Серозный отит представляет собой невыраженное воспаление в среднем ухе, которое обусловлено накоплением жидкости в барабанной полости. Патологический процесс может проявиться расстройством слуха, ощущением сдавленности и закладывания в ушах.
Диагностируется заболевание по внешнему виду перепонки. При необходимости проводится тимпанометрия, являющаяся мерой диагностики, которая позволяет объективно оценить состояние среднего уха и слуховой трубы.
Серозный отит у детей устраняется посредством лекарственных средств, в некоторых случаях назначается оперативное вмешательство.
Острый средний серозный отит считается патологическим процессом в ухе, которому свойственно слабое проявление симптоматики. Локализуется воспаление в основном в барабанной полости.
Другими словами, от обыкновенного отита подобная форма отличается протеканием: воспаление не настолько выражено и, в связи с этим, патология на начальном этапе причиняет пациенту меньший дискомфорт.
Такая характерная черта не делает заболевание простым для обнаружения и терапии.
Для серозного отита характерно накопление в среднем ухе жидкости. Характерной особенностью болезни считается то, что жидкость имеет не гнойное происхождение.
Острый средний серозный отит у детей формируется чаще, чем во взрослом возрасте, однако терапия должна быть щадящей, чтобы не нанести вред организму.
Предрасположенность к подобной болезни обусловливается строением организма детей. Прежде всего, необходимо заметить несформированность иммунитета.
На это могут влиять многочисленные факторы: врожденные аномалии, применяемые медикаментозные средства, пассивный образ жизни и рацион.
Слабая сопротивляемость к вирусным агентам в детском возрасте бывает спровоцирована регулярным или хаотичным употреблением антибактериальных средств. Такая терапия может избавить от проблемы, но не поможет выработать естественную защиту организма. Благодаря постоянному использованию подобных медикаментозных препаратов уменьшается их действенность.
Острая форма рассматриваемого заболевания не появляется неожиданно. Ей могут предшествовать прочие виды болезни.
Чем сильнее запущен патологический процесс, тем больше будет предпосылок для появления неблагоприятных последствий и потери слуховой функции.
Когда на начальном этапе «клейкое ухо» возможно устранить фактически без осложнений, то на последней стадии заболевание почти во всех случаях ведет к необратимым переменам.
Серозный отит среднего уха может протекать в 4 стадиях:
- Воспаление (1-4 недели). Невзирая на то, что для такой болезни не являются характерными выраженные воспалительные изменения, она все равно может протекать в вялотекущей форме, так как считается основным условием формирования отита. На этой стадии в слуховой трубе нарушается процесс вентиляции (ненадлежащим образом поступает воздух в среднее ухо), а перепонка способна поменять оттенок и стать втянутой. Больной на этом этапе фактически ничего не чувствует.
- Заполнение уха жидкостью (1-12 месяцев). На 2 этапе внутри среднего уха увеличивается число секреторных желез, в самом ухе происходит накопление серозной жидкости. Больной чувствует «бульканье» и «плескание», в частности это сильно проявляется при внезапной смене положения головы.
- Обострение (1-2 года). Если ушная полость в полной мере набралась жидкостью, то она со временем начнет загустевать. Патологическое содержимое станет крайне вязким, под его влиянием станет активной деформация слуховых органов. Будет отмечаться ухудшение костной проходимости звука, больной перестанет ощущать «бульканье» внутри уха.
- Дегенеративные процессы (от 2 лет). Когда на 3 этапе заболевания не начата скорейшая терапия, то слизистая в среднем ухе будет подвергнута неотвратимым процессам дегенерации: слуховые кости и слизистая получат фиброзные перемены, отмечаются изменения в строении перепонки. Помимо этого, на данном этапе прекратится и выработка новой патологической жидкости. Невыраженное воспаление в ухе способно продолжаться годами. Ненадлежащее отношение к симптоматике серозного отита уха часто ведет к полной утрате слуховой функции.
Уже на 2 этапе болезни ребенку зачастую необходимо лекарственное лечение серозного отита и оперативное вмешательство, потому при наименьших переменах в слуховой функции необходимо без промедлений проконсультироваться с отоларингологом. Он скажет, возможно ли посещение малышом детских учреждений, школы и других общественных мест.
Серозный отит в среднем ухе у всех пациентов имеет сходные проявления. Из-за слабой выраженности такого процесса больные часто проходят начальный осмотр ЛОР-врача уже на запущенной стадии. В это время переполняющий барабанную полость экссудат причиняет пациенту существенный дискомфорт. Отоларингологи наблюдают следующие симптомы серозного среднего отита:
- болевые ощущения разной интенсивности;
- закладывание ушей и ухудшение слуховой функции;
- образование жидкости из ушного прохода;
- воспалительный процесс в наружном проходе;
- аутофония, если пациент слышит свой голос;
- смена оттенка и формы перепонки;
- нарушенная координация и дезориентация в пространстве;
- тошнота, рвотный рефлекс, обморочные состояния;
- увеличенная температура тела (до 38 градусов у взрослых и более высокая у детей).
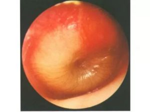
Чтобы выявить острый серозный отит, требуется проведение осмотра перепонки. При формировании заболевания отмечают желтую либо серую окраску мембраны. В целях подтверждения появления воспаления нередко проводят тимпанометрию.
На начальных стадиях протекания патологии тимпаническая мембрана разбухнет и в связи с этим отчасти утратит собственную подвижность. На более поздних этапах заболевания перепонка втянется, станет толще, утратит прежний окрас.
Часто на ней во время осмотра ЛОР-врач замечает пятна белого цвета.
При выявлении первоначальной симптоматики серозного отита, больного необходимо без промедлений показать отоларингологу, который порекомендует эффективную терапию. Патологии, которые происходят на данной стадии, способны при ненадлежащем лечении спровоцировать тугоухость либо полную утрату слуховой функции.
Данное заболевание в детском возрасте, терапию которого отоларинголог пытается осуществить в комплексе с наружным либо внутренним употреблением противомикробных медикаментов, нуждается в регулярном наблюдении специалиста и участии больного в самом процессе. Непосредственно потому терапия «клейкого уха» усложняется у детей, а главный упор делается на лекарственные средства.
Зачастую серозный отит лечится при помощи следующих препаратов:
- Противомикробные средства. Чаще всего используются при вирусном происхождении заболевания (Ампицилин, Амоксициклин).
- Антивоспалительные препараты (Эреспал, Мирамидез).
- Жаропонижающие средства (Нурофен, Ибупрофен).
- Сосудосуживающие капли. Так как ЛОР-органы взаимосвязаны между собой, облегчение функционирования слуховой трубы, возможно, достичь посредством кратковременного использования суживающих сосуды капель для носа (Називин, Нафтизин).
- Муколитические средства. В некоторых случаях пациенты употребляют данные препараты в целях активизации разжижения накопившегося внутри уха экссудата (Флуимуцил, Синупрет).
- Противобактериальные капли. В целях местного использования врач назначает особые ушные капли, которые показаны больному по возрасту. Данные средства способствуют санации ушной полости от вредоносных микроорганизмов (Отипакс, Софрадекс, Отинум).
Определенные лекарственные средства вводят внутрь ушного прохода, а некоторые – прямо в евстахиеву трубу посредством специального инструментария. Кроме того, наряду с самим лечением в целях улучшения самочувствия носоглотки и слизистых используется ополаскивание ротовой полости и сосудосуживающие назальные капли.
Когда острый серозный отит у ребенка вызван аллергией, в целях устранения отеков отоларинголог способен назначить употребление антигистаминных средств. А чтобы восстановить надлежащую работу иммунитета и ускорить выздоровление пациенты употребляют иммуномодулирующие медикаменты, комплексы поливитаминов и минералов и прочие лекарства.
Когда на протяжении 1,5-2 недель не отмечаются положительные изменения у пациента, специалист может принять решение о проведении оперативного вмешательства.
Кроме того, проводится миринготомия (делают надрез на перепонке в целях облегчения оттока патологической жидкости и доступа медикаментозных средств в воспалительный очаг).
В качестве вспомогательного лечения к использованию консервативных средств допустимо применять методы народной терапии. Однако лечить самостоятельно при помощи данных методик не рекомендуется. Необходимо предварительно проконсультироваться с квалифицированным специалистом относительно проведения терапии и наличия возможных противопоказаний.
С данным заболеванием можно бороться посредством лука. Целая луковица запекается в духовке, после срезается верхняя часть и в полученное углубление кладутся семена тмина. Затем лук остается в горячей печи еще на 15 минут. После из него выжимается сок, а затем закапывается в ушной проход в утреннее и вечернее время.
Эффективным при болезненных ощущениях, которые сопровождают заболевание, будет настой прополиса. Он доступен для приобретения в аптеках. Им смазываются марлевые турунды, смачиваются и закладываются в ухо детям и взрослым 4-5 раз в день. Помимо этого, действенным при терапии рассматриваемого заболевания станет сок свеклы с медом.
Предупредить формирование воспалительных явлений полностью не представляется возможным. Меры профилактики помогают устранить патологический процесс на начальном этапе возникновения, осуществить блокирование инфекции, предотвратить ее проникновение в органы слуха. Врачи советуют:
- не допускать переохлаждение;
- не появляться на улице с мокрой головой либо после банных процедур;
- пребывание в бассейне нуждается в исключении проникновения воды в уши, в этих целях требуется надеть специальную шапку;
- не кормить малыша грудью горизонтально;
- соблюдать основные техники в процессе промывания пазух носа, ушных каналов физиологическим раствором либо другими средствами.
Необходимо вовремя и надлежащим образом устранить простудные болезни, долечить ринит, употреблять необходимые медикаментозные средства при наличии аллергии. Особый акцент нужно уделить сбалансированному рациону питания, приему требуемого количества витаминов, минералов, которые полезны для организма.
Не вовремя проведенное лечение патологического процесса вызывает преобразование заболевания в гнойную форму. Вредоносные микроорганизмы в подобной ситуации активизируются, формируя нагноение.
Гнойные явления в тканевых зонах провоцируют выделение секрета с неприятным ароматом. Образования способны содержать кровяные примеси.
За кратчайший промежуток времени без лечебных мероприятий острый серозный отит способен преобразоваться в хронический, вызывая разнообразные неблагоприятные последствия.
Побочным действием заболевания станет отит адгезивного направления. Он провоцирует формирование новообразований в эпителии, закупоривание ушных каналов, блокирование движения мембран и косточек.
Не менее опасным последствием патологического процесса считается отит внутреннего уха. Формируется при инфицировании указанного органа. Если отсутствует терапия появляется мастоидит, способный повреждать инфекцией мозг.
Рассматриваемое заболевание является опасным патологическим процессом, нуждающимся в вовремя проведенной диагностике и терапии.
Самолечение без согласования с отоларингологом невозможна, поскольку подобное способно спровоцировать появление неприятных последствий, включая ухудшение и окончательную утрату слуховой функции, перетекание острой формы патологии в хроническую, тяжело поддающуюся терапии.
Кроме того, иногда могут наблюдаться гнойные явления, а инфицирование без соответствующего лечения может распространиться во внутреннее ухо, а в определенных ситуациях — внутрь мозга.
(1 5,00 из 5) Загрузка…
Источник: https://nasmork.net/seroznyj-otit/
Серозный отит – это вялотекущее воспаление среднего уха, вызванное образованием и скоплением жидкости (транссудата) в барабанной полости. В медицинской литературе встречаются и другие названия, термин «серозный» больше распространено в европейской ЛОР – практике, в то время как в нашей стране врачи предпочитают диагноз «Экссудативный средний отит».
Серозный отит
Подобное заболевание чаще встречается у детей дошкольного возраста (от 3 до 7 лет), реже – у подростков до 15 лет, и в единичных случаях – у взрослого человека. Подобная патология опасна скрытым течением, склонностью к переходу в хроническую форму и может закончиться потерей слуха, на поздних стадиях единственным способом терапии является хирургическое вмешательство.
Чтобы разобраться в схеме лечения среднего серозного отита и определить необходимость операции, вкратце остановимся на патогенезе этого заболевания.
В развитии воспаления подобного рода основную роль играет нарушение воздухообмена в евстахиевой трубе. В норме во время каждого глотательного движения приподнимается небная занавеска.
Таким образом выравнивается давление в структурах внутреннего уха.
Однако при обструкции евстахиевой трубы при различных острых и хронических заболеваниях носоглотки, этот процесс нарушается. Отсутствие вентиляции приводит к усиленному выделению экссудата, слизи.
Так, в посеве серозной жидкости из полости среднего уха выявляют:
- пневмококки (Streptoccocus pneumoniae);
- гемофильную палочку (Haemophilus influaezae);
- моракселлу (Moraxella catarrhalis).
Не последнюю роль играют и вирусы. Чаще всего обнаруживают возбудителей гриппа, парагриппа, адено-, энтеро- и респираторно – сентициальные вирусы.
Но основным фактором, который провоцирует серозный отит среднего уха, является стойкое нарушение носового дыхания, которое, в отличие от обычного насморка, продолжается дольше 2 – 3 недель. Это аденоидит, синусит.
Часто с подобной проблемой сталкиваются дети и взрослые с анатомически обусловленной узостью носовых ходов.
Воспалительный процесс обычно продолжается длительное время, что сопровождается изменениями в реологии накопившегося экссудата и структуры клеточной стенки внутренних отделов органа слуха.
Так, в течении заболевания различают несколько стадий. Первая, острый средний серозный отит, возникает при резком нарушении вентиляции евстахиевой трубы.
Давление внутри нее нарастает, что приводит к накоплению экссудата.
https://youtube.com/watch?v=Lwi2hC6Onno
На появление очага воспаления организм реагирует, «направляя» к нему лейкоциты и лимфоциты. Кроме того, отсутствие воздухообмена влечет и усиление работы желез. Средняя форма серозного отита начинается со второй (секреторной) стадии. Описанные выше процессы продолжаются, но изменяется структура эпителия. В нем появляется больше выделяющих слизь бокаловидных клеток.
Отит — Школа доктора КомаровскогоОтит среднего уха — причины, симптомы, лечениеНаружный отит. Как не оглохнуть
Третья стадия (мукозная) характеризуется изменением реологических свойств экссудата. Из-за скопления лейкоцитов и других белковых соединений он становится более вязким и густым. На этом этапе развитие заболевания «замирает» на 1 – 2 года. Затем начинается завершающая (фиброзная) стадия среднего серозного отита.
Слизистый эпителий перестает функционировать и замещается фиброзной тканью. В дегенеративные процессы вовлекаются также слуховые косточки и другие расположенные рядом структуры.
На данной стадии не только консервативное, но и хирургическое лечение серозного отита у детей и взрослых может не принести ожидаемого результата.
Такие формы воспаления уха, как острый серозный, острый гнойный отиты непохожи по симптомам. В отличие от клинической картины бактериальной инфекции, накопление экссудата долгое время протекает без каких-либо признаков. Особенно подобные процессы незаметны у ребенка раннего возраста. Симптомами серозного отита служат:
- чувство заложенности, как будто в слуховой проход попала вода;
- снижение слуха;
- шум в ушах;
- при наклоне головы появляется ощущение оттока жидкости (плеск) и способность хорошо слышать на какое-то время восстанавливается.
Иногда возможно самостоятельное разрешение острого среднего серозного отита, в таких случаях из слухового прохода появляется прозрачное или мутное отделяемое. Размножение бактериальной микрофлоры сопровождается «классическими» симптомами воспаления уха. Это сильная боль, повышение температуры.
Метод лечения острого или хронического серозного отита определяют на основании результатов осмотра барабанной перепонки, наружного слухового прохода пациента. Также оценивают способность ребенка или взрослого воспринимать звуки разной громкости.
Для выявления сопутствующего заболевания носоглотки обязательна риноскопия (определяют возможное наличие и степень аденоидита), при подозрении на синусит – рентгенографию пазух носа.
Остановимся более подробно на методах консервативного лечения серозного отита у детей и взрослых.
Регулярное наблюдение и осмотр у ЛОР – врача рекомендуют при вялотекущем процессе, когда существует вероятность самостоятельного выздоровления.
На каждой консультации доктор оценивает слух, состояние барабанной перепонки и общее самочувствие пациента. Но многие специалисты являются противниками подобной тактики и рекомендуют другие способы лечения серозного отита.
При продувании евстахиева труба, соединяющая среднее ухо и носоглотку, открывается за счет повышения давления в носовой полости. Иногда это достигается путем форсированного выдоха с закрытым ртом и носом. Также применяют продувание слуховых труб по Политцеру специальным баллоном. С его помощью поток воздуха через ноздри подается в ухо. Кроме того, прибегают к катетеризации слуховых труб.
Как отмечают доктора, лечение среднего серозного отита при помощи различных капель или таблеток неэффективно и носит лишь симптоматический характер.
Выраженный противовоспалительный эффект оказывают препараты на основе глюкокортикоидов. Их системное применение нецелесообразно из-за высокого риска различных осложнений.
Поэтому прописывают капли в уши, которые содержат стероидные гормоны. Это:
Дозировка составляет по 3 – 4 капли в каждое ухо 2 – 3 раза в день. При соблюдении инструкции по применению этих риск влияния на организм в целом отсутствует. При бактериальной инфекции прописывают антибиотики пенициллинового ряда. Чтобы снять отек, необходимы антигистаминные средства. Заложенность носа устраняют сосудосуживающими каплями.
Из хирургических методов лечения острого серозного отита чаще всего пациентам предлагают миринготомию. Ее также называют парацентезом или тимпанотомией.
Во время операции врач специальной иглой с копьевидным лезвием на конце делает разрез на барабанной перепонке длиной в несколько миллиметров.
Эта же процедура позволяет вводить в полость уха различные антисептические лекарственные препараты. В современных клиниках манипуляцию осуществляют при помощи лазера.
Другим вариантом лечения острого среднего серозного отита является шунтирование.
Часто этот метод также применяется при повторном образовании избыточного экссудата или при отсутствии эффекта от проведенной ранее миринготомии.
В барабанную перепонку устанавливают вентиляционные трубки для восстановления давления и улучшения оттока скопившейся жидкости. Также через этот дренаж вводят растворы дл промывания полости.
Серозный отит – это заболевание, возникающее при появлении препятствия для нормального воздухообмена. Поэтому перед началом медикаментозного или хирургического лечения необходимо устранить именно эту причину. При аденоидите второй, а тем более третьей степени, показана аденоидэктомия.
В некоторых случаях этой операции достаточно для полного восстановления слуха и нормального функционирования структур барабанной полости. Взрослым может потребоваться радикальное хирургическое вмешательство на среднем ухе.
По общепринятым стандартам ВОЗ при подозрении на потерю слуха рекомендуют наблюдение у ЛОРа в течение трех месяцев. Если ситуация не улучшается, а тем более усугубляется, предлагают на выбор хирургическое или медикаментозное лечение.
В тяжелом случае показана тимпанотомия с установлением шунтов, их убирают через полгода. Контроль результата осуществляется через 2 недели после удаления, а затем через месяц.
Таким образом серозный отит у детей лечится практически во всех европейских странах.
Для улучшения кровообращения в полости барабанной перепонки и устранения воспалительного процесса рекомендуют ежедневно делать простой комплекс упражнений, который будет полезен как для ребенка, так и для взрослого.
Выполнять его следует сразу после пробуждения. Указательными пальцами плотно закройте слуховые проходы ушей, затем резко их вытащите. Движение повторить 10 – 20 раз. Потом столько же раз крепко приложите ладони к ушным раковинам и быстро уберите руки.
Повторять также 10 – 20 раз.
Потом помассируйте все ухо круговыми движениями по часовой стрелке на протяжении 1 – 2 минут. Подергайте пальцами за мочку, верхнюю часть ушной раковины. Затем несколько раз нажмите на козелок. В лечении среднего серозного отита у детей и взрослых также помогут и лекарственные растения:
- измельчить в порошок высушенные листья гинкго двулопастного, принимать по 200 мг дважды в день, запивая большим количеством теплой воды в течение двух месяцев;
- сушат в тени корневище аира, растирают его и принимают три раза в день по 1 чайной ложке;
- ежедневно съедать 1 ч.л. порошка морской капусты, кусочек корня солодки (приблизительно размером с фасоль) и 5 г живицы сосны (ее можно заменить двумя листами алоэ, перетертых с медом);
- взять стеклянную емкость объемом 100 мл, насыпать до половины ягоды можжевельника и залить доверху водкой. Настаивать три недели в темном прохладном месте, взбалтывая один раз в три дня. Капать по 3 капли в каждое ухо;
- добавить в стакан горячего молока 1 ч.л. березового дегтя, принимать такой напиток трижды в сутки между приемами пищи в течение полутора месяцев;
- столовую ложку лукового сока смешать 3 ст.л. растопленного гусиного жира, капать в слуховой проход три раза в день на протяжении 2 недель, при помощи этого рецепта можно вылечить острый серозный отит у ребенка.
Для профилактики заболевания важно укрепление иммунной системы. Для этого рекомендуют пить смесь соков в такой пропорции: 6 частей морковного, 3 части свекольного и 4 части огуречного. Также полезно (при отсутствии аллергии) съедать в день четверть лимона с кожурой. Большое значение имеет регулярная санация носоглотки. Советуют полоскать горло настойкой или отваром календулы, ромашки.
Источник: https://kakiebolezni.ru/otolaringologiya/otit/seroznyj-otit.html
Рассказать ВКонтакте в Одноклассниках в
Если взрослый человек стал хуже слышать, не надо сразу винить возраст. Причиной тугоухости может быть экссудативный отит – хроническая патология органов слуха. Болезнь долго протекает бессимптомно, поэтому человек не лечится. Отит чаще случается у детей, чем у взрослых. Выявить его у новорожденного еще сложнее – он не может объяснить, что его беспокоит.
Средний отит часто не имеет симптомов. Больной обращается к врачу, когда в ухе уже происходят дегенеративные изменения:
- В барабанной полости возникают рубцы и спайки.
- Слуховые косточки теряют подвижность.
- Больной неправильно воспринимает звук.
- Отит принимает гнойную форму.
- Возникает лабиринтит – воспаление внутреннего отдела уха.
Спайки снижают двигательную способность барабанной перепонки, слуховых косточек. Искажается звуковая вибрация, поступающая во внутреннее ухо и далее – в мозг. Человек плохо слышит, неправильно воспринимает звук.
Очень опасно при отите образование гноя – он может проникнуть в мозг, стать причиной неврита лицевого нерва, системного воспаления (сепсиса), менингита.
Различают 4 фазы развития хронического отита среднего уха:
- Начальная – возникает воспалительный процесс. Евстахиева труба сужается, нарушается вентиляция барабанной полости.
- Секреторная – экссудат постепенно заполняет всю полость среднего уха. Фаза длится около года.
- Мукозная – серозное отделяемое барабанной полости становится густым, вязким, образуется гной.
- Фиброзная – разрушаются слуховые косточки, перепонка уплотняется, теряет способность вибрировать. Происходит необратимая потеря слуха.
На протяжении первого месяца болезнь часто остается незамеченной. Барабанная перепонка незначительно меняет цвет, но это может увидеть только оториноларинголог при осмотре. Небольшое снижение слуха больной часто не замечает, болезненности не чувствует.
Когда в полости накапливается серозный секрет, вид барабанной перепонки изменяется, она становится синей. Человек понимает, что слышит хуже. Его беспокоят чувство набухания и боль в ухе даже в состоянии покоя. Если больной изменяет положение головы, то чувствует всплески воды.
На мукозной фазе патологии врач определяет отек барабанной перепонки. Больной ощущает прогрессирующее ухудшение слуха, острые, стреляющие боли в ушах.
На последней стадии болезни человек полностью теряет слух. Разрушительные процессы на слизистой уже не поддаются традиционному лечению. Вернуть способность слышать можно только оперативным путем, если надрезать барабанную перепонку или выполнить пункцию.
Отит не является самостоятельной патологией. Он возникает при воспалении слизистой носоглотки. В группу риска входят люди, склонные к простудам и не имеющие иммунитета к инфекциям. Отит у детей случается чаще, чем у взрослых, потому что у них нет устойчивого иммунитета. Среднее ухо малыша может воспалиться при банальном насморке.
Виновниками отита являются разные виды кокков, палочек, вирусы гриппа, парагриппа и др.
Когда человек чихает, кашляет, сморкается, болезнетворные микробы проникают в слуховую трубу и дальше – в барабанную полость. С кровью или через дефект барабанной перепонки болезнетворные бактерии в среднее ухо проникают редко.
В любом возрасте острый отит возникает при наличии следующих факторов:
- развитие бактериальных инфекций, вирусов;
- иммунные нарушения;
- хронический ринит, тонзиллит, синусит, гайморит;
- искривление носовой перегородки;
- опухоли верхнего отдела респираторного тракта;
- аденоиды.
Чтобы выявить заболевание, больному назначают общие анализы. Врач проводит полный осмотр лор-области, анализирует анамнез. Достоверно выполняет диагностику отита современное видео–эндоскопическое оборудование. С его помощью оториноларинголог может увидеть уровень жидкости за барабанной перепонкой. Эффективными способами определения отита являются:
- Отоскопия – исследование состояния слухового прохода с применением специальных медицинских инструментов.
- Тимпанометрия – определение степени функциональности мембраны и подвижных слуховых косточек путем создания давления воздуха в слуховом канале.
- метрия – оценка способности человека воспринимать звуки с использованием камертонов или аудиометра.
У детей воспаление выявить сложнее.
Родители должны считать симптомом отита поведение ребенка, когда он постоянно трогает ушко, капризничает, отказывается есть, плачет без видимой причины. Когда у малыша болит ухо, он во время сна может тереться им о подушку, подкладывать под него руку. Если грудничок не реагирует на громкие звуки или не отзывается на свое имя, у него можно заподозрить снижение слуха.
Прежде всего врачи устраняют факторы, вызывающие острый средний серозный отит у взрослых. Для этого выполняется систематическая санация верхних органов дыхания, продувание, очистка слухового прохода, удаление аденом у детей, выравнивание носовой перегородки и др.
Медикаментозное лечение дополняется физиотерапией. Чтобы избежать аллергии, больному прописывают антигистаминные лекарства.
Врач прокалывает барабанную перепонку, чтобы облегчить удаление гноя. При этом делают анестезию: взрослым – местную, детям – общую. Чтобы привести в норму давление в евстахиевом проходе, выполняют шунтирование (ввод катетера). Современным методом устранения воспаления и очага инфекции во время обострения является лазерная терапия.
Хронический отит среднего уха лечится сложнее, чем острый. Восстановить слух во многих случаях можно только при помощи операции. Если просто удалить рубцово-спаечные образования, результат получится временный. После хирургического вмешательства спайки появляются снова. Устойчивый эффект дают операции по замене слуховых косточек на искусственные.
Лечение острого отита у взрослого больного будет эффективным при соблюдении постельного режима. Врач выбирает метод терапии в соответствии с клинической картиной, состоянием больного. Эффективны при лечении воспаления уха следующие подходы:
- удаление гнойных отложений из уха с помощью специальных мазей;
- лечение антибиотиками (амоксициллин, аугментин и др.);
- местное лечение маслами, каплями, мазями с использованием ватной или марлевой турунды (тампона);
- грязелечение, электрофорез, УВЧ;
- снятие отека носоглотки с помощью назальных капель;
- пневмомассаж барабанной перепонки;
- лечение противовоспалительными, обезболивающими, жаропонижающими средствами;
- стимуляция иммунитета витаминными и минеральными комплексами.
Малышей следует лечить щадящими методами. Подбирать антибиотики им надо осторожно, учитывая возраст и степень воспаления. Чтобы не повредить кишечную микрофлору, детям показаны Лактобактерин и Бифидобактерин. Ушные капли Отипакс хорошо снимают боль и воспаление в детском возрасте.
Во время лечения ребенка надо кормить тогда, когда он захочет есть. Рацион малыша должен включать богатые витаминами овощи и фрукты.
Лекарственными травами лечить отит можно на первой фазе воспаления. При этом надо контролировать течение болезни, регулярно посещая врача. Испытанными народными рецептами снятия воспаления в ухе являются следующие:
- Отрезать кусочек свежего репчатого лука, вставить в ухо, прикрыть ватным тампоном. Подождать 20 минут, вынуть лук, ухо снаружи протереть салфеткой, смоченной в воде. Лечение луком проводить 2 раза за день, по утрам и вечерам.
- Луковицу репчатого лука запечь в духовом шкафу, остудить, отжать через марлю. Несколько капель полученного сока закапать в ухо, которое беспокоит.
- 5 лавровых листов залить стаканом горячей воды, вскипятить и варить на медленном огне 10 – 15 минут. Отвар снять с огня, накрыть крышкой, настаивать 2 часа. 8-10 капель закапывать в больное ухо. Повторять процедуру 2-3 раза за день.
Предупредить воспаление уха можно. Для этого следует следить за своим здоровьем, блокировать факторы, способствующие развитию инфекции в организме:
- Тепло одеваться в холодную погоду, избегать переохлаждения.
- Вовремя лечить простуду.
- Не контактировать с очагами инфекций.
- Не допускать хронического течения заболеваний носоглотки.
- Полноценно питаться.
- Принимать витаминные и минеральные комплексы.
- Заниматься физкультурой.
- Принимать антибиотики только по назначению врача.
- Отказаться от вредных привычек, оградить детей от пассивного курения.
- При подозрении на воспаление уха сразу обращаться к врачу.
Внимание! Информация, представленная в статье, носит ознакомительный характер. Материалы статьи не призывают к самостоятельному лечению. Только квалифицированный врач может поставить диагноз и дать рекомендации по лечению, исходя из индивидуальных особенностей конкретного пациента.
Источник:
Отит серозный – воспалительное заболевание инфекционной формы, сопровождающееся скоплением в ушной полости серозной жидкости. Возбудителем являются бактерии (в 70% случаев) или вирусы (в 30%). Лечение комплексное, медикаментозное. Запущенная стадия требует хирургического вмешательства.
- проникновение вирусов в организм;
- бактериальная инфекция;
- дисфункция евстахиевой трубы, патология ее строения;
- сниженный иммунитет;
- атопический дерматит;
- новообразования;
- нарушения функции образования серы.
- Основной причиной развития отита у детей и взрослых являются частые респираторные заболевания, хронический ринит, гайморит.
Евстахиева труба имеет выход в носоглотку, что открывает доступ слизи к проникновению в слуховой проход.
Жидкость накапливается, начинается воспалительный процесс, усугубляющийся воздействием бактерий или вирусов.
Источник: https://cliniceye.ru/otit/seroznyj-otit-srednego-uha-lechenie.html
Что такое серозный отит? Это достаточно серьезный недуг, характеризующийся накоплением огромного количества серы в ушных каналах. При выявлении данной проблемы обязательно стоит начать заниматься терапией. Когда патологический процесс начинается развиваться, чаще всего первое побочное действие от него – это воспаление, оно появляется из-за вирусных агентов.
В большинстве случаев определить этот недуг можно по некоторым критериям: у человека начинают отекать ушные каналы, краснеть барабанные перепонки. При сдаче бактериального посева в наличии обязательно окажутся болезнетворные организмы – именно они и являются возбудителями заболевания.
После проявления первых признаков начинается воспаление слуховой трубы из-за высокого скопления в ней серы. Очень часто можно заметить, что во время воспалительного процесса человек теряет немного слуховое восприятие. Во время проглатывания слюны четко ощущается заложенность в ухе. Что провоцирует возникновение заболевания?
Более чем в пятидесяти процентах случаев воспаление слуховой трубы появляется из-за бактериальных агентов, а во всех остальных вариантах виноваты грибок или вирусы. Чаще всего врач использует консервативный метод лечения, но если у человека уже запущенная стадия заболевания, то в таком случае ему понадобится оперативное вмешательство.
Если самостоятельно пытаться понять, что это за заболевание, то на начальных стадиях его развития неопытный человек может без проблем его спутать с гнойным отитом, все это из-за того, что и в том, и в том случаях проявляется нарушение работы евстахиевых труб. Большинство случаев зафиксировано у новорожденных детей. Возбудителями чаще всего являются вирусы парагриппа или гриппа.
Стоит отметить, что очень часто у тех детей, которые родились с «волчьей пастью», проявляется развитие серозного отита. Для того чтобы избавиться от этого недуга, используют разнообразные методы лечения.
После проведения диагностики серозного отита самое первое мероприятие, которое проводится для избавления от недуга, – санация ротовой полости и носоглотки. Для этого врач берет необходимые медикаментозные средства и вводит их в ушной проход.
Что касается носовой полости, ее обрабатывают специальными сосудосуживающими лекарствами. Каждый раз врач обязан прописывать индивидуально длительность лечения, т. к. у каждого человека могут иметься разнообразные симптомы протекания болезни и стадии запущенности.
Если отит у человека спровоцирован аллергическими реакциями, то вылечить его можно будет и с помощью специальных антигистаминных лекарств. Ни в коем случае не стоит заниматься самолечением, а все процедуры следует проводить строго после разрешения и под наблюдением врача.
Если же спустя две недели у пациента не наблюдается улучшение, то врач обязан принять меры оперативного вмешательства – шунтирование воспалительного процесса среднего уха.
Этот вариант в дальнейшем способствует ускорению лечения.
Бывают такие ситуации, когда человеку необходима установка дренажа, но это происходит только тогда, когда воспаление перекинулось с ушного канала и на другие участки.
Чаще всего развитие этого патологического процесса можно заметить при наличии некоторых провоцирующих его факторов:
- Появление в ушных каналах вирусных агентов;
- Евстахиевы трубы начинают неправильно работать;
- Если болезнетворные организмы смогли победить иммунитет и оказать на ушной канал негативное влияние.
Начальная стадия серозного отита у детей может проявиться, даже если работа евстахиевых труб была нарушена на короткий промежуток времени. Эти трубы отличаются тем, что они отвечают за защиту ушей, вентиляцию и обладают дренажной функцией.
У маленьких детей поэтому и наблюдается это заболевание чаще, чем у взрослых, т. к. евстахиевы трубы еще не до конца развиты и находятся в фактически горизонтальном положении. Отит также может проявиться у детей дошкольного возраста, т. к. они имеют склонность к частым простудам и вирусам.
Фактически каждый специалист-отоларинголог утверждает, что те люди, которые на протяжении всего года мучаются от аллергии, дополнительно мучаются и от данного недуга. В группу риска заболевания также можно отнести и тех пациентов, у которых имеется предрасположенность к появлению атопии на еду.
Если этап развития воспаления имеет начальную стадию, то можно заметить проявление таких симптомов, как:
- Воспалительный процесс в слизистой. Чаще всего он имеет катаральных характер.
- Нарушение в работе вентиляции.
- В евстахиевых трубах замечается также развитие воспалительного процесса.
В зависимости от того, как развивается патология, человек может начинать слышать в ухе самого себя – это происходит из-за того, что появляется вакуум в барабанной полости. Если этап развития патологии имеет начальный характер, то нарушение звуковосприятия не сильно выражено. Этот этап имеет продолжительность около месяца.
После начинается следующая стадия, которая характеризуется скоплением в барабанной перепонке экссудата. Количество слизи в среднем ухе становится намного больше нормы. От этого человек начинает ощущать шумы, переполненность уха.
Одним из основных симптомов воспаления среднего уха у взрослого является чувство переливания жидкости внутри. Особенно это заметно если происходит резкая смена положения тела.
На самом деле именно так внутри и происходит, скопившаяся жидкость в ушном аппарате начинает действительно смещаться. Эта стадия может долго развиваться, иногда бывает, что ее продолжительность достигает нескольких месяцев.
Стоит отметить, что симптоматика у каждого человека, в меру индивидуальности организма, протекает по-разному.
На этом развитие патологии не заканчивается и появляется третья стадия заболевания, которая называется мукозной. В этот период жидкость, которая скопилась в ушной полости, приобретает вязкий характер. Человек начинает намного хуже слышать. Следующая, четвертая стадия развития воспалительного процесса — фиброзная, она указывает на начало дегенеративных процессов в слизистой уха.
В большинстве случаев, если дегенеративным процессам подвергается барабанная полость, то изменения необратимы. В этот момент продуцирование экссудата значительно уменьшается в количестве, а поверхность слизистой изменяется.
Также не стоит забывать и о слуховых косточках, которые также вовлечены в дегенеративный процесс. Чаще всего самым выраженным проявлением данного заболевания на последней стации считается выраженная глухота.
Он может прогрессировать достаточно долго, но при этом иметь слабовыраженный или вообще отсутствующий воспалительный процесс. Жидкость, которая скапливается в ушном канале, не начинает трансформироваться в гнойную. Чаще всего человек ощущает некую заложенность в ухе, особенно тогда, когда глотает слюну или пищу.
Для того чтобы понять, имеется воспалительный процесс или нет, в обязательном порядке проводится отоскопия. При ее проведении можно определить состояние барабанной перепонки, а также понять, в каком количестве в ней находится жидкость. Если человек все-таки страдает от серозного отита, то чаще всего окрас жидкости приобретает либо желтый, либо серый оттенок.
Помимо этого, также узнать о наличии воспалительного процесса можно при помощи тимпанометрии. Этот диагностический метод помогает определить правильность работы евстахиевых труб и уровень скопленного секрета. Частое лечение в таком случае – продувание ушей.
Процедура заключается в том, что в слуховую трубу с помощью баллончика вводится воздух под давлением. При удачном продувании пациент ощущает дующий шум. После этого неприятные ощущения исчезают. Продувание ушей может также проводиться с помощью катетера.
Ни в коем случае не стоит откладывать терапию, если обнаруживается хроническая или острая форма этого заболевания. Чаще всего вылечить недуг можно при помощи консервативных методов, которые помогают восстановить больному хорошее качество звукового восприятия и вернуть все потерянные функции.
К ним можно отнести три основных принципа:
- Первый – это соблюдение специального режима. Это не означает, что человек в обязательном порядке должен соблюдать постельный режим. Обязательными принципами является постоянное проветривание помещение, соблюдение влажности в нем, регулярное проведение влажных уборок, а если такой возможности нет, то лучше всего приобрести и установить увлажнитель воздуха.
- Второй принцип заключается в том, что человеку следует исключить из жизни потенциальный аллерген, который может спровоцировать реакцию и возбудить развитие этого заболевания. Если этого не сделать, то избавиться от серозного отита будет большая проблема.
- Если заболевание развито у маленького ребенка, то лучше всего при кормлении его из бутылочки держать в полувертикальном положении, а после кормления некоторое время подержать малыша горизонтально, чтобы тот смог срыгнуть.
В большинстве случаев при лечении серозного отита назначаются такие медикаменты, как:
- Блокаторы гистамина – эти препараты пользуются популярностью, если человек имеет аллергические реакции.
- Кортикостероиды.
- Сосудосуживающие – они используются для закапывания носовых ходов.
- Противомикробные лекарства, очень часто они идут в виде раствора, чтобы вводить внутримышечно.
- Медикаменты, направленные на устранение отечности слизистой, а также на восстановление работы евстахиевых труб.
Как и при других заболеваниях, дозировка и длительность использования препарата назначается исключительно специалистом. Все зависит от того, насколько запущено заболевание и как протекает патологический процесс.
Иногда встречаются очень запущенные ситуации, при которых консервативный метод лечения абсолютно бесполезен. Тогда требуется оперативное вмешательство, которое поможет избавиться больному от серозного отита.
Если замечается рост и обострение аденоидов, то это означает, что в барабанной перепонке происходит расстройство компрессии, от чего нарушается и работа слуховых каналов. В этом варианте проводится удаление воспаленных аденоидов.
Также можно провести и катетеризацию слуховых каналов, что приведет к нормализации уровня компрессии барабанных перепонок. После проведенной процедуры уровень слуха значительно улучшается, и нормализуется работа евстахиевых труб.
Сам специалист решает, как надо проводить оперативное вмешательство, при этом обязательно учитывается тяжесть заболевания у пациента.
У новорожденных деток такое заболевание, как серозный отит, может как быстро развиться, так и быстро излечиться, главное — вовремя начать терапию. Если этого не сделать, то последствия могут быть необратимыми, ребенок получит тугоухость, что скажется также и на развитие речевого аппарата.
Для детей дошкольного и школьного возраста также следует вовремя начат лечение, чтобы в дальнейшем не спровоцировать тугоухость, которую после вылечить уже будет фактически невозможно.
Для взрослых людей прогноз на абсолютное выздоровление более благоприятный, даже если проводилось хирургическое вмешательство.
Источник: https://FB.ru/article/371583/seroznyiy-otit-prichinyi-simptomyi-diagnostika-i-lechenie
Поделиться:









![Острый средний отит (Отит среднего уха)👂 | ЛОР [2019]✅](https://i.ytimg.com/vi/gv7P1iQ1TjU/maxresdefault.jpg)

