается самопроизвольно. Подобное проявление вызвано тяжелой физической нагрузкой, а именно после поднятия тяжести. Венозный застой и повышенное внутричерепное давление также вызывает выход ликвора из носа.
По форме проявления рассматриваемая патология подразделяется на первичную, которая возникает сразу или спустя короткое время после травмы, и вторичную, проявляющуюся через некоторое время. Во втором случае между костями черепа успевает образоваться свищ.
Черепно-мозговая травма – частая причина ликвореи из носа
Носовая ликворея имеет как внешние, так и внутренние проявления. Прежде всего, привлекает внимание выделение прозрачной жидкости из носового прохода. Но этот признак с легкостью можно спутать с начальными признаками простуды или аллергии. Но в случае ликвореи выделения постоянные и могут временно прекращается лишь после изменения положения тела.
Истечение жидкости происходит с той стороны носа, в которой образовалась трещина или иное повреждение. Появление носовых выделений сопровождается головной болью.
Если причиной повреждения твердой оболочки головного мозга и черепа явилась автомобильная авария, из-за которой произошел сильный удар головой, ликвор будет содержать примесь крови. Для определения того, что вытекающая из носа жидкость является ликвором, и произошло повреждение целостности черепа и твердой оболочки мозга, врач должен проанализировать жалобы больного и его анамнез.
https://youtube.com/watch?v=hcvGX3_ZDIw
Важно выяснить, когда первый раз были замечены признаки истечения ликвора, и при каких обстоятельствах могла произойти черепно-мозговая травма, осуществлялись ли хирургические манипуляции на голове. Проводится осмотр черепа и позвоночника на предмет наличия дефектов определяется, откуда вытекает спинномозговая жидкость, выявляются признаки перелома основания черепа.
Это можно распознать по кровоизлияниям вокруг глаз и на затылке. Назначается анализ истекающих выделений, который позволит понять, является ли это спинномозговой жидкостью. В этом плане важным показателем является глюкоза. В ликворе ее содержится много, а в носовой слизи мало. Кроме того, назначается эндоскопический осмотр полости носа.
Жидкость из уха
В диагностических целях проводится так называемая проба носового платка. Если вытекает ликвор, то после протирания носа платком на ткани останутся маслянистые разводы.
После высыхания он останется мягким, а классические носовые выделения после попадания на ткань засыхают, приобретая корковую структуру.
При возникновении диагностических трудностей назначается компьютерная томография околоносовых пазух и головы. С помощью этого метода изучается послойное строение костей черепа, и выявляются возможные повреждения. Для постановки окончательного диагноза требуется консультация отоларинголога и нейрохирурга.
Признаки истечения мозговой жидкости напоминают ОРВИ и грипп
Поскольку назальная ликворея является серьезной патологией, она требует комплексного лечения для предотвращения развития осложнений.
В зависимости от степени тяжести течения заболевания лечение осуществляется консервативными или хирургическими методами.
Медикаментозная терапия направлена на сокращение выработки спинномозговой жидкости и снижение давления. Также необходимо создать условия для прекращения истечения ликвора.
Некоторые специалисты считают нецелесообразным установку дренажа для больных со свежей ликворной фистулой. Объясняется это тем, что в этом случае увеличивается риск развития осложнений в виде менингита. В зависимости от симптоматики назначаются слабительные препараты, лекарства от кашля, антигипертензивные средства.
Считается, что консервативное лечение поможет избавиться от заболевания только на начальном этапе его развития. Именно в этот период есть вероятность, что патология разрешится самопроизвольно. Но так как назальная ликворея имеет тенденцию к рецидивам, длительная консервативная терапия способна ухудшить дальнейшее течение заболевания.
Когда выясняется, что лекарственное лечение не способно устранить заболевание, принимается решение о проведении операции.
Выполняется ушивание разрыва твердой мозговой оболочки и восстановление нарушения целостности кости черепа. Если ликворея возникла из-за свища в черепе, то проводится очищение отверстия и его ушивание.
При невозможности последнего проводится герметизация отверстия от свища любыми доступными способами, поскольку постоянное истечение ликвора и открытый доступ к проникновению инфекции угрожают жизни пациента.
В тяжелых случаях требуется оперативное устранение ликвореи
При отсутствии лечения риноликворея может стать причиной развития осложнений со стороны других органов. Так, рассматриваемая патология чревата менингитом, менингоэнцефалитом, вентрикулитом или миелитом. Подобные нарушения возникают, когда воспалительный процесс из носа переходит в полость черепа.
При проникновении воздуха внутрь черепа через отверстие поврежденных костей может развиться пневмоцефалия. Когда спинномозговая жидкость проникает в нижние дыхательные пути, то не исключается развитие пневмонии или бронхита. А если большое количество ликвора истекает в желудочно-кишечный тракт, то не исключается гастрит.
https://youtube.com/watch?v=w9nLra-ga2A
Для предотвращения ликвореи необходимо тщательно осматривать раны на голове после черепно-мозговых травм, а также своевременно обращаться за хирургическим лечением. Важно при возникновении повреждений твердой оболочки мозга либо после проведения нейрохирургических операций тщательно ушивать такие дефекты.
Источник: https://superlor.ru/diagnostika/nazalnaya-likvoreya
Рассказывает Дмитрий Капитанов, оториноларинголог, отоневролог, профессор, доктор медицинских наук
Назальная ликворея (НЛ) – истечение спинномозговой жидкости в полость носа – довольно редкое, но потенциально летальное заболевание, которое далеко не всегда правильно диагностируется врачами и может долгие годы существовать под маской аллергического или вазомоторного ринита. Ликворная фистула (канал, через который стекает жидкость) возникает из-за дефекта костных структур и мозговых оболочек. Если костный дефект большой, через него могут провалиться оболочки и вещество мозга, создавая грыжевой мешок, который называется менинго(энцефало)целе.
Подобная фистула может образоваться как следствие черепно-лицевой травмы, предшествующей операции в полости носа и на основании черепа. Или спонтанно, на фоне повышенного внутричерепного давления. Таким образом, различают травматическую и спонтанную назальную ликворею.
В свою очередь спонтанная назальная ликворея может быть врожденная, как результат внутриутробного нарушения формирования костных структур основания черепа, так и приобретенная. В последнем случае фистула может сформироваться на фоне разнообразных проблем.
Сюда относятся обменные нарушения, повышенный вес, увеличение внутричерепного давления, аномалии развития передних отделов основания черепа и т.д.
Само по себе обильное выделение жидкости из носа достаточно неприятно, поскольку серьезно снижает качество жизни. Но более серьезным осложнением является менингит, т.е.
воспаление оболочек и вещества мозга, поскольку есть условия для проникновения инфекции из полости носа в полость черепа при любом простудном заболевании.
Другим грозным осложнением является пневмоцефалия, когда воздух внедряется в полость черепа через открытую фистулу. Указанные осложнения требуют экстренной госпитализации пациента.
Симптомы профузной назальной ликвореи:
При наклоне головы из одной половины носа выделяется прозрачная, светлая жидкость.
Скрытая, рецидивирующая назальная ликворея диагностируется сложнее и требует применения всего арсенала методик – лабораторных и лучевых.
В положении лежа на спине возникает кашель, поскольку стекающий в ротоглотку ликвор может попадать в нижние отделы дыхательных путей, вызывая реактивный ларингит, трахеит и даже пневмонию.
У пациента с назальной ликвореей, как правило, имеется черепно-мозговая травма в анамнезе, либо операция, затрагивающая нос и околоносовые пазухи, в том числе эндоскопическая. При этом спонтанная назальная ликворея может начаться внезапно без явной видимой причины.
В первую очередь врач определяет характер выделений:
- сторону, с которой идут выделения,
- периодичность,
- специфические положения головы, при которых они появляются,
- зависимость объема выделений от напряжения (проба Вальсальвы).
На рисунке показан визуальный осмотр пациента. При наклоне головы вниз из носа начинает выделяться прозрачная жидкость.
Назальную ликворею часто принимают за ринит (аллергический или вазомоторный). Так же пациентам она может напомнить состояние, когда нос орошают жидкими лекарственными средствами.
Профузная назальная ликворея может самостоятельно прекращаться на некоторое время при этом пациенты отмечают головную боль из-за колебаний внутричерепного давления.
О повреждении передних отделов основания черепа могут свидетельствовать:
- нарушение обоняния (гипосмия или аносмия),
- проблемы со зрением.
В стандартное обследование должны входить:
- Эндоскопическое исследование носа и околоносовых пазух (на рисунке — эндоскопия полости носа прямым эндоскопом; в проекции задней стенки клиновидной пазухи виден небольшой костный дефект, через который поступает ликвор).
- Риноскопия.
- Обследование слуха на предмет наличия ушной ликвореи,
- Неврологическое обследование,
- Биохимический анализ жидких выделений из носа на уровень глюкозы, определение специфических для ликвора белков (бета-2 фракция трансферина, трейс белок).
Методы лучевой диагностики:
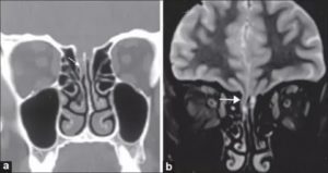
- Компьютерная томография (КТ) основания черепа и околоносовых пазух (на рисунке определяется большой дефект основания черепа в проекции ситовидной пластинки с формированием менингоцеле (показано стрелкой)).
- КТ-цистернография с эндолюмбальным введением контраста для более точного определения расположения дефекта в основании черепа. Это исследование выполняется в условиях стационара.
- КТ черепа и головного мозга для исключения гидроцефалии, новообразований основания черепа, выявления менингоцеле.
- Магнитно-резонансная томография (МРТ) – дополнение к КТ для исключения менингоэнцефалоцеле.
- Ликворо-чувствительная МРТ. Неинвазивный метод, не обладает радиационной нагрузкой и занимает немного больше времени, чем обычная МРТ.
Лечение назальной ликвореи в основном хирургическое. Долгие годы оно требовало тяжелых, подчас инвалидизирующих вмешательств на основании черепа с использованием транскраниальных доступов.
За последние три десятилетия развитие методов эндоназальной эндоскопической хирургии в корне изменило ситуацию, и теперь большинство случаев назальной ликвореи может быть излечено путем щадящих малоинвазивных вмешательств, выполняемых без наружных разрезов через полость носа под эндоскопическим контролем, что позволяет хирургу значительно улучшить обзор операционного поля. Эндоскоп помогает хирургу определить место ликворного свища, аккуратно отделить слизистую оболочку от костного дефекта и точно установить трансплантат на место повреждения.
Способ хирургического вмешательства определяется совместно оториноларингологом-хирургом и нейрохирургом. В ряде случаев требуется именно нейрохирургической вмешательство. Например:
- Крупные или множественные дефекты кости.
- Черепно-мозговая травма со сдавлением мозга.
- При повышенном внутричерепном давлении, когда нельзя проводить пластику свища, прежде чем гипертензия не будет устранена с помощью операции шунтирования.
- При сложном расположении свища.
Лечение назальной ликвореи в первую очередь направлено на восстановление барьера между полостью носа и интракраниальным пространством, чтобы не развилась внутричерепная инфекция.
При этом для пластики небольших дефектов основания черепа можно использовать мягкие ткани, а не костные фрагменты.
Но при крупных дефектах кости они должны быть закрыты плотным хрящевым трансплантатом, чтобы не сформировалось энцефалоцеле (мозговой грыжи).
После операции пациентам обычно рекомендует следовать следующим рекомендациям: избегать повышенных физических нагрузок, длительного натуживания, форсированного кашля. Режим должен быть максимально щадящим.
По возможности стараться больше находиться в лежачем положении, головной конец кровати приподнять.
Если признаки назальной ликвореи полностью пропадут, пациента выписывают с рекомендациями, которые необходимо выполнять в течение как минимум 6 недель.
В течение 3-10 дней после операции часть фрагментов тампонов из полости носа рекомендуется аккуратно удалить. При этом рассасывающиеся материалы, расположенные непосредственно около трансплантата, остаются и удаляются позже. На весь послеоперационный период назначают антибиотики в дозах, предотвращающих развитие синусита.
https://youtube.com/watch?v=RvFq3_nQb44
В позднем послеоперационном периоде при каждом обращении пациента проводится эндоскопическое исследование для исключения рецидива энцефалоцеле, особенно если выполнялась пластика большого дефекта. Важно в последующем проводить дифференциальную диагностику риноликвореи с аллергическими, вазомоторными и вирусными ринитами.
Резюме: таким образом, назальная ликворея — редкое, но достаточно опасное заболевание, которое может привести к серьезным осложнениям, включая менингит и пневмоцефалию.
Дифференциациальная диагностика с ринитом не всегда проста и однозначна, поэтому вовремя установленный правильный диагноз является залогом адекватного лечения. В виду вышесказанного, осмотр профильного специалиста является первым и необходимым звеном диагностики.
В случае подтверждения назальной ликвореи необходима малотравматичная операция по восстановлению целостности основания черепа.
Источник: https://www.emcmos.ru/articles/chto-takoe-nazalnaya-likvoreya
Иногда за привычными и несущественными симптомами скрываются достаточно серьезные патологии. Например, выделение жидкого секрета из носовых ходов не всегда возникает при насморке. Данное расстройство может указывать на назальную ликворею. Признаки, методы диагностики и варианты лечения этой болезни будут подробно рассмотрены в сегодняшней статье.
Ликвор — цереброспинальная жидкость, основная функция которой состоит в обеспечении полноценной работы головного мозга. У здорового человека этот прозрачный и водянистый секрет заполняет его желудочки и цистерны, центральный канал спинного мозга. Ликвор выполняет амортизирующую роль, поддерживая постоянство внутричерепного давления и электролитного баланса.
Посредством цереброспинальной жидкости выводятся продукты распада мозгового метаболизма. Она постоянно циркулирует в замкнутом пространстве: из желудочков поступает в субарахноидальное пространство, а оттуда — в венозные синусы. Обновление происходит примерно 4 раза в сутки. По своему составу водянистый секрет напоминает плазму крови.
Назальная ликворея развивается по причине нарушения целостности черепа. Носовая полость отделяется от внутричерепной придаточными пазухами. При своем истечении прозрачный секрет сначала заполняет одну из околоносовых пазух.
Как правило, речь идет о клиновидной, лобной или решетчатом лабиринте. Затем из соответствующей придаточной пазухи ликвор вытекает непосредственно в носовую полость.
Жидкость может изливаться через ноздри наружу или проникать в пищевод посредством носоглотки.
Для этого обязательным условием является повреждение стенок, ограничивающих циркуляцию спинномозговой жидкости. Чаще всего в роли причины назальной ликвореи выступают черепно-мозговые травмы.
Они случаются на фоне автомобильных катастроф, падений с высоты или ранений. В перечисленных ситуациях повреждаются следующие структуры:
- решетчатый лабиринт;
- передняя черепная ямка;
- лобная/клиновидная пазухи;
- пирамидка височной кости.
Бывают случаи нарушения целостности костных стенок во время хирургических вмешательств в ЛОР-практике и нейрохирургии. Речь идет об операциях по удалению полипов или гнойных осложнений синуситов.
Среди других причин заболевания врачи отмечают:
- опухолевые процессы в организме;
- грыжи мозговых оболочек;
- длительную внутричерепную гипертензию.
Отдельно следует рассмотреть случаи спонтанной назальной ликвореи. Это весьма редкое заболевание, которое может быть спровоцировано врожденными нарушениями в структуре решетчатой пластинки черепа и граничащей с ней части твердой оболочки мозга.
В этом случае излитие секрета происходит периодически и прекращается самостоятельно. Обычно симптомы расстройства проявляются после физической активности, особенно после подъема тяжестей.
Возникновение недуга некоторые врачи связывают с наследственными патологиями мозга, обусловленными венозными застоями и повышенным внутричерепным давлением.
Любая патология имеет свои разновидности. Назальная ликворея может проявляться в двух формах:
- Первичная возникает сразу после повреждения или получения травмы.
- Вторичная появляется через какой-то промежуток времени, необходимый для формирования свища.
В зависимости от внешних проявлений заболевание может обладать явным или скрытым течением. Последний вариант достаточно сложно диагностировать своевременно. В этом случае жидкость не выделяется наружу, а постоянно проглатывается пациентом.
Симптомы назальной ликвореи могут быть как внешними, так и внутренними. На какие признаки в первую очередь обращает внимание больной?
Сначала из носа периодически вытекает прозрачная жидкость. Ее большинство пациентов воспринимает за первичные проявления насморка. Однако от обычного секрета ликворейный отличается более маслянистой структурой. Кроме того, уровень истечения — непрерывный, а прекращается только во время изменения положения тела.
Другим симптомом заболевания является головная боль. Ее появление обусловлено уменьшением объема ликвора и понижением давления. У некоторых пациентов во время сна появляется кашель, возникает чувство удушья. Эти явления связаны с тем, что секрет не изливается наружу, а проникает прямо в дыхательные пути.
Диагностика назальной ликвореи обычно осуществляется в несколько этапов. Когда пациент поступает в медицинское учреждение с черепно-мозговой травмой, его сразу отправляют на МРТ или КТ. Такое обследование позволяет быстро обнаружить дефекты мозговых оболочек, спровоцированные нарушением целостности костей черепа.
В противном случае, когда травма незначительная или пациент долго не обращался за медицинской помощью, диагностика патологии сводится к внешнему осмотру, изучению анамнеза. Врач обращает внимание на события, которые предшествовали симптоматике (травмы, операции, автомобильные аварии или иные повреждения).
Иногда только клинических проявлений для подтверждения диагноза недостаточно. Если заболевание имеет нетравматическое происхождение, его необходимо дифференцировать с серозными выделениями.
С этой целью проводится анализ секрета с определением показателей белка и сахара в нем. Для назальной ликвореи характерно содержание глюкозы в пределах 10-50%, а белка — не выше 0,33 г/л.
При обычном насморке значения абсолютно противоположные: много белка и практически нет сахара.
Терапия при этом заболевании направлена не только на его устранение, но также на ликвидацию первопричины. Поэтому врачи используют как консервативные, так и хирургические методы воздействия. Рассмотрим, что представляет собой каждый из них более подробно.
Консервативное лечение назальной ликвореи начинается с обеспечения пациенту постельного режима. Ему категорически запрещено наклоняться, тужиться, сморкаться, чихать и даже кашлять. Такой подход позволяет минимизировать истечение жидкости.
Чтобы избежать проникновения инфекции в оболочки мозга, больному прописывают антибиотики и НПВС. Для уменьшения давления жидкости в черепе может потребоваться помощь мочегонных препаратов. В особо серьезных случаях проводится люмбальная пункция.
Когда консервативная терапия оказывается неэффективна, рекомендуется хирургическое вмешательство. Операция при назальной ликворее также показана в случае серьезных черепно-мозговых травм, огнестрельных ранений.
В ходе хирургических манипуляций врач выполняет ушивание разрывов мозговой оболочки. Ему приходится восстанавливать целостность черепных костей. Последующее лечение подразумевает под собой прием антибактериальных препаратов, чтобы минимизировать риск развития воспаления.
При обнаружении свища хирург первоначально проводит тщательную очистку хода. Затем его ушивает и герметизирует всеми доступными методами. Данные манипуляции играют важную роль, поскольку они позволяют минимизировать риск развития серьезных осложнений. Речь идет о присоединении вторичной инфекции и постоянном истечении цереброспинальной жидкости.
При серьезных повреждениях черепной коробки истечение ликвора может быть весьма интенсивным, что указывает на резкое падение внутричерепного давления. Данное расстройство всегда сопровождается сильными головными болями, а иногда провоцирует потерю сознания.
Наиболее часто врожденный или приобретенный дефект костей основания черепа (передней черепной ямки) при носовой спонтанной ликворее локализуется в следующих его образованиях:
- клиновидном синусе (43%)
- решетчатой кости (29%)
- ситовидной пластинке (29%)
Реже дефект основания черепа находится в задней стенки лобной пазухи. Ещё реже ликворная фистула может располагаться в пирамиде височной кости. В этом случае спинномозговая жидкость (ликвор) попадает сначала в полость среднего уха, а потом через слуховую трубу в носоглотку и полость носа.
Источник назальной спонтанной ликвореи на МРТ головного мозга с контрастированием (показан белой стрелкой).
При ушной спонтанной ликворее нарушается целость барабанной перепонки и костный дефект локализуется в крыше барабанной полости (средняя или задняя черепная ямка).
Предрасполагающие факторы для возникновения спонтанной ликвореи:
- ожирение
- врожденные дефекты основания черепа (ситовидная пластинка, решетчатая, клиновидная и лобная пазухи)
- широкие ячейки (гиперпневматизация) клиновидного синуса
- пустое турецкое седло
Локализация спонтанной ликвореи в боковом отделе клиновидной кости, а также большие дефекты костей основания черепа увеличивают вероятность возникновения рецидивирующей формы спонтанной ликвореи у пациента.
В основе спонтанной ликвореи может лежать заболевание соединительной ткани, например, синдром Марфана, при котором наблюдается истончение твердой мозговой оболочки, гиперподвижность суставов, повышенная эластичность кожи, отслойка сетчатки.
Причиной спонтанной ликвореи могут так же являться патологические процессы головного мозга и костей черепа (воспалительного, опухолевого или дисэмбриогенетического происхождения). Ряд авторов считают, что при спонтанной ликворее постоянно или периодически у пациентов повышается внутричерепное давление, что препятствует самостоятельному закрытию дефекта твёрдой мозговой оболочки (фистулы).
Разрыв перепонки круглого окна в стенке костного лабиринта, отделяющего полость среднего уха от полости улитки, лежит ниже овального окна, закрытого слуховой косточкой. Может быть истоником ушной спонтанной ликвореи.
Чаще всего дефект твёрдой мозговой оболочки (ликворная фистула) образуется в паутинной и твердой мозговых оболочках, тесно связанных с обонятельными нитями, которые проходят через тонкую ситовидную пластинку. Здесь часто возможны врожденные дефекты, формирующиеся в эмбриональном периоде.
Ушная спонтанная ликворея имеет возрастные отличия. У детей причиной является врожденный порок развития лабиринта, который способствует возникновению рецидивирующего менингита и глухоты.
У взрослых причинами спонтанной ликвореи может быть выпячивание паутинной оболочки через врожденный дефект крыши барабанной полости, либо приобретенный дефект паутинной оболочки вследствие динамических факторов (повышенное внутричерепное давление).
Дефекты крыши барабанной полости чаще являются множественными.
Возникновение орбитальной спонтанной ликвореи связывают с повторяющимися воспалительным процессом в лобных пазухах (хронический фронтит). Патологический процесс при орбитальной спонтанной ликворее захватывает у пациента орбиту глазного яблока и переднюю черепную ямку.
Спонтанная ликворея встречается чаще у женщин, страдающих ожирением (94%). Средний возраст больных со спонтанной ликвореей составляет 49,6 года, а индекс массы тела 35,9 кг/м2.
Для спонтанной ликвореи характерны головные боли при смене положения тела (ортостатические головные боли). Это может быть связано с понижением внутричерепного давления (интракраниальная гипотензия).
Описаны случаи, когда головные боли у пациентов при спонтанной ликворее появляются при минимальной нагрузке, а не при изменении положения тела.
Такие головные боли носят антиортостатический характер, что можно объяснить повышением внутричерепного давления у пациента.
В случае длительной и обильной ликвореи у больного могут наблюдаться признаки общего ослабления (астенизации) и обезвоживания (дегидратации) в виде сухости кожных покровов и видимых слизистых, а также похудания. При скрытой и незначительно выраженной ликворее жалобы у пациента могут отсутствовать.
При явной носовой ликворее у больных может возникать ночной кашель в результате попадания спинномозговой жидкости (ликвора) в трахеи и бронхи при длительном положении больного на спине. Это может повлечь за собой последующее развитие бронхита.
Носовая спонтанная ликворея проявляется в виде водянистых выделений из носа.
Важным симптомом носовой спонтанной ликвореи у пациентов является нарушение обоняния в виде его снижения или понижения (аносмия, гипосмия). Нарушение обоняния возникает чаще с одной стороны. Нарушение зрения свидетельствует в пользу повреждения передних отделов основания черепа.
Для отореи (истечение ликвора из уха) характерны глухота или снижение слуха. Снижение слуха прямо пропорционально интенсивности ликвореи, поскольку спинномозговая жидкость (ликвор) сообщается с перилимфой через водопровод улитки.
Опасность серьезных интра- и экстракраниальных осложнений обусловливает необходимость своевременной диагностики и выбора лечебной тактики при спонтанной ликворее. Спонтанная ликворея представляет опасное для жизни больного заболевание из-за угрозы инфицирования ликворной системы (гнойный менингит) вследствие сообщения полости черепа с внешней средой.
Если у пациента в анамнезе имелся эпизод неменингококкового менингита, особенно рецидивирующего характера, то это может свидетельствовать об имеющейся у него ликворее.
Диагностика у больного явной ликвореи не представляет для врача большой трудности. При носовой спонтанной ликворее после наклона головы вниз из одной половины носа начинает капать прозрачная светлая жидкость.
Отличить выделения из носа у пациента при ликворее от вазомоторном и аллергическом рините можно путем определения уровня глюкозы в выделяемой из носа жидкости. В ликворе он значительно выше, чем в отделяемом при рините.
При смачивании ликвором салфетки или носового платка последний высыхает не отвердевая в отличие от выделений при рините. Разработан так же альтернативный метод дифференциальной диагностики спонтанной ликвореи.
Он заключается в анализе продуктов двумерного электрофореза носового отделяемого. При незначительном или периодическом истечении ликвора у пациента диагностика спонтанной ликвореи становится затруднительной.
В зависимости от причин возникновения (этиологии), клинических проявлений, симптомов и возможностей лечебного учреждения для распознавания спонтанной ликвореи у больного используются следующие методы:
- тест на β-2-трансферрин
- эндоскопический осмотр
- радиоизотопные методы диагностики
- тесты с красителями
- лучевые методы диагностики – МРТ, КТ, рентгенография костей черепа с контрастированием ликвора
Эндоскопический осмотр полости носа чаще всего служит для визуального определения изливающейся спинномозговой жидкости (ликвора) и/или места ее истечения.
Эндоскопическое исследование полости носа в синем свете еще более эффективно.
При длительно существующей у больного носовой ликворее в ряде случаев можно определить атрофические изменения слизистой оболочки с истончением и мацерацией покровного эпителия.
https://youtube.com/watch?v=U9lfkbRcqbw
Радиоизотопный метод является достаточно чувствительным для диагностики ликвореи вообще, но не для локализации ликворного свища. Используются так же тесты с красителями — индигокармином, флюоресцирующими веществами, метиленовой синью.
Определение β-2 фракции трансферрина (тау-белка) в отделяемом из носа в настоящее время является золотым стандартом при подтверждении диагноза спонтанной ликвореи. β-2 фракция трансферрина (тау-белок) является специфическим белком, который содержится только в ликворе.
Магнитно-резонансная томография (МРТ) головного мозга и его ликворных цистерн (цистернография) проводится при диагностике спонтанной ликвореи.
Эффективность и чувствительность КТ-цистернографии в диагностике спонтанной ликвореи достигает 71-87%. Если при КТ томографии точно определяются повреждения основания черепа, то при ясной клинической картине спонтанной ликвореи необходимость в других методах диагностики отпадает.
МРТ превосходит КТ в распознавании энцефалоцеле — грыжевое выпячивание в просвет дефекта черепа. Но МРТ хуже выявляет костные повреждения основания черепа.
Эффективность и чувствительность МРТ-цистернографии при спонтанной ликворее достигает 78%.
Чувствительность комбинации МРТ-методов: спин-эхо (SE) T1W1 в аксиальной и сагиттальной проекциях, SE T2W1 в аксиальной и коронарной проекциях, FLAIR составляет 100% при спонтанной ликворее.
Истечение контраста и его накопление в антральной части правой гайморовой пазухи, воздушных ячейках переднего отдела решетчатой пазухи и в полости носа, выявленное при компьютерной томографии костей носа (указано желтыми стрелками).
Лечение спонтанной ликвореи у пациента начинают с консервативной терапии. Консервативное лечение спонтанной ликвореи у больного будет направленной на:
- уменьшение секреции ликвора,
- снижение ликворного давления
- создание благоприятных условий для прекращения ликвореи.
При неэффективности консервативного лечения пациента применяют оперативное лечение. Хирургическое лечение спонтанной ликвореи, сопровождающейся ликворной гипертензией, начинается с шунтирующих операций (наложение люмбоперитонального шунта). Если шунтирование ликвора не дает эффекта, прибегают к транскраниальным и трансназальным операциям.
При транскраниальной операции по поводу спонтанной ликвореи выполняется костно-пластическая трепанация черепа. Затем производится пластика ликворной фистулы эпидуральным или субдуральным доступом, в зависимости от ее локализации.
Применяемый при трансназальном эндоскопическом методе лечения спонтанной ликвореи инструментарий фирмы Karl Storz.
При трансназальной операции проводится пластическое закрытие ликворной фистулы со стороны полости носа под контролем ринологического эндоскопа либо микроскопа.
Трансназальные эндоскопические методы наиболее эффективны, малоинвазивны и малотравматичны по сравнению с интракраниальными вмешательствами.
Ограничениями для применения хирургической методики трансназального эндоскопического доступа являются:
- локализация фистулы в пределах задней стенки лобной пазухи, пирамиды височной кости
- размеры дефекта черепа больше 15 мм
- дефекты другой локализации, недоступные для эндоскопа
- невозможность определить локализацию фистулы до операции
Традиционный транскраниальный доступ дает превосходный обзор врачу нейрохирургу. Минусом этого метода операции является неизбежная тракция лобных долей головного мозга с возможным разрывом обонятельных нитей (аносмия или гипосмия после операции до 100%) и длительная госпитализация пациента.
Эндоскопические методы, как правило, неприменимы при оперативном лечении ушной ликвореи, так как дефект кости или твердой мозговой оболочки недоступен для эндоскопа.
Вид на фистулу (чёрная стрелка) при трансназальном эндоскопическом методе лечения спонтанной ликвореи.
При ушной ликворее для закрытия дефектов крыши барабанной полости (наиболее частой локализации дефекта) используют трансмастоидальный доступ (через сосцевидный отросток). Частым осложнением трансмастоидального доступа является потеря слуха.
В случае обнаружения множественных дефектов крыши барабанной полости рекомендуется использовать доступ к средней черепной ямке или его комбинацию с трансмастоидальным доступом.
Для закрытия дефектов в твердой мозговой оболочке в области задней черепной ямки также возможно использование трансмастоидального доступа.
Для закрытия дефектов в костях основания черепа в зависимости от доступа используют различные ткани (надкостница, широкая фасция бедра, жировая ткань, хрящ перегородки носа), клеевые композиции (тиссукол, тахокомб), а так же их комбинации.
Выздоровление пациентов после экстракраниальных операций (трансназальный эндоскопический метод) наступает быстрее, чем после интракраниальных вмешательств.
Неудачный исход эндоскопической операции при ликворной фистуле может быть связан:
- с неточной локализацией ликвореи
- наличием множественных фистул
- смещением трансплантата
- неудачным сопоставлением трансплантата и твердой мозговой оболочки
- плохим заживлением раневой поверхности
- присоединившейся инфекцией
- повышением внутричерепного давления
Вероятность рецидива, по сравнению с другими видами ликвореи, более высокая. Рецидивы спонтанной ликвореи после эндоназальных операций составляют 3-14%, а после транскраниальных — 10-27%. Если у больного возникает рецидивирующая спонтанная ликворея, то она требует повторного хирургического вмешательства.
Источник: https://www.minclinic.ru/cns/spontannaya_likvoreya.html
Ликвор – это спинномозговая жидкость, которая окружает спинной и головной мозг, заполняя пространство между ними.
Она призвана защищать их от травмирующих механических воздействий, поддерживает обменные процессы между центральной нервной системой и кровью, обеспечивает стабильность внутричерепного давления.
Ликвор постоянно циркулирует в желудочках головного мозга. Эта жидкость образуется в мозге, общий объем составляет 150–270 мл.
Веб камеры высокого качества в реальном времени показывают города изолированные от вируса, смотреть по ссылке веб камеры мира
Часто ликворея из носа остается не замеченной и расценивается как проявление насморка или простуды. Это обусловлено тем, что спинномозговая жидкость по структуре напоминает выделения при рините, она такая же прозрачная, но имеет немного маслянистую структуру. Но особенность в том, что преимущественно она течет только с одной ноздри.
Основным условием возникновения ликвореи является разрыв или дефект твердых мозговых оболочек, который может произойти при:
- черепно-мозговых травмах с повреждениями костных структур основания (например, дна переднечерепной ямки, костей височной пирамиды и пр.);
- черепно-мозговых травмах с повреждениями костей свода черепа (пазухи лобной пластины);
- повреждении костей решетчатой пазухи, расположенной в носоглотке после выполнения ЛОР-процедур (промывания, дренирования) или хирургических вмешательств;
- после нейрохирургических операций на позвоночнике, спинном или головном мозге с наложением швов, через которые просачивается ликвор;
- инвазивно разрастающихся опухолях, локализующихся у основания черепа;
- врожденных аномалиях развития центральной нервной системы (например, черепно-мозговые и спинномозговые грыжевые выпячивания с разрывом оболочек) и пр.
Истечение ликвора опасно не только резким снижением внутричерепного давления, но и высокой вероятностью инфицирования ликворопроводящей и кровеносной системы, спинного и головного мозга. Тяжелыми осложнениями заболевания могут быть: менингит, энцефалит, миелит.
В зависимости от места локализации патологических процессов разделяют ликворею:
- Назальную или носовую (наступает при повреждении или переломах пластин решетчатой кости или клиновидных костей носоглотки). Ликвор выходит в полость носоглотки не только в горизонтальном положении, но и в вертикальном, раздражает верхние дыхательные пути, вызывая кашель и хронический бронхит.
- Ушную (наступает при переломах пирамиды височных костей). Цереброспинальная жидкость выходит наружу через слуховой ход, увлажняя подушку.
- Послеоперационную (проявляется при недостаточно туго наложенных послеоперационных швах или при начавшихся воспалительных осложнениях после перенесенного хирургического вмешательства). Жидкость вытекает через швы.
- Травматическую. В месте повреждения травмой (перелом позвоночника или костей черепа) мозговой оболочки.
В зависимости от проявления признаков:
- Скрытую. Истечение ликвора происходит в замкнутую полость тела, накапливается, образуя гематому и очаг воспаления, невидимый невооруженным глазом.
- Явную. Например, при спинномозговой грыже могут образовываться мешочки с накопившейся жидкостью, затем переходить в свищи, через которые и будет выходить ликвор.
Выход спинномозговой жидкости наружу происходит с характерной периодичностью (в зависимости от локализации патологии) от нескольких секунд до1-2 минут. При этом истечение может быть капельным или струйным, прекращаться при изменении положения тела или головы, и усиливаться при резких движениях или напряжении.
Первичная ликворея наступает сразу же после наступления травматического повреждения или после проведения операции. Вторичная – возникает через некоторое время после дефекта мозговых оболочек, жидкость скапливается подкожно, а затем образует свищ.
Носовая ликворея имеет как внешние, так и внутренние проявления. Прежде всего, привлекает внимание выделение прозрачной жидкости из носового прохода. Но этот признак с легкостью можно спутать с начальными признаками простуды или аллергии. Но в случае ликвореи выделения постоянные и могут временно прекращается лишь после изменения положения тела.
Истечение жидкости происходит с той стороны носа, в которой образовалась трещина или иное повреждение. Появление носовых выделений сопровождается головной болью.
Если причиной повреждения твердой оболочки головного мозга и черепа явилась автомобильная авария, из-за которой произошел сильный удар головой, ликвор будет содержать примесь крови. Для определения того, что вытекающая из носа жидкость является ликвором, и произошло повреждение целостности черепа и твердой оболочки мозга, врач должен проанализировать жалобы больного и его анамнез.
https://youtube.com/watch?v=hcvGX3_ZDIw
Важно выяснить, когда первый раз были замечены признаки истечения ликвора, и при каких обстоятельствах могла произойти черепно-мозговая травма, осуществлялись ли хирургические манипуляции на голове. Проводится осмотр черепа и позвоночника на предмет наличия дефектов определяется, откуда вытекает спинномозговая жидкость, выявляются признаки перелома основания черепа.
Это можно распознать по кровоизлияниям вокруг глаз и на затылке. Назначается анализ истекающих выделений, который позволит понять, является ли это спинномозговой жидкостью. В этом плане важным показателем является глюкоза. В ликворе ее содержится много, а в носовой слизи мало. Кроме того, назначается эндоскопический осмотр полости носа.
В диагностических целях проводится так называемая проба носового платка. Если вытекает ликвор, то после протирания носа платком на ткани останутся маслянистые разводы.
После высыхания он останется мягким, а классические носовые выделения после попадания на ткань засыхают, приобретая корковую структуру.
При возникновении диагностических трудностей назначается компьютерная томография околоносовых пазух и головы. С помощью этого метода изучается послойное строение костей черепа, и выявляются возможные повреждения. Для постановки окончательного диагноза требуется консультация отоларинголога и нейрохирурга.
При нехирургическом лечении, больным рекомендуется не сморкаться слишком интенсивно, избегать напряжения в области живота, сохранять приподнятое положение головы в целях предотвращение истечения ликвора.
В ходе терапии больному назначаются антибактериальные препараты, мочегонные лекарственные средства, нестероидные противовоспалительные препараты, применяется также метод люмбального дренирования, для обеспечения отхода ликвора из полостей мозга.
Источник: https://GorloNosik.ru/diagnostika/prichiny-razvitiya-likvorei-iz-nosa.html
Поделиться:










