Риносинусопатия — это длительное заболевание полости и пазух носа, осложнение аллергического или вазомоторного ринита, имеющее хронический характер. Если разобраться, что такое риносинусопатия и как правильно с ней бороться, можно избежать серьезных осложнений.
Риносинусопатия возникает в результате осложнений аллергического, или вазомоторного, ринита, который при отсутствии необходимого лечения приобретает хронический характер. При этом необходимо учесть ряд факторов, способствующих развитию заболевания:
- предрасположенность к аллергическим реакциям;
- неблагоприятная экологическая среда, в которой проживает больной;
- работа на вредном производстве (наличие на рабочем месте химических реагентов или большого количества пыли);
- бесконтрольный прием лекарственных препаратов;
- вредные привычки;
- наличие хронических заболеваний;
- наличие заболеваний желудочно-кишечного тракта;
- наличие аденоидов.
Важно заметить, что при наличии этих факторов далеко не у всех развивается риносинусопатия. Главной причиной для развития заболевания является склонность больного к аллергии.
Сложность в диагностироовании заболевания состоит в том, что риносинусопатия имеет симптомы, не отличимые от проявлений простуды и гриппа:
- сильная заложенность носа;
- затрудненное дыхание;
- обильные выделения из носа;
- кашель;
- затрудненное дыхание.
При осложнении болезни инфекцией симптомы могут быть идентичными признакам различных синуситов.
Проявление симптомов может носить постоянный характер, но в некоторых случаях на это влияет присутствие аллергена.
Наряду с основными симптомами, больной может чувствовать сильную головную боль. Поэтому риносинусопатию часто связывают с воспалением в головном мозге, однако это заболевание не несет для органа непосредственной угрозы. Кроме того, у больного снижается работоспособность, ухудшается сон и аппетит, появляется раздражительность и вялость.
[/attention]
Чаще всего для выявления риносинусопатии врач может назначить следующие лабораторные исследования:
- рентген носовых пазух;
- риноскопия;
- МРТ головного мозга.
При лечении риносинусопатии необходимо обратиться к врачу. Самолечение недопустимо. Однако существует ряд правил, которых нужно придерживаться больному для облегчения процесса выздоровления:
- Необходимо отказаться от вредных привычек. Курение и употребление алкоголя негативно влияют на носовые пазухи, а содержащиеся в табаке или алкогольных напитках добавки могут вызвать аллергическую реакцию.
- Употреблять лекарства необходимо строго в соответствии с рецептом врача.
- Во избежание возникновения аллергических реакций необходимо ежедневно проводить влажную уборку и проветривать помещение. Желательно избавиться от аллергенов хотя бы на время лечения.
- Следует придерживаться диетического питания.
- К медикаментозному лечению необходимо добавить курс витаминов, которые помогут укрепить иммунную систему и помогут быстрее вернуться к привычному ритму жизни.
Аллергическая риносинусопатия может иметь сезонный характер, а может проявляться постоянно. Без правильного лечения она легко перерастает в хроническую. Зависит это от наличия аллергена.
Для того чтобы избавиться от болезни, необходимо выявить аллерген с помощью аллергопробы и исключить его. Также необходимо исключить курение, алкоголь, пыль и пищевые добавки.
Аллергия в большинстве случаев наследственная, но наличие данных раздражителей может ее усугубить.
Антигистаминные препараты могут применяться курсами или в период обострения болезни. Эффективным будет промывание пазух носа, которые можно освоить самостоятельно и делать дома.
Избавиться от аллергической риносинусопатии полностью практически невозможно, но можно уменьшить ее проявления.
Полипозная риносинусопатия характеризуется образованием полипов в носовой полости и пазухах носа, которое возникает при длительном воздействии аллергенов. Часто для избавления от полипов прибегают к оперативному вмешательству.
Такой подход оправдан, если полипы мешают прохождению воздуха и не поддаются консервативным методам лечения. Однако у больных, имеющих предрасположенность, после оперативного вмешательства может развиться бронхиальная астма.
Поэтому обращение к хирургическим методам избавления от полипов необходимо только тогда, когда консервативные методы неэффективны.
Необходимо помнить, что главным аспектом в лечении полипозной риносинусопатии является выявление и устранение причины роста полипов. Если причина не устранена, они могут появиться снова. Кроме того, после оперативного вмешательства необходимо проведение поддерживающей терапии, которая поможет избежать роста новых полипов.
Вазомоторная риносинусопатия чаще всего проявляется из-за врожденных особенностей строения носовой полости. Она может быть вызвана искривлением носовой перегородки, наличием в ней шипов или гребней, сильным переохлаждением или изменением метаболизма.
Если проблема заключается в особенностях строения носовой полости, то для ее устранения необходимо хирургическое вмешательство, которое не оставит следов.
Если болезнь вызвана переохлаждением, то необходимо качественное прижигание в каждой ноздре. Несколько малозаметных швов предупредят развитие болезни в дальнейшем. После операции больному необходимо внимательно следить за своим здоровьем, избегать переохлаждения и не болеть в первые месяцы после проведения процедуры, иначе придется проводить ее повторно.
Избавиться от вазомоторной риносинусопатии возможно, если вовремя обратиться к врачу.
Хроническая риносинусопатия развивается тогда, когда течение болезни запущено. Избавиться от хронического проявления болезни очень сложно. В таком случае практически всегда необходимо хирургическое вмешательство, так как применение антигистаминных препаратов, промывание носа и диеты чаще всего уже не помогают.
Для того чтобы избежать появления хронической болезни, необходимо соблюдение профилактических мер. Если болезнь вызывает опасения, необходимо обратиться к врачу. Профилактический осмотр поможет избавиться от серьезных осложнений.
Источник: https://LorVDele.ru/nos/sinusit/rinosinusopatiya.html
Риносинусопатия (риносинусит)Наравне с обычными аллергическими реакциями на цветочную пыльцу наблюдается развитие более сложной аллергической формы, которая может поражать также иные органы организма, часто приводя к серьезным негативным последствиям. Такая форма аллергического заболевания называется риносинуситом на основании воздействия аллергенов (одного или нескольких одновременно).
Аллергическая риносинусопатия (или риносинусит) относится к виду патологических состояний. Проявляется заболевание в виде поражения слизистой носа и его околоносовых пазух.
Развитие болезни происходит ввиду нарушений процессов реактивности (в частности, иммунной системы).
Поражение носовых слизистых практически никогда не является изолированным, а дополнительно затрагивает кожные покровы, гортань, бронхи, легкие и слизистую глаз.
По продолжительности определяют риносинусопатию:
- эпизодическую острую (воспаление носоглоточной слизистой проходит быстро при исключении контактирования с ингаляционными аллергенами, а также шерстью животных или перьев птиц);
- сезонную (характеризуется поражением слизистых только в период цветения растений);
- круглогодичную или персистирующую (наблюдается на протяжении не менее девяти месяцев в год).
Согласно статистическим данным, аллергическая риносинусопатия наблюдается у 20% всего мирового населения.
Одной из основных причин появления этого заболевания считается врожденная наследственная предрасположенность к аллергии.
К дополнительным причинам относят:
- повышенный уровень реактивности иммунитета на аллерген-раздражитель;
- существование IgE-зависимой аллергической реакции;
- наличие бронхиальной астмы у ближайших родственников;
- аллергические реакции на растительные аллергены (пыльцу цветущих деревьев и трав в особенности);
- разрастание аденоидов;
- внедрение в носоглотку болезнетворных микроорганизмов;
- непереносимость химических веществ и бытовой химии;
- реакция на пыль (в том числе и бытовую);
- дым при пассивном курении;
- существование пищевой аллергии;
- возможная негативная реакция на лекарственные препараты;
- постоянное столкновение с производственными красками и лаками.
Стоит помнить, что риносинусопатия все же относится к аллергическим заболеваниям, а раздражение слизистой носоглотки при переходе болезни в хроническую форму может, в данном случае, быть спровоцировано фактически любым раздражителем. По этой причине многие жалуются на отек слизистых и приступообразные проявления ринита.
Первыми симптомами проявления аллергической риносинусопатии считаются:
- затрудненное носовое дыхание;
- периодическое обильное слизисто-водянистое выделение из носа;
- приступообразное чихание;
- повышенная заложенность носа именно после чиха;
- ощущение тяжести в околоносовой области и переносице;
- появление чувства «тяжелой головы»;
- усиление этого «тяжелого» чувства при наклоне головы вниз (обычно встречается при развитии хронической формы).
При инфекционном поражении слизистых чаще всего наблюдается переход инфекции с гайморовой пазухи в клеточную систему решетчатого лабиринта. Подобный фактор провоцирует развитие:
- озноба;
- повышенной температуры тела;
- слабости;
- нарушения сна;
- снижение аппетита;
- раздражительности;
- частой не объяснимой смены настроения.
Даже при минимальной аллергической реакции можно наблюдать очаги негативного проявления и в других тканях:
- бронхолегочной системе (проявляется кашлем, тяжелым отхождением мокроты, чувством нехватки воздуха, возможным приступом удушья);
- на кожных покровах (проявляется как крапивница или атопический дерматит).
В целях установления конкретного диагноза требуется обращаться за консультацией к двум врачам – отоларингологу и аллергологу (или иммунологу).
Эти врачи после установления первичного анамнеза, назначат ряд анализов:
- инструментальные аллерго-пробы;
- риноскопию;
- рентгенографию околоносовых пазух.
При обострении наблюдается отечность нижней части носовых раковин, среднего носового прохода. Кроме того, нередко фиксируются слизисто-гнойные выделения из носа, а также полипозные разрастания.
Рентгенологические исследования указывают при риносинусопатии на утолщение пристеночных слизистых оболочек, снижение прозрачности околоносовых пазух.
Диагностику необходимо проводить в целях:
- уточнения характеристик так называемой промывной жидкости, которая может иметь признаки содержания гноя;
- точного выявления списка опасных аллергенов негативного воздействия на организм;
- установления реальных причин развития заболевания (может наблюдаться вирусная или бактериальная природа);
- выявления фактора вазомоторного ринита.
Конечно, полностью и своевременно предотвратить появление аллергической реакции практически невозможно. Потому с целью предотвращения появления каких-либо осложнений от риносинусопатии рекомендуется:
- избегать табачного дыма;
- соблюдать назначенную диетологом диету;
- регулярно проводить влажную уборку в жилом помещении;
- полностью избавиться от перьевых подушек;
- постоянно следить за поддержанием оптимальной влажности воздуха;
- попытаться не заводить пушистых домашних животных (если они есть, то производить их качественное вычесывание).
Осложнениями с виду не опасного заболевания при несвоевременном обращении к врачу или неправильно подобранном лечении становятся:
- переход риносинусопатии в хроническую форму;
- развитие бронхиальной астмы, сопровождающейся приступами удушья;
- постоянное проявление синусита;
- фактически не проходящий ринит.
Источник: https://medicalclub.ru/spravochnik-zabolevaniy/rinosinusopatija-rinosinusit/
Риносинусопатия головного мозга (или риносинусит) – заболевание неприятное и изнуряющее. Болезнь имеет хроническое течение, а патологическим процессом затронуты околоносовые придаточные пазухи. Пациент испытывает дискомфорт и страдает от хронического насморка, имеющего в большинстве случаев аллергическую этиологию. Риносинусит – аллергический ринит.
Хронический насморк аллергического генеза называется риносинусопатией. В основе болезни лежит воспаление околоносовых придатков и слизистой оболочки носовой полости по нескольким причинам.
Синусы носа выстланы несколькими слоями эпителия, в частности железистым и мерцательным. Воспалительные процессы приводят к различным нарушениям со стороны эндотелия: аллергены провоцируют иммунный ответ, вследствие чего нарушается носовое дыхание, скапливается слизь.
Из-за постоянного зуда увеличивается количество чихов. Риносинусопатия свидетельствует о возникновении ринита (насморка) из-за снижения работы синусной системы.
По причине близкого расположения придатков носовых, болезнь считают патологией головного мозга, однако, это сильное заблуждение.
Различают несколько форм хронического синусита:
- Полипозная риносинусопатия – характеризуется образованием полипов. Полипы представляют собой наросты слизистых оболочек, похожих на капсулу. Они увеличиваются в размерах и преграждают путь воздуху при входе, а также затрудняют его циркуляцию в придаточных полостях.
- Аллергическая риносинусопатия – насморк, развившийся в результате попадания на слизистые слои аллергена-провокатора.
- Вазомоторная риносинусопатия – это своеобразная реакция нервных окончаний на внешние раздражающие факторы: гормональный дисбаланс, жара, холод и вирусная инфекция.
Также существует гнойная и катаральная форма заболевания. Также болезнь отличается тяжестью течения, причиной патологического явления и клинической картиной.
Гнойная и катаральная форма имеют только острое течение, и отличаются выраженностью симптоматики.
Чтобы идентифицировать заболевание необходимо установить причину и провести диагностику.
Основная причина риносинусита – воздействие аллергенов на слизистые слои околоносовых придатков. Причинами аллергии являются:
- вредные привычки, особенно никотиновая зависимость;
- злоупотребление алкоголем;
- наследственная предрасположенность;
- хронические заболевания верхних дыхательных путей;
- профессиональный фактор: мука у пекарей, химические вещества у лабораторных работников и т.д.;
- экологическая обстановка;
- диагностированная аллергия на шерсть животных или пыльцу растений.
Читать еще Средство от храпа – список самых эффективных
К иным причинам относятся заболевания желудочно-кишечного тракта, аденоидная вегетация, полипозные образования и неправильное лечение местными сосудосуживающими медикаментами.
При риносинусопатии проводится консервативное лечение. Медиками назначаются следующие группы препаратов:
- Антигистаминные препараты общего и местного действия для устранения признаков аллергии.
- Растворы для промывания. Они необходимы для очищения пазух, увлажнения слизистой и вымывания аллергена.
- Иммунные комплексы для улучшения иммунитета.
- Витамины и минералы.
Читать еще Синусит – симптомы и лечение
Из физиотерапевтических процедур проводится ультравысокочастотная терапия, УФ излучение и импульсы низкими частотами тока. Физиопроцедуры способствуют улучшению системы кровоснабжения и восстановлению эпителия. Хирургическое вмешательство проводится в том случае, если причиной патологического процесса установлены полипозные образования или гиперплазия в полости носа.
Антибактериальные препараты для лечения не применяются. Только в случае присоединения бактериальной инфекции.
Кроме медикаментозного лечения допускается терапия отварами и настоями из лекарственных растений. Пациенту рекомендуется вести активный и здоровый образ жизни:
- отказаться от вредных привычек;
- соблюдать рекомендации врача;
- следить за температурой и влажностью окружающего воздуха;
- пересмотреть рацион питания.
Совместный труд в лечении позволяет устранить недуг и предупредить рецидивы заболевания.
Риносинусопатия возникает в результате осложнений аллергического, или вазомоторного, ринита, который при отсутствии необходимого лечения приобретает хронический характер. При этом необходимо учесть ряд факторов, способствующих развитию заболевания:
- предрасположенность к аллергическим реакциям;
- неблагоприятная экологическая среда, в которой проживает больной;
- работа на вредном производстве (наличие на рабочем месте химических реагентов или большого количества пыли);
- бесконтрольный прием лекарственных препаратов;
- вредные привычки;
- наличие хронических заболеваний;
- наличие заболеваний желудочно-кишечного тракта;
- наличие аденоидов.
Важно заметить, что при наличии этих факторов далеко не у всех развивается риносинусопатия. Главной причиной для развития заболевания является склонность больного к аллергии.
Сложность в диагностироовании заболевания состоит в том, что риносинусопатия имеет симптомы, не отличимые от проявлений простуды и гриппа:
- сильная заложенность носа;
- затрудненное дыхание;
- обильные выделения из носа;
- кашель;
- затрудненное дыхание.
При осложнении болезни инфекцией симптомы могут быть идентичными признакам различных синуситов.
Проявление симптомов может носить постоянный характер, но в некоторых случаях на это влияет присутствие аллергена.
Наряду с основными симптомами, больной может чувствовать сильную головную боль. Поэтому риносинусопатию часто связывают с воспалением в головном мозге, однако это заболевание не несет для органа непосредственной угрозы. Кроме того, у больного снижается работоспособность, ухудшается сон и аппетит, появляется раздражительность и вялость.
[/attention]
Чаще всего для выявления риносинусопатии врач может назначить следующие лабораторные исследования:
- рентген носовых пазух;
- риноскопия;
- МРТ головного мозга.
Зачастую человек игнорирует симптомы простуды, не идет к врачу. На самом деле уже при первой симптоматике поражения требуется медицинская помощь, чтобы предотвратить осложнения впоследствии.
Полисинусит в основном осложняется вовлечением в процесс воспаления нижних дыхательных путей. Это провоцирует трахеит, бронхит и пневмонию. При прорывах гноя увеличивается риск менингита, энцефалита, образуются гнойники глазниц или головного мозга.Изредка вовлекаются внутренние органы – бактериальное поражение почек, сосудов и сердца. Локальные прорывы могут потребовать неотложной операции.
Не нужно забывать, что полисинусит опасная болезнь, провоцирующая угрозу жизни.
Воспалительный процесс в пазухах зачастую диагностируется у тех, у кого ближайшие родственники страдали таким заболеванием. При врожденной предрасположенности иммунная система сильно понижена. На фоне этого она ведет к ухудшению функциональности слизистых оболочек.
При отсутствии защиты у дыхательных органов, аллергены с легкостью попадают в носовую область. Это и провоцирует развитие недуга. Ко всему этому, вазомоторная риносинусопатия может появиться в результате долгого и неправильного лечения насморка, возникновения атопического дерматита или бронхиальной астмы.
Врачи выделяют и другие причины заболевания. Аллергическая риносинусопатия проявляется из-за длительного воздействия различных раздражителей в виде пыли, пыльцы, шерсти питомцев, медикаментов, химических веществ. Проникая в дыхательные пути аллергены воздействуют на рецепторы, тем самым раздражая ее.
Из-за этого слизистая оболочка сильно отекает, проявляется заложенность носа, затруднение работы пазух и боль головы. Поэтому если возникла риносинусопатия, симптомы надо определять как можно скорее.
При отсутствии лечебных мероприятий болезнь приобретает хроническое течение. Если пациент будет заниматься самолечением, то патология перерастет в медикаментозный ринит.
Такое заболевание лечится уже сложнее.
Перед началом лечения пациент должен пройти детальное обследование у специалиста-отоларинголога или невролога.
Для диагностирования синусопатии больной должен сдать анализ крови, который определит количество и уровень эозинофилов.
Наличие эозинофилов – это главный признак воспаления.
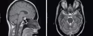
Определить что это синусопатия по МРТ можно благодаря степени изменению слизистой оболочки. Кроме этого магнитно-резонансная томография позволит определить наличие новообразований.
Кроме этого, пациент должен пройти визуальный осмотр носовых пазух, а также обследование ушей, глаз, состояния лимфатических узлов.
Пазухи занимают довольно большую площадь, соединяясь с носовой полостью через соустья. Получается, что внутренние пространства носа и синусов тесно связаны друг с другом.
Такая анатомия создает условия, чтобы в патологический процесс вовлекались последовательно все пазухи.
К физиологическим предпосылкам, которые вызывают воспаление в пазухах, относится ухудшение иммунитета по разным причинам:
- вирусные инфекции – вирусы гриппа, кори, ОРВИ, попадание патогенных бактерий;
- запущенный ринит;
- заболевания ЛОР-органов, верхнего отдела дыхательной системы;
В большинстве случаев болезнь является последствием неправильного лечения или его отсутствия при рините. Важно внимательно относиться к своему здоровью, чтобы не произошло распространения воспалительного процесса из носа в синусы.Насморк, который затянулся больше 7 дней – показание неотложной медицинской помощи.
Сочетанное поражение сразу нескольких околоносовых полостей часто возникает у людей с некоторыми анатомическими особенностями строения черепа лица:
- узкие носовые проходы;
- кривизна носовой перегородки после травмы или операции.
Эти отклонения от нормы мешают правильному воздухообмену между полостями, становятся препятствием для нормального оттока слизи, провоцируя полисинусит..
Вылечить синусопатию можно только при комплексном подходе. Если вы заметили признаки воспаления на ранней стадии, избавиться от недуга можно с помощью консервативной медицины, но если же воспаление околоносовых пазух обрело хроническую форму или опасные осложнения, вылечить заболевание можно только при помощи хирургии.
Избавиться от хронического воспаления навсегда невозможно. Пациент может только снизить остроту симптомов.
Классическая терапия включает в себя прием следующих медикаментов:
- Прием антигистаминных медикаментов «Супрастин», «Тавегил», «Зиртек», «Зодак», «Эриус», «Диазолин», «Цетрин». Они снизят отечность в тканях и восстановят проходимость в носу.
- Промывание носовых путей с помощью уже готовых физрастворов «Ротокан», «Аква Марис», «Малавит», «Физиомер», «Хьюмер», «Но-Соль», «Долфин». Они ликвидируют вязкие выделения и улучшают носовое дыхание.
- Для снижения отечности доктор может прописать сосудосуживающие назальные капли «Галазолин», «ДляНос», «Отривин», «Тизин», «Салин» и другие. Применять капли для сужения сосудов можно не более пяти дней и только с назначения врача, так как синусопатия может спровоцировать сильную аллергическую реакцию.
- В последующем пациенту назначат введение стероидных гормонов, которые вводятся непосредственно в пострадавшую часть. Лучшими препаратами считаются — «Авамис», «Авекорт», «Флутиказона», «Беклазон Эко», «Альдецин», «Будесонид Изихейлер», «Будостер».
- При нестерпимых болевых ощущениях в голове пациенту следует воспользоваться анальгетиками. Кроме этого, постарайтесь не слушать громкую музыку, находиться в пыльном помещении длительное время, а также не забывайте о необходимости увлажнения жилого помещения. Влажный воздух поможет облегчить болезненные ощущения и улучшить функции носовых пазух. Выбрать аппарат можно с помощью данного материала.
Такое явление, как синусопатия, имеет несколько причин, вследствие которых и наблюдается клиническая картина, присущая этому состоянию. К ним можно отнести:
- Склонность больного к аллергическим реакциям;
- Поражение придаточных пазух носа, имеющее аллергический характер;
- Наличие полипов в ходах и полости носа;
- Аденоиды;
- Наличие сопутствующих заболеваний органов системы дыхания, которые имеют хронический характер;
- Злоупотребление назальными каплями и спреями;
- Табакокурение.
Синусопатия обычно не является изолированно протекающим процессом, а развивается на основе уже имеющегося заболевания аллергического характера. Симптомы данного состояния подразумевают:
- Заложенность носа и зуд;
- Обильные выделения из ходов, имеющие водянистую консистенцию;
- Частые приступы чихания;
- Умеренный кашель;
- Головная боль и ощущение тяжести в затылке;
- Шум в ушах;
- Боль в области носа;
- В некоторых случаях – отечность лица;
- Нарушение сна;
- Повышенная утомляемость;
- Нервозность;
- Депрессивное состояние.
Источник: https://bolezn.info/nevralgiya/simptomy-i-lechenie-razlichnyh-vidov-rinosinusopatii-kak-proyavlyaetsya-i-lechitsya-sinusopatiya-golovnogo-mozga.html
- Причины и симптомы патологии
- Диагностика и лечебные действия
Есть такое заболевание, как синусопатия головного мозга, что это такое, знает не каждый человек. Синусопатия головного мозга – это одно из патологических осложнений заболеваний придатков носоглотки.
В большинстве случаев заболевание протекает легко и недолго при условии грамотного лечения, в иных ситуациях наступают осложнения. Насморк – это то состояние, которое рано или поздно ощущает на себе каждый человек.
Причин насморка бывает множество, а осложнение – гаймориты и синуситы. Синусопатия возникает, когда человек часто страдает воспалением придатков носа.
Синусопатия все чаще встречается у людей, которые страдают ринитами и острыми воспалениями придатков носоглотки. Это связано с нарушениями иммунитета, большей подверженностью аллергиям. Частые проблемы с носоглоткой наблюдаются у следующих категорий людей:
- проживающих в районах с загрязненным воздухом, с высоким содержанием дыма и выхлопных газов;
- часто болеющих острыми респираторными заболеваниями и гриппом;
- аллергиков;
- людей, перенесших травмы и операции носа;
- у часто болеющих детей, страдающих скарлатиной или корью;
- у людей, которые имеют проблемы с аденоидами и гландами.
[]iNjgTeRQ9Es[/]
При диагностировании синусопатии головного мозга у детей отмечается большое количество атипичной микрофлоры: бактерий и грибков в пазухах носа.
Существует несколько признаков начала развития синусопатии:
- слизистая оболочка пазух носа начинает деформироваться и отекать;
- возникают полипы в носу;
- в крови увеличивается количество эозинофилов;
- возникают частые приступы сильной головной боли, они, как правило, резкие и не имеют причин;
- в голове ощущается тяжесть, которая локализуется в области носа, лобных долей и в переносице;
- в пазухах носа ощущается жжение и сильный зуд, при аллергической причине может возникать сильное чихание и выделения из носа;
- нарушается слух: понижается способность слышать тихие звуки, в ушах появляется шум, при тяжелых нарушениях человек может терять ориентацию в пространстве во время приступов головной боли.
При синусопатии головного мозга во время отсутствия острых приступов состояние слизистой пазух носа может быть нормальным. При этом отклонения от нормы наблюдаются только в области придатков.
Часто синусопатию сопровождает упадок сил, нервозность, нарушение сна и, как следствие, возникновение синдрома постоянной усталости.
При синусопатии важным этапом перед лечением является диагностика. Лечение проводит врач-отоларинголог или невролог при тяжелом течении заболевания и затрагивании головного мозга.
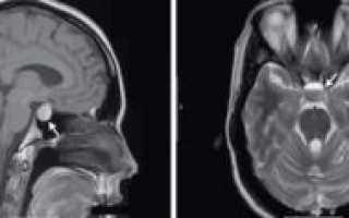
Во время диагностики необходимо сдать общий анализ крови, который поможет определить наличие и количество эозинофилов – основных показателей возникновения синусопатии. Важным этапом является процедура МРТ – магнитно-резонансной томографии.
С помощью МРТ врач может детально осмотреть состояние пазух носа, выявить изменение их слизистой оболочки, появление опухоли и т.д.
Важным является и визуальный осмотр, а также дополнительное обследование ушей, глазных яблок и глазного дна, ближайших лимфоузлов для исключения других заболеваний.
При лечении синусопатии важно определить причину заболевания.
В ином случае болезнь не остановит свой прогресс и будет возвращаться с сильными головными болями.
Необходимо найти причину, по которой носовые пазухи изменяют свое строение.
Чаще всего к синусопатии приводят частые аллергические реакции (сенная лихорадка). Для лечения можно использовать любые антигистаминные препараты: “Супрастин”, “Тавегил” и другие лекарства, которые содержат глюкокортикостероиды.
Применение исключительно лекарств от аллергии может быть безрезультатным. Антигистаминные препараты только избавляют от симптомов заболевания, но не убирают причину. При рецидиве аллергической синусопатии больному могут понадобиться антигистаминные препараты в виде инъекций.
Их рекомендуется принимать не дольше 5 дней.
При сильных приступах синусопатии необходимо обеспечить больному покой, во время купирования сильной боли рекомендуется осуществлять пешие прогулки на свежем воздухе.
Зимой для нормальной работы пазух носа необходим влажный воздух, в отопительный период в помещениях очень сухо, и воспаление может прогрессировать.
Для профилактики осложнений необходимо принимать меры по повышению иммунитета: питание должно быть полноценным, с большим количеством витаминов и минералов, нужно заниматься щадящими видами спорта, например плаванием.
[]lmY-2jt9Z5c[/]
Операции при синусопатии проводятся редко, только при возникновении гнойных очагов воспаления и риске проникновения инфекции в головной мозг. При этом обязательно проводится и консервативное лечение, которое помогает справиться с небольшими очагами.
Щадящие операции, которые не требуют госпитализации, проводятся при сильном отеке слизистой оболочки носовых пазух, большом количестве полипов и сильном затруднении дыхания. В некоторых случаях выполняется резекция слизистой оболочки или перегородки носа.
Источник: https://rtc-leasing.ru/migren/sinusopatiya-golovnogo-mozga-chto-eto
Если рассмотреть строение носа у человека, то можно выявить наличие четырех придаточных носовых пазух. Аллергены, попадая в верхнечелюстные пазухи, могут стать причиной развития синусопатии аллергического происхождения.
При развитии заболевания пациенту становится трудно дышать, из носа идут выделения водянистого характера и ощущаются шумы в голове.
Часто врачи не могут начать своевременно лечение, так как аллерген, который попадает в область верхнечелюстных пазух, распознать достаточно сложно.
Аллергическое изменение в области придаточных пазух носа обычно развивается на фоне уже имеющегося заболевания. В некоторых случаях аллергическая реакция выходит на первый план. Серию болезней придаточных пазух носа, которые появляются на фоне аллергии, объединяют под одним общим названием «аллергическая синусопатия».
Такое заболевание развивается в области верхнечелюстных пазух и носовой полости. Оно может протекать изолированно или совместно с иными заболеваниями аллергического характера в виде кожных болезней, бронхиальной астмы и так далее.
Частота выявления аллергических риносинуитов составляет 20-40 процентов из общего количества всех заболеваний придаточных носовых пазух. Если имеется основной аллергический фон, который протекает в виде воспалительного процесса, врачи могут диагностировать вторичное инфицирование или смешанную форму болезни.
Аллергическая реакция, как правило, проявляет себя в области верхнечелюстных пазух и поражает клетки решетчатого лабиринта.
- При развитии патологии у пациента утолщаются эпителии слизистых оболочек и увеличивается их количество. При этом слизистая оболочка имеет склонность к полипозному перерождению. Наблюдается разрастание пораженных тканей, подслизистые ткани отекают и пропитываются эозинофилами и мононуклеарными клетками. При лабораторном исследовании помимо соединительных клеток в подслизистых тканях могут быть обнаружены плазматические клетки, а также эозинофилы в увеличенном количестве.
- Острая форма обычно развивается неожиданно. Пациент ощущает сильную заложенность носа, зуд верхнечелюстных пазух, тяжесть в голове. Дополнительно выявляются такие признаки заболевания, как сильные водянистые выделения из носа, сопровождающиеся практически беспрерывным чиханием. При присоединении вторичной инфекции у пациента обнаруживаются симптомы обычного острого синуита.
- При хронической форме заболевания у больного наблюдается головная боль, тяжесть в голове и носовой области, нервозность, шум в ушах. Достаточно часто болезнь сопровождается депрессивным состоянием.
В целом такое заболевание, как аллергическая форма синусопатии, протекает достаточно долго и весьма трудно лечится. Врачи могут назначить как консервативное, так и хирургическое лечение.
При проведении риноскопии обнаруживается отечность слизистой оболочки, поражаются чаще всего нижние раковины, поверхность слизистой имеет белый или бледно-лиловый оттенок, а также может быть гиперемированной.
Необходимо понимать, что при отсутствии лечения болезнь может вызвать осложнение в виде синусопатии головного мозга. Поэтому необходимо своевременно обращаться за медицинской помощью.
Перед тем, как начать лечение, врач диагностирует точное заболевание при помощи:
- Риноскопии;
- Рентгеноскопии;
- Лабораторных методов исследования.
Риноскопия позволяет обследовать поверхность носовых ходов пациента, определить гиперплазию слизистых оболочек и выявить полипы.
При помощи рентгенограммы проводится оценка состояния верхнечелюстных пазух, определяется степень их прозрачности. При аллергической синусопатии состояние носовых пазух резко изменяется.
В частности, если при синусите гнойного типа, или при гнойном гайморите, показатели ежедневных исследований обычно одинаковые, то аллергическая ринусинусопатия проявляется характерными изменениями уже на следующие сутки.
Для постановки окончательного диагноза необходимо прохождение нескольких лабораторных исследований. Врач обязательно назначает взятие пробы на наличие аллергенов путем проведения внутрикожных и скарификационных анализов.
Дополнительно проводится риноцитограмма для определения количества эозинофилов в носовых выделениях и в содержимом придаточных пазух. Также пациенту делается анализ крови.
Чтобы предотвратить поражение головного мозга, проводится магнитно-резонансная томография.
Основное лечение синусопатии заключается в изъятии из организма аллергена, который спровоцировал заболевание. После этого проводят специфическую гипосенсибилизацию. Однако из-за того, что аллерген выявить бывает непросто, чаще всего пациент подвергается неспецифической десенсибилизирующей терапии с использованием антигистаминных лекарственных средств.
https://youtube.com/watch?v=fggIYP0KDE8
Наиболее эффективными медикаментами для лечения болезни считаются:
- Супрастин;
- Димедрол;
- Диазолин;
- Тавегил.
Дополнительно врач назначает применение глюкокортикостероидов, которые используются местно, комплекс витаминов, препараты с повышенным содержанием кальция и иные восстановительные лекарственные средства.
Антигистаминные препараты считаются эффективными, когда требуется лечение острой формы синусопатии с ярко выраженными симптомами аллергии.
Что касается лечения хронической формы, то подобное лечение лишь удаляет симптомы заболевания и после терапии признаки болезни могут заново возвращаться.
Эффективное лечение при аллергической синусопатии оказывают глюкокортикостероидные препараты. Чаще всего их используют в виде аэрозолей. Также в некоторых случаях врач может назначить введение глюкокортикостероиды напрямую в пазуху носа. Если требуется, в вводимый раствор добавляются антибиотики. Лечебная процедура повторяется не менее семи раз.
Однако важно учитывать, что длительное время использовать глюкокортикостероиды не рекомендуется. Чтобы нормализовать нейровегетативную реактивность, необходимо регулярно полноценно отдыхать, гулять на свежем воздухе, заниматься спортивной деятельностью, правильно питаться и принимать витамины.
Если аллергическая синусопатия регулярно дает о себе знать, врач может назначить проведение щадящей хирургической операции. Для улучшения носового дыхания и аэрации приточных пазух.
В зависимости от формы разрастаний, удаляют шипы и гребни носовой перегородки, делают полипотомию и резекцию гипертрофированных участков раковин.
При необходимости проводят подслизистую резекцию носовой перегородки.
Поверхность пазух подвергается хирургическому вмешательству только в крайнем случае, если имеется гнойный процесс, который не излечивается традиционными консервативными методами и может привести к синусопатии головного мозга.
Перед тем, как начать хирургическое лечение, пациент подвергается специфической и неспецифической десенсибилизации с использованием глюкокортикостероидов, антигистаминных лекарств, препаратов кальция. После завершения операции подобное лечение проводится регулярно в профилактических целях, чтобы рецидивы не возникали.
В заключении рекомендуем ознакомится с общими положениями проблем носовых пазух в видео в этой статье.
Источник: https://stopgripp.ru/bolezn/sinusitis/sinusopatiya.html
Поделиться:











