Золотистый стафилококк (Staphylococcus aureus) представляет собой шарообразную, неподвижную и аэробную (способную существовать в воздухе) бактерию, положительно окрашиваемую по Грамму, которая вызывает различные заболевания у детей и реже у взрослых.
Свое название «золотистый» стафилококк получил от золотистого свечения, которое издает при посеве на питательную среду.
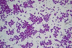
В переводе с греческого slaphyle – «гроздь» и coccus — «шаровидный», стафилококк под микроскопом напоминает гроздь винограда.
Золотистый стафилококк широко распространен в окружающей среде, его можно высеять с предметов обихода, с игрушек, с медицинского инструментария, из грудного молока и пораженных кожи и слизистых оболочек больного и здорового человека.
В норме золотистый стафилококк обитает на коже и слизистых практически у всех людей.
Но здоровые люди с хорошим иммунитетом не болеют стафилококковой инфекцией, так как нормальная микрофлора подавляет рост стафилококка и не дает проявить свою патогенную сущность.
Но при ослаблении защитных сил организма микроб «поднимает голову» и вызывает различные заболевания, вплоть до заражения крови или сепсиса.
Высокая патогенность золотистого стафилококка связана с тремя факторами.
- Во-первых, микроорганизм обладает высокой устойчивостью к антисептикам и факторам внешней среды (выдерживает кипячение в течение 10 минут, высушивание, замораживание, этиловый спирт, перекись водорода, за исключением «зеленки»).
- Во-вторых, золотистый стафилококк вырабатывает ферменты пенициллиназу и лидазу, что делает его защищенным почти от всех антибиотиков пенициллинового ряда и помогает расплавлять кожные покровы, в том числе и потовые железы, и проникать вглубь организма.
- А в-третьих, микроб вырабатывает эндотоксин, который приводит как к пищевому отравлению, так и синдрому общей интоксикации организма, вплоть до развития инфекционно-токсического шока.
И, конечно, следует отметить, что иммунитет к золотистому стафилококку отсутствует, и человек, переболевший стафилококковой инфекцией, может заразиться ею вновь.
Особую опасность золотистый стафилококк представляет для грудных детей, находящихся в роддоме. Именно в больницах высока концентрация данного микроба в окружающей среде, чему немаловажное значение придает нарушение правил асептики и стерилизации инструментов и носительства стафилококка среди мед. персонала.
Бесспорно, что причиной стафилококковой инфекции является, как правило, золотистый стафилококк. Заражение происходит при снижении иммунитета, чему способствует ряд факторов:
- прием антибиотиков и гормональных препаратов;
- стрессы;
- неправильное питание;
- гипо- и авитаминозы;
- инфекции;
- дисбактериоз кишечника;
- несоблюдение правил личной гигиены;
- недоношенность;
- незрелость ребенка при рождении;
- искусственное вскармливание;
- позднее прикладывание к груди.
Различают генерализованные и локальные формы стафилококковой инфекции.
К генерализованным формам относится сепсис (септикопиемия и септикоцемия).
К локальным формам относятся заболевания кожи, слизистых оболочек, внутренних органов, костей, суставов, молочных желез и пупочного канатика. Также отдельной графой стоит выделить пищевые отравления эндотоксином стафилококка.
Кроме того, стафилококковая инфекция может быть первичной и вторичной (при наличии первичного очага). По течению выделяют острые, затяжные и хронические формы, а по тяжести стафилококковой инфекции легкой, средней и тяжелой степени.
Симптомы стафилококковой инфекции зависят от места локализации стафилококк в организме ребенка и от степени снижения защитных сил организма. К основным признакам стафилококковой инфекции относятся
- повышение температуры тела
- выраженный интоксикационный синдром (вялость, слабость, отсутствие аппетита, тошнота).
Омфалит
Поражение микробом пупочной ранки, которое сопровождается отеком пупочного кольца, гнойным отделяемым из раны. При вовлечении в процесс пупочной вены прощупывается уплотненная и утолщенная вена. Также наблюдается гиперемия, которая распространяется вверх, в сторону грудины.
Поражение кожных покровов
- При псевдофурункулезе (поражение потовых, а не сальных желез) возникают плотные, красного цвета узелки в кожных складках (скопление потовых желез), которые затем нагнаиваются.
- Везикулопустулез характеризуется образованием пузырьков с жидким содержимым, которые самопроизвольно вскрываются и на их месте образуется корочка.
- Эксфолиативный дерматит (болезнь Риттера), или «синдром ошпаренной кожи» характеризуется образованием больших пузырей, по виду напоминающих ожоги, затем кожа слущивается и формируются незащищенные раны.
- Абсцесс – поражение глубоких слоев кожи с видимым покраснением и уплотнением. Формируется полость, содержащая гной.
- Панариций – поражение крайней фаланги пальца.
- Флегмона – в процесс кроме кожных покровов вовлекается подкожная клетчатка, которая нагнаивается.
Поражение глаз
При поражении слизистой глаз развивается конъюнктивит (светобоязнь, слезотечение, отек век, гнойное отделяемое из глаз).
Поражение дыхательных путей
Ринит – покраснение слизистой с обильным гнойным отделяемым из носа. При проникновении инфекции ниже развивается ангина, характеризующаяся болью в горле, фарингит, трахеит с сухим и болезненным кашлем.
Инфицирование бронхов и легких приводит к бронхитам и пневмониям. Как правило, бронхиты и пневмонии протекают сочетано с фарингитами, ринитами, трахеитами.
Отмечается значительное повышение температуры (до 39-40°C), сухой кашель, одышка.
Возможно развитие стеноза дыхательных путей.
Поражение центральной нервной системы
Проникновение золотистого стафилококка в головной мозг ведет к развитию менингита и абсцесса головного мозга. Заболевания у детей протекают тяжело, с высокой температурой и явлениями интоксикации.
Характерна «мозговая» рвота, головные боли, положительные менингеальные симптомы, эписиндром и кожная сыпь. При спинномозговой пункции жидкость вытекает под давлением, имеет зеленоватый оттенок с примесью гноя.
Поражение мочевыводящих путей
Поражение костей и суставов
При инфицировании костей и суставов развиваются артриты и остеомиелит.
Пищевая токсикоинфекция
Развивается при употреблении зараженной или испорченной пищи и протекает с явлениями острого энтероколита. Характерны повышение температуры, тошнота, рвота до 10 и более раз в сутки, жидкий стул с примесью зелени.
Сепсис
Заражение крови или сепсис, возникает при выраженном иммунодефиците. Течение заболевание тяжелое, с очень высокой температурой, выраженными симптомами интоксикации, нарушением сознания (от возбуждения до вялости).
При развитии инфекционно-токсического шока резко падает артериальное давление, больной теряет сознание и может впасть в кому.
Септикопиемия – циркулирование золотистого стафилококка в крови с формированием гнойных очагов, как на коже ребенка, так и во внутренних органах.
При септицемии характерно развитие инфекционного токсикоза. Септицемию может осложнять присоединение пневмонии, развитие ДВС-синдрома и прочее.
Дифференциальную диагностику стафилококковой инфекции следует проводить со стрептококковой инфекцией. В диагностике заболеваний стафилококковой этиологии используют следующие серологические методы, отличающиеся быстротой и высокой точностью:
- Стандартный коагулазный тест в пробирке, который продолжается 4 часа, но при отрицательном результате продляется на сутки.
- Латекс-агглютинация, при которой используются коммерческие наборы частиц латекса, связанных с антителами к стафилококку (А-протеину, фактору слипания и ряду поверхностных антигенов), что делает ее также полезной для видовой и штаммовой идентификации возбудителя
Также используют:
- Общие анализы крови и мочи (в крови определяется лейкоцитоз, нейтрофилез, повышенное СОЭ, а в моче белок, лейкоциты, стафилококки).
- Посев биологического материала на питательные среды.
Посев на питательные среды проводится с целью идентификации возбудителя заболевания и определения его чувствительности и устойчивости к антибиотикам.
Посев кала должен производиться не позднее чем через 3 часа после дефекации, мазки со слизистых рта и носоглотки должны браться натощак, до чистки зубов и до приема лекарств.
При кожных заболеваниях мазки берутся после предварительно обработки кожи вокруг раны раствором антисептика и удаления некротизированных участков (корочек) из раны.
- Реакция агглютинации Видаля
Позволяет определить динамику заболевания и эффективность лечения. Проводится 2 и более раз с перерывами в 7-10 дней. Нарастание титра антител в крови более 1:100 свидетельствует о прогрессировании инфекции.
- Фаготипирование выделенных стафилококков
Позволяет определить чувствительность микроба к фагам-вирусам для назначения соответствующего лечения.
При легких формах стафилококковой инфекции назначение антибиотиков не требуется.
При среднетяжелых и тяжелых формах назначаются полусинтетические пенициллины (амоксиклав), которые эффективны при устойчивости микроорганизма к пенициллинам и цефалоспорины (кефзол, цефтриаксон).
Сроки лечения зависят от тяжести заболевания и инфицирования кожи или внутренних органов (от 7 дней до нескольких месяцев).
При гнойно-воспалительных заболеваниях кожи (фурункулез, карбункул, импетиго) назначается местное лечение — мупироцин или производные плевромутилина. При их отсутствии может быть произведена обработка ран растворами антисептиков: бриллиантовой зеленью, перекисью водорода, перманганатом калия и антибактериальными мазями (синтомициновая, олеандомициновая мази, бактробан).
При конъюнктивите ежедневно промываются глаза слабым раствором марганцовки, и закапывается 30% раствор альбуцида 4-5 раз в сутки.
При гнойных поражениях кожи (абсцессы, флегмоны) производится хирургическое вскрытие гнойников для оттока гноя.
Кроме того, показано назначение антистафилококкового бактериофага, антистафилококковой плазмы и иммуноглобулина (при сепсисе и тяжелом течении заболеваний).
При стафилококковой пищевой токсикоинфекции антибиотики не назначаются, используется антистафилококковый анатоксин. Проводят промывание желудка и восполнение объема циркулирующей крови внутривенными инфузиями солевых растворов (физ. раствор, раствор глюкозы, регидрон и прочие).
Одновременно назначается иммунокорригирующая терапия (витамины группы В, С, левамизол, Тактивин и прочие).
Лечением стафилококковой инфекции у детей занимается детский врач-инфекционист.
Методы лечения подбираются в зависимости от поражения тех или иных органов. Ребенок госпитализируется в отдельную палату-бокс, где производится ежедневная смена постельного и нательного белья и ежедневный душ больного.
Особенно опасен золотистый стафилококк для детей грудного возраста. Возможные осложнения:
- сепсис;
- инфекционно-токсический шок;
- кома;
- летальный исход.
Прогноз зависит от тяжести заболевания и эффективности лечения.
При легких поражениях кожи и слизистых оболочек прогноз благоприятный. Массивное инфицирование золотистым стафилококком, особенно при развитии сепсиса в 50% заканчивается летальным исходом.
Источник: https://www.diagnos.ru/diseases/infec/stafilokokk-gold
Еще в 1878 году Пастер и Кох выделили и описали новый микроб, который назвали стафилококком.
Это шаровидного вида микроорганизм, размерами до 1 микрона, располагающийся гроздьями, за что и получил свое название, которое в переводе с греческого означает «виноградная гроздь». Хорошо окрашивается по Граму.
Колонии стафилококка способны вырабатывать пигментное вещество, что приводит к окрашиванию в цвета от кремового до яркого желтого, золотистого. Относится к факультативным анаэробам, достаточно просто выращивается на питательных средах.
Все виды стафилококка способны вырабатывать специфические токсины и выделять агрессивные ферменты. Именно этими свойствами и обусловлена высокая патогенность микроорганизмов. Факторами агрессии стафилококка являются:
- Экзотоксины. На сегодняшний день достоверно известно о четырех их видах. Все они при попадании в макроорганизм приводят к разрушению эритроцитов, обладают некротическими свойствами, способны вызывать гибель различных клеток.
- Лейкоцидины. Известны 4 типа этих агрессивных ферментов, которые выделяются стафилококками и приводят к изменениям лейкоцитов крови, способны вызывать ответную иммунную реакцию со стороны организма.
- Энтеротоксины. Образуются в продуктах питания, зараженных стафилококками. При попадании в организм человека вызывают интоксикацию.
То, что отличает стафилококковый энтеротоксин — это его устойчивость при высоких температурах. Именно поэтому даже после термической обработки продуктов, зараженных стафилококком, энтеротоксин сохраняет свою агрессивность и способен вызвать отравление:
- Особый вид экзотоксина, запускающий некротические, эксфолиатиные изменения кожи, особенно у грудных младенцев – пузырчатку новорожденных, кожные высыпания, подобные скарлатине.
- Ферменты агрессии. К ним относят плазмокоагулазу, гиалуронидазу, фибринолизин и другие.
- Фермент пенициллиназа. Благодаря этому веществу, стафилококки могут переходить из активных вегетативных форм в L-форму, легко видоизменяться, становясь устойчивыми по отношению к антибактериальным препаратам, что затрудняет излечение.
Эти микроорганизмы относятся к числу устойчивых в различных условиях окружающей среды. Они легко переносят процесс заморозки, высыхания, сохраняя патогенные свойства в течение многих лет.
Сегодняшней медицинской науке известны более 30 видов стафилококка. Четырнадцать из них являются сапрофитами, постоянными обитателями кожных покровов. Агрессивными патогенными свойствами обладают три разновидности:
- Самый опасный – стафилококк золотистый, по-латыни S. aureus. Обладает высокой патогенностью и всеми характерными для данного вида микробов факторами агрессии.
- Эпидермальный стафилококк – S. epidermidis. Является постоянным обитателем кожных покровов любого человека. Однако, при ослаблении иммунной защиты, является источником таких смертельно опасных состояний, как сепсис. Именно он чаще всего становится причиной инфекционного поражения внутренней оболочки сердца – эндокардита.
- Наименее агрессивный – сапрофитный стафилококк S. saprophyticus. Обитает на поверхности кожи, слизистых оболочках урогенитального тракта. Способен становиться причиной тяжелый воспалительных заболеваний органов системы мочевыделения.
Все указанный виды микроба вызывают гнойно-воспалительные заболевания, пищевые токсикоинфекции. Являются высоко патогенными.
Для всех разновидностей стафилококка характерны следующие пути заражения:
- Эндогенный. Микроб активизируется на фоне снижения иммунной защиты организма.
- Контактный. Более характерен для золотистого стафилококка. Инфекция передается через предметы быта, игрушки.
- Воздушно-капельный. Инфицирование происходит через пыль, а также при контакте с больным человеком.
- Пищевой. Заболевание проявляется при попадании в организм продуктов, содержащих стафилококковый энтеротоксин.
Согласно исследованиям, проведенным медиками ВОЗ, золотистый стафилококк возглавляет список микроорганизмов, являющихся причинами внутрибольничной инфекции.
Название золотистого стафилококка на латыни — Staphylococcus aureus, и это наиболее часто встречающийся тип микроба, вызывающий тяжелые, гнойные поражения практически любого органа.
Под воздействием неадекватной антибактериальной терапии может переходит в L-форму, что затрудняет процесс лечения, делая микроб устойчивым к проводимому лечению.
Способен вызывать в организме тяжелые нарушения жизнедеятельности, приводя к летальному исходу.
https://www.youtube.com/watch?v=ARu6i7bxOWY
Излюбленным местом обитания этого вида микроба являются ЛОР-органы: рото- и носоглотка, слизистые оболочки носовой полости, пазух.
Этот патогенный вид является самой частой причиной таких грозных заболеваний, как:
- Пневмония.
- Инфекционный эндокардит, сопровождающийся поражением сердечного клапанного аппарата.
- Остеомиелит.
- Гнойный мастит.
- Менингит.
- Поражение кожных покровов новорожденных.
- Сепсис. Очаги гнойного воспаления могут выявляться в любом органе: печени, почках, оболочках и веществе головного мозга.
Именно с золотистым стафилококком связано понятие «токсического шока», часто имеющего смертельные последствия.
По-латыни – Staphylococcus epidermidis. Менее агрессивный, чем предыдущий вид. Основными органами-мишенями являются кожные покровы и мягкие ткани. Свою активность проявляет при снижении иммунитета.
Стафилококковая инфекция сопровождается гнойно-воспалительными высыпаниями на коже, характеризуется появлением эрозий, язв. Чаще болеют дети, что обусловлено несовершенством иммунных механизмов защиты у этой категории пациентов.
У женщин вызывает поражение органов мочеполовой системы.
Особенную опасность представляет в послеоперационном периоде, являясь причиной ранних послеоперационных воспалительных осложнений, раневой инфекции.
S. saprophyticus – наименее агрессивный из рассматриваемых видов. Этот возбудитель является причиной циститов, уретритов, воспалительных заболеваний почек, наружных половых органов. Чаще подвержены болезни взрослые, дети болеют редко. Типичны местные проявления, клиническая картина интоксикационного синдрома не является характерной при инфекциях, обусловленных этим вида микроба.
Особую опасность стафилококковая инфекция представляет для женщин в период беременности, когда меняется гормональный фон и снижается иммунитет. Своевременная санация очага воспаления, адекватная антибиотикотерапия помогут избежать нежелательных последствий для матери и плода.
Стафилококки – условно-патогенные микроорганизмы. По данным различных исследований, носителями являются от 40 до 60 процентов населения всех стран мира.
Следует различать понятия инфекции, имеющей яркую клиническую симптоматику, и обнаружение стафилококка по результатам посевов на питательные среды, микробиологических исследований, не сопровождающихся клинической картиной какого-либо заболевания.
Мерами профилактики патологических процессов, обусловленных этим коварным микробом, считаются:
- Соблюдение элементарных гигиенических норм и правил: регулярная влажная уборка, проветривание, обработка контактных поверхностей, игрушек.
- Своевременная санация очагов инфекции, проведение адекватных терапевтических мероприятий.
- Соблюдение гигиенических норм в питании.
- Меры, направленные на повышение иммунной защиты, закаливание, занятия спортом.
- Соблюдение санитарно-охранительного режима в лечебных учреждениях.
Своевременное обращение в медицинское учреждение при первых признаках болезни, неукоснительное соблюдение рекомендаций врача во время лечения, простые мероприятия, направленные на укрепление иммунитета и профилактику, – являются элементарными способами защиты организма от возникновения стафилококковой инфекции.
Источник: http://elaxsir.ru/zabolevaniya/drugie-zabolevaniya/stafilokokk-zolotistyj-po-latyni.html
Золотистый стафилококк (Staphylococcus aureus) является одним из 30 видов бактерий рода Staphylococcus.
Многие годы пытаетесь избавиться от ПАРАЗИТОВ?
Глава Института: «Вы будете поражены, насколько просто можно избавиться от паразитов принимая каждый день…
Читать далее »
Именно эти «золотые» микроорганизмы являются частой причиной различных заболеваний – несмотря на то, что они естественным образом колонизируют нашу кожу или слизистые оболочки.
Что представляет собой эта бактерия и стоит ли предпринимать какие-либо действия против стафилококка?
Бактерии рода Staphylococcus имеют вид шара, как и все кокки. Стафилококки объединяются в колонии, похожие на грозди винограда – отсюда и греческое название «staphyle», что означает «гроздь винограда».
НАШИ ЧИТАТЕЛИ РЕКОМЕНДУЮТ!
Часто образуются колонии 6-8 мм в высоту. Скопления S. aureus, т.е., золотистого стафилококка, отличаются жёлтым, золотистым цветом.
Эта бактерия живет в организме человека, но также может обнаруживаться и у животных. Стафилококк может быть найден у людей в следующих местах:
- подмышки;
- интимные зоны;
- слизистая оболочка носовой и ротовой полостей;
- слизистая оболочка пищеварительного тракта, в том числе прямой кишки;
- глотка, гортань.
Это – естественное загрязнение, поступающее из окружающей среды контактным, воздушно-капельным или фекально-оральным путем.
Вездесущие золотистые бактерии легче всего попадают в организм через грязные руки, через дыхательные пути или через микротравмы кожи. После того, как стафилококк оседает в организме человека, тот становится носителем.
Носительство увеличивает риск заражения! Носителями являются, в основном, дети. Согласно статистике, бактерия ждёт «лучших времен» главным образом в носовой полости. Золотистый стафилококк не является вредным для организма, если у человека не ослаблен иммунитет. Таким образом, эта бактерия относится к группе условно-патогенных микроорганизмов.
По мнению учёных, человек может быть носителем только одного или сразу нескольких видов золотистого стафилококка. В организме некоторых людей эта бактерия не обнаруживается вообще. Интересная информация: женщины, использующие гормональные контрацептивы, с большей вероятностью могут стать носительницами стафилококка в носу (согласно данным статистики).
Инфекция может возникнуть в случаях, когда:
- Имеет место ослабление иммунитета – например, при простуде или гриппе.
- Нарушена целостность кожи без последующей дезинфекции раны – порезы, раны, ожоги, укусы животных, микротравмы и др.
- Ввод инородного тела в организм (например, имплантата, электрокардиостимулятора и др.).
- Различные медицинские вмешательства, когда бактерия не попадает в операционную рану, но может вторгнуться в здоровые ткани или индуцировать образование токсинов в крови – в таких случаях инфекция может вспыхнуть в любом органе или ткани.
Возможным, хотя и неожиданным, местом распространения инфекции являются больничные учреждения. В данном случае речь идёт о внутрибольничных инфекциях.
Появление золотистого стафилококка в больнице легко объяснимо: там находится большое количество пациентов с различными заболеваниями, которые к тому же не всегда соблюдают правила личной гигиены. Люди, таким образом, «обмениваются» бактериями посредством обыденных действий, таких, как кашель, контакт друг с другом, несоблюдение чистоты в туалетах или рядом с раковиной умывальника.
Кроме того, бактерии в медицинских учреждениях могут быть более устойчивыми к антибиотикам, поскольку они регулярно подвергаются их воздействию.
Еще один способ, при которым человек может встретиться с золотистым стафилококком, – употребление некачественных продуктов питания. Загрязнённые или ненадлежащим образом обработанные пищевые продукты, накопившие в себе бактерии, могут вызвать пищевое отравление. Хотя стафилококки погибают при температуре выше 50°C, их токсины разрушаются лишь после 20 минут термической обработки.
Отравление происходит только при приёме пищи, в которой скопилось большое количество стафилококкового эндотоксина.
Опасные продукты питания:
- Мясо, птица, рыба и их продукты – фарш, колбасы, ветчина и др.
- Молоко и молочные продукты – сливочный соус, взбитые сливки, мороженое, концентрированное и сухое молоко, пудинги.
- Блюда с яйцами и майонезом (готовые салаты).
- Кондитерские изделия, наполненные кремом.
- Приготовленные блюда, повторно загрязнённые стафилококками.
Заботьтесь о правильном хранении продуктов питания, соблюдайте правила термической обработки пищи.
Золотистый стафилококк может являться инициатором широкого спектра заболеваний кожи, мягких тканей и костей. Он может заразить:
- раны на коже;
- кости и суставы;
- мышцы, мягкие ткани и внутренние органы (почки, печень, селезёнка, щитовидная железа, глаза, нервы);
- сердечную мышцу или клапаны сердца – такая инфекция может привести к снижению работоспособности сердца;
- органы дыхания (например, стафилококковая пневмония).
Стафилококк может при попадании в кровь вызвать и сепсис (заражение крови).
Наиболее распространённой является инфекция кожи (стафилодермия) в различных формах. Она проявляется возникновением сыпи и волдырей, которые зудят и болят, нагнаиваются. Сыпь может превратиться в долго незаживающие раны. Кожа, пораженная стафилодермией, может загрубеть, уплотниться.
При заражении более глубоких слоёв кожи образуются очаги гнойного воспаления: фурункулы, карбункулы, абсцессы. Эти заболевания сопровождаются подъемом температуры, развитием общей интоксикации.
Заражение костей (остеомиелит), которое может произойти, например, у детей, характеризуется быстрым повышением температуры, возникновением боли в костях. Боль может быть острой, постоянной или возникать периодически.
Типичной является боль в груди, которая усиливается при кашле. Кашель сопровождается выделением мокроты жёлтого или зелёного цвета.
Также частые симптомы представлены ознобом, лихорадкой, головной болью и мышечной слабостью.
Пищевое отравление токсинами, содержащими стафилококк, легко спутать с другими, «банальными» болями в животе. Оно проявляется рвотой, диареей, подъемом температуры, примесью зелени в кале. Симптомы отравления (пищевой токсикоинфекции) проявляются в течение 2-6 часов после приёма пищи.
Поражение стафилококком нервной системы приводит к развитию тяжелых заболеваний: менингита или абсцесса мозга.
Наиболее тяжелые состояния – септицемия и септикопиемия – возникают при попадании золотистого стафилококка в кровоток. При этом может возникнуть инфекционно-токсический шок или появление множественных гнойников в различных органах.
При лечении инфекций, вызванных S. aureus, используется антибиотикотерапия.
При заболеваниях, поражающих поверхность кожи, сначала используют препараты местного действия (кремы или мази), содержащие антибиотики, наиболее часто – Мупироцин, Ретапамулин.
Если поверхностное лечение от стафилококка не дало результатов, возникает необходимость продолжать терапию путём перорального приёма антибиотика. В таком случае назначают препараты широкого спектра действия (Ципрофлоксацин, Клиндамицин и др.). Лечение инфекций кожи может длиться в течение 7-14 дней.
Чем лечить стафилококк, решает врач, учитывая диагноз и общее состояние пациента. В тяжелых случаях антибиотикотерапия сочетается с методами иммуностимуляции (аутогемотрансфузии, введение противостафилококковой плазмы, применение растительных или синтетических иммуномодуляторов).
Курс лечения стафилококковой инфекции может затянуться в следующих случаях:
- наличие у пациента сердечно-сосудистых заболеваний. Например, при недостаточном кровоснабжении конечностей рана на ноге будет заживать долго и, следовательно, у бактерий появится больше времени, чтобы инфицировать её.
- Сахарный диабет.
- Рак и другие онкологические заболевания.
- Послеоперационный период.
- Муковисцидоз.
- ВИЧ-инфекция, СПИД.
- Алкоголизм и/или никотиновая зависимость.
- Недостаточная функция почек.
- Цирроз печени.
- Пожилой возраст.
- Недостаточный или избыточный вес.
В таких случаях вопрос, как лечить стафилококковую инфекцию, стоит наиболее остро, т.к. присутствует необходимость терапевтических мер с учётом уже имеющегося заболевания.
Для того, чтобы впоследствии не задаваться вопросом, как избавиться от золотистого стафилококка, уделите внимание профилактике болезни: часто мойте руки.
Конечно, в разумных рамках, так как чрезмерная приверженность к чистоте не может полностью ограничить распространение инфекции – бактерии могут стать устойчивыми к дезинфицирующим средствам.
Придерживайтесь принципа «золотой середины».
Инфекцию человек может получить после укуса животного (собаки, грызуна, рептилии). Продезинфицируйте рану после травмы. После этого немедленно обратитесь к врачу!
Конечно, если вы знаете, что являетесь носителем золотистого стафилококка, в случае заболевания старайтесь защитить окружающих вас людей. К примеру, надевайте при ОРЗ марлевую повязку, а когда чихаете или кашляете, обязательно прикрывайте рукой рот.
К профилактике стафилококковой инфекции относится и лечение хронических болезней – кариеса, тонзиллита, уретрита и др.
НАШИ ЧИТАТЕЛИ РЕКОМЕНДУЮТ!
Избегайте посещения косметических салонов, где не выполняют правил обработки инструментария.
Бактерии способны к скрещиванию друг с другом и мутированию. При этом повышается их устойчивость к внешним воздействиям (например, к действию антибиотиков).
Таким образом, опасно недооценивать инфекцию и не вылечить её полностью, например, не пройти полный курс лечения антибиотиками.
В этом случае при рецидиве инфекции потребуется применение уже других, более мощных антибактериальных средств.
Источник: https://mastmed.ru/simptomy/zolotistyj-stafilokokk-latinskoe-nazvanie/
Слово стафилококк большинство людей приводит в ужас. Ведь всем известно, что с ним связаны такие заболевания как фурункулы, гнойники, менингит, воспаление легких, сепсис и так далее. На этом список болезней не заканчивается. Но следует понимать, что из всего разнообразия стафилококков только 3 вида опасны для человека, остальные же — могут мирно сосуществовать с человеком.
- золотистый стафилококк (по-латыни ауреус)
- эпидермальный стафилококк
- сапрофитный стафилококк
Детей крайне редко поражает сапрофитный стафилококк, и поэтому его называют «мирным».
Но при этом он ярый любитель представительниц прекрасного пола. Сапрофитный стафилококк вызывает воспаление мочевого пузыря (цистит) и почек.
Связано это с тем, что обитает он в области гениталий и на слизистой оболочке мочеиспускательного канала.
Вызывает различные заболевания он редко, так как организм каждого человека (не зависимо от пола и возраста) с ним отлично справляется.
Несмотря на то, что эпидермальный стафилококк живет на коже, он не вызывает гнойников на коже. Большинство инфекций возникает у людей, которые перенесли хирургическое вмешательство.
Данный вид стафилококка с поверхности кожи через раны, мочевые и сосудистые катетеры проникает в организм.
В итоге, может возникнуть заражение крови, а также эндокардит, при котором воспаляется внутренняя оболочка сердца.
Эпидермальный стафилококк широко распространен среди хирургов, занимающихся протезированием: искусственные суставы, клапаны. Если они инфицируются, то именно этим стафилококком.
Свое название золотистый стафилококк получил благодаря тому, что при рассматривании его под микроскопом колонии имеют золотисто-оранжевый цвет.
Он отличается устойчивостью к внешним факторам, а также тем, что поражает абсолютно любой орган в человеческом организме.
- при высушивании не теряет активности
- в чистом этиловом спирте не погибает
- под солнечными лучами живет 12 часов
- температуру в 150 градусов способен выдержать до 10 минут
- ему не страшна перекись водорода; более того, он вырабатывает фермент каталазу, разрушающую перекись водорода, и в результате сам микроб питается образующимся кислородом
Кроме этого, золотистый стафилококк обладает уникальной способностью выживать в растворе натрия хлорида (то есть поваренной соли). А это говорит о том, что он спокойно живет в потовой железе, где соленый пот стафилококку абсолютно не страшен.
Отсюда, следует вывод, что все кожные заболевания (ячмень, фурункулы, гнойники) появляются после заражения золотистым стафилококком.
https://www.youtube.com/watch?v=bgGPS5n_gbA
Но не бывает так, что микроб не имеет ахиллесовой пяты — в данном случае это анилиновые красители. Говоря простым языком, обычная зеленка. Поэтому возьмите это на вооружение при симптомах кожных болезней.
Порой люди не чувствуют разницы между понятиями стафилококк и стафилококковая инфекция. Причем, она достаточно существенная. Если обнаружили по результатам анализов стафилококк, но при этом никаких симптомов заболевания (боли, высокая температура) не наблюдается, то нет смысла пить таблетки.
Однако на практике все не так. Представим, что в молоке кормящей мамы обнаружили стафилококк. В итоге, она прекращает грудное вскармливание и начинает давать ребенку сильные антибиотики. Однако никто не берет во внимание тот факт, что стафилококк обитает всегда на коже, и поэтому оттуда он может попасть в молоко, которое будут изучать под микроскопом.
Поэтому, если у ребенка нет проблем, и он нормально себя чувствует, нет смысла прекращать кормление грудью.
Читайте: Чем отличаются отделы тонкого кишечника
Таким образом, стафилококк стафилококку рознь, и это нужно понимать. В наше время от медицинской грамотности людей зависит их здоровье. Поэтому будьте внимательными к нему, и перед тем, как начинать пить антибиотики, убедитесь в их целесообразности! И не забывайте о мерах, способствующих поднятию иммунитета — тогда никакой стафилококк вам не страшен.
Выделите ее и нажмите Ctrl+Enter, чтобы сообщить нам.
Расскажите друзьям! Расскажите об этой статье своим друзьям в любимой социальной сети с помощью социальных кнопок. Спасибо!
Твит
Телеграм
Класс
Вотсап
Источник: https://PishheVarenie.com/organy-zhkt/stafilokokk-aureus-zolotisty-j-e-pidermal-ny-j-i-saprofitny-j-izuchaem-v-podrobnostyah/
Золотистый стафилококк (лат. Staphylococcus aureus) — относиться к группе грамположительных бактерий рода стафилококк. Имеет шаровидную форму. Практически 1/5 часть населения является носителями этого микроорганизма, который сохраняется на слизистых носа и носоглотки, на поверхности кожи.
Инфекционные заболевания, которые вызываются различными видами стафилококков, объединяются в группу стафилококковых инфекций. При такой патологии на месте внедрения микроба в организм всегда возникает гнойный процесс.
Данная бактерия получила такое «драгоценное название» из-за своего внешнего вида. Если рассмотреть ее под микроскопом, то, в отличие от большинства бесцветных бактерий, по причине наличия в ней пигментов-каротиноидов, она окрашена в золотистый цвет.
Золотистый стафилококк – относится к бактериям-комменсалам. Ее колонии присутствуют на кожных покровах. А так же на слизистых влагалища, носа, глотки. До 40% населения земного шара – носители золотистого стафилококка. Но простое присутствие данного микроба в организме не проявляется клинически.
Входными воротами для проникновения инфекции в организм являются микротравмы кожи, а так же слизистой оболочки дыхательных путей. Развитию стафилококковой инфекции способствует ряд факторов:
- хронические заболевания (патологии щитовидной железы, а так же сахарный диабет),
- ослабленный иммунитет (на фоне лечения определенными группами медикаментов – антибиотиков, иммунодепрессантов),
- воздействие на организм неблагоприятных условий окружающей среды.
Наиболее тяжелые формы инфекции, вызванные стафилококком, развиваются обычно у пожилых людей и маленьких детей. После перенесенной инфекции стойкого иммунитета не развивается. При встрече представителя из другого подвида стафилококков, который вырабатывает совершенно иные токсины, все ранее приобретенные иммунные «накопления» защитной роли не играют.
Стафилококк золотистый — причина многих заболеваний.
Это не только легкие кожные инфекции (фурункул, карбункул, флегмона, угри), но и довольно опасные болезни – остеомиелит, шок инфекционно-токсический, менингит, эндокардит, пневмония и сепсис.
Стафилококк золотистый входит в четверку самых распространенных причин внутрибольничной инфекции, так как часто вызывает гнойные послеоперационные осложнения.
Симптоматика стафилококковой инфекции напрямую связана с местом внедрения микроба в организм, со степенью снижения иммунитета, а так же зависит от агрессивности возбудителя.
Пиодермия – часто встречающееся гнойное заболевание кожи.
При стафилококковой пиодермии поражается область кожи вокруг устьев волос с последующим образованием гнойников, фурункулов и карбункулов, излюбленным местом которых являются ягодицы, бедра и шея.
Опасность представляют глубокие гнойниковые поражения на лице и шеи. Так как в этом случае близость кровеносных сосудов повышает риск попадания золотистого стафилококка в мозг с последующим развитием абсцесса мозга или гнойного менингита.
Болезнь Риттера (иное название — синдром «ошпаренной кожи») — в основном наблюдается у детей первого года жизни. По симптомам напоминает рожистое воспаление или скарлатину. Одним из проявлений является отслоение больших пластов кожи, под которыми образуются большие пузыри.
Абсцессы, флегмоны – это поражение глубоких слоев подкожных тканей с последующим гнойным расплавлением.
Стафилококковая пневмония – тяжелое заболевание с резко выраженной интоксикацией. Частыми симптомами являются боль в груди (есть поражение плевры) и одышка. В тканях легких, при обследовании, хорошо просматриваются множественные очаги и участки с гнойными абсцессами.
Все перечисленные симптомы часто приводят к ряду тяжелых осложнений: менингиту, тромбофлебиту, неврологическим нарушениям, остеомиелиту, пищевому токсикозу, сепсису.
Основой в постановке диагноза являются клинические признаки стафилококковой инфекции. Так же, чтобы выявить возбудителя, делают посевы биологических жидкостей и отделяемого из ран. Очень часто врачу необходимо дифференцировать заболевания, вызванные стафилококком со стрептококковыми инфекциями, аллергическими поражениями, кишечными инфекциями и сибирской язвой.
Основная цель при лечении – подавление возбудителя, восстановление иммунитета, лечение сопутствующих болезней и понижение уровня реактивности организма.
- Хирургический способ
- личная гигиена
- здоровое питание
- исключение вредных привычек
- полноценный сон
- своевременная обработка микротравм.
Источник: http://pro-parasites.info/staphylococcus/staphylococcus-aureus.html
Поделиться:










