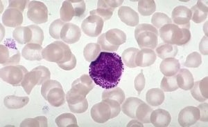
Метамиелоциты и миелоциты – это незрелые формы гранулоцитов (лейкоцитов), которые сосредоточены в костном мозге. Имеют очень большое ядро круглой формы и зернистость в цитоплазме. У здорового человека в крови их быть не должно.
Миелоциты могут быть нейтрофильными, базофильными и эозинофильными. Они предшественники лейкоцитов и в дальнейшем переходят в зрелые сегментоядерные гранулоциты.
Их появление в крови говорит о патологическом процессе, протекающем в организме. Их уровень определяется при подсчете лейкограммы. Если в крови появились незрелые формы гранулоцитов, говорят о сдвиге лейкоцитарной формулы влево. Это происходит при различных заболеваниях, при которых наблюдается лейкоцитоз – увеличение абсолютного количества белых клеток.
При внедрении в организм вредных агентов сначала в борьбу вступают зрелые гранулоциты – сегментоядерные. Если они не справляются, им на помощь приходят палочкоядерные, которых в норме в крови содержится совсем мало. Чем тяжелее болезнь, тем напряженней приходится бороться и тем больше появляется молодых клеток.
Таким образом, появление миелоцитов указывает на то, что у организма резервов практически не осталось, если он призывает на помощь незрелые клетки.
Появление в крови юных форм гранулоцитов говорит о том, что организм усиленно производит новые клетки, которые ведут борьбу с вредными агентами.
Причины такого явления могут быть разными. Среди них:
- Бактериальные инфекции, как правило, острого характера, с присоединением гнойно-воспалительных процессов. Обычно появление миелоцитов в крови наблюдается при ангинах, остром пиелонефрите, ЛОР-инфекциях, скарлатине, воспалении легких, туберкулезе, сепсисе, холере и других.
- Тяжелые инфекции: тиф, бруцеллез, паратиф.
- Интоксикации токсинами болезнетворных бактерий при отсутствии заражения самими микроорганизмами.
- Некрозы, или отмирание клеток, связанные с такими заболеваниями, как обширные ожоги, гангрена, инсульт, инфаркт.
- Распад злокачественных опухолей, метастазы в костном мозге.
- Кровотечения острые.
- Лучевая и химиотерапия, радиационное облучение.
- Некоторые тяжелые вирусные инфекции: корь, краснуха, грипп.
- Прием некоторых видов медикаментов (обезболивающих, иммуносупрессоров).
- Отрицательное действие на костный мозг, производящий лейкоциты, оказывает отравление свинцом или алкоголем.
- Коматозные состояния.
- Ацидоз (нарушение кислотно-щелочного баланса).
- Болезни крови: анемии, лейкоз, дефицит фолиевой кислоты и витамина B12. Особенно высокий уровень характерен для миелоидной лейкемии.
- Присутствие миелоцитов в крови возможно в течение некоторого времени после недавно перенесенных инфекций.
- Шоковое состояние.
- Физическое перенапряжение.
В некоторых случаях человек не имеет никаких жалоб, при этом миелоциты у него присутствуют в крови. Это может свидетельствовать о том, что в организме протекают скрытые инфекции или воспалительные процессы.
Миелоциты обычно обнаруживаются в анализах при беременности. Это связано с усиленным образованием гранулоцитов и выходом в кровяное русло незрелых форм. В периферической крови в период беременности их может содержаться до 3%.
Миелоциты при беременности считаются нормальным явлением, в то же время они могут свидетельствовать и о патологических процессах. Это может быть реакция на воспаление, например, горла.
Как правило, присутствие незрелых форм гранулоцитов при беременности не влияет отрицательно на плаценту и состояние здоровья плода.
Появление миелоцитов в крови у ребенка чаще всего говорит об инфекционном заболевании. Так же, как и у взрослых, у здорового ребенка их быть не должно.
При обнаружении миелоцитов в крови врач должен провести обследование и выяснить причину такого состояния. После того, как будет поставлен диагноз, медики назначат соответствующее лечение.
Это может быть прием витаминов и лекарственных средств, коррекция питания. Если миелоциты появились в связи с приемом медикаментов, необходимо отменить препарат и заменить его другим.
После устранения причины появления миелоцитов они приходят в норму не сразу, а примерно спустя две недели.
Миелоциты находятся в костном мозге, и их в крови у здоровых людей быть не должно. Если они были обнаружены во время анализа, то это связано, скорее всего, с заболеванием. Присутствие миелоцитов может говорить о снижении защитных сил организма, то есть человек становится уязвимым перед различными вирусными и бактериальными инфекциями.
#149; Гинекология #149; Беременность #149; Какие изменения происходят в крови во время беременности
Во время беременности в крови происходят следующие изменения:
1. Объем циркулирующей крови (ОЦК) увеличивается с ранних сроков (6-8-я неделя) беременности, достигает максимального увеличения (на 35-45%) в 32 недели.
2. Объем плазмы: увеличивается на 40% (35-50%).
3. Гематокрит: снижается до 0,32-0,34 (32-34%) к 34 неделям беременности (норма вне беременности 42-44%).
4. Изменения эритроцитов во время беременности:
- объем эритроцитов возрастает на 12-25%; за счет большего увеличения объема плазмы развивается гемодилюция; формируется физиологическая анемия беременных;
- увеличивается осмотическая резистентность эритроцитов; уменьшается ломкость эритроцитов, появляются молодые, устойчивые формы. Эритроциты принимают выпуклую форму за счет имбибиции водой. Гидрофильность эритроцитов способствует снижению кислотно-онкотического давления плазмы;
- изменяют процесс переноса кислорода кровью за счет физиологической анемии;
- вырабатывают фосфорсодержащие соединения; наибольшим эффектом обладает 2-,3-дифосфоглицерат (2-, 3-ДФГ). Он изменяет сродство гемоглобина к кислороду, не связывается с цепями фетального гемоглобина, не нарушает связывание и высвобождение кислорода, увеличивает кислородную емкость крови плода, улучшает оксигенацию тканей матери и плода, улучшает транспорт кислорода у беременных.
5. Продукция фетального гемоглобина возобновляется только при беременности. Фетальный гемоглобин заключен только в небольшом количестве эритроцитов. Структура: взрослый гемоглобин меняется на фетальный за счет замены двух бета-цепей двумя гамма-цепями.
Гамма-цепи отличаются аминокислотной последовательностью; максимальное увеличение отмечено в сроки 18-22 недели. К 8-й неделе после родов фетальный гемоглобин заменяется на гемоглобин взрослого человека. Концентрация гемоглобина снижается до 110 г/л.
6. Тромбоциты: уровень может снижаться в пределах нижней границы нормы — до 180-200 х 1000000000/л.
- уровень подвержен колебаниям при беременности в результате влияния эстрогенов;
- увеличиваются от 5 до 12 х 1000000000/л в течение беременности;
- максимальные значения отмечены к 30 неделям;
- могут повышаться до 16 х 1000000000/л у здоровых беременных;
- в течение родов уровень может достигать 25-30 х 1000000000/л.
- Рост гранулопоэза, повышенное образование гранулоцитов, выход в кровоток незрелых форм — метамиелоциты и миелоциты обнаружены в периферической крови в 3%.
- Лимфоциты и моноциты: уровень практически не изменяется; возможно подавление активности лимфоцитов под влиянием гормонов беременности или приема некоторых лекарственных препаратов.
- Нейтрофилы: уровень возрастает, но в процентном отношении остается нормальным. Уровень возвращается к норме через шесть недель после родов.
- Ээозинофилы: уровень несколько увеличивается, но в процентном отношении прежний или несколько снижен; резкое уменьшение или исчезновение может отмечаться к моменту родов.
- Базофилы: уровень несколько уменьшается.
8. Фибриноген: увеличивается от 2,0-4,0 до 4,1 -6,0 г/л.
9. Факторы свертывания: повышение уровня факторов свертывания II, VII, VIII, X; повышение протромбинового индекса; рост количества фибринопептида; повышение к концу беременности продуктов деградации фибрина.
10. Прокоагулянты: повышение активности.
11. Антикоагулянты: снижение активности.
12. Скорость оседания эритроцитов: увеличивается от 12 до 50 мм/ч. Изменение СОЭ — результат повышения агрегации эритроцитов и изменения свертывающей системы крови.
Какие изменения происходят в крови во время беременности и другие статьи из раздела Беременность
Миелоциты – недоразвитые лейкоциты, которые находятся в костном мозге, имеют зернистую форму, а их ядра – крупные и круглого вида. Миелоциты в крови имеют 3 вида: эозинофильные, базофильные и нейтрофильные.
Протоплазма последних розового оттенка, однако у менее развитых клеток она розовато-фиолетовая. У эозинофильных клеток наблюдается слабобазофильная протоплазма, а их окрас – розово-красный; у базофильных – оксифильная протоплазма и фиолетовый цвет.
Ниже мы с вами рассмотрим миелоциты в крови, что это значит и как с этим бороться.
Причины миелоцитов в крови является признаком развития патологического процесса в организме.
Во время заболевания в организме сначала в борьбу вступают дозревшие лейкоциты, однако, чем сложнее болезнь и чем дольше происходит «борьба», тем больше молодых клеток организму приходится использовать. В случае полного истощения запасов лейкоцитов, появляются миелоциты.
Дозревшие лейкоциты делятся на сегментоядерные гранулоциты и палочкоядерные (их в крови ещё меньше). В процесс борьбы они вступают именно в таком порядке. Далее появляются палочкоядерные нейтрофилы, потом – метамиелоциты. И только в самом тяжелом положении появляются самые юные клетки – миелоциты.
Для клеток миелоцитов характерна отличительная структура. Они достаточно большие по своему строению, а в их ядрах содержится чередующийся хроматин светлого и темного оттенка, что визуально делает клетки складчатыми. В ядре также содержится небольшое количество протоплазмы, а само оно может иметь как овальную, так и почковидную форму.
Количество клеток определяется при помощи подсчета лейкоцитарной формулы. Появление миелоцитов свидетельствует о сдвиге лейкограммы влево.
В норме миелоцитов в крови быть не должно.
Тем не менее, небольшой их процент все равно встречается в организме:
- Нейтрофильные клетки – до 10%;
- Эозинофильные – до 2%;
- Базофильные – меньше 1%.
Миелоциты в крови у ребенка и взрослого не отличаются по своим показателям. Для определения миелоцитов используется общий анализ крови. У детей миелоциты чаще всего свидетельствует об инфекционных заболеваниях.
Ангина может быть причиной наличия миелоцитов в крови
Анализ крови на миелоциты лучше проводить утром, на голодный желудок. Последний прием пищи должен быть не позднее, чем за 8 часов до забора. За несколько дней до сдачи необходимо максимально очистить свой рацион питания, убрав оттуда жирную, а также жареную и острую пищу. Употребление алкоголя или сладких напитков не рекомендуется. Курить запрещено за час до приема.
Запрещено сдавать анализ крови на миелоциты после проведения других типов исследований (например, рентген).
Превышение миелоцитов в крови может стать причиной ослабления иммунитета. Это может стать фактором для возникновения вирусных или инфекционных заболеваний, а также ухудшить самочувствие пациента в целом. Ослабление иммунитета – главный симптом наличие миелоцитов в крови.
Миелоциты в крови при беременности могут являться как нормальным явлением, так и признаком наличия в организме патологий. В нормальном состоянии в периферической крови беременной женщины может находиться до 3% миелоцитов.
Если эти клетки выявлены во время анализа, рекомендуется обратиться к врачу для повторного анализа, а далее проводить анализ на миелоциты хотя бы раз в неделю.
На здоровье ребенка это не имеет никакого влияния. Миелотоциты при беременности могут значить даже обычную простуду или воспаление горла.
Иногда даже при наличии миелоцитов в крови пациент не испытывает никакого дискомфорта, что является признаком скрытого течения инфекций или заболеваний.
https://youtube.com/watch?v=MbBe0Q4i0eU
Лечение нарушения нормы миелоцитов в крови
Полностью вывести из крови миелоциты невозможно, можно лишь установить причину их возникновения (назначаются дополнительные обследования и анализы) и начать терапию.
В некоторых случаях помогает отказ от медикаментов или замена отдельных средств (если миелоциты в организме появились из-за каких-либо препаратов) или прописанная диета (коррекция рациона), в других, наоборот, прописывается медикаментозное лечение. Витамины также могут улучшить ситуацию.
После устранения причины появления миелоцитов в крови, показатели приходят в норму через несколько недель.
Источник: http://healthyorgans.ru/serdechno-sosudistaya-sistema/lechenie-serdtsa/14967-mielotsity-v-krovi-pri-beremennosti

Миелоциты – недоразвитые лейкоциты крови, которые находятся в костном мозге, имеют зернистую форму, а их ядра – крупные и круглого вида. Миелоциты в крови имеют 3 вида: эозинофильные, базофильные и нейтрофильные.
Протоплазма последних розового оттенка, однако у менее развитых клеток она розовато-фиолетовая. У эозинофильных клеток наблюдается слабобазофильная протоплазма, а их окрас – розово-красный; у базофильных – оксифильная протоплазма и фиолетовый цвет.
Ниже мы с вами рассмотрим миелоциты в крови, что это значит и как с этим бороться.
Причины миелоцитов в крови является признаком развития патологического процесса в организме.
Во время заболевания в организме сначала в борьбу вступают дозревшие лейкоциты, однако, чем сложнее болезнь и чем дольше происходит «борьба», тем больше молодых клеток организму приходится использовать. В случае полного истощения запасов лейкоцитов, появляются миелоциты.
Дозревшие лейкоциты делятся на сегментоядерные нейтрофилы и палочкоядерные (их в крови ещё меньше). В процесс борьбы они вступают именно в таком порядке. Далее появляются палочкоядерные нейтрофилы, потом – метамиелоциты крови. И только в самом тяжелом положении появляются самые юные клетки – миелоциты.
Для клеток миелоцитов характерна отличительная структура. Они достаточно большие по своему строению, а в их ядрах содержится чередующийся хроматин светлого и темного оттенка, что визуально делает клетки складчатыми. В ядре также содержится небольшое количество протоплазмы, а само оно может иметь как овальную, так и почковидную форму.
Количество клеток определяется при помощи подсчета лейкоцитарной формулы. Появление миелоцитов свидетельствует о сдвиге лейкоцитарной формулы влево.
В норме миелоцитов в крови быть не должно.
Тем не менее, небольшой их процент все равно встречается в организме:
- Нейтрофильные клетки – до 10%;
- Эозинофильные – до 2%;
- Базофильные – меньше 1%.
Иногда даже при наличии миелоцитов в крови, пациент не испытывает никакого дискомфорта, что является признаком скрытого течения инфекций или заболеваний.
https://youtube.com/watch?v=MbBe0Q4i0eU
Лечение нарушения нормы миелоцитов в крови
Полностью вывести из крови миелоциты невозможно, можно лишь установить причину их возникновения (назначаются дополнительные обследования и исследования крови) и начать терапию.
В некоторых случаях помогает отказ от медикаментов или замена отдельных средств (если миелоциты в организме появились из-за каких-либо препаратов) или прописанная диета (коррекция рациона), в других, наоборот, прописывается медикаментозное лечение. Витамины также могут улучшить ситуацию.
После устранения причины появления миелоцитов в крови, показатели приходят в норму через несколько недель.
Источник: https://SostavKrovi.ru/analizy/obshchiy/chto-oznachayut-mielocity-v-krovi.html
- Причины появления
- Как лечить
- Заключение
Метамиелоциты и миелоциты – это незрелые формы гранулоцитов (лейкоцитов), которые сосредоточены в костном мозге. Имеют очень большое ядро круглой формы и зернистость в цитоплазме. У здорового человека в крови их быть не должно.
Миелоциты могут быть нейтрофильными, базофильными и эозинофильными. Они предшественники лейкоцитов и в дальнейшем переходят в зрелые сегментоядерные гранулоциты.
Их появление в крови говорит о патологическом процессе, протекающем в организме. Их уровень определяется при подсчете лейкограммы. Если в крови появились незрелые формы гранулоцитов, говорят о сдвиге лейкоцитарной формулы влево. Это происходит при различных заболеваниях, при которых наблюдается лейкоцитоз – увеличение абсолютного количества белых клеток.
При внедрении в организм вредных агентов сначала в борьбу вступают зрелые гранулоциты – сегментоядерные. Если они не справляются, им на помощь приходят палочкоядерные, которых в норме в крови содержится совсем мало. Чем тяжелее болезнь, тем напряженней приходится бороться и тем больше появляется молодых клеток.
Таким образом, появление миелоцитов указывает на то, что у организма резервов практически не осталось, если он призывает на помощь незрелые клетки.
Обширный анализ крови, или же в медицинской терминологии биохимия крови – это главный способ получить информацию о состоянии организма. Благодаря этому анализу можно узнать о наличии заболеваний, установить точный диагноз и следить за болезнью в ходе ее лечения.
Один из определяемых элементов, который включает в себя обширный анализ крови – это метамиелоциты. Их относят к лейкоцитной группе, а по их количеству определяют состояние организма.
Метамиелоциты – это один из подвидов лейкоцитов. Место их нахождение – костный мозг. Метамиелоциты в анализе крови не определяются. Об их наличии нам говорит образование нейтрофилов. Такое явление медики называют сдвигом лейкоцитной формулы влево. Это является нарушением нормального функционирования организма, причины которого могут быть самые разные.
Лимфоциты повышены у взрослого — о чем это говорит и про многое другое читайте тут.
Для того чтобы обнаружить количество метамиелоцитов в крови, сперва необходимо подсчитать количество телец белого кровяного ростка. После этого, необходимо вычислить процент каждой популяции. После всех этих подсчетов, можно начать процесс вычисления метамиелоцитов.
Если в крови находятся метамиелоциты – значит, новые клетки плазмы крови созревают достаточно долго и напряженно. Такое часто случается при затяжных инфекционных заболеваниях или же в связи с патологиями. Такие изменения побуждают лейкомоидную реакцию, в связи с которой в крови увеличивается число нейтрофилов.
Именно по количеству нейтрофилов и можно определить наличие метамиелоцитов в крови в процентном соотношении.
Также читайте нашу статью о том, почему моноциты повышены у взрослого.
Норма метамиелоцитов для взрослого человека равна – 0%. Уже после двух недель жизни человека с момента рождения, присутствие этого элемента при обширном анализе не должно быть обнаружено.
Метамиелоциты в крови у ребенка допустимы лишь в первые дни после его рождения. Новорожденные детки в первый день могут иметь в крови до 4% метамиелоцитов. Далее, их количество постепенно снижается. В 4-5 дней оно составляет 2,5%; до двух недель 1,5%.
Для того чтобы анализ крови показал максимально точные результаты при его расшифровке, необходимо следовать таким правилам:
- Забор крови проводится утром, желательно в промежутке с 7 до 9 утра обязательно на голодный желудок. Рассчитайте время таким образом, чтобы с момента последнего приема пищи до сдачи крови прошло 10-11 часов. Ужин должен быть неплотным, не содержать белковую пищу. Оптимальный вариант – каши (углеводы).
- Перед сдачей крови с утра не стоит пить никаких напитков и даже простую воду. Это повысит сахар, а с ним и другие показатели.
- Накануне сдачи анализа примерно за три дня стоит полностью отказаться от жирной и жареной пищи, а также от алкоголя.
- Нельзя курить за два часа до сдачи крови.
- Помните, что анализ крови не сдается в тот день, когда прежде делался рентген или вы посещали физиотерапевтические процедуры.
Помимо основных правил, соблюдение которых не обговаривается, на результат анализов влияют и второстепенные факторы:
- На результаты анализа крови влияют физические нагрузки, особенно бег, так как во время бега работают практически все мышцы тела. Поэтому в день перед сдачей крови стоит пропустить поход в спортзал.
- Употребление нестероидных медикаментов. К таким относятся различные обезболивающие и противовоспалительные средства: левомицетин, гепарин, анальгин, ибупрофен.
- Стрессы, нервозность, напряжение, эмоциональное потрясение и прочие нарушения нервной системы оказывают большое влияние на показатели при анализах.
- Абсолютная норма показателей общего анализа крови в первую очередь зависит от возраста человека. К тому же при сдаче крови учитывается психологическое состояние и даже регион проживания, а точнее, уровень радиоактивного излучения на душу населения. Ведь на здоровье значительным образом сказывается радиация и выброс вредных веществ в атмосферу.
- У здорового по сегодняшним меркам человека, метамиелоциты в крови не должны быть обнаружены. Данный показатель свидетельствует о наличии лейкоцитоза в крови.
- Когда в организм человека попадают вредные вещества, иммунная система дает толчок на выброс в кровь гранулоцитов, которые способствуют подавлению вредных веществ. Если вирус или инфекция не исчезла, тогда иммунная система посылает в помощь определенное количество нейтрофилов. Чем сложнее инфекция или вирус, тем тяжелее ее побороть и при этом постоянно увеличивается прирос молодых клеток крови.
- Когда болезнь уже находится в прогрессирующей стадии (если иммунная система не справилась), тогда в кровь поступают метамиелоциты. Отсюда следует логическое объяснение – метамиелоциты в крови образуются в том случаи, когда иммунная система самостоятельно не может подавить заболевание.
Причиной такого проявления могут быть самые разные факторы и обстоятельства:
- Инфекционные заболевания;
- Лейкемия (рак крови), белокровья;
- Ожоги тяжелой степени;
- Серьезные травмы, кровотечения (включая внутренние).
Причиной появления метамиелоцитов могут стать не только заболевания и телесные повреждения. Такие перемены в организме могут не быть связаны с патологиями и прочими врожденными дефектами. Спровоцировать образование миелоцитов могут сложные физические нагрузки, тяжелая физическая работа.
https://youtube.com/watch?v=Pc1y7ipKaW4
Также их можно обнаружить в плазме крови при сильном эмоциональном состоянии, потрясении, шоке или психическом расстройстве.
Спровоцировать выброс метамиелоцитов в кровь могут пищевые продукты, которые употребляются б большом количестве: это жаренная и жирная пища, острые блюда, которые вызывают чувство перенасыщения. Еще это может быть обусловлено пищевым отравлением.
В этот перечень можно добавить такие заболевания, как:
- Скарлатина;
- Тиф;
- Дифтерия;
- Бактериальные инфекции воспалительного характера в острой форме протекания: ЛОР-инфекции, туберкулез, воспаление легких, сепсис, холера, бешенство;
- Тяжелые инфекции – бруцеллез, паратиф;
- Интоксикация токсинами органического происхождения: билирубин – яд, который выходит в кровь при поражении клеток печени;
- Некрозы разного происхождения: после инфарктов, инсультов, при ожогах или обмораживании, при гангрене;
- При наличии метастазов, развитии злокачественных опухолей, в том числе онкологий;
- Регулярный прием обезболивающих и иммуномодулирующих медикаментов;
- Алкогольное перенасыщение или отравление организма;
- Нарушение щелочного баланса организма (Ацидоз);
- Анемия, лейкоцитоз, нехватка фолиевой кислоты;
Довольно часто бывают обнаружены метамиелоциты в крови при беременности примерно на 26-29 неделях. Все это происходит в связи с выходом в кровь незрелых масс, которые увеличивают количество гранулоцитов в крови. Миелоциты при беременности – это необходимое явление, которое свидетельствует о патологических процессах, то есть передачу данных организма матери к ребенку.
- Метамиелоциты, как явление, не имеют никаких симптомов. Они могут находиться в крови больного и никак не давать о себе узнать. Единственным признаком миелоцитов в крови станут симптомы заболевания, которым и вызвано их наличие. Наиболее распространенные симптомы такие, как ярко выраженная слабость, возможное недомогание, человек быстро устает, выматывается и очень рано ложится спать.
- Многие медицинские учреждения не включают анализ метамиелоцитов в обширный анализ крови, а соответственно в перечни всех показателей – этот будет отсутствовать.
- Если у вас возникли подозрения (симптомы) на одно из заболеваний, которые способны спровоцировать выброс метамиелоцитов в крови (возможные заболевания указаны выше), тогда стоит попросить врача, указать в направлении на сдачу анализа этот пункт.
Все изменения, происходящие в организме человека, имеют причину и следствие, особенно во время беременности, но с некоторыми нюансами. Порой то, что «ненормально» для женщины в обычном состоянии, абсолютно приемлемо в период вынашивания.
Например, в норме у здорового человека в крови не должны присутствовать миелоциты, но при беременности допускается небольшое их содержание.
Предлагаем разобраться, какой уровень миелоцитов в кровотоке соответствует норме, а когда стоит начать беспокоиться.
Миелоциты, или, как их еще называют, метамиелоциты – это несформировавшиеся лейкоциты, сконцентрированные в костном мозге. Если человек здоров, незрелые клетки не покидают привычное место обитания. Напротив, миелоциты в общем кровотоке указывают на наличие в организме патологического процесса, нередко инфекционного характера.
Важно отметить, что появление незрелых клеток – это сигнал о том, что ресурсы организма практически исчерпаны.
Согласно традиционной градации, в первую очередь в роли защитников выступают зрелые гранулоциты, затем палочкоядерные нейтрофилы и только после них приходит очередь миелоцитов, которые все это время «сидели на скамейке запасных».
Важно: при беременности повышение миелоцитов в пределах 1-3% считается абсолютной нормой.
https://youtube.com/watch?v=IvMhtrlimuQ
Отличительные черты миелоцитов – это довольно крупное нейтрофильное ядро округлой формы и зернистость в цитоплазме.
По мере роста и развития незрелые лейкоциты трансформируются в сегментоядерные гранулоциты. Можно с уверенностью констатировать, что миелоциты принимают непосредственное участие в процессе кроветворения.
Рост концентрации незрелых клеток костного мозга в крови во время беременности обусловлен естественными физиологическими факторами. Нередко организм женщины воспринимает оплодотворенную яйцеклетку как чужеродный объект, от которого следует избавиться как можно скорее.
Чтобы снизить активность враждебно настроенных лейкоцитов, иммунная система «сбавляет обороты» и в этом случае вероятность закрепления плодного яйца в матке значительно увеличивается. Однако параллельно в кровоток проникают миелоциты, готовые заменить нейтрализованные лейкоциты.
Главное, что требуется от вас и прежде всего от лечащего врача в этот период – следить, чтобы показатели крови оставались в рамках «беременной» нормы.
Советуем прочитать, почему татуаж бровей в период беременности делать нельзя.
Читайте самые интересные способы, как сказать парню о беременности.
Внимание: не до конца сформировавшиеся клетки не оказывают тератогенного воздействия на эмбрион и функционирование плаценты. Тем не менее если их рост вызван патологически обусловленными процессами в организме, то вероятность негативного влияния на развитие плода сохраняется. В этой ситуации следует как можно скорее выявить и устранить причину дисбаланса.
Квалифицированный врач обязательно повторит анализ, чтобы проследить динамику показателей крови. Если будет прослеживаться тенденция к повышению незрелых клеток, то женщине потребуется пройти соответствующее обследование, чтобы исключить патогенные заболевания.
Мы выяснили, что миелоциты в крови могут повышаться как в силу физиологических причин, так и ввиду патологических состояний. Во время гестации критически важно отличить одно от другого путем своевременной правильной диагностики.
Внимание: в ряде случаев при повышении незрелых клеток в крови у человека могут отсутствовать жалобы и опасные симптомы. В такой ситуации говорят о латентной инфекции, воспалительном процессе, протекающем в организме бессимптомно.
Рассмотрим основные причины повышения миелоцитов:
- острые инфекции, спровоцированные различного рода бактериями;
- тиф, паратиф;
- интоксикации организма;
- некроз, отмирание клеток;
- период распада злокачественных образований, метастазы головного мозга;
- обильные кровопотери;
- противоопухолевая терапия;
- инфекции вирусной этиологии;
- употребление конкретного спектра препаратов;
- сильные отравления;
- коматоз;
- кислотно-щелочной дисбаланс – ацидоз;
- заболевания крови;
- недавние инфекции в анамнезе;
- чрезмерные физические нагрузки.
Количество незрелых клеток в крови определяется посредством лейкоцитарной формулы. Когда появляются миелоциты в общем кровотоке, специалисты фиксирую сдвиг лейкограммы влево.
Для получения точных, достоверных результатов анализа к нему следует правильно подготовиться. Во-первых, забор биоматериала оптимально проводить в первой половине дня натощак. За пару-тройку суток до анализа важно исключить из рациона жирную, острую и жареную пищу. Нежелательны алкогольные и сладкие напитки.
При соблюдении довольно простых правил у вас есть все шансы получить максимально точные результаты анализа.
В случае выявления повышения миелоцитов в крови при беременности лечащий врач назначает комплексную диагностику. По ее результатам принимается решение о направленности лечения и его необходимости в целом.
Узнайте, можно ли есть чипсы при беременности.
Читайте: безопасен ли при беременности прием Метронидазола.
Советуем узнать, чем опасен флюс для течения беременности и здоровья плода.
Так, в зависимости от диагноза, вектор лечения может быть направлен на улучшение состояния посредством приема витаминных комплексов или медикаментозных препаратов. В ряде случаев достаточно коррекции питания. Когда миелоциты повышаются из-за приема лекарственных средств, их отменяют или заменяют другими препаратами.
Как правило, концентрация миелоцитов достигает нормы спустя пару недель после начала лечения.
Миелоциты при беременности могут быть повышены, и это нормально. Теперь вы знаете эту особенность организма женщины в положении, а значит, будете гораздо спокойнее реагировать на отклонения данного показателя в анализах крови.
Источник: https://moeditya.com/pregnancy/analizyi/mielotsityi-v-krovi
Поделиться:







