Грибковый бронхит – редкое заболевание, больной может даже не догадываться о своем состоянии, т.к. симптоматика недуга очень схожа со многими другими болезнями легочной системы. Только опытный врач и комплекс диагностических мероприятий помогут поставить правильный диагноз и начать корректное лечение.
Грибковый бронхит
Для грибкового бронхита характерно воспаление слизистой оболочки бронхов из-за попадания в организм грибковой инфекцией. Если симптомы недуга не проходят в течение 3 недель, то он переходит в острую стадию и требует незамедлительного лечения. Появление грибкового бронхита несколько раз за год дает основание называть заболевание хроническим.
Одной из основных причин развития болезни является терапия антибиотиками. Она снижает иммунитет человека и дает «зеленый свет» вредным микроорганизмам при атаке организма. В таком состоянии разрушает естественная микрофлора и развивается патогенная среда.
Грибковое заболевание легких возникает в тот момент, когда бронхи поражает какой-то из видов вредоносных микроорганизмов. В результате слизистая бронхов воспаляется и происходит сужение дыхательных путей, что не позволяет больному нормально дышать.
В этиологии развития заболевания выделяют несколько располагающих факторов к развитию грибка в бронхах. К ним относятся:
- ВИЧ;
- онкология;
- сахарный диабет;
- туберкулез;
- наличие хронической инфекции во рту, носу и придаточных пазухах;
- неправильное строение бронхолегочной системы;
- проведение искусственной вентиляции легких.
Помимо антибиотиков спровоцировать развитие грибка в легких могут препараты из групп глюкокортикостероидов и цитостатики. В группе риска находятся люди, работающие на вредных предприятиях или, проживающие в экологически грязных районах.
Грибковые споры способны поражать не только внутренние органы человека, но и ногти, ступни, кожу и слизистые. В зависимости от того, какой вид грибка проник в бронхи, меняется и характер недуга. К вредным микроорганизмам относят следующие типы:
- грибок кандида;
- актиномикоза;
- стрептомикоза;
- бластомикоза;
- аспергиллеза;
- гистоплазмоза;
- кокцидиоидомикоза.
Все они вызывают то или иное заболевание с характерными для каждого из них симптомами. Поражение бронхов грибком по своей сути чем-то напоминает гнойный бронхит.
Грибки проникают в человеческий организм с воздухом. Но случается это только в том случае, если иммунная система его снижена и нет возможности сопротивляться микробам. Если же человек полностью здоров, то атаковать его болезнь не сможет.
Помимо воздуха проникать в бронхи грибки могут через трещины и микротравмы на коже. Сначала они ничем себя не выдают и не вызывают никаких симптомов. Но когда грибок прорастает сквозь стенку бронхиального дерева, начинают проявляться первые неприятные признаки заболевания. Начинает развиваться микоз, появляются язвы и разрушаются защитные свойства слизистых.
Правильно проведенная диагностика заболевания это залог успешного лечения и скорейшего выздоровления. Важно установить первопричину появления недуга, чтобы направить терапию в нужное русло.
В первую очередь выясняют причины, по которым снизились защитные функции организма.
Кроме этого, врач собирает анамнез со слов пациента, наличия тех или иных симптомов и направляет пациента на следующие процедуры:
- бронхоскопию для изучения состояния стенок бронхов с возможным взятием биопсии;
- общий анализ крови помогает оценить клеточный состав крови и выявить наличие воспалительного процесса;
- взятие скарификационных проб, которые укажут на возможный аллергический характер недуга;
- аускультацию для изучения характера хрипов;
- спирометрию — анализ проходимости бронхов.
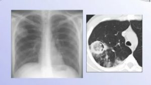
Важное значение в постановке диагноза имеет рентгенографическое обследование. На снимке патогены видны как округлые образования на поверхности легких. Взятие анализа мокроты больного позволяет определить вид грибкового возбудителя, что крайне важно для назначения будущего лечения.
Повышение температуры до 39
Признаки грибкового бронхита могут долго не напоминать о себе и появиться внезапно. Признаки болезни зависят от состояния иммунитета больного и включают в себя:
- повышение температуры до 39 градусов и выше;
- сухой кашель;
- грудные боли;
- озноб, обильное потоотделение;
- снижение или полное отсутствие аппетита;
- депрессию и раздражительность;
- головокружение и частые мигрени.
С прогрессированием болезни усиливаются и симптомы ее проявления. Кашель становится чаще, начинает отходить белесовато-творожистая мокрота. Иногда может присутствовать кровь и гнойные массы.
Человек начинает быстро утомляться даже при выполнении обычных повседневных дел. Из-за сильного кашля особенно в ночное время может нарушиться сон.
Сухой кашель мучает больного в течение 7-10 дней, после чего переходит во влажный, но мокрота отходит с трудом. Детский грибковый бронхит протекает сложнее и может сопровождаться микотическими поражениями других органов и дыхательной недостаточностью. Для грудничков такое состояние может закончиться смертью, если недуг перерастет в тяжелую форму и к нему присоединятся симптомы сепсиса.
Лечение грибкового бронхита должно начаться как можно быстрее. Это гарантирует благополучный исход без перетекания заболевания в острую форму. В комплекс терапевтических мероприятий включено лечение медикаментами, принятие витаминов, использование народных средств и соблюдение диеты. Сюда же входит здоровый образ жизни и отказ от вредных привычек.
Основные лекарства, которые используются при лечении грибкового поражения бронхов — противогрибковые. Их совмещают с медикаментами противовоспалительного и отхаркивающего действия.
Для избегания присоединения бактерий, врач прописывает антибиотики. В некоторых ситуациях возникает необходимость в назначении антиаллергических средств.
В борьбе с болезнью хорошо помогают следующие препараты:
- Амфотерицин В; — антибиотик с противогрибковым действием;
- Кетоконазол;
- Каспофунгин;
- Итракон;
- Кагоцел.
Каждый из медикаментов имеет свои особенности приема и побочные эффекты, поэтому их употребление должно обязательно контролироваться лечащим врачом.
Мед с сосновыми шишками
Народные средства сами по себе не могут заменить традиционную медицину, но в комплексе с аптечными лекарствами могут дать положительный результат намного быстрее. Снизить выраженность симптомов грибкового бронхита и ускорить выздоровление помогут:
- растительные отвары и настои. Приготовить их можно из чабреца и шалфея. В 300 мл воды добавить по 1 столовой ложке сухой травы, проварить 10 минут, охладить, процедить и принимать дважды в день по 50 мл;
- сосновый мед борется с грибковой инфекцией и повышает иммунитет. Его принимают по 1 ч. л. за 20 минут до еды, запивая теплой водой;
- сок алоэ избавляет от кашля, помогает вывести мокроту и улучшает состояние организма в целом. Из 10 листов растения выжимают сок и соединяют его с 2 ст. л. лимонного сока и 3 ст. л. жидкого меда. В течение 2 дней средство настаивают в холодильнике и принимают по 1 ч. л. до 3 раз в день.
Несмотря на то, что все эти средства натуральные и должны быть безопасны для здоровья, перед их применением нужно проконсультироваться с врачом.
Затяжное грибковое поражение бронхов может привести к развитию пневмонии. На фоне этого заболевания может появиться плеврит — воспаление плевральных листков, сопровождающееся выпадением на их поверхность фибрина или скоплением жидкости в плевральной полости.
Если терапия началась своевременно и включает в себя все необходимые мероприятия, грибковый бронхит не оставит после себя серьезных последствий. Затяжной бронхит с инфекцией, который развит на фоне тяжелого иммунодефицита, нередко заканчивается летальным исходом.
Профилактика грибкового бронхита начинается с изменения образа жизни. Это отказ от вредных привычек, смена места работы, если трудовая деятельность включает в себя контакт с вредными веществами. В межсезонье следует проводить профилактику ОРВИ, употреблять поливитамины и минералы.
Если недуг носит хронический характер, то профилактические меры определяет врач- пульмонолог. Больному также нужно пересмотреть свой рацион питания и включить в него следующие продукты:
- морепродукты и рыбу;
- ягоды и фрукты, содержащие витамин С;
- мясо птицы;
- бобовые;
- семена тыквы.
Диета должна быть преимущественно щелочной, содержать больше зелени. Следует избегать кислых, соленых, жареных и излишне сладких продуктов.
Внимательное отношение к своему здоровью позволит защититься от атаки вредных микроорганизмов, повысить иммунитет и исключить развитие серьезных заболеваний, в том числе и грибкового бронхита.
Источник: https://zdorovie-legkie.ru/gribkovyj-bronhit-01/

Грибок в легких – явление достаточно редкое и его нередко путают с прочими серьезными патологическими процессами легочных тканей. На деле, грибок в легких является опасным заболевание, которое требует безотлагательного лечения.
В запущенных ситуациях оно становится причиной тяжелых последствий и имеет высокую летальность. Грибковое поражение легких тяжело определить, так как его симптоматические проявления имеют сходство с туберкулезом и пневмонией, но терапия совершенно иная и требует применения категорически иных медикаментов.
Как патогены проникают к тканям легкого.
Грибковое поражение легких характеризуется двумя основными формами – актиномикозом и кандидозом. Причиной возникновения первого типа грибкового поражения дыхательных органов выступает микрофлора, относящаяся к роду Actinomyces, которая также именуется лучистым грибком.
Его споры выступают сапрофитами некоторого ряда злаковых растений:
В человеческий организм споры зачастую поступают в совокупности с воздушными массами, в которых имеется значительная пылевая часть, в составе которой имеются и актиномицеты. Также, имеется вероятность и иного способа инфицирования – из-за попадания спор в раневую поверхность кожных покровов и распространения мицелия посредством кровотока.
Дрожжеподобные грибки рода Кандида.
в этой статье расскажет читателю об опасности присутствия грибка в тканях.
Легочный кандидоз провоцируется возбудителем типа Candida, который принято относить к условно патогенным.
Указанные грибки находятся в организме любого человека и в нормальном состоянии не только не несут вреда организму, но также и выполняют позитивные функции. Тем не менее, когда по причине неблагоприятных факторов число патогенной микрофлоры резко увеличивается, Кандиды способны наносить организму значительный вред.
Опасность грибкового поражения.
Грибковое поражение легочных тканей является трудноизлечимым заболеванием, которое нередко провоцируется дрожжевыми грибами рода Кандида (на фото). В норме они безопасны и проживают на кожных покровах, но при понижении иммунной функции организма начинают представлять опасность.
Причинами понижения иммунной функции выступают следующие:
- постоянные стрессогенные ситуации;
- витаминная недостаточность организма;
- применение антибактериальных препаратов.
Внимание! Микозное поражение дыхательных путей и органов дыхания представляет опасность для каждого человека, вне зависимости от его возрастной категории. Заболевание опасно для представителей всех возрастных категорий.
Наиболее высокие риски получения такого поражения имеются у следующих групп пациентов:
- Люди, у которых диагностированы патологические процессы онкологического характера.
- Пациенты, страдающие от ВИЧ-инфекций.
- Люди, у которых диагностирован диабет сахарный врожденного либо же приобретенного характера.
- Лица, страдающие от туберкулеза.
- Пациенты с патологическими процессами эндокринного характера.
Также, в группу риска попадают люди, у которых имеются заболевания хронического характера, в особенности респираторного типа.
Грибковые поражения органов дыхания на стартовом этапе проявляется исключительно приступами кашля непродуктивного, то есть сухого характера, который является обыкновенным явлением для стандартного течения простудного заболевания. Далее, при кашле возникает отделение мокроты с малыми вкраплениями слизи.
https://youtube.com/watch?v=b7KokVUbBwU
После грибкового поражения легочных тканей возникает увеличение показателей общей температуры тела, дыхание приобретает затрудненный характер. У пациента наблюдаются приступы одышки и повышение объемов мокроты.
В мокроте присутствуют нитевидные включения. Человеку тяжело совершить вдох из-за болевого синдрома.
Кашель как симптом грибковой инфекции.
На следующем этапе патологического процесса отмечается присутствие в легких очагов абсцесса и утолщения плевры.
На кожных покровах становятся заметными образование свищевых каналов и выделение гнойных масс.
В гное, как и в мокроте, специалисты при анализе обнаруживают грибковые споры. Грибки, которые обосновались в легочных тканях, дислоцируются в нижнем отделе 1 из парных органов.
Патология развивается на протяжении длительного временного промежутка и находится в состоянии постоянного прогрессирования.
Микозы легких характеризуются собственными явными признаками – состояние пациента после применения антибактериального ряда фармакологических средств ухудшается, а хрипы часто не прослушиваются.
Как восстановить здоровье легких.
Симптомы грибка в легких на начальном этапе тяжело отличить от обыкновенной простуды и по этой причине, инфекция легких грибкового характера остается без верного лечения, пока у пациента не возникают ярко выраженные симптомы, которые характеризуются возникновением следующих нарушений:
- подкожных инфильтратов;
- свищевых ходов;
- развития кахексии;
- интоксикации;
- признаков истощенности организма.
Основными симптоматическими проявлениями на начальном этапе у грибкового поражения органов дыхания выступают такие:
- приступы кашля;
- одышка;
- мокрота, нередко с примесью крови;
- повышение показателей общей температуры тела;
- повышенная работа потовых желез.
Проявления сходны с туберкулезной инфекцией, а также пневмонией. Но, несвоевременное обнаружение грибкового поражения и запущенные состояния являются причиной высокой смертности среди пациентов.
Опасное проявление – боль в области грудной клетки.
Грибок Кандида является вторичной инфекцией, и проявляется после того, как было перенесено воспаление легочных тканей вирусного либо бактериального характера.
Важно! Заболевание выражено участками некрозов в середине очага воспаления, возникновением и накоплением жидкости в альвеолах и поражением бронхиальных стенок. В легких возникают полости с гнойным содержимым либо протекает замещение легочных тканей соединительными с формированием рубца.
При кандидозе легких, пациенты жалуются на следующие негативные проявления организма:
- недомогание общего характера;
- приступообразный непродуктивный кашель;
- одышка;
- лихорадочное состояние;
- сбой ритма биения сердечной мышцы;
- бронхоспахмы.
Для того чтобы устранить симптоматические проявления, пациентам вменяется прием противогрибковых средств, антибактериальных препаратов, жаропонижающих и обезболивающих медикаментов. Также, в ходе лечения требуется снизить объемы потребляемого сладкого, сдобы, жирного.
Аспергиллез.
Симптоматические проявления при аспергиллезе имеют сходство с кандидозным поражением легких. Наиболее часто от подобного страдают пациенты с саркоидозом, туберкулезом и ВИЧ-инфицированные.
Плесневые поражения легочных тканей становятся причиной возникновения таких проявлений, как:
- анорексия;
- кашель с мокротой гнойного характера;
- болезненность области грудной клетки;
- повышение показателей температуры тела;
- кровохарканье;
- вдох сопровождается возникновение болезненности;
- завышенные показатели работы потных желез;
- апатичность;
- слабость.
Аспергиллез отличается расположением справа в легких и находится в их верхней части. В некоторых случаях возможно развитие легочного кровотечения, которое нередко ведет к летальному исходу пациента.
Важно! Грибковые микроорганизмы способны поражать близь расположенные ткани, проникать вместе с током крови в отдаленные от легких внутренние органы.
Аспергиллез характеризуется стремительным прогрессированием. Для того чтобы его излечить, медики используют противогрибковые средства, стероиды, хирургическую санацию.
Для того чтобы терапия была эффективной требуется как можно более ранняя постановка диагноза. Выполняют анализ мокроты, выделяемой при кашле либо некротических масс из свищевых каналов.
Внимание! Под микроскопом возможно рассмотреть споры спровоцировавшего нарушение здоровья грибка. Наиболее надежным принято считать бактериальный посев гноя из свищевых каналов. Микроскопическое исследование.
Для того чтобы установить верный диагноз при предположении на грибковое поражение легочных тканей, требуется выполнять пункцию легких. Указанный тип анализа предоставляет возможность выявить род грибов.
Таким образом выявляется не только наличие грибов, но также и становится возможным подбор оптимального лекарственного препарата для борьбы с ними.
Тем не менее, диагностировать грибковое поражение легких, при неявной выраженности симптоматических проявлений возможно исключительно при комплексном подходе, который обязательно должен включать исследование крови, выделяющейся мокроты, плевральной жидкости и легочных тканей.
Данное достигается за счет следующих диагностических мероприятий, рассмотренных в таблице:
Диагностические мероприятия, позволяющие выявить грибок в легкихМанипуляцияОписаниеРентгенологическое исследованиеПредоставляет возможность определить расположение очагов грибка в дыхательных органах.
Культурологический анализВ ходе манипуляции за счет методики бактериального посева, грибковые споры размножаются в условиях лаборатории – необходимо для того, чтобы определить реакцию грибка на разнообразные фармакологические препараты.
Серологический тест кровиПрименяется для выявления патологии. Данное заключение делается исходя из наличия в крови специфических антител, которые свидетельствуют о имеющихся в организме тех либо иных возбудителей.
Тем не менее, следует учитывать, что использование рентгенографии не считается эффективным диагностическим методом в случае грибкового поражения легочных тканей на ранних этапах течения патологии, так как имеется высокая вероятность диагностирования пневмонии хронического характера течения, опухоли, туберкулезной инфекции либо абсцесса. На поздних стадиях патологии при расшифровке рентген-снимка становятся заметными патологические изменения ребер, бронхиального древа и плевелы.
Согласно результатам диагностирования выбирается определенная схема терапии, которая является индивидуальной для каждого пациента и зависит от показателей его организма и клинической картины течения заболевания. Лечение грибка в легких может проводить врач-инфекционист.
При проявлении характерной симптоматики следует обратиться к доктору.
Запрещается предпринимать какие-либо попытки в лечении самостоятельно, процесс терапевтического воздействия должен курироваться специалистом. Цена нарушения этого правила крайне высока.
Лечение грибковых поражений легких нередко выполняется посредством внутримышечных либо подкожных инъекций препарата Актинолизата, который является иммуностимулятором, повышающим продуцирование антител к возбудителям заболеваний инфекционного характера и снижающим интенсивность воспалительных процессов. Инструкция подразумевает 10-15 инъекций.
Также, могут назначаться антибактериальные препараты для ликвидации бактериальной флоры и предотвращения инфицирования вторичного характера. Все фармакологические средства подбираются исходя из результатов проведенных анализов.
Схема медикаментозного лечения определяется в частном порядке.
Подкожные инфильтраты и абсцессы ликвидируются хирургическими вмешательствами и последующим дренированием плевральной полости для улучшения оттока некротических масс. При тяжелых грибковых поражениях выполняется лобэктомия – удаление некоторой доли дыхательного органа. Также, показаны физиотерапевтические процедуры – электрофорез и УФО грудной клетки.
Читать далее…
Источник: https://zen.yandex.ru/media/id/59bf9ecc9d5cb3ee0df4e084/5a12834edcaf8e0d75160065
Бронхит чаще всего вызывается бактериальной или вирусной инфекцией. Грибок становится причиной заражения крайне редко. Симптомы грибкового бронхита похожи на проявления других форм, но наиболее характерный признак — сухой, «раздирающий», непродуктивный кашель. Потому установить этиологию бронхита и поставить верный диагноз можно только после лабораторных исследований.
Характерный признак грибкового бронхита — сухой, «раздирающий», непродуктивный кашель.
Признаки грибкового бронхита появляются внезапно. Внешне они похожи на начало острого бронхита иной этиологии. Проявления варьируются в зависимости от состояния иммунной системы заболевшего. Базовыми симптомами считаются:
- повышение температуры до 38°С;
- кашель сухой, непродуктивный (без мокроты);
- боль в области груди;
- озноб, обильное потоотделение;
- отсутствие аппетита;
- неврологические проявления: депрессия, головокружение, головная боль, раздражительность.
Длительный (на протяжении 7-10 дней) сухой кашель постепенно переходит во влажный. Мокрота с гнойной консистенцией отходит с трудом.
У детей раннего возраста эта форма бронхита протекает труднее, чем у взрослых, может сопровождаться микотическими поражениями других органов и дыхательной недостаточностью.
В тяжелых случаях грибковый бронхит протекает с симптомами сепсиса и заканчивается летально для грудных детей.
Грибковые инфекции развиваются при поражении тканей дыхательной системы одним или несколькими видами микроорганизмов. Наиболее распространенным патогеном является Candida Albicans.
Слизистая оболочка бронхов, пораженная грибом, воспаляется и набухает. Дыхательные пути сужаются, затрудняя вдох и выдох. Накопление микроорганизмов разрушает защиту дыхательных путей и создает среду, в которой скапливается слизь.
Патология провоцирует сильный кашель, короткое дыхание, охриплость.
Грибы попадают в организм через вдыхаемый воздух постоянно. Но если организм не ослаблен, то риск заболевания невысок. Наиболее уязвимы те, у кого существенно снижен иммунитет:
- новорожденные и дети дошкольного и школьного возраста;
- пожилые люди;
- курильщики и злоупотребляющие алкоголем;
- люди, живущие в загрязненной среде;
- страдающие аутоиммунными заболеваниями, астмой и хронической обструктивной болезнью легких;
- аллергики.
В группе риска находятся ВИЧ-инфицированные и пациенты после трансплантации органов.
Грибки относятся к разным группам и способны поражать ногти, ступни, кожу, слизистые оболочки органов. На бронхах они оседают, проникая через рот, дыхательные пути, микротравмы на поверхности кожи.
Мицелий грибка расселяется под эпителиальным слоем слизистых оболочек. Его опасность поначалу скрыта, но затем он прорастает сквозь стенку бронхиального дерева.
Начавшийся микоз вызывает образование язв и разрушает защитные свойства слизистых оболочек.
Характер заболевания зависит от вида грибковой инфекции и степени поражения:
- Candida albicans — возбудитель кандидоза.
- Actinomyces bovis — причина актиномикоза.
- Trichomycetes — вызывает развитие стрептомикоза.
- Blastomyces dermatitidis — возбудитель бластомикоза.
- Aspergillus fumigatus — способствует развитию аспергиллеза.
- Histoplasma capsulatum — виновник гистоплазмоза.
- Coccidioides immitis — возбудитель кокцидиоидомикоза.
Случаи заражения человека некоторыми видами грибков крайне редки. Но почти все грибковые инфекции имеют похожие симптомы. Поражение бронхов аналогично гнойному бронхиту, поражение легких — пневмонии.
Проводятся анализы крови и мокроты, позволяющие выявить характер инфекционного процесса и группу, к которой принадлежит возбудитель.
Цели диагностики при грибковом бронхите:
- подтвердить этиологию заболевания;
- определить вид грибка для выбора методов терапии.
Проводятся анализы крови и мокроты, позволяющие выявить характер инфекционного процесса и группу, к которой принадлежит возбудитель.
Общий анализ крови укажет на наличие воспаления: лейкоцитоз и повышение СОЭ (скорости оседания эритроцитов). Серотоническое исследование сыворотки крови на наличие специфических антител точно определит этиологию процесса.
Применение компьютерных и визуальных методов в сочетании с анамнезом и клинической картиной позволяет поставить точный диагноз.
Чтобы исключить грибковый бронхит, проводят рентген, компьютерную томографию, бронхоскопию. Применение компьютерных и визуальных методов в сочетании с анамнезом и клинической картиной позволяет поставить точный диагноз.
Своевременно начатое лечение грибковой инфекции не допускает перехода воспалительного процесса в более тяжелую форму.
Незапущенное воспаление лечится с помощью медикаментозных и витаминных препаратов, народных средств, диеты, обильного питья, перестройки образа жизни.
Терапия грибкового бронхита основана на приеме антибактериальных препаратов, которые используются на протяжении 1-2 недель в зависимости от тяжести заболевания. Их применение направлено на угнетение болезнетворных микроорганизмов. Используют Нистатин, Леворин, Актинолизат, препараты йода.
https://www.youtube.com/watch?v=LFdPk6xXpTA
Высокая температура снимается жаропонижающими средствами, а для отхождения секрета применяются отхаркивающие.
В тяжелых случаях больного госпитализируют и назначают антибиотики курсами по 20-30 дней с 7-14-дневными перерывами. Часть антибиотиков врач может порекомендовать в виде аэрозольной ингаляции. При неэффективности некоторых противогрибковых препаратов в опасных для легких случаях назначают Амфотерицин В., Итракон, Орунгал.
Показана общеукрепляющая и дезинтоксикационная терапия, иммунотерапия (Левамизол, Т-активин), а также бронхолитические (Эуспиран), гормональные (Дексаметазон, Преднизолон), антиаллергические средства и витамины, особенно витамин С. Он необходим для заживления пораженных тканей.
Грибковое заражение следует лечить при появлении первых симптомов, длительно и до полного выздоровления. Осложнение заболевания чаще проявляется в виде хронического бронхита, вовлекающего в воспалительный процесс все слои бронхов. Запущенная болезнь приводит к изменениям в структуре тканей бронхов: они утолщаются, лишаясь упругости и эластичности.
Осложнение заболевания чаще проявляется в виде хронического бронхита, вовлекающего в воспалительный процесс все слои бронхов.
Затем последует поражение легких и появление атипичной пневмонии. Легочная ткань деформируется и рубцуется. Возможен необратимый стеноз бронхов, нарушение дренажной функции, ухудшение проходимости дыхательных каналов и т.д. Дальнейшее развитие кандидоза легких протекает с общим сепсисом.
Первичные профилактические меры сводятся к избавлению от вредных привычек: курения и употребления алкоголя. Важно также изменение условий труда, если рабочий день проходит в загазованной и загрязненной среде. В межсезонье следует проводить профилактику ОРВИ, используя поливитамины и минералы.
При хронической форме грибкового бронхита превентивные меры по защите легких от повреждений грибком согласовывают со специалистом — пульмонологом.
В рацион вводят в большом количестве:
- морепродукты, рыбу (омега-3 жирные кислоты);
- ананас, клубнику, цитрусовые, киви, черную смородину, ежевику (витамин С);
- птицу, фасоль, семена тыквы (цинк).
Ананас в рационе — вкусная профилактика бронхита.
Диета должна быть преимущественно щелочной, содержать больше зелени. Следует избегать кислых, излишне сладких продуктов.
Валентина, 45 лет, Боровичи
У меня хронический бронхит. Не знаю, какой он по происхождению. В детстве у меня были частые ангины. Может, это повлияло. Но уже много лет обхожусь без рецидивов бронхита. Осенью и весной принимаю иммуномодулирующие средства. Стараюсь не переохлаждаться, не находиться в одном помещении с курильщиками. И еще: пью клюквенный морс и настоятельно рекомендую его всем.
Ольга, 27 лет, г. Рославль
Заболевание редкое, но меня коснулось. Были сложности с диагностированием. Проверяли аллергологи, пульмонологи, терапевты. Пришлось делать бронхоскопию. Сложно и физически, и психологически. Но диагноз уточнили.
Принимала эффективные антибактериальные, антигистаминные препараты, витамины — все, что прописали. Сейчас пока под наблюдением у врача, но чувствую себя хорошо. Все они отмечают, что я вовремя обратилась.
Хочу посоветовать всем: не затягивайте с походом к врачу.
Источник: https://bronhitoff.ru/vidy/gribkovij
Возбудитель заболевания — это грибок семейства Кандида. Он чаще других встречается в составе микрофлоры человеческого организма и природе. Если они не превышают норму, то их считают даже полезными, но только им стоит превысить нормативы, то грибки наносят существенный вред организму.
Каковы причины появления болезни? Какие имеет признаки? Как диагностировать кандидоз легких? Как лечить легкие пораженные грибком? Есть ли народные рецепты избавления от кандидоза? Может ли болезнь дать осложнения? Есть ли профилактические меры от заболевания? Вопросов много, попробуем ответить на них и разобрать в теме.
- Иммунодефицитные явления;
- Чаще всего болезнь появляется у людей, имеющие сахарный диабет;
- Использование антибиотиков;
- Применение оральных контрацептивов;
- Использование кортикостероидов;
- Эндокринные расстройства;
- Инфекционные заболевания хронического характера;
- Неправильное питание;
- Употребление алкогольных напитков, в частности пива.
- Лобарный микотический кандидоз легких;
- Хронический кандидоз бронхов;
- Очаговый микотический кандидоз;
- Рассеяный кандидозный грибок бронхов;
- Кавернозный кандидозный грибок легких;
- Посткандидозный пневмофиброз;
- Микома бронхов;
- Экссудативный кандидоз;
- Типы аллергического характера бронхов и легкого.
Грибок в легких определяется по следующим симптомам:
- Признаки кандидоза легких схожи с простой пневмонией.
- Чаще воспаление начинается в нижней части легких.
- В начале болезни человек может жаловаться на уменьшение аппетита, кашель, слабость и небольшое повышение температуры.
- На следующей стадии заболевания больной начинает отхаркиваться с примесью крови.
- Появляется учащенное дыхание.
- Возникают болевые ощущения в области возникновения грибка.
- Повышается потоотделение.
- Лихорадка.
- Когда врач начинает прослушивать легкие, то он не может обнаружить четкой картины.
- Если больному назначают антибиотики, то при легочном кандидозе ему может стать хуже.
- Плевра быстро втягивается.
- Если делают пункцию, то может появиться выпот с кровью.
Если у вас длительное время не проходит кашель, даже при приеме антибиотиков, обязательно нужно пройти дополнительное обследование не только на туберкулез, но и на наличие грибковой инфекции.
- Чаще всего специалисты для лечения кандидоза легких назначают леворин и нистатин.
- В тяжелой форме нистатин нужно принимать по 10 000 000−12 000 000 ЕД.
- В легкой и средней форме — по 6 000 000 — 8 000 000 ЕД.
- Если человек является кандидоносителем, то необходимо пить по 3 000 000 — 4 000 000 ЕД. Курс — 20−30 дней с 1−2 неделями перерыва.
- Леворин пьется по 1 500 000 ЕД в 24 часа.
- С этими препаратами можно делать и ингаляции — 150 000 ЕД на 5 мл дистиллированной воды.
- Врач может прописать и Амфоглюкамин в таблетках. Его стоит пить по 400 000 — 500 000 ЕД в 24 часа после еды через 40 минут. Курс — 10−30 дней.
- Пульмонолог может назначить и противомикотические системные медикаменты, например, Дифлюкан, Итракон либо Орунгал.
- Лекарства могут водиться и внутривенно.
- Чтобы быстрее вылечится, можно пить одновременно антибиотики и антимикотики.
- Одновременно с лекарствами от грибка легких стоит принимать иммуностимуляторы.
- Для эффективного лечения стоит к антимикотикам добавить противогрибковые бронхолитические и антиаллергические средства, например, Сальбутомол и Супрастин.
- Нужно пройти курс дезинтоксикационной терапии.
- Нужно взять два зубчика чеснока, очистить и мелко нарезать. Чесночная смесь перекладывается в неглубокую емкость и заливается 100 мл кипяченой воды. Полученную смесь нужно хорошо перемешать, а лучше перелить в маленькую бутылочку и несколько раз встряхнуть. Нужно дать время настояться настою, а потом закапывать его в нос по 3−4 капли.
- Берутся тысячелистник, мята перечная, полынь горькая, ромашка и шалфей. Все травы необходимо взять в равных частях — 2 ст. ложки каждой и измельчить, после залить горячей водой 2 стаканами. Полученная смесь должна настояться в чайнике. Пьется отвар по 0,5 стакана в теплом виде за 30 минут до еды — 3 раза в 24 часа.
Спасаемся от непрошеных гостей: мощные народные средства от вшей и гнид.
Что такое дерматомикоз и как его лечить: читаем на следующей странице.
Лишай Жибера или розовый лишай, о его симптомах здесь: parazity-gribok.ru/parasites/worms/rozovyj-lishaj-u-cheloveka.html.
- Могут поменяться ткани бронхов либо легких.
- Может возникнуть фиброз либо склероз.
- Возникают вторичные вирусные либо инфекционные инфекции.
- Появляется дыхательная недостаточность.
- Может появиться сепсис.
Поделиться:







