Особую разновидность патологии респираторного тракта составляют инородные тела. Они могут попадать в верхние отделы (гортань и трахею), но в большинстве случаев приходится сталкиваться с этой патологией уже на уровне бронхов.
Инородные тела – это различные вещества и предметы, которых в норме в респираторном тракте быть не должно. Они могут иметь органическое (пища, семечки и зерна, кости, орехи, горошины) или неорганическое (гвозди, гайки, бусины, пуговицы, игрушки) происхождение. Чужеродное тело проникает в бронхиальное дерево различными путями:
- Аспирационным (вдыхание извне, обратный заброс при рефлюксе или рвоте).
- Через сквозное отверстие (повреждения легкого и грудной клетки).
- При хирургических манипуляциях (удаление опухолей и аденоидов, трахеотомия).
В клинической практике наиболее распространен первый путь – аспирационный. Вдыхание мелких предметов более характерно для детей, которые имеют привычку держать их во рту. Затем во время игры, смеха, плача или при испуге попадает инородное тело уже в бронхи.
Отдельное внимание нужно уделить состояниям, когда аспирация происходит в бессознательном состоянии или при выполнении оперативных вмешательств. Последнее относится к ятрогенным повреждениям, связанным с нарушением техники проведения операции.
Органические и неорганические тела, попав в нижние дыхательные пути, ведут себя по-разному.
Органические компоненты (семечки, горошины) набухают, полностью перекрывая поток воздуха, а иногда крошатся, попадая в более мелкие бронхи.
Инородные тела в бронхах – это патология, которой страдают не только дети, но и взрослые. Чаще всего посторонние предметы проникают путем их аспирации.
Патологические процессы, происходящие в нижних отделах респираторного тракта, определяются размерами, расположением, видом инородного тела и длительностью его нахождения. Чаще всего посторонние предметы попадают в правый бронх, ведь тот шире левого и отходит от трахеи в более вертикальном направлении. Сначала развиваются такие реакции:
- Бронхоспазм.
- Отечность.
- Покраснение.
- Эрозирование.
- Гиперсекреция.
Эти процессы имеют универсальный характер, они возникают в ответ на повреждение и призваны ограничить продвижение чужеродного компонента. В дальнейшем вокруг инородного тела развивается воспалительная реакция, разрастается грануляционная ткань, образуется фиброзная капсула, происходит формирование спаек и рубцов.
Когда инородное тело в бронхе баллотирует (движется) при дыхании, оно обтурирует просвет респираторного тракта не полностью. В указанной ситуации вторичные нарушения в легких выражены незначительно.
При так называемой вентильной закупорке, когда тело неплотно прилегает к слизистой оболочке, на вдохе воздух проникает в альвеолы, но на выдохе уже не выходит оттуда из-за рефлекторного бронхоспазма.
Тогда развивается эмфизема.
Полная обтурация бронха ведет к снижению воздушности соответствующего участка легочной ткани. Развивается ателектаз, который характеризуется спаданием стенок альвеол и выключением их из процессов газообмена.
Нельзя забывать, что инородное тело всегда содержит на своей поверхности бактерий, которые при попадании в дыхательные пути запускают там инфекционный процесс.
А в условиях сниженной вентиляции он принимает затяжной и плохо решающийся характер.
Под влиянием инородных тел в респираторном тракте происходит ряд морфологических изменений, которые дают начало клиническим симптомам.
Сразу после попадания постороннего предмета наблюдается так называемая фаза дебюта. Она характеризуется следующими признаками, возникающими внезапно:
- Приступообразным кашлем.
- Осиплостью голоса и афонией.
- Одышкой вплоть до остановки дыхания (асфиксии).
Затем инородное тело в бронхе переходит в фазу, когда вентиляционная функция несколько стабилизируется (относительной компенсации).
В это время у ребенка из-за бронхоспазма и неполной закупорки просвета респираторных путей наблюдаются стридор и свистящее дыхание, слышимое на расстоянии.
Беспокоит одышка смешанного характера, могут присоединиться боли в соответствующей половине грудной клетки.
В дальнейшем симптоматика обусловлена выраженностью вторичных воспалительных реакций в бронхолегочной системе. Последняя фаза клинической картины (осложнений) протекает с такими проявлениями:
- Продуктивный кашель.
- Выделение слизисто-гнойной мокроты.
- Одышка.
- Кровохарканье.
- Лихорадка.
Инородные тела становятся причиной бронхитов, пневмоний, бронхоэктазий, абсцессов, свищей. При физикальном обследовании выявляются признаки ателектаза, пневмонической инфильтрации или эмфиземы (ослабленное дыхание, хрипы, притупление перкуторного звука или его коробочный оттенок). Но бывают и случаи, когда процесс протекает вовсе бессимптомно, выявляясь совершенно случайно.
Симптомы, свидетельствующие об инородном теле в бронхах, неспецифичны: кашель, одышка, боли в грудной клетке. Но важно отметить, как и на фоне чего они возникают.
Факт аспирации постороннего предмета не всегда можно заметить. Поэтому большое значение в диагностике патологии имеют дополнительные методы:
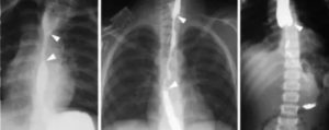
- Рентгенография.
- Томография (компьютерная и магнитно-резонансная).
- Бронхоскопия.
- Бронхография.
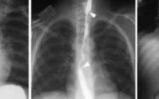
Особую сложность представляют случаи с неорганическими телами, ведь их не видно на стандартном рентген-снимке.
Однако даже тогда можно заметить косвенные признаки: ателектаз, эмфизему и очаговые изменения в легочной ткани.
Но наибольшей достоверностью обладает метод бронхоскопии, который позволяет увидеть сам посторонний предмет. Нередко он скрывается за грануляциями и фиброзными изменениями.
При любом инородном теле в бронхах показано его извлечение. При этом пользуются эндоскопическим способом, который эффективен в большинстве случаев.
Обнаружив посторонний предмет, его захватывают щипцами бронхоскопа. Металлические компоненты извлекают с помощью магнита, а мелкие – электроотсосом.
После процедуры необходимо повторно осмотреть респираторный тракт, чтобы исключить наличие остатков предмета и ранение стенки бронхов.
Вспомогательное значение имеет медикаментозная коррекция, которая позволяет ликвидировать вторичные изменения в дыхательной системе. Чаще всего применяют антибиотики, муколитики и отхаркивающие средства. Но для устранения таких симптомов, как кашель и одышка, необходимо прежде всего извлечь посторонний предмет.
Единственно верной тактикой при инородном теле станет его удаление из бронхиального дерева.
Своевременное извлечение постороннего предмета дает уверенность в благоприятном прогнозе. Запоздалая диагностика ведет к появлению различных осложнений: эмпиемы плевры, пневмоторакса, свищей и кровотечений, медиастинита и пр. Иногда малыш даже может погибнуть от внезапной асфиксии.
Превентивные меры должны включать обязательный родительский контроль за качеством детских игрушек и их соответствием возрасту. Ребенка необходимо отучать от привычки брать любые попавшиеся предметы в рот. Со стороны медицинских работников требуется проводить просветительную работу среди населения и соблюдать технику хирургических манипуляций.
Инородное тело в бронхе – это серьезная ситуация, которая может сопровождаться риском для жизни. Повышенное внимание должно уделяться не только своевременному проведению диагностических и лечебных мер, но и вопросам профилактики.
Источник: http://elaxsir.ru/zabolevaniya/drugie-zabolevaniya/inorodnoe-telo-v-bronxax.html
Внимание! ВСЯ ИНФОРМАЦИЯ НА САЙТЕ НОСИТ ОЗНАКОМИТЕЛЬНЫЙ ХАРАКТЕР! СООТВЕТСТВУЮЩЕЕ ЛЕЧЕНИЕ НАЗНАЧАЕТ ТОЛЬКО ВРАЧ!
Быть родителем очень важная, ответственная и сложная работа. Одновременно с воспитанием, уходом за ребенком, важно обеспечивать его безопасность.
В современном мире существует большое количество опасностей, которые могут подстрекать детей не только дома, но и в любом другом месте. Если случилось так, что ребенок попал в угрожающее его жизни состояние, то только вы до приезда врачей можете спасти ему жизнь.
Поэтому очень важно иметь знания оказания первой помощи. В этой статье пойдет речь о способах доврачебной помощи ребенку.
Пожалуй одна из самых опасных ситуаций, которая может случиться с ребенком. Поскольку инородный предмет большого размера может полностью перекрыть просвет бронха, а это угроза жизни ребенка. Инородные тела могут одновременно попасть как в правый, так и в левый главный бронх ребенка. Симптомы в этом случае крайне тяжелые, малышу потребуется немедленная помощь.
- Резкий приступообразный кашель, который внезапно начинается у здорового ребенка.
- Удушье.
- Ребенок выпучивание глаза, машет руками, не может говорить.
- Сильно затрудненное дыхание с втяжением грудной клетки.
- Синюшность кожи лица.
- Потеря сознания из-за перекрытия инородным телом дыхательных путей.
- Повторяющиеся приступы кашля.
- Охриплость голоса.
При попадании инородного тела в гортань у ребенка возникают периодические приступы коклюшеобразного кашля.
При этом дети старшего возраста жалуются на ощущение инородного тела и болезненность при глотании.
Если имеются вышеперечисленные симптомы, нужно незамедлительно вызывать неотложную помощь!
Особенно опасно если ребенок проглотил или вдохнул такие предметы:
- иглу, булавку, кнопку, скрепку, гвоздь и т.д.;
- предмет от трех сантиметров в длину;
- батарейки или элементы питания;
- магниты;
- стекла;
- крупные косточки от фруктов; персика, абрикоса, сливы.
Пока едет скорая помощь, откладываем панику, только вы сейчас в силах спасти своего ребенка.
Оказывая первую помощь, лучше оставаться на связи по телефону со скорой помощью. Так они могут давать подсказки, корректируя ваши действия по спасению ребенка. Для начала предоставим видео оказания первой помощи, а далее подробно опишем процесс.
Этот метод помощи поперхнувшемуся ребёнку, особенно подходит для грудничков и новорожденных. Выполняется следующим образом:
- Положите ребёнка лицом вниз, так чтобы его лицо лежало на вашей ладони, а ноги находились по разные стороны ваших предплечий.
- Несильно похлопывайте ребёнка по спине между лопатками ладонью пять раз верхней частью запястья. После этого внимательно изучите рот ребенка и удалите объект, если вы его там увидите.
- Если это не помогает, положите ребенка лицом вверх на колени, чтобы голова была ниже уровня туловища.
- Приложите три пальца прямо к центру грудной клетки ребенка (к грудине, чуть ниже линии сосков). Средний палец должен быть прямо на середине грудной клетки, сверху.
- Расположив пальцы в нужном положении, поднимите средний палец и, используя только оставшиеся пальцы, сильно надавите 5 раз.
- Снова проверьте рот и удалите видимый предмет. Для этого, указательным пальцем правой руки надавите на корень языка, вызывая рвотный рефлекс. Так вы поможете удалить инородное тело из дыхательных путей.
В большинстве случаев, метод работает. Но если не помогло, даже после нескольких попыток, не останавливайтесь до приезда скорой помощи!
Если ребенок поперхнулся и не может дышать, выполняйте следующие действия по тому же методу Геймлиха:
- Уложите пострадавшего ребёнка на спину на пол.
- Встаньте на колени у него в ногах.
- Приложите средние и указательные пальцы ваших обеих рук на живот ребёнка между пупком и рёберной дугой.
- Сделайте активное надавливающее движение к диафрагме ребёнка вверх.
- Следите, чтобы грудная клетка была свободной, не ощущала на себе давления.
- Повторяем применение метода Геймлиха до полного освобождения дыхательных путей поперхнувшегося.
Признак того, что метод сработал – ребенок стал самостоятельно дышать, и цвет его лица стал нормальным.
Запомните!
Похлопывание по спине может ухудшить положение! Инородный предмет от хлопков по спине может пройти по дыхательным путям ниже!
Если ребёнок не возвращается в сознание и не дышит, необходимо срочно проводить сердечно -лёгочную реанимацию до приезда врачей.
Поскольку нейроны начинают отмирать после 1 минуты без кислорода. А дальше состояние только ухудшается:
- 180 секунд приведут к потере сознания;
- 3 минуты приводят к тяжелым последствиям;
- 5 минут — это опасность наступления смерти;
- 10 минут — возникает наступление комы, при этом мозг получает тяжелые повреждения.
Если в течение 3-4 минут отсутствия дыхания провести необходимые действия для реанимации, то есть большой шанс спасти человечку жизнь.
Алгоритм действий сердечно-лёгочной реанимации:
Распишем сначала искусственное дыхание, а затем непрямой массаж сердца, которые в нее входят.
Искусственная вентиляция легких способствует включению собственного дыхательного центра.
- Для начала нужно проверить пульс, убедится, что ребенку требуется помощь.
- Далее малыша укладывают на твердую ровную поверхность. Его ноги следует приподнять (примерно на 60 градусов).
- Проверяют на наличие инородных предметов в ротовой полости и дыхательных путях.
- Голову слегка запрокидывают. Одной рукой фиксируют лоб малыша, второй выдвигают нижнюю челюсть вперед.
- Наблюдают за дыханием ребенка в течение 5 секунд.
- При отсутствии дыхания аккуратно и не быстро делают вдох в рот и нос малышу, продолжительностью 1.5 – 2 секунды, до тех пор пока не приподнимется грудная клетка. Объем воздуха должен помещаться в родительских щеках. Нельзя вдыхать ребенку полный объем взрослых лёгких. Ребенку требуется около 30 мл воздуха!
- После этого выдерживают несколько секунд, чтобы вышел воздух (должна опуститься грудная клетка).
- После опадения грудной клетки, делают второй вдох воздуха.
- Если после 5 таких вдохов сердцебиение не установлено, переходят к непрямому массажу сердца.
Одновременно с непрямым массажем сердца проводят искусственную вентиляцию лёгких с частотой 30-40 вдохов в минуту у детей до года.
Алгоритм действий:
- Малыша укладывают на спину на ровную твердую поверхность.
- Большие пальцы рук располагают на передней поверхности грудной клетки малыша. Важно чтобы большие пальцы сходились на точке, расположенной на 1 см ниже линии сосков.
- Остальные пальцы расположить под спиной ребенка.
- Наложив 2 больших пальца обеих рук, надавливают на среднюю треть грудины на 1,5 — 2,5 см в глубину.
- Одновременно с непрямым массажем сердца проводится искусственное дыхание. В соотношении: у новорожденного 3 нажима на грудную клетку, 1 искусственный вдох.
- Однако, этот способ подходит, если реанимируют ребенка двое взрослых. Если вы с ребенком -один на один, медики рекомендуют выбрать другую тактику: 15 надавливаний на грудную клетку и 2 искусственных вдоха.
- Частота нажатий на грудную клетку у новорожденного: в 1 минуту получится около 100-120, т.е. должно происходить 2 нажатия в секунду.
- Частота искусственных вдохов примерно 30 — 40 раз в 1 минуту.
- У грудничка — 15 нажатий и 2 вдоха.
- Во время проведения массажа сердца, важно не отрывать пальцы от груди, чтобы не потерять точку нажима.
Как уже говорилось выше, прекращать манипуляции нужно тогда, когда появился пульс и дыхание. Ребенка следует взять на руки, держать в боковом положении, с слегка запрокинутой головой.
Алгоритм действий будет тот же, что и для новорожденного, однако у него есть свои особенности. Пропишем алгоритм для старших детей. подробнее.
Итак, для начала необходимо вызвать скорую помощь. Затем ребенка укладывают на твердую поверхность, выдвигают нижнюю челюсть вперед и открывают ребенку рот.
Одновременно с этим нужно закрыть ребенку нос и 5 раз вдохнуть воздух ему в ротик. Объем воздуха, который необходим ребенку, равен половине объема ваших легких.
Если состояние ребенка после этого не изменилось, по прежнему нет пульса и дыхания, то приступают к непрямому массажа сердца.
Непрямой массаж сердца
Перед началом этой процедуры поднимите ноги ребенка примерно на 60 градусов.
Затем следует энергично сдавливать грудную клетку пострадавшего в области грудины. Чтобы грудная клетка погружалась вниз на 2,5-3,5 см.
Точка для приложения усилий у грудных детей находится прямо посередине грудины. У детей более старшего возраста – чуть ниже центра.
Массаж у детей от 1 года до 8 лет делают ладонью одной руки. У более старших – одновременно двумя ладонями.
В одном цикле необходимо сделать 30 надавливаний на грудную клетку, затем сделать 2 вдоха.
Для детей от года до восьми лет рекомендуют делать – от 80 до 100 нажиманий на грудную клетку в 1 минуту. А более старшим достаточно и 80 нажиманий.
Частота искусственных вдохов должна соответствовать физиологическим нормам, так для детей в возрасте пять лет – 24-25 вдохов в минуту.
И в конце, чтобы было легче запомнить, наглядно:
В случае появления пульса и самостоятельных дыхательных движений, реанимационные мероприятия можно прекратить. Ребенка нужно уложить на бок, в устойчивой положении лежа.
Желаем вам, чтобы полученные знания остались только в теории, и не были применены на практике. Здоровья вашим детям!
Источник: https://child-blog.ru/children/bezopasnost-rebenka-children/pervaya-pomoshh-rebenku-pri-popadanii-inogodnogo-tela-v-dyhatelnye-puti.html
Нарушения дыхательной деятельности при попадании инородного тела в дыхательные органы и пути носит медицинское название – аспирация.
Чаще всего с этим диагнозом в больницу попадают дети младшего дошкольного возраста. Это связано с тем, что во время игр детям интересно попробовать на вкус любимые игрушки. Самые маленькие тянут в рот все, что попадется под руку, именно поэтому, чтобы оградить ребенка от опасности, необходимо исключить из детской комнаты все игрушки с мелкими деталями.
В детском возрасте опасность заключается в том, что ребенок не всегда может объяснить, что произошло. И при отсутствии выраженной симптоматики факт попадания инородного дела в дыхательные пути выясняется, когда развиваются сопутствующие заболевания.
Предметы в легких полностью или частично перекрывают бронхиальный просвет, нарушая движение воздуха, вызывают воспаления и гнойные процессы в легочных путях.
От размера инородного тела зависит, куда оно попадет: в трахею, бронхи или легкие. Далее рассмотрим, чем опасно попадание предметов в дыхательную систему и что делать в этом случае.
В большинстве случаев, инородные тела попадают в правосторонние бронхи и легкие. Это обуславливается большим объемом правого легкого и его расположением. Частицы, оседающие в мелких бронхиальных разветвлениях, редко имеют выраженную симптоматику.
Чаще всего наблюдается редкое покашливание, которое списывают на простудное заболевание.
Это состояние представляет трудность для диагностики, и опасно тем, что посторонние частицы могут полностью перекрыть бронхиальный просвет.
- Кашель с отхождением гнойной мокроты.
- Повышение температуры.
- Отхаркивание кровянистой слизи.
- Нарушение частоты дыхания с нехваткой воздуха.
Самый плохой признак – отсутствие кашля, это значит, что инородное тело полностью перекрыло воздухоносные пути.
Когда частицы достаточно крупные, они способны полностью перекрыть доступ воздуха в легкие, что может привести к летальному исходу. Симптомы состояния, угрожающего жизни:
- Меняется цвет лица, приобретая красный или синий оттенок.
- Невозможность сделать вдох.
- Внезапно начавшийся приступообразный кашель.
- Больной держится за горло.
- Охриплость, полная потеря голоса.
- Дыхание со свистом.
- Одышка.
- Потеря сознания.
Предметы с неровной поверхностью при заглатывании больше других способствуют воспалительному процессу, так как на них задерживается слизь, оседают бактерии, и они могут травмировать бронхиальные пути. Чужеродные белки вызывают аллергические реакции и местные воспалительные процессы.
Самую большую опасность представляют пищевые частицы, способные разлагаться на более мелкие крупицы. Только врач скажет, что делать, если пища попала в дыхательную систему. Ее извлечение более сложно, и частицы очень быстро разлагаются, вызывая гнойное воспаление.
При попадании инородного тела в бронхиальные пути развиваются следующие заболевания:
- Эмфизема легких.
- Обструктивный бронхит.
- Отек легких.
- Пневмония.
- Гнойный плеврит.
- Абсцесс легкого.
- Бронхоэктостаз.
Если инородные предметы находятся в мелких бронхиальных путях, возможно механическое повреждение, инфицирование и разрастание легочной ткани.
Чтобы этого избежать, при подозрении на аспирацию необходимо обратиться к пульмонологу, который, проведя диагностику, определит, есть инородное тело в дыхательных путях или нет.
к оглавлению ↑
В первую очередь, диагностика основывается на жалобах пострадавшего. Если дело касается ребенка – то на рассказах взрослых, о том, что случилось. Если же не был замечен факт аспирации, то без наличия внешних симптомов, диагностика может быть затруднена.
Сначала у пациента прослушивают дыхание, врач может услышать: хрипы, свист, ослабленное или жесткое дыхание. При полном перекрытии бронхиального просвета специалист ничего не услышит. Далее назначаются следующие диагностические методы:
- Рентгенография.
- Рентгеноскопия.
- Эндоскопия.
На рентгеновских снимках не всегда видны попавшие в дыхательные пути предметы и еда. Это может быть связано с проницаемостью рентгеновских лучей или с образованием в легких сильного отека, закрывающего инородное тело.
Самым точным методом диагностики будет эндоскопия. В зависимости от состояния и возраста пациента процедура может проходить под местной или общей анестезией.
Детям эндоскопию проводят только под общим наркозом. Еще одним методом диагностики является МРТ грудной клетки, но его используют крайне редко из-за высокой стоимости процедуры.
к оглавлению ↑
Что делать в первую очередь при аспирации? При попадании инородного тела в дыхательные пути следует оценить состояние больного. Если он находится в сознании и не задыхается, ему необходимо хорошо откашляться. При подозрении, что частицы могли остаться в дыхательной системе необходимо вызвать скорую помощь или самостоятельно обратиться в приемный покой стационара.
Если кашель после аспирации сопровождается одышкой, цианозом на лице, следует оказать следующую помощь:
- Просто положить пострадавшего через колено вниз лицом, чтобы голова оказалась как можно ниже, и нанести несколько сильных ударов между лопатками. Если инородное тело попало не очень глубоко, есть шанс, что после этих действие оно выйдет.
- Можно проделать следующие действия: положить больного на спину, сложить руки замком и надавить на область между пупком и ребрами несколько раз.
- Если больной в состоянии, попросить его сделать наклон через спинку стула, и резкими хлопками попытаться выбить инородное тело из дыхательных путей.
Запрещено стучать по спине в вертикальном положении, таким образом, частицы опустятся еще ниже! Особенно осторожно следует обращаться с детьми. При попадании круглых ровных предметов, ребенка можно перевернуть вниз головой и постучать по спине, возможно предмет выпадет сам.
к оглавлению ↑
В любом случае, попадание инородного тела в легкие и бронхи требует медицинского вмешательства. Поэтому при первых признаках аспирации необходимо вызвать скорую помощь, и, дожидаясь ее, помочь больному вывести предмет из дыхательных путей.
Лечение аспирации означает удаление инородных частиц из дыхательных путей. Если посторонние частицы попадают в гортань, то возможно извлечение инородного тела ручным способом или с помощью ларингоскопии. Если инородное тело обнаруживается в трахее – проводят процедуру трахеоскопии.
Самую большую сложность по удалению инородного тела представляет бронхоскопия – извлечение мелких частиц из бронхов и бронхиальных путей. Нередко эту процедуру приходиться повторять несколько раз, особенно если предмет сильно крошится, например, если попала в дыхательные пути пища.
Чтобы не осталось негативных последствий аспирации, следует обращаться к врачу сразу же после подозрения на попадание частиц в легкие.
Во время эндоскопического вмешательства, кроме извлечения инородного тела, отсасывают гной и слизь, скопившиеся в бронхиальных просветах.
В некоторых случаях берут кусочек легочной ткани на биопсию, так как возможно развитие доброкачественных и злокачественных образований.
После изъятия предмета из дыхательных путей, дальнейшее лечение основывается на устранении последствий аспирации – проведении противовоспалительного лечения.
Статья помогла вам?
Дайте нам об этом знать — поставьте оценку
Загрузка…
Источник: https://opnevmonii.ru/terapiya/opasnost-popadaniya-inorodnogo-tela-v-legkie.html
Нарушение дыхательной функции часто является следствием попадания в верхние дыхательные пути инородных тел, и дети являются «лидерами» в этой группе риска, так как в силу своего малолетства и, соответственно, любопытства, нередко пытаются опробовать незнакомый предмет на вкус или узнать, помещается ли он в нос. Если ребенок проглотил инородное тело, может возникнуть дыхательная недостаточность, удушье или бронхиальная обструкция.
Инородные тела в дыхательные пути ребенка с сильной струей вдыхаемого воздуха попадают из полости рта. В большинстве случаев их обнаруживают у детей до 5 лет.
Ребенок склонен все брать в рот, а расстояние от зубов до бронхов у детей меньше, чем у взрослых, к тому же защитные рефлексы (спазм ой щели) у детей грудного и раннего возраста развиты слабо. Попаданию инородного тела в дыхательные пути способствуют разговор во время еды, неожиданный глубокий вдох при испуге, внезапное падение, смех или плач.
Изо рта инородное тело увлекается воздушным потоком в гортань ребенка, где застревает или проходит через ую щель в трахею.
Клиническая картина попадания инородного тела в дыхательные пути ребенка выглядит следующим образом. Первой реакцией на проникновение инородного тела в гортань становится судорожный коклюшеподобный кашель, иногда длительный, с паузами различной продолжительности. Возможен цианоз. Появляются одышка, охриплость, афония, которые могут быть кратковременными или длительными.
Стойкая охриплость и афония указывают на локализацию инородного тела в ой щели или подой полости. Грубый голос и небольшая охриплость свидетельствуют о травме ых складок при прохождении инородного тела. Большое инородное тело может вызвать быструю асфиксию, а небольшое может долго оставаться вклиненным в подскладочное пространство, вызывая хронический кашель и хрипоту.
Симптомами инородного тела в дыхательных у ребенка является жесткое легочное дыхание, грубые хрипы, больше в верхних отделах. При рентгеноскопии грудной клетки обычно выявляют повышенную прозрачность легочной ткани без очаговых и инфильтративных изменений.
Диагноз основывается на данных анамнеза: периодический судорожный кашель, охриплость, одышка, появившиеся внезапно среди полного здоровья ребенка. Рентгенологическое исследование дает положительный результат только при рентгеноконтрастных инородных телах. Для окончательной диагностики используют прямую ларингоскопию, которая позволяет увидеть инородное тело гортани и удалить его.
Инородные тела гортани подлежат неотложному удалению с помощью прямой ларингоскопии под местным обезболиванием или под внутривенным наркозом (у беспокойных детей). В редких случаях нарастающей асфиксии показаны срочная трахеотомия, а затем удаление инородного тела. Необходима срочная консультация оториноларинголога.
Попадание в трахею и бронхи различных предметов (пищевые массы, монеты, пуговицы, булавки, зерна крупы и др.) характеризуется внезапным приступом удушья.
Клиническая картина определяется величиной инородного тел в бронхах детей, его конфигурацией, происхождением (органическое или неорганическое) и уровнем обтурации бронха.
Инородное тело вызывает приступы кашля, которые при перемещении инородного тела в дистальные отделы дыхательных путей становятся реже или прекращаются; затрудненное дыхание; боль в грудной клетке или за грудиной.
При фиксации инородного тела в главном бронхе дыхательные экскурсии на стороне аспирации ограничиваются. Перкуторно определяются смещение границ органов средостения в здоровую сторону и коробочный звук над вздутым легким; дыхание ослаблено.
При полном перекрытии просвета бронха инородным телом у детей развивается такой симптом, как обтурационный ателектаз, появляются одышка, цианоз при плаче и физической нагрузке.
На стороне аспирации перкуторно выявляют притупление, смещение границ органов средостения в сторону ателектаза, аускультативно — резкое ослабление дыхания.
Диагностика производится на основании данных анамнеза, клинической картины и дополнительных методов исследования.
Рентгенологическое исследование позволяет обнаружить инородное тело, если оно рентгеноконтрастное, косвенные признаки аспирации нерентгеноконтрастного инородного тела (ателектаз, острая эмфизема сегмента, доли или целого легкого), маятникообразное смещение тени средостения при форсированном дыхании (при вдохе тень средостения смещается в сторону поражения, при выдохе — в здоровую сторону).
Если ребенок проглотил инородное тело, и симптомы указывают на то, что посторонний предмет находится в бронхах или трахее, его надо срочно удалить. Необходима трахеобронхоскопия под наркозом с использованием миорелаксантов и ИВЛ. Если с помощью бронхоскопа не удается удалить инородное тело, то показана бронхотомия.
Необходима экстренная госпитализация ребенка в ЛOP-отделение.
Последствиями попадания инородного тела в горле, бронхи или трахею ребенка могут быть острая бронхиальная обструкция, дыхательная недостаточность или удушье.
Острая бронхиальная обструкция — следствие отека стенки бронхов с возможной транссудацией отечной жидкости в их просвет и обтурацией бронхов образующимся в избыточном количестве секретом, а также следствие спазма бронхиальных мышц.
Соотношение перечисленных компонентов варьирует в зависимости от возраста ребенка и заболевания, вызвавшего острую бронхиальную обструкцию. Наиболее частыми причинами острой бронхиальной обструкции, требующими неотложной помощи, являются инфекционный обструктивный бронхит (бронхиолит) при ОРВИ, приступ бронхиальной астмы (БА) и астматический статус.
В результате развиваются гиперкапния (повышение парциального давления углекислоты в артериальной крови — РаС02) и гипоксемия (снижение парциального давления кислорода в артериальной крови — Ра02).
Острая дыхательная недостаточность (ОДН) — быстро прогрессирующее общее тяжелое состояние, при котором не обеспечивается нормальное парциальное напряжение кислорода и углекислого газа в артериальной крови, нарушены окислительно-восстановительные процессы в организме.
Острая дыхательная недостаточность по своему генезу может быть первичной, обусловленной патологическим процессом в дыхательных путях или в паренхиме легких, или вторичной, связанной с поражением других органов и систем.
Причины дыхательной недостаточности: нарушения проходимости дыхательных путей, ателектаз, пневмония, шоковое легкое, отек легких, утопление, кома любой этиологии, травма грудной клетки и легких, пневмо- и гемоторакс, травма и заболевания головного мозга, судорожный статус.
Удушье — патологическое состояние, обусловленное остро или подостро протекающей гипоксией и гиперкапнией и проявляющееся тяжелыми расстройствами деятельности нервной системы, дыхания и кровообращения. Это крайняя степень выраженности одышки: мучительное чувство недостатка воздуха, страх смерти.
Удушье развивается остро при заболеваниях дыхательных путей (инородные тела гортани, трахеи, бронхов, бронхиальная астма, пневмония, бронхиолит, пневмоторакс) и сердечно-сосудистой системы (пороки сердца, перикардит).
Источник: https://wdoctor.ru/pediatriya/inorodnye-tela-v-dyhatelnyh-putyah-u-detej-simptomy-i-posledstviya.html
/ Статьи / Медицинская подготовка пожарных / Первая помощь
Такая крайне неприятная ситуация, как попадание в дыхательные пути (носоглотка, гортань) чужеродного предмета происходит довольно часто. Большая вероятность ее возникновения существует у детей до 5 лет.
Именно в этом возрасте он активно познает окружающий его мир, используя при этом не только руки, но и рот. Также существует вероятность того, что маленький предмет ребенок может просто вдохнуть внутрь.
В старшем возрасте попадание инородного тела в дыхательные пути происходит во время игр, шуток, слишком быстрого приема пищи иили неудачных экспериментов. Как следует вести себя в подобной ситуации, как помочь пострадавшему, и на какие первые признаки следует обратить внимание, рассмотрим в данной статье.
В зависимости от величины инородного предмета в дыхательных путях, оно способно полностью или частично их закрывать, блокируя доступ кислорода в легкие. Кроме того, чужеродное тело может травмировать гортань, ые связки, вызывая воспаления и отек, тем самым ухудшая ситуацию.
При частичном варианте дыхание будет тяжелым, затрудненным и прерывистым. Иногда человек может сделать вдох, а вот вместо выдоха будет скрип или свист. Самая опасная ситуация, когда инородный предмет полностью блокирует процесс дыхания, перекрывая просвет сразу обоих бронхов.
В таком случае, велик риск смертельного случая.
Как понять, что причиной удушья является именно инородное тело, а не сильная аллергическая реакция, например?
- Резкое и внезапное изменение поведения. Движения становятся хаотичными. Человек, как правило, хватается за горло и теряет способность говорить.
- Покраснение кожи лица, увеличение вен на шее
- Кашель, как попытка организма избавиться от предмета
- Дыхание затруднено.
При вдохе можно услышать сильные хрипы
- Из-за резкой нехватки кислорода, кожа над верхней губой может приобрести синеватый оттенок.
- Быстрая потеря сознания
Такие симптомы свойственны активной фазе при полном перекрытии дыхательных путей, если предмет остановился в гортани или трахеи.
Заболевание развивается резко, и помощь должна быть оказана максимально быстро и эффективно.
Если маленький предмет при резком вдохе или кашле, прошел через гортань и застрял в бронхах, то резкие первые внешние симптомы могут и отсутствовать, или проявляться время от времени.
В таком случае, возникает вялотекущий воспалительный процесс, который может сопровождаться: повышением температуры, кратковременными приступами асфиксии, приступами кашля, одышкой, рвотой.
Определить причину возможно только с помощью рентгена.
Следует помнить, что при неправильно оказанной помощи, вы можете сместить чужеродный предмет вглубь, и таким образом только ухудшите состояние пострадавшего.
В зависимости от возраста пострадавшего действовать нужно по-разному, во избежание ухудшения состояния. Взрослого человека необходимо наклонить вперед, чтобы голова оказалась ниже тела.
Желательно зафиксировать такое положение, держа рукой за талию. Ударить основанием ладони резко по спине в место между лопатками. Удары должны быть четкими.
Если 5 попыток были неудачны, и избавиться от постороннего предмета не удалось, то прибегают к методу Хаймлиха.
- Удобнее всего его применять в положении стоя. Вам необходимо принять устойчивое положение для того, чтобы, если пострадавший потеряет сознание, вы могли его удержать.
- Со спины, обхватите пострадавшего двумя руками в области живота, чуть выше желудка.
- Сожмите рабочую руку в кулак, а второй – зафиксируйте его. Обратите внимание, что бы ваш большой палец руки был плотно прижат к кулаку, иначе можете нанести травму человеку.
- Делайте быстрые толчки внутрь, а потом вверх, вдавливая кулак в живот.
- Необходимо сделать 5 толчков без перерыва.
В случае, когда пострадавший находится без сознания, прибегать к такому приему уже поздно. Начинайте мероприятия по сердечно-легочной реанимации (искусственное дыхание) до приезда специалистов, либо до первых самостоятельных вдохов пострадавшего.
https://youtube.com/watch?v=3d-0V9deHcQ
Взрослому человеку, обладающему лишним весом или у беременных женщин, толчки в живот делать нельзя. Здесь следует скрепить руки на нижней границе грудной клетки (выше живота) и действовать по описанной схеме.
Извлечь инородные тела верхних дыхательных путей у младенцев или малышей до 1 года можно, используя несколько иную тактику. Ребенка следует положить животом на предплечье и наклонить вниз голову, придерживая шею, и держа рот открытым.
Контролируя силу, сделайте 5 хлопков ладонью между лопатками спины. Если предмет не вышел, то поверните ребенка лицом к себе. На грудную клетку надавливайте 2 пальцами, пока инородное тело не удастся удалить.
Когда человек стал дышать самостоятельно, поверните его набок и дождитесь приезда скорой помощи. Вызвать ее будет необходимо в любом случае.
При вдыхании инородного тела в дыхательные пути, помощь должна быть оказана правильно, вовремя и быстро. Такие ситуации представляют угрозу для жизни человека, поэтому допущенная ошибка может привести к трагичному результату.
Очень часто, люди, пытаясь помочь, допускают следующие неправильные действия:
- При кашле нельзя бить пострадавшего между лопатками. Лучше вообще не вмешиваться, пока вы не увидите признаки удушья. Кашель означает, что дыхательные пути перекрыты не полностью, и организм может самостоятельно справиться с данной проблемой.
- Не нужно со всей силы колотить кулаком по спине, так вы можете повредить внутренние органы или ребра, и добьетесь лишь противоположного результата. Правильно это осуществлять основанием ладони четко и со средней силой. После каждого удара убедитесь, что инородный предмет все еще находится в дыхательных путях.
- Малыша до полугода нельзя хватать за ноги, перевернув головой к полу, и трясти что – есть силы. В данном возрасте шейные позвонки очень неустойчивы и подвижны, вы такими движениями их можете повредить или сместить.
- Паника сокращает время, которого у пострадавшего нет. Действуйте быстро. Для этого можно пройти курсы по оказанию первой помощи или потренироваться на себе, делать прием Хаймлиха.
***Прием Хаймлиха – чудодейственный способ, разработанный американским врачом Генри Джуда Геймлихом в 1974 году.
Это способ оказания помощи пострадавшему, применяемый для оперативного освобождения путей дыхания человека от предметов инородного тела или остатков пищи.
Прием основан на создании давления в брюшной полости живота пострадавшего, что позволяет вытолкнуть инородное тело из ротоглотки. Более подробно данный метод разбирается в представленном видео.
Статья носит ознакомительный характер, все действия Вы совершаете на свой страх и риск, помните, что квалифицированную помощь специалистов никто не отменял!
Очень полезное видео, посмотрев его, Вы можете спасти кому то жизнь!
Источник: https://fireman.club/statyi-polzovateley/priznaki-inorodnogo-telo-v-dyihatelnyih-putyah-i-pervaya-pomoshh/
Поделиться:











