Представляет собой первую стадию воспалительного процесса слизистой оболочки. Зачастую сопровождается отечностью слизистой и покраснением. Также увеличивается количество отделяемой жидкости.
Катаральный гайморит сопровождается общим недомоганием; повышенной температурой; сонливостью; характерными выделениями из носа; снижением работоспособности; болью вокруг носа и глазниц.
Среди основных чаще всего выделяют инфекции, попадающие в гайморовы пазухи через нос, по кровеносной системе или воздушным путем. Именно они дают начало воспалительному процессу. Часто возникновение катарального гайморита может быть вызвано ослабленным иммунитетом. Но существуют и другие факторы, вызывающие его появление.
Причиной его возникновения может в некоторой степени быть и состояние организма, если, к примеру, носовая перегородка имеет патологию. Нередко катаральный гайморит возникает и на фоне простудных заболеваний.
В данном видео можно узнать, что представляет собой катаральный гайморит, и как происходит его развитие
Самые распространенные причины, которые могут спровоцировать гайморит:
- грипп;
- ОРЗ и ОРВИ;
- хронические и гипертрофические риниты;
- сезонная аллергия;
- аденоиды;
- кариес и иные проблемы, носящие стоматологический характер;
- патология носовой перегородки.
О его появлении в первую очередь говорят не проходящие головные боли, которые усиливаются при наклоне головы. При этом боль может быть настолько выраженной, что пациенту трудно даже жевать.
Заложенность носа – еще один главный признак данного заболевания. Выделения из носа всегда имеют светлый окрас и жидкую форму. Если же цвет меняется на желто-зеленый, значит началось развитие гнойного гайморита.
В случаях, когда больной может дышать только ртом, у него диагностируют двустороннюю форму заболевания.
Помимо этого, катаральный гайморит может сопровождаться и другими симптомами:
- дискомфортом в гайморовых пазухах;
- зубной болью;
- повышением температуры;
- отечностью лица и век.
Катаральный гайморит – это начальная форма воспалительного процесса, схожая с ОРВИ. При правильном и своевременном лечении от данной патологии можно избавиться навсегда.
По тому, насколько продолжительным будет воспалительный процесс, катаральный гайморит подразделяют на острый и хронический.
В зависимости от локализации — двухсторонний и односторонний.
Двухсторонняя форма встречается не так часто, как односторонняя. Диагностировать его можно в том случае, когда наблюдается воспаление пазух с двух сторон.
В данном случае весь процесс проходит симметрично и сопровождается:
- Нарушением дыхания и заложенность носа с обеих сторон.
- Болевыми ощущениями при надавливании.
- Появлением выделений, носящих обильный характер.
- Отеком тканей, слезоточивостью и покраснением век.
Такое заболевание, как гайморит, не может пройти самостоятельно. При осмотре ЛОР сможет поставить правильный диагноз и назначит своевременное лечение.
Данная форма гайморита считается наиболее легкой. Содержимому, находящемуся в воспаленных пазухах, ничего не мешает, и оно без труда выделяется из носа.
Симптомы заболевания не так сильно выражены. Может наблюдаться небольшое повышение температуры, недомогание, затрудняется дыхание, ощущаются боли во лбу и пазухах.
Зачастую, воспалительный процесс может наблюдаться после ОРВИ или простудного заболевания. Если вовремя не начать лечение, то такая форма моет перейти в гнойный гайморит.
Подразделяется на односторонний и на двухсторонний. При чем вторая форма встречается довольно реже.
https://youtube.com/watch?v=fggIYP0KDE8
Причина возникновения хронической стадии кроется в не своевременном обращении к специалисту при более легкой форме катарального гайморита или в связи с неправильным лечением. Выделяют следующие причины, по которым острый гайморит может перейти в хронический:
- Снижается иммунитет после перенесения тяжелой инфекции.
- В носовых пазухах образуются полипы.
- Наблюдается патология резкого искривления перегородки.
При переходе в хроническую форму симптомы могут выражаться слабо или вообще отсутствуют.
Существует ряд определенных симптомов, определяющих данную стадию. К ним относят:
- сухость в горле;
- сильную головную боль;
- неприятный запах изо рта;
- трещины на коже и образование корок возле носа;
- выделения из ноздрей.
При такой форме поражается только правая часть верхнечелюстной пазухи. Все болевые ощущения можно наблюдать только с правой стороны. Процесс воспаления может носить как острый, так и хронический характер. От того, на какой стадии находится заболевание, определяются и методы терапии: хирургическое или консервативное вмешательство.
Симптомы правостороннего катарального гайморита
- выделения из правой ноздри и ее заложенность;
- повышение температуры;
- отечность правой стороны;
- сильные правосторонние боли.
Причины возникновения и симптомы при левостороннем катаральном гайморите такие же, как и при правостороннем. Только проявление и выраженный характер заболевания сказывается на левой стороне.
При возникновении болезни слизистая оболочка пазух отекает. В связи с ее утолщением появляется большее количество слизистых масс, которым все труднее становится выходить, что и обостряет процесс.
При отечном гайморите происходит резкое обострение симптомов:
- ощущается недомогание, снижается работоспособность;
- возникает более выраженная головная боль;
- повышение температуры тела;
- нос закладывает, становится труднее дышать.
Лечение должно проходить строго под контролем специалиста, дабы не допустить перехода в более тяжелую форму заболевания.
Не все с полной серьезностью и ответственностью подходят к лечению катарального гайморита и игнорируют все предписания врача. А ведь это может привести к серьезным осложнениям как у детей, так и у взрослых.
Как известно, что при данном заболевании происходит отек гайморовой пазухи, что блокирует выход всей жидкости. Она постепенно начинает скапливаться и застаиваться. Начинается размножение бактерий, что может вызывать вторичные инфекции. А это в свою очередь способствует возникновению гнойных процессов. Такая форма осложнения считается самой частой и возникает при недостаточном лечении.
Помимо гнойных воспалений к осложнениям относят:
- тромбоз кавернозного синуса;
- абсцесс головного мозга;
- менингит.
Во избежание таких осложнений лечение нужно начинать как можно раньше.
Как правило, проводить лечение катарального гайморита не так и сложно ни у детей, ни у взрослых. Если начинать терапию сразу при выявлении первых признаков, от гайморита можно избавиться навсегда. Главное здесь, своевременное диагностирование болезни и правильно назначенное лечение. Есть много вариантов, с помощью которых можно излечить недуг.
Медикаментозное лечение, как правило, заключается в назначении таких препаратов, как сосудосуживающие назальные капли и спреи. Применяя их, можно добиться снижения отечности. Но не надо забывать, что длительное применение какого-либо лекарства моет вызвать привыкание, и препарат перестает действовать.
Кроме этого, могут назначаться антигистаминные препараты: супрастин, тавегил, цитрин и другие.
https://youtube.com/watch?v=J_QNTlPfvwQ
Антибиотики также считаются обязательными. Прокалывают их в течение не менее пяти дней. При не выявленном улучшении состояния, препарат заменяется или пациента переводят на другой. Хорошими средствами при лечении катарального гайморита считаются Флемоксин, Азитромицин а также Амоксиклав.
Пожалуй, самой эффективной процедурой считается промывание носа. Для этих целей может использоваться как обычный физраствор, так и специальная морская вода. Промывание следует делать после того, как будут приняты сосудосуживающие препараты. Но только по истечении пяти — десяти минут.
Легче всего промыть нос шприцем. Нужно будет растворить одну чайную ложку обычной соли в стакане воды, набрать получившийся раствор в шприц и промывать нос получившимся раствором. Регулярные промывания носа способствуют быстрому устранению симптомов гайморита.
Важно!Помните! Что данную процедуру нужно делать регулярно, не менее трех раз в день.
Не менее эффективны и физиотерапевтические процедуры, такие как УВЧ-терапия, лампа «Соллюкс» и другие.
Кроме традиционных методов может быть применено лечение народными средствами. Хорошо помогают капли, приготовленные из алоэ или чеснока. Важно помнить, что в чистом виде их применять нельзя, можно получить ожог слизистой оболочки.
Использование облепихового масла также дает хороший результат: оно способствует снижению воспаления и не дает оболочке пересохнуть.
Промывание носа соляным раствором или фурацилином – обязательная процедура, которая способствует более быстрой ликвидации инфекции.
Лечение катарального гайморита у детей также может проводиться разными способами. Метод выбирается в зависимости от степени тяжести заболевания.
Могут применяться капли или спреи для носа, которые содержат в составе сосудосуживающие элементы. Это считается довольно эффективным средством. Однако более 7 дней не используется. Среди таких средств можно выделить Полидекса, Биопарокс, Изофра.
После заметного улучшения антибиотики снимаются, и назначаются физиотерапевтические процедуры: микроволны, синий луч, УВЧ.
Гайморит – весьма распространенное заболевание. Чтобы избежать его возникновения, необходимо придерживаться некоторых рекомендаций:
- Своевременно лечить зубы, подверженные кариесу.
- Внимательнее относиться даже к незначительным простудным заболеваниям и не игнорировать их лечение.
- Регулярно принимать витамины.
- Не переохлаждаться.
- Не допускать травм в области носа.
- Следить за состоянием иммунной системы и при необходимости укреплять ее.
Из вышесказанного очевидно, что катаральный гайморит на начальной стадии не представляет опасности. Главное вовремя выявить его возникновение и начать правильное лечение.
В целях профилактики важно не допускать появления насморка, и подобрать правильную методику лечения при его возникновении.
Важно бережно относиться к своему здоровью. Больше гулять, беречь голову. А главное, не допускать ослабления иммунитета.
Источник: http://prosopli.ru/bolezni-nosa/gajmorit/lecheniye-i-simptomi-kataralnogo.html
Катаральный гайморит — лор-заболевание с инфильтрацией слизистой, отеком пазух и умеренным выделением серозно-слизистого секрета.
Именно он является главным признаком, по которому устанавливают форму патологии и отличают от гнойного синусита с густыми желто-зелеными выделениями.
Заболевание сопровождается покраснением, полнокровием слизистой, пристеночным утолщением сосудов в одной или двух пазухах.
Развитие воспалительного процесса после инфицирования происходит по сценарию в 2 этапа. Главные провокаторы – респираторные риновирусы, коронавирусы и другие виды. Они снижают местный иммунитет и вызывают воспаление слизистой носовых ходов. Агенты проникают через кровь, контактным путем, отверстия в носу.
Сначала повреждается эпителий, затем сосудистые стенки, открывающие врата возбудителям. Аномалия развивается с внедрения вирусных агентов, затем переходит в бактериальную форму. Слизистые продуцируют слизистый или гнойный секрет, забивающий выводящие проходы.
При отсутствии лечения из-за сужения выводящих протоков он блокируется в верхнечелюстных синусах, затем переходит в гнойный экссудат.
https://youtube.com/watch?v=cyyiCsqL_fE
Причины возможного развития инфекции:
- затяжные риниты;
- механические травмы носа;
- аномалии развития перегородки носа и пазух;
- новообразования разной этиологии;
- аллергия.
Кроме них имеются аллергический и комбинированный виды. Первый развивается на фоне ринита при попадании пыльцы на решетчатую пазуху и сразу поражает обе пазухи. В этом случае заложенность носа сопровождается жидкими выделениями и носит сезонный характер. Длительность лечения катарального гайморита аллергической этиологии продолжается несколько недель до исчезновения симптомов.
Смешанный вид развивается при условии присоединения инфекции.
Бывает гематогенным, травмогенным, риногенным. Часто встречается одогенный вид, развивающийся из бактериальной инфекции при стоматологическом лечении. Это объясняется соседством верхнего зубного ряда с синусами. Такая форма сложнее поддается лечению и занимает много времени.
Инфекции в ротовой полости, попадание инородных предметы, частиц пыли на решетчатую пазуху тоже провоцируют появление из носовой полости и ходов выделений, и вызывают этмоидальный катаральный гайморит. Расположение пазух рядом со слезными протоками усиливает боль и чувствительность. При легком прикосновении к носовому мосту она иррадиирует в лоб, щеки, нижнюю челюсть.
По характеру протекания выделяют: острый и хронический с односторонним поражением правой или левой гайморовых пазух; двусторонний с воспалением слизистых в обеих лакунах. Обычно процесс начинается с односторонней инфильтрации слизистой оболочки верхнечелюстных пазух.
При отсутствии адекватной терапии на фоне сниженного иммунитета поражается вторая лакуна. При острой стадии спустя 2 дня появляются простудные симптомы. К концу дня болезненные ощущения катаральном гайморите справа и слева нарастают. Больной испытывает дискомфорт при моргании, приеме пищи.
Боль усиливается при движениях головой и отдает в верхние челюсти и лоб, и по характеру схожа с воспалением тройничного нерва.
Для двустороннего катарального синусита характерны признаки серозного воспаления. Кроме сильного отека отмечается болезненность при пальпации пазух и в области нижних век. Заболевание сопровождается истечением густого секрета. В отличие от одностороннего переносится тяжелее из-за большей зоны поражения и активного выброса токсинов в кровь.
Подразделяют на отечно-катаральный, гипертрофический, смешанный. Причины возникновения заболевания кроются в отсутствии лечения, наличия инфекции в носоглотке. Клиническая картина слабо выражена, симптомы проявлены незначительны. Проблему определяют по косвенным признакам:
- неприятном запахе при дыхании;
- сухости во рту;
- образованию корок полости носа и ходов;
- появлению насморка.
Обострения бывают 2-4 раза за год. Повторяющиеся рецидивы лечат 10-13 дней, но полного выздоровления не наступает.
Вяло протекающий воспалительный процесс из-за стертых симптомов на фоне респираторных, вирусных, бактериальных инфекций сложно диагностируется. Клинические признаки у взрослых при катаральном гайморите не считаются субъективными и мало чем отличаются от общих. При возникновении заболевания отмечаются:
- затрудненное дыхание;
- субфебрильная температура;
- боли в верхнечелюстных пазухах, которые усиливаются;
- водянистые выделения;
- отеки век и щек;
- гиперемия глаз;
- слабость.
Придаточные пазухи расположены близко к верхним оболочкам мозга. Инфекционные агенты могут проникнуть в ткани и спровоцировать менингит. Нередко синусит осложняется фронтитом с переходом воспаления в лобные пазухи. Самые частые вторичные проблемы:
- ангина;
- фарингит;
- тромбоз кавернозного синуса;
- остеомелит верхнечелюстной придаточной пазухи;
- потеря обоняния;
- атрофия слизистой;
- эндофтальмит;
- миокардит;
- отеки глазниц.
Не надо ждать, пока экссудат станет зеленого цвета, и появятся невыносимые боли. Для благополучного исхода болезни важно вовремя провести лечебные мероприятия. Чтобы не допустить перехода в хроническую фазу, избежать осложнений катарального гайморита, врач проводит диагностику.
Взрослых специалист направляет на рентгеноскопию и ультразвуковое исследование. При недостатке информации назначает пункцию. Детям и беременным рентген противопоказан. Вместо него используют метод диафаноскопии, изучая области гайморовых пазух с помощью лампы Геринга.
Схему лечения больным назначают индивидуально с учетом состояния, формы заболевания, возраста.
При своевременной диагностике излечить катаральный процесс несложно. Первостепенная задача состоит в освобождение пазух от скопившихся масс. Прием антибактериальных и средств с первых дней быстро снимает симптомы, и сокращает длительность лечения с 10 до 7 дней. Для этого используют консервативную терапию.
Методы лечения гайморита:
- антибактериальная терапия;
- препараты местного действия;
- противовоспалительные;
- антигистаминные;
- противовирусные;
- растворы для промывания носовых ходов.
Легкая форма быстро поддается лечению Амоксициллинами. Флемоксин Солютаб, Амоксикар эффективны для большинства микроорганизмов. Аугметин показан для рецидивирующего гайморита.
В запущенной форме выписывают Амоксиклав, Медоклав в инъекциях. Аналогично действует Цепефим, лекарства тетрациклиновой группы — Оксициклин, Ронломицин. В случае затянувшегося острого гайморита принимают антибиотики широкого спектра: Флемоксин, Амокмиклав, Азитромицин.
При тяжелой форме, спровоцированной бактериями нечувствительными к антибиотикам, актуальны препараты пенициллинового ряда:
- Левофлоксацин;
- Перлоксацин;
- Авелос.
Одногенную форму лечат линкомицином и фузином — средствами с антибактериальной формулой узкого диапазона действия. Для лечения аллергического гайморита назначают:
- Зестру;
- Тавегил;
- Аллертек;
- Амертил;
- Супрастин.
Сосудорасширяющие капли на основе оксиметазолина и спреи для снятия заложенности носа: Отривин, Назонекс, Ноксперей, средство Синупрет. Используют их не больше недели.
При постоянной головной боли пьют обезболивающие кетанолового ряда. Для укрепления иммунитета больным прописывают поливитаминные комплексы: Супрадин, Витрум; иммуномодуляторы растительного происхождения: лимонник, шиповник, эхинацею.
Для промывания носа эффективны физиологические растворы и аптечные средства: Мореназал, Физиомер, Миример. Для улучшения кровообращения в тканях:
- электрофорез
- ультразвук
- лазер
- грязелечение
- парафинотерапия.
Если медикаменты не оказывают должного эффекта, в носовые ходы вставляют ЯМИК- катетер, проводят баллонную синосоплатику. Эти безоперационные методы приносят быстрое облегчение и восстанавливают носовое дыхание. Только при условии комплексной терапии катарального гайморита можно победит болезнь и избежать неприятных последствий.
Источник: https://uhogorlor.ru/kataralnyj-gajmorit/
Катаральный гайморит – вид синусита, для которого характерно наличие слизистого секрета и отечность носовых путей. Заболевание сопровождается рядом болезненных признаков и дискомфортных симптомов.
Катаральный гайморит различается характером течения и морфологическими особенностями. Отоларингологи идентифицируют по первопричинам возникновения заболевания.
Локализация патологического процесса околоносовая верхнечелюстная пазуха (либо обе полости, например, если заболевание двустороннего проявления).
Катаральный гайморит – это один из видов верхнечелюстного синусита. Всего выделяют 4 вида: гнойный, полипозный, отечно-катаральный и смешанный. Каждый тип болезни отличается причинами возникновения и клиническими проявлениями.
Гайморовы пазухи расположены над верхней челюстью, но ниже глазниц, являются парными придатками. Основная задача – согревание воздуха, поступившего через носовые отверстия и защита костей свода лица от механических травм.
В полости имеются углубления и бугорки, которые покрываются несколькими слоями эпителия. Ворсинки на верхней оболочки способствуют продвижению слизистого секрета, однако при негативном воздействии провоцирующих факторов, увеличивается количество слизи, и ее продвижение значительно замедляется.
Но по причине отечность носовых соустий слизь скапливается, вызывая ряд явных симптомов патологического явления. Нередко катаральная форма воспринимается аллергией или стандартным насморком.
В таком случае пациенты пытаются устранить возникшие симптомы, нанося больший вред.
Существует определенная классификация, составленная врачами, которая идентифицирует формы и виды заболевания. Примечательно, что правильно установленные морфологические особенности – залог успеха лечения катаральной формы верхнечелюстного синусита.
https://youtube.com/watch?v=A4uEsmkzHUQ
По характеру течения катаральный гайморит бывает острым и хроническим:
- Острый катаральный гайморит – симптомы имеют выраженный, и порой агрессивный характер. Пациент отмечает субфебрильную температуру на протяжении 1-2 недель, при этом его одолевают выделения из носа различной консистенции и оттенка. Длительность острого периода – от 1 до 4 недель.
- Хронический катаральный гайморит. Заболевание переходит в стадию хронизации при отсутствии терапии острой формы, либо в случае недолеченности. Часто переходит из катарального типа недуга в гнойный, который является наиболее опасный и угрожающий жизни и здоровью больного. Иногда проявляется в виде гипертрофии. Хронический катаральный гайморит протекает с периодами обострения. Появляются характерные признаки острого (реже подострого) характера.
Переход острой в хроническую форму называется подострым периодом. У пациента наступает временное облегчение симптомов, и, думая о том, что недуг «побежден» прекращается лечение, что является главной ошибкой.
Патологический процесс может затрагивать одну или обе полости сразу. В таком случае заболевание делить на следующие группы:
- Односторонний катаральный гайморит – патологический процесс локализован в одной з полостей. Имеется 2 группы недуга: правосторонний и левосторонний:
- правосторонний катаральный гайморит означает наличие патогенного агента в правой придаточной пазухе;
- левосторонний катаральный гайморит – инфекция распространяется в левом околоносовом синусе.
- Двусторонний гайморит катаральной формы означает инфицирование обеих верхнечелюстных пазух. Заболевание встречается реже, и отличается степенью интенсивности. Нередко возникает в виде осложнения острого гайморита и переходит в хроническую стадию.
Помимо локализации инфекции, характера течения и вида болезни, различаются причины возникновения катарального гайморита. Патогенные агенты проникает через носовые ходы (воздушно-капельный механизм передачи), с током крови (или гематогенный путь) или вследствие запущенных стоматологических болезней. Возбудителем инфекции выступают вирулентные организмы, реже факультативные бактерии.
Заболевание возникает по нескольким причинам и кроме этого выделяется группа повышенного риска, то есть категория людей, которые склонны к развитию катарального синусита.
Читать еще Капли в нос при гайморите
Гайморит начинается с одной стороны, но так как полости соединены между собой соустьями, то патогенные агенты гематогенным путем попадают в здоровую пазуху. Однако случается и так, что бактерии или вирусы оккупируют одномоментно верхнечелюстные синусы.
Основные причины возникновения катарального (одно- или- двухстороннего) гайморита:
- снижение иммунитета на фоне болезней верхних дыхательных путей (ОРВИ, ринит, тонзиллит, фарингит, аденоидит);
- иммунная лабильность, например, в результате иммунодефицита или длительной антибиотикотерапии;
- механические травмы слизистой носа;
- ушибы гайморовых пазух;
- недолеченная простудная инфекция%
- имеющийся гайморит в анамнезе пациента;
- синусит другого генеза;
- повреждение зубной эмали, наличие гранулем надкостницы и другие стоматологические заболевания, приводящие к разрушению зуба и инфицированию десен;
- гиперплазия или полипозные образования гайморовых пазухах;
- аномалии перегородки носа (врожденные или по причине травмы).
Большую роль в возникновении катарального гайморита играет снижение защитных сил иммунитета. В случае стабильно работающей иммунной системы, попавшие в носовую полость или гайморовы пазухи вирусы, подвергаются местному фагоцитозу. В другом случае недостаток фаготипирование становится основой распространения инфекции.
У детей младше 4 лет гайморовы пазухи не сформированы, поэтому болезнь встречается у малышей старше 4-5 лет, но чаще всего в семилетнем возрасте, когда происходит смена климата и посещение общеобразовательного учреждения. Дети подвержены гаймориту немного чаще, нежели взрослые и переносят заболевание немного тяжелее (в силу повышенного болевого порога и страха).
У детей отмечается повышение температуры тела, светобоязнь, насморк, слизистые выделения и гнусавость голоса. Ребята постарше могут указать продолжительно болезненное место. Клинические симптомы идентичны первым признакам респираторной инфекции, поэтому важно вовремя диагностировать болезнь и провести нужное лечение.
Диагностика идентична при синуситах различного генеза. Детям и взрослым проводят одинаковые способы диагностирования катарального гайморита. Цель диагностических манипуляций:
- Подтвердить диагноз и установить форму.
- Определить степень тяжести и характер течения.
- По возможности установить причину недуга и морфологию возбудителя.
- Подобрать лечение и составить индивидуальную схему терапии.
Для выявления заболевания проводят следующие диагностические процедуры:
- осмотр больного, пальпация околоносовых придатков и сбор анамнеза;
- эндоскопия и синусоскопия;
- рентген-исследование пазух;
- реже УЗИ;
- пункция верхнечелюстной полости;
- лабораторное исследование крови больного и бактериологическое исследование слизистого секрета.
Если в слизи выявлены бактерии, то обязательно проводится реакция на чувствительность к антибиотикам высеянной микрофлоры носовой полости. При помощи диагностике возможно точно установить форму гайморита и подобрать лечение.
При катаральном гайморите необходима комплексная терапия, включающая прием лекарственных препаратов, физиотерапевтических процедур, и даже нетрадиционных (но порой очень эффективных) способов.
Лекарственная терапия неотъемлемая часть лечения катарального гайморита детей и взрослых. Применяемые медикаменты отличаются фармацевтическим действием и влиянием на организм больного.
- Сосудосуживающие капли и спреи – необходимы для устранения отечности носовой полости. Как только исчезает отек (хоть и временно), появляется возможность опорожнения слизи из полостей.
- Антисептические растворы – применяются для аэрации воздухоносных полостей и очищения слизи. Антисептики увлажняют слизистые оболочки и подготавливают их для «принятия» лекарственного вещества.
- Обезболивающие и противовоспалительные средства необходимы для устранения симптоматических признаков: гипертермия, болезненность, гиперемия.
- Противоаллергические медикаменты обладают «двойным даром» — снимают отек и избавляют от агента-раздражителя. В лечении применяются и таблетированные формы антигистаминов и капельные растворы.
- Противовирусные лекарства стимулируют иммунитет и препятствуют развитию осложнений воспалительного процесса. Заменить противовирусные препараты можно иммуномодуляторами общего действия и витаминными комплексами.
Читать еще Одонтогенный гайморит – симптомы и лечение
Антибиотики при катаральном гайморите не показаны, так как направлены на уничтожение патогенной микробной флоры. Назначаются антибактериальные препараты в случае присоединения бактериальной инфекции. Эффективны противомикробные местные лекарства: капли, спреи, растворы для ингаляций.
Физиотерапевтические процедуры применяются в качестве дополнительного лечения, а порой и в профилактических целях. Ультрафиолетовые лучи и УВЧ стимулируют усиленную работу местного иммунитета и устраняют возбудителя. Также проводится электрофорез, солнечные ванны и ингаляции.
Показанием к оперативному вмешательству выступает неэффективность консервативного лечения. Применяемые методы:
- прокол гайморовой пазухи (или обеих при двустороннем воспалении) для введения антисептического раствора непосредственно в воспаленную область;
- промывание носа или метод «Кукушки» — достаточно эффективный и неинвазивный метод хирургической противогайморитной терапии.
Операции проводятся для удаления кист или полипов, мешающих циркуляции воздуха. Порой необходимость в хирургии возникает при агрессивном течении гиперпластического синусита. Выбор вмешательства определяется врачом.
Лечение катарального гайморита в домашних условиях осуществляется крайне часто, и к счастью, достаточно эффективно. При выборе народного лечения возможность применения нетрадиционных методов следует согласовать с врачом. Распространенные способы домашнего лечения:
- Паровые ингаляции. Проводятся с применением растительных масел сосны, пихты, хвои, эвкалипта и лаврового листа. Можно совмещать несколько видов масел. Единственное противопоказание – повышенная температура тела.
- Промывание лечебными отварами. Ромашка, мята, чабрец обладают противовоспалительным эффектом. Трав отваривают или заливают крутым кипятком. Применяют для очищения носовых путей от слизи. Эффективен и раствор из соли, который замещает антисептики аптечного производства.
- Питание. Меню больного гайморитом должно быть комплексным и включать продукты, богатые клетчаткой и витаминами. Овощи, фрукты, злаковые культуры и мясо источники нужных витаминов, минералов и микроэлементов.
Домашняя терапия хорошо сочетается с медикаментозной и физиотерапевтической. А также является незаменимой частью профилактики острого и хронического верхнечелюстного синусита.
Осложнение возможно при неправильно подобранном лечении болезни, либо в полном отсутствии терапии. Неблагоприятные последствия наблюдаются со стороны слуха – развивается отит средней тяжести. В зону поражения «попадают» глаза, развивается конъюнктивит, флегмона и абсцесс глазницы.
Осложнения могут носить угрожающее состояние для жизни пациента: септический шок и менингеальное воспаление оболочек головного мозга (менингит или абсцесс).
Предупредить острый катаральный синусит достаточно просто. Для этого следует:
- соблюдать меры гигиены;
- полоскать носоглотку солевым раствором однократно;
- вовремя лечить болезни ЛОР-органов;
- следить за состоянием иммунной системы;
- принимать поливитаминные комплексы, а в период активности вирусных инфекций, использовать индивидуальные меры защиты – медицинские маски или респираторы.
Правильное питание и чуткость к собственному здоровью позволяет предупредить недуг и усилить защиту организма.
Прогноз заболевания положительный, но при условии соблюдения схемы лечения недуга.
Важно отметить, что запущенность воспалительного процесса приводит к переходу острого типа болезни в стадию хронизации, которая трудно поддается лечению и беспокоит пациента долгие годы.
Катаральный гайморит независимо от морфологических особенностей диагностируется на ранних этапах и поддается консервативной терапии, но только больной вовремя обратился за квалифицированной врачебной помощью.
Источник: https://LechiNos.ru/zabolevaniya/gajmorit/kataralnyj-gajmorit/
Катаральный гайморит – распространенная форма верхнечелюстного синусита, при которой в пазухе носа активно накапливается слизь и усиливается воспаление. Для болезни характерно сужение просвета для естественных выделений, может протекать в острой или хронической форме.
Обычно развивается на фоне продолжительной простуды или ринита. Провоцирующими факторами считаются врожденные или приобретенные анатомические дефекты перегородки, сниженный иммунитет и аллергия.
Требуется комплексное лечение, направленное на снятие симптоматики и устранение причин развития.
В зависимости от продолжительности болезни и выраженности клинической картины традиционно выделяют 3 формы катарального гайморита – подострый, острый и хронический. При отсутствии грамотной терапии и слабых защитных силах организма заболевание усиливается. Это приводит к снижению качества жизни, провоцирует осложнения.
Его сложно отличить от простудного насморка, что оттягивает необходимую диагностику. Продолжительность этой формы может составлять от 2 до 4 недель, затем наступает хронизация процесса либо полное выздоровление.
https://youtube.com/watch?v=3a2padZyCAo
Симптоматика выражена в слабой форме, нет вероятности развития побочных патологий.
Здоровый организм взрослого человека при минимальном лечебном вмешательстве способен самостоятельно справиться с подострой формой гайморита.
Наблюдается осенне-зимний период и на фоне вспышек инфекционных респираторных заболеваний (ОРВИ). Течение острой формы длится от 14 дней до 1 месяца, продолжительность напрямую зависит от лечения.
Происходит активное воспаление слизистой пазухи, выделяется большое количество выделений с желтыми или зелеными вкраплениями. Может повышаться температура тела в пределах субфебрильных значений.
В классификаторе болезней МБК-10 острый синусит имеет код J01.
Для нее характерно приступообразное течение с постоянными рецидивами и ремиссиями. Гайморовы пазухи воспаляются и заполняются гноем, что приводит к сильной заложенности, ноющей боли.
Назальные капли и спреи ненадолго приносят облегчение. При обострении повышается температура тела, снижается работоспособность.
Если игнорировать лечение и профилактику, развиваются осложнения со стороны зрительного и слухового анализатора, дыхательной системы. По МКБ-10 эта форма имеет код J32.
О том, что может способствовать развитию такого заболевания, как аллергический гайморит, узнаете тут.
В организме человека есть две гайморовы пазухи, расположенные симметрично. Воспаление может поражать любую из них, а также обе полости одновременно. В зависимости от локализации патологического процесса выделяют следующие формы катарального синусита:
- Односторонний. Типичные признаки наблюдаются с левой или справой стороны носа. Встречается в 80% случаев, хорошо поддается лечению и диагностике.
- Двухсторонний. Поражает одновременно обе верхнечелюстные пазухи. Это усиливает выраженность симптоматики, усложняет процесс лечения.
Затяжной гайморит приводит к общему развитию клинической картины. При хронизации заболевания воспаление наблюдается по всей полости синусов, может распространяться и на другие структуры носоглотки.
Возможно вам будет интересно ознакомится с видами двухстороннего гайморита по этой ссылке.
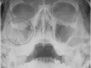
Локализацию болезни проще всего обнаружить на рентгеновском снимке. Патология отображается на нем в виде темных пятен различного объема.
Гайморит имеет многофакторную этиологию. Выделяют несколько факторов, способных спровоцировать начало заболевания.
Главные причины:
- тяжелое или продолжительное течение простуды, насморка;
- сезонная или круглогодичная заложенность носа при аллергии;
- механическое повреждение носа;
- системная инфекция в организме;
- переохлаждение на фоне общего снижения иммунитета;
- хронические стоматологические патологии.
Риск развития синусита увеличивается при врожденных или приобретенных анатомических дефектах носовой перегородки.
Нервная система отвечает за все процессы в организме человека. При регулярных стрессах, неврозах и переутомлении происходит общий сбой физиологических механизмов.
Это может вызвать развитие синусита, но только при наличии других провоцирующих факторов, или триггеров (запускающий механизм).
Обычно это переохлаждение, простуда, ринорея или воздействие негативной внешней среды (запыленность помещения, сухой воздух или резкая смена погоды).
Воспаление слизистой пазух носа сопровождается отечностью тканей. Это приводит к появлению типичных симптомов:
- постоянная заложенность носа, усиливающаяся утром и вечером;
- температура выше 37 градусов по Цельсию;
- сонливость, общее недомогание и слабость;
- головная боль;
- заложенность в ушах;
- сухость во рту, жажда;
- влажный кашель ночью.
Отечность носа приводит к нарушению естественного процесса дыхания, что влияет на качество сна. Появляется храп, есть вероятность ночного апноэ. Выделения при острой форме обильные, процедуры приводят к облегчению на короткое время.
Если симптомы сохраняются несколько дней, а также наблюдается температура и озноб, нужно как можно скорее обратиться к врачу.
Отечность слизистой приводит к тянущей головной боли в области пазух. Она усиливается утром и вечером. Остро ощущается при движении тела, наклоне головы.
Поскольку это субъективный симптом, для определения интенсивности применяют специальные сенсорные шкалы с градацией от 0 до 10.
Медикаменты купируют дискомфорт лишь на ограниченное время, если не проводить промывание носа, дискомфорт возвращается через несколько часов.
Синусит в хронической форме опасен вероятностью осложнений. Они развиваются из-за близости множества анатомических структур в голове. Заболевание может провоцировать патологии со стороны зрения, слуха, нервной системы и носоглотки. Типичные последствия для невылеченного максиллита:
- Катаральныйгаймороэтмоидит. Воспаление распространяется на слизистую решетчатого лабиринта носа. Болезнь плохо лечится, яркая симптоматика проявляется только в острой форме.
- Фронтит. Патологический процесс переходит на лобную придаточную пазуху. Опасная форма синусита из-за близости головного мозга. Осложнение чаще наблюдается у мужчин. Типичный признак – изменение кожных покровов над областью носа.
- Сфеноидит. Встречается реже других, воспаление слизистой локализовано на задней стенке решетчатого лабиринта. Приводит к дискомфорту и боли в области темени, затылка и глазнице. Способен приводит к снижению зрения.
Помимо этого, гайморит может спровоцировать развитие отита, хронического насморка и целого ряда заболеваний дыхательной системы. При присоединении вторичной инфекции есть риск менингита, а также неврита лицевого нерва. Оба заболевания способны привести к инвалидности и летальному исходу.
При ранней диагностике катаральный гайморит хорошо поддаётся лечению. Процедуры можно проводить дома, если нет серьезных осложнений и выраженной отечности, сопровождаемой изменением структуры тканей. На ранних стадиях применяют методы консервативной терапии – прием лекарственных препаратов, проведение физиологических процедур.
Во избежание осложнений нельзя заниматься самолечением. Терапевтическую стратегию должен разрабатывать врач на основании диагностики, особенностей клинической картины.
Для борьбы с катаральным синуситом используют целый комплекс лекарственных препаратов. Они направлены на устранение симптоматики, профилактику осложнений и укрепление иммунитета.
Назначают следующие группы средств, чтобы лечить гайморит:
- сосудосуживающие назальные спреи и капли;
- антибиотики при наличии инфекции;
- антигистаминные;
- противовоспалительные;
- аптечные растворы для промывания полости носа.
К препаратам имеющим сосудосуживающий эффект и снимают отечность, относятся Санорин, Глазолин, Назол.
При наличии сильной температуры и боли дополнительно используют жаропонижающие и анальгетики в форме таблеток или порошка для суспензии. Рекомендуются только в период обострения, которое сопровождается выраженной симптоматикой.
Рекомендуем ознакомится с инструкцией по применению препарата Назол в этом материале.
Все средства домашней медицины можно применять только в качестве дополнительного метода. Они обладают слабой результативностью, не способны устранить стойкое воспаление и отечность. Однако дополняют и усиливают консервативную терапию, укрепляют иммунитет и облегчают общее самочувствие.
При гайморите полезны следующие процедуры:
- закапывание сока моркови, свеклы или алоэ;
- тампонада с эфирными маслами для размягчения корочек от слизи;
- промывание носа Хлоргексидином или солевым раствором;
- ингаляции над паром или с помощью небулайзера.
При наличии температуры и бактериальной инфекции нельзя проводить любые процедуры, связанные с нагреванием. Это усиливает течение болезни, стимулирует размножение патогенных микробов.
Для лечения данного вида гайморита в народе также применяют ингаляции с эвкалиптом, информацию о котором найдете здесь.
В запущенных случаях гайморит можно вылечить в амбулаторных условиях. Это позволяет контролировать состояние организма, а также проводить невозможные для дома процедуры. Кроме того, терапия в больнице назначается при необходимости хирургического вмешательства. Сколько длится стационарное лечение – определяет врач, исходя из состояния организма.
Продолжительность амбулаторного лечения при синусите составляет от 5 до 12 дней. После выписки требуется продолжать терапию дома.
Это ряд медицинских манипуляций, связанных с проникновением в пазухи носа через ткани и естественные проходы. К ним относят:
- прокол (пункция);
- микрогайморотомия;
- гайморотомия.
В зависимости от тяжести болезни вмешательство проводят с помощью эндоскопа или иссекают ткани в области верхней губы. Это позволяет полностью очистить воспаленный участок от слизи, убрать гнойное содержимое пазухи при бактериальной инфекции.
Это группа малотравматичных медицинских методов, направленных на устранение симптоматики и причины воспаления. Самые результативные способы этой группы – ЯМИК-процедура и «кукушка» (технология перемещения жидкости по Проетцу). С помощью них происходит очищение пазухи механическим воздействием.
Еще один действующий способ лечения гайморита – баллонная синусопластика.
Являются разновидностями промывания, выполняются с помощью специального оборудования и требуют местной анестезии.
Промывание пазух в больнице проводят и в детском возрасте. Процедуры считаются альтернативой проколу, который нередко провоцирует осложнения.
Гайморит – распространенное осложнение ринита, диагностируется чаще других разновидностей синусита. Заболевание требует комплексного подхода, поэтому важно знать основные моменты, касающиеся лечения и течения патологии.
Долго не проходит – это сохранение типичных симптомов продолжительностью от 2 недель, которое свидетельствует о некачественно подобранной терапии, переходе заболевания в хроническую форму. Этот процесс может провоцироваться сопутствующей инфекцией, ослабленным иммунитетом и анатомическими особенностями организма.
Катаральный гайморит не может передаваться другим людям, что является ответом на вопрос “заразен ли гайморит”. Риск заражения возникает только при присоединении вторичной инфекции. Она может иметь бактериальную, вирусную или грибковую природу. Это определяет не только путь передачи, но и выбор терапевтической стратегии.
Источник: https://dokLOR.com/nos/oslozhneniya/gajmorit/vidy-g/kataralnyj.html
Поделиться:







