
Одышка — весьма специфический симптом, который может проявляться при различных заболеваниях, в том числе и при COVID-19. Одышка при коронавирусе также может сигнализировать о проявлении симптомов заболевания.
Влияние на сердечно-сосудистую и легочные системы способствует появлению затруднению дыхания, поэтому можно считать, что одышка — симптом коронавируса. Характер одышка также бываер разным. На страницах журнала https://gastritinform.ru/ мы поговорим о том, как выглядит одышка при коронавирусе.
Читайте следующую статью.
Одышка — это не болезнь, а одна из приспособительных функций в организме и симптом многих заболеваний, от сердечных до легочных. Одышкой считается затрудненное или учащенное дыхание, когда человек субъективно ощущает недостаток воздуха, меняется глубина, ритм и частота его дыхания.
Одышка — повод для медицинского обследования, так как организм не получает достаточного количества кислорода. Самые опасные виды одышки: это внезапная, на фоне полного здоровья, одышка в состоянии покоя или ночная — когда человек вынужден просыпаться и присаживаться, чтобы вздохнуть, иначе ему не хватает воздуха.
Одышкой считается затрудненное или учащенное дыхание когда человек субъективно ощущает недостаток воздуха
Одышка бывает инспираторная и экспираторная: в первом случае тяжело вдохнуть воздух, а во втором — трудно выдохнуть. Если появилась одышка, нужно искать ее причину, ведь таким образом организм сигнализирует о проблеме со здоровьем.
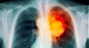
При мутации коронавирус обрел нехарактерные свойства, стал поражать эпителиальные клетки самого нижнего отдела дыхательных путей, где происходит газообмен. Появляется одышка и эта одышка всегда сопровождается резким нарушением кислородного обмена, то есть гипоксемией (пониженное содержание кислорода в крови).
Симптомы коронавируса могут проявиться через 2-14 дней после заражения новым коронавирусом. У многих пациентов SARS-CoV-2 вызывает воспаление обоих легких. Новая инфекция Covid-19 и грипп имеют схожую клинику. В обоих случаях возбудитель провоцирует респираторное заболевание, которое может иметь как легкое течение, так и тяжелое, в частности может закончиться летально.
Насморк и боль в горле – признаки инфекции верхних дыхательных путей. Следовательно, внимание! Если Вы постоянно чихаете и у вас есть насморк, скорее всего, это обычная простуда или грипп.
Симптомы коронавируса — горячка; кашель; одышка (затрудненное дыхание).
При инфицировании коронавирусом вирус попадает в кровь: повышение температуры тела — показатель того, что она в крови, а из крови — в легкие.
Если вирус в них размножается, человеку фактически нечем дышать, легочные структуры разрушаются и превращаются в кашу. Тогда некоторым требуется искусственная вентиляция легких.
Но нельзя рассчитывать, что она гарантированно поможет не умереть, для этого нужно, чтобы сам вирус погиб. Если он будет дальше размножаться, эта процедура не спасет.
Начало болезни коронавирус может быть бессимптомным или протекать в очень легкой форме, из-за чего человек думает, что просто простудился. В среднем, первая одышка проявляется через 5 дней от начала симптомов. Если человека с такой формой болезни госпитализируют на 7 день заболевания, на следующий день он оказывается в реанимации.
На 5-6 день заражения коронавирусом уже могут возникнуть проблемы с дыханием
На 5-6 день заражения коронавирусом уже могут возникнуть проблемы с дыханием.
Особенно становится трудно дышать людям пожилого возраста, у которых есть хронические болезни (прежде всего верхних дыхательных путей).
На 7 день коронавируса часть пациентов чувствуют, что дышать становится все труднее, порой возникает боль в груди. В таком случае необходимо немедленно обратиться к врачу.
На 8-9 день заражения коронавирусом около 15% людей переносят инфекцию трудно.
И именно в этот период у таких пациентов начинают возникать признаки острого респираторного дистресс-синдрома, при котором в легких начинается накапливаться жидкость» (инфильтраты).
У части у больных возникает аритмия или шок. Это происходит, когда легкие уже не способны обеспечивать кислородом необходимые для жизни органы.
На 10 день заражения коронавирусом ко всем вышеперечисленным симптомам добавляется и боль в животе. Пациентам с тяжелой формой болезни необходима экстренная помощь и их переводят в реанимацию для кислородной терапии. Исследования демонстрируют, что такие пациенты остаются в больнице еще около 10 дней.
На 12 день болезни коронавирус пациенты с крепким иммунитетом и те, которые получили своевременную и правильную помощь, начинают поправляться. Температура их тела постепенно снижается и самочувствие активно улучшается.
Однако одышка у людей может прекратиться примерно через две недели после выписки из больницы.
Примерно через 2,5 недели болезни, тех людей, которые выздоровели, уже выписывают. Здоровый человек кашляет еще довольно долго после выздоровления. Однако одышка у людей может прекратиться примерно через две недели после выписки из больницы.
Перенесшие коронавирус пациенты могут страдать от одышки и ухудшения функции легких. Об этом предупредили гонконгские эксперты из Управления больничными учреждениями, которые провели детальное обследование группы из 12 выздоровевших пациентов.
По словам главы Центра инфекционных заболеваний одной из клиник, трое пациентов, которых удалось спасти, физически не могут делать то, на что были способны до заболевания. Они задыхаются при быстрой ходьбе. У некоторых пациентов может наблюдаться снижение функции легких на 20-30 процентов (после выздоровления).
По этой причине, практически все переболевшие коронавирусом нуждаются в восстанавливающей легочную функцию терапии. Кроме того, результаты компьютерной томографии легких выздоровевших пациентов свидетельствуют о серьезных поражениях внутренних органов, добавляет врач.
NCoV – новый вид вируса гриппа типа А, относящийся ко II группе патогенности. Однако есть некоторые отличительные симптомы. Самый опасный симптом коронавируса – прогрессирующая одышка.
Что нужно знать о коронавирусе:
- внезапность: это главное отличие от ОРВИ, при котором заболевание развивается постепенно. Еще 5 минут назад человек нормально себя чувствовал, вдруг у него высокая температура;
- температура выше 38°: повышение температуры тела может быть в пределах 38–39,5 °С. Такие показатели говорят о вирусе гриппа в организме. При обычном ОРВИ температура, как правило, до 38°С;
- сухой и навязчивый кашель: зафиксирован в 80% всех больных. Он может быть несильный, но утомительный. Человек никак не может откашляться. Во время ОРВИ кашель или влажный, или его нет вообще. Иногда он появляется на 2–3-й день болезни;
- одышка, боль в груди, тахикардия: на начальных этапах заболевания коронавирусом этих симптомов нет вообще;
- слабость, утомляемость, усталость: при ОРВИ эти симптомы тоже есть, но не такие сильные, как у больных гриппом с вирусом типа 2019 nCoV. Слабость настолько сильная, что человек не может поднять руку и сделать шаг.
Если же появилась быстропрогрессирующая одышка, это указывает на развитие вирусной пневмонии. Именно от нее и гибнут люди, зараженные коронавирусом 2019 nCoV.
Источники:
- https://doc-tv.ru/articles/1906
- https://vostokmedia.com/news/society/30-03-2020/kashel-odyshka-bol-v-zhivote-primorskie-vrachi-napomnili-o-simptomah-koronavirusa
- https://24tv.ua/health/ru/koronavirus_simptomy_po_dnjam_kak_protekaet_koronavirus_n1304161
- https://tvzvezda.ru/news/vstrane_i_mire/content/2020314828-zdtFD.html
- https://vogazeta.ru/articles/2020/1/29/health/11340-chto_nuzhno_znat_uchitelyam_i_roditelyam_o_koronaviruse_
Источник: https://gastritinform.ru/odyshka-pri-koronaviruse/
Ощущение горячего тела без температуры, которое сопровождается потливостью и учащенным сердцебиением — состояние, которое испытывали многие люди.
Такое явление называют приливами, и чаще всего оно возникает на фоне нервных переживаний или физических нагрузок. Но в некоторых случаях такое состояние может свидетельствовать о наличии в организме заболеваний, которые требуют лечения.
В статье будет рассмотрено, по какой причине это случается и вследствие чего так происходит. Почему тело горячее, а температуры нет?
Жар и потливость могут говорить о развитии в организме таких заболеваний, как тонзиллит, гайморит, синусит, бронхит. Большинство пациентов связывают жар без повышения температуры тела именно с простудными патологиями, но такие признаки могут присутствовать и по другим причинам.
Врачи выделяют несколько основных недугов, при которых наблюдается ощущение горячего тела, а температуры нет:
- предменструальный синдром;
- менопауза;
- вегето-сосудистая дистония;
- последствия употребления алкогольных напитков;
- особенности питания.
Есть и другие причины развития таких симптомов, ниже разберем подробнее каждую из них.
ВСД — это одна из самых распространенных причин горячего тела без температуры. В этом случае неприятные симптомы сопровождаются пониженным или повышенным давлением, слабостью, потливостью и головокружением.
Причины заболевания кроются в неправильной работе нервной системы и могут быть устранены без помощи медикаментозного лечения. При симптомах вегетососудистой дистонии врачи рекомендуют придерживаться режима дня, правильно питаться, побольше отдыхать и сократить физические нагрузки. При несоблюдении этих правил возможно резкое ухудшение состояния.
Самым эффективным методом, позволяющим привести сердцебиение в норму и уменьшить неприятные ощущения, считается дыхательная гимнастика. Она выполняется следующим образом: необходимо в течении четырех секунд вдохнуть через нос, с выпячиванием живота, затем задержать дыхание на четыре секунды и сделать медленный выдох через рот с втягиваем живота.
Температуры нет, а тело горячее — симптомы, которые появляются при нарушениях в работе центральной нервной системы в результате дисфункции гипоталамуса.
Такой сбой может произойти из-за развития опухолей или кровоизлияний. Кроме жара, патология может сопровождаться нарушениями в работе сердечно-сосудистой, пищеварительной и дыхательной системы.
Для выздоровления необходимо применять комплексное лечение.
Расстройства щитовидной железы также могут вызывать ощущение горячего тела при нормальной температуре. Болезнь, вызывающая такое состояние называется гипертиреоз, и сопровождается она избыточной выработкой тиреоидных гормонов в кровь. Из-за этого в организме сильно повышается обмен веществ. Основными признаками заболевания считаются:
- потеря веса;
- потливость;
- увеличение щитовидной железы;
- учащенное сердцебиение;
- горячие и влажные ладони;
- дрожь во всем теле.
Лечением заболевания может заниматься только врач после проведенных исследований.
Еще одна патология, сопровождающаяся ощущением жара во всем теле — гипертония. Человек, страдающий повышенным давлением, испытывает боли в сердце, покраснения кожи, одышку и тахикардию. Патология считается частой причиной инфаркта и инсульта.
Гипертония зачастую выступает не как отдельное заболевание, а как симптом основной патологии. Для того чтобы определить наличие болезни в организме, необходимо регулярно измерять давление. При чем делать это нужно как в состоянии покоя, так и при недомоганиях.
Если показатели АД во время приступов существенно выше, можно считать гипертонию подтвержденной.
Причиной горячего тела без температуры у женщин часто является климакс. Это жизненный период, который сопровождается постепенным угасанием репродуктивной функции. Данный процесс происходит на фоне возрастных изменений.
Чувство жара появляется из-за гормональных перестроек в женском организме и является основным признаком климакса. Чаще всего приливы происходят в ночное время. Они могут быть настолько выраженными, что женщина не может заснуть или просыпается из-за жары.
Приступ может длиться от 20 секунд до 20 минут.
Климатические состояния хорошо корректируются при помощи лекарственных препаратов. Для того чтобы получить сопутствующие назначения, необходимо обратиться к врачу.
Одной из причин возникновения жара без повышения температуры может быть ПМС. Следует отметить, что точные причины возникновения этого симптома в предменструальный период не изучены. Зачастую медики рассматривают такие приступы жара как нарушения в работе вегетативной системы.
Для лечения назначается комплексная терапия, которая включает в себя:
- лечебную гимнастику;
- соблюдение режима дня;
- в некоторых случаях психотерапию.
В зависимости от выраженности симптомов врач может назначить применение лекарственных препаратов и витаминного комплекса.
Приливы жара в организме могут возникнуть, как реакция организма на некоторые пищевые раздражители. Этому может способствовать употребление таких пищевых добавок, как нитрат натрия, сульфиты, усилители вкуса и запаха.
Все эти вещества содержаться в консервах, продуктах быстрого приготовления и колбасах. Ярким примером добавки, которая может вызывать жар, боли в голове, снижение аппетита и расстройство живота, является глутамат натрия.
Еще одной причиной неприятных ощущений, когда тело горячее, а температуры нет, является острая или жирная пища. Специалисты говорят о том, что острая пища не вредна для организма, и она повышает обмен веществ, уровень сератонина, а также обладает согревающим эффектом. Но при некоторых заболеваниях такой тип еды может привести к ухудшению общего состояния здоровья.
При попадании алкогольного напитка в организм человека он сразу же начинает всасываться в кровь и воздействовать на работу всех органов и систем, в том числе и на головной мозг.
Со временем повышается температура тела и ускоряются биохимические процессы. Поэтому пьяного человека может то бросать в жар, то знобить.
Чаще всего приливы случаются после употребления напитков, содержащих тирамин и гистамин, к которым относятся пиво и херес.
Существует еще несколько причин аномального состояния здоровья, когда тело горячее, а температуры нет. Приступы жара могут появляться во время беременности. В этот период организм женщины перестраивается, происходят гормональные изменения, которые и вызывают неприятные ощущения.
Зачастую специалисты связывают чувство жара со стрессом. Этот вредоносный фактор запускает множество процессов в организме, среди которых может быть расширение сосудов, приводящее к приступу жара. В этом случае может помочь умывание холодной водой или прием успокоительного лекарства.
Если у ребенка нет температуры, а тело горячее — это может быть свидетельством простудного заболевания. Такое явление считается специфическим, и возникает не часто, а объясняется это особенностями терморегуляции в детском организме, который еще не сформировался до конца.
При часто повторяющихся приступах жара врачи советуют не заниматься самолечением, а обратиться за помощью к профессионалам. В медицинском центре больному проведут диагностику, выявят первопричину и назначат комплексное лечение, которое позволит облегчить состояние и предупредить тяжелые последствия.
А для поддержания своего организма в отличном состоянии необходимо соблюдать режим дня, вести здоровый образ жизни, правильно питаться и побольше отдыхать. Правильные привычки и занятия спортом помогут оставаться бодрым и здоровым на протяжении долгих лет жизни. И тогда проявление такого симптома, при котором тело горячее, а температуры нет, будет сведено к минимуму.
Источник: https://FB.ru/article/415945/goryachee-telo-a-temperaturyi-net-opisanie-simptomov-prichinyi-vozmojnyie-zabolevaniya-sposobyi-diagnostiki-i-rekomendatsii-vracha
Люди живут в мире, который наполнен воздухом. Он нужен для поддержания жизни многоклеточных организмов.
Для человека вдыхать воздух – вполне естественное явление, однако бывают ситуации, когда пациент испытывает нехватку кислорода. Это явление называется одышкой. Чувства от этой проблемы довольно неприятные и могут говорить о серьезных проблемах со здоровьем.
Одышка после еды, причины которой разнообразны, представляет собой нехватку воздуха для человека. Когда последний дышит, он вдыхает воздух, который поступает в легкие, после чего растворяется в клетках крови, затем уже идет доставка тканям и клеткам. После уже проходит выдох углекислого газа, который доставляется в легкие и выходит из организма путем выдоха.
Дыхание представляет собой довольно непростой процесс, даже если один орган, который участвует в нем, повредить, у человека начнутся большие проблемы с потреблением воздуха. Количество потребляемого кислорода человеком зависит от окружения. Но если воздуха не хватает, из-за этого дыхание пациента учащается и организм приходит в норму.
Количество вдохов у здорового человека должно быть около 18 раз в минуту, однако если это число больше или меньше, данный признак уже может сказать о проблемах со здоровьем и требуется срочно обратиться к врачу.
Иногда бывают случаи, что человеку не хватает воздуха, хотя со здоровьем у него все в порядке. Причиной этого может быть недостаток кислорода из-за окружающего пространства. Во время этого дыхание учащается, и человек начинает задыхаться. Одышка бывает в результате физической нагрузки, боли в голове и прочих недугов.
Саму проблему люди воспринимают по-разному, в основном это состояние удушения, нехватка воздуха или, наоборот, его переизбыток. В результате начинает болеть грудная клетка, другие же боли могут не зависеть от дыхания.
При соматической одышке появляется дефицит кислорода и усиленное дыхание, либо это гипоксия. Последнюю заметить довольно трудно, потому что внешних признаков ее появления нет.
Экспираторной называется одышка с затрудненным выдохом. Она может являться признаком проявления астмы, также быть симптомом при проблемах с легкими.
Более тяжелый случай касательно одышки называется смешанным. При нем движение грудной клеткой вызывает трудности и тяжесть в груди. Такой вид является признаком астмы.
Почему одышка после еды появляется и о чем она свидетельствует, знают далеко не все. В основном подобная проблема говорит о том, что органам, клеткам и тканям организма не хватает кислорода. Это вызывает их поражение.
В первую очередь, это касается головного мозга. Из-за одышки начинается серьезное нарушение сна, проблемы с физической деятельностью, разговорами с людьми.
Из этого следует, что ее лечение нельзя ни в коем случае откладывать, так как проблем может быть еще больше.
Одышка не может возникнуть просто так – она является причиной какой-либо болезни, поэтому нужно обращаться к врачу.
Во время обследования применяется сразу несколько видов диагностики. После чего уже точно ставится диагноз и назначается лечение. Обычно пациенту назначают ЭКГ, сдачу анализов, рентген, возможно, также проверка на МРТ.
Бывают случаи, когда одышка после еды не причина заболевания. Просто вокруг не хватает воздуха для нормального дыхания. Например, в горах или при низком давлении вид такой одышки называется физиологической. Она не несет особого вреда здоровью, однако долгое пребывание на территории с таким дефицитом воздуха не даст ничего хорошего.
Проявляется одышка у людей по-разному. Например, у спортсменов она появляется гораздо позже благодаря их физической подготовке и хорошей выносливости. У людей, которые не занимаются физически, одышка возникает гораздо раньше, тем более если у человека присутствует и лишний вес.
Причем болезни у этих людей может не быть. Тут уже все зависит от физической подготовки человека и того, как он следит за своим телом. В этом случае есть хорошая мотивация заняться спортом.
Когда после еды появляется одышка, причиной вполне можно считать и ожирение. Если у пациента это всего пара лишних килограммов, то таких проблемам не возникает и он чувствует себя нормально. Однако если вес слишком большой, даже при небольших нагрузках человек просто начнет задыхаться.
Жир оказывает давление на внутренние органы пациента и приходится прикладывать больше усилий, чтобы выполнить ту или иную работу. Соответственно, одышка у человека будет становиться все сильнее и сильнее.
Самым оптимальным “лекарством” будет занятие спортом и строгая диета. Также не помешает консультация врача. Он подскажет, как лучше избавиться от данной проблемы.
Болезнь, когда недостает кислорода в клетках, называется гипоксемией.
Возникнуть она может в результате недостатка воздуха вокруг, при медленном поступлении кислорода в организм или проблемах с сердцем.
Провокатором может послужить заболевание крови, курение, ожирение, смена давления. Если гипоксемия выявляется у новорожденных, причиной, скорее всего, служит недостаток кислорода у матери.
https://youtube.com/watch?v=Q7V48sJrIb8
Выявляется данная болезнь по следующим признакам: падение давления, бледность, слабость всего тела, сонливость. При любых из этих признаках организм старается экономить кислород.
У детей постарше причина одышки после еды может быть из-за врожденных проблем с сердцем, а именно сердечной недостаточности.
При анемии возникает слабость, головная боль, проблемы с аппетитом, нарушается сон, бледнеет кожа. При осложнениях также развивается сердечная недостаточность.
Лечение анемии нельзя ни в ком случае откладывать. Ее устранение зависит от причин, которые вызвали данное состояние. Например, при дефиците витаминов соблюдается диета, при дефиците железа в организме лучше всего употреблять лекарства, назначенным врачом и содержащие недостающий микроэлемент. Если при анемии возникли осложнения, то пациента отправляют в больницу.
Большая выработка гормонов щитовидной железы называется тиреотоксикозом. При нем быстро сокращается сердце, появляются проблемы с насыщением органов кислородом. Для лечения этой болезни назначают лекарства, основываясь на результатах обследования.
При беременности у женщин дыхание учащается из-за ребенка, который находится внутри и служит грузом и физической нагрузкой на девушку. С каждым месяцем это становится все труднее и труднее.
В отличие от других случаев, такая одышка не является признаком каких-либо болезней, так как она является вполне естественной, но наблюдаться у врача все же стоит, чтобы избежать в будущем лишних проблем.
Из всего вышесказанного следует вывод, что причины одышки после еды различные. Это проблемы со здоровьем, а именно с сердцем, легкими, давлением, повреждение каких-либо органов, ожирение. Либо все зависит от окружающей территории и того, какой на ней находится воздух, поэтому лишний раз не стоит переживать.
Однако если есть подозрения на что-то серьезное или появились признаки какого-либо заболевания, то нужно незамедлительно обращаться к врачу.
Источник: https://labuda.blog/200749
Каждый взрослый человек хотя бы раз в своей жизни обжигал язык или нёбо горячим чаем или кофе. Это незабываемые и довольно неприятные ощущения, которые могут длиться от нескольких часов до нескольких дней. А некоторые люди страдают от аналогичных переживаний постоянно, изо дня в день, из месяца в месяц — такое состояние называется «синдром жжения во рту».
MedAboutMe выяснял, по какой причине во рту может «вспыхнуть пожар» и что с этим можно сделать?
Необычное состояние, при котором человек постоянно ощущает жжение в ротовой полости без видимых на то причин, получило название синдрома горящего рта (СГР или burning mouth syndrome, BMS) или синдрома жжения во рту. Это ощущение охватывает язык, десны, губы и небо. Сами пациенты сравнивают его с чувством, словно ты выпил что-то очень горячее и ошпарил рот.
Синдром горящего рта — это разновидность невропатии, поражения нервных волокон невоспалительной природы. Ученые сравнивают это состояние с коротким замыканием нервной системы, в результате чего мозг не может отключить болевые рецепторы, непрерывно посылающие сигналы о боли и жжении.
В некоторых случаях боли настолько сильны, что пациенты готовы покончить с собой, только бы не ощущать их снова.
Впервые с этой патологией столкнулись стоматологи: первые описания СГР появились в научных журналах 1970-х годов. Пациенты жаловались на сильные болезненные ощущения, при этом слизистая ротовой полости, десны и все остальное выглядело совершенно здоровым. Позднее оказалось, что «пламя во рту» может быть вовсе не связано со здоровьем зубов или слизистой рта.
https://youtube.com/watch?v=puUVPZsIUMs
Даже сегодня, зная о существовании синдрома горящего рта, врачи нередко на протяжении длительного времени не могут установить правильный диагноз, пытаясь лечить своих пациентов от различных инфекционных и иных заболеваний полости рта, не существующих на самом деле.
В перечень самых характерных проявлений синдрома жжения во рту входят следующие:
Стойкое жжение на языке, ощущение покалывания или боль во рту, онемение без видимых стоматологических причин. Ощущение сухости. Ощущение аномального вкуса (например, металлического). Способность симптомов исчезать во время еды. Ощущения ожога могут мигрировать от одних участков полости рта к другим.
Ученые напоминают, что пациента и врача должно насторожить именно сочетание ощущение ожога полости рта (при его отсутствии) и других признаков — сухости, изменения вкуса и т. д.
Тип №1. Утром пациент просыпается, не ощущая никаких неприятных симптомов, однако в течение дня они появляются и постепенно усиливаются к вечеру. Чаще от такого типа СГР страдают диабетики.
Тип №2. Пациенты страдают от синдрома жжения во рту на протяжении всего дня. Ночью болей и жжения нет, но днем они присутствуют всегда и с неизменной интенсивностью. Данный тип СГР более характерен для людей с повышенной тревожностью.
Тип №3. Боли и жжение то появляются, то исчезают. Нередко это связано с пищевой аллергией пациента. Причины болезни
Если синдром жжения во рту развивается сами по себе, без понятной причины, говорят о первичном заболевании. Если же невропатия проявляется на фоне какой-то болезни — это вторичная патология.
Врачи сообщают о случаях вторичного СГР на фоне анемии, диабета, дефицита железа, цинка и фолиевой кислоты, аллергии, кислотного рефлюкса, некоторых инфекционных болезней ротовой полости, а также заболеваний щитовидной железы — все эти патологии могут приводить к поражениям и периферической нервной системы, и отдельных участков мозга. И в таких случаях возможно развитие невропатий. Их причиной может стать даже прием некоторых медикаментов.
Стоматологи нередко отмечают развитие синдрома жжения рта как показатель непереносимости зубных протезов, а также как реакцию на различные стоматологические материалы. В этих случаях они называют патологию синдромом ротового гальванизма или гальваносиндромом.
Это заболевание развивается, по разным данным, у 1,5-18% людей, которые носят зубные протезы. В качестве объяснения причин развития патологии нередко используется теория об аутоиммунной природе синдрома жжения рта.
Стоматологи указывают, что у каждого третьего их пациента с синдромом жжения рта, развившимся как реакция на зубные протезы, наблюдается характерное воспаление.
Явная связь с менопаузой наводит на мысли о том, что значимую роль в развитии синдрома играет эстроген, точнее, его нехватка, которая развивается после наступления менопаузы. Однако ученые пока не смогли до конца разобраться в этом вопросе.
Учитывая, что механизм развития синдрома непонятен до конца, у врачей небогатый выбор средств лечения этой разновидности невропатии. Обычно применяют специально подобранные анальгетики и средства для полоскания рта.
Но в прошлом году ученые сообщили об успешных попытках справиться с СГР при помощи ботокса — средства, которое давно используется не только в косметологии для борьбы с морщинами, но и для лечения хронических головных болей и мигреней. Ботулотоксин — действующее вещество ботокса — блокирует передачу нервных импульсов и тем самых останавливает распространение ощущения жжения и боли.
В ходе исследования пожилые пациенты с СГР избавились от болей и жжения после 16 уколов ботокса в язык и нижнюю губу. Эффект наступал в течение двух суток после процедуры и длился 16 недель. Что не менее важно, никаких побочных эффектов от применения ботокса для лечения синдрома горящего рта обнаружено не было.
Вторичные проявления синдрома горящего рта обычно исчезают по мере борьбы с основным заболеванием. Соответственно, в некоторых случаях может потребоваться гормональная коррекция, или назначение препаратов против аллергии, или смена лекарств, или лечение инфекции, или даже беседа с психотерапевтом для лечения тревожности и депрессии.
А пациентам, страдающим от первичного синдрома жжения во рту, врачи советуют придерживаться следующих правил:
Отказаться от острой и кислой пищи, алкоголя, курения. Придерживаться сбалансированной диеты и в целом здорового рациона. Избегать сильных стрессов. Менять зубную пасту почаще. Не пользоваться спиртосодержащими жидкостями для полоскания рта. При приступах жжения и боли можно сосать кусочек льда. Хорошим средством профилактики служат охлажденные напитки, которые следует пить в течение дня.
Источник: https://doctor.rambler.ru/news/39126386-sindrom-goryaschego-rta-nevidimoe-plamya/
До конца не удается сделать вдох, чувствуется острая нехватка воздуха, возникает одышка. Что это за симптомы? Может быть астма, или бронхит? Не обязательно. Иногда такие симптомы могут возникать и на нервной почве. Тогда это заболевание носит название дыхательный невроз.
Дыхательный невроз (некоторые специалисты используют также термины «гипервентиляционый синдром» или «дисфункциональное дыхание») – заболевание невротического характера. Его причиной могут быть различные стрессы, переживания, психологические проблемы, умственное или эмоциональное перенапряжение.
Такое нарушение дыхания на психологической почве может возникать как самостоятельное заболевание, но чаще сопровождает другие виды невроза. Специалисты считают, что около 80% всех больных неврозами испытывают и симптомы дыхательного невроза: нехватка воздуха, удушье, ощущение неполного вдоха, невротическая икота.
Дыхательный невроз, к сожалению, не всегда диагностируется своевременно, поскольку такой диагноз ставится фактически методом исключения: прежде чем поставить его, специалисты должны обследовать пациента и полностью исключить другие нарушения (бронхиальная астма, бронхит, и.т.д.). Тем не менее, статистика утверждает, что примерно 1 пациент в день, из тех, кто обратился к терапевту с такими жалобами как «трудный вдох, нехватка воздуха, одышка» – на самом деле больны дыхательным неврозом.
И все-таки отличить гипервентиляционный синдром от другого заболевания, помогает неврологическая симптоматика. Невроз дыхательных путей, кроме присущих именно этому заболеванию проблем с дыханием, имеет и общие для всех неврозов симптомы:
- нарушения со стороны сердечно-сосудистой системы (аритмия, частый пульс, боли в сердце);
- неприятные симптомы со стороны пищеварительной системы (нарушения аппетита и пищеварения, запоры, боли в животе, отрыжка, сухость во рту);
- нарушения со стороны нервной системы могут проявляться в головных болях, головокружениях, обмороках;
- тремор конечностей, мышечные боли;
- психологические симптомы ( тревожность, панические атаки, нарушение сна, снижение работоспособности, слабость, периодически возникающая невысокая температура).
И конечно, невроз дыхательных путей имеет присущие именно этому диагнозу симптомы – ощущение недостатка воздуха, невозможность сделать полный вдох, одышка, навязчивая зевота и вздохи, частый сухой кашель, невротическая икота.
особенность этой болезни – периодические приступы. Чаще всего они возникают как следствие резкого снижения концентрации углекислого газа в крови. Парадоксально, но сам больной при этом ощущает наоборот, как бы нехватку воздуха.
Во время течения приступа, дыхание больного поверхностное, частое, оно переходит в краткосрочную остановку дыхания, а потом – чреда глубоких судорожных вдохов.
Такие симптомы вызывают у человека панику, и в дальнейшем заболевание закрепляется за счет того, что пациент с ужасом ждет следующих возможных приступов.
Гипервентиляционный синдром может протекать в двух формах – острой и хронической. Острая форма имеет сходство с паническим приступом – возникает страх смерти от удушья и нехватки воздуха, невозможности глубоко дышать. Хроническая форма болезни проявляется не сразу, симптомы нарастают постепенно, заболевание может продолжаться длительный период времени.
Чаще всего, невроз дыхательных путей действительно возникает по психологическим и неврологическим причинам (обычно – на фоне панических атак и истерии). Но около трети всех случаев этой болезни имеет смешанную природу. Какие еще причины могут послужить для развития дыхательного невроза?
- Болезни неврологического профиля. Если нервная система человека уже работает с нарушениями, то возникновение новых симптомов (в частности, невротической нехватки воздуха) вполне вероятно.
- Заболевания дыхательных путей – в дальнейшем они тоже могут перейти в дыхательный невроз, особенно если не были пролечены полностью.
- Имеющиеся в анамнезе психические нарушения.
- Отдельные болезни системы пищеварения и сердечно-сосудистой системы могут как бы «имитировать» гипервентиляционный синдром, вызывая у больного чувство нехватки воздуха.
- Некоторые токсические вещества (а также медицинские препараты, при передозировке или побочном эффекте) также могут вызывать симптомы дыхательного невроза – одышку, чувство недостатка воздуха, невротическую икоту и другие.
- Предпосылкой к возникновению болезни является особый тип реакции организма – его сверх-чувствительность к изменению концентрации углекислого газа в крови.
Определить невроз дыхательных путей бывает непросто. Очень часто больной сначала проходит многочисленные обследования и безрезультатные попытки лечения по другому диагнозу.
На самом деле, качественное медицинское обследование очень важно: симптомы дыхательного невроза (одышка, недостаток воздуха, и.т.д.
) могут быть обусловлены и другими, весьма серьезными заболеваниями, например бронхиальной астмой.
При наличии в больнице соответствующего оборудования, желательно провести специальное обследование (капнография). Оно позволяет измерить концентрацию углекислого газа при выдохе воздуха человеком, и соответственно сделать точный вывод о причине заболевания.
Как и при других видах невроза, основное лечение этого заболевания осуществляет психотерапевт. Конкретный вид лечения зависит от степени тяжести болезни, симптомов, общей клинической картины.
Помимо сеансов психотерапии, главная задача для пациента – освоить метод дыхательной гимнастики. Она состоит в уменьшении глубины дыхания (так называемый, метод поверхностного дыхания).
При его применении, естественно, повышается концентрация углекислого газа выдыхаемого человеком воздуха.
При тяжелом течении болезни, иногда требуется медикаментозная терапия по назначению врача. Она может включать прием транквилизаторов, антидепрессантов, бета-адреноблокаторов.
Кроме того, врач назначит общеукрепляющее лечение (витаминный комплекс, настои лекарственных трав).
Успешное лечение любого невроза требует от больного соблюдения определенных правил: достаточная продолжительность сна, режим дня, правильное питание, разумные нагрузки, и.т.д.
Источник: https://indepress.ru/nevrozyi/dyihatelnyij.html
Человеку должно дышаться легко. Природой устроено так, что дыхание — это процесс абсолютно безболезненный и неощутимый. Мы просто дышим и всё, так как если бы мы перестали дышать, то возникнет очень опасное для жизни состояние.
Но это крайности. А вот затруднённое дыхание, в обиходе называемое «одышка», у человека может быть. Такое состояние организма может быть спровоцировано как внешними, так и внутренними факторами.
В случае, если кислорода, получаемого организмом человека недостаточно, возникает тяжёлое дыхание. Наиболее часто причиной тяжёлого дыхания являются:
- Интенсивные физические нагрузки. При активной физической деятельности мышцы нуждаются в большом количестве кислорода и органы дыхательной системы вынуждены работать с большей интенсивностью.
- Хроническая усталость. При переутомлении может возникнуть такое заболевание, как анемия – недостаток кислорода в крови.
- Стрессы и нервные состояния. При сильном волнении и переживаниях может возникнуть спазм дыхательных путей, который препятствует правильному дыханию и нарушает доступ кислорода в организм.
- Сосудистые спазмы головного мозга. Это нарушение может быть вызвано сильной головной болью.
- Бронхиальная астма. При этом заболевании происходит спазм бронхов и отёк слизистой по причине воздействия разных аллергенов.
- Заболевание лёгких. Сбой в работе основного органа дыхательной системы является одной из причин тяжёлого дыхания.
- Сердечная недостаточность. Нарушения в работе сердечно-сосудистой системы могут вызвать недостаток кислорода в крови.
Нервозность — это, к сожалению, неотъемлемый атрибут любой работы, а зачастую и семейной жизни. Когда вы впадаете в состояние стресса, то, как правило, начинаете кричать и говорить в более быстром темпе, чем в обычной жизни.
Это состояние может привести к тому, что вам станет не хватать кислорода, и вы должны будете чаще вдыхать воздух. Однако, это неудобно, правда?
Как выйти из такого положения? Замолчите, успокойтесь и сделайте несколько глубоких вдохов через нос и выдохов через рот. Недостаточно? Не восстановилось дыхание?
Делайте такое упражнение до тех пор, пока всё не восстановится. Кстати, вместе с дыханием, таким образом, вы восстановите сердечный ритм, а значит и общее спокойствие.
Если вам тяжело дышать, причины могут крыться не только в нервном состоянии, но ещё и в аллергии на что-либо. Всё просто: вы вдыхаете запах от аллергена, который раздражает дыхательные пути и приводит к спазму, а тот, в свою очередь, превращает процесс дыхания из неконтролируемого в осознанный.
Если вы чувствуете, как вам дышать тяжело, и считаете, что причина кроется именно в этом, как можно скорее устраните действие аллергена: уйдите от незнакомого раздражающего запаха, перестаньте употреблять в пищу то, что ранее никогда не употребляли и то, на что, по вашему мнению, у вас может быть аллергия. Если аллергеном является какое-то питье — откажитесь от него.
Иногда сразу распознать аллерген не удаётся, а патологическое состояние устранять надо как можно скорее. В этом случае попробуйте открыть окно и впустить свежий воздух с улицы. Прочистите им лёгкие, и увидите, как ситуация сразу же начнёт поворачиваться в лучшую сторону.
Маленькая поправка: не открывайте окно, если на дворе весна, и вы знаете, что у вас аллергия на весну! Этим вы только ещё больше ухудшите своё состояние. В этом случае создайте свежий воздух дома: включите вентилятор или ионизатор воздуха. Можете выпить антигистаминный препарат — кларитин, супрастин, зиртек, зодак или им подобные.
Спокойствие — это немаловажный фактор для устранения тяжёлого дыхания при аллергии. Как это ни странно, одно порождает другое: вы чувствуете, как вам тяжело дышать, не знаете, что предпринять, отсюда естественная реакция организма — стресс, который, в свою очередь, тоже порождает тяжёлое дыхание. Если вы сможете успокоиться, то сделаете 50% работы по нормализации ситуации.
Существует ряд патологических состояний, когда может возникнуть затруднённое дыхание, и которые требуют, как правило, неотложной и правильной помощи. Попробуем разобраться в медицинских причинах затруднённого дыхания у взрослого, а также способах устранения таких состояний.
Бронхиальная астма. Тяжёлое дыхание может быть обусловлено наличием у человека бронхиальной астмы. Если вам выставлен этот грозный диагноз, у вас при себе всегда должен быть ингалятор с лекарственным средством.
Иногда приступ астмы развивается настолько стремительно, что человек может потерять сознание. Обязательно надо носить с собой записку с указанием того, где находится лекарство и как им пользоваться, чтобы другие, обнаружив вас в беспомощном состоянии, смогли правильно и квалифицированно оказать необходимую помощь.
Похожая по названию болезнь — бронхит — это воспаление бронхов; патологическое состояние, сопровождающееся сильным кашлем, который, в свою очередь, провоцирует тяжёлое дыхание. Это патология, которую нужно лечить медикаментозными средствами.
Если вы считаете, что причина тяжёлого дыхания кроется именно в этом, незамедлительно обращайтесь к врачу, чтобы тот назначил адекватную терапию, которая облегчит ваше состояние.
Анемия — это состояние организма, при котором формула крови изменяется таким образом, что у человека становится меньше эритроцитов и гемоглобина. Такой диагноз влечёт за собой частое и лёгкое дыхание.
Причины, вызвавшие анемию, могут быть самыми разнообразными. Приведём пример, какой может быть анемия:
- железодефицитная;
- B12-дефицитная;
- фолиеводефицитная;
- гемолитическая.
Такой диагноз вам может поставить только врач, он же и назначает соответствующую терапию для устранения причин малокровия, а, соответственно, и тяжёлого дыхания.
Существует такое понятие, как «индекс массы тела». Он может быть занижен, находиться в норме, или быть завышен. В последнем случае у человека наблюдается ожирение — состояние, когда вес тела больше, чем должен быть в соответствии с параметрами роста и возраста.
Ожирение может быть патологическим, психологическим или естественным. В первом случае на набор лишнего веса влияет фактор болезни, который необходимо устранить. Второй случай может быть обусловлен психологической травмой. И, наконец, в последнем случае ожирение естественное — просто человек хочет быть толстым и сознательно идёт к этой цели.
Однако, каким бы ни было ожирение, оно неминуемо ведёт к неподвижности дыхательных мышц. Одышка, сначала проявляющаяся только при сильной физической нагрузке, в последствии может стать вашим «добрым» другом и спутником жизни.
Как избавиться? Сбавляйте лишний вес! Если он обусловлен медицинскими факторами, лечите болезнь. Убирайте фактор психологической травмы или же поработайте с диетологом, чтобы вернуться к нормальному режиму питания, который обеспечит вам бодрость тела и духа.
Курение — это одна из самых пагубных привычек. Никотин поражает лёгкие, становясь главной причиной затруднённого дыхания у взрослого. Вне зависимости от количества выкуриваемых за день сигарет, для устранения причины тяжёлого дыхания нужно просто бросить курить. Совсем. Сократить количество выкуриваемых сигарет до нуля.
Патология дыхания может быть признаком грозных заболеваний, опасных для жизни. К примеру, предобморочное состояние, предынфарктное состояние, нарушение ритма сердца. Это всё состояния, требующие неотложного квалифицированного вмешательства.
Трудно дышать? Во-первых, не беспокойтесь, а во-вторых, чётко определите тот фактор, которым вызвана эта патология. Если есть возможность самостоятельно устранить проблему, нужно принять все меры к скорейшей нормализации дыхания, в противном случае обратиться за квалифицированной помощью.
Источник: https://lechim-gorlo.ru/zabolevaniya/tyazhyoloe-dyhanie-prichiny-i-sposoby-ustraneniya-u-vzroslogo-cheloveka
Поделиться:












