Болезнь ребенка доставляет маме множество хлопот и переживаний, но иногда бывает недостаточно поставить диагноз и проводить лечение. Малышам трудно находиться дома, они становятся капризными и просятся гулять на улицу.
В случае офтальмологических заболеваний родители часто спрашивают мнение врача относительно целесообразности постельного режима или нахождения дома. В этой статье мы расскажем о том, можно ли гулять при коньюктивите у ребенка, в каких случаях прогулки допускаются и когда этого категорически нельзя делать
Развитие конъюнктивита начинается вследствие воздействия на организм вирусов, бактерий или аллергенов. Заболевание представляет собой воспаление конъюнктивы, которое иногда наблюдается после переохлаждения человека, при слабом иммунитете, инфицировании стафилококком или стрептококками, после контакта с грибками.
Болезнь передается воздушно-капельным путем (если возбудителем является аденовирус), при взаимодейтствии с аллергенами или инфицированными вещами (игрушки, одежда, канцелярские предметы и др.). Заражение новорожденных детей может произойти от больной матери во время прохождения по родовым путям (герпетический конъюнктивит, заражение хламидиями).
| В больших коллективах (крупные предприятия, детские сады, школы) заболевание принимает характер эпидемии, иногда наблюдаются сезонные вспышки, при которых провоцирующим фактором является большое количество людей и ослабленный иммунитет в определенные месяцы года. |
Недуг развивается при длительном воздействии химикатов и ультрафиолета на глаза, может появиться вследствие некорректного использования контактных линз. Высокая контагиозность заболевания характерна только для конъюнктивита бактериальной и вирусной этиологии. Если у человека наблюдается аллергический тип болезни, заразиться от него нельзя.
Решить вопрос о возможности прогулок можно только после определения типа заболевания и оценки состояния пациента. В некоторых случаях ребенок не может выходить на улицу в связи с назначенной схемой лечения, необходимостью промывания глаз и выполнения дополнительных процедур.
Иногда плохое самочувствие и ярко выраженная симптоматика не позволяют малышу выйти на свежий воздух. При заражении вирусами или бактериями ребенок должен находиться дома, чтобы не заразить других детей или взрослых. В любом случае, решение принимается после установления диагноза специалистом и при условии соблюдения всех его рекомендаций
Воспаление конъюнктивы может сопровождаться разными признаками, зависящими от этиологии заболевания. Характер болезни определяет не только проявляющиеся симптомы, но и их выраженность. Рассмотрим клиническую картину разных форм коньюктивита:
Для бактериального конъюнктивита характерны многочисленные признаки, доставляющие ребенку неприятные ощущения и плохое самочувствие. У маленьких детей повышается температура, отекают веки и щечки.
Поражаются два глаза, отмечается гиперемия слизистой и светобоязнь, со временем начинается слезотечение и сильные выделения из органов зрения по утрам.
Для лечения офтальмолог обычно выписывает капли и мази с антибиотиками («Флоксал», «Тобрекс», «Ципрофлоксацин», «Альбуцид», Тетрациклиновую и Эритромициновую мази)
ОРВИ может сопровождаться вирусным коньюктивитом, при этом у ребенка регистрируется высокая температура, наблюдаются катаральные явления, постоянное слезотечение и покраснение слизистой. В начале болезни поражается обычно один глаз, но постепенно вирус переходит на оба зрительных органа.
https://youtube.com/watch?v=dXyi9CTeXpA
При аденовирусном заболевании отекают веки, появляется раздражение слизистой, выделяется прозрачная слизь из глаз. Для герпетического конъюнктивита характерно образование маленьких пузырьков на веках. При фолликулярной форме появляются эрозии и небольшие язвочки, пациенты не могут смотреть на яркий свет.
Катаральная форма отличается легким течением болезни с менее выраженной симптоматикой. Для лечения применяются такие препараты как «Теброфен», «Актипол», «Полудан», «Офтан Иду», «Зовиракс» и др.
Аллергический коньюктивит развивается под воздействием на организм человека химических веществ, шерсти животных, пыльцы растений и продуктов питания. Он может носить сезонный или круглогодичный характер. У некоторых деток отмечаются вспышки заболевания весной.
Симптомы затрагивают обычно два глаза, но иногда покраснение заметнее в одном. Наблюдаются жидкие выделения и гиперемия склеры. Для весеннего конъюнктивита характерна густая слизь, изменения в роговице и снижение зрения у пациента. Лечение проводится с помощью «Опатанола», «Аллергодила», «Кромогексала» и др.
Ребенку можно промывать глазки марганцевым раствором, ромашкой, крепким черным чаем, теплой водой с фурацилином. При острой форме заболевания такие процедуры нужно проводить каждые два часа, поэтому не стоит думать о променадах на улице.
Перед тем как выходить на прогулку, маме ребенка нужно обратить внимание на погодные условия и самочувствие малыша. Квалифицированные специалисты всегда дают родителям такие полезные советы:
- Плохие погодные условия – повод остаться дома. Сильный холод вызывает слезотечение и дополнительное раздражение глаз. В жаркие дни происходит обильное потоотделение, при этом соленая жидкость может попасть на слизистую и вызвать болезненное жжение. Во время сильного ветра в глаза может попасть пыль, соринки или песок. Нельзя гулять в дождливую и снежную погоду, негативное влияние на зрительные органы окажет туман и мороз.
- С грудными детьми лучше всего гулять во время послеобеденного сна. Малыша можно покатать в коляске, при этом закрытые глазки будут защищены от яркого света и пыли. Деткам постарше можно гулять в любое время, но не долго. Для того чтобы не допустить перенапряжения глаз, ребенку нельзя позволять гулять поздно вечером. Свет от фонарей или проезжающих мимо машин может вызвать болезненные ощущения и слезы
- Непродолжительные прогулки лучше всего совершать в парках и скверах, подальше от мест с сильной загазованностью. Грязный воздух и выхлопные газы окажут негативное воздействие на пораженные глазки и усугубят ситуацию.
- При аллергической форме болезни прогулки могут оказать отрицательное влияние, если организм реагирует на пыльцу или тополиный пух. В этом случае лучше отказаться от прогулок на некоторое время. В одежде исключаются шерстяные кофты, шарфы и шапочки.
Невозможно дать однозначный ответ на этот вопрос. Врач дает предписания и назначает определенную схему лечения для каждого пациента. Основными факторами, влияющими на решение о прогулках, являются тип конъюнктивита и самочувствие ребенка:
- У детейдо 1 года бактериальный конъюнктивит вызывает высокую температуру, отеки век и сильные выделения из глаз. Гулять в таком состоянии нельзя. Малыша нужно показать окулисту и ответственно отнестись к его рекомендациям.
- Острая форма конъюнктивита характеризуется выраженной симптоматикой. Ребенок чувствует дискомфорт и недомогание, становится капризным и раздражительным, но обычно не просится гулять. Делать этого не нужно, чтобы не допустить чрезмерных нагрузок на ослабленный организм.
- Бактериальная и вирусная формы отличаются высокой контагиозностью, поэтому нельзя подвергать окружающих людей риску и допускать их заражения. Лечение следует проводить дома, при этом у ребенка нужно часто менять постельное белье и полотенца.
| Категорически запрещается гулять при герпетическом типе заболевания. Эта форма часто вызывает осложнения, поэтому при обнаружении маленьких пузырьков на веках малыша нужно немедленно отвезти к офтальмологу. |
- Симптомы гнойного конъюнктивита выражаются интенсивно, возникают такие осложнения как абсцесс мозга, частичная потеря зрения или слепота, язвы роговицы и деформации век. Лечение необходимо начинать незамедлительно. При соблюдении рекомендаций врача заболевание можно вылечить за несколько дней, поэтому в течение этого времени ребенку лучше находиться дома.
- Если причиной заболевания являются аллергены, малышу нужно избегать контактов с ними. В этом случае повторное соприкосновение с тополиным пухом или пыльцой вызовет рецидив или усугубит еще не вылеченный конъюнктивит. Лучше оставаться дома в течение некоторого времени или избегать озелененных участков, парков и скверов с клумбами.
- Можно гулять с малышом, у которого симптомы слабо выражены. Если ребенок чувствует себя хорошо, кушает с аппетитом и не капризничает, прогулка пойдет ему на пользу.
- В том случае, если состояние пациента ухудшилось после двух дней заболевания, прогулки нужно отменить и пройти консультацию у офтальмолога.
Этиология конъюнктивита может быть разнообразной, в отдельных случаях клиническая картина сильно отличается. Терапию определяет офтальмолог, при некоторых обстоятельствах требуется постельный режим, применение специфических препаратов и отдых.
При легких формах ребенок может выходить на прогулки при условии соблюдения осторожности и отсутствии контакта с другими детьми. Оценить состояние пациента должен специалист, а любящим родителям нужно помнить о подходящих погодных условиях, оптимальном месте и времени для прогулок.
Источник: https://zdorovoeoko.ru/bolezni/mozhno-li-pri-konyunktivite-gulyat-na-ulitse/
Конъюнктивит – это самое распространенное заболевание глаз у взрослых и детей. Обычно воспаление легко лечится и проходит за несколько дней, но для этого нужно выполнять все рекомендации врача.
Особенно важно знать, можно ли гулять при конъюнктивите у детей, как это делать правильно и когда лучше остаться дома. В зависимости от причины и тяжести заболевания прогулка может привести к осложнениям.
Кроме того, эта патология часто имеет инфекционную природу, поэтому больной ребенок может представлять опасность для окружающих.
Конъюнктивит – это воспалительное заболевание глаз. Поражается конъюнктива – слизистая оболочка внутренней поверхности век. Она служит для смачивания глазного яблока, для защиты его от неблагоприятных внешних факторов. Но если на нее попадает инфекция или раздражители, она воспаляется.
Распространено это заболевание в основном у детей, так как они часто трут глаза грязными руками. А защитные силы не могут нейтрализовать попавшие на слизистую бактерии. Из-за слабости иммунитета он может развиться даже после обычной простуды.
В зависимости от причины возникновения выделяют несколько видов конъюнктивита:
- бактериальный возникает из-за попадания в глаза грязи, песка, из-за того, что ребенок трет их руками, вытирает грязным платком;
- вирусный вызывается вирусами герпеса, аденовирусом, риновирусами, передается воздушно-капельным путем;
- грибковый развивается при сниженном иммунитете;
- аллергический возникает при воздействии на слизистую пуха, пыльцы или других аллергенов.
Болезнь может протекать в тяжелой или легкой форме, иногда она сопровождается только небольшим покраснением глаз. Но даже в этом случае не всегда можно гулять с малышом. Нужно учитывать погодные условия, наличие ветра, пыли, осадков или аллергенов. Эти факторы могут вызвать ухудшение состояния больного.
Только аллергический конъюнктивит проявляется практически сразу, как возбудитель попадает на слизистую оболочку глаза. При бактериальной и вирусной форме обычно проходит 5-10 дней до появления первых симптомов. При любой своей форме болезнь у ребенка проявляется такими признаками:
- покраснение глаз;
- слезотечение;
- светобоязнь;
- отек век;
- зуд.
При бактериальном конъюнктивите появляются также признаки гнойного воспаления. Гной скапливается в уголках глаз, на ресницах. Особенно его много по утрам, ребенку даже сложно открыть глаза. Иногда поднимается температура.
Вирусная форма заболевания сопровождается насморком, кашлем, чиханием. Поднимается температура, появляется головная боль. Если причиной стал вирус герпеса, заметны пузырьковые высыпания на веках, на губах. Аллергический конъюнктивит всегда сопровождается жжением и сильным зудом. Возникает слезотечение, насморк, чихание. Если тереть глаза, они краснеют, начинают болеть.
Вопрос о том, можно ли гулять с ребенком при этом заболевании, нужно решать индивидуально, в зависимости от состояния больного.
Конечно, нельзя выходить на улицу при температуре, головной боли, сильном насморке. С аллергическим конъюнктивитом не рекомендуется гулять при ветре и в местах скопления растений.
Кроме того, нельзя уходить из дома надолго, так как необходимо часто промывать глаза, капать препараты.
Гулять разрешается только в том случае, если у ребенка нет температуры, слабости. Желательно подождать несколько дней, пока состояние его улучшится.
Для прогулок лучше выбирать тихое спокойное место вдали от пыльных дорог. При любой форме заболевания, кроме аллергической, лучше всего гулять в парке, сквере или лесу.
Рекомендуется выходить на улицу утром или вечером, когда нет яркого солнечного света. Но поздно вечером гулять не стоит, ребенок устанет и глаза будут сильнее слезиться. Малышей лучше вывозить в коляске во время тихого часа.
При конъюнктивите необходимо защищать глаза от любых раздражающих воздействий. Поэтому, собираясь на прогулку, нужно посмотреть на погоду. Нельзя выходить, если идет дождь, даже несильный.
Противопоказан больному ребенку ветер, так как он разносит пыль, пыльцу растений, мелкий мусор. И последнее, чего стоит избегать, это солнечный свет. Поэтому гулять рекомендуется только в тихую погоду, желательно пасмурную.
Особенно сложно воздержаться от прогулок летом. Когда тепло и хорошая погода, даже больные дети просятся на улицу. А конъюнктивит редко приводит к сильному ухудшению общего состояния. Поэтому удержать ребенка летом дома сложно. Но во время прогулки нужно учитывать воздействие неблагоприятных факторов, которые могут навредить воспаленным глазам:
- яркий солнечный свет вызывает раздражение, слезотечение, может приводить к усилению воспаления;
- даже в пасмурный летний день может быть жарко, при этом нужно следить, чтобы ребенок не потел, так как пот, попадая в глаза, вызовет усиление зуда;
- нежелательно гулять при сильном ветре, так как он может занести в глаза малышу пыль, песок или пыльцу.
Зимой более благоприятные условия для прогулок. Главное, беречь глаза от солнечного света, так как отражаясь от снега, он может быть даже ярче, чем летом. Недопустимо также переохлаждаться.
Поэтому рекомендуется гулять при температуре не ниже -100. Мороз приводит к слезотечению и загустению гноя.
А при вирусном конъюнктивите переохлаждение приведет к усилению насморка и появлению новых высыпаний.
Выходя на прогулку, нужно одеть ребенка по сезону. Не рекомендуется кутать его, но шапка и шарф в холодную погоду обязательны. Желательно надеть шапочку с козырьком, которая поможет защитить глаза от света, ветра и осадков.
Летом обязательно панама. А при ярком солнце или совсем не гулять, или надеть ребенку темные очки, так как при конъюнктивите глаза очень чувствительны к свету.
Если заболевание вызвано аллергией, нежелательно надевать шерстяные вещи или одежду из синтетических материалов, которые могут вызвать усиление раздражения.
Перед тем, как принять решение, гулять или нет с ребенком, нужно учесть разновидность заболевания.
- При бактериальном конъюнктивите можно выходить на улицу только через несколько дней, когда состояние ребенка улучшится. При этом нужно следить, чтобы не было ветра или дождя, чтобы малыш не тер глаза руками. Если он гуляет на детской площадке, желательно ограничить его общение с другими детьми. Он может их заразить, кроме того, они случайно могут попасть ему в глаз песком, мячом или рукой.
- Вирусный конъюнктивит очень заразен, поэтому гулять можно только отдельно от других детей. Если у малыша нет сильного слезотечения, насморка и зуда, с ним нужно пройтись по тихим улицам, сходить в парк. Главное следить, чтобы глаза не подвергались воздействию солнечного света, ветра, дождя.
- Если конъюнктивит аллергический, гулять можно только вдали от мест скопления растений. Вызвать заболевание может пыльца одуванчиков, плодовых деревьев, тополиный пух, поэтому весной больному небезопасно даже в городе. Лучше не выходить на улицу, если у ребенка зуд, так как расчесывая глаза, он может занести инфекцию.
Прогулки на свежем воздухе полезны для здоровья. Но при конъюнктивите они могут принести вред и ухудшение состояния ребенка. Врачи не рекомендуют выводить малыша на улицу, если у него бактериальный конъюнктивит, поразивший оба глаза.
Обычно при этом возникает сильное слезотечение, зуд, отек. Выделяющийся гной склеивает ресницы, поэтому их нужно часто промывать. Любая пыль или песок, попавшие в глаза, усиливают симптомы.
Врачи не рекомендуют также гулять при вирусном конъюнктивите, который является заразным. Ребенка нужно изолировать от других детей, так как передается заболевание воздушно-капельным путем. А если патология возникает из-за воздействия цветочной пыльцы или пуха растений, на улицу выходить противопоказано.
Также при любой форме заболевания есть случаи, когда врачи не рекомендуют гулять с ребенком:
- светит яркое солнце, к которому очень чувствительны глаза больного;
- дует сильный ветер, он может занести в глаза пыль и песок;
- идет дождь или снег;
- температура воздуха ниже -100.
Если не соблюдать рекомендации врача и выводить больного ребенка на улицу, возможно развитие осложнений. Легкая вирусная или аллергическая форма может осложниться бактериальной инфекцией.
Из-за того, что ребенок трет глаза, она распространяется на другие ткани. Развивается кератит, увеит, блефарит. Такие патологии могут привести к потере зрения.
Детские врачи рекомендуют после начала заболевания подержать ребенка дома пару дней. Если ухудшения состояния не наблюдается, с ним можно выходить на прогулку. Главное, оберегать глаза от солнца, ветра, пыли и осадков. Кроме того, при бактериальной и вирусной форме нужно ограничивать общение больного с другими людьми.
Если конъюнктивит аллергический, врачи рекомендуют избегать воздействия аллергенов. Обычно такую реакцию вызывает какой-нибудь один фактор: пыльца, пыль, автомобильные выхлопы. Поэтому гулять нужно там, где нет этих аллергенов.
Врачи рекомендуют приучать ребенка не тереть глаза, соблюдать правила гигиены. У малыша должно быть свое полотенце. Нельзя ему долго смотреть телевизор, сидеть перед компьютером, играть в телефон. Это приводит к перенапряжению глаз, снижает их защитные функции.
о конъюнктивитах у детей:
Выделите ее и нажмите Ctrl+Enter, чтобы сообщить нам.
Источник: https://glaza.online/zabol/kon/mozhno-li-gulyat-pri-konyunktivite-u-detej.html
Постоянное времяпрепровождение в стенах дома на пользу детскому организму не пойдет, но при коньюктивите ситуация складывается совершенно по-другому. Можно ли гулять при конъюнктивите глаз у детей? Родители часто обращаются к врачу с подобным вопросом.
Однозначного ответа дать нельзя. Все будет зависеть от того, насколько тяжело протекает болезнь, как малыш себя чувствует, что послужило причиной недуга. Имеет значение даже время года. Мало того, недуг заразный, и от контактов с другими детьми лучше отказаться.
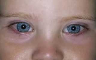
Когда у ребенка глаз стал красным, текут слезы, наблюдается выделение клейкого непрозрачного секрета, вероятнее всего, имеет место конъюнктивит острой формы. Малыш страдает от рези и дискомфорта.
Обычно болезнь вызывается патогенными микробами (стрептококками, стафилококками), бактериями. Не стоит оставлять без внимания и физические факторы. Из-за грязной воды, сухого воздуха, слишком яркого света глаз также может оказаться пораженным.
Затяжное течение присутствует у недуга, который возник по причине простуды.
Коньюктивит имеет разные формы:
- Бактериальная. Наблюдается часто поражение обоих глаз. Слизь выделяется в большом количестве.
- Вирусная. Обычно больным оказывается один глаз. Явные признаки – слезливость, слабые выделения.
- Аллергическая. От цветочной пыльцы, пыли, запахов может проявляться реакция в виде покраснения, сильного зуда, гнойных выделений.
Конъюнктивит первых двух видов отличается тем, что передается здоровым людям.
Таким образом, ребенку понадобится придерживаться строгих гигиенических правил:
- вытираться личным полотенцем;
- мыть руки регулярно;
- каждый день пользоваться чистым бельем и полотенцами;
- отложить посещение детского сада.
Конъюнктивит у детей лечить бывает достаточно сложно, поскольку малышам хочется тереть глаза. И запреты на них не подействуют. Мама ежедневно и по нескольку раз должна пользоваться настоями ромашки и календулы для промывания глаз.
Конечно, лечение при коньюктивите будет успешным, если родители вовремя покажут ребенка врачу. Терапия будет комплексной. После определения причины специалист подберет препараты с антибактериальным, противовирусным, антигрибковым или антипаразитическим действием.
Родители должны следовать врачебным рекомендациям, и тогда коньюктивит отступит без каких-либо осложнений:
- Как только конъюнктивит у детей заявил о себе, можно воспользоваться ромашковым настоем, чтобы через каждые 2 часа проводить промывание. Неважно, если воспалился только один глаз. Оба органа зрения нуждаются в процедуре. Когда состояние ребенка улучшится, можно промывать реже. В данном случае эффективным средством окажется «Фурацилин». Его часто назначают детям, поскольку их организм хорошо его переносит. Но иногда из-за возникновения дерматита раствор отменяется. Во время процедуры двигаться следует по направлению к внутреннему уголку глаз, иначе инфекция распространиться еще больше.
- Малышу с коньюктивитом нельзя накладывать повязку. С ней микробы будут размножаться сильнее, а пораженные веки окажутся травмированными.
- Проводя лечение, необходимо пользоваться лишь теми лекарственными средствами, которые прописал офтальмолог. В результате самолечения можно ожидать самых непредсказуемых последствий. Зачастую конъюнктивит устраняют при помощи «Витабакта», «Колбиоцина», «Фуцитальмика». Капли с дезинфицирующим свойством применяются через каждые 3 часа.
- Лечение недуга будет результативным, если одновременно пользоваться каплями для глаз и мазью. Что касается последней, то можно брать тетрациклиновую либо эритромициновую. Насколько длительным получится лечение, зависит от самочувствия малыша и от того, как воспаление протекает. Если названными мазями слишком долго пользоваться, состояние наоборот ухудшится.
- При коньюктивите обязательно следует учитывать его происхождение. Вирусную форму антибактериальными средствами нельзя победить. А если воспаление имеет аллергический характер, то необходимо, в первую очередь, устранить негативное влияние аллергена. Потом по необходимости конъюнктивит можно лечить препаратами с антигистаминным и мембраностабилизирующим действием.
Лечение усложняется наличием любого раздражения глазных органов. Кроме того, оно способно вызывать болевой дискомфорт.
Поэтому когда родители собираются вести детей гулять, они должны стараться максимально избегать влияния отрицательных факторов:
- Опасно гулять при слишком ярком и прямом солнечном свете. Если у малыша конъюнктивит, лучше воздержаться от прогулок в зимнее время, когда лучи отражаются от поверхности земли, покрытой снегом и льдом.
- Не избежать раздражения при ветре. Мало того, глаз может засориться песком или грязью, либо в него попадет какое-нибудь инородное тело очень маленького размера.
- Не стоит идти гулять с малышом, у которого возник коньюктивит, если на улице осадки. В противном случае, с водой или снегом в глазки попадет грязь.
- Гулять зимой в сильный мороз – большая ошибка. Подобные погодные условия приведут к слезоотделению, а гнойные выделения загустеют. В результате, протоки окажутся забитым гноем, что обернется образованием фурункулов.
- Авитаминоз – частое явление с приходом весны. Поэтому от прогулок также лучше воздержаться, чтобы не спровоцировать более серьезных заболеваний.
Выходить на прогулку, конечно, можно.
Самых маленьких детей стоит выводить на свежий воздух во время дневного сна, при этом не следует забывать о защите от солнечных лучей. Детей постарше разрешается брать с собой на улицу в послеобеденное время.
Поздно вечером лучше оставаться дома, поскольку тогда уже присутствует усталость зрительных органов. Жаркие летние дни тоже стоит пропустить.
Что касается мест для прогулок, то можно пройтись по парку, парковой зоне, лесу, улице, где практически нет людей. Если город слишком большой, можно выйти во внутренний дворик или поиграть на детской площадке.
Важно правильно подбирать и одежду. Необходимо ориентироваться по сезону. Когда жарко, кофта будет лишней, а зимой следует хорошо утепляться. Не обойтись без важных атрибутов: шарфа и головного убора, желательно с козырьком.
Родителям на заметку: когда конъюнктивит имеет аллергическую этиологию, от шерстяных вещей полностью придется отказаться.
Лечебный процесс при коньюктивите зачастую бывает непростым и длительным.
Естественно, ходить гулять разрешается, главное, чтобы прогулки не навредили малышу. Взрослые не должны игнорировать любые признаки болезни, из-за которых тем более на улицу показываться нельзя. Речь идет о высокой температуре, кашле, ознобе, чихании.
Важно также найти хорошего специалиста, который составит правильную схему лечения. Если подход к терапии окажется неверным, ситуация обернется тяжелыми осложнениями. Во всяком случае, к врачу следует обращаться незамедлительно, как только начальные проявления заявят о себе.
Источник: https://ozrenii.ru/konyunktivit/mozhno-li-gulyat-pri-konyunktivite.html
Конъюнктивит – это заболевание глаз, развивающееся у лиц разных возрастных категорий преимущественно зимой, весной и осенью.
У детей конъюнктивит диагностируется чаще, поэтому родителей тревожат такие вопросы: как помочь ребёнку справиться с болезнью, какие условия станут наиболее комфортными в этот период, можно ли гулять при конъюнктивите у детей.
Чтобы на них ответить, следует для начала подробнее разобраться в природе данного явления.
Неприятные симптомы, которые появляются при конъюнктивите, испытали хотя бы раз в жизни многие. Отёчность век, покраснение глаз, слезоточивость, светобоязнь – основные проявления болезни. Вроде бы всё знакомо и понятно, но без посещения специалиста не обойтись, так как подобные симптомы могут сопровождать и другие офтальмологические патологии.
При конъюнктивите очень важно определить природу возникновения заболевания. При разных формах патологии симптомы несколько отличаются. Например, при аллергическом конъюнктивите, помимо вышеперечисленных проявлений, могут возникнуть и другие. Ребёнок может ощущать дополнительный дискомфорт в виде зуда и жжения в области поражения, кашля, гипертермии и насморка.
При вирусной форме чаще поражению подвергается только один глаз (при бактериальной форме, как правило, страдают оба глаза). Другие особенности течения вирусного конъюнктивита: увеличение лимфатических узлов, распространение инфекции на роговицу.
Лечение бактериального конъюнктивита осуществляется при помощи антибактериальных лекарственных средств; вирусного – с помощью препаратов, устраняющих вирус, вызвавший болезнь; аллергического – при помощи антигистаминных препаратов. Поэтому быстро и грамотно помочь ребёнку может только врач.
При ОРВИ ребёнок может выходить на прогулку, если он активен, бодро переносит болезнь и отсутствует гипертермия. Эта рекомендация известна практически каждому родителю. Но как обстоит дело с конъюнктивитом? В каких случаях можно и даже нужно выходить на улицу, а в каких лучше остаться дома?
Погода именно при этом заболевании играет важную роль при принятии решения о прогулках. Естественно, ребёнок может выйти на улицу, только если у него не повышена температура и достаточно сил и энергии. Общее состояние должно быть удовлетворительным.
По рекомендациям специалистов совершать прогулку можно, если на улице:
- спокойная, не ветреная погода (во избежание попадания в глаза чужеродных частиц: песка, пыли и др.);
- не идёт дождь и снег;
- не слишком жарко (в жару ребёнок потеет и попадание солёной жидкости в глаза и область вокруг них вызывает зуд и жжение);
- не слишком холодно (мороз может вызвать слезотечение и загустение гнойного экссудата);
- не яркое палящее солнце и не кромешная темнота (в таких условиях глаза ребёнка напряжены, что крайне нежелательно при конъюнктивите).
С грудничками летом лучше всего выходить на улицу утром или вечером. Особенно хорошо, если ребёнок в этот момент спит. Место, где будет проходить прогулка, также имеет значение.
Детям с вирусным и бактериальным конъюнктивитом следует играть изолированно от других детей, чтобы не подвергать их риску заражения. Поэтому от детских площадок в период болезни следует отказаться.
Идеальное место для прогулки и игр – сквер, парк, аллеи.
Ребёнок должен быть одет по погоде. Он не должен потеть и ему не должно быть холодно. Это основное правило, которое должны усвоить родители, собираясь на прогулку в любое время года.
Перед тем как решиться на прогулку, следует принять во внимание ряд факторов: стадию болезни, этиологию заболевания, сезон и погодные условия, самочувствие ребёнка.
Если у ребёнка озноб, ему плохо, у него повышена температура, то ни о какой прогулке не может быть и речи. Его нужно обеспечить комфортными условиями.
Устранить яркий свет в комнате, проводить процедуры по времени (закапывать глаза, делать примочки и др.), оградить от негативных эмоций, давать достаточное количество жидкости и развлекать.
Всё, что требуется от родителей при таком состоянии, это забота.
Также очень важно учитывать природу возникновения конъюнктивита.
Если болезнь возникла в результате аллергической реакции на пыльцу, цветение и другие факторы, от которых на прогулке ситуация может только усугубиться, то конечно же в этот период лучше остаться дома.
Не стоит выходить на улицу, если не удастся избежать контакта с другими детьми. В таком случае изолированный от детской компании ребёнок будет ощущать постоянный дискомфорт и никакой пользы от прогулки не получит.
Чтобы предотвратить развитие конъюнктивита, необходимо укреплять иммунитет ребёнка. Он должен правильно питаться, находиться достаточное количество времени на свежем воздухе, делать зарядку. Также очень важно следить за тем, чтобы ребёнок придерживался правил личной гигиены (постоянно мыл руки после улицы и перед едой).
Особенную роль играет своевременное реагирование родителей на заболевания. Конъюнктивит, особенно у грудничков, должен лечиться с первых дней проявления симптомов. Это же касается и респираторных заболеваний, так как даже запущенная форма ринита может спровоцировать развитие конъюнктивита и других не менее сложных для ребёнка заболеваний.
Источник: https://oculistic.ru/bolezni/konyunktivit/mozhno-li-detyam-pri-konyunktivite-gulyat-na-ulitse
Многие люди интересуются, можно ли гулять при конъюнктивите. Ответ на вопрос неоднозначный. Все зависит от вида патологии, степени выраженности симптомов, погоды и самочувствия человека.
При конъюнктивите возникают специфические симптомы, а именно:
- дискомфортное ощущение в зоне глаз – жжение, зуд, боли;
- повышенная чувствительность к яркому свету;
- отек органов зрения;
- розоватый оттенок оболочки;
- припухлость век;
- выделение слизистого и гнойного экссудата.
Если все вышеупомянутые явления присутствуют, необходимо отказаться от прогулок. Дискомфортные симптомы сопровождают любую форму болезни, но они разнятся между собой:
- вирусный – чесание, жжение, слезотечение, покраснение, отекание конъюнктивы, выделения слизи, высыпания фолликулов на нижней складке;
- бактериальный – боль и склеивание ресниц, светобоязнь, слезотечение, конъюнктива приобретает красный оттенок с кровянистыми прожилками;
- эпидемический геморрагический – кровоизлияния во всей полости глаза;
- аллергический – слезотечение, чесание, отек, светобоязнь.
Хламидийный конъюнктивит сопровождается бессимптомно, иногда отмечается покраснение глаз, светобоязнь, слезотечение. Через 3-5 дней после начала болезни, развивается патология лимфатических узлов в зоне ушных раковин. Можно ли выходить на улицу при конъюнктивите будет известно после диагностики.
Каждый вид глазной патологии развивается из-за воздействия разных причин. Факторы, влекущие за собой появление воспаления.
- Проникновение в органы зрения стафилококков, гонококков, стрептококков, вирусов или хламидий. Патогенные микроорганизмы попадают в глаз при его трении грязными руками, купании в загрязненных водоемах, использовании просроченной туши, карандашей, теней. Также возбудители могут проникнуть в орган зрения через кровь – при инфекционных болезнях (корь, ОРВИ, ветряная оспа).
- Аллергический тип возникает в качестве ответной реакции организма на раздражители.
- Заражение хламидийным видом происходит через воду при посещении бассейнов, саун, иногда болезнь принимает характер эпидемических вспышек.
Общие причины:
- регулярное воздействие раздражителей: пыли, дыма, химикатов;
- влияние ультрафиолетовых лучей;
- чрезмерная восприимчивость к определенным медикаментам;
- не соблюдение правил пользования линзами;
- переохлаждение;
- близорукость;
- астигматизм;
- дальнозоркость;
- нехватка витаминов.
Однозначного ответа на вопрос, можно ли выходить на улицу при конъюнктивите, нет. Все зависит от типа болезни, и еще ряда факторов, которые мы сейчас рассмотрим.
- Общее состояние – если заболевание развилось на фоне ОРВИ, отмечаются клинические проявления болезни, гулять на улице не стоит.
- Если речь идет об аллергическом конъюнктивите, то на улице больной столкнется с новой дозой аллергенов. Тогда прогулка только усугубит ситуацию.
- Пора года и погодные условия. Человеческий глаз чувствителен к раздражителям – ветру, солнцу, пыли, холоду. А при воспалении восприимчивость возрастает. В условиях экстремальной погоды лучше не выходить гулять. В жаркое время соленый пот способен проникнуть в глаза и спровоцировать дополнительное раздражение, усилить выделения. Во время ветра слизистая пересыхает, в орган зрения может попасть какой-либо мусор, пыль. На сильном холоде глаз переохлаждается, болезнь усугубляется.
- Место для гуляний лучше выбирать без наличия раздражающих факторов: пыли, выхлопных газов от машин. Рекомендуется дышать свежим воздухом в парке, городском лесу, сквере. Места, полные растительности, защитят от чрезмерного солнца или ветра.
Дети чаще сталкиваются с различными болезнями по причине несовершенности защитных функций организма. Клинические признаки любых заболеваний ощущаются более интенсивно, чем у взрослых, то же касается и конъюнктивита. Перед тем как выйти с ребенком на прогулку, стоит учитывать нижеприведенные факторы.
- Дети постарше заражаются через попадание на слизистую глаза болезнетворных агентов. Чаще всего они переходят от немытых рук, при пользовании общими предметами быта. Совместные времяпровождения приводят к тому, что больной ребенок заражает другого. Следует это учитывать перед тем, как выводить его на улицу.
- Если поражение конъюнктивы развилось из-за респираторной вирусной, бактериальной инфекции, гулять на улице не рекомендуется. Эти формы болезни наиболее заразны, особенно опасно гулять на острой фазе патологии. При аллергическом воспалении выходить проветриться можно. Все зависит от самочувствия, наличия сопутствующей болезни в виде простуды, ОРВИ.
- Когда у ребенка установлен диагноз «конъюнктивит», можно ли гулять на улице зимой? Нет, этого делать не стоит. Выходить гулять с больным в мороз опасно переохлаждением глаз, усугублению течения патологии. В жаркое время года, на слизистые зрительных органов оказывается действие солнца, ребенок может потереть их грязными руками. Инфекционные агенты размножаются быстрее под воздействием высоких температур.
Когда болезнь не причиняет дискомфорта малышу, не стоит ограждать его от пребывания на свежем воздухе. Если заболевание сопровождается только покраснением глаз, можно гулять. Не следует допускать контакта с другими детьми при бактериальной или вирусной форме. Когда заболевание глаз аллергической природы, стоит прогуливаться с ребенком в месте, наиболее безопасном в плане наличия аллергенов.
Читайте в отдельной статье: Катаральный конъюнктивит: симптомы и лечение
При грамотной и своевременной терапии, воспаление конъюнктивы устраняется через 5-10 суток, хроническая форма – за 4-5 недель. Лечебная схема зависит от конкретного вида болезни.
Лечение болезни разных типов у взрослых.
- Бактериальный конъюнктивит в острой форме устраняют каплями (Альбуцид 30% и левомецитин 0,25%), закладыванием мази (тетрациклин 1%). Перед тем, как капать лекарство, нужно промыть зрительные органы антисептическим раствором. Подойдет отвар ромашки, чайная заварка.
- Вирусный тип лечится Интерфероном в виде капель, противовирусными мазями – Флореналь, Бонафтон, Теброфен, Оксолин. Используют средства 3-4 раза в день.
- Конъюнктивит аллергической этиологии устраняется с помощью антигистаминных средств для перорального приема – Цетрин, Зиртек, Кларитин. Капли из ряда мембраностабилизирующих
- При конъюнктивите бактериальной природы из глаз выделяется гной, веки слипаются, тяжело их приподнять. Чтобы смягчить затвердевший экссудат, следует промыть их теплым ромашковым настоем.
Терапевтическая схема борьбы с заболеванием глаз у детей.
- При вирусном или бактериальном виде, капают в глаза Альбуцид вне зависимости от возраста ребенка. Каждые 2 часа промывать их ромашковым или фурацилиновым раствором. Мазать зрительные органы тетрациклиновой, эритромициновой мазью.
- При аллергическом типе болезни прибегают к противоаллергенным средствам – Зодак, Зиртек.
Превентивные меры помогут предотвратить развитие глазной патологии, если следовать им регулярно.
- Не касаться грязными руками глаз. После каждого прихода домой с улицы, тщательно их мыть (руки).
- Избегать общения с больными вирусным и бактериальным видами недуга.
- Каждый член семьи должен пользоваться своими личными предметами гигиены.
- Косметика должна быть у каждой женщины своя, заимствовать у знакомых нельзя.
Источник: https://GlazaLik.ru/bolezni-glaz/konyunktivit/mozhno-li-gulyat/
Поделиться:











